Spandidos Publications Logo
  • About
    • About Spandidos
    • Aims and Scopes
    • Abstracting and Indexing
    • Editorial Policies
    • Reprints and Permissions
    • Job Opportunities
    • Terms and Conditions
    • Contact
  • Journals
    • All Journals
    • Oncology Letters
      • Oncology Letters
      • Information for Authors
      • Editorial Policies
      • Editorial Board
      • Aims and Scope
      • Abstracting and Indexing
      • Bibliographic Information
      • Archive
    • International Journal of Oncology
      • International Journal of Oncology
      • Information for Authors
      • Editorial Policies
      • Editorial Board
      • Aims and Scope
      • Abstracting and Indexing
      • Bibliographic Information
      • Archive
    • Molecular and Clinical Oncology
      • Molecular and Clinical Oncology
      • Information for Authors
      • Editorial Policies
      • Editorial Board
      • Aims and Scope
      • Abstracting and Indexing
      • Bibliographic Information
      • Archive
    • Experimental and Therapeutic Medicine
      • Experimental and Therapeutic Medicine
      • Information for Authors
      • Editorial Policies
      • Editorial Board
      • Aims and Scope
      • Abstracting and Indexing
      • Bibliographic Information
      • Archive
    • International Journal of Molecular Medicine
      • International Journal of Molecular Medicine
      • Information for Authors
      • Editorial Policies
      • Editorial Board
      • Aims and Scope
      • Abstracting and Indexing
      • Bibliographic Information
      • Archive
    • Biomedical Reports
      • Biomedical Reports
      • Information for Authors
      • Editorial Policies
      • Editorial Board
      • Aims and Scope
      • Abstracting and Indexing
      • Bibliographic Information
      • Archive
    • Oncology Reports
      • Oncology Reports
      • Information for Authors
      • Editorial Policies
      • Editorial Board
      • Aims and Scope
      • Abstracting and Indexing
      • Bibliographic Information
      • Archive
    • Molecular Medicine Reports
      • Molecular Medicine Reports
      • Information for Authors
      • Editorial Policies
      • Editorial Board
      • Aims and Scope
      • Abstracting and Indexing
      • Bibliographic Information
      • Archive
    • World Academy of Sciences Journal
      • World Academy of Sciences Journal
      • Information for Authors
      • Editorial Policies
      • Editorial Board
      • Aims and Scope
      • Abstracting and Indexing
      • Bibliographic Information
      • Archive
    • International Journal of Functional Nutrition
      • International Journal of Functional Nutrition
      • Information for Authors
      • Editorial Policies
      • Editorial Board
      • Aims and Scope
      • Abstracting and Indexing
      • Bibliographic Information
      • Archive
    • International Journal of Epigenetics
      • International Journal of Epigenetics
      • Information for Authors
      • Editorial Policies
      • Editorial Board
      • Aims and Scope
      • Abstracting and Indexing
      • Bibliographic Information
      • Archive
    • Medicine International
      • Medicine International
      • Information for Authors
      • Editorial Policies
      • Editorial Board
      • Aims and Scope
      • Abstracting and Indexing
      • Bibliographic Information
      • Archive
  • Articles
  • Information
    • Information for Authors
    • Information for Reviewers
    • Information for Librarians
    • Information for Advertisers
    • Conferences
  • Language Editing
Spandidos Publications Logo
  • About
    • About Spandidos
    • Aims and Scopes
    • Abstracting and Indexing
    • Editorial Policies
    • Reprints and Permissions
    • Job Opportunities
    • Terms and Conditions
    • Contact
  • Journals
    • All Journals
    • Biomedical Reports
      • Information for Authors
      • Editorial Policies
      • Editorial Board
      • Aims and Scope
      • Abstracting and Indexing
      • Bibliographic Information
      • Archive
    • Experimental and Therapeutic Medicine
      • Information for Authors
      • Editorial Policies
      • Editorial Board
      • Aims and Scope
      • Abstracting and Indexing
      • Bibliographic Information
      • Archive
    • International Journal of Epigenetics
      • Information for Authors
      • Editorial Policies
      • Editorial Board
      • Aims and Scope
      • Abstracting and Indexing
      • Bibliographic Information
      • Archive
    • International Journal of Functional Nutrition
      • Information for Authors
      • Editorial Policies
      • Editorial Board
      • Aims and Scope
      • Abstracting and Indexing
      • Bibliographic Information
      • Archive
    • International Journal of Molecular Medicine
      • Information for Authors
      • Editorial Policies
      • Editorial Board
      • Aims and Scope
      • Abstracting and Indexing
      • Bibliographic Information
      • Archive
    • International Journal of Oncology
      • Information for Authors
      • Editorial Policies
      • Editorial Board
      • Aims and Scope
      • Abstracting and Indexing
      • Bibliographic Information
      • Archive
    • Medicine International
      • Information for Authors
      • Editorial Policies
      • Editorial Board
      • Aims and Scope
      • Abstracting and Indexing
      • Bibliographic Information
      • Archive
    • Molecular and Clinical Oncology
      • Information for Authors
      • Editorial Policies
      • Editorial Board
      • Aims and Scope
      • Abstracting and Indexing
      • Bibliographic Information
      • Archive
    • Molecular Medicine Reports
      • Information for Authors
      • Editorial Policies
      • Editorial Board
      • Aims and Scope
      • Abstracting and Indexing
      • Bibliographic Information
      • Archive
    • Oncology Letters
      • Information for Authors
      • Editorial Policies
      • Editorial Board
      • Aims and Scope
      • Abstracting and Indexing
      • Bibliographic Information
      • Archive
    • Oncology Reports
      • Information for Authors
      • Editorial Policies
      • Editorial Board
      • Aims and Scope
      • Abstracting and Indexing
      • Bibliographic Information
      • Archive
    • World Academy of Sciences Journal
      • Information for Authors
      • Editorial Policies
      • Editorial Board
      • Aims and Scope
      • Abstracting and Indexing
      • Bibliographic Information
      • Archive
  • Articles
  • Information
    • For Authors
    • For Reviewers
    • For Librarians
    • For Advertisers
    • Conferences
  • Language Editing
Login Register Submit
  • This site uses cookies
  • You can change your cookie settings at any time by following the instructions in our Cookie Policy. To find out more, you may read our Privacy Policy.

    I agree
Search articles by DOI, keyword, author or affiliation
Search
Advanced Search
presentation
Biomedical Reports
Join Editorial Board Propose a Special Issue
Print ISSN: 2049-9434 Online ISSN: 2049-9442
Journal Cover
March-2021 Volume 14 Issue 3

Full Size Image

Sign up for eToc alerts
Recommend to Library

Journals

International Journal of Molecular Medicine

International Journal of Molecular Medicine

International Journal of Molecular Medicine is an international journal devoted to molecular mechanisms of human disease.

International Journal of Oncology

International Journal of Oncology

International Journal of Oncology is an international journal devoted to oncology research and cancer treatment.

Molecular Medicine Reports

Molecular Medicine Reports

Covers molecular medicine topics such as pharmacology, pathology, genetics, neuroscience, infectious diseases, molecular cardiology, and molecular surgery.

Oncology Reports

Oncology Reports

Oncology Reports is an international journal devoted to fundamental and applied research in Oncology.

Experimental and Therapeutic Medicine

Experimental and Therapeutic Medicine

Experimental and Therapeutic Medicine is an international journal devoted to laboratory and clinical medicine.

Oncology Letters

Oncology Letters

Oncology Letters is an international journal devoted to Experimental and Clinical Oncology.

Biomedical Reports

Biomedical Reports

Explores a wide range of biological and medical fields, including pharmacology, genetics, microbiology, neuroscience, and molecular cardiology.

Molecular and Clinical Oncology

Molecular and Clinical Oncology

International journal addressing all aspects of oncology research, from tumorigenesis and oncogenes to chemotherapy and metastasis.

World Academy of Sciences Journal

World Academy of Sciences Journal

Multidisciplinary open-access journal spanning biochemistry, genetics, neuroscience, environmental health, and synthetic biology.

International Journal of Functional Nutrition

International Journal of Functional Nutrition

Open-access journal combining biochemistry, pharmacology, immunology, and genetics to advance health through functional nutrition.

International Journal of Epigenetics

International Journal of Epigenetics

Publishes open-access research on using epigenetics to advance understanding and treatment of human disease.

Medicine International

Medicine International

An International Open Access Journal Devoted to General Medicine.

Journal Cover
March-2021 Volume 14 Issue 3

Full Size Image

Sign up for eToc alerts
Recommend to Library

  • Article
  • Citations
    • Cite This Article
    • Download Citation
    • Create Citation Alert
    • Remove Citation Alert
    • Cited By
  • Similar Articles
    • Related Articles (in Spandidos Publications)
    • Similar Articles (Google Scholar)
    • Similar Articles (PubMed)
  • Download PDF
  • Download XML
  • View XML
Case Report Open Access

Surgical resection for pelvic retroperitoneal Castleman's disease: A case report and review literature

  • Authors:
    • Masatoshi Kitakaze
    • Norikatsu Miyoshi
    • Shiki Fujino
    • Takayuki Ogino
    • Hidekazu  Takahashi
    • Mamoru Uemura
    • Tsunekazu Mizushima
    • Yuichiro Doki
    • Hidetoshi Eguchi
  • View Affiliations / Copyright

    Affiliations: Department of Gastroenterological Surgery, Osaka University, Osaka 5650871, Japan
    Copyright: © Kitakaze et al. This is an open access article distributed under the terms of Creative Commons Attribution License.
  • Article Number: 29
    |
    Published online on: January 21, 2021
       https://doi.org/10.3892/br.2021.1405
  • Expand metrics +
Metrics: Total Views: 0 (Spandidos Publications: | PMC Statistics: )
Metrics: Total PDF Downloads: 0 (Spandidos Publications: | PMC Statistics: )
Cited By (CrossRef): 0 citations Loading Articles...

This article is mentioned in:



Abstract

Castleman's disease (CD) is a rare atypical lymphoproliferation disorder first reported in 1954. Clinically, CD is classified as unicentric or multicentric CD based on anatomical distribution. Unicentric CD primarily affects the mediastinum, and rarely affects the retroperitoneal location. The standard treatment for unicentric CD is complete surgical resection; however, this can be complicated by a high degree of attachment with other organs or hypervascularity. Preoperative angiography and embolization of the arteries that feed the problematic mass can reduce intraoperative bleeding in cases of CD with hypervascularity. In the present case report, a 44‑year‑old man who was found to have a pelvic retroperitoneal mass with calcification based on abdominal imaging results is discussed. Due to the hypervascularity of the mass, preoperative embolization was performed. The mass was completely resected without any complications. Additionally, a review of the literature on pelvic CD and preoperative embolization of CD was performed to provide an up‑to‑date reference on the management and outcomes of patients with CD.

Introduction

Castleman disease (CD) is a rare atypical lymphoproliferation disorder, also known as angiofollicular hyperplasia (1). CD was first reported by Benjamin Castleman in 1954 and defined 1956(2). Clinically, CD is classified as unicentric or multicentric CD based on the anatomical distribution (3). Unicentric CD primarily affects the mediastinum, and rarely affects the retroperitoneal or pelvic locations (4). The standard treatment for unicentric CD is complete surgical resection (5). However, in some cases, it may not be possible to resect the problematic mass due to a high degree of attachment with other organs or hypervascularity (6). Preoperative angiography and embolization of the arteries that feed the problematic mass can reduce intraoperative bleeding in cases of CD with hypervascularity (7).

In the present case report, a rare case of unicentric CD presented as a pelvic retroperitoneal mass. Due to the hypervascularity of the mass, preoperative embolization was performed. The mass was completely resected without any complications. Additionally, a review of the literature on pelvic CD and preoperative embolization of CD was performed to provide an up-to-date reference on the management and outcomes of patients with CD.

Case report

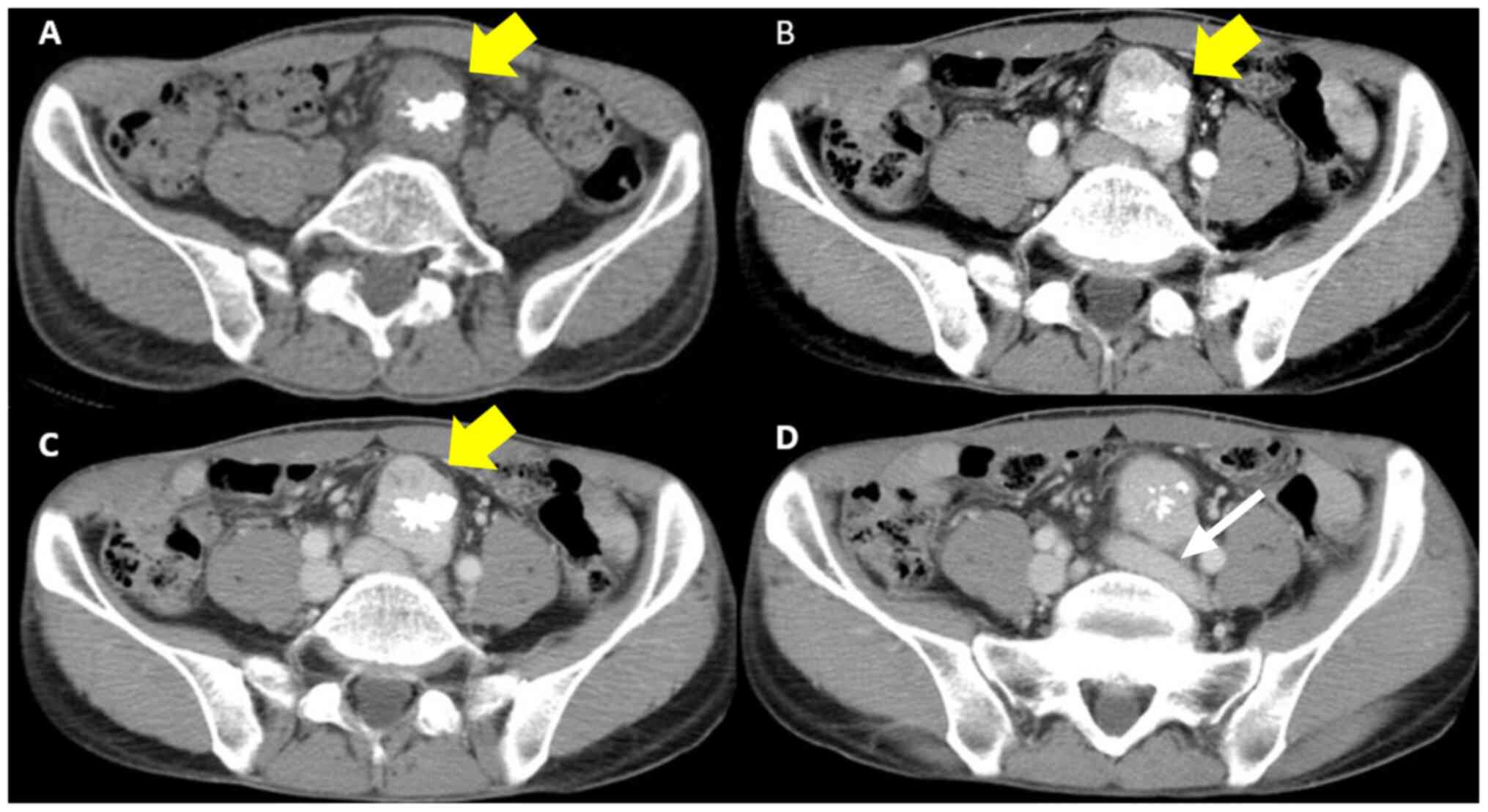
A 44-year-old man presented with a history of diarrhea at another hospital. He was diagnosed with acute enteritis with computed tomography (CT), and the diarrhea was relieved after a few days. The CT scan incidentally revealed a pelvic retroperitoneal mass with calcification, and he was referred to Osaka University Hospital. The patient underwent appendectomy for appendicitis 30 years ago, and had no viral infection or history of any other diseases. The pelvic calcification was previously identified in previous abdominal X-rays, but further examination was not performed. Physical examination revealed no abnormal symptoms. Laboratory blood tests, including for tumor makers (CA19-9 and carcinoembryonic antigen) were normal. Any abnormal finding was not detected by colonoscopy. The abdominal contrast-enhanced CT scan revealed a well-defined 50x30 mm mass behind the sigmoid mesenteric, under the bifurcation of the aorta in the pelvic retroperitoneal. Non-enhanced phase imaging revealed coarse calcification inside the mass, and evident contrast enhancement was observed in the mass during the arterial phase (Fig. 1). Magnetic resonance imaging (MRI) also revealed a well-defined 50x30 mm solid mass situated in the pelvic retroperitoneal. The mass demonstrated heterogeneous and moderately hyperintense signal intensity, and the low signal intensity corresponded to calcification in the T2-weighed images and diffusion-weighted images (Fig. 2). A positive emission tomography/CT scan was performed to exclude the possibility of paraneoplastic manifestations of a primary tumor, and it revealed a 50x30 mm space-occupying lesion with hypermetabolic activity (SUVmax at 4.1) (Fig. 3). Possible differential diagnosis based on the images were CD, primary mesenteric gastrointestinal stromal tumor or leiomyoma. At first, a diagnosis of CD was doubted as the tumor had calcification, exhibited a strong contrast in imaging, had an uniform edge and a relatively uniform inside on the abdominal CT scan; the tumor was generally isointense on T1 weighted images and hyperintense on T2 images (8). Surgical resection following embolization was suggested. Angiographically, the tumor was hypervascular with a dense capillary blush, and it was supplied by the middle sacral artery (Fig. 4). The vasculature of the mass was embolized by DMSO and the patient was operated on the following day.

Figure 1

Abdominal and pelvic contrast-enhanced CT findings. (A) CT scan in the non-enhanced phase. The yellow arrow shows the 50x30 mm, well-defined mass with calcification under the bifurcation of the aorta in pelvic retroperitoneal. (B) CT scan in the arterial phase. The imaging revealed an evident contrast enhancement mass. (C and D) CT scan in the venous phase. The white arrow shows the mass is close to left common iliac vein. CT, computed tomography.

Figure 2

Pelvic MRI findings. (A) MRI sagittal T2; the arrow shows the 50 mm solid mass with high intensity. (B) MRI axial T2; the arrow points to the high intensity mass with a low intensity lesion. (C) MRI axial diffusion weighted image. The arrow points the mass with high intensity. MRI, magnetic resonance imaging.

Figure 3

PET CT scan findings. (A and B) PET CT scan sagittal. (C) PET CT scan axial; the arrow shows the 50x30 mm space-occupying lesion with hypermetabolic activity (SUVmax at 4.1) in the pelvic retroperitoneal. PET CT, positron emission tomography computed tomography.

Figure 4

Angiography findings. (A and B) The yellow arrow shows the mass with a dense capillary blush. The mass was supplied by the middle sacral artery (white arrow).

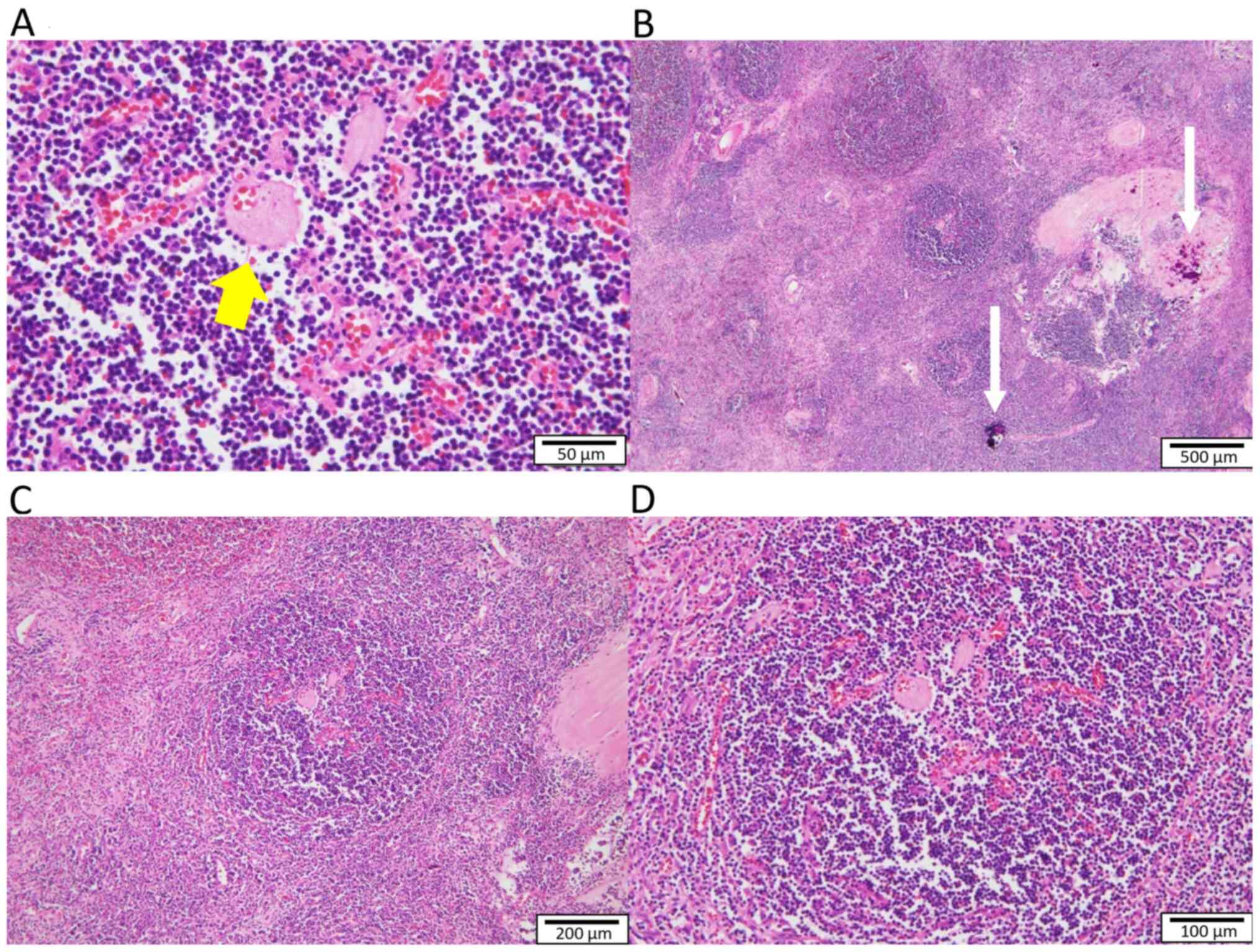
During the laparotomy, the mass was located at the bifurcation of the aorta behind the sigmoid mesentery. Mobilization of the sigmoid mesentery revealed that the mass was 50x30 mm in size, rubbery, rich in vasculature and exhibited a high-degree of attachment to the left common iliac vein. Following surgical ligation and dissection of the vasculature to the mass, the mass was completely resected from the adjacent organs without any complications. The patient lost 160 ml of blood, but no blood transfusion was required. The excised mass was round, well circumscribed and encapsulated. The cut surface was dark red with a central white zone of fibrosis and calcification, and it had a granular appearance (Fig. 5). Histopathological examination revealed the lymphoid tissue had a hyalinized vasculature, calcification and noticeable hemorrhaging. Furthermore, a germinal center was not observed, and thus germinal center atrophy was suspected (Fig. 6). Immunohistochemical analysis showed protein expression of CD3, CD20 and CD79a. Immunohistochemistry did not show an increase in IgG4 antibody expression compared with total immunoglobulin expression. Clonality analysis using genomic DNA extraction from the surgical specimen showed no clonality and DNA fragmentation. These histological findings suggested CD of a hyaline vascular (HV) type. Currently, at 20 months post-operation, the patient has not experienced a recurrence. A schematic of this case is shown (Fig. 7).

Figure 5

Intraoperative findings. (A) The yellow arrow shows the mass behind the sigmoid mesenteric. (B) After resection of the mass. The mass exhibited a high degree of attachment to the left common iliac vein (white arrow). (C) Resected specimen; the mass was 50x30 mm in size, round, rubbery, well circumscribed and encapsulated. The cut surface was dark red with a central white zone of fibrosis and calcification, and had a granular appearance.

Figure 6

Histopathological findings of the resected specimen. (A and B) Histopathological examination revealed the lymphoid tissue had a hyalinized vasculature (yellow arrow), calcification (white arrow) and noticeable hemorrhaging. (C and D) A germinal center was not observed.

Figure 7

Schema of the present case. The arrow shows the mass was present under the bifurcation of the aorta in the pelvic retroperitoneal and was supplied by the middle sacral artery (dotted arrow) embolized preoperatively.

Discussion and literature review

The classification of CD into unicentric or multicentric CD is based on the presence of this lymphoproliferative disorder in one or more regions, respectively (9). There are three histopathological types of the disease, HV, plasmacytic (PC) and mixed type (10). HV type occurs in 80-90% of cases and usually appears more frequently as a unicentric localization, whereas PC is primarily multicentric and accounts for 10-20% of cases (11). Furthermore, 90% of patients with unicentric CD are usually asymptomatic (1). The large lymph node due to unicentric CD is located only at a single site, exhibits slow progression and is rarely observed in radiographs (1). CD is often overlooked as a possible diagnosis due to its low incidence rate. The possibility of CD should be considered following the identification of a homogeneous vascular mass (8). CD most commonly affects the mediastinum (63%), followed by the abdomen (11%), retroperitoneum (7%) and axilla (4%) (12).

Unicentric CD in the retroperitoneum is commonly found in the retroperitoneal space (53%), followed by the pararenal (15%), peripancreatic (9.7%) and pelvic regions (6.7%) (4). The most common presentation is abdominal pain (42%) (13). Due to its rarity and lack of disease-specific makers and indications, preoperative diagnosis is difficult. The differential diagnosis includes lymphoma, sarcoma, lymph node metastasis, gastrointestinal stromal tumor, lipomas, leiomyomas, neurofibromas, paraganglioma and infectious/inflammatory diseases (14). The imaging findings of unicentric CD are commonly seen on contrast-enhanced CT as a well-defined, solitary soft tissue tumor with evident contrast enhancement during the arterial phase (12). Most unicentric CD lesions are isointense or slightly hyperintense relative to skeletal muscle on T1-weighted images, and hyperintense on T2-weighted images, reflecting the vascularity of the mass (15). The first choice of treatment for unicentric CD is surgical resection if it is curatively resectable; the 10-year overall survival rate is 95% and the 5-year disease-free survival rate is over 90%, suggesting a good prognosis following complete resection (16).

All previously reported cases of abdominal, retroperitoneal and pelvic unicentric CD were searched in PubMed, focusing on studies published in English with images to support the location of the masses identified. A total of 152 cases of abdominal, retroperitoneal and pelvic unicentric CD were found (as of July 2020). A summary of the areas of the abdomen where unicentric CD has been reported is shown in Fig. 8. The most frequently reported site was the superior mesenteric artery feeding mesentery (25%; 38/152). In the retroperitoneal, the paraaortic and left peri-renal areas were found to be the most common: 13.8% (21/152) and 11.2% (17/152), respectively. A small number of cases have also been reported in solid organs such as the liver, pancreas and kidneys (17-19). Pelvic unicentric CD occurred less frequently than intra-abdominal or extra pelvic retroperitoneal unicentric CD, accounting for 15.1% (25/152) cases of abdominal unicentric CD.

Figure 8

A literature review of abdominal unicentric CD (n=152 cases). The size of the circles indicates the number of cases associated with that region/organ. The present case is shown in an oval shape.

Intraabdominal presentations of CD were the second most common location, and pelvic presentations were rare. The present case report was compared with other reported cases in which unicentric CD was present as a pelvic mass. There were 10 cases, and the clinical data and surgical outcomes of these patients are reviewed and listed in Table I. The mean age of the patients was 35.4 years, and the mean greatest diameter of the lesion was 5.88 cm. HV type was observed in 10 out of 11 cases. Furthermore, 2 cases were treated using a laparoscopic approach. All cases in Table I were treated with complete resection and there were no cases of recurrence. Unicentric CD with calcification was found in 2 cases in Table I. The case reported in the present study was the only case in which calcifications were present, and was resected after embolization for pelvic CD.

Table I

Summary of the clinical data and outcomes of patients with pelvic unicentric Castleman's disease who underwent surgical resection.

Table I

Summary of the clinical data and outcomes of patients with pelvic unicentric Castleman's disease who underwent surgical resection.

First author, yearCaseAge, yearsSexGreatest diameter, cmHistological subtypeCalcification on US, CT or MRIPreoperative diagnosisPreoperative embolizationTreatmentFollow up period(Refs.)
Menenakos et al, 2007163Male10.3HVExist on CTCastleman's disease-Laparotomy, complete resectionNo recurrence in 2 months(26)
Sato et al, 2013222Female9.5HVNo on US and MRICould not be made-Laparotomy, complete resectionNo recurrence in 108 months(27)
Al-Natour et al, 2010341Male8HVNo on CTExtra-adrenal pheochromocytoma-Laparotomy, complete resectionNo recurrence in 6 months(28)
Yu et al, 2019423Male6.2MixedNo on US and MRICastleman's disease+Laparotomy, anterior resectionN/A(29)
Benjamin et al, 2015529Female6HVNo on MRIOvarian torsion-Laparotomy, low anterior resectionNo recurrence in 23 months(30)
Hwang et al, 2011634Female6HVNo on MRINeurogenic tumor-Laparoscopy, complete resectionN/A(31)
Watson et al, 2000746Female4HVNo on MRIVascular tumor, AVM-Laparotomy, complete resectionN/A(32)
Zhang and Jia, 2008810Female4HVNo on CTN/A-Laparotomy, complete resectionNo recurrence in 6 months(33)
Schelble and Merritt, 2019913Female4HVNo on US and MRIBiopsy: HV type Castleman's disease-Open retroperitoneal approach, complete resectionN/A(34)
Guthrie et al, 20161064Male1.7HVNo on MRIGenitourinary or hematologic malignancy-Robotic-assisted laparoscopy, bilateral pelvic lymph node dissectionN/A(35)
Present case1144Male5HVExist on CTCastleman's disease+Laparotomy, complete resectionNo recurrence in 21 monthsPresent case report

[i] US, ultrasound; MRI, magnetic resonance imaging; CT, computed tomography; HV, hyaline vascular; N/A, not available.

Several previous cases were diagnosed with abdominal unicentric CD following post-surgical histological examination. The optimal therapy for unicentric CD is surgical resection, which is usually curative if the disease is amenable to complete resection (5). Surgical resection is a useful approach for the diagnosis and treatment of the disease (8).

The masses found in patients with CD often exhibit a moderate to high degree of attachment contiguous with surrounding anatomical structures (6). A high degree of attachment to the contiguous anatomical structures is often observed in lesions >5 cm in diameter (6). Furthermore, significant bleeding may obstruct surgical procedures (4).

In cases of HV-type CD where there is a notably higher risk of massive bleeding due to the hypervascularity, preoperative angiography and embolization of the arteries that supply the tumor should be considered to reduce intraoperative bleeding (7). Preoperative embolization has also been suggested where there is encasement or invasion of the adjacent structures (20-22).

The present case was compared with the other reported cases in which patients with unicentric CD were treated using complete surgical resection after angiography and embolization of the feeding artery. There were 10 such cases, and the clinical data and surgical outcomes of these patients were reviewed and are listed in Table II. The mean age of the patients was 28.6 years and the mean greatest diameter of the lesion was 8.58 cm. HV type was observed in 10 of 11 cases (aforementioned 10 cases and the present case; Table II) The mean blood loss during operation ranged from minimal to 940 ml, and the clinical course was uneventful in all cases (Table II). Preoperative embolization may affect the histological findings on the resected specimens. In relation to the histological findings after embolization, fibrosis and marked hemorrhage were reported.

Table II

Summary of clinical data and outcomes in patients with unicentric Castleman's disease who underwent preoperative embolization.

Table II

Summary of clinical data and outcomes in patients with unicentric Castleman's disease who underwent preoperative embolization.

First author, yearCaseAgeSexGreatest diameter, cmLocationFeeding arteryTime to operation, dayPreoperative diagnosisProcedureBlood loss, mlFollow up period(Refs.)
Robert et al, 2008131Female12Posterior mediastinumBronchial and extrabronchial arteries7N/ARight anterior thoracotomy200N/A(23)
Nagano et al, 2013233Male11Next to the right kidneyRight lumbar arteries1Schwannoma, inflammatory myofibroblastic tumor, and liposarcomaComplete resection940No recurrence in 12 months(36)
Gorospe et al, 2017331Male10MediastinumRight bronchial arteryN/ABiopsy: CDRight posterolateral thoracotomyLittle blood lossNo recurrence in 18 months(37)
Sanchez-Ros-Sanchez et al, 2012434Female9Cervical regionLeft transverse cervical artery and dorsal scapular artery1CDComplete resectionN/ANo recurrence in 30 months(38)
Aydemir et al, 2010532Female9Under the azygous veinRight bronchial artery14N/AComplete resectionN/ANo recurrence in 12 months(39)
Safford et al, 2003611Male8Middle mediastinal massesRight intercostal artery and right internal mammary artery1Open biopsy: CDComplete resection50 (Open biopsy: Lots of blood loss)No recurrence in 1 month(40)
Swee et al, 2009715Female7Right paratracheal lesionBronchial arteryN/ABiopsy: CDComplete resection50N/A(22)
Yu et al, 2019823Male6.2PelvicBilateral iliac artery branches7CDLaparoscopic anterior resectionN/AN/A(29)
Williams et al, 1998931MaleN/AErector spinae muscleRight fifth lumber artery and right internal iliac artery1Biopsy: CDErector spinae muscle resectionLittle blood lossNo recurrence in 24 months(41)
Amano et al, 20131030FemaleN/ASubcarinal azygoesophageal recessRight bronchial artery1Paraganglioma and CDVATS, complete resection400No recurrence in 12 months(42)
Present case1144Male5Under the bifurcation of aorta in pelvic retroperitonealMiddle sacral artery1CDComplete resection160No recurrence in 21 monthsPresent case report

[i] CD, Castleman's disease; N/A, not available; VATS, video-assisted thoracic surgery.

In the present case, the patient had previously been shown to possess a pelvic calcification in an abdominal x-ray. It has been reported that calcifications are seen in 31% of patients with abdominal or pelvic CD (23). Pelvic calcifications are usually indicative of neurogenic tumors, teratomas, uterine fibroids and intravesical stones, amongst other potential conditions (24,25). However, it is important to consider the possibility of pelvic CD in the differential diagnosis of a pelvic calcification in an abdominal X-ray.

In conclusion, CD is a rare lymphoproliferation disorder of uncertain etiology. Pelvic CD is extremely rare, so it is important to consider CD as a differential diagnosis when a pelvic lesion is found. Although the clinical course of complete surgical resection for unicentric CD is good, surgical resection may be difficult due to attachment with the surrounding tissues or high hypervascularity. Preoperative angiography and embolization of the arteries feeding the tumor can prevent or limit intraoperative bleeding.

Acknowledgements

Not applicable.

Funding

No funding was received.

Availability of data and materials

All data generated and/or analyzed in the present study are included in this published article.

Authors' contributions

MK, NM, SF, TO, HT, MU, TM, YD and HE contributed to the diagnosis at the preoperative conference, NM and SF performed the resection, and contributed to the follow-up. All authors read and approved the final manuscript.

Ethics approval and consent to participate

Not applicable.

Patient consent for publication

Written informed consent was obtained from the patient for the publication of this case report and the accompanying images.

Competing interests

The author declare that they have no competing interests.

References

1 

Ren N, Ding L, Jia E and Xue J: Recurrence in unicentric Castleman's disease postoperatively: A case report and literature review. BMC Surg. 18(1)2018.PubMed/NCBI View Article : Google Scholar

2 

Castleman B, Iverson L and Menendez VP: Localized mediastinal lymphnode hyperplasia resembling thymoma. Cancer. 9:822–830. 1956.PubMed/NCBI View Article : Google Scholar

3 

Li XF, Liu JZ, Zhang CJ and Miao Q: Unicentric Castleman's disease with Cardiovascular Involvement. Chin Med Sci J. 32:198–200. 2017.PubMed/NCBI View Article : Google Scholar

4 

Gopi P, Potty VS, Kaurav RS and Govindan K: Unicentric Castleman's disease as a localized retroperitoneal mass: A case report and review of literature. Int J Appl Basic Med Res. 8:259–262. 2018.PubMed/NCBI View Article : Google Scholar

5 

Soumerai JD, Sohani AR and Abramson JS: Diagnosis and management of Castleman disease. Cancer Control. 21:266–278. 2014.PubMed/NCBI View Article : Google Scholar

6 

Ko SF, Ng SH, Hsieh MJ, Lin JW, Huang CC, Lee TY and Chen WJ: Castleman disease of the pleura: Experience with eight surgically proven cases. Ann Thorac Surg. 76:219–224. 2003.PubMed/NCBI View Article : Google Scholar

7 

Madan R, Chen J-H, Trotman-Dickenson B, Jacobson F and Hunsaker A: The spectrum of Castleman's disease: Mimics, radiologic pathologic correlation and role of imaging in patient management. Eu J Radiol. 81:123–131. 2012.PubMed/NCBI View Article : Google Scholar

8 

Tampakis A, Tampaki EC, Daikeler T and Lardinois D: Intrathoracic tumor of the chest wall: A case of Castleman's disease mimicking myositis of the lower extremities. Gen Thorac Cardiovasc Surg. 65:664–666. 2017.PubMed/NCBI View Article : Google Scholar

9 

Svensson JF, Marshall-Heyman M, Lindgren F and Ghaffarpour N: Minimal access surgery in Castleman disease in a child, a case report. J Pediatr Surg Case Rep. 3:289–291. 2015.

10 

Bracale U, Pacelli F, Milone M, Bracale UM, Sodo M, Merola G, Troiani T and Di Salvo E: Laparoscopic treatment of abdominal unicentric Castleman's disease: A case report and literature review. BMC Surg. 17(38)2017.PubMed/NCBI View Article : Google Scholar

11 

Xu J, Zhou BO, Cao HL, Wang BO, Yan S and Zheng SS: Surgical management of isolated retroperitoneal Castleman's disease: A case report. Oncol Lett. 11:2123–2126. 2016.PubMed/NCBI View Article : Google Scholar

12 

Bucher P, Chassot G, Zufferey G, Ris F, Huber O and Morel P: Surgical management of abdominal and retroperitoneal Castleman's disease. World J Surg Oncol. 3(33)2005.PubMed/NCBI View Article : Google Scholar

13 

Vassos N, Raptis D, Lell M, Klein P, Perrakis A, Köhler J, Croner RS, Hohenberger W and Agaimy A: Intra-abdominal localized hyaline-vascular Castleman disease: Imaging characteristics and management of a rare condition. Arch Med Sci. 12:227–232. 2016.PubMed/NCBI View Article : Google Scholar

14 

Jiang Y, Hou G, Zhu Z, Huo L, Li F and Cheng W: The value of multiparameter 18F-FDG PET/CT imaging in differentiating retroperitoneal paragangliomas from unicentric Castleman disease. Sci Rep. 10(12887)2020.PubMed/NCBI View Article : Google Scholar

15 

Wong RSM: Unicentric Castleman disease. Hematol Oncol Clin North Am. 32:65–73. 2018.PubMed/NCBI View Article : Google Scholar

16 

Talat N, Belgaumkar AP and Schulte KM: Surgery in Castleman's disease: A systematic review of 404 published cases. Ann Surg. 255:677–684. 2012.PubMed/NCBI View Article : Google Scholar

17 

Masoum SHF, Nooghabi AJ and Rezaei R: Castleman's disease: Report of four cases and review of the literature. Acta Medica Iranica. 56:132–136. 2018.

18 

Goetze O, Banasch M, Junker K, Schmidt WE and Szymanski C: Unicentric Castleman's disease of the pancreas with massive central calcification. World J Gastroenterol. 11:6725–6727. 2005.PubMed/NCBI View Article : Google Scholar

19 

Miyoshi H, Mimura S, Nomura T, Tani J, Morishita A, Kobara H, Mori H, Yoneyama H, Deguchi A, Himoto T, et al: A rare case of hyaline-type Castleman disease in the liver. World J Hepatol. 5:404–408. 2005.PubMed/NCBI View Article : Google Scholar

20 

Jang SM, Han H, Jang KS, Jun YJ, Lee TY and Paik SS: Castleman's disease of the renal sinus presenting as a urothelial malignancy: A brief case report. Korean J Pathol. 46:503–506. 2012.PubMed/NCBI View Article : Google Scholar

21 

Husainy MA, Sayyed F and McPherson SJ: Castleman's disease: A rare indication for endovascular therapy for hemoptysis. Indian J Radiol Imaging. 27:33–35. 2017.PubMed/NCBI View Article : Google Scholar

22 

Swee W, Housseini AM, Angle JF, Jones DR, Daniel TM, Turba UC, Abdel-Gawad EA and Hagspiel KD: Preoperative embolization of Castleman's disease using microspheres. Ann Thorac Surg. 88:1999–2001. 2009.PubMed/NCBI View Article : Google Scholar

23 

Robert JH, Sgourdos G, Kritikos N, Didier D and Terraz S: Preoperative embolization of hypervascular Castleman's disease of the mediastinum. Cardiovasc Interven Radiol. 31:186–188. 2008.PubMed/NCBI View Article : Google Scholar

24 

Meador TL and McLarney JK: CT features of Castleman disease of the abdomen and pelvis. Am J Roentgenol. 175:115–118. 2000.PubMed/NCBI View Article : Google Scholar

25 

Sadamoto Y, Abe Y, Higuchi K, Kato K, Matsumoto S, Arima N and Nawata H: Retroperitoneal Castleman's disease of the hyaline vascular type presenting arborizing calcificatio. Intern Med. 37:691–693. 1998.PubMed/NCBI View Article : Google Scholar

26 

Menenakos C, Braumann C, Hartmann J and Jacobi CA: Retroperitoneal Castleman's tumor and paraneoplastic pemphigus: Report of a case and review of the literature. World J Surg Oncol. 5(45)2007.PubMed/NCBI View Article : Google Scholar

27 

Sato A: Castleman's disease in the pelvic retroperitoneum: A case report and review of the Japanese literature. Int J Surg Case Rep. 4:19–22. 2013.PubMed/NCBI View Article : Google Scholar

28 

Al-Natour S, Sawalhi S, Al-Muhtady D and Hijazi E: Mesenteric Castleman's disease: Case report and literature review. Asian J Surg. 33:150–153. 2010.PubMed/NCBI View Article : Google Scholar

29 

Yu G, Cao F, Gong H, Liu P, Sun G and Zhang W: Embolization of blood-supply artery followed by surgery for treatment of mesorectal Castleman's disease: Case report and literature review. Gastroenterol Rep. 7:141–145. 2019.PubMed/NCBI View Article : Google Scholar

30 

Benjamin B, Zaltzman R, Shpitz B, Gordon CR and Avital S: Presacral mass discovered during pregnancy followed by myasthenia gravis. Isr Med Assoc J. 17:318–320. 2015.PubMed/NCBI

31 

Hwang MR, Chang HJ, Kim MJ, Seo GJ, Yoo SB, Park JW, Choi HS and Oh JH: Castleman's disease of the mesorectum: Report of a case. Surg Today. 41:271–275. 2011.PubMed/NCBI View Article : Google Scholar

32 

Watson G, Keane A and Chawdhery Z: Pelvic Castleman's disease shown by angiography and MRI. Eur Radiol. 10:1837–1839. 2000.PubMed/NCBI View Article : Google Scholar

33 

Zhang KR and Jia HM: Mesenteric Castleman disease. J Pediatr Surg. 43:1398–1400. 2008.PubMed/NCBI View Article : Google Scholar

34 

Schelble AP and Merritt DF: Pelvic Castleman's disease presenting as an adnexal mass in an adolescent. J Pediatr Adolesc Gynecol. 32:86–89. 2019.PubMed/NCBI View Article : Google Scholar

35 

Guthrie PJ, Thomas JV, Peker D, Turkbey B and Rais-Bahrami S: Perivesical unicentric Castleman disease initially suspected to be metastatic prostate cancer. Urol Annals. 8:245–248. 2016.PubMed/NCBI View Article : Google Scholar

36 

Nagano S, Yokouchi M, Yamamoto T, Kaieda H, Setoguchi T, Hiraki T, Tashiro Y, Yonezawa S and Komiya S: Castleman's disease in the retroperitoneal space mimicking a paraspinal schwannoma: A case report. World J Surg Oncol. 11(108)2013.PubMed/NCBI View Article : Google Scholar

37 

Gorospe L, Valdebenito-Montecino AP and Munoz-Molina GM: Preoperative embolization of mediastinal Castleman's disease presenting with stroke. Asian Cardiovasc Thorac Ann. 25:158–159. 2017.PubMed/NCBI View Article : Google Scholar

38 

Sanchez-Ros-Sanchez A, Infante-Cossio P, Gonzalez-Garcia A and Borrero-Martin JJ: Preoperative embolization for the treatment of cervical Castleman disease. J Craniofac Surg. 23:e257–e259. 2012.PubMed/NCBI View Article : Google Scholar

39 

Aydemir B, Okay T, Imamoglu O, Sahin S and Dogusoy I: Preoperative embolization in mediastinal Castleman's disease. Thorac Cardiovasc Surg. 58:496–498. 2010.PubMed/NCBI View Article : Google Scholar

40 

Safford SD, Lagoo AS and Mahaffey SA: Preoperative embolization as an adjunct to the operative management of mediastinal Castleman disease. J Pediatr Surg. 38:E21–E23. 2003.PubMed/NCBI View Article : Google Scholar

41 

Williams HR, Millner PA and Coral A: Castleman's disease of the erector spinae muscle. Skel Radiol. 27:637–640. 1998.PubMed/NCBI View Article : Google Scholar

42 

Amano Y, Takai D, Ohishi N, Shinozaki-Ushiku A, Fukayama M, Akahane M, Nakajima J and Nagase T: Successful treatment of mediastinal unicentric Castleman's disease using video-assisted thoracoscopic surgery with preoperative embolization. Case Rep Med. 2013(354507)2013.PubMed/NCBI View Article : Google Scholar

Related Articles

  • Abstract
  • View
  • Download
  • Twitter
Copy and paste a formatted citation
Spandidos Publications style
Kitakaze M, Miyoshi N, Fujino S, Ogino T, Takahashi H, Uemura M, Mizushima T, Doki Y and Eguchi H: Surgical resection for pelvic retroperitoneal Castleman's disease: A case report and review literature. Biomed Rep 14: 29, 2021.
APA
Kitakaze, M., Miyoshi, N., Fujino, S., Ogino, T., Takahashi, H., Uemura, M. ... Eguchi, H. (2021). Surgical resection for pelvic retroperitoneal Castleman's disease: A case report and review literature. Biomedical Reports, 14, 29. https://doi.org/10.3892/br.2021.1405
MLA
Kitakaze, M., Miyoshi, N., Fujino, S., Ogino, T., Takahashi, H., Uemura, M., Mizushima, T., Doki, Y., Eguchi, H."Surgical resection for pelvic retroperitoneal Castleman's disease: A case report and review literature". Biomedical Reports 14.3 (2021): 29.
Chicago
Kitakaze, M., Miyoshi, N., Fujino, S., Ogino, T., Takahashi, H., Uemura, M., Mizushima, T., Doki, Y., Eguchi, H."Surgical resection for pelvic retroperitoneal Castleman's disease: A case report and review literature". Biomedical Reports 14, no. 3 (2021): 29. https://doi.org/10.3892/br.2021.1405
Copy and paste a formatted citation
x
Spandidos Publications style
Kitakaze M, Miyoshi N, Fujino S, Ogino T, Takahashi H, Uemura M, Mizushima T, Doki Y and Eguchi H: Surgical resection for pelvic retroperitoneal Castleman's disease: A case report and review literature. Biomed Rep 14: 29, 2021.
APA
Kitakaze, M., Miyoshi, N., Fujino, S., Ogino, T., Takahashi, H., Uemura, M. ... Eguchi, H. (2021). Surgical resection for pelvic retroperitoneal Castleman's disease: A case report and review literature. Biomedical Reports, 14, 29. https://doi.org/10.3892/br.2021.1405
MLA
Kitakaze, M., Miyoshi, N., Fujino, S., Ogino, T., Takahashi, H., Uemura, M., Mizushima, T., Doki, Y., Eguchi, H."Surgical resection for pelvic retroperitoneal Castleman's disease: A case report and review literature". Biomedical Reports 14.3 (2021): 29.
Chicago
Kitakaze, M., Miyoshi, N., Fujino, S., Ogino, T., Takahashi, H., Uemura, M., Mizushima, T., Doki, Y., Eguchi, H."Surgical resection for pelvic retroperitoneal Castleman's disease: A case report and review literature". Biomedical Reports 14, no. 3 (2021): 29. https://doi.org/10.3892/br.2021.1405
Follow us
  • Twitter
  • LinkedIn
  • Facebook
About
  • Spandidos Publications
  • Careers
  • Cookie Policy
  • Privacy Policy
How can we help?
  • Help
  • Live Chat
  • Contact
  • Email to our Support Team