Spandidos Publications Logo
  • About
    • About Spandidos
    • Aims and Scopes
    • Abstracting and Indexing
    • Editorial Policies
    • Reprints and Permissions
    • Job Opportunities
    • Terms and Conditions
    • Contact
  • Journals
    • All Journals
    • Oncology Letters
      • Oncology Letters
      • Information for Authors
      • Editorial Policies
      • Editorial Board
      • Aims and Scope
      • Abstracting and Indexing
      • Bibliographic Information
      • Archive
    • International Journal of Oncology
      • International Journal of Oncology
      • Information for Authors
      • Editorial Policies
      • Editorial Board
      • Aims and Scope
      • Abstracting and Indexing
      • Bibliographic Information
      • Archive
    • Molecular and Clinical Oncology
      • Molecular and Clinical Oncology
      • Information for Authors
      • Editorial Policies
      • Editorial Board
      • Aims and Scope
      • Abstracting and Indexing
      • Bibliographic Information
      • Archive
    • Experimental and Therapeutic Medicine
      • Experimental and Therapeutic Medicine
      • Information for Authors
      • Editorial Policies
      • Editorial Board
      • Aims and Scope
      • Abstracting and Indexing
      • Bibliographic Information
      • Archive
    • International Journal of Molecular Medicine
      • International Journal of Molecular Medicine
      • Information for Authors
      • Editorial Policies
      • Editorial Board
      • Aims and Scope
      • Abstracting and Indexing
      • Bibliographic Information
      • Archive
    • Biomedical Reports
      • Biomedical Reports
      • Information for Authors
      • Editorial Policies
      • Editorial Board
      • Aims and Scope
      • Abstracting and Indexing
      • Bibliographic Information
      • Archive
    • Oncology Reports
      • Oncology Reports
      • Information for Authors
      • Editorial Policies
      • Editorial Board
      • Aims and Scope
      • Abstracting and Indexing
      • Bibliographic Information
      • Archive
    • Molecular Medicine Reports
      • Molecular Medicine Reports
      • Information for Authors
      • Editorial Policies
      • Editorial Board
      • Aims and Scope
      • Abstracting and Indexing
      • Bibliographic Information
      • Archive
    • World Academy of Sciences Journal
      • World Academy of Sciences Journal
      • Information for Authors
      • Editorial Policies
      • Editorial Board
      • Aims and Scope
      • Abstracting and Indexing
      • Bibliographic Information
      • Archive
    • International Journal of Functional Nutrition
      • International Journal of Functional Nutrition
      • Information for Authors
      • Editorial Policies
      • Editorial Board
      • Aims and Scope
      • Abstracting and Indexing
      • Bibliographic Information
      • Archive
    • International Journal of Epigenetics
      • International Journal of Epigenetics
      • Information for Authors
      • Editorial Policies
      • Editorial Board
      • Aims and Scope
      • Abstracting and Indexing
      • Bibliographic Information
      • Archive
    • Medicine International
      • Medicine International
      • Information for Authors
      • Editorial Policies
      • Editorial Board
      • Aims and Scope
      • Abstracting and Indexing
      • Bibliographic Information
      • Archive
  • Articles
  • Information
    • Information for Authors
    • Information for Reviewers
    • Information for Librarians
    • Information for Advertisers
    • Conferences
  • Language Editing
Spandidos Publications Logo
  • About
    • About Spandidos
    • Aims and Scopes
    • Abstracting and Indexing
    • Editorial Policies
    • Reprints and Permissions
    • Job Opportunities
    • Terms and Conditions
    • Contact
  • Journals
    • All Journals
    • Biomedical Reports
      • Information for Authors
      • Editorial Policies
      • Editorial Board
      • Aims and Scope
      • Abstracting and Indexing
      • Bibliographic Information
      • Archive
    • Experimental and Therapeutic Medicine
      • Information for Authors
      • Editorial Policies
      • Editorial Board
      • Aims and Scope
      • Abstracting and Indexing
      • Bibliographic Information
      • Archive
    • International Journal of Epigenetics
      • Information for Authors
      • Editorial Policies
      • Editorial Board
      • Aims and Scope
      • Abstracting and Indexing
      • Bibliographic Information
      • Archive
    • International Journal of Functional Nutrition
      • Information for Authors
      • Editorial Policies
      • Editorial Board
      • Aims and Scope
      • Abstracting and Indexing
      • Bibliographic Information
      • Archive
    • International Journal of Molecular Medicine
      • Information for Authors
      • Editorial Policies
      • Editorial Board
      • Aims and Scope
      • Abstracting and Indexing
      • Bibliographic Information
      • Archive
    • International Journal of Oncology
      • Information for Authors
      • Editorial Policies
      • Editorial Board
      • Aims and Scope
      • Abstracting and Indexing
      • Bibliographic Information
      • Archive
    • Medicine International
      • Information for Authors
      • Editorial Policies
      • Editorial Board
      • Aims and Scope
      • Abstracting and Indexing
      • Bibliographic Information
      • Archive
    • Molecular and Clinical Oncology
      • Information for Authors
      • Editorial Policies
      • Editorial Board
      • Aims and Scope
      • Abstracting and Indexing
      • Bibliographic Information
      • Archive
    • Molecular Medicine Reports
      • Information for Authors
      • Editorial Policies
      • Editorial Board
      • Aims and Scope
      • Abstracting and Indexing
      • Bibliographic Information
      • Archive
    • Oncology Letters
      • Information for Authors
      • Editorial Policies
      • Editorial Board
      • Aims and Scope
      • Abstracting and Indexing
      • Bibliographic Information
      • Archive
    • Oncology Reports
      • Information for Authors
      • Editorial Policies
      • Editorial Board
      • Aims and Scope
      • Abstracting and Indexing
      • Bibliographic Information
      • Archive
    • World Academy of Sciences Journal
      • Information for Authors
      • Editorial Policies
      • Editorial Board
      • Aims and Scope
      • Abstracting and Indexing
      • Bibliographic Information
      • Archive
  • Articles
  • Information
    • For Authors
    • For Reviewers
    • For Librarians
    • For Advertisers
    • Conferences
  • Language Editing
Login Register Submit
  • This site uses cookies
  • You can change your cookie settings at any time by following the instructions in our Cookie Policy. To find out more, you may read our Privacy Policy.

    I agree
Search articles by DOI, keyword, author or affiliation
Search
Advanced Search
presentation
Biomedical Reports
Join Editorial Board Propose a Special Issue
Print ISSN: 2049-9434 Online ISSN: 2049-9442
Journal Cover
February-2023 Volume 18 Issue 2

Full Size Image

Sign up for eToc alerts
Recommend to Library

Journals

International Journal of Molecular Medicine

International Journal of Molecular Medicine

International Journal of Molecular Medicine is an international journal devoted to molecular mechanisms of human disease.

International Journal of Oncology

International Journal of Oncology

International Journal of Oncology is an international journal devoted to oncology research and cancer treatment.

Molecular Medicine Reports

Molecular Medicine Reports

Covers molecular medicine topics such as pharmacology, pathology, genetics, neuroscience, infectious diseases, molecular cardiology, and molecular surgery.

Oncology Reports

Oncology Reports

Oncology Reports is an international journal devoted to fundamental and applied research in Oncology.

Experimental and Therapeutic Medicine

Experimental and Therapeutic Medicine

Experimental and Therapeutic Medicine is an international journal devoted to laboratory and clinical medicine.

Oncology Letters

Oncology Letters

Oncology Letters is an international journal devoted to Experimental and Clinical Oncology.

Biomedical Reports

Biomedical Reports

Explores a wide range of biological and medical fields, including pharmacology, genetics, microbiology, neuroscience, and molecular cardiology.

Molecular and Clinical Oncology

Molecular and Clinical Oncology

International journal addressing all aspects of oncology research, from tumorigenesis and oncogenes to chemotherapy and metastasis.

World Academy of Sciences Journal

World Academy of Sciences Journal

Multidisciplinary open-access journal spanning biochemistry, genetics, neuroscience, environmental health, and synthetic biology.

International Journal of Functional Nutrition

International Journal of Functional Nutrition

Open-access journal combining biochemistry, pharmacology, immunology, and genetics to advance health through functional nutrition.

International Journal of Epigenetics

International Journal of Epigenetics

Publishes open-access research on using epigenetics to advance understanding and treatment of human disease.

Medicine International

Medicine International

An International Open Access Journal Devoted to General Medicine.

Journal Cover
February-2023 Volume 18 Issue 2

Full Size Image

Sign up for eToc alerts
Recommend to Library

  • Article
  • Citations
    • Cite This Article
    • Download Citation
    • Create Citation Alert
    • Remove Citation Alert
    • Cited By
  • Similar Articles
    • Related Articles (in Spandidos Publications)
    • Similar Articles (Google Scholar)
    • Similar Articles (PubMed)
  • Download PDF
  • Download XML
  • View XML
Article Open Access

Bioinformatics analysis of key biomarkers for bladder cancer

  • Authors:
    • Wentao Liu
    • Yuxin Xu
    • Shengbin Bai
    • Libin Liao
  • View Affiliations / Copyright

    Affiliations: Department of Histology and Embryology, School of Basic Medical Sciences, Xinjiang Medical University, Urumqi, Xinjiang Uygur Autonomous Region 830011, P.R. China, Disease Surveillance Department, Center for Disease Control and Prevention, Western Theater Command, Lanzhou, Gansu 730020, P.R. China
    Copyright: © Liu et al. This is an open access article distributed under the terms of Creative Commons Attribution License.
  • Article Number: 14
    |
    Published online on: December 16, 2022
       https://doi.org/10.3892/br.2022.1596
  • Expand metrics +
Metrics: Total Views: 0 (Spandidos Publications: | PMC Statistics: )
Metrics: Total PDF Downloads: 0 (Spandidos Publications: | PMC Statistics: )
Cited By (CrossRef): 0 citations Loading Articles...

This article is mentioned in:



Abstract

Bladder cancer (BC) is one of the most prevalent genitourinary cancers. Despite the growing research interest in BC, the molecular mechanisms underlying its carcinogenesis remain poorly understood. The microarray datasets GSE38264 and GSE61615 obtained from the Gene Expression Omnibus (GEO) database were analyzed and differentially expressed genes (DEGs) were identified, which were then verified using a dataset from The Cancer Genome Atlas (TCGA). By taking the intersection of the two microarray datasets, the common DEGs were identified and these were selected as candidate genes associated with BC. The DEGs were further subjected to Gene Ontology and Kyoto Encyclopedia of Genes and Genomes enrichment analysis, and the protein‑protein interaction network was constructed. Further module analysis was performed using STRING and Cytoscape. A total of 362 DEGs were identified, including 13 hub genes, and the GO analysis revealed that these genes were mainly enriched in extracellular matrix organization, positive regulation of cell proliferation, angiogenesis and peptidyl‑tyrosine phosphorylation. The expression changes of PTPRC, PDGFRA, CASQ2, TGFBI, KLRD1 and MT1X in the different datasets indicated that these genes were involved in the development of BC. Next, the differential expression of these genes was verified in the TCGA dataset, and ultimately, these 13 genes were determined to be related to the occurrence and development of BC. Finally, the cancer tissues and adjacent tissues of patients with BC were collected and subjected to reverse transcription‑quantitative PCR, the results of which were consistent with the bioinformatics prediction. The present findings provide several vital genes for the clinical diagnosis and treatment of BC.

Introduction

Bladder cancer (BC) is the second most frequently occurring urinary system tumor and the mortality rate of BC is gradually increasing worldwide (1,2). The main risk factors for this cancer type include tobacco smoking and exposure to certain chemicals in the workplace and in the general environment (3-5). However, little is known about the molecular mechanisms underlying BC. Increasing evidence suggests that the occurrence and development of BC is related to gene mutations and abnormal gene expression. Studies have indicated that oxidative stress has an important role in BC (6-8). In the past decade, numerous BC biomarkers have been identified, including various tumor suppressor genes, oncogenes, growth factors, growth factor receptors, hormone receptors, proliferation and apoptosis markers, cell adhesion molecules, stromal factors and oncoproteins (9). Due to the lack of methods available for early diagnosis and the poor understanding of the molecular mechanisms of the occurrence and development of BC, patients are generally diagnosed when at advanced BC stages. Therefore, research on the molecular mechanisms of the occurrence and development of BC is particularly important to allow for early diagnosis and to provide early treatment interventions.

In recent years, microarray technology has been widely used in studies related to gene expression. Its application complements the methods of gene expression studies and strengthens research on disease susceptibility and disease pathology. After detecting the differences in gene expression, the next step is to find the biological functions of these differences and use bioinformatics analysis to screen for gene changes at the genomic level, so as to identify differentially expressed genes (DEG) and functional pathways involved in the occurrence and development of liver cancer. However, the analysis of a single microarray data set has limitations, and its results require to be further verified. Therefore, in the present study, following the method of Li et al (10) from 2017, gene chip datasets in the comprehensive gene expression omnibus (GEO) database were analyzed, common DEGs from the intersection of the two data sets were identified through a Venn diagram, and they were subjected to Gene Ontology (GO) and Kyoto Encyclopedia of Genes and Genomes (KEGG) analysis. The results provide a theoretical basis for further study of the molecular mechanisms of BC.

In the present study, the expression of BC-related genes and their impact on progression, malignancy and prognosis were examined. Through the analysis of two mRNA microarray data sets, a total of 362 DEGs, comprising 315 upregulated and 47 downregulated DEGs, were identified. Subsequently, 13 central genes were identified by using the Cancer Genome Atlas (TCGA) database and protein-protein interaction (PPI) network analysis. In conclusion, 362 DEGs and 13 hub genes were identified. Through various software analyses, it was indicated that these genes may be candidate biomarkers of BC. Among these hub genes, platelet-derived growth factor receptor α (PDGFRA) had the highest degree of connectivity.

Materials and methods

Screening of DEGs of BC in the GEO database

GEO (http://www.ncbi.nlm.nih.gov/geo) (11) is a global database of diseases, which contains a large amount of genomic data. The GSE38264(12) and GSE61615(13) gene chip data sets were downloaded from GEO (Affymetrix GPL570 platform; Affymetrix human genome U133 Plus 2.0 array). The gene chip was annotated using the DAVID website (http://david.ncifcrf.gov) (14). Overall, the GSE38264 dataset contains 28 BC tissue samples and 10 non-cancer samples, while the GSE6165 dataset contains two BC samples and two non-cancer samples.

Identification of DEGs

GEO2R (https://www.ncbi.nlm.nih.gov/geo/geo2r/) was used to screen DEGs between BC and non-cancerous samples. GEO2R is an interactive network tool that allows users to compare two or more datasets in the GEO series (15). It may be used to analyze the online analysis tools of GSE38264 and GSE6165; |log fold change| >1.5 and P<0.001 were selected as cut-off criteria (16).

KEGG and GO enrichment analyses of DEGs

DAVID (http://david.ncifcrf.gov; version 6.8) (14) is an online bioinformatics database used to analyze gene function through GO and also allows for the identification of gene-related pathways using KEGG analysis (17). In order to further explore the biological processes and signaling pathways of these DEGs, functional analysis was performed (18). GO collects information about molecular function, biological process and cellular composition. KEGG pathway analysis is used to mine significant pathways related to DEGs and has prognostic significance. GO and KEGG are executed by the R package of clusterprofiler (19). A false discovery rate <0.05 was considered to indicate statistical significance.

Construction of the PPI network and analysis of modules

The STRING database, an online resource dedicated to organism-wide protein association networks (20), was used to construct the PPI network to provide an analysis of the functional interactions between proteins indicative of the underlying mechanisms of disease generation or development. The DEGs were analyzed using STRING by downloading data from the protein interaction network and the PPI of DEGs was constructed using Cytoscape (version 3.7.2), an open bioinformatics software platform used to construct a visualized protein interaction network (21). Cytoscape's plug-in molecular complex detection (Mcode) (version 2.0.0) was used to cluster a given network based on topology to find densely connected areas (22). Cytoscape was used to draw a PPI network and Mcode was used to identify the most important modules in the PPI network.

Retrieval of BC patient information from TCGA database

TCGA clinical data were downloaded from the Genomic Data Commons data portal (https://portal.gdc.cancer.gov/) (23). The clinical information of 412 patients with BC (anonymized) was downloaded from the TCGA database and the association between the hub gene and tumor stages was analyzed using R software for data exploration, statistical analysis and mapping (24).

Selection and analysis of hub genes

The plug-in biological network ontology tool (Bingo) (version 3.0.3) in Cytoscape was used to analyze the hub gene and visualize its biological processes (25). Using the National Center for Biotechnology Information (NCBI) genomics browser (https://www.ncbi.nlm.nih.gov/), a functional clustering of central genes was constructed (26). Kaplan-Meier plotter was used to analyze overall survival and disease-free survival associated with the expression of central genes. Using the Oncomine online database (http://www.oncomine.com) (27-29), the importance of key genes in other BC datasets was analyzed. The hierarchical clustering of central genes was performed using the University of California Santa Cruz Website (http://genome.ucsc.edu/).

Patients

Tumor and normal tissue samples were provided by three patients with squamous cell carcinoma of the bladder. In March 2022, three male patients aged 57, 54 and 59 years were hospitalized at the First Affiliated Hospital of Xinjiang Medical University (Urumqi, China), all from Xinjiang, China. All 3 patients had painless and complete hematuria.

Differential expression of hub genes in patients by reverse transcription-quantitative (RT-q)PCR

The total RNA in the sample to be tested was extracted with TRIzol (Thermo Fisher Scientific, Inc.) and the purity and concentration of RNA were detected by a spectrophotometer. RNA was reverse transcribed into cDNA with an RT kit (Thermo Fisher Scientific, Inc.) according to the manufacturer's instructions. Real-time qPCR was performed with SYBR green real-time PCR reagent (Thermo Fisher Scientific, Inc.) according to the manufacturer's instructions and the reaction time and temperature had been determined in a preliminary experiment. The PCR amplification conditions were as follows: Initial denaturation at 95˚C for 5 min, followed by 40 times cycles of 95˚C for 10 sec, 58˚C for 20 sec and 72˚C for 30 sec. GAPDH was used as the internal reference and the relative mRNA expression level of the gene to be tested was analyzed using the 2-∆∆Cq method (30). Primers used for detection of gene expression are listed in Table I.

Table I

Primer sequences.

Table I

Primer sequences.

Gene/directionPrimer sequence (5'-3')
GAPDH 
     Forward TGCACCACCAACTGCTTAGC
     Reverse GGCATGGACTGTGGTCATGAG
KLRD1 
     Forward GTGAACAGAAAACTTGGAACGA
     Reverse ATAGATACTGGGAGAGTGCAGA
MT1X 
     Forward CCTGCAAGAAGAGCTGCTGC
     Reverse GCAGCTGCACTTGTCTGACG
PDGFRA 
     Forward GAAAATGAAAAGGTTGTGCAGC
     Reverse CTCTTCTTCAGACATGGGGTAC
PTPRC 
     Forward AAGTGCGGAAACAGAAGAGGTAGTG
     Reverse CAGGGTAGGTGCTGGCAATGAC
TGFBI 
     Forward ACTCAGCCAAGACACTATTTGA
     Reverse CTTGTATGGGCATCAATTGGAG
Immunohistochemical detection of transforming growth factor (TGF) β-induced (TGFBI) expression in BC

Paraffin-embedded tissues were sliced and dewaxed (10 min for xylene I/II; 5 min for 100% ethanol I/II; 10 sec for 95, 90, 85 and 75% ethanol. They were incubated with 3% H2O2 for 5-10 min at room temperature to eliminate the activity of endogenous peroxidase. Following rinsing with distilled water, they were soaked in PBS for 5 min, blocked with 5-10% normal goat serum (Shanghai Suolaibao Biological Co.) in PBS at room temperature for 10 min and the serum was drained off. The primary antibody to TGFBI (cat. no. PA5-82358; Thermo Fisher Scientific, Inc.) working solution (diluted with PBS at 1:200) was added dropwise and incubated at 4˚C overnight. After washing with PBS, an appropriate amount of biotin-labeled secondary antibody conjugated to HRP (cat. no. A-11001; Thermo Fisher Scientific, Inc.) working solution was added and samples were incubated at 37˚C for 30 min. Following washing with PBS for 5 min, an appropriate amount of horseradish enzyme (Shanghai Suolaibao Biological Co.) working solution was added with incubation at 37˚C for 10-30 min. Samples were washed with PBS for 5 min and the chromogenic agent diaminobenzidine was added for 3-15 min. Samples were fully rinsed with tap water, re-dyed with hematoxylin, dehydrated, cleared with xylene and sealed with neutral balsam. Slides were then observed under an inverted microscope (WMJ-9590; Nikon Corporation).

H&E staining of BC sections

Paraffin sections are dewaxed and rehydrated as follows: They dewaxed with xylene and rehydrated with an ethanol gradient and then distilled water. Hematoxylin was then used to stain the nuclei: The slices were stained with Harris hematoxylin for 3-8 min, washed with tap water, differentiated with 1% hydrochloric acid alcohol for several seconds, washed with tap water, turned back to blue with 0.6% ammonia and washed with running water. The sections were then stained with eosin for 1-3 min. Subsequently, the samples were dehydrated with an ethanol gradient, cleared with xylene. The slices were then slightly dried and sealed with neutral balsam, followed by observation under a microscope.

Statistical analysis

Statistical analysis was performed using R software (4.1.0) and GraphPad (version 8.0; GraphPad Software, Inc.). All data were expressed as the mean ± standard deviation and statistical analysis among different groups was performed by SPSS 24.0 software (IBM Corporation). Differences between groups were evaluated using one-way ANOVA with Tukey's post-hoc test. P<0.05 was considered to indicate a statistically significant difference.

Results

Identification of DEGs in BC

After standardizing gene expression values in the GeneChip datasets GSE38264 and GSE6165, 4,414 and 494 DEGs were screened, respectively. As indicated in the Venn diagram (Fig. 1A), the overlap between the two datasets contained 362 genes.

Figure 1

Venn diagram, PPI network and the most important modules of DEGs. (A) DEGs were selected from the mRNA expression datasets GSE38264 and GSE61615 using the selection criteria of fold change >2 and P-value <0.01. The two data sets had 362 overlapping DEGs. (B) The PPI network of DEGs was built using Cytoscape. The upregulated genes are marked in red and the downregulated genes in light blue. (C) The most important module was obtained from the PPI network with 12 nodes. PPI, protein-protein interaction; DEG, differentially expressed gene.

KEGG and GO enrichment analyses of DEGs

The DEGs were analyzed using functional analysis with the Web tool DAVID. GO analysis indicated that the changes in the category molecular function mainly included heparin binding, calcium ion binding, protein homodimerization activity, scavenger receptor activity and sequence-specific DNA binding (Table II). The enriched biological process terms of the DEGs were extracellular matrix organization, positive regulation of cell proliferation, angiogenesis and peptidyl-tyrosine phosphorylation (Table II). In the category cellular component, the DEGs were mainly concentrated in the integral component of the plasma membrane, the plasma membrane, the extracellular region and the integral component of the membrane (Table II). KEGG pathway analysis suggested that the DEGs were mainly enriched in the Rap1 signaling pathway, pathways in cancer, the PI3K-Akt signaling pathway, proteoglycans in cancer and the MAPK signaling pathway.

Table II

GO and KEGG pathway enrichment analysis of DEGs in BC samples.

Table II

GO and KEGG pathway enrichment analysis of DEGs in BC samples.

A, GO
TermDescriptionCount in gene setP-value
GO:0030198Extracellular matrix organization17 1.01x10-6
GO:0008284Positive regulation of cell proliferation24 2.81x10-5
GO:0001525Angiogenesis15 9.06x10-5
GO:0018108Peptidyl-tyrosine phosphorylation12 1.58x10-4
GO:0008201Heparin binding18 6.71x10-9
GO:0005509Calcium ion binding36 1.50x10-7
GO:0042803Protein homodimerization activity29 2.09x10-4
GO:0005044Scavenger receptor activity6 1.84x10-3
GO:0043565Sequence-specific DNA binding17 3.11x10-2
GO:0005887Integral component of plasma membrane61 2.29x10-9
GO:0005886Plasma membrane125 8.24x10-9
GO:0005576Extracellular region61 2.42x10-7
GO:0016021Integral component of membrane142 2.48x10-7
B, KEGG
TermDescriptionCount in gene setP-value
Hsa04015Rapl signaling pathway14 3.24x10-4
Hsa05200Pathways in cancer19 9.61x10-4
Hsa04151PI3K-Akt signaling pathway15 1.02x10-2
Hsa05205Proteoglycans in cancer10 2.05x10-2
Hsa04010MAPK signaling pathway12 1.38x10-2

[i] GO, Gene Ontology; KEGG, Kyoto Encyclopedia of Genes and Genomes.

Construction of the PPI network and analysis of the modules

Cytoscape was used to construct a PPI network of the different DEGs (Fig. 1B) and the most important module was obtained from the PPI network with 12 nodes (Fig. 1C). DAVID was used to analyze the most important module genes in Cellular Component and it was indicated that these genes were mainly plasma membrane and membrane components (Table III).

Table III

GO pathway enrichment analysis of differentially expressed genes in the most significant module.

Table III

GO pathway enrichment analysis of differentially expressed genes in the most significant module.

Pathway IDPathway descriptionCount in gene setP-value
GO:1990405Protein antigen binding20.003254
GO:0005886Plasma membrane80.008012
GO:0005515Protein binding110.008428
GO:0005887Integral component of plasma membrane50.010799
GO:0046872Metal ion binding50.036499
GO:0007155Cell adhesion30.041053
GO:0009986Cell surface30.047841

[i] GO, Gene Ontology.

Selection and analysis of hub genes

Using Cytoscape Mcode, a total of 13 hub genes were selected. These 13 genes are listed in Table IV. The PPI network of the hub gene PDGFRA and its co-expressed genes was constructed using Cytoscape (Fig. 2A). The biological processes of the hub gene and its co-expressed genes are presented in Fig. 2B. Hierarchical cluster analysis revealed that the hub gene was able to distinguish liver cancer samples from noncancer samples (Fig. 2C). Kaplan-Meier curves were used to analyze the survival rate of the hub genes. It was indicated that patients with BC with higher expression of PDGFRA, Toll-like receptor (TLR)1, CASQ2, BOC, TGFBI, KLRD1, ADAP2, ITGA4, ENPP3, MT1X, IGSF10 and CRYAB had poor overall survival (Fig. 3). PTPRC, PDGFRA, CASQ2, TGFBI, KLRD1 and MT1X were significantly correlated with BC in different BC datasets (Fig. 4A-F). In the TCGA clinical database of patients with BC, PTPRC, PDGFRA, CASQ2, BOC, KLRD1, ADAP2, ITGA4, IGSF1 and CRYAB mRNA levels were associated with tumor grade (Fig. 5A-I).

Figure 2

Interaction network and biological process analysis of hub genes. (A) The network of the hub gene and its co-expressed genes were analyzed using Cytoscape. (B) Biological process analysis for determining the central genes by using the plug-in biological network ontology tool (version 3.0.3) in Cytoscape. The color depth of the node refers to the corrected P-value of the body. The size of the nodes refers to the number of genes involved in the body. P<0.01 was considered to be statistically significant. (C) The hierarchical clustering of central genes was performed using the University of California Santa Cruz website. The upregulated genes are displayed in red and the downregulated ones in blue. In the category ‘sample type’, pink bars indicate non-cancerous samples and blue bars indicate breast cancer samples. In the category ‘clinical T stage’, light green to dark red represents clinical stage T0-T4. In ‘days to death’, light green to dark red represents the time of death from short to long.

Figure 3

Kaplan-Meier plotter online platform was used to analyze overall survival associated with central genes. P<0.05 was considered statistically significant. Survival analysis for (A) PDGFRA, (B) TLR1, (C) CASQ2, (D) BOC, (E) TGFBI, (F) KLRD1, (G) ADAP2, (H) ITGA4, (I) ENPP3, (J) MT1X, (K) IGSF10 and (L) CRYAB in bladder cancer. HR, hazard ratio (presented with 95% CI).

Figure 4

Hub gene expression in Blaveri Bladder, Dyrskjot Bladder, Sanchez-Carbayo Bladder and Stransky bladder datasets. (A) PTPRC in Blaveri Bladder and Sanchez-Carbayo Bladder datasets, (B) PDGFRA in Blaveri Bladder, Sanchez-Carbayo Bladder and Stransky bladder datasets, (C) CASQ2 in Blaveri Bladder, Sanchez-Carbayo Bladder and Stransky bladder datasets, (D) TGFBI in Blaveri Bladder, Dyrskjot Bladder, Sanchez-Carbayo Bladder and Stransky bladder datasets, (E) KLRD1 in Blaveri Bladder, Dyrskjot Bladder, Sanchez-Carbayo Bladder and Stransky bladder datasets, (F) MT1X in Blaveri Bladder, Dyrskjot Bladder, Sanchez-Carbayo Bladder and Stransky bladder datasets. Heat maps of PTPRC, PDGFRA, CASQ2, TGFBI, KLRD1 and MT1X gene expression in clinical bladder cancer samples vs. normal tissues. P<0.05 was considered statistically significant. 1-4 in the figure are respectively quoted from refs. 69-72. Data source cited in figure.

Figure 5

In The Cancer Genome Atlas dataset for clinical patients with bladder cancer, the expression of each gene was compared among different tumor stages. (A) PTPRC (P=0.006), (B) PDGFRA (P=0.045), (C) CASQ2, (D) BOC, (E) KLRD1 (P=0.005), (F) ADAP2 (P=0.007), (G) ITGA4 (P=0.021), (H) IGSF10 (P=0.023) and (I) CRYAB (P=0.008).

Table IV

Functional roles of 13 hub genes with degree ≥10.

Table IV

Functional roles of 13 hub genes with degree ≥10.

Gene symbolFull nameFunction
PTPRCProtein tyrosine phosphatase receptor type CEssential regulator of T- and B-cell antigen receptor signaling
PDGFRAPlatelet-derived growth factor receptor αMutations in this gene have been associated with idiopathic hypereosinophilic syndrome, somatic and familial gastrointestinal stromal tumors and a variety of other cancers
TLR1Toll-like receptor 1Associated with nasopharyngeal cancer
CASQ2Calsequestrin 2Mutations in this gene cause stress-induced polymorphic ventricular tachycardia
BOCBOC cell adhesion-associated oncogene regulatedComponent of a cell-surface receptor complex that mediates cell-cell interactions between muscle precursor cells, and promotes myogenic differentiation
TGFBITransforming growth factor β-inducedMutations in this gene are associated with multiple types of corneal dystrophy
KLRD1Killer cell lectin like receptor D1Several transcript variants encoding different isoforms have been found for this gene
ADAP2ArfGAP with dual PH domainsThe gene is able to block the entry of certain RNA viruses
ITGA4Integrin subunit α4This gene is associated with gastrointestinal stromal tumors
ENPP3Ectonucleotide pyrophosphatase/phosphodiesterase 3Antibody drugs of ENPP3 may be used to treat advanced renal cell carcinoma
MT1XMetallothionein 1XHigh expression of this gene is related to the progression of hepatocellular carcinoma
IGSF10Immunoglobulin superfamily member 10High expression of this gene is related to the occurrence and development of breast cancer
CRYABCrystallin αBCRYAB inhibits migration and invasion of bladder cancer cells through the PI3K/AKT and ERK pathways

[i] All information is from the National Center for Biotechnology Information database.

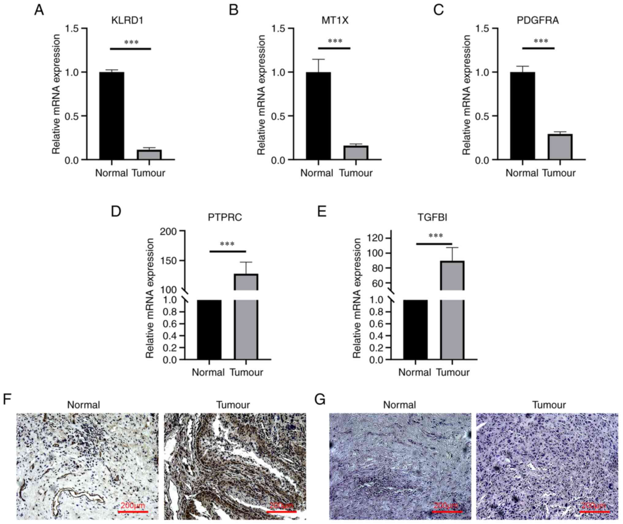
RT-qPCR verifies hub genes

RT-qPCR was used to detect the expression of hub genes in cancerous and paracancerous tissues of patients with BC. The results indicated that the expression levels of the hub genes KLRD1, MT1X and PDGFRA in cancer tissues were significantly lower than those in adjacent tissues (Fig. 6A-C), while the expression levels of PTPRC and TGFBI were significantly higher than those in adjacent tissues (Fig. 6D and E).

Figure 6

RT-qPCR was used to verify Hub genes. RT-qPCR was used to verify the expression of the differential genes (A) KLRD1, (B) MT1X, (C) PDGFRA, (D) PTPRC and (E) TGFBI in BC and normal tissues. (F) Immunohistochemistry was used to verify the expression of TGFBI in BC and normal tissues (scale bars, 200 µm). (G) H&E staining was used to compare the difference between BC and normal tissues (scale bars, 200 µm). ***P<0.001. BC, bladder cancer.

Immunohistochemical detection of TGFBI and H&E staining

Immunohistochemical analysis of TGFBI protein indicated that the positive expression rate in tumor tissue was high (Fig. 6F). The H&E staining results of BC and normal tissues under the light microscope indicated that the tumor group exhibited irregular mitosis, while the nuclei of normal tissues were normal round, without any irregular mitosis (Fig. 6G).

Discussion

BC is one of the 10 most common tumor types. In recent years, mortalities from BC have increased (31,32). The main causes of BC include smoking, occupational exposure, diet, long-term use of certain drugs, infection and gene polymorphisms (33,34). However, the molecular mechanisms underlying BC have remained to be fully elucidated. The abnormal expression of the assembly factor for bundle microtubules, TEF transcription factor, PAR bZIP family member, chloride intracellular channel protein 1, zinc finger and the SCAN domain containing 16, c-myc or RAS, p53 or p21 genes, have been reported to be involved in BC (35-37). Furthermore, the loss of UTX, also known as lysine-specific demethylase 6A, and the activation of receptor tyrosine kinase fibroblast growth factor receptor 3, are reported to be BC-related (38). The treatment outcomes of patients with early undetected BC are poor and early effective diagnostic markers are urgently required. The application of multiple bioinformatics approaches contributes to the analysis of molecular changes in the development of BC and has also been used in the diagnosis of other diseases (39-42).

Through the analysis of two mRNA microarray datasets, a total of 362 DEGs, comprising 315 upregulated and 47 downregulated DEG, were identified in the present study. Enrichment analysis using GO and KEGG was performed to explore the interactions between DEGs. DEGs were mainly enriched in extracellular matrix organization, heparin binding and plasma membrane. In previous studies, the extracellular matrix has been found to have an important role in the occurrence and development of tumors, and may cause tumor invasion and migration (43-45). Furthermore, recent studies have indicated that heparin binding may significantly promote tumor growth (46,47). Furthermore, the results of the GO enrichment analysis suggested that at least 8 DEGs are involved in the composition of the plasma membrane. The plasma membrane frequently has an important role in improving oxidative stress and particularly in tumors, the repair of the plasma membrane is dysfunctional (48-50). Consequently, the above evidence is consistent with the present results.

In the present study, 13 DEGs were selected as the central genes with a degree of connectivity of ≥10. Among these central genes, PDGFRA had the highest nodal degree (37). After extensive study of the literature, it was indicated that PDGFRA has an important role in wound healing and the occurrence and development of tumors. The gene mutation is obviously related to familial gastrointestinal stromal tumors and other cancers (51,52). Therefore, it may be considered a target for anticancer drugs, such as imatinib (53). In the present study, the PPI network analysis suggested that PDGFRA directly interacted with ENPP3, PTPRC, TGFBI, BOC and CRYAB, indicating the key role of PDGFRA in BC. This gene encodes a cell surface tyrosine kinase receptor for members of the PDGF family. These growth factors are mitogens for cells of mesenchymal origin. The identity of the growth factor bound to a receptor monomer determines whether the functional receptor is a homodimer or a heterodimer, composed of both PDGFRA and PDGFRB polypeptides. CRYAB is a ferroptosis-related gene and its high expression may lead to poor prognosis of gastric cancer and non-small cell lung cancer (54,55). It was reported that the mutation of PDGFRA is also related to gastric cancer (51). Therefore, it may be speculated that PDGFRA and CRYAB have a synergistic effect and high expression of PDGFRA and CRYAB may lead to poor prognosis of BC (51). Of note, these results are consistent with the present RT-qPCR results. Furthermore, in the present study, it was indicated that certain genes have a trend of gradual increase with the progression of the tumor stage, such as PTPRC, PDGFRA, KLRD1, ADAP2 and ITGA4.

ENPP3 is a molecular therapeutic target for renal cell carcinoma. It is expressed in renal tubules, activated basophils and mast cells. In cancer, ENPP3 is expressed in most clear-cell histologies (94%), such as bladder tissue and kidney tissue. However, it still requires to be proven whether ENPP3 may be used as a molecular therapeutic target for BC (56-58). As expected, BOC has been reported in numerous tumor-related publications. BOC is highly expressed in early BC. It promotes a high level of DNA damage by increasing Sonic hedgehog signal transduction and ultimately affects the occurrence and development of BC (59). PRPC (CD45, leukocyte antigen) is a receptor-like protein tyrosine phosphatase expressed in all leukocytes. There are several glycoprotein isoforms, which are the result of the alternative splicing of exons 4, 5 and 6 (also known as A, B and C) of CD45 pre-mRNA, which has been reported to be associated with ovarian cancer (60). The TLR1 protein is a member of the TLR family. High expression of TLR1 has been found to have a significant correlation with the occurrence of gastric cancer (61). This gene can affect tumor promotion (such as pro-inflammatory, angiogenesis, and anti-apoptosis) or antitumor immunity (62). A recent study of CASQ2 found that CASQ2 is a conventional marker of leiomyosarcoma (63). TGFBI may be induced by human adenocarcinoma cells and secreted TGF-β (64). Previous reports have revealed that TGFBI acts as a tumor suppressor gene in various tumor types, including lung and breast cancer (65-67). The expression of MT1X changes in oral cancer and may predict cancer metastasis and the treatment effect in patients (68). The genes identified in the present study provide predictive markers for clinicians to diagnose BC in the future and provide directions for experimental research. These diagnostic markers still require to be experimentally verified.

In conclusion, the present study set out to identify DEGs that may be associated with BC. A total of 13 hub genes were identified and through various bioinformatics analyses, these genes were determined to serve as potential diagnostic markers of BC; however, the biological function of these genes in BC still requires further investigation.

Acknowledgements

Not applicable.

Funding

Funding: This study was supported by the National Natural Science Foundation of China project ‘The effect of fluoride on the interaction between osteocalcin and Leydig cells’ (project no. 81360409).

Availability of data and materials

TCGA mRNA expression and clinical data were downloaded from the TCGA public database (https://portal.gdc.cancer.gov/) and the GEO mRNA expression and clinical data were downloaded from the GEO public database (https://www.ncbi.nlm.nih.gov/geo/).

Authors' contributions

LW and XY completed the experiments. BS and LL were involved in the study conception and design. BS and LW performed the bioinformatics analysis. LL and XY wrote and edited the manuscript. BS and LL checked and confirm the authenticity of all the raw data. All authors have read and approved the final version of the manuscript.

Ethics approval and consent to participate

Written informed consent was provided by the three patients who donated their BC tissues. Ethical review was performed and the protocol was approved by the ethics committee of Xinjiang Medical University (Urumqi, China; review no. XJYKDXR20220106001).

Patient consent for publication

Not applicable.

Competing interests

The authors declare that they have no competing interests.

References

1 

Aghaalikhani N, Rashtchizadeh N, Shadpour P, Allameh A and Mahmoodi M: Cancer stem cells as a therapeutic target in bladder cancer. J Cell Physiol. 234:3197–3206. 2019.PubMed/NCBI View Article : Google Scholar

2 

Bhanvadia SK: Bladder cancer survivorship. Curr Urol Rep. 19(111)2018.PubMed/NCBI View Article : Google Scholar

3 

Cumberbatch MGK, Jubber I, Black PC, Esperto F, Figueroa JD, Kamat AM, Kiemeney L, Lotan Y, Pang K, Silverman DT, et al: Epidemiology of bladder cancer: A systematic review and contemporary update of risk factors in 2018. Eur Urol. 74:784–795. 2018.PubMed/NCBI View Article : Google Scholar

4 

Freedman ND, Silverman DT, Hollenbeck AR, Schatzkin A and Abnet CC: Association between smoking and risk of bladder cancer among men and women. JAMA. 306:737–745. 2011.PubMed/NCBI View Article : Google Scholar

5 

Ma Y and Li MD: Establishment of a strong link between smoking and cancer pathogenesis through DNA methylation analysis. Sci Rep. 7(1811)2017.PubMed/NCBI View Article : Google Scholar

6 

Islam MO, Bacchetti T and Ferretti G: Alterations of antioxidant enzymes and biomarkers of nitro-oxidative stress in tissues of bladder cancer. Oxid Med Cell Longev. 2019(2730896)2019.PubMed/NCBI View Article : Google Scholar

7 

Sawicka E, Lisowska A, Kowal P and Długosz A: The role of oxidative stress in bladder cancer. Postepy Hig Med Dosw (Online). 69:744–752. 2015.PubMed/NCBI View Article : Google Scholar : (In Polish).

8 

Whongsiri P, Pimratana C, Wijitsettakul U, Sanpavat A, Jindatip D, Hoffmann MJ, Goering W, Schulz WA and Boonla C: Oxidative stress and LINE-1 reactivation in bladder cancer are epigenetically linked through active chromatin formation. Free Radic Biol Med. 134:419–428. 2019.PubMed/NCBI View Article : Google Scholar

9 

Zhang X, Han C and He J: Research progress of oncogene and tumor suppressor gene in bladder cancer. Panminerva Med. 57:191–200. 2015.PubMed/NCBI

10 

Li L, Lei Q, Zhang S, Kong L and Qin B: Screening and identification of key biomarkers in hepatocellular carcinoma: Evidence from bioinformatic analysis. Oncol Rep. 38:2607–2618. 2017.PubMed/NCBI View Article : Google Scholar

11 

Edgar R, Domrachev M and Lash AE: Gene expression omnibus: NCBI gene expression and hybridization array data repository. Nucleic Acids Res. 30:207–210. 2002.PubMed/NCBI View Article : Google Scholar

12 

Santos M, Martínez-Fernández M, Dueñas M, García-Escudero R, Alfaya B, Villacampa F, Saiz-Ladera C, Costa C, Oteo M, Duarte J, et al: In vivo disruption of an Rb-E2F-Ezh2 signaling loop causes bladder cancer. Cancer Res. 74:6565–6577. 2014.PubMed/NCBI View Article : Google Scholar

13 

Zhao F, Lin T, He W, Han J, Zhu D, Hu K, Li W, Zheng Z, Huang J and Xie W: Knockdown of a novel lincRNA AATBC suppresses proliferation and induces apoptosis in bladder cancer. Oncotarget. 6:1064–1078. 2015.PubMed/NCBI View Article : Google Scholar

14 

Huang DW, Sherman BT, Tan Q, Collins JR, Alvord WG, Roayaei J, Stephens R, Baseler MW, Lane HC and Lempicki RA: The DAVID Gene Functional Classification Tool: A novel biological module-centric algorithm to functionally analyze large gene lists. Genome Biol. 8(R183)2007.PubMed/NCBI View Article : Google Scholar

15 

Mougeot JL, Noll BD and Bahrani Mougeot FK: Sjögren's syndrome X-chromosome dose effect: An epigenetic perspective. Oral Dis. 25:372–384. 2019.PubMed/NCBI View Article : Google Scholar

16 

Yang G, Chen Q, Xiao J, Zhang H, Wang Z and Lin X: Identification of genes and analysis of prognostic values in nonsmoking females with non-small cell lung carcinoma by bioinformatics analyses. Cancer Manag Res. 10:4287–4295. 2018.PubMed/NCBI View Article : Google Scholar

17 

Kanehisa M: The KEGG database. Novartis Found Symp. 247:91–101. 2002.PubMed/NCBI

18 

Ashburner M, Ball CA, Blake JA, Botstein D, Butler H, Cherry JM, Davis AP, Dolinski K, Dwight SS, Eppig JT, et al: Gene ontology: Tool for the unification of biology. The Gene Ontology Consortium. Nat Genet. 25:25–29. 2000.PubMed/NCBI View Article : Google Scholar

19 

Szklarczyk D, Gable AL, Nastou KC, Lyon D, Kirsch R, Pyysalo S, Doncheva NT, Legeay M, Fang T, Bork P, et al: The STRING database in 2021: Customizable protein-protein networks, and functional characterization of user-uploaded gene/measurement sets. Nucleic Acids Res. 49(D1):D605–D612. 2021.PubMed/NCBI View Article : Google Scholar

20 

Doncheva NT, Morris JH, Gorodkin J and Jensen LJ: Cytoscape StringApp: Network analysis and visualization of proteomics data. J Proteome Res. 18:623–632. 2019.PubMed/NCBI View Article : Google Scholar

21 

Wang J, Zhong J, Chen G, Li M, Wu FX and Pan Y: ClusterViz: A Cytoscape APP for cluster analysis of biological network. IEEE/ACM Trans Comput Biol Bioinform. 12:815–822. 2015.PubMed/NCBI View Article : Google Scholar

22 

Liu J, Lichtenberg T, Hoadley KA, Poisson LM, Lazar AJ, Cherniack AD, Kovatich AJ, Benz CC, Levine DA, Lee AV, et al: An integrated TCGA pan-cancer clinical data resource to drive high-quality survival outcome analytics. Cell. 173:400–416.e11. 2018.PubMed/NCBI View Article : Google Scholar

23 

Chan BKC: Data analysis using R Programming. Adv Exp Med Biol. 1082:47–122. 2018.PubMed/NCBI View Article : Google Scholar

24 

Maere S, Heymans K and Kuiper M: BiNGO: A Cytoscape plugin to assess overrepresentation of gene ontology categories in biological networks. Bioinformatics. 21:3448–3449. 2005.PubMed/NCBI View Article : Google Scholar

25 

Rangwala SH, Kuznetsov A, Ananiev V, Asztalos A, Borodin E, Evgeniev V, Joukov V, Lotov V, Pannu R, Rudnev D, et al: Accessing NCBI data using the NCBI Sequence Viewer and Genome Data Viewer (GDV). Genome Res. 31:159–169. 2021.PubMed/NCBI View Article : Google Scholar

26 

Park J, Lee SI, Shin S, Hong JH, Yoo HM and Kim JG: Genetic profiling of somatic alterations by Oncomine Focus Assay in Korean patients with advanced gastric cancer. Oncol Lett. 20(129)2020.PubMed/NCBI View Article : Google Scholar

27 

Liu D, Mao Y, Chen C, Zhu F, Lu W and Ma H: Expression patterns and clinical significances of ENO2 in lung cancer: An analysis based on Oncomine database. Ann Transl Med. 8(639)2020.PubMed/NCBI View Article : Google Scholar

28 

Zhu J, Jin L, Zhang A, Gao P, Dai G, Xu M, Xu L and Yang D: Coexpression analysis of the EZH2 gene using The cancer genome atlas and oncomine databases identifies coexpressed genes involved in biological networks in breast cancer, glioblastoma, and prostate cancer. Med Sci Monit. 26(e922346)2020.PubMed/NCBI View Article : Google Scholar

29 

Sahin Y, Yucetas U, Ates HA, Erkan E, Yucetas E, Temiz MZ, Toktas MG, Kadihasanoglu M and Topkaya BC: Improving the diagnosis of high grade and stage bladder cancer by detecting increased urinary calprotectin expression in tumor tissue and tumor-associated inflammatory response. Investig Clin Urol. 60:343–350. 2019.PubMed/NCBI View Article : Google Scholar

30 

Livak KJ and Schmittgen TD: Analysis of relative gene expression data using real-time quantitative PCR and the 2(-Delta Delta C(T)) Method. Methods. 25:402–408. 2001.PubMed/NCBI View Article : Google Scholar

31 

Wang Q, Zhang T, Wu J, Wen J, Tao D, Wan T and Zhu W: Prognosis and risk factors of patients with upper urinary tract urothelial carcinoma and postoperative recurrence of bladder cancer in central China. BMC Urol. 19(24)2019.PubMed/NCBI View Article : Google Scholar

32 

Rozanec JJ and Secin FP: Epidemiology, etiology and prevention of bladder cancer. Arch Esp Urol. 73:872–878. 2020.PubMed/NCBI(In Spanish).

33 

Koie T, Ohyama C, Makiyama K, Shimazui T, Miyagawa T, Mizutani K, Tsuchiya T, Kato T and Nakane K: Utility of robot-assisted radical cystectomy with intracorporeal urinary diversion for muscle-invasive bladder cancer. Int J Urol. 26:334–340. 2019.PubMed/NCBI View Article : Google Scholar

34 

Saleh AA, Gohar SF, Hemida AS, Elgharbawy M and Soliman SE: Evaluation of ASPM and TEF gene expressions as potential biomarkers for bladder cancer. Biochem Genet. 58:490–507. 2020.PubMed/NCBI View Article : Google Scholar

35 

Adelmann TG, Camerota TC, Ceausu AR, Cimpean AM, Mazzanti M and Raica M: Chloride intracellular channel protein 1 (CLIC1) ιs over-expressed in muscle invasive urinary bladder cancer. Anticancer Res. 40:6879–6884. 2020.PubMed/NCBI View Article : Google Scholar

36 

Li X, Shang D, Shen H, Song J, Hao G and Tian Y: ZSCAN16 promotes proliferation, migration and invasion of bladder cancer via regulating NF-kB, AKT, mTOR, P38 and other genes. Biomed Pharmacother. 126(110066)2020.PubMed/NCBI View Article : Google Scholar

37 

Barrows D, Feng L, Carroll TS and Allis CD: Loss of UTX/KDM6A and the activation of FGFR3 converge to regulate differentiation gene-expression programs in bladder cancer. Proc Natl Acad Sci USA. 117:25732–25741. 2020.PubMed/NCBI View Article : Google Scholar

38 

Bolón-Canedo V, Alonso-Betanzos A, López-de-Ullibarri I and Cao R: Challenges and future trends for microarray analysis. Methods Mol Biol. 1986:283–293. 2019.PubMed/NCBI View Article : Google Scholar

39 

Lu W, Li N and Liao F: Identification of key genes and pathways in pancreatic cancer gene expression profile by integrative analysis. Genes (Basel). 10(612)2019.PubMed/NCBI View Article : Google Scholar

40 

Ma X, Wang P, Xu G, Yu F and Ma Y: Integrative genomics analysis of various omics data and networks identify risk genes and variants vulnerable to childhood-onset asthma. BMC Med Genomics. 13(123)2020.PubMed/NCBI View Article : Google Scholar

41 

Ma Y, Huang Y, Zhao S, Yao Y, Zhang Y, Qu J, Wu N and Su J: Integrative genomics analysis reveals a 21q22.11 locus contributing risk to COVID-19. Hum Mol Genet. 30:1247–1258. 2021.PubMed/NCBI View Article : Google Scholar

42 

Pal A, Haliti P, Dharmadhikari B, Qi W and Patra P: Manipulating extracellular matrix organizations and parameters to control local cancer invasion. IEEE/ACM Trans Comput Biol Bioinform. 18:2566–2576. 2021.PubMed/NCBI View Article : Google Scholar

43 

Schaeffer J, Tannahill D, Cioni JM, Rowlands D and Keynes R: Identification of the extracellular matrix protein Fibulin-2 as a regulator of spinal nerve organization. Dev Biol. 442:101–114. 2018.PubMed/NCBI View Article : Google Scholar

44 

Jones CE, Hammer AM, Cho Y, Sizemore GM, Cukierman E, Yee LD, Ghadiali SN, Ostrowski MC and Leight JL: Stromal PTEN regulates extracellular matrix organization in the mammary gland. Neoplasia. 21:132–145. 2019.PubMed/NCBI View Article : Google Scholar

45 

Ling L, Tan SK, Goh TH, Cheung E, Nurcombe V, van Wijnen AJ and Cool SM: Targeting the heparin-binding domain of fibroblast growth factor receptor 1 as a potential cancer therapy. Mol Cancer. 14(136)2015.PubMed/NCBI View Article : Google Scholar

46 

Ngernyuang N, Yan W, Schwartz LM, Oh D, Liu YB, Chen H and Shao R: A heparin binding motif rich in arginine and lysine is the functional domain of YKL-40. Neoplasia. 20:182–192. 2018.PubMed/NCBI View Article : Google Scholar

47 

Lauritzen SP, Boye TL and Nylandsted J: Annexins are instrumental for efficient plasma membrane repair in cancer cells. Semin Cell Dev Biol. 45:32–38. 2015.PubMed/NCBI View Article : Google Scholar

48 

Zhu J, Xu M, Gao M, Zhang Z, Xu Y, Xia T and Liu S: Graphene oxide induced perturbation to plasma membrane and cytoskeletal meshwork sensitize cancer cells to chemotherapeutic agents. ACS Nano. 11:2637–2651. 2017.PubMed/NCBI View Article : Google Scholar

49 

Peters AA, Milevskiy MJ, Lee WC, Curry MC, Smart CE, Saunus JM, Reid L, da Silva L, Marcial DL, Dray E, et al: The calcium pump plasma membrane Ca(2+)-ATPase 2 (PMCA2) regulates breast cancer cell proliferation and sensitivity to doxorubicin. Sci Rep. 6(25505)2016.PubMed/NCBI View Article : Google Scholar

50 

Tan L, Cho KJ, Neupane P, Capon RJ and Hancock JF: An oxanthroquinone derivative that disrupts RAS plasma membrane localization inhibits cancer cell growth. J Biol Chem. 293:13696–13706. 2018.PubMed/NCBI View Article : Google Scholar

51 

Jones RL, Serrano C, von Mehren M, George S, Heinrich MC, Kang YK, Schöffski P, Cassier PA, Mir O, Chawla SP, et al: Avapritinib in unresectable or metastatic PDGFRA D842V-mutant gastrointestinal stromal tumours: Long-term efficacy and safety data from the NAVIGATOR phase I trial. Eur J Cancer. 145:132–142. 2021.PubMed/NCBI View Article : Google Scholar

52 

Ranjbaran R, Abbasi M, Rafiei Dehbidi G, Seyyedi N, Behzad-Behbahani A and Sharifzadeh S: Phosflow assessment of PDGFRA phosphorylation state: A guide for tyrosine kinase inhibitor targeted therapy in hypereosinophilia patients. Cytometry A. 99:784–792. 2021.PubMed/NCBI View Article : Google Scholar

53 

Jašek K, Váňová B, Grendár M, Štanclová A, Szépe P, Hornáková A, Holubeková V, Plank L and Lasabová Z: BRAF mutations in KIT/PDGFRA positive gastrointestinal stromal tumours (GISTs): Is their frequency underestimated? Pathol Res Pract. 216(153171)2020.PubMed/NCBI View Article : Google Scholar

54 

Tao X, Cheng L, Li Y, Ci H, Xu J, Wu S and Tao Y: Expression of CRYAB with the angiogenesis and poor prognosis for human gastric cancer. Medicine (Baltimore). 98(e17799)2019.PubMed/NCBI View Article : Google Scholar

55 

Qin H, Ni Y, Tong J, Zhao J, Zhou X, Cai W, Liang J and Yao X: Elevated expression of CRYAB predicts unfavorable prognosis in non-small cell lung cancer. Med Oncol. 31(142)2014.PubMed/NCBI View Article : Google Scholar

56 

Thompson JA, Motzer RJ, Molina AM, Choueiri TK, Heath EI, Redman BG, Sangha RS, Ernst DS, Pili R, Kim SK, et al: Phase I trials of anti-ENPP3 antibody-drug conjugates in advanced refractory renal cell carcinomas. Clin Cancer Res. 24:4399–4406. 2018.PubMed/NCBI View Article : Google Scholar

57 

Doñate F, Raitano A, Morrison K, An Z, Capo L, Aviña H, Karki S, Morrison K, Yang P, Ou J, et al: AGS16F is a novel antibody drug conjugate directed against ENPP3 for the treatment of renal cell carcinoma. Clin Cancer Res. 22:1989–1999. 2016.PubMed/NCBI View Article : Google Scholar

58 

Trapero C, Jover L, Fernández-Montolí ME, García-Tejedor A, Vidal A, Gómez de Aranda I, Ponce J, Matias-Guiu X and Martín-Satué M: Analysis of the ectoenzymes ADA, ALP, ENPP1, and ENPP3, in the contents of ovarian endometriomas as candidate biomarkers of endometriosis. Am J Reprod Immunol. 79:2018.PubMed/NCBI View Article : Google Scholar

59 

Mille F, Tamayo-Orrego L, Lévesque M, Remke M, Korshunov A, Cardin J, Bouchard N, Izzi L, Kool M, Northcott PA, et al: The Shh receptor Boc promotes progression of early medulloblastoma to advanced tumors. Dev Cell. 31:34–47. 2014.PubMed/NCBI View Article : Google Scholar

60 

Landskron J, Kraggerud SM, Wik E, Dørum A, Bjørnslett M, Melum E, Helland Ø, Bjørge L, Lothe RA, Salvesen HB and Taskén K: C77G in PTPRC (CD45) is no risk allele for ovarian cancer, but associated with less aggressive disease. PLoS One. 12(e0182030)2017.PubMed/NCBI View Article : Google Scholar

61 

Dargiene G, Streleckiene G, Skieceviciene J, Leja M, Link A, Wex T, Kupcinskas L, Malfertheiner P and Kupcinskas J: TLR1 and PRKAA1 gene polymorphisms in the development of atrophic gastritis and gastric cancer. J Gastrointestin Liver Dis. 27:363–369. 2018.PubMed/NCBI View Article : Google Scholar

62 

Pradere JP, Dapito DH and Schwabe RF: The Yin and Yang of Toll-like receptors in cancer. Oncogene. 33:3485–3495. 2014.PubMed/NCBI View Article : Google Scholar

63 

Demicco EG, Boland GM, Brewer Savannah KJ, Lusby K, Young ED, Ingram D, Watson KL, Bailey M, Guo X, Hornick JL, et al: Progressive loss of myogenic differentiation in leiomyosarcoma has prognostic value. Histopathology. 66:627–638. 2015.PubMed/NCBI View Article : Google Scholar

64 

Skonier J, Neubauer M, Madisen L, Bennett K, Plowman GD and Purchio AF: cDNA cloning and sequence analysis of beta ig-h3, a novel gene induced in a human adenocarcinoma cell line after treatment with transforming growth factor-beta. DNA Cell Biol. 11:511–522. 1992.PubMed/NCBI View Article : Google Scholar

65 

Wen G, Partridge MA, Li B, Hong M, Liao W, Cheng SK, Zhao Y, Calaf GM, Liu T, Zhou J, et al: TGFBI expression reduces in vitro and in vivo metastatic potential of lung and breast tumor cells. Cancer Lett. 308:23–32. 2011.PubMed/NCBI View Article : Google Scholar

66 

Calaf GM, Echiburú-Chau C, Zhao YL and Hei TK: BigH3 protein expression as a marker for breast cancer. Int J Mol Med. 21:561–568. 2008.PubMed/NCBI

67 

Ahmed AA, Mills AD, Ibrahim AE, Temple J, Blenkiron C, Vias M, Massie CE, Iyer NG, McGeoch A, Crawford R, et al: The extracellular matrix protein TGFBI induces microtubule stabilization and sensitizes ovarian cancers to paclitaxel. Cancer Cell. 12:514–527. 2007.PubMed/NCBI View Article : Google Scholar

68 

Brazão-Silva MT, Rodrigues MF, Eisenberg AL, Dias FL, de Castro LM, Nunes FD, Faria PR, Cardoso SV, Loyola AM and de Sousa SC: Metallothionein gene expression is altered in oral cancer and may predict metastasis and patient outcomes. Histopathology. 67:358–367. 2015.PubMed/NCBI View Article : Google Scholar

69 

Blaveri E, Simko JP, Korkola JE, Brewer JL, Baehner F, Mehta K, Devries S, Koppie T, Pejavar S, Carroll P and Waldman FM: Bladder cancer outcome and subtype classification by gene expression. Clin Cancer Res. 11:4044–4055. 2005.PubMed/NCBI View Article : Google Scholar

70 

Sanchez-Carbayo M, Socci ND, Lozano J, Saint F and Cordon-Cardo C: Defining molecular profiles of poor outcome in patients with invasive bladder cancer using oligonucleotide microarrays. J Clin Oncol. 24:778–789. 2006.PubMed/NCBI View Article : Google Scholar

71 

Stransky N, Vallot C, Reyal F, Bernard-Pierrot I, de Medina SG, Segraves R, de Rycke Y, Elvin P, Cassidy A, Spraggon C, et al: Regional copy number-independent deregulation of transcription in cancer. Nat Genet. 38:1386–1396. 2006.PubMed/NCBI View Article : Google Scholar

72 

Dyrskjøt L, Thykjaer T, Kruhøffer M, Jensen JL, Marcussen N, Hamilton-Dutoit S, Wolf H and Orntoft TF: . Identifying distinct classes of bladder carcinoma using microarrays. Nat Genet. 33:90–96. 2003.PubMed/NCBI View Article : Google Scholar

Related Articles

  • Abstract
  • View
  • Download
  • Twitter
Copy and paste a formatted citation
Spandidos Publications style
Liu W, Xu Y, Bai S and Liao L: Bioinformatics analysis of key biomarkers for bladder cancer. Biomed Rep 18: 14, 2023.
APA
Liu, W., Xu, Y., Bai, S., & Liao, L. (2023). Bioinformatics analysis of key biomarkers for bladder cancer. Biomedical Reports, 18, 14. https://doi.org/10.3892/br.2022.1596
MLA
Liu, W., Xu, Y., Bai, S., Liao, L."Bioinformatics analysis of key biomarkers for bladder cancer". Biomedical Reports 18.2 (2023): 14.
Chicago
Liu, W., Xu, Y., Bai, S., Liao, L."Bioinformatics analysis of key biomarkers for bladder cancer". Biomedical Reports 18, no. 2 (2023): 14. https://doi.org/10.3892/br.2022.1596
Copy and paste a formatted citation
x
Spandidos Publications style
Liu W, Xu Y, Bai S and Liao L: Bioinformatics analysis of key biomarkers for bladder cancer. Biomed Rep 18: 14, 2023.
APA
Liu, W., Xu, Y., Bai, S., & Liao, L. (2023). Bioinformatics analysis of key biomarkers for bladder cancer. Biomedical Reports, 18, 14. https://doi.org/10.3892/br.2022.1596
MLA
Liu, W., Xu, Y., Bai, S., Liao, L."Bioinformatics analysis of key biomarkers for bladder cancer". Biomedical Reports 18.2 (2023): 14.
Chicago
Liu, W., Xu, Y., Bai, S., Liao, L."Bioinformatics analysis of key biomarkers for bladder cancer". Biomedical Reports 18, no. 2 (2023): 14. https://doi.org/10.3892/br.2022.1596
Follow us
  • Twitter
  • LinkedIn
  • Facebook
About
  • Spandidos Publications
  • Careers
  • Cookie Policy
  • Privacy Policy
How can we help?
  • Help
  • Live Chat
  • Contact
  • Email to our Support Team