Spandidos Publications Logo
  • About
    • About Spandidos
    • Aims and Scopes
    • Abstracting and Indexing
    • Editorial Policies
    • Reprints and Permissions
    • Job Opportunities
    • Terms and Conditions
    • Contact
  • Journals
    • All Journals
    • Oncology Letters
      • Oncology Letters
      • Information for Authors
      • Editorial Policies
      • Editorial Board
      • Aims and Scope
      • Abstracting and Indexing
      • Bibliographic Information
      • Archive
    • International Journal of Oncology
      • International Journal of Oncology
      • Information for Authors
      • Editorial Policies
      • Editorial Board
      • Aims and Scope
      • Abstracting and Indexing
      • Bibliographic Information
      • Archive
    • Molecular and Clinical Oncology
      • Molecular and Clinical Oncology
      • Information for Authors
      • Editorial Policies
      • Editorial Board
      • Aims and Scope
      • Abstracting and Indexing
      • Bibliographic Information
      • Archive
    • Experimental and Therapeutic Medicine
      • Experimental and Therapeutic Medicine
      • Information for Authors
      • Editorial Policies
      • Editorial Board
      • Aims and Scope
      • Abstracting and Indexing
      • Bibliographic Information
      • Archive
    • International Journal of Molecular Medicine
      • International Journal of Molecular Medicine
      • Information for Authors
      • Editorial Policies
      • Editorial Board
      • Aims and Scope
      • Abstracting and Indexing
      • Bibliographic Information
      • Archive
    • Biomedical Reports
      • Biomedical Reports
      • Information for Authors
      • Editorial Policies
      • Editorial Board
      • Aims and Scope
      • Abstracting and Indexing
      • Bibliographic Information
      • Archive
    • Oncology Reports
      • Oncology Reports
      • Information for Authors
      • Editorial Policies
      • Editorial Board
      • Aims and Scope
      • Abstracting and Indexing
      • Bibliographic Information
      • Archive
    • Molecular Medicine Reports
      • Molecular Medicine Reports
      • Information for Authors
      • Editorial Policies
      • Editorial Board
      • Aims and Scope
      • Abstracting and Indexing
      • Bibliographic Information
      • Archive
    • World Academy of Sciences Journal
      • World Academy of Sciences Journal
      • Information for Authors
      • Editorial Policies
      • Editorial Board
      • Aims and Scope
      • Abstracting and Indexing
      • Bibliographic Information
      • Archive
    • International Journal of Functional Nutrition
      • International Journal of Functional Nutrition
      • Information for Authors
      • Editorial Policies
      • Editorial Board
      • Aims and Scope
      • Abstracting and Indexing
      • Bibliographic Information
      • Archive
    • International Journal of Epigenetics
      • International Journal of Epigenetics
      • Information for Authors
      • Editorial Policies
      • Editorial Board
      • Aims and Scope
      • Abstracting and Indexing
      • Bibliographic Information
      • Archive
    • Medicine International
      • Medicine International
      • Information for Authors
      • Editorial Policies
      • Editorial Board
      • Aims and Scope
      • Abstracting and Indexing
      • Bibliographic Information
      • Archive
  • Articles
  • Information
    • Information for Authors
    • Information for Reviewers
    • Information for Librarians
    • Information for Advertisers
    • Conferences
  • Language Editing
Spandidos Publications Logo
  • About
    • About Spandidos
    • Aims and Scopes
    • Abstracting and Indexing
    • Editorial Policies
    • Reprints and Permissions
    • Job Opportunities
    • Terms and Conditions
    • Contact
  • Journals
    • All Journals
    • Biomedical Reports
      • Information for Authors
      • Editorial Policies
      • Editorial Board
      • Aims and Scope
      • Abstracting and Indexing
      • Bibliographic Information
      • Archive
    • Experimental and Therapeutic Medicine
      • Information for Authors
      • Editorial Policies
      • Editorial Board
      • Aims and Scope
      • Abstracting and Indexing
      • Bibliographic Information
      • Archive
    • International Journal of Epigenetics
      • Information for Authors
      • Editorial Policies
      • Editorial Board
      • Aims and Scope
      • Abstracting and Indexing
      • Bibliographic Information
      • Archive
    • International Journal of Functional Nutrition
      • Information for Authors
      • Editorial Policies
      • Editorial Board
      • Aims and Scope
      • Abstracting and Indexing
      • Bibliographic Information
      • Archive
    • International Journal of Molecular Medicine
      • Information for Authors
      • Editorial Policies
      • Editorial Board
      • Aims and Scope
      • Abstracting and Indexing
      • Bibliographic Information
      • Archive
    • International Journal of Oncology
      • Information for Authors
      • Editorial Policies
      • Editorial Board
      • Aims and Scope
      • Abstracting and Indexing
      • Bibliographic Information
      • Archive
    • Medicine International
      • Information for Authors
      • Editorial Policies
      • Editorial Board
      • Aims and Scope
      • Abstracting and Indexing
      • Bibliographic Information
      • Archive
    • Molecular and Clinical Oncology
      • Information for Authors
      • Editorial Policies
      • Editorial Board
      • Aims and Scope
      • Abstracting and Indexing
      • Bibliographic Information
      • Archive
    • Molecular Medicine Reports
      • Information for Authors
      • Editorial Policies
      • Editorial Board
      • Aims and Scope
      • Abstracting and Indexing
      • Bibliographic Information
      • Archive
    • Oncology Letters
      • Information for Authors
      • Editorial Policies
      • Editorial Board
      • Aims and Scope
      • Abstracting and Indexing
      • Bibliographic Information
      • Archive
    • Oncology Reports
      • Information for Authors
      • Editorial Policies
      • Editorial Board
      • Aims and Scope
      • Abstracting and Indexing
      • Bibliographic Information
      • Archive
    • World Academy of Sciences Journal
      • Information for Authors
      • Editorial Policies
      • Editorial Board
      • Aims and Scope
      • Abstracting and Indexing
      • Bibliographic Information
      • Archive
  • Articles
  • Information
    • For Authors
    • For Reviewers
    • For Librarians
    • For Advertisers
    • Conferences
  • Language Editing
Login Register Submit
  • This site uses cookies
  • You can change your cookie settings at any time by following the instructions in our Cookie Policy. To find out more, you may read our Privacy Policy.

    I agree
Search articles by DOI, keyword, author or affiliation
Search
Advanced Search
presentation
Medicine International
Join Editorial Board Propose a Special Issue
Print ISSN: 2754-3242 Online ISSN: 2754-1304
Journal Cover
January-February 2023 Volume 3 Issue 1

Full Size Image

Sign up for eToc alerts
Recommend to Library

Journals

International Journal of Molecular Medicine

International Journal of Molecular Medicine

International Journal of Molecular Medicine is an international journal devoted to molecular mechanisms of human disease.

International Journal of Oncology

International Journal of Oncology

International Journal of Oncology is an international journal devoted to oncology research and cancer treatment.

Molecular Medicine Reports

Molecular Medicine Reports

Covers molecular medicine topics such as pharmacology, pathology, genetics, neuroscience, infectious diseases, molecular cardiology, and molecular surgery.

Oncology Reports

Oncology Reports

Oncology Reports is an international journal devoted to fundamental and applied research in Oncology.

Experimental and Therapeutic Medicine

Experimental and Therapeutic Medicine

Experimental and Therapeutic Medicine is an international journal devoted to laboratory and clinical medicine.

Oncology Letters

Oncology Letters

Oncology Letters is an international journal devoted to Experimental and Clinical Oncology.

Biomedical Reports

Biomedical Reports

Explores a wide range of biological and medical fields, including pharmacology, genetics, microbiology, neuroscience, and molecular cardiology.

Molecular and Clinical Oncology

Molecular and Clinical Oncology

International journal addressing all aspects of oncology research, from tumorigenesis and oncogenes to chemotherapy and metastasis.

World Academy of Sciences Journal

World Academy of Sciences Journal

Multidisciplinary open-access journal spanning biochemistry, genetics, neuroscience, environmental health, and synthetic biology.

International Journal of Functional Nutrition

International Journal of Functional Nutrition

Open-access journal combining biochemistry, pharmacology, immunology, and genetics to advance health through functional nutrition.

International Journal of Epigenetics

International Journal of Epigenetics

Publishes open-access research on using epigenetics to advance understanding and treatment of human disease.

Medicine International

Medicine International

An International Open Access Journal Devoted to General Medicine.

Journal Cover
January-February 2023 Volume 3 Issue 1

Full Size Image

Sign up for eToc alerts
Recommend to Library

  • Article
  • Citations
    • Cite This Article
    • Download Citation
    • Create Citation Alert
    • Remove Citation Alert
    • Cited By
  • Similar Articles
    • Related Articles (in Spandidos Publications)
    • Similar Articles (Google Scholar)
    • Similar Articles (PubMed)
  • Download PDF
  • Download XML
  • View XML
Article Open Access

Sonographic measurement of splenic size and its correlation with body parameters

  • Authors:
    • Salah M. Fateh
    • Naser A. Mohammed
    • Kawa A. Mahmood
    • Αli H. Hasan
    • Soran H. Tahir
    • Fahmi H. Kakamad
    • Abdulwahid M. Salih
    • Hiwa O. Abdullah
    • Berun A. Abdalla
    • Shvan H. Mohammed
    • Hunar A. Hassan
    • Dahat A. Hussein
  • View Affiliations / Copyright

    Affiliations: Department of Surgery, College of Medicine, University of Sulaimani, Sulaimani, Kurdistan 46000, Iraq, Sulaimani Directorate of Health, Sulaimani, Kurdistan 46000, Iraq, Smart Research Center, Smart Health Tower, Sulaimani, Kurdistan 46000, Iraq, Kscien Organization, Sulaimani, Kurdistan 46000, Iraq
    Copyright: © Fateh et al. This is an open access article distributed under the terms of Creative Commons Attribution License.
  • Article Number: 7
    |
    Published online on: January 9, 2023
       https://doi.org/10.3892/mi.2023.67
  • Expand metrics +
Metrics: Total Views: 0 (Spandidos Publications: | PMC Statistics: )
Metrics: Total PDF Downloads: 0 (Spandidos Publications: | PMC Statistics: )
Cited By (CrossRef): 0 citations Loading Articles...

This article is mentioned in:


Abstract

There are controversies regarding the normal size of the adult spleen and its correlation with age, sex and body parameters. The present study aimed to establish a reference value of splenic dimensions, volume and their correlations with different body parameters. The present cross‑sectional study was conducted on 300 healthy adult volunteers of both sexes. Age, sex, height, weight and body mass index (BMI) were recorded. The ultrasound measurements of spleen parameters included length, thickness and width. The spleen volume was calculated using the standard prolate ellipsoid formula (length x thickness x width x0.523). The mean ± SD age was 38.7±14 years, the mean height was 166±9.9 cm, the mean weight was 74.7±15.8 kg and the mean BMI was 27±5 kg/m2. The mean spleen length, thickness, width and volume were 10.68±1.28 cm, 4.1±0.58 cm, 7.3±0.9 cm and 174.4±52.4 ml, respectively. Males had larger spleen parameters than females. Spleen volume significantly correlated with the subjects' height (r=0.655, P<0.001) and weight (r=0.643, P<0.001). However, weaker correlations were detected between age (r=‑0.238, P<0.001) and BMI (r=0.299, P<0.001) with spleen volume. A higher significant correlation was found between spleen volume and spleen length rather than with its thickness and width. In the present study, the normative data of splenic dimensions and volume have been provided and may be used in certain clinical situations.

Introduction

The spleen is regarded as mobile and the largest single lymphatic organ, which is intraperitoneally located in the superolateral part of the left upper quadrant of the abdomen (1). The shape and position of the spleen are quite variable in normal healthy individuals; this may thus lead to difficulties and to the mismeasuring of real splenic size or the false interpretation of splenic disease on variant imaging modalities (2). Ultrasound (US) is a non-invasive and low-cost modality for spleen assessment without ionizing radiation, which can detect many abnormalities, such as the occurrence and composition of splenic masses, splenic texture disruption and any changes in spleen size (3,4). Although US is regarded as a useful imaging tool for the diagnosis and follow-up of splenic abnormalities, sometimes the location of the spleen prevents a proper examination from taking place due to shadowing from the ribs, bowel gas and overlying lungs (1).

As with other body organs, it is necessary to have a standard measurement to establish normality limitations in spleen size. Clinically, if the spleen extends below the left costal margin, it is termed splenomegaly. There is no precise reliability to clinical palpation and it has 56-82% sensitivity in identifying splenomegaly compared to imaging studies (5). Prior to sonography advancement, a plain X-ray was used to measure the spleen length and size. However, it was not always reliable due to composite shadows (6).

Establishing a standard and normal range of sonographic measurements for adult splenic size is difficult due to its complex three-dimensional shape. Previous studies have tried to correlate the ethnicity of the subjects with spleen size using different imaging methods. Asian cohort studies have revealed smaller spleen sizes in the US compared to the published literature (7,8). Spleen size has been found to be smaller in African American collegiate athletes compared to Caucasian Americans (9). Spleen volume in African adults is smaller than that in adults from western populations (10).

Since the US data from previous studies have demonstrated that racial differences can affect the volume of the spleen, conflicting data also exist regarding the association of splenic volume with sex, age and body parameters. The present study aimed to establish a reference value of splenic dimensions and volume in a healthy adult Kurdish population and their correlations with age, sex, height, weight and body mass index (BMI). The present study was written in line with PROCESS guidelines (11).

Subjects and methods

Subject selection and registration

The present study was a single-center cross-sectional study performed over a 6-month period. The study registry has been provided in line with the Declaration of Helsinki: ‘Every research study involving human subjects must be registered in a publicly accessible database before recruitment of the first subject’. The research was registered in the Research Registry with a registration number of research registry 7473 (https://www.researchregistry.com/register-now#home/registrationdetails/61c1b60818f8b3001ec8448d/).

Inclusion and exclusion criteria

Normal healthy Kurdish male and female adults who had a normal complete blood count (CBC) were included in the study. The exclusion criteria were as follows: i) Patients <20 years of age; ii) patients with clinical or laboratory evidence of infection or jaundice either at the time of the examination or within at least 6 weeks prior to the examination; iii) a history of rheumatoid diseases; iv) anemia or haemoglobinopathies (thalassemia and sickle cell anemia); v) a history of lymphoproliferative disorders or myeloproliferative neoplasm; vi) focal spleen lesions; vii) a history of splenic trauma or those with partial splenectomy; viii) liver diseases (cirrhosis or portal hypertension); ix) gravid females; x) non-Kurdish races; and xi) those whose entire length of the spleen could not be properly documented by the US.

Data collection and ultrasonographic examinations

The baseline data included age, sex, height and weight (the height and weight of the patients were measured using the standard anthropometric technique). Height was recorded in centimeters (cm) and weight was recorded in kilograms (kg). The BMI was calculated using the formula of weight (kg)/height (m2). Splenic length, thickness and width were recorded for each subject. Each dimension was measured three times and the mean value was obtained for the accuracy of the result. Spleen volume was calculated for each subject according to the standard prolate ellipsoid formula (length x thickness x width x0.523); which is usually used for estimating the volume of irregularly shaped organs.

The subjects were scanned using different US machines with curvilinear probes of (2-6 MHz). After explaining the purpose of the examination and obtaining written consent, the subject was placed in the right lateral decubitus (RLD) position with the left arm stretched up over the head. The examination was performed on deep inspiration so that the spleen descended downward. Occasionally, when the lung base obscured the spleen on deep inspiration, scans were obtained on shallow inspiration or at rest.

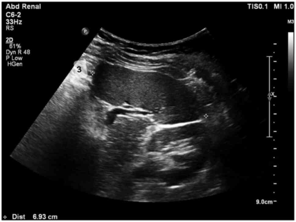
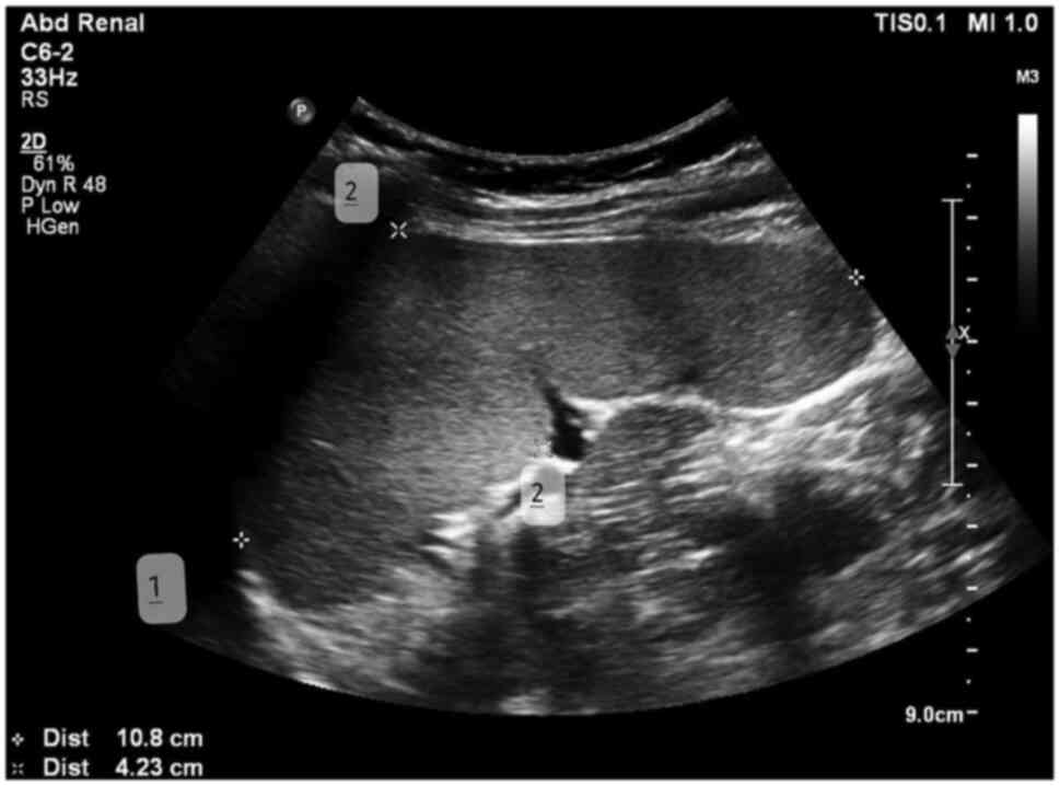
A longitudinal section (coronal oblique view) was obtained with the transducer aligned parallel to the intercostal spaces in the left upper quadrant, with the maximum diameter between superomedial and inferolateral points (length). The perpendicular diameter from the hilum to the lateral surface of the spleen (thickness) was measured in this section (Fig. 1). The transducer was then rotated 90˚ counterclockwise to image the spleen in the transverse section, and the anteroposterior diameter (width) was measured in this section (Fig. 2).

Figure 1

Spleen diameters at the level of the hilum in a longitudinal flank. In the scanned image, 1 refers to length and 2 to thickness.

Figure 2

Spleen diameter at the level of the hilum in transverse. In the scanned image, 3 refers to width.

All measurements were made on sections through the splenic hilum in order to create a constant reference point for repeating measurements according to the guidelines of the American Institute of Ultrasound in Medicine and as previously described by Lamb et al (12).

Ethical approval

The present study was approved by The Scientific Research and Ethics Committee of the College of Medicine, University of Sulaimani, Sulaimani, Iraq with a reference number of 1125/21. Institutional ethical approval was obtained from the authorities of the Sulaimani Teaching Hospital. Informed written consent was obtained from all subjects prior to the examination. The reason for the study, possible effects and stages of examination were explained to the subjects. All procedures were followed in accordance with the ethical standards of the responsible committee on human experimentation.

Statistical analysis

The data were analyzed using the Statistical Package for Social Sciences (SPSS, version 19; IBM Corp.). The unpaired Student's t-test for two independent samples was used to compare the mean values of the anthropometric data. Categorical data were compared using Fisher's exact test. One-way analysis of variance (ANOVA) was used to compare the mean of different age groups. A post hoc test (Hochberg GT2)} was used to compare each two age groups (due to different sample sizes in each age group). Pearson's correlation coefficient (r/r2) was used to measure the strength of the correlation between the two numerical variables. A P-value ≤0.05 was considered to indicate a statistically significant difference.

Results

The total number of participants was 300. The proportion of females (155, 51.7%) was almost equal to that of males (145, 48.3%). The male to female ratio was 0.93:1. The weight of 35.7% of the sample group was normal, 41.3% of the subjects were overweight (25-29 kg/m2) and 23% (≥30 kg/m2) were obese. The age of the subjects ranged from 20 to 87 years, with a median of 35 years. The mean values for the weight and height of the males were significantly higher than those of the females (P<0.001), while no significant differences were detected between the mean age and BMI of the males and females (Table I). The spleen volume significantly correlated with the subjects' height (r=0.655, P<0.001) and weight (r=0.643, P<0.001). However, weaker correlations were detected between age (r=-0.238, P 0.001) and BMI (r=0.299, P<0.001) with spleen volume (Table II). The mean spleen parameters of the males were significantly greater than those of the females (P<0.001; Table III). Significant differences in splenic parameters among the age groups were detected. There was a steady increase in spleen dimensions from the age of 20 to 39 years; thereafter it began to gradually decrease as age increased (Table IV). The mean splenic volume, width and thickness for males were higher than those of females. All the parameters exhibited significant differences, apart from the age group of 50-59 years (Table V). The results revealed a more highly significant correlation between spleen volume and spleen length (r2=0.633, P<0.001) in comparison to spleen thickness (r2=0.5664, P<0.001) and spleen width (r2=0.572, P<0.001) (Fig. 3, Fig. 4 and Fig. 5). The spleen length was categorized into three groups (≤12, >12 and >13 cm). It was revealed that 16.5% of males had a spleen length >12 cm compared with 3.9% of females. Only 3% of the individuals had a spleen length >13 cm and all of these were males. However, the spleen length was ≤12 cm in 87% of the sample population. The spleen length in males was significantly higher than that in females (P<0.001; Table VI).

Figure 3

Correlation between spleen length and spleen volume (r2=0.633, P<0.001).

Figure 4

Correlation between spleen thickness and spleen volume (r2=0.5664, P<0.001).

Figure 5

Correlation between spleen width and spleen volume (r2=0.572, P<0.001).

Table I

Anthropometric data of the whole sample size and for males and females.

Table I

Anthropometric data of the whole sample size and for males and females.

SubjectsNo. of subjectsAge (years)Height (cm)Weight (kg)BMI (kg/m2)
All subjects300    
     Mean 38.74166.1174.7027.02
     SD 14.1669.915.8065.07
     Median 35.00166.5074.0026.45
     Minimum 201464016.44
     Maximum 8719713852.21
Males145    
     Mean 37.92173.3681.0226.94
     SD 13.1046.83114.1364.30
     Median 34.0017379.0026.42
     Minimum 201555116.98
     Maximum 8619712541.51
Females155    
     Mean 39.50159.3468.7927.10
     SD 15.0947.14315.0135.71
     Median 36.0015867.0026.64
     Minimum 201464016.44
     Maximum 8718513852.21
P-value 0.335<0.001<0.0010.796

[i] BMI, body mass index.

Table II

Correlation between age, weight, height and BMI with each of the studied spleen parameters.

Table II

Correlation between age, weight, height and BMI with each of the studied spleen parameters.

 Spleen parameters (n=300)
Patients' age and anthropometry LengthThicknessWidthVolume
Ager-0.187-0.163-0.253-0.238
 P-value<0.001<0.005<0.001<0.001
Weightr0.5580.4080.4780.643
 P-value<0.001<0.001<0.001<0.001
Heightr0.5970.4250.5780.655
 P-value<0.001<0.001<0.001<0.001
BMIr0.320.2210.1680.299
     P-value<0.001<0.001<0.004<0.001

Table III

Spleen parameters of the whole sample size and comparisons between males and females.

Table III

Spleen parameters of the whole sample size and comparisons between males and females.

SubjectsNo. of subjectsSpleen length (cm)Spleen thickness (cm)Spleen width (cm)Spleen volume (ml)
All subjects300    
     Mean 10.6854.1347.388174.414
     SD 1.2830.5870.92452.449
     Median 10.7004.1007.400169.487
     Minimum 7.0002.9005.10063.603
     Maximum 14.1006.1009.600374.061
     5th percentile 8.7053.2006.00095.750
     95th percentile 12.9905.2008.900262.838
Males145    
     Mean 11.2664.3357.779200.611
     SD 1.1600.5580.84647.950
     Median 11.2004.3007.800192.350
     Minimum 8.5003.2006.000110.637
     Maximum 14.1006.1009.600374.061
     5th percentile 9.3903.5006.500135.401
     95th percentile 13.2005.3709.300282.970
Females155    
     Mean 10.1413.9467.023149.907
     SD 1.1490.5520.84344.051
     Median 10.1003.9007.000141.648
     Minimum 7.0002.9005.10063.603
     Maximum 12.8005.7009.300283.312
     5th percentile 8.1803.0005.70087.471
     95th percentile 12.0004.9208.640243.423
P-value <0.001<0.001<0.001<0.001

Table IV

Mean values of spleen parameters by age group.

Table IV

Mean values of spleen parameters by age group.

ParametersAge group (years)No. of subjectsMeanSDP-value (ANOVA)
Spleen length (cm)20-298810.6331.182<0.001
 30-399911.0171.267 
 40-495910.6801.158 
 50-591910.6001.113 
 ≥60359.9291.552 
 Total30010.6851.283 
Spleen thickness (cm)20-29884.1940.6390.055
 30-39994.2150.546 
 40-49594.0900.519 
 50-59193.9470.433 
 ≥60353.9310.690 
 Total3004.1340.587 
Spleen width (cm)20-29887.3260.803<0.001
 30-39997.7570.937 
 40-49597.2290.779 
 50-59197.5580.970 
 ≥60356.6800.903 
 Total3007.3880.924 
Spleen volume (ml)20-2988174.16152.003<0.001
 30-3999191.96353.511 
 40-4959167.49143.564 
 50-5919169.21648.285 
 ≥6035139.90348.230 
 Total300174.41452.449 

Table V

Mean values of spleen parameters by age and sex.

Table V

Mean values of spleen parameters by age and sex.

 MalesFemales 
Spleen parametersMeanSDMeanSDP-value
Volume (ml)     
     20-29204.8152.28148.6235.67<0.001
     30-39209.2347.60166.4952.04<0.001
     40-49196.3340.20146.2932.67<0.001
     50-59181.2730.41166.0052.410.589
     ≥60171.6843.46109.8930.19<0.001
Length (cm)     
     20-2911.331.0410.050.97<0.001
     30-3911.411.1710.431.19<0.001
     40-4911.371.1510.170.88<0.001
     50-5910.430.9810.651.170.734
     ≥6010.651.309.251.490.006
Thickness (cm)     
     20-294.460.623.980.58<0.001
     30-394.310.514.080.570.043
     40-494.260.503.960.500.029
     50-594.230.263.870.440.154
     ≥604.290.703.590.490.002
Width (cm)     
     20-297.670.797.040.70<0.001
     30-398.060.847.310.89<0.001
     40-497.710.656.870.67<0.001
     50-597.850.857.481.010.514
     ≥607.140.896.240.690.002

Table VI

Spleen length categories among males and females.

Table VI

Spleen length categories among males and females.

 MaleFemaleTotal 
Spleen length (cm)No. of subjects%No. of subjects%No. of subjects%P-value
≤1211277.214996.126187<0.001
>12-132416.563.93010 
     >1396.2--93 
Total145100155100300100 

Discussion

Due to the wide range of splenic size that has been reported in the literature, the establishment of a normal range is difficult. The US data from previous studies have demonstrated that racial differences can affect splenic volume. This necessitates the establishment of normative data on splenic dimensions for different regions (10,13).

The underlying concept of determining splenic volume by ultrasound has been presented in a number of previous studies. There are also variable data for the mean and upper limits of normal spleen volume in adults (10,14). Badran et al (15) used the conventional US in the Jordanian population to assess spleen volume and found a mean spleen volume of 184±80 ml (206.4±83 ml for males and 155.7±65 ml for females). Ehimwenma and Tagbo (16) determined spleen dimension in an endemic tropical environment (Nigeria) and reported an average spleen volume of 202±49 ml in males and 153±33 ml in females, with an overall of 177.5 ml. The mean and maximum spleen volume in the present study were 174.4±52 and 374.1 ml, respectively (200.6±47.9 ml in males and 149.9±44 ml in females).

Kaneko et al (8) reported a mean spleen volume of 123±45 ml in 238 Japanese subjects. In another study on the same population, Harris et al found the mean spleen volume to be 127±63 ml in 230 individuals (17). The smaller spleen volume in Japanese individuals is probably due to the smaller body size compared to the Kurdish population. Mustapha et al (10) also recorded smaller mean spleen volume (120±56 ml) in the normal adult African population and this can only be explained by regional and rational deference which has affected the spleen volume; this finding has also been reported by Hosey et al (9), who found that African American athletes had smaller spleens despite being taller and heavier than Caucasian American athletes.

In another study on 52 American volunteers, a mean and maximum spleen volume of 192±72 and 411.8 ml was recorded, respectively (18). Another study based on CT in Saudi Arabia reported an adult mean spleen volume of 255±72 ml (males, 285±64 ml; and females, 220±65 ml) (19). Geraghty et al (20) found a mean spleen volume of 209 ml in 149 individuals (maximum of 399.5 ml in males and 332.1 ml in females). Furthermore, Prassopoulos et al (21) reported a mean spleen volume of 214.6 ml in 140 patients. The mean and maximum spleen volume of the Kurdish population were smaller than in the aforementioned literature and these differences in spleen volume may be due to differences in mean age, sex, height, weight, technique and modality enrolled in the study and regional variations between the studied populations.

On the basis of sex, the present study found that the mean spleen parameters in male subjects were significantly higher than those of female subjects (P<0.001). As there are moderate positive correlations between spleen parameters and both body height and weight, a greater average of spleen parameters was expected in males, on the basis of their larger body parameters recorded in the present study for the same age groups, apart from the age group of 50-59 years (in which spleen length was higher in females). This is concordant with the majority of previously conducted studies (4,7,9,17,19,20). However, there are also studies that have found no differences in spleen size between the sexes (17,21-23).

There was a steady increase in spleen dimensions from the age of 20-39 years in the Kurdish population; thereafter, it began to gradually decrease as the age increased. In general, a significant difference was observed between the mean of the spleen parameters of those aged ≥60 years with the mean of the younger age groups (P<0.001). This finding may be due to the aging process in which older individuals have a smaller mass of organs compared to younger individuals (23).

Spleen length measurement on a longitudinal coronal oblique scan with the subject in supine and/or RLD position is reliable and widely used in clinical practice and highly correlates with spleen volume (9,10,12,14,23-26). The study by Loftus et al (26) on 30 cadavers found a significant correlation between a sonographic measurement of splenic length and the actual length and volume as measured at autopsy. The present study revealed a strong significant correlation between spleen length and spleen volume (r=0.796, P<0.001). A correlation was also found between spleen width and thickness with spleen volume (r=0.757, P<0.001 and r=0.753, P<0.001, respectively). Mustapha et al (10) also reported a strong correlation between spleen width and depth with spleen volume. The mean of recorded spleen length in the present study was 10.68±1.28 cm; the length of the spleen was ≤13 cm in 97% of the individuals and the maximum spleen length was 14.1 cm. There are variable data for the upper limits of normal spleen length with values ranging from 12 to 14 cm in adults (4,7,9,12,27). In a German study on 703 normal adults, the length of the spleen was <11 cm in 95% of the subjects (28). Rosenberg et al (23) established an upper limit of normal splenic length of 12 cm for girls and 13 cm for boys (≥15 years). Hosey et al (9) demonstrated a mean splenic length of 10.65 cm and they also noted that 7% of athletes had a spleen length >13 cm. Capaccioli et al (29) found a mean spleen length of 10.5 cm in a population of 180 Italian adults, without stratifying for age. A similar result for mean spleen length was also recorded by other studies (12,14,23). Moreover, Badran et al (15) and Serter et al (13) reported a maximum spleen length of 15.6 and 17 cm, respectively. Spielmann et al (4) suggested that the maximum spleen length for an individual who had a height >183 cm was >13 cm. In the present study, the average spleen length was consistent with previously reported normal values for the general adult population. These observations suggest that there is no significant racial bias in spleen length.

In conclusion, the present study provides normative data on splenic dimensions and volume in normal Kurdish adults which may be used in certain clinical situations. Further studies are required to determine the normal value of spleen size by US for infants and children in the Kurdish population.

Acknowledgements

Not applicable.

Funding

Funding: No funding was received.

Availability of data and materials

The datasets used and/or analyzed during the current study are available from the corresponding author on reasonable request.

Authors' contributions

SMF was a major contributor to the conception of the study, as well as in the literature search for related studies. HOA, SHT and FHK were involved in the literature review, the writing of the manuscript, and data analysis and interpretation. AMS, BAA, SHM, HAH and DAH were involved in the literature review, the design of the study, revision of the manuscript and in the processing of the figures. SMF, NAM, KAM and AHH were the radiologists who performed the assessment of the subjects' spleen size. SMF and HAH confirm the authenticity of all the raw data. All authors have read and approved the final manuscript.

Ethics approval and consent to participate

The present study was approved by the Scientific Research and Ethics Committee of the College of Medicine, University of Sulaimani, Sulaimani, Iraq with a reference number of 1125/21. Institutional ethical approval was obtained from the authorities of Sulaimani Teaching Hospital. Informed written consent was obtained from all subjects before being examined. The reason for the study, possible effects and stages of examination were explained to the subjects. All procedures were followed in accordance with ethical standards of the responsible committee on human experimentation.

Patient consent for publication

Written informed consent was obtained from the patient for the publication of any related images.

Competing interests

The authors declare that they have no competing interests.

References

1 

Moore KL and Dalley AF: Clinically oriented anatomy. Wolters Kluwer, India, 2018.

2 

Baert AL, Heuck FH and Youker JE: Medical lmaging of the spleen. De Schepper AM and Vanhoenacker F (eds). Springer-Verlag, New York, 2000.

3 

Rumack CM, Wilson SR, Charboneau JW and Levine D: Diagnostic Ultrasound. 4th edition. Mosby Inc., Philadelphia, pp146-169, 2011.

4 

Spielmann AL, DeLong DM and Kliewer MA: Sonographic evaluation of spleen size in tall healthy athletes. Am J Roentgenol. 184:45–49. 2005.PubMed/NCBI View Article : Google Scholar

5 

Adamson JW and Longo DL: Anaemia and polycythaemia. In: Harrison's principles of internal medicine. Kasper DL, Braunwald E, Hauser S, Longo D, Jameson JL and Fauci AS (eds). 16th edition. McGraw-Hill, New York, pp329-348, 2005.

6 

Dick R: The liver and spleen. In: Text book of Radiology and Imaging. Sutton D (ed). 7th edition. Churchill Livingstone, London, pp746-786, 2003.

7 

Loftus WK and Metreweli C: Normal splenic size in a Chinese population. J Ultrasound Med. 16:345–347. 1997.PubMed/NCBI

8 

Kaneko J, Sugawara Y, Matsui Y and Makuuchi M: Spleen size of live donors for liver transplantation. Surg Radiol Anat. 30:515–518. 2008.PubMed/NCBI View Article : Google Scholar

9 

Hosey RG, Mattacola CG, Kriss V, Armsey T, Quarles JD and Jagger J: Ultrasound assessment of spleen size in college athletes. Br J Sport Med. 40:251–254. 2006.PubMed/NCBI View Article : Google Scholar

10 

Mustapha Z, Tahir A, Tukur M, Bukar M and Lee WK: Sonographic determination of normal spleen size in an adult African population. Eur J Radiol. 75:e133–e135. 2010.PubMed/NCBI View Article : Google Scholar

11 

Agha RA, Borrelli MR, Farwana R, Koshy K, Fowler AJ and Orgill DP: PROCESS Group. The PROCESS 2018 statement: Updating consensus preferred reporting of CasE series in surgery (PROCESS) guidelines. Int J Surg. 60:279–282. 2018.PubMed/NCBI View Article : Google Scholar

12 

Lamb PM, Lund A, Kanagasabay RR, Martin A, Webb JAW and Reznek RH: Spleen size: How well do linear ultrasound measurements correlate with three-dimensional CT volume assessments? Br J Radiol. 75:573–577. 2002.PubMed/NCBI View Article : Google Scholar

13 

Serter S, Ceylan C, Tunçyürek Ö, Örgüç Ş and Pabuçcu Y: Sonographic evaluation of spleen size and prevalence of accessory spleen in a healthy male Turkish population. Turk J Hematol. 27:25–28. 2010.PubMed/NCBI

14 

Rodrigues Júnior AJ, Rodrigues CJ, Germano MA, Rasera Júnior I and Cerri GG: Sonographic assessment of normal spleen volume. Clin Anat. 8:252–255. 1995.PubMed/NCBI View Article : Google Scholar

15 

Badran DH, Kalbouneb HM, Al Hadidi MT, Sbatarat AT, Tarawened ES, Hadidy AM and Mahafza WS: Ultrasonographic assessment of splenic volume and its correlation with body parameters in a Jordanian population. Saudi Med J. 36:967–972. 2015.PubMed/NCBI View Article : Google Scholar

16 

Ehimwenma O and Tagbo MT: Determination of normal dimension of the spleen by ultrasound in an endemic tropical environment. Niger Med J. 52:198–203. 2011.PubMed/NCBI View Article : Google Scholar

17 

Harris A, Kamishima T, Hao HY, Kato F, Omatsu T, Onodera Y, Terae S and Shirato H: Splenic volume measurements on computed tomography utilizing automatically contouring software and its relationship with age, gender, and anthropometric parameters. Eur J Radiol. 75:e97–e101. 2010.PubMed/NCBI View Article : Google Scholar

18 

De Odorico I, Spaulding KA, Pretorius DH, Lev-Toaff AS, Bailey TB and Nelson TR: Normal splenic volumes estimated using three-dimensional ultrasonography. J Ultrasound Med. 18:231–236. 1999.PubMed/NCBI View Article : Google Scholar

19 

Siddiqui MA, Ali AHA, Bedewi MA and Serhan OO: Estimation of standard splenic volume in Saudi Arabian adult population: Using 3D reconstruction of abdominal CT scan images. Open J Intern Med. 4:7–12. 2014.

20 

Geraghty EM, Boone JM, McGahan JP and Jain K: Normal organ volume assessment from abdominal CT. Abdom Imaging. 29:482–490. 2004.PubMed/NCBI View Article : Google Scholar

21 

Prassopoulos P, Daskalogiannaki M, Raissaki M, Hatjidakis A and Gourtsoyiannis N: Determination of normal splenic volume on computed tomography in relation to age, gender and body habitus. Eur Radiol. 2:246–248. 1997.PubMed/NCBI View Article : Google Scholar

22 

Yahuza MA, Tabari AM, Isyaku K, Suwaid MA, Umar MU, Kabo NA, Shehi AA, Nura I and Idris G: Sonographic measurement of spleen dimensions in healthy adults in North-Western Nigeria. Niger J Basic Clin Sci. 13:30–35. 2016.

23 

Rosenberg HK, Markowitz RI, Kolberg H, Park C, Hubbad A and Bellah RD: Normal splenic size in infants and children: Sonographic measurements. Am J Roentgenol. 157:119–121. 1991.PubMed/NCBI View Article : Google Scholar

24 

Bezerra AS, D'Ippolito G, Faintuch S, Szejnfeld J and Ahmed M: Determination of splenomegaly by CT: Is there a place for a single measurement? AJR Am J Roentgenol. 184:1510–1513. 2005.PubMed/NCBI View Article : Google Scholar

25 

Poddar U and Jagadisan B: Measuring liver and spleen by ultrasonography. Indian Pediatr. 47:475–476. 2010.PubMed/NCBI View Article : Google Scholar

26 

Loftus WK, Chow LT and Metreweli C: Sonographic measurement of splenic length: Correlation with measurement at autopsy. J Clin Ultrasound. 27:71–74. 1999.PubMed/NCBI View Article : Google Scholar

27 

Hagen-Ansert SL: The spleen. In: Hagen-Ansert SL (ed). Textbook of Diagnostic Ultrasonography. 7th edition. Philadelphia, PA: Elsevier-Mosby, pp422-430, 2011.

28 

Frank K, Linhart P, Kortsik C and Wohlenberg H: Sonographic determination of spleen size: Normal dimensions in adults with a healthy spleen. Ultraschall Med. 7:134–137. 1986.PubMed/NCBI View Article : Google Scholar : (In German).

29 

Capaccioli L, Stecco A, Vanzi E and Brizzi E: Ultrasonographic study on the growth and dimensions of healthy children and adults organs. Int J Anat Embryol. 105:1–50. 2000.PubMed/NCBI

Related Articles

  • Abstract
  • View
  • Download
Copy and paste a formatted citation
Spandidos Publications style
Fateh SM, Mohammed NA, Mahmood KA, Hasan ΑH, Tahir SH, Kakamad FH, Salih AM, Abdullah HO, Abdalla BA, Mohammed SH, Mohammed SH, et al: Sonographic measurement of splenic size and its correlation with body parameters. Med Int 3: 7, 2023.
APA
Fateh, S.M., Mohammed, N.A., Mahmood, K.A., Hasan, Α.H., Tahir, S.H., Kakamad, F.H. ... Hussein, D.A. (2023). Sonographic measurement of splenic size and its correlation with body parameters. Medicine International, 3, 7. https://doi.org/10.3892/mi.2023.67
MLA
Fateh, S. M., Mohammed, N. A., Mahmood, K. A., Hasan, Α. H., Tahir, S. H., Kakamad, F. H., Salih, A. M., Abdullah, H. O., Abdalla, B. A., Mohammed, S. H., Hassan, H. A., Hussein, D. A."Sonographic measurement of splenic size and its correlation with body parameters". Medicine International 3.1 (2023): 7.
Chicago
Fateh, S. M., Mohammed, N. A., Mahmood, K. A., Hasan, Α. H., Tahir, S. H., Kakamad, F. H., Salih, A. M., Abdullah, H. O., Abdalla, B. A., Mohammed, S. H., Hassan, H. A., Hussein, D. A."Sonographic measurement of splenic size and its correlation with body parameters". Medicine International 3, no. 1 (2023): 7. https://doi.org/10.3892/mi.2023.67
Copy and paste a formatted citation
x
Spandidos Publications style
Fateh SM, Mohammed NA, Mahmood KA, Hasan ΑH, Tahir SH, Kakamad FH, Salih AM, Abdullah HO, Abdalla BA, Mohammed SH, Mohammed SH, et al: Sonographic measurement of splenic size and its correlation with body parameters. Med Int 3: 7, 2023.
APA
Fateh, S.M., Mohammed, N.A., Mahmood, K.A., Hasan, Α.H., Tahir, S.H., Kakamad, F.H. ... Hussein, D.A. (2023). Sonographic measurement of splenic size and its correlation with body parameters. Medicine International, 3, 7. https://doi.org/10.3892/mi.2023.67
MLA
Fateh, S. M., Mohammed, N. A., Mahmood, K. A., Hasan, Α. H., Tahir, S. H., Kakamad, F. H., Salih, A. M., Abdullah, H. O., Abdalla, B. A., Mohammed, S. H., Hassan, H. A., Hussein, D. A."Sonographic measurement of splenic size and its correlation with body parameters". Medicine International 3.1 (2023): 7.
Chicago
Fateh, S. M., Mohammed, N. A., Mahmood, K. A., Hasan, Α. H., Tahir, S. H., Kakamad, F. H., Salih, A. M., Abdullah, H. O., Abdalla, B. A., Mohammed, S. H., Hassan, H. A., Hussein, D. A."Sonographic measurement of splenic size and its correlation with body parameters". Medicine International 3, no. 1 (2023): 7. https://doi.org/10.3892/mi.2023.67
Follow us
  • Twitter
  • LinkedIn
  • Facebook
About
  • Spandidos Publications
  • Careers
  • Cookie Policy
  • Privacy Policy
How can we help?
  • Help
  • Live Chat
  • Contact
  • Email to our Support Team