Radiosensitization effects of berberine on human breast cancer cells
- Authors:
- Published online on: August 10, 2012 https://doi.org/10.3892/ijmm.2012.1095
- Pages: 1166-1172
Abstract
Introduction
Breast cancer is the most common type of cancer among women in most parts of the world and accounts for 23% of all female cancers (1). It is the second most common type of cancer overall, second to lung cancer. Annually, over one million women are diagnosed with breast cancer across the globe, with approximately 400,000 deaths (2). However, during the past few decades, breast cancer mortality appears to be declining in the United States and many other Western countries (3–5), suggesting a benefit from early detection and more effective treatment. Radiation therapy is a key strategy for the treatment of many epithelial carcinomas. In breast cancer, post-operative radiotherapy (RT) is one of the most commonly used and efective strategies for local control.
Berberine, an isoquinoline derivative alkaloid, is isolated from many medicinal herbs, such as Hydrastis canadensis, Cortex phellodendri and Rhizoma coptidis. Berberine has a wide range of pharmacological and biochemical effects. It has been reported that berberine can be used as an anti-diarrhea, anti-arrhythmia and anti-inflammatory agent (6–8). Additionally, berberine has also been shown to have antitumor effects on many cancer cell lines, including leucocytes, liver, lung, stomach, colon, skin, oral, esophageal, brain, bone, breast and genital cancer cells (9–14). The cytotoxic effects of berberine on cancer cells may be mediated through DNA topoisomerase I inhibition and cell cycle arrest which eventually induces apoptosis via the caspase-3 or Fas/FasL signal pathways (15). In addition to the direct induction of apoptosis, the pro-inflammatory or nuclear factor (NF)-κB pathway, antioxidant defense system and the anti-metastatic pathway have been reported to play a role in the anticancer effects of berberine (16–18).
A number of studies have reported that berberine has synergistic effects against cancer in combination with irradiation. Berberine has been shown to radiosensitize lung cancer cells by inducing autophagy (19), and esophageal cancer cells by the downregulation of the homologous recombination repair protein, RAD51 (20). In addition to the synergistic effects against cancer, berberine also has protective effects against radiation-induced injury. It has been reported that berberine significantly reduces the incidence of radiation-induced lung injury and intestinal injury (21,22). Berberine may be a useful therapeutic agent for breast cancer therapy. In the present study, we evaluated the direct effects of berberine on irradiated MCF-7 and MDA-MB-468 human breast cancer cells in vitro, and explored the mechanisms of interaction.
Materials and methods
Cell culture
The human breast cancer cell lines, MCF-7 and MDA-MB-468, were obtained from the American Type Culture Collection (ATCC; Rockville, MA, USA) and maintained in Dulbecco’s modified Eagle’s medium (DMEM; Gibco-BRL, Rockville, IN, USA) supplemented with 10% fetal bovine serum (FBS; Haoyang Biological Manufacture Co., Ltd., Tianjin, China), 100 U/ml penicillin and 100 μg/ml streptomycin. All cell cultures were maintained at 37°C in a humidified atmosphere of 5% CO2. All the cells used were passaged for >4 months. The identities of these cell lines were validated by short tandem repeat (STR) profiling generated by using the Promega PowerPlex® 1.2 system. The STR profiles for these cell lines matched their known ATCC fingerprints.
Reagents
Antibodies against Ku70, Ku86 and RAD51 were purchased from Santa Cruz Biotechnology, Inc. (Santa Cruz, CA, USA). Mouse monoclonal antibody against β-actin was purchased from Sigma-Aldrich (St. Louis, MO, USA). Mouse anti-γ-H2AX antibody was purchased from Millipore (Billerica, MA, USA). HRP-labeled secondary antibodies and rhodamine-labeled secondary antibody were purchased from KPL (Gaithersburg, MD, USA). Berberine was purchased from Sigma-Aldrich and dissolved in 100% dimethyl sulfoxide (DMSO) to obtain stock concentrations.
Combined effect of berberine with radiation investigated by clonogenic assay
Clonogenic assays were used to assess the survival and proliferation potential of the cells treated with berberine and/or ionizing radiation (IR). The cells were treated with the vehicle control (DMSO) or 15 μM berberine for 24 h. The cells were then irradiated using a Faxitron Cabinet X-ray System (Faxitron X-ray Corp., Wheeling, IL, USA) to deliver the indicated doses (0, 1, 2, 3 and 4 Gy) at room temperature. The X-rays were filtered through a 0.5-mm aluminum filter resulting in a dose rate of 0.4 Gy/min. The cells were trypsinized, suspended in complete medium, counted and replated in 60-mm tissue culture dishes. After irradiation, serial dilutions of irradiated cells were plated immediately. After incubation at 37°C in a humidified atmosphere of 5% CO2 for 14–21 days to allow the formation of macroscopic colonies, the plates were fixed with methanol and stained with Giemsa. Colonies containing at least 50 cells in size were counted. The fraction surviving a given X-ray dose was calculated based on the survival of non-irradiated cells treated with the vehicle or berberine. Survival (S) data after a radiation dose (D) were fit by a weighted, stratified, linear regression according to the linear-quadratic formula S(D) = S(0) exp(-αD - βD2). The α and β terms in this equation and their ratios were used to describe survival curve characteristics and to classify the cellular response to radiation (23).
Cell cycle analysis by flow cytometry
Cells were harvested with trypsin, washed with phosphate-buffered saline (PBS) and then stained with buffer including 50 μg/ml propidium iodide (Sigma-Aldrich) for 30 min at room temperature. For fluorescence-activated cell sorting (FACS) analysis, data were collected using a FACSCalibur (BD Bioscience, San Jose, CA, USA) flow cytometer and analyzed by ModFit (Verity, Topsham, ME, USA). The cell-cycle distribution was evaluated by counting >20,000 cells for each sample.
Immunofluorescence staining for γ-H2AX
Cells were grown on coverslips in 6-well plates and treated with berberine 15 μM and/or X-ray. At specific times, the medium was aspirated, washed with PBS 3 times and the cells were fixed in 4% paraformaldehyde for 15 min at room temperature, followed by treatment with 0.2% Triton X-100 for 5 min. The cells were then washed with PBS twice and then blocked with 10% normal goat serum in PBS for 50 min, following which mouse anti-γ-H2AX antibody (Millipore) was added at a dilution of 1:200 and incubated overnight at 4°C. The cells were then washed 3 times with PBS before being incubated in the dark with a rhodamine-labeled secondary antibody (KPL) at a dilution of 1:100 in 1% goat serum albumin in PBS for 60 min. The secondary antibody solution was then aspirated and the cells were washed 4 times with PBS. The cells were then incubated in the dark with 4′,6-diamidino-2-phenylindole (1 μg/ml) in PBS for 5 min and coverslips were mounted with an antifade solution (Molecular Probes, Eugene, OR, USA). The slides were then examined on a Leica fluorescent microscope. Images were captured by a charge coupled device camera. For each treatment condition, γ-H2AX foci were counted in at least 100 cells from randomly captured images.
Western blot analysis
The cells were washed twice with cold PBS and lysed on ice in RIPA buffer [1X PBS, 1% NP 40, 0.1% sodium dodecyl sulfate (SDS), 5 mM EDTA, 0.5% sodium deoxycholate and 1 mM sodium orthovanadate] with protease inhibitors and quantified by the BCA method (24). Nuclear and cytosolic extracts were prepared with a nuclear/cytosol fractionation system according to the manufacturer’s instructions. Equal amounts of protein (30–50 μg) were separated by SDS polyacrylamide gel electrophoresis, electrotransferred onto polyvinylidene fluoride membranes (Immobilon-P; Millipore) and blocked with 5% non-fat dry milk in Tris-buffered saline, pH 7.5 (100 mM NaCl, 50 mM Tris and 0.1% Tween-20). The membranes were immunoblotted overnight at 4°C with anti-Ku70, anti-Ku86 and anti-RAD51 monoclonal antibodies (1:200; Santa Cruz Biotechnology, Inc.), and anti-β-actin monoclonal antibody (1:5,000; Sigma-Aldrich), followed by their respective horseradish peroxidase-conjugated secondary antibodies. Signals were detected by enhanced chemiluminescence. β-actin was used as the endogenous control.
Statistical analysis
The data are presented as the means ± SD and analyzed with Microsoft Excel analysis tools and SPSS statistics 17.0 software. All experiments were repeated independently 3 times. The radiation dose survival curves were analyzed by weighted, stratified, linear regression. Differences between individual groups were analyzed by a paired t-test. P-values of <0.05 were considered to indicate statistically significant differences.
Results
Berberine sensitizes breast cancer cells to IR
In the MCF-7 cell line (Fig. 1), clonogenic assay revealed that berberine pre-treatment (15 μM, 24 h) reduced the surviving fraction at 2 Gy (SF2) of the irradiated cells from 31.2±0.8 to 20.5±3.9% in the cells treated with radiation alone. The combination treatment caused a reduction of approximately 30% in the SF2 (P=0.002). The data were further analyzed according to the linear quadratic model; the α and β components were 0.552±0.050/Gy and −0.002±0.014/Gy2 for the cells treated radiation alone, and 0.758±0.104/Gy and −0.007±0.033/Gy2 for the cells treated with the combination treatment, respectively, leading to survival curves which were significantly different (P<0.001) as tested with the linear regression analysis. A similar response was observed in the other human breast cancer cell line, MDA-MB-468, with the SF2 being reduced to 20.1±0.6% when the irradiated cells were pre-treated with berberine at 15 μM for 24 h, in comparison with 33.1±3.1% for the cells treated with radiation alone (P<0.01). The α and β components were 0.538±0.058/Gy and −0.009±0.016/Gy2 for the radiation group, and 0.902±0.07/Gy and −0.034±0.021/Gy2 for the combination treatment group, respectively. According to the linear regression analysis, a statistical difference between 2 groups was obtained (P<0.001).
Berberine treatment causes cell cycle arrest
We performed flow cytometry analysis of the cells treated with 15 μM berberine or DMSO for 24 h by propidium iodide staining to evaluate the effect of berberine treatment on the cell cycle progression of human breast cancer cells. Berberine treatment induced an increase in the proportion of cells in the G1 phase (77.5±2.1 vs. 57.1±0.5%) and a marked decrease in the proportion of cells in the S phase (21.3±1.2 vs. 40.0±1.9%) in comparison with the control MCF-7 cells (Fig. 2). The same results were observed in the MDA-MB-468 cells. The G0/G1 fraction of the cells treated with berberine increased from 55.4±1.5 to 69.5±2.9%, compared to the control cells, and the fraction of the cells treated with berberine in the S phase decreased to 14.4±1.0% in comparison with the control cells (34.1±0.9%). When the MCF-7 cells were exposed to 6 Gy irradiation alone for 8–24 h, a significant cell cycle arrest in the G2/M phase was observed, with a decrease in the percentage of cells in the G0/G1 phase and S phase. Following pre-treatment with berberine, the radiation-induced G2/M phase arrest did not occur within 24 h after irradiation, with an increase in the percentage of cells in the G0/G1 phase compared with irradiation alone.
Berberine pre-treatment prolongs the persistence of DNA double-strand breaks (DSBs)
H2AX, a variant of the core histone H2A family, contains a unique SQ motif within its C-terminal tail that is highly conserved from plants to humans, suggesting a crucial role of this variant throughout evolution. The phosphorylated form of H2AX was termed γ-H2AX, as it was first observed in cells exposed to γ-rays. The formation of γ-H2AX in response to DNA DSBs provides the basis for a sensitive assay for DNA damage. In the MCF-7 cells, we determined the levels of DSBs by immunofluorescence staining of γ-H2AX foci at different time-points (0, 0.5, 4 and 12 h) after exposure to X-rays. In the MCF-7 cells not pre-treated with berberine, the majority of the γ-H2AX foci cleared 4 h following exposure to 1.0 Gy of X-ray radiation (Fig. 3). By contrast, a delayed clearance of the X-ray-induced γ-H2AX foci was observed in the MCF-7 cells pre-treated with berberine (15 μM). These results indicate that berberine pre-treatment radiosensitizes the cancer cells via the impairment of the repair of X-ray-induced DSBs.
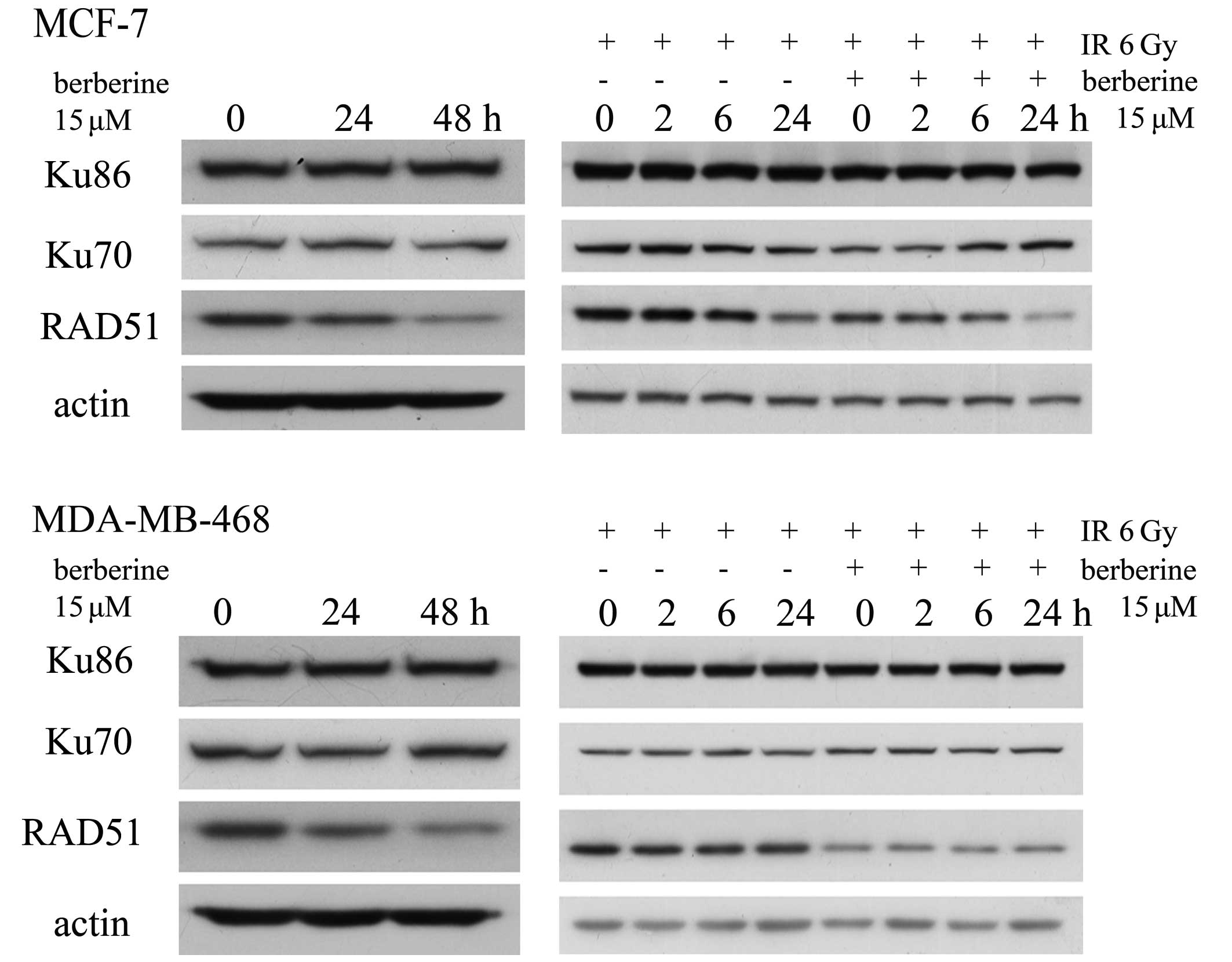
Berberine downregulates RAD51
DSBs are primarily repaired by 2 pathways. Ku70 and Ku86 are essential for nonhomologous end joining, whereas RAD51 is a central player in homologous recombination. We examined the expression of Ku70, Ku86 and RAD51 by western blot analysis to assess whether the levels of these 3 proteins were altered in human breast cancer cells pre-treated with berberine. As shown in Fig. 4, there were no obvious changes in the levels of Ku70 and Ku86, but the levels of RAD51 were significantly decreased in the MCF-7 and MDA-MB-468 cells treated with 15 μM berberine for 24–48 h. In the MCF-7 cells treated with 15 μM berberine for 24 h prior to 6 Gy irradiation at the indicated time-points (0, 2, 6 and 24 h), the levels of Ku70 and Ku86 protein had no obvious change, but the level of RAD51 protein had decreased significantly. However, these changes were not observed in the cells treated with irradiation alone. In the MDA-MB-468 cells the same results were observed.
Discussion
IR induces measurable arrests in the G1, S and G2 phases of the mammalian cell cycle, which allows for the repair of DNA damage in cells prior to DNA replication or mitosis. In this study, analyses of the treatment effects on the cell cycle revealed a significantly increased proportion of cells in G1 arrest, accompanied by a simultaneous decrease in the number of cells in the S phase following berberine treatment. The arrest in G1 in response to irradiation is thought to result from a signal transmitted via the p53 tumor suppressor protein in response to cellular damage, and the delay in progression through the S phase of the cell cycle is due to a reduction of the DNA synthesis rate (25). It has been established that the cancer cells are more radiosensitive in the G2/M phase, less sensitive in the G0/G1 phase, and least sensitive during the latter part of the S phase (26). Thus, we postulated that the decreased percentage of cells in the S phase prior to irradiation may result in the observed decrease in the surviving fraction that was observed in the combination treatment group.
In addition, we observed a radiation-induced G2/M arrest in the MCF-7 cells treated with RT alone; however, in the cells treated with radiation and berberine, the radiation-induced G2/M arrest did not occur at the indicated time-points. Two molecularly distinct G2/M checkpoints were identified. The first of these G2/M checkpoints occurs early after IR and is ATM-dependent and dose-independent, and represents the failure of cells in the G2 phase at the time of irradiation to progress into mitosis. By contrast, G2/M accumulation, begins to be measurable only several hours after IR, is ATM-independent, and represents the accumulation of cells in the earlier phases of the cell cycle at the time of exposure to radiation (27). Studies using caffeine have provided further evidence to support the role of the G2 delay in irradiated cell survival. Caffeine reduces or abolishes the radiation-induced G2 delay and renders cells more sensitive to irradiation (28). The reduction of radiation-induced G2/M delay may also contribute to the radiosensitizating effects of berberine on MCF-7 and MDA-MB-468 cells observed in this study.
In mammalian cells, there are 2 major DSB repair pathways: homologous recombination and non-homologous DNA end-joining (29,30). Ku70 and Ku86 are essential for the former, whereas RAD51 is a central player in the latter. As shown by western blot analysis, the level of the RAD51 protein decreased significantly in the MCF-7 and MDA-MB-468 cells following berberine administration for 24 or 48 h at 15 μM; however, the levels of the Ku70 and Ku86 proteins did not change significantly compared with the controls when the cells were treated with berberine. In the berberine-treated cells, the levels of RAD51 decreased continuously compared with those in the cells treated with RT alone at 3 time-points after irradiation treatment, in the 2 breast cancer cell lines. Inhibitors of homologous recombination proteins may be used in combination with RT or chemotherapy to sensitize the cells (31–34). Mao et al (29) revealed that compared with normal mammary epithelial cells, the efficiency of homologous recombination is significantly elevated in breast cancer cell lines, including MCF-7 and MDA-MB-468 cells, and suggested that the inhibition of homologous recombination has a selective effect against breast tumor cells.
In conclusion, in this study, we demonstrate that berberine increases the radiosensitivity of MCF-7 and MDA-MB-468 cells. Berberine sensitizes human breast cancer cells to IR by inducing cell cycle arrest, and the downregulation of the homologous recombination repair protein, RAD51. Berberine may be a promising radiosensitizer for the treatment of breast cancer.
Acknowledgements
This study was supported by grants from the National Natural Science Foundation of China (No. 81072150 and 81172529). We thank Professor Changshun Shao (Institute of Molecular Medicine and Genetics and Key Laboratory of Experimental Teratology, Shandong University School of Medicine, China) for providing a critical evaluation of our study.







