Spandidos Publications Logo
  • About
    • About Spandidos
    • Aims and Scopes
    • Abstracting and Indexing
    • Editorial Policies
    • Reprints and Permissions
    • Job Opportunities
    • Terms and Conditions
    • Contact
  • Journals
    • All Journals
    • Oncology Letters
      • Oncology Letters
      • Information for Authors
      • Editorial Policies
      • Editorial Board
      • Aims and Scope
      • Abstracting and Indexing
      • Bibliographic Information
      • Archive
    • International Journal of Oncology
      • International Journal of Oncology
      • Information for Authors
      • Editorial Policies
      • Editorial Board
      • Aims and Scope
      • Abstracting and Indexing
      • Bibliographic Information
      • Archive
    • Molecular and Clinical Oncology
      • Molecular and Clinical Oncology
      • Information for Authors
      • Editorial Policies
      • Editorial Board
      • Aims and Scope
      • Abstracting and Indexing
      • Bibliographic Information
      • Archive
    • Experimental and Therapeutic Medicine
      • Experimental and Therapeutic Medicine
      • Information for Authors
      • Editorial Policies
      • Editorial Board
      • Aims and Scope
      • Abstracting and Indexing
      • Bibliographic Information
      • Archive
    • International Journal of Molecular Medicine
      • International Journal of Molecular Medicine
      • Information for Authors
      • Editorial Policies
      • Editorial Board
      • Aims and Scope
      • Abstracting and Indexing
      • Bibliographic Information
      • Archive
    • Biomedical Reports
      • Biomedical Reports
      • Information for Authors
      • Editorial Policies
      • Editorial Board
      • Aims and Scope
      • Abstracting and Indexing
      • Bibliographic Information
      • Archive
    • Oncology Reports
      • Oncology Reports
      • Information for Authors
      • Editorial Policies
      • Editorial Board
      • Aims and Scope
      • Abstracting and Indexing
      • Bibliographic Information
      • Archive
    • Molecular Medicine Reports
      • Molecular Medicine Reports
      • Information for Authors
      • Editorial Policies
      • Editorial Board
      • Aims and Scope
      • Abstracting and Indexing
      • Bibliographic Information
      • Archive
    • World Academy of Sciences Journal
      • World Academy of Sciences Journal
      • Information for Authors
      • Editorial Policies
      • Editorial Board
      • Aims and Scope
      • Abstracting and Indexing
      • Bibliographic Information
      • Archive
    • International Journal of Functional Nutrition
      • International Journal of Functional Nutrition
      • Information for Authors
      • Editorial Policies
      • Editorial Board
      • Aims and Scope
      • Abstracting and Indexing
      • Bibliographic Information
      • Archive
    • International Journal of Epigenetics
      • International Journal of Epigenetics
      • Information for Authors
      • Editorial Policies
      • Editorial Board
      • Aims and Scope
      • Abstracting and Indexing
      • Bibliographic Information
      • Archive
    • Medicine International
      • Medicine International
      • Information for Authors
      • Editorial Policies
      • Editorial Board
      • Aims and Scope
      • Abstracting and Indexing
      • Bibliographic Information
      • Archive
  • Articles
  • Information
    • Information for Authors
    • Information for Reviewers
    • Information for Librarians
    • Information for Advertisers
    • Conferences
  • Language Editing
Spandidos Publications Logo
  • About
    • About Spandidos
    • Aims and Scopes
    • Abstracting and Indexing
    • Editorial Policies
    • Reprints and Permissions
    • Job Opportunities
    • Terms and Conditions
    • Contact
  • Journals
    • All Journals
    • Biomedical Reports
      • Information for Authors
      • Editorial Policies
      • Editorial Board
      • Aims and Scope
      • Abstracting and Indexing
      • Bibliographic Information
      • Archive
    • Experimental and Therapeutic Medicine
      • Information for Authors
      • Editorial Policies
      • Editorial Board
      • Aims and Scope
      • Abstracting and Indexing
      • Bibliographic Information
      • Archive
    • International Journal of Epigenetics
      • Information for Authors
      • Editorial Policies
      • Editorial Board
      • Aims and Scope
      • Abstracting and Indexing
      • Bibliographic Information
      • Archive
    • International Journal of Functional Nutrition
      • Information for Authors
      • Editorial Policies
      • Editorial Board
      • Aims and Scope
      • Abstracting and Indexing
      • Bibliographic Information
      • Archive
    • International Journal of Molecular Medicine
      • Information for Authors
      • Editorial Policies
      • Editorial Board
      • Aims and Scope
      • Abstracting and Indexing
      • Bibliographic Information
      • Archive
    • International Journal of Oncology
      • Information for Authors
      • Editorial Policies
      • Editorial Board
      • Aims and Scope
      • Abstracting and Indexing
      • Bibliographic Information
      • Archive
    • Medicine International
      • Information for Authors
      • Editorial Policies
      • Editorial Board
      • Aims and Scope
      • Abstracting and Indexing
      • Bibliographic Information
      • Archive
    • Molecular and Clinical Oncology
      • Information for Authors
      • Editorial Policies
      • Editorial Board
      • Aims and Scope
      • Abstracting and Indexing
      • Bibliographic Information
      • Archive
    • Molecular Medicine Reports
      • Information for Authors
      • Editorial Policies
      • Editorial Board
      • Aims and Scope
      • Abstracting and Indexing
      • Bibliographic Information
      • Archive
    • Oncology Letters
      • Information for Authors
      • Editorial Policies
      • Editorial Board
      • Aims and Scope
      • Abstracting and Indexing
      • Bibliographic Information
      • Archive
    • Oncology Reports
      • Information for Authors
      • Editorial Policies
      • Editorial Board
      • Aims and Scope
      • Abstracting and Indexing
      • Bibliographic Information
      • Archive
    • World Academy of Sciences Journal
      • Information for Authors
      • Editorial Policies
      • Editorial Board
      • Aims and Scope
      • Abstracting and Indexing
      • Bibliographic Information
      • Archive
  • Articles
  • Information
    • For Authors
    • For Reviewers
    • For Librarians
    • For Advertisers
    • Conferences
  • Language Editing
Login Register Submit
  • This site uses cookies
  • You can change your cookie settings at any time by following the instructions in our Cookie Policy. To find out more, you may read our Privacy Policy.

    I agree
Search articles by DOI, keyword, author or affiliation
Search
Advanced Search
presentation
Medicine International
Join Editorial Board Propose a Special Issue
Print ISSN: 2754-3242 Online ISSN: 2754-1304
Journal Cover
March-April 2024 Volume 4 Issue 2

Full Size Image

Sign up for eToc alerts
Recommend to Library

Journals

International Journal of Molecular Medicine

International Journal of Molecular Medicine

International Journal of Molecular Medicine is an international journal devoted to molecular mechanisms of human disease.

International Journal of Oncology

International Journal of Oncology

International Journal of Oncology is an international journal devoted to oncology research and cancer treatment.

Molecular Medicine Reports

Molecular Medicine Reports

Covers molecular medicine topics such as pharmacology, pathology, genetics, neuroscience, infectious diseases, molecular cardiology, and molecular surgery.

Oncology Reports

Oncology Reports

Oncology Reports is an international journal devoted to fundamental and applied research in Oncology.

Experimental and Therapeutic Medicine

Experimental and Therapeutic Medicine

Experimental and Therapeutic Medicine is an international journal devoted to laboratory and clinical medicine.

Oncology Letters

Oncology Letters

Oncology Letters is an international journal devoted to Experimental and Clinical Oncology.

Biomedical Reports

Biomedical Reports

Explores a wide range of biological and medical fields, including pharmacology, genetics, microbiology, neuroscience, and molecular cardiology.

Molecular and Clinical Oncology

Molecular and Clinical Oncology

International journal addressing all aspects of oncology research, from tumorigenesis and oncogenes to chemotherapy and metastasis.

World Academy of Sciences Journal

World Academy of Sciences Journal

Multidisciplinary open-access journal spanning biochemistry, genetics, neuroscience, environmental health, and synthetic biology.

International Journal of Functional Nutrition

International Journal of Functional Nutrition

Open-access journal combining biochemistry, pharmacology, immunology, and genetics to advance health through functional nutrition.

International Journal of Epigenetics

International Journal of Epigenetics

Publishes open-access research on using epigenetics to advance understanding and treatment of human disease.

Medicine International

Medicine International

An International Open Access Journal Devoted to General Medicine.

Journal Cover
March-April 2024 Volume 4 Issue 2

Full Size Image

Sign up for eToc alerts
Recommend to Library

  • Article
  • Citations
    • Cite This Article
    • Download Citation
    • Create Citation Alert
    • Remove Citation Alert
    • Cited By
  • Similar Articles
    • Related Articles (in Spandidos Publications)
    • Similar Articles (Google Scholar)
    • Similar Articles (PubMed)
  • Download PDF
  • Download XML
  • View XML
Case Report Open Access

Isolated pseudo‑abducens palsy and contralateral occipital headache with thalamic stroke: A case report and mini‑review of the literature

  • Authors:
    • Jamir Pitton Rissardo
    • Hossam Tharwat Ali
    • Asad Riaz
    • Ana Leticia Fornari Caprara
  • View Affiliations / Copyright

    Affiliations: Department of Neurology, Cooper University Hospital, Camden, NJ 08103, USA, Qena Faculty of Medicine, South Valley University, Qena, Qena Governorate 83621, Egypt, Ayub Teaching Hospital, Islamabad, Islamabad Capital Territory 44000, Pakistan, Department of Medicine, Federal University of Santa Maria, Santa Maria, RS 97105-900, Brazil
    Copyright: © Pitton Rissardo et al. This is an open access article distributed under the terms of Creative Commons Attribution License [CC BY 4.0].
  • Article Number: 18
    |
    Published online on: February 22, 2024
       https://doi.org/10.3892/mi.2024.142
  • Expand metrics +
Metrics: Total Views: 0 (Spandidos Publications: | PMC Statistics: )
Metrics: Total PDF Downloads: 0 (Spandidos Publications: | PMC Statistics: )
Cited By (CrossRef): 0 citations Loading Articles...

This article is mentioned in:



Abstract

The abducens nerve (sixth cranial nerve) is essential for lateral eye movement, and its malfunction can cause a variety of issues with vision. Pseudo‑abducens palsy is a rare neurological condition that causes a limitation in eye abduction, while the abducens nerve is still functioning. Thalamic pain syndrome, a severe complication of cerebrovascular events, presents as intense neuropathic pain provoked by temperature fluctuations. Although thalamic strokes are infrequently associated with ocular abnormalities, some studies suggest an association between isolated pseudo‑abducens palsy and thalamic infarctions. The present study describes the case of a 38‑year‑old male patient with 1‑day progressive diplopia and occipital headache who had abducens palsy on the left side as a result of a right thalamic infarction. The patient had a 10‑year history of smoking and a 1‑year history of hypertension, which was poorly controlled. The diagnosis was supported by a neurological examination, imaging and stroke etiology investigations. The patient recovered well within 5 days, highlighting the good prognosis of an acute thalamic presentation. In addition, a mini‑review of the literature was performed and two similar reports were identified upon searching the literature using the Embase, Google Scholar, Lilacs, Medline, SciELO and ScienceDirect databases. On the whole, the present study demonstrates that understanding the complex neuronal connections inside the thalamus is critical for a proper diagnosis and appropriate intervention strategies in patients with thalamic stroke with oculomotor impairments. Further research is required to elucidate the underlying causes and develop treatment techniques for thalamic infarction consequences.

Introduction

Cerebrovascular accidents (CVAs) constitute a major cause of morbidity and mortality worldwide. There are >700,000 cases of CVAs in the United States annually (1). The thalamus, which is involved in numerous brain functions, including memory, emotions, the processing of sensory inputs and sensorimotor functions, can be involved in CVAs, either alone, or with infarcts in other brain structures (2,3). Thalamic pain syndrome is an adverse occurrence following of a CVA that is concentrated neuropathic pain triggered by temperature fluctuations. Patients frequently experience hyperalgesia and allodynia. Following a CVA, the onset of a patient's symptoms is frequently delayed. A patient with a thalamic CVA may not experience substantial discomfort for months or years following the stroke. The thalamic pain syndrome is a form of central post-stroke pain in all situations (1).

As reported in the study by Cambier (4), Dejerine and Roussy first described the classic thalamic syndrome in 1906. Following their description, a number of modifications and other clinical manifestations related to the thalamus were included. In this manner, ocular movement abnormalities, which are uncommonly associated with thalamic strokes, were already associated with the impairment of vertical gaze with or without affecting the sixth cranial nerve (5). The abducens nerve (sixth cranial nerve) innervates the ipsilateral lateral rectus muscle and is thus involved in the abduction or lateral movement of the eye. Abduction palsy causes double vision and horizontal binocularity, and worsens when looking to the same side of the lesion (6). Pseudo-abducens palsy is a neurological limitation of abduction when the abducens nerve is intact. This rare condition may be observed when spontaneous eye movements exhibit an impaired lateral gaze, although the vestibulo-ocular reflex (VOR) exhibits complete abduction (7).

Isolated pseudo-abducens palsy secondary to thalamic stroke was rarely reported in the literature. Only two case reports of the individuals with infarction of the thalamus presenting with isolated sixth cranial nerve palsy have been described to date, at least to the best of our knowledge (8,9). The present study describes the case of a middle-aged male patient who presented with 1-day progressive diplopia and occipital headache who had abducens palsy on the left side as a result of a right thalamic infarction.

Case report

A 38-year-old right-handed male presenting with diplopia was admitted to University Hospital of Santa Maria (Santa Maria, Brazil). The individual reported that this clinical manifestation began within 1 day and progressively worsened. He also complained of a new-onset mild occipital headache on the right side unrelated to eye movements or photo- and phonophobia. He was a construction worker, and there was no history of neurological diseases in his family. The patient had a history of smoking for years and 1 year of hypertension, for which the patient was not compliant with the medications.

The subject was fully conscious, and oriented to time and place. The neurological examination revealed left abducens palsy with intact bilateral vertical and right horizontal to voluntary movements. In addition, the diplopia was more prominent when the patient looked toward the left side. Monocular horizontal ductions exhibited the same abduction limitation as when viewing with both eyes. The oculocephalic reflex was normal. Palpebral oculogyric reflex was normal. Myosis, ptosis, nystagmus and skew deviation were not present. Muscle strength was normal, graded as five [Medical Research Council Muscle Power Scale (10)] all over the four extremities. Deep tendon reflexes were normal. A sensory examination yielded normal results and the rest of the cranial nerves were intact. There were no cerebellar signs. The remaining physical examination was normal.

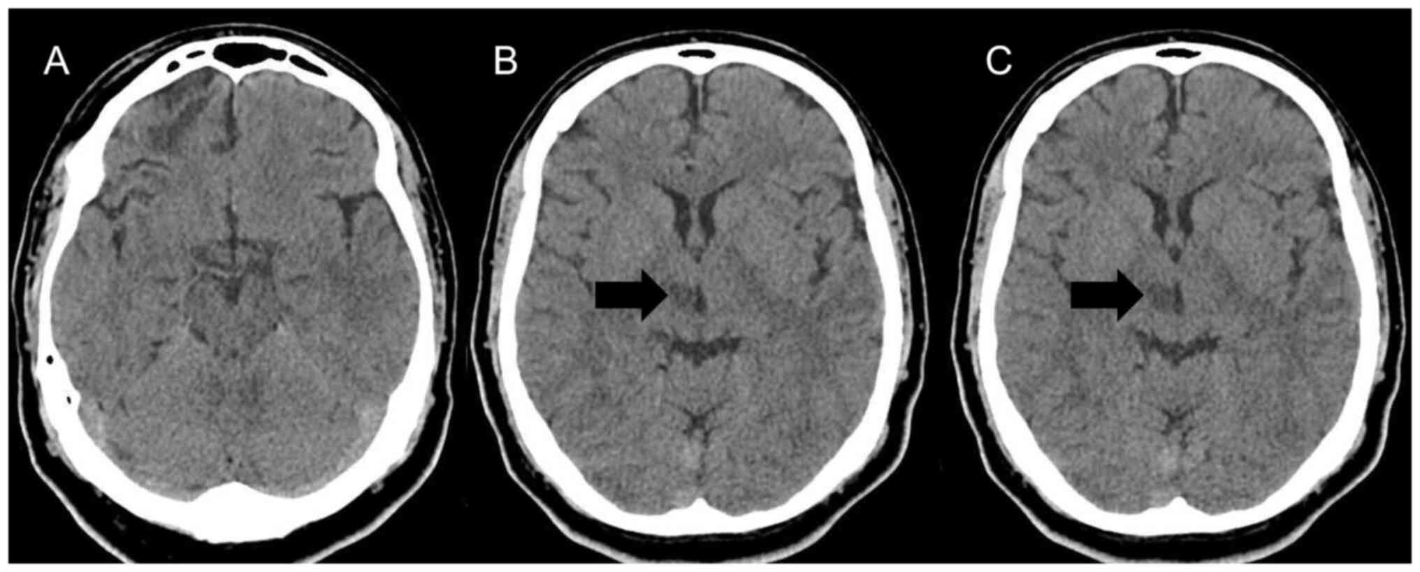
Laboratory tests, including a complete blood count, platelet count, prothrombin time, partial thromboplastin time, serum lipids and inflammatory test results were within normal limits; an investigation for hypercoagulable disorders yielded negative results. A cranial computed tomography (CT) scan revealed a right thalamic infarction (Fig. 1). A brain magnetic resonance imaging (MRI) demonstrated a lesion of 1.2x1 cm in size (data not shown; image not available), limited to the thalamus, which was hyperintense on T2-weighted and fluid-attenuated inversion recovery, consistent with acute ischemic infarct without affecting the subthalamic or midbrain area. Cerebrospinal fluid analysis and culture yielded normal findings.

Figure 1

Neuroimaging illustrating thalamic infarction (arrow). (A) Level of the lower midbrain, (B) level of the upper midbrain, and (C) level of the lower basal ganglia images of an axial cranial computed tomography scan.

Upon a stroke etiology investigation, cardiac monitoring throughout his admission was normal. A transthoracic echocardiography revealed mild left ventricle hypertrophy with a normal ejection fraction (56%), left segmental contraction and valves. A CT angiography of the head and neck yielded normal findings. The patient was managed in the stroke unit of the hospital and on day 5 of admission, the patient fully recovered his eye movements and was discharged.

Discussion

The thalamus is a diencephalic grey matter structure whose circuits represent a gateway for input and output, in which nuclei integrate sensory, motor and behavioral signals of the cerebral cortex with other pathways (4). This complex structure is supplied by four arteries, three derived from the vertebrobasilar system (paramedian thalamic-subthalamic, thalamogeniculate and posterior choroidal arteries) and one derived from the posterior communicating artery (polar artery) (3). Therefore, thalamic lesions can present as a number of syndromes depending on the compromised vascular territory.

Infarctions of the thalamus correspond to ~3% of all ischemic stroke cases (3). Notably, thalamic strokes constitute 20-33% of post-stroke centralized pain cases (1). Moreover, when the stroke is specifically analyzed in the diencephalon, abnormalities in vertical or horizontal eye movements following ischemia in this region are only observed in 5% individuals. In this manner, ocular abnormalities are rarely reported in thalamic strokes (5).

In 1959, Fisher (11) were the first to characterize the term ‘sixth nerve pseudopalsy’, which was described as a paralysis of the voluntary ocular abduction that could be overcome by ice water caloric stimulation. Following that study, numerous reports with pure thalamic lesions have demonstrated oculomotor defects associated with thalamic infarctions. These ocular manifestations include the ocular tilt reaction, skew deviation, supranuclear third cranial nerve palsy and upward gaze palsy (5,8). Furthermore, experimental studies with provoked lesions in the thalamus of models support the hypothesis that the thalamus may be involved in oculomotor control (12).

To date, at least to the best of our knowledge, only a few cases of patients with thalamic infarctions who developed isolated pseudo-abducens palsy have been reported in the literature. In the present study, after performing a thorough review of the literature published in the English language, two cases were identified and these were compared with the present case (Table I) (8,9). A literature search was performed in Embase, Google Scholar, Lilacs, Medline, Scielo and ScienceDirect, using a set of terms that included the thalamus, thalamic stroke, stroke, and abducens palsy.

Table I

Case reports of individuals who developed isolated pseudo-abducens palsy secondary to a thalamic stroke.

Table I

Case reports of individuals who developed isolated pseudo-abducens palsy secondary to a thalamic stroke.

 Study
ParameterWiest et al (9)Ghasemi et al (8)Present study
Age, years/sex57/M31/M38/M
Initial clinical symptomsComa, pneumonia12 h of horizontal diplopia associated with unsteady and contralateral occipital headache24 h of horizontal diplopia with contralateral occipital headache
Comorbidities, medications in use, and risk factors for cerebrovascular diseasesNoneSmokingSmoking, hypertension
Key findings in the neurological examinationBilateral abducens palsyRight abducens palsyLeft abducens palsy
Neuroimaging requestedMRIMRICT scan, MRI
Lesion siteBilateral thalamusLeft thalamusRight thalamus
MRA and CTANRNormalNormal
Stroke etiologyNREmbolic stroke of undetermined sourceLacunar infarct probably secondary to hypertension
Time since clinical presentation and recovery (days)NRThreeFive

[i] CT, computed tomography scan; M, male; MRI, magnetic resonance imaging; NR, not reported; MRA, magnetic resonance angiography; CTA, computed tomography angiography.

In the cases presented in Table I, the majority of patients exhibited some notable characteristics. First, their presentation included horizontal diplopia and contralateral headache. Headaches are common in individuals with stroke, and are more common when the infarction is in the thalamus (13). Secondly, the ocular finding contralateral to the stroke supports the hypothesis presented in the study by Wiest et al (9), who proposed that the oculomotor features could occur secondary to an interruption of the inhibitory convergence pathway that goes through the paramedian thalamus and probably decussates in the subthalamic region (Fig. 2) (8,9). Another key finding was the good prognosis of this acute thalamic presentation from the time from admission to full recovery only required a few days.

Figure 2

Schematic diagram illustrating the possible mechanisms of the isolated thalamic infarction causing pseudo-abducens palsy. First, the inhibitory convergence pathway begins in the frontal and supplementary eye field in the motor cortex. Second, the pathway passes through the thalamus and decussates in the subthalamic region. Third, the inhibitory convergence pathway possibly controls the third cranial nerve nucleus localized in the midbrain. 3rd CNN, third cranial nerve nucleus.

The paramedian thalamic-subthalamic artery is the second most common vascular territory of the thalamus to be affected by stroke, which is associated with pure motor abnormalities along with third cranial nerve involvement and vertical gaze abnormalities (3). In this manner, the nuclei in this vascular territory are probably connected with the frontal and supplementary eye field in the motor cortex (12). Thus, as previously demonstrated, individuals with an isolated stroke of the thalamus who present with oculomotor deficits probably have lesions in the intralaminar and dorsomedial nuclei (8,12).

Vasculopathy and non-vasculopathy risk factors exist for abducens nerve palsy in adults. Diabetes and other medical disorders are among the top prevalent vasculopathy risk factors in elderly adults. However, non-vasculopathy reasons, which can affect both adults and children, may include a variety of elements such as trauma, inflammation, or compression (5).

The onset of pseudo-abducens palsy is markedly influenced by lesions in the vicinity of the midbrain-diencephalic junction. Both convergence-retraction nystagmus and pseudo-abducens palsy are most likely signs of aberrant vergence activation. The thalamus may be the passageway for inhibitory descending processes that terminate in the subthalamic area (14). It is noteworthy that horizontal diplopia resulting from an isolated abducens (sixth) nerve palsy can also manifest as the first sign of multiple sclerosis; thus, this should also be kept as a differential diagnosis (15). Numerous conditions can present similarly to the thalamic pain syndrome including chronic pain syndrome, idiopathic peripheral neuropathy, multiple sclerosis, brain space-occupying lesions and lateral medullary infarction. However, thorough history and physical examination are essential to deem these diagnoses less likely (1,2).

In conclusion, the present study describes the case of a middle-aged male patient with unilateral pseudo-abducens palsy and contralateral headache as manifestations of acute thalamic stroke. The present case report suggests that thalamic infarctions should be listed as a probable cause of pseudo-abducens palsy. Moreover, patients presenting with acute thalamic syndrome probably have a good prognosis. The case study highlights the need for an in-depth understanding of the complex neural pathways within the thalamus, as well as the various clinical outcomes that can occur following a thalamus infarction. Further investigations are necessary in order to better understand the underlying mechanisms and to optimize treatment approaches for patients presenting with similar complications associated with thalamic strokes.

Acknowledgements

Not applicable.

Funding

Funding: No funding was received.

Availability of data and materials

The datasets used and/or analyzed during the current study are available from the corresponding author on reasonable request.

Authors' contributions

JPR was a main contributor to the conception of the study, as well as to the literature search for related studies. HTA, AR and ALFC were involved in the literature review, in the writing of the manuscript, and in the analysis and interpretation of the patient's data. JPR and ALFC confirm the authenticity of all the raw data. All authors have read and approved the final manuscript.

Ethics approval and consent for participation

The present study was performed in accordance with the ethical standards of the Declaration of Helsinki, 1964. Informed consent was obtained from the patient for inclusion in the study. Ethics approval was waived by the local committee as no personal data were used.

Patient consent for publication

Written informed consent was obtained from the patient for the publication of the present case report and any related images.

Competing interests

The authors declare that they have no competing interests.

References

1 

Dydyk AM and Munakomi S: Thalamic pain syndrome. In: StatPearls. StatPearls Publishing, Treasure Island (FL), 2023.

2 

Chen XY, Wang Q, Wang X and Wong KS: Clinical features of thalamic stroke. Curr Treat Options Neurol. 19(5)2017.PubMed/NCBI View Article : Google Scholar

3 

Schmahmann JD: Vascular syndromes of the thalamus. Stroke. 34:2264–2278. 2003.PubMed/NCBI View Article : Google Scholar

4 

Cambier J: Dejerine-Roussy syndrome. Rev Neurol (Paris). 138:979–988. 1982.PubMed/NCBI(In French).

5 

Pullicino P, Lincoff N and Truax BT: Abnormal vergence with upper brainstem infarcts: Pseudoabducens palsy. Neurology. 55:352–358. 2000.PubMed/NCBI View Article : Google Scholar

6 

Thomas C and Dawood S: Cranial nerve VI palsy (Abducens nerve). Dis Mon. 67(101133)2021.PubMed/NCBI View Article : Google Scholar

7 

Reid MS, DePoe SA, Darner RL, Reid JP and Slagle WS: Clinical presentation of pseudo-abducens palsy. Optom Vis Sci. 92:S76–S80. 2015.PubMed/NCBI View Article : Google Scholar

8 

Ghasemi M, Riaz N, Bjornsdottir A and Paydarfar D: Isolated pseudoabducens palsy in acute thalamic stroke. Clin Imaging. 43:28–31. 2017.PubMed/NCBI View Article : Google Scholar

9 

Wiest G, Mallek R and Baumgartner C: Selective loss of vergence control secondary to bilateral paramedian thalamic infarction. Neurology. 54:1997–1999. 2000.PubMed/NCBI View Article : Google Scholar

10 

Vanhoutte EK, Faber CG, Van Nes SI, Jacobs BC, van Doorn PA, van Koningsveld R, Cornblath DR, van der Kooi AJ, Cats EA, van den Berg LH, et al: Modifying the medical research council grading system through Rasch analyses. Brain. 135:1639–1649. 2012.PubMed/NCBI View Article : Google Scholar

11 

Fisher CM: The pathologic and clinical aspects of thalamic hemorrhage. Trans Am Neurol Assoc. 84:56–59. 1959.PubMed/NCBI

12 

Leichnetz GR: The prefrontal cortico-oculomotor trajectories in the monkey. J Neurol Sci. 49:387–396. 1981.PubMed/NCBI View Article : Google Scholar

13 

Vestergaard K, Andersen G, Nielsen MI and Jensen TS: Headache in stroke. Stroke. 24:1621–1624. 1993.PubMed/NCBI View Article : Google Scholar

14 

Graham C, Gurnani B and Mohseni M: Abducens Nerve Palsy. In: StatPearls. StatPearls Publishing, Treasure Island (FL), 2023.

15 

Sundaram AN and Gelkopf MJ: Abducens Nerve Palsy as a presenting symptom of multiple Sclerosis. Turk J Ophthalmol. 52:291–294. 2022.PubMed/NCBI View Article : Google Scholar

Related Articles

  • Abstract
  • View
  • Download
Copy and paste a formatted citation
Spandidos Publications style
Pitton Rissardo J, Ali HT, Riaz A and Fornari Caprara AL: Isolated pseudo‑abducens palsy and contralateral occipital headache with thalamic stroke: A case report and mini‑review of the literature. Med Int 4: 18, 2024.
APA
Pitton Rissardo, J., Ali, H.T., Riaz, A., & Fornari Caprara, A.L. (2024). Isolated pseudo‑abducens palsy and contralateral occipital headache with thalamic stroke: A case report and mini‑review of the literature. Medicine International, 4, 18. https://doi.org/10.3892/mi.2024.142
MLA
Pitton Rissardo, J., Ali, H. T., Riaz, A., Fornari Caprara, A. L."Isolated pseudo‑abducens palsy and contralateral occipital headache with thalamic stroke: A case report and mini‑review of the literature". Medicine International 4.2 (2024): 18.
Chicago
Pitton Rissardo, J., Ali, H. T., Riaz, A., Fornari Caprara, A. L."Isolated pseudo‑abducens palsy and contralateral occipital headache with thalamic stroke: A case report and mini‑review of the literature". Medicine International 4, no. 2 (2024): 18. https://doi.org/10.3892/mi.2024.142
Copy and paste a formatted citation
x
Spandidos Publications style
Pitton Rissardo J, Ali HT, Riaz A and Fornari Caprara AL: Isolated pseudo‑abducens palsy and contralateral occipital headache with thalamic stroke: A case report and mini‑review of the literature. Med Int 4: 18, 2024.
APA
Pitton Rissardo, J., Ali, H.T., Riaz, A., & Fornari Caprara, A.L. (2024). Isolated pseudo‑abducens palsy and contralateral occipital headache with thalamic stroke: A case report and mini‑review of the literature. Medicine International, 4, 18. https://doi.org/10.3892/mi.2024.142
MLA
Pitton Rissardo, J., Ali, H. T., Riaz, A., Fornari Caprara, A. L."Isolated pseudo‑abducens palsy and contralateral occipital headache with thalamic stroke: A case report and mini‑review of the literature". Medicine International 4.2 (2024): 18.
Chicago
Pitton Rissardo, J., Ali, H. T., Riaz, A., Fornari Caprara, A. L."Isolated pseudo‑abducens palsy and contralateral occipital headache with thalamic stroke: A case report and mini‑review of the literature". Medicine International 4, no. 2 (2024): 18. https://doi.org/10.3892/mi.2024.142
Follow us
  • Twitter
  • LinkedIn
  • Facebook
About
  • Spandidos Publications
  • Careers
  • Cookie Policy
  • Privacy Policy
How can we help?
  • Help
  • Live Chat
  • Contact
  • Email to our Support Team