Spandidos Publications Logo
  • About
    • About Spandidos
    • Aims and Scopes
    • Abstracting and Indexing
    • Editorial Policies
    • Reprints and Permissions
    • Job Opportunities
    • Terms and Conditions
    • Contact
  • Journals
    • All Journals
    • Oncology Letters
      • Oncology Letters
      • Information for Authors
      • Editorial Policies
      • Editorial Board
      • Aims and Scope
      • Abstracting and Indexing
      • Bibliographic Information
      • Archive
    • International Journal of Oncology
      • International Journal of Oncology
      • Information for Authors
      • Editorial Policies
      • Editorial Board
      • Aims and Scope
      • Abstracting and Indexing
      • Bibliographic Information
      • Archive
    • Molecular and Clinical Oncology
      • Molecular and Clinical Oncology
      • Information for Authors
      • Editorial Policies
      • Editorial Board
      • Aims and Scope
      • Abstracting and Indexing
      • Bibliographic Information
      • Archive
    • Experimental and Therapeutic Medicine
      • Experimental and Therapeutic Medicine
      • Information for Authors
      • Editorial Policies
      • Editorial Board
      • Aims and Scope
      • Abstracting and Indexing
      • Bibliographic Information
      • Archive
    • International Journal of Molecular Medicine
      • International Journal of Molecular Medicine
      • Information for Authors
      • Editorial Policies
      • Editorial Board
      • Aims and Scope
      • Abstracting and Indexing
      • Bibliographic Information
      • Archive
    • Biomedical Reports
      • Biomedical Reports
      • Information for Authors
      • Editorial Policies
      • Editorial Board
      • Aims and Scope
      • Abstracting and Indexing
      • Bibliographic Information
      • Archive
    • Oncology Reports
      • Oncology Reports
      • Information for Authors
      • Editorial Policies
      • Editorial Board
      • Aims and Scope
      • Abstracting and Indexing
      • Bibliographic Information
      • Archive
    • Molecular Medicine Reports
      • Molecular Medicine Reports
      • Information for Authors
      • Editorial Policies
      • Editorial Board
      • Aims and Scope
      • Abstracting and Indexing
      • Bibliographic Information
      • Archive
    • World Academy of Sciences Journal
      • World Academy of Sciences Journal
      • Information for Authors
      • Editorial Policies
      • Editorial Board
      • Aims and Scope
      • Abstracting and Indexing
      • Bibliographic Information
      • Archive
    • International Journal of Functional Nutrition
      • International Journal of Functional Nutrition
      • Information for Authors
      • Editorial Policies
      • Editorial Board
      • Aims and Scope
      • Abstracting and Indexing
      • Bibliographic Information
      • Archive
    • International Journal of Epigenetics
      • International Journal of Epigenetics
      • Information for Authors
      • Editorial Policies
      • Editorial Board
      • Aims and Scope
      • Abstracting and Indexing
      • Bibliographic Information
      • Archive
    • Medicine International
      • Medicine International
      • Information for Authors
      • Editorial Policies
      • Editorial Board
      • Aims and Scope
      • Abstracting and Indexing
      • Bibliographic Information
      • Archive
  • Articles
  • Information
    • Information for Authors
    • Information for Reviewers
    • Information for Librarians
    • Information for Advertisers
    • Conferences
  • Language Editing
Spandidos Publications Logo
  • About
    • About Spandidos
    • Aims and Scopes
    • Abstracting and Indexing
    • Editorial Policies
    • Reprints and Permissions
    • Job Opportunities
    • Terms and Conditions
    • Contact
  • Journals
    • All Journals
    • Biomedical Reports
      • Information for Authors
      • Editorial Policies
      • Editorial Board
      • Aims and Scope
      • Abstracting and Indexing
      • Bibliographic Information
      • Archive
    • Experimental and Therapeutic Medicine
      • Information for Authors
      • Editorial Policies
      • Editorial Board
      • Aims and Scope
      • Abstracting and Indexing
      • Bibliographic Information
      • Archive
    • International Journal of Epigenetics
      • Information for Authors
      • Editorial Policies
      • Editorial Board
      • Aims and Scope
      • Abstracting and Indexing
      • Bibliographic Information
      • Archive
    • International Journal of Functional Nutrition
      • Information for Authors
      • Editorial Policies
      • Editorial Board
      • Aims and Scope
      • Abstracting and Indexing
      • Bibliographic Information
      • Archive
    • International Journal of Molecular Medicine
      • Information for Authors
      • Editorial Policies
      • Editorial Board
      • Aims and Scope
      • Abstracting and Indexing
      • Bibliographic Information
      • Archive
    • International Journal of Oncology
      • Information for Authors
      • Editorial Policies
      • Editorial Board
      • Aims and Scope
      • Abstracting and Indexing
      • Bibliographic Information
      • Archive
    • Medicine International
      • Information for Authors
      • Editorial Policies
      • Editorial Board
      • Aims and Scope
      • Abstracting and Indexing
      • Bibliographic Information
      • Archive
    • Molecular and Clinical Oncology
      • Information for Authors
      • Editorial Policies
      • Editorial Board
      • Aims and Scope
      • Abstracting and Indexing
      • Bibliographic Information
      • Archive
    • Molecular Medicine Reports
      • Information for Authors
      • Editorial Policies
      • Editorial Board
      • Aims and Scope
      • Abstracting and Indexing
      • Bibliographic Information
      • Archive
    • Oncology Letters
      • Information for Authors
      • Editorial Policies
      • Editorial Board
      • Aims and Scope
      • Abstracting and Indexing
      • Bibliographic Information
      • Archive
    • Oncology Reports
      • Information for Authors
      • Editorial Policies
      • Editorial Board
      • Aims and Scope
      • Abstracting and Indexing
      • Bibliographic Information
      • Archive
    • World Academy of Sciences Journal
      • Information for Authors
      • Editorial Policies
      • Editorial Board
      • Aims and Scope
      • Abstracting and Indexing
      • Bibliographic Information
      • Archive
  • Articles
  • Information
    • For Authors
    • For Reviewers
    • For Librarians
    • For Advertisers
    • Conferences
  • Language Editing
Login Register Submit
  • This site uses cookies
  • You can change your cookie settings at any time by following the instructions in our Cookie Policy. To find out more, you may read our Privacy Policy.

    I agree
Search articles by DOI, keyword, author or affiliation
Search
Advanced Search
presentation
Biomedical Reports
Join Editorial Board Propose a Special Issue
Print ISSN: 2049-9434 Online ISSN: 2049-9442
Journal Cover
June-2023 Volume 18 Issue 6

Full Size Image

Sign up for eToc alerts
Recommend to Library

Journals

International Journal of Molecular Medicine

International Journal of Molecular Medicine

International Journal of Molecular Medicine is an international journal devoted to molecular mechanisms of human disease.

International Journal of Oncology

International Journal of Oncology

International Journal of Oncology is an international journal devoted to oncology research and cancer treatment.

Molecular Medicine Reports

Molecular Medicine Reports

Covers molecular medicine topics such as pharmacology, pathology, genetics, neuroscience, infectious diseases, molecular cardiology, and molecular surgery.

Oncology Reports

Oncology Reports

Oncology Reports is an international journal devoted to fundamental and applied research in Oncology.

Experimental and Therapeutic Medicine

Experimental and Therapeutic Medicine

Experimental and Therapeutic Medicine is an international journal devoted to laboratory and clinical medicine.

Oncology Letters

Oncology Letters

Oncology Letters is an international journal devoted to Experimental and Clinical Oncology.

Biomedical Reports

Biomedical Reports

Explores a wide range of biological and medical fields, including pharmacology, genetics, microbiology, neuroscience, and molecular cardiology.

Molecular and Clinical Oncology

Molecular and Clinical Oncology

International journal addressing all aspects of oncology research, from tumorigenesis and oncogenes to chemotherapy and metastasis.

World Academy of Sciences Journal

World Academy of Sciences Journal

Multidisciplinary open-access journal spanning biochemistry, genetics, neuroscience, environmental health, and synthetic biology.

International Journal of Functional Nutrition

International Journal of Functional Nutrition

Open-access journal combining biochemistry, pharmacology, immunology, and genetics to advance health through functional nutrition.

International Journal of Epigenetics

International Journal of Epigenetics

Publishes open-access research on using epigenetics to advance understanding and treatment of human disease.

Medicine International

Medicine International

An International Open Access Journal Devoted to General Medicine.

Journal Cover
June-2023 Volume 18 Issue 6

Full Size Image

Sign up for eToc alerts
Recommend to Library

  • Article
  • Citations
    • Cite This Article
    • Download Citation
    • Create Citation Alert
    • Remove Citation Alert
    • Cited By
  • Similar Articles
    • Related Articles (in Spandidos Publications)
    • Similar Articles (Google Scholar)
    • Similar Articles (PubMed)
  • Download PDF
  • Download XML
  • View XML
Case Report

ST‑segment elevation associated with intraparenchymal hemorrhage: A case report

  • Authors:
    • Manuel Alejandro Giraldo-Delgado
    • Mateo Zuluaga-Gómez
    • Daniel González-Arroyave
    • Carlos M. Ardila
  • View Affiliations / Copyright

    Affiliations: Emergency Medicine Department, Faculty of Medicine, University CES, 050012 Medellín, Colombia, Medicine Department, Hospital San Vicente Fundación, 054047 Rionegro, Colombia, Medicine Department, Hospital San Vicente Fundación, 054047 Rionegro, Colombia, Basic Studies Department, Faculty of Dentistry, Universidad de Antioquia, 050010 Medellín, Colombia
  • Article Number: 39
    |
    Published online on: April 19, 2023
       https://doi.org/10.3892/br.2023.1622
  • Expand metrics +
Metrics: Total Views: 0 (Spandidos Publications: | PMC Statistics: )
Metrics: Total PDF Downloads: 0 (Spandidos Publications: | PMC Statistics: )
Cited By (CrossRef): 0 citations Loading Articles...

This article is mentioned in:



Abstract

The electrocardiogram (ECG) changes in patients with intraparenchymal hemorrhage (IPH) have remained largely elusive and no case reports are currently available in the scientific literature. The medical management of a patient with ST‑segment elevation associated with IPH was described in the present study. The case report describes a 78‑year‑old male patient who presented with ST‑segment elevation in V1, V2, V3 and V4 on ECG. Initially, the case was managed therapeutically as an acute myocardial infarction. Later, the patient was transferred to a higher‑level hospital, where a new ECG confirmed ST‑segment elevation. Simple skull tomography was also performed, which revealed a spontaneous right basal ganglion in the context of an acute cerebrovascular accident of hypertensive origin. A transthoracic ECG was ordered, which revealed an ejection fraction of 65% with type I diastolic dysfunction due to relaxation disorders and without any signs of ischemia, intracavitary masses or thrombi. In addition to the presence of nonspecific ECG findings, clinicians should consider immediate brain computed tomography to confirm intracranial hemorrhage.

Introduction

Several electrocardiogram (ECG) abnormalities are frequently found in patients without heart disease who experience an ischemic stroke or subarachnoid hemorrhage (SAH). However, knowledge about the ECG changes in patients with intracranial hemorrhage (ICH) is currently limited, including subdural hemorrhage and intraparenchymal hemorrhage (IPH), which are the most frequent and second most frequent ICHs, respectively (1,2). Among the most common ICH ECG abnormalities are ST segment depression, left ventricular hypertrophy, prolongation of the corrected QT interval and inversion of the T wave (3). These nonspecific ECG findings may confuse medical diagnoses and, consequently, lead to erroneous therapeutic decisions.

ECG variations are usual in supratentorial hemorrhagic stroke, predominantly in basal ganglia and thalamic localization (4,5). These changes are frequently present in patients with ventricular effraction and include mainly QTc prolongation, followed by brady/tachycardia and subsequently ST segment modification (5,6). Certain investigations substantiate the assumption that a cardiac cortical rhythm control site is possibly inside the middle cerebral artery context or in the frontal cingulate cortex (4,6). Vascular injury to this part may be followed by cardiac arrhythmias linked to a disinhibition of the right insular cortex with subsequent augmented sympathetic tone. Ischemic commitment of the right hemisphere stimulates a greater risk for cardiac arrhythmia incidence than that of the left hemisphere (4-6). Imbalances of the autonomic nervous system role are important for these disruptions of rate, rhythm and conduction. Tachycardia and pressor replies are more usual following stimulus of the right insular cortex and after experimental stimulus of the left vagus, which innervates the atrioventricular node and the cardiac transference arrangement. Bradycardia appears to be more usual following stimulation of the left insular cortex or the right vagus nerve, which innervates the sinoatrial node, or it may be a source of the Cushing outcome (4-6).

ECG fluctuations appear in 49-100% of patients after SAH (7). The most usual ECG changes after SAH and IPH include repolarization irregularities, such as QT interval extension, ST-segment and T-wave modifications (8). Atrioventricular block, atrial flutter and ventricular arrhythmia are the most usual modifications related to cardiac arrhythmias; however, the mechanisms remain to be completely elucidated (7,8).

It was reported that ECG fluctuations were existent in >90% of unselected patients with ischemic stroke and intracerebral hemorrhage, but the occurrence was inferior regarding the omission of patients with preexistent heart sickness. Those patients with subarachnoid hemorrhage, repolarization and ischemic-like ECG alterations are related to direct effects of the cerebral disorder (9).

Furthermore, the nontraumatic IPH group comprises IPH and SAH. Acute SAH is noticed on the tomography as hyperdensity (blood clot density) in the cerebrospinal fluid spaces surrounding the brain. While the main source of SAH is a disrupted aneurysm, it may additionally be caused by intracranial dissection, trauma, vasculitis, dural AVM or cervical fistulas (10).

The scientific literature has reported various ECG abnormalities, particularly in SAH (11-13), but no case reports of ECG abnormalities in patients with IPH have been published, to the best of our knowledge. The present study reported on the ECG findings and the therapeutic management of a patient with IPH who was initially diagnosed with acute myocardial infarction.

Case report

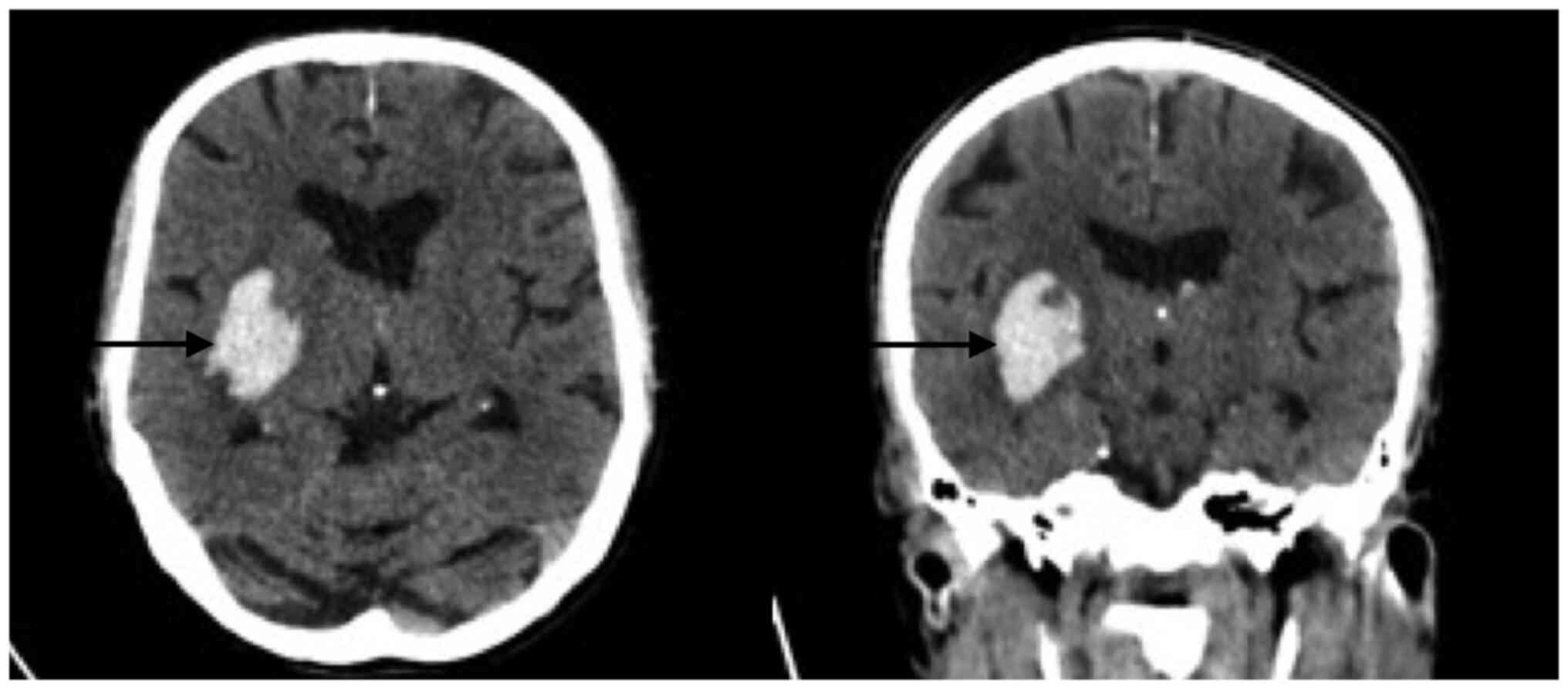
A 78-year-old male patient was transferred from a lower-complexity to a high-complexity hospital in August 2021 because imaging and hemodynamic services were unavailable in the former setting. At the lower-complexity hospital, the patient presented with weakness and decreased muscle strength in the left half of the body with 2 h of evolution, which was associated with dysarthria and deviation of the right labial commissure. The patient was admitted with elevated blood pressure (220/110 mmHg), for which 20 mg of labetalol was administered intravenously. An ECG was immediately performed, which revealed elevation of the ST segment, a situation that was managed pharmacologically as a myocardial infarction by administering 80 mg of atorvastatin and 300 mg of clopidogrel. Subsequently, the patient was transferred to a higher-complexity hospital, where it was observed that the patient neither had a history of angina or dyspnea, nor symptoms of a coronary syndrome. Fig. 1 presents ST-segment elevation in V1, V2 and V3 (acquired at the low-complexity hospital). Fig. 2 depicts ST-segment elevation in V3 and V4 (acquired at the high-complexity hospital) and Fig. 3 presents right temporal intraparenchymal hematoma with vasogenic edema and ventricular involvement (acquired at the high-complexity hospital).

Figure 1

Electrocardiogram performed at the low-complexity hospital in August 2021 during the first 10 min after the patient's admission to the hospital. Sinus rhythm and a heart rate of 49 beats per min were observed, and ST-segment elevation was detected in V1, V2 and V3.

Figure 2

Electrocardiogram performed at the high-complexity hospital in August 2021 during the first 30 min after the patient's admission to the hospital. Sinus rhythm, heart rate of 50 beats per min, and ST-segment elevation in V3 and V4.

Figure 3

Simple skull tomography upon admission. A right temporal intraparenchymal hematoma (arrows) with vasogenic edema and ventricular involvement of 1x30x40 mm was observed (on the left, an axial section is observed and on the right, a coronal section is present).

After 6 h, the patient was admitted to Hospital San Vicente Fundación (Rionegro, Colombia), a highly complex hospital (a hospital with the infrastructure, technology and specialists that allow it to provide the population with a health service that treats the most complex diseases), where the following vital signs were recorded: Blood pressure, 184/83 mmHg (hypertensive); heart rate, 52 beats per minute (bradycardia); respiratory rate, 22 breaths per minute tachypneic; and oxygen saturation, 97% (normal value). On physical examination, the patient was drowsy and oriented in three spheres. Muscular strength was 5/5 in the right half of the body and 4/5 in the left upper limb without alteration in sensitivity, aphasia or dysarthria. The patient denied symptoms including chest pain, angina, dyspnea, limitation in functional class, palpitations and previous cardio and neuromuscular events. Acute neurovascular syndrome was suspected, for which a simple skull tomography was performed, revealing spontaneous IPH of the right basal ganglion in the context of an acute cerebrovascular accident of hypertensive origin without any criteria for neurosurgical surgical intervention; furthermore, the patient did not require reversal of the administered antiplatelets. Fig. 4 reveals a right temporal intraparenchymal hematoma with vasogenic edema and ventricular involvement without any changes compared with the previous one. Fig. 5 suggests no akinesia or hypokinesia, but diastolic dysfunction and relaxation disorders are present.

Figure 4

Simple skull tomography (control at 24 h). A right temporal intraparenchymal hematoma (arrows) with vasogenic edema and ventricular involvement was observed without any changes compared with the previous one (on the left, an axial section is observed and on the right, a coronal section is present).

Figure 5

Transthoracic echocardiogram (taken 24 h after admission). The image suggests no akinesia or hypokinesia, but diastolic dysfunction and relaxation disorders are present; no signs of ischemia, intracavitary masses or thrombi were observed (left panel: Parasternal long axis cut-systole; right panel: Parasternal long axis cut-diastole).

It is important to note that the ECG changes were transient. At the time of establishing medical management for the patient's pathology (neurovascular syndrome), the ECG changes began to normalize.

The patient was hospitalized in the intensive care unit for a hypertensive brain emergency and required a vasodilator for 2 days (nitroglycerin and IV labetalol). A transthoracic ECG was performed, revealing an ejection fraction of 65% (calculated using Simpson's method) with type I diastolic dysfunction due to relaxation disorders and without signs of ischemia, intracavitary masses or thrombi (Fig. 5).

The patient subsequently required transfer to the hospitalization room where the antihypertensive management was adjusted. The patient was discharged on the ninth day after admission with left hemiparesis and without spasticity. Follow-up and outpatient rehabilitation were planned.

Discussion

Several cases of ST segment deviation, inversion of the T wave and prolongation of the corrected QT interval in patients with SAH have been reported (11-14). As showcased in these previous SAH studies and the present case, clinicians still face challenges in differentiating the ECG changes of ICH or SAH from those of acute coronary syndrome. In the present study, ST-segment elevation was evidenced in a patient with IPH who was initially treated as a myocardial infarction. The most common ECG alterations after IPH include repolarization abnormalities, such as QT interval prolongation and ST-segment and T-wave changes (15), of which QT interval prolongation is the most frequent (2,3).

As observed in the present case, nontraumatic IPH results from small artery bleeding, commonly due to hypertension (15,16), and it generally occurs in patients older than 60 years of age (16). Previously, Yaghmoor et al (2) reported an IPH prevalence of 23% among all ICHs.

Contrary to what occurred in the present case, previous research reported that death in patients with IPH was more common in cases in which changes in the ST segment were not observed (2).

It has been suggested that, to decrease or predict the occurrence of unfavorable results after ICH, cardiac monitoring should be performed in addition to the ECG to detect arrhythmias during the first 2 to 3 days after hospitalization (2).

The most important aspects that must be considered to differentiate the ECG changes of ICH or SAH from those of acute coronary syndrome are the clinical manifestations. Not every patient with IPH should have an ECG. If the clinical manifestations indicate chest pain, discomfort, dyspnea and other suggestive symptoms, it is more likely that it is a coronary syndrome. In the patient described in the present study, the main reason for consultation was weakness and decreased muscle strength in the left side of the body, associated with dysarthria, as well as labial commissure deviation, suggesting a neurovascular syndrome (probable ischemic stroke or IPH).

It is important to note that, in addition to the presence of nonspecific ECG findings, clinicians should consider immediate brain computed tomography to confirm ICH.

Acknowledgements

Not applicable.

Funding

Funding: No funding was received.

Availability of data and materials

The datasets used and/or analyzed during the present study are available from the corresponding author on reasonable request.

Authors' contributions

MAGD, MZG, DGA and CMA contributed to the conception and design of the study. CMA wrote the manuscript. DGA and CMA searched the literature. MAGD, MZG and DGA provided clinical assistance to the patient and were responsible for the treatments. DGA and CMA revised the manuscript. MZG and CMA confirm the authenticity of all the raw data. All authors have read and approved the final manuscript.

Ethics approval and consent to participate

The Bioethics Committee of San Vicente Fundación Hospital (Rionegro, Colombia) approved the publication of this case.

Patient consent for publication

Written informed consent for the publication of clinical details and images was obtained from the patient.

Competing interests

The authors declare that they have no competing interests.

References

1 

Junttila E, Vaara M, Koskenkari J, Ohtonen P, Karttunen A, Raatikainen P and Ala-Kokko T: Repolarization abnormalities in patients with subarachnoid and intracerebral hemorrhage: Predisposing factors and association with outcome. Anesth Analg. 116:190–197. 2013.PubMed/NCBI View Article : Google Scholar

2 

Yaghmoor BE, Alotaibi SM, Enani MZ, AlQudsi HS, Aljehani MA, Althomali MH, Hisan FM, Sindi GJ, Alshoaibi NA and Sabbagh AJ: Electrocardiographic changes following intracranial haemorrhage: A retrospective cohort study. Neurosciences (Riyadh). 25:104–111. 2020.PubMed/NCBI View Article : Google Scholar

3 

Takeuchi S, Nagatani K, Otani N, Wada K and Mori K: Electrocardiograph abnormalities in intracerebral hemorrhage. J Clin Neurosci. 22:1959–1962. 2015.PubMed/NCBI View Article : Google Scholar

4 

Daniele O, Caravaglios G, Fierro B and Natalè E: Stroke and cardiac arrhythmias. J Stroke Cerebrovasc Dis. 11:28–33. 2002.PubMed/NCBI View Article : Google Scholar

5 

Critchley HD, Mathias CJ, Josephs O, O'Doherty J, Zanini S, Dewar BK, Cipolotti L, Shallice T and Dolan RJ: Human cingulate cortex and autonomic control: Converging neuroimaging and clinical evidence. Brain. 126:2139–2152. 2003.PubMed/NCBI View Article : Google Scholar

6 

Keller C and Williams A: Cardiac dysrhythmias associated with central nervous system dysfunction. J Neurosci Nurs. 25:349–355. 1993.PubMed/NCBI View Article : Google Scholar

7 

Bhattacharya IS, Sandeman D, Dweck M, McKie S and Francis M: Electrocardiographic abnormalities in a patient with subarachnoid haemorrhage. BMJ Case Rep. 2011(bcr0820103253)2011.PubMed/NCBI View Article : Google Scholar

8 

Sakr YL, Ghosn I and Vincent JL: Cardiac manifestations after subarachnoid hemorrhage: A systematic review of the literature. Prog Cardiovasc Dis. 45:67–80. 2002.PubMed/NCBI View Article : Google Scholar

9 

Gölbaşi Z, Selçoki Y, Eraslan T, Kaya D and Aydoğdu S: QT dispersion. Is it an independent risk factor for in-hospital mortality in patients with intracerebral hemorrhage? Jpn Heart J. 40:405–411. 1999.PubMed/NCBI View Article : Google Scholar

10 

Delgado Almandoz JE, Schaefer PW, Forero NP, Falla JR, Gonzalez RG and Romero JM: Diagnostic accuracy and yield of multidetector CT angiography in the evaluation of spontaneous intraparenchymal cerebral hemorrhage. AJNR Am J Neuroradiol. 30:1213–1221. 2009.PubMed/NCBI View Article : Google Scholar

11 

Cima K, Grams A and Metzler B: Subarachnoid haemorrhage mimicking a STEMI. Eur Heart J Acute Cardiovasc Care. 6:736–737. 2017.PubMed/NCBI View Article : Google Scholar

12 

Laundon RK and Littmann L: Spiked helmet pattern ST elevation in subarachnoid hemorrhage. J Electrocardiol. 52:96–98. 2019.PubMed/NCBI View Article : Google Scholar

13 

Park I, Kim YJ, Ahn S, Sohn CH, Seo DW and Kim WY: Subarachnoid hemorrhage mimicking ST-segment elevation myocardial infarction after return of spontaneous circulation. Clin Exp Emerg Med. 2:260–263. 2015.PubMed/NCBI View Article : Google Scholar

14 

SPRINT Research Group. Wright JT Jr, Williamson JD, Whelton PK, Snyder JK, Sink KM, Rocco MV, Reboussin DM, Rahman M, Oparil S, et al: A randomized trial of intensive versus standard blood-pressure control. N Engl J Med. 377:2103–2116. 2015.PubMed/NCBI View Article : Google Scholar

15 

Qaqa AY, Suleiman A, Alsumrain M, Debari VA, Kirmani J and Shamoon FE: Electrocardiographic abnormalities in patients presenting with intracranial parenchymal haemorrhage. Acta Cardiol. 67:635–639. 2012.PubMed/NCBI View Article : Google Scholar

16 

An SJ, Kim TJ and Yoon BW: Epidemiology, risk factors, and clinical features of intracerebral hemorrhage: An update. J Stroke. 19:3–10. 2017.PubMed/NCBI View Article : Google Scholar

Related Articles

  • Abstract
  • View
  • Download
  • Twitter
Copy and paste a formatted citation
Spandidos Publications style
Giraldo-Delgado MA, Zuluaga-Gómez M, González-Arroyave D and Ardila CM: ST‑segment elevation associated with intraparenchymal hemorrhage: A case report. Biomed Rep 18: 39, 2023.
APA
Giraldo-Delgado, M.A., Zuluaga-Gómez, M., González-Arroyave, D., & Ardila, C.M. (2023). ST‑segment elevation associated with intraparenchymal hemorrhage: A case report. Biomedical Reports, 18, 39. https://doi.org/10.3892/br.2023.1622
MLA
Giraldo-Delgado, M. A., Zuluaga-Gómez, M., González-Arroyave, D., Ardila, C. M."ST‑segment elevation associated with intraparenchymal hemorrhage: A case report". Biomedical Reports 18.6 (2023): 39.
Chicago
Giraldo-Delgado, M. A., Zuluaga-Gómez, M., González-Arroyave, D., Ardila, C. M."ST‑segment elevation associated with intraparenchymal hemorrhage: A case report". Biomedical Reports 18, no. 6 (2023): 39. https://doi.org/10.3892/br.2023.1622
Copy and paste a formatted citation
x
Spandidos Publications style
Giraldo-Delgado MA, Zuluaga-Gómez M, González-Arroyave D and Ardila CM: ST‑segment elevation associated with intraparenchymal hemorrhage: A case report. Biomed Rep 18: 39, 2023.
APA
Giraldo-Delgado, M.A., Zuluaga-Gómez, M., González-Arroyave, D., & Ardila, C.M. (2023). ST‑segment elevation associated with intraparenchymal hemorrhage: A case report. Biomedical Reports, 18, 39. https://doi.org/10.3892/br.2023.1622
MLA
Giraldo-Delgado, M. A., Zuluaga-Gómez, M., González-Arroyave, D., Ardila, C. M."ST‑segment elevation associated with intraparenchymal hemorrhage: A case report". Biomedical Reports 18.6 (2023): 39.
Chicago
Giraldo-Delgado, M. A., Zuluaga-Gómez, M., González-Arroyave, D., Ardila, C. M."ST‑segment elevation associated with intraparenchymal hemorrhage: A case report". Biomedical Reports 18, no. 6 (2023): 39. https://doi.org/10.3892/br.2023.1622
Follow us
  • Twitter
  • LinkedIn
  • Facebook
About
  • Spandidos Publications
  • Careers
  • Cookie Policy
  • Privacy Policy
How can we help?
  • Help
  • Live Chat
  • Contact
  • Email to our Support Team