Spandidos Publications Logo
  • About
    • About Spandidos
    • Aims and Scopes
    • Abstracting and Indexing
    • Editorial Policies
    • Reprints and Permissions
    • Job Opportunities
    • Terms and Conditions
    • Contact
  • Journals
    • All Journals
    • Oncology Letters
      • Oncology Letters
      • Information for Authors
      • Editorial Policies
      • Editorial Board
      • Aims and Scope
      • Abstracting and Indexing
      • Bibliographic Information
      • Archive
    • International Journal of Oncology
      • International Journal of Oncology
      • Information for Authors
      • Editorial Policies
      • Editorial Board
      • Aims and Scope
      • Abstracting and Indexing
      • Bibliographic Information
      • Archive
    • Molecular and Clinical Oncology
      • Molecular and Clinical Oncology
      • Information for Authors
      • Editorial Policies
      • Editorial Board
      • Aims and Scope
      • Abstracting and Indexing
      • Bibliographic Information
      • Archive
    • Experimental and Therapeutic Medicine
      • Experimental and Therapeutic Medicine
      • Information for Authors
      • Editorial Policies
      • Editorial Board
      • Aims and Scope
      • Abstracting and Indexing
      • Bibliographic Information
      • Archive
    • International Journal of Molecular Medicine
      • International Journal of Molecular Medicine
      • Information for Authors
      • Editorial Policies
      • Editorial Board
      • Aims and Scope
      • Abstracting and Indexing
      • Bibliographic Information
      • Archive
    • Biomedical Reports
      • Biomedical Reports
      • Information for Authors
      • Editorial Policies
      • Editorial Board
      • Aims and Scope
      • Abstracting and Indexing
      • Bibliographic Information
      • Archive
    • Oncology Reports
      • Oncology Reports
      • Information for Authors
      • Editorial Policies
      • Editorial Board
      • Aims and Scope
      • Abstracting and Indexing
      • Bibliographic Information
      • Archive
    • Molecular Medicine Reports
      • Molecular Medicine Reports
      • Information for Authors
      • Editorial Policies
      • Editorial Board
      • Aims and Scope
      • Abstracting and Indexing
      • Bibliographic Information
      • Archive
    • World Academy of Sciences Journal
      • World Academy of Sciences Journal
      • Information for Authors
      • Editorial Policies
      • Editorial Board
      • Aims and Scope
      • Abstracting and Indexing
      • Bibliographic Information
      • Archive
    • International Journal of Functional Nutrition
      • International Journal of Functional Nutrition
      • Information for Authors
      • Editorial Policies
      • Editorial Board
      • Aims and Scope
      • Abstracting and Indexing
      • Bibliographic Information
      • Archive
    • International Journal of Epigenetics
      • International Journal of Epigenetics
      • Information for Authors
      • Editorial Policies
      • Editorial Board
      • Aims and Scope
      • Abstracting and Indexing
      • Bibliographic Information
      • Archive
    • Medicine International
      • Medicine International
      • Information for Authors
      • Editorial Policies
      • Editorial Board
      • Aims and Scope
      • Abstracting and Indexing
      • Bibliographic Information
      • Archive
  • Articles
  • Information
    • Information for Authors
    • Information for Reviewers
    • Information for Librarians
    • Information for Advertisers
    • Conferences
  • Language Editing
Spandidos Publications Logo
  • About
    • About Spandidos
    • Aims and Scopes
    • Abstracting and Indexing
    • Editorial Policies
    • Reprints and Permissions
    • Job Opportunities
    • Terms and Conditions
    • Contact
  • Journals
    • All Journals
    • Biomedical Reports
      • Information for Authors
      • Editorial Policies
      • Editorial Board
      • Aims and Scope
      • Abstracting and Indexing
      • Bibliographic Information
      • Archive
    • Experimental and Therapeutic Medicine
      • Information for Authors
      • Editorial Policies
      • Editorial Board
      • Aims and Scope
      • Abstracting and Indexing
      • Bibliographic Information
      • Archive
    • International Journal of Epigenetics
      • Information for Authors
      • Editorial Policies
      • Editorial Board
      • Aims and Scope
      • Abstracting and Indexing
      • Bibliographic Information
      • Archive
    • International Journal of Functional Nutrition
      • Information for Authors
      • Editorial Policies
      • Editorial Board
      • Aims and Scope
      • Abstracting and Indexing
      • Bibliographic Information
      • Archive
    • International Journal of Molecular Medicine
      • Information for Authors
      • Editorial Policies
      • Editorial Board
      • Aims and Scope
      • Abstracting and Indexing
      • Bibliographic Information
      • Archive
    • International Journal of Oncology
      • Information for Authors
      • Editorial Policies
      • Editorial Board
      • Aims and Scope
      • Abstracting and Indexing
      • Bibliographic Information
      • Archive
    • Medicine International
      • Information for Authors
      • Editorial Policies
      • Editorial Board
      • Aims and Scope
      • Abstracting and Indexing
      • Bibliographic Information
      • Archive
    • Molecular and Clinical Oncology
      • Information for Authors
      • Editorial Policies
      • Editorial Board
      • Aims and Scope
      • Abstracting and Indexing
      • Bibliographic Information
      • Archive
    • Molecular Medicine Reports
      • Information for Authors
      • Editorial Policies
      • Editorial Board
      • Aims and Scope
      • Abstracting and Indexing
      • Bibliographic Information
      • Archive
    • Oncology Letters
      • Information for Authors
      • Editorial Policies
      • Editorial Board
      • Aims and Scope
      • Abstracting and Indexing
      • Bibliographic Information
      • Archive
    • Oncology Reports
      • Information for Authors
      • Editorial Policies
      • Editorial Board
      • Aims and Scope
      • Abstracting and Indexing
      • Bibliographic Information
      • Archive
    • World Academy of Sciences Journal
      • Information for Authors
      • Editorial Policies
      • Editorial Board
      • Aims and Scope
      • Abstracting and Indexing
      • Bibliographic Information
      • Archive
  • Articles
  • Information
    • For Authors
    • For Reviewers
    • For Librarians
    • For Advertisers
    • Conferences
  • Language Editing
Login Register Submit
  • This site uses cookies
  • You can change your cookie settings at any time by following the instructions in our Cookie Policy. To find out more, you may read our Privacy Policy.

    I agree
Search articles by DOI, keyword, author or affiliation
Search
Advanced Search
presentation
Molecular and Clinical Oncology
Join Editorial Board Propose a Special Issue
Print ISSN: 2049-9450 Online ISSN: 2049-9469
Journal Cover
June-2024 Volume 20 Issue 6

Full Size Image

Sign up for eToc alerts
Recommend to Library

Journals

International Journal of Molecular Medicine

International Journal of Molecular Medicine

International Journal of Molecular Medicine is an international journal devoted to molecular mechanisms of human disease.

International Journal of Oncology

International Journal of Oncology

International Journal of Oncology is an international journal devoted to oncology research and cancer treatment.

Molecular Medicine Reports

Molecular Medicine Reports

Covers molecular medicine topics such as pharmacology, pathology, genetics, neuroscience, infectious diseases, molecular cardiology, and molecular surgery.

Oncology Reports

Oncology Reports

Oncology Reports is an international journal devoted to fundamental and applied research in Oncology.

Experimental and Therapeutic Medicine

Experimental and Therapeutic Medicine

Experimental and Therapeutic Medicine is an international journal devoted to laboratory and clinical medicine.

Oncology Letters

Oncology Letters

Oncology Letters is an international journal devoted to Experimental and Clinical Oncology.

Biomedical Reports

Biomedical Reports

Explores a wide range of biological and medical fields, including pharmacology, genetics, microbiology, neuroscience, and molecular cardiology.

Molecular and Clinical Oncology

Molecular and Clinical Oncology

International journal addressing all aspects of oncology research, from tumorigenesis and oncogenes to chemotherapy and metastasis.

World Academy of Sciences Journal

World Academy of Sciences Journal

Multidisciplinary open-access journal spanning biochemistry, genetics, neuroscience, environmental health, and synthetic biology.

International Journal of Functional Nutrition

International Journal of Functional Nutrition

Open-access journal combining biochemistry, pharmacology, immunology, and genetics to advance health through functional nutrition.

International Journal of Epigenetics

International Journal of Epigenetics

Publishes open-access research on using epigenetics to advance understanding and treatment of human disease.

Medicine International

Medicine International

An International Open Access Journal Devoted to General Medicine.

Journal Cover
June-2024 Volume 20 Issue 6

Full Size Image

Sign up for eToc alerts
Recommend to Library

  • Article
  • Citations
    • Cite This Article
    • Download Citation
    • Create Citation Alert
    • Remove Citation Alert
    • Cited By
  • Similar Articles
    • Related Articles (in Spandidos Publications)
    • Similar Articles (Google Scholar)
    • Similar Articles (PubMed)
  • Download PDF
  • Download XML
  • View XML
Case Report Open Access

Refractory insulin resistance and hemophagocytic lymphohistiocytosis following enfortumab vedotin treatment: A case report

  • Authors:
    • Pierre Rossignon
    • Le Diep Kieu Nguyen
    • Petra Boegner
    • Jade Ku
    • Antoine Herpain
  • View Affiliations / Copyright

    Affiliations: Department of Intensive Care, CHU Saint‑Pierre, Université Libre de Bruxelles, 1000 Brussels, Belgium, Department of Emergency, CHU Saint‑Pierre, Université Libre de Bruxelles, 1000 Brussels, Belgium, Department of Oncology, CHU Saint‑Pierre, Université Libre de Bruxelles, 1000 Brussels, Belgium, Department of Hematology, CHU Saint‑Pierre, Université Libre de Bruxelles, 1000 Brussels, Belgium
    Copyright: © Rossignon et al. This is an open access article distributed under the terms of Creative Commons Attribution License.
  • Article Number: 44
    |
    Published online on: May 8, 2024
       https://doi.org/10.3892/mco.2024.2742
  • Expand metrics +
Metrics: Total Views: 0 (Spandidos Publications: | PMC Statistics: )
Metrics: Total PDF Downloads: 0 (Spandidos Publications: | PMC Statistics: )
Cited By (CrossRef): 0 citations Loading Articles...

This article is mentioned in:



Abstract

The increasing incidence of urothelial carcinoma, coupled with advancements in its therapeutic landscape, has resulted in improved survival rates for patients. This, in turn, has led to a growing population of patients requiring specialized oncological care, with Enfortumab vedotin (EV) emerging as a pivotal treatment for metastatic urothelial carcinoma. While EV is associated with hyperglycemia, ketoacidosis is exceedingly rare. To the best of our knowledge, the link between EV and hemophagocytic lymphohistiocytosis (HLH) has not yet been explored. A 56‑year‑old patient diagnosed with metastatic urothelial carcinoma underwent EV treatment as a third‑line treatment after progression following treatment with cisplatin/gemcitabine and pembrolizumab. Notably, after receiving two doses of EV, the patient exhibited refractory insulin resistance, leading to ketoacidosis. Subsequently, HLH emerged, necessitating a treatment regimen involving dexamethasone and etoposide. Despite intensive efforts, the patient experienced septic shock, resulting in death. The present case report highlights refractory insulin resistance and ketoacidosis, followed by reactive HLH, in the context of EV therapy. The limited literature on these complications demonstrates the need for further research to improve the understanding of the underlying mechanisms. With growing evidence of the efficacy of EV and evolving survival rates in urothelial carcinoma, healthcare professionals must remain vigilant for potential adverse effects, ensuring early recognition and optimal patient care.

Introduction

The global incidence of urothelial carcinoma is steadily rising, notably occurring in individuals as young as 55 years old (1). Recent advances in treatment have resulted in improved survival rates, allowing a significant proportion of patients to thrive for numerous years, even in cases of metastatic disease (1).

Enfortumab vedotin (EV) is an innovative antibody-drug conjugate (ADC) designed to target nectin-4, a highly expressed adhesion protein in urothelial carcinoma. It employs a precise binding mechanism with tumor cells, leading to cell death upon internalization of monomethyl auristatin E (MMAE), a potent microtubule-disrupting agent (2). This targeted approach holds promise for patients with metastatic urothelial carcinoma with limited treatment options, especially those with disease progression after platinum-containing chemotherapy and programmed cell death protein 1 (PD-1) or programmed death-ligand 1 inhibitor treatment. Notably, a landmark study by Powles et al (2) reported a 30% lower risk of death in EV patients compared with that of patients receiving chemotherapy during an 11-month median follow-up.

However, despite these promising results, the present case illustrates the critical need for vigilance in addressing rare yet life-threatening complications of this treatment.

The present 56-year-old patient with metastatic urothelial carcinoma treated with EV developed two critical conditions. First, the patient developed refractory insulin resistance after receiving two doses of EV, manifesting as ketoacidosis despite elevated insulin and C-peptide secretion levels. Subsequently, the patient exhibited hemophagocytic lymphohistiocytosis (HLH), with this hyperinflammatory syndrome ultimately leading to a fatal septic shock.

The present case emphasizes some critical care aspects associated with EV treatment in metastatic urothelial carcinoma, highlighting the need for early recognition, understanding and management of such severe complications.

Case report

The present report describes the case of a 56-year-old male patient of Middle Eastern descent with metastatic urothelial carcinoma. The patient had no significant medical history except for previous tobacco use, and his family history was unremarkable. Table I and Fig. 1 provide a chronological summary of events related to the medical care of the patient.

Figure 1

Progress summary timeline. (A) From EV initiation to MOF. (B) From diagnosis of HLH to demise. EV, enfortumab vedotin; MOF, multiple organ failures; HLH, hemophagocytic lymphohistiocytosis.

Table I

Chronological events summary.

Table I

Chronological events summary.

DateEvent
Oct 2021Initial staging: T2N1M1 urothelial carcinoma with lung metastases.
Oct 2021-Jan 2022First-line chemotherapy: Cisplatin and gemcitabine.
Aug 2022-Apr 2023Second-line treatment: Pembrolizumab. Complete remission achieved.
May 2023Recurrence of lung metastasis.
May 2023Initiation of EV as third-line treatment.
May 2023Second dose of EV, seven days after the first dose.
May 2023; 1st hospitalization day, 5 days following EVHospitalization due to refractory insulin resistance and ketoacidosis. Initiation of intra venous insulin therapy, up to 800 units per day, showing minimal response.
3rd hospitalization dayFever, neutropenia and increased anemia. Treatment with Piperacillin-Tazobactam initiated without response ; upgraded with vancomycin, meropenem, and voriconazole on Jun 2.
7th hospitalization dayPositive response to EV treatment assessed on thoraco-abdominal scan, 18 days after the first dose of EV.
6-9th days of hospitalizationTreatment with pioglitazone. Significant improvement in endocrine status on Jun 3. Discontinuation due to ALFT.
8-11th days of hospitalizationRapidly progressing multiple organ failure, bicytopenia, and distributive shock.
11th hospitalization dayDiagnosis of HLH. Initiation of dexamethasone.
12th hospitalization dayFirst dose of etoposide.
 Improvement in the distributive shock following dexamethasone.
14th hospitalization daySecond dose of etoposide.
18th hospitalization dayThird dose of etoposide.
20th hospitalization daySeptic shock following etoposide-induced pancytopenia.
28th hospitalization daySecond septic shock, leading to patient's demise.

[i] EV, enfortumab vedotin; ALFT, abnormal liver function test; HLH, hemophagocytic lymphohistiocytosis.

The patient had previously undergone treatments with cisplatin/gemcitabine and pembrolizumab, a PD-1 inhibitor (Table I). Subsequently, the patient received EV, an ADC targeting nectin-4, at a dose of 1.25 mg/kg, commencing on May 2023.

Just 5 days after receiving the second dose of EV, the patient was admitted to CHU Saint-Pierre, a tertiary hospital in Brussels, Belgium, presenting with symptoms of decreased appetite, vomiting and severe hyperglycemia with ketoacidosis (Fig. 1A). Despite intensive intravenous insulin therapy, ketoacidosis remained refractory. Elevated insulin and C-peptide levels indicated peripheral insulin resistance without an insulin production deficiency by pancreatic β cells. Markedly high glucagon levels were also detected, possibly compensatory for the reduced glucose uptake by cells (Table II). Notably, the patient had no history of diabetes prior to presentation. Furthermore, no autoantibodies suggestive of autoimmune diabetes were detected.

Table II

Pertinent laboratory values upon hospital admission and at the time of HLH diagnosis.

Table II

Pertinent laboratory values upon hospital admission and at the time of HLH diagnosis.

ParameterValues at admissionHLH diagnosisNormal values
Hemoglobin, g/dl11.37.113-18
White blood cell, x103/µl5.641.143.50-11
Neutrophils, x103/µl4.180.191.50-6.70
Platelet count, x103/µl239146150-440
Prothrombin time, sec11.4159.9-11.8
Activated cephalin time, sec20.741.621.6-28.7
D-dimer, ng/mlN/A2,9640-500
Fibrinogen, mg/dl486250150-400
Creatinine, mg/dl1.554.560.7-1.20
AST, UI/l43252<40
ALT, UI/l55123<41
Glucose, mg/dl40313370-100
Hemoglobin A1c, %7.5N/A4-6
Insulin, pmol/l5,939N/A17.8-173
C-peptide, nmol/l4.850N/A0.370-1.470
Glucagon, ng/l853.8N/A120-208
CRP, mg/l37445<5
Ferritin, µg/lN/A3,52530-300
Triglycerides, mg/dlN/A1,870<175
Soluble CD25, pg/mlN/A16,032458-1,997
Diabetes autoantibodies   
     Anti-insulinNegativeN/A 
     Anti-IA2NegativeN/A 
     Anti-GAD65NegativeN/A 
     Anti-islet cellNegativeN/A 
     Anti-ZnT8NegativeN/A 

[i] HLH, hemophagocytic lymphohistiocytosis; AST, aspartate aminotransferase; ALT, alanine transaminase; CRP, C-reactive protein; IA2, islet cell antigen 2; GAD65, glutamic acid decarboxylase 65-kilodalton isoform; ZnT8, zinc transporter 8.

Despite aggressive insulin therapy, the extreme insulin resistance of the patient showed minimal response. However, on the eighth day of hospitalization, the endocrine status began to noticeably improve. It remains uncertain whether this improvement was primarily due to the passage of time or the initiation of treatment with pioglitazone, a potent insulin sensitizer from the thiazolidinedione family, 2 days earlier (Fig. 1A).

Despite the early discontinuation of pioglitazone following an alteration in liver function tests, there was no significant recurrence of ketoacidosis. This observation suggests that the improvement in the endocrine status of the patient may have been due to the resolution of an initial insult.

On the third day of hospitalization, the patient developed neutropenia, increased anemia and fever, and exhibited an inflammatory pattern on laboratory tests. Adequate antibiotic treatment was initiated to address febrile neutropenia. However, the infectious source remained elusive, with no microorganisms identified through tests of microbiological samples and no clear infection site.

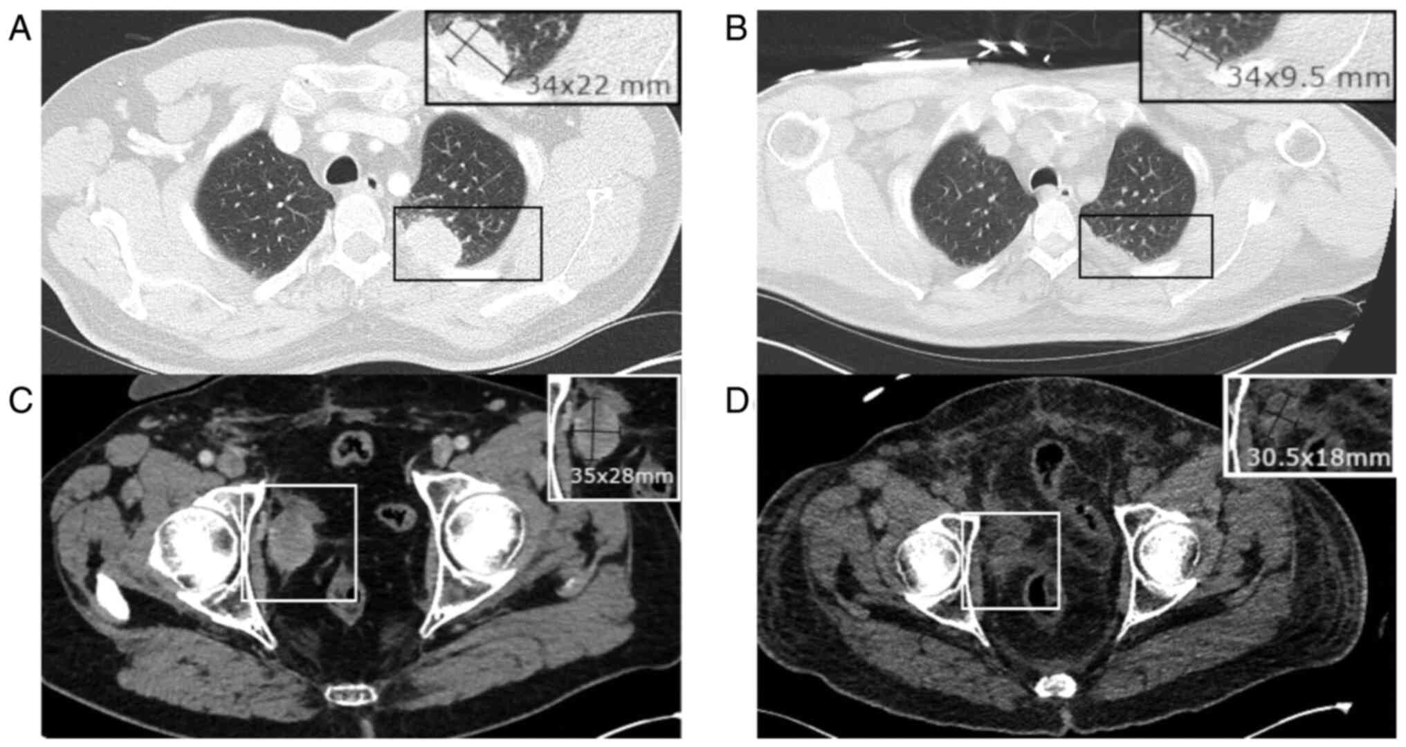
A thoraco-abdominal scan ruled out infection but revealed marked regression in known pelvic adenopathies and pulmonary metastases compared with a previous scan before EV treatment initiation (Fig. 2). This robust response to EV treatment supported its therapeutic effectiveness.

Figure 2

Comparison of pre-EV treatment (left) and post-EV treatment (right) scans, showing partial remission 18 days after initiation of treatment. (A) Lung metastasis: 34x22 mm. (B) Same lung metastasis after EV: 34x9.5 mm. (C) Mesorectal lymphadenopathy: 35x28 mm. (D) Same lymphadenopathy after EV: 30.5x18 mm. Please note that images were taken at the same level, and the second scan was performed without contrast, as oncologic evaluation was not its primary purpose. EV, enfortumab vedotin.

On the eighth day of hospitalization, the condition of the patient worsened, leading to multiple organ failures, including acute renal failure requiring renal replacement therapy, liver impairment, coagulopathy, and elevated ferritin and triglyceride levels. Despite treatment with antibiotics, a marked inflammatory response persisted, indicated by CRP levels exceeding 400 mg/l. The next day, the patient developed moderate acute respiratory distress syndrome necessitating mechanical ventilation and a distributive shock. The rapid deterioration raised concerns about an underlying hyperinflammatory condition.

With multiple organ failure, persistent fever, bicytopenia and mild hepatomegaly, the probability of reactive HLH (reHLH) was assessed using the HScore proposed by Fardet et al (3) (probability of reHLH, 93-96%; HScore, 212/250). On the eleventh day of hospitalization, a bone marrow puncture strongly supported the HLH diagnosis (Fig. 3), and immunological testing confirmed elevated soluble CD25 levels (Table II).

Figure 3

Microscopic images of bone marrow aspirate smear illustrating features of hemophagocytosis. (A) Myelogram with numerous myeloid precursors and vacuole-like inclusions (arrows). Magnification, x500; MGG stain. (B) Representative image of hemophagocytosis, displaying platelets and cells from the erythroid lineage at various maturation stages (arrows) engulfed by an activated macrophage. Numerous cell debris and nuclei are recognizable within the cytoplasm of the macrophage. Magnification, x500; MGG stain. MGG, May Grunwald-Giemsa.

Treatment for HLH was promptly initiated following the HLH-94 protocol, utilizing dexamethasone (10 mg/m2) and etoposide, with dose adjustments for liver function. This approach markedly improved distributive shock, reducing vasopressor requirements and resolving fever (Fig. 1B).

Despite extensive sampling, no microbiological evidence of an infective trigger for HLH was found. However, herpes simplex virus 1 (HSV-1) was detected via PCR in bronchoalveolar lavage (BAL), leading to intravenous acyclovir treatment and standard prophylactic measures for immunocompromised patients.

The hospitalization course subsequently focused on managing HLH complications, such as distributive shock, coagulopathy and pancytopenia-related bleeding. Although it exacerbated pancytopenia, including severe thrombocytopenia (grade 4), etoposide treatment was initially pursued due to the persistent inflammatory state of the patient. It was halted following a first septic shock on day 20 of hospitalization, continuing with dexamethasone alone. A second septic shock occurred on day 28 of hospitalization, ultimately resulting in a fatal outcome (Fig. 1B).

Discussion

ICIs, such as pembrolizumab, are associated with glycemic disorders, including ICI-related diabetes mellitus (4). Typically, patients present with ketoacidosis, accompanied by low or undetectable C-peptide levels, ~20 weeks post-treatment initiation (5). This is attributed to PD-1 pathway blockade, triggering T cell-mediated autoimmunity against pancreatic islet cells (6). Autoantibodies related to type 1 diabetes are frequently detected (4,5).

By contrast, the current patient presented with a distinct phenotype >40 weeks post-ICI treatment. The patient presented with ketoacidosis, markedly elevated C-peptide and insulin levels, and negative autoantibodies (Table II), suggesting severe insulin resistance.

The prescribing information of the Food and Drug Administration (FDA) for pembrolizumab recommends monitoring for hyperglycemia (7). However, there is no consensus on the precise techniques and timing for adequate monitoring.

The experience of the present patient contradicts the expectation of adverse effects associated with ICI treatment. Despite irregular monitoring of blood glucose levels during treatment, no significant dysglycemia was observed.

This, along with the late occurrence of symptoms after ICI therapy (>40 weeks) and the distinct phenotype of insulin resistance, suggests that ketoacidosis may not be attributable to pembrolizumab.

By contrast, the present case suggested a potential association between EV therapy and insulin resistance. In a phase 3 study, 6.4% of patients treated with EV experienced hyperglycemia, consistent with phase 2 findings (incidence, ~10%; median onset, 0.5 months post-treatment) (2,8). Notably, grade 3 hyperglycemia occurred, with 1 case of fatal metabolic acidosis. FDA data underscore that while hyperglycemia is not among the most common adverse events, it is predominant among events graded ≥3(9).

Reports and abstracts have outlined cases of ketoacidosis following EV therapy (10-14), suggesting an association with type 2 diabetes, which remains unclear in the present case due to the absence of a known history of diabetes. Notably, the hemoglobin A1C (HbA1c) level of the patient at admission was 7.5%, which differed from normal measurements taken 2 months prior. The reliability of this value is questionable in such a specific clinical context. It is recognized that HbA1c levels may be influenced under various severe conditions, especially when erythrocyte turnover is affected (15). Additionally, HbA1c levels are slightly overestimated in Middle Eastern individuals (16), while typical type 2 diabetic patients who develop ketoacidosis usually have a history of long-standing, poorly controlled diabetes and HbA1c levels >10% (17). Thus, diabetic ketoacidosis seems unlikely in the present case.

Ketoacidosis presentations similar to those seen with EV were also observed with another MMAE-containing drug, brentuximab vedotin, used in Hodgkin's lymphoma (18,19). Other drugs within this family, as revealed in phase I studies, were associated with a notable proportion of patients encountering grade ≥3 hyperglycemia (20,21).

These findings raise questions about the mechanism behind the role of MMAE in severe hyperglycemia and insulin resistance. MMAE, a highly cytotoxic drug, binds to and disrupts the microtubule network, suppressing mitosis (22). When used in ADCs (MMAE-ADC), its targeted delivery reduces overall toxicity. Previous meta-analyses have identified anemia, neutropenia and peripheral neuropathy as consistent adverse events, indicating that MMAE-ADC still carries systemic toxicity (23,24). Of note, no hyperglycemia, insulin resistance or ketoacidosis was reported.

Peripheral neuropathy, the primary non-hematologic toxicity of MMAE-ADC, is considered to occur due to a nonspecific uptake of the ADC, leading to interference with axonal transport (22).

As for insulin resistance associated with EV and potentially other MMAE-containing drug therapies, reports are scarce, and the mechanism is unknown. A nonspecific uptake of the ADC by non-targeted tissues, as proposed in peripheral neuropathy cases (22), could be hypothesized.

FDA warnings have highlighted diabetic ketoacidosis and hyperglycemia (25). However, little is known about insulin resistance as in the present case, characterized by elevated insulin and C-peptide secretion levels, a mechanism differing from diabetic ketoacidosis.

Due to the limited number of reports at present, it is difficult to identify suitable patients. Attention must remain on diabetic patients. Monitoring of blood glucose levels and increased vigilance in all patients receiving EV therapy (and possibly other MMAE-containing drug therapies) might be essential to understand and prevent the association with insulin resistance.

HLH is a life-threatening hyperinflammatory syndrome characterized by uncontrolled immune cell activation, excessive cytokine production and widespread tissue damage, necessitating early identification of the underlying trigger (26).

Determining the trigger for HLH is challenging, given potential causes such as infections, malignancies and drug reactions (26). In our patient, despite considering an infectious trigger, no specific infection was confirmed at the time of HLH diagnosis, and microbiological samples did not identify any causative microorganism. Although HSV-1 was detected by a PCR test in BAL, its clinical relevance remains uncertain, as its pathogenic role in this context has not been conclusively demonstrated (27).

Malignancies commonly trigger reHLH, with solid tumors representing only 3% of malignancies associated with reHLH (26). To the best of our knowledge, urothelial cancer has not been implicated among solid tumors associated with reHLH, making it unlikely to be the primary trigger. It is also noteworthy that the patient's known lesions were regressing at the time of reHLH. Conversely, observational data suggest that reHLH is commonly associated with progressive diseases or occurs at the time of diagnosis, although not exclusively (28). Of note, certain medications commonly used for urothelial cancer, such as Bacille Calmette-Guérin (29) and ICIs (30,31), have been linked to HLH. There have been no reported associations of HLH with EV.

ReHLH has also recently been associated with ICIs. A proposed mechanism implies T-cell activation through PD-1 pathway blockade, promoting macrophage activation, immune cell activation and excessive cytokine production (30,31). Pembrolizumab-associated HLH is unlikely in the present case, as HLH typically occurs during pembrolizumab administration (median, 3.5 cycles) and within a few weeks after the last infusion (median, 14 days) (31). On the contrary, the present patient experienced HLH >8 weeks after completion of ICI treatment.

These elements make it challenging to definitively attribute the development of HLH to a specific drug, including EV. While HLH did occur in the present case, its connection with EV remains uncertain.

Managing rare and severe complications of EV treatment is challenging. Prompt recognition of refractory insulin resistance is crucial. Insulin-sensitizing agents such as pioglitazone may be considered, with careful monitoring for side effects, such as fluid retention and abnormal liver function tests.

Regarding HLH, vigilance is advised, especially in cases with an atypical hyperinflammatory state. Clinical signs such as persistent fever, hepatosplenomegaly and cytopenias should raise suspicion for HLH. Early diagnosis and immunosuppressive therapy are essential. However, the exact relationship between HLH and EV treatment remains unclear, as shown in the present case. Immunosuppression-related complications often characterize the clinical course of these patients.

As EV usage expands in urothelial carcinoma treatment, vigilant monitoring and reporting of rare complications, such as refractory insulin resistance, are crucial. Comprehensive research on adverse events is vital for improved patient care and therapy safety.

In conclusion, the present case report highlights refractory insulin resistance and ketoacidosis, followed by reHLH, in the context of EV therapy. The limited literature on these complications demonstrates the need for further research to improve the understanding of the underlying mechanisms. With growing evidence of the efficacy of EV and evolving survival rates in urothelial carcinoma, healthcare professionals must remain vigilant for potential adverse effects, ensuring early recognition and optimal patient care.

Acknowledgements

The authors would like to thank Dr Mirvate Harb (Laboratoire Hospitalier Universitaire de Bruxelles, Brussels, Belgium), Dr Ayoub Mokhtari and Dr Gilles Boumaza (CHU Saint-Pierre, Brussels, Belgium) for their assistance with images and findings.

Funding

Funding: No funding was received.

Availability of data and materials

The data generated in the present study are included in the figures and/or tables of this article.

Authors' contributions

PR was involved in investigation, data curation, conceptualization, writing of the original draft, review and editing, and final approval. LDKN contributed to investigation, conceptualization, review and editing, validation, and final approval. PR and LDKN confirm the authenticity of all the raw data. PB, JK and AH participated in the acquisition and interpretation of data, in reviewing the work critically for intellectual content, and in final approval. HA also provided supervision. All authors agree to be accountable for all aspects of the work.

Ethics approval and consent to participate

Not applicable.

Patient consent for publication

Written consent for the collection of data and publication of this report was obtained from the patient's next of kin following his passing.

Competing interests

The authors declare that they have no competing interests.

Authors' information

ORCID iDs

Pierre Rossignon: https://orcid.org/0009-0006-9391-9914

Le Diep Kieu Nguyen: https://orcid.org/0009-0004-6576-4594

Antoine Herpain: https://orcid.org/0000-0002-0981-0208

References

1 

Saginala K and Barsouk A, Aluru JS, Rawla P, Padala SA and Barsouk A: Epidemiology of bladder cancer. Med Sci (Basel). 8(15)2020.PubMed/NCBI View Article : Google Scholar

2 

Powles T, Rosenberg JE, Sonpavde GP, Loriot Y, Durán I, Lee JL, Matsubara N, Vulsteke C, Castellano D, Wu C, et al: Enfortumab vedotin in previously treated advanced urothelial carcinoma. N Engl J Med. 384:1125–1135. 2021.PubMed/NCBI View Article : Google Scholar

3 

Fardet L, Galicier L, Lambotte O, Marzac C, Aumont C, Chahwan D, Coppo P and Hejblum G: Development and validation of the HScore, a score for the diagnosis of reactive hemophagocytic syndrome. Arthritis Rheumatol. 66:2613–2620. 2014.PubMed/NCBI View Article : Google Scholar

4 

Marchand L, Disse E, Dalle S, Reffet S, Vouillarmet J, Fabien N, Thivolet C and Cugnet-Anceau C: The multifaceted nature of diabetes mellitus induced by checkpoint inhibitors. Acta Diabetol. 56:1239–1245. 2019.PubMed/NCBI View Article : Google Scholar

5 

Kotwal A, Haddox C, Block M and Kudva YC: Immune checkpoint inhibitors: An emerging cause of insulin-dependent diabetes. BMJ Open Diabetes Res Care. 7(e000591)2019.PubMed/NCBI View Article : Google Scholar

6 

Mourad D, Azar NS, Eid AA and Azar ST: Immune checkpoint inhibitor-induced diabetes mellitus: Potential role of T cells in the underlying mechanism. Int J Mol Sci. 22(2093)2021.PubMed/NCBI View Article : Google Scholar

7 

U.S. Food and Drug Administration: Full prescribing information: KEYTRUDA. U.S. Food and Drug Administration, Silver Spring, MD, 2014.

8 

Yu EY, Petrylak DP, O'Donnell PH, Lee JL, van der Heijden MS, Loriot Y, Stein MN, Necchi A, Kojima T, Harrison MR, et al: Enfortumab vedotin after PD-1 or PD-L1 inhibitors in cisplatin-ineligible patients with advanced urothelial carcinoma (EV-201): A multicentre, single-arm, phase 2 trial. Lancet Oncol. 22:872–882. 2021.PubMed/NCBI View Article : Google Scholar

9 

Chang E, Weinstock C, Zhang L, Charlab R, Dorff SE, Gong Y, Hsu V, Li F, Ricks TK, Song P, et al: FDA approval summary: Enfortumab vedotin for locally advanced or metastatic urothelial carcinoma. Clin Cancer Res. 27:922–927. 2021.PubMed/NCBI View Article : Google Scholar

10 

Kwok B, Bhatt A, Wise WJ and Gibson CD: Refractory diabetic ketoacidosis related to Enfortumab vedotin monotherapy for metastatic urothelial carcinoma. Am J Respir Crit Care Med. 201(A1736)2020.

11 

Iftikhar H and Khoury C: Enfortumab vedotin-induced diabetic ketoacidosis and AKI: A case report. Kidney Int Rep. 1 (2 Suppl):S8–S9. 2022.

12 

Patel J: Enfortumab vedotin induced hyperglycemia and diabetic ketoacidosis. Am J Respir Crit Care Med. 207(A5298)2023.

13 

Elahi A, Duron J and Porter T: Intractable diabetic ketoacidosis with Enfortumab vedotin. Diabetes. 72 (Suppl 1):1851–PUB. 2023.

14 

Sato T, Suzuki H, Asashima Y and Sone H: Enfortumab Vedotin-induced hyperglycemia and ileal conduit reconstruction-induced metabolic acidosis. JCEM Case Rep. 1(luad092)2023.PubMed/NCBI View Article : Google Scholar

15 

Bonora E and Tuomilehto J: The pros and cons of diagnosing diabetes with A1C. Diabetes Care. 34 (Suppl 2):S184–S190. 2011.PubMed/NCBI View Article : Google Scholar

16 

Treister-Goltzman Y, Liberty IF and Peleg R: Ethnicity affects A1C levels in patients with diagnosed type 2 diabetes in Southern Israel. Diabetes Spectr. 37:86–94. 2024.PubMed/NCBI View Article : Google Scholar

17 

Zhu B, Bu L, Zhang M, Gusdon AM, Zheng L, Rampersad S, Li J and Qu S: HbA1c as a screening tool for ketosis in patients with type 2 diabetes mellitus. Sci Rep. 23(39687)2016.PubMed/NCBI View Article : Google Scholar

18 

Chiang JM, Lai AR, Anderson M and Rushakoff RJ: Severe insulin resistance with diabetic ketoacidosis after Brentuximab treatment. AACE Clin Case Rep. 6:e98–e100. 2020.PubMed/NCBI View Article : Google Scholar

19 

Thakkar K, Khurana S, Sun Y and Hembree TN: Diabetic ketoacidosis and profound insulin resistance from Brentuximab vedotin. Cureus. 15(e35804)2023.PubMed/NCBI View Article : Google Scholar

20 

McHugh D, Eisenberger M, Heath EI, Bruce J, Danila DC, Rathkopf DE, Feldman J, Slovin SF, Anand B, Chu R, et al: A phase I study of the antibody drug conjugate ASG-5ME, an SLC44A4-targeting antibody carrying auristatin E, in metastatic castration-resistant prostate cancer. Invest New Drugs. 37:1052–1060. 2019.PubMed/NCBI View Article : Google Scholar

21 

Danila DC, Szmulewitz RZ, Vaishampayan U, Higano CS, Baron AD, Gilbert HN, Brunstein F, Milojic-Blair M, Wang B, Kabbarah O, et al: Phase I study of DSTP3086S, an antibody-drug conjugate targeting six-transmembrane epithelial antigen of prostate 1, in metastatic castration-resistant prostate cancer. J Clin Oncol. 37:3518–3527. 2019.PubMed/NCBI View Article : Google Scholar

22 

Best RL, LaPointe NE, Azarenko O, Miller H, Genualdi C, Chih S, Shen BQ, Jordan MA, Wilson L, Feinstein SC and Stagg NJ: Microtubule and tubulin binding and regulation of microtubule dynamics by the antibody drug conjugate (ADC) payload, monomethyl auristatin E (MMAE): Mechanistic insights into MMAE ADC peripheral neuropathy. Toxicol Appl Pharmacol. 15(115534)2021.PubMed/NCBI View Article : Google Scholar

23 

Masters JC, Nickens DJ, Xuan D, Shazer RL and Amantea M: Clinical toxicity of antibody drug conjugates: A meta-analysis of payloads. Invest New Drugs. 36:121–135. 2018.PubMed/NCBI View Article : Google Scholar

24 

Li J, Shen G, Liu Z, Liu Y, Wang M, Zhao F, Ren D, Xie Q, Li Z, Liu Z, et al: Treatment-related adverse events of antibody-drug conjugates in clinical trials: A systematic review and meta-analysis. Cancer Innov. 15:346–375. 2023.PubMed/NCBI View Article : Google Scholar

25 

U.S. Food and Drug Administration: Full prescribing information: PADCEV. U.S. Food and Drug Administration, Silver Spring, MD, 2019.

26 

La Rosée P, Horne A, Hines M, von Bahr Greenwood T, Machowicz R, Berliner N, Birndt S, Gil-Herrera J, Girschikofsky M, Jordan MB, et al: Recommendations for the management of hemophagocytic lymphohistiocytosis in adults. Blood. 133:2465–2477. 2019.PubMed/NCBI View Article : Google Scholar

27 

Saugel B, Jakobus J, Huber W, Hoffmann D, Holzapfel K, Protzer U, Schmid RM and Umgelter A: Herpes simplex virus in bronchoalveolar lavage fluid of medical intensive care unit patients: Association with lung injury and outcome. J Crit Care. 32:138–144. 2016.PubMed/NCBI View Article : Google Scholar

28 

Machaczka M, Vaktnäs J, Klimkowska M and Hägglund H: Malignancy-associated hemophagocytic lymphohistiocytosis in adults: A retrospective population-based analysis from a single center. Leuk Lymphoma. 52:613–619. 2011.PubMed/NCBI View Article : Google Scholar

29 

Ramos-Casals M, Brito-Zerón P, López-Guillermo A, Khamashta MA and Bosch X: Adult haemophagocytic syndrome. Lancet. 26:1503–1516. 2014.PubMed/NCBI View Article : Google Scholar

30 

Malissen N, Lacotte J, Du-Thanh A, Gaudy-Marqueste C, Guillot B and Grob JJ: Macrophage activation syndrome: A new complication of checkpoint inhibitors. Eur J Cancer. 77:88–89. 2017.PubMed/NCBI View Article : Google Scholar

31 

Wang C, Sun W, Li Z, Wu T and Fang W: Clinical characteristics, treatment, and management of pembrolizumab induced hemophagocytic lymphohistiocytosis. Invest New Drugs. 41:834–841. 2023.PubMed/NCBI View Article : Google Scholar

Related Articles

  • Abstract
  • View
  • Download
  • Twitter
Copy and paste a formatted citation
Spandidos Publications style
Rossignon P, Nguyen LK, Boegner P, Ku J and Herpain A: Refractory insulin resistance and hemophagocytic lymphohistiocytosis following enfortumab vedotin treatment: A case report. Mol Clin Oncol 20: 44, 2024.
APA
Rossignon, P., Nguyen, L.K., Boegner, P., Ku, J., & Herpain, A. (2024). Refractory insulin resistance and hemophagocytic lymphohistiocytosis following enfortumab vedotin treatment: A case report. Molecular and Clinical Oncology, 20, 44. https://doi.org/10.3892/mco.2024.2742
MLA
Rossignon, P., Nguyen, L. K., Boegner, P., Ku, J., Herpain, A."Refractory insulin resistance and hemophagocytic lymphohistiocytosis following enfortumab vedotin treatment: A case report". Molecular and Clinical Oncology 20.6 (2024): 44.
Chicago
Rossignon, P., Nguyen, L. K., Boegner, P., Ku, J., Herpain, A."Refractory insulin resistance and hemophagocytic lymphohistiocytosis following enfortumab vedotin treatment: A case report". Molecular and Clinical Oncology 20, no. 6 (2024): 44. https://doi.org/10.3892/mco.2024.2742
Copy and paste a formatted citation
x
Spandidos Publications style
Rossignon P, Nguyen LK, Boegner P, Ku J and Herpain A: Refractory insulin resistance and hemophagocytic lymphohistiocytosis following enfortumab vedotin treatment: A case report. Mol Clin Oncol 20: 44, 2024.
APA
Rossignon, P., Nguyen, L.K., Boegner, P., Ku, J., & Herpain, A. (2024). Refractory insulin resistance and hemophagocytic lymphohistiocytosis following enfortumab vedotin treatment: A case report. Molecular and Clinical Oncology, 20, 44. https://doi.org/10.3892/mco.2024.2742
MLA
Rossignon, P., Nguyen, L. K., Boegner, P., Ku, J., Herpain, A."Refractory insulin resistance and hemophagocytic lymphohistiocytosis following enfortumab vedotin treatment: A case report". Molecular and Clinical Oncology 20.6 (2024): 44.
Chicago
Rossignon, P., Nguyen, L. K., Boegner, P., Ku, J., Herpain, A."Refractory insulin resistance and hemophagocytic lymphohistiocytosis following enfortumab vedotin treatment: A case report". Molecular and Clinical Oncology 20, no. 6 (2024): 44. https://doi.org/10.3892/mco.2024.2742
Follow us
  • Twitter
  • LinkedIn
  • Facebook
About
  • Spandidos Publications
  • Careers
  • Cookie Policy
  • Privacy Policy
How can we help?
  • Help
  • Live Chat
  • Contact
  • Email to our Support Team