Spandidos Publications Logo
  • About
    • About Spandidos
    • Aims and Scopes
    • Abstracting and Indexing
    • Editorial Policies
    • Reprints and Permissions
    • Job Opportunities
    • Terms and Conditions
    • Contact
  • Journals
    • All Journals
    • Oncology Letters
      • Oncology Letters
      • Information for Authors
      • Editorial Policies
      • Editorial Board
      • Aims and Scope
      • Abstracting and Indexing
      • Bibliographic Information
      • Archive
    • International Journal of Oncology
      • International Journal of Oncology
      • Information for Authors
      • Editorial Policies
      • Editorial Board
      • Aims and Scope
      • Abstracting and Indexing
      • Bibliographic Information
      • Archive
    • Molecular and Clinical Oncology
      • Molecular and Clinical Oncology
      • Information for Authors
      • Editorial Policies
      • Editorial Board
      • Aims and Scope
      • Abstracting and Indexing
      • Bibliographic Information
      • Archive
    • Experimental and Therapeutic Medicine
      • Experimental and Therapeutic Medicine
      • Information for Authors
      • Editorial Policies
      • Editorial Board
      • Aims and Scope
      • Abstracting and Indexing
      • Bibliographic Information
      • Archive
    • International Journal of Molecular Medicine
      • International Journal of Molecular Medicine
      • Information for Authors
      • Editorial Policies
      • Editorial Board
      • Aims and Scope
      • Abstracting and Indexing
      • Bibliographic Information
      • Archive
    • Biomedical Reports
      • Biomedical Reports
      • Information for Authors
      • Editorial Policies
      • Editorial Board
      • Aims and Scope
      • Abstracting and Indexing
      • Bibliographic Information
      • Archive
    • Oncology Reports
      • Oncology Reports
      • Information for Authors
      • Editorial Policies
      • Editorial Board
      • Aims and Scope
      • Abstracting and Indexing
      • Bibliographic Information
      • Archive
    • Molecular Medicine Reports
      • Molecular Medicine Reports
      • Information for Authors
      • Editorial Policies
      • Editorial Board
      • Aims and Scope
      • Abstracting and Indexing
      • Bibliographic Information
      • Archive
    • World Academy of Sciences Journal
      • World Academy of Sciences Journal
      • Information for Authors
      • Editorial Policies
      • Editorial Board
      • Aims and Scope
      • Abstracting and Indexing
      • Bibliographic Information
      • Archive
    • International Journal of Functional Nutrition
      • International Journal of Functional Nutrition
      • Information for Authors
      • Editorial Policies
      • Editorial Board
      • Aims and Scope
      • Abstracting and Indexing
      • Bibliographic Information
      • Archive
    • International Journal of Epigenetics
      • International Journal of Epigenetics
      • Information for Authors
      • Editorial Policies
      • Editorial Board
      • Aims and Scope
      • Abstracting and Indexing
      • Bibliographic Information
      • Archive
    • Medicine International
      • Medicine International
      • Information for Authors
      • Editorial Policies
      • Editorial Board
      • Aims and Scope
      • Abstracting and Indexing
      • Bibliographic Information
      • Archive
  • Articles
  • Information
    • Information for Authors
    • Information for Reviewers
    • Information for Librarians
    • Information for Advertisers
    • Conferences
  • Language Editing
Spandidos Publications Logo
  • About
    • About Spandidos
    • Aims and Scopes
    • Abstracting and Indexing
    • Editorial Policies
    • Reprints and Permissions
    • Job Opportunities
    • Terms and Conditions
    • Contact
  • Journals
    • All Journals
    • Biomedical Reports
      • Information for Authors
      • Editorial Policies
      • Editorial Board
      • Aims and Scope
      • Abstracting and Indexing
      • Bibliographic Information
      • Archive
    • Experimental and Therapeutic Medicine
      • Information for Authors
      • Editorial Policies
      • Editorial Board
      • Aims and Scope
      • Abstracting and Indexing
      • Bibliographic Information
      • Archive
    • International Journal of Epigenetics
      • Information for Authors
      • Editorial Policies
      • Editorial Board
      • Aims and Scope
      • Abstracting and Indexing
      • Bibliographic Information
      • Archive
    • International Journal of Functional Nutrition
      • Information for Authors
      • Editorial Policies
      • Editorial Board
      • Aims and Scope
      • Abstracting and Indexing
      • Bibliographic Information
      • Archive
    • International Journal of Molecular Medicine
      • Information for Authors
      • Editorial Policies
      • Editorial Board
      • Aims and Scope
      • Abstracting and Indexing
      • Bibliographic Information
      • Archive
    • International Journal of Oncology
      • Information for Authors
      • Editorial Policies
      • Editorial Board
      • Aims and Scope
      • Abstracting and Indexing
      • Bibliographic Information
      • Archive
    • Medicine International
      • Information for Authors
      • Editorial Policies
      • Editorial Board
      • Aims and Scope
      • Abstracting and Indexing
      • Bibliographic Information
      • Archive
    • Molecular and Clinical Oncology
      • Information for Authors
      • Editorial Policies
      • Editorial Board
      • Aims and Scope
      • Abstracting and Indexing
      • Bibliographic Information
      • Archive
    • Molecular Medicine Reports
      • Information for Authors
      • Editorial Policies
      • Editorial Board
      • Aims and Scope
      • Abstracting and Indexing
      • Bibliographic Information
      • Archive
    • Oncology Letters
      • Information for Authors
      • Editorial Policies
      • Editorial Board
      • Aims and Scope
      • Abstracting and Indexing
      • Bibliographic Information
      • Archive
    • Oncology Reports
      • Information for Authors
      • Editorial Policies
      • Editorial Board
      • Aims and Scope
      • Abstracting and Indexing
      • Bibliographic Information
      • Archive
    • World Academy of Sciences Journal
      • Information for Authors
      • Editorial Policies
      • Editorial Board
      • Aims and Scope
      • Abstracting and Indexing
      • Bibliographic Information
      • Archive
  • Articles
  • Information
    • For Authors
    • For Reviewers
    • For Librarians
    • For Advertisers
    • Conferences
  • Language Editing
Login Register Submit
  • This site uses cookies
  • You can change your cookie settings at any time by following the instructions in our Cookie Policy. To find out more, you may read our Privacy Policy.

    I agree
Search articles by DOI, keyword, author or affiliation
Search
Advanced Search
presentation
Biomedical Reports
Join Editorial Board Propose a Special Issue
Print ISSN: 2049-9434 Online ISSN: 2049-9442
Journal Cover
July-August 2014 Volume 2 Issue 4

Full Size Image

Sign up for eToc alerts
Recommend to Library

Journals

International Journal of Molecular Medicine

International Journal of Molecular Medicine

International Journal of Molecular Medicine is an international journal devoted to molecular mechanisms of human disease.

International Journal of Oncology

International Journal of Oncology

International Journal of Oncology is an international journal devoted to oncology research and cancer treatment.

Molecular Medicine Reports

Molecular Medicine Reports

Covers molecular medicine topics such as pharmacology, pathology, genetics, neuroscience, infectious diseases, molecular cardiology, and molecular surgery.

Oncology Reports

Oncology Reports

Oncology Reports is an international journal devoted to fundamental and applied research in Oncology.

Experimental and Therapeutic Medicine

Experimental and Therapeutic Medicine

Experimental and Therapeutic Medicine is an international journal devoted to laboratory and clinical medicine.

Oncology Letters

Oncology Letters

Oncology Letters is an international journal devoted to Experimental and Clinical Oncology.

Biomedical Reports

Biomedical Reports

Explores a wide range of biological and medical fields, including pharmacology, genetics, microbiology, neuroscience, and molecular cardiology.

Molecular and Clinical Oncology

Molecular and Clinical Oncology

International journal addressing all aspects of oncology research, from tumorigenesis and oncogenes to chemotherapy and metastasis.

World Academy of Sciences Journal

World Academy of Sciences Journal

Multidisciplinary open-access journal spanning biochemistry, genetics, neuroscience, environmental health, and synthetic biology.

International Journal of Functional Nutrition

International Journal of Functional Nutrition

Open-access journal combining biochemistry, pharmacology, immunology, and genetics to advance health through functional nutrition.

International Journal of Epigenetics

International Journal of Epigenetics

Publishes open-access research on using epigenetics to advance understanding and treatment of human disease.

Medicine International

Medicine International

An International Open Access Journal Devoted to General Medicine.

Journal Cover
July-August 2014 Volume 2 Issue 4

Full Size Image

Sign up for eToc alerts
Recommend to Library

  • Article
  • Citations
    • Cite This Article
    • Download Citation
    • Create Citation Alert
    • Remove Citation Alert
    • Cited By
  • Similar Articles
    • Related Articles (in Spandidos Publications)
    • Similar Articles (Google Scholar)
    • Similar Articles (PubMed)
  • Download PDF
  • Download XML
  • View XML
Article

Antiplasmodial properties of kaempferol‑3‑O‑rhamnoside isolated from the leaves of Schima wallichii against chloroquine‑resistant Plasmodium falciparum

  • Authors:
    • Melisa I. Barliana
    • Eka W. Suradji
    • Rizky Abdulah
    • Ajeng Diantini
    • Toshimitsu Hatabu
    • Junko Nakajima‑Shimada
    • Anas Subarnas
    • Hiroshi Koyama
  • View Affiliations / Copyright

    Affiliations: Department of Pharmacology and Clinical Pharmacy, Faculty of Pharmacy, Universitas Padjadjaran, Jatinangor, West Java 45363, Indonesia, Department of Health, Teluk Bintuni Regency, West Papua 98364, Indonesia, Gunma University Graduate School of Health Sciences, Maebashi, Gunma 371‑8511, Japan, Department of Public Health, Gunma University Graduate School of Medicine, Gunma 371‑8511, Japan
  • Pages: 579-583
    |
    Published online on: April 28, 2014
       https://doi.org/10.3892/br.2014.271
  • Expand metrics +
Metrics: Total Views: 0 (Spandidos Publications: | PMC Statistics: )
Metrics: Total PDF Downloads: 0 (Spandidos Publications: | PMC Statistics: )
Cited By (CrossRef): 0 citations Loading Articles...

This article is mentioned in:


Abstract

Previous intervention studies have shown that the most effective agents used in the treatment of malaria were isolated from natural sources. Plants consumed by non‑human primates serve as potential drug sources for human disease management due to the similarities in anatomy, physiology and disease characteristics. The present study investigated the antiplasmodial properties of the primate‑consumed plant, Schima wallichii (S. wallichii) Korth. (family Theaceae), which has already been reported to have several biological activities. The ethanol extract of S. wallichii was fractionated based on polarity using n‑hexane, ethyl acetate and water. The antiplasmodial activity was tested in vitro against chloroquine‑resistant Plasmodium falciparum (P. falciparum) at 100 µg/ml for 72 h. The major compound of the most active ethyl acetate fraction was subsequently isolated using column chromatography and identified by nuclear magnetic resonance. The characterized compound was also tested against chloroquine‑resistant P. falciparum in culture to evaluate its antiplasmodial activity. The ethanol extract of S. wallichii at 100 µg/ml exhibited a significant parasite shrinkage after 24 h of treatment. The ethyl acetate fraction at 100 µg/ml was the most active fraction against chloroquine‑resistant P. falciparum. Based on the structural characterization, the major compound isolated from the ethyl acetate fraction was kaempferol‑3‑O‑rhamnoside, which showed promising antiplasmodial activity against chloroquine‑resistant P. falciparum with an IC50 of 106 µM after 24 h of treatment. The present study has provided a basis for the further investigation of kaempferol‑3‑O‑rhamnoside as an active compound for potential antimalarial therapeutics.

Introduction

Malaria is an infectious disease endemic throughout tropical countries. Malaria is also prevalent in subtropical areas, where the disease is contagious affecting both indigenous population and travelers (1). Malaria is caused by Plasmodium parasites that are transmitted through the bite of Anopheles mosquitoes and have a life cycle in mosquito and human hosts (1). Of all parasite types, Plasmodium falciparum (P. falciparum) is the most dangerous Plasmodium, causing human malaria with a mortality of 1–2 million people annually. According to surveys conducted between 1900 and 2008 in 2,366 locations in Indonesia, four species of Plasmodium may infect humans, P. falciparum, P. vivax, P. malariae and P. ovale. P. falciparum is the most common parasite that is contagious in Indonesia, with prevalence rates of 33% in Papua, 29% in Lesser Sundas and 21% in Sumatra (2). Findings of studies performed in other parts of Indonesia, including the Thousand Island district (3), Nias Island (4), Sumba Island (5) and Aceh (6), have shown that P. falciparum was the most frequent parasite that caused malaria.

Eradication of malaria remains challenging due to drug resistance of Plasmodium. Hyde (1) reported that the first synthetic antimalarial drug, found in the 1930s, was chloroquine, which was highly effective, safe and cost-effective. Since 1957, however, resistance to administration of chloroquine was observed in Thailand and by 1988 this resistance had spread to sub-Saharan Africa and other areas of the world. Several factors affect antimalarial resistance, including the overuse of drugs for prophylaxis, incomplete therapeutic treatments of active infections, genetic and metabolic adaptive abilities of the parasites and a massive parasite proliferation (1). The incidence of malaria infections, which is ~250 million cases and 80,000 mortalities annually, has revealed the emerging requirement for identifying new classes of medicine (7).

Medicinal plants have been used as traditional medicines for hundreds of years. The first antimalarial agents, including quinine as well as the next generation of antimalarial agents, such as lapachol and artemisinin, have been isolated from plants (7,8). Traditional medicines have a high potential as novel drug candidates, can provide valuable clues to find novel drugs and may shift the drug discovery paradigm from ‘finding new-entity drugs’ to ‘combining existing agents’ (9,10). Certain approaches in finding novel drugs use plants that are consumed by particular groups (11). Primates have a close similarity with human physiology and also have similar characteristics of disease as humans. Humans use drugs to cure these diseases, whereas primates can only rely on the foods they eat to protect themselves against these diseases.

Due to the high degree of physiological similarity between primates and humans, primate disease often exhibits similarities to human disease, including cancer and malaria. Notably, certain human diseases are known to have originated from primates (11). As the survival rates of primates is mainly dependent on daily food intake, the food consumed is considered to be a promising source of products applicable for the management of human disease. In a previous study, 19 primate-consumed plants were collected and their anti-tumor promoting activity was confirmed in vitro (11), with two species, Kadsura scandens (Blume) Blume (family Schisandraceae) and Schima wallichii (S. wallichii) (family Theaceae), showing antimutagenic activities in further investigations (12). The potential of S. wallichii to inhibit MCF-7 breast cancer cell proliferation has also been reported (13). Findings of an ethnobotanical study in Mizoram showed that S. wallichii is used for snake and insect bites (14). S. wallichii is a tree with a height of 5–30 m and is usually found in tropical countries, including Indonesia, the Philippines, Nepal, Sikkim, Assam, Myanmar, South China and the Malay Peninsula (15). In the present study, the antiplasmodial properties of the S. wallichii leaves were investigated and its active compound was identified.

Materials and methods

Plant collection

S. wallichii leaves were collected from the Pangandaran Beach conservation area in the West Java province of Indonesia. The leaf of S. wallichii was identified in the School of Biological Science and Technology, Bandung Institute of Technology, Bandung, Indonesia.

Extraction, fractionation and isolation

The S. wallichii leaves were dried and extracted with 70% ethanol at room temperature three times for 24 h each. A concentrated extract was obtained in vacuo at 50°C. The ethanol extract (86.94 g) was partitioned into n-hexane (3.03 g), ethyl acetate (3.27 g) and aqueous phases (7.19 g), respectively. Column chromatography on a Wakogel C-200 (Wako Pure Chemical Industries, Ltd., Chuo-ku, Osaka, Japan) column was performed on the most active ethyl acetate fraction, using a mixture of n-hexane, ethyl acetate and methanol with increasing polarity. The major compound observed was purified using silica G-60 with sulfuric acid-ethanol (1:9) and was found to be the most active fraction of S. wallichii, which was characterized and analyzed as described previously (13). The isolate was, however, identified by spectroscopic methods [ultraviolet, infrared, nuclear magnetic resonance (NMR)] and liquid chromatography mass spectrometry (16).

P. falciparum parasite culture

The chloroquine-resistant P. falciparum strain, K-1, was cultured asynchronously as described in a previous study (17). The culture was grown in RPMI-1640 medium (Sigma-Aldrich, St. Louis, MO, USA) containing 10% type B or O human serum (serum type showed no significant effect on parasite growth), 25 mM 4-(2-hydroxyethyl)-1-piperazineethanesulfonic acid (HEPES) (Wako Pure Chemical Industries, Ltd.), 25 μg/ml gentamycin (Sigma-Aldrich), 25 mM sodium bicarbonate (Wako Pure Chemical Industries, Ltd.) and human type O red blood cells (RBCs) to generate the final 5% hematocrit mixture. The parasite was cultured in a humidified incubator in 5% CO2 and 5% O2 at 37°C.

Growth inhibitory assay

The growth inhibitory effect of the extract, fractions or isolate of S. wallichii against P. falciparum was determined by culturing the parasite with an initial parasitemia of 0.1% in 5% hematocrit. The culture medium containing the extract, fractions or isolate of S. wallichii was changed every 24 h and the number of RBCs containing the parasite (pRBCs) was counted. Thin-smeared slides of Giemsa-stained RBCs were prepared, pRBCs were counted, and the number of pRBCs in 3,000 RBCs was determined under a light microscope at a magnification of ×1,000. The experiment was terminated at 72 h. Each concentration was created in triplicate and the experiment was performed in triplicate. The parasite morphology was observed prior to counting the pRBCs in the same culture plate using the same method.

Determination of the IC50 concentration against P. falciparum

The IC50 determination of kaempferol-3-O-rhamnoside against P. falciparum was performed using a similar method to that of the ‘growth inhibitory assay’, as described in a previous report (18). The culture medium containing kaempferol-3-O-rhamnoside with concentrations of 115, 230 and 460 μM was incubated for 24 h and the number of pRBCs was counted. Thin-smeared slides of Giemsa-stained RBCs were prepared, the pRBCs were counted, and the number of pRBCs in 3,000 RBCs was determined under a light microscope at a magnification of ×1,000. The IC50 values that represent the concentrations required to inhibit 50% of plasmodium growth were calculated from a calibration curve by linear regression.

Statistical analysis

Statistically significant differences were determined by the Student’s t-test. P<0.05 was considered to indicate a statistically significant difference.

Results

Growth of P. falciparum is inhibited by the ethyl acetate fraction of S. wallichii

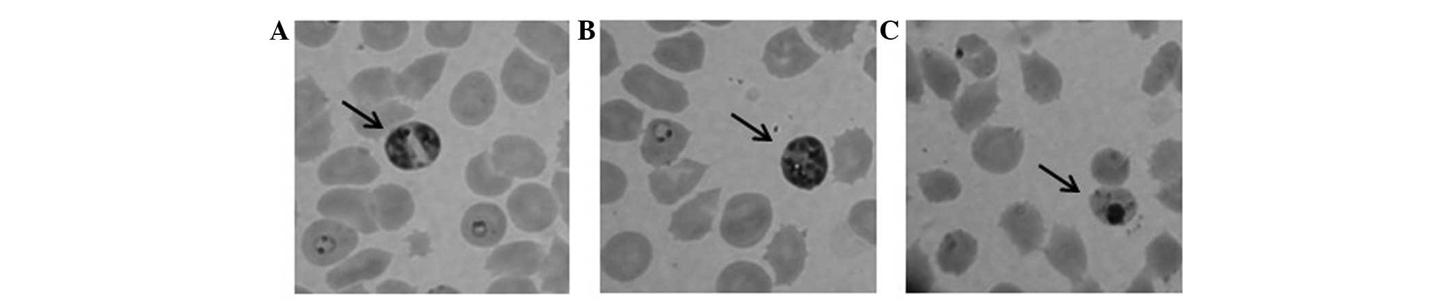
The S. wallichii extract (100 μg/ml) was shown to inhibit P. falciparum growth after a 24-h treatment. P. falciparum morphological changes were detected following treatment with the extract (Fig. 1). The extract was partitioned into n-hexane, ethyl acetate and water. The extract and each fraction at a concentration of 100 μg/ml were then used to treat the parasites cultured in RBCs for 72 h. The extract, n-hexane and ethyl acetate fractions significantly inhibited parasite growth in the RBC culture, which was observed by the decreasing parasitemia level of 3,000 RBCs compared with that in the untreated parasite culture (Fig. 2). These results indicated that the ethyl acetate fraction was the most active fraction that inhibited parasite growth.

Figure 1

Plasmodium falciparum morphology after 24 h of incubation with the Schima wallichii (S. wallichii) Korth. extract. (A) No change was observed without treatment or control (arrow), while changes were detected following incubation with (B) 10 or (C) 100 μg/ml extract as indicated by the arrows. The treatment with 100 μg/ml S. wallichii Korth. extract caused shrinkage and pyknotic bodies in the parasite morphology.

Figure 2

Growth inhibitory effect against Plasmodium falciparum (P. falciparum) following treatment with the Schima wallichii (S. wallichii) Korth. extract and fractions for 24–72 h (100 μg/ml each). The ethyl acetate fraction of S. wallichii Korth. showed the strongest inhibitory effect on the P. falciparum growth rate. Data are the mean of three independent experiments.

Kaempferol-3-O-rhamnoside is the major compound of the ethyl acetate fraction of the S. wallichii extract

The strongest parasite growth inhibition effect was observed following the treatment with the ethyl acetate fraction of S. wallichii. Based on a previous study (13), it was found that the major compound of the ethyl acetate fraction of the S. wallichii extract was kaempferol-3-O-rhamnoside. The compound was purified, isolated and identified as kaempferol-3-O-rhamnoside (C21H20O10) with a molecular weight of 432 (Fig. 3).

Figure 3

Structure of kaempferol-3-O-rhamnoside (or 3,4′,5,7-tetrahydroxyflavone-3-O-rhamnoside) isolated from Schima wallichii Korth. leaves.

Kaempferol-3-O-rhamnoside inhibits P. falciparum culture growth

The antiplasmodial effect of kaempferol-3-O-rhamnoside was observed 24–72 h following the treatment with kaempferol-3-O-rhamnoside in P. falciparum culture (Fig. 4). Parasite growth was significantly inhibited by 250 μM kaempferol-3-O-rhamnoside to 54.3% at 24 h of treatment, 83.9% at 48 h and 96% at 72 h compared with the untreated control. The results shown in Fig. 4 also show that the antiplasmodial properties of kaempferol-3-O-rhamnoside were dose-dependent. Incubation with 25 μM kaempferol-3-O-rhamnoside did not show significant parasite growth inhibitory activity (almost similar to the negative control).

Figure 4

Antiplasmodial activity of kaempferol-3-O-rhamnoside against Plasmodium falciparum. Treatment with 250 μM kaempferol-3-O-rhamnoside showed strong antiplasmodial activity. Data are the mean of three independent experiments. *P<0.05 compared to control.

Subsequent analysis of the antiplasmodial activities against P. falciparum culture using various concentrations (0, 115, 230, 345 and 460 μM) of kaempferol-3-O-rhamnoside for 24 h showed that the IC50 value of kaempferol-3-O-rhamnoside was 106 μM (Fig. 5). At this concentration, kaempferol-3-O-rhamnoside actively inhibited the growth rate of P. falciparum and selectively affected the parasite, but not the human RBCs as the host cells.

Figure 5

Various concentrations of kaempferol-3-O-rhamnoside determining the IC50 value against Plasmodium falciparum after incubation for 24 h. The IC50 value of kaempferol-3-O-rhamnoside was 106 μM. Data are the mean of three independent experiments.

Discussion

In the present study, treatment with 100 μg/ml S. wallichii extract caused shrinkage and pyknotic bodies in the parasite morphology, but not in the human RBCs as the host cells in P. falciparum culture. Pyknosis is an irreversible condition involving chromatin condensation in the nucleus. This condition shows ongoing necrosis or apoptosis inside the cells, which is followed by nucleus fragmentation (19). This finding showed that S. wallichii Korth. extract has selective antimalarial activity.

The results also demonstrate that the ethanol extract of S. wallichii inhibited parasite growth. Results of the present study also show that the ethyl acetate fraction of S. wallichii had the strongest antiplasmodial activity in a time-dependent manner. This result suggests that this fraction has the potential to be explored for its active antiplasmodial compounds.

The characterized compound in the ethyl acetate fraction was determined to be kaempferol-3-O-rhamnoside following purification by column chromatography and identification by NMR. In addition, kaempferol-3-O-rhamnoside that was isolated from S. wallichii has also been reported to have anti-cancer activity by inducing the apoptotic mechanism through the caspase-cascade pathway in MCF-7 breast cancer cells (13). The results of the present study show that at a concentration of 250 μM, kaempferol-3-O-rhamnoside inhibited parasite growth in a time-dependent manner. In subsequent investigations, the IC50 was also confirmed to be 106 μM in vitro against chloroquine-resistant P. falciparum after the 24-h treatment.

Oxidative stress through the generation of reactive oxygen species (ROS) plays an important role in the pathogenesis of malarial infection. During rapid growth and multiplying, plasmodium produces toxic redox active by-products that cause host haemoglobin degradation (20–22). Additionally, ROS are also produced by recruited and activated monocytes and neutrophils during infections that attack infected and uninfected erythrocytes, which increases the ROS level (22–24). Plasmodium cause damage in the membrane cells of infected and uninfected erythrocytes by inducing lipid peroxidation, leading to an aging-like process, eventually resulting in anemia (24). As a polyphenol, kaempferol-3-O-rhamnoside is able to inhibit lipid peroxidation and cyclooxygenase (COX) enzymes (COX-1 and COX-2) (25). Thus, it can be hypothesized that these antioxidant properties may be responsible for the antiplasmodial acitivity of kaempferol-3-O-rhamnoside.

The present study has shown the antiplasmodial activity of S. wallichii, which was previously reported for its anticancer properties (13). This is similar to another study, which focused on Cryptolepis sanguinolenta (Lindl.) Schltr (Periplocaceae), a traditional antimalarial in West Africa, for its anticancer activity by its cytotoxic effect in mammalian cells (26).

As the study is in a preliminary stage, follow-up studies on the antiplasmodial mechanisms in various plasmodium life stages in vitro an in vivo are currently being conducted in our laboratory. However, these findings provide a basis for subsequent investigations of kaempferol-3-O-rhamnoside as a candidate compound for potential antimalarial in drug development.

References

1 

Hyde JE: Drug-resistant malaria - an insight. FEBS J. 274:4688–4698. 2007. View Article : Google Scholar : PubMed/NCBI

2 

Elyazar IR, Hay SI and Baird JK: Malaria distribution, prevalence, drug resistance and control in Indonesia. Adv Parasitol. 74:41–175. 2011. View Article : Google Scholar : PubMed/NCBI

3 

Maguire JD, Tuti S, Sismadi P, et al: Endemic coastal malaria in the Thousand Islands District, near Jakarta, Indonesia. Trop Med Int Health. 10:489–496. 2005. View Article : Google Scholar : PubMed/NCBI

4 

Syafruddin D, Asih PB, Wahid I, et al: Malaria prevalence in Nias District, North Sumatra Province, Indonesia. Malar J. 6:1162007. View Article : Google Scholar : PubMed/NCBI

5 

Asih PB, Rogers WO, Susanti AI, et al: Seasonal distribution of anti-malarial drug resistance alleles on the island of Sumba, Indonesia. Malar J. 8:2222009. View Article : Google Scholar : PubMed/NCBI

6 

Asih PB, Rozi IE, Herdiana, et al: The baseline distribution of malaria in the initial phase of elimination in Sabang Municipality, Aceh Province, Indonesia. Malar J. 11:2912012. View Article : Google Scholar : PubMed/NCBI

7 

Wells TN: Natural products as starting points for future anti-malarial therapies: going back to our roots? Malar J. 10(Suppl 1): S32011. View Article : Google Scholar : PubMed/NCBI

8 

Ginsburg H and Deharo E: A call for using natural compounds in the development of new antimalarial treatments - an introduction. Malar J. 10(Suppl 1): S12011. View Article : Google Scholar : PubMed/NCBI

9 

Kong DX, Li XJ and Zhang HY: Where is the hope for drug discovery? Let history tell the future. Drug Discov Today. 14:115–119. 2009. View Article : Google Scholar : PubMed/NCBI

10 

Wagner H and Ulrich-Merzenich G: Synergy research: approaching a new generation of phytopharmaceuticals. Phytomedicine. 16:97–110. 2009. View Article : Google Scholar : PubMed/NCBI

11 

Koshimizu K, Murakami A, Hayashi H, Ohigashi H, Subarnas A, Gurmaya KJ and Ali A: Biological activities of edible and medicinal plants from Indonesia and Malaysia. In: Proceedings of The Tokyo International Forum on Conservation and Sustainable Use of Tropical Bioresources; Japan Bioindustry Association; Tokyo: pp. 203–208. 1998

12 

Subarnas A, Hadiansyah C, Gurmaya KJ and Muhtadi A: Characterization of antimutagenic compound from primates- consumed plant Schima wallichii. Biotika. 2:7–13. 2003.

13 

Diantini A, Subarnas A, Lestari K, et al: Kaempferol-3-O- rhamnoside isolated from the leaves of Schima wallichii Korth. inhibits MCF-7 breast cancer cell proliferation through activation of the caspase cascade pathway. Oncol Lett. 3:1069–1072. 2012.

14 

Lalfakzuala R, Lalramnghinglova H and Kayang H: Ethnobotanical usages of plants in western Mizoram. Indian J Tradit Knowl. 6:486–493. 2007.

15 

Keng H: Flora malesianae precursores - LVIII, part four. The genus Schima(Theaceae) in Malesia. Gard Bull Singapore. 46:77–88. 1994.

16 

Silverstein RM, Webster FX and Kiemle DJ: Spectrometric Identification of Organic Compounds. 7th edition. John Wiley & Sons; New Jersey, NJ: pp. 72–229. 2005

17 

Taguchi N, Hatabu T, Yamaguchi H, Suzuki M, Sato K and Kano S: Plasmodium falciparum: selenium-induced cytotoxicity to P. falciparum. Exp Parasitol. 106:50–55. 2004. View Article : Google Scholar

18 

Suradji EW, Hatabu T, Kobayashi K, et al: Selenium-induced apoptosis-like cell death in Plasmodium falciparum. Parasitology. 19:1–11. 2011.

19 

Baehrecke EH: How death shapes life during development. Nat Rev Mol Cell Biol. 3:779–787. 2002. View Article : Google Scholar : PubMed/NCBI

20 

Ginsburg H and Atamna H: The redox status of malaria-infected erythrocytes: an overview with an emphasis on unresolved problems. Parasite. 1:5–13. 1994. View Article : Google Scholar : PubMed/NCBI

21 

Becker K, Tilley L, Vennerstrom JL, Roberts D, Rogerson S and Ginsburg H: Oxidative stress in malaria parasite-infected erythrocytes: host-parasite interactions. Int J Parasitol. 34:163–189. 2004. View Article : Google Scholar : PubMed/NCBI

22 

Ibrahim MA, Zuwahu MM, Isah MB, Jatau ID, Aliyu AB and Umar IA: Effects of vitamin E administration on Plasmodium berghei induced pathological changes and oxidative stress in mice. Trop Biomed. 29:98–106. 2012.

23 

Postma NS, Mommers EC, Eling WM and Zuidema J: Oxidative stress in malaria: implications for prevention and therapy. Pharm World Sci. 18:121–129. 1996. View Article : Google Scholar : PubMed/NCBI

24 

Omodeo-Salè F, Motti A, Basilico N, Parapini S, Olliaro P and Taramelli D: Accelerated senescence of human erythrocytes cultured with Plasmodium falciparum. Blood. 102:705–711. 2003.PubMed/NCBI

25 

Vareed SK, Schutzki RE and Nair MG: Lipid peroxidation, cyclooxygenase enzyme and tumor cell proliferation inhibitory compounds in Cornus kousa fruits. Phytomedicine. 14:706–709. 2007. View Article : Google Scholar : PubMed/NCBI

26 

Ansah C and Mensah KB: A review of the anticancer potential of the antimalarial herbal Cryptolepis sanguinolenta and its major alkaloid cryptolepine. Ghana Med J. 47:137–147. 2013.PubMed/NCBI

Related Articles

  • Abstract
  • View
  • Download
  • Twitter
Copy and paste a formatted citation
Spandidos Publications style
Barliana MI, Suradji EW, Abdulah R, Diantini A, Hatabu T, Nakajima‑Shimada J, Subarnas A and Koyama H: Antiplasmodial properties of kaempferol‑3‑O‑rhamnoside isolated from the leaves of Schima wallichii against chloroquine‑resistant Plasmodium falciparum. Biomed Rep 2: 579-583, 2014.
APA
Barliana, M.I., Suradji, E.W., Abdulah, R., Diantini, A., Hatabu, T., Nakajima‑Shimada, J. ... Koyama, H. (2014). Antiplasmodial properties of kaempferol‑3‑O‑rhamnoside isolated from the leaves of Schima wallichii against chloroquine‑resistant Plasmodium falciparum. Biomedical Reports, 2, 579-583. https://doi.org/10.3892/br.2014.271
MLA
Barliana, M. I., Suradji, E. W., Abdulah, R., Diantini, A., Hatabu, T., Nakajima‑Shimada, J., Subarnas, A., Koyama, H."Antiplasmodial properties of kaempferol‑3‑O‑rhamnoside isolated from the leaves of Schima wallichii against chloroquine‑resistant Plasmodium falciparum". Biomedical Reports 2.4 (2014): 579-583.
Chicago
Barliana, M. I., Suradji, E. W., Abdulah, R., Diantini, A., Hatabu, T., Nakajima‑Shimada, J., Subarnas, A., Koyama, H."Antiplasmodial properties of kaempferol‑3‑O‑rhamnoside isolated from the leaves of Schima wallichii against chloroquine‑resistant Plasmodium falciparum". Biomedical Reports 2, no. 4 (2014): 579-583. https://doi.org/10.3892/br.2014.271
Copy and paste a formatted citation
x
Spandidos Publications style
Barliana MI, Suradji EW, Abdulah R, Diantini A, Hatabu T, Nakajima‑Shimada J, Subarnas A and Koyama H: Antiplasmodial properties of kaempferol‑3‑O‑rhamnoside isolated from the leaves of Schima wallichii against chloroquine‑resistant Plasmodium falciparum. Biomed Rep 2: 579-583, 2014.
APA
Barliana, M.I., Suradji, E.W., Abdulah, R., Diantini, A., Hatabu, T., Nakajima‑Shimada, J. ... Koyama, H. (2014). Antiplasmodial properties of kaempferol‑3‑O‑rhamnoside isolated from the leaves of Schima wallichii against chloroquine‑resistant Plasmodium falciparum. Biomedical Reports, 2, 579-583. https://doi.org/10.3892/br.2014.271
MLA
Barliana, M. I., Suradji, E. W., Abdulah, R., Diantini, A., Hatabu, T., Nakajima‑Shimada, J., Subarnas, A., Koyama, H."Antiplasmodial properties of kaempferol‑3‑O‑rhamnoside isolated from the leaves of Schima wallichii against chloroquine‑resistant Plasmodium falciparum". Biomedical Reports 2.4 (2014): 579-583.
Chicago
Barliana, M. I., Suradji, E. W., Abdulah, R., Diantini, A., Hatabu, T., Nakajima‑Shimada, J., Subarnas, A., Koyama, H."Antiplasmodial properties of kaempferol‑3‑O‑rhamnoside isolated from the leaves of Schima wallichii against chloroquine‑resistant Plasmodium falciparum". Biomedical Reports 2, no. 4 (2014): 579-583. https://doi.org/10.3892/br.2014.271
Follow us
  • Twitter
  • LinkedIn
  • Facebook
About
  • Spandidos Publications
  • Careers
  • Cookie Policy
  • Privacy Policy
How can we help?
  • Help
  • Live Chat
  • Contact
  • Email to our Support Team