Spandidos Publications Logo
  • About
    • About Spandidos
    • Aims and Scopes
    • Abstracting and Indexing
    • Editorial Policies
    • Reprints and Permissions
    • Job Opportunities
    • Terms and Conditions
    • Contact
  • Journals
    • All Journals
    • Oncology Letters
      • Oncology Letters
      • Information for Authors
      • Editorial Policies
      • Editorial Board
      • Aims and Scope
      • Abstracting and Indexing
      • Bibliographic Information
      • Archive
    • International Journal of Oncology
      • International Journal of Oncology
      • Information for Authors
      • Editorial Policies
      • Editorial Board
      • Aims and Scope
      • Abstracting and Indexing
      • Bibliographic Information
      • Archive
    • Molecular and Clinical Oncology
      • Molecular and Clinical Oncology
      • Information for Authors
      • Editorial Policies
      • Editorial Board
      • Aims and Scope
      • Abstracting and Indexing
      • Bibliographic Information
      • Archive
    • Experimental and Therapeutic Medicine
      • Experimental and Therapeutic Medicine
      • Information for Authors
      • Editorial Policies
      • Editorial Board
      • Aims and Scope
      • Abstracting and Indexing
      • Bibliographic Information
      • Archive
    • International Journal of Molecular Medicine
      • International Journal of Molecular Medicine
      • Information for Authors
      • Editorial Policies
      • Editorial Board
      • Aims and Scope
      • Abstracting and Indexing
      • Bibliographic Information
      • Archive
    • Biomedical Reports
      • Biomedical Reports
      • Information for Authors
      • Editorial Policies
      • Editorial Board
      • Aims and Scope
      • Abstracting and Indexing
      • Bibliographic Information
      • Archive
    • Oncology Reports
      • Oncology Reports
      • Information for Authors
      • Editorial Policies
      • Editorial Board
      • Aims and Scope
      • Abstracting and Indexing
      • Bibliographic Information
      • Archive
    • Molecular Medicine Reports
      • Molecular Medicine Reports
      • Information for Authors
      • Editorial Policies
      • Editorial Board
      • Aims and Scope
      • Abstracting and Indexing
      • Bibliographic Information
      • Archive
    • World Academy of Sciences Journal
      • World Academy of Sciences Journal
      • Information for Authors
      • Editorial Policies
      • Editorial Board
      • Aims and Scope
      • Abstracting and Indexing
      • Bibliographic Information
      • Archive
    • International Journal of Functional Nutrition
      • International Journal of Functional Nutrition
      • Information for Authors
      • Editorial Policies
      • Editorial Board
      • Aims and Scope
      • Abstracting and Indexing
      • Bibliographic Information
      • Archive
    • International Journal of Epigenetics
      • International Journal of Epigenetics
      • Information for Authors
      • Editorial Policies
      • Editorial Board
      • Aims and Scope
      • Abstracting and Indexing
      • Bibliographic Information
      • Archive
    • Medicine International
      • Medicine International
      • Information for Authors
      • Editorial Policies
      • Editorial Board
      • Aims and Scope
      • Abstracting and Indexing
      • Bibliographic Information
      • Archive
  • Articles
  • Information
    • Information for Authors
    • Information for Reviewers
    • Information for Librarians
    • Information for Advertisers
    • Conferences
  • Language Editing
Spandidos Publications Logo
  • About
    • About Spandidos
    • Aims and Scopes
    • Abstracting and Indexing
    • Editorial Policies
    • Reprints and Permissions
    • Job Opportunities
    • Terms and Conditions
    • Contact
  • Journals
    • All Journals
    • Biomedical Reports
      • Information for Authors
      • Editorial Policies
      • Editorial Board
      • Aims and Scope
      • Abstracting and Indexing
      • Bibliographic Information
      • Archive
    • Experimental and Therapeutic Medicine
      • Information for Authors
      • Editorial Policies
      • Editorial Board
      • Aims and Scope
      • Abstracting and Indexing
      • Bibliographic Information
      • Archive
    • International Journal of Epigenetics
      • Information for Authors
      • Editorial Policies
      • Editorial Board
      • Aims and Scope
      • Abstracting and Indexing
      • Bibliographic Information
      • Archive
    • International Journal of Functional Nutrition
      • Information for Authors
      • Editorial Policies
      • Editorial Board
      • Aims and Scope
      • Abstracting and Indexing
      • Bibliographic Information
      • Archive
    • International Journal of Molecular Medicine
      • Information for Authors
      • Editorial Policies
      • Editorial Board
      • Aims and Scope
      • Abstracting and Indexing
      • Bibliographic Information
      • Archive
    • International Journal of Oncology
      • Information for Authors
      • Editorial Policies
      • Editorial Board
      • Aims and Scope
      • Abstracting and Indexing
      • Bibliographic Information
      • Archive
    • Medicine International
      • Information for Authors
      • Editorial Policies
      • Editorial Board
      • Aims and Scope
      • Abstracting and Indexing
      • Bibliographic Information
      • Archive
    • Molecular and Clinical Oncology
      • Information for Authors
      • Editorial Policies
      • Editorial Board
      • Aims and Scope
      • Abstracting and Indexing
      • Bibliographic Information
      • Archive
    • Molecular Medicine Reports
      • Information for Authors
      • Editorial Policies
      • Editorial Board
      • Aims and Scope
      • Abstracting and Indexing
      • Bibliographic Information
      • Archive
    • Oncology Letters
      • Information for Authors
      • Editorial Policies
      • Editorial Board
      • Aims and Scope
      • Abstracting and Indexing
      • Bibliographic Information
      • Archive
    • Oncology Reports
      • Information for Authors
      • Editorial Policies
      • Editorial Board
      • Aims and Scope
      • Abstracting and Indexing
      • Bibliographic Information
      • Archive
    • World Academy of Sciences Journal
      • Information for Authors
      • Editorial Policies
      • Editorial Board
      • Aims and Scope
      • Abstracting and Indexing
      • Bibliographic Information
      • Archive
  • Articles
  • Information
    • For Authors
    • For Reviewers
    • For Librarians
    • For Advertisers
    • Conferences
  • Language Editing
Login Register Submit
  • This site uses cookies
  • You can change your cookie settings at any time by following the instructions in our Cookie Policy. To find out more, you may read our Privacy Policy.

    I agree
Search articles by DOI, keyword, author or affiliation
Search
Advanced Search
presentation
Medicine International
Join Editorial Board Propose a Special Issue
Print ISSN: 2754-3242 Online ISSN: 2754-1304
Journal Cover
July-August 2024 Volume 4 Issue 4

Full Size Image

Sign up for eToc alerts
Recommend to Library

Journals

International Journal of Molecular Medicine

International Journal of Molecular Medicine

International Journal of Molecular Medicine is an international journal devoted to molecular mechanisms of human disease.

International Journal of Oncology

International Journal of Oncology

International Journal of Oncology is an international journal devoted to oncology research and cancer treatment.

Molecular Medicine Reports

Molecular Medicine Reports

Covers molecular medicine topics such as pharmacology, pathology, genetics, neuroscience, infectious diseases, molecular cardiology, and molecular surgery.

Oncology Reports

Oncology Reports

Oncology Reports is an international journal devoted to fundamental and applied research in Oncology.

Experimental and Therapeutic Medicine

Experimental and Therapeutic Medicine

Experimental and Therapeutic Medicine is an international journal devoted to laboratory and clinical medicine.

Oncology Letters

Oncology Letters

Oncology Letters is an international journal devoted to Experimental and Clinical Oncology.

Biomedical Reports

Biomedical Reports

Explores a wide range of biological and medical fields, including pharmacology, genetics, microbiology, neuroscience, and molecular cardiology.

Molecular and Clinical Oncology

Molecular and Clinical Oncology

International journal addressing all aspects of oncology research, from tumorigenesis and oncogenes to chemotherapy and metastasis.

World Academy of Sciences Journal

World Academy of Sciences Journal

Multidisciplinary open-access journal spanning biochemistry, genetics, neuroscience, environmental health, and synthetic biology.

International Journal of Functional Nutrition

International Journal of Functional Nutrition

Open-access journal combining biochemistry, pharmacology, immunology, and genetics to advance health through functional nutrition.

International Journal of Epigenetics

International Journal of Epigenetics

Publishes open-access research on using epigenetics to advance understanding and treatment of human disease.

Medicine International

Medicine International

An International Open Access Journal Devoted to General Medicine.

Journal Cover
July-August 2024 Volume 4 Issue 4

Full Size Image

Sign up for eToc alerts
Recommend to Library

  • Article
  • Citations
    • Cite This Article
    • Download Citation
    • Create Citation Alert
    • Remove Citation Alert
    • Cited By
  • Similar Articles
    • Related Articles (in Spandidos Publications)
    • Similar Articles (Google Scholar)
    • Similar Articles (PubMed)
  • Download PDF
  • Download XML
  • View XML
Article Open Access

Bone graft absorption complication following cranioplasty: A retrospective institutional study

  • Authors:
    • Charalampos Gatos
    • George Fotakopoulos
    • Vasiliki Epameinondas Georgakopoulou
    • Theodosis Spiliotopoulos
    • Pagona Sklapani
    • Nikolaos Trakas
    • Adamantios Kalogeras
    • Kostas N. Fountas
  • View Affiliations / Copyright

    Affiliations: Department of Neurosurgery, General University Hospital of Larissa, 41221 Larissa, Greece, Department of Pathophysiology, National and Kapodistrian University of Athens, 11527 Athens, Greece, Department of Biochemistry, Sismanogleio Hospital, 15126 Athens, Greece
    Copyright: © Gatos et al. This is an open access article distributed under the terms of Creative Commons Attribution License [CC BY 4.0].
  • Article Number: 32
    |
    Published online on: April 16, 2024
       https://doi.org/10.3892/mi.2024.156
  • Expand metrics +
Metrics: Total Views: 0 (Spandidos Publications: | PMC Statistics: )
Metrics: Total PDF Downloads: 0 (Spandidos Publications: | PMC Statistics: )
Cited By (CrossRef): 0 citations Loading Articles...

This article is mentioned in:


Abstract

The aim of the present retrospective study was to confer the factors that are related to bone graft absorption and affect the outcomes of patients following cranioplasty (CPL). The present retrospective study includes cases of patients that underwent CPL between February, 2013 and December, 2022. All participants had a follow‑up period of 1 to 10 years from the day of discharge from the hospital. In total, 116 (62.3%) of the 186 patients that underwent decompressive craniectomy (DC) were enrolled in the present study for CPL. A total of 109 (93.9%) patients were included in group A, and 7 (6.0%) patients were included in group B. On the whole, the results of the present study suggest that a CPL after 2.5‑7.7 months of DC increases the possibility of bone absorption.

Introduction

Decompressive craniectomy (DC) is a surgical procedure which as long been used with varying usefulness for the treatment of refractory intracranial hypertension for a wide range of pathologies (1-5). Although the complications associated with this technique and the functional outcomes of surviving patients have not yet been fully determined (6,7), DC can be a lifesaving technique in the presence of medically intractable elevations of intracranial pressure, and may consequently increase the length of stay in intensive care units (8).

However, the prolonged exposure of skull defects has been associated with various neurological manifestations, including the immediate effects of atmospheric pressure on the soft brain tissue, obstructions and hydrodynamic changes in cerebrospinal fluid, and modifications in cerebral blood flow and metabolism (6,7,9,10).

Cranioplasty (CPL) is a procedure used for reconstructing skull deficits, providing cerebral protection, and enhancing the cosmetic effect (11). In addition, CPL may aid in the neurological recovery of patients due to its physiological effects on the cranial vault, allowing for a more effective rehabilitation process (11). Nevertheless, critical clinical questions remain, including significant post-operative morbidity, various complications in neurological recovery and outcomes, infections, seizures, hematomas, the influence timing has on these factors, the selection of materials, overall cost-effectiveness and bone graft absorption (BGA) (12,13).

Concerning the type of bone graft, above all, the advantage of autologous as opposed to heterologous bone grafts is that there is no rejection (14). On the other hand, BGA is a severe complication (15). In particular, the skull bone has a higher tendency for absorption compared with other parts of the body. If implanted, skull graft resorption continues, and the bone graft may break down, necessitating further surgery (15). In the literature, there are several issues on whether early CPL, the age of the patient, or the type of bone graft could lead to resorption (15,16).

The aim of the present retrospective study was to confer the factors that are related to BGA and may affect the outcomes of patients following CPL.

Patients and methods

Study design and population

The present study constitutes a single-center, retrospective study of patients who underwent CPL. The population of interest was defined as all patients that underwent CPL at a local institution (University Hospital of Larissa, Larissa, Greece) between February, 2013 and December, 2022. The Institutional Review Board (IRB) of the University of Thessaly, Greece, and the University Hospital of Larissa approved the study (IRB no. 2542/21-01-2021, finalized by the 28th General Assembly on January 28, 2021). Written informed consent was obtained from all included patients or their next-of-kin before surgery, and for under-age patients, consent was obtained from their parents or legal guardians.

In total, of the 186 patients that underwent DC, 116 patients proceeded to the University Hospital of Larissa for CPL, and 7 (6.0%) patients developed BGA during the follow-up. In the final pool, 116 patients were included, and these patients were divided into two groups. Data collection was performed, and the data were reviewed and analyzed by two physicians (GF and CG) on the basis of the following inclusion criteria: Patients aged >8 years old who underwent DC (for any reason) and subsequent CPL between 2013 and 2022. Cases with incomplete medical files and cases lost to follow-up were excluded (Fig. 1).

Figure 1

Flow chart of the study participants. DC, decompressive craniectomy; CPL, cranioplasty; BGA, bone graft absorption.

Clinical data

The patients were divided into two groups, namely group A, which included patients treated with CPL who did not develop BGA during the follow-up period, and group B, which included those who developed BGA. These groups were identified based on the following demographic, clinical and radiographic data that were retrieved from the medical archives when available: Age, sex, cause of DC [traumatic brain injury (TBI), stroke, other neurosurgical entities that required DC, such as subarachnoid hemorrhage, tumor, brain abscess, cerebral venous sinus thrombosis and patients developed intracerebral hemorrhage], Glasgow Coma Scale (GCS) and Karnofsky Performance Scale (KPS) of admission, history of diabetes and hypertension, site of CPL [one site fronto-temporo-parietal (FTP), bilateral FTP, bilateral frontal], time from DC to CPL, type of bone graft (heterologous or autologous), grafts with fractures or fragments, and peri-operative complications such as infections and hematomas (Table I). All participants had a follow-up period of 1 to 10 years from the day of discharge from the hospital. Patient outcomes were evaluated using a computer tomography (CT) scan and a complete neurological examination at 6 months, 1 year, and 3 or 6 years following discharge from the hospital. The primary outcome was defined as neurological deterioration, and the secondary outcomes were hospital stay and mortality. The CPL implant material was heterologous or autologous and cryopreserved at -83˚C and taken out to thaw at room temperature 2 h before the intervention. Images of a case that was evaluated are presented in Fig. 2, Fig. 3 and Fig. 4.

Figure 2

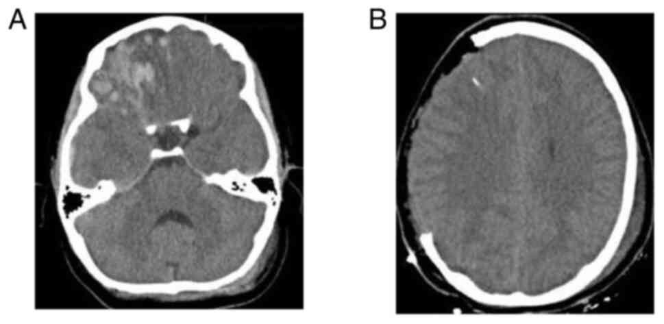
A 9-year-old female patient was admitted with a Glasgow Coma Scale score of 10 following severe traumatic brain injury and anisocoria (pupil right>left). (A) The first (pre-operative) computed tomography scan revealed the following: Brain contusions, edema and subdural hematoma, with an elevated intracranial pressure (>22 mmHg). (B) Post-operative computed tomography scan following decompressive craniectomy.

Figure 3

Images of the same patient as depicted in Fig. 2 are shown. (A) Post-operative 3D volume rendering following decompressive craniectomy. (B) Post-operative computed tomography scan following cranioplasty performed 9 months later with the cryopreservation of the autologous bone graft at -80˚C.

Figure 4

Images of the same patient as depicted in Figs. 2 and 3 are shown. (A) Computed tomography scan (bone) and (B) 3D volume rendering during follow-up demonstrating bone graft absorption, cosmetic disfigurement; lesion, >1 cm and remnant thickness of bone flap <50% of the contralateral skull region.

Table I

Baseline demographic characteristics of the patients.

Table I

Baseline demographic characteristics of the patients.

ParametersAll patients, n=116 (100%)Group A, n=109 (93.9%)Group B, n=7 (6.0%)P-value
Age, mean ± SD (years)42.5±1443.7±1431.1±8.70.024
Sex (male), n (%)77 (66.3)71 (61.2)6 (5.1)0.264
Cause of DC    
     TBI, n (%)66 (56.8)63 (54.3)3 (2.5)0.439
     Stroke, n (%)35 (30.1)33 (28.4)2 (1.7)0.924
     Othera, n (%)15 (12.9)13 (11.2)2 (1.7)0.203
GCS score of admission, mean ± SD10.0±2.39.1±2.177.8±6.30.310
KPS score of admission, mean ± SD75.9±4.619.9±718.4±60.495
Diabetes mellitus, n (%)9 (7.7)9 (7.7)0 (0)0.429
Hypertension, n (%)17 (14.6)17 (14.6)0 (0)0.258
Site of cranioplasty    
     One-site FTP, n (%)99 (85.3)94 (81.0)5 (4.3)0.283
     Bilateral frontal, n (%)7 (6.0)7 (6.0)0 (0)0.489
     Bilateral FTP, n (%)10 (8.6)8 (6.8)2 (1.7)0.052
Time from DC to cranioplasty, mean ± SD (months)6.31±3.96.13±3.89.14±4.90.034
Type of graft    
     Autologous, n (%)84 (72.4)79 (68.1)5 (4.3)0.952
     Heterologous, n (%)32 (27.5)30 (25.8)2 (1.7)0.952
Grafts with fragments or fractures, n (%)9 (7.7)9 (7.7)0 (0)0.429
Peri-operative complications    
     Infections, n (%)6 (5.1)6 (5.1)0 (0)0.524
     Hematoma, n (%9 (7.7)6 (5.1)3 (2.5) <0.05

[i] Values in bold font indicate statistically significant differences (P<0.05).

[ii] aOther, refers to neurosurgical entities that required DC, such as subarachnoid hemorrhage, tumor, brain abscess, cerebral venous sinus thrombosis event and patients developed intracerebral hemorrhage. KPS, Karnofsky Performance Scale; TBI, traumatic brain injury; GCS, Glasgow Coma Scale; SD, standard deviation; DC, decompressive craniectomy; FTP, fronto-temporoparietal.

Statistical analysis

Statistical analyses were performed using the Statistical Package for the Social Sciences (SPSS 11; SPSS, Inc.). The normality of the distribution of variables was assessed using the Shapiro-Wilk test. Categorical variables were compared between groups using the Fisher's exact test, and continuous data were compared using the Mann-Whitney U test. Receiver operating characteristic (ROC) analysis was used to reveal the factors that are related to BGA and affect the outcomes of patients following CPL. A P-value <0.05 was considered to indicate a statistically significant difference.

Results

In total, 116 (62.3%) of the 186 patients that underwent DC were enrolled in the present study for CPL. A total of 109 (93.9%) patients were included in group A, and 7 (6.0%) patients were included in group B. Of the 116 patients included, 77 (66.3%) were males, and the median age was 42.5 years. The baseline characteristics of the study participants are presented in Table I. The outcomes of the patients are presented in Table II.

Table II

Outcomes of patients following cranioplasty.

Table II

Outcomes of patients following cranioplasty.

ParametersAll patients, n=116 (100%)Group A n=109 (93.9%)Group B n=7 (6.0%)P-value
Mortality, n (%)5 (4.3)5 (4.3)0 (0)0.562
Neurological deterioration, n (%)11 (9.4)6 (5.1)5 (4.3) <0.05
Duration of hospital stay, mean ± SD (days)5.9±0.95.8±0.96.4±0.90.161

[i] Values in bold font indicate statistically significant differences (P<0.05). SD, standard error.

Univariate analysis revealed that there was a statistically significant difference in the time from DC to CPL, infections and hematoma as peri-operative complications between the participants who developed BGA and those who did not develop BGA (P<0.05, Table III).

Table III

Univariate analysis for neurological deterioration.

Table III

Univariate analysis for neurological deterioration.

ParametersNo neurological deterioration, n=105 (90.5%)With neurological deterioration, n=11 (9.4%)P-value
Age, mean ± SD (years)43.1±1441.0±130.591
Sex (male), n (%)69 (59.4)8 (6.8)0.639
Cause of DC   
     TBI, n (%)62 (53.4)4 (3.4)0.148
     Stroke, n (%)29(25)6 (5.1)0.064
     Other, n (%)14 (12.0)1 (0.8)0.690
GCS score of admission, mean ± SD10.1±2.39.6±1.90.659
KPS score of admission, mean ± SD75.8±4.575.9±4.60.442
Diabetes mellitus, n (%)9 (7.7)0 (0)0.312
Hypertension, n (%)17 (14.6)0 (0)0.149
Site of cranioplasty   
     One-site FTP, n (%)90 (77.5)9 (7.7)0.728
     Bilateral frontal, n (%)7 (6.0)0 (0)0.377
     Bilateral FTP, n (%)8 (6.8)2 (1.7)0.235
Time from DC to cranioplasty, mean ± SD (months)5.9±3.69.4±5.80.019
Type of graft   
     Autologous, n (%)75 (64.6)9 (7.7)0.463
     Heterologous, n (%)28 (24.1)4 (3.4)0.494
Grafts with fragments or fractures9 (7.7)0 (0)0.312
Peri-operative complications   
     Infections, n (%)3 (2.5)3 (2.5)0.001
     Hematoma, n (%)7 (6.0)2 (1.7)0.034
Duration of hospital stay, mean ± SD (days)5.8±0.96.0±1.00.564

[i] Values in bold font indicate statistically significant differences (P<0.05). KPS, Karnofsky Performance Scale; TBI, traumatic brain injury; GCS, Glasgow Coma Scale; SD, standard deviation; DC, decompressive craniectomy; FTP, fronto-temporoparietal.

Multivariate analysis (Table IV) revealed that time from DC to CPL, infections and hematoma as peri-operative complications were all independent factors associated with BGA during follow-up (P<0.05 for all three parameters). Overall, ROC analysis demonstrated that infections and hematoma as peri-operative complications exhibited the optimal performance to predict BGA, as evaluated by an area under the curve standard error [AUC (SE)] of [0.622 (0.10) and (P=0.184)] and [0.658 (0.10) and (P=0.085)], respectively (Table V, and Figs. 5 and 6). In addition, ROC analysis demonstrated that, among the variables, a time from DC to CPL of 2.5 months with 100% sensitivity and 93.3% specificity exhibited a better dispersion to predict BGA, as evaluated by an area under the curve standard error [AUC (SE)] of [0.714 (0.79)] and (P=0.020) (Table V and Fig. 7).

Figure 5

ROC curve for peri-operative complications (infections), predicting bone graft absorption during follow-up. AUC, 0.622. AUC, area under the curve; ROC, receiver operative characteristic.

Figure 6

ROC curve for peri-operative complications (hematoma), predicting bone graft absorption during follow-up. AUC, 0.658. AUC, area under the curve; ROC, receiver operative characteristic.

Figure 7

ROC curve for time from DC to cranioplasty, predicting bone graft absorption during follow-up. AUC, 0.714. AUC, area under the curve; ROC, receiver operative characteristic; DC, decompressive craniectomy.

Table IV

Multivariate analysis for neurological deterioration.

Table IV

Multivariate analysis for neurological deterioration.

  95% CI for Exp(B)
ParameterP-valueExp(B)LowerUpper
Time from DC to cranioplasty, mean ± SD (months)0.0030.2450.0060.030
Peri-operative complications    
     Infections <0.050.3590.2660.682
     Hematoma <0.050.3500.2110.556

[i] Values in bold font indicate statistically significant differences (P<0.05). SD, standard deviation; CI, confidence interval; DC, decompressive craniectomy.

Table V

ROC analysis for neurological deterioration.

Table V

ROC analysis for neurological deterioration.

ParametersAreaStd. error95% CI lower-upperP-value
Time from DC to cranioplasty, mean ± SD (months)0.7140.0790.560-0.8680.020
Peri-operative complications    
     Infections0.6220.1010.424-0.8210.184
     Hematoma0.6580.1010.461-0.8550.085

[i] Values in bold font indicate statistically significant differences (P<0.05). SD, standard deviation; CI, confidence interval; DC, decompressive craniectomy.

Discussion

The results of the present study suggest that a CPL after 2.5-7.7 months of DC increases the possibility of bone absorption. Additionally, the presence of post-operative infections and hematoma, not alone but in combination with the time from DC to CPL factor, was shown to contribute decisively to the absorption of the bone graft.

Bone graft material

The type of bone graft used for CPL can be heterogeneous or autologous, and the material can be variable, as there are no indications as to the ideal material which should be used for CPL (15). Other than the autologous bone, metal plates, hydroxyapatite (HA), poly(methyl methacrylate, HA cement and polyethylene have been implanted in order to perform such necessities (17). The present study did not reveal any statistically significant differences among the types or materials that were used for CPL.

Complications: infections and hematoma

The rate complications associated with CPL has a wide range of differences among several studies in the literature. The infection rate has been reported to be 6 to 12%, which in numerous cases leads to implant removal and, together with hematomas, is the most frequently reported (18-22). The findings of the present study demonstrated that the rates of infection and hematoma were 6 and 9%, respectively, and not alone, but in combination with the time from DC to CPL, were shown to contribute decisively to the development of BGA.

Time from DC to CPL

As regards CPL, the time of the bone graft re-implantation is one of the most commonly debated issues. There are studies reporting that early bone graft implantation is related to various complications and a poorer outcome (22,23). Along with the complications in the early stages of CPL, hydrocephalus was the most common due to its association with other factors, such as size and the cause of DC. In addition, infections constitute another severe post-CPL complication, mainly if it is performed before 60 days have passed after DC (22). On the other hand, CPL performed at a late stage is associated with the same complications, and there are no indications as to the optimal time frame for performing CPL following DC (24,25).

However, some studies have mentioned that 3-6 months is suitable for bone graft preservation (24,25). In the present study, the time from DC to CPL was an independent parameter predicting BGA, and restoration after 2.5-7.7 months increases the possibility of bone absorption. Thus, the results presented herein suggest that in clinical practice, 2.5-7.7 months constitute the most suitable time interval for performing CPL following DC without the various complications related to early bone graft implantation, such as infections, as well as with a minimal risk of BGA, which is usually related to CPL performed at a late stage.

Patient's age

Apart from the time interval between DC and CPL, the age of the patients represents another parameter in the development of BGA (24). Thus, in pediatric research, BGA has been found at a high rate, reaching 50% of patients with CPL at a mean follow-up of 4.8 months (26). The independent risk factors for BGA accountably included skull fracture, underlying contusion, post-traumatic hydrocephalus, and an age of 2.5 years (26). The present study demonstrated that even the young age of the patients (<19 years) was not a factor in predicting BGA during the follow-up period following CPL.

The present study had several limitations that should be mentioned. The main limitation was that it was performed in a single center, and its retrospective nature was related to possible errors in collecting and interpreting the data from the clinical history. Another limitation also was the small sample size in group B (n=7), and thus the power to detect significant differences is questionable. In addition, the neurological outcome of patients following DC and subsequent CPL depends on the underlying initial pathology.

In conclusion, although CPL is a relatively straightforward type of surgery from a technical standpoint, it is not come without controversies. The results of the present study suggest that CPL performed after 2.5-7.7 months of DC increases the possibility of bone absorption. Additionally, the presence of post-operative infections and hematoma, not alone, but in combination with the time from DC to CPL factor, was shown to contribute decisively to the absorption of the bone graft. This sequence provides a strong justification for further extensive prospective clinical investigations into the prevention of BGA following CPL.

Acknowledgements

Not applicable.

Funding

Funding: No funding was received.

Availability of data and materials

The datasets used and/or analyzed during the current study are available from the corresponding author on reasonable request.

Authors' contributions

CG and GF conceptualized the study. CG, VEG, TS, AK, GF, PS, NT and KNF made a substantial contribution to data interpretation and analysis, and wrote and prepared the draft of the manuscript. CG and GF analyzed the data and provided critical revisions. CG and GF confirm the authenticity of all the raw data. All authors contributed to manuscript revision, and have read and approved the final version of the manuscript.

Ethics approval and consent to participate

The Institutional Review Board (IRB) of the University of Thessaly, Greece/The School of Medicine/School of Health Sciences approved the present study (IRB approval no. 2542/21-01-2021, finalized by the 28th General Assembly on January 28, 2021). The present study was in line with the Declaration of Helsinki (1995; as revised in Edinburgh 2000). Written informed consent was obtained from all included patients or their next-of-kin before surgery, and for under-age patients, consent was obtained from their parents or legal guardians.

Patient consent for publication

Written informed consent was obtained from all included patients or their next-of-kin, and for under-age patients, consent was obtained from their parents or legal guardians before surgery for the publication of the present study and any related images.

Competing interests

The authors declare that they have no competing interests.

References

1 

Fotakopoulos G, Tsianaka E, Vagkopoulos K and Fountas KN: According to which factors in severe traumatic brain injury craniectomy could be beneficial. Surg Neurol Int. 7(19)2016.PubMed/NCBI View Article : Google Scholar

2 

Arac A, Blanchard V, Lee M and Steinberg GK: Assessment of outcome following decompressive craniectomy for malignant middle cerebral artery infarction in patients older than 60 years of age. Neurosurg Focus. 26(E3)2009.PubMed/NCBI View Article : Google Scholar

3 

Bullock MR, Chesnut R, Ghajar J, Gordon D, Hartl R, Newell DW, Servadei F, Walters BC and Wilberger JE: Surgical management of traumatic brain injury author group. Surgical management of acute subdural hematomas. Neurosurgery. 58 (3 Suppl):S16–S24; discussion Si-iv. 2006.PubMed/NCBI

4 

Hutchinson PJ, Corteen E, Czosnyka M, Mendelow AD, Menon DK, Mitchell P, Murray G, Pickard JD, Rickels E, Sahuquillo J, et al: Decompressive craniectomy in traumatic brain injury: The randomized multicenter RESCUEicp study (urihttp://www.RESCUEicp.comsimplewww.RESCUEicp.com). Acta Neurochir. (Suppl 96):17–20. 2006.PubMed/NCBI View Article : Google Scholar

5 

Chen C and Carter BS: Hemicraniectomy for massive cerebral infarction. Top Stroke Rehabil. 11:7–11. 2004.PubMed/NCBI View Article : Google Scholar

6 

Fotakopoulos G, Tsianaka E, Siasios G, Vagkopoulos K and Fountas K: Posttraumatic hydrocephalus after decompressive craniectomy in 126 patients with severe traumatic brain injury. J Neurol Surg A Cent Eur Neurosurg. 77:88–92. 2016.PubMed/NCBI View Article : Google Scholar

7 

Pachatouridis D, Alexiou GA, Zigouris A, Michos E, Drosos D, Fotakopoulos G and Voulgaris S: Management of hydrocephalus after decompressive craniectomy. Turk Neurosurg. 24:855–858. 2014.PubMed/NCBI View Article : Google Scholar

8 

Bohman LE and Schuster JM: Decompressive craniectomy for management of traumatic brain injury: An update. Curr Neurol Neurosci Rep. 13(392)2013.PubMed/NCBI View Article : Google Scholar

9 

Honeybul S: Neurological susceptibility to a skull defect. Surg Neurol Int. 5(83)2014.PubMed/NCBI View Article : Google Scholar

10 

Andrabi SM, Sarmast AH, Kirmani AR and Bhat AR: Cranioplasty: Indications, procedures, and outcome-An institutional experience. Surg Neurol Int. 8(91)2017.PubMed/NCBI View Article : Google Scholar

11 

Mee H, Anwar F, Timofeev I, Owens N, Grieve K, Whiting G, Alexander K, Kendrick K, Helmy A, Hutchinson P and Kolias A: Cranioplasty: A multidisciplinary approach. Front Surg. 9(864385)2022.PubMed/NCBI View Article : Google Scholar

12 

Robles LA and Cuevas-Solórzano A: Massive brain swelling and death after cranioplasty: A systematic review. World Neurosurg. 111:99–108. 2018.PubMed/NCBI View Article : Google Scholar

13 

Brommeland T, Rydning PN, Pripp AH and Helseth E: Cranioplasty complications and risk factors associated with bone flap resorption. Scand J Trauma Resusc Emerg Med. 23(75)2015.PubMed/NCBI View Article : Google Scholar

14 

Sundseth J, Sundseth A, Berg-Johnsen J, Sorteberg W and Lindegaard KF: Cranioplasty with autologous cryopreserved bone after decompressive craniectomy: Complications and risk factors for developing surgical site infection. Acta Neurochir (Wien). 156:805–811; discussion 811. 2014.PubMed/NCBI View Article : Google Scholar

15 

Lee SH, Yoo CJ, Lee U, Park CW, Lee SG and Kim WK: Resorption of autogenous bone graft in cranioplasty: Resorption and reintegration failure. Korean J Neurotrauma. 10:10–14. 2014.PubMed/NCBI View Article : Google Scholar

16 

de Monaco BA, Fonoff ET and Teixeira MJ: Early resorption of an artificial bone graft made of calcium phosphate for cranioplasty: Case report. Neuropsychiatr Dis Treat. 9:1801–1802. 2013.PubMed/NCBI View Article : Google Scholar

17 

Lee BS, Min KS, Lee MS, Kim YG and Kim DH: Comparison with subcutaneous abdominal preservation and cryoconservation using autologous bone flap after decompressive craniectomy. Korean J Neurotrauma. 8:21–25. 2012.

18 

Alkhaibary A, Alharbi A, Alnefaie N, Oqalaa Almubarak A, Aloraidi A and Khairy S: Cranioplasty: A comprehensive review of the history, materials, surgical aspects, and complications. World Neurosurg. 139:445–452. 2020.PubMed/NCBI View Article : Google Scholar

19 

Piitulainen JM, Kauko T, Aitasalo KM, Vuorinen V, Vallittu PK and Posti JP: Outcomes of cranioplasty with synthetic materials and autologous bone grafts. World Neurosurg. 83:708–714. 2015.PubMed/NCBI View Article : Google Scholar

20 

Cheng YK, Weng HH, Yang JT, Lee MH, Wang TC and Chang CN: Factors affecting graft infection after cranioplasty. J Clin Neurosci. 15:1115–1119. 2008.PubMed/NCBI View Article : Google Scholar

21 

Lee CH, Chung YS, Lee SH, Yang HJ and Son YJ: Analysis of the factors influencing bone graft infection after cranioplasty. J Trauma Acute Care Surg. 73:255–260. 2012.PubMed/NCBI View Article : Google Scholar

22 

Kim YM, Park T, Lee SP, Baek JW, Ryou KS and Kim SH: Optimal Timing and Complications of Cranioplasty: A single-center retrospective review of 109 cases. J Neurointensive Care. 3:48–57. 2020.

23 

Zanaty M, Chalouhi N, Starke RM, Clark SW, Bovenzi CD, Saigh M, Schwartz E, Kunkel ES, Efthimiadis-Budike AS, Jabbour P, et al: Complications following cranioplasty: Incidence and predictors in 348 cases. J Neurosurg. 123:182–188. 2015.PubMed/NCBI View Article : Google Scholar

24 

Fan MC, Wang QL, Sun P, Zhan SH, Guo P, Deng WS and Dong Q: Cryopreservation of autologous cranial bone flaps for cranioplasty: A large sample retrospective study. World Neurosurg. 109:e853–e859. 2018.PubMed/NCBI View Article : Google Scholar

25 

Klinger DR, Madden C, Beshay J, White J, Gambrell K and Rickert K: Autologous and acrylic cranioplasty: A review of 10 years and 258 cases. World Neurosurg. 82:e525–e530. 2014.PubMed/NCBI View Article : Google Scholar

26 

Bowers CA, Riva-Cambrin J, Hertzler DA 2nd and Walker ML: Risk factors and rates of bone flap resorption in pediatric patients after decompressive craniectomy for traumatic brain injury. J Neurosurg Pediatr. 11:526–532. 2013.PubMed/NCBI View Article : Google Scholar

Related Articles

  • Abstract
  • View
  • Download
Copy and paste a formatted citation
Spandidos Publications style
Gatos C, Fotakopoulos G, Georgakopoulou VE, Spiliotopoulos T, Sklapani P, Trakas N, Kalogeras A and Fountas KN: Bone graft absorption complication following cranioplasty: A retrospective institutional study. Med Int 4: 32, 2024.
APA
Gatos, C., Fotakopoulos, G., Georgakopoulou, V.E., Spiliotopoulos, T., Sklapani, P., Trakas, N. ... Fountas, K.N. (2024). Bone graft absorption complication following cranioplasty: A retrospective institutional study. Medicine International, 4, 32. https://doi.org/10.3892/mi.2024.156
MLA
Gatos, C., Fotakopoulos, G., Georgakopoulou, V. E., Spiliotopoulos, T., Sklapani, P., Trakas, N., Kalogeras, A., Fountas, K. N."Bone graft absorption complication following cranioplasty: A retrospective institutional study". Medicine International 4.4 (2024): 32.
Chicago
Gatos, C., Fotakopoulos, G., Georgakopoulou, V. E., Spiliotopoulos, T., Sklapani, P., Trakas, N., Kalogeras, A., Fountas, K. N."Bone graft absorption complication following cranioplasty: A retrospective institutional study". Medicine International 4, no. 4 (2024): 32. https://doi.org/10.3892/mi.2024.156
Copy and paste a formatted citation
x
Spandidos Publications style
Gatos C, Fotakopoulos G, Georgakopoulou VE, Spiliotopoulos T, Sklapani P, Trakas N, Kalogeras A and Fountas KN: Bone graft absorption complication following cranioplasty: A retrospective institutional study. Med Int 4: 32, 2024.
APA
Gatos, C., Fotakopoulos, G., Georgakopoulou, V.E., Spiliotopoulos, T., Sklapani, P., Trakas, N. ... Fountas, K.N. (2024). Bone graft absorption complication following cranioplasty: A retrospective institutional study. Medicine International, 4, 32. https://doi.org/10.3892/mi.2024.156
MLA
Gatos, C., Fotakopoulos, G., Georgakopoulou, V. E., Spiliotopoulos, T., Sklapani, P., Trakas, N., Kalogeras, A., Fountas, K. N."Bone graft absorption complication following cranioplasty: A retrospective institutional study". Medicine International 4.4 (2024): 32.
Chicago
Gatos, C., Fotakopoulos, G., Georgakopoulou, V. E., Spiliotopoulos, T., Sklapani, P., Trakas, N., Kalogeras, A., Fountas, K. N."Bone graft absorption complication following cranioplasty: A retrospective institutional study". Medicine International 4, no. 4 (2024): 32. https://doi.org/10.3892/mi.2024.156
Follow us
  • Twitter
  • LinkedIn
  • Facebook
About
  • Spandidos Publications
  • Careers
  • Cookie Policy
  • Privacy Policy
How can we help?
  • Help
  • Live Chat
  • Contact
  • Email to our Support Team