MiR-21 regulates biological behavior through the PTEN/PI-3 K/Akt signaling pathway in human colorectal cancer cells
- Authors:
- Published online on: November 20, 2012 https://doi.org/10.3892/ijo.2012.1707
- Pages: 219-228
Abstract
Introduction
Colorectal cancer (CRC) is the third most commonly diagnosed cancer in males and the second in females, with over 1.2 million new cancer cases and 608,700 deaths estimated to have occurred in 2008 (1). In China, CRC remains the fifth most common cancer type and the fourth most common cause of cancer-related death (2). Moreover, the incidence of CRC is increasing rapidly in recent years in China (3). The development of CRC from normal epithelial cells to malignant carcinomas involves a multi-step process with accumulation of both genetic and epigenetic changes, leading to a temporal activation of oncogenes and inactivation of tumor suppressor genes (4). Despite research and resources dedicated to elucidating the molecular mechanisms of CRC, the molecular pathogenesis of CRC is complicated and remains unclear.
MiRNAs are a class of small non-coding 18- to 25-nucleotide-long RNAs that negatively regulate gene expression by binding to the 3′-untranslated region (3′-UTR) of target messenger (m) RNAs; this causes translational repression or degradation (5). Up to October 2011, more than 1,400 human microRNAs have been reported (6,7). Studies have demonstrated that microRNAs play a crucial role in almost all cellular biological processes including development, metabolism, survival, differentiation, proliferation, apoptosis and the immune response (8–12). It may function as both oncomiR (oncogene-like miRNA) and tumor suppressors (anti-oncomiR) depending on the miRNAs and the tumor type (13–15).
MiRNAs have been demonstrated to play an important role in the multistep processes of carcinogenesis. Specifically, miR-21 is consistently overexpressed in diverse types of malignancy, including breast cancer (16–18), pancreatic cancer (16,19,20), cholangiocarcinoma (21), hepatocellular carcinoma (22), gastric cancer (16), esophagus cancer (23), colorectal cancer (16,24), brain tumor (25), cervical cancer (26), ovarian cancer (27), prostate cancer (16), lung cancer (16), leukemia (28,29) and osteosarcoma (30). The human miR-21 gene is located on chromosome 17q23-1 overlapping with the TMEM49 gene, a human homologue of rat Vacuole Membrane Protein 1 (VMP-1), and it has been shown to be implicated in multiple malignancy-related processes including cell proliferation, apoptosis, invasion and metastasis (16–44). According to recent reports, several significant miR-21 targets associated with malignancy have been described: phosphatase and tensin homologue (PTEN) (21,22,31,32), programmed cell death 4 (PDCD4) (23,33,34), reversion-inducing cysteine-rich protein (RECK) (35,36), maspin (37), tropomyosin 1 (TPM1) (38), heterogeneous nuclear ribonucleoprotein K (HNRPK) (39), and TAp63 (39), Sprouty (SPRY1 and 2) (40,41), ras homolog gene family member B (RhoB) (42), tissue inhibitor of metalloproteinase 3 (TIMP3) (34,35,43,44).
However, the expression of miR-21 and its target gene PTEN, as well as their relationship has not been established in CRC. The role and relevant pathway of miR-21 in carcinogenesis and development of CRC and whether its antagonism could be used as a potential treatment for CRC remains illusive. In this study, we analyzed the expression levels of miR-21 in samples of CRC tissues and correlated them with clinicopathological features of CRC. Subsequently, we used anti-miR-21 inhibitor (IN) anti-sense oligonucleotide (ASO) to transiently knockdown miR-21 in HCT116 colon cancer cells in order to evaluate the role of this miRNA in cell proliferation, apoptosis, cell cycle, invasion and migration, and investigated the expression of PTEN, its target gene, as well as its regulatory mechanism.
Materials and methods
Patients and tissue samples
CRC tissues were obtained from the 30 consecutive patients who underwent primary surgical resection of CRC between September 2008 and March 2009 at the First Affiliated Hospital of Chongqing Medical University (Chongqing, China). No local or systemic treatment was conducted in these patients before the operation. A total of 10 adenomas as benign lesions with moderate dysplasia were resected by endoscopic mucosal resection (EMR). Then 10 specimens of normal colorectal mucosal tissues were evaluated as normal controls. Tissue samples were immediately frozen in liquid nitrogen after resection and stored at −80°C until use. One section of each sample was stained with hematoxylin and eosin (H&E) and was used for histopathological evaluation. The study was approved by the Research Ethics Committee of Chongqing Medical University, China. Informed consent was obtained from all patients.
Cell culture
Human colorectal cancer cell lines Colo320, Lovo, HCT116, HT29 and SW480 cell lines were purchased from Shanghai Institute for Biochemistry, Chinese Academy of Sciences (Shanghai, China). All cell lines were cultured in RPMI-1640 supplemented with 10% fetal bovine serum (FBS), 100 IU/ml penicillin and 100 μg/ml streptomycin in humidified 5% CO2 at 37°C. Trypsin (0.25%) solution was used to detach the cells from the culture flask.
Oligonucleotide transfection
Anti-miR-21 inhibitor (5′-UCAA CAUCAGUCUGA UAA GCUA-3′) and mismatched sequence negative control oligonucleotide (5′-CAGUACUUUUGUGUA GUACAA-3′) were synthesized by GenePharma, Shanghai, transfected into HCT116 cells (200 nmol/well) using Oligofectamine reagent (Invitrogen, Carlsbad, CA, USA). RNA oligonucleotides were transfected into cells using Lipofectamine 2000 (Invitrogen) according to the manufacturer’s protocol. Transfection efficiency was evaluated by GFP expression in control vector or real-time PCR. Medium was replaced 8 h later and cells were collected for the next experiments 48 h post-transfection. The transfection was performed in triplicates.
Plasmid construct
The 3′-UTR of the human PTEN gene was PCR amplified from human genomic DNA (5′-GCTCTAGATC CCGCCCAAGCATGAAC-3′ and 5′-GCTCTAGACCATTTT ATAAATGTCATCATC-3′), and cloned into the Xba1-site of pGL3-control vector (Promega, Madison, WI, USA), which is designated pGL3-PTEN-wt after sequencing. Site-directed mutagenesis of the miR-21 target-site in the PTEN 3′-UTR was carried out using site-directed mutagenesis kit (Takara, Dalian, China), with pGL3-PTEN-wt as a template, and named pGL3-PTEN-mut (FW, 5′-TTCTCGCGATGATGTATACAGT TTTTTATG-3′, RV, 5′-CTTTTATGTAAACATCATAAG CTCA-3′).
Cell proliferation assay
Cells were seeded in 96-well plate at 4,000 cells per well the day before transfection. The HCT116 cells were transfected with miR-21 negative control (NC) and anti-miR-21 inhibitor (IN). Cell Counting Kit 8 (CCK8, Dojindo, Tokyo, Japan) assay was used to measure the viable, proliferating cells at 24, 48, 72 and 96 h after transfection. The absorbance at 450 nm was measured using a thermo spectrophotometer. Each cell group was measured in triplicate.
Luciferase assay
Cells were seeded in 24-well plates 24 h before transfection. HCT-116 cells were transiently transfected with wild-type (pGL3-PTEN-wt) or mutant (pGL3-PTEN-mut) reporter plasmid containing miR-21 potential binding sites in the presence or absence of miR-21 using Lipofectamine 2000. Luciferase assays were performed 36 h post-transfection using the Dual-luciferase assay system (Promega, Madison, WI, USA) and they were normalized for transfection efficiency with cotransfected Renilla luciferase. All experiments were performed in triplicate.
Matrigel invasion assay
Twenty-four hours after transfection, 2×104 HCT116 cells were suspended in 0.25 ml of culture medium with 1% FBS and plated in the top chamber with matrigel-coated membrane (Becton Dickinson, USA). The cells were incubated for 36 h, after which the cells that did not invade through the pores were removed by a cotton swab. Cells on the lower surface of the membrane were stained with H&E for visualization, and counted under a light microscope in 5 random fields with magnification, ×400.
Scratch wound-healing motility assay
The scratch wound assay was performed as previously described (36). When HCT116 cells were seeded and grown to confluence, a scratch was set with a pipette tip running though the dish and cultured under standard conditions for 24 h. Plates were washed twice with fresh medium to remove non-adherent cells and then photographed. The cell migration was evaluated by counting cells that migrated from the wound edge. Each cell group was measured in triplicate.
Colony formation assay
HCT116 cells were transfected with negative control (50 nM) and anti-miR-21 inhibitor (50 nM) in 24-well plates at a density of 5×105 cells/well. Cells were subsequently trypsinized at 24 h and seeded in 6-well culture plates (500 cell for each well) to form colonies. After 7 days, colonies were fixed in 4% paraformaldehyde and stained in a 0.1% crystal violet solution. Each cell group was measured in triplicate.
Cell cycle assay
For cell cycle analysis, parental and transfected cells in the log phase of growth were stained with propidium iodide (PI; Santa Cruz Biotechnology, Santa Cruz, CA, USA) and examined with a fluorescence-activated cell sorting (FACS) flow cytometer (FCM) and DNA histograms were analyzed with modified software. Each test was repeated in triplicate.
Apoptosis assay
For apoptosis assays, floating and adherent cells were harvested 24 or 48 h after transfection, and then combined and washed with PBS. Annexin V in combination with PI (Santa Cruz Biotechnology) was added to the cells and samples were analyzed within 30 min after staining. Quantification of fluorescence was done by flow cytometry as described above. Each test was repeated in triplicate.
RNA isolation and qRT-PCR
Total-RNA was extracted using TRIzol reagent (Invitrogen) for both miR-21 and PTEN-mRNA analyses according to the manufacturer’s instructions.
For detection of miR-21 expression, stem-loop RT-PCR was performed as previously described (45). qPCR was carried out using SYBR-Premix Ex Taq™ (Takara) according to the manufacturer’s protocol. For detection of PTEN-mRNA expression, qPCR was performed using Quantitect SYBR-Green PCR kit (Takara). β-actin was used to normalize PTEN-mRNA expression levels.
Western blot analysis
Western blot analysis was performed according to standard procedures. Total protein was isolated from HCT116 cells. Protein concentrations were determined by BCA Protein Assay kit (Pierce Biotechnology, Rockford, IL, USA). The membrane was first incubated with antibody against PTEN, phosphorylated AKT (p-AKT), PI3K p85α (Tyr458), p-mTOR and MMP-9 (Santa Cruz Biotechnology), then with anti-β-actin antibody (Sigma, St. Louis, MO, USA) as a loading control. Signals were detected by secondary antibodies labeled with HRP and signal intensity was determined by Quantity One software.
Immunohistochemistry
For immunohistochemistry, a mouse monoclonal antibody (Zhongshan Technology, Beijing, China) were used as primary antibodies for overnight incubation at 4°C. The sections were subsequently treated with goat anti-mouse secondary antibody, followed by further incubation with streptavidin-horseradish peroxidase complex (Zhongshan Technology). Diaminobenzidine (Zhongshan Technology) was used as a chromogen and sections were lightly counterstained with hematoxylin. The proportion of PTEN immunostaining tumor cells varied from 0 to 100%, and a four-grade scoring system was used to evaluate the degree of immunostaining: score 0, <5%; score 1, 5–25%; score 2, 25–50%; score 3, >50% of tumor cells with positive immunostaining.
Statistical analysis
All values in the present study were reported as mean ± standard deviation (SD) from three independent experiments. Statistics was determined using ANOVA, χ2 test or Student’s t-test using SPSS17.0 (Windows). The inverse correlation of PTEN protein and miR-21 expression levels was examined by Spearman correlation analysis. P-values <0.05 were considered statistically significant.
Results
MiR-21 is overexpressed in CRC tissues and clinicopathological characteristics
The results indicate that, among the 30 CRC samples analyzed, the relative expression of miR-21 (2−ΔΔCt=4.956±1.892) was significantly upregulated compared with the adenomas (1.662±0.496) and normal tissues (1.024±0.043) (p<0.01, respectively). MiR-21 expression was significantly higher in adenomas than it in the normal tissues determined by post-hoc analyses (p<0.05). Moreover, the high miR-21 group was significantly associated with invasion depth, lymph node metastasis (present), poor differentiation and advanced TNM stage (III, IV) (p<0.05, respectively). On the other hand, no significant differences were observed regarding gender, histological type, tumor size (p>0.05, respectively), implying miR-21 might be involved in the development and metastasis of cancer, and has a prognostic implication for CRC. This result is consistent with the previous findings (46–53).
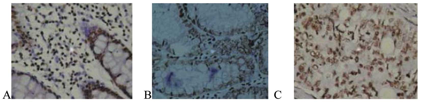
Low PTEN expression correlates with clinicopathological variables
As shown in Table I, 14 of 30 (46.67%) CRC tissues were positive for PTEN, mainly weakly positive and expressed in the cytoplasm (Fig. 1), which was distinctly lower than that in adenomas and normal controls (p<0.01). Moreover, the low PTEN was significantly associated with invasion depth, lymph node metastasis (present), poor differentiation and advanced TNM stage (III, IV) (p<0.05, p<0.05, p<0.05, p<0.01 and p<0.05, respectively). On the other hand, no significant differences were observed regarding gender, histological type (p>0.05, respectively).
PTEN protein correlates inversely with miR-21 in CRC cell lines and tissues
We determined expression levels of miR-21 and PTEN (protein and mRNA) in 5 different colorectal cancer cell lines (Fig. 2). In cell lines with high endogenous miR-21 (for example, HCT116, Colo320, Fig. 2B) as measured by miRNA qRT-PCR, a low amount of PTEN protein was observed (Fig. 2A and C), whereas cell lines with low miR-21 (for example, SW480, HT29, Fig. 3B) showed high amounts of PTEN protein (Fig. 2A and C). Across all 5 cell lines tested, we found a significant inverse correlation between miR-21 and PTEN protein levels (r=−0.972, p<0.01). However, the differences in PTEN protein are higher than for PTEN-mRNA among the cells (Fig. 2C and D) (p=0.000 for PTEN protein, p=0.010 for PTEN mRNA). These data suggest that miR-21 expression is inversely correlated with PTEN expression in human colorectal cancer cells, and it is possible that miR-21 negatively regulates PTEN post-transcriptionally.
We then surveyed correlation between miR-21 expression and PTEN expression in CRC tissues, we found 9 cases were positive for PTEN among the 13 cases of CRC tissues with relatively low miR-21 expression (3.32±0.29), but only 5 cases were positive for PTEN among the 17 cases of CRC tissues with relatively high miR-21 expression (6.12±1.86). Spearman’s rank correlation analysis showed that PTEN expression was negatively correlated with miR-21 expression (r=−0.396, p<0.05) (Table I).
Anti-miR-21 inhibits CRC cell growth, proliferation and migration, and induces apoptosis
HCT116 cell line was selected to investigate miR-21 functions and targets by using sequence-specific functional inhibition of miR-21, because the cell line expressed higher levels of miR-21. Knockdown of miR-21 with ASO reduced significantly miR-21 levels in HCT116 cells (Fig. 3B). Anti-miR-21 inhibitor led to a significant decrease in HCT116 cell growth and proliferation (p<0.01, Fig. 3A). As shown in Fig. 3B, the number of colonies from HCT116 cells transfected with anti-miR-21 inhibitor was significantly lower than that of negative control and MOCK group (p=0.05). Furthermore, the size of the colonies from the cells transfected with anti-miR-21 inhibitor was much smaller than those of the control group (Fig. 3C). In vitro matrigel invasion assay showed that anti-miR-21 inhibitor significantly suppressed HCT116 cell invasion (p<0.05), compared with anti-miR-21NC and MOCK group (Fig. 4A and B). Wound healing assay showed that wound repair was delayed in anti-miR-21 inhibitor compared with anti-miR-21NC and MOCK (Fig. 5A). Anti-miR-21 inhibitor significantly suppressed HCT116 cell migration (p<0.05), compared with anti-miR-21NC at 24 h after wound scratch (Fig. 5B). These data demonstrate the tumorigenic properties of miR-21 in regulating cell growth, proliferation, invasion and migration.
Induced apoptosis in vitro
To further analyze whether decreased viability was a result of cell cycle arrest, the cell cycle distribution was analyzed using FCM. At 48 h after transfection, FCM analysis showed a 25% increase in G0/G1 phase cells and a 20% decrease in S-phase cells and a 20% decrease in G2/M phase cells in HCT116 cells transfected with a miR-21 inhibitor (p<0.05, Fig. 6A and B). We also analyzed the effect of miR-21 inhibitor on apoptosis by conducting Annexin V and PI double staining. The rate of apoptosis significantly increased in cells transfected with anti-miR-21 inhibitor (48 h after transfection) compared with blank and NC control (p<0.05, Fig. 6C and D). It suggested that miR-21 may function as a strong antiapoptotic factor in human colorectal cancer cells.
PTEN is a direct target of miR-21 in CRC
To verify that PTEN may be a tumor-suppressor gene in CRC and miR-21 may directly target PTEN, we constructed luciferase-reporter plasmids that contain the wt or mutant 3′-UTR segments of PTEN (Fig. 7A). The wt or mutant reporter plasmid was cotransfected into HCT116 cells along with miR-21 inhibitor or negative control (NC). Compared with NC, miR-21 inhibitor significantly increased the relative luciferase activity when cotransfected with the wt reporter plasmid. However, the mutant reporter plasmid abolished miR-21 inhibitor-mediated increase in luciferase activity (Fig. 7B). These findings suggest that miR-21 suppresses PTEN by direct binding to the 3′-UTR of PTEN.
MiR-21 regulates expression of PTEN and its downstream targets
We assessed whether the downregulation of miR-21 affected PTEN protein expression in HCT116 cell lines. HCT116 cells were transiently transfected with miR-21 inhibitor, inhibitor negative control or blank control culture medium. The decrease in endogenous miR-21 levels with miR-21 inhibitor (Fig. 8B) significantly increased PTEN protein expression (Fig. 8C and A), but it almost caused no alternations in PTEN mRNA (Fig. 8D). These findings showed that miR-21 inhibits PTEN protein production, rather than degrading its mRNA. It further suggests that, in CRC, miR-21 regulates PTEN at the level of protein translation. This finding strongly suggests that PTEN is regulated by miR-21 in CRC at post-transcription level.
As AKT was an important downstream target of PTEN and expression of PTEN resulted in the reduced levels of phosphorylated AKT (p-AKT), and PTEN suppressed the expression of matrix metalloproteinase-2 (MMP-2) and MMP-9 through FAK dephosphorylation (22,31), the levels of p-AKT, PI3K, p-mTOR and MMP-9 were also examined at the same time. As shown in Fig. 8C, the expression of p-AKT, PI3K, p-mTOR and MMP-9 was concomitantly decreased by miR-21 inhibitor. In addition, siRNA to PTEN abrogated the reduction in p-Akt, PI3K, p-mTOR and MMP-9 by anti-miR-21 (Fig. 8C). In combination, these studies define an important role for PTEN as a mediator of the biological effects of miR-21 on cell proliferation and invasion in human CRC.
Discussion
Although miRNA signatures for CRC cancer have been established, the molecular mechanism of the mir-21-mediated tumorigenesis, development and metastases of CRC needs to be elucidated. In the present study, we identified miR-21 over-expression in adenomas and CRC. In vitro, miR-21 blockade with ASO inhibits growth and induces apoptosis in CRC cell lines, which is mediated by retrieving PTEN expression. In vivo, injection of miR-21 ASO into CRC xenografts implanted subcutaneously in nude mice suppressed tumor growth.
MiR-21 is one of the most prominent miRNAs implicated in human cancer. It has been proposed that miR-21 acts as a potential oncogene. MiR-21 is upregulated in various cancer types and has been associated with poor survival and poor therapeutic outcome (46–48). Its expression is obviously upregulated in diverse types of malignancies, including CRC. We found the expression levels of miR-21 were significantly higher in tumor tissues than the levels in adenomas and normal tissues (p=0.000).
Moreover, overexpression of miR-21 was closely correlated with advanced TNM clinical stage (p<0.05) and poor differentiation (p<0.05), and lymph node metastases (p<0.05) which are the main prognostic factors for CRC, implying miR-21 might be involved in the development and metastasis of cancer, and has a prognostic implication for CRC. This result is consistent with the previous findings (46–53). We further demonstrated that knockdown of miR-21 with ASO could significantly decrease cell proliferation, invasion and migration abilities in HCT116 cells. Higher expression levels of miR-21 in adenomas and carcinomas relative to normal surrounding colonic tissue suggest that this represents an early cellular event in the progression to cancer. These findings suggest that the aberrant expression of miR-21 maybe a marker for early diagnosis of CRC, directly affects invasive and metastatic potential of tumor cells and is implicated in the progression of CRC.
However, it was contradicted by another study (54), which discovered that the level of miR-21 was underexpressed in a subset of Cdc25A-overexpressing colon cancers. The reason may lie in the amount and quality of tissue samples in the latter study or the specific cell line and culture condition in the former study. Folini et al(55) also argued that the oncogenic properties of miR-21 could be cell and tissue dependent and that the potential role of a given miRNA as a therapeutic target should be contextualized with respect to the disease. Cheng et al(56) reported that inhibition of miR-21 significantly promotes proliferation in HeLa cervical carcinoma cells, which may suggest its role as a tumor suppressor. It has been considered that miR-21 may have completely different effects, depending on the cellular environment or context (26,57). It suggested that miRNAs could participate in many signal pathways that have been proven to be important in tumorigenesis, inflammation and cell growth, and miRNAs seem to be involved in a complicated network of epigenetics of cancer.
Various studies have reported that miR-21 plays an important role not only in tumor growth but also in the invasion and metastasis by targeting multiple tumor suppressor genes including PTEN, PDCD4, BCL-2, TPM1, and RECK (32–38). PTEN (phosphatase and tensin homolog deleted on chromosome 10) (58), also called MMAC1 (59) or TEP1 (60), is a tumor suppressor gene. It is localized to chromosome 10q23.2 and is often lost in late-stage human cancers, especially that of the prostate, brain and endometrium. PTEN negatively regulates intracellular levels of PI-(3,4,5)P3, most likely via direct dephosphorylation, suggesting that it exerts its role as a tumor suppressor by negatively regulating the PI-3 K/PKB/Akt signaling pathway (61). This pathway is known to play a key role in numerous cellular functions including proliferation, adhesion, angiogenesis, migration, invasion, metabolism, survival and chemoresistance (62). Our study shows that 46.67% of CRC samples were positive for PTEN expression and 53.33% were negative that is consistent with previous studies (63,64).
In the present study, PTEN expression showed a negative correlation with the expression of miR-21 in CRC tissues and cell lines. It was shown that the ability of HCT116 cell proliferation and migration was inhibited significantly after transfection with miR-21 inhibitor. Furthermore, we demonstrated that inhibition of miR-21 can significantly increase PTEN expression in HCT116 cell lines, suggesting CRC might enhance malignant biological behavior by inactivating PTEN genetically and upregulating miR-21. As shown in Fig. 7, luciferase activity of the wt, but not mutant, PTEN-3′-UTR reporter was significantly increased in HCT116 cells transfected with miR-21 inhibitor compared with negative control. Furthermore, miR-21 expression inversely correlated with PTEN protein levels, however, without obvious change in PTEN mRNA level and decreased phosphorylated AKT expression. Thus, it can be demonstrated that miR-21 negatively regulated the PTEN at the post-translational level, performing as oncogene in the CRC.
Asangani et al(33) reported that miR-21 may target PDCD4 directly in human CRC RKO cells and demonstrated that miR-21 induced invasion, intravasation and metastasis. Taken together, miR-21 may negatively regulate PDCD4 and PTEN, which in turn alter focal adhesion kinase phosphorylation and expression of several MMPs and thereby contribute to cancer cell migration and invasion.
Although PTEN as a target gene of miR-21 has been validated in HCC (22), breast cancer (65) and non-small cell lung cancer (31), and gastric cancer (32), Hatley et al(66) confirmed that PTEN was not regulated by miR-21 in non-small cell lung cancer and miR-21 high expression was not sufficient in the non-small cell lung cancer tumorigenesis model. These findings further demonstrate that miR-21, along with its known targets and a few associated genes, forms a complex regulatory network and mechanism that plays an important role in CRC formation and progression.
In conclusion, miR-21 is overexpressed in CRC, and aberrant expression of miR-21 can alter multiple biological processes of human CRC cells such as proliferation, apoptosis, migration, and invasion, probably through regulating PTEN and other critical target genes. Our data suggest that miR-21 can serve as a biomarker for CRC, and can possibly become a potential therapeutic target for CRC.
References
|
Jemal A, Bray F, Center MM, Ferlay J, Ward E and Forman D: Global cancer statistics. CA Cancer J Clin. 61:69–90. 2011. View Article : Google Scholar | |
|
Zhang YL, Zhang ZS, Wu BP and Zhou DY: Early diagnosis for colorectal cancer in China. World J Gastroenterol. 8:21–25. 2002. | |
|
Parkin DM, Bray F, Ferlay J and Pisani P: Global cancer statistics, 2002. CA Cancer J Clin. 55:74–108. 2005. View Article : Google Scholar | |
|
Fearon ER and Vogelstein B: A genetic model for colorectal tumorigenesis. Cell. 61:759–767. 1990. View Article : Google Scholar : PubMed/NCBI | |
|
Valencia-Sanchez MA, Liu J, Hannon GJ and Parker R: Control of translation and mRNA degradation by miRNAs and siRNAs. Genes Dev. 20:515–524. 2006. View Article : Google Scholar : PubMed/NCBI | |
|
Taylor DD and Gercel-Taylor C: MicroRNA signatures of tumor-derived exosomes as diagnostic biomarkers of ovarian cancer. Gynecol Oncol. 110:13–21. 2008. View Article : Google Scholar : PubMed/NCBI | |
|
Chim SS, Shing TK, Hung EC, et al: Detection and characterization of placental microRNAs in maternal plasma. Clin Chem. 54:482–490. 2008. View Article : Google Scholar : PubMed/NCBI | |
|
Mayr C, Hemann MT and Bartel DP: Disrupting the pairing between let-7 and Hmga2 enhances oncogenic transformation. Science. 315:1576–1579. 2007. View Article : Google Scholar : PubMed/NCBI | |
|
Giraldez AJ, Cinalli RM, Glasner ME, et al: MicroRNAs regulate brain morphogenesis in zebrafish. Science. 308:833–838. 2005. View Article : Google Scholar : PubMed/NCBI | |
|
Chen CZ, Li L, Lodish Hf and Bartel DP: MicroRNAs modulate hematopoietic lineage differentiation. Science. 303:83–86. 2004. View Article : Google Scholar : PubMed/NCBI | |
|
Hornstein E, Mansfield JH, Yekta S, et al: The microRNA miR-196 acts upstream of Hoxb8 and Shh in limb development. Nature. 438:671–674. 2005. View Article : Google Scholar : PubMed/NCBI | |
|
Marson A, Levine SS, Cole MF, et al: Connecting microRNA genes to the core transcriptional regulatory circuitry of embryonic stem cells. Cell. 134:521–533. 2008. View Article : Google Scholar : PubMed/NCBI | |
|
Kent OA and Mendell JT: A small piece in the cancer puzzle: microRNAs as tumor suppressors and oncogenes. Oncogene. 25:6188–6196. 2006. View Article : Google Scholar : PubMed/NCBI | |
|
Cho WC: MicroRNAs in cancer -from research to therapy. Biochim Biophys Acta. 1805:209–217. 2010.PubMed/NCBI | |
|
Cho WC: MicroRNAs: potential biomarkers for cancer diagnosis, prognosis and targets for therapy. Int J Biochem Cell Biol. 42:1273–8121. 2010. View Article : Google Scholar : PubMed/NCBI | |
|
Volinia S, Calin GA, Liu CG, et al: A microRNA expression signature of human solid tumors defines cancer gene targets. Proc Natl Acad Sci USA. 103:2257–2261. 2006. View Article : Google Scholar : PubMed/NCBI | |
|
Iorio MV, Ferracin M, Liu CG, et al: MicroRNA gene expression deregulation in human breast cancer. Cancer Res. 65:7065–7070. 2005. View Article : Google Scholar : PubMed/NCBI | |
|
Si ML, Zhu S, Wu H, Lu Z, Wu F and Mo YY: MiR-21-mediated tumor growth. Oncogene. 26:2799–2803. 2007. View Article : Google Scholar : PubMed/NCBI | |
|
Lee EJ, Gusev Y, Jiang J, Nuovo GJ, et al: Expression profiling identifies microRNA signature in pancreatic cancer. Int J Cancer. 120:1046–1054. 2007. View Article : Google Scholar : PubMed/NCBI | |
|
Roldo C, Missiaglia E, Hagan JP, et al: Micro-RNA expression abnormalities in pancreatic endocrine and acinar tumors are associated with distinctive pathologic features and clinical behavior. J Clin Oncol. 24:4677–4684. 2006. View Article : Google Scholar : PubMed/NCBI | |
|
Meng F, Henson R, Lang M, et al: Involvement of human micro-RNA in growth and response to chemotherapy in human cholangiocarcinoma cell lines. Gastroenterology. 130:2113–2129. 2006. View Article : Google Scholar : PubMed/NCBI | |
|
Meng F, Henson R, Wehbe-Janek H, Ghoshal K, Jacob ST and Patel T: MicroRNA-21 regulates expression of the PTEN tumor suppressor gene in human hepatocellular cancer. Gastroenterology. 133:647–658. 2007. View Article : Google Scholar : PubMed/NCBI | |
|
Hiyoshi Y, Kamohara H, Karashima R, et al: MicroRNA-21 regulates the proliferation and invasion in esophageal squamous cell carcinoma. Clin Cancer Res. 15:1915–1922. 2009. View Article : Google Scholar : PubMed/NCBI | |
|
Schetter AJ, Leung SY, Sohn JJ, et al: Micro-RNA expression profiles associated with prognosis and therapeutic outcome in colon adenocarcinoma. JAMA. 299:425–436. 2008. View Article : Google Scholar : PubMed/NCBI | |
|
Chan JA, Krichevsky AM and Kosik KS: MicroRNA-21 is an antiapoptotic factor in human glioblastoma cells. Cancer Res. 65:6029–6033. 2005. View Article : Google Scholar : PubMed/NCBI | |
|
Lui WO, Pourmand N, Patterson BK and Fire A: Patterns of known and novel small RNAs in human cervical cancer. Cancer Res. 67:6031–6043. 2007. View Article : Google Scholar : PubMed/NCBI | |
|
Iorio MV, Visone R, Di Leva G, et al: MicroRNA signatures in human ovarian cancer. Cancer Res. 67:8699–8707. 2007. View Article : Google Scholar : PubMed/NCBI | |
|
Fulci V, Chiaretti S, Goldoni M, et al: Quantitative technologies establish a novel microRNA profile of chronic lymphocytic leukemia. Blood. 109:4944–4951. 2007. View Article : Google Scholar : PubMed/NCBI | |
|
Löffler D, Brocke-Heidrich K, Pfeifer G, et al: Interleukin-6 dependent survival of multiple myeloma cells involves the Stat3-mediated induction of microRNA-21 through a highly conserved enhancer. Blood. 110:1330–1333. 2007.PubMed/NCBI | |
|
Ziyan W, Shuhua Y, Xiufang W and Xiaoyun L: MicroRNA-21 is involved in osteosarcoma cell invasion and migration. Med Oncol. 28:1469–1474. 2011. View Article : Google Scholar : PubMed/NCBI | |
|
Zhang JG, Wang JJ, Zhao F, Liu Q, Jiang K and Yang GH: MicroRNA-21 (miR-21) represses tumor suppressor PTEN and promotes growth and invasion in non-small cell lung cancer (NSCLC). Clin Chim Acta. 411:846–852. 2010. View Article : Google Scholar : PubMed/NCBI | |
|
Zhang BG, Li JF, Yu BQ, Zhu ZG, Liu BY and Yan M: MicroRNA-21 promotes tumor proliferation and invasion in gastric cancer by targeting PTEN. Oncol Rep. 278:1019–1026. 2012.PubMed/NCBI | |
|
Asangani IA, Rasheed SA, Nikolova DA, et al: MicroRNA-21 (miR-21) posttranscriptionally down-regulates tumor suppressor Pdcd4 and stimulates invasion, intravasation and metastasis in colorectal cancer. Oncogene. 27:2128–2136. 2008. View Article : Google Scholar : PubMed/NCBI | |
|
Nagao Y, Hisaoka M, Matsuyama A, et al: Association of microRNA-21 expression with its targets, PDCD4 and TIMP3, in pancreatic ductal adenocarcinoma. Mod Pathol. 25:112–121. 2012. View Article : Google Scholar : PubMed/NCBI | |
|
Gabriely G, Wurdinger T, Kesari S, et al: MicroRNA 21 promotes glioma invasion by targeting matrix metalloproteinase regulators. Mol Cell Biol. 28:5369–5380. 2008. View Article : Google Scholar : PubMed/NCBI | |
|
Zhang Z, Li Z, Gao C, et al: MiR-21 plays a pivotal role in gastric cancer pathogenesis and progression. Lab Invest. 88:1358–1366. 2008. View Article : Google Scholar : PubMed/NCBI | |
|
Zhu S, Wu H, Wu F, Nie D, Sheng S and Mo YY: MicroRNA-21 targets tumor suppressor genes in invasion and metastasis. Cell Res. 18:350–359. 2008. View Article : Google Scholar : PubMed/NCBI | |
|
Zhu S, Si ML, Wu H and Mo YY: MicroRNA-21 targets the tumor suppressor gene tropomyosin 1 (TPM1). J Biol Chem. 282:14328–14336. 2007. View Article : Google Scholar : PubMed/NCBI | |
|
Papagiannakopoulos T, Shapiro A and Kosik KS: MicroRNA-21 targets a network of key tumor-suppressive pathways in glioblastoma cells. Cancer Res. 68:8164–8172. 2008. View Article : Google Scholar : PubMed/NCBI | |
|
Thum T, Gross C, Fiedler J, et al: MicroRNA-21 contributes to myocardial disease by stimulating MAP kinase signaling in fibroblasts. Nature. 456:980–984. 2008. View Article : Google Scholar : PubMed/NCBI | |
|
Sayed D, Rane S, Lypowy J, et al: MicroRNA-21 targets Sprouty2 and promotes cellular outgrowths. Mol Biol Cell. 19:3272–3282. 2008. View Article : Google Scholar : PubMed/NCBI | |
|
Liu M, Tang Q, Qiu M, et al: MiR-21 targets the tumor suppressor RhoB and regulates proliferation, invasion and apoptosis in colorectal cancer cells. FEBS Lett. 585:2998–3005. 2011. View Article : Google Scholar : PubMed/NCBI | |
|
Song B, Wang C, Liu J, et al: MicroRNA-21 regulates breast cancer invasion partly by targeting tissue inhibitor of metalloproteinase 3 expression. J Exp Clin Cancer Res. 29:292010. View Article : Google Scholar : PubMed/NCBI | |
|
Selaru FM, Olaru AV, Kan T, et al: MicroRNA-21 is over-expressed in human cholangiocarcinoma and regulates programmed cell death 4 and tissue inhibitor of metalloproteinase 3. Hepatology. 49:1595–1601. 2009. View Article : Google Scholar : PubMed/NCBI | |
|
Chen C, Ridzon DA, Broomer AJ, et al: Real-time quantification of microRNAs by stem-loop RT-PCR. Nucleic Acids Res. 33:e1792005. View Article : Google Scholar : PubMed/NCBI | |
|
Slaby O, Svoboda M, Fabian P, et al: Altered expression of miR-21, miR-31, miR-143 and miR-145 is related to clinicopathologic features of colorectal cancer. Oncology. 72:397–402. 2007. View Article : Google Scholar : PubMed/NCBI | |
|
Kulda V, Pesta M, Topolcan O, et al: Relevance of miR-21 and miR-143 expression in tissue samples of colorectal carcinoma and its liver metastases. Cancer Genet Cytogenet. 200:154–160. 2010. View Article : Google Scholar : PubMed/NCBI | |
|
Fassan M, Pizzi M, Giacomelli L, et al: PDCD4 nuclear loss inversely correlates with miR-21 levels in colon carcinogenesis. Virchows Arch. 458:413–419. 2011. View Article : Google Scholar : PubMed/NCBI | |
|
Liu K, Li G, Fan C, Zhou X, Wu B and Li J: Increased expression of microRNA-21 and its association with chemotherapeutic response in human colorectal cancer. J Int Med Res. 39:2288–2295. 2011. View Article : Google Scholar : PubMed/NCBI | |
|
Drebber U, Lay M, Wedemeyer I, et al: Altered levels of the onco-microRNA 21 and the tumor-supressor microRNAs 143 and 145 in advanced rectal cancer indicate successful neoadjuvant chemoradiotherapy. Int J Oncol. 39:409–415. 2011. | |
|
Chang KH, Miller N, Kheirelseid EA, et al: MicroRNA-21 and PDCD4 expression in colorectal cancer. Eur J Surg Oncol. 37:597–603. 2011. View Article : Google Scholar : PubMed/NCBI | |
|
Shibuya H, Iinuma H, Shimada R, Horiuchi A and Watanabe T: Clinicopathological and prognostic value of microRNA-21 and microRNA-155 in colorectal cancer. Oncology. 79:313–320. 2010. View Article : Google Scholar : PubMed/NCBI | |
|
Yamamichi N, Shimomura R, Inada K, et al: Locked nucleic acid in situ hybridization analysis of miR-21 expression during colorectal cancer development. Clin Cancer Res. 15:4009–4016. 2009. View Article : Google Scholar : PubMed/NCBI | |
|
Wang P, Zou F, Zhang X, et al: MicroRNA-21 negatively regulates Cdc25A and cell cycle progression in colon cancer cells. Cancer Res. 69:8157–8165. 2009. View Article : Google Scholar : PubMed/NCBI | |
|
Folini M, Gandellini P, Longoni N, et al: miR-21: an oncomir on strike in prostate cancer. Mol Cancer. 9:122010. View Article : Google Scholar : PubMed/NCBI | |
|
Cheng AM, Byrom MW, Shelton J and Ford LP: Antisense inhibition of human miRNAs and indications for an involvement of miRNA in cell growth and apoptosis. Nucleic Acids Res. 33:1290–1297. 2005. View Article : Google Scholar : PubMed/NCBI | |
|
Jovanovic M and Hengartner MO: MiRNAs and apoptosis: RNAs to die for. Oncogene. 25:6176–6187. 2006. View Article : Google Scholar : PubMed/NCBI | |
|
Li L, Ernsting BR, Wishart MJ, Lohse Dl and Dixon JE: A family of putative tumor suppressors is structurally and functionally conservedin humans and yeast. J Biol Chem. 272:29403–29406. 1997. View Article : Google Scholar : PubMed/NCBI | |
|
Steck PA, Pershouse MA, Jasser SA, et al: Identification of a candidate tumour suppressor gene, MMAC1, at chromosome 10q23.3 that is mutated in multiple advanced cancers. Nat Genet. 15:356–362. 1997. View Article : Google Scholar : PubMed/NCBI | |
|
Li DM and Sun H: TEP1, encoded by a candidate tumor suppressor locus, is a novel protein tyrosine phosphatase regulated by transforming growth factor beta. Cancer Res. 57:2124–2129. 1997. | |
|
Leslie NR and Downes CP: PTEN: the down side of PI 3-kinase signalling. Cell Signal. 14:285–295. 2002. View Article : Google Scholar : PubMed/NCBI | |
|
Bader AG, Kang S, Zhao L and Vogt PK: Oncogenic PI3K deregulates transcription and translation. Nat Rev Cancer. 5:921–929. 2005. View Article : Google Scholar : PubMed/NCBI | |
|
Hsu CP, Kao TY, Chang WL, Nieh S, Wang HL and Chung YC: Clinical significance of tumor suppressor PTEN in colorectal carcinoma. Eur J Surg Oncol. 37:140–147. 2011. View Article : Google Scholar : PubMed/NCBI | |
|
Naguib A, Cooke JC, Happerfield L, et al: Alterations in PTEN and PIK3CA in colorectal cancers in the EPIC Norfolk study: associations with clinicopathological and dietary factors. BMC Cancer. 11:1232011. View Article : Google Scholar : PubMed/NCBI | |
|
Wang ZX, Lu BB, Wang H, Cheng ZX and Yin YM: MicroRNA-21 modulates chemosensitivity of breast cancer cells to doxorubicin by targeting PTEN. Arch Med Res. 42:281–290. 2011. View Article : Google Scholar : PubMed/NCBI | |
|
Hatley ME, Patrick DM, Garcia MR, et al: Modulation of K-Ras-dependent lung tumorigenesis by MicroRNA-21. Cancer Cell. 18:282–293. 2010. View Article : Google Scholar : PubMed/NCBI |











