Spandidos Publications Logo
  • About
    • About Spandidos
    • Aims and Scopes
    • Abstracting and Indexing
    • Editorial Policies
    • Reprints and Permissions
    • Job Opportunities
    • Terms and Conditions
    • Contact
  • Journals
    • All Journals
    • Oncology Letters
      • Oncology Letters
      • Information for Authors
      • Editorial Policies
      • Editorial Board
      • Aims and Scope
      • Abstracting and Indexing
      • Bibliographic Information
      • Archive
    • International Journal of Oncology
      • International Journal of Oncology
      • Information for Authors
      • Editorial Policies
      • Editorial Board
      • Aims and Scope
      • Abstracting and Indexing
      • Bibliographic Information
      • Archive
    • Molecular and Clinical Oncology
      • Molecular and Clinical Oncology
      • Information for Authors
      • Editorial Policies
      • Editorial Board
      • Aims and Scope
      • Abstracting and Indexing
      • Bibliographic Information
      • Archive
    • Experimental and Therapeutic Medicine
      • Experimental and Therapeutic Medicine
      • Information for Authors
      • Editorial Policies
      • Editorial Board
      • Aims and Scope
      • Abstracting and Indexing
      • Bibliographic Information
      • Archive
    • International Journal of Molecular Medicine
      • International Journal of Molecular Medicine
      • Information for Authors
      • Editorial Policies
      • Editorial Board
      • Aims and Scope
      • Abstracting and Indexing
      • Bibliographic Information
      • Archive
    • Biomedical Reports
      • Biomedical Reports
      • Information for Authors
      • Editorial Policies
      • Editorial Board
      • Aims and Scope
      • Abstracting and Indexing
      • Bibliographic Information
      • Archive
    • Oncology Reports
      • Oncology Reports
      • Information for Authors
      • Editorial Policies
      • Editorial Board
      • Aims and Scope
      • Abstracting and Indexing
      • Bibliographic Information
      • Archive
    • Molecular Medicine Reports
      • Molecular Medicine Reports
      • Information for Authors
      • Editorial Policies
      • Editorial Board
      • Aims and Scope
      • Abstracting and Indexing
      • Bibliographic Information
      • Archive
    • World Academy of Sciences Journal
      • World Academy of Sciences Journal
      • Information for Authors
      • Editorial Policies
      • Editorial Board
      • Aims and Scope
      • Abstracting and Indexing
      • Bibliographic Information
      • Archive
    • International Journal of Functional Nutrition
      • International Journal of Functional Nutrition
      • Information for Authors
      • Editorial Policies
      • Editorial Board
      • Aims and Scope
      • Abstracting and Indexing
      • Bibliographic Information
      • Archive
    • International Journal of Epigenetics
      • International Journal of Epigenetics
      • Information for Authors
      • Editorial Policies
      • Editorial Board
      • Aims and Scope
      • Abstracting and Indexing
      • Bibliographic Information
      • Archive
    • Medicine International
      • Medicine International
      • Information for Authors
      • Editorial Policies
      • Editorial Board
      • Aims and Scope
      • Abstracting and Indexing
      • Bibliographic Information
      • Archive
  • Articles
  • Information
    • Information for Authors
    • Information for Reviewers
    • Information for Librarians
    • Information for Advertisers
    • Conferences
  • Language Editing
Spandidos Publications Logo
  • About
    • About Spandidos
    • Aims and Scopes
    • Abstracting and Indexing
    • Editorial Policies
    • Reprints and Permissions
    • Job Opportunities
    • Terms and Conditions
    • Contact
  • Journals
    • All Journals
    • Biomedical Reports
      • Information for Authors
      • Editorial Policies
      • Editorial Board
      • Aims and Scope
      • Abstracting and Indexing
      • Bibliographic Information
      • Archive
    • Experimental and Therapeutic Medicine
      • Information for Authors
      • Editorial Policies
      • Editorial Board
      • Aims and Scope
      • Abstracting and Indexing
      • Bibliographic Information
      • Archive
    • International Journal of Epigenetics
      • Information for Authors
      • Editorial Policies
      • Editorial Board
      • Aims and Scope
      • Abstracting and Indexing
      • Bibliographic Information
      • Archive
    • International Journal of Functional Nutrition
      • Information for Authors
      • Editorial Policies
      • Editorial Board
      • Aims and Scope
      • Abstracting and Indexing
      • Bibliographic Information
      • Archive
    • International Journal of Molecular Medicine
      • Information for Authors
      • Editorial Policies
      • Editorial Board
      • Aims and Scope
      • Abstracting and Indexing
      • Bibliographic Information
      • Archive
    • International Journal of Oncology
      • Information for Authors
      • Editorial Policies
      • Editorial Board
      • Aims and Scope
      • Abstracting and Indexing
      • Bibliographic Information
      • Archive
    • Medicine International
      • Information for Authors
      • Editorial Policies
      • Editorial Board
      • Aims and Scope
      • Abstracting and Indexing
      • Bibliographic Information
      • Archive
    • Molecular and Clinical Oncology
      • Information for Authors
      • Editorial Policies
      • Editorial Board
      • Aims and Scope
      • Abstracting and Indexing
      • Bibliographic Information
      • Archive
    • Molecular Medicine Reports
      • Information for Authors
      • Editorial Policies
      • Editorial Board
      • Aims and Scope
      • Abstracting and Indexing
      • Bibliographic Information
      • Archive
    • Oncology Letters
      • Information for Authors
      • Editorial Policies
      • Editorial Board
      • Aims and Scope
      • Abstracting and Indexing
      • Bibliographic Information
      • Archive
    • Oncology Reports
      • Information for Authors
      • Editorial Policies
      • Editorial Board
      • Aims and Scope
      • Abstracting and Indexing
      • Bibliographic Information
      • Archive
    • World Academy of Sciences Journal
      • Information for Authors
      • Editorial Policies
      • Editorial Board
      • Aims and Scope
      • Abstracting and Indexing
      • Bibliographic Information
      • Archive
  • Articles
  • Information
    • For Authors
    • For Reviewers
    • For Librarians
    • For Advertisers
    • Conferences
  • Language Editing
Login Register Submit
  • This site uses cookies
  • You can change your cookie settings at any time by following the instructions in our Cookie Policy. To find out more, you may read our Privacy Policy.

    I agree
Search articles by DOI, keyword, author or affiliation
Search
Advanced Search
presentation
Medicine International
Join Editorial Board Propose a Special Issue
Print ISSN: 2754-3242 Online ISSN: 2754-1304
Journal Cover
September-October 2023 Volume 3 Issue 5

Full Size Image

Sign up for eToc alerts
Recommend to Library

Journals

International Journal of Molecular Medicine

International Journal of Molecular Medicine

International Journal of Molecular Medicine is an international journal devoted to molecular mechanisms of human disease.

International Journal of Oncology

International Journal of Oncology

International Journal of Oncology is an international journal devoted to oncology research and cancer treatment.

Molecular Medicine Reports

Molecular Medicine Reports

Covers molecular medicine topics such as pharmacology, pathology, genetics, neuroscience, infectious diseases, molecular cardiology, and molecular surgery.

Oncology Reports

Oncology Reports

Oncology Reports is an international journal devoted to fundamental and applied research in Oncology.

Experimental and Therapeutic Medicine

Experimental and Therapeutic Medicine

Experimental and Therapeutic Medicine is an international journal devoted to laboratory and clinical medicine.

Oncology Letters

Oncology Letters

Oncology Letters is an international journal devoted to Experimental and Clinical Oncology.

Biomedical Reports

Biomedical Reports

Explores a wide range of biological and medical fields, including pharmacology, genetics, microbiology, neuroscience, and molecular cardiology.

Molecular and Clinical Oncology

Molecular and Clinical Oncology

International journal addressing all aspects of oncology research, from tumorigenesis and oncogenes to chemotherapy and metastasis.

World Academy of Sciences Journal

World Academy of Sciences Journal

Multidisciplinary open-access journal spanning biochemistry, genetics, neuroscience, environmental health, and synthetic biology.

International Journal of Functional Nutrition

International Journal of Functional Nutrition

Open-access journal combining biochemistry, pharmacology, immunology, and genetics to advance health through functional nutrition.

International Journal of Epigenetics

International Journal of Epigenetics

Publishes open-access research on using epigenetics to advance understanding and treatment of human disease.

Medicine International

Medicine International

An International Open Access Journal Devoted to General Medicine.

Journal Cover
September-October 2023 Volume 3 Issue 5

Full Size Image

Sign up for eToc alerts
Recommend to Library

  • Article
  • Citations
    • Cite This Article
    • Download Citation
    • Create Citation Alert
    • Remove Citation Alert
    • Cited By
  • Similar Articles
    • Related Articles (in Spandidos Publications)
    • Similar Articles (Google Scholar)
    • Similar Articles (PubMed)
  • Download PDF
  • Download XML
  • View XML
Case Report Open Access

Sarcoid‑like granulomatous inflammation in a carotid body paraganglioma: A case report and mini‑review of the literature

  • Authors:
    • Ari M. Abdullah
    • Fahmi H. Kakamad
    • Soran H. Tahir
    • Aso S. Muhialdeen
    • Abdulwahid M. Salih
    • Hawbash M. Rahim
    • Bruj Jamil Mohammed
    • Fakher Abdullah
    • Dahat A. Hussein
    • Shvan H. Mohammed
  • View Affiliations / Copyright

    Affiliations: Sulaimani Teaching Hospital, Sulaimani, Kurdistan 46001, Iraq, Department of Scientific Affairs, Smart Health Tower, Sulaimani, Kurdistan 46001, Iraq, Kscien Organization for Scientific Research, Sulaimani, Kurdistan 46001, Iraq
    Copyright: © Abdullah et al. This is an open access article distributed under the terms of Creative Commons Attribution License [CC BY 4.0].
  • Article Number: 47
    |
    Published online on: August 30, 2023
       https://doi.org/10.3892/mi.2023.107
  • Expand metrics +
Metrics: Total Views: 0 (Spandidos Publications: | PMC Statistics: )
Metrics: Total PDF Downloads: 0 (Spandidos Publications: | PMC Statistics: )
Cited By (CrossRef): 0 citations Loading Articles...

This article is mentioned in:



Abstract

Sarcoid‑like granulomatous inflammation (SLGI) is defined as the development of non‑necrotizing epithelioid granulomas in patients who do not meet the criteria for systemic sarcoidosis. Its occurrence is known to be linked to diverse conditions, including malignancies, infections, the use of certain drugs and inorganic substances. To the best of our knowledge, the available literature to date lacks any description regarding SLGI in a paraganglioma. The present study describes the first case of SLGI in a carotid body paraganglioma (CBP). A 54‑year‑old female patient presented with anterior neck swelling for 27 years without any other symptoms. An ultrasonography revealed a multinodular goiter with retrosternal extension and a solid lesion on the right side of the neck measuring 40x30x22 mm, which was suggestive of a CBP. The patient underwent a total thyroidectomy, and the right‑side cervical mass was resected via another longitudinal incision. A histopathological examination of the thyroid specimen revealed findings of a multinodular goiter. Sections from the right‑side cervical mass confirmed the diagnosis of CBP accompanied by multiple, well‑formed, small‑medium sized, non‑necrotizing epithelioid granulomas associated with multinucleated giant cells, indicative of SLGI. Non‑necrotizing epithelioid cell granulomas (as with SLGIs), identical to those observed in sarcoidosis, may rarely be observed in patients who do not meet the criteria of systemic sarcoidosis; however, they have been observed in association with various neoplasms. It is thus crucial to distinguish them from actual sarcoidosis, as misdiagnoses may lead to severe consequences. The presence of SLGIs accompanying a paraganglioma is an extremely rare phenomenon. Due to this, it is difficult to conclude if it confers a better prognosis or not.

Introduction

Paraganglioma is a somewhat rare neuroendocrine tumor that most often arises from the paraganglion tissues of the adrenal glands. Only in a tenth of cases, extra-adrenal localization may occur, of which 85% reside in the abdomen, and only 3% occur in the head and neck region (1). Usually, these tumors are considered benign; however, in ~19% of instances, malignant transformation may occur (2). In the adrenal glands and abdomen, paraganglioma arises from sympathetic paraganglia. On the other hand, parasympathetic paraganglioma is almost exclusive to the head and neck area (3). According to the anatomic site, the tumor is referred to as vagal paraganglioma, carotid body paraganglioma (CBP) (or a carotid body tumor), jugular paraganglioma and tympanicum paraganglioma (1).

One of the chronic inflammation patterns that occurs when the complete clearance of antigenic stimuli is not achieved by the cellular immune system, is granulomatous inflammation, such as that observed in sarcoidosis (4). Non-necrotizing epithelioid cell granulomas, such as those observed in sarcoidosis may rarely be observed in patients who do not meet the criteria of systemic sarcoidosis (5). This phenomenon is known as sarcoid-like granulomatous inflammation (SLGI), and it can be difficult to distinguish between this and systemic sarcoidosis (6,7).

It is crucial to distinguish SLGIs from actual sarcoidosis, as misdiagnosis may lead to severe consequences (8). Such phenomena have been observed in association with various neoplasms, including renal cell carcinoma, breast, parathyroid, germ cell, gastrointestinal and salivary gland tumors (5-7,9-12). However, to the best of our knowledge, the available literature to date lacks any description regarding such a reaction in a paraganglionic tumor.

The present study describes a case with the first reported association of a CBP with SLGI in the absence of any criteria of systemic sarcoidosis or other SGLI-associated conditions.

Case report

Patient information

A 54-year-old female patient visited Smart Health Tower (Sulaimani, Iraq) with the presentation of anterior neck swelling for a period of 27 years without any other associated symptoms. She was a married housewife and did not have a history of smoking.

Clinical findings

Upon examination of the swelling and upon inspection, a grade 3 multinodular goiter (MNG) was suspected as the patient had a thick neck mass visible from a distance of 5 meters, and by palpation, the enlargement was noted to be firm. In addition, a right-side lateral neck mass was observed, which was firm on palpation and movable side to side, but not vertically.

Diagnostic approach

Routine laboratory investigations mostly revealed normal findings. However, the patient had decreased thyroid stimulating hormone levels (<0.4 mIU/l), indicating toxic MNG. An ultrasonography revealed MNG with retrosternal extension and a solid lesion on the right side of the neck measuring 40x30x22 mm, which was suggestive of a CBP. Further imaging diagnosis via a computed tomography scan also revealed the presence of MNG in both thyroid lobes, with the largest lobes measuring 75x47 and 87x45 mm on the right and left side of the thyroid, respectively, and a lateral solid hypervascular mass between the internal and external carotid arteries (data not shown).

Therapeutic intervention

Under a general anesthesia, in a supine position, and via a collar incision, a total thyroidectomy was performed for the patient while preserving the parathyroid gland, and the other cervical neck mass was also resected via another longitudinal incision. A histopathological examination was performed for both masses. Sections from the thyroid gland revealed multiple nodules of different sizes composed of hyperplastic thyroid follicles arranged as large follicles, filled with colloid material, and associated with cystic changes, hemorrhage, fibrosis, cholesterol cleft formation and calcifications, indicating MNG (data not shown).

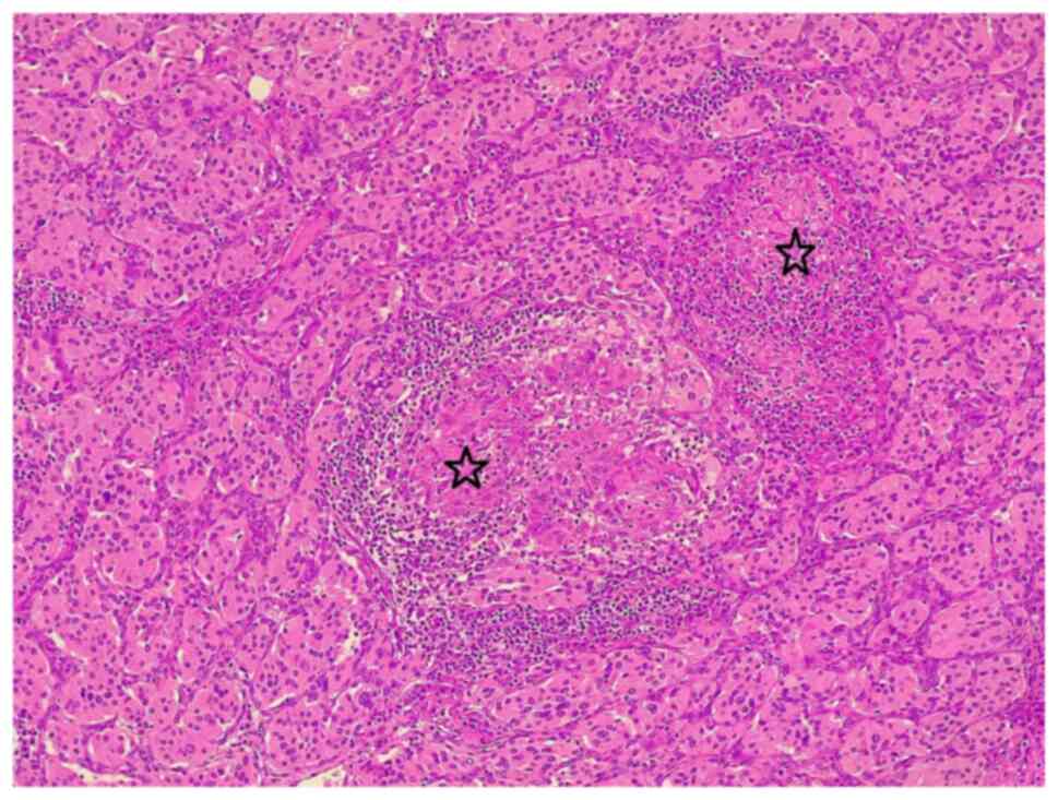
For histopathological analysis, the sections (4-µm-thick) were paraffin-embedded and fixed with 10% neutral buffered formalin at room temperature for 24 h. The sections were then stained with hematoxylin and eosin (Bio Optica Co.) for 1-2 min at room temperature. They were then examined under a light microscope (Leica Microsystems GmbH). Sections from the right-side cervical mass revealed a well-demarcated mass composed of nests and sheets of round-polygonal cells with abundant eosinophilic granular cytoplasm in a hyalinized vascular stroma, focal areas of atypia and focal heavy lymphoplasmacytic infiltration, with the presence of multiple, well-formed, small-medium size, non-necrotizing epithelioid granulomas associated with multinucleated giant cells, confirming the diagnosis of CBP with SLGI and focal lymphoplasmacytic infiltration (Fig. 1).

Figure 1

The section (hematoxylin and eosin staining) illustrates nests and sheets of round-polygonal cells with an abundant eosinophilic cytoplasm in a hyalinized vascular stroma with well-formed non-necrotizing epithelioid granuloma (stars) and multinucleated giant cells.

Follow-up and outcome

The surgery was uneventful, and the patient was discharged in good health. Following a follow-up period of 6 months by ultrasound, the patient was in good health without any sign of recurrence.

Discussion

Non-necrotizing epithelioid cell granuloma, identical to that observed in systemic sarcoidosis, is a rare, yet well-reported phenomenon found in association with various primary neoplasms, infections, drugs (antibiotics, methotrexate, and non-steroidal anti-inflammatory drugs) and inorganic substances (11). When this occurs, it is termed ‘SLGI, sarcoid-like reaction, sarcoid-like granulomatosis, or sarcoid-like granuloma’ (5-7,9). The present study describes a previously unpublished association of CBP and SLGI without any relevant systemic conditions.

Paragangliomas are a family of sympathetic and parasympathetic paraganglionic tumors. The sympathetic types originate from within the abdomen and adrenal glands, which are referred to as abdominal paraganglioma and pheochromocytomas, respectively. By contrast, the parasympathetic types mainly arise from the head and neck region (3,13).

The carotid body is a chemoreceptor organ that is highly vascularized (also reflected in their imaging appearance), reddish brown in color, and located within the adventitia posteromedial to the common carotid artery bifurcation. Its role involves the autonomic regulation of temperature, cardiovascular, respiratory systems, and acute adaptation to fluctuating concentrations of oxygen, carbon dioxide and pH. It consists of sustentacular cells and chief cells derived from the neuroectoderm and neural crest cells, respectively. Tumors originating from the chief paraganglia cells are termed CBP (3). Even though it is the most common type of head and neck paraganglioma, it is still an overall rare neoplasm that requires a thorough examination for appropriate diagnosis and management. The tumor can be familial or sporadic, with the latter being more common (14).

CBPs have been reported to be more prevalent among females and are most often observed in the third to the sixth decade of life. The neoplasm usually presents as a non-tender, slow-growing mass, and rarely does the tumor demonstrate a bruit/thrill or transmit a carotid pulse. The tumor may encase the external and internal carotid arteries as it increases in size, although it does not narrow them. Even though CBP is often asymptomatic in the initial phase, due to its proximity to the adjoining vessels and nerves, symptoms may manifest with an increase in size, such as a hoarseness of voice, odynophagia, dysphagia and other cranial nerve deficits. Hypertension, sweating and headaches may also be observed in some patients as a result of the secretion of vasoactive catecholamines by the CBP (3,15). These descriptions are in accordance with the case described herein along with our case, as the patient was a 54-year-old asymptomatic female. In patients with multiple occurrences, an age <45 years, bilateralism, a previous history or a current history of CBP, and a positive family history, performing genetic testing and biochemical phenotype assay are recommended to aid in the early detection of complications and the initiation of proper intervention therapies. Conducting appropriate family screening may also aid in improving the overall prognosis (14).

Upon a histological examination, CBPs have a characteristic growth pattern known as ‘zellballen’, an organoid or well-developed nested growth pattern of the tumor cells with a stromal component between fragile fibrovascular tissue and supporting sustentacular cells along the edges of the zellballen or cell nests. The tumor cells are mostly chief cells with dispersed chromatin, hyperchromatic, round nuclei and an abundant granular cytoplasm that may be either basophilic to eosinophilic in color (12,15). Although their vascularity makes the condition challenging, surgical removal is the recommended management approach associated with a good prognosis. In cases of malignancy and metastatic disease, radiation and chemotherapy do not appear to be greatly beneficial (15).

A number of granulomatous conditions are able to mimic sarcoidosis, clinically and histologically, including sarcoid-like granulomatous reactions, infectious granulomatous diseases, granulomatous drug reactions, neoplastic disorders, immunodeficiencies and systemic disorders with granulomatous characteristics (Rosai-Dorfman disease and Blau syndrome) (8,16). Distinguishing SLGIs from actual sarcoidosis requires a careful review of a patient's complaints, demographics, medical history, clinical examination, laboratory findings, imaging and histological features. Some clinical characteristics may immediately eliminate the diagnosis of sarcoidosis due to atypical characteristics, such as an age <25 years or >45 years, a high fever, acute or subacute dyspnea and hemoptysis (16).

The first case of SLGI was reported by Wolbach in 1911(17). Since then, this reaction has been reported in association with various neoplasms. Some studies have aimed to determine the frequency of these reactions in different neoplasms, with the reported frequency ranging from 4% in carcinomas to 20% in lymphomas (5,12). Sarcoid-like reactions often occur in organs that dendritic cells can reach, although rarely at the tumor site (6).

In patients with no history of sarcoid disease, non-necrotizing epithelioid cell granulomas may rarely occur within tumors. The pathogenesis of SLGIs remains to be fully established. It has been reported that it may occur as the result of soluble tumor antigens or cancer-related antigenic factors being shed into the blood, leading to immunological hypersensitivity and granulomatous inflammation (7).

Histologically, SLGIs are similar to sarcoidosis granulomas. They are comprised of well-defined non-caseating granulomas with the focal accumulation of multinucleated giant cells and epithelioid cells (5,9). Usually, no necrosis is observed, although a few patients may be present with fibrinoid necrosis (12). A similar observation was made in the case described herein.

The presence of SLGI is an indicator of an immunological response of macrophages by activated T-lymphocytes to a neoplasm. Even though the presence of T-lymphocytes should translate to a protective role and better prognosis, currently, the prognostic value of SLGIs is not yet well understood (9). It has been reported to be associated with a good prognosis in various lesions, including gastric cancers and Hodgkin's disease (12). However, some studies have reported no prognostic significance in lung cancers (18,19). In a previous study, in a case of renal cell carcinoma and SLGI, the patient succumbed due to metastasis 6 months following ta nephrectomy; however, the authors argued that the patient's death was more likely influenced by sarcomatoid features (20). Although the case described in the present study is of interest, the authors' were not able to evaluate prognostic significance due to a limited follow-up period and the fact that the case was the first of its kind, at least to the best of our knowledge. All the referenced studies in this report were evaluated for their credibility before being cited (21).

In conclusion, SLGIs accompanying a paraganglioma is an extremely rare event that has not previously been reported, at least to the best of our knowledge. The case described in the present study is the first to be reported; there was no evidence of systemic sarcoidosis or tuberculosis. Due to its rarity, it is difficult to conclude if it confers a better prognosis or not.

Acknowledgements

Not applicable.

Funding

Funding: No funding was received.

Availability of data and materials

The datasets used and/or analyzed during the current study are available from the corresponding author on reasonable request.

Authors' contributions

AMS and ASM were the surgeons who performed the operation. SHT was the radiologist who performed the assessment of the patient's condition. AMA was the pathologist examining the specimen, and was also a major contributor to the conception of the study. BJM were FA were major contributors to the conception of the study, as well as in the literature search for related studies. FHK, HMR, SHM and DAH were involved in the literature review, in the writing of the manuscript, in critical revision and in data organization interpretation. AMS and FHK confirm the authenticity of all the raw data. All authors have read and approved the final manuscript.

Ethics approval and consent to participate

The patient provided written informed consent for her data to be included in the present case report.

Patient consent for publication

The patient provided written informed consent for her data and any related images to be published in the present case report.

Competing interests

The authors declare that they have no competing interests.

References

1 

Kakamad FH, Mohammed SH, Fatah ML, Hattam AS, Qaradakhy AJ and Abdullah AM: Vagal paraganglioma extending to the brain: A case report with literature review. IJS Short Reports. 7(e52)2022.

2 

Ahmed Y, Arif A, Bhatti AM, Nasir SA, Nofal S, Hamza A and Mughal UJ: Vagal paraganglioma: A rare finding in a 31-year-old male. Cureus. 13:1–6. 2021.PubMed/NCBI View Article : Google Scholar

3 

Hosalkar RM, Khivasara JS and Swain N: Carotid body paraganglioma. Ann Maxillofac Surg. 9:423–428. 2019.PubMed/NCBI View Article : Google Scholar

4 

Burhan W, Al Rowaie Z, Rajih E and Akhtar M: Sarcoid-like granulomatous reaction in renal cell carcinoma: Report of a case with review of the published reports. Ann Saudi Med. 33:614–618. 2013.PubMed/NCBI View Article : Google Scholar

5 

Ouellet S, Albadine R and Sabbagh R: Renal cell carcinoma associated with peritumoral sarcoid-like reaction without intratumoral granuloma. Diagn Pathol. 7(28)2012.PubMed/NCBI View Article : Google Scholar

6 

Iftikhar A, Cheema MA, Ramachandran P and Sahni S: Sarcoid-like reaction associated with renal cell carcinoma-a case report. Respir Med Case Rep. 27:1–4. 2019.PubMed/NCBI View Article : Google Scholar

7 

Alattia L, Ghildyal A and Gu X: A case report of sarcoid like-granuloma in renal cell carcinoma. Am J Clin Pathol. 150(11)2018.

8 

Judson MA: Granulomatous sarcoidosis mimics. Front Med (Lausanne). 8(680989)2021.PubMed/NCBI View Article : Google Scholar

9 

Arora K, Divatia MK, Truong L, Shen SS, Ayala AG and Ro JY: Sarcoid-like granulomas in renal cell carcinoma: The Houston methodist hospital experience. Ann Diagn Pathol. 31:62–65. 2017.PubMed/NCBI View Article : Google Scholar

10 

Mostyka M, Jessurun J and Matrai C: Sarcoid-like granulomatosis in a patient with breast cancer mimicking refractory metastatic disease. Int J Surg Pathol. 28:668–671. 2020.PubMed/NCBI View Article : Google Scholar

11 

Stojsic Z, Brasanac D, Stojiljkovic M, Babic D, Randjelovic T and Terzic T: Composite carcinoma of the stomach associated with sarcoid-like granulomas. Pathol Oncol Res. 15:503–510. 2009.PubMed/NCBI View Article : Google Scholar

12 

Kandemir NO, Yurdakan G, Bektas S and Tekin NS: Classic Kaposi sarcoma with sarcoid-like granulomas: A case report and literature review. Exp Mol Pathol. 87:89–93. 2009.PubMed/NCBI View Article : Google Scholar

13 

Mishra P, Padhi S and Behera G: Thyroid paraganglioma: A case-based systematic review of literature. J Cancer Res Ther. 16:11–21. 2020.PubMed/NCBI View Article : Google Scholar

14 

Megías MC, Puyol DR, Rodríguez LF, Martinez GL and Miguel PM: Pheochromocytoma-paraganglioma: Biochemical and genetic diagnosis. Nefrología. 36:481–488. 2016.PubMed/NCBI View Article : Google Scholar : (In English, Spanish).

15 

Wieneke JA and Smith A: Paraganglioma: Carotid body tumor. Head Neck Pathol. 3:303–306. 2009.PubMed/NCBI View Article : Google Scholar

16 

El Jammal T, Jamilloux Y, Gerfaud-Valentin M, Richard-Colmant G, Weber E, Bert A, Androdias G and Sève P: Challenging mimickers in the diagnosis of sarcoidosis: A case study. Diagnostics (Basel). 11(1240)2021.PubMed/NCBI View Article : Google Scholar

17 

Wolbach SB: A new type of cell inclusion, not parasitic, associated with disseminated granulomatous lesions. J Med Res. 24:243–258. 1911.PubMed/NCBI

18 

Kamiyoshihara MI, Hirai TO, Kawashima O, Ishikawa SU and Morishita YA: Sarcoid reactions in primary pulmonary carcinoma: Report of seven cases. Oncol Rep. 5:177–257. 1998.PubMed/NCBI

19 

Tomimaru Y, Higashiyama M, Okami J, Oda K, Takami K, Kodama K and Tsukamoto Y: Surgical results of lung cancer with sarcoid reaction in regional lymph nodes. Jpn J Clin Oncol. 37:90–95. 2007.PubMed/NCBI View Article : Google Scholar

20 

Piscioli I, Donato S, Morelli L, Del Nonno F and Licci S: Renal cell carcinoma with sarcomatoid features and peritumoral sarcoid-like granulomatous reaction: Report of a case and review of the literature. Int J Surg Pathol. 16:345–348. 2008.PubMed/NCBI View Article : Google Scholar

21 

Muhialdeen AS, Ahmed JO, Baba HO, Abdullah IY, Hassan HA, Najar KA, Mikael TM, Mustafa MQ, Mohammed DA, Omer DA, et al: Kscien's list; A new strategy to discourage predatory journals and publishers (second version). Barw Med J. 1:1–3. 2023.

Related Articles

  • Abstract
  • View
  • Download
Copy and paste a formatted citation
Spandidos Publications style
Abdullah AM, Kakamad FH, Tahir SH, Muhialdeen AS, Salih AM, Rahim HM, Mohammed BJ, Abdullah F, Hussein DA, Mohammed SH, Mohammed SH, et al: Sarcoid‑like granulomatous inflammation in a carotid body paraganglioma: A case report and mini‑review of the literature. Med Int 3: 47, 2023.
APA
Abdullah, A.M., Kakamad, F.H., Tahir, S.H., Muhialdeen, A.S., Salih, A.M., Rahim, H.M. ... Mohammed, S.H. (2023). Sarcoid‑like granulomatous inflammation in a carotid body paraganglioma: A case report and mini‑review of the literature. Medicine International, 3, 47. https://doi.org/10.3892/mi.2023.107
MLA
Abdullah, A. M., Kakamad, F. H., Tahir, S. H., Muhialdeen, A. S., Salih, A. M., Rahim, H. M., Mohammed, B. J., Abdullah, F., Hussein, D. A., Mohammed, S. H."Sarcoid‑like granulomatous inflammation in a carotid body paraganglioma: A case report and mini‑review of the literature". Medicine International 3.5 (2023): 47.
Chicago
Abdullah, A. M., Kakamad, F. H., Tahir, S. H., Muhialdeen, A. S., Salih, A. M., Rahim, H. M., Mohammed, B. J., Abdullah, F., Hussein, D. A., Mohammed, S. H."Sarcoid‑like granulomatous inflammation in a carotid body paraganglioma: A case report and mini‑review of the literature". Medicine International 3, no. 5 (2023): 47. https://doi.org/10.3892/mi.2023.107
Copy and paste a formatted citation
x
Spandidos Publications style
Abdullah AM, Kakamad FH, Tahir SH, Muhialdeen AS, Salih AM, Rahim HM, Mohammed BJ, Abdullah F, Hussein DA, Mohammed SH, Mohammed SH, et al: Sarcoid‑like granulomatous inflammation in a carotid body paraganglioma: A case report and mini‑review of the literature. Med Int 3: 47, 2023.
APA
Abdullah, A.M., Kakamad, F.H., Tahir, S.H., Muhialdeen, A.S., Salih, A.M., Rahim, H.M. ... Mohammed, S.H. (2023). Sarcoid‑like granulomatous inflammation in a carotid body paraganglioma: A case report and mini‑review of the literature. Medicine International, 3, 47. https://doi.org/10.3892/mi.2023.107
MLA
Abdullah, A. M., Kakamad, F. H., Tahir, S. H., Muhialdeen, A. S., Salih, A. M., Rahim, H. M., Mohammed, B. J., Abdullah, F., Hussein, D. A., Mohammed, S. H."Sarcoid‑like granulomatous inflammation in a carotid body paraganglioma: A case report and mini‑review of the literature". Medicine International 3.5 (2023): 47.
Chicago
Abdullah, A. M., Kakamad, F. H., Tahir, S. H., Muhialdeen, A. S., Salih, A. M., Rahim, H. M., Mohammed, B. J., Abdullah, F., Hussein, D. A., Mohammed, S. H."Sarcoid‑like granulomatous inflammation in a carotid body paraganglioma: A case report and mini‑review of the literature". Medicine International 3, no. 5 (2023): 47. https://doi.org/10.3892/mi.2023.107
Follow us
  • Twitter
  • LinkedIn
  • Facebook
About
  • Spandidos Publications
  • Careers
  • Cookie Policy
  • Privacy Policy
How can we help?
  • Help
  • Live Chat
  • Contact
  • Email to our Support Team