Spandidos Publications Logo
  • About
    • About Spandidos
    • Aims and Scopes
    • Abstracting and Indexing
    • Editorial Policies
    • Reprints and Permissions
    • Job Opportunities
    • Terms and Conditions
    • Contact
  • Journals
    • All Journals
    • Oncology Letters
      • Oncology Letters
      • Information for Authors
      • Editorial Policies
      • Editorial Board
      • Aims and Scope
      • Abstracting and Indexing
      • Bibliographic Information
      • Archive
    • International Journal of Oncology
      • International Journal of Oncology
      • Information for Authors
      • Editorial Policies
      • Editorial Board
      • Aims and Scope
      • Abstracting and Indexing
      • Bibliographic Information
      • Archive
    • Molecular and Clinical Oncology
      • Molecular and Clinical Oncology
      • Information for Authors
      • Editorial Policies
      • Editorial Board
      • Aims and Scope
      • Abstracting and Indexing
      • Bibliographic Information
      • Archive
    • Experimental and Therapeutic Medicine
      • Experimental and Therapeutic Medicine
      • Information for Authors
      • Editorial Policies
      • Editorial Board
      • Aims and Scope
      • Abstracting and Indexing
      • Bibliographic Information
      • Archive
    • International Journal of Molecular Medicine
      • International Journal of Molecular Medicine
      • Information for Authors
      • Editorial Policies
      • Editorial Board
      • Aims and Scope
      • Abstracting and Indexing
      • Bibliographic Information
      • Archive
    • Biomedical Reports
      • Biomedical Reports
      • Information for Authors
      • Editorial Policies
      • Editorial Board
      • Aims and Scope
      • Abstracting and Indexing
      • Bibliographic Information
      • Archive
    • Oncology Reports
      • Oncology Reports
      • Information for Authors
      • Editorial Policies
      • Editorial Board
      • Aims and Scope
      • Abstracting and Indexing
      • Bibliographic Information
      • Archive
    • Molecular Medicine Reports
      • Molecular Medicine Reports
      • Information for Authors
      • Editorial Policies
      • Editorial Board
      • Aims and Scope
      • Abstracting and Indexing
      • Bibliographic Information
      • Archive
    • World Academy of Sciences Journal
      • World Academy of Sciences Journal
      • Information for Authors
      • Editorial Policies
      • Editorial Board
      • Aims and Scope
      • Abstracting and Indexing
      • Bibliographic Information
      • Archive
    • International Journal of Functional Nutrition
      • International Journal of Functional Nutrition
      • Information for Authors
      • Editorial Policies
      • Editorial Board
      • Aims and Scope
      • Abstracting and Indexing
      • Bibliographic Information
      • Archive
    • International Journal of Epigenetics
      • International Journal of Epigenetics
      • Information for Authors
      • Editorial Policies
      • Editorial Board
      • Aims and Scope
      • Abstracting and Indexing
      • Bibliographic Information
      • Archive
    • Medicine International
      • Medicine International
      • Information for Authors
      • Editorial Policies
      • Editorial Board
      • Aims and Scope
      • Abstracting and Indexing
      • Bibliographic Information
      • Archive
  • Articles
  • Information
    • Information for Authors
    • Information for Reviewers
    • Information for Librarians
    • Information for Advertisers
    • Conferences
  • Language Editing
Spandidos Publications Logo
  • About
    • About Spandidos
    • Aims and Scopes
    • Abstracting and Indexing
    • Editorial Policies
    • Reprints and Permissions
    • Job Opportunities
    • Terms and Conditions
    • Contact
  • Journals
    • All Journals
    • Biomedical Reports
      • Information for Authors
      • Editorial Policies
      • Editorial Board
      • Aims and Scope
      • Abstracting and Indexing
      • Bibliographic Information
      • Archive
    • Experimental and Therapeutic Medicine
      • Information for Authors
      • Editorial Policies
      • Editorial Board
      • Aims and Scope
      • Abstracting and Indexing
      • Bibliographic Information
      • Archive
    • International Journal of Epigenetics
      • Information for Authors
      • Editorial Policies
      • Editorial Board
      • Aims and Scope
      • Abstracting and Indexing
      • Bibliographic Information
      • Archive
    • International Journal of Functional Nutrition
      • Information for Authors
      • Editorial Policies
      • Editorial Board
      • Aims and Scope
      • Abstracting and Indexing
      • Bibliographic Information
      • Archive
    • International Journal of Molecular Medicine
      • Information for Authors
      • Editorial Policies
      • Editorial Board
      • Aims and Scope
      • Abstracting and Indexing
      • Bibliographic Information
      • Archive
    • International Journal of Oncology
      • Information for Authors
      • Editorial Policies
      • Editorial Board
      • Aims and Scope
      • Abstracting and Indexing
      • Bibliographic Information
      • Archive
    • Medicine International
      • Information for Authors
      • Editorial Policies
      • Editorial Board
      • Aims and Scope
      • Abstracting and Indexing
      • Bibliographic Information
      • Archive
    • Molecular and Clinical Oncology
      • Information for Authors
      • Editorial Policies
      • Editorial Board
      • Aims and Scope
      • Abstracting and Indexing
      • Bibliographic Information
      • Archive
    • Molecular Medicine Reports
      • Information for Authors
      • Editorial Policies
      • Editorial Board
      • Aims and Scope
      • Abstracting and Indexing
      • Bibliographic Information
      • Archive
    • Oncology Letters
      • Information for Authors
      • Editorial Policies
      • Editorial Board
      • Aims and Scope
      • Abstracting and Indexing
      • Bibliographic Information
      • Archive
    • Oncology Reports
      • Information for Authors
      • Editorial Policies
      • Editorial Board
      • Aims and Scope
      • Abstracting and Indexing
      • Bibliographic Information
      • Archive
    • World Academy of Sciences Journal
      • Information for Authors
      • Editorial Policies
      • Editorial Board
      • Aims and Scope
      • Abstracting and Indexing
      • Bibliographic Information
      • Archive
  • Articles
  • Information
    • For Authors
    • For Reviewers
    • For Librarians
    • For Advertisers
    • Conferences
  • Language Editing
Login Register Submit
  • This site uses cookies
  • You can change your cookie settings at any time by following the instructions in our Cookie Policy. To find out more, you may read our Privacy Policy.

    I agree
Search articles by DOI, keyword, author or affiliation
Search
Advanced Search
presentation
Molecular and Clinical Oncology
Join Editorial Board Propose a Special Issue
Print ISSN: 2049-9450 Online ISSN: 2049-9469
Journal Cover
May-2023 Volume 18 Issue 5

Full Size Image

Sign up for eToc alerts
Recommend to Library

Journals

International Journal of Molecular Medicine

International Journal of Molecular Medicine

International Journal of Molecular Medicine is an international journal devoted to molecular mechanisms of human disease.

International Journal of Oncology

International Journal of Oncology

International Journal of Oncology is an international journal devoted to oncology research and cancer treatment.

Molecular Medicine Reports

Molecular Medicine Reports

Covers molecular medicine topics such as pharmacology, pathology, genetics, neuroscience, infectious diseases, molecular cardiology, and molecular surgery.

Oncology Reports

Oncology Reports

Oncology Reports is an international journal devoted to fundamental and applied research in Oncology.

Experimental and Therapeutic Medicine

Experimental and Therapeutic Medicine

Experimental and Therapeutic Medicine is an international journal devoted to laboratory and clinical medicine.

Oncology Letters

Oncology Letters

Oncology Letters is an international journal devoted to Experimental and Clinical Oncology.

Biomedical Reports

Biomedical Reports

Explores a wide range of biological and medical fields, including pharmacology, genetics, microbiology, neuroscience, and molecular cardiology.

Molecular and Clinical Oncology

Molecular and Clinical Oncology

International journal addressing all aspects of oncology research, from tumorigenesis and oncogenes to chemotherapy and metastasis.

World Academy of Sciences Journal

World Academy of Sciences Journal

Multidisciplinary open-access journal spanning biochemistry, genetics, neuroscience, environmental health, and synthetic biology.

International Journal of Functional Nutrition

International Journal of Functional Nutrition

Open-access journal combining biochemistry, pharmacology, immunology, and genetics to advance health through functional nutrition.

International Journal of Epigenetics

International Journal of Epigenetics

Publishes open-access research on using epigenetics to advance understanding and treatment of human disease.

Medicine International

Medicine International

An International Open Access Journal Devoted to General Medicine.

Journal Cover
May-2023 Volume 18 Issue 5

Full Size Image

Sign up for eToc alerts
Recommend to Library

  • Article
  • Citations
    • Cite This Article
    • Download Citation
    • Create Citation Alert
    • Remove Citation Alert
    • Cited By
  • Similar Articles
    • Related Articles (in Spandidos Publications)
    • Similar Articles (Google Scholar)
    • Similar Articles (PubMed)
  • Download PDF
  • Download XML
  • View XML
Article Open Access

Associations of immune checkpoint inhibitor therapy efficacy with clinical parameters and tumor‑infiltrating CD68‑positive cell counts in patients with EGFR‑mutant non‑small cell lung cancer

  • Authors:
    • Takeshi Tsuda
    • Kensuke Suzuki
    • Minehiko Inomata
    • Kana Hayashi
    • Isami Mizushima
    • Kotaro Tokui
    • Chihiro Taka
    • Seisuke Okazawa
    • Kenta Kambara
    • Shingo Imanishi
    • Toshiro Miwa
    • Ryuji Hayashi
    • Shoko Matsui
    • Yasuaki Masaki
    • Hirokazu Taniguchi
    • Kazuyuki Tobe
  • View Affiliations / Copyright

    Affiliations: First Department of Internal Medicine, Graduate School of Medicine and Pharmaceutical Sciences, University of Toyama, Toyama, Toyama 930‑0194, Japan, Department of Internal Medicine, Toyama Prefectural Central Hospital, Toyama, Toyama 930‑8550, Japan, First Department of Internal Medicine, Toyama University Hospital, Toyama, Toyama 930‑0194, Japan, Department of Medical Oncology, Toyama University Hospital, Toyama, Toyama 930‑0194, Japan
    Copyright: © Tsuda et al. This is an open access article distributed under the terms of Creative Commons Attribution License.
  • Article Number: 38
    |
    Published online on: March 17, 2023
       https://doi.org/10.3892/mco.2023.2634
  • Expand metrics +
Metrics: Total Views: 0 (Spandidos Publications: | PMC Statistics: )
Metrics: Total PDF Downloads: 0 (Spandidos Publications: | PMC Statistics: )
Cited By (CrossRef): 0 citations Loading Articles...

This article is mentioned in:



Abstract

Immune checkpoint inhibitor (ICI) therapy has been less effective in patients with non‑small cell lung cancer (NSCLC) harboring epidermal growth factor receptor (EGFR) mutations than in patients with EGFR wild‑type NSCLC. This retrospective study was conducted to investigate the associations of clinical parameters with the efficacy of ICI therapy in patients with EGFR‑mutant NSCLC. Clinical information was retrieved from the medical charts, and immunohistochemical analysis was performed in some cases to determine the tumor‑infiltrating CD68‑positive cell count. Data from 46 patients were included in the analysis. The median (95% confidence interval) progression‑free survival and overall survival from the initiation of ICI therapy was 1.4 months (1.0‑1.7 months) and 6.4 months (3.9‑19.0 months), respectively. Analysis using a Cox proportional hazards model revealed that tumor programmed death‑ligand 1 expression was associated with the overall survival of patients with EGFR‑mutant NSCLC after ICI treatment. The tumor‑infiltrating CD68‑positive cell count was evaluated in 11 patients. Comparison using the log‑rank test revealed that the progression‑free survival time after ICI treatment was longer in the patients with lower tumor‑infiltrating CD68‑positive cell counts than those with higher tumor‑infiltrating CD68‑positive cell counts. The present analysis demonstrated that PD‑L1 expression and the tumor‑infiltrating CD68‑positive cell count may be associated with the efficacy of ICI therapy in patients with NSCLC harboring EGFR mutations.

Introduction

Numerous studies have reported more favorable survival outcomes of immune checkpoint inhibitor (ICI) therapy, either alone or in combination with cytotoxic agents, as compared with cytotoxic agent therapy alone, in patients with non-small cell lung cancer (NSCLC) (1-5). However, ICI therapy has also been reported to be relatively less effective in patients with NSCLC harboring epidermal growth factor receptor (EGFR) mutations than in those with tumors harboring wild-type EGFR (2,6).

While tumor programmed death-ligand 1 (PD-L1) expression may be associated with the efficacy of ICI treatment in patients with non-squamous NSCLC (2), the reports about the efficacy of ICI therapy in patients with EGFR-mutant NSCLC are not consistent (7-12). Furthermore, although the serum level of lactate dehydrogenase (LDH), the peripheral blood neutrophil-lymphocyte ratio (NLR), and serum C-reactive protein (CRP) level may be associated with survival after the initiation of ICI treatment in patients with NSCLC (13-16), it remains unclear if the same associations can also be observed in patients with EGFR-mutant NSCLC.

Regarding the influence of the tumor microenvironment in patients with cancer, the number of tumor-infiltrating macrophages can affect the clinical course in patients with malignancies (17). Notably, macrophages contribute to the early elimination of cancer. However, tumor progression is associated with skewing of macrophage function (18), and macrophages recruited by the cancer cells promote the survival and proliferation of cancer cells (19,20). Such macrophages can also be a therapeutic target in patients with cancer (18). However, their prognostic impact is dependent on the treatment employed (18), and the association between the tumor-infiltrating macrophage count and the efficacy of ICI treatment in patients with EGFR-mutant NSCLC has not been clarified.

We conducted this retrospective study to investigate the associations of some clinical parameters and tumor-infiltrating CD68-positive cell counts with the efficacy of ICI therapy in patients with EGFR-mutant NSCLC.

Patients and methods

Patients

We conducted a retrospective analysis of the data of consecutive patients who had been diagnosed as having EGFR-mutant advanced NSCLC and had received ICI monotherapy between 2016 and 2022 at Toyama Prefectural Central Hospital or Toyama University Hospital. No exclusion criteria were established.

This study was conducted in accordance with the Declaration of Helsinki and the Ethical Guidelines for Medical and Health Research Involving Human Subjects (Ministry of Health, Labour and Welfare, Japan). The requirement for informed consent was waived and we disclosed the study information on our website to the patients, under the approval of the Ethics Committee, University of Toyama (approval number R2019040).

Clinical information

Clinical information on the patient background characteristics and the clinical course was retrieved from the medical charts. Results of blood tests performed at the onset of ICI treatment or the most recent tests performed within the previous month were evaluated, and the patients were subdivided by the median value (NLR: 5; serum LDH: 220 U/l; serum CRP: 0.5 mg/dl). The NLR was calculated by dividing the number of neutrophils by the number of lymphocytes. Tumor PD-L1 expression was determined using the 22C3 antibody in tumor specimens obtained at any time during the entire clinical course of the patient, either before or after the EGFR-tyrosine kinase inhibitor (EGFR-TKI) therapy. The proportion of PD-L1-positive tumor cells was calculated as the tumor proportion score (TPS). A positive history of radiation therapy was defined as radiation therapy administered within 6 weeks prior to the initiation of ICI therapy or during the ICI therapy.

Immunohistochemistry

The tumor immunohistochemistry was commissioned to Mediridge Co., Ltd (Tokyo, Japan) and performed on primary or metastatic tumor specimens obtained from 11 NSCLC patients who had received treatment at Toyama University Hospital between 2016 and 2019.

For immunohistochemical staining, formalin-fixed paraffin-embedded tumor tissues were deparaffinized using xylene and an 80-100% downgraded ethanol series. Antigen retrieval treatment was performed with 0.1% trypsin (T4799-25G; Sigma-Aldrich Corporation, St. Louis, MO, USA)/PBS (pH 7.6) at 37˚C for 15 min. Endogenous peroxidase was blocked with 3% hydrogen peroxide, and the non-specific reaction was blocked with Blocking One (#03953-95; Nacalai Tesque, Kyoto, Japan). For the primary antibody, we incubated the sections with anti-human CD68 mouse IgG1 monoclonal antibody (clone: Kp-1, M0814, at 1:200 dilution, Agilent Inc., Santa Clara, CA) overnight at 4˚C. Positive reactions were visualized using horse radish peroxidase-conjugated secondary antibody (HISTOFINE #424134, Nichirei Bioscience Inc., Tokyo, Japan) and 3-3' diaminobenzidine as the substrate.

Determination of the tumor-infiltrating cell count was performed by two investigators who were blinded to the clinical courses of the patients. The number of CD68-positive cells in the tumor tissue or stroma in contact with the tumor tissue per field of view (400x magnification) were counted in up to 10 fields per section, and the mean CD68-positive cell count was used for the analysis.

Statistical analysis

The endpoint of the present study was the progression-free survival (PFS) and overall survival (OS). The PFS was calculated from the initiation date of ICI therapy to the detection date of disease progression. Disease progression was defined according to the clinical judgment or computed tomography evidence of progressive disease (PD) and censored at the last visit without disease progression. PD was defined as a 20% or greater increase in the diameter of the target lesion, emergence of new lesions, deterioration of the general condition of the patient, or death. The OS was calculated from the day that ICI therapy was initiated to the day of death and censored at the last visit during the life of the patient. Survival curves were drawn by the Kaplan-Meier method and survival was compared by the log-rank test between patient groups subdivided according to categorical variables.

A Cox proportional hazards model was used to evaluate the associations between the clinical parameters and the PFS or OS. We included the patient performance status (PS), EGFR status (9), tumor PD-L1 expression status (2), values of NLR, LDH, and CRP (13-16), and history of radiation therapy (21) as independent variables because they may be associated with the efficacy of ICI treatment. Fisher's exact test was used to compare the patient characteristics. P<0.05 was considered to indicate a statistically significant difference. Statistical analysis was performed using JMP ver. 14.0.2 (SAS, Cary, NC).

Results

Patient characteristics

Table I shows the patient characteristics. A total of 46 patients with EGFR-mutant NSCLC received ICI monotherapy at Toyama University Hospital or Toyama Prefectural Central Hospital. Of the 46 patients, 43 (93.5%) were diagnosed with adenocarcinoma, 2 (4.3%) with NSCLC (not otherwise specified), and 1 (2.2%) with squamous cell carcinoma. PD-L1 TPS was ≥50% in 10 (21.7%) patients and was not evaluated in 9 (19.6%) patients. Of the 46 patients, 43 (93.5%) had a previous history of EGFR-TKI therapy prior to ICI therapy, including gefitinib (n=10), erlotinib (n=4), erlotinib plus bevacizumab (n=6), afatinib (n=19), or osimertinib (n=4). Of these, 36 patients had received EGFR-TKI therapy as first-line therapy, and 7 (15.2%) patients as second-line therapy. The EGFR-TKI therapy was discontinued because of acquired resistance to the drug in 41 patients and because of the emergence of adverse events in 2 patients. T790M mutation was detected in 12 (30.8%) patients out of 39 patients treated with first- or second-generation EGFR-TKIs prior to ICI therapy.

Table I

Patient characteristics.

Table I

Patient characteristics.

VariableNo. of patients (%)
Sex 
     Male21 (45.7)
     Female25 (54.3)
Age, years 
     <7023 (50.0)
     ≥7023 (50.0)
Smoking history 
     Yes18 (39.1)
     No28 (60.9)
PS 
     0-131 (67.4)
     ≥215 (32.6)
Histology 
     Adenocarcinoma43 (93.5)
     Others3 (6.5)
EGFR 
     Exon 19 del19 (41.3)
     L858R19 (41.3)
     Others8 (17.4)
PD-L1, % 
     <116 (34.8)
     1-4911 (23.9)
     ≥5010 (21.7)
     Unknown9 (19.6)
History of radiation therapy 
     Yes9 (19.6)
     No37 (80.4)
ICI 
     Nivolumab16 (34.8)
     Pembrolizumab13 (28.3)
     Atezolizumab17 (37.0)
ICI treatment line 
     24 (8.7)
     310 (21.7)
     413 (28.3)
     59 (19.6)
     ≥610 (21.7)
NLR 
     <525 (54.3)
     ≥521 (45.7)
LDH, U/l 
     <22021 (45.7)
     ≥22025 (54.3)
CRP, mg/dl 
     <0.524 (52.2)
     ≥0.522 (47.8)

[i] CRP, serum C-reactive protein; EGFR, epidermal growth factor; ICI, immune checkpoint inhibitor; LDH, serum lactate dehydrogenase; NLR, neutrophil-lymphocyte ratio; PD-L1, programmed death ligand-1; PS, performance status.

Clinical parameters

The median (95% confidence interval) PFS and OS after the initiation of ICI treatment was 1.4 (1.0-1.7) and 6.4 (3.9-19.0) months, respectively. Tables II and III show the results of analyses performed using the Cox proportional hazards model. The PD-L1 expression level was significantly associated with the OS. Fig. 1 shows the Kaplan-Meier curve comparing the PFS and OS after the initiation of ICI therapy according to PD-L1 expression levels.

Figure 1

Comparison of PFS and OS after the initiation of immune checkpoint inhibitor therapy in patients with epidermal growth factor receptor-mutant non-small cell lung cancer according to tumor PD-L1 expression level. OS, overall survival; PD-L1, programmed death-ligand 1; PFS, progression-free survival.

Table II

Associations between clinical parameters and progression-free survival after initiation of immune checkpoint inhibitor therapy according to the Cox proportional hazards model.

Table II

Associations between clinical parameters and progression-free survival after initiation of immune checkpoint inhibitor therapy according to the Cox proportional hazards model.

VariableHR95% CIP-value
PS   
     0-11.00  
     ≥20.820.37-1.820.625
EGFR status   
     Exon 19 del1.150.54-2.460.713
     L858R1.00  
     Others1.410.55-3.610.471
PD-L1, %   
     ≥500.630.23-1.720.368
     <501.00  
     Unknown0.960.38-2.430.926
History of radiation therapy   
     Yes0.610.23-1.610.319
     No1.00  
NLR   
     <51.00  
     ≥52.321.00-5.380.051
LDH, U/l   
     <2201.00  
     ≥2201.020.51-2.050.947
CRP, mg/dl   
     <0.51.00  
     ≥0.50.670.31-1.470.319

[i] CRP, serum C-reactive protein; EGFR, epidermal growth factor; HR, hazard ratio; LDH, serum lactate dehydrogenase; NLR, neutrophil-lymphocyte ratio; PD-L1, programmed death ligand-1; PS, performance status.

Table III

Associations between clinical parameters and overall survival after initiation of immune checkpoint inhibitor therapy according to the Cox proportional hazards model.

Table III

Associations between clinical parameters and overall survival after initiation of immune checkpoint inhibitor therapy according to the Cox proportional hazards model.

VariableHR95% CIP-value
PS   
     0-11.00  
     ≥22.300.95-5.600.066
EGFR status   
     Exon 19 del2.120.84-5.370.113
     L858R1.00  
     Others1.750.60-5.140.308
PD-L1, %   
     ≥500.160.04-0.620.008
     <501.00  
     Unknown0.360.10-1.320.124
History of radiation therapy   
     Yes2.060.70-6.060.188
     No1.00  
NLR   
     <51.00  
     ≥51.680.73-3.880.221
LDH, U/l   
     <2201.00  
     ≥2201.800.74-4.370.193
CRP, mg/dl   
     <0.51.00  
     ≥0.50.820.32-2.110.676

[i] CRP, serum C-reactive protein; EGFR, epidermal growth factor; HR, hazard ratio; LDH, serum lactate dehydrogenase; NLR, neutrophil-lymphocyte ratio; PD-L1, programmed death ligand-1; PS, performance status.

Immunohistochemistry

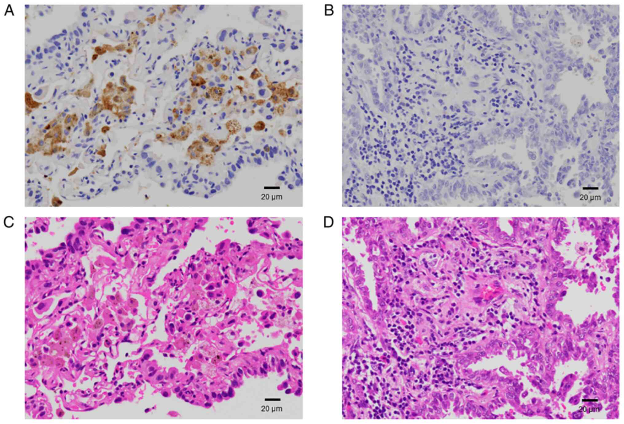
We conducted an immunohistochemical analysis to evaluate the degree of infiltration of the tumor tissue and tumor stroma in contact with the tumor tissue by CD68-positive cells. Representative images of positive and negative immunohistochemistry results are shown in Fig. 2. The patient characteristics are shown in Table IV. The average number of CD68-positive cells per field of view varied from 1.2 to 23.2 in the patients, with a median of 5.4. Fig. 3 shows a comparison of the PFS between the groups with low (CD68-positive cells <5/field) and high tumor-infiltrating CD68-positive cell (CD68-positive cells ≥5/field) counts. The PFS was significantly worse in the group with a high tumor-infiltrating CD68-positive cell count than that in the group with a low tumor-infiltrating CD68-positive cell count.

Figure 2

A representative image of high (mean CD68-positive cells ≥5/field) and low (mean CD68-positive cells <5/field) CD68-positive cells in the tumor tissue or tumor stroma in contact with the tumor tissue. (A) CD68 staining of specimen with high CD68-positve cell count (CD68-positive cell count is 23.2). (B) CD68 staining of specimen with low CD68-positive cell count (CD68-positve cell count is 2.0). (C) Hematoxylin-eosin staining of specimen with high CD68-positive cell count. (D) Hematoxylin-eosin staining of specimen with low CD68-positve cell count.

Figure 3

Comparison of the PFS after the initiation of immune checkpoint inhibitor therapy in patients with epidermal growth factor receptor-mutant NSCLC with high and low tumor-infiltrating macrophage counts in the tumor specimens. PFS, progression-free survival.

Table IV

Information on the specimens for evaluation of the CD68-positive cell count.

Table IV

Information on the specimens for evaluation of the CD68-positive cell count.

Age, yearsSexHistologyEGFROrganProcedureDuration, monthsBefore/after the TKI therapyCD68, /field
68FAdenoL858RBoneBiopsyNot assessedaBefore1.2
81MAdenodel 19LungSurgical resection56.1Before2.0
74MAdenodel 19Lymph nodeBiopsy22.3Before3.1
60FAdenoL858RLungBiopsy35.1After4.1
57MNOSdel 19/insLungBiopsy5.1After4.7
80FAdenoL858RBoneBiopsy3.2After5.4
69FNOSdel 19BrainSurgical resection26.8After5.8
87FAdenoL858RLungBiopsy0.7After6.7
77FAdenoL858RLungBiopsy67.9After6.9
65MAdenoL858RLungBiopsy9.5Before18.5
60MAdenodel 19LungBiopsy18.0Before23.2

[i] aThe only patient who underwent biopsy after the initiation of immune checkpoint inhibitor therapy. Duration denotes the period from the biopsy to the initiation of immune checkpoint inhibitor therapy. Before/after the TKI therapy denotes that biopsy was performed before or after the initiation of the treatment with EGFR-TKIs. Adeno, adenocarcinoma; EGFR, epidermal growth factor receptor; F, female; M, male; NOS, not otherwise specified, TKI, tyrosine kinase inhibitor.

Table V shows a comparison of the patient background characteristics between those with high and low CD68-positive cell counts. There were no apparent differences between the two groups, and none of the patients, except one, had received radiation therapy prior to ICI therapy.

Table V

Characteristics of the patients evaluated for CD68-positive cell count.

Table V

Characteristics of the patients evaluated for CD68-positive cell count.

VariableCD68 <5/field, n (%)CD68 ≥5 /field, n (%)P-value
Sex   
     Male3 (60.0)2 (33.3)0.567
     Female2 (40.0)4 (66.7) 
Age, years   
     <703 (60.0)3 (50.0)>0.999
     ≥702 (40.0)3 (50.0) 
Smoking history   
     Yes3 (60.0)2 (33.3)0.567
     No2 (40.0)4 (66.7) 
PS   
     0-13 (60.0)3 (50.0)>0.999
     ≥22 (40.0)3 (50.0) 
Histology   
     Adenocarcinoma4 (80.0)5 (83.3)>0.999
     Others1 (20.0)1 (16.7) 
EGFR   
     Exon 19 del3 (60.0)2 (33.3)0.567
     L858R2 (40.0)4 (66.7) 
     Others0 (0.0)0 (0.0) 
PD-L1 TPS, %   
     <13 (60.0)4 (66.7)>0.999
     ≥12 (40.0)2 (33.3) 
     Unknown0 (0.0)0 (0.0) 
ICIs   
     Nivolumab1 (20.0)2 (33.3)>0.999
     Pembrolizumab2 (40.0)2 (33.3) 
     Atezolizumab2 (40.0)2 (33.3) 
NLR   
     <52 (40.0)3 (50.0)>0.999
     ≥53 (60.0)3 (50.0) 
LDH, U/l   
     <2201 (20.0)4 (66.7)0.242
     ≥2204 (80.0)2 (33.3) 
CRP, mg/dl   
     <0.51 (20.0)4 (66.7)0.242
     ≥0.54 (80.0)2 (33.3) 
History of radiation therapy   
     Yes1 (20.0)0 (0.0)0.455
     No4 (80.0)6 (100.0) 

[i] CRP, serum C-reactive protein; EGFR, epidermal growth factor; ICI, immune checkpoint inhibitor; LDH, serum lactate dehydrogenase; NLR, neutrophil-lymphocyte ratio; PD-L1, programmed death ligand-1; PS, performance status; TPS, tumor proportion score.

Discussion

In the present study, the median of PFS after the initiation of ICI therapy was 1.4 months in patients with EGFR-mutant NSCLC, suggesting that ICI therapy is relatively less effective in this subset of NSCLC patients. Conversely, the results suggested that the PD-L1 expression level and CD68-positive cell count in the tumor microenvironment are significantly associated with the efficacy of ICI therapy.

The present study revealed an association between the OS after the start of ICI therapy and the tumor PD-L1 expression status. Although there is an opposing report (9), several authors also reported the association between positive tumor PD-L1 expression and survival benefits in patients with EGFR-mutant NSCLC (7,11,12). However, it has been reported that the tumor PD-L1 expression status can change during EGFR-TKI therapy (6,12). Furthermore, tumor PD-L1 expression may be induced by EGFR signaling (22) and interferon γ (23). Given that the CD8-positive T cell density is significantly higher in PD-L1-positive EGFR-mutant tumors than in PD-L1-negative or low-positive tumors after EGFR-TKI treatment (12), tumor PD-L1 expression may reflect the infiltration of CD8-positive T-lymphocytes. However, EGFR signaling also suppresses tumor immunity by increasing the production of C-C motif chemokine 22 (CCL22), which recruits regulatory T cells, and decreasing the production of C-X-C motif chemokine ligand 10 and CCL5 which are known to induce CD8+ T cell infiltration (24).

In the present study, the NLR, LDH, and CRP did not exhibit a significant association with survival after the initiation of ICI treatment in patients with EGFR-mutant NSCLC. Alternatively, a meta-analysis of patients with various solid tumors has shown an association between the NLR and patient survival across disease stages (25). Furthermore, an elevated NLR has been reported to be associated with poor survival after ICI treatment in patients with NSCLC (26). Tumor-infiltrating lymphocytes and neutrophils (CD15-positive) have been reported as favorable and poor prognostic factors, respectively, in cancer patients (27,28). Moreover, cytotoxic T-lymphocyte cell-lytic activity was observed to be inhibited by neutrophils in-vitro (29). These findings may explain the association between the NLR and the prognosis in NSCLC patients treated with ICIs. The results of the present study suggest that this association may not be found in patients with EGFR-mutant NSCLC. Therefore, it may be difficult to predict the efficacy of ICI therapy based on the NLR in patients with EGFR-mutant NSCLC.

Additionally, γ-irradiation can cause immunogenic cell death of tumor cells, which reportedly induce the release of tumor antigens and danger-associated molecular patterns, triggering tumor immunity (21). However, it remains unclear if radiotherapy enhances the clinical effectiveness of ICI therapy. A phase II trial conducted to investigate the effect of radiotherapy in enhancing the response to pembrolizumab in patients with NSCLC failed to meet the prespecified endpoint criteria (30). In contrast, the results of a subgroup analysis in patients with PD-L1-negative tumors suggested a beneficial effect of the addition of radiotherapy. Furthermore, a secondary analysis of the KEYNOTE-001 phase 1 trial suggested that radiotherapy in patients with advanced NSCLC may yield a longer survival in patients treated with pembrolizumab (31). We failed to show any association between radiation therapy and the efficacy of ICI treatment. However, the possibility of decreased statistical power due to the small sample size affecting the results of the analysis cannot be excluded.

In the present study, higher tumor-infiltrating CD68-positive cell counts were found to be associated with a shorter PFS after the initiation of ICI therapy. Previously, it was reported that the number of tumor-infiltrating macrophages can affect the clinical course in patients with malignancies (17). Furthermore, infiltration of macrophage was reported to be associated with PFS in patients with EGFR/ALK wild type NSCLC treated with ICI therapy (32). As for patients with EGFR mutant NSCLC, it was reported that infiltration of CD8-positive T cells (7), CD4-positive T cells and Foxp3-positive cells (10) were associated with PFS after the initiation of ICI therapy. However, CD68-positive cells were not investigated in these previous studies. Macrophages are recruited and polarized to the M2 phenotype to promote the survival and proliferation of cancer cells (19,20). However, because the timing at which the specimens were obtained varied among the patients, we could not evaluate the tumor microenvironment immediately before the start of the ICI therapy in all cases. Thus, the findings in this study need to be interpreted with caution, and further studies are warranted to elucidate the association between the tumor microenvironment and the efficacy of ICI therapy.

The major limitations of the present study were the small sample size and retrospective design. Thus, bias or random error may have affected the statistical analysis.

In conclusion, the present study showed that the PD-L1 expression level and tumor-infiltrating CD68-positive cell count might be associated with the efficacy of ICI therapy. Further investigation is required to verify this association.

Acknowledgements

Not applicable.

Funding

Funding: No funding was received.

Availability of data and materials

The datasets used and/or analyzed during the current study are available from the corresponding author on reasonable request.

Authors' contributions

MI and KaT contributed to conception and design of the study. TT, KS and MI contributed to the analysis and interpretation of data. MI, TT, KS, KH, IM, KoT, CT, SO, KK, SI, TM, RH, SM, YM and HT contributed to data acquisition. MI and TT wrote the main manuscript, and KH, IM, KoT, CT, SO, KK, SI, TM, RH, SM, YM, HT and KaT were involved in revising the manuscript. MI and TT confirm the authenticity of all the raw data. All authors have read and approved the final manuscript.

Ethics approval and consent to participate

The present study was conducted in accordance with the Declaration of Helsinki and Ethical Guidelines for Medical and Biological Research Involving Human Subjects (Ministry of Health, Labour and Welfare, Japan), and approved by the Ethics Committee, University of Toyama (Toyama, Japan, approval no. R2019040). The need to obtain informed consent from the study subjects was waived under the approval of the Ethics Committee, University of Toyama, and information about the study was disclosed to the subjects on the Toyama University Hospital website (http://www.hosp.u-toyama.ac.jp/guide/index.html).

Patient consent for publication

Not applicable.

Competing interests

The authors declare that they have no competing interests.

References

1 

Brahmer J, Reckamp KL, Baas P, Crino L, Eberhardt WEE, Poddubskaya E, Antonia S, Pluzanski A, Vokes EE, Holgado E, et al: Nivolumab versus docetaxel in advanced squamous-cell non-small-cell lung cancer. N Engl J Med. 373:123–135. 2015.PubMed/NCBI View Article : Google Scholar

2 

Borghaei H, Paz-Ares L, Horn L, Spigel DR, Steins M, Ready NE, Chow LQ, Vokes EE, Felip E, Holgado E, et al: Nivolumab versus docetaxel in advanced nonsquamous non-small-cell lung cancer. N Engl J Med. 373:1627–1639. 2015.PubMed/NCBI View Article : Google Scholar

3 

Herbst RS, Baas P, Kim DW, Felip E, Pérez-Gracia JL, Han JY, Molina J, Kim JH, Arvis CD, Ahn MJ, et al: Pembrolizumab versus docetaxel for previously treated, PD-L1-positive, advanced non-small-cell lung cancer (KEYNOTE-010): A randomised controlled trial. Lancet. 387:1540–1550. 2016.PubMed/NCBI View Article : Google Scholar

4 

Rittmeyer A, Barlesi F, Waterkamp D, Park K, Ciardiello F, von Pawel J, Gadgeel SM, Hida T, Kowalski DM, Dols MC, et al: Atezolizumab versus docetaxel in patients with previously treated non-small-cell lung cancer (OAK): A phase 3, open-label, multicentre randomised controlled trial. Lancet. 389:255–265. 2017.PubMed/NCBI View Article : Google Scholar

5 

Gandhi L, Rodriguez-Abreu D, Gadgeel S, Esteban E, Felip E, De Angelis F, Domine M, Clingan P, Hochmair MJ, Powell SF, et al: Pembrolizumab plus chemotherapy in metastatic non-small-cell lung cancer. N Engl J Med. 378:2078–2092. 2018.PubMed/NCBI View Article : Google Scholar

6 

Gainor JF, Shaw AT, Sequist LV, Fu X, Azzoli CG, Piotrowska Z, Huynh TG, Zhao L, Fulton L, Schultz KR, et al: EGFR mutations and ALK rearrangements are associated with low response rates to PD-1 pathway blockade in non-small cell lung cancer: A retrospective analysis. Clin Cancer Res. 22:4585–4593. 2016.PubMed/NCBI View Article : Google Scholar

7 

Haratani K, Hayashi H, Tanaka T, Kaneda H, Togashi Y, Sakai K, Hayashi K, Tomida S, Chiba Y, Yonesaka K, et al: Tumor immune microenvironment and nivolumab efficacy in EGFR mutation-positive non-small-cell lung cancer based on T790M status after disease progression during EGFR-TKI treatment. Ann Oncol. 28:1532–1539. 2017.PubMed/NCBI View Article : Google Scholar

8 

Inomata M, Tanaka H, Tokui K, Taka C, Okazawa S, Kambara K, Imanishi S, Yamada T, Miwa T, Hayashi R, et al: Clinical course after initiation of nivolumab therapy in patients with egfr-mutated non-small cell lung cancer with or without Pd-L1 expression. Oncology Therapy. 5:181–185. 2017.

9 

Hastings K, Yu HA, Wei W, Sanchez-Vega F, DeVeaux M, Choi J, Rizvi H, Lisberg A, Truini A, Lydon CA, et al: EGFR mutation subtypes and response to immune checkpoint blockade treatment in non-small-cell lung cancer. Ann Oncol. 30:1311–1320. 2019.PubMed/NCBI View Article : Google Scholar

10 

Sato M, Watanabe S, Tanaka H, Nozaki K, Arita M, Takahashi M, Shoji S, Ichikawa K, Kondo R, Aoki N, et al: Retrospective analysis of antitumor effects and biomarkers for nivolumab in NSCLC patients with EGFR mutations. PLoS One. 14(e0215292)2019.PubMed/NCBI View Article : Google Scholar

11 

Masuda K, Horinouchi H, Tanaka M, Higashiyama R, Shinno Y, Sato J, Matsumoto Y, Okuma Y, Yoshida T, Goto Y, et al: Efficacy of anti-PD-1 antibodies in NSCLC patients with an EGFR mutation and high PD-L1 expression. J Cancer Res Clin Oncol. 147:245–251. 2021.PubMed/NCBI View Article : Google Scholar

12 

Isomoto K, Haratani K, Hayashi H, Shimizu S, Tomida S, Niwa T, Yokoyama T, Fukuda Y, Chiba Y, Kato R, et al: Impact of EGFR-TKI treatment on the tumor immune microenvironment in EGFR mutation-positive non-small cell lung cancer. Clin Cancer Res. 26:2037–2046. 2020.PubMed/NCBI View Article : Google Scholar

13 

Taniguchi Y, Tamiya A, Isa SI, Nakahama K, Okishio K, Shiroyama T, Suzuki H, Inoue T, Tamiya M, Hirashima T, et al: Predictive factors for poor progression-free survival in patients with non-small cell lung cancer treated with nivolumab. Anticancer Res. 37:5857–5862. 2017.PubMed/NCBI View Article : Google Scholar

14 

Oya Y, Yoshida T, Kuroda H, Mikubo M, Kondo C, Shimizu J, Horio Y, Sakao Y, Hida T and Yatabe Y: Predictive clinical parameters for the response of nivolumab in pretreated advanced non-small-cell lung cancer. Oncotarget. 8:103117–103128. 2017.PubMed/NCBI View Article : Google Scholar

15 

Mezquita L, Auclin E, Ferrara R, Charrier M, Remon J, Planchard D, Ponce S, Ares LP, Leroy L, Audigier-Valette C, et al: Association of the lung immune prognostic index with immune checkpoint inhibitor outcomes in patients with advanced non-small cell lung cancer. JAMA Oncol. 4:351–357. 2018.PubMed/NCBI View Article : Google Scholar

16 

Bagley SJ, Kothari S, Aggarwal C, Bauml JM, Alley EW, Evans TL, Kosteva JA, Ciunci CA, Gabriel PE, Thompson JC, et al: Pretreatment neutrophil-to-lymphocyte ratio as a marker of outcomes in nivolumab-treated patients with advanced non-small-cell lung cancer. Lung Cancer. 106:1–7. 2017.PubMed/NCBI View Article : Google Scholar

17 

Mantovani A, Schioppa T, Porta C, Allavena P and Sica A: Role of tumor-associated macrophages in tumor progression and invasion. Cancer Metastasis Rev. 25:315–322. 2006.PubMed/NCBI View Article : Google Scholar

18 

Mantovani A, Marchesi F, Malesci A, Laghi L and Allavena P: Tumour-associated macrophages as treatment targets in oncology. Nat Rev Clin Oncol. 14:399–416. 2017.PubMed/NCBI View Article : Google Scholar

19 

Yuan A, Hsiao YJ, Chen HY, Chen HW, Ho CC, Chen YY, Liu YC, Hong TH, Yu SL, Chen JJ and Yang PC: Opposite effects of M1 and M2 macrophage subtypes on lung cancer progression. Sci Rep. 5(14273)2015.PubMed/NCBI View Article : Google Scholar

20 

Myers KV, Pienta KJ and Amend SR: Cancer cells and M2 macrophages: Cooperative invasive ecosystem engineers. Cancer Control. 27(1073274820911058)2020.PubMed/NCBI View Article : Google Scholar

21 

Obeid M, Panaretakis T, Tesniere A, Joza N, Tufi R, Apetoh L, Ghiringhelli F, Zitvogel L and Kroemer G: Leveraging the immune system during chemotherapy: Moving calreticulin to the cell surface converts apoptotic death from ‘silent’ to immunogenic. Cancer Res. 67:7941–7944. 2007.PubMed/NCBI View Article : Google Scholar

22 

Chen N, Fang W, Zhan J, Hong S, Tang Y, Kang S, Zhang Y, He X, Zhou T, Qin T, et al: Upregulation of PD-L1 by EGFR activation mediates the immune escape in EGFR-driven NSCLC: Implication for optional immune targeted therapy for NSCLC patients with EGFR Mutation. J Thorac Oncol. 10:910–923. 2015.PubMed/NCBI View Article : Google Scholar

23 

Mandai M, Hamanishi J, Abiko K, Matsumura N, Baba T and Konishi I: Dual faces of IFNγ in cancer progression: A role of PD-L1 induction in the determination of pro- and antitumor immunity. Clin Cancer Res. 22:2329–2334. 2016.PubMed/NCBI View Article : Google Scholar

24 

Sugiyama E, Togashi Y, Takeuchi Y, Shinya S, Tada Y, Kataoka K, Tane K, Sato E, Ishii G, Goto K, et al: Blockade of EGFR improves responsiveness to PD-1 blockade in EGFR-mutated non-small cell lung cancer. Sci Immunol. 5(eaav3937)2020.PubMed/NCBI View Article : Google Scholar

25 

Templeton AJ, McNamara MG, Seruga B, Vera-Badillo FE, Aneja P, Ocana A, Leibowitz-Amit R, Sonpavde G, Knox JJ, Tran B, et al: Prognostic role of neutrophil-to-lymphocyte ratio in solid tumors: A systematic review and meta-analysis. J Natl Cancer Inst. 106(dju124)2014.PubMed/NCBI View Article : Google Scholar

26 

Jin J, Yang L, Liu D and Li W: Association of the neutrophil to lymphocyte ratio and clinical outcomes in patients with lung cancer receiving immunotherapy: A meta-analysis. BMJ Open. 10(e035031)2020.PubMed/NCBI View Article : Google Scholar

27 

Gooden MJ, de Bock GH, Leffers N, Daemen T and Nijman HW: The prognostic influence of tumour-infiltrating lymphocytes in cancer: A systematic review with meta-analysis. Br J Cancer. 105:93–103. 2011.PubMed/NCBI View Article : Google Scholar

28 

Hiramatsu S, Tanaka H, Nishimura J, Sakimura C, Tamura T, Toyokawa T, Muguruma K, Yashiro M, Hirakawa K and Ohira M: Neutrophils in primary gastric tumors are correlated with neutrophil infiltration in tumor-draining lymph nodes and the systemic inflammatory response. BMC Immunol. 19(13)2018.PubMed/NCBI View Article : Google Scholar

29 

Petrie HT, Klassen LW and Kay HD: Inhibition of human cytotoxic T lymphocyte activity in vitro by autologous peripheral blood granulocytes. J Immunol. 134:230–234. 1985.PubMed/NCBI

30 

Theelen W, Peulen HMU, Lalezari F, van der Noort V, de Vries JF, Aerts J, Dumoulin DW, Bahce I, Niemeijer AN, de Langen AJ, et al: Effect of pembrolizumab after stereotactic body radiotherapy vs pembrolizumab alone on tumor response in patients with advanced non-small cell lung cancer: Results of the PEMBRO-RT phase 2 randomized clinical trial. JAMA Oncol. 5:1276–1282. 2019.PubMed/NCBI View Article : Google Scholar

31 

Shaverdian N, Lisberg AE, Bornazyan K, Veruttipong D, Goldman JW, Formenti SC, Garon EB and Lee P: Previous radiotherapy and the clinical activity and toxicity of pembrolizumab in the treatment of non-small-cell lung cancer: A secondary analysis of the KEYNOTE-001 phase 1 trial. Lancet Oncol. 18:895–903. 2017.PubMed/NCBI View Article : Google Scholar

32 

Li L, Lu G, Liu Y, Gong L, Zheng X, Zheng H, Gu W and Yang L: Low infiltration of CD8+ PD-L1+ T cells and M2 macrophages predicts improved clinical outcomes after immune checkpoint inhibitor therapy in non-small cell lung carcinoma. Front Oncol. 11(658690)2021.PubMed/NCBI View Article : Google Scholar

Related Articles

  • Abstract
  • View
  • Download
  • Twitter
Copy and paste a formatted citation
Spandidos Publications style
Tsuda T, Suzuki K, Inomata M, Hayashi K, Mizushima I, Tokui K, Taka C, Okazawa S, Kambara K, Imanishi S, Imanishi S, et al: Associations of immune checkpoint inhibitor therapy efficacy with clinical parameters and tumor‑infiltrating CD68‑positive cell counts in patients with EGFR‑mutant non‑small cell lung cancer. Mol Clin Oncol 18: 38, 2023.
APA
Tsuda, T., Suzuki, K., Inomata, M., Hayashi, K., Mizushima, I., Tokui, K. ... Tobe, K. (2023). Associations of immune checkpoint inhibitor therapy efficacy with clinical parameters and tumor‑infiltrating CD68‑positive cell counts in patients with EGFR‑mutant non‑small cell lung cancer. Molecular and Clinical Oncology, 18, 38. https://doi.org/10.3892/mco.2023.2634
MLA
Tsuda, T., Suzuki, K., Inomata, M., Hayashi, K., Mizushima, I., Tokui, K., Taka, C., Okazawa, S., Kambara, K., Imanishi, S., Miwa, T., Hayashi, R., Matsui, S., Masaki, Y., Taniguchi, H., Tobe, K."Associations of immune checkpoint inhibitor therapy efficacy with clinical parameters and tumor‑infiltrating CD68‑positive cell counts in patients with EGFR‑mutant non‑small cell lung cancer". Molecular and Clinical Oncology 18.5 (2023): 38.
Chicago
Tsuda, T., Suzuki, K., Inomata, M., Hayashi, K., Mizushima, I., Tokui, K., Taka, C., Okazawa, S., Kambara, K., Imanishi, S., Miwa, T., Hayashi, R., Matsui, S., Masaki, Y., Taniguchi, H., Tobe, K."Associations of immune checkpoint inhibitor therapy efficacy with clinical parameters and tumor‑infiltrating CD68‑positive cell counts in patients with EGFR‑mutant non‑small cell lung cancer". Molecular and Clinical Oncology 18, no. 5 (2023): 38. https://doi.org/10.3892/mco.2023.2634
Copy and paste a formatted citation
x
Spandidos Publications style
Tsuda T, Suzuki K, Inomata M, Hayashi K, Mizushima I, Tokui K, Taka C, Okazawa S, Kambara K, Imanishi S, Imanishi S, et al: Associations of immune checkpoint inhibitor therapy efficacy with clinical parameters and tumor‑infiltrating CD68‑positive cell counts in patients with EGFR‑mutant non‑small cell lung cancer. Mol Clin Oncol 18: 38, 2023.
APA
Tsuda, T., Suzuki, K., Inomata, M., Hayashi, K., Mizushima, I., Tokui, K. ... Tobe, K. (2023). Associations of immune checkpoint inhibitor therapy efficacy with clinical parameters and tumor‑infiltrating CD68‑positive cell counts in patients with EGFR‑mutant non‑small cell lung cancer. Molecular and Clinical Oncology, 18, 38. https://doi.org/10.3892/mco.2023.2634
MLA
Tsuda, T., Suzuki, K., Inomata, M., Hayashi, K., Mizushima, I., Tokui, K., Taka, C., Okazawa, S., Kambara, K., Imanishi, S., Miwa, T., Hayashi, R., Matsui, S., Masaki, Y., Taniguchi, H., Tobe, K."Associations of immune checkpoint inhibitor therapy efficacy with clinical parameters and tumor‑infiltrating CD68‑positive cell counts in patients with EGFR‑mutant non‑small cell lung cancer". Molecular and Clinical Oncology 18.5 (2023): 38.
Chicago
Tsuda, T., Suzuki, K., Inomata, M., Hayashi, K., Mizushima, I., Tokui, K., Taka, C., Okazawa, S., Kambara, K., Imanishi, S., Miwa, T., Hayashi, R., Matsui, S., Masaki, Y., Taniguchi, H., Tobe, K."Associations of immune checkpoint inhibitor therapy efficacy with clinical parameters and tumor‑infiltrating CD68‑positive cell counts in patients with EGFR‑mutant non‑small cell lung cancer". Molecular and Clinical Oncology 18, no. 5 (2023): 38. https://doi.org/10.3892/mco.2023.2634
Follow us
  • Twitter
  • LinkedIn
  • Facebook
About
  • Spandidos Publications
  • Careers
  • Cookie Policy
  • Privacy Policy
How can we help?
  • Help
  • Live Chat
  • Contact
  • Email to our Support Team