Spandidos Publications Logo
  • About
    • About Spandidos
    • Aims and Scopes
    • Abstracting and Indexing
    • Editorial Policies
    • Reprints and Permissions
    • Job Opportunities
    • Terms and Conditions
    • Contact
  • Journals
    • All Journals
    • Oncology Letters
      • Oncology Letters
      • Information for Authors
      • Editorial Policies
      • Editorial Board
      • Aims and Scope
      • Abstracting and Indexing
      • Bibliographic Information
      • Archive
    • International Journal of Oncology
      • International Journal of Oncology
      • Information for Authors
      • Editorial Policies
      • Editorial Board
      • Aims and Scope
      • Abstracting and Indexing
      • Bibliographic Information
      • Archive
    • Molecular and Clinical Oncology
      • Molecular and Clinical Oncology
      • Information for Authors
      • Editorial Policies
      • Editorial Board
      • Aims and Scope
      • Abstracting and Indexing
      • Bibliographic Information
      • Archive
    • Experimental and Therapeutic Medicine
      • Experimental and Therapeutic Medicine
      • Information for Authors
      • Editorial Policies
      • Editorial Board
      • Aims and Scope
      • Abstracting and Indexing
      • Bibliographic Information
      • Archive
    • International Journal of Molecular Medicine
      • International Journal of Molecular Medicine
      • Information for Authors
      • Editorial Policies
      • Editorial Board
      • Aims and Scope
      • Abstracting and Indexing
      • Bibliographic Information
      • Archive
    • Biomedical Reports
      • Biomedical Reports
      • Information for Authors
      • Editorial Policies
      • Editorial Board
      • Aims and Scope
      • Abstracting and Indexing
      • Bibliographic Information
      • Archive
    • Oncology Reports
      • Oncology Reports
      • Information for Authors
      • Editorial Policies
      • Editorial Board
      • Aims and Scope
      • Abstracting and Indexing
      • Bibliographic Information
      • Archive
    • Molecular Medicine Reports
      • Molecular Medicine Reports
      • Information for Authors
      • Editorial Policies
      • Editorial Board
      • Aims and Scope
      • Abstracting and Indexing
      • Bibliographic Information
      • Archive
    • World Academy of Sciences Journal
      • World Academy of Sciences Journal
      • Information for Authors
      • Editorial Policies
      • Editorial Board
      • Aims and Scope
      • Abstracting and Indexing
      • Bibliographic Information
      • Archive
    • International Journal of Functional Nutrition
      • International Journal of Functional Nutrition
      • Information for Authors
      • Editorial Policies
      • Editorial Board
      • Aims and Scope
      • Abstracting and Indexing
      • Bibliographic Information
      • Archive
    • International Journal of Epigenetics
      • International Journal of Epigenetics
      • Information for Authors
      • Editorial Policies
      • Editorial Board
      • Aims and Scope
      • Abstracting and Indexing
      • Bibliographic Information
      • Archive
    • Medicine International
      • Medicine International
      • Information for Authors
      • Editorial Policies
      • Editorial Board
      • Aims and Scope
      • Abstracting and Indexing
      • Bibliographic Information
      • Archive
  • Articles
  • Information
    • Information for Authors
    • Information for Reviewers
    • Information for Librarians
    • Information for Advertisers
    • Conferences
  • Language Editing
Spandidos Publications Logo
  • About
    • About Spandidos
    • Aims and Scopes
    • Abstracting and Indexing
    • Editorial Policies
    • Reprints and Permissions
    • Job Opportunities
    • Terms and Conditions
    • Contact
  • Journals
    • All Journals
    • Biomedical Reports
      • Information for Authors
      • Editorial Policies
      • Editorial Board
      • Aims and Scope
      • Abstracting and Indexing
      • Bibliographic Information
      • Archive
    • Experimental and Therapeutic Medicine
      • Information for Authors
      • Editorial Policies
      • Editorial Board
      • Aims and Scope
      • Abstracting and Indexing
      • Bibliographic Information
      • Archive
    • International Journal of Epigenetics
      • Information for Authors
      • Editorial Policies
      • Editorial Board
      • Aims and Scope
      • Abstracting and Indexing
      • Bibliographic Information
      • Archive
    • International Journal of Functional Nutrition
      • Information for Authors
      • Editorial Policies
      • Editorial Board
      • Aims and Scope
      • Abstracting and Indexing
      • Bibliographic Information
      • Archive
    • International Journal of Molecular Medicine
      • Information for Authors
      • Editorial Policies
      • Editorial Board
      • Aims and Scope
      • Abstracting and Indexing
      • Bibliographic Information
      • Archive
    • International Journal of Oncology
      • Information for Authors
      • Editorial Policies
      • Editorial Board
      • Aims and Scope
      • Abstracting and Indexing
      • Bibliographic Information
      • Archive
    • Medicine International
      • Information for Authors
      • Editorial Policies
      • Editorial Board
      • Aims and Scope
      • Abstracting and Indexing
      • Bibliographic Information
      • Archive
    • Molecular and Clinical Oncology
      • Information for Authors
      • Editorial Policies
      • Editorial Board
      • Aims and Scope
      • Abstracting and Indexing
      • Bibliographic Information
      • Archive
    • Molecular Medicine Reports
      • Information for Authors
      • Editorial Policies
      • Editorial Board
      • Aims and Scope
      • Abstracting and Indexing
      • Bibliographic Information
      • Archive
    • Oncology Letters
      • Information for Authors
      • Editorial Policies
      • Editorial Board
      • Aims and Scope
      • Abstracting and Indexing
      • Bibliographic Information
      • Archive
    • Oncology Reports
      • Information for Authors
      • Editorial Policies
      • Editorial Board
      • Aims and Scope
      • Abstracting and Indexing
      • Bibliographic Information
      • Archive
    • World Academy of Sciences Journal
      • Information for Authors
      • Editorial Policies
      • Editorial Board
      • Aims and Scope
      • Abstracting and Indexing
      • Bibliographic Information
      • Archive
  • Articles
  • Information
    • For Authors
    • For Reviewers
    • For Librarians
    • For Advertisers
    • Conferences
  • Language Editing
Login Register Submit
  • This site uses cookies
  • You can change your cookie settings at any time by following the instructions in our Cookie Policy. To find out more, you may read our Privacy Policy.

    I agree
Search articles by DOI, keyword, author or affiliation
Search
Advanced Search
presentation
Molecular and Clinical Oncology
Join Editorial Board Propose a Special Issue
Print ISSN: 2049-9450 Online ISSN: 2049-9469
Journal Cover
August-2021 Volume 15 Issue 2

Full Size Image

Sign up for eToc alerts
Recommend to Library

Journals

International Journal of Molecular Medicine

International Journal of Molecular Medicine

International Journal of Molecular Medicine is an international journal devoted to molecular mechanisms of human disease.

International Journal of Oncology

International Journal of Oncology

International Journal of Oncology is an international journal devoted to oncology research and cancer treatment.

Molecular Medicine Reports

Molecular Medicine Reports

Covers molecular medicine topics such as pharmacology, pathology, genetics, neuroscience, infectious diseases, molecular cardiology, and molecular surgery.

Oncology Reports

Oncology Reports

Oncology Reports is an international journal devoted to fundamental and applied research in Oncology.

Experimental and Therapeutic Medicine

Experimental and Therapeutic Medicine

Experimental and Therapeutic Medicine is an international journal devoted to laboratory and clinical medicine.

Oncology Letters

Oncology Letters

Oncology Letters is an international journal devoted to Experimental and Clinical Oncology.

Biomedical Reports

Biomedical Reports

Explores a wide range of biological and medical fields, including pharmacology, genetics, microbiology, neuroscience, and molecular cardiology.

Molecular and Clinical Oncology

Molecular and Clinical Oncology

International journal addressing all aspects of oncology research, from tumorigenesis and oncogenes to chemotherapy and metastasis.

World Academy of Sciences Journal

World Academy of Sciences Journal

Multidisciplinary open-access journal spanning biochemistry, genetics, neuroscience, environmental health, and synthetic biology.

International Journal of Functional Nutrition

International Journal of Functional Nutrition

Open-access journal combining biochemistry, pharmacology, immunology, and genetics to advance health through functional nutrition.

International Journal of Epigenetics

International Journal of Epigenetics

Publishes open-access research on using epigenetics to advance understanding and treatment of human disease.

Medicine International

Medicine International

An International Open Access Journal Devoted to General Medicine.

Journal Cover
August-2021 Volume 15 Issue 2

Full Size Image

Sign up for eToc alerts
Recommend to Library

  • Article
  • Citations
    • Cite This Article
    • Download Citation
    • Create Citation Alert
    • Remove Citation Alert
    • Cited By
  • Similar Articles
    • Related Articles (in Spandidos Publications)
    • Similar Articles (Google Scholar)
    • Similar Articles (PubMed)
  • Download PDF
  • Download XML
  • View XML
Case Report

Bilateral femoral head osteonecrosis in a patient with metastatic breast cancer receiving long‑term zoledronic acid treatment: A case report

  • Authors:
    • Kazuo Matsuura
    • Toshiaki Saeki
    • Takao Takahashi
    • Tomoaki Torigoe
    • Keisuke Watarai
    • Akihiko Osaki
    • Takashi Hojyo
  • View Affiliations / Copyright

    Affiliations: Department of Breast Oncology, Saitama Medical University International Medical Center, Hidaka, Saitama 350‑1298, Japan, Department of Palliative Medicine, Saitama Medical University International Medical Center, Hidaka, Saitama 350‑1298, Japan, Department of Orthopaedic Oncology and Surgery, Saitama Medical University International Medical Center, Hidaka, Saitama 350‑1298, Japan, Department of Orthopedic Surgery, Saitama Medical University Hospital, Hidaka, Saitama 350‑0495, Japan
  • Article Number: 166
    |
    Published online on: June 17, 2021
       https://doi.org/10.3892/mco.2021.2328
  • Expand metrics +
Metrics: Total Views: 0 (Spandidos Publications: | PMC Statistics: )
Metrics: Total PDF Downloads: 0 (Spandidos Publications: | PMC Statistics: )
Cited By (CrossRef): 0 citations Loading Articles...

This article is mentioned in:



Abstract

Bone‑modifying agents (BMAs), including bisphosphonate and anti‑receptor activator of NF‑κB ligand (RANKL) antibodies, are effective in treating bone metastases. The present study is a case report on the efficacy and side effects of long‑term treatment with zoledronic acid, a BMA, in a 57‑year‑old woman. The patient was diagnosed with concurrent stage IV triple‑negative breast cancer and stage II colon cancer. The patient experienced complete remission of both these cancers following chemotherapy, zoledronic acid treatment and irradiation for breast cancer and surgery for colon cancer. The patient received long‑term zoledronic acid treatment and has survived >7 years after her initial diagnosis. The patient subsequently reported bilateral hip pain that was diagnosed as osteonecrosis of the femoral head, after the presence of bone metastases was ruled out using magnetic resonance imaging. The patient underwent bilateral artificial hip joint replacements. After orthopedic surgery, the multiple distant metastases, including a brain metastasis, remained in complete remission. It is well established that BMAs, such as zoledronic acid, increase the risk of osteonecrosis of the jaw, but it is not well understood if they can increase this risk in other anatomical locations. The findings of the present case study suggested that while long‑term use of BMAs may be effective in managing bone metastases, it may increase the risk of osteonecrosis in anatomical locations other than the jaw.

Introduction

Bone-modifying agents (BMAs), including bisphosphonate and anti-receptor activator of NF-κB ligand (RANKL) antibody, are effective in treating bone metastases derived from various cancer types (1,2). Many oncology practice guidelines recommend combination therapy, including BMAs and anticancer agents, to treat patients with bone metastases in order to prevent skeletal-related events (3,4). A main contraindication for BMAs is tooth extraction. All patients need to receive oral care prior to treatment with BMAs, as osteonecrosis of the jaw is a known adverse event of these agents (5). Conversely, incidence of osteonecrosis due to BMAs identified at other anatomical locations is not well known, and some of the evidence has been conflicting. Mont et al found that osteoporosis was not a risk factor for osteonecrosis of the femoral head (ONFH) (6), while Gangji et al reported that non-traumatic ONFH is associated with low bone mineral density (7), a disease treated mainly with BMAs. Thus, the incidence and mechanisms of ONFH in cancer patients with bone metastasis who received BMAs should be further explored. The incidence of atypical femoral fractures in elderly breast cancer patients is similar to that seen in non-breast cancer patients (8). A recent report demonstrated that zoledronate did not prevent collapse of the femoral head, and did not reduce the need for hip arthroplasty (9). Mechanisms underlying the mode of action for BMAs on the bone are still controversial (10,11). Here, the case of a breast cancer patient undergoing long-term treatment with either zoledronic acid or anti-RANKL antibody, who experienced bilateral ONFH, is presented.

Case report

A 57-year-old woman, first diagnosed with stage IV cancer in 2012, had no history of heavy alcohol consumption, other comorbidities, or family history of cancer. Positron emission tomography-computed tomography (PET-CT) showed a left breast tumor with numerous metastatic tumors in the axillary lymph nodes, bone, liver, and lung (cT2N1M1) (Fig. 1). Additionally, PET-CT results suggested colon cancer in the sigmoid region with no regional lymph node metastasis (Fig. 2). Colonoscopy aided in the diagnosis of type 2 colon cancer (T1N0M0), and a biopsy was performed. The pathology reports revealed invasive ductal carcinoma (estrogen receptor-, progesterone receptor-, and HER2-negative) of the left breast and adenocarcinoma of the sigmoid colon (i.e., dual cancer). Considering the TN stage, the distant metastases observed upon initial diagnosis were logically assumed to be from the breast cancer and not the colon cancer. It was decided that systemic therapy for breast cancer was a priority, and if a good response was obtained, the colon cancer would be subsequently treated with surgery. The patient received six cycles of epirubicin (90 mg/m2) combined with cyclophosphamide (600 mg/m2) and zoledronic acid beginning in August 2012. Results of a follow-up PET-CT (Fig. 3) showed that the active distant metastases disappeared. The patient then underwent a laparoscopy-assisted colectomy. After the colectomy, PET-CT indicated left breast cancer with no distant metastases. The patient subsequently underwent left mastectomy with axillary lymph node dissection. Analysis of the resected tumor revealed triple-negative breast cancer. The patient received seven cycles of docetaxel (75 mg/m2) and zoledronic acid.

Figure 1

Left breast cancer, cT2N1M1 Stage IV. Positron emission tomography-computed tomography scans indicating (A) left breast tumor and bone metastasis, (B) multiple bone metastases and (C) liver metastasis. Arrows indicate tumors and metastases.

Figure 2

Colon cancer, cT1N0M0 Stage I. Positron emission tomography-computed tomography scan suggesting colon cancer in the sigmoid region with no regional lymph node metastasis.

Figure 3

Post-primary systemic chemotherapy images. Positron emission tomography-computed tomography scans indicating complete responses in (A) primary breast cancer, (B) multiple bone metastases and (C) liver metastasis after systemic chemotherapy.

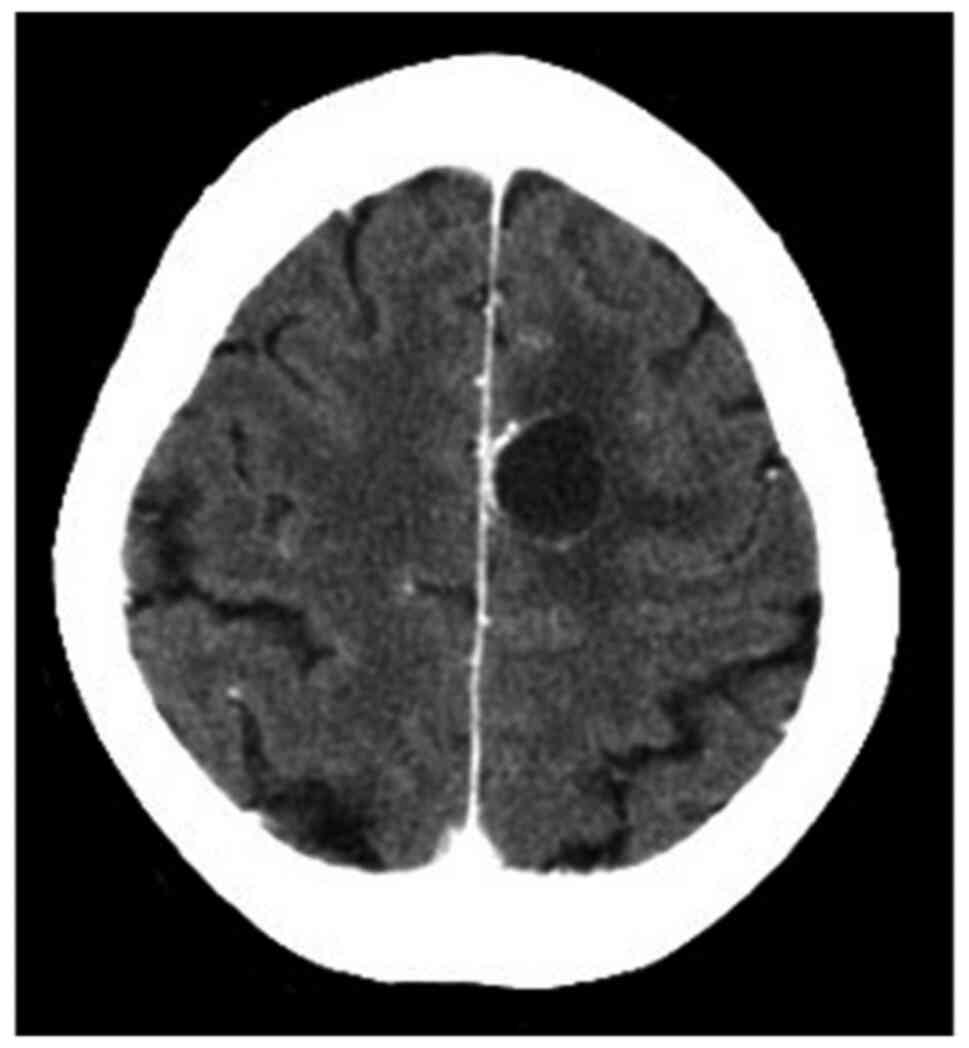
In August 2013, PET-CT revealed complete response. Docetaxel treatment was discontinued, but the patient continued to receive zoledronic acid after chemotherapy. In February 2014, a brain metastasis was diagnosed during BMA treatment (Fig. 4). The brain tumor was treated with 32.5 Gy of irradiation. In addition, 1-4 mg of betamethasone was administered daily for 14 days (total=44 mg).

Figure 4

Brain metastasis. Computed tomography scan suggested brain metastasis in the left frontal lobe.

In October 2015, the patient complained of bilateral hip pain, and PET-CT suggested hip arthritis rather than relapse of bone metastases. In July 2016, she underwent magnetic resonance imaging (MRI), and was diagnosed with ONFH with no bone metastases (Fig. 5). Following this, she received bilateral artificial hip joint replacements. After the orthopedic surgery, she received zoledronic acid every 4 weeks for 3 years. Her multiple distant metastases, including brain metastasis, remain in complete remission based on PET-CT and brain MRI scans.

Figure 5

Bilateral hip osteonecrosis. Magnetic resonance imaging (A) coronal and (B) transverse images suggested arthritis but not bone metastasis on the bilateral femoral head.

Discussion

Triple-negative breast cancer is difficult to treat, although chemotherapy can sometimes be effective. In this case, the patient experienced complete remission after chemotherapy, BMA treatment, and irradiation. The patient was administered zoledronic acid and has survived longer than 7 years after her initial diagnosis. This case suggests that long-term use of BMAs may result in improved control of bone metastases and support long-term survival. However, they may also induce femoral head necrosis. Although it is difficult to determine the underlying mechanisms, this case suggests to be aware regarding the occurrence of femoral necrosis in patients who receive long-term treatment with zoledronic acid. Our patient also received prophylactic corticosteroid treatment concurrent with irradiation. The total accumulated dose of betamethasone was 44 mg. Avascular necrosis of the femoral head is a rare complication related to glucocorticoid administration that has long been associated with high-dosage and/or prolonged treatment (12). A meta-analysis by Mont et al previously reported on the relationship between corticosteroid dose and hip osteonecrosis (13). They reported that osteonecrosis incidence associated with corticosteroid treatment of >2 g was 6.7% (prednisone-equivalent). Moreover, Dharmshaktu et al reported the case of a 38-year-old man who experienced ONFH after receiving 5 mg zoledronic acid and the lowest oral dose of prednisolone. He also received 60 mg dexamethasone in oral doses of 2 mg for less than a month (14). In our case, the patient received 44 mg of betamethasone with zoledronic acid, suggesting that steroids might not be the major factor in inducing ONFH. However, concurrent use of steroids and BMAs may enhance the incidence of ONFH. Lee et al reported the results of a prospective randomized trial for the prevention of femoral head osteonecrosis using zoledronic acid (9). They demonstrated that zoledronic acid was not effective in preventing femoral head necrosis. Based on basic and clinical evidence for the efficacy of bisphosphonates in improving bone strength, bisphosphonates could be a candidate for ONFH treatment. Nonetheless, we believe that long-term use of BMAs could induce ONFH because of the relationship between bisphosphonates and osteonecrosis of the jaw. Therefore, it is important in clinical practice to pay attention to chronic adverse events of BMAs. A systematic review by Bal et al revealed that bisphosphonate treatment may be prolonged for over 2 years in bone metastatic breast cancer patients with an acceptable toxicity profile (15). But the incidence of femoral head necrosis was low in that study, and not specified as one of the adverse events. Rossi et al reported a case of osteonecrosis of the distal femur associated with the use of bisphosphonates in a 74-year-old woman with metastatic breast cancer (16).

Bisphosphonates inhibit bone desorption and have therefore been used to treat osteoporosis (17). Additionally, bisphosphonates can modulate the activity of both osteoblasts and osteoclasts in metastatic bone tumors. While they can improve bone strength, they sometimes lead to bone necrosis, a severe adverse event (11). Hence, the mechanisms of bisphosphonate action on the bone remain controversial. It is also important to point out that appropriate BMA treatment regimens after complete remission need to be discussed in the development of treatment guidelines.

In conclusion, BMAs must not be discontinued until serious adverse events are recognized; however, the difference between relapse of bone metastasis and osteonecrosis caused by BMAs should be taken into consideration.

Acknowledgements

Not applicable.

Funding

No funding was received.

Availability of data and materials

The datasets used and/or analyzed during the current study are available from the corresponding author on reasonable request.

Authors' contributions

TS and KW provided the clinical data included in the text. KM wrote the manuscript draft. All authors contributed to the conception and design of the study, and interpreted and revised the PET-CT, MRI imaging and the laboratory test results. TTo and TH critically revised the manuscript and modified the text. TTa, AO and TTo assessed all the raw data and confirmed the authenticity of the data. All authors have read and approved the final manuscript.

Ethics approval and consent to participate

All procedures performed in the present case report were in accordance with the ethical standards of Saitama Medical University and/or national research committee and with the 1964 Declaration of Helsinki and its later amendments or comparable ethical standards. Written informed consent was provided by the patient included in the current case report.

Patient consent for publication

Written consent for publication was provided by the patient.

Competing interests

TS received research grants from Eisai Co., Ltd., Taiho Pharmaceutical Co., Ltd., and Chugai Pharmaceutical Co., Ltd., and received personal fees from Taiho Pharmaceutical Co. and Chugai Pharmaceutical Co. AO received research grants from AstraZeneca K.K., Eisai Co., Ltd., MSD K.K., Ono Pharmaceutical Co., Ltd., Kyowa Hakko Kirin Co., Ltd., Daiichi Sankyo Co., Ltd., Taiho Pharmaceutical Co., Ltd., Sawai Pharmaceutical Co., Ltd., Chugai Pharmaceutical Co., Ltd., Nippon Kayaku Co., Ltd., Novartis Pharma K.K., Hamamatsu Photonics K.K., Parexel International Inc., and Fuji Pharma Co. Additionally, AO received personal fees from AstraZeneca K.K., Kyowa Hakko Kirin Co., Ltd, Daiichi Sankyo Co., Ltd, Chugai Pharmaceutical Co., Ltd., and Novartis Pharma K.K. All other authors declare that they have no competing interests.

References

1 

Yang M and Yu X: Management of bone metastasis with intravenous bisphosphonates in breast cancer: A systematic review and meta-analysis of dosing frequency. Support Care Cancer. 28:2533–2540. 2020.PubMed/NCBI View Article : Google Scholar

2 

Jeon HL, Oh IS, Baek YH, Yang H, Park J, Hong S and Shin JY: Zoledronic acid and skeletal-related events in patients with bone metastatic cancer or multiple myeloma. J Bone Miner Metab. 38:254–263. 2020.PubMed/NCBI View Article : Google Scholar

3 

Van Poznak C, Somerfield MR, Barlow WE, Biermann JS, Bosserman LD, Clemons MJ, Dhesy-Thind SK, Dillmon MS, Eisen A, Frank ES, et al: Role of bone-modifying agents in metastatic breast cancer: An American Society of Clinical Oncology-cancer care Ontario focused guideline update. J Clin Oncol. 35:3978–3986. 2017.PubMed/NCBI View Article : Google Scholar

4 

Cardoso F, Senkus E, Costa A, Papadopoulos E, Aapro M, André F, Harbeck N, Aguilar Lopez B, Barrios CH, Bergh J, et al: 4th ESO-ESMO International Consensus Guidelines for Advanced Breast Cancer (ABC 4). Ann Oncol. 29:1634–1657. 2018.PubMed/NCBI View Article : Google Scholar

5 

Migliorati CA, Siegel MA and Elting LS: Bisphosphonate-associated osteonecrosis: A long-term complication of bisphosphonate treatment. Lancet Oncol. 7:508–514. 2006.PubMed/NCBI View Article : Google Scholar

6 

Mont MA, Zywiel MG, Marker DR, McGrath MS and Delanois RE: The natural history of untreated asymptomatic osteonecrosis of the femoral head: A systematic literature review. J Bone Joint Surg Am Volume. 92:2165–2170. 2010.PubMed/NCBI View Article : Google Scholar

7 

Gangji V, Soyfoo MS, Heuschling A, Afzali V, Moreno-Reyes R, Rasschaert J, Gillet C, Fils JF and Hauzeur JP: Non traumatic osteonecrosis of the femoral head is associated with low bone mass. Bone. 107:88–92. 2018.PubMed/NCBI View Article : Google Scholar

8 

Takahashi M, Ozaki Y, Kizawa R, Masuda J, Sakamaki K, Kinowaki K, Umezu T, Kondoh C, Tanabe Y, Tamura N, et al: Atypical femoral fracture in patients with bone metastasis receiving denosumab therapy: A retrospective study and systematic review. BMC Cancer. 19(980)2019.PubMed/NCBI View Article : Google Scholar

9 

Lee YK, Ha YC, Cho YJ, Suh KT, Kim SY, Won YY, Min BW, Yoon TR, Kim HJ and Koo KH: Does zoledronate prevent femoral head collapse from osteonecrosis? A prospective, randomized, open-label, multicenter study. J Bone Joint Surg Am. 97:1142–1148. 2015.PubMed/NCBI View Article : Google Scholar

10 

Russell RG, Watts NB, Ebetino FH and Rogers MJ: Mechanisms of action of bisphosphonates: Similarities and differences and their potential influence on clinical efficacy. Osteoporos Int. 19:733–759. 2008.PubMed/NCBI View Article : Google Scholar

11 

Ristow O, Gerngross C, Schwaiger M, Hohlweg-Majert B, Kehl V, Jansen H, Hahnefeld L, Otto S and Pautke C: Is bone turnover of jawbone and its possible over suppression by bisphosphonates of etiologic importance in pathogenesis of bisphosphonate-related osteonecrosis? J Oral Maxillofac Surg. 72:903–910. 2014.PubMed/NCBI View Article : Google Scholar

12 

Weinstein RS: Glucocorticoid-induced osteonecrosis. Endocrine. 41:183–190. 2012.PubMed/NCBI View Article : Google Scholar

13 

Mont MA, Pivec R, Banerjee S, Issa K, Elmallah RK and Jones LC: High-dose corticosteroid use and risk of hip osteonecrosis: Meta-analysis and systematic literature review. J Arthroplast. 30:1506–1512.e5. 2015.PubMed/NCBI View Article : Google Scholar

14 

Dharmshaktu P, Aggarwal A, Dutta D and Kulshreshtha B: Bilateral femoral head avascular necrosis with a very low dose of oral corticosteroid used for panhypopituitarism. BMJ Case Rep. 2016:2016.PubMed/NCBI View Article : Google Scholar

15 

Bal O, Oksuzoglu B, Dogan M, Durnali A, Uyeturk U, Demirci A, Arslan UY, Ekinci AS, Yildirim N, Alkis N and Kilic S: Long-term outcomes of prolonged bisphosphonates more than 2 years in bone metastatic breast cancer: Risk vs benefit. Ir J Med Sci. 189:805–810. 2020.PubMed/NCBI View Article : Google Scholar

16 

Rossi L, Lascio SD, Kouros M and Pagani O: A rare avascular osteonecrosis of the knee related to bisphosphonate treatment in a patient with metastatic breast cancer. Breast Dis. 35:203–206. 2015.PubMed/NCBI View Article : Google Scholar

17 

Lyles KW, Colón-Emeric CS, Magaziner JS, Adachi JD, Pieper CF, Mautalen C, Hyldstrup L, Recknor C, Nordsletten L, Moore KA, et al: Zoledronic acid and clinical fractures and mortality after hip fracture. N Engl J Med. 357:1799–1809. 2007.PubMed/NCBI View Article : Google Scholar

Related Articles

  • Abstract
  • View
  • Download
  • Twitter
Copy and paste a formatted citation
Spandidos Publications style
Matsuura K, Saeki T, Takahashi T, Torigoe T, Watarai K, Osaki A and Hojyo T: Bilateral femoral head osteonecrosis in a patient with metastatic breast cancer receiving long‑term zoledronic acid treatment: A case report. Mol Clin Oncol 15: 166, 2021.
APA
Matsuura, K., Saeki, T., Takahashi, T., Torigoe, T., Watarai, K., Osaki, A., & Hojyo, T. (2021). Bilateral femoral head osteonecrosis in a patient with metastatic breast cancer receiving long‑term zoledronic acid treatment: A case report. Molecular and Clinical Oncology, 15, 166. https://doi.org/10.3892/mco.2021.2328
MLA
Matsuura, K., Saeki, T., Takahashi, T., Torigoe, T., Watarai, K., Osaki, A., Hojyo, T."Bilateral femoral head osteonecrosis in a patient with metastatic breast cancer receiving long‑term zoledronic acid treatment: A case report". Molecular and Clinical Oncology 15.2 (2021): 166.
Chicago
Matsuura, K., Saeki, T., Takahashi, T., Torigoe, T., Watarai, K., Osaki, A., Hojyo, T."Bilateral femoral head osteonecrosis in a patient with metastatic breast cancer receiving long‑term zoledronic acid treatment: A case report". Molecular and Clinical Oncology 15, no. 2 (2021): 166. https://doi.org/10.3892/mco.2021.2328
Copy and paste a formatted citation
x
Spandidos Publications style
Matsuura K, Saeki T, Takahashi T, Torigoe T, Watarai K, Osaki A and Hojyo T: Bilateral femoral head osteonecrosis in a patient with metastatic breast cancer receiving long‑term zoledronic acid treatment: A case report. Mol Clin Oncol 15: 166, 2021.
APA
Matsuura, K., Saeki, T., Takahashi, T., Torigoe, T., Watarai, K., Osaki, A., & Hojyo, T. (2021). Bilateral femoral head osteonecrosis in a patient with metastatic breast cancer receiving long‑term zoledronic acid treatment: A case report. Molecular and Clinical Oncology, 15, 166. https://doi.org/10.3892/mco.2021.2328
MLA
Matsuura, K., Saeki, T., Takahashi, T., Torigoe, T., Watarai, K., Osaki, A., Hojyo, T."Bilateral femoral head osteonecrosis in a patient with metastatic breast cancer receiving long‑term zoledronic acid treatment: A case report". Molecular and Clinical Oncology 15.2 (2021): 166.
Chicago
Matsuura, K., Saeki, T., Takahashi, T., Torigoe, T., Watarai, K., Osaki, A., Hojyo, T."Bilateral femoral head osteonecrosis in a patient with metastatic breast cancer receiving long‑term zoledronic acid treatment: A case report". Molecular and Clinical Oncology 15, no. 2 (2021): 166. https://doi.org/10.3892/mco.2021.2328
Follow us
  • Twitter
  • LinkedIn
  • Facebook
About
  • Spandidos Publications
  • Careers
  • Cookie Policy
  • Privacy Policy
How can we help?
  • Help
  • Live Chat
  • Contact
  • Email to our Support Team