Spandidos Publications Logo
  • About
    • About Spandidos
    • Aims and Scopes
    • Abstracting and Indexing
    • Editorial Policies
    • Reprints and Permissions
    • Job Opportunities
    • Terms and Conditions
    • Contact
  • Journals
    • All Journals
    • Oncology Letters
      • Oncology Letters
      • Information for Authors
      • Editorial Policies
      • Editorial Board
      • Aims and Scope
      • Abstracting and Indexing
      • Bibliographic Information
      • Archive
    • International Journal of Oncology
      • International Journal of Oncology
      • Information for Authors
      • Editorial Policies
      • Editorial Board
      • Aims and Scope
      • Abstracting and Indexing
      • Bibliographic Information
      • Archive
    • Molecular and Clinical Oncology
      • Molecular and Clinical Oncology
      • Information for Authors
      • Editorial Policies
      • Editorial Board
      • Aims and Scope
      • Abstracting and Indexing
      • Bibliographic Information
      • Archive
    • Experimental and Therapeutic Medicine
      • Experimental and Therapeutic Medicine
      • Information for Authors
      • Editorial Policies
      • Editorial Board
      • Aims and Scope
      • Abstracting and Indexing
      • Bibliographic Information
      • Archive
    • International Journal of Molecular Medicine
      • International Journal of Molecular Medicine
      • Information for Authors
      • Editorial Policies
      • Editorial Board
      • Aims and Scope
      • Abstracting and Indexing
      • Bibliographic Information
      • Archive
    • Biomedical Reports
      • Biomedical Reports
      • Information for Authors
      • Editorial Policies
      • Editorial Board
      • Aims and Scope
      • Abstracting and Indexing
      • Bibliographic Information
      • Archive
    • Oncology Reports
      • Oncology Reports
      • Information for Authors
      • Editorial Policies
      • Editorial Board
      • Aims and Scope
      • Abstracting and Indexing
      • Bibliographic Information
      • Archive
    • Molecular Medicine Reports
      • Molecular Medicine Reports
      • Information for Authors
      • Editorial Policies
      • Editorial Board
      • Aims and Scope
      • Abstracting and Indexing
      • Bibliographic Information
      • Archive
    • World Academy of Sciences Journal
      • World Academy of Sciences Journal
      • Information for Authors
      • Editorial Policies
      • Editorial Board
      • Aims and Scope
      • Abstracting and Indexing
      • Bibliographic Information
      • Archive
    • International Journal of Functional Nutrition
      • International Journal of Functional Nutrition
      • Information for Authors
      • Editorial Policies
      • Editorial Board
      • Aims and Scope
      • Abstracting and Indexing
      • Bibliographic Information
      • Archive
    • International Journal of Epigenetics
      • International Journal of Epigenetics
      • Information for Authors
      • Editorial Policies
      • Editorial Board
      • Aims and Scope
      • Abstracting and Indexing
      • Bibliographic Information
      • Archive
    • Medicine International
      • Medicine International
      • Information for Authors
      • Editorial Policies
      • Editorial Board
      • Aims and Scope
      • Abstracting and Indexing
      • Bibliographic Information
      • Archive
  • Articles
  • Information
    • Information for Authors
    • Information for Reviewers
    • Information for Librarians
    • Information for Advertisers
    • Conferences
  • Language Editing
Spandidos Publications Logo
  • About
    • About Spandidos
    • Aims and Scopes
    • Abstracting and Indexing
    • Editorial Policies
    • Reprints and Permissions
    • Job Opportunities
    • Terms and Conditions
    • Contact
  • Journals
    • All Journals
    • Biomedical Reports
      • Information for Authors
      • Editorial Policies
      • Editorial Board
      • Aims and Scope
      • Abstracting and Indexing
      • Bibliographic Information
      • Archive
    • Experimental and Therapeutic Medicine
      • Information for Authors
      • Editorial Policies
      • Editorial Board
      • Aims and Scope
      • Abstracting and Indexing
      • Bibliographic Information
      • Archive
    • International Journal of Epigenetics
      • Information for Authors
      • Editorial Policies
      • Editorial Board
      • Aims and Scope
      • Abstracting and Indexing
      • Bibliographic Information
      • Archive
    • International Journal of Functional Nutrition
      • Information for Authors
      • Editorial Policies
      • Editorial Board
      • Aims and Scope
      • Abstracting and Indexing
      • Bibliographic Information
      • Archive
    • International Journal of Molecular Medicine
      • Information for Authors
      • Editorial Policies
      • Editorial Board
      • Aims and Scope
      • Abstracting and Indexing
      • Bibliographic Information
      • Archive
    • International Journal of Oncology
      • Information for Authors
      • Editorial Policies
      • Editorial Board
      • Aims and Scope
      • Abstracting and Indexing
      • Bibliographic Information
      • Archive
    • Medicine International
      • Information for Authors
      • Editorial Policies
      • Editorial Board
      • Aims and Scope
      • Abstracting and Indexing
      • Bibliographic Information
      • Archive
    • Molecular and Clinical Oncology
      • Information for Authors
      • Editorial Policies
      • Editorial Board
      • Aims and Scope
      • Abstracting and Indexing
      • Bibliographic Information
      • Archive
    • Molecular Medicine Reports
      • Information for Authors
      • Editorial Policies
      • Editorial Board
      • Aims and Scope
      • Abstracting and Indexing
      • Bibliographic Information
      • Archive
    • Oncology Letters
      • Information for Authors
      • Editorial Policies
      • Editorial Board
      • Aims and Scope
      • Abstracting and Indexing
      • Bibliographic Information
      • Archive
    • Oncology Reports
      • Information for Authors
      • Editorial Policies
      • Editorial Board
      • Aims and Scope
      • Abstracting and Indexing
      • Bibliographic Information
      • Archive
    • World Academy of Sciences Journal
      • Information for Authors
      • Editorial Policies
      • Editorial Board
      • Aims and Scope
      • Abstracting and Indexing
      • Bibliographic Information
      • Archive
  • Articles
  • Information
    • For Authors
    • For Reviewers
    • For Librarians
    • For Advertisers
    • Conferences
  • Language Editing
Login Register Submit
  • This site uses cookies
  • You can change your cookie settings at any time by following the instructions in our Cookie Policy. To find out more, you may read our Privacy Policy.

    I agree
Search articles by DOI, keyword, author or affiliation
Search
Advanced Search
presentation
Biomedical Reports
Join Editorial Board Propose a Special Issue
Print ISSN: 2049-9434 Online ISSN: 2049-9442
Journal Cover
November-2024 Volume 21 Issue 5

Full Size Image

Sign up for eToc alerts
Recommend to Library

Journals

International Journal of Molecular Medicine

International Journal of Molecular Medicine

International Journal of Molecular Medicine is an international journal devoted to molecular mechanisms of human disease.

International Journal of Oncology

International Journal of Oncology

International Journal of Oncology is an international journal devoted to oncology research and cancer treatment.

Molecular Medicine Reports

Molecular Medicine Reports

Covers molecular medicine topics such as pharmacology, pathology, genetics, neuroscience, infectious diseases, molecular cardiology, and molecular surgery.

Oncology Reports

Oncology Reports

Oncology Reports is an international journal devoted to fundamental and applied research in Oncology.

Experimental and Therapeutic Medicine

Experimental and Therapeutic Medicine

Experimental and Therapeutic Medicine is an international journal devoted to laboratory and clinical medicine.

Oncology Letters

Oncology Letters

Oncology Letters is an international journal devoted to Experimental and Clinical Oncology.

Biomedical Reports

Biomedical Reports

Explores a wide range of biological and medical fields, including pharmacology, genetics, microbiology, neuroscience, and molecular cardiology.

Molecular and Clinical Oncology

Molecular and Clinical Oncology

International journal addressing all aspects of oncology research, from tumorigenesis and oncogenes to chemotherapy and metastasis.

World Academy of Sciences Journal

World Academy of Sciences Journal

Multidisciplinary open-access journal spanning biochemistry, genetics, neuroscience, environmental health, and synthetic biology.

International Journal of Functional Nutrition

International Journal of Functional Nutrition

Open-access journal combining biochemistry, pharmacology, immunology, and genetics to advance health through functional nutrition.

International Journal of Epigenetics

International Journal of Epigenetics

Publishes open-access research on using epigenetics to advance understanding and treatment of human disease.

Medicine International

Medicine International

An International Open Access Journal Devoted to General Medicine.

Journal Cover
November-2024 Volume 21 Issue 5

Full Size Image

Sign up for eToc alerts
Recommend to Library

  • Article
  • Citations
    • Cite This Article
    • Download Citation
    • Create Citation Alert
    • Remove Citation Alert
    • Cited By
  • Similar Articles
    • Related Articles (in Spandidos Publications)
    • Similar Articles (Google Scholar)
    • Similar Articles (PubMed)
  • Download PDF
  • Download XML
  • View XML
Case Report Open Access

Nephrotic syndrome as a possible indicator of colonic cancer: A case report

  • Authors:
    • Roxana Surugiu
    • Ștefănița Bianca Vintilescu
    • Raluca Elena Sandu
    • Denisa Pirscoveanu
    • Daniel Pirici
    • Carmen Daniela Neagoe
    • Daniela Matei
    • Mădălina Aldea
    • Gheorghe Gindrovel Dumitra
    • Mioara Desdemona Stepan
    • Amelia Valentina Genunche‑Dumitrescu
  • View Affiliations / Copyright

    Affiliations: Department of Biochemistry, University of Medicine and Pharmacy of Craiova, St. Petru Rares, Craiova 200433, Romania, Department of Infant Care‑Pediatrics‑Neonatology, University of Medicine and Pharmacy of Craiova, St. Petru Rares, Craiova 200433, Romania, Department of Neurology, University of Medicine and Pharmacy of Craiova, St. Petru Rares, Craiova 200433, Romania, Department of Pathology, University of Medicine and Pharmacy of Craiova, St. Petru Rares, Craiova 200433, Romania, Department of Internal Medicine, University of Medicine and Pharmacy of Craiova, St. Petru Rares, Craiova 200433, Romania, Department of Physical Medicine and Rehabilitation, University of Medicine and Pharmacy of Craiova, Craiova 200433, Romania, Department of Psychiatry, University of Medicine and Pharmacy of Craiova, Craiova 200433, Romania, Department of Family Medicine, University of Medicine and Pharmacy of Craiova, Craiova 200349, Romania
    Copyright: © Surugiu et al. This is an open access article distributed under the terms of Creative Commons Attribution License.
  • Article Number: 170
    |
    Published online on: September 17, 2024
       https://doi.org/10.3892/br.2024.1858
  • Expand metrics +
Metrics: Total Views: 0 (Spandidos Publications: | PMC Statistics: )
Metrics: Total PDF Downloads: 0 (Spandidos Publications: | PMC Statistics: )
Cited By (CrossRef): 0 citations Loading Articles...

This article is mentioned in:



Abstract

The concept of paraneoplastic syndromes encompasses a spectrum of indirect clinical manifestations caused by secretion of bioactive products by malignant cells. Paraneoplastic glomerulopathy represent a distinct clinical entity where nephrotic syndrome can arise as a manifestation of underlying malignancies, particularly solid tumors. Membranous nephropathy is notably associated with such malignancies, highlighting the intricate relationship between nephrotic syndrome and cancer. The present study reports the case of a 44‑year‑old Caucasian male, smoker (22 pack‑years) and chronic ethanol consumer who presented in the Emergency County Hospital of Craiova in March 2018 with abdominal distension, genital and leg edema and no prior medical history. Laboratory tests revealed inflammatory syndrome (erythrocyte sedimentation rate=110 mm/h, fibrinogen, 150 mg/dl, high levels of C reactive protein=6.87 mg/dl), as well as hypoproteinemia (total protein levels=3.90 g/l), hypertriglyceridemia=213 mg/dl, hypercholesterolemia=475 mg/dl, total urinary protein excretion of 12,500 mg/24 h and normal levels of urea (38 mg/dl) and creatinine (0.90 mg/dl). After meeting the diagnostic criteria for nephrotic syndrome (edema, proteinuria, hypoalbuminemia, and hyperlipidemia, it was investigated whether the syndrome was primary or secondary in origin. Notably, an unexplained inflammatory syndrome in conjunction with elevated tumor marker levels (carbohydrate antigen 19‑9, 82.47 U/ml; Carcinoembryonic antigen‑CEA=9.46 ng/ml) prompted a thorough imagistic investigation, using computer tomography. A polyp was discovered during colonoscopy, prompting a biopsy. The presence of adenocarcinoma was confirmed by histopathological analysis. The only clinical manifestation of the colonic malignancy was the symptomatic presentation of nephrotic syndrome, which led to early detection of the underlying cancer. Paraneoplastic nephropathy connects kidney disease with systemic cancer, showing that renal symptoms may aid in diagnosing hidden malignancies. Nephrotic syndrome, especially membranous nephropathy, is associated with various solid tumors. The present case demonstrated that paraneoplastic syndrome, though rare, may lead to early cancer detection. Ongoing research is essential for improving understanding, targeted therapy and patient management.

Introduction

Paraneoplastic syndrome is used to describe the clinical manifestations that occur as a result of the secretion of substances by tumor cells, including hormones, growth factors, cytokines and tumor antigens (1). Paraneoplastic glomerulopathy was initially introduced by Galloway in 1922 in a case of nephrotic syndrome (NS) in connection with Hodgkin's disease (2). Furthermore, a study in 1966 revealed that a significant proportion (~11%) of NS cases observed in adults were linked with the presence of malignant tumors (3). Data collected from the Danish Kidney Biopsy Registry between 1985 and 2014 associated 16% of patients with glomerulopathy with cancer development (4,5). NS is defined by persistent urine protein excretion, primarily albumin, >3.5 g/24 h (adults) or 40 mg/h/m2 (children), indicating ‘nephrotic-range proteinuria’, usually with serum albumin levels below normal for adults (3.5 g/dl). Although not necessary for diagnosis, NS is frequently associated with peripheral edema, ascites, pleural effusion, hyperlipidemia (high serum cholesterol and triglycerides) or lipiduria (fatty casts or doubly refractile fat masses) (6). It encompasses various etiologies, including primary renal disorder such as minimal change disease, focal segmental glomerulosclerosis and membranous glomerulonephritis (MG). Moreover, NS can manifest as a result of systemic disorder that impacts the kidneys and other organs, such as amyloidosis or lupus erythematosus (6). Membranous nephropathy is the predominant glomerular disease that leads to NS associated with solid tumors (7,8). Association between membranous nephropathy and neoplasia has been reported but there is still limited understanding of the specific features of this association (referred to as MN-cancer) (7). The prevalence of MN-cancer varies between 1 and 22%, in France (9).

The solid cancers most frequently observed in association with MN include lung, bronchus and gastric cancer, as well as renal, prostate and thymus tumors. Colorectal, pancreatic, esophageal and hepatic carcinomas are among the other types of cancer associated with MN (10). Other types of glomerulopathy linked with neoplasia include minimal change disease, IgA nephropathy, focal segmental glomerulosclerosis and mesangiocapillary and crescentic glomerulonephritis (11,12). Minimal change disease is often associated with Hodgkin's lymphoma, renal cell carcinoma and thymoma (11,13). IgA nephropathy is associated with cancers of the respiratory tract, buccal cavity, nasopharynx and melanoma (11,14,15). Focal segmental glomerulosclerosis is connected to renal cell carcinoma and gastric and breast cancer (11,16). Mesangiocapillary glomerulonephritis is observed alongside renal cell and lung and bronchus carcinoma and thymoma (17). Crescentic glomerulonephritis is associated with various types of cancer, including renal cell, esophagus and ovarian carcinoma, as well as gastric cancer (11). Additionally, amyloidosis is suspected to be associated with renal cell carcinoma (18), while cancer-associated thrombotic microangiopathy is often seen in mucin-producing carcinoma, particularly of the stomach, lung and breast (19).

Paraneoplastic syndromes, which are rare disorders triggered by an immune response to malignancy, manifest in a variety of ways depending on the type of cancer and patient demographic. Paraneoplastic nephropathy, a kidney condition often seen in neoplasia. Notably, ovarian carcinoma in a 59-year-old patient from Korea (20) and lung cancer in an 80-year-old patient from China (21) were both associated with MN and nephropathy, respectively. Hodgkin's lymphoma, appearing in both a 9-year-old from Romania (22) and a 13-year-old from India (23), is also a common malignancy, although specific nephropathies were not detailed for these cases. By contrast, thymoma in a 49-year-old from China (24) and a 32-year-old from Korea (25) were linked to membranous nephropathy and focal segmental glomerulosclerosis, respectively. Other notable associations include meningioma in a 60- (26) and a 58-year-old (27) from India, with one case involving MN. Additionally, gastrointestinal stromal tumor was noted in a 69-year-old Japanese patient (28), though specific nephropathy details were not provided. These data highlight the wide age range and diverse types of cancer involved in paraneoplastic syndrome, with membranous nephropathy being a recurrent form of nephropathy across multiple types of cancer (Table I).

Table I

Types of cancer associated with paraneoplastic nephrotic syndrome.

Table I

Types of cancer associated with paraneoplastic nephrotic syndrome.

First author/s, yearCountryAge, yearsType of cancerKidney biopsy results(Refs.)
Kim et al, 2003South Korea59Ovarian carcinomaMembranous glomerulonephritis(20)
Yu et al, 2020China80LungMembranous nephropathy(21)
Sfrijan et al, 2016Romania9Hodgkin's lymphomaN/A(22)
Devi et al, 2022India13Hodgkin's lymphomaN/A(23)
Liu et al, 2022China49ThymomaMembranous nephropathy(24)
Yoo et al, 2017Korea32ThymomaFocal segmental glomerulosclerosis(25)
Sardhara et al, 2018India60MeningiomaMembranous glomerulonephritis(26)
Zachariah et al, 2013India58MeningiomaN/A(27)
Takane et al, 2014Japan69GISTN/A(28)

[i] N/A, not applicable; GIST, gastrointestinal stromal tumor.

The clinical manifestations associated with NS include pronounced edema, specifically in the periorbital region, ankles and feet; proteinuria, characterized by the presence of foamy urine due to excessive protein excretion; increased body weight due to fluid retention; fatigue and decreased appetite (29). The diagnostic tests for NS include urine analysis, which can detect presence of protein, and blood tests that indicate low levels of albumin, decreased total protein levels and elevated cholesterol and triglyceride levels (29). Kidney biopsy is considered the gold standard in diagnosis of NS (30). The therapeutic approach for managing NS includes the utilization of angiotensin-converting enzyme (ACE) inhibitors and angiotensin II receptor blockers. These pharmacological agents mitigate both blood pressure levels and urinary protein excretion effectively. An additional therapeutic approach entails the use of diuretic medication to reduce edema by stimulating renal fluid excretion. Frequently prescribed diuretic medications include furosemide, spironolactone and thiazides. Statins are utilized to reduce cholesterol levels. To decrease risk of embolic events, it is imperative to administer anticoagulant medications (29). These include heparin and vitamin K antagonists, as well as directly acting oral anticoagulants such as direct factor Xa (such as rivaroxaban, apixaban, and endoxaban) and thrombin inhibitors (dabigatran) (31).

Case report

A 44-year-old Caucasian male was admitted to Emergency County Hospital (Craiova in March 2018, with a history of smoking (22 pack-years) and chronic ethanol consumption. The patient presented with abdominal distension and edema in the genital and leg regions. Medical history did not reveal any significant health conditions. Upon admission, vital signs were within normal range: Blood pressure, 130/80 mmHg; heart rate, 80 bpm; respiratory rate, 17 breaths/min and body temperature, 36.7˚C. The patient was alert with no signs of scleral icterus or anemic conjunctiva and lymph nodes were non-palpable. The patient did not report dyspnea and chest auscultation was normal.

The patient had notable edema in the lower extremities and pronounced scrotal and penile edema. Physical abdominal examination revealed flank and shifting dullness, indicating ascites. The patient also reported polyuria and dysuria. An initial EKG showed sinus rhythm with a heart rate of 87 bpm, regular QRS complex and no ST-T segment changes. An abdominal ultrasound in indicated an enlarged liver with a homogeneous structure and a moderate amount of ascitic fluid, with no pleural or pericardial effusion.

Initial laboratory investigations were notable for an inflammatory syndrome [erythrocyte sedimentation rate (ESR), 110 mm/h], normal blood cell count (white blood cells, 8,000/mm3, reference range 4,000-10,000/mm3; red blood cells=5x106/mm3, reference range 4-5.7x106/mm3; platelets=300,000/mm3, reference range 150,000-450,000/mm3), normal urea (38 mg/dl, reference range 20-40 mg/dl) and creatinine (0.9 mg/dl, reference range 0.8-1.2 mg/dl). Serum glucose (90 mg/dl, reference range 70-110 mg/dl), glycosylated hemoglobin (HbA1c) (5%, reference range, 4-6.4%), aspartate aminotransferase (20 U/l, reference range 5-34 U/l), alanine aminotransferase (24 U/l, reference range 3-44 U/l), prothrombin time (10.5 s, reference range 9.4-13.5 s) and international normalized ratio (INR) levels (0.9, reference range 0.8-1.16) were within normal ranges. Additionally, N-terminal pro-b-type natriuretic peptide (64 pg/ml, reference range <121 pg/ml) was tested and found to be within the normal range (Table II).

Table II

Initial laboratory findings.

Table II

Initial laboratory findings.

ParameterValueReference range
C reactive protein, mg/dl6.870.00-5.00
Hemoglobin, g/dl10.5013.50-17.50
Protein, g/l3.90-4.206.00-8.30
Triglyceride, mg/dl213.0050.00-150.00
Cholesterol, mg/dl475.0070.00-220.00
Ureea, mg/dl38.0020.00-40.00
Creatinine, mg/dl0.900.80-1.20
Natrium, mEq/l136.00135.00-145.00
Albumin, g/dl1.40-2.203.00-4.50
Proteinuria, mg/dl500.00-
Total urinary protein, mg/24 h12,500.000.00-300.00

[i] mEq, milliequivalents.

Further laboratory tests the following day confirmed the inflammatory syndrome, with increased ESR=130 mm/h, reference range <20 mm/h fibrinogen, 150 mg/dl, reference range 200,400 mg/dl) and C-reactive protein levels (6.87 mg/dl, reference range 0-5 mg/dl). The patient exhibited anemic syndrome (Hb, 10.5 g/dl, normal range 13.5-17.5 g/dl), hypoproteinemia (3.9 g/l, reference range 6-8.3 g/l) and hypoalbuminemia (1.4-2.2 g/dl, reference range 3.5-5.2 g/dl), as well as hypertriglyceridemia (213 mg/dl, reference range 50-150 mg/dl), hypercholesterolemia (475 mg/dl, reference range 70-220 mg/dl) and hyperuricemia (10.22 mg/dl, reference range 2.5-7.2 mg/dl). Serum potassium levels were normal (4 mmol/l, reference range 3.5-5.1 mmol/l). Normal values were also recorded for bilirubin (0.4 mg/dl, reference range <1.2 mg/dl), alkaline phosphatase (70 U/l, reference range 50-116 U/l) and γ-glutamyl transferase (35 U/l, reference range 0-55 U/l). Urine screening showed proteinuria (500 mg/dl) and total urinary protein of 12,500 mg/24 h (normal range 0-300 mg/24 h), with no cells or casts.

Serum protein electrophoresis levels were as follows: Albumin, 20.40% (normal range 54.30-66.00%), α1-globulin, 4.30% (normal range 1.20-3.30%), α2-globulin, 33.90% (normal range 8.30-15.00%), β1-globulin, 13.30% (normal range 6.50-11.00%), β2-globulin, 10.60% (normal range 2.50-7.00%) and γ-globulin, 17.50% (normal range 7.00-19.50%). Serum protein electrophoresis was conducted following the standard protocols established by the Emergency County Hospital of Craiova. Blood samples were collected following a 12-h fasting period by an experienced phlebotomist. To facilitate blood clotting, the samples were left at room temperature for 20 min. Serum was separated by centrifugation at 3,600 rpm for 10 min at 4˚C. After centrifugation, the clot was promptly removed, and the serum was stored at -20˚C until analysis. Serum protein electrophoresis was conducted using Hydragel 30(15) β1-β2 reagents, based on the principle of agarose gel separation, on a semi-automated HYDRASYS 2 SCAN system, following the manufacturer's instructions (32). Carcinoembryonic antigen (CEA, 9.46 ng/ml, reference range 0.00-4.70 ng/ml) and carbohydrate antigen (CA 19-9=82.47 U/ml, reference range 0.00-39.00 U/ml) levels were elevated, while other markers such as CA 72-4 (4.00 U/ml, reference range <6.90 U/ml), α-fetoprotein (2.40 ng/ml, reference range <7.00 ng.ml) and cytokeratin fragments (1.20 ng/ml, reference range <3.30 ng/ml) were within normal limits (Table III).

Table III

Protein electrophoresis and positive tumor markers.

Table III

Protein electrophoresis and positive tumor markers.

ParameterValueReference range
Albumin, %20.4054.30-66.00
α1-globulin, %4.301.20-3.30
α2-globulin, %33.908.30-15.00
β1-globulin, %13.306.50-11.00
β2-globulin, %10.602.50-7.00
γ-globulin, %17.507.00-19.50
CA19-9, U/ml82.470.00-39.00
CEA, ng/ml9.460.00-4.70

[i] CA, carbohydrate antigen 19-9; CEA, carcinoembryonic antigen.

Further investigation revealed negative results for viral hepatitis panel, human immunodeficiency virus and Epstein-Barr virus. Additionally, antinuclear antibody (<1:100), anti-double-stranded DNA antibody (<25 UI/ml), prostate-specific antigen (1.3 ng/ml, reference range <2 ng/ml), thyroid function (triiodothyronine T3=2 nmol/l, reference range 1.3-3.1 nmol/l; thyroxine T4=75 nmol/l, reference range 66-181 nmol/l), complement levels (CH50=50 U/ml, reference range, 50-75 U/ml; C3=120 mg/dl reference range 90-180 mg/dl; C4=22 mg/dl, reference range 10-40 mg/dl) and anti-phospholipase A2 receptor (PLA2R) antibodies (<1:10, negative <1:10) were within normal ranges. Additionally, immune complexes were within the normal range (CIC <20 R.U./ml, negative <20 R.U./ml).

To determine the nature of NS (primary or secondary), the most frequent secondary etiologies were investigated. Abdominal paracentesis was performed for both diagnostic and therapeutic purposes. Laboratory results revealed serum ascites albumin gradient <1.1 g/dl, along with normal cytological examination and a negative test for Mycobacterium tuberculosis. Ascitic fluid samples were collected via paracentesis and analyzed within 2 h of collection. A volume of 10 ml of the fluid was centrifuged at 1,500 rpm for 5 min. After discarding the supernatant, the sediment was transferred onto glass slides to prepare smears. These smears were air-dried at room temperature and subsequently fixed with methyl alcohol or alcohol-ether mixture (1:1) for 2-3 min. After fixation, the smears were stained with Giemsa solution for 20-23 min. Following staining, the slides were air-dried and examined under a light microscope. Cytological examination was performed using a scan-screen method to detect any abnormalities, atypical cells, or neoplastic changes in cell morphology.

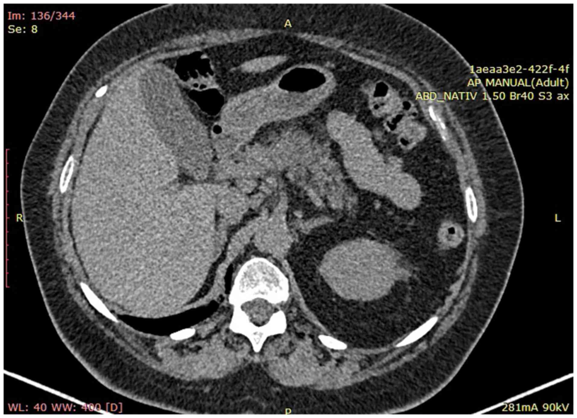
Abdominal computed tomography (CT) scan confirmed liver enlargement without pathological masses, normal diameter (12 mm) of the portal vein and a notable accumulation of ascitic fluid. Additionally, CT scan revealed multiple mesenteric lymphadenopathy, measuring up to 1.3 cm, and increased renal echogenicity. No pathological alterations were observed in the spleen, prostate, or pancreas (Fig. 1).

Figure 1

Abdominal CT scan confirmed liver enlargement without pathological masses, a normal portal vein diameter, multiple mesenteric lymph nodes measuring up to 1.3 cm and increased renal echogenicity.

A superior digestive endoscopy did not reveal notable abnormalities. However, an inferior digestive endoscopy revealed a pedunculated polyp, which was biopsied for further examination (Fig. 2). The sample was first fixed in 10% neutral buffered formaldehyde, at room temperature for 24-48 h. Following fixation, the sample was embedded in paraffin and serial sections were cut at a thickness of 4 µm. The sections were stained with hematoxylin at room temperature for 5 min, followed by eosin for 2 min. The stained sections were examined under a light microscope at varying magnifications, in this case 20 and 40x. Histopathological examination revealed an adenomatous polyp with areas of moderately differentiated adenocarcinoma that did not involve the muscularis mucosae layer (Fig. 3, Fig. 4 and Fig. 5).

Figure 2

Pediculate polyp identified in inferior digestive endoscopy.

Figure 3

Histopathological examination revealed an adenomatous polyp with areas of moderately differentiated adenocarcinoma that did not involve the muscularis mucosae layer. Scale bar, 100 µm.

Figure 4

Moderately differentiated adenocarcinoma. Scale bar, 100 µm. Moderately differentiated adenocarcinoma was identified by histopathological examination of the biopsy samples.

Figure 5

Invasion of adenocarcinoma glands into the mucosa. Scale bar, 100 µm.

An inferior digestive endoscopy revealed a pedunculated polyp in the descending colon and an endoscopic polypectomy was subsequently performed. Histopathological examination confirmed the presence of a malignant polyp with areas of moderately differentiated adenocarcinoma infiltrating the submucosal layer, as well as regions classified as carcinoma in situ not extending beyond the muscularis mucosae layer (Fig. 3).

Given the fragmented state of the specimen, the multidisciplinary team concluded that the appropriate course of action was left colectomy with a bloc removal of regional lymph nodes. This decision was made following normal chest and pelvic CT and negative ascitic fluid smear cytology for malignancy, which conclusively excluded the presence of metastases. The pathological stage was determined to be IIIB, specifically classified as pT2pN1bM0 using the TNM staging system (33).

The patient underwent eight courses of adjuvant chemotherapy of oxaliplatin (130 mg/m2 once every three weeks and oral capecitabine 1,000 mg/m2 twice a day for 14 days, followed by 7 days off. The adjuvant chemotherapy was administered at the usual dose, since the renal function remained stable, with no notable adverse effects observed.

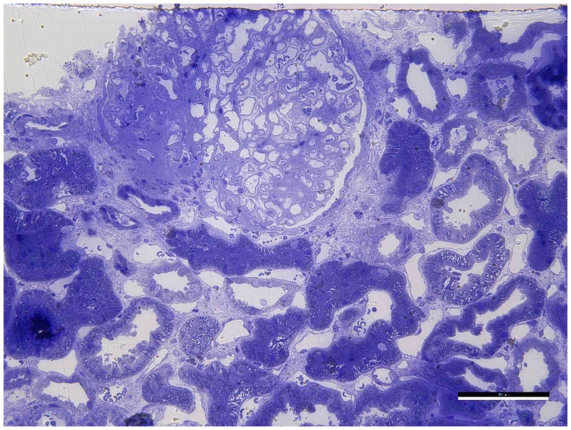
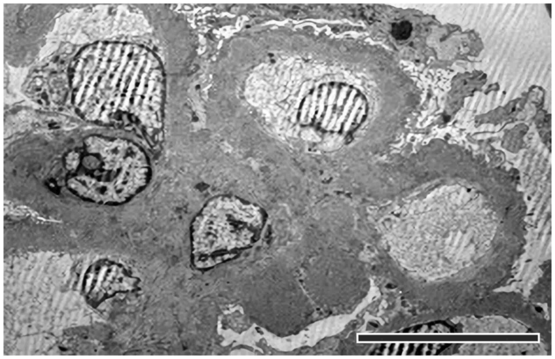
Kidney biopsy (ultrasound-guided) revealed membranous nephropathy, stage 3 (Fig. 6) with thickening of the glomerular basement membrane (GBM), indicating moderate progression of the disease, due to the deposition of immune complexes. Kidney biopsy revealed a fragment of connective and renal tissue with a single glomerulus. The glomerulus showed segmental sclerosis affecting ~25% of its structure, with thickened capillary loop walls. There were rare interstitial foam cells and discrete lipid load in tubular epithelia. Arteries and arterioles were normal and there was mild interstitial fibrosis without interstitial inflammation (Fig. 7). Electron microscopy examination showed a glomerulus with segmental sclerosis and some permeable capillaries. GBM was thickened, containing numerous dense deposits on the epithelial and intramembrane surfaces, along with rare large hump-like deposits. Some capillaries exhibited continuous endothelium and intraluminal platelets. A circumferential hyaline deposit was noted at the level of the afferent arteriole, which narrowed the lumen. Biopsy fragments were fixed in 2% neutral buffered glutaraldehyde followed by 1% buffered osmium tetraoxide, embedded in PolyBed 812® resin with polymerization for 72 h at 60˚C, and sectioned as seriate 1 µm semithin and respectively 0.1 µm thin sections. Semithin sections were stained with toluidine blue for light microscopy evaluation, and for ultrastructural microscopy, 0.1 µm-ultrathin sections were collected on copper grids and examined under an electron microscope.

Figure 6

Optical microscopy of kidney biopsy showed thickened glomerular basement membrane due to immune complex deposition. Toluidine blue stained 1 µm-thick section. Scale bar, 100 µm.

Figure 7

Electron microscopy (1,000x magnification) of the kidney biopsy showed segmental sclerosis affecting ~25% of its structure, with thickened capillary loop walls. Rare interstitial foam cells and discrete lipid load were observed in tubular epithelia. Arteries and arterioles were normal and there was mild interstitial fibrosis without inflammation. Scale bar, 10 µm.

The patient was advised to reduce the dietary sodium (maximum 2 g/day), saturated fat and cholesterol intake. Initial management focused on diuretic therapy (furosemide, 40 mg, 3 times/day, intravenous; spironolactone, 100 mg/day, orally), with vigilant monitoring of serum electrolytes. To decrease proteinuria, angiotensin II enzyme inhibitor was used (perindopril, 5 mg/day, orally). For the restoration of serum albumin levels, intravenous administration of human albumin (50 g/l) was implemented once daily. Thromboembolic events were prevented via subcutaneous administration of enoxaparin (1 mg/kg) at 12-h intervals, followed by vitamin K antagonists (acenocumarol 2 mg/day, oral) with monitoring of INR (maintained between 1.8 and 2.0) and albumin levels. Notably, prophylactic antibiotic (cefuroxime 500 mg x 2/day, 7 days) therapy was initiated from hospitalization. At last follow-up (January 2020), clinical condition improved, including a reduction in peripheral edema.

Discussion

In the present case, typical causes of ascitic syndrome, including liver cirrhosis, ascites due to heart failure or peritoneal carcinomatosis, were considered (34). Given the relatively young age, bacillary peritonitis was initially considered as a potential cause, but this hypothesis was excluded following cytology and microbiological (Mycobacterium tuberculosis) analysis of ascites fluid obtained via paracentesis. The detection of abdominal adenopathy on CT examination suggested lymphoma; however, blood tests ruled out this diagnosis.

The diagnosis of NS prompted consideration of potential underlying primary glomerulonephritis. The conclusive determination of the patient condition was achieved through a systematic process of excluding potential causes of secondary NS, such as drugs, infection or multisystemic etiology (35). The presence of an unexplained inflammatory syndrome, coupled with perturbations in tumor marker levels, prompted imaging assessment of the gastrointestinal tract, leading to the identification of a colonic adenocarcinomatous polyp. Notably, endoscopic examination play a pivotal role in the timely detection of digestive malignancies (36) and empirical evidence suggests that screening strategies contribute to a decrease in both the incidence and mortality associated with colorectal cancer (37).

The precise mechanisms underlying development of glomerular disease as a result of malignancy are not yet fully comprehended (1,17,38,39). The occurrence of remission in glomerular disease following cancer removal via surgery or anticancer medications, along with the subsequent relapse upon return of neoplasia, indicates the presence of paraneoplastic mechanisms (37). One potential mechanism is the production of autoantibodies that specifically target a tumor antigen that shares immunological characteristics with a component of the glomerulus, resulting in formation of immune complexes in the local area. Trapping of these immune complexes in glomerular capillaries or deposition of antibodies bound to the tumor antigen within the glomerular membrane may be involved. External factors, such as oncogenic viruses, also need to be considered (40).

Identification of IgG subtypes within immune deposits in membranous nephropathy has the potential to assist in differentiation of various diagnoses. The IgG4 subtype is prevalent in cases of idiopathic and recurrent membranous nephropathy, whereas IgG1, IgG2 and IgG3 subtypes are more frequently observed in secondary membranous nephropathy and allograft cases (41). These findings highlight the role of immunological mechanisms in pathogenesis of renal involvement in systemic malignancy, which is relevant in the present case of paraneoplastic NS (42,43).

Paraneoplastic nephropathy represents a key intersection between kidney disease and systemic malignancy, illustrating how renal manifestations can facilitate diagnosis of unsuspected cancers. NS arises via various mechanisms influenced by the presence of malignancies. Membranous nephropathy is a predominant form of glomerular disease associated with a range of solid tumors, underscoring the need for clinicians to remain vigilant when encountering unexplained NS. The present case highlighted that paraneoplastic syndromes, while rare, can present uniquely and lead to early detection of underlying malignancies. Further research is essential in elucidating these associations, developing targeted therapeutic strategies and enhancing understanding of the pathophysiological underpinnings of paraneoplastic syndrome to improve both diagnosis and management of affected patients.

Acknowledgements

Not applicable.

Funding

Funding: No funding was received.

Availability of data and materials

The data generated in the present study may be requested from the corresponding author.

Authors' contributions

RS and ȘBV conceived the study. CDN, DM, DeP, MA, AVGD, GGD, RES, MDS and DaP performed experiments and analyzed data. MA, RS and AVGD wrote the manuscript. GGD, RES, MDS and AVGD edited and reviewed the manuscript. GGD, AVGD and MDS supervised the study. All authors have read and approved the final manuscript. RS and AVGD confirm the authenticity of all the raw data.

Ethics approval and consent to participate

Written informed consent was obtained from the patient.

Patient consent for publication

Written informed consent has been obtained from the patient.

Competing interests

The authors declare that they have no competing interests.

References

1 

Ronco PM: Paraneoplastic glomerulopathies: New insights into an old entity. Kidney Int. 56:355–377. 1999.PubMed/NCBI View Article : Google Scholar

2 

Galloway J: Remarks on Hodgkin's disease. Br Med J. 2:1201–1208. 1922.PubMed/NCBI View Article : Google Scholar

3 

Lee JC, Yamauchi H and Hopper J JR: The association of cancer and the nephrotic syndrome. Ann Intern Med. 64:41–51. 1966.PubMed/NCBI View Article : Google Scholar

4 

Birkeland SA and Storm HH: Glomerulonephritis and malignancy: A population-based analysis. Kidney Int. 63:716–721. 2003.PubMed/NCBI View Article : Google Scholar

5 

Heaf JG, Hansen A and Laier GH: Quantification of cancer risk in glomerulonephritis. BMC Nephrol. 19(27)2018.PubMed/NCBI View Article : Google Scholar

6 

Glassock RJ, Fervenza FC, Hebert L and Cameron JS: Nephrotic syndrome redux. Nephrol Dial Transplant. 30:12–17. 2015.PubMed/NCBI View Article : Google Scholar

7 

Lefaucheur C, Stengel B, Nochy D, Martel P, Hill G and Rossert J: GN-PROGRESS Study Group. Membranous nephropathy and cancer: Epidemiologic evidence and determinants of high-risk cancer association. Kidney Int. 70:1510–1517. 2006.PubMed/NCBI View Article : Google Scholar

8 

Davison A: Renal diseases associated with malignancies. Nephrol Dial Transplant. 16:13–14. 2001.PubMed/NCBI View Article : Google Scholar

9 

Bacchetta J, Juillard L, Cochat P and Droz JP: Paraneoplastic glomerular diseases and malignancies. Crit Rev Oncol Hematol. 70:39–58. 2009.PubMed/NCBI View Article : Google Scholar

10 

Monga D: Chapter 6: Glomerular Diseases and Cancer, 2016. Available from: https://www.asn-online.org/education/distancelearning/curricula/onco/Chapter6.pdf. Accessed January 4, 2019.

11 

Jhaveri KD, Shah HH, Calderon K, Campenot ES and Radhakrishnan J: Glomerular diseases seen with cancer and chemotherapy: A narrative review. Kidney Int. 84:34–44. 2013.PubMed/NCBI View Article : Google Scholar

12 

Lionaki S, Marinaki S, Panagiotellis K, Tsoumbou I, Liapis G, Vlahadami I, Tzioufas A, Sfikakis P and Boletis I: Glomerular diseases associated with malignancies: Histopathological pattern and association with circulating autoantibodies. Antibodies (Basel). 9(18)2020.PubMed/NCBI View Article : Google Scholar

13 

González-Fontal GR, Restrepo JG and Henao-Martínez AF: Minimal-change disease as a paraneoplastic syndrome in a patient with ovarian carcinoma. NDT Plus. 4:427–429. 2011.PubMed/NCBI View Article : Google Scholar

14 

Sanathkumar HT, Thirumalvalavan K, Raj TY, Srinivasaprasad ND, Sujith S and Fernando EM: Association of IgA nephropathy with squamous cell carcinoma of the tongue: -Case report and review of literature. Indian J Nephrol. 31:290–292. 2021.PubMed/NCBI View Article : Google Scholar

15 

Rehnberg J, Ludvigsson JF, Carrero JJ and Emilsson L: Cancer risk in patients with immunoglobulin A nephropathy: A Swedish population-based cohort study. Nephrol Dial Transplant. 37:749–759. 2022.PubMed/NCBI View Article : Google Scholar

16 

Dabrowski D, Ozluk E, Barbeito S and Wei EX: Focal segmental glomerulosclerosis preceding type 2 papillary renal cell carcinoma. Case Rep Pathol. 15(8811905)2020.PubMed/NCBI View Article : Google Scholar

17 

Lien YH and Lai LW: Pathogenesis, diagnosis and management of paraneoplastic glomerulonephritis. Nat Rev Nephrol. 7:85–95. 2011.PubMed/NCBI View Article : Google Scholar

18 

Vanatta PR, Silva FG, Taylor WE and Costa JC: Renal cell carcinoma and systemic amyloidosis: Demonstration of AA protein and review of the literature. Hum Pathol. 14:195–201. 1983.PubMed/NCBI View Article : Google Scholar

19 

Babu KG and Bhat GR: Cancer-associated thrombotic microangiopathy. Ecancermedicalscience. 28(649)2016.PubMed/NCBI View Article : Google Scholar

20 

Kim YT, Rha SY, Shim CY, Sohn JH, Kim C, Yu NC, Chung HC, Kim JH, Han DS, Kim BS and Roh JK: A case of paraneoplastic nephrotic syndrome in a patient with ovarian carcinoma. Yonsei Med J. 44:539–543. 2003.PubMed/NCBI View Article : Google Scholar

21 

Yu X, Fan Z, Chen W and Wang Z: Lung cancer with nephrotic syndrome as a paraneoplastic syndrome: A case report. Mol Clin Oncol. 13(86)2020.PubMed/NCBI View Article : Google Scholar

22 

Sfrijan D, Tieranu I, Necula I, Popa L and Balgradean M: Nephrotic syndrome, paraneoplastic syndrome associated to hodgkin lymphoma. Maedica (Bucur). 11:64–67. 2016.PubMed/NCBI

23 

Padmanaban PD, Jayaraman D, Shanmugam SG and Geminiganesan S: Nephrotic syndrome and hodgkins lymphoma-an unusual association. EJIFCC. 33:262–267. 2022.PubMed/NCBI

24 

Liu H, Dong Z, Zhang M, Pang R, Xu J, He P, Mei W, Zhang S, You G and Li W: Case report: Complex paraneoplastic syndromes in thymoma with nephrotic syndrome, cutaneous amyloidosis, myasthenia gravis, and Morvan's syndrome. Front Oncol. 12(1002808)2022.PubMed/NCBI View Article : Google Scholar

25 

Yoo SH, Kim HJ, Kim JH, Lee GW, Lee JH, Kim SH, Kim JW, Kim JW, Lee JO, Kim YJ, et al: Nephrotic syndrome associated with metastatic thymoma treated with chemotherapy. Medicine (Baltimore). 96(e5408)2017.PubMed/NCBI View Article : Google Scholar

26 

Sardhara J, Shukla M, Jamdar J, Jaiswal AK, Jaiswal S, Kaul A, Bhaisora KS, Das KK, Mehrotra A and Behari S: Paraneoplastic nephrotic syndrome in a patient with planum sphenoidale meningioma. Asian J Neurosurg. 13:864–866. 2018.PubMed/NCBI View Article : Google Scholar

27 

Zachariah PP, Mathew A, Rajesh R, Kurien G and Unni VN: Nephrotic syndrome associated with meningioma. Indian J Nephrol. 23:63–66. 2013.PubMed/NCBI View Article : Google Scholar

28 

Takane K, Midorikawa Y, Yamazaki S, Kajiwara T, Yoshida N, Kusumi Y and Takayama T: Gastrointestinal stromal tumor with nephrotic syndrome as a paraneoplastic syndrome: A case report. J Med Case Rep. 8(108)2014.PubMed/NCBI View Article : Google Scholar

29 

Moța E, Văduva C and Zaharie S: Compendium of nephrology 1st Edition, Editura Medicală Universitară, Craiova, 2010.

30 

Farahani E, Nili F, Moghimian M, Jahanzad I, Minoo FS, Abdollahi A and Salarvand S: Analysis of prevalence and trends in the biopsy-proven native kidney diseases in Iranian population: A 12-year survey from a referral center. Iran J Pathol. 18:202–209. 2023.PubMed/NCBI View Article : Google Scholar

31 

Longo D, Fauci A, Kasper D, Hauser S, Jameson J and Loscalzo J: Harrison's Manual of Medicine. 18th edition. ALL, București, 2013.

32 

Amin Nordin FD, Mohd Khalid MKN, Abdul Aziz SM, Mohamad Bakri NA, Ahmad Ridzuan SN, Abdul Jalil J, Habib A and Yakob Y: Performance comparison of EasyFix G26 and HYDRASYS 2 SCAN for the detection of serum monoclonal proteins. J Clin Lab Anal. 34(e23254)2020.PubMed/NCBI View Article : Google Scholar

33 

Vogel JD, Felder SI, Bhama AR, Hawkins AT, Langenfeld SJ, Shaffer VO, Thorsen AJ, Weiser MR, Chang GJ, Lightner AL, et al: The American Society of Colon and Rectal Surgeons Clinical Practice Guidelines for the Management of Colon Cancer. Dis Colon Rectum. 65:148–177. 2022.PubMed/NCBI View Article : Google Scholar

34 

Raza A and Aggarwal S: Membranous Glomerulonephritis. StatPearls Publishing, Treasure Island, FL, 2023. Available from: https://www.ncbi.nlm.nih.gov/books/NBK499865/.

35 

Ho W and Sanyal A: Ascites: Diagnosis and management. Med Clin North Am. 93:801–817. 2009.PubMed/NCBI View Article : Google Scholar

36 

Nishi S, Ubara Y, Utsunomiya Y, Okada K, Obata Y, Kai H, Kiyomoto H, Goto S, Konta T, Sasatomi Y, et al: Evidence-based clinical practice guidelines for nephrotic syndrome 2014. Clin Exp Nephrol. 20:342–370. 2016.PubMed/NCBI View Article : Google Scholar

37 

Mitruţ P, Enescu A, Streba LA, Burada F, Cojocaru G, Simionescu C, Mărgăritescu C and Genunche-Dumitrescu A: The endoscopic and morphological forms of early gastric cancer. Rom J Morphol Embryol. 48:373–379. 2007.PubMed/NCBI

38 

Buskermolen M, Cenin DR, Helsingen LM, Guyatt G, Vandvik PO, Haug U, Bretthauer M and Lansdorp-Vogelaar I: Colorectal cancer screening with faecal immunochemical testing, sigmoidoscopy or colonoscopy: A microsimulation modelling study. BMJ. 367(l5383)2019.PubMed/NCBI View Article : Google Scholar

39 

Faria TV, Baptista MA, Burdmann EA and Cury P: Glomerular deposition of immune complexes as a first manifestation of malignant melanoma-a case report. Ren Fail. 32:1223–1225. 2010.PubMed/NCBI View Article : Google Scholar

40 

Takeda S, Chinda J, Murakami T, Numata A, Iwazu Y, Akimoto T, Hamano Y, Muto S, Takahashi M and Kusano E: Development of features of glomerulopathy in tumor-bearing rats: A potential model for paraneoplastic glomerulopathy. Nephrol Dial Transplant. 27:1786–1792. 2012.PubMed/NCBI View Article : Google Scholar

41 

Ohtani H, Wakui H, Komatsuda A, Okuyama S, Masai R, Maki N, Kigawa A, Sawada K and Imai H: Distribution of glomerular IgG subclass deposits in malignancy-associated membranous nephropathy. Nephrol Dial Transplant. 19:574–579. 2004.PubMed/NCBI View Article : Google Scholar

42 

Stepan AE, Mărgăritescu C, Stoica LE, Stepan MD and Simionescu CE: Clear cell renal cell carcinomas-epithelial and mesenchymal immunophenotype. Rom J Morphol Embryol. 59:1189–1194. 2018.PubMed/NCBI

43 

Stepan AE, Ciurea RN, Drăgoescu PO, Florescu MM and Stepan MD: Immunoexpression of transcription factors in urothelial bladder carcinomas. Rom J Morphol Embryol. 58:863–869. 2017.PubMed/NCBI

Related Articles

  • Abstract
  • View
  • Download
  • Twitter
Copy and paste a formatted citation
Spandidos Publications style
Surugiu R, Vintilescu ȘB, Sandu RE, Pirscoveanu D, Pirici D, Neagoe CD, Matei D, Aldea M, Dumitra GG, Stepan MD, Stepan MD, et al: Nephrotic syndrome as a possible indicator of colonic cancer: A case report. Biomed Rep 21: 170, 2024.
APA
Surugiu, R., Vintilescu, Ș.B., Sandu, R.E., Pirscoveanu, D., Pirici, D., Neagoe, C.D. ... Genunche‑Dumitrescu, A.V. (2024). Nephrotic syndrome as a possible indicator of colonic cancer: A case report. Biomedical Reports, 21, 170. https://doi.org/10.3892/br.2024.1858
MLA
Surugiu, R., Vintilescu, Ș. B., Sandu, R. E., Pirscoveanu, D., Pirici, D., Neagoe, C. D., Matei, D., Aldea, M., Dumitra, G. G., Stepan, M. D., Genunche‑Dumitrescu, A. V."Nephrotic syndrome as a possible indicator of colonic cancer: A case report". Biomedical Reports 21.5 (2024): 170.
Chicago
Surugiu, R., Vintilescu, Ș. B., Sandu, R. E., Pirscoveanu, D., Pirici, D., Neagoe, C. D., Matei, D., Aldea, M., Dumitra, G. G., Stepan, M. D., Genunche‑Dumitrescu, A. V."Nephrotic syndrome as a possible indicator of colonic cancer: A case report". Biomedical Reports 21, no. 5 (2024): 170. https://doi.org/10.3892/br.2024.1858
Copy and paste a formatted citation
x
Spandidos Publications style
Surugiu R, Vintilescu ȘB, Sandu RE, Pirscoveanu D, Pirici D, Neagoe CD, Matei D, Aldea M, Dumitra GG, Stepan MD, Stepan MD, et al: Nephrotic syndrome as a possible indicator of colonic cancer: A case report. Biomed Rep 21: 170, 2024.
APA
Surugiu, R., Vintilescu, Ș.B., Sandu, R.E., Pirscoveanu, D., Pirici, D., Neagoe, C.D. ... Genunche‑Dumitrescu, A.V. (2024). Nephrotic syndrome as a possible indicator of colonic cancer: A case report. Biomedical Reports, 21, 170. https://doi.org/10.3892/br.2024.1858
MLA
Surugiu, R., Vintilescu, Ș. B., Sandu, R. E., Pirscoveanu, D., Pirici, D., Neagoe, C. D., Matei, D., Aldea, M., Dumitra, G. G., Stepan, M. D., Genunche‑Dumitrescu, A. V."Nephrotic syndrome as a possible indicator of colonic cancer: A case report". Biomedical Reports 21.5 (2024): 170.
Chicago
Surugiu, R., Vintilescu, Ș. B., Sandu, R. E., Pirscoveanu, D., Pirici, D., Neagoe, C. D., Matei, D., Aldea, M., Dumitra, G. G., Stepan, M. D., Genunche‑Dumitrescu, A. V."Nephrotic syndrome as a possible indicator of colonic cancer: A case report". Biomedical Reports 21, no. 5 (2024): 170. https://doi.org/10.3892/br.2024.1858
Follow us
  • Twitter
  • LinkedIn
  • Facebook
About
  • Spandidos Publications
  • Careers
  • Cookie Policy
  • Privacy Policy
How can we help?
  • Help
  • Live Chat
  • Contact
  • Email to our Support Team