Spandidos Publications Logo
  • About
    • About Spandidos
    • Aims and Scopes
    • Abstracting and Indexing
    • Editorial Policies
    • Reprints and Permissions
    • Job Opportunities
    • Terms and Conditions
    • Contact
  • Journals
    • All Journals
    • Oncology Letters
      • Oncology Letters
      • Information for Authors
      • Editorial Policies
      • Editorial Board
      • Aims and Scope
      • Abstracting and Indexing
      • Bibliographic Information
      • Archive
    • International Journal of Oncology
      • International Journal of Oncology
      • Information for Authors
      • Editorial Policies
      • Editorial Board
      • Aims and Scope
      • Abstracting and Indexing
      • Bibliographic Information
      • Archive
    • Molecular and Clinical Oncology
      • Molecular and Clinical Oncology
      • Information for Authors
      • Editorial Policies
      • Editorial Board
      • Aims and Scope
      • Abstracting and Indexing
      • Bibliographic Information
      • Archive
    • Experimental and Therapeutic Medicine
      • Experimental and Therapeutic Medicine
      • Information for Authors
      • Editorial Policies
      • Editorial Board
      • Aims and Scope
      • Abstracting and Indexing
      • Bibliographic Information
      • Archive
    • International Journal of Molecular Medicine
      • International Journal of Molecular Medicine
      • Information for Authors
      • Editorial Policies
      • Editorial Board
      • Aims and Scope
      • Abstracting and Indexing
      • Bibliographic Information
      • Archive
    • Biomedical Reports
      • Biomedical Reports
      • Information for Authors
      • Editorial Policies
      • Editorial Board
      • Aims and Scope
      • Abstracting and Indexing
      • Bibliographic Information
      • Archive
    • Oncology Reports
      • Oncology Reports
      • Information for Authors
      • Editorial Policies
      • Editorial Board
      • Aims and Scope
      • Abstracting and Indexing
      • Bibliographic Information
      • Archive
    • Molecular Medicine Reports
      • Molecular Medicine Reports
      • Information for Authors
      • Editorial Policies
      • Editorial Board
      • Aims and Scope
      • Abstracting and Indexing
      • Bibliographic Information
      • Archive
    • World Academy of Sciences Journal
      • World Academy of Sciences Journal
      • Information for Authors
      • Editorial Policies
      • Editorial Board
      • Aims and Scope
      • Abstracting and Indexing
      • Bibliographic Information
      • Archive
    • International Journal of Functional Nutrition
      • International Journal of Functional Nutrition
      • Information for Authors
      • Editorial Policies
      • Editorial Board
      • Aims and Scope
      • Abstracting and Indexing
      • Bibliographic Information
      • Archive
    • International Journal of Epigenetics
      • International Journal of Epigenetics
      • Information for Authors
      • Editorial Policies
      • Editorial Board
      • Aims and Scope
      • Abstracting and Indexing
      • Bibliographic Information
      • Archive
    • Medicine International
      • Medicine International
      • Information for Authors
      • Editorial Policies
      • Editorial Board
      • Aims and Scope
      • Abstracting and Indexing
      • Bibliographic Information
      • Archive
  • Articles
  • Information
    • Information for Authors
    • Information for Reviewers
    • Information for Librarians
    • Information for Advertisers
    • Conferences
  • Language Editing
Spandidos Publications Logo
  • About
    • About Spandidos
    • Aims and Scopes
    • Abstracting and Indexing
    • Editorial Policies
    • Reprints and Permissions
    • Job Opportunities
    • Terms and Conditions
    • Contact
  • Journals
    • All Journals
    • Biomedical Reports
      • Information for Authors
      • Editorial Policies
      • Editorial Board
      • Aims and Scope
      • Abstracting and Indexing
      • Bibliographic Information
      • Archive
    • Experimental and Therapeutic Medicine
      • Information for Authors
      • Editorial Policies
      • Editorial Board
      • Aims and Scope
      • Abstracting and Indexing
      • Bibliographic Information
      • Archive
    • International Journal of Epigenetics
      • Information for Authors
      • Editorial Policies
      • Editorial Board
      • Aims and Scope
      • Abstracting and Indexing
      • Bibliographic Information
      • Archive
    • International Journal of Functional Nutrition
      • Information for Authors
      • Editorial Policies
      • Editorial Board
      • Aims and Scope
      • Abstracting and Indexing
      • Bibliographic Information
      • Archive
    • International Journal of Molecular Medicine
      • Information for Authors
      • Editorial Policies
      • Editorial Board
      • Aims and Scope
      • Abstracting and Indexing
      • Bibliographic Information
      • Archive
    • International Journal of Oncology
      • Information for Authors
      • Editorial Policies
      • Editorial Board
      • Aims and Scope
      • Abstracting and Indexing
      • Bibliographic Information
      • Archive
    • Medicine International
      • Information for Authors
      • Editorial Policies
      • Editorial Board
      • Aims and Scope
      • Abstracting and Indexing
      • Bibliographic Information
      • Archive
    • Molecular and Clinical Oncology
      • Information for Authors
      • Editorial Policies
      • Editorial Board
      • Aims and Scope
      • Abstracting and Indexing
      • Bibliographic Information
      • Archive
    • Molecular Medicine Reports
      • Information for Authors
      • Editorial Policies
      • Editorial Board
      • Aims and Scope
      • Abstracting and Indexing
      • Bibliographic Information
      • Archive
    • Oncology Letters
      • Information for Authors
      • Editorial Policies
      • Editorial Board
      • Aims and Scope
      • Abstracting and Indexing
      • Bibliographic Information
      • Archive
    • Oncology Reports
      • Information for Authors
      • Editorial Policies
      • Editorial Board
      • Aims and Scope
      • Abstracting and Indexing
      • Bibliographic Information
      • Archive
    • World Academy of Sciences Journal
      • Information for Authors
      • Editorial Policies
      • Editorial Board
      • Aims and Scope
      • Abstracting and Indexing
      • Bibliographic Information
      • Archive
  • Articles
  • Information
    • For Authors
    • For Reviewers
    • For Librarians
    • For Advertisers
    • Conferences
  • Language Editing
Login Register Submit
  • This site uses cookies
  • You can change your cookie settings at any time by following the instructions in our Cookie Policy. To find out more, you may read our Privacy Policy.

    I agree
Search articles by DOI, keyword, author or affiliation
Search
Advanced Search
presentation
Molecular and Clinical Oncology
Join Editorial Board Propose a Special Issue
Print ISSN: 2049-9450 Online ISSN: 2049-9469
Journal Cover
April-2023 Volume 18 Issue 4

Full Size Image

Sign up for eToc alerts
Recommend to Library

Journals

International Journal of Molecular Medicine

International Journal of Molecular Medicine

International Journal of Molecular Medicine is an international journal devoted to molecular mechanisms of human disease.

International Journal of Oncology

International Journal of Oncology

International Journal of Oncology is an international journal devoted to oncology research and cancer treatment.

Molecular Medicine Reports

Molecular Medicine Reports

Covers molecular medicine topics such as pharmacology, pathology, genetics, neuroscience, infectious diseases, molecular cardiology, and molecular surgery.

Oncology Reports

Oncology Reports

Oncology Reports is an international journal devoted to fundamental and applied research in Oncology.

Experimental and Therapeutic Medicine

Experimental and Therapeutic Medicine

Experimental and Therapeutic Medicine is an international journal devoted to laboratory and clinical medicine.

Oncology Letters

Oncology Letters

Oncology Letters is an international journal devoted to Experimental and Clinical Oncology.

Biomedical Reports

Biomedical Reports

Explores a wide range of biological and medical fields, including pharmacology, genetics, microbiology, neuroscience, and molecular cardiology.

Molecular and Clinical Oncology

Molecular and Clinical Oncology

International journal addressing all aspects of oncology research, from tumorigenesis and oncogenes to chemotherapy and metastasis.

World Academy of Sciences Journal

World Academy of Sciences Journal

Multidisciplinary open-access journal spanning biochemistry, genetics, neuroscience, environmental health, and synthetic biology.

International Journal of Functional Nutrition

International Journal of Functional Nutrition

Open-access journal combining biochemistry, pharmacology, immunology, and genetics to advance health through functional nutrition.

International Journal of Epigenetics

International Journal of Epigenetics

Publishes open-access research on using epigenetics to advance understanding and treatment of human disease.

Medicine International

Medicine International

An International Open Access Journal Devoted to General Medicine.

Journal Cover
April-2023 Volume 18 Issue 4

Full Size Image

Sign up for eToc alerts
Recommend to Library

  • Article
  • Citations
    • Cite This Article
    • Download Citation
    • Create Citation Alert
    • Remove Citation Alert
    • Cited By
  • Similar Articles
    • Related Articles (in Spandidos Publications)
    • Similar Articles (Google Scholar)
    • Similar Articles (PubMed)
  • Download PDF
  • Download XML
  • View XML
Case Report Open Access

Chromophobe renal cell carcinoma with ipsilateral ureteral urothelial carcinoma: A case report

  • Authors:
    • Peirui Wang
    • Ling Wang
    • Jiang Du
    • Guobiao Liang
  • View Affiliations / Copyright

    Affiliations: Department of Urology, Affiliated Hospital of Zunyi Medical University, Zunyi, Guizhou 563003, P.R. China, Department of Pathology, Affiliated Hospital of Zunyi Medical University, Zunyi, Guizhou 563003, P.R. China, Department of Urology, Affiliated Hospital of Zunyi Medical University, Zunyi, Guizhou 563003, P.R. China
    Copyright: © Wang et al. This is an open access article distributed under the terms of Creative Commons Attribution License.
  • Article Number: 30
    |
    Published online on: February 21, 2023
       https://doi.org/10.3892/mco.2023.2626
  • Expand metrics +
Metrics: Total Views: 0 (Spandidos Publications: | PMC Statistics: )
Metrics: Total PDF Downloads: 0 (Spandidos Publications: | PMC Statistics: )
Cited By (CrossRef): 0 citations Loading Articles...

This article is mentioned in:



Abstract

It is very rare for different types of urological tumours to occur together, and it is even rarer for chromophobe renal cell carcinoma (CRCC) to be combined with ipsilateral ureteral urothelial carcinoma (UUC), and the symptoms are relatively homogeneous, mostly presenting as symptoms that can be observed in malignant tumours alone, and therefore are often easily missed. In the present study, a case of a patient who was admitted to the hospital for more than 3 months with no obvious cause of terminal carnivorous hematuria was reported, and ureteral carcinoma was considered in the preoperative diagnosis but not renal carcinoma. After completion of preoperative tests, laparoscopic right nephrectomy and right ureterectomy was performed. The postoperative pathological diagnosis was CRCC of the right side and low‑grade UUC of the right side, and the patient did not show any significant abnormality at the postoperative follow‑up. By discussing this case and reviewing the relevant literature, the present study provides clinicians with more insight.

Introduction

Chromophobe renal cell carcinoma (CRCC) originates from the distal convoluted tubule and collecting tubule and is a distinct subtype of RCC (1), accounting for ~5-10% of RCC (2) and is the third most common type of renal cancer (3). Upper tract urothelial carcinoma (UTUC) is a relatively rare type of uroepithelial malignancy, including renal pelvic carcinoma and ureteral carcinoma, and the incidence of UTUC has been reported to account for 5-10% of all uroepithelial carcinomas in Europe and the United States (4). Multiple primary cancers of the urinary tract are very rare (5), and it has been recently reported that renal cancer accounts for 2% of all multiple primary cancers in the first and 2.4% in the second (6). The combination of ureteral urothelial carcinoma (UUC) with CRCC is extremely rare and has hardly been reported. The treatment of multiple primary cancers of the urinary tract remains controversial, but surgery remains the best option. In the present study, a case of CRCC combined with ipsilateral UUC and full-length resection of the affected kidney and ureter was presented. It is combined with the relevant literature to provide relevant reference material for this type of disease.

Case report

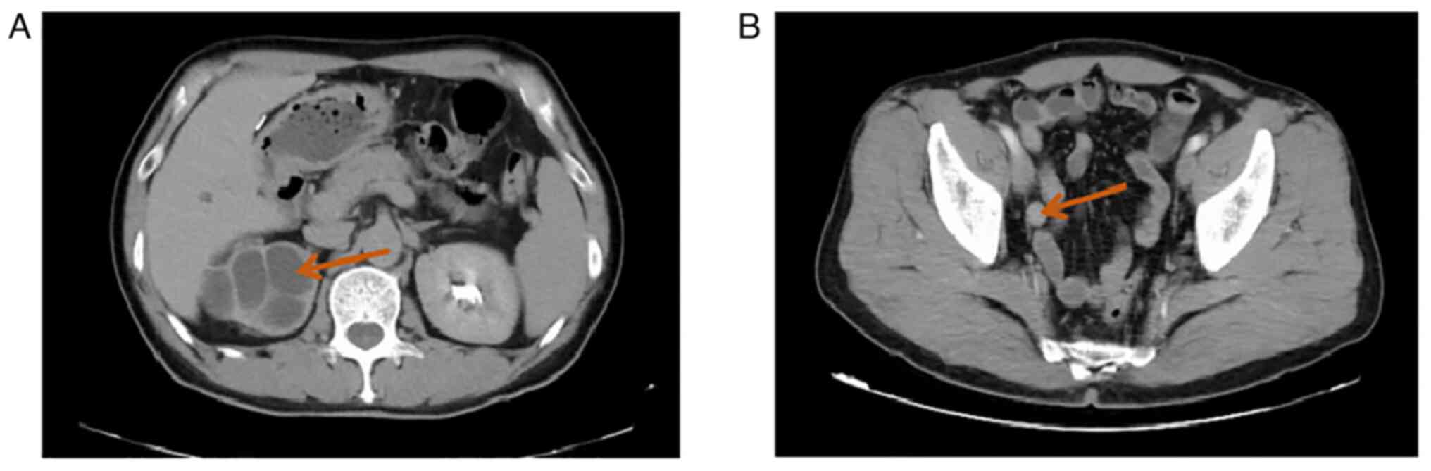
A 59-year-old male patient was admitted to the Department of Urology of the Affiliated Hospital of Zunyi Medical University (Guizhou, China) in November 2021 with no apparent cause of terminal carnal hematuria for >3 months. The patient had no urinary frequency, urgency, or painful urination and no significant lumbar pain. He had undergone laparoscopic cholecystectomy 20 years ago and denied family history of hereditary disease. Renal function tests showed blood creatinine 101 µmol/l, uric acid 402 µmol/l, GFR: right kidney, non-functional; and left kidney 62.03 ml/min. Computed tomography (CT) suggested fluid in the right kidney and upper right ureter, multiple cysts in the right kidney with partial marginal calcification (Fig. 1A), dilatation and fluid in the middle and lower right ureter, slight thickening of part of the ureteral wall, and occupying lesions observed in the ureter (Fig. 1B). Cystoscopy suggested that a persistent hematuric ejection was observed at the opening of the right ureter. The initial diagnosis was: i) Right ureteral space-occupying lesion: tumour; ii) right hydronephrosis with no function and iii) right renal cyst. Preoperatively, the possibility of renal malignancy was not considered. After perfect preoperative preparation, laparoscopic right nephrectomy and right ureteral resection was performed under general anesthesia, and the resected tissue was sent for pathological examination.

Figure 1

Computed tomography of the whole abdomen. (A) Hydronephrosis of the right kidney with multiple cysts in the right kidney and partial marginal calcification. (B) Occupational lesion in the right lower and middle ureter.

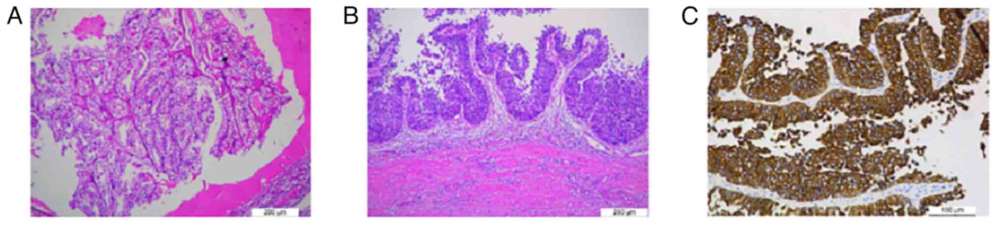
Pathological findings in general: Right post-renal and ureterectomy specimen with a dilated, cystic nephrectomy with smooth walls and a greyish-yellow, multi-housed mass at the upper pole of the kidney, ~3.5x3x2.5 cm in size, with poorly defined corticomedullary demarcation. A cauliflower-like neoplasm measuring ~5x0.8x0.7 cm was identified 1.8 cm from the ureteral section, occupying the entire ureteral lumen (Fig. 2). Microscopic examination: i) Low grade RCC of the right kidney. The tumour cells were tightly arranged, with abundant cytoplasm, pale and transparent, slightly reticulated, with clear envelope, moderate or mildly eccentric nuclei, inconspicuous heterogeneity and rare nuclear division (H&E staining at room temperature, light microscope, slicing thickness of 5 µm). The nuclei were moderately or mildly eccentric, with no obvious heterogeneity. Immunohistochemistry suggested cancerous tissue: Positive for PAX-8, CA9, creatinine kinase (CK) 7, weakly positive for P504s, partially positive for CD10 and TFE3, negative for RCC and CD117. Combined with the morphological and immunohistochemical findings, CRCC was considered with WHO/ISUP classification of grade 2 (Fig. 3A). 2. Low grade UUC of the right side. The uroepithelium of the bladder was seen to be papillary with increased cellular hierarchy and loss of polar disorder, with large deep stained nuclei and visible nuclear division (H&E staining at room temperature, light microscope, slicing thickness of 5 µm). There was local superficial infiltration and the cancer did not invade the muscular layer of the ureteral wall. No cancerous tissue was involved in the ureteral section and immunohistochemistry (CK staining at 37˚C for 30 min, light microscope, slicing thickness of 5 µm) showed positive CK of cancerous tissue (Fig. 3B and C).

Figure 2

Removal of kidney and ureter.

Figure 3

Pathological examination. (A) Excised kidney (H&E; magnification, x100). (B) Removed ureter (H&E; magnification, x100). (C) Ureteral tumour cells positive for creatinine kinase.

After surgery, the patient was treated with anti-infection, hemostasis, fluid replacement and maintenance of water-electrolyte balance. The abdominal drainage tube was open and well positioned, with light red drainage, and was removed in the afternoon of the third postoperative day; the catheter drained light yellow urine daily; bladder irrigation chemotherapy was administered on the fourth postoperative day. The patient was discharged one week after the operation and was instructed to have bladder irrigation once a week for eight consecutive times and then changed to once a month for ten consecutive times. The patient was asked to repeat cystoscopy and CT of the whole abdomen every three months, and the results of the follow-up examinations showed no recurrence and the patient had no particular discomfort.

Discussion

RCC accounts for 3% of adult tumours (7) and UTUC accounts for 5-10% of all urothelial carcinomas. However, it is very rare for different types of urological tumours to occur together. Graves and Templeton (8) reported the first case of renal cancer combined with UTUC in 1921. The majority of subsequent studies could be found to be kidney cancer combined with bladder or pelvis cancer, with the lowest proportion of kidney cancer combined with ureteral cancer (9). Oka et al (10) counted 1,352 cases of genitourinary tumours and only one case was RCC combined with urothelial metastatic cell carcinoma. There are few studies of CRCC combined with UUC and a small number of studies related to multiple primary cancers of the urinary tract, whether renal carcinoma combined with UUC or renal carcinoma combined with metastatic ureteral cancer, the type of renal carcinoma was almost always clear cell RCC, the reason for which is not clear. In terms of the location of tumour presentation, those located on the same side are slightly more frequently reported than those on different sides, but remain rare.

Most of the symptoms of different pathological types of kidney cancer combined with UCC are similar, with hematuria and back pain as the main symptoms (11). However, the duration of the patients' history and the maximum diameter of the tumors were found to be slightly different in the available studies. Patients with papillary RCC combined with UCC had a shorter history of ~1 month, with the average maximum diameter of the kidney tumor being ~2 cm and the average maximum diameter of the ureteral tumor being ~2 cm. Patients with clear cell RCC combined with UUC had the second longest history, ~2 months, with an average maximum diameter of ~3 cm for renal tumours and 4 cm for ureteral tumours; patients with CRCC combined with UCC had a longer history, >3 months on average, with an average maximum diameter of ~4 cm for renal tumours and 5 cm for ureteral tumours (Table I) (12-16). Although the early symptoms of simple kidney cancer are not obvious, and even ~50% of the patients have no discomfort (17). When the typical triad of kidney cancer is present, most patients are already in the advanced stage and have a poor prognosis. The most common symptom of ureteral cancer is carnal hematuria, and patients often complain of hematuria. When repeated carnal hematuria, unilateral lumbar pain and upper urinary tract fluid accumulation are present, and after examination to exclude the possibility of urinary stones, the possibility of ureteral occupational lesions needs to be considered (18).

Table I

Different pathological types of renal cell carcinoma combined with UUC.

Table I

Different pathological types of renal cell carcinoma combined with UUC.

 Duration of medical historyAverage maximum diameter of renal tumoursAverage maximum diameter of ureteral tumours
Papillary renal cell carcinoma combined with UCCShorter (~1 month)~2 cm~2 cm
Clear cell renal cell carcinoma combined with UUCMedium (~2 months)~3 cm~4 cm
CRCC combined with UCCLonger (>3 months)~4 cm~5 cm

[i] UUC, ureteral urothelial carcinoma; CRCC, chromophobe renal cell carcinoma.

At this point, the likelihood of an occupying lesion in the ipsilateral kidney is extremely low, and most clinicians interrupt their diagnostic thinking at this point, which can easily lead to a missed or misdiagnosed occupying lesion in the ipsilateral kidney. Therefore, although the chance of different types of urological tumours occurring at the same time is very low, the possibility of the same or different types of tumours in other parts of the urinary tract should still be noted when a patient is examined and a detailed preoperative examination and clinical analysis is essential.

Ureteral carcinoma has been widely reported and may be primary to the uroepithelium or may result from metastatic clear cell RCC, thus identification of the source of ureteral carcinoma is also critical. CK7 and CK20 negative in metastatic clear cell urothelial carcinoma, are often positive for RCC antigen, Vimentin and PAX-8, as opposed to pathological findings in primary uroepithelial carcinoma (19). In this case, the immunohistochemical staining was positive for CK and negative for the rest, suggesting that the patient had ureteral carcinoma of primary uroepithelial origin. The etiology of co-occurrence of renal and ureteral carcinoma is unclear.

For the treatment of renal cancer combined with ureteral cancer, total nephro-ureterectomy remains the best treatment option at present, but in a separate discussion of surgical options for renal cancer, partial nephrectomy has become the preferred approach for patients with stage T1(20). The 2020 European Society of Urology guidelines recommend that for single, <1 cm diameter, urological enhanced CT urography on which there is no surgery with preservation of the renal unit can be considered for low-grade upper urinary tract uroepithelial carcinoma with infiltrative manifestations, which allows for maximum tumour control while avoiding the side effects associated with radical resection. For certain special ureteral cancer patients, such as those with low malignancy and who must undergo surgery to preserve the renal unit, complete tumour resection with end-to-end ureteral anastomosis, ileal substitution ureterotomy or autologous kidney transplantation can be the main treatment (21-23). By contrast, when renal cancer is combined with ipsilateral ureteral cancer, total ureterectomy remains recommended.

The prognosis of patients with multiple primary urological malignancies has been reported (24) as not being worse than that of patients with multiple primary malignancies, while Dutta et al (25) suggested that the prognosis of patients with multiple primary malignancies is mainly influenced by the more malignant tumour. It has also been revealed that their prognosis, although improved than that of metastatic tumours, remains poor overall (9). As there are few studies in the literature, low sample sizes and no systematic statistical analysis, it is not sufficient to draw definitive prognostic conclusions. However, early diagnosis and treatment will result in more treatment options and less trauma, and will certainly help the prognosis of patients.

In conclusion, although CRCC with ipsilateral UUC is extremely rare but not difficult to diagnose pathologically, it remains challenging to diagnose and treat early as well as to maximize the protection of renal function and improve the quality of life of patients, and more cases still need to be accumulated to understand their prognosis.

Acknowledgements

Not applicable.

Funding

Funding: The present study was supported by the special fund for the cultivation of outstanding young scientific and technological talents in Guizhou [grant no. Qian Ke He Ren Zi (2015) 31], the 2018 Master's Start-up Fund of the Affiliated Hospital of Zunyi Medical University [grant no. Yuanzi (2018)31] and the Joint Fund of Zunyi Science and Technology Bureau [grant no. Zunyi Kehe HZ Zi (2020) 209].

Availability of data and materials

The datasets used and/or analyzed during the current study are available from the corresponding author on reasonable request.

Authors' contributions

PW and JD were responsible for clinical patient management. PW was responsible for data collection and article writing and literature review. LW provided pathology information. GL was responsible for article review and revision GL and JD acted as project leaders for the aforementioned grants and financial support provided. All authors confirm the authenticity of the raw data in the article. All authors read and approved the final manuscript.

Ethics approval and consent to participate

Not applicable.

Patient consent for publication

Written informed consent for the publication of the patient's clinical information and images was obtained from the patient.

Competing interests

The authors declare that they have no competing interests.

References

1 

Casuscelli J, Weinhold N, Gundem G, Wang L, Zabor EC, Drill E, Wang PI, Nanjangud GJ, Redzematovic A, Nargund AM, et al: Genomic landscape and evolution of metastatic chromophobe renal cell carcinoma. JCI Insight. 2(e92688)2017.PubMed/NCBI View Article : Google Scholar

2 

Ohashi R, Martignoni G, Hartmann A, Caliò A, Segala D, Stöhr C, Wach S, Erlmeier F, Weichert W, Autenrieth M, et al: Multi-institutional re-evaluation of prognostic factors in chromophobe renal cell carcinoma: Proposal of a novel two-tiered grading scheme. Virchows Arch. 476:409–418. 2020.PubMed/NCBI View Article : Google Scholar

3 

Weng WH, Chen YT, Yu KJ, Chang YH, Chuang CK and Pang ST: Genetic alterations of HER genes in chromophobe renal cell carcinoma. Oncol Lett. 11:2111–2116. 2016.PubMed/NCBI View Article : Google Scholar

4 

Siegel RL, Miller KD and Jemal A: Cancer statistics, 2019. CA Cancer J Clin. 69:7–34. 2019.PubMed/NCBI View Article : Google Scholar

5 

Qi N, Chen Y, Gong K and Li H: Concurrent renal cell carcinoma and urothelial carcinoma: Long-term follow-up study of 27 cases. World J Surg Oncol. 16(16)2018.PubMed/NCBI View Article : Google Scholar

6 

Feller A, Matthes KL, Bordoni A, Bouchardy C, Bulliard JL, Herrmann C, Konzelmann I, Maspoli M, Mousavi M, Rohrmann S, et al: The relative risk of second primary cancers in Switzerland: A population-based retrospective cohort study. BMC Cancer. 20(51)2020.PubMed/NCBI View Article : Google Scholar

7 

Bohosova J, Kubickova A and Slaby O: lncRNA PVT1 in the pathogenesis and clinical management of renal cell carcinoma. Biomolecules. 11(664)2021.PubMed/NCBI View Article : Google Scholar

8 

Graves RC and Templeton ER: Combined tumors of the kidney. J Urol. 5:517–537. 1921.

9 

Beisland C, Talleraas O, Bakke A and Norstein J: Multiple primary malignancies in patients with renal cell carcinoma: A national population-based cohort study. BJU Int. 97:698–702. 2006.PubMed/NCBI View Article : Google Scholar

10 

Oka H, Kobayashi S, Kobayashi T, Shugino Y, Matsui Y, Fujikawa K, Iwamura H, Hukuzawa S, Soeda A and Takeuchi H: Multiple primary cancers limited to the urological field. Hinyokika Kiyo. 47:405–409. 2001.PubMed/NCBI(In Japanese).

11 

Arora HC, Fascelli M, Zhang JH, Isharwal S and Campbell SC: Kidney, ureteral, and bladder cancer: A primer for the internist. Med Clin North Am. 102:231–249. 2018.PubMed/NCBI View Article : Google Scholar

12 

Mucciardi G, Galì A, D'Amico C, Muscarà G, Barresi V and Magno C: Transitional cell carcinoma of the renal pelvis with synchronous ipsilateral papillary renal cell carcinoma: Case report and review. Urol Case Rep. 16:93–95. 2015.PubMed/NCBI View Article : Google Scholar

13 

Yun JK, Kim SH, Kim WB, Kim HK and Lee SW: Simultaneous robot-assisted approach in a super-elderly patient with urothelial carcinoma and synchronous contralateral renal cell carcinoma: A case report. World J Clin Cases. 10:7153–7162. 2022.PubMed/NCBI View Article : Google Scholar

14 

Wu K, Liu X, Wang Y, Wang X and Li X: Clinicopathological characteristics and outcomes of synchronous renal cell carcinoma and urothelial carcinoma: A population-based analysis. Front Public Health. 10(994351)2022.PubMed/NCBI View Article : Google Scholar

15 

Symeonidis A, Tsikopoulos I, Symeonidis EN, Tsifountoudis I, Michailidis A, Tsantila I, Gkekas C, Georgiadis C, Malioris A and Papathanasiou M: More than meets the eye: A case of synchronous ipsilateral clear cell renal cell carcinoma and urothelial carcinoma of the pelvicalyceal system and literature review. Acta Biomed. 92(e2021380)2022.PubMed/NCBI View Article : Google Scholar

16 

Chhajed A, Baraniya J, Chhajed S, Choudhary A and Jain N: Pathologically diagnosed incidentaloma transition cell carcinoma (TCC) of renal pelvis in a laproscopic radical nephrectomy specimen done for a lower pole renal mass. Urol Case Rep. 37(101607)2021.PubMed/NCBI View Article : Google Scholar

17 

Yang H, Li W, Lv Y, Fan Q, Mao X, Long T, Xie L, Dong C, Yang R and Zhang H: Exploring the mechanism of clear cell renal cell carcinoma metastasis and key genes based on multi-tool joint analysis. Gene. 720(144103)2019.PubMed/NCBI View Article : Google Scholar

18 

Hung SY, Yang WC, Luo HL, Hsu CC, Chen YT and Chuang YC: Segmental ureterectomy does not compromise the oncologic outcome compared with nephroureterectomy for pure ureter cancer. Int Urol Nephrol. 46:921–926. 2014.PubMed/NCBI View Article : Google Scholar

19 

Venyo AKG: Clear cell adenocarcinoma of the urethra: Review of the literature. Int J Surg Oncol. 2015(790235)2015.PubMed/NCBI View Article : Google Scholar

20 

Rassweiler JJ, Klein J, Tschada A and Gözen AS: Laparoscopic retroperitoneal partial nephrectomy using an ergonomic chair: Demonstration of technique and matched-pair analysis. BJU Int. 119:349–357. 2017.PubMed/NCBI View Article : Google Scholar

21 

Rouprêt M, Babjuk M, Burger M, Capoun O, Cohen D, Compérat EM, Cowan NC, Dominguez-Escrig JL, Gontero P, Hugh Mostafid A, et al: European association of urology guidelines on upper urinary tract urothelial carcinoma: 2020 Update. Eur Urol. 79:62–79. 2021.PubMed/NCBI View Article : Google Scholar

22 

Lee KH, Lai WH, Chiu AW, Lu CC and Huang SK: Robot-assisted retroperitoneoscopic surgery for synchronous contralateral ureteral metastasis of renal-cell carcinoma. J Endourol Case Rep. 1:65–67. 2015.PubMed/NCBI View Article : Google Scholar

23 

Ou YC, Hu CY, Cheng HL and Yang WH: Long-term outcomes of total ureterectomy with ileal-ureteral substitution treatment for ureteral cancer: A single-center experience. BMC Urol. 18(73)2018.PubMed/NCBI View Article : Google Scholar

24 

Fernández Arjona M, Santos Arrontes D, De Castro Barbosa F, Begara Morillas F, Cortes Aranguez I and González L: Synchronous renal clear-cell carcinoma and ipsilateral transitional-cell carcinoma: Case report and bibliographic review. Arch Esp Urol. 58:460–463. 2005.PubMed/NCBI View Article : Google Scholar : (In Spanish).

25 

Dutta G, Silver D, Oliff A and Harrison A: Synchronous renal malignancy presenting as recurrent urinary tract infections. Case Rep Urol. 2011(832673)2011.PubMed/NCBI View Article : Google Scholar

Related Articles

  • Abstract
  • View
  • Download
  • Twitter
Copy and paste a formatted citation
Spandidos Publications style
Wang P, Wang L, Du J and Liang G: Chromophobe renal cell carcinoma with ipsilateral ureteral urothelial carcinoma: A case report. Mol Clin Oncol 18: 30, 2023.
APA
Wang, P., Wang, L., Du, J., & Liang, G. (2023). Chromophobe renal cell carcinoma with ipsilateral ureteral urothelial carcinoma: A case report. Molecular and Clinical Oncology, 18, 30. https://doi.org/10.3892/mco.2023.2626
MLA
Wang, P., Wang, L., Du, J., Liang, G."Chromophobe renal cell carcinoma with ipsilateral ureteral urothelial carcinoma: A case report". Molecular and Clinical Oncology 18.4 (2023): 30.
Chicago
Wang, P., Wang, L., Du, J., Liang, G."Chromophobe renal cell carcinoma with ipsilateral ureteral urothelial carcinoma: A case report". Molecular and Clinical Oncology 18, no. 4 (2023): 30. https://doi.org/10.3892/mco.2023.2626
Copy and paste a formatted citation
x
Spandidos Publications style
Wang P, Wang L, Du J and Liang G: Chromophobe renal cell carcinoma with ipsilateral ureteral urothelial carcinoma: A case report. Mol Clin Oncol 18: 30, 2023.
APA
Wang, P., Wang, L., Du, J., & Liang, G. (2023). Chromophobe renal cell carcinoma with ipsilateral ureteral urothelial carcinoma: A case report. Molecular and Clinical Oncology, 18, 30. https://doi.org/10.3892/mco.2023.2626
MLA
Wang, P., Wang, L., Du, J., Liang, G."Chromophobe renal cell carcinoma with ipsilateral ureteral urothelial carcinoma: A case report". Molecular and Clinical Oncology 18.4 (2023): 30.
Chicago
Wang, P., Wang, L., Du, J., Liang, G."Chromophobe renal cell carcinoma with ipsilateral ureteral urothelial carcinoma: A case report". Molecular and Clinical Oncology 18, no. 4 (2023): 30. https://doi.org/10.3892/mco.2023.2626
Follow us
  • Twitter
  • LinkedIn
  • Facebook
About
  • Spandidos Publications
  • Careers
  • Cookie Policy
  • Privacy Policy
How can we help?
  • Help
  • Live Chat
  • Contact
  • Email to our Support Team