Spandidos Publications Logo
  • About
    • About Spandidos
    • Aims and Scopes
    • Abstracting and Indexing
    • Editorial Policies
    • Reprints and Permissions
    • Job Opportunities
    • Terms and Conditions
    • Contact
  • Journals
    • All Journals
    • Oncology Letters
      • Oncology Letters
      • Information for Authors
      • Editorial Policies
      • Editorial Board
      • Aims and Scope
      • Abstracting and Indexing
      • Bibliographic Information
      • Archive
    • International Journal of Oncology
      • International Journal of Oncology
      • Information for Authors
      • Editorial Policies
      • Editorial Board
      • Aims and Scope
      • Abstracting and Indexing
      • Bibliographic Information
      • Archive
    • Molecular and Clinical Oncology
      • Molecular and Clinical Oncology
      • Information for Authors
      • Editorial Policies
      • Editorial Board
      • Aims and Scope
      • Abstracting and Indexing
      • Bibliographic Information
      • Archive
    • Experimental and Therapeutic Medicine
      • Experimental and Therapeutic Medicine
      • Information for Authors
      • Editorial Policies
      • Editorial Board
      • Aims and Scope
      • Abstracting and Indexing
      • Bibliographic Information
      • Archive
    • International Journal of Molecular Medicine
      • International Journal of Molecular Medicine
      • Information for Authors
      • Editorial Policies
      • Editorial Board
      • Aims and Scope
      • Abstracting and Indexing
      • Bibliographic Information
      • Archive
    • Biomedical Reports
      • Biomedical Reports
      • Information for Authors
      • Editorial Policies
      • Editorial Board
      • Aims and Scope
      • Abstracting and Indexing
      • Bibliographic Information
      • Archive
    • Oncology Reports
      • Oncology Reports
      • Information for Authors
      • Editorial Policies
      • Editorial Board
      • Aims and Scope
      • Abstracting and Indexing
      • Bibliographic Information
      • Archive
    • Molecular Medicine Reports
      • Molecular Medicine Reports
      • Information for Authors
      • Editorial Policies
      • Editorial Board
      • Aims and Scope
      • Abstracting and Indexing
      • Bibliographic Information
      • Archive
    • World Academy of Sciences Journal
      • World Academy of Sciences Journal
      • Information for Authors
      • Editorial Policies
      • Editorial Board
      • Aims and Scope
      • Abstracting and Indexing
      • Bibliographic Information
      • Archive
    • International Journal of Functional Nutrition
      • International Journal of Functional Nutrition
      • Information for Authors
      • Editorial Policies
      • Editorial Board
      • Aims and Scope
      • Abstracting and Indexing
      • Bibliographic Information
      • Archive
    • International Journal of Epigenetics
      • International Journal of Epigenetics
      • Information for Authors
      • Editorial Policies
      • Editorial Board
      • Aims and Scope
      • Abstracting and Indexing
      • Bibliographic Information
      • Archive
    • Medicine International
      • Medicine International
      • Information for Authors
      • Editorial Policies
      • Editorial Board
      • Aims and Scope
      • Abstracting and Indexing
      • Bibliographic Information
      • Archive
  • Articles
  • Information
    • Information for Authors
    • Information for Reviewers
    • Information for Librarians
    • Information for Advertisers
    • Conferences
  • Language Editing
Spandidos Publications Logo
  • About
    • About Spandidos
    • Aims and Scopes
    • Abstracting and Indexing
    • Editorial Policies
    • Reprints and Permissions
    • Job Opportunities
    • Terms and Conditions
    • Contact
  • Journals
    • All Journals
    • Biomedical Reports
      • Information for Authors
      • Editorial Policies
      • Editorial Board
      • Aims and Scope
      • Abstracting and Indexing
      • Bibliographic Information
      • Archive
    • Experimental and Therapeutic Medicine
      • Information for Authors
      • Editorial Policies
      • Editorial Board
      • Aims and Scope
      • Abstracting and Indexing
      • Bibliographic Information
      • Archive
    • International Journal of Epigenetics
      • Information for Authors
      • Editorial Policies
      • Editorial Board
      • Aims and Scope
      • Abstracting and Indexing
      • Bibliographic Information
      • Archive
    • International Journal of Functional Nutrition
      • Information for Authors
      • Editorial Policies
      • Editorial Board
      • Aims and Scope
      • Abstracting and Indexing
      • Bibliographic Information
      • Archive
    • International Journal of Molecular Medicine
      • Information for Authors
      • Editorial Policies
      • Editorial Board
      • Aims and Scope
      • Abstracting and Indexing
      • Bibliographic Information
      • Archive
    • International Journal of Oncology
      • Information for Authors
      • Editorial Policies
      • Editorial Board
      • Aims and Scope
      • Abstracting and Indexing
      • Bibliographic Information
      • Archive
    • Medicine International
      • Information for Authors
      • Editorial Policies
      • Editorial Board
      • Aims and Scope
      • Abstracting and Indexing
      • Bibliographic Information
      • Archive
    • Molecular and Clinical Oncology
      • Information for Authors
      • Editorial Policies
      • Editorial Board
      • Aims and Scope
      • Abstracting and Indexing
      • Bibliographic Information
      • Archive
    • Molecular Medicine Reports
      • Information for Authors
      • Editorial Policies
      • Editorial Board
      • Aims and Scope
      • Abstracting and Indexing
      • Bibliographic Information
      • Archive
    • Oncology Letters
      • Information for Authors
      • Editorial Policies
      • Editorial Board
      • Aims and Scope
      • Abstracting and Indexing
      • Bibliographic Information
      • Archive
    • Oncology Reports
      • Information for Authors
      • Editorial Policies
      • Editorial Board
      • Aims and Scope
      • Abstracting and Indexing
      • Bibliographic Information
      • Archive
    • World Academy of Sciences Journal
      • Information for Authors
      • Editorial Policies
      • Editorial Board
      • Aims and Scope
      • Abstracting and Indexing
      • Bibliographic Information
      • Archive
  • Articles
  • Information
    • For Authors
    • For Reviewers
    • For Librarians
    • For Advertisers
    • Conferences
  • Language Editing
Login Register Submit
  • This site uses cookies
  • You can change your cookie settings at any time by following the instructions in our Cookie Policy. To find out more, you may read our Privacy Policy.

    I agree
Search articles by DOI, keyword, author or affiliation
Search
Advanced Search
presentation
Biomedical Reports
Join Editorial Board Propose a Special Issue
Print ISSN: 2049-9434 Online ISSN: 2049-9442
Journal Cover
January-2025 Volume 22 Issue 1

Full Size Image

Sign up for eToc alerts
Recommend to Library

Journals

International Journal of Molecular Medicine

International Journal of Molecular Medicine

International Journal of Molecular Medicine is an international journal devoted to molecular mechanisms of human disease.

International Journal of Oncology

International Journal of Oncology

International Journal of Oncology is an international journal devoted to oncology research and cancer treatment.

Molecular Medicine Reports

Molecular Medicine Reports

Covers molecular medicine topics such as pharmacology, pathology, genetics, neuroscience, infectious diseases, molecular cardiology, and molecular surgery.

Oncology Reports

Oncology Reports

Oncology Reports is an international journal devoted to fundamental and applied research in Oncology.

Experimental and Therapeutic Medicine

Experimental and Therapeutic Medicine

Experimental and Therapeutic Medicine is an international journal devoted to laboratory and clinical medicine.

Oncology Letters

Oncology Letters

Oncology Letters is an international journal devoted to Experimental and Clinical Oncology.

Biomedical Reports

Biomedical Reports

Explores a wide range of biological and medical fields, including pharmacology, genetics, microbiology, neuroscience, and molecular cardiology.

Molecular and Clinical Oncology

Molecular and Clinical Oncology

International journal addressing all aspects of oncology research, from tumorigenesis and oncogenes to chemotherapy and metastasis.

World Academy of Sciences Journal

World Academy of Sciences Journal

Multidisciplinary open-access journal spanning biochemistry, genetics, neuroscience, environmental health, and synthetic biology.

International Journal of Functional Nutrition

International Journal of Functional Nutrition

Open-access journal combining biochemistry, pharmacology, immunology, and genetics to advance health through functional nutrition.

International Journal of Epigenetics

International Journal of Epigenetics

Publishes open-access research on using epigenetics to advance understanding and treatment of human disease.

Medicine International

Medicine International

An International Open Access Journal Devoted to General Medicine.

Journal Cover
January-2025 Volume 22 Issue 1

Full Size Image

Sign up for eToc alerts
Recommend to Library

  • Article
  • Citations
    • Cite This Article
    • Download Citation
    • Create Citation Alert
    • Remove Citation Alert
    • Cited By
  • Similar Articles
    • Related Articles (in Spandidos Publications)
    • Similar Articles (Google Scholar)
    • Similar Articles (PubMed)
  • Download PDF
  • Download XML
  • View XML

  • Supplementary Files
    • Supplementary_Data1.pdf
    • Supplementary_Data2.pdf
Article Open Access

Rifaximin prophylaxis in MASLD‑hepatocellular carcinoma: Lessons from a negative animal model

  • Authors:
    • Larisse Longo
    • Gabriel Tayguara Silveira Guerreiro
    • Luiza Behrens
    • Matheus Henrique Mariano Pereira
    • Carlos Eduardo Pinzon
    • Carlos Thadeu Schmidt Cerski
    • Carolina Uribe‑Cruz
    • Mário Reis Álvares‑da‑Silva
  • View Affiliations / Copyright

    Affiliations: Graduate Program in Gastroenterology and Hepatology, Federal University of Rio Grande do Sul, Porto Alegre, Rio Grande do Sul 90035‑003, Brazil, Experimental Laboratory of Hepatology and Gastroenterology, Center for Experimental Research, Hospital de Clínicas de Porto Alegre, Porto Alegre, Rio Grande do Sul 90035‑903, Brazil
    Copyright: © Longo et al. This is an open access article distributed under the terms of Creative Commons Attribution License.
  • Article Number: 4
    |
    Published online on: October 24, 2024
       https://doi.org/10.3892/br.2024.1882
  • Expand metrics +
Metrics: Total Views: 0 (Spandidos Publications: | PMC Statistics: )
Metrics: Total PDF Downloads: 0 (Spandidos Publications: | PMC Statistics: )
Cited By (CrossRef): 0 citations Loading Articles...

This article is mentioned in:



Abstract

The incidence of hepatocellular carcinoma (HCC) has been rising, particularly among individuals diagnosed with metabolic dysfunction‑associated steatotic liver disease. In the present study, the prophylactic effects of rifaximin (RIF) on HCC, inflammatory markers and cardiovascular risk (CVR) were investigated in an animal model. Adult Sprague‑Dawley rats were randomly allocated into three groups (n=10, each): Control [standard diet/water plus gavage with vehicle (Veh)], HCC [high‑fat choline deficient diet (HFCD)/diethylnitrosamine (DEN) in drinking water/Veh gavage] and RIF [HFCD/DEN/RIF (50 mg/kg/day) gavage] groups. After euthanasia at week 16, biochemical/inflammatory markers and the liver histology were assessed. The results demonstrated that the HCC and RIF animals had a significant increase in fresh liver weight, liver weight/body weight ratio, serum total cholesterol (TC), high‑density lipoprotein‑cholesterol, triglycerides, hepatic lipid accumulation and hepatic concentration of triglycerides and TC, relative to the controls (P<0.001, for all). Additionally, the HCC and RIF animals had higher plasminogen activator inhibitor, intercellular adhesion molecule‑1, E‑selectin and CVR scores than the controls (P<0.001, for all). The HCC animals had higher interleukin (IL)‑1β (P=0.011), IL‑10 (P<0.001), toll‑like receptor‑2 (P=0.012), lipopolysaccharide‑binding protein (P=0.018) and metalloproteinase‑2 (P=0.003) levels than the RIF animals. Furthermore, liver steatosis, inflammation and fibrosis, along with increased collagen fiber deposition occurred in the HCC and RIF groups. However, HCC occurred only in 2 RIF rats. In conclusion, although most animals did not develop HCC in the present study, RIF positively affected liver inflammation markers involved in steatohepatitis pathogenesis.

Introduction

Metabolic dysfunction-associated steatotic liver disease (MASLD) is the latest term used to define non-alcoholic fatty liver disease associated with metabolic syndrome (1). MASLD is characterized by excessive lipid accumulation associated with obesity, type 2 diabetes mellitus, hypertension, dyslipidemia and metabolic syndrome, with insulin resistance being the common denominator. Alternative diagnoses such as viral hepatitis and significant alcohol intake should also be ruled out before diagnosing MASLD (1). The initial stage of development of this multisystem disorder shows simple hepatic steatosis that can progress to non-alcoholic steatohepatitis associated with metabolic dysfunction (MASH), fibrosis, cirrhosis and eventually to hepatocellular carcinoma (HCC), depending on the clinical, genetic and epigenetic predispositions of the patient (2-4). MASLD is the most common cause of liver-related morbidity and mortality, affecting >30% of individuals worldwide due to the global prevalence of obesity and diseases associated with this clinical condition (3,5). Additionally, cardiovascular diseases feature among the leading causes of death in patients with MASLD, causing ~40% of all deaths (6,7). Overall, HCC is the sixth most common cancer and the third leading cause of cancer-related mortality worldwide (2). However, MASLD/MASH-derived HCC shows distinct characteristics (including lower survival rates than other pathologies), but its underlying pathogenic mechanisms remain only partially understood (2).

Several oncogenic mechanisms are associated with the progression of MASLD, one of which refers to the accumulation of lipids in hepatocytes and its associated lipotoxicity creating a dynamic pro-inflammatory environment (3), in which multiple oncogenic pathways are associated with HCC development, markedly changing regulatory and signaling pathways and fostering a conducive hepatic microenvironment for disease progression (3,8). This process concurrently increases the risk of cardiovascular diseases by the activation and generation of metabolic and inflammatory components (6,9). Due to the difficulty treating and improving HCC outcomes (10), immune checkpoint inhibitors (ICIs) represent an effective treatment strategy for HCC, the mechanisms of action of which are based on activating the immune system by modulating T lymphocyte responses and targeting immune checkpoints (11,12). As a previous meta-analysis has shown, despite the acceptable safety profile of ICI monotherapy and its immunological combinations, ICIs have a specific set of treatment-related adverse events (11,12), including a higher risk of hypertransaminasemia, warranting liver function monitoring and the evaluation of potential prognostic biomarkers, such as albumin, which is related to inflammatory pressure (11,13). Lower levels of albumin occur in cases of chronic inflammatory disorders and cancer, acting as a negative acute-phase reactant (13). In recent years, new systemic therapies for advanced HCC have been developed, and it has been suggested that the combination of new and old treatments with locoregional approaches be implemented (14). MASLD/MASH treatment is necessary to prevent irreversible chronic liver diseases, such as cirrhosis and HCC. At present, regulatory agencies have not approved specific pharmacological therapies to treat MASH, and several clinical studies currently target its different symptoms (1,15). Rifaximin (RIF), a non-absorbable broad-spectrum oral antibiotic, can positively modulate the components of the intestinal microbiota, attenuating the inflammatory process and energetic metabolism (16-18). These mechanisms contribute to the progression from MASLD to HCC, making it an important target of study.

Based on the above, MASLD-related HCC configures a global health issue as its forecast impact on HCC morbidity and mortality is expected to rise in the future. Thus, developing pre-clinical studies is of fundamental importance for understanding the mechanisms linked to the development and progression of MASLD and for evaluating prognostic markers and potential therapeutic targets (15,19). The complex and multifaceted pathophysiology of MASLD challenges the search for animal models that can replicate the disease in its advanced stages, which more urgently require treatment (15,19). Hence, the present study aimed to evaluate the impact of RIF treatment on MASLD-associated hepatocarcinogenesis and to assess the hepatic and systemic inflammatory processes associated with the risk of developing cardiovascular diseases.

Materials and methods

Animals

In total, 30 adult male Sprague Dawley rats aged 60 days and weighing 290-330 g were included in the present study. The rats were housed in pairs in polypropylene cages with sawdust-covered floors and allowed to acclimatize to the maintenance room for 2 weeks prior to this experiment. The rats were kept under a standard 12-h light/dark cycle in a temperature-controlled environment (22±2˚C). Before starting the study, measures for anticipating the euthanasia of animals as a refinement procedure and to protect/preserve their well-being whenever the animals showed altered behavior or signs of suffering that could not be controlled with handling or analgesics were adopted. Additionally, performing chronic gavage (16 weeks) can result in adverse events such as irritations in the upper gastric tract (mouth, pharynx, esophagus and stomach), physical stress, passive reflux if the stomach is overloaded and aspiration pneumonia. In such situations, comfort measures should also be adopted. However, these measures were not necessary for any animal during the present study. All experiments and procedures involving the use of animals were approved by the Institutional Ethics Committee of Hospital de Clinicas de Porto Alegre (Porto Alegre, Brazil; approval no. 2019-0311). The procedures for the use of scientific animals were conducted in accordance with the Guide for the Care and Use of Laboratory Animals (8th edition, 2011) and Law number 11,794 (Brazil, 2008).

Study design

Diethylnitrosamine (DEN; to stimulate the development of HCC) doses and experimental duration for this protocol were based on a prior study (20). Briefly, after acclimatizing to the environment, the rats were randomly assigned to three groups based on their weight: A control group (n=10), which received a standard diet and water without DEN along with a daily gavage of vehicle (Veh) solution throughout the 16-week experiment period; an HCC group (n=10), which received a high-fat and choline-deficient diet (HFCD), 135 mg/l DEN (MilliporeSigma) in drinking water, and a daily gavage of Veh solution for the experimental period; and the RIF group, which received the HFCD diet plus DEN and prophylactic RIF (MilliporeSigma) administered daily by gavage for 16 weeks. The experimental design is depicted in Fig. S1. The weight of the rats was logged twice a week throughout the experiment. Additionally, naso-anal length (cm) was measured in the initial and final week of the study for determination of the change in Lee index. This index was calculated as the ratio between the cube root of the body weight and the naso-anal length of animals multiplied by 10 (g/cm) (21). At the end of the 16-week period, all rats were anesthetized via inhalation with isoflurane (BioChimico) in 100% oxygen at a dose of 5% for induction and 3-4% for maintenance, at 0.5 l/min, and then euthanized via cardiac exsanguination. The rat livers were completely excised and weighed. Serum samples, abdominal adipose tissue and liver fragments were also collected under sterile conditions, flash-frozen in liquid nitrogen and stored at -80˚C until experimental procedures were conducted. A portion of each liver sample was fixed in 10% formalin at room temperature for 24 h for histological analysis.

Nutritional intervention

The diet administered to the intervention groups was selected to replicate a number of the phenotypes in humans with MASLD, as previously shown by our research team (22). Rats in the control group were provided with a standard rodent diet (Nuvilab CR-1; Quimtia), with an energy content of 2.93 kcal/g (carbohydrates, 55.0%; protein, 22.0%; fat, 4.5%; other nutrients, 18.5%). Rats in the intervention groups were fed an HFCD diet (RH19576; Rhoster) with an energy content of 4.3 kcal/g (carbohydrates, 54.5%; protein, 14.0%; fat, 31.5, and 54.0% from trans fatty acids). The diet for all groups was replaced every 2 days. Throughout the experimental period, groups had ad libitum access to water and food.

RIF administration

The RIF dose administered followed a previous study in the literature (8,23). The RIF group received a daily dose of 50 mg/kg/day of RIF (Biolab Sanus Farmaceutica Ltd.) by daily gavage until the 16th week of the experiment. The animals in the control and HCC groups received a daily gavage with a Veh solution (0.5 ml/kg distilled water). The therapeutic intervention by administering gavage daily followed the same previously standardized procedures that had been performed by our research group (8). In summary, the administration of RIF or the provision of Veh solution via gavage to the respective experimental groups occurred from the first day of the experiment until the date of euthanasia.

Biochemical analysis and atherogenic ratios

The rats were fasted for 8 h before euthanasia via cardiac exsanguination under isoflurane anesthesia. Aspartate aminotransferase (AST), alanine aminotransferase (ALT), glucose, total cholesterol (TC), low-density lipoprotein (LDL), high-density lipoprotein (HDL) and triglyceride (TG) serum levels were determined using Labmax 560, in the Laboratory Diagnostic Service, Hospital de Clínicas de Porto Alegre (Porto Alegre, Brazil).

The atherogenic ratios, calculated based on the lipid profile results, were used as a tool to predict cardiovascular risk (CVR). The atherogenic ratios were calculated as follows: Castelli's risk index (CRI)-I=TC/HDLc; CRI-II=LDLc/HDLc; and atherogenic coefficient (AC)=(TC-HDLc)/HDLc (24), where ‘c’ indicates cholesterol.

Quantitative analysis of liver fat deposition

Previously frozen liver tissue samples were thawed on ice and homogenized in phosphate-buffered saline at a concentration of 20 mg of tissue/ml, to analyze the hepatic lipid content. From this homogenate, TG, TC and overall lipid accumulation levels were assessed. The hepatic TG and TC levels were enzymatically determined by colorimetric assays (Labtest Diagnóstica S.A), at wavelengths of 505 and 500 nm, respectively. The total lipid concentration was determined following the modified protocol outlined by Gómez-Lechón et al (25). Briefly, the liver tissue was homogenized in phosphate-buffered saline and incubated with 1 µl Nile Red solution (1 mg/ml in acetone) at 37˚C for 15 min. The fluorescence was measured at excitation and emission wavelengths of 488 and 550 nm, respectively, using a SpectraMax M3 spectrophotometer. The obtained values were normalized to the total protein content of the homogenate (26). The results are presented as fluorescence/µg protein. All analyses were performed in duplicate.

Assessment of the gene expression of hepatic inflammation

Total RNA was extracted from liver tissue fragments using a RNeasy Mini Kit (Qiagen, Inc.). A high-capacity cDNA reverse transcription kit (Applied Biosystems; Thermo Fisher Scientific, Inc.) was used to convert cDNA from 2 µg of RNA according to the manufacturer's instructions. To assess the gene expression of interleukin (IL)-1β, IL-6, IL-10, tumoral necrosis factor-α (TNF-α), lipopolysaccharide-binding protein (LBP), myeloid differentiation primary response 88, toll-like receptor (TLR) 4, TLR2, transforming growth factor-β1 (TGF-β1), metalloproteinase (MMP)2 and MMP9 in the liver, a quantitative polymerase chain reaction with the TaqMan assay (Applied Biosystems; Thermo Fisher Scientific, Inc.) was performed according to the manufacturer's instructions. The probes used are listed in Table SI. The β-actin gene was used to normalize gene expression in the liver tissues. The changes in gene expression levels were calculated using the formula 2-ΔΔCq (27).

Inflammatory status and endothelial injury

By a multiplex assay using the Luminex platform (Merck KGaA), the serum levels of inflammatory and endothelial dysfunction markers, such as IL-1β, IL-6, TNF-α, monocyte chemoattractant protein (MCP-1), E-selectin, intercellular adhesion molecule (ICAM-1), plasminogen activator inhibitor (PAI-1), insulin, leptin and adiponectin, were evaluated using the following kits: Rat Adipokine (cat. no. RADPKMAG-80K) for the assessment of IL-1β, IL-6, insulin, leptin, MCP-1, PAI-1 and TNFα; Rat Vascular Injury Panel 2 (cat. no. RV2MAG-26K) for the assessment of adiponectin, E-selectin and ICAM-1. The serum evaluation of soluble vascular adhesion protein-1 (VAP-1) was performed by an enzyme-linked immunosorbent assay (cat. no. MBS2515661; MyBioSource, Inc.). Absorbance was measured in a spectrophotometer (Zenyth 200 rt) at a wavelength of 450 nm. The results are presented in ng/ml or pg/ml. All procedures followed the manufacturers' instructions, and all analyses were performed in duplicate.

Histopathological analysis

Formalin-fixed liver tissue samples (4-µm sections) were embedded in paraffin and stained with hematoxylin and eosin (H&E) and picrosirius red. The histopathological lesions of the several evolutionary stages of MASLD were assessed according to the score by Liang et al (28), which is a highly reproducible scoring system applicable to experimental rodent models. The degree of fibrosis was evaluated using the slides stained with picrosirius red and cancerous lesions were graded according to the Edmondson and Steiner classification (29). The analysis was performed by an experienced pathologist, who was blinded to the experimental groups. The evaluation was conducted in the Surgical Pathology Service at the Hospital de Clínicas de Porto Alegre (Porto Alegre, Brazil).

Sample size calculation and statistical analysis

The sample size was estimated using WINPEPI 11.20 software (Brixton Health) following a prior study by our group (20,30). With a power of 80% and a significance level of 5%, it was determined that a minimum of 10 animals per experimental group would be necessary. Data were analyzed using SPSS version 28.0 (IBM Corp.). The normality of all variables was assessed using the Shapiro-Wilk test and histograms. Parametric data were analyzed using one-way analysis of variance, followed by the Tukey's post-hoc test. Quantitative variables are shown as the mean ± standard deviation. P<0.05 was considered to indicate a statistically significant difference.

Results

General characteristics of the experimental model

The animals in all experimental groups showed similar baseline body weights (P=0.797), evincing homogeneity. After the first week of the experiment, HFCD was introduced to the HCC and RIF groups, and there was no significant difference (P=0.720) between these experimental groups and the control group in terms of the change in body weight (Fig. 1A). Additionally, no significant differences in the change in Lee index (P=0.894; Fig. 1B), abdominal circumference (P=0.980; Fig. 1C) and abdominal adipose tissue accumulation (P=0.299; Fig. 1D) was found between the groups. However, the fresh liver weight significantly increased and the liver weight/body weight ratio significantly decreased in the HCC and RIF groups relative to the control group (both P<0.001; Fig. 1E and F).

Figure 1

(A) Change in body weight, (B) change in Lee index, (C) abdominal circumference, (D) abdominal adipose tissue, (E) fresh liver weight, (F) liver weight/body weight ratio of the rats. Data are presented as the mean ± standard deviation. Statistical significance was determined by Tukey's test. Different letters indicate a significant difference between groups (P<0.05). If groups share a letter, they are not significantly different. HCC, hepatocellular carcinoma; RIF, rifaximin.

Biochemical parameters and atherogenic ratios to assess the CVR

Table I shows the biochemical parameter and atherogenic ratio data. The serum AST levels in the RIF group significantly increased compared with the control group (P=0.045). The glucose levels significantly increased in the HCC group compared with the control group (P=0.018). There were no significant differences in serum ALT levels between the experimental groups (P=0.757). Regarding the lipid profiles, the HCC and RIF groups showed significantly increases in TC, HDLc and triglyceride serum levels relative to the control (P<0.001, for all). However, the inverse occurred for serum LDLc levels (P<0.001). Regarding the atherogenic ratios, rats in the HCC and RIF groups showed a significant increase in AC, CRI-I and CR-II (P<0.001, for all) compared with the control group.

Table I

Biochemical parameters and atherogenic ratios.

Table I

Biochemical parameters and atherogenic ratios.

VariableControl, n=10HCC, n=9RIF, n=10P-value (ANOVA)
ALT, U/l69.2±32.961.3±19.061.5±22.60.757
AST, U/l 100.9±26.7a 124.9±25.0a,b 132.0±28.7b0.045
Glucose, mg/dl 148.0±26.4a 114.3±9.5b 128.2±28.6a,b0.018
Total cholesterol, mg/dl 60.7±10.8a 130.2±29.7b 127.9±22.8b<0.001
HDL cholesterol, mg/dl 24.9±3.11a 40.7±8.6b 40.6±9.8b<0.001
LDL cholesterol, mg/dl 20.4±6.9a 78.4±27.2b 78.2±14.3b<0.001
Triglycerides, mg/dl 76.9±18.0a 56.0±13.7b 45.7±10.5b<0.001
AC 1.43±0.3a 2.28±0.7b 2.22±0.4b<0.001
CRI-I 0.77±0.3a 1.77±0.7b 2.49±1.1b<0.001
CRI-II 0.8±0.3a 2.0±0.7b 2.0±0.4b<0.001

[i] Variables are presented as the mean ± standard deviation. The superscript letters

[ii] a, b refer to the results of the post hoc statistical test (Tukey's test). Identical letters indicate no statistical difference, while different letters between experimental groups show a significant difference for the variable under analysis. AC, atherogenic coefficient; ALT, alanine aminotransferase; AST, aspartate aminotransferase; CRI, Castelli's Risk Index; HCC, hepatocellular carcinoma; HDL, high density lipoprotein; LDL, low density lipoprotein; RIF, rifaximin.

Analysis of fat deposition in liver tissue

In the quantitative analysis of lipid deposits in liver tissue, the rats in the HCC and RIF groups showed a significant increase in the accumulation of lipids, TGs and TC concentration relative to the control group (P<0.001, for all; Fig. 2A-C).

Figure 2

Quantitative analysis of the (A) accumulation of liver lipids, (B) hepatic triglycerides, and (C) hepatic total cholesterol. Data are presented as the mean ± standard deviation. Statistical significance was determined by Tukey’s test. Different letters indicate a significant difference between groups (P<0.05). If groups share a letter, they are not significantly different. HCC, hepatocellular carcinoma; RIF, rifaximin.

Expression of genes involved in steatohepatitis pathogenesis

Table II shows the data obtained of the hepatic gene expression of inflammatory parameters related to steatohepatitis pathogenesis. The HCC group showed a significant increase in IL-1β (P=0.011) and IL-10 (P<0.001) gene expression relative to the RIF group. The RIF group showed significantly lower expression levels of TLR2 (P=0.012), LPB (P=0.018) and MMP2 (P=0.003) than the HCC group, obtaining values that resembled the control group. No significant differences between the experimental groups in the gene expression of TNF-α (P=0.174), IL-6 (P=0.187), TLR4 (P=0.140), TGF-β1 (P=0.687) and MMP9 (P=0.479) were found.

Table II

Gene expression of liver inflammation markers involved in steatohepatitis pathogenesis.

Table II

Gene expression of liver inflammation markers involved in steatohepatitis pathogenesis.

VariablesControl, n=10HCC, n=9RIF, n=10P-value (ANOVA)
TNF-α13.9±23.87.6±9.70.1±0.010.174
IL-1β 1.3±0.7a,b 2.1±0.8b 0.7±0.9a0.011
IL-61.2±0.93.1±4.40.8±1.10.187
IL-10 1.3±0.7a 1.6±0.5a 0.4±0.5b<0.001
TLR41.6±1.11.2±0.90.7±0.90.140
TLR2 1.2±0.7a 4.4±4.2b 0.8±1.3a0.012
LPB 1.3±0.7a 2.4±1.2b 1.2±0.8a0.018
Myd88 1.3±0.8a 1.0±0.9a,b 0.3±0.4b0.009
TGF-β11.2±0.81.6±1.91.1±0.10.687
MMP2 1.3±0.8a 3.9±2.3b 1.0±1.5a0.003
MMP91.5±1.42.7±1.53.2±4.60.479

[i] Variables are presented as the mean ± standard deviation. The superscript letters

[ii] a, b refer to the results of the post hoc statistical test (Tukey's test). Identical letters indicate no statistical difference, while different letters between experimental groups show a significant difference for the variable under analysis. IL, interleukin; HCC, hepatocellular carcinoma; LBP, lipopolysaccharide-binding protein; MMP, metalloproteinase; MyD88, myeloid differentiation primary response 88; RIF, rifaximin; TGF, transforming growth factor; TLR, toll-like receptor; TNF, tumor necrosis factor.

Systemic inflammation and endothelial dysfunction

Table III shows the data obtained on the protein concentrations of inflammatory and endothelial dysfunction parameters. The HCC and RIF groups showed a significant increase in the serum concentrations of PAI-1 (P=0.013 and P<0.001, respectively), ICAM-1 (P<0.001, for both) and E-selectin (P<0.001, for both) relative to the control group. The RIF group showed a significant increase in MCP-1 protein concentration compared with the HCC and control groups (P<0.001, for both). The RIF group had a significantly higher concentration of VAP-1 than the control group (P=0.041). No significant differences in the protein concentration of IL-1β (P=0.194), IL-6 (P=0.393) and TNF-α (P=0.918) between the groups were found.

Table III

Inflammation and endothelial dysfunction.

Table III

Inflammation and endothelial dysfunction.

VariablesControl, n=10HCC, n=9RIF, n=10P-value (ANOVA)
IL-1β, pg/ml1.5±2.16.4±6.67.5±11.10.194
IL-6, pg/ml39.0±31.617.5±18.729.7±44.30.393
TNF-α, pg/ml1.6±0.91.7±0.41.7±0.50.918
PAI-1, pg/ml 25.2±14.5a 91.3±60.2b 135.6±82.8b0.001
MCP-1, pg/ml 304.3±109.3a 336.6±119.9a 534.6±84.4b<0.001
ICAM-1, ng/ml 0.1±0.001a 1.6±0.8b 1.8±0.7b0.001
E-selectin, ng/ml 1.2±0.4a 2.6±0.2b 2.6±0.4b0.001
VAP-1, ng/ml 5.7±1.5a 7.1±1.4a,b 7.8±1.6b0.008

[i] Variables are presented as the mean ± standard deviation. The superscript letters

[ii] a, b refer to the results of the post hoc statistical test (Tukey's test). Identical letters indicate no statistical difference, while different letters between experimental groups show a significant difference for the variable under analysis. HCC, hepatocellular carcinoma; IL, interleukin; ICAM, intercellular adhesion molecule; MCP, monocyte chemoattractant protein; PAI, plasminogen activator inhibitor; RIF, rifaximin; TNF, tumor necrosis factor; VAP-1, vascular adhesion protein-1.

Liver histopathological analysis

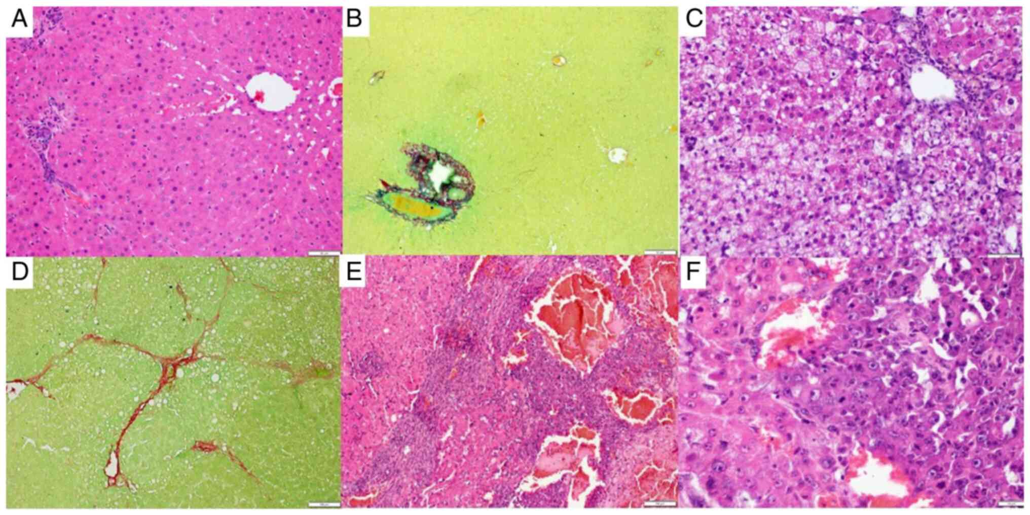
No abnormalities in the macroscopic appearance of the liver of the control rats (Fig. 3A) were found, whereas those in the HCC (Fig. 3B) and RIF (Fig. 3C-E) groups had the yellowish and greasy livers that characterize steatosis. Additionally, no abnormalities in the liver histopathological evaluation of the control group (Fig. 4A and B) were observed, whereas the rats in the HCC group had predominantly microvesicular steatosis, mild or moderate macrovesicular steatosis, inflammatory activity, and local fibrosis (Fig. 4C and D) and rats in the RIF group had predominantly microvesicular steatosis, moderate or severe macrovesicular steatosis, inflammatory activity, and local fibrosis (Fig. 4E and F).

Figure 3

Macroscopic appearance of the liver in the (A) control group, (B) HCC group, (C) RIF group, (D) RIF group with cancer grade IV and (E) RIF group with cancer grade II. HCC, hepatocellular carcinoma; RIF, rifaximin.

Figure 4

Hepatic histological evaluation. (A) H&E stain in the control group; magnification, x10. (B) Picrosirius stain in the control group; magnification, x10. (C) H&E stain in the HCC group, magnification, x20; (D) Picrosirius stain in the HCC group, magnification, x10. (E) H&E stain in the RIF group, magnification, x10. (F) H&E stain in the RIF group (magnification, x40) demonstrating metabolic dysfunction-associated liver disease-related liver injury secondary to the development of HCC. Scale bar, 10 µm. HCC, hepatocellular carcinoma; RIF, rifaximin.

Rodent-standardized MASLD activity scores showed that 7 (77.8%) rats in the HCC group developed steatosis and 2 (22.2%) steatohepatitis; 1 animal from this experimental group died, the biological samples of which were ignored in the proposed analyses. In the RIF group, 7 (70.0%) rats developed steatosis and 3 (30.0%) steatohepatitis. No animals in the HCC group developed liver cancer and only 2 (20.0%) in the RIF group developed grade IV (Fig. 3D) and grade II (Fig. 3E) HCC. The control group showed no hepatic histopathological changes. Table IV summarizes the data obtained in the evaluation of the hepatic histopathological scores.

Table IV

Distribution of liver histopathological findings.

Table IV

Distribution of liver histopathological findings.

 General NAFLD scoring system for the rat models 
VariablesNo NAFLD, n (%)Steatosis, n (%)Steatohepatitis, n (%)HCC development, n (%)
Control, n=1010 (100.0)0 (0.0)0 (0.0)0 (0.0)
HCC, n=90 (0.0)7 (77.8)2 (22.2)0 (0.0)
RIF, n=100 (0.0)7 (70.0)3 (30.0)2 (20.0)

[i] HCC, hepatocellular carcinoma; NAFLD, non-alcoholic fatty liver disease; RIF, rifaximin.

Discussion

Recent decades have seen a significant increase in the prevalence of MASLD, which is associated with cardiometabolic risk factors. The progression of the disease is not only linked to the development of cardiovascular diseases, the main cause of mortality in this clinical condition, but also to the development of HCC (6,31). This context evinces the utmost importance of experimental studies to evaluate the pathophysiological mechanisms and the potential therapeutic targets of HCC. Indeed, there is a growing body of evidence that shows that the use of RIF can contribute to reducing the complications of cirrhosis by relieving portal pressure (8,32-34). However, this is not the same as protection against HCC, whose pathogenesis does not involve portal hypertension. A search on PubMed (https://pubmed.ncbi.nlm.nih.gov/) using the keywords ‘RIF’ and ‘HCC’ yields 20 articles. Careful reading shows that only one article, published by our group, investigated this issue (8). On the contrary, a study has shown that the use of antibiotics, including RIF, can worsen the outcome of patients with HCC treated with sorafenib (34). Based on this evidence, the present study introduces a brand-new aspect to the discussion. In the present study, an experimental model of HCC secondary to MASLD was developed with the overall objective of evaluating the effect of prophylactic RIF treatment on the inflammatory markers and CVR of the disease. It was shown that the HCC and RIF experimental groups generally evinced alterations in the serum lipid profile, increased lipid and cholesterol deposition in hepatic tissue and significant changes in the atherogenic indices and the concentration of systemic inflammatory markers and endothelial adhesion molecules when compared with healthy rats. This indicated the triggering of metabolic and CVR-associated changes in the development of MASLD. Additionally, when comparing the two intervention groups, a significant increase in the gene expression of inflammatory mediators and hepatic fibrogenesis in the HCC group were observed when compared with the RIF-treated rats. These differences suggest a certain attenuation of the inflammatory and metabolic stimulus due to RIF. The hepatic histological evaluation showed that all animals in the HCC and RIF groups developed the local steatosis, inflammation and fibrosis that characterize MASLD. However, the development of HCC, the main objective of the present study, occurred in only 2 animals in the RIF group, showing the difficulty in reproducing experimental models previously described in the literature.

The need to fully understand the pathogenesis and progression of MASLD and to conduct preclinical tests for potential therapeutic agents has led to the development of experimental models that can reproduce hepatic phenotypes that resemble that in humans with MASLD and that can progress to inflammation, MASH cirrhosis, and HCC (35,36). The results of the present study showed that the use of HFCD for 16 weeks was able to induce changes in the serum and hepatic lipid profile, serum concentration of systemic inflammatory markers and adhesion molecules and in the atherogenic indices. These results corroborate other studies from our research group, which have reported a significant increase in the risk of cardiovascular disease associated with MASLD, which configures a pathophysiological mechanism that needs to be better evaluated with possible therapeutic targets (22,37). Regarding the serum levels of hepatic transaminases in the present study, significant differences in ALT levels between the experimental groups were not observed; however, rats in the RIF group showed a significant increase in AST levels compared with the control group. In the context of MASLD, the evaluation of both markers, but especially ALT due to its localization in the hepatocellular cytosol, serves as an indicator of liver damage. However, these transaminase levels fluctuate, and imaging or histological studies are necessary for diagnosis. Additionally, normal levels of liver enzymes are observed in individuals across the spectrum of MASLD, which may underestimate the presence of the disease (38,39). The present study was primarily developed to evaluate these hepatic inflammatory and CVR parameters in an experimental model of HCC secondary to MASLD. Analysis was hindered by the absence of HCC in most studied animals. The literature includes several experimental models that promote the development of HCC by diet, chemicals, xenografts and genetic induction (19,40). The previously described and standardized mixed experimental model of HCC secondary to MASLD induced by DEN and HFCD mimics the disease phenotype in humans, including excessive caloric intake, the development of obesity and dyslipidemia and a similar evolutionary profile to that in humans living with the several evolutionary stages of disease progression up to HCC (20). Recently, our research group published studies that used this same experimental model to evaluate the therapeutic effect of RIF on modulating the composition of the intestinal microbiota, epigenetic markers and autophagy. These studies observed the development of HCC secondary to MASLD, and treatment with RIF showed a beneficial effect on modulating the intestinal microbiota and epigenetic markers, preventing/retarding hepatic carcinogenesis (8,30). Considerable efforts have been made to generate experimental models that share numerous physiological, anatomical and metabolic characteristics with humans (35,41). However, in addition to these factors, the limitation in reproducing standardized experimental models in the literature configures a significant factor to be considered.

RIF is an oral, safe and poorly absorbed antibiotic that is widely used in clinical practice, especially to treat irritable bowel syndrome, traveler's diarrhea and hepatic encephalopathy (17,42,43). RIF plays a notable role in modulating the intestinal microbiota due to its selective antimicrobial activity in the intestine, affecting both gram-positive and gram-negative bacteria (17,42). Due to these characteristics, the use of RIF has been the subject of preclinical and clinical studies to treat MASLD at its different evolutionary stages (8,43,44). However, the effect of RIF on MASLD/MASH must be better understood due to controversial results in the literature. Cheng et al (45) showed an adverse effect of prolonged (6-month long) administration of RIF in mice, resulting in the activation of genes involved in lipid uptake, leading to hepatic steatosis. Fujinaga et al (44) reported that the use of RIF combined with an angiotensin II receptor blocker was able to reduce intestinal permeability, portal endotoxemia and hepatic fibrogenesis by suppressing the TLR4/NF-κB signaling pathway in an experimental model of non-alcoholic steatohepatitis. Clinically, studies have reported that short-term treatment with RIF is beneficial in reducing endotoxemia, inflammatory cytokine levels and insulin resistance (18,46). In the present study, although MASLD failed to progress to HCC, both intervention groups showed mild to moderate steatosis, inflammation and local fibrosis. In this context, an interesting result in the present study refers to the significant reduction in the gene expression of inflammatory mediators and markers of hepatic fibrogenesis in rats treated with RIF compared with the HCC group (which received no treatment). A critical factor for the development and progression of MASLD refers to intestinal dysbiosis and, as shown in a previous study by our research group, treatment with RIF managed to promote modulation of the intestinal microbiota (8). This previous study found a significant decrease in the gene expression of LBP and TLR2, and consequently a reduction in the expression of IL-1β and MMP2 in animals treated with RIF compared with animals with HCC. LBP is a soluble acute phase protein that binds to bacterial lipopolysaccharide, which in turn can activate TLRs (including TLR-2) thereby triggering an inflammatory and hepatic fibrogenesis response (44,47,48). In this scenario, the differences in the present study resulting from RIF treatment suggest the partial attenuation in inflammatory and metabolic stimulation. In this context, a prior experimental model study recently published shows the potential beneficial effect of RIF in preventing/delaying the development of carcinogenesis (8). Additionally, our research group is developing in vitro studies with hexachlorobenzene, which can stimulate hepatic proliferation. Unpublished results show that RIF reduces cell proliferation in Huh-7 cells through antiproliferative, antimigratory and pro-apoptotic effects. The lack of in vitro experiments is a limitation of the present study. However, as aforementioned, the in vitro data should be published soon.

Although the potential beneficial effect of RIF administration was shown, the main limitation of the present study refers to the absence of HCC development. A previously described mixed HCC experimental model that has been reproduced by our research group in the past was utilized in the present study. However, the same success was not obtained. Animal models are essential for studying the initiation and progression of MASLD. In MASLD, an ideal preclinical model is triggered by the same causes of the disease in humans (such as caloric excess) and is associated with the same risk factors (49,50). In this context, the ideal assessment of HCC secondary to MASLD would trigger the lesion by the progression of the disease, rather than administering a chemical carcinogen (49). However, the use of chemical additives is very common, as spontaneous development of HCC only via diet occurs from 50 weeks of experimentation, increasing the costs of studies (49,50). The present study likely showed no development of HCC due to an issue regarding the DEN used, dosage and/or administration since its histopathological evaluation showed that the studied animals had steatosis and inflammation, probably due to the use of HFCD. In the present study, the histopathological evaluation of liver tissue was conducted only through staining with H&E and picrosirius red. The lack of evaluation by α-smooth muscle actin, fibronectin and Masson staining is therefore a limitation. The issue widely stems from the notion that experimental models must be reproducible, reliable, simple, easy and accessible for the development and preclinical validation of new therapeutic targets (49-51). However, the literature shows few reports on experimental models that have failed to reproduce the expected phenotype in a disease (as occurred in the present study), complicating the discussion of the topic.

This line of research of our group has developed unpublished in vitro, experimental and clinical studies and shows significant potential in the field of hepatology and metabolic disorders. Overall, it has been observed that RIF can reduce the expression of inflammatory mediators and modulate the expression of epigenetic markers, autophagy and the composition of the gut microbiota (8,30). This suggests the beneficial effect of RIF beyond its current clinical uses, particularly in the modulation of inflammatory and metabolic pathways, including the cardiometabolic pathways involved in MASLD. However, some knowledge gaps still require further exploration in future studies, including the reproducibility of experimental models. The development and reproduction of reliable and consistent experimental models of HCC secondary to MASLD are of utmost importance to evaluate the pathophysiological mechanisms associated with disease progression and to identify new biomarkers and therapeutic targets. In this context, the primary objective in developing the present study was to evaluate markers of autophagy and epigenetics and to assess their relationship with the microbiota composition in these different study groups. However, due to the non-development of HCC, the objectives had to be modified. It is difficult to explain the reason for this limitation as the experimental parameters in our previous study (the species of rats, the diet and the medication doses) in which the tumor developed were repeated exactly in the present study (8). Considering all the variables, perhaps DEN itself could be responsible for the negative results. Thus, the long-term effects of RIF on MASLD/MASH and its progression to HCC remain unclear. Therefore, further studies should evaluate inflammatory and metabolic pathways to assess the potential beneficial effects associated with this process and ensure their clinical applicability.

Despite the aforementioned gaps, the present study showed that, although most rats studied did not develop HCC, RIF treatment reduced metabolic stimulus and inflammatory markers compared with rats that received no MASLD treatment. As the reproducibility of experimental models is key to allowing the evaluation of pathophysiological mechanisms associated with disease progression and to identify new biomarkers and therapeutic targets, it is important to show negative results to the academic community.

Supplementary Material

Experimental design. The control group (n=10) received a standard diet, water without DEN and gavage with the Veh solution; the HCC group (n=10) received a HFCD diet, water with DEN and gavage with the Veh solution; the RIF group (n=10) received a HFCD diet, water with DEN and gavage with RIF during the 16-week experiment, after which all animals were euthanized (†). DEN, diethylnitrosamine; HCC, hepatocellular carcinoma; HFCD, high-fat and choline-deficient; RIF, rifaximin; Veh, vehicle.
TaqMan probes used to evaluate the gene expression of liver inflammatory markers.

Acknowledgements

Not applicable.

Funding

Funding: This study was supported by the following Brazilian funding agencies: Financiamento e Incentivo à Pesquisa from Hospital de Clínicas de Porto Alegre (grant no. 2019-0311), Biolab Sanus Farmacêutica, the National Council for Scientific and Technological Development (CNPq) and the Coordination for the Improvement of Higher Education Personnel.

Availability of data and materials

The data generated in the present study may be requested from the corresponding author.

Authors' contributions

LL and MRA performed the conceptualization, methodology, formal analysis, investigation, data curation, writing of the original draft and the review and editing of the manuscript; GTSG, LB, MHMP, CEP, CTSC and CUC performed the methodology, formal analysis and the review and editing of the manuscript. LL, CUC and MRA confirm the authenticity of all the raw data. All authors read and approved the final version of the manuscript.

Ethics approval and consent to participate

All experiments and procedures involving the use of animals were approved by the Institutional Ethics Committee of Hospital de Clinicas de Porto Alegre (Porto Alegre, Brazil; approval no. 2019-0311). The procedures for the use of scientific animals were conducted in accordance with the Guide for the Care and Use of Laboratory Animals (8th edition, 2011) and Law number 11,794 (Brazil, 2008).

Patient consent for publication

Not applicable.

Competing interests

Biolab Sanus Farmaceutica Ltd. donated the rifaximin used in our study, although this company had no influence on either the design or conduct of the study, the analysis or interpretation of the data or the writing of the manuscript. Therefore, we do not believe this constitutes a competing interest.

References

1 

Rinella ME, Lazarus JV, Ratziu V, Francque SM, Sanyal AJ, Kanwal F, Romero D, Abdelmalek MF, Anstee QM, Arab JP, et al: A multisociety Delphi consensus statement on new fatty liver disease nomenclature. J Hepatol. 79:1542–1556. 2023.PubMed/NCBI View Article : Google Scholar

2 

Apostolo D, Ferreira LL, Vincenzi F, Vercellino N, Minisini R, Latini F, Ferrari B, Burlone M, Pirisi M and Bellan M: From MASH to HCC: the role of Gas6/TAM receptors. Front Immunol. 15(1332818)2024.PubMed/NCBI View Article : Google Scholar

3 

Phoolchund AGS and Khakoo SI: MASLD and the Development of HCC: Pathogenesis and Therapeutic Challenges. Cancers (Basel). 16(259)2024.PubMed/NCBI View Article : Google Scholar

4 

Meroni M, Chiappori F, Paolini E, Longo M, De Caro E, Mosca E, Chiodi A, Merelli I, Badiali S, Maggioni M, et al: A novel gene signature to diagnose MASLD in metabolically unhealthy obese individuals. Biochem Pharmacol. 218(115925)2023.PubMed/NCBI View Article : Google Scholar

5 

Younossi ZM, Golabi P, Paik JM, Henry A, Van Dongen C and Henry L: The global epidemiology of nonalcoholic fatty liver disease (NAFLD) and nonalcoholic steatohepatitis (NASH): A systematic review. Hepatology. 77:1335–1347. 2023.PubMed/NCBI View Article : Google Scholar

6 

Mellemkjær A, Kjær MB, Haldrup D, Grønbæk H and Thomsen KL: Management of cardiovascular risk in patients with metabolic dysfunction-associated steatotic liver disease. Eur J Intern Med. 122:28–34. 2023.PubMed/NCBI View Article : Google Scholar

7 

Younossi ZM: Non-alcoholic fatty liver disease-A global public health perspective. J Hepatol. 70:531–544. 2019.PubMed/NCBI View Article : Google Scholar

8 

Michalczuk MT, Longo L, Keingeski MB, Basso BS, Guerreiro GTS, Ferrari JT, Vargas JE, Oliveira CP, Uribe-Cruz C, Cerski CTS, et al: Rifaximin on epigenetics and autophagy in animal model of hepatocellular carcinoma secondary to metabolic-dysfunction associated steatotic liver disease. World J Hepatol. 16:75–90. 2024.PubMed/NCBI View Article : Google Scholar

9 

Maliakkal BJ: Pathogenesis of non-alcoholic fatty liver disease and implications on cardiovascular outcomes in liver transplantation. Transl Gastroenterol Hepatol. 5(36)2020.PubMed/NCBI View Article : Google Scholar

10 

Kim H, Lee DS, An TH, Park HJ, Kim WK, Bae KH and Oh KJ: Metabolic spectrum of liver failure in type 2 diabetes and obesity: From NAFLD to NASH to HCC. Int J Mol Sci. 22(4495)2021.PubMed/NCBI View Article : Google Scholar

11 

Rizzo A, Mollica V, Tateo V, Tassinari E, Marchetti A, Rosellini M, De Luca R, Santoni M and Massari F: Hypertransaminasemia in cancer patients receiving immunotherapy and immune-based combinations: The MOUSEION-05 study. Cancer Immunol Immunother. 72:1381–194. 2023.PubMed/NCBI View Article : Google Scholar

12 

Rizzo A, Ricci AD and Brandi G: Systemic adjuvant treatment in hepatocellular carcinoma: Tempted to do something rather than nothing. Future Oncol. 16:2587–2589. 2020.PubMed/NCBI View Article : Google Scholar

13 

Guven DC, Sahin TK, Erul E, Rizzo A, Ricci AD, Aksoy S and Yalcin S: The association between albumin levels and survival in patients treated with immune checkpoint inhibitors: A systematic review and meta-analysis. Front Mol Biosci. 9(1039121)2022.PubMed/NCBI View Article : Google Scholar

14 

Rizzo A, Ricci AD and Brandi G: Trans-Arterial chemoembolization plus systemic treatments for hepatocellular carcinoma: An Update. J Pers Med. 12(1788)2022.PubMed/NCBI View Article : Google Scholar

15 

Wang S and Friedman SL: Found in translation-Fibrosis in metabolic dysfunction-associated steatohepatitis (MASH). Sci Transl Med. 15(eadi0759)2023.PubMed/NCBI View Article : Google Scholar

16 

Cobbold JFL, Atkinson S, Marchesi JR, Smith A, Wai SN, Stove J, Shojaee-Moradie F, Jackson N, Umpleby AM, Fitzpatrick J, et al: Rifaximin in non-alcoholic steatohepatitis: An open-label pilot study. Hepatol Res. 48:69–77. 2018.PubMed/NCBI View Article : Google Scholar

17 

Leone P, Mincheva G, Balzano T, Malaguarnera M, Felipo V and Llansola M: Rifaximin Improves spatial learning and memory impairment in rats with liver Damage-Associated neuroinflammation. Biomedicines. 10(1263)2022.PubMed/NCBI View Article : Google Scholar

18 

Gangarapu V, Ince AT, Baysal B, Kayar Y, Kılıç U, Gök Ö, Uysal Ö and Şenturk H: Efficacy of rifaximin on circulating endotoxins and cytokines in patients with nonalcoholic fatty liver disease. Eur J Gastroenterol Hepatol. 27:840–845. 2015.PubMed/NCBI View Article : Google Scholar

19 

Fang J, Celton-Morizur S and Desdouets C: NAFLD-Related HCC: Focus on the latest relevant preclinical models. Cancers (Basel). 15(3723)2023.PubMed/NCBI View Article : Google Scholar

20 

de Lima VM, Oliveira CP, Alves VA, Chammas MC, Oliveira EP, Stefano JT, de Mello ES, Cerri GG, Carrilho FJ and Caldwell SH: A rodent model of NASH with cirrhosis, oval cell proliferation and hepatocellular carcinoma. J Hepatol. 49:1055–1061. 2008.PubMed/NCBI View Article : Google Scholar

21 

de Moura RF, Ribeiro C, de Oliveira JA, Stevanato E and de Mello MA: Metabolic syndrome signs in Wistar rats submitted to different high-fructose ingestion protocols. Br J Nutr. 101:1178–1184. 2009.PubMed/NCBI View Article : Google Scholar

22 

Longo L, Tonin Ferrari J, Rampelotto PH, Hirata Dellavia G, Pasqualotto A, P Oliveira C, Thadeu Schmidt Cerski C, Reverbel da Silveira T, Uribe-Cruz C and Álvares-da-Silva MR: Gut dysbiosis and increased intestinal permeability Drive microRNAs, NLRP-3 inflammasome and liver fibrosis in a nutritional model of Non-Alcoholic steatohepatitis in adult male sprague dawley rats. Clin Exp Gastroenterol. 13:351–368. 2020.PubMed/NCBI View Article : Google Scholar

23 

Dapito DH, Mencin A, Gwak GY, Pradere JP, Jang MK, Mederacke I, Caviglia JM, Khiabanian H, Adeyemi A, Bataller R, et al: Promotion of hepatocellular carcinoma by the intestinal microbiota and TLR4. Cancer Cell. 21:504–516. 2012.PubMed/NCBI View Article : Google Scholar

24 

Sujatha R and Kavitha S: Atherogenic indices in stroke patients: A retrospective study. Iran J Neurol. 16:78–82. 2017.PubMed/NCBI

25 

Gómez-Lechón MJ, Donato MT, Martínez-Romero A, Jiménez N, Castell JV and O'Connor JE: A human hepatocellular in vitro model to investigate steatosis. Chem Biol Interact. 165:106–116. 2007.PubMed/NCBI View Article : Google Scholar

26 

Bradford MM: A rapid and sensitive method for the quantitation of microgram quantities of protein utilizing the principle of protein-dye binding. Anal Biochem. 72:248–254. 1976.PubMed/NCBI View Article : Google Scholar

27 

Livak KJ and Schmittgen TD: Analysis of relative gene expression data using real-time quantitative PCR and the 2(-Delta Delta C(T)) method. Methods. 25:402–408. 2001.PubMed/NCBI View Article : Google Scholar

28 

Liang W, Menke AL, Driessen A, Koek GH, Lindeman JH, Stoop R, Havekes LM, Kleemann R and van den Hoek AM: Establishment of a general NAFLD scoring system for rodent models and comparison to human liver pathology. PLoS One. 9(e115922)2014.PubMed/NCBI View Article : Google Scholar

29 

Edmondson HA and Steiner PE: Primary carcinoma of the liver: A study of 100 cases among 48,900 necropsies. Cancer. 7:462–503. 1954.PubMed/NCBI View Article : Google Scholar

30 

Ferrari JT, Guerreiro GTS, Longo L, Silveira TR, Cerski CTS, Tozawa E, Oliveira CP, Álvares-da-Silva MR and Uribe-Cruz C: Potential beneficial effect of rifaximin in the prevention of hepatocellular carcinoma through the modulation of the microbiota in an experimental model of non-alcoholic fatty liver disease. Acta Gastroenterol Latinoam. 53:265–282. 2023.

31 

Guerreiro GTS, Longo L, Fonseca MA, de Souza VEG and Álvares-da-Silva MR: Does the risk of cardiovascular events differ between biopsy-proven NAFLD and MAFLD? Hepatol Int, 2021.

32 

Zacharias HD, Kamel F, Tan J, Kimer N, Gluud LL and Morgan MY: Rifaximin for prevention and treatment of hepatic encephalopathy in people with cirrhosis. Cochrane Database Syst Rev. 7(CD011585)2023.PubMed/NCBI View Article : Google Scholar

33 

Patel VC, Lee S, McPhail MJW, Da Silva K, Guilly S, Zamalloa A, Witherden E, Støy S, Manakkat Vijay GK, Pons N, et al: Rifaximin-α reduces gut-derived inflammation and mucin degradation in cirrhosis and encephalopathy: RIFSYS randomised controlled trial. J Hepatol. 76:332–342. 2022.PubMed/NCBI View Article : Google Scholar

34 

Pomej K, Balcar L, Scheiner B, Semmler G, Meischl T, Mandorfer M, Reiberger T, Müller C, Trauner M, Pinter M, et al: Antibiotic therapy is associated with worse outcome in patients with hepatocellular carcinoma treated with sorafenib. J Hepatocell Carcinoma. 8:1485–1493. 2021.PubMed/NCBI View Article : Google Scholar

35 

Flessa CM, Nasiri-Ansari N, Kyrou I, Leca BM, Lianou M, Chatzigeorgiou A, Kaltsas G, Kassi E and Randeva HS: Genetic and Diet-Induced Animal Models for Non-Alcoholic fatty liver disease (NAFLD) research. Int J Mol Sci. 23(15791)2022.PubMed/NCBI View Article : Google Scholar

36 

Denk H, Abuja PM and Zatloukal K: Animal models of NAFLD from the pathologist's point of view. Biochim Biophys Acta Mol Basis Dis. 1865:929–942. 2019.PubMed/NCBI View Article : Google Scholar

37 

Longo L, Rampelotto PH, Filippi-Chiela E, de Souza VEG, Salvati F, Cerski CT, da Silveira TR, Oliveira CP, Uribe-Cruz C and Álvares-da-Silva MR: Gut dysbiosis and systemic inflammation promote cardiomyocyte abnormalities in an experimental model of steatohepatitis. World J Hepatol. 13:2052–2070. 2021.PubMed/NCBI View Article : Google Scholar

38 

Hadizadeh F, Faghihimani E and Adibi P: Nonalcoholic fatty liver disease: Diagnostic biomarkers. World J Gastrointest Pathophysiol. 8:11–26. 2017.PubMed/NCBI View Article : Google Scholar

39 

Sanyal D, Mukherjee P, Raychaudhuri M, Ghosh S, Mukherjee S and Chowdhury S: Profile of liver enzymes in non-alcoholic fatty liver disease in patients with impaired glucose tolerance and newly detected untreated type 2 diabetes. Indian J Endocrinol Metab. 19:597–601. 2015.PubMed/NCBI View Article : Google Scholar

40 

Uehara T, Pogribny IP and Rusyn I: The DEN and CCl4-Induced mouse model of fibrosis and inflammation-associated hepatocellular carcinoma. Curr Protoc Pharmacol. 66(14.30.1-10)2014.PubMed/NCBI View Article : Google Scholar

41 

Oseini AM, Cole BK, Issa D, Feaver RE and Sanyal AJ: Translating scientific discovery: The need for preclinical models of nonalcoholic steatohepatitis. Hepatol Int. 12:6–16. 2018.PubMed/NCBI View Article : Google Scholar

42 

Lee S and Saffo S: Evolution of care in cirrhosis: Preventing hepatic decompensation through pharmacotherapy. World J Gastroenterol. 29:61–74. 2023.PubMed/NCBI View Article : Google Scholar

43 

Jian J, Nie MT, Xiang B, Qian H, Yin C, Zhang X, Zhang M, Zhu X and Xie WF: Rifaximin ameliorates non-alcoholic steatohepatitis in mice through regulating gut microbiome-related bile acids. Front Pharmacol. 13(841132)2022.PubMed/NCBI View Article : Google Scholar

44 

Fujinaga Y, Kawaratani H, Kaya D, Tsuji Y, Ozutsumi T, Furukawa M, Kitagawa K, Sato S, Nishimura N, Sawada Y, et al: Effective combination therapy of Angiotensin-II receptor blocker and rifaximin for hepatic fibrosis in rat model of nonalcoholic steatohepatitis. Int J Mol Sci. 21(5589)2020.PubMed/NCBI View Article : Google Scholar

45 

Cheng J, Krausz KW, Tanaka N and Gonzalez FJ: Chronic exposure to rifaximin causes hepatic steatosis in pregnane X receptor-humanized mice. Toxicol Sci. 129:456–468. 2012.PubMed/NCBI View Article : Google Scholar

46 

Abdel-Razik A, Mousa N, Shabana W, Refaey M, Elzehery R, Elhelaly R, Zalata K, Abdelsalam M, Eldeeb AA, Awad M, et al: Rifaximin in nonalcoholic fatty liver disease: hit multiple targets with a single shot. Eur J Gastroenterol Hepatol. 30:1237–1246. 2018.PubMed/NCBI View Article : Google Scholar

47 

Zhang L, Xie Z, Yu H, Du H, Wang X, Cai J, Qiu Y, Chen R, Jiang X, Liu Z, et al: TLR2 inhibition ameliorates the amplification effect of LPS on lipid accumulation and lipotoxicity in hepatic cells. Ann Transl Med. 9(1429)2021.PubMed/NCBI View Article : Google Scholar

48 

Ranoa DRE, Kelley SL and Tapping RI: Human lipopolysaccharide-binding protein (LBP) and CD14 independently deliver triacylated lipoproteins to Toll-like receptor 1 (TLR1) and TLR2 and enhance formation of the ternary signaling complex. J Biol Chem. 288:9729–9741. 2013.PubMed/NCBI View Article : Google Scholar

49 

Asgharpour A, Cazanave SC, Pacana T, Seneshaw M, Vincent R, Banini BA, Kumar DP, Daita K, Min HK, Mirshahi F, et al: A diet-induced animal model of non-alcoholic fatty liver disease and hepatocellular cancer. J Hepatol. 65:579–588. 2016.PubMed/NCBI View Article : Google Scholar

50 

Lau JK, Zhang X and Yu J: Animal models of non-alcoholic fatty liver disease: Current perspectives and recent advances. J Pathol. 241:36–44. 2017.PubMed/NCBI View Article : Google Scholar

51 

Febbraio MA, Reibe S, Shalapour S, Ooi GJ, Watt MJ and Karin M: Preclinical models for studying NASH-Driven HCC: How useful are they? Cell Metab. 29:18–26. 2019.PubMed/NCBI View Article : Google Scholar

Related Articles

  • Abstract
  • View
  • Download
  • Twitter
Copy and paste a formatted citation
Spandidos Publications style
Longo L, Guerreiro GT, Behrens L, Pereira MH, Pinzon CE, Cerski CT, Uribe‑Cruz C and Álvares‑da‑Silva MR: Rifaximin prophylaxis in MASLD‑hepatocellular carcinoma: Lessons from a negative animal model. Biomed Rep 22: 4, 2025.
APA
Longo, L., Guerreiro, G.T., Behrens, L., Pereira, M.H., Pinzon, C.E., Cerski, C.T. ... Álvares‑da‑Silva, M.R. (2025). Rifaximin prophylaxis in MASLD‑hepatocellular carcinoma: Lessons from a negative animal model. Biomedical Reports, 22, 4. https://doi.org/10.3892/br.2024.1882
MLA
Longo, L., Guerreiro, G. T., Behrens, L., Pereira, M. H., Pinzon, C. E., Cerski, C. T., Uribe‑Cruz, C., Álvares‑da‑Silva, M. R."Rifaximin prophylaxis in MASLD‑hepatocellular carcinoma: Lessons from a negative animal model". Biomedical Reports 22.1 (2025): 4.
Chicago
Longo, L., Guerreiro, G. T., Behrens, L., Pereira, M. H., Pinzon, C. E., Cerski, C. T., Uribe‑Cruz, C., Álvares‑da‑Silva, M. R."Rifaximin prophylaxis in MASLD‑hepatocellular carcinoma: Lessons from a negative animal model". Biomedical Reports 22, no. 1 (2025): 4. https://doi.org/10.3892/br.2024.1882
Copy and paste a formatted citation
x
Spandidos Publications style
Longo L, Guerreiro GT, Behrens L, Pereira MH, Pinzon CE, Cerski CT, Uribe‑Cruz C and Álvares‑da‑Silva MR: Rifaximin prophylaxis in MASLD‑hepatocellular carcinoma: Lessons from a negative animal model. Biomed Rep 22: 4, 2025.
APA
Longo, L., Guerreiro, G.T., Behrens, L., Pereira, M.H., Pinzon, C.E., Cerski, C.T. ... Álvares‑da‑Silva, M.R. (2025). Rifaximin prophylaxis in MASLD‑hepatocellular carcinoma: Lessons from a negative animal model. Biomedical Reports, 22, 4. https://doi.org/10.3892/br.2024.1882
MLA
Longo, L., Guerreiro, G. T., Behrens, L., Pereira, M. H., Pinzon, C. E., Cerski, C. T., Uribe‑Cruz, C., Álvares‑da‑Silva, M. R."Rifaximin prophylaxis in MASLD‑hepatocellular carcinoma: Lessons from a negative animal model". Biomedical Reports 22.1 (2025): 4.
Chicago
Longo, L., Guerreiro, G. T., Behrens, L., Pereira, M. H., Pinzon, C. E., Cerski, C. T., Uribe‑Cruz, C., Álvares‑da‑Silva, M. R."Rifaximin prophylaxis in MASLD‑hepatocellular carcinoma: Lessons from a negative animal model". Biomedical Reports 22, no. 1 (2025): 4. https://doi.org/10.3892/br.2024.1882
Follow us
  • Twitter
  • LinkedIn
  • Facebook
About
  • Spandidos Publications
  • Careers
  • Cookie Policy
  • Privacy Policy
How can we help?
  • Help
  • Live Chat
  • Contact
  • Email to our Support Team