Spandidos Publications Logo
  • About
    • About Spandidos
    • Aims and Scopes
    • Abstracting and Indexing
    • Editorial Policies
    • Reprints and Permissions
    • Job Opportunities
    • Terms and Conditions
    • Contact
  • Journals
    • All Journals
    • Oncology Letters
      • Oncology Letters
      • Information for Authors
      • Editorial Policies
      • Editorial Board
      • Aims and Scope
      • Abstracting and Indexing
      • Bibliographic Information
      • Archive
    • International Journal of Oncology
      • International Journal of Oncology
      • Information for Authors
      • Editorial Policies
      • Editorial Board
      • Aims and Scope
      • Abstracting and Indexing
      • Bibliographic Information
      • Archive
    • Molecular and Clinical Oncology
      • Molecular and Clinical Oncology
      • Information for Authors
      • Editorial Policies
      • Editorial Board
      • Aims and Scope
      • Abstracting and Indexing
      • Bibliographic Information
      • Archive
    • Experimental and Therapeutic Medicine
      • Experimental and Therapeutic Medicine
      • Information for Authors
      • Editorial Policies
      • Editorial Board
      • Aims and Scope
      • Abstracting and Indexing
      • Bibliographic Information
      • Archive
    • International Journal of Molecular Medicine
      • International Journal of Molecular Medicine
      • Information for Authors
      • Editorial Policies
      • Editorial Board
      • Aims and Scope
      • Abstracting and Indexing
      • Bibliographic Information
      • Archive
    • Biomedical Reports
      • Biomedical Reports
      • Information for Authors
      • Editorial Policies
      • Editorial Board
      • Aims and Scope
      • Abstracting and Indexing
      • Bibliographic Information
      • Archive
    • Oncology Reports
      • Oncology Reports
      • Information for Authors
      • Editorial Policies
      • Editorial Board
      • Aims and Scope
      • Abstracting and Indexing
      • Bibliographic Information
      • Archive
    • Molecular Medicine Reports
      • Molecular Medicine Reports
      • Information for Authors
      • Editorial Policies
      • Editorial Board
      • Aims and Scope
      • Abstracting and Indexing
      • Bibliographic Information
      • Archive
    • World Academy of Sciences Journal
      • World Academy of Sciences Journal
      • Information for Authors
      • Editorial Policies
      • Editorial Board
      • Aims and Scope
      • Abstracting and Indexing
      • Bibliographic Information
      • Archive
    • International Journal of Functional Nutrition
      • International Journal of Functional Nutrition
      • Information for Authors
      • Editorial Policies
      • Editorial Board
      • Aims and Scope
      • Abstracting and Indexing
      • Bibliographic Information
      • Archive
    • International Journal of Epigenetics
      • International Journal of Epigenetics
      • Information for Authors
      • Editorial Policies
      • Editorial Board
      • Aims and Scope
      • Abstracting and Indexing
      • Bibliographic Information
      • Archive
    • Medicine International
      • Medicine International
      • Information for Authors
      • Editorial Policies
      • Editorial Board
      • Aims and Scope
      • Abstracting and Indexing
      • Bibliographic Information
      • Archive
  • Articles
  • Information
    • Information for Authors
    • Information for Reviewers
    • Information for Librarians
    • Information for Advertisers
    • Conferences
  • Language Editing
Spandidos Publications Logo
  • About
    • About Spandidos
    • Aims and Scopes
    • Abstracting and Indexing
    • Editorial Policies
    • Reprints and Permissions
    • Job Opportunities
    • Terms and Conditions
    • Contact
  • Journals
    • All Journals
    • Biomedical Reports
      • Information for Authors
      • Editorial Policies
      • Editorial Board
      • Aims and Scope
      • Abstracting and Indexing
      • Bibliographic Information
      • Archive
    • Experimental and Therapeutic Medicine
      • Information for Authors
      • Editorial Policies
      • Editorial Board
      • Aims and Scope
      • Abstracting and Indexing
      • Bibliographic Information
      • Archive
    • International Journal of Epigenetics
      • Information for Authors
      • Editorial Policies
      • Editorial Board
      • Aims and Scope
      • Abstracting and Indexing
      • Bibliographic Information
      • Archive
    • International Journal of Functional Nutrition
      • Information for Authors
      • Editorial Policies
      • Editorial Board
      • Aims and Scope
      • Abstracting and Indexing
      • Bibliographic Information
      • Archive
    • International Journal of Molecular Medicine
      • Information for Authors
      • Editorial Policies
      • Editorial Board
      • Aims and Scope
      • Abstracting and Indexing
      • Bibliographic Information
      • Archive
    • International Journal of Oncology
      • Information for Authors
      • Editorial Policies
      • Editorial Board
      • Aims and Scope
      • Abstracting and Indexing
      • Bibliographic Information
      • Archive
    • Medicine International
      • Information for Authors
      • Editorial Policies
      • Editorial Board
      • Aims and Scope
      • Abstracting and Indexing
      • Bibliographic Information
      • Archive
    • Molecular and Clinical Oncology
      • Information for Authors
      • Editorial Policies
      • Editorial Board
      • Aims and Scope
      • Abstracting and Indexing
      • Bibliographic Information
      • Archive
    • Molecular Medicine Reports
      • Information for Authors
      • Editorial Policies
      • Editorial Board
      • Aims and Scope
      • Abstracting and Indexing
      • Bibliographic Information
      • Archive
    • Oncology Letters
      • Information for Authors
      • Editorial Policies
      • Editorial Board
      • Aims and Scope
      • Abstracting and Indexing
      • Bibliographic Information
      • Archive
    • Oncology Reports
      • Information for Authors
      • Editorial Policies
      • Editorial Board
      • Aims and Scope
      • Abstracting and Indexing
      • Bibliographic Information
      • Archive
    • World Academy of Sciences Journal
      • Information for Authors
      • Editorial Policies
      • Editorial Board
      • Aims and Scope
      • Abstracting and Indexing
      • Bibliographic Information
      • Archive
  • Articles
  • Information
    • For Authors
    • For Reviewers
    • For Librarians
    • For Advertisers
    • Conferences
  • Language Editing
Login Register Submit
  • This site uses cookies
  • You can change your cookie settings at any time by following the instructions in our Cookie Policy. To find out more, you may read our Privacy Policy.

    I agree
Search articles by DOI, keyword, author or affiliation
Search
Advanced Search
presentation
Molecular and Clinical Oncology
Join Editorial Board Propose a Special Issue
Print ISSN: 2049-9450 Online ISSN: 2049-9469
Journal Cover
August-2024 Volume 21 Issue 2

Full Size Image

Sign up for eToc alerts
Recommend to Library

Journals

International Journal of Molecular Medicine

International Journal of Molecular Medicine

International Journal of Molecular Medicine is an international journal devoted to molecular mechanisms of human disease.

International Journal of Oncology

International Journal of Oncology

International Journal of Oncology is an international journal devoted to oncology research and cancer treatment.

Molecular Medicine Reports

Molecular Medicine Reports

Covers molecular medicine topics such as pharmacology, pathology, genetics, neuroscience, infectious diseases, molecular cardiology, and molecular surgery.

Oncology Reports

Oncology Reports

Oncology Reports is an international journal devoted to fundamental and applied research in Oncology.

Experimental and Therapeutic Medicine

Experimental and Therapeutic Medicine

Experimental and Therapeutic Medicine is an international journal devoted to laboratory and clinical medicine.

Oncology Letters

Oncology Letters

Oncology Letters is an international journal devoted to Experimental and Clinical Oncology.

Biomedical Reports

Biomedical Reports

Explores a wide range of biological and medical fields, including pharmacology, genetics, microbiology, neuroscience, and molecular cardiology.

Molecular and Clinical Oncology

Molecular and Clinical Oncology

International journal addressing all aspects of oncology research, from tumorigenesis and oncogenes to chemotherapy and metastasis.

World Academy of Sciences Journal

World Academy of Sciences Journal

Multidisciplinary open-access journal spanning biochemistry, genetics, neuroscience, environmental health, and synthetic biology.

International Journal of Functional Nutrition

International Journal of Functional Nutrition

Open-access journal combining biochemistry, pharmacology, immunology, and genetics to advance health through functional nutrition.

International Journal of Epigenetics

International Journal of Epigenetics

Publishes open-access research on using epigenetics to advance understanding and treatment of human disease.

Medicine International

Medicine International

An International Open Access Journal Devoted to General Medicine.

Journal Cover
August-2024 Volume 21 Issue 2

Full Size Image

Sign up for eToc alerts
Recommend to Library

  • Article
  • Citations
    • Cite This Article
    • Download Citation
    • Create Citation Alert
    • Remove Citation Alert
    • Cited By
  • Similar Articles
    • Related Articles (in Spandidos Publications)
    • Similar Articles (Google Scholar)
    • Similar Articles (PubMed)
  • Download PDF
  • Download XML
  • View XML
Article Open Access

Giant conjunctival melanoma with rich vascularization causing persistent bleeding

  • Authors:
    • Satoru Kase
    • Yuka Suimon
    • Mizuho Mitamura
    • Hiromi Kanno-Okada
    • Susumu Ishida
  • View Affiliations / Copyright

    Affiliations: Department of Ophthalmology, Faculty of Medicine and Graduate School of Medicine, Hokkaido University, Sapporo 060-8638, Japan, Department of Surgical Pathology, Hokkaido University Hospital, Sapporo 060-8638, Japan
    Copyright: © Kase et al. This is an open access article distributed under the terms of Creative Commons Attribution License.
  • Article Number: 53
    |
    Published online on: June 19, 2024
       https://doi.org/10.3892/mco.2024.2751
  • Expand metrics +
Metrics: Total Views: 0 (Spandidos Publications: | PMC Statistics: )
Metrics: Total PDF Downloads: 0 (Spandidos Publications: | PMC Statistics: )
Cited By (CrossRef): 0 citations Loading Articles...

This article is mentioned in:



Abstract

The present study reported a rare case of persistent bleeding caused by conjunctival melanoma containing abundant vascular channels. A 44-year-old Japanese woman presented with a left upper eyelid nodule in February 2023. A pigmented conjunctival mass was present in the upper palpebral conjunctiva. Enhanced computed tomography demonstrated marked enhancement in the left eyelid in the artery phase, indicating hemangioma. The patient suffered blunt trauma to the face in May 2023 and continuous bleeding occurred. Doctors in the emergency room attempted hemostasis by diathermy and suture, but the bleeding could not be stopped. The patient eventually underwent emergent orbital exenteration of the left eye. At high magnification of the histology sample of the bleeding site, small-to-large vascular channels with various vascular lumens made up of endothelial cells within the conjunctival melanoma tissue could be observed. The tumor cells were positive for SOX10, Melan A, S100 and HMB45. We herein propose a novel variant of conjunctival melanoma with rich vascularization, clinically causing persistent bleeding.

Introduction

Conjunctival melanoma is a relatively rare ocular surface malignancy leading to recurrence and subsequent melanoma-related death; however, vascular configurations in tumor tissues have not been fully analyzed. In head and neck melanoma, not only tumor morphology but also rich vascularization and lymphatic vessels may promote hematogeneous and lymph node metastasis, and subsequent mortality (1). In conjunctival melanoma, tumor-associated lymphangiogenesis has an important role in tumor growth, lymph node metastasis and mortality (2). However, the role of intratumoral microvessels in conjunctival melanoma remains largely unknown. It is indisputable that high intratumoral microvessel density could correlate with less tumor cell apoptosis and a subsequently more aggressive nature, such as local recurrence or metastasis of malignancies (3,4). We previously demonstrated that conjunctival melanoma could show hypo-vascularity compared with adjacent non-cancerous conjunctiva (5). Conjunctival melanoma is likely to involve vascular abnormalities such as intralesional hemorrhage and visible intrinsic tumor vessels with increased dye leakage compared with benign tumors, which could reflect a defective endothelial barrier function (6). Here, we report a rare case of persistent bleeding caused by conjunctival melanoma containing abundant vascular channels and propose a novel variant of conjunctival melanoma. The study adheres to the tenets of the Declaration of Helsinki.

Case report

Case description

A 44-year-old Japanese woman presented at her local clinic with a left upper eyelid nodule measuring about 2 fingers broad in February 2023. The patient was healthy without any remarkable medical history. The ophthalmologist at a nearby clinic attempted to aspirate the tumor, but only some blood was collected, and thus, the patient was observed without any biopsy of the lesion. The nodule gradually enlarged and grew away from the eyelid conjunctiva over 2 months, so the patient was referred for plastic surgery at a nearby hospital in April 2023. There was a pigmented conjunctival mass in the upper palpebral conjunctiva (Fig. 1A). Computed tomography (CT) showed a large eyelid tumor invading the anterior orbit (Fig. 1B and D). Enhanced CT demonstrated marked enhancement in the left eyelid in the artery phase, indicating hemangioma (Fig. 1C and E), while there were no lesions in the deep orbit. Therefore, the plastic surgeon followed up the patient based on the radiological report. Whole-body CT with enhancements (data not shown) revealed no enhancement in the body except for the left periocular region. The conjunctival mass further enlarged, where bleeding was noted in May 2023. The surgeon conducted a transcutaneous biopsy of the eyelid mass. In the following week, the patient accidentally suffered blunt trauma to her face and continuous bleeding from the tumor occurred. Doctors in the emergency room attempted hemostasis by diathermy and suture, but the bleeding could not be stopped. Although no pathological diagnosis had been made, the patient was referred to Hokkaido University Hospital (Sapporo, Japan) in June 2023. At this initial presentation, the left eyelid showed marked swelling with persistent bleeding (Fig. 1F). The eyelid had acquired a reddish coloration without any pain or tenderness. A large elastic, hard mass was palpable beneath the entire eyelid skin. The surface of the tumor was admixed with pigmentation and fresh bleeding, with reddish elevation. The visual acuity, intraocular pressure and fundus could not be fully examined because the mass lesion blocked the ocular tissues. The conjunctival mass was clinically diagnosed as giant conjunctival melanoma exclusively based on clinical findings of an elastic hard mass with pigmentation. The patient was taken to the operating room and emergent orbital exenteration was conducted about 2 h after arrival at our out-patient ward following the obtainment of informed consent. Just before the orbital exenteration, the patient's consciousness was clear, the heart rate was normal at 69/min, the body temperature was normal at 36.7˚C, blood pressure was normal (117/80 mmHg) and oxygen saturation was 98%, whereas a blood test revealed anemia, showing a low number of red blood cells (3.68x1012/l; reference value, 4.35-5.55x1012/l), hemoglobin (9.9 g/dl; reference value, 13.7-16.8 g/dl) and hematocrit (31.6%; reference value, 40.7-50.1%). After removal, the persistent bleeding resolved. The pathology report of biopsy tissue taken by the plastic surgeon indicated the presence of numerous atypical epithelioid cells with high cellularity. The nuclei were round with clear nucleoli. There were necrotic foci and pigmentation within the tumor tissues. The atypical cells were positive for melanocytic markers, human melanoma antigen (HMB45) (monoclonal; pre-diluted; cat. no. 413851; Nichirei Corp.) and Melan A (monoclonal; pre-diluted; cat. no. 413381; Nichirei Corp.), but negative for epithelial markers, AE1/AE3 (monoclonal; pre-diluted; cat. no. 760-2135; Roche Diagnostics) and cytokeratin (CAM5.2; monoclonal; pre-diluted; cat. no. 349205; BD Bioscience) and stromal and endothelial cell marker CD34 (monoclonal; pre-diluted; cat. no. 413111; Nichirei Corp.). Those findings allowed for a pathological diagnosis of malignant melanoma, which was conveyed to our hospital from the initial external hospital after the exenteration. H&E staining and immunohistochemistry was performed according to standard procedures.

Figure 1

(A) External ocular presentation: Left eyelid swelling can be noted. (B) Unenhanced and (C) enhanced CT of the eye region in April 2023 by horizontal section, showing an eyelid tumor with marked intensity on enhancement. (D) Unenhanced and (E) enhanced CT in April 2023 by sagittal section, showing a mass lesion along with the superior rectus muscle and tumor invasion to the anterior orbit, respectively. (F) Just before exenteration, the left eyelid showed marked swelling with relentless bleeding. CT, computed tomography.

In June 2023, positron emission tomography-CT (data now shown) revealed no whole-body enhancement, including ocular regions. In July 2023, a subcutaneous mass lesion was found in the posterior head (data not shown). In August 2023, the left preauricular lymph nodes were enlarged and a biopsy was conducted. The pathological report was consistent with metastatic malignant melanoma. A subsequent whole-body CT depicted metastatic lesions in the left orbit, lung and liver, as well as systemic bone metastases (data not shown). Nivolumab and ipilimumab were initiated 3 months after the exenteration. In October 2023, brain metastasis were noted on CT (data not shown). Sadly, the patient died in March of the following year.

Pathological findings of total excised tumor

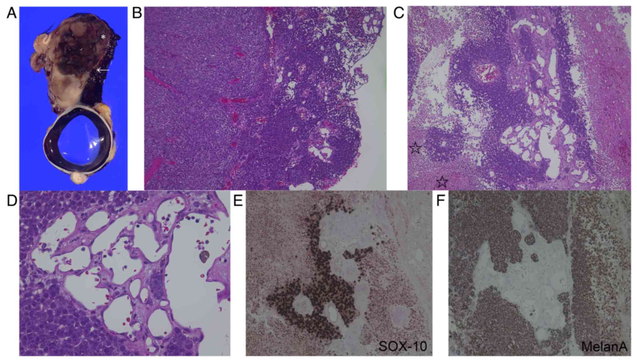
The excised tumor, measuring 30x35x45 mm, originated from the palpebral conjunctiva with protrusion of the eyelid skin (Fig. 2A). Regarding the histological findings of the tumor region indicated by an asterisk in Fig. 2A, the tumor cells diffusely proliferated in the upper eyelid with less necrosis (Fig. 2B). There was abundant microvascular formation on the conjunctival side. Regarding the histological findings of the tumor region shown by an asterisk in Fig. 2A consistent with bleeding sites and by an arrow close to the bleeding site, not only viable tumor-cell proliferation (Fig. 2B), but also necrosis (Fig. 2C, stars) with hematoma were noted (Fig. 2C). The tumor was made up of polygonal, atypical, large cells with marked nuclear atypia. A variety of atypical epithelioid tumor cells with prominent nucleoli were intermingled. At a high magnification closed to the bleeding site (Fig. 2A, arrow), there were small-to-large vascular channels made up of endothelial cells forming various vascular lumens (Fig. 2D). Immunohistochemical analysis revealed that the tumor cells were positive for SOX10 (Fig. 2E), Melan A (Fig. 2F), S100 and HMB45, leading to the diagnosis of malignant melanoma. Based on the 8th American Joint Committee on Cancer classification (7), the melanoma was pathologically classified as pT2b.

Figure 2

Histopathology and immunohistochemistry of conjunctival melanoma with rich vascularization. (A) Gross appearance of the excised tumor, which originated from the palpebral conjunctiva with protrusion of the eyelid skin. (B) Histology image of the region indicated by the arrow in A; the tumor cells diffusely proliferated in the upper eyelid with less necrosis and there were numerous microvascular formations on the conjunctival side. (C) Histology image of the region indicated by the asterisk in A consistent with bleeding sites, indicating tumor cell proliferation and necrosis (stars) with hematoma (H&E staining; total magnification, x40). (D) High-magnification view of C, indicating that the tumor was made up of polygonal atypical large cells with marked nuclear atypia. A variety of atypical epithelioid tumor cells with prominent nucleoli were intermingled. There were small-to-large vascular channels made up of endothelial cells forming various vascular lumens (H&E staining; total magnification, x100). (E) Nuclear immunoreactivity for SOX-10 was noted in tumor cells. (F) Cytoplasmic immunoreactivity for Melan A was observed in tumor cells (total magnification, x100).

Discussion

The current study presented 2 novel clinicopathological findings in giant conjunctival melanoma. The first was persistent bleeding from the tumor as a clinical finding. Although there was no clear definition of ‘giant’ regarding the size of conjunctival melanoma, several case reports in the literature have described giant conjunctival melanomas (8-11). Most patients previously diagnosed with a giant conjunctival melanoma, as in a case report of a patient presenting with an enlarged conjunctival pigmented mass (8), and rarely with hemorrhage, which could be removed by extensive surgical resection, together with cryopexy or radiotherapy (8-11). In addition, if tumor tissues are totally removed by local resection with extensive eyelid/conjunctival reconstruction, adjuvant local chemotherapy with mitomycin C or interferon alpha-2b could be effective following surgery (12,13). However, to the best of our knowledge, there is no previous report on persistent bleeding from giant melanoma. CT findings demonstrated marked enhancements in the tumor mimicking hemangioma, although the lack of quantification of the marked enhancement observed in the CT scan is a potential limitation of the present study. To our knowledge, there are currently no reliable guidelines for bleeding associated with conjunctival melanoma. In the case of the present study, persistent bleeding was clinically caused by the surface of the tumor tissue, but the orbital was not increased pressure, since there were no lesions in the deep orbit on CT. Persistent bleeding arising in giant conjunctival melanoma may be challenging. One of the associated complications is likely to be anemia, which seriously affects patients' life. Furthermore, the procedure of stopping bleeding is not established. In the present case, local hemostasis or suture at the bleeding site could not completely resolve the problem. Therefore, complete tumor resection with extensive eyelid reconstruction or orbital exenteration was mandatory to stop the persistent bleeding after the first episode. By contrast, orbital decompression with lateral orbitotomy would not be effective because the cause of bleeding was not increased orbital pressure. In this case, since the tumor was large, the area of tumor cell invasion onto the ocular surface could not be evaluated. Furthermore, because CT also indicated tumor cell invasion to the anterior orbit, orbital exenteration was eventually chosen as a treatment option in order to remove all tumor tissues.

The second novel finding was that the tumor histopathologically contained a variety of small-to-large vascular channels, which were consistent with marked enhancements on CT. In addition, hemangioma-like collections of intratumoral microvessels were intermingled within the tumor tissue at the bleeding site. These findings are likely to have caused the persistent bleeding clinically observed. Three reports on giant conjunctival melanoma mentioned pathological findings in addition to histological diagnoses. Histopathology of giant conjunctival melanoma demonstrated that tumor cells were classified as the epithelioid cell-type (8,9). Tumor tissues presented with ulceration on the surface (9), and tumor cells were dispersed in fibrin and sites of hemorrhage (8), being similar to the histopathology of the present case. Supit et al (11) demonstrated that tumor cells invaded the retrobulbar vasculature and fat tissue. However, there were no reports on hemangioma-like abundant vascular channels within tumor tissues. Of note, the intratumoral vascular configurations have remained to be fully understood in conjunctival melanoma. A previous study by our group demonstrated that CD34-positive endothelial cells were less marked in melanoma tissues than in non-cancerous adjacent conjunctiva in the same patients (5). In addition, Tuomaala et al (14) clarified that intratumoral microvessel density was not associated with recurrence, suggesting that research on vascular configurations in conjunctival melanoma has not fully progressed. We would herein like to propose a novel variant of conjunctival melanoma with rich vascularization, clinically causing relentless bleeding.

In the present case, the primary diagnosis of the eyelid tumor was hemangioma. Although conjunctival melanoma is rare, ophthalmologists and plastic surgeons should pay attention to clinical findings of the subcutaneous eyelid mass, revealing an elastic, hard mass in the present case. On the other hand, hemangioma should present with an elastic, soft mass. In addition, the clinical response to surgical procedures such as puncture of the cystic lesion, leading to immediate enlargements of the elevated lesions, should be taken into consideration. If the response is poor and mass lesions grow rapidly, they should consider the possibility of malignancy; also in the present case, pathological confirmation should have been obtained sooner. Regarding CT findings in the present patient, the findings of conjunctival melanoma may not be typical, showing enhancements involving a lesion in the anterior orbit. In addition, after the onset, no orbital MRI had been recorded; therefore, preoperative orbital MRI examination would have aided the diagnosis and treatment of the disease. If the primary physicians are aware of the vascular-rich conjunctival melanoma, they may evaluate the clinical findings as showing a malignant tumor.

Acknowledgements

Not applicable.

Funding

Funding: No funding was received.

Availability of data and materials

The data generated in the present study may be requested from the corresponding author.

Authors' contributions

SK wrote the whole manuscript and substantially contributed to the present study. KOH significantly contributed to the pathological diagnosis. YS, MM and SI substantially contributed to the drafting of the manuscript. All authors critically reviewed and revised the manuscript draft and have read and approved the final version for submission. SK and MM checked and confirmed the authenticity of the raw data.

Ethics approval and consent to participate

The present study adhered to the tenets of the Declaration of Helsinki.

Patient consent for publication

The patient provided written, retrospective consent for the publication of the clinical information and images following detailed explanation of the purpose of the study and understanding that no identifiable information was going to be released.

Competing interests

The authors declare that they have no competing interests.

References

1 

Višnjić A, Kovačević P, Veličkov A, Stojanović M and Mladenović S: Head and neck cutaneous melanoma: 5-year survival analysis in a Serbian university center. World J Surg Oncol. 18(312)2020.PubMed/NCBI View Article : Google Scholar

2 

Heindl LM, Hofmann-Rummelt C, Adler W, Bosch JJ, Holbach LM, Naumann GO, Kruse FE and Cursiefen C: Tumor-associated lymphangiogenesis in the development of conjunctival melanoma. Invest Ophthalmol Vis Sci. 52:7074–7083. 2011.PubMed/NCBI View Article : Google Scholar

3 

Kase S, Osaki M, Honjo S, Adachi H, Tsujitani S, Kaibara N and Ito H: Expression of cyclo-oxygenase-2 is correlated with high intratumoral microvessel density and low apoptotic index in human esophageal squamous cell carcinomas. Virchows Arch. 442:129–135. 2003.PubMed/NCBI View Article : Google Scholar

4 

Pastushenko I, Vermeulen PB, Carapeto FJ, Van den Eynden G, Rutten A, Ara M, Dirix LY and Van Laere S: Blood microvessel density, lymphatic microvessel density and lymphatic invasion in predicting melanoma metastases: Systematic review and meta-analysis. Br J Dermatol. 170:66–77. 2014.PubMed/NCBI View Article : Google Scholar

5 

Kase S, Kikuchi I and Ishida S: Expression of VEGF in human conjunctival melanoma analyzed with immunohistochemistry. Clin Ophthalmol. 12:2363–2367. 2018.PubMed/NCBI View Article : Google Scholar

6 

Palme C, Wanner A, Romano V, Franchi A, Haas G, Kaye SB and Steger B: Indocyanine green angiographic assessment of conjunctival melanocytic disorders. Cornea. 40:1519–1524. 2021.PubMed/NCBI View Article : Google Scholar

7 

American Joint Committee on Cancer (AJCC): AJCC cancer staging manual. Conjunctival melanoma. 8th edition. Springer, New York, NY, pp795-803, 2017.

8 

Matsuo T, Yamasaki O, Tanaka T, Katsui K and Waki T: Proton beam therapy followed by pembrolizumab for giant ocular surface conjunctival malignant melanoma: A case report. Mol Clin Oncol. 16(12)2022.PubMed/NCBI View Article : Google Scholar

9 

Cekic SP, Kovacevic PT and Krstic MS: Giant conjunctival melanoma treated with excision and primary reconstruction using a partial thickness skin graft. Niger J Clin Pract. 26:1204–1207. 2023.PubMed/NCBI View Article : Google Scholar

10 

Malik KPS, Dadeya S, Gulliani BP and Gupta VS: Favourable outcome of giant malignant melanoma of the conjunctiva despite poor prognostic features. Can J Ophthalmol. 38:397–400. 2003.PubMed/NCBI View Article : Google Scholar

11 

Supit T, Pujisriyani Subiyakto, Nugroho T, Fitrikasari A and Najatullah  : Giant conjunctival melanoma in a paranoid schizophrenic man: A case report. Ann Med Surg (Lond). 62:391–394. 2021.PubMed/NCBI View Article : Google Scholar

12 

Kikuchi I, Kase S, Ishijima K and Ishida S: Long-term follow-up of conjunctival melanoma treated with topical interferon alpha-2b eye drops as adjunctive therapy following surgical resection. Graefes Arch Clin Exp Ophthalmol. 255:2271–2276. 2017.PubMed/NCBI View Article : Google Scholar

13 

Nuessle S, Auw-Haedrich C, Jiang J, Boehringer D and Reinhard T: Real-life data of adjuvant IFN-α2b and MMC in conjunctival melanocytic lesions. Graefes Arch Clin Exp Ophthalmol. 261:1159–1166. 2023.PubMed/NCBI View Article : Google Scholar

14 

Tuomaala S, Toivonen P, Al-Jamal R and Kivelä T: Prognostic significance of histopathology of primary conjunctival melanoma in Caucasians. Curr Eye Res. 32:939–952. 2007.PubMed/NCBI View Article : Google Scholar

Related Articles

  • Abstract
  • View
  • Download
  • Twitter
Copy and paste a formatted citation
Spandidos Publications style
Kase S, Suimon Y, Mitamura M, Kanno-Okada H and Ishida S: Giant conjunctival melanoma with rich vascularization causing persistent bleeding. Mol Clin Oncol 21: 53, 2024.
APA
Kase, S., Suimon, Y., Mitamura, M., Kanno-Okada, H., & Ishida, S. (2024). Giant conjunctival melanoma with rich vascularization causing persistent bleeding. Molecular and Clinical Oncology, 21, 53. https://doi.org/10.3892/mco.2024.2751
MLA
Kase, S., Suimon, Y., Mitamura, M., Kanno-Okada, H., Ishida, S."Giant conjunctival melanoma with rich vascularization causing persistent bleeding". Molecular and Clinical Oncology 21.2 (2024): 53.
Chicago
Kase, S., Suimon, Y., Mitamura, M., Kanno-Okada, H., Ishida, S."Giant conjunctival melanoma with rich vascularization causing persistent bleeding". Molecular and Clinical Oncology 21, no. 2 (2024): 53. https://doi.org/10.3892/mco.2024.2751
Copy and paste a formatted citation
x
Spandidos Publications style
Kase S, Suimon Y, Mitamura M, Kanno-Okada H and Ishida S: Giant conjunctival melanoma with rich vascularization causing persistent bleeding. Mol Clin Oncol 21: 53, 2024.
APA
Kase, S., Suimon, Y., Mitamura, M., Kanno-Okada, H., & Ishida, S. (2024). Giant conjunctival melanoma with rich vascularization causing persistent bleeding. Molecular and Clinical Oncology, 21, 53. https://doi.org/10.3892/mco.2024.2751
MLA
Kase, S., Suimon, Y., Mitamura, M., Kanno-Okada, H., Ishida, S."Giant conjunctival melanoma with rich vascularization causing persistent bleeding". Molecular and Clinical Oncology 21.2 (2024): 53.
Chicago
Kase, S., Suimon, Y., Mitamura, M., Kanno-Okada, H., Ishida, S."Giant conjunctival melanoma with rich vascularization causing persistent bleeding". Molecular and Clinical Oncology 21, no. 2 (2024): 53. https://doi.org/10.3892/mco.2024.2751
Follow us
  • Twitter
  • LinkedIn
  • Facebook
About
  • Spandidos Publications
  • Careers
  • Cookie Policy
  • Privacy Policy
How can we help?
  • Help
  • Live Chat
  • Contact
  • Email to our Support Team