Spandidos Publications Logo
  • About
    • About Spandidos
    • Aims and Scopes
    • Abstracting and Indexing
    • Editorial Policies
    • Reprints and Permissions
    • Job Opportunities
    • Terms and Conditions
    • Contact
  • Journals
    • All Journals
    • Oncology Letters
      • Oncology Letters
      • Information for Authors
      • Editorial Policies
      • Editorial Board
      • Aims and Scope
      • Abstracting and Indexing
      • Bibliographic Information
      • Archive
    • International Journal of Oncology
      • International Journal of Oncology
      • Information for Authors
      • Editorial Policies
      • Editorial Board
      • Aims and Scope
      • Abstracting and Indexing
      • Bibliographic Information
      • Archive
    • Molecular and Clinical Oncology
      • Molecular and Clinical Oncology
      • Information for Authors
      • Editorial Policies
      • Editorial Board
      • Aims and Scope
      • Abstracting and Indexing
      • Bibliographic Information
      • Archive
    • Experimental and Therapeutic Medicine
      • Experimental and Therapeutic Medicine
      • Information for Authors
      • Editorial Policies
      • Editorial Board
      • Aims and Scope
      • Abstracting and Indexing
      • Bibliographic Information
      • Archive
    • International Journal of Molecular Medicine
      • International Journal of Molecular Medicine
      • Information for Authors
      • Editorial Policies
      • Editorial Board
      • Aims and Scope
      • Abstracting and Indexing
      • Bibliographic Information
      • Archive
    • Biomedical Reports
      • Biomedical Reports
      • Information for Authors
      • Editorial Policies
      • Editorial Board
      • Aims and Scope
      • Abstracting and Indexing
      • Bibliographic Information
      • Archive
    • Oncology Reports
      • Oncology Reports
      • Information for Authors
      • Editorial Policies
      • Editorial Board
      • Aims and Scope
      • Abstracting and Indexing
      • Bibliographic Information
      • Archive
    • Molecular Medicine Reports
      • Molecular Medicine Reports
      • Information for Authors
      • Editorial Policies
      • Editorial Board
      • Aims and Scope
      • Abstracting and Indexing
      • Bibliographic Information
      • Archive
    • World Academy of Sciences Journal
      • World Academy of Sciences Journal
      • Information for Authors
      • Editorial Policies
      • Editorial Board
      • Aims and Scope
      • Abstracting and Indexing
      • Bibliographic Information
      • Archive
    • International Journal of Functional Nutrition
      • International Journal of Functional Nutrition
      • Information for Authors
      • Editorial Policies
      • Editorial Board
      • Aims and Scope
      • Abstracting and Indexing
      • Bibliographic Information
      • Archive
    • International Journal of Epigenetics
      • International Journal of Epigenetics
      • Information for Authors
      • Editorial Policies
      • Editorial Board
      • Aims and Scope
      • Abstracting and Indexing
      • Bibliographic Information
      • Archive
    • Medicine International
      • Medicine International
      • Information for Authors
      • Editorial Policies
      • Editorial Board
      • Aims and Scope
      • Abstracting and Indexing
      • Bibliographic Information
      • Archive
  • Articles
  • Information
    • Information for Authors
    • Information for Reviewers
    • Information for Librarians
    • Information for Advertisers
    • Conferences
  • Language Editing
Spandidos Publications Logo
  • About
    • About Spandidos
    • Aims and Scopes
    • Abstracting and Indexing
    • Editorial Policies
    • Reprints and Permissions
    • Job Opportunities
    • Terms and Conditions
    • Contact
  • Journals
    • All Journals
    • Biomedical Reports
      • Information for Authors
      • Editorial Policies
      • Editorial Board
      • Aims and Scope
      • Abstracting and Indexing
      • Bibliographic Information
      • Archive
    • Experimental and Therapeutic Medicine
      • Information for Authors
      • Editorial Policies
      • Editorial Board
      • Aims and Scope
      • Abstracting and Indexing
      • Bibliographic Information
      • Archive
    • International Journal of Epigenetics
      • Information for Authors
      • Editorial Policies
      • Editorial Board
      • Aims and Scope
      • Abstracting and Indexing
      • Bibliographic Information
      • Archive
    • International Journal of Functional Nutrition
      • Information for Authors
      • Editorial Policies
      • Editorial Board
      • Aims and Scope
      • Abstracting and Indexing
      • Bibliographic Information
      • Archive
    • International Journal of Molecular Medicine
      • Information for Authors
      • Editorial Policies
      • Editorial Board
      • Aims and Scope
      • Abstracting and Indexing
      • Bibliographic Information
      • Archive
    • International Journal of Oncology
      • Information for Authors
      • Editorial Policies
      • Editorial Board
      • Aims and Scope
      • Abstracting and Indexing
      • Bibliographic Information
      • Archive
    • Medicine International
      • Information for Authors
      • Editorial Policies
      • Editorial Board
      • Aims and Scope
      • Abstracting and Indexing
      • Bibliographic Information
      • Archive
    • Molecular and Clinical Oncology
      • Information for Authors
      • Editorial Policies
      • Editorial Board
      • Aims and Scope
      • Abstracting and Indexing
      • Bibliographic Information
      • Archive
    • Molecular Medicine Reports
      • Information for Authors
      • Editorial Policies
      • Editorial Board
      • Aims and Scope
      • Abstracting and Indexing
      • Bibliographic Information
      • Archive
    • Oncology Letters
      • Information for Authors
      • Editorial Policies
      • Editorial Board
      • Aims and Scope
      • Abstracting and Indexing
      • Bibliographic Information
      • Archive
    • Oncology Reports
      • Information for Authors
      • Editorial Policies
      • Editorial Board
      • Aims and Scope
      • Abstracting and Indexing
      • Bibliographic Information
      • Archive
    • World Academy of Sciences Journal
      • Information for Authors
      • Editorial Policies
      • Editorial Board
      • Aims and Scope
      • Abstracting and Indexing
      • Bibliographic Information
      • Archive
  • Articles
  • Information
    • For Authors
    • For Reviewers
    • For Librarians
    • For Advertisers
    • Conferences
  • Language Editing
Login Register Submit
  • This site uses cookies
  • You can change your cookie settings at any time by following the instructions in our Cookie Policy. To find out more, you may read our Privacy Policy.

    I agree
Search articles by DOI, keyword, author or affiliation
Search
Advanced Search
presentation
Molecular and Clinical Oncology
Join Editorial Board Propose a Special Issue
Print ISSN: 2049-9450 Online ISSN: 2049-9469
Journal Cover
September-2019 Volume 11 Issue 3

Full Size Image

Sign up for eToc alerts
Recommend to Library

Journals

International Journal of Molecular Medicine

International Journal of Molecular Medicine

International Journal of Molecular Medicine is an international journal devoted to molecular mechanisms of human disease.

International Journal of Oncology

International Journal of Oncology

International Journal of Oncology is an international journal devoted to oncology research and cancer treatment.

Molecular Medicine Reports

Molecular Medicine Reports

Covers molecular medicine topics such as pharmacology, pathology, genetics, neuroscience, infectious diseases, molecular cardiology, and molecular surgery.

Oncology Reports

Oncology Reports

Oncology Reports is an international journal devoted to fundamental and applied research in Oncology.

Experimental and Therapeutic Medicine

Experimental and Therapeutic Medicine

Experimental and Therapeutic Medicine is an international journal devoted to laboratory and clinical medicine.

Oncology Letters

Oncology Letters

Oncology Letters is an international journal devoted to Experimental and Clinical Oncology.

Biomedical Reports

Biomedical Reports

Explores a wide range of biological and medical fields, including pharmacology, genetics, microbiology, neuroscience, and molecular cardiology.

Molecular and Clinical Oncology

Molecular and Clinical Oncology

International journal addressing all aspects of oncology research, from tumorigenesis and oncogenes to chemotherapy and metastasis.

World Academy of Sciences Journal

World Academy of Sciences Journal

Multidisciplinary open-access journal spanning biochemistry, genetics, neuroscience, environmental health, and synthetic biology.

International Journal of Functional Nutrition

International Journal of Functional Nutrition

Open-access journal combining biochemistry, pharmacology, immunology, and genetics to advance health through functional nutrition.

International Journal of Epigenetics

International Journal of Epigenetics

Publishes open-access research on using epigenetics to advance understanding and treatment of human disease.

Medicine International

Medicine International

An International Open Access Journal Devoted to General Medicine.

Journal Cover
September-2019 Volume 11 Issue 3

Full Size Image

Sign up for eToc alerts
Recommend to Library

  • Article
  • Citations
    • Cite This Article
    • Download Citation
    • Create Citation Alert
    • Remove Citation Alert
    • Cited By
  • Similar Articles
    • Related Articles (in Spandidos Publications)
    • Similar Articles (Google Scholar)
    • Similar Articles (PubMed)
  • Download PDF
  • Download XML
  • View XML
Article Open Access

Significance of neoadjuvant chemoradiotherapy for borderline resectable pancreatic head cancer: Pathological local invasion and microvessel invasion analysis

  • Authors:
    • Yoshiki Naito
    • Hiroto Ishikawa
    • Eiji Sadashima
    • Yoshinobu Okabe
    • Kenjiro Takahashi
    • Ryuichi Kawahara
    • Toru Hisaka
    • Masaru Fukahori
    • Tomoyuki Ushijima
    • Yusuke Ishida
    • Masahiko Tanigawa
    • Yutaro Mihara
    • Masamichi Nakayama
    • Reiichiro Kondo
    • Hironori Kusano
    • Yorihiko Takase
    • Hideyuki Abe
    • Etsuyo Ogo
    • Koji Okuda
    • Kazuhide Shimamatsu
    • Hirohisa Yano
    • Jun Akiba
  • View Affiliations / Copyright

    Affiliations: Department of Diagnostic Pathology, Kurume University Hospital, Kurume, Fukuoka 830‑0011, Japan, Department of Surgery, Kurume University School of Medicine, Kurume, Fukuoka 830‑0011, Japan, Life Science Research Institute, Saga‑ken Medical Center Koseikan, Saga 840‑8571, Japan, Division of Gastroenterology, Department of Medicine, Kurume University School of Medicine, Kurume, Fukuoka 830‑0011, Japan, Department of Pathology, Kurume University School of Medicine, Kurume, Fukuoka 830‑0011, Japan, Department of Radiology, Kurume University School of Medicine, Kurume, Fukuoka 830‑0011, Japan, Department of Pathology, Omuta City Hospital, Omuta, Fukuoka 836‑8567, Japan
    Copyright: © Naito et al. This is an open access article distributed under the terms of Creative Commons Attribution License.
  • Pages: 225-233
    |
    Published online on: June 20, 2019
       https://doi.org/10.3892/mco.2019.1885
  • Expand metrics +
Metrics: Total Views: 0 (Spandidos Publications: | PMC Statistics: )
Metrics: Total PDF Downloads: 0 (Spandidos Publications: | PMC Statistics: )
Cited By (CrossRef): 0 citations Loading Articles...

This article is mentioned in:



Abstract

Borderline resectable pancreatic head cancer (BR‑PHC) has low resectability due to vascular invasion. Although the clinical effects of neoadjuvant chemoradiotherapy (NAC‑RT) for BR‑PHC have been examined, few studies have reported its pathological aspects. The present study retrospectively investigated the effect of NAC‑RT on the histological features of BR‑PHC. A total of 29 patients with BR‑PHC who underwent NAC‑RT, and 55 controls with resectable PHC, who underwent pancreaticoduodenectomy at the Kurume University Hospital. Tumor staging, lymphovascular invasion (LVI), and microvessel invasion (MVI) were evaluated. The median tumor size in the NAC‑RT group was 2.0 cm, and it was smaller than that of the control group (P=0.006). The rates of lymph node metastasis, LVI, and MVI were significantly lower in the NAC‑RT group (P<0.001, 0.002, and 0.015, respectively). Overall survival in the NAC‑RT group was comparable to that in the control group, although patients with BR‑PHC generally had a poorer prognosis than those with resectable PHC. Patients in the NAC‑RT group without portal vein invasion (PVI) had a significantly better prognosis than those with PVI in the control group (P=0.002). NAC‑RT may be beneficial for patients with BR‑PHC by inhibiting local invasion and metastasis as prognosis following resection could be equivalent to that of patients with conventional ductal adenocarcinoma.

Introduction

Pancreatic cancer (PC) is one of the most lethal malignant neoplasms and a major cause of cancer-related death in developed countries (1–3). Surgical resection has contributed to favorable prognosis, and progress in surgical techniques and perioperative care have reduced the rates of mortality and severe complications (4–6). However, the long-term survival rate has plateaued over the last three decades (7). Most patients present with advanced stage at initial diagnosis (8), and effective drugs are still under development because of the complexity of PC at the genomic, epigenetic, and metabolic levels (9–11). Particularly, patients with advanced stage pancreatic head cancer (PHC) can often only undergo non-curative operation, as the tumor cells tend to invade adjacent main vessels. However, chemotherapy and/or radiation therapy prior to operation, known as neoadjuvant chemoradiotherapy (NAC-RT), has been recently introduced as a treatment strategy, and has achieved several successful outcomes (7,9,12–14).

Borderline resectable PHC (BR-PHC) is defined as a tumor of low resectability because it is accompanied by vascular invasion, especially portal venous and arterial involvement (15–17). The possibility of complete resection of BR-PHC depends on the efficacy of preoperative NAC-RT, i.e., stable disease or complete or partial response (9). Jang et al (14). reported that the 2-year prognosis of patients who received neoadjuvant treatment was significantly better than the prognosis of those receiving upfront surgery. There are several reasons for this, including early systemic treatment for undetected micrometastases, no residual tumor (R0) rate increment, and optimal selection of patients for surgery (14). Above all, R0 resection is closely linked to the regression of local vascular invasion, more specifically, invasion to the portal and superior mesenteric veins.

Japanese pathologists routinely make meticulous diagnoses using the Japanese Classification of Pancreatic Cancer (18), which requires individual evaluation of invasion of the bile duct, duodenum, anterior or posterior pancreatic tissue, portal venous system, arterial system, extrapancreatic nerve plexus and surgical margin. In contrast, these parameters are combined in the World Health Organization (WHO) classification, thus the diagnosis of T3 tumors remains only a rough estimate. Since PHC deserves careful attention, our approach of separate evaluation seems to be indispensable to specify important factors for the prognosis of PC.

This study compared the clinicopathological features of BR-PHC with NAC-RT and resectable PHC and tried to clarify the critical factors influencing the prognosis of PHC.

Materials and methods

Patient selection

This study was a retrospective cohort study using clinicopathological data from the Kurume University Hospital between 2009 and 2016. It was approved by the ethical committee of Kurume University (approved # 17226). Twenty-nine patients with BR-PHC who received NAC-RT were reevaluated. Patients with unresectable PC (UR-PC) were excluded from the study. All patients received a combination of chemotherapy with gemcitabine (600 mg/m2/week) S-1 (50 mg/m2/day) and radiotherapy (50.4 Gy). Approximately one month after conclusion of this neoadjuvant therapy, pancreaticoduodenectomy (PD) was performed under the conditions of no disease progression, metastasis, or contraindications to major abdominal surgery. Pre-treatment cytology under EUS-FNA or ERCP (19) and imaging findings were reviewed in all PHC patients with NAC-RT. Clinical follow-up data were available for overall survival (OS). A control group consisted of resectable 55 PHC patients who underwent PD during the same period.

Resected specimens (pancreas and surrounding tissue) were fixed with 10% buffered formalin; they were then totally sectioned (18 to 42 slides) and embedded in paraffin for microscopic examination. All slides were consecutively cut to 4-mm thickness, stained with hematoxylin and eosin, and evaluated by two pathologists (Y.N., M.T, M.N.). Histological diagnosis was performed based on the 2010 WHO classification, and, according to the Japanese Classification of Pancreatic Cancer (18); invasion to the bile duct, duodenum, serosal side of the anterior pancreatic tissue, retropancreatic tissue, portal venous system, arterial system, extrapancreatic nerve plexus and surgical margin were assessed separately. The extent of residual carcinoma in specimens of BR-PHC after NAC-RT was also evaluated; histological response was classified based on the residual rate of viable cancer cells in post-treatment surgical specimens (Table I) (18). In this study, arterial system invasion was not observed, but cases with portal venous system invasion were defined as local invasion. After HE staining, regions in which viable tumor cells remained were selected and measured as the tumor diameter. For R assessment, cases without exposed tumor cells on the surgically dissected surface were categorized as R0, and cases with exposed tumor cells were categorized as R1. D2-40 immunohistochemical staining (clone D2-40, Nichirei, Japan) for lymphovascular invasion (LVI) and Elastica van Gieson or Victoria blue H&E staining for microvessel invasion (MVI) were prepared for accurate evaluation. Tumor cell invasion into lymph ducts comprised of D2-40 positive endothelial cells was categorized as LVI. Tumor cell invasion findings in veins with elastic fiber measuring more than half the diameter on EVG or Victoria blue H&E staining were categorized as MVI.

Table I.

Histological assessment of preoperative therapeutic effects.

Table I.

Histological assessment of preoperative therapeutic effects.

A, Japanese classification of pancreatic cancer
Grade 1Poor or no response
Grade 1aEstimated residual rate ≥90%
Grade 1b
Grade 2Moderate response10%≤ estimated residual rate <50%
Grade 3Marked response
Estimated residual rate <10%
Grade 4Complete response

B, Evans grading system

Grade I<10% or no tumor cell destruction is evident
Grade IIIIaDestruction of 10–50% of tumor cells
IIbDestruction of 51–90% of tumor cells
Grade III<10% viable-appearing tumor cells are present
Grade IVNo viable tumor cells are present

C, CAP grading system

Grade 0Complete response
Grade 1Marked response
Grade 2Moderate response
Grade 3Poor or no response

[i] CAP, College of American Pathologists grading system.

Statistical analysis

Continuous variables were expressed as medians and ranges and categorical variables as numbers and percentages. Clinicopathological variables were compared using Wilcoxon rank sum, Chi-square, or Fisher exact tests. The survival function for OS was estimated using the Kaplan-Meier method. The log-rank test was used to compare differences in survival rates according to clinicopathological variables. All statistical analyses were performed using SAS version 9.4 (SAS Institute Inc., Cary, NC) and R version 3.4.4. All statistical tests were two-tailed, and P-values <0.05 was considered statistically significant.

Results

Histological assessment of the preoperative therapeutic effect of NAC-RT on BR-PHC

Representative morphopathological features of BR-PHC after NAC-RT are shown in Fig. 1. The post-therapeutic response of tumor cells was represented by clear cytoplasm, pyknosis, loss of nuclei, and indistinct cell borders. In some cases, mucin pools or xanthogranuloma-like features with coarse fibrosis were observed as the host tissue response. Interestingly, intraductal components corresponding to high grade pancreatic intraepithelial neoplasia (PanIN) remained in the pancreatic ducts (Fig. 2). Clinicopathological data of the BR-PHC with NAC-RT and control groups are shown in Table II. The NAC-RT group consisted of 16 men and 13 females and the median age was 66.0 (range 50–78) years. The median tumor size was 20 (range 0–43) mm. Upon comparison of the post therapy tumor stages (ypT0/T1/T2 vs. ypT3), ypT3 was predominant (9 and 23, respectively). For the one patient with pCR (ypT0) (Fig. 3), (20) the pretreatment computerized tomography showed a mass lesion in the pancreas head, and the pretreatment cytology diagnosis was adenocarcinoma. Six patients (21.0%) with lymph node metastasis were classified with ypStage IIB disease. According to the WHO classification standards, 27 of the 29 (93.1%) cases with viable tumors were well to moderately differentiated and 1 (3.4%) was poorly differentiated. In one case, there was no viable cancer cells in any of the specimens (pCR) (20). R0 resection was achieved in 25 (86%) patients. Pathological evaluation of local invasion among the BR-PHC with NAC-RT and the control groups is shown in Table III. Based on the Japanese Classification of Pancreatic Cancer protocol, the histological response to NAC-RT was classified as Grade 1a, Grade 1b, Grade 2, Grade 3, or Grade 4. Grade 1b (55.0%) was the most common, and only one case (4.0%) was Grade 4 (this case achieved pCR) (Table IV). The Grade 4 case had no recurrence for 4 years.

Figure 1.

Histological findings of resected BR-PHC tissue after NAC-RT. (A) Degenerated cells (star) with clear cytoplasm, pyknosis, loss of nuclei, and indistinct cell borders (magnification, ×100). (B) Cancer cells with mucin pools replaced by fibrosis (star) (magnification, ×40). (C) Xanthogranuloma-like feature and coarse fibrosis (star) (magnification, ×100). (D) Viable cancer cells without therapeutic response (star) (magnification, ×400). BR-PHC, Borderline resectable pancreatic head cancer; NAC-RT, neoadjuvant chemoradiotherapy.

Figure 2.

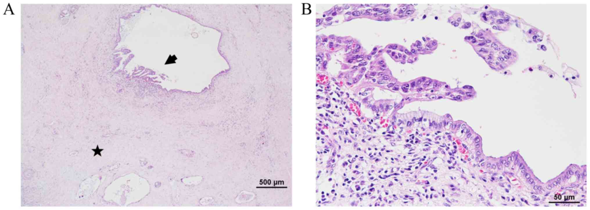
High grade PanIN in resected BR-PHC tissue after NAC-RT. (A) High grade PanIN within a large or medium pancreatic duct (star: Invasion areas, arrow: High grade PanIN) (magnification, ×20). (B) Columnar epithelium showed low papillary growth and a budding structure (magnification, ×200). PanIN, pancreatic intraepithelial neoplasia; BR-PHC, Borderline resectable pancreatic head cancer; NAC-RT, neoadjuvant chemoradiotherapy.

Figure 3.

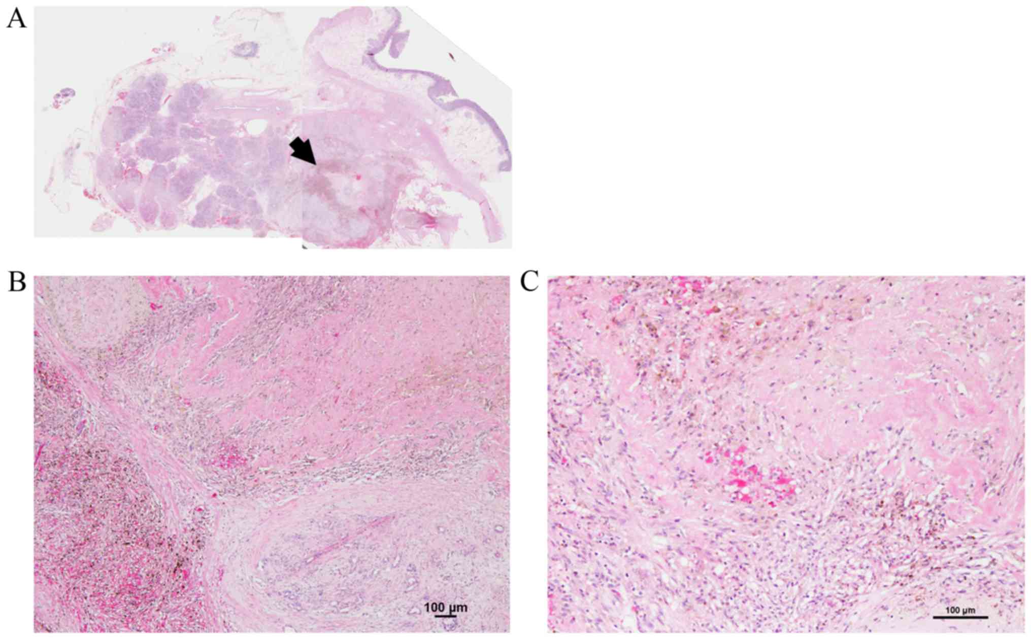
Grade 4 effect of NAC-RT on BR-PHC. (A) Macroscopic findings of the resected pancreatic head cancer showed white and brown colored lesion (arrow). (B and C) Histopathological examination revealed that the tumor cell have disappeared and carcinoma cells had been replaced by fibrosis and remarkable hemorrhage in the pancreatic parenchyma. (magnification, ×40; ×100). BR-PHC, Borderline resectable pancreatic head cancer; NAC-RT, neoadjuvant chemoradiotherapy.

Table II.

Clinicopathological data of BR-PHC with NAC-RT and control groups.

Table II.

Clinicopathological data of BR-PHC with NAC-RT and control groups.

CharacteristicsCategoriesBR-PHC with NAC-RT(%)Control PHC(%)P-value
No. of patients 29 55
Age, y median (min-max) 66 (50–78) 68 (37–81) 0.281
SexMale16(55.2)36(65.5)0.356
Female13(44.8)19(34.5)
OperationPD19(65.5)46(83.6)0.098
PD with PV10(34.5)9(16.4)
Tumor size (mm) median (min-max) 20 (0–43) 28 (0.8-85) 0.006
Tumor stage (T)T0/1/pT29(31.0)8(14.5)0.074
T320(69.0)47(85.5)
Regional LNN023(79.3)20(36.4)<0.001
N16(20.7)35(63.6)
Stage0/IA/IB8(27.6)5(9.1)<0.001
IIA15(51.7)15(27.3)
IIB6(20.7)35(63.6)
HistologyaG1/227(93.1)46(83.6)0.153
G3/41(3.4)9(16.4)
LVIPresent15(51.7)46(83.6)0.002
Absent14(48.3)9(16.4)
MVIPresent18(62.1)47(85.5)0.015
Absent11(37.9)8(14.5)
NIPresent22(75.9)50(90.9)0.098
Absent7(24.1)5(9.1)
Surgical margin (R)Present4(13.8)6(10.9)0.731
Absent25(86.2)49(89.1)

{ label (or @symbol) needed for fn[@id='tfn2-mco-0-0-1885'] } Data are presented as n (%) unless otherwise indicated. BR-PHC, Borderline resectable pancreatic head cancer; NAC-RT, neoadjuvant chemoradiotherapy; PHC, pancreatic head cancer; PD, pancreaticoduodenectomy; LN, lymph nodes; LVI, lymphovascular invasion; MVI, microvascular invasion; NI, neural invasion.

a pCR case was excluded.

Table III.

Pathological evaluation of local invasion among BR-PHC with NAC-RT and control groups.

Table III.

Pathological evaluation of local invasion among BR-PHC with NAC-RT and control groups.

BR-PHC with NAC-RT (n=29)%Control PHC (n=55)%P-value
CH
  Present4(13.8)32(58.2)<0.001
  Absent25(86.2)23(41.8)
DU
  Present13(44.8)30(54.5)0.397
  Absent16(55.2)25(45.5)
S
  Present5(17.2)15(27.3)0.305
  Absent24(82.8)40(72.7)
RP
  Present10(34.5)31(56.4)0.057
  Absent19(65.5)24(43.6)
PV
  Present5(17.2)4(7.3)0.264
  Absent24(82.8)51(92.7)
A
  Present0(0.0)0(0.0)–
  Absent29(100.0)55(100.0)
PL
  Present1(3.4)5(9.1)0.659
  Absent28(96.6)50(90.9)
OO
  Present0(0.0)0(0.0)–
  Absent29(100.0)55(100.0)

[i] BR-PHC, Borderline resectable pancreatic head cancer; NAC-RT, neoadjuvant chemoradiotherapy; CH, pathological bile duct invasion; DU, pathological Duodenal invasion; S, pathological serosal side of the anterior pancreatic tissue invasion; RP, pathological retropancreatic tissue invasion; PV, pathological portal venous system invasion; A, pathological arterial system invasion; PL, pathological extrapancreatic nerve plexus invasion; OO, pathological invasion of other organs.

Table IV.

Grading of histological response to neoadjuvant chemoradiotherapy in BR-PHC.

Table IV.

Grading of histological response to neoadjuvant chemoradiotherapy in BR-PHC.

CAP systemEvans classificationJPS classificationPatients (%)
Grade 3Grade IGrade 1a  5 (17.0)
Grade IIaGrade 1b16 (55.0)
Grade 2Grade IIbGrade 2  7 (24.0)
Grade 1Grade IIIGrade 30 (0.0)
Grade 0Grade IVGrade 4   (4.0)

[i] BR-PHC, Borderline resectable pancreatic head cancer; JPS, Japanese Pancreas Society; CAP, College of American Pathologists grading system.

Correlation of survival with histologic parameters of local invasion of the residual tumor

Comparison of PHC between the NAC-RT and control groups is shown in Table II. The median tumor size was significantly smaller in the NAC-RT group (P=0.006). Lymph node metastases were significantly less common in the NAC-RT group than in the control group (P<0.001). Moreover, the NAC-RT group had significantly lower rates of LVI (51.7%) and MVI (62.1%) than the control group (MVI: P=0.015, LVI: P=0.02; Fig. 4). OS was similar between the BR-PHC with NAC-RT and control groups (P=0.831; Fig. 5A). Additionally, there were no significant differences in OS between the two groups based on grade (Fig. 5B, P=0.470) or stage (Fig. 5C, P=0.167). However, patients in the NAC-RT group with portal vein invasion (PVI) (Fig. 6), MVI, and surgical margin factors had significantly shorter OS than the corresponding patients in the control group (P=0.002, P=0.011, P=0.043, respectively; Fig. 7). Conversely, the BR-PHC with NAC-RT patients without PVI had a significantly better prognosis than patients in the control group with PVI (P=0.002).

Figure 4.

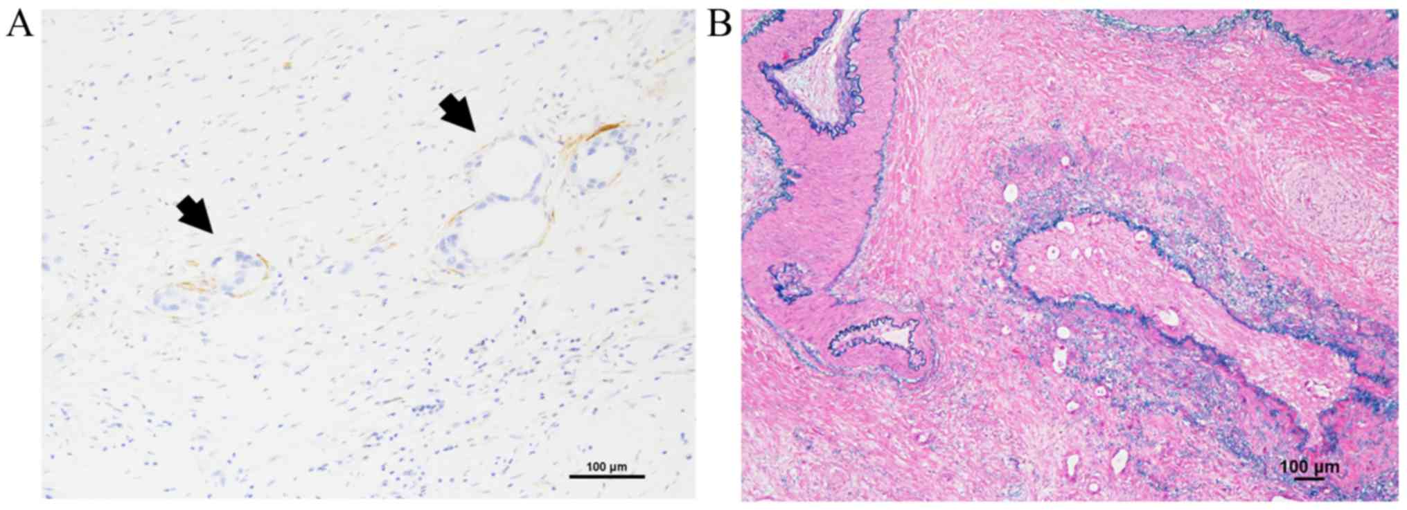
LVI and MVI in resected BR-PHC tissues after NAC-RT. (A) Tumor cell invasion into lymph ducts comprised of D2-40 positive endothelial cells was categorized as LVI (arrows). (B) Tumor cell invasion findings in veins with elastic fiber measuring more than half the diameter on Victoria blue H&E staining were categorized as MVI. (A, D2-40 magnification, ×100; B, Victoria blue H&E magnification, ×40). BR-PHC, Borderline resectable pancreatic head cancer; LVI, lymphovascular invasion; MVI, microvessel invasion.

Figure 5.

(A) Overall survival by NAC-RT, (B) NAC-RT effect, and (C) Stage after NAC-RT. (A) P=0.831, (B) P=0.470, (C) P=0.167 (log rank test).

Figure 6.

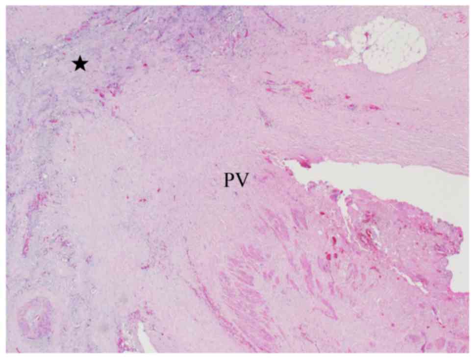
Portal vein invasion in resected BR-PHC tissues after NAC-RT. Post-treatment scar with xanthogranuloma-like features and coarse fibrosis (star); there were no cancer cells in the portal vein system (PV). (magnification, ×200) BR-PHC, Borderline resectable pancreatic head cancer; NAC-RT, neoadjuvant chemoradiotherapy.

Figure 7.

Overall survival by portal vein invasion (A) microvessel invasion, (B) and surgical margin (C). (A) P=0.002, (B) P=0.011, (C) P=0.043 (log rank test).

Discussion

We expected that BR-PHC patients who underwent NAC-RT would have shorter OS than resectable PHC patients, but we found no differences in survival between the two groups. There are several potential reasons for this, including early systemic treatment for undetected micrometastases via LVI and MVI, increases in the R0 resection rate as a result of downsizing the primary tumor and inhibiting local invasion, and optimal selection of patients for surgery. In particular, patients in the NAC-RT group without PVI had significantly better prognosis than patients in the control group with PVI in this study. In this comparison, patients with resectable pancreatic cancer with PVI, in other words histologic BR-PHC, had better prognosis than PHC patients with resected PVI with NAC-RT. Despite the small case-number limitation, PVI resection with NAC-RT was considered to have important implications. Although there were a limited number of pCR cases, we observed that the majority of cases had some response to NAC-RT, which inhibited local invasion and good OS.

In general, PHC patients are diagnosed with locally advanced cancer or metastasis, and many cases are diagnosed as UR-PC at admission. Anatomical relations between the pancreatic head and surrounding tissue, such as the bile duct, major vessels, and duodenum, contribute to the high frequency of extrapancreatic invasion. Among such advanced PHC cases, our data showed that PVI and surgical margins had an impact on survival outcomes. Previous reports have demonstrated that adopting neoadjuvant treatment potentially increases R0 resection rates (21,22). There are competing ideas as to the effect of PVI on survival. One stresses the importance of portal vein resection for PHC with PVI. The other concludes that portal vein resection has no impact on survival duration, and survival in patients who under portal vein resection does not differ from those who undergo standard PD (23).

The prognoses of BR-PHC patients who underwent NAC-RT were unfavorable by preoperative assessment, but improved to be comparable to that of resectable PHC patients, provided that PVIs were dissolved. Most PHCs show a high incidence of peritoneal dissemination or widespread metastasis, such as to the liver and lung (24). These conditions are strongly linked to hematogenous and lymphatic micrometastasis, which are regarded as prognostic factors in PC (25,26). In this study, the NAC-RT group had significantly lower rates of lymph node metastasis, LVI, and MVI than the control group. Moreover, PVI turned out to be a crucial factor affecting OS. We predict that NAC-RT behaves as a protective measure in advanced PC to stem further progression of the disease. However, the fact that the OS of the NAC-RT group did not exceed that of the control group indicates that other factors, not only control or inhibition of LVI and MVI, should be taken into consideration to improve prognosis.

In the present study, NAC-RT was expected to provide good local control and to decrease MVI and LVI in the BR-PHC microenvironment. However, remnants of high grade PanIN within the pancreatic ducts were frequently observed. This may indicate that, compared to invasive carcinoma, PanINs may be resistant to NAC-RT, or NAC-RT has only a limited effect. High grade PanINs often coexist with PC and cause high intraductal spread and shortens the survival of PC patients (27,28). Careful follow-up will be needed in order to detect local recurrence or metastasis to other organs associated with high grade PanINs at an early point.

Histological features of residual carcinoma in post-therapy resection specimens has been shown to correlate with the prognosis of patients with PC and several gastrointestinal cancers (29–32). In this study, the post-therapeutic response of tumor cells was represented by clear cytoplasm, pyknosis, loss of nuclei, and indistinct cell borders. Additionally, mucin pools or xanthogranuloma-like features with coarse fibrosis were observed as the host tissue response. However, the histology of the preoperative therapeutic effect of BR-PHC was non-significantly correlated with OS in patients who received NAC-RT in this study. Moreover, as seen in Fig. 5B, survival curves (Grades 1a and 1b vs. Grades 2, 3, and 4) did not diverge until 8 years after surgery, regardless of control or inhibition of PVI, LVI, and MVI. Several studies have reported that chemotherapy such as FOLFIRINOX and gemcitabine combined with protein-bound paclitaxel (nab-paclitaxel) regimens are widely used due to the relatively high response rate (33–36). In our study, all patients received a combination of chemotherapy with gemcitabine or S-1. Therefore, future studies may need to identify more effective systemic treatments that control local disease and reduce systemic metastasis after treatment.

In summary, NAC-RT could improve the prognosis of BR-PHC patients, such that they have a prognosis similar to that of patients with resectable PHC, if it successfully controls or reduces local progression such as lymph node metastasis, LVI, and MVI. Furthermore, the dissolution of PVI and, although it was rare, complete response by NAC-RT led BR-PHC patients to have a better prognosis than resectable PHC patients.

Acknowledgements

Not applicable.

Funding

The present study was supported by the grant of the 2015 Clinical Research Promotion Foundation (No. 9).

Availability of data and materials

The datasets used and/or analyzed during the present study are available from the corresponding author on reasonable request.

Authors' contributions

YN, HI, ES, KS, HY and JA designed the study and drafted the manuscript. YN and ES performed the statistical analysis. YN, HI, YO, KT, RK, TH, MF, TU, YI, EO and KO. Collected the clinical data. YT and HA performed immunohistochemistry. YN, MT, YM, MN, RK and HK performed pathological analysis.

Ethics approval and consent to participate

This retrospective study was approved by the ethical committee of Kurume University (approval no. 17226), and the requirement for informed consent was waived.

Patient consent for publication

Not applicable.

Competing interests

The authors declare that they have no competing interests.

References

1 

Jemal A, Siegel R, Xu J and Ward E: Cancer statistics, 2010. CA Cancer J Clin. 60:277–300. 2010. View Article : Google Scholar : PubMed/NCBI

2 

Egawa S, Toma H, Ohigashi H, Okusaka T, Nakao A, Hatori T, Maguchi H, Yanagisawa A and Tanaka M: Japan pancreatic cancer registry; 30th year anniversary: Japan pancreas society. Pancreas. 41:985–992. 2012. View Article : Google Scholar : PubMed/NCBI

3 

Matsuno S, Egawa S, Fukuyama S, Motoi F, Sunamura M, Isaji S, Imaizumi T, Okada S, Kato H, Suda K, et al: Pancreatic cancer registry in Japan: 20 years of experience. Pancreas. 28:219–230. 2004. View Article : Google Scholar : PubMed/NCBI

4 

Winter JM, Cameron JL, Campbell KA, Arnold MA, Chang DC, Coleman J, Hodgin MB, Sauter PK, Hruban RH, Riall TS, et al: 1423 pancreaticoduodenectomies for pancreatic cancer: A single-institution experience. J Gastrointest Surg. 10:1199–1210; discussion 1210–1191. 2006. View Article : Google Scholar : PubMed/NCBI

5 

Grobmyer SR, Pieracci FM, Allen PJ, Brennan MF and Jaques DP: Defining morbidity after pancreaticoduodenectomy: Use of a prospective complication grading system. J Am Coll Surg. 204:356–364. 2007. View Article : Google Scholar : PubMed/NCBI

6 

Kimura H, Ohtsuka T, Matsunaga T, Watanabe Y, Tamura K, Ideno N, Aso T, Miyazaki T, Osoegawa T, Aishima S, et al: Predictors and diagnostic strategies for early-stage pancreatic ductal adenocarcinoma: A retrospective study. Pancreas. 44:1148–1154. 2015. View Article : Google Scholar : PubMed/NCBI

7 

Serrano PE, Cleary SP, Dhani N, Kim PT, Greig PD, Leung K, Moulton CA, Gallinger S and Wei AC: Improved long-term outcomes after resection of pancreatic adenocarcinoma: A comparison between two time periods. Ann Surg Oncol. 22:1160–1167. 2015. View Article : Google Scholar : PubMed/NCBI

8 

Garcea G, Dennison AR, Pattenden CJ, Neal CP, Sutton CD and Berry DP: Survival following curative resection for pancreatic ductal adenocarcinoma. A systematic review of the literature. JOP. 9:99–132. 2008.PubMed/NCBI

9 

Neoptolemos JP, Kleeff J, Michl P, Costello E, Greenhalf W and Palmer DH: Therapeutic developments in pancreatic cancer: Current and future perspectives. Nat Rev Gastroenterol Hepatol. 15:333–348. 2018. View Article : Google Scholar : PubMed/NCBI

10 

Kleeff J, Korc M, Apte M, La Vecchia C, Johnson CD, Biankin AV, Neale RE, Tempero M, Tuveson DA, Hruban RH and Neoptolemos JP: Pancreatic cancer. Nat Rev Dis Primers. 2:160222016. View Article : Google Scholar : PubMed/NCBI

11 

Vincent A, Herman J, Schulick R, Hruban RH and Goggins M: Pancreatic cancer. Lancet. 378:607–620. 2011. View Article : Google Scholar : PubMed/NCBI

12 

Xu Y, Guo X, Fan Y, Wang D, Wu W, Wu L, Liu T, Xu B, Feng Y, Wang Y, et al: Efficacy and safety comparison of nabpaclitaxel plus S-1 and gemcitabine plus S-1 as first-line chemotherapy for metastatic pancreatic cancer. Jpn J Clin Oncol. 48:535–541. 2018. View Article : Google Scholar : PubMed/NCBI

13 

Sherman WH, Hecht E, Leung D and Chu K: Predictors of response and survival in locally advanced adenocarcinoma of the pancreas following neoadjuvant GTX with or without radiation therapy. Oncologist. 23:4–e10. 2018. View Article : Google Scholar : PubMed/NCBI

14 

Jang JY, Han Y, Lee H, Kim SW, Kwon W, Lee KH, Oh DY, Chie EK, Lee JM, Heo JS, et al: Oncological benefits of neoadjuvant chemoradiation with gemcitabine versus upfront surgery in patients with borderline resectable pancreatic cancer: A prospective, randomized, open-label, multicenter phase 2/3 trial. Ann Surg. 268:215–222. 2018. View Article : Google Scholar : PubMed/NCBI

15 

Yamada S, Fujii T, Sugimoto H, Nomoto S, Takeda S, Kodera Y and Nakao A: Aggressive surgery for borderline resectable pancreatic cancer: Evaluation of national comprehensive cancer network guidelines. Pancreas. 42:1004–1010. 2013. View Article : Google Scholar : PubMed/NCBI

16 

Isaji S, Mizuno S, Windsor JA, Bassi C, Fernandez-Del Castillo C, Hackert T, Hayasaki A, Katz MHG, Kim SW, Kishiwada M, et al: International consensus on definition and criteria of borderline resectable pancreatic ductal adenocarcinoma 2017. Pancreatology. 18:2–11. 2018. View Article : Google Scholar : PubMed/NCBI

17 

Ishikawa O, Ohigashi H, Imaoka S, Furukawa H, Sasaki Y, Fujita M, Kuroda C and Iwanaga T: Preoperative indications for extended pancreatectomy for locally advanced pancreas cancer involving the portal vein. Ann Surg. 215:231–236. 1992. View Article : Google Scholar : PubMed/NCBI

18 

Uchida K and Masugi Y: Histological assessment of therapeutic response. Classification of Pancreatic Carcinoma: Japan Pancreas Society. Isaji S: Kanehara & Co., Ltd.; Tokyo: pp. 117–122. 2017

19 

Ushijima T, Okabe Y, Ishida Y, Sugiyama G, Sasaki Y, Kuraoka K, Yasumoto M, Taira T, Naito Y, Nakayama M, et al: Evaluation of endoscopic cytological diagnosis of unresectable pancreatic cancer prior to and after the introduction of endoscopic ultrasound-guided fine-needle aspiration. Mol Clin Oncol. 2:599–603. 2014. View Article : Google Scholar : PubMed/NCBI

20 

Nakama Y, Kawahara R, Nomura Y, Muroya D, Arai S, Ishikawa H, Yasunaga M, Horiuchi H, Akagi Y, Tanaka H, et al: A case of pancreatic head cancer showing pathological complete response to neoadjuvant chemoradiation therapy. Gan To Kagaku Ryoho. 42:2376–2378. 2015.(In Japanese). PubMed/NCBI

21 

Ravikumar R, Sabin C, Abu Hilal M, Bramhall S, White S, Wigmore S, Imber CJ and Fusai G; UK Vascular Resection in Pancreatic Cancer Study Group, : Portal vein resection in borderline resectable pancreatic cancer: A United Kingdom multicenter study. J Am Coll Surg. 218:401–411. 2014. View Article : Google Scholar : PubMed/NCBI

22 

Yekebas EF, Bogoevski D, Cataldegirmen G, Kunze C, Marx A, Vashist YK, Schurr PG, Liebl L, Thieltges S, Gawad KA, et al: En bloc vascular resection for locally advanced pancreatic malignancies infiltrating major blood vessels: Perioperative outcome and long-term survival in 136 patients. Ann Surg. 247:300–309. 2008. View Article : Google Scholar : PubMed/NCBI

23 

Tseng JF, Raut CP, Lee JE, Pisters PW, Vauthey JN, Abdalla EK, Gomez HF, Sun CC, Crane CH, Wolff RA and Evans DB: Pancreaticoduodenectomy with vascular resection: Margin status and survival duration. J Gastrointest Surg. 8:935–949; discussion 949–950. 2004. View Article : Google Scholar : PubMed/NCBI

24 

Iacobuzio-Donahue CA, Fu B, Yachida S, Luo M, Abe H, Henderson CM, Vilardell F, Wang Z, Keller JW, Banerjee P, et al: DPC4 gene status of the primary carcinoma correlates with patterns of failure in patients with pancreatic cancer. J Clin Oncol. 27:1806–1813. 2009. View Article : Google Scholar : PubMed/NCBI

25 

Hamada Y and Nakayama Y: Aggressive venous invasion in the area of carcinoma correlates with liver metastasis as an index of metastasis for invasive ductal carcinoma of the pancreas. Pancreatology. 17:951–955. 2017. View Article : Google Scholar : PubMed/NCBI

26 

Nagakawa Y, Aoki T, Kasuya K, Tsuchida A and Koyanagi Y: Histologic features of venous invasion, expression of vascular endothelial growth factor and matrix metalloproteinase-2 and matrix metalloproteinase-9, and the relation with liver metastasis in pancreatic cancer. Pancreas. 24:169–178. 2002. View Article : Google Scholar : PubMed/NCBI

27 

Naito Y, Suda K, Nobukawa B, Kinoshita H and Kojiro M: Histopathological study of invasive ductal carcinoma (IDC) of the pancreas without associated cancerous occlusion of the main pancreatic duct. J Hepatobiliary Pancreat Surg. 13:556–561. 2006. View Article : Google Scholar : PubMed/NCBI

28 

Yamasaki S, Suda K, Nobukawa B and Sonoue H: Intraductal spread of pancreatic cancer. Clinicopathologic study of 54 pancreatectomized patients. Pancreatology. 2:407–412. 2002. View Article : Google Scholar : PubMed/NCBI

29 

Chatterjee D, Katz MH, Rashid A, Varadhachary GR, Wolff RA, Wang H, Lee JE, Pisters PW, Vauthey JN, Crane C, et al: Histologic grading of the extent of residual carcinoma following neoadjuvant chemoradiation in pancreatic ductal adenocarcinoma: A predictor for patient outcome. Cancer. 118:3182–3190. 2012. View Article : Google Scholar : PubMed/NCBI

30 

Ajani JA, Mansfield PF, Crane CH, Wu TT, Lunagomez S, Lynch PM, Janjan N, Feig B, Faust J, Yao JC, et al: Paclitaxel-based chemoradiotherapy in localized gastric carcinoma: Degree of pathologic response and not clinical parameters dictated patient outcome. J Clin Oncol. 23:1237–1244. 2005. View Article : Google Scholar : PubMed/NCBI

31 

Wu TT, Chirieac LR, Abraham SC, Krasinskas AM, Wang H, Rashid A, Correa AM, Hofstetter WL, Ajani JA and Swisher SG: Excellent interobserver agreement on grading the extent of residual carcinoma after preoperative chemoradiation in esophageal and esophagogastric junction carcinoma: A reliable predictor for patient outcome. Am J Surg Pathol. 31:58–64. 2007. View Article : Google Scholar : PubMed/NCBI

32 

Ryan R, Gibbons D, Hyland JM, Treanor D, White A, Mulcahy HE, O'Donoghue DP, Moriarty M, Fennelly D and Sheahan K: Pathological response following long-course neoadjuvant chemoradiotherapy for locally advanced rectal cancer. Histopathology. 47:141–146. 2005. View Article : Google Scholar : PubMed/NCBI

33 

Katz MH, Shi Q, Ahmad SA, Herman JM, Marsh Rde W, Collisson E, Schwartz L, Frankel W, Martin R, Conway W, et al: Preoperative modified FOLFIRINOX treatment followed by capecitabine-based chemoradiation for borderline resectable pancreatic cancer: Alliance for clinical trials in oncology trial A021101. JAMA Surg. 151:e1611372016. View Article : Google Scholar : PubMed/NCBI

34 

Okada KI, Hirono S, Kawai M, Miyazawa M, Shimizu A, Kitahata Y, Ueno M, Hayami S and Yamaue H: Phase I study of nab-paclitaxel plus gemcitabine as neoadjuvant therapy for borderline resectable pancreatic cancer. Anticancer Res. 37:853–858. 2017. View Article : Google Scholar : PubMed/NCBI

35 

Okada KI, Shimokawa T, Hirono S, Kawai M, Sho M, Satoi S, Matsumoto I, Eguchi H, Murakami Y, Yamada S, et al: Effect of neoadjuvant nab-paclitaxel plus gemcitabine therapy on overall survival in patients with borderline resectable pancreatic cancer: A prospective multicenter phase II trial (NAC-GA Trial). Oncology. 93:343–346. 2017. View Article : Google Scholar : PubMed/NCBI

36 

Von Hoff DD, Ramanathan RK, Borad MJ, Laheru DA, Smith LS, Wood TE, Korn RL, Desai N, Trieu V, Iglesias JL, et al: Gemcitabine plus nab-paclitaxel is an active regimen in patients with advanced pancreatic cancer: A phase I/II trial. J Clin Oncol. 29:4548–4554. 2011. View Article : Google Scholar

Related Articles

  • Abstract
  • View
  • Download
  • Twitter
Copy and paste a formatted citation
Spandidos Publications style
Naito Y, Ishikawa H, Sadashima E, Okabe Y, Takahashi K, Kawahara R, Hisaka T, Fukahori M, Ushijima T, Ishida Y, Ishida Y, et al: Significance of neoadjuvant chemoradiotherapy for borderline resectable pancreatic head cancer: Pathological local invasion and microvessel invasion analysis. Mol Clin Oncol 11: 225-233, 2019.
APA
Naito, Y., Ishikawa, H., Sadashima, E., Okabe, Y., Takahashi, K., Kawahara, R. ... Akiba, J. (2019). Significance of neoadjuvant chemoradiotherapy for borderline resectable pancreatic head cancer: Pathological local invasion and microvessel invasion analysis. Molecular and Clinical Oncology, 11, 225-233. https://doi.org/10.3892/mco.2019.1885
MLA
Naito, Y., Ishikawa, H., Sadashima, E., Okabe, Y., Takahashi, K., Kawahara, R., Hisaka, T., Fukahori, M., Ushijima, T., Ishida, Y., Tanigawa, M., Mihara, Y., Nakayama, M., Kondo, R., Kusano, H., Takase, Y., Abe, H., Ogo, E., Okuda, K., Shimamatsu, K., Yano, H., Akiba, J."Significance of neoadjuvant chemoradiotherapy for borderline resectable pancreatic head cancer: Pathological local invasion and microvessel invasion analysis". Molecular and Clinical Oncology 11.3 (2019): 225-233.
Chicago
Naito, Y., Ishikawa, H., Sadashima, E., Okabe, Y., Takahashi, K., Kawahara, R., Hisaka, T., Fukahori, M., Ushijima, T., Ishida, Y., Tanigawa, M., Mihara, Y., Nakayama, M., Kondo, R., Kusano, H., Takase, Y., Abe, H., Ogo, E., Okuda, K., Shimamatsu, K., Yano, H., Akiba, J."Significance of neoadjuvant chemoradiotherapy for borderline resectable pancreatic head cancer: Pathological local invasion and microvessel invasion analysis". Molecular and Clinical Oncology 11, no. 3 (2019): 225-233. https://doi.org/10.3892/mco.2019.1885
Copy and paste a formatted citation
x
Spandidos Publications style
Naito Y, Ishikawa H, Sadashima E, Okabe Y, Takahashi K, Kawahara R, Hisaka T, Fukahori M, Ushijima T, Ishida Y, Ishida Y, et al: Significance of neoadjuvant chemoradiotherapy for borderline resectable pancreatic head cancer: Pathological local invasion and microvessel invasion analysis. Mol Clin Oncol 11: 225-233, 2019.
APA
Naito, Y., Ishikawa, H., Sadashima, E., Okabe, Y., Takahashi, K., Kawahara, R. ... Akiba, J. (2019). Significance of neoadjuvant chemoradiotherapy for borderline resectable pancreatic head cancer: Pathological local invasion and microvessel invasion analysis. Molecular and Clinical Oncology, 11, 225-233. https://doi.org/10.3892/mco.2019.1885
MLA
Naito, Y., Ishikawa, H., Sadashima, E., Okabe, Y., Takahashi, K., Kawahara, R., Hisaka, T., Fukahori, M., Ushijima, T., Ishida, Y., Tanigawa, M., Mihara, Y., Nakayama, M., Kondo, R., Kusano, H., Takase, Y., Abe, H., Ogo, E., Okuda, K., Shimamatsu, K., Yano, H., Akiba, J."Significance of neoadjuvant chemoradiotherapy for borderline resectable pancreatic head cancer: Pathological local invasion and microvessel invasion analysis". Molecular and Clinical Oncology 11.3 (2019): 225-233.
Chicago
Naito, Y., Ishikawa, H., Sadashima, E., Okabe, Y., Takahashi, K., Kawahara, R., Hisaka, T., Fukahori, M., Ushijima, T., Ishida, Y., Tanigawa, M., Mihara, Y., Nakayama, M., Kondo, R., Kusano, H., Takase, Y., Abe, H., Ogo, E., Okuda, K., Shimamatsu, K., Yano, H., Akiba, J."Significance of neoadjuvant chemoradiotherapy for borderline resectable pancreatic head cancer: Pathological local invasion and microvessel invasion analysis". Molecular and Clinical Oncology 11, no. 3 (2019): 225-233. https://doi.org/10.3892/mco.2019.1885
Follow us
  • Twitter
  • LinkedIn
  • Facebook
About
  • Spandidos Publications
  • Careers
  • Cookie Policy
  • Privacy Policy
How can we help?
  • Help
  • Live Chat
  • Contact
  • Email to our Support Team