Spandidos Publications Logo
  • About
    • About Spandidos
    • Aims and Scopes
    • Abstracting and Indexing
    • Editorial Policies
    • Reprints and Permissions
    • Job Opportunities
    • Terms and Conditions
    • Contact
  • Journals
    • All Journals
    • Oncology Letters
      • Oncology Letters
      • Information for Authors
      • Editorial Policies
      • Editorial Board
      • Aims and Scope
      • Abstracting and Indexing
      • Bibliographic Information
      • Archive
    • International Journal of Oncology
      • International Journal of Oncology
      • Information for Authors
      • Editorial Policies
      • Editorial Board
      • Aims and Scope
      • Abstracting and Indexing
      • Bibliographic Information
      • Archive
    • Molecular and Clinical Oncology
      • Molecular and Clinical Oncology
      • Information for Authors
      • Editorial Policies
      • Editorial Board
      • Aims and Scope
      • Abstracting and Indexing
      • Bibliographic Information
      • Archive
    • Experimental and Therapeutic Medicine
      • Experimental and Therapeutic Medicine
      • Information for Authors
      • Editorial Policies
      • Editorial Board
      • Aims and Scope
      • Abstracting and Indexing
      • Bibliographic Information
      • Archive
    • International Journal of Molecular Medicine
      • International Journal of Molecular Medicine
      • Information for Authors
      • Editorial Policies
      • Editorial Board
      • Aims and Scope
      • Abstracting and Indexing
      • Bibliographic Information
      • Archive
    • Biomedical Reports
      • Biomedical Reports
      • Information for Authors
      • Editorial Policies
      • Editorial Board
      • Aims and Scope
      • Abstracting and Indexing
      • Bibliographic Information
      • Archive
    • Oncology Reports
      • Oncology Reports
      • Information for Authors
      • Editorial Policies
      • Editorial Board
      • Aims and Scope
      • Abstracting and Indexing
      • Bibliographic Information
      • Archive
    • Molecular Medicine Reports
      • Molecular Medicine Reports
      • Information for Authors
      • Editorial Policies
      • Editorial Board
      • Aims and Scope
      • Abstracting and Indexing
      • Bibliographic Information
      • Archive
    • World Academy of Sciences Journal
      • World Academy of Sciences Journal
      • Information for Authors
      • Editorial Policies
      • Editorial Board
      • Aims and Scope
      • Abstracting and Indexing
      • Bibliographic Information
      • Archive
    • International Journal of Functional Nutrition
      • International Journal of Functional Nutrition
      • Information for Authors
      • Editorial Policies
      • Editorial Board
      • Aims and Scope
      • Abstracting and Indexing
      • Bibliographic Information
      • Archive
    • International Journal of Epigenetics
      • International Journal of Epigenetics
      • Information for Authors
      • Editorial Policies
      • Editorial Board
      • Aims and Scope
      • Abstracting and Indexing
      • Bibliographic Information
      • Archive
    • Medicine International
      • Medicine International
      • Information for Authors
      • Editorial Policies
      • Editorial Board
      • Aims and Scope
      • Abstracting and Indexing
      • Bibliographic Information
      • Archive
  • Articles
  • Information
    • Information for Authors
    • Information for Reviewers
    • Information for Librarians
    • Information for Advertisers
    • Conferences
  • Language Editing
Spandidos Publications Logo
  • About
    • About Spandidos
    • Aims and Scopes
    • Abstracting and Indexing
    • Editorial Policies
    • Reprints and Permissions
    • Job Opportunities
    • Terms and Conditions
    • Contact
  • Journals
    • All Journals
    • Biomedical Reports
      • Information for Authors
      • Editorial Policies
      • Editorial Board
      • Aims and Scope
      • Abstracting and Indexing
      • Bibliographic Information
      • Archive
    • Experimental and Therapeutic Medicine
      • Information for Authors
      • Editorial Policies
      • Editorial Board
      • Aims and Scope
      • Abstracting and Indexing
      • Bibliographic Information
      • Archive
    • International Journal of Epigenetics
      • Information for Authors
      • Editorial Policies
      • Editorial Board
      • Aims and Scope
      • Abstracting and Indexing
      • Bibliographic Information
      • Archive
    • International Journal of Functional Nutrition
      • Information for Authors
      • Editorial Policies
      • Editorial Board
      • Aims and Scope
      • Abstracting and Indexing
      • Bibliographic Information
      • Archive
    • International Journal of Molecular Medicine
      • Information for Authors
      • Editorial Policies
      • Editorial Board
      • Aims and Scope
      • Abstracting and Indexing
      • Bibliographic Information
      • Archive
    • International Journal of Oncology
      • Information for Authors
      • Editorial Policies
      • Editorial Board
      • Aims and Scope
      • Abstracting and Indexing
      • Bibliographic Information
      • Archive
    • Medicine International
      • Information for Authors
      • Editorial Policies
      • Editorial Board
      • Aims and Scope
      • Abstracting and Indexing
      • Bibliographic Information
      • Archive
    • Molecular and Clinical Oncology
      • Information for Authors
      • Editorial Policies
      • Editorial Board
      • Aims and Scope
      • Abstracting and Indexing
      • Bibliographic Information
      • Archive
    • Molecular Medicine Reports
      • Information for Authors
      • Editorial Policies
      • Editorial Board
      • Aims and Scope
      • Abstracting and Indexing
      • Bibliographic Information
      • Archive
    • Oncology Letters
      • Information for Authors
      • Editorial Policies
      • Editorial Board
      • Aims and Scope
      • Abstracting and Indexing
      • Bibliographic Information
      • Archive
    • Oncology Reports
      • Information for Authors
      • Editorial Policies
      • Editorial Board
      • Aims and Scope
      • Abstracting and Indexing
      • Bibliographic Information
      • Archive
    • World Academy of Sciences Journal
      • Information for Authors
      • Editorial Policies
      • Editorial Board
      • Aims and Scope
      • Abstracting and Indexing
      • Bibliographic Information
      • Archive
  • Articles
  • Information
    • For Authors
    • For Reviewers
    • For Librarians
    • For Advertisers
    • Conferences
  • Language Editing
Login Register Submit
  • This site uses cookies
  • You can change your cookie settings at any time by following the instructions in our Cookie Policy. To find out more, you may read our Privacy Policy.

    I agree
Search articles by DOI, keyword, author or affiliation
Search
Advanced Search
presentation
Molecular and Clinical Oncology
Join Editorial Board Propose a Special Issue
Print ISSN: 2049-9450 Online ISSN: 2049-9469
Journal Cover
November-2022 Volume 17 Issue 5

Full Size Image

Sign up for eToc alerts
Recommend to Library

Journals

International Journal of Molecular Medicine

International Journal of Molecular Medicine

International Journal of Molecular Medicine is an international journal devoted to molecular mechanisms of human disease.

International Journal of Oncology

International Journal of Oncology

International Journal of Oncology is an international journal devoted to oncology research and cancer treatment.

Molecular Medicine Reports

Molecular Medicine Reports

Covers molecular medicine topics such as pharmacology, pathology, genetics, neuroscience, infectious diseases, molecular cardiology, and molecular surgery.

Oncology Reports

Oncology Reports

Oncology Reports is an international journal devoted to fundamental and applied research in Oncology.

Experimental and Therapeutic Medicine

Experimental and Therapeutic Medicine

Experimental and Therapeutic Medicine is an international journal devoted to laboratory and clinical medicine.

Oncology Letters

Oncology Letters

Oncology Letters is an international journal devoted to Experimental and Clinical Oncology.

Biomedical Reports

Biomedical Reports

Explores a wide range of biological and medical fields, including pharmacology, genetics, microbiology, neuroscience, and molecular cardiology.

Molecular and Clinical Oncology

Molecular and Clinical Oncology

International journal addressing all aspects of oncology research, from tumorigenesis and oncogenes to chemotherapy and metastasis.

World Academy of Sciences Journal

World Academy of Sciences Journal

Multidisciplinary open-access journal spanning biochemistry, genetics, neuroscience, environmental health, and synthetic biology.

International Journal of Functional Nutrition

International Journal of Functional Nutrition

Open-access journal combining biochemistry, pharmacology, immunology, and genetics to advance health through functional nutrition.

International Journal of Epigenetics

International Journal of Epigenetics

Publishes open-access research on using epigenetics to advance understanding and treatment of human disease.

Medicine International

Medicine International

An International Open Access Journal Devoted to General Medicine.

Journal Cover
November-2022 Volume 17 Issue 5

Full Size Image

Sign up for eToc alerts
Recommend to Library

  • Article
  • Citations
    • Cite This Article
    • Download Citation
    • Create Citation Alert
    • Remove Citation Alert
    • Cited By
  • Similar Articles
    • Related Articles (in Spandidos Publications)
    • Similar Articles (Google Scholar)
    • Similar Articles (PubMed)
  • Download PDF
  • Download XML
  • View XML
Case Report Open Access

Pulmonary leiomyoma with iceberg tumor growth pattern: A case report

  • Authors:
    • Yuka Ueki
    • Ryusuke Sumiya
    • Hideki Miyazaki
    • Takeshi Ikeda
    • Satoshi Nagasaka
  • View Affiliations / Copyright

    Affiliations: Department of General Thoracic Surgery, National Center for Global Health and Medicine, Tokyo 162‑8655, Japan, Pathology Division of Clinical Laboratory, National Center for Global Health and Medicine, Tokyo 162‑8655, Japan
    Copyright: © Ueki et al. This is an open access article distributed under the terms of Creative Commons Attribution License.
  • Article Number: 150
    |
    Published online on: September 5, 2022
       https://doi.org/10.3892/mco.2022.2583
  • Expand metrics +
Metrics: Total Views: 0 (Spandidos Publications: | PMC Statistics: )
Metrics: Total PDF Downloads: 0 (Spandidos Publications: | PMC Statistics: )
Cited By (CrossRef): 0 citations Loading Articles...

This article is mentioned in:



Abstract

Pulmonary leiomyoma is a rare disease, accounting for ~2% of cases of benign lung tumors. Pulmonary leiomyomas can be classified as tracheobronchial or pulmonary parenchymal, or as having an iceberg growth pattern, wherein the tumor extends into both the bronchial and pulmonary cavities. In the present report, a 41‑year‑old man complaining of sputum and discomfort during swallowing was referred to the National Center for Global Health and Medicine, because of an abnormal shadow on chest radiography and computed tomography (CT). Since the follow‑up CT showed that the tumor in the third right lung segment had increased and progressed along the intra‑bronchus over time, thoracoscopic right upper lobectomy was performed and leiomyoma was pathologically diagnosed. After resection, the symptoms of airway irritation improved. Since respiratory symptoms and radiographical findings are nonspecific with tracheobronchial and pulmonary parenchymal types of pulmonary leiomyoma, the identification of symptoms and determination of the extent of the lesion are necessary for treatment. In cases of iceberg growth pattern, in which the tumor extends into both the bronchial and pulmonary cavities, surgical resection should be considered.

Introduction

Pulmonary leiomyoma is a rare benign tumor that may be classified into the tracheobronchial type which arises from the smooth muscle of the tracheobronchial wall and pulmonary parenchymal type which is considered to arise from the smooth muscle of the bronchial or small vessel wall, and the iceberg growth pattern, in which the tumor extends into both the bronchial and pulmonary cavities (1). Only four cases of iceberg growth patterns have been reported thus far and none of the cases captured the increase with time (1-3). Since most cases of tracheobronchial type is symptomatic with airway irritation, and the iceberg growth pattern tumor also extends into the bronchial cavity, resection is indicated. Furthermore, each type has many differential diagnoses such as benign disease, infections, and malignant diseases based on nonspecific radiographical findings, including CT, it is necessary to show the pathological findings for diagnosis of leiomyoma. Therefore, pulmonary leiomyoma requires endoscopic or surgical resection.

In particular, ice growth pattern tumor should resect surgically because it is located in the bronchial cavity as well as in the lung (4). We present a rare case of pulmonary leiomyoma with an iceberg tumor growth pattern expanding over time, which was resected by thoracoscopic surgery.

Case report

A 41-year-old man was referred to the National Center for Global Health and Medicine (Tokyo, Japan) in April 2020 for further examination because of an abnormal shadow on chest radiography and computed tomography (CT) images. He was a current smoker, and complained of sputum and discomfort during swallowing. His past medical history included prostatitis and hemorrhoid.

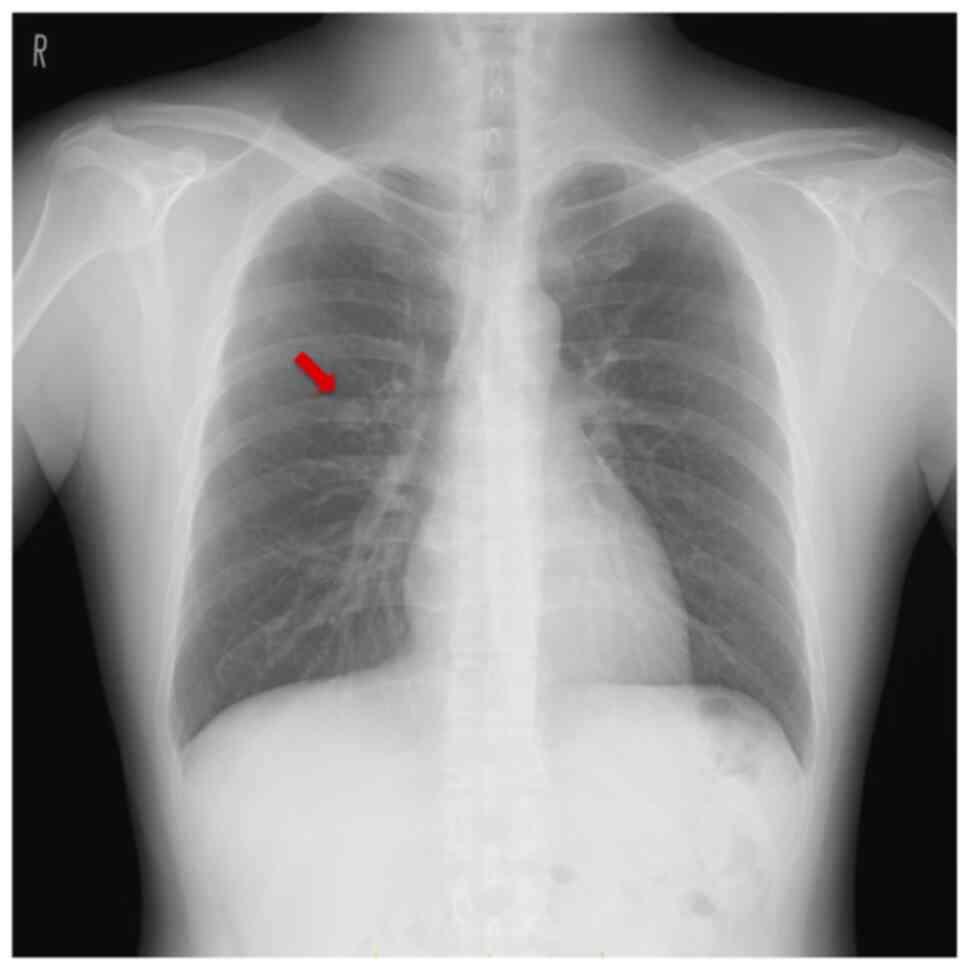
The chest radiograph revealed a smooth-surfaced nodule in the right middle lung field (Fig. 1), and CT revealed a 10-mm smooth-surfaced nodule on the right lung segment 3, which was protruding to B3b with a length of 4.6 mm. After 3 and 6 months, follow-up CTs revealed that the tumor had enlarged to 15 mm, was crawling along the intra-bronchus, and had eventually reached the bifurcation between B3a and B3b (Figs. 2A and B, and 3A and B). Neither enlarged lymph nodes nor metastases were detected on CT. Laboratory examinations revealed no renal (Cre 0.81 mg/dl) or hepatic dysfunction (AST 27 U/l, ALT 29 U/l) and tumor marker levels within the normal ranges, including the carcinoembryonic antigen (1.5 ng/ml), carbohydrate antigen 19-9 (8.0 U/ml), and squamous cell carcinoma antigen (0.8 ng/ml). Only mildly elevated levels of total cholesterol (221 mg/dl) and mild prolongation of prothrombin activation (125%) were observed. Although an intrapulmonary or bronchogenic benign tumor was suspected (e.g., pulmonary sclerosing hemangioma, hamartoma, leiomyoma, and lipoma), malignant diseases such as pulmonary carcinoid tumors could not be completely excluded because of the tumor enlargement. Therefore, we performed a robotic portal right upper lobectomy for tumor resection and diagnosis.

Figure 1

Representative images of the chest radiograph. A smooth surfaced nodule at the right middle lung field (red arrow).

Figure 2

Representative images from the CT scan. (A) A 15-mm tumor on the right lung segment 3 (red arrow). (B) Tumor crawling along intra bronchus, and reaching bifurcation between B3a and B3b (red arrow).

Figure 3

Representative images from the three-dimensional CT scan. (A) A smooth surfaced nodule on the right lung segment 3 and the nodule sticking out to B3b. (B) The tumor on the right lung segment crawling along intra bronchus, and reaching bifurcation between B3a and B3b.

Intraoperatively, loose adhesions were observed throughout the entire thoracic cavity, with no disseminated disease. Adhesiotomy and right upper lobectomy was performed, and teared-polypoid lesion in the right upper bronchus was detected on bronchoscopy during the manipulation around the upper bronchus. Although en bloc resection would have been an ideal approach, the tumor was found to be fragmented and compressed in the airway during tracheal processing; hence, it was removed intraoperatively by bronchoscopy. The operative time was 5 h 7 min, and blood loss volume was 15 ml.

Pathological examination revealed that the white, smooth and lobular well-defined intrapulmonary tumor had a pedicle and was facing the bronchus (Fig. 4A-C). Both the intrapulmonary tumor and bronchial polypoid lesion had spindle-shaped stromal cell proliferation. Immunohistochemically, both showed diffuse cytoplasmic reactivity for desmin and smooth muscle actin (Fig. 4D and E), while testing negative for CD34, myogenin, and S100, indicating mesenchymal differentiation. Ki67-positive cells accounted for approximately 5% of the cells in a hot-spot. From the histopathological and immunohistochemical findings, the intrapulmonary tumor and the bronchial polypoid lesion had continuity; thus, the patient was diagnosed with pulmonary leiomyoma. He underwent pleurodesis because of prolonged air leakage, and he was discharged from the hospital on postoperative day 11. He had an uneventful course after hospital discharge without recurrence for three months.

Figure 4

Representative images from the pathological findings. (A) A tumor (12 mm) was observed in the right lung segment 3. (B) The tumor had a pedicle and was facing the bronchus (hematoxylin and eosin; magnification, x12.5). (C) Proliferation of spindle smooth muscle cells (hematoxylin and eosin; magnification, x200). Immunohistochemically, both cells were positive for smooth muscle actin at the (D) tumor (immunostaining for smooth muscle actin; magnification, x200) and (E) bronchial polypoid lesion (immunostaining for smooth muscle actin; magnification, x200).

Discussion

Pulmonary leiomyoma is a rare disease, accounts for approximately 2% of benign lung tumors (5). It can be classified by the localization of the tumor because of its different clinical features (1). The major type of leiomyoma arises from the smooth muscle of the tracheobronchial wall and is classified as the tracheobronchial type. Conversely, the pulmonary parenchymal type is considered to arise from the smooth muscle of the bronchial or small vessel wall (1). A rare population with only four reported cases, including two in the Japanese literature (Table I), have exhibited tumor extension into both bronchial and pulmonary cavities, and is called the ‘iceberg tumor growth pattern’ (1-3). Herein, we present an extremely rare case of leiomyoma with an iceberg tumor growth pattern. To the best of our knowledge, this is the first case of a leiomyoma with an iceberg growth pattern of the tumor with a process of tumor growth.

Table I

Reported cases of pulmonary leiomyoma with iceberg tumor growth pattern.

Table I

Reported cases of pulmonary leiomyoma with iceberg tumor growth pattern.

First author, yearAge, yearsSexLocationPreoperative diagnosisSize, mmOperationOutcomeFollow-up duration, months(Refs.)
White et al, 198521MLeft main bronchusPulmonary leiomyoma recurrence22x11Segmentally resected distal trachea and main bronchus (sleeve resection)NANA(5)
White et al, 198555FMain bronchus, right lungNA40x25Tracheal segmental resectionNANA(5)
Kim et al, 200734MRight lung segment 4Spindle-celled tumor by transbronchial biopsy27x19Thoracoscopic right middle lobectomyNo recurrence20(3)
Mizuno et al, 201439MRight middle lobe entrance area (B4)Pulmonary leiomyoma by transbronchial biopsy15x10Thoracoscopic right middle lobectomyNo recurrence7(2)
Present case41MRight lung segment 3-12Robotic-assisted right upper lobectomyNo recurrence3-

[i] F, female; M, male; NA, not available.

Clinically, although patients with pulmonary parenchymal leiomyomas are typically asymptomatic, patients with the tracheobronchial type may experience airway irritation symptoms such as cough, sputum, blood sputum, dyspnea, fever, chest pain, and wheezing. Moreover, tumor extension into the bronchial cavity may cause partial or complete airway obstruction, which may eventually result in bronchiectasis and recurrent lung infection (6,7). Therefore, endoscopic or surgical resection is indicated for the tracheobronchial type. Although an endoscopic resection should be attempted for pedunculated central airway lesions, an incomplete resection or tracheobronchial type lesions in the peripheral airway requires surgical resection (1-3,8). Since the iceberg growth pattern tumor extends into the bronchial cavity, resection is required. Moreover, this tumor should resect surgically because it is located in the bronchial cavity as well as in the lung (4). Past reports have described sectional resection, lobectomy, and pneumonectomy as well as bronchotomy and tracheoplasty to preserve respiratory function. In our case, the tumor showed an iceberg growth pattern in b3 and caused airway irritation symptoms, which improved soon after right middle lobectomy.

Radiologically, the leiomyoma is located intra- or extratracheally on chest radiographs. On CT, the leiomyoma presents as a smooth-surfaced solitary nodule with homogeneous or heterogeneous enhancement (9). Differential diagnoses for the tracheobronchial type are benign disease (e.g., granulomatous disease, sarcoidosis, amyloidosis, fibroepithelial polyp, and broncholith), infections (e.g., fungal, endobronchial tuberculosis, and hydatid disease), and malignant diseases such as lung cancer and bronchial carcinoid (10). Differential diagnoses of the pulmonary parenchymal type are benign tumors (e.g., hamartoma, pulmonary sclerosing hemangioma, leiomyoma, fibroid tumor, and lipoma), malignant diseases (e.g., lung cancer, metastatic lung tumor, and pulmonary carcinoid), infection (tuberculosis, non-tuberculosis mycobacterial infection, bacterial abscess, and aspergilloma), and pulmonary arteriovenous malformation (11). Because radiographical findings, including CT, are nonspecific with the tracheobronchial and pulmonary parenchymal types, pathological examination via bronchoscopy and surgical resection is necessary to diagnose pulmonary leiomyoma. Regarding the diagnosis of the iceberg growth pattern tumor, malignant diseases such as pulmonary carcinoid and mucocutaneous carcinoma should be considered (2). Our patient had a smooth-surfaced nodule in the right middle lung field on chest radiography, and CT revealed that the tumor had enlarged and crawled to the central bronchus over time. Consequently, we performed a right upper lobectomy for tumor resection and diagnosis.

Macroscopically, the tumor was white, smooth, oval, or lobular. Histologically, spindle-shaped cells were arranged in an intricate bundle-like arrangement without cytological atypia or mitosis. Sometimes, fibrous stromal proliferation or calcification was present, but no necrosis or hemorrhage was observed (12). Furthermore, we confirmed that no mitotic activity, cytological atypia, or necrosis were present.

Immunohistochemically, smooth muscle markers, such as actin and desmin, are diffusely positive in leiomyomas. Moreover, Ki-67, a marker for proliferative cells, is negative in leiomyomas (12). If nuclear palisading is detected histologically, as seen in schwannoma, immunostaining of s-100, Leu-7, actin, and desmin are valuable for the definitive diagnosis (13). In our case, the histopathological and immunohistochemical findings confirmed that the intrapulmonary tumor and bronchial polypoid lesion were the same leiomyomas, which indicated a tumor with an iceberg growth pattern.

We present a case of symptomatic iceberg growth pattern leiomyoma with a growing trend, which was removed by right upper lobectomy. After resection, the symptoms of airway irritation improved. Iceberg growth pattern leiomyoma extends into both the bronchial and pulmonary cavities; thus, surgical resection should be considered.

Acknowledgements

Not applicable.

Funding

Funding: No funding was received.

Availability of data and materials

The datasets used and/or analyzed during the current study are available from the corresponding author on reasonable request.

Authors' contributions

YU, RS, TI and SN conceived and designed the current study, acquired the data and analyzed the data. YU and RS confirm the authenticity of all the raw data. HM carried out the microscopy and contributed to the interpretation of the results. YU and RS drafted the manuscript and revised it critically. TI and SN supervised the conduct of this report. All authors read and approved the final manuscript.

Ethics approval and consent to participate

As this is a case report, approval from the institutional review board was not required.

Patient consent for publication

Written informed consent was obtained from the patient for publication of this report and any accompanying images.

Competing interests

The authors declare that they have no competing interests.

References

1 

Minegishi K, Tsubochi H, Negishi H, Endo T, Otani S, Sohara Y and Endo S: A case of bronchial leiomyoma presenting with an iceberg tumor growth pattern. J Jpn Soc Respir Endoscopy. 39:308–311. 2017.(In Japanese).

2 

Mizuno Y, Mitta S, Yamamoto H, Shirahashi K, Iwata H and Takemura H: A case of thoracoscopic right middle lobectomy for bronchial leiomyoma presenting iceberg tumor growth pattern. Jpn J Chest Surg. 28:933–936. 2014.(In Japanese).

3 

Kim YK, Kim H, Lee KS, Han J, Yi CA, Kim J and Chung MJ: Airway leiomyoma: Imaging findings and histopathologic comparisons in 13 patients. AJR Am J Roentgenol. 189:393–399. 2007.PubMed/NCBI View Article : Google Scholar

4 

Oka S, Yamada S, Uramoto H, Mitsuhiro M and Hanagiri T: Surgical resection of tracheal carinal leiomyoma: Report of a case. Jpn J Chest Surg. 25:392–396. 2011.

5 

White SH, Ibrahim NB, Forrester-Wood CP and Jeyasingham K: Leiomyomas of the lower respiratory tract. Thorax. 40:306–311. 1985.PubMed/NCBI View Article : Google Scholar

6 

Ayabe H, Tsuji H, Tagawa Y, Tomita M, Tsuda N and Chen J: Endobronchial leyomyoma: Report of a case treated by broncoplasty and a review of the literature. Surg Today. 25:1057–1060. 1995.PubMed/NCBI View Article : Google Scholar

7 

Stevic R and Milenkovic B: Tracheobronchial tumors. J Thorac Dis. 8:3401–3413. 2016.PubMed/NCBI View Article : Google Scholar

8 

Park JS, Lee M, Kim HK, Choi YS, Kim K, Kim J, Kim H and Shim YM: Primary leiomyoma of the trachea, bronchus, and pulmonary parenchyma-a single-institutional experience. Eur J Cardiothorac Surg. 41:41–45. 2012.PubMed/NCBI View Article : Google Scholar

9 

Nam SW, Jeong YJ, Lee G, Lee JW, Eom JS, Lee CH and Park SM: A rare case of tracheal leiomyoma: Role of digital tomosynthesis in diagnosis and treatment. J Korean Soc Radiol. 81:225–230. 2020.

10 

Cárdenas-García J, Lee-Chang A, Chung V, Shim C, Factor S and Tibb A: Bronchial leiomyoma, a case report and review of literature. Respir Med Case Rep. 12:59–62. 2014.PubMed/NCBI View Article : Google Scholar

11 

Gould MK, Fletcher J, Iannettoni MD, Lynch WR, Midthun DE, Naidich DP and Ost DE: American College of Chest Physicians. Evaluation of patients with pulmonary nodules: When is it lung cancer?: ACCP evidence-based clinical practice guidelines (2nd edition). Chest. 132 (Suppl 3):108S–130S. 2007.PubMed/NCBI View Article : Google Scholar

12 

Chiba N, Chang SS, Saito M, Ueda Y, Ishikawa S and Nakagawa T: A case of endobronchial leiomyoma suspected of being a malignant tumor. Jpn J Chest Surg. 29:141–145. 2015.(In Japanese).

13 

Wilson RW and Kirejczyk W: Pathological and radiological correlation of endobronchial neoplasms: Part I, Benign tumors. Ann Diagn Pathol. 1:31–46. 1997.PubMed/NCBI View Article : Google Scholar

Related Articles

  • Abstract
  • View
  • Download
  • Twitter
Copy and paste a formatted citation
Spandidos Publications style
Ueki Y, Sumiya R, Miyazaki H, Ikeda T and Nagasaka S: Pulmonary leiomyoma with iceberg tumor growth pattern: A case report. Mol Clin Oncol 17: 150, 2022.
APA
Ueki, Y., Sumiya, R., Miyazaki, H., Ikeda, T., & Nagasaka, S. (2022). Pulmonary leiomyoma with iceberg tumor growth pattern: A case report. Molecular and Clinical Oncology, 17, 150. https://doi.org/10.3892/mco.2022.2583
MLA
Ueki, Y., Sumiya, R., Miyazaki, H., Ikeda, T., Nagasaka, S."Pulmonary leiomyoma with iceberg tumor growth pattern: A case report". Molecular and Clinical Oncology 17.5 (2022): 150.
Chicago
Ueki, Y., Sumiya, R., Miyazaki, H., Ikeda, T., Nagasaka, S."Pulmonary leiomyoma with iceberg tumor growth pattern: A case report". Molecular and Clinical Oncology 17, no. 5 (2022): 150. https://doi.org/10.3892/mco.2022.2583
Copy and paste a formatted citation
x
Spandidos Publications style
Ueki Y, Sumiya R, Miyazaki H, Ikeda T and Nagasaka S: Pulmonary leiomyoma with iceberg tumor growth pattern: A case report. Mol Clin Oncol 17: 150, 2022.
APA
Ueki, Y., Sumiya, R., Miyazaki, H., Ikeda, T., & Nagasaka, S. (2022). Pulmonary leiomyoma with iceberg tumor growth pattern: A case report. Molecular and Clinical Oncology, 17, 150. https://doi.org/10.3892/mco.2022.2583
MLA
Ueki, Y., Sumiya, R., Miyazaki, H., Ikeda, T., Nagasaka, S."Pulmonary leiomyoma with iceberg tumor growth pattern: A case report". Molecular and Clinical Oncology 17.5 (2022): 150.
Chicago
Ueki, Y., Sumiya, R., Miyazaki, H., Ikeda, T., Nagasaka, S."Pulmonary leiomyoma with iceberg tumor growth pattern: A case report". Molecular and Clinical Oncology 17, no. 5 (2022): 150. https://doi.org/10.3892/mco.2022.2583
Follow us
  • Twitter
  • LinkedIn
  • Facebook
About
  • Spandidos Publications
  • Careers
  • Cookie Policy
  • Privacy Policy
How can we help?
  • Help
  • Live Chat
  • Contact
  • Email to our Support Team