Spandidos Publications Logo
  • About
    • About Spandidos
    • Aims and Scopes
    • Abstracting and Indexing
    • Editorial Policies
    • Reprints and Permissions
    • Job Opportunities
    • Terms and Conditions
    • Contact
  • Journals
    • All Journals
    • Oncology Letters
      • Oncology Letters
      • Information for Authors
      • Editorial Policies
      • Editorial Board
      • Aims and Scope
      • Abstracting and Indexing
      • Bibliographic Information
      • Archive
    • International Journal of Oncology
      • International Journal of Oncology
      • Information for Authors
      • Editorial Policies
      • Editorial Board
      • Aims and Scope
      • Abstracting and Indexing
      • Bibliographic Information
      • Archive
    • Molecular and Clinical Oncology
      • Molecular and Clinical Oncology
      • Information for Authors
      • Editorial Policies
      • Editorial Board
      • Aims and Scope
      • Abstracting and Indexing
      • Bibliographic Information
      • Archive
    • Experimental and Therapeutic Medicine
      • Experimental and Therapeutic Medicine
      • Information for Authors
      • Editorial Policies
      • Editorial Board
      • Aims and Scope
      • Abstracting and Indexing
      • Bibliographic Information
      • Archive
    • International Journal of Molecular Medicine
      • International Journal of Molecular Medicine
      • Information for Authors
      • Editorial Policies
      • Editorial Board
      • Aims and Scope
      • Abstracting and Indexing
      • Bibliographic Information
      • Archive
    • Biomedical Reports
      • Biomedical Reports
      • Information for Authors
      • Editorial Policies
      • Editorial Board
      • Aims and Scope
      • Abstracting and Indexing
      • Bibliographic Information
      • Archive
    • Oncology Reports
      • Oncology Reports
      • Information for Authors
      • Editorial Policies
      • Editorial Board
      • Aims and Scope
      • Abstracting and Indexing
      • Bibliographic Information
      • Archive
    • Molecular Medicine Reports
      • Molecular Medicine Reports
      • Information for Authors
      • Editorial Policies
      • Editorial Board
      • Aims and Scope
      • Abstracting and Indexing
      • Bibliographic Information
      • Archive
    • World Academy of Sciences Journal
      • World Academy of Sciences Journal
      • Information for Authors
      • Editorial Policies
      • Editorial Board
      • Aims and Scope
      • Abstracting and Indexing
      • Bibliographic Information
      • Archive
    • International Journal of Functional Nutrition
      • International Journal of Functional Nutrition
      • Information for Authors
      • Editorial Policies
      • Editorial Board
      • Aims and Scope
      • Abstracting and Indexing
      • Bibliographic Information
      • Archive
    • International Journal of Epigenetics
      • International Journal of Epigenetics
      • Information for Authors
      • Editorial Policies
      • Editorial Board
      • Aims and Scope
      • Abstracting and Indexing
      • Bibliographic Information
      • Archive
    • Medicine International
      • Medicine International
      • Information for Authors
      • Editorial Policies
      • Editorial Board
      • Aims and Scope
      • Abstracting and Indexing
      • Bibliographic Information
      • Archive
  • Articles
  • Information
    • Information for Authors
    • Information for Reviewers
    • Information for Librarians
    • Information for Advertisers
    • Conferences
  • Language Editing
Spandidos Publications Logo
  • About
    • About Spandidos
    • Aims and Scopes
    • Abstracting and Indexing
    • Editorial Policies
    • Reprints and Permissions
    • Job Opportunities
    • Terms and Conditions
    • Contact
  • Journals
    • All Journals
    • Biomedical Reports
      • Information for Authors
      • Editorial Policies
      • Editorial Board
      • Aims and Scope
      • Abstracting and Indexing
      • Bibliographic Information
      • Archive
    • Experimental and Therapeutic Medicine
      • Information for Authors
      • Editorial Policies
      • Editorial Board
      • Aims and Scope
      • Abstracting and Indexing
      • Bibliographic Information
      • Archive
    • International Journal of Epigenetics
      • Information for Authors
      • Editorial Policies
      • Editorial Board
      • Aims and Scope
      • Abstracting and Indexing
      • Bibliographic Information
      • Archive
    • International Journal of Functional Nutrition
      • Information for Authors
      • Editorial Policies
      • Editorial Board
      • Aims and Scope
      • Abstracting and Indexing
      • Bibliographic Information
      • Archive
    • International Journal of Molecular Medicine
      • Information for Authors
      • Editorial Policies
      • Editorial Board
      • Aims and Scope
      • Abstracting and Indexing
      • Bibliographic Information
      • Archive
    • International Journal of Oncology
      • Information for Authors
      • Editorial Policies
      • Editorial Board
      • Aims and Scope
      • Abstracting and Indexing
      • Bibliographic Information
      • Archive
    • Medicine International
      • Information for Authors
      • Editorial Policies
      • Editorial Board
      • Aims and Scope
      • Abstracting and Indexing
      • Bibliographic Information
      • Archive
    • Molecular and Clinical Oncology
      • Information for Authors
      • Editorial Policies
      • Editorial Board
      • Aims and Scope
      • Abstracting and Indexing
      • Bibliographic Information
      • Archive
    • Molecular Medicine Reports
      • Information for Authors
      • Editorial Policies
      • Editorial Board
      • Aims and Scope
      • Abstracting and Indexing
      • Bibliographic Information
      • Archive
    • Oncology Letters
      • Information for Authors
      • Editorial Policies
      • Editorial Board
      • Aims and Scope
      • Abstracting and Indexing
      • Bibliographic Information
      • Archive
    • Oncology Reports
      • Information for Authors
      • Editorial Policies
      • Editorial Board
      • Aims and Scope
      • Abstracting and Indexing
      • Bibliographic Information
      • Archive
    • World Academy of Sciences Journal
      • Information for Authors
      • Editorial Policies
      • Editorial Board
      • Aims and Scope
      • Abstracting and Indexing
      • Bibliographic Information
      • Archive
  • Articles
  • Information
    • For Authors
    • For Reviewers
    • For Librarians
    • For Advertisers
    • Conferences
  • Language Editing
Login Register Submit
  • This site uses cookies
  • You can change your cookie settings at any time by following the instructions in our Cookie Policy. To find out more, you may read our Privacy Policy.

    I agree
Search articles by DOI, keyword, author or affiliation
Search
Advanced Search
presentation
Biomedical Reports
Join Editorial Board Propose a Special Issue
Print ISSN: 2049-9434 Online ISSN: 2049-9442
Journal Cover
May-June 2013 Volume 1 Issue 3

Full Size Image

Sign up for eToc alerts
Recommend to Library

Journals

International Journal of Molecular Medicine

International Journal of Molecular Medicine

International Journal of Molecular Medicine is an international journal devoted to molecular mechanisms of human disease.

International Journal of Oncology

International Journal of Oncology

International Journal of Oncology is an international journal devoted to oncology research and cancer treatment.

Molecular Medicine Reports

Molecular Medicine Reports

Covers molecular medicine topics such as pharmacology, pathology, genetics, neuroscience, infectious diseases, molecular cardiology, and molecular surgery.

Oncology Reports

Oncology Reports

Oncology Reports is an international journal devoted to fundamental and applied research in Oncology.

Experimental and Therapeutic Medicine

Experimental and Therapeutic Medicine

Experimental and Therapeutic Medicine is an international journal devoted to laboratory and clinical medicine.

Oncology Letters

Oncology Letters

Oncology Letters is an international journal devoted to Experimental and Clinical Oncology.

Biomedical Reports

Biomedical Reports

Explores a wide range of biological and medical fields, including pharmacology, genetics, microbiology, neuroscience, and molecular cardiology.

Molecular and Clinical Oncology

Molecular and Clinical Oncology

International journal addressing all aspects of oncology research, from tumorigenesis and oncogenes to chemotherapy and metastasis.

World Academy of Sciences Journal

World Academy of Sciences Journal

Multidisciplinary open-access journal spanning biochemistry, genetics, neuroscience, environmental health, and synthetic biology.

International Journal of Functional Nutrition

International Journal of Functional Nutrition

Open-access journal combining biochemistry, pharmacology, immunology, and genetics to advance health through functional nutrition.

International Journal of Epigenetics

International Journal of Epigenetics

Publishes open-access research on using epigenetics to advance understanding and treatment of human disease.

Medicine International

Medicine International

An International Open Access Journal Devoted to General Medicine.

Journal Cover
May-June 2013 Volume 1 Issue 3

Full Size Image

Sign up for eToc alerts
Recommend to Library

  • Article
  • Citations
    • Cite This Article
    • Download Citation
    • Create Citation Alert
    • Remove Citation Alert
    • Cited By
  • Similar Articles
    • Related Articles (in Spandidos Publications)
    • Similar Articles (Google Scholar)
    • Similar Articles (PubMed)
  • Download PDF
  • Download XML
  • View XML
Article

Effects of exposure to bisphenol A during pregnancy and lactation on the testicular morphology and caspase‑3 protein expression of ICR pups

  • Authors:
    • Xiao‑Li Liu
    • Xiao‑Yu Chen
    • Zhi‑Cheng Wang
    • Tong Shen
    • Huna Zhao
  • View Affiliations / Copyright

    Affiliations: Department of Histology and Embryology, Anhui Medical University, Anhui, Hefei 230032, P.R. China, Laboratorial Center, Shanghai Municipal Affiliated Hospital of Shanghai University of TCM, Shanghai 200071, P.R. China, Department of Toxicology, Anhui Medical University, Anhui, Hefei 230032, P.R. China
  • Pages: 420-424
    |
    Published online on: March 13, 2013
       https://doi.org/10.3892/br.2013.79
  • Expand metrics +
Metrics: Total Views: 0 (Spandidos Publications: | PMC Statistics: )
Metrics: Total PDF Downloads: 0 (Spandidos Publications: | PMC Statistics: )
Cited By (CrossRef): 0 citations Loading Articles...

This article is mentioned in:



Abstract

Bisphenol A (BPA), a xenoestrogen and endocrine‑disrupting chemical, is a cause for concern due to its being a potential human carcinogen. The aim of this study was to investigate the effects of continued maternal exposure to BPA on the testicular structures and expression of caspase‑3 protein in male ICR offspring during pregnancy and lactation and explore its possible mechanism. Pregnant ICR mice were divided into two control groups, which were either given or not given the solvent dimethyl sulfoxide (DMSO) and three treatment groups, which were gavaged with water‑soluble BPA dissolved in DMSO at three different concentrations from gestational day 0 to weaning on postnatal day (PND) 21. The number of mice pups and ratios of males to females were recorded. On PND 21, male offspring were sacrificed to measure their wet weights and testicular coefficients. Electron microscopy was used to observe testicular morphological changes, Hoechst 33258 staining to detect cell apoptosis and immunohistochemistry to measure caspase‑3 expression. Although there was no significant difference between offspring of the control group and the treatment group in litter size and male‑female ratio (P>0.05), the testicular viscera coefficient in the latter decreased (P<0.01). Specifically, compared with offspring of the control group, in addition to increased cell apoptosis, those of the treatment groups were found to have changes in mitochondrial and endoplasmic reticulum in their spermatogenous, Sertoli, Leydig and peritubular myoid cells, which were concomitant with an elevated expression of caspase‑3 in the cytoplasm (P<0.01). In conclusion, exposure of pregnant mice to BPA during pregnancy and lactation has some toxic effects on the testes of male ICR offspring and these may originate from increased apoptosis.

Introduction

Bisphenol A (BPA) is a xenoestrogen, which is commonly used in food storage plastics (1) and distributed in the environment (2,3), making it a cause for concern. BPA is one of the most widely spread endocrine-disrupting chemicals, which can be found in the carbohydrate-rich foods; thus, BPA was classified as a probable human carcinogen (4–6). In their study, Braniste et al(7) demonstrated that BPA induced estrogen-like activities in the intestine of rats orally exposed to carcinogens. No adverse effects were observed, while BPA decreased the basal epithelial permeability of the colon and strengthened nociceptive responses by binding to estrogen receptors (ERs). The study by Hideaki et al(8) showed that exposure to BPA during embryonic/fetal life and infancy induces tissue oxidative stress and peroxidation, ultimately leading to under-development of the brain, kidney and testis. Furthermore, BPA exposure caused morphological changes in the developing seminiferous cords, Sertoli cells and Leydig cells at gestation days 16–20 (9). Takahashi and Oishi (10) investigated the impact of BPA on the male reproductive organs. Their results showed a significant decrease in testis, epididymis, prostate and seminal vesicle weights and the testicular daily sperm production in Jcl:Wistar rats.

Fetal exposure to BPA exerts transient effects in rat testes. Moreover, the changes observed at postnatal day 3 (PND 3) did not correlate with relevant changes in germ cell populations, Leydig cell function or fertility in the adult (11). Experimental data of Ema et al(12) indicated that oral doses of BPA did not cause significant changes in the reproductive or developmental parameters over two generations in rats. Kato et al(13) demonstrated that BPA administered during the neonatal period has little effect on the reproductive function of male rats.

Although numerous studies have been conducted on BPA, its effects on the reproductive system remain controversial. The aim of this study was to examine the toxicological effects and mechanism of action of BPA on the reproductive system by observing morphological changes and protein expression in mouse testis.

Materials and methods

Instruments

TSJ-1A Automatic organizations dehydration machine (Tianli Aviation Electrical Co. Ltd., Tianjin, China) was used for manufacturing testicular organization wax block. Leica paraffin slicing machine (RM2135; Solms, Germany) was used for making testicular tissue sections. A BM-II pathological tissue embedding machine (Electric Power Research Institute, Anhui, China) was used for tissue embedding and a JEM-1230 transmission electron microscope (JEOL, Tokyo, Japan) was used for observing morphological changes in mouse testes.

Materials

BPA (CAS no. 80-05-7; Sigma-Aldrich, St. Louis, MO, USA) was dissolved in dimethyl sulfoxide (DMSO) (Shanghai Chemical Reagents, Shanghai, China). The concentration of DMSO did not exceed 0.01%. Rabbit anti-mouse caspase-3 monoclonal antibody and a secondary antibody immunohistochemistry kit (Zhongshan Golden Bridge Biotechnology Co., Ltd., Beijing, China) were used to detect the expression of caspase-3 protein. A Hoechst 33258 staining kit (Beyotime Institute of Biotechnology, Shanghai, China) was utilized to detect cell apoptosis.

Animals and BPA treatment

Sixty female and 30 male 9-week-old ICR mice were obtained from the Animal Center of Anhui Province and maintained in a temperature-controlled room (25±2°C). The animals were acclimatized for one week in a 12-h light/dark cycle. The mice (male:female, 2:1) were then placed in a cage at 9:00 p.m. and the vaginal plug, which is a sign of pregnancy, was checked at 7:00 a.m. the following morning. On day 0 of pregnancy the ICR mice were randomly divided into blank control, solvent control and three BPA-exposed dose groups (10, 100 and 1,000 nmol/l). Pregnant ICR mice were given water containing BPA dissolved in DMSO from gestational day 0 to the end of lactation. To maintain the BPA concentration in drinking water, the water was changed every 2–3 days. This study was approved by the Animal Care and Protection Committee of Anhui Medical University, Anhui, Hefei, China.

Specimens and preservation

Each group was randomly assigned 8 male pups from PND 21. The male pups were first weighed, administered intraperitoneal anesthesia with 1% 0.1–0.2 ml sodium pentobarbital and then the abdominal cavity was rapidly opened and the testis tissue removed. Simultaneously, testis tissue was weighed and the organ coefficient was calculated. One side of the testicular tissue was placed in 4% paraformaldehyde (pH 7.2–7.4) for 24 h at room temperature and rinsed in running water overnight, then sections were embedded in paraffin. The other side of the testicular tissue was fixed in 2–4% glutaraldehyde and observed under an electron microscope.

General parameters of reproduction and development

The number of offspring produced by each pregnant mouse, the male:female ratio of the offspring in each group and the coefficient of testis were counted.

Ultrastructural observation of cells

The morphological changes of testicular tissue were observed by electron microscopy. The fresh testicular tissues were fixed in 2–4% glutaraldehyde and cut into thin sections with double-staining acetate uranium and lead citrate. The tissues were then observed under a JEM-1230 transmission electron microscope (Jeol Ltd.).

Detection of testicular apoptosis

Hoechst 33258 staining was used to detect testicular apoptosis. Paraffin sections were conventionally dewaxed, dehydrated, washed twice in phosphate-buffered saline (PBS) for 3 min and rehydrated. Then, 0.5 ml Hoechst 33258 staining solution was added to the slices, which were stained after 10 min and washed three times for 5 min in PBS. The sections were then added to anti-fluorescence quenching liquid, covered with a clean coverslip and observed by fluorescence microscopy.

Analysis of caspase-3 protein expression

Conventional immunohistochemistry was used to analyze caspase-3 protein expression. Caspase-3 monoclonal antibody was diluted at 1:100.

Image analysis

Caspase-3-positive cells were counted using Image Pro Plus 6.0 image analysis software (Warrendale, PA, USA). The number of cells with caspase-3 expression in five random fields of each section was recorded for the statistical analysis.

Statistical analysis

SPSS 13.0 statistical software was used for statistical analysis. One-way ANOVA was introduced for the comparison between groups. P<0.05 was considered to indicate a statistically significant result.

Results

General parameters of reproduction and development

Compared with the control group, there was no significant difference in the number of litter mice and the male:female ratio of the BPA-exposed pregnant mice (P>0.05) (Fig. 1A and B). A slight difference was detected between the testicular viscera coefficient in the BPA-exposed male offspring mice compared with the control group. This difference was statistically significant (P<0.001) (Fig. 1C).

Figure 1

Analysis of general parameters of reproduction and development. (A and B) There was no significant difference in the number and male:female ratio of litter mice exposed to bisphenol A (BPA) during pregnancy compared with the blank control group (P>0.05). (C) The testicular viscera coefficient decreased in BPA-exposed male offspring mice (P<0.001). Bc, blank control group; Sc, solvent control group; 10, 10 nmol/l BPA group; 100, 100 nmol/l BPA group; 1,000, 1,000 nmol/l BPA group.

Ultrastructural results

Fig. 2A shows that the spermatogenous cells were normal in the blank control group, the nuclear membrane and nucleolus were visible and the structure of the mitochondria and other organelles was clear. However, Fig. 2A1 shows that the nuclear membrane was blurred, while some mitochondria revealed alterations in vacuoles and mild expansion of the endoplasmic reticulum in the BPA (100 nmol/l) group. In Fig. 2B it is evident that the Sertoli cells of the blank control group were normal, with clear nuclear membrane and no evident morphological abnormalities in mitochondria and other organelles. By contrast, experimental results in Fig. 2B1 show that some mitochondria had alterations in vacuoles and mild expansion in the endoplasmic reticulum in the BPA (100 nmol/l) group. Fig. 2C shows that Leydig cells in the blank control group exhibited clear nuclear membrane, normal morphological organelles and had a few lysosomes. By contrast, Fig. 2C1 demonstrates that mitochondria had alterations in the vacuoles and that additional and larger lysosomes were present. Fig. 2D reveals that peritubular myoid cells in the blank control group had no evident abnormalities and thickness of the basement membrane was uniform. However, Fig. 2D shows a large number of vacuolated mitochondria in peritubular myoid cells of the BPA (100 nmol/l) group.

Figure 2

Transmission electron microscopy. (A) Spermatogenous, (B) Sertoli, (C) Leydig and (D) peritubular myoid cells in the blank control group had no evident morphological abnormalities. (A1–D1) In the bisphenol A (100 nmol/l) groups, the (A1) Spermatogenous, (B1) Sertoli, (C1) Leydig and (D1) peritubular myoid cells exhibited alterations in the vacuoles. (B1) Smooth endoplasmic reticulum showing different degrees of expansion. (C1) There were additional and larger lysosomes compared with the blank control group. M, mitochondria; N, nucleus; ↗ indicates smooth endoplasmic reticulum; ⇦ indicates lysosomes; (A and A1) magnification, ×6,000; (B–D, B1–D1) magnification, ×12,000.

Hoechst staining results

Spermatogenous, Sertoli, Leydig and peritubular myoid cells exhibited normal blue staining in the blank control group (Fig. 3A). However, the nuclei of these cells showed pyknosis, strong staining and appeared white (Fig. 3B) in the BPA (100 nmol/l) group.

Figure 3

Hoechst staining results. (A) Blank control group. The nuclei of spermatogenous, Sertoli, Leydig and peritubular myoid cells show normal blue dye (magnification, ×400). (B) bisphenol A (100 nmol/l) group. Apoptotic nuclei of spermatogenous, Sertoli, Leydig and peritubular myoid cells, as indicated by the white arrow (magnification, ×400).

Caspase-3 expression in testicular tissue

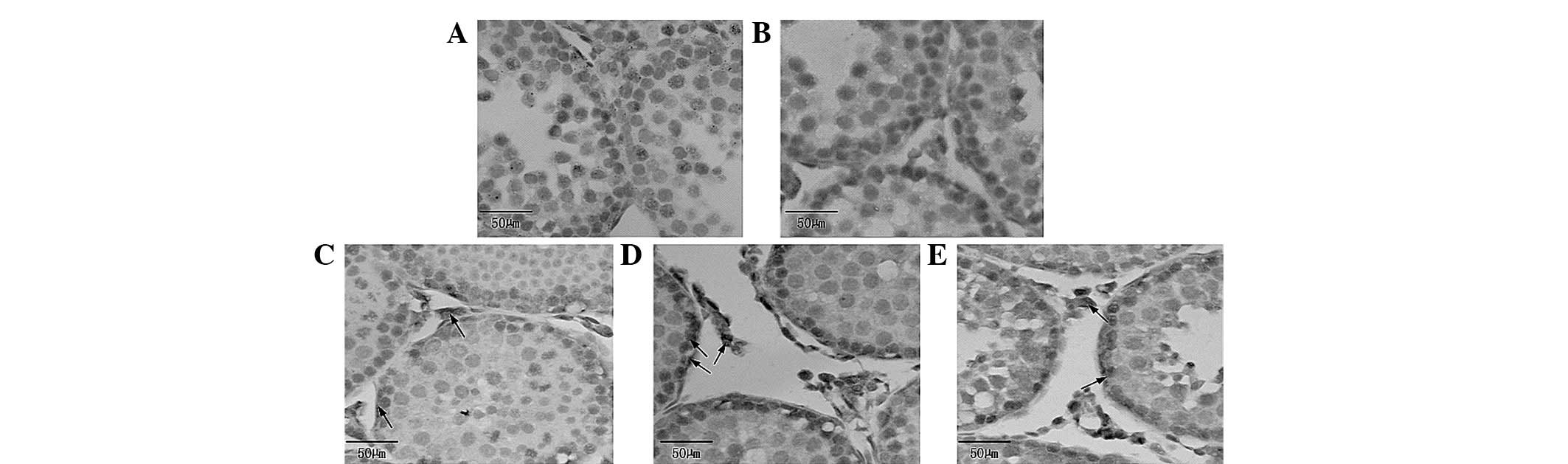
Immunohistochemical results showed that the expression of caspase-3 in the spermatogenous, Sertoli, Leydig and peritubular myoid cells was more apparent with an increased dose in the experimental test groups. However, the expression of caspase-3 was not evident in the control group. Differences were statistically significant compared with the control group (P<0.001) (Figs. 4 and 5).

Figure 4

Immunohistochemical staining of caspase-3. The expression of caspase-3 is not evident in the (A) blank control and (B) solvent control groups. Caspase-3 expression became progressively evident in the (C) bisphenol A (BPA) (10 nmol/l), (D) BPA (100 nmol/l) and (E) BPA (1,000 nmol/l) groups (magnification, ×400).

Figure 5

Number of caspase-3-positive cells in testicular tissue. This number was less in the blank control (Bc) and solvent control (Sc) groups. However, the expression of caspase-3 was progressively evident in the bisphenol A (BPA) (10 nmol/l) group (10), BPA (100 nmol/l) group (100) and BPA (1,000 nmol/l) group (1,000). ***P<0.001 vs. blank and solvent control group.

Discussion

BPA is widely used in daily life, ultimately becoming a part of the food chain as an environmental estrogen pollutant (14). Studies have shown that daily sperm production is reduced significantly and the structure of sperm cells undergoes significant changes in adult mice fed BPA (15). Testicular function is two-fold; producing sperm in the process of spermatogenesis, and involvement in the synthesis of steroid hormones, which consist mainly of testosterone and a small amount of estrogen (16). Testicular tissue with normal structure and function is a prerequisite to maintain reproductive capacity. BPA increased the sperm abnormality rate of the tested mice and interfered with the growth and developmental process of the sperm by crossing the blood-testis barrier. This effect was enhanced with an increase in exposure time (17).

Experimental results showed no significant difference in the number of pups among each litter and the proportion of males and females. The morphological observations of electron microscopy suggested that certain vacuole changes occurred in the mitochondria of the spermatogenous, Sertoli, Leydig and peritubular myoid cells in PND 21 pups of the experimental groups. These changes indicated alterations in the function of these cells. Mitochondria provide energy for the cell and the endoplasmic reticulum is associated with the protein and lipid synthesis. Spermatogenous cells, which are close to the basement membrane of seminiferous tubules, are spermatogenic in origin, and are based on a diploid cell differentiation pathway (18,19). Spermatogenesis is a process whereby germ cells generate proliferation, differentiation and deformation in the epithelium lining the seminiferous tubules and is vulnerable to the interference of external factors such as drugs, radiation and reproductive and somatic pathologies. Other external factors, including seasonal breeding, temperature and environmental pollutants, are also likely to increase the constitutive levels of apoptosis in germ cells (20). Sertoli cells of the blood-testis barrier are injured early following exposure to environmental toxic substances (including BPA) (21). Sertoli cells are involved in the composition of the blood-testis barrier through tight junctions between 10 and 16 days of age in mice and are important in maintaining sperm formation and the micro-environment around the germ cells. They also provide a number of growth factors and nutrients (22–24), such as lactic acid, which are energy sources for germ cell meiosis. In addition, Sertoli cells aid the maturation of sperm that enter into the lumen. In this study, morphological changes of the Sertoli cells in the experimental groups affected the nutritional intake and normal maturation of spermatogenic cells at various stages.

The activity of luteinizing hormone leads Leydig cells to synthesize and generate androgens that promote spermatogenesis and male reproductive development, maintain secondary sexual characteristics and sexual function. Androgen is essential for meiosis and sperm differentiation and its receptors are mostly distributed in Sertoli, Leydig and peritubular myoid cells. Lack of androgen receptor would cause male mice to undergo testicular feminization syndrome (25). In this study, Leydig cells in the experimental group had additional and larger lysosomes as compared with the control group. It can be speculated from the lysosome function that there are some senescent organelles, biological macromolecules or pathogens in Leydig cells. These changes of Leydig cells likely inhibit synthesis and secretion of androgens, affecting development of the genitals and thereby the male reproductive system.

Peritubular myoid cells maintain the morphology of the seminiferous tubules by connecting to Sertoli cells and participating in the formation of the basement membrane. Their contraction was an effective means of sperm transportation and seminiferous tubule fluid flowing to the rete testis (26). Additionaly, peritubular myoid cells provide nutrition for germ cell development by synthesizing and secreting the extracellular matrix. Electron microscopy results showed that vacuole changes appeared in the mitochondria of peritubular myoid cells in the experimental group, affecting the function of the mitochondria, therefore the spermatogenic function of the testes and sperm transport were ultimately influenced.

Signs of apoptosis include DNA fragmentation, caspase activation and phosphatidylserine externalization (27,28). Methods such as Hoechst 33258 staining are used for detecting cell apoptosis according to the cell morphological changes. Only a small amount of fluorescent dye is able to cross the normal cell membrane, thus the normal cells produce low-intensity blue fluorescence. However, Hoechst 33258 enters apoptotic cells to a larger extent compared with normal cells due to the membrane permeability of apoptotic cells being enhanced, thus the apoptotic cells were dyed white. In this study, experimental results showed that BPA exposure resulted in the apoptosis of the spermatogenous, Sertoli, Leydig and peritubular myoid cells. Moreover, cell apoptosis near the basement membrane was more evident, which was consistent with the other results of the experiments.

The caspase-3 gene (CASP-3) was originally cloned in human Jurkat-T lymphocytes and plays a crucial role in apoptosis. The caspase-3 gene resulted in apoptosis when transferred to Sf9 cells of insects (Spodoptera frugiperda) and the extract lost its ability to induce apoptosis when the caspase-3 was removed from the cell extract. The extract recovered the function of apoptosis induction when purified caspase-3 was added (29). Caspase-3 is considered one of the most important apoptosis executors in the caspase family and the main effect factor in the apoptotic process (27). Apoptosis allows inactive caspase to become active and the activation of caspase-3 results in apoptosis reaching an irreversible stage. Apoptosis has two pathways: the extracellular pathway (the death-receptor pathway) and intracellular pathway (mitochondria and endoplasmic reticulum pathway), with both pathways activating caspase-3. This study has shown that the caspase-3 expression of testicular seminiferous tubules was mostly located at cells near the basement membrane and Leydig cells in the experimental group. The caspase-3 expression was dose-dependent, indicating that the number of cells positive for caspase-3 expression increased with the dose increase of BPA exposure. The expression site of caspase-3 protein has also demonstrated that the ultrastructural changes of these cells may be associated with apoptosis and the reason for the absence of apoptotic bodies may be associated with the dose of BPA.

In conclusion, this study has shown that male offspring exhibited early apoptosis in spermatogenous, Sertoli, Leydig and peritubular myoid cells. It was found that BPA was able to promote testicular cell apoptosis of pups through the placental barrier and breast milk and affect the reproductive function. Therefore, studies should focus on how to prevent the occurrence of adverse effects and reproductive toxicity of reversible BPA due to its being widely used. In the future, more specific and in-depth indicators should be further investigated.

Acknowledgements

The authors would like to acknowledge Xiaoyu Chen and other members of the Department of Histology and Embryology, Anhui Medical University (Anhui, China). This article is distributed under the terms of i) the Natural Science Foundation of Higher Education Institutions of Anhui Province, China (KJ2010A183); ii) the Natural Science Foundation of Anhui, China (1208085MC53); iii) Shanghai Municipal Natural Science Foundation (12ZR1429900), which permits any non-commercial use, distribution and reproduction in any medium, provided the original author(s) and source are credited.

References

1 

Richter CA, Birnbaum LS, Farabollini F, et al: In vivo effects of bisphenol A in laboratory rodent studies. Reprod Toxicol. 24:199–224. 2007. View Article : Google Scholar : PubMed/NCBI

2 

Le HH, Carlson EM, Chua JP, et al: Bisphenol A is released from polycarbonate drinking bottles and mimics the neurotoxic actions of estrogen in developing cerebellar neurons. Toxicol Lett. 176:149–156. 2008. View Article : Google Scholar : PubMed/NCBI

3 

Takahashi A, Higashino F, Aoyagi M, et al: Bisphenol A from dental polycarbonate crown upregulates the expression of hTERT. J Biomed Mater Res B Appl Biomater. 71:214–221. 2004. View Article : Google Scholar : PubMed/NCBI

4 

Besaratinia A and Pfeifer GP: A review of mechanisms of acrylamide carcinogenicity. Carcinogenesis. 28:519–528. 2007. View Article : Google Scholar : PubMed/NCBI

5 

World Health Organization: FAO/WHO Consultation on the Health Implications of Acrylamide in Food-Summary Report. Geneva, Switzerland: WHO; pp. 1–12. 2002

6 

Stadler RH, Blank I, Varga N, et al: Acrylamide from Maillard reaction products. Nature. 419:449–450. 2002. View Article : Google Scholar : PubMed/NCBI

7 

Braniste V, Jouault A, Gaultier E, et al: Impact of oral bisphenol A at reference doses on intestinal barrier function and sex differences after perinatal exposure in rats. Proc Natl Acad Sci USA. 107:448–453. 2010. View Article : Google Scholar : PubMed/NCBI

8 

Hideaki K, Amakawa M and Shishibori T: Exposure to bisphenol A during embryonic/fetal life and infancy increases oxidative injury and causes underdevelopment of the brain and testis in mice. Life Sci. 74:2931–2940. 2004. View Article : Google Scholar : PubMed/NCBI

9 

Horstman KA, Naciff JM and Overmann GJ: Effects of transplacental 17-α-ethynyl estradiol or bisphenol A on the developmental profile of steroidogenic acute regulatory protein in the rat testis. Birth Defects Res B Dev Reprod Toxicol. 95:318–325. 2012.

10 

Takahashi O and Oishi S: Testicular toxicity of dietarily or parenterally administered biaphenol A in rats and mice. Food Chem Toxicol. 41:1035–1044. 2003. View Article : Google Scholar : PubMed/NCBI

11 

Thuillier R, Manku G, Wang Y and Culty M: Changes in MAPK pathway in neonatal and adult testis following fetal estrogen exposure and effects on rat testicular cells. Microsc Res Tech. 72:773–786. 2009. View Article : Google Scholar : PubMed/NCBI

12 

Ema M, Fujii S, Furukawa M, et al: Rat two-generation reproductive toxiccity study of bisphenol A. Reprod Toxicol. 15:505–523. 2001. View Article : Google Scholar : PubMed/NCBI

13 

Kato H, Furuhashi T, Tanaka M, et al: Effects of bisphenol A given neonatally on reproductive functions of male rats. Reprod Toxicol. 22:20–29. 2006. View Article : Google Scholar : PubMed/NCBI

14 

Yan HH and Cheng CY: Blood-testis barrier dynamics are regulated by an engagement/disengagement mechanism between tight and adherens junctions via peripheral adaptors. Proc Natl Acad Sci USA. 102:11722–11727. 2005. View Article : Google Scholar

15 

Toyama Y, Suzuki-Toyota F, Maekawa M, et al: Adverse effects of bisphenol A to spermiogenesis in mice and rats. Arch Histol Cytol. 67:373–381. 2004. View Article : Google Scholar : PubMed/NCBI

16 

Hermo L, Pelletier RM, Cyr DG and Smith CE: Surfing the wave, cycle, life history, and genes/proteins expressed by testicular germ cells. Part1: background to spermatogenesis, spermatogonia, and spermatocytes. Microsc Res Tech. 73:241–278. 2010. View Article : Google Scholar : PubMed/NCBI

17 

Minamiyama Y, Ichikawa H, Takemura S, et al: Generation of reactive oxygen species in sperms of rats as an earlier marker for evaluating the toxicity of endocrine-disrupting chemicals. Free Radic Res. 44:1398–1406. 2010. View Article : Google Scholar : PubMed/NCBI

18 

de Rooij DG and Russell LD: All you wanted to know about spermatogonia but were afraid to ask. J Androl. 21:776–798. 2000.PubMed/NCBI

19 

Oatley JM and Brinster RL: Regulation of spermatogonial stem cell self-renewal in mammals. Annu Rev Cell Dev Biol. 24:263–286. 2008. View Article : Google Scholar : PubMed/NCBI

20 

Tripathi R, Mishra DP and Shaha C: Male germ cell development: turning on the apoptotic pathways. Reprod Immunol. 83:31–35. 2009. View Article : Google Scholar : PubMed/NCBI

21 

Fiorini C, Tilloy-Ellul A, Chevalier S, et al: Sertoli cell junctional proteins as early targets for different classes of reproductive toxicants. Reprod Toxicol. 18:413–421. 2004. View Article : Google Scholar : PubMed/NCBI

22 

Sharpe RM, Mckinnell C, Kivlin C and Fisher JS: Proliferation and functional maturation of Sertoli cells, and their relevance to disorders of testis function in adulthood. Reproduction. 125:769–784. 2003. View Article : Google Scholar

23 

Yan HH, Mruk DD and Cheng CY: Junction restructuring and spermatogenesis: the biology, regulation, and implication in male contraceptive development. Curr Top Dev Biol. 80:57–92. 2008. View Article : Google Scholar : PubMed/NCBI

24 

Mruk DD and Cheng CY: Sertoli-Sertoli and Sertoli-germ cell interactions and their significance in germ cell movement in the seminiferous epithelium during spermatogenesis. Endocr Rev. 25:747–806. 2004. View Article : Google Scholar : PubMed/NCBI

25 

Yeh S, Tsai MY, Xu Q, et al: Generation and characterization of androgen receptor knockout (ARKO) mice: an in vivo model for the study of androgen functions in selective tissues. Proc Natl Acad Sci USA. 99:13498–13503. 2002. View Article : Google Scholar : PubMed/NCBI

26 

Romano F, Tripiciano A, Muciaccia B, et al: The contractile phenotype of peritubular smooth muscle cells is locally controlled: possible implications in male fertility. Contraception. 72:294–297. 2005. View Article : Google Scholar : PubMed/NCBI

27 

Fadeel B, Ottosson A and Pervaiz S: Big wheel keeps on turning: apoptosome regulation and its role in chemoresistance. Cell Death Differ. 15:443–452. 2008. View Article : Google Scholar : PubMed/NCBI

28 

Youle RJ and Strasser A: The BCL-2 protein family: opposing activities that mediate cell death. Nat Rev Mol Cell Biol. 9:47–59. 2008. View Article : Google Scholar : PubMed/NCBI

29 

Porter AG and Jänicke RU: Emerging roles of caspase-3 in apoptosis. Cell Death Differ. 6:99–104. 1999. View Article : Google Scholar : PubMed/NCBI

Related Articles

  • Abstract
  • View
  • Download
  • Twitter
Copy and paste a formatted citation
Spandidos Publications style
Liu XL, Chen XY, Wang ZC, Shen T and Zhao H: Effects of exposure to bisphenol A during pregnancy and lactation on the testicular morphology and caspase‑3 protein expression of ICR pups. Biomed Rep 1: 420-424, 2013.
APA
Liu, X., Chen, X., Wang, Z., Shen, T., & Zhao, H. (2013). Effects of exposure to bisphenol A during pregnancy and lactation on the testicular morphology and caspase‑3 protein expression of ICR pups. Biomedical Reports, 1, 420-424. https://doi.org/10.3892/br.2013.79
MLA
Liu, X., Chen, X., Wang, Z., Shen, T., Zhao, H."Effects of exposure to bisphenol A during pregnancy and lactation on the testicular morphology and caspase‑3 protein expression of ICR pups". Biomedical Reports 1.3 (2013): 420-424.
Chicago
Liu, X., Chen, X., Wang, Z., Shen, T., Zhao, H."Effects of exposure to bisphenol A during pregnancy and lactation on the testicular morphology and caspase‑3 protein expression of ICR pups". Biomedical Reports 1, no. 3 (2013): 420-424. https://doi.org/10.3892/br.2013.79
Copy and paste a formatted citation
x
Spandidos Publications style
Liu XL, Chen XY, Wang ZC, Shen T and Zhao H: Effects of exposure to bisphenol A during pregnancy and lactation on the testicular morphology and caspase‑3 protein expression of ICR pups. Biomed Rep 1: 420-424, 2013.
APA
Liu, X., Chen, X., Wang, Z., Shen, T., & Zhao, H. (2013). Effects of exposure to bisphenol A during pregnancy and lactation on the testicular morphology and caspase‑3 protein expression of ICR pups. Biomedical Reports, 1, 420-424. https://doi.org/10.3892/br.2013.79
MLA
Liu, X., Chen, X., Wang, Z., Shen, T., Zhao, H."Effects of exposure to bisphenol A during pregnancy and lactation on the testicular morphology and caspase‑3 protein expression of ICR pups". Biomedical Reports 1.3 (2013): 420-424.
Chicago
Liu, X., Chen, X., Wang, Z., Shen, T., Zhao, H."Effects of exposure to bisphenol A during pregnancy and lactation on the testicular morphology and caspase‑3 protein expression of ICR pups". Biomedical Reports 1, no. 3 (2013): 420-424. https://doi.org/10.3892/br.2013.79
Follow us
  • Twitter
  • LinkedIn
  • Facebook
About
  • Spandidos Publications
  • Careers
  • Cookie Policy
  • Privacy Policy
How can we help?
  • Help
  • Live Chat
  • Contact
  • Email to our Support Team