Spandidos Publications Logo
  • About
    • About Spandidos
    • Aims and Scopes
    • Abstracting and Indexing
    • Editorial Policies
    • Reprints and Permissions
    • Job Opportunities
    • Terms and Conditions
    • Contact
  • Journals
    • All Journals
    • Oncology Letters
      • Oncology Letters
      • Information for Authors
      • Editorial Policies
      • Editorial Board
      • Aims and Scope
      • Abstracting and Indexing
      • Bibliographic Information
      • Archive
    • International Journal of Oncology
      • International Journal of Oncology
      • Information for Authors
      • Editorial Policies
      • Editorial Board
      • Aims and Scope
      • Abstracting and Indexing
      • Bibliographic Information
      • Archive
    • Molecular and Clinical Oncology
      • Molecular and Clinical Oncology
      • Information for Authors
      • Editorial Policies
      • Editorial Board
      • Aims and Scope
      • Abstracting and Indexing
      • Bibliographic Information
      • Archive
    • Experimental and Therapeutic Medicine
      • Experimental and Therapeutic Medicine
      • Information for Authors
      • Editorial Policies
      • Editorial Board
      • Aims and Scope
      • Abstracting and Indexing
      • Bibliographic Information
      • Archive
    • International Journal of Molecular Medicine
      • International Journal of Molecular Medicine
      • Information for Authors
      • Editorial Policies
      • Editorial Board
      • Aims and Scope
      • Abstracting and Indexing
      • Bibliographic Information
      • Archive
    • Biomedical Reports
      • Biomedical Reports
      • Information for Authors
      • Editorial Policies
      • Editorial Board
      • Aims and Scope
      • Abstracting and Indexing
      • Bibliographic Information
      • Archive
    • Oncology Reports
      • Oncology Reports
      • Information for Authors
      • Editorial Policies
      • Editorial Board
      • Aims and Scope
      • Abstracting and Indexing
      • Bibliographic Information
      • Archive
    • Molecular Medicine Reports
      • Molecular Medicine Reports
      • Information for Authors
      • Editorial Policies
      • Editorial Board
      • Aims and Scope
      • Abstracting and Indexing
      • Bibliographic Information
      • Archive
    • World Academy of Sciences Journal
      • World Academy of Sciences Journal
      • Information for Authors
      • Editorial Policies
      • Editorial Board
      • Aims and Scope
      • Abstracting and Indexing
      • Bibliographic Information
      • Archive
    • International Journal of Functional Nutrition
      • International Journal of Functional Nutrition
      • Information for Authors
      • Editorial Policies
      • Editorial Board
      • Aims and Scope
      • Abstracting and Indexing
      • Bibliographic Information
      • Archive
    • International Journal of Epigenetics
      • International Journal of Epigenetics
      • Information for Authors
      • Editorial Policies
      • Editorial Board
      • Aims and Scope
      • Abstracting and Indexing
      • Bibliographic Information
      • Archive
    • Medicine International
      • Medicine International
      • Information for Authors
      • Editorial Policies
      • Editorial Board
      • Aims and Scope
      • Abstracting and Indexing
      • Bibliographic Information
      • Archive
  • Articles
  • Information
    • Information for Authors
    • Information for Reviewers
    • Information for Librarians
    • Information for Advertisers
    • Conferences
  • Language Editing
Spandidos Publications Logo
  • About
    • About Spandidos
    • Aims and Scopes
    • Abstracting and Indexing
    • Editorial Policies
    • Reprints and Permissions
    • Job Opportunities
    • Terms and Conditions
    • Contact
  • Journals
    • All Journals
    • Biomedical Reports
      • Information for Authors
      • Editorial Policies
      • Editorial Board
      • Aims and Scope
      • Abstracting and Indexing
      • Bibliographic Information
      • Archive
    • Experimental and Therapeutic Medicine
      • Information for Authors
      • Editorial Policies
      • Editorial Board
      • Aims and Scope
      • Abstracting and Indexing
      • Bibliographic Information
      • Archive
    • International Journal of Epigenetics
      • Information for Authors
      • Editorial Policies
      • Editorial Board
      • Aims and Scope
      • Abstracting and Indexing
      • Bibliographic Information
      • Archive
    • International Journal of Functional Nutrition
      • Information for Authors
      • Editorial Policies
      • Editorial Board
      • Aims and Scope
      • Abstracting and Indexing
      • Bibliographic Information
      • Archive
    • International Journal of Molecular Medicine
      • Information for Authors
      • Editorial Policies
      • Editorial Board
      • Aims and Scope
      • Abstracting and Indexing
      • Bibliographic Information
      • Archive
    • International Journal of Oncology
      • Information for Authors
      • Editorial Policies
      • Editorial Board
      • Aims and Scope
      • Abstracting and Indexing
      • Bibliographic Information
      • Archive
    • Medicine International
      • Information for Authors
      • Editorial Policies
      • Editorial Board
      • Aims and Scope
      • Abstracting and Indexing
      • Bibliographic Information
      • Archive
    • Molecular and Clinical Oncology
      • Information for Authors
      • Editorial Policies
      • Editorial Board
      • Aims and Scope
      • Abstracting and Indexing
      • Bibliographic Information
      • Archive
    • Molecular Medicine Reports
      • Information for Authors
      • Editorial Policies
      • Editorial Board
      • Aims and Scope
      • Abstracting and Indexing
      • Bibliographic Information
      • Archive
    • Oncology Letters
      • Information for Authors
      • Editorial Policies
      • Editorial Board
      • Aims and Scope
      • Abstracting and Indexing
      • Bibliographic Information
      • Archive
    • Oncology Reports
      • Information for Authors
      • Editorial Policies
      • Editorial Board
      • Aims and Scope
      • Abstracting and Indexing
      • Bibliographic Information
      • Archive
    • World Academy of Sciences Journal
      • Information for Authors
      • Editorial Policies
      • Editorial Board
      • Aims and Scope
      • Abstracting and Indexing
      • Bibliographic Information
      • Archive
  • Articles
  • Information
    • For Authors
    • For Reviewers
    • For Librarians
    • For Advertisers
    • Conferences
  • Language Editing
Login Register Submit
  • This site uses cookies
  • You can change your cookie settings at any time by following the instructions in our Cookie Policy. To find out more, you may read our Privacy Policy.

    I agree
Search articles by DOI, keyword, author or affiliation
Search
Advanced Search
presentation
Molecular and Clinical Oncology
Join Editorial Board Propose a Special Issue
Print ISSN: 2049-9450 Online ISSN: 2049-9469
Journal Cover
December-2023 Volume 19 Issue 6

Full Size Image

Sign up for eToc alerts
Recommend to Library

Journals

International Journal of Molecular Medicine

International Journal of Molecular Medicine

International Journal of Molecular Medicine is an international journal devoted to molecular mechanisms of human disease.

International Journal of Oncology

International Journal of Oncology

International Journal of Oncology is an international journal devoted to oncology research and cancer treatment.

Molecular Medicine Reports

Molecular Medicine Reports

Covers molecular medicine topics such as pharmacology, pathology, genetics, neuroscience, infectious diseases, molecular cardiology, and molecular surgery.

Oncology Reports

Oncology Reports

Oncology Reports is an international journal devoted to fundamental and applied research in Oncology.

Experimental and Therapeutic Medicine

Experimental and Therapeutic Medicine

Experimental and Therapeutic Medicine is an international journal devoted to laboratory and clinical medicine.

Oncology Letters

Oncology Letters

Oncology Letters is an international journal devoted to Experimental and Clinical Oncology.

Biomedical Reports

Biomedical Reports

Explores a wide range of biological and medical fields, including pharmacology, genetics, microbiology, neuroscience, and molecular cardiology.

Molecular and Clinical Oncology

Molecular and Clinical Oncology

International journal addressing all aspects of oncology research, from tumorigenesis and oncogenes to chemotherapy and metastasis.

World Academy of Sciences Journal

World Academy of Sciences Journal

Multidisciplinary open-access journal spanning biochemistry, genetics, neuroscience, environmental health, and synthetic biology.

International Journal of Functional Nutrition

International Journal of Functional Nutrition

Open-access journal combining biochemistry, pharmacology, immunology, and genetics to advance health through functional nutrition.

International Journal of Epigenetics

International Journal of Epigenetics

Publishes open-access research on using epigenetics to advance understanding and treatment of human disease.

Medicine International

Medicine International

An International Open Access Journal Devoted to General Medicine.

Journal Cover
December-2023 Volume 19 Issue 6

Full Size Image

Sign up for eToc alerts
Recommend to Library

  • Article
  • Citations
    • Cite This Article
    • Download Citation
    • Create Citation Alert
    • Remove Citation Alert
    • Cited By
  • Similar Articles
    • Related Articles (in Spandidos Publications)
    • Similar Articles (Google Scholar)
    • Similar Articles (PubMed)
  • Download PDF
  • Download XML
  • View XML
Article Open Access

Anaplastic thyroid cancer: Pathogenesis, prognostic factors and genetic landscape (Review)

  • Authors:
    • Abdul-Mohsen G. Alhejaily
    • Omar Alhuzaim
    • Yazeed Alwelaie
  • View Affiliations / Copyright

    Affiliations: Faculty of Medicine, King Fahad Medical City, Riyadh Second Health Cluster, Riyadh 11525, Kingdom of Saudi Arabia, Obesity, Endocrine and Metabolism Center, King Fahad Medical City, Riyadh Second Health Cluster, Riyadh 11525, Kingdom of Saudi Arabia, Department of Pathology, King Fahad Medical City, Riyadh Second Health Cluster, Riyadh 11525, Kingdom of Saudi Arabia
    Copyright: © Alhejaily et al. This is an open access article distributed under the terms of Creative Commons Attribution License.
  • Article Number: 99
    |
    Published online on: November 2, 2023
       https://doi.org/10.3892/mco.2023.2695
  • Expand metrics +
Metrics: Total Views: 0 (Spandidos Publications: | PMC Statistics: )
Metrics: Total PDF Downloads: 0 (Spandidos Publications: | PMC Statistics: )
Cited By (CrossRef): 0 citations Loading Articles...

This article is mentioned in:



Abstract

Anaplastic thyroid cancer (ATC) is a rare and aggressive form of thyroid malignancy, presenting significant challenges in diagnosis and treatment. The rarity of this cancer and its aggressive nature make an accurate diagnosis difficult, requiring a multidisciplinary approach and various imaging techniques. Treatment involves a personalized multimodal approach, including surgery, adjuvant therapies and risk stratification. Prognostic factors such as age, tumor characteristics and genetic alterations play a crucial role in determining patient outcomes. Despite advancements, gaps remain in understanding the underlying mechanisms of the disease and establishing standardized treatment guidelines. Further research, collaborative efforts and multicenter studies are necessary to improve diagnostic accuracy, develop targeted therapies and biomarkers, and enhance the long‑term management. The present review provides a comprehensive overview of ATC, discussing its clinical manifestations, diagnostic approaches, treatment options, prognostic factors and genetic landscape.

1. Introduction

Thyroid cancer (TC) accounts for >90% of all endocrine cancer types and is therefore the most frequently occurring endocrine-related malignancy (1). Most thyroid tumors are pathologically differentiated cancers with a good prognosis and a 5-year survival rate of >98% (2). Papillary TC (PTC) accounts for ~80% of all TC cases and is the most frequently occurring differentiated TC (DTC). The other types of DTC are follicular TC (FTC) and medullary TCs (MTC), and these cancer types come from cells in the follicle and the area around the follicle (3). There is also a small subset of TC, also known as anaplastic TC (ATC). ATC is a rare and aggressive tumor arising from the follicular cells of the thyroid gland, similar to well-differentiated TC (WDTC). However, ATC cells lack any of the biological characteristics of the original follicular cells, such as iodine uptake and thyroglobulin synthesis (1).

The 2022 World Health Organization classification of Endocrine Tumors subdivides thyroid neoplasms into specific categories based on their cell of origin (4). Malignant follicular cell-derived thyroid tumors include PTC, FTC, high-grade thyroid carcinomas (poorly differentiated and differentiated subtypes) and ATC (undifferentiated). On the other hand, MTC falls in the C cell-derived thyroid carcinoma category. Giant-cell, spindle-cell and squamoid-cell tumors are among the histological patterns of ATC. ATC may form spontaneously, although it is more likely to emerge from a pre-existing DTC, particularly the follicular variant (5,6).

ATC incidence rates have been reported as unchanged over the last 30 years, and the disease occurs most frequently in older people but has been described in all age groups (1). Due to the unresectability of most ATC cases, the diagnosis is typically made by fine-needle aspiration (FNA). High-grade features such as pleomorphism, necrosis, mitotic figures and spindle cells are characteristic cytological findings. Immunohistochemical findings include positivity for keratin in most cases, but no or focal immunoreactivity for thyroid-specific markers such as thyroid-transcription factor-1 and thyroglobulin (usually no expression) (4,5).

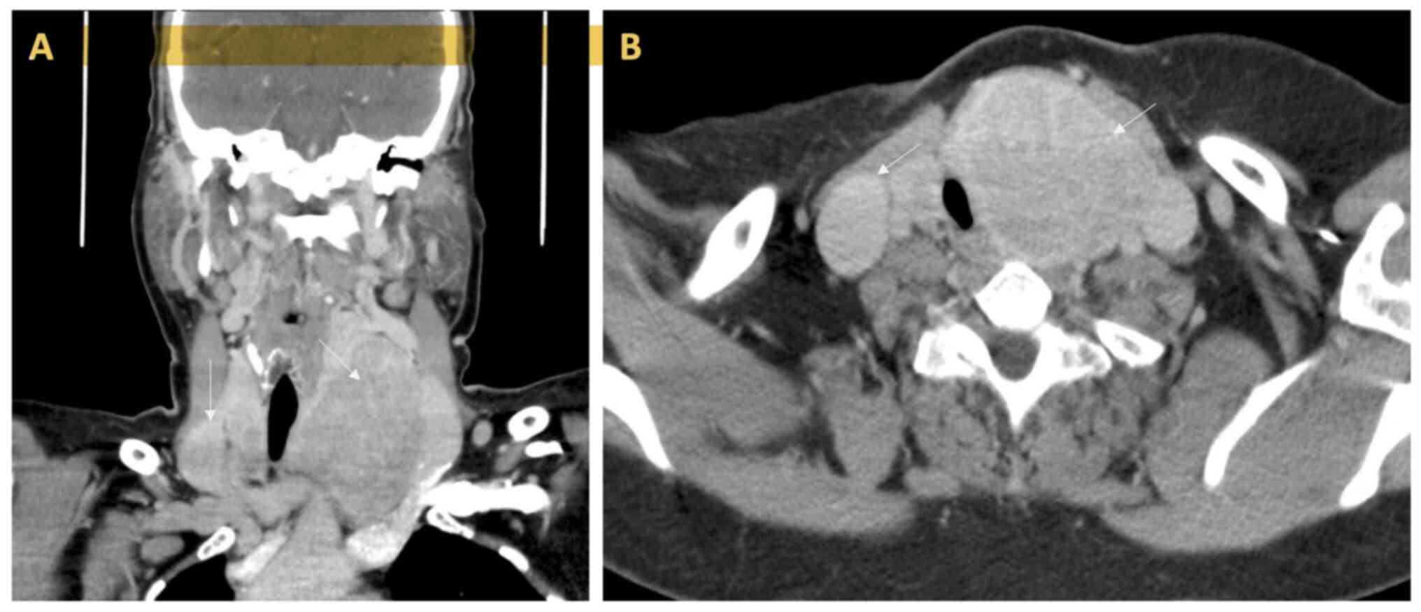
The majority of patients with ATC have local symptoms such as dysphagia, dysphonia, stridor and dyspnea, as well as neck discomfort and soreness. The tumor infiltrates adjacent tissues such as fat, muscle, tracheal, esophageal and laryngeal tissues in >70% of patients (7). The clinical history of a rapidly expanding tumor that is solid and attached to surrounding tissues is particularly indicative of ATC (Fig. 1). Approximately 70% of ATCs spread to nearby tissues, such as the trachea, the esophagus and the larynx. The lungs, bones and brain are also common locations to which ATC metastasizes. FNA cytology in uncertain situations, and histology on core biopsy, may confirm the diagnosis (7). In addition, positron emission tomography, computed tomography scans and magnetic resonance imaging are effective for defining the local area and finding distant metastases (7).

Figure 1

Computed tomography of the head and neck for a 47-year-old female with anaplastic thyroid cancer, showing a large thyroid mass measuring 5.4x6.2x7.7 cm shifting the trachea to the right side and extending inferiorly. (A) Axial and (B) coronal views. Arrows indicate the mass of surrounding tissue.

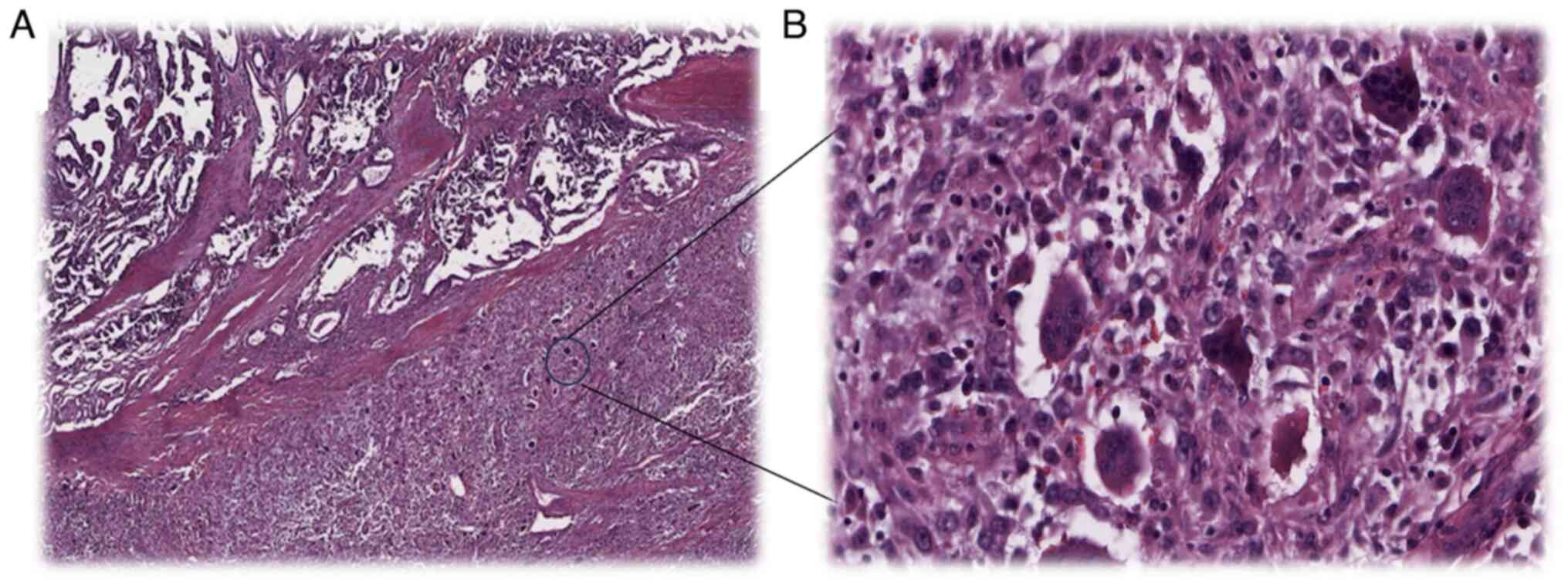
At the microscopic level, ATC appears to be made up of anaplastic cells that have obvious cytological atypia and a high level of mitotic activity. Necrosis of the tumor and vascular invasion are prevalent. The presence of coexisting areas of WDTC in approximately one-third of instances of ATC is one piece of evidence that lends support to the concept that ATC develops from WDTC. Spindle cells, gigantic cells and squamoid cells are all examples of different histological patterns. Other patterns, such as angiomatoid, carcinosarcoma, lymphoepithelioma-like and adenosquamous patterns, have been described. Undifferentiated carcinoma of the thyroid, also known as ATC, needs to be distinguished from other high-grade tumors that originate from nearby structures in the neck and have a microscopic appearance that is comparable (Fig. 2). On occasion, this distinction can only be made on the basis of clinical or anatomical evidence (8).

Figure 2

ATC with a component of papillary thyroid carcinoma. (A) Low magnification (x20 magnification; H&E staining) and (B) high magnification (inset; x100 magnification; H&E staining). The histological characteristics show enlarged, pleomorphic giant cells with hyperchromatic nuclei growing in sheets consistent with ATC. The neoplastic giant cells are characterized by deep pleomorphism, with multiple hyperchromatic nuclei. ATC, anaplastic thyroid carcinoma; H&E, hematoxylin and eosin.

The newest cancer staging manual (the 8th edition of the American Joint Committee on Cancer classification) defines all ATCs as stage IV tumors due to their aggressive nature at diagnosis, regardless of their total tumor burden. Most patients die within 6 months of diagnosis, largely due to local tumor invasion (9). Treatment for ATC has not been standardized, since it is unclear if medication is helpful in extending survival time. Surgery, radiation and chemotherapy are seldom enough to achieve overall disease control when used alone, but a combination of these therapies may enhance local control (10). If the tumor is intra-thyroidal, surgical therapy for the local illness may provide a chance to prolong survival time (10). The surgical approach to ATC, when the tumor is extra-thyroidal, is controversial. Although ATC forms only 2% of all TC cases, it accounts for >50% of all TC-associated deaths (1). ATC continues to rank as one of the deadliest diseases worldwide and carries a very poor prognosis. The mortality rate is close to 100%, with most patients already having metastatic disease by the time of diagnosis (9).

Recent research using high-throughput sequencing has shed light on the genetic signature of ATC. A high mutational load as a result of the accumulation of various somatic mutations is an essential trait. Besides BRAF and TP53 mutations, which are considered as the genetic characteristics of ATC, various additional genetic abnormalities, including RAS, PTEN and RET mutations, which also occur in DTC, have been found in ATC. As a result, it is conceivable for DTC to have given rise to a portion of ATC, when histology shows that DTC is present in 30-50% of ATC cases (11).

No standardized therapy for ATC has yet been shown to improve overall survival (OS). However, several guidelines, such as those from the American Thyroid Association and the British Thyroid Association, discuss the various treatment options, which include surgery, radiotherapy or chemotherapy (12). The effectiveness of these therapeutic techniques has been published in the form of case studies. In addition, there is the possibility that new therapeutic approaches, such as the use of checkpoint inhibitors, may open new therapeutic avenues (13). The present review will summarize our current knowledge on pathogenesis, prognostic factors and the genetic landscape of ATC. The development of therapies targeting pathways currently being tested in clinical studies will also be discussed.

2. Prognostic factors and treatment approaches for ATC

ATC typically presents in patients as an invasive and rapidly growng neck mass, with involvement of the regional cervical lymph nodes. Distant metastatic disease will also be found in ~50% of patients at presentation (14). This is in contrast to differentiated TC, which has a favorable prognosis and is managed primarily through surgery. Consequently, individuals with ATC are often incurable when they are first diagnosed, and they have typically been treated palliatively or sent to intensive care. The OS times reported in several retrospective studies that analyzed the course of the illness and aimed to discover prognostic indicators for ATC varied highly, with times ranging from a few weeks to a few years (7). This suggests that risk stratification might be beneficial, despite the fact that ATC results in death in the majority of cases. This would, however, make it possible to distinguish between patients who should get possible supportive care and those who could be candidates for more aggressive therapy.

Due to the low occurrence of ATC, few institutions over the world have case series with more than 100 individuals. Analysis of prognostic markers is only feasible in larger series, as most of the patients pass away within the first few weeks or months following diagnosis, creating a false impression that patients with ATC have no meaningful chance of survival. Significant survival has been seen in broader series, allowing investigation of prognostic markers linked with prolonged life in patients with ATC (6). In 2013, a study by Haymart et al (15) analyzed 699 patients with ATC who were diagnosed between 2003 and 2008, and found that patients with stage IVA illness had a 9-month survival rate, while those with stage IVB disease had a 4.8-month survival rate and those with stage IVC disease had a 3-month survival rate on average (15).

There have been various retrospective studies describing negative prognostic factors such as older age, early distant metastatic disease, a large primary tumor diameter (>5 cm) and an increased white blood count (15,16). In a retrospective German multicenter study of 100 ATC patients pretreatment between 2000 and 2015, it was found that the prognostic factors for survival were an age >70 years and presence of distant metastases, which were all independent risk factors of an unfavorable outcome. By applying multivariate analysis on the cohort, OS rates similar to earlier reported data were found. By contrast, patients <70 years old, with slowly growing tumors limited to the thyroid and without distant metastases, had the best prognosis (7).

Unexpectedly, one previous study reported that a full thyroidectomy had no association with an extended OS time (17). However, the importance of a total thyroidectomy is still debatable due to the high percentage of unresectable tumors at first diagnosis and the significant morbidity associated with intensive local resection (17). Surgical intervention is typically not recommended for individuals with ATC owing to substantial metastases, but full surgical resection is recommended for localized disease when achievable, with little morbidity (14). When used alone to treat ATC, surgery, radiotherapy or chemotherapy rarely have an impact on OS rates. Accordingly, multimodal therapy is increasingly being applied as the treatment of choice for ATC, as the disease is commonly advanced at the time of diagnosis and usually cannot be resected completely. Further postoperative radiotherapy is also sought-after (14). Improved OS times were associated with the use of definitive or adjuvant radiation therapy, a younger patient age and a lack of distant metastases, according to the findings of a retrospective case series study that was conducted on a large institutional cohort of 97 patients who were treated for ATC over the course of 21 years (17).

The majority of patients with ATC require chemotherapy due to the existence of advanced regional disease or distant metastasis at the time of presentation. Doxorubicin is a frequently used regimen, whether combined with cisplatin or used alone, but the response rate is typically low (18). Second-line treatments are targeted inhibitors that act on a specific target molecule, thus preventing the growth and progression of cancer. Such inhibitors typically target overactive or mutant molecules active in certain signaling pathways of cancer cells. Examples of these inhibitors are incorporating targeted therapies, such as tyrosine kinase inhibitors, anti-angiogenic drugs, and agonists, and multi-kinase inhibitors (MKIs) targeting hyperactive BRAF gene, mTOR, and/or BCR-ABL. For BRAFV600E mutation-positive tumors, vemurafenib, as well as the combined use of dabrafenib and trametinib have shown promising responses in treating ATC (19). In a phase 2 multicenter investigation of BRAF-mutated tumors, including 7 patients with BRAFV600E-mutated ATC, the BRAF inhibitor vemurafenib, which had been previously licensed to treat BRAF-mutated melanoma, was assessed. There was one complete response (CR) and one partial response (PR) among the participants in this cohort, which resulted in an overall response rate of 69%. More importantly, a single patient experienced a sustained response that lasted >1 year (20). This and other anecdotal evidence led to the investigation of the BRAF inhibitor dabrafenib and the MEK inhibitor trametinib in a phase 2 multicenter trial for BRAFV600E-mutated ATC (19). Dabrafenib and trametinib were administered daily to patients with ATC and BRAFV600E mutations. Among the 16 participants, the vast majority had already undergone some form of surgical procedure and/or external beam radiation. Overall, 1 patient (6%) achieved a CR and 10 patients (63%) achieved a PR at a median follow-up time of 47 weeks (range, 4-120 weeks), yielding an overall response rate (ORR) of 69%. Furthermore, 19% of patients experienced stable disease.

In 2018, dabrafenib/trametinib for BRAFV600E-mutated ATC was authorized by the Food and Drug Administration (FDA) as a result of the aforementioned findings (19). However, generally, single-targeted inhibitors have not exhibited substantial therapeutic effects in patients with ATC, prompting the adoption of MKIs. MKIs have the ability to act on two or more targets at the same time. MKIs such as sorafenib, axitinib, pazopanib and sunitinib have been studied in preclinical models, as well as a clinical trial, with promising results (21). The use of sorafenib also resulted in a progression-free survival time of ~5 months in a phase III clinical trial, with patients experiencing manageable toxicities in comparison with the placebo group (22). Additionally, patients with unresectable or metastatic BRAFV600E-positive ATC have a treatment option, including the BRAF inhibitor dabrafenib and the MEK inhibitor trametinib (23).

Neo-adjuvant therapy refers to the administration of systemic treatment before surgery with the goal of downsizing the tumor, improving surgical outcomes and potentially increasing survival rates. Implementation of neo-adjuvant BRAF-directed therapy before surgery may result in improved OS times for patients with BRAFV600E-mutated ATC (24). BRAF-directed therapy is highly effective, and subsequent to using these drugs, surgically unresectable tumors may become resectable, although drug resistance may also develop. The traditional trimodal therapy of surgery, adjuvant chemotehrapy and adjuvant radiotherapy could in future be substituted with up-front BRAF inhibitors, subsequent surgery and possible adjuvant chemoradiation in patients with stage IVB and IVC BRAFV600E-mutated ATC (24). Additionally, neo-adjuvant therapy could serve as a ‘test-of-time’ for individual tumor response to targeted therapy, allowing for treatment tailoring and identification of patients who may benefit the most from surgical intervention (24).

While specific data on the impact of neo-adjuvant BRAF-directed therapy followed by surgery in ATC is limited, emerging evidence from case reports and small studies suggests encouraging outcomes. One study reported significant tumor shrinkage, improved resectability and even a complete pathological response following neo-adjuvant targeted therapy (25). These findings indicate the potential for improved OS times and disease control in patients with ATC. Recently, molecularly targeted treatments for ATC have been created. Lenvatinib successfully increased progression-free survival time in patients with both DTC and ATC. In 2020 and 2023, Niu and Xing conducted comprehensive literature searches for ATC-targeted drug studies and provided a summary of their efficacy and adverse effects. It was stated that in comparison to other targeted medications, the pairing of dabrafenib and trametinib stood out as the most effective treatment discovered so far (26,27). A study by Ferrari et al (28) found that despite the recognition of doxorubicin, docetaxel/paclitaxel and cisplatin by American Thyroid Association guidelines for the treatment of ATC, there has been no improvement in the survival rate of patients with advanced ATC. Additionally, the use of combination therapy, particularly involving TKIs, is considered a highly significant area for future research. Moreover, it is essential to acknowledge that drug resistance poses a substantial challenge for researchers and clinicians. However, studies have indicated that combining anticancer-targeted drugs with other specific medications could potentially mitigate drug resistance. All in all, targeted agents show great promise as an approach for treating ATC (26,29).

3. Genetic landscape and molecular pathogenesis of ATC

Tumor development is associated with the accumulation of mutations in the genome. It has been hypothesized that ATC progresses from DTC through genetic alterations causing anaplastic transformation (8). When differentiated and anaplastic components of TC are co-localized inside the same thyroid gland, both tumors usually have the same oncogenic mutations in BRAFV600E or RAS (28). This further supports the hypothesis that DTC cells undergo anaplastic transition. Nonetheless, most thyroid tumors with BRAF or RAS mutations are at low risk, demonstrating that these basic oncogenic mutations are insufficient to trigger ATC (11). Therefore, multiple genetic hits are believed to be necessary for the development of ATC; a mutation in one of the key oncogenic driver genes responsible for differentiated thyroid carcinoma and additional deleterious genetic alterations will lead to ATC transformation.

The Cancer Genome Atlas has made it clear that molecular profiles such as those of RAS and BRAFV600E are linked to follicular growth, and also to papillary growth (30). For example, RAS gene mutations are strongly associated with follicular architecture, regardless of whether the cancer cells have invaded. The number of follicular adenomas, follicular carcinomas and PTCs that have RAS mutations is the same. The same is true for other molecular changes that happen less often, such as BRAF mutations that are not V600E (like BRAFK601E) or PTEN mutations, which are all found in tumors with follicular architecture at approximately the same rate in each histological type (31,32). On the other hand, ‘conventional’ PTC is marked by the presence of neoplastic papillae and the molecular change BRAFV600E, and similar changes such as RET and NTRK rearrangements (32). In poorly differentiated TC and ATC, RAS-like and BRAFV600E-like signatures are partly kept, as mutations of the BRAF and RAS genes are found in a subset of cases at prevalence rates that are not very different from those of WDTC and FTC (30,31). TERT promoter mutations, on the other hand, are associated with invasive growth in PTC and FTC, and their rate of occurrence goes up in PDTC and ATC (33). Consistent with the multiple hit hypothesis, the ATC mutation burden is highest among TC subtypes. In a study on a mouse model with thyrocyte-specific expression of BRAFV600E, the need for several genetic mutations for anaplastic transformation was validated. In the absence of any further genetic alterations, the BRAFV600E-induced PTC in mice exhibited an indolent nature and did not commonly lead to the development of a progressively fatal condition. Likewise, the absence of TP53 alone is inadequate to produce ATC. However, ATC is almost fatal when a BRAFV600E transgene is produced in combination with a TP53 deletion, and/or with inactivation of both PTEN and TP53 or mutationally activated PIK3CA (32,34). The TP53 mutation is more common in ATC than in all other advanced/aggressive TC types, including both PDTC and high-grade PTC (35).

Compared with advanced DTC, ATC had a significantly higher prevalence of genetic changes in cell cycle genes (13 and 29%, respectively), such as inactivating mutations in the cell cycle regulators CDKN2A and CDKN2B and copy number gains of CCNE1 (35). These changes are necessary for the cell cycle G1/S transition. The most important copy number loss location in ATC is the deletion of the 9p21.3 locus, which contains the CDKN2A and CDKN2B genes, and is frequently observed in TC cell lines (35). Gene expression variations are correlated with changes in CDKN2A, CDKN2B and CCNE1 copy number (34,35). Cell cycle gene mutations are compatible with ATC progression. Loss of PTEN expression is also observed in a fraction of TCs, and promoter methylation of PTEN is prevalent in FTC and ATC (34). Mutations of different RAS isoforms, PIK3CA mutations and amplifications, and PTEN mutations have all been linked to methylation of the PTEN gene in thyroid tumors, including ATC.

TERT promoter mutations cause telomerase to reactivate and have been linked to advanced DTC. A study by Pozdeyev et al (35) in 2018 found that TERT promoter mutations were quite common in their large-scale investigation of advanced DTC genetics. The study showed that TERT promoter mutations were more frequent in ATC than in DTC. Six investigations, totaling 252 cases with ATC, searched for TERT promoter mutations. Among these tumors, 100 (or 39.7%) had TERT promote (36,37). However, TERT promoter mutations alone do not cause anaplastic transformation, but they do contribute to the aggressive phenotype, which is susceptible to conversion to ATC if one of the ATC-related second genetic alteration events occurs (38,39). The PDTC phenotype is susceptible to transformation to ATC when one of the ATC-related ‘second hit’ genetic events, such as TERT mutation, occurs. The prevalence of TERT mutation is significantly higher in high-grade PTC and PDTC, approaches >70% in ATC (11-13), and is associated with a poor prognosis. TERT mutations correlate with a higher frequency of metastasis, prolonged disease and a lower survival rate in patients with PTC, particularly when they co-occur with oncogenic mutations such as BRAFV600E or RAS (14-17).

Given that anaplastic transition requires many genetic changes, most ATC cases are expected to undergo the differentiated phase, whether or not DTC is detected through histological investigation. However, the lack of typical oncogenic mutations in these tumors and the rapid accumulation of numerous mutations in tumors with DNA repair deficiencies may encourage the de novo generation of ATC from healthy follicular cells (8,9).

According to the AACR Project GENIE Consortium dataset version 8 (https://www.aacr.org/professionals/research/aacr-project-genie/aacr-project-genie-data/), ATC most frequently harbors alterations in TP53, BRAF, NRAS, CDKN2A and PIK3CA (Figs. 3 and 4) (40).

Figure 3

Most commonly altered genes in anaplastic thyroid cancer. Courtesy of The AACR Project GENIE Consortium. Data extracted from my cancer genome® database. The datasets are freely accessible in a publicly accessible repository that is responsible for distributing data (41).

Figure 4

Top gene mutations in anaplastic thyroid cancer. Courtesy of The AACR Project GENIE Consortium. Data extracted from my cancer genome® database. The datasets are freely accessible in a publicly accessible repository that is responsible for distributing data (41).

In summary, ATC is a genetically complicated malignancy that is derived from numerous unique DTC subtypes. This complexity is reflected in its etiology. Our knowledge of the genetic processes that can lead to anaplastic transformation has substantially expanded as a result of the development of more sophisticated tools for genotyping and the growing application of genetic information in clinical care. However, the mechanisms and risk factors that lead to a subset of TCs transforming into the most aggressive form of human cancer remain largely unknown. Additionally, a true tailored therapy is now more feasible due to the recent development of innovative and affordable diagnostic tools, such as individual mutational testing and in vitro analysis of patient ATC cells. This is completed in an effort to improve therapeutic success and prevent the use of harmful and ineffective treatments.

4. Conclusion

In conclusion, ATC has a complex genetic landscape and molecular pathogenesis that includes a variety of genetic modifications, epigenetic changes and signaling pathway activations. For the purpose of creating novel and efficient ATC treatments, it is essential to understand these underlying mechanisms, and continued research in this field is required to enhance the prognosis for those who have this aggressive type of TC. Due to the advancement of genotyping methods and the increased utilization of genetic data, better knowledge now exists with regard to the genetic mechanisms that lead to the anaplastic transformation of ATC. Frequent and quick molecular testing is performed to look for actionable oncogenic mutations. ATC is characterized by genomic instability, which leads to mutations in the RET, BRAF, RAS, PTEN, PIK3CA and TP53 genes. Given the complexity of the genetic alterations linked to ATC, a tailored treatment plan that strictly limits critical pathways may enhance therapeutic results. In the future, a multidisciplinary approach to these treatments might be successful. Additionally, for patients with the BRAFV600E mutation, the usage of neo-adjuvant BRAF-directed therapy, followed by surgery, may result in significant improvements to OS. However, despite these important developments in the pathophysiology of ATC and its potential translational uses, little is known about the mechanisms through which these mutations contribute to the carcinogenesis of ATC. In addition, the advancement of care for patients diagnosed with ATC will largely depend on how seriously enrollment in clinical trials is taken into consideration.

Acknowledgements

No applicable.

Funding

Funding: No funding was received.

Availability of data and materials

The datasets used and/or analyzed during the current study are available from the corresponding author on reasonable request.

Authors' contributions

AGA draft the manuscript. OA reviewed the manuscript and provide Fig. 1. YA reviewed the manuscript and provided Fig. 2. All authors have read and approved the manuscript. Data authentication is not applicable.

Ethics approval and consent to participate

Not applicable.

Patient consent for publication

Written consent was obtained from the patients for the use of the images in Figs. 1 and 2.

Competing interests

The authors declare that they have no competing interests.

References

1 

Rao SN and Smallridge RC: Anaplastic thyroid cancer: An update. Best Pract Res Clin Endocrinol Metab. 37(101678)2023.PubMed/NCBI View Article : Google Scholar

2 

Fagin JA and Wells SA Jr: Biologic and clinical perspectives on thyroid cancer. N Engl J Med. 375(2307)2016.PubMed/NCBI View Article : Google Scholar

3 

Fahiminiya S, de Kock L and Foulkes WD: Biologic and clinical perspectives on thyroid cancer. N Engl J Med. 375:2306–2307. 2016.PubMed/NCBI View Article : Google Scholar

4 

Jung CK, Bychkov A and Kakudo K: Update from the 2022 World Health Organization Classification of Thyroid Tumors: A standardized diagnostic approach. Endocrinol Metab (Seoul). 37:703–718. 2022.PubMed/NCBI View Article : Google Scholar

5 

Molinaro E, Romei C, Biagini A, Sabini E, Agate L, Mazzeo S, Materazzi G, Sellari-Franceschini S, Ribechini A, Torregrossa L, et al: Anaplastic thyroid carcinoma: From clinicopathology to genetics and advanced therapies. Nat Rev Endocrinol. 13:644–660. 2017.PubMed/NCBI View Article : Google Scholar

6 

Smallridge RC, Ain KB, Asa SL, Bible KC, Brierley JD, Burman KD, Kebebew E, Lee NY, Nikiforov YE, Rosenthal MS, et al: American Thyroid Association guidelines for management of patients with anaplastic thyroid cancer. Thyroid. 22:1104–1139. 2012.PubMed/NCBI View Article : Google Scholar

7 

Wendler J, Kroiss M, Gast K, Kreissl MC, Allelein S, Lichtenauer U, Blaser R, Spitzweg C, Fassnacht M, Schott M, et al: Clinical presentation, treatment and outcome of anaplastic thyroid carcinoma: Results of a multicenter study in Germany. Eur J Endocrinol. 175:521–529. 2016.PubMed/NCBI View Article : Google Scholar

8 

Ragazzi M, Ciarrocchi A, Sancisi V, Gandolfi G, Bisagni A and Piana S: Update on anaplastic thyroid carcinoma: Morphological, molecular, and genetic features of the most aggressive thyroid cancer. Int J Endocrinol. 2014(790834)2014.PubMed/NCBI View Article : Google Scholar

9 

Chiacchio S, Lorenzoni A, Boni G, Rubello D, Elisei R and Mariani G: Anaplastic thyroid cancer: Prevalence, diagnosis and treatment. Minerva Endocrinol. 33:341–357. 2008.PubMed/NCBI

10 

Corrigan KL, Williamson H, Elliott Range D, Niedzwiecki D, Brizel DM and Mowery YM: Treatment Outcomes in Anaplastic Thyroid Cancer. J Thyroid Res. 2019(8218949)2019.PubMed/NCBI View Article : Google Scholar

11 

Guerra A, Di Crescenzo V, Garzi A, Cinelli M, Carlomagno C, Tonacchera M, Zeppa P and Vitale M: Genetic mutations in the treatment of anaplastic thyroid cancer: A systematic review. BMC Surg. 13 (Suppl 2)(S44)2013.PubMed/NCBI View Article : Google Scholar

12 

Coca-Pelaz A, Rodrigo JP, Lopez F, Shah JP, Silver CE, Al Ghuzlan A, Menke-van der Houven van Oordt CW, Smallridge RC, Shaha AR, Angelos P, et al: Evaluating new treatments for anaplastic thyroid cancer. Expert Rev Anticancer Ther. 22:1239–1247. 2022.PubMed/NCBI View Article : Google Scholar

13 

Brauner E, Gunda V, Vanden Borre P, Zurakowski D, Kim YS, Dennett KV, Amin S, Freeman GJ and Parangi S: Combining BRAF inhibitor and anti PD-L1 antibody dramatically improves tumor regression and anti tumor immunity in an immunocompetent murine model of anaplastic thyroid cancer. Oncotarget. 7:17194–17211. 2016.PubMed/NCBI View Article : Google Scholar

14 

Bible KC, Kebebew E, Brierley J, Brito JP, Cabanillas ME, Clark TJ Jr, Di Cristofano A, Foote R, Giordano T, Kasperbauer J, et al: 2021 American Thyroid Association guidelines for management of patients with anaplastic thyroid cancer. Thyroid. 31:337–386. 2021.PubMed/NCBI View Article : Google Scholar

15 

Haymart MR, Banerjee M, Yin H, Worden F and Griggs JJ: Marginal treatment benefit in anaplastic thyroid cancer. Cancer. 119:3133–3139. 2013.PubMed/NCBI View Article : Google Scholar

16 

Orita Y, Sugitani I, Amemiya T and Fujimoto Y: Prospective application of our novel prognostic index in the treatment of anaplastic thyroid carcinoma. Surgery. 150:1212–1219. 2011.PubMed/NCBI View Article : Google Scholar

17 

Chintakuntlawar AV, Foote RL, Kasperbauer JL and Bible KC: Diagnosis and Management of anaplastic thyroid cancer. Endocrinol Metab Clin North Am. 48:269–284. 2019.PubMed/NCBI View Article : Google Scholar

18 

Koda K, Katoh M and Yasuhara K: Management of anaplastic thyroid cancer and proposed treatment guidelines-A 5-year case series study. Cancer Rep (Hoboken). 5(e1727)2022.PubMed/NCBI View Article : Google Scholar

19 

Subbiah V, Kreitman RJ, Wainberg ZA, Cho JY, Schellens JHM, Soria JC, Wen PY, Zielinski C, Cabanillas ME, Urbanowitz G, et al: Dabrafenib and trametinib treatment in patients with locally advanced or metastatic BRAF V600-Mutant anaplastic thyroid cancer. J Clin Oncol. 36:7–13. 2018.PubMed/NCBI View Article : Google Scholar

20 

Hyman DM, Puzanov I, Subbiah V, Faris JE, Chau I, Blay JY, Wolf J, Raje NS, Diamond EL, Hollebecque A, et al: Vemurafenib in multiple nonmelanoma cancers with BRAF V600 Mutations. N Engl J Med. 373:726–736. 2015.PubMed/NCBI View Article : Google Scholar

21 

Brose MS, Smit JWA, Lin CC, Tori M, Bowles DW, Worden F, Shen DH, Huang SM, Tsai HJ, Alevizaki M, et al: Multikinase inhibitors for the treatment of asymptomatic radioactive iodine-refractory differentiated thyroid cancer: Global noninterventional study (RIFTOS MKI). Thyroid. 32:1059–1068. 2022.PubMed/NCBI View Article : Google Scholar

22 

Saini S, Tulla K, Maker AV, Burman KD and Prabhakar BS: Therapeutic advances in anaplastic thyroid cancer: A current perspective. Mol Cancer. 17(154)2018.PubMed/NCBI View Article : Google Scholar

23 

Crispo F, Notarangelo T, Pietrafesa M, Lettini G, Storto G, Sgambato A, Maddalena F and Landriscina M: BRAF inhibitors in thyroid cancer: Clinical impact, mechanisms of resistance and future perspectives. Cancers (Basel). 11(1388)2019.PubMed/NCBI View Article : Google Scholar

24 

Cabanillas ME, Ferrarotto R, Garden AS, Ahmed S, Busaidy NL, Dadu R, Williams MD, Skinner H, Gunn GB, Grosu H, et al: Neoadjuvant BRAF- and immune-directed therapy for anaplastic thyroid carcinoma. Thyroid. 28:945–951. 2018.PubMed/NCBI View Article : Google Scholar

25 

Zhao X, Wang JR, Dadu R, Busaidy NL, Xu L, Learned KO, Chasen NN, Vu T, Maniakas A, Eguia AA, et al: Surgery After BRAF-Directed Therapy is associated with improved survival in BRAFV600E mutant anaplastic thyroid cancer: A single-center retrospective cohort study. Thyroid. 33:484–491. 2023.PubMed/NCBI View Article : Google Scholar

26 

Niu Y, Ding Z, Deng X, Guo B, Kang J, Wu B and Fan Y: A novel multimodal therapy for anaplastic thyroid carcinoma: 125I seed implantation plus apatinib after surgery. Front Endocrinol (Lausanne). 11(207)2020.PubMed/NCBI View Article : Google Scholar

27 

Xing Y, Wang Y and Wu X: Radiotherapy combined with immunotherapy successfully treated one case of anaplastic thyroid cancer: A case report. Front Oncol. 13(1125226)2023.PubMed/NCBI View Article : Google Scholar

28 

Ferrari SM, Elia G, Ragusa F, Ruffilli I, La Motta C, Paparo SR, Patrizio A, Vita R, Benvenga S, Materazzi G, et al: Novel treatments for anaplastic thyroid carcinoma. Gland Surg. 9 (Suppl 1):S28–S42. 2020.PubMed/NCBI View Article : Google Scholar

29 

Oishi N, Kondo T, Ebina A, Sato Y, Akaishi J, Hino R, Yamamoto N, Mochizuki K, Nakazawa T, Yokomichi H, et al: Molecular alterations of coexisting thyroid papillary carcinoma and anaplastic carcinoma: Identification of TERT mutation as an independent risk factor for transformation. Mod Pathol. 30:1527–1537. 2017.PubMed/NCBI View Article : Google Scholar

30 

Khatami F and Tavangar SM: A review of driver genetic alterations in thyroid cancers. Iran J Pathol. 13:125–135. 2018.PubMed/NCBI

31 

Song YS and Park YJ: Genomic characterization of differentiated thyroid carcinoma. Endocrinol Metab (Seoul). 34:1–10. 2019.PubMed/NCBI View Article : Google Scholar

32 

Kasaian K, Wiseman SM, Walker BA, Schein JE, Zhao Y, Hirst M, Moore RA, Mungall AJ, Marra MA and Jones SJ: The genomic and transcriptomic landscape of anaplastic thyroid cancer: Implications for therapy. BMC Cancer. 15(984)2015.PubMed/NCBI View Article : Google Scholar

33 

Man J, Nicolson N, Gibson C and Carling T: TERT promoter mutations in thyroid cancer: Growing evidence for a predictor of poor outcome. Gland Surg. 8:301–303. 2019.PubMed/NCBI View Article : Google Scholar

34 

Landa I and Knauf JA: Mouse models as a tool for understanding progression in Braf V600E-Driven thyroid cancers. Endocrinol Metab (Seoul). 34:11–22. 2019.PubMed/NCBI View Article : Google Scholar

35 

Pozdeyev N, Gay LM, Sokol ES, Hartmaier R, Deaver KE, Davis S, French JD, Borre PV, LaBarbera DV, Tan AC, et al: Genetic analysis of 779 advanced differentiated and anaplastic thyroid cancers. Clin Cancer Res. 24:3059–3068. 2018.PubMed/NCBI View Article : Google Scholar

36 

Landa I, Pozdeyev N, Korch C, Marlow LA, Smallridge RC, Copland JA, Henderson YC, Lai SY, Clayman GL, Onoda N, et al: Comprehensive genetic characterization of human thyroid cancer cell lines: A validated panel for preclinical studies. Clin Cancer Res. 25:3141–3151. 2019.PubMed/NCBI View Article : Google Scholar

37 

Liu R and Xing M: TERT promoter mutations in thyroid cancer. Endocr Relat Cancer. 23:R143–R155. 2016.PubMed/NCBI View Article : Google Scholar

38 

Ravi N, Yang M, Gretarsson S, Jansson C, Mylona N, Sydow SR, Woodward EL, Ekblad L, Wennerberg J and Paulsson K: Identification of targetable lesions in anaplastic thyroid cancer by genome profiling. Cancers (Basel). 11(402)2019.PubMed/NCBI View Article : Google Scholar

39 

Hou P, Ji M and Xing M: Association of PTEN gene methylation with genetic alterations in the phosphatidylinositol 3-kinase/AKT signaling pathway in thyroid tumors. Cancer. 113:2440–2447. 2008.PubMed/NCBI View Article : Google Scholar

40 

Alzahrani AS, Alsaadi R, Murugan AK and Sadiq BB: TERT promoter mutations in thyroid cancer. Horm Cancer. 7:165–177. 2016.PubMed/NCBI View Article : Google Scholar

41 

The AACR Project GENIE Consortium. AACR Project GENIE: Powering precision medicine through an International Consortium. Cancer Discov. 7:818–831. 2017.PubMed/NCBI View Article : Google Scholar

Related Articles

  • Abstract
  • View
  • Download
  • Twitter
Copy and paste a formatted citation
Spandidos Publications style
Alhejaily AG, Alhuzaim O and Alwelaie Y: Anaplastic thyroid cancer: Pathogenesis, prognostic factors and genetic landscape (Review). Mol Clin Oncol 19: 99, 2023.
APA
Alhejaily, A.G., Alhuzaim, O., & Alwelaie, Y. (2023). Anaplastic thyroid cancer: Pathogenesis, prognostic factors and genetic landscape (Review). Molecular and Clinical Oncology, 19, 99. https://doi.org/10.3892/mco.2023.2695
MLA
Alhejaily, A. G., Alhuzaim, O., Alwelaie, Y."Anaplastic thyroid cancer: Pathogenesis, prognostic factors and genetic landscape (Review)". Molecular and Clinical Oncology 19.6 (2023): 99.
Chicago
Alhejaily, A. G., Alhuzaim, O., Alwelaie, Y."Anaplastic thyroid cancer: Pathogenesis, prognostic factors and genetic landscape (Review)". Molecular and Clinical Oncology 19, no. 6 (2023): 99. https://doi.org/10.3892/mco.2023.2695
Copy and paste a formatted citation
x
Spandidos Publications style
Alhejaily AG, Alhuzaim O and Alwelaie Y: Anaplastic thyroid cancer: Pathogenesis, prognostic factors and genetic landscape (Review). Mol Clin Oncol 19: 99, 2023.
APA
Alhejaily, A.G., Alhuzaim, O., & Alwelaie, Y. (2023). Anaplastic thyroid cancer: Pathogenesis, prognostic factors and genetic landscape (Review). Molecular and Clinical Oncology, 19, 99. https://doi.org/10.3892/mco.2023.2695
MLA
Alhejaily, A. G., Alhuzaim, O., Alwelaie, Y."Anaplastic thyroid cancer: Pathogenesis, prognostic factors and genetic landscape (Review)". Molecular and Clinical Oncology 19.6 (2023): 99.
Chicago
Alhejaily, A. G., Alhuzaim, O., Alwelaie, Y."Anaplastic thyroid cancer: Pathogenesis, prognostic factors and genetic landscape (Review)". Molecular and Clinical Oncology 19, no. 6 (2023): 99. https://doi.org/10.3892/mco.2023.2695
Follow us
  • Twitter
  • LinkedIn
  • Facebook
About
  • Spandidos Publications
  • Careers
  • Cookie Policy
  • Privacy Policy
How can we help?
  • Help
  • Live Chat
  • Contact
  • Email to our Support Team