Spandidos Publications Logo
  • About
    • About Spandidos
    • Aims and Scopes
    • Abstracting and Indexing
    • Editorial Policies
    • Reprints and Permissions
    • Job Opportunities
    • Terms and Conditions
    • Contact
  • Journals
    • All Journals
    • Oncology Letters
      • Oncology Letters
      • Information for Authors
      • Editorial Policies
      • Editorial Board
      • Aims and Scope
      • Abstracting and Indexing
      • Bibliographic Information
      • Archive
    • International Journal of Oncology
      • International Journal of Oncology
      • Information for Authors
      • Editorial Policies
      • Editorial Board
      • Aims and Scope
      • Abstracting and Indexing
      • Bibliographic Information
      • Archive
    • Molecular and Clinical Oncology
      • Molecular and Clinical Oncology
      • Information for Authors
      • Editorial Policies
      • Editorial Board
      • Aims and Scope
      • Abstracting and Indexing
      • Bibliographic Information
      • Archive
    • Experimental and Therapeutic Medicine
      • Experimental and Therapeutic Medicine
      • Information for Authors
      • Editorial Policies
      • Editorial Board
      • Aims and Scope
      • Abstracting and Indexing
      • Bibliographic Information
      • Archive
    • International Journal of Molecular Medicine
      • International Journal of Molecular Medicine
      • Information for Authors
      • Editorial Policies
      • Editorial Board
      • Aims and Scope
      • Abstracting and Indexing
      • Bibliographic Information
      • Archive
    • Biomedical Reports
      • Biomedical Reports
      • Information for Authors
      • Editorial Policies
      • Editorial Board
      • Aims and Scope
      • Abstracting and Indexing
      • Bibliographic Information
      • Archive
    • Oncology Reports
      • Oncology Reports
      • Information for Authors
      • Editorial Policies
      • Editorial Board
      • Aims and Scope
      • Abstracting and Indexing
      • Bibliographic Information
      • Archive
    • Molecular Medicine Reports
      • Molecular Medicine Reports
      • Information for Authors
      • Editorial Policies
      • Editorial Board
      • Aims and Scope
      • Abstracting and Indexing
      • Bibliographic Information
      • Archive
    • World Academy of Sciences Journal
      • World Academy of Sciences Journal
      • Information for Authors
      • Editorial Policies
      • Editorial Board
      • Aims and Scope
      • Abstracting and Indexing
      • Bibliographic Information
      • Archive
    • International Journal of Functional Nutrition
      • International Journal of Functional Nutrition
      • Information for Authors
      • Editorial Policies
      • Editorial Board
      • Aims and Scope
      • Abstracting and Indexing
      • Bibliographic Information
      • Archive
    • International Journal of Epigenetics
      • International Journal of Epigenetics
      • Information for Authors
      • Editorial Policies
      • Editorial Board
      • Aims and Scope
      • Abstracting and Indexing
      • Bibliographic Information
      • Archive
    • Medicine International
      • Medicine International
      • Information for Authors
      • Editorial Policies
      • Editorial Board
      • Aims and Scope
      • Abstracting and Indexing
      • Bibliographic Information
      • Archive
  • Articles
  • Information
    • Information for Authors
    • Information for Reviewers
    • Information for Librarians
    • Information for Advertisers
    • Conferences
  • Language Editing
Spandidos Publications Logo
  • About
    • About Spandidos
    • Aims and Scopes
    • Abstracting and Indexing
    • Editorial Policies
    • Reprints and Permissions
    • Job Opportunities
    • Terms and Conditions
    • Contact
  • Journals
    • All Journals
    • Biomedical Reports
      • Information for Authors
      • Editorial Policies
      • Editorial Board
      • Aims and Scope
      • Abstracting and Indexing
      • Bibliographic Information
      • Archive
    • Experimental and Therapeutic Medicine
      • Information for Authors
      • Editorial Policies
      • Editorial Board
      • Aims and Scope
      • Abstracting and Indexing
      • Bibliographic Information
      • Archive
    • International Journal of Epigenetics
      • Information for Authors
      • Editorial Policies
      • Editorial Board
      • Aims and Scope
      • Abstracting and Indexing
      • Bibliographic Information
      • Archive
    • International Journal of Functional Nutrition
      • Information for Authors
      • Editorial Policies
      • Editorial Board
      • Aims and Scope
      • Abstracting and Indexing
      • Bibliographic Information
      • Archive
    • International Journal of Molecular Medicine
      • Information for Authors
      • Editorial Policies
      • Editorial Board
      • Aims and Scope
      • Abstracting and Indexing
      • Bibliographic Information
      • Archive
    • International Journal of Oncology
      • Information for Authors
      • Editorial Policies
      • Editorial Board
      • Aims and Scope
      • Abstracting and Indexing
      • Bibliographic Information
      • Archive
    • Medicine International
      • Information for Authors
      • Editorial Policies
      • Editorial Board
      • Aims and Scope
      • Abstracting and Indexing
      • Bibliographic Information
      • Archive
    • Molecular and Clinical Oncology
      • Information for Authors
      • Editorial Policies
      • Editorial Board
      • Aims and Scope
      • Abstracting and Indexing
      • Bibliographic Information
      • Archive
    • Molecular Medicine Reports
      • Information for Authors
      • Editorial Policies
      • Editorial Board
      • Aims and Scope
      • Abstracting and Indexing
      • Bibliographic Information
      • Archive
    • Oncology Letters
      • Information for Authors
      • Editorial Policies
      • Editorial Board
      • Aims and Scope
      • Abstracting and Indexing
      • Bibliographic Information
      • Archive
    • Oncology Reports
      • Information for Authors
      • Editorial Policies
      • Editorial Board
      • Aims and Scope
      • Abstracting and Indexing
      • Bibliographic Information
      • Archive
    • World Academy of Sciences Journal
      • Information for Authors
      • Editorial Policies
      • Editorial Board
      • Aims and Scope
      • Abstracting and Indexing
      • Bibliographic Information
      • Archive
  • Articles
  • Information
    • For Authors
    • For Reviewers
    • For Librarians
    • For Advertisers
    • Conferences
  • Language Editing
Login Register Submit
  • This site uses cookies
  • You can change your cookie settings at any time by following the instructions in our Cookie Policy. To find out more, you may read our Privacy Policy.

    I agree
Search articles by DOI, keyword, author or affiliation
Search
Advanced Search
presentation
Biomedical Reports
Join Editorial Board Propose a Special Issue
Print ISSN: 2049-9434 Online ISSN: 2049-9442
Journal Cover
May-2025 Volume 22 Issue 5

Full Size Image

Sign up for eToc alerts
Recommend to Library

Journals

International Journal of Molecular Medicine

International Journal of Molecular Medicine

International Journal of Molecular Medicine is an international journal devoted to molecular mechanisms of human disease.

International Journal of Oncology

International Journal of Oncology

International Journal of Oncology is an international journal devoted to oncology research and cancer treatment.

Molecular Medicine Reports

Molecular Medicine Reports

Covers molecular medicine topics such as pharmacology, pathology, genetics, neuroscience, infectious diseases, molecular cardiology, and molecular surgery.

Oncology Reports

Oncology Reports

Oncology Reports is an international journal devoted to fundamental and applied research in Oncology.

Experimental and Therapeutic Medicine

Experimental and Therapeutic Medicine

Experimental and Therapeutic Medicine is an international journal devoted to laboratory and clinical medicine.

Oncology Letters

Oncology Letters

Oncology Letters is an international journal devoted to Experimental and Clinical Oncology.

Biomedical Reports

Biomedical Reports

Explores a wide range of biological and medical fields, including pharmacology, genetics, microbiology, neuroscience, and molecular cardiology.

Molecular and Clinical Oncology

Molecular and Clinical Oncology

International journal addressing all aspects of oncology research, from tumorigenesis and oncogenes to chemotherapy and metastasis.

World Academy of Sciences Journal

World Academy of Sciences Journal

Multidisciplinary open-access journal spanning biochemistry, genetics, neuroscience, environmental health, and synthetic biology.

International Journal of Functional Nutrition

International Journal of Functional Nutrition

Open-access journal combining biochemistry, pharmacology, immunology, and genetics to advance health through functional nutrition.

International Journal of Epigenetics

International Journal of Epigenetics

Publishes open-access research on using epigenetics to advance understanding and treatment of human disease.

Medicine International

Medicine International

An International Open Access Journal Devoted to General Medicine.

Journal Cover
May-2025 Volume 22 Issue 5

Full Size Image

Sign up for eToc alerts
Recommend to Library

  • Article
  • Citations
    • Cite This Article
    • Download Citation
    • Create Citation Alert
    • Remove Citation Alert
    • Cited By
  • Similar Articles
    • Related Articles (in Spandidos Publications)
    • Similar Articles (Google Scholar)
    • Similar Articles (PubMed)
  • Download PDF
  • Download XML
  • View XML
Article Open Access

Relationships between intervertebral disc degeneration and lysyl oxidase expression in human nucleus pulposus

  • Authors:
    • Changqing Chen
    • Wanqiang Feng
    • Zhihuang Sun
    • Lianchi Lv
    • Canbin Lin
    • Dasheng Lin
  • View Affiliations / Copyright

    Affiliations: Department of Orthopedic Surgery, The Affiliated Southeast Hospital of Xiamen University, Zhangzhou, Fujian 363000, P.R. China, Department of Orthopedic Surgery, Fujian Medical University Union Hospital, Fuzhou, Fujian 350000, P.R. China
    Copyright: © Chen et al. This is an open access article distributed under the terms of Creative Commons Attribution License.
  • Article Number: 84
    |
    Published online on: March 12, 2025
       https://doi.org/10.3892/br.2025.1962
  • Expand metrics +
Metrics: Total Views: 0 (Spandidos Publications: | PMC Statistics: )
Metrics: Total PDF Downloads: 0 (Spandidos Publications: | PMC Statistics: )
Cited By (CrossRef): 0 citations Loading Articles...

This article is mentioned in:



Abstract

The collagen and elastin are important components of extracellular matrix (ECM) in the nucleus pulposus (NP), which can produce water‑insoluble proteins through cross‑linkages to stabilize ECM. Lysyl oxidase (LOX), a copper‑dependent amine oxidase, insolubilizes ECM proteins to keep the stability of ECM by initiating collagen and elastin cross‑linkages. The present study aimed to investigate the relationships between intervertebral disc (IVD) degeneration and LOX expression in human NP. A total of 22 cases with lumbar IVD degeneration were designed to the observed group and the control group consisted of 4 young patients with the need of surgically removing the IVD due to lumbar vertebra fracture caused by sudden trauma. These patients were grouped based on Pfirrmann grades of IVDs. The control group represented grade I (group A) and the observed group was subdivided into 4 group: Grade II (group B), grade III (group C), grade IV (group D) and grade V (group E). The herniated NP of each group was prepared for immunohistochemistry, western blotting and reverse transcription‑quantitative PCR. The present results showed that the number of NP cells and the components of ECM were significantly lower in the observed group than in the control group. There was an inverse association of the expression rate of LOX NP cells with Pfirrmann grades and age. The protein expression of LOX in group A, B, C, D and E was 2.69±0.24, 2.24±0.32, 1.34±0.19, 1.3±0.32 and 1.01±0.12, respectively. The mRNA expression of LOX in Group A, B, C, D and E was 1±0.03, 0.83±0.07, 0.71±0.09, 0.53±0.09 and 0.27±0.05, respectively. With increasing IVD degeneration, the protein and mRNA expression levels of LOX in NP decreased gradually. Taken together, the findings of the present study revealed that the protein and mRNA expression levels of LOX were decreased with increasing IVD degeneration. These findings provide new insights that LOX might involve in the occurrence and development of IVD degeneration.

Introduction

The intervertebral disc (IVD) degeneration is a common disease in orthopedics, which is an important incentive of low back pain. With the deepening of aging population degree, the IVD degeneration showing an increasing incidence, gradually becomes a principal factor to affect the quality of life and imposes increasingly heavy economic burdens on the society (1,2). The pathophysiologic mechanisms of IVD have not been fully understood. Generally, it is regarded as a dysfunctional and cell-mediated molecular degeneration process that is dependent on age, environment and genetics (3-5). Certain studies have shown that IVD degeneration is mainly manifested on the decreasing number of IVD cells and the changes of structure and function in extracellular matrix (ECM) (6,7). The collagen and elastin are important components of ECM in the nucleus pulposus (NP), which can produce water-insoluble proteins through cross-linkages to stabilize ECM.

Lysyl oxidase (LOX), a copper-dependent amine oxidase, insolubilizes ECM proteins to keep the stability of ECM by initiating collagen and elastin cross-linkages (8). Hence, LOX plays a critical role in cellular proliferation, development, maturation and apoptosis (9,10). In humans, LOX gene has already been detected in most tissues' cells and their stromal, and is responsible for diverse biological functions, including developmental regulation, tissue repair, tumor suppression, cell mobility, gene transcriptional regulation, signal transduction and cell adhesion (11,12). However, there have been only few related studies between LOX and IVD degeneration. It has been reported that LOX and its family members are expressed in human NP (13). IVD degeneration includes not only degeneration of NP cells, but also degeneration of ECM. The decreases of collagen and elastin cross-linkages lead to the changes of components and structure in ECM. The fibrosis, increasing hardness and reducing ability of relieving and resisting mechanical load can be found in IVD. Based on the important role of LOX in maintaining the structure and function of ECM, the present study aimed to identify the correlations between LOX and clinicopathological factors and explore relationships between IVD degeneration and LOX expression in human NP.

Materials and methods

Patients and categorization

These cases were prospectively recruited at the Affiliated Southeast Hospital of Xiamen University from January 2018 to December 2018 for the purpose of the present study; 22 cases with lumbar IVD degeneration were designed to the observed group, and the control group consisted of 4 young patients with the need of surgically removing the IVD due to lumbar vertebra fracture caused by sudden trauma (Table I). Combined with the preoperative magnetic resonance imaging examination results, patients were grouped based on Pfirrmann grades of the IVD (14). Inclusion criteria: i) Meet the diagnostic criteria for lumbar disc herniation (LDH); ii) Have a Pfirrmann grade of II to IV, as assessed by changes in signal intensity and intervertebral disc height on magnetic resonance imaging; iii) The course of LDH exceeds 12 weeks, with symptoms worsening or recurring after systemic conservative treatment; iv) LDH pain severely affects daily life or work; v) Symptoms of muscle paralysis or single nerve or cauda equina palsy, such as bladder dysfunction, are present; vi) Age >18 years. Exclusion criteria: i) Previous surgical treatment for the same segmental intervertebral disc; ii) Complicated with malignant tumors, tuberculosis, or other consumptive diseases; iii) Suffering from severe osteoporosis, bone deformities, or spondylitis; iv) Complicated with severe infections or immune system diseases. The control group represented grade I (group A), and the observed group was subdivided into 4 groups: Grade II (group B), grade III (group C), grade IV (group D) and grade V (group E). In the group A, there were 3 men and 1 woman, aged from 15 to 19 years (16.5 years on average), with IVD segment of L2-3 in 1 case and L3-4 in 3 cases. In the group B, there were 3 men and 2 women, aged from 23 to 29 years (31.2 years on average), with IVD degeneration segment of L4-5 in 4 cases and L5S1 in 1 case. In the group C, there were 4 men and 2 women, aged from 32 to 49 years (40.8 years on average), with IVD degeneration segment of L4-5 in 4 cases and L5S1 in 2 cases. In the group D, there were 4 men and 2 women, aged from 37 to 59 years (49.7 years on average), with IVD degeneration segment of L4-5 in 4 cases and L5S1 in 2 cases. In the group E, there were 2 men and 3 women, aged from 48 to 68 years (60.6 years on average), with IVD degeneration segment of L4-5 in 2 cases and L5S1 in 3 cases. Institutional review board approval (approval no. 20210303) for the present study was obtained on March 3, 2021 by the Xiamen University's Medical Ethical Committee (Zhangzhou, China). Informed consent was obtained from each patient for participation in compliance with the Helsinki declaration and its amendments.

Table I

General characteristics of patients.

Table I

General characteristics of patients.

 Group AGroup BGroup CGroup DGroup E
Pfirrmann gradeIIIIIIIVV
Sex (Female/Male)1/32/32/42/43/2
Age (average, year)16.531.240.849.760.6
Intervertebral disc segment (L2-3/L3-4/L4-5/L5S1)1/3/0/00/0/4/10/0/4/20/0/4/20/0/2/3
Sample collection and detection

The removed IVD specimens were washed using sterile normal saline for 3 times and NP was removed. One segment that was put into the specimen bag was fixed in 10% neural buffered formalin at room temperature for 48 h, and was embedded in paraffin after routine steps of desiccation. For H&E and immunohistochemistry (IHC) staining, 3 µm-thick sections were cut. Another segment was put into a centrifuge tube and quickly preserved in liquid nitrogen for the western blotting and reverse transcription-quantitative PCR (RT-qPCR) experiment. All specimens were repeated three times to test the reproducibility of the experimental results and reduce the influence of accidental error.

H&E and IHC staining

A total of three sections were received from each specimen for H&E and IHC staining. After routine H&E staining, morphologic features of IVD tissues with different degeneration degrees were observed under the light microscope. The sections were put in an oven at 60˚C for 1 h. After dewaxing (xylene, Maixin Fuzhou) and hydration (ethanol solutions, Maixin Fuzhou), the removal of endogenous peroxidase (3% hydrogen peroxide solution, at room temperature for 10 min, Lablead Biotech) and the blockage (5% BSA, at room temperature for 1 h, Lablead Biotech) by non-specific antigen were applied in the sections. The sections were then incubated at 4˚C for 12 h with primary antibodies against rabbit anti-human LOX polyclonal antibody (1:300; cat. no. ab174316; Abcam). Then the sections were incubated at 37˚C for 30 min with secondary antibodies (undiluted; cat. no. Kit-5030; Maixin Fuzhou) against biotin-linked goat-anti-rabbit IgG. The sections with DAB staining and hematoxylin staining were analyzed using the light microscope.

Western blotting

Total protein samples from NPs were extracted using cell lysis buffer (undiluted; cat. no. W0013; Lablead Biotech) and quantitative analysis was performed through ultraviolet spectrophotometer, wherein the absorbance was measured at a wavelength of 280 nm. Then, the protein samples were stored at -20˚C. Equal amounts of protein, corresponding to 20 micrograms per lane, were separated by SDS-PAGE gel electrophoresis using a 12% acrylamide gel, and then transferred to PVDF membranes. After blocking with 5% skim milk on shaker for 1 h at room temperature, PVDF membranes were cut according to the molecular weight of target genes proteins and reference genes proteins. The membranes were incubated with primary antibodies against LOX (1:1,000; cat. no. ab174316; Abcam) at 4˚C overnight and primary antibodies were recycled later. After washing the membranes 3 times (10 min each) with TBST 1X, PVDF membranes were incubated with the appropriate HRP-conjugated secondary antibodies (undiluted; cat. no. Kit-5030; Maixin Fuzhou) for 1 h at room temperature and secondary antibodies were recycled later. Then, the membranes were washed 3 times (10 min each) with TBST 1X containing 0.1% (v/v) Tween 20. Freshly enhanced chemiluminescent agent (ECL Reagent A and B; cat. no. E1050; Lablead Biotech) was used (a mixture of A solution and B solution by 1:1), which was evenly dripped on the membranes. After being incubated at room temperature for 2 min, quick exposure and development were carried out and gray analysis was performed using Scion Image software (version: 4.0.3.2; Scion Corporation).

RT-qPCR

After homogenization, total mRNA was extracted from NPs with TRIzol® reagent (Invitrogen; Thermo Fisher Scientific, Inc.). The RNA concentration and purity were measured, with an optimal 260/280 nm absorbance ratio of 2.0, after which reverse transcription from total RNA to cDNA was conducted using the RevertAid RT Kit (cat. no. K1691; Thermo Fisher Scientific, Inc.). Human-β-actin gene was selected as an endogenous control. A total of 1 µl cDNA template was used for PCR amplification. The PCR primers, designed for the target gene and synthesized by Sangon Biotech Co., Ltd., were labeled with a fluorophore (Super Green I; SYBR021; Lablead Biotech) to enable quantitative detection during the PCR process. Thermocycling conditions were as follows: Pre-denaturation at 94˚C for 5 min, denaturation at 94˚C for 30 sec, annealing at 60˚C for 30 sec, extension at 72˚C for 30 sec, followed by 30 cycles; extension at 72˚C for 10 min. A total of 10 µl PCR amplification products were analyzed on a 1% agarose gel electrophoresis and the gel analysis system was used for detection. The radio of gray value between target genes and reference genes represented the expression level of LOX. The 2-ΔΔcq method was used for relative quantitative analysis (15). The PCR primers were as follows: LOX forward, 5'-TGATGCCAACACCCAGAG-3' and reverse, 5'-TCATAACAGCCAGGACTCAAT-3'; human-β-actin forward, 5'-TGGGCATGGAGTCCTGTG-3' and reverse, 5'-TCTTCATTGTGCTGGGTG-3'.

Statistical analysis

All data were analyzed using statistical software SPSS 20.0 (IBM Corp.). Measuring material accorded with normal distribution were expressed as the mean ± standard deviation. Comparisons of groups were achieved by one-way analysis of variance (ANOVA) followed by Tukey's post hoc test. P<0.05 was considered to indicate a statistically significant difference. The linear regression equation was set up for the association of the expression of LOX protein with age and Pfirrmann grades.

Results

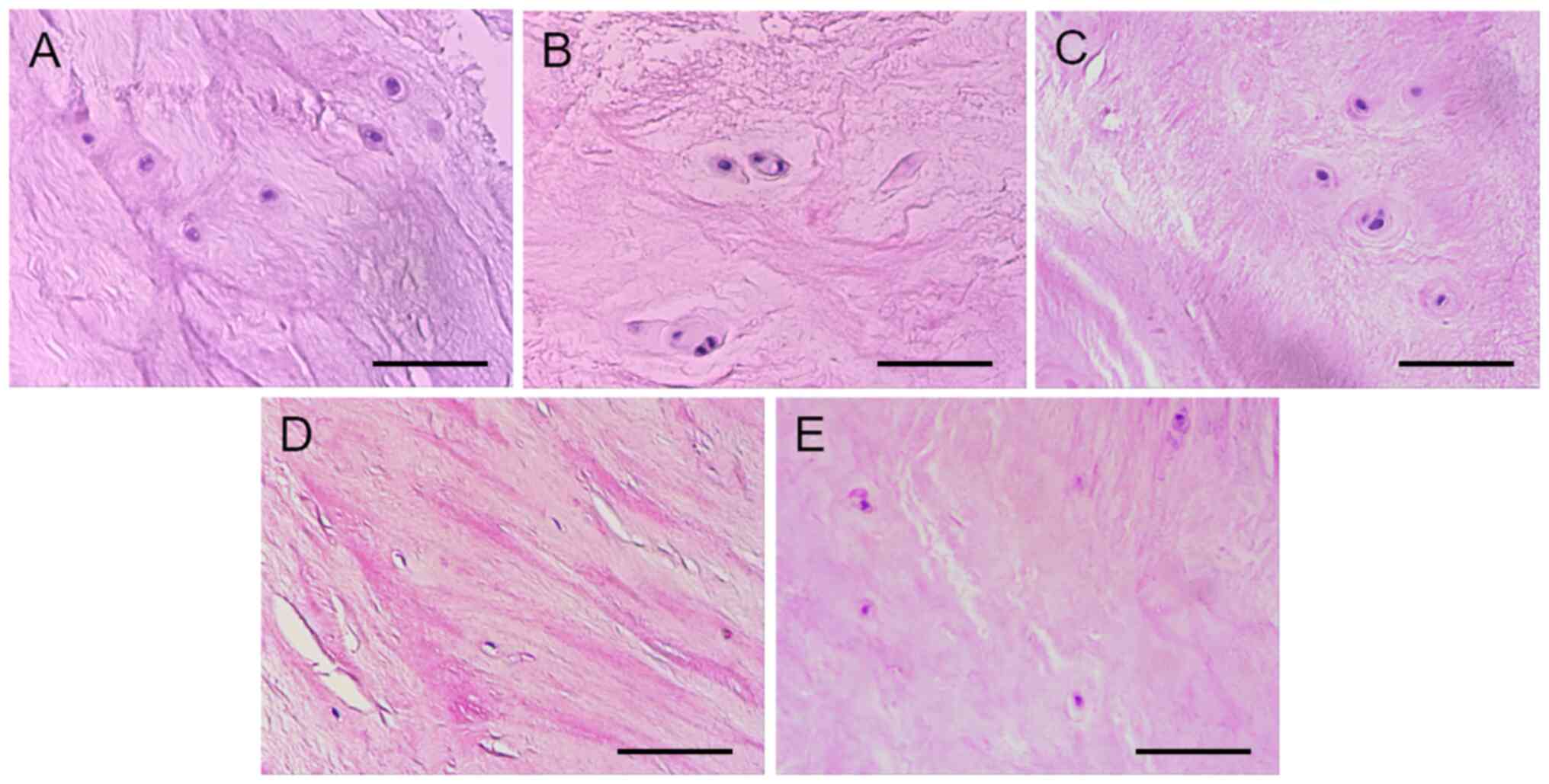
Normal NPs showed loose structure, complete matrix components and arranged fiber structure. Numerous NPs cells were distributed in the ECM. However, with dense and shrinking structure, degenerated NPs showed incomplete matrix components, fibroplasia and derangement. There were few NPs cells in the ECM (Fig. 1).

Figure 1

H&E staining demonstrates greater degenerative changes in the observed group B, C, D and E when compared with the control group A. Scale bar, 100 µm.

IHC detection revealed that LOX expression could be found in both the observed group and the control group to a certain extent. Data from all included patients were used to show the association between age, degeneration grades and the ratio of LOX-positive cells. In the control group, positive cells were significantly expressed in NP and most of cytoplasm manifested tan color, indicating that positive cells accounted for a large proportion. Although there were also positive cells in the observed group, the overall staining demonstrated lower intensity and the number of positive cells was less than that in control group (Fig. 2). Furthermore, the number of positive cells decreased gradually according to the grouping order of Group B, C, D and E. The positive rate of LOX expression in NP cells negatively associated with Pfirrmann grades (y=-16.2x+104.39, R2=0.8195; Fig. 3) and age (y=-1.4615x+113.96, R2=0.9099; Fig. 4).

Figure 2

Immunohistochemistry of lysyl oxidase protein expression shows that the number of positive cells were less in the observed groups B, C, D and E when compared with the control group A. Scale bar, 100 µm.

Figure 3

Positive rate of LOX expression in NP cells negatively correlated with Pfirrmann grades. *P<0.05, **P<0.01 and ***P<0.001. LOX, lysyl oxidase; NP, nucleus pulposus.

Figure 4

Positive rate of LOX expression in NP cells negatively correlated with age. LOX, lysyl oxidase; NP, nucleus pulposus.

Detections by western blotting identified that the protein expression of LOX from NPs in group A was 2.69±0.24, group B was 2.24±0.32, group C was 1.34±0.19, group D was 1.30±0.32 and group E was 1.01±0.12. Using ANOVA, it was found that there was a significant difference in LOX protein expression among the five groups (χ2=12.7, P=0.013). The protein expression of LOX in group A was higher than that in groups B, C, D and E; the protein expression of LOX in group B was higher than that in groups C, D and E; the protein expression of LOX in both groups C and D was higher than that in group E. With increasing IVD degeneration, the protein expression of LOX in NP gradually decreased (Fig. 5).

Figure 5

With increasing intervertebral disc degeneration, the protein expression of LOX in nucleus pulposus gradually decreased. *P<0.05, **P<0.01 and ***P<0.001. LOX, lysyl oxidase.

The results of RT-qPCR showed that the mRNA expression of LOX from NPs in group A was 1.00±0.03, group B was 0.83±0.07, group C was 0.71±0.09, group D was 0.53±0.09 and group E was 0.27±0.05. Using ANOVA, it was found that there was a significant difference in LOX mRNA expression among the five groups (χ2=15.357, P=0.004). The mRNA expression of LOX in group A was higher than that in groups B, C, D and E; the mRNA expression of LOX in group B was higher than that in groups C, D and E; the mRNA expression of LOX in both group C and D was higher than that in group E. With increasing IVD degeneration, the mRNA expression of LOX in NP gradually decreased (Fig. 6).

Figure 6

With increasing intervertebral disc degeneration, the mRNA expression of LOX in nucleus pulposus gradually decreased. *P<0.05, **P<0.01 and ***P<0.001. LOX, lysyl oxidase.

Discussion

Deviant structure and function of spine caused by the IVD degeneration would contribute to a range of disorders, including IVD herniation, spondylolisthesis and spinal stenosis. Patients with low back pain caused by these disorders' account for a large proportion in outpatients and inpatients annually. A lot of working time and medical expenses are spent on mitigating the pain, which seriously affects the quality of life. It was previously suggested that degenerative change of IVD is mainly on degeneration of NP (16), and its histological characteristics shows the decrease of cells and ECM, combined with the hyperplasia and disorder of fiber components in ECM.

The biological functions of LOX are extensive, and the expression of LOX can affect the structure and function of numerous tissues. It has been revealed that the mice with LOX gene knocking out will succumb after birth and the dissection results of deadly newborn mice showed that the breakdown of pleuroperitoneal membrane led to abdominal organs into the chest. Finally, tissue staining technology and microscope examination demonstrated that the deficiency of elastin and collagen cross-linkages in arteries and other important tissues in newborn mice lacking LOX gene resulted in weak tissue elasticity and poor mechanical strength, which make numerous tissues and organs fail in resisting external pressures (17). In a mouse model of skin wound healing, Szauter et al (18) found that the mRNA expression of LOX in skin tissues increased gradually in the early stage of wound healing, using PCR technology. Cai et al (19) reported the same conclusion and they identified that LOX could promote tendon regeneration, ligament healing and cartilage reconstruction. It is inferred that LOX could contribute to ECM remodeling and tissue repair through the promotion of the collagen and elastin cross-linkages (20).

The results of the present study showed that the positive rate of LOX expression in NP cells negatively associated with Pfirrmann grades and age. The protein and mRNA expression of LOX from NPs in the control group were significantly higher than that in the observed group. In addition, with increasing IVD degeneration, there was a decreasing tendency towards the expression of LOX, the collagen and elastin cross-linkages, the components of ECM, but the fiber components were hyperplasia. When it comes to the NP, its hydration, tissue elasticity, mechanical strength and the ability of dispersing and relieving mechanical load were decreasing, but the hardness was increasing. With the gradual loss of the IVD height, the longitudinal or transverse pressures from the spine were mainly distributed in the surrounding annulus fibrosus (AF), which contributed to radial and annular tear of AF, the herniation of NP, and finally the compression of spinal cord nerve (21). Additionally, the decreases of LOX content also affected the regeneration and remodeling of ECM. When NP could not be repaired timely and effectively due to chemical or mechanical damages, the process of degeneration of herniated NP was accelerating. Hence, it can be deduced that the decreased expression of LOX might be the one of important factors in the IVD degeneration.

There are certain limitations to the current study; the molecular biology and the mechanism of LOX's role in IVD degeneration were not explored, which need to be further investigated. Furthermore, due to the small sample size of the present study, larger clinical trials are needed to verify the association between the expression of LOX in NP and age. As the incidence of disc degeneration increases with the increase of age, most of the patients with older fracture are accompanied by different degrees of disc degeneration, which does not meet our inclusion criteria. Therefore, in the present study, the age of patients included in the normal group was younger than that in the degenerative group. Although there were significant differences in the age of the patients included in each group, the difference in age did not affect the present conclusions, thus statistical tests for age were not performed. Given that LOX is important in the inflammatory phase, the increase of the LOX following skin injury has been documented (10,22). Consequently, incorporating patients with spinal trauma into the control group in our research could potentially affect the results of LOX detection, representing a limitation of the present study; the control group consisted of 4 young patients with the need of surgically removing the IVD due to lumbar vertebra fracture caused by sudden trauma. Patients in the control group had no history of low back pain and spinal canal surgery and had pathological reports after operation showing normal IVD. This method has also been reported (23).

In conclusion, the aforementioned results suggested that the expression of LOX was closely associated with generation of herniated NP and the decreases of LOX content might be a key factor in the IVD degeneration. The attempt to increase the expression level of LOX in NP or inhibit the decrease of LOX content provides new ideas and methods for delaying and treating the IVD degeneration.

Acknowledgements

Not applicable.

Funding

Funding: The present study was supported by the National Natural Science Foundation of China (grant nos. 82172477 and 81600696), the Natural Science Foundation of Fujian (grant nos. 2023J011844, 2023J011838 and 2019J01144) and the Fujian Medical University Union Hospital Talent Research Launch Project (grant no. 2024XH001).

Availability of data and materials

The data generated in the present study may be requested from the corresponding author.

Authors' contributions

CC and WF performed experiments, analyzed data and wrote the manuscript. CC carried out H&E and IHC analyses. ZS, LL and CL performed western blotting and RT-qPCR. DL conceived the study, designed and analyzed experiments and wrote the manuscript. CC and DL confirm the authenticity of all the raw data. All authors read and approved the final version of the manuscript.

Ethics approval and consent to participate

Ethics approval (approval no. XMUDN 2017-Y-017; 28/10/2017) for the study was granted by the Xiamen University's Medical Ethical Committee (Zhangzhou, China). Informed consent was obtained from all participants in compliance with the Helsinki declaration and its amendments.

Patient consent for publication

Not applicable.

Competing interests

The authors declare that they have no competing interests.

References

1 

Evans CH and Huard J: Gene therapy approaches to regenerating the musculoskeletal system. Nat Rev Rheumatol. 11:234–242. 2015.PubMed/NCBI View Article : Google Scholar

2 

Sakai D and Grad S: Advancing the cellular and molecular therapy for intervertebral disc disease. Adv Drug Deliv Rev. 84:159–171. 2015.PubMed/NCBI View Article : Google Scholar

3 

Williams FM, Popham M, Sambrook PN, Jones AF, Spector TD and MacGregor AJ: Progression of lumbar disc degeneration over a decade: A heritability study. Ann Rheum Dis. 70:1203–1207. 2011.PubMed/NCBI View Article : Google Scholar

4 

Wang R, Xu C, Zhong H, Hu B, Wei L, Liu N, Zhang Y, Shi Q, Wang C, Qi M, et al: Inflammatory-sensitive CHI3L1 protects nucleus pulposus via AKT3 signaling during ntervertebral disc degeneration. FASEB J. 34:3554–3569. 2020.PubMed/NCBI View Article : Google Scholar

5 

Risbud MV and Shapiro IM: Role of cytokines in intervertebral disc degeneration: pain and disc content. Nat Rev Rheumatol. 10:44–56. 2014.PubMed/NCBI View Article : Google Scholar

6 

Lin D, Alberton P, Caceres MD, Prein C, Clausen-Schaumann H, Dong J, Aszodi A, Shukunami C, Iatridis JC and Docheva D: Loss of tenomodulin expression is a risk factor for age-related intervertebral disc degeneration. Aging Cell. 19(e13091)2020.PubMed/NCBI View Article : Google Scholar

7 

De Campos MF, de Oliveira CP, Neff CB, Correa OM, Pinhal MA and Rodrigues LM: Studies of molecular changes in intervertebral disc degeneration in animal model. Acta Ortop Bras. 24:16–21. 2016.PubMed/NCBI View Article : Google Scholar

8 

Trackman PC: Functional importance of lysyl oxidase family propeptide regions. J Cell Commun Signal. 12:45–53. 2018.PubMed/NCBI View Article : Google Scholar

9 

Lucero HA and Kagan HM: Lysyl oxidase: an oxidative enzyme and effector of cell function. Cell Mol Life Sci. 63:2304–2316. 2006.PubMed/NCBI View Article : Google Scholar

10 

Dobaczewski M, Gonzalez-Quesada C and Frangogiannis NG: The extracellular matrix as a modulator of the inflammatory and reparative response following myocardial infarction. J Mol Cell Cardiol. 48:504–511. 2010.PubMed/NCBI View Article : Google Scholar

11 

Siddikuzzaman  , Grace VM and Guruvayoorappan C: Lysyl oxidase: A potential target for cancer therapy. Inflammo-pharmacology. 19:117–129. 2011.PubMed/NCBI View Article : Google Scholar

12 

Teppo S, Sundquist E, Vered M, Holappa H, Parkkisenniemi J, Rinaldi T, Lehenkari P, Grenman R, Dayan D, Risteli J, et al: The hypoxic tumor microenvironment regulates invasion of aggressive oral carcinoma cells. Exp Cell Res. 319:376–389. 2013.PubMed/NCBI View Article : Google Scholar

13 

Li X, Wang X, Hu Z, Chen Z, Li H, Liu X, Yong ZY, Wang S, Wei Z, Han Y, et al: Possible involvement of the oxLDL/LOX-1 system in the pathogenesis and progression of human intervertebral disc degeneration or herniation. Sci Rep. 7(7403)2017.PubMed/NCBI View Article : Google Scholar

14 

Pfirrmann CW, Metzdorf A, Zanetti M, Hodler J and Boos N: Magnetic resonance classification of lumbar intervertebral disc degeneration. Spine (Phila Pa 1976). 26:1873–1878. 2001.PubMed/NCBI View Article : Google Scholar

15 

Livak KJ and Schmittgen TD: Analysis of relative gene expression data using real-time quantitative PCR and the 2(-Delta Delta C(T)) method. Methods. 25:402–408. 2001.PubMed/NCBI View Article : Google Scholar

16 

Kohyama K, Saura R, Doita M and Mizuno K: Intervertebral disc cell apoptosis by nitric oxide: Biological understanding of intervertebral disc degeneration. Kobe J Med Sci. 46:283–295. 2000.PubMed/NCBI

17 

Hornstra IK, Birge S, Starcher B, Bailey AJ, Mecham RP and Shapiro SD: Lysyl oxidase is required for vascular and diaphragmatic development in mice. J Biol Chem. 278:14387–14393. 2003.PubMed/NCBI View Article : Google Scholar

18 

Szauter KM, Cao T, Boyd CD and Csiszar K: Lysyl oxidase in development, aging and pathologies of the skin. Pathol Biol (Paris). 53:448–456. 2005.PubMed/NCBI View Article : Google Scholar

19 

Cai L, Xiong X, Kong X and Xie J: The role of the lysyl oxidases in tissue repair and remodeling: A concise review. Tissue Eng Regen Med. 14:15–30. 2017.PubMed/NCBI View Article : Google Scholar

20 

Akagawa M and Suyama K: Characterization of a model compound for the lysine tyrosylquinone cofactor of lysyl oxidase. Biochem Biophys Res Commun. 281:193–199. 2001.PubMed/NCBI View Article : Google Scholar

21 

Sowa G, Coelho P, Vo N, Bedison R, Chiao A, Davies C, Studer R and Kang J: Determination of annulus fibrosus cell response to tensile strain as a function of duration, magnitude, and frequency. J Orthop Res. 29:1275–1283. 2011.PubMed/NCBI View Article : Google Scholar

22 

Fushida-Takemura H, Fukuda M, Maekawa N, Chanoki M, Kobayashi H, Yashiro N, Ishii M, Hamada T, Otani S and Ooshima A: Detection of lysyl oxidase gene expression in rat skin during wound healing. Arch Dermatol Res. 288:7–10. 1996.PubMed/NCBI View Article : Google Scholar

23 

Zhang Y, Han S, Kong M, Tu Q, Zhang L and Ma X: Single-cell RNA-seq analysis identifies unique chondrocyte subsets and reveals involvement of ferroptosis in human intervertebral disc degeneration. Osteoarthritis Cartilage. 29:1324–1334. 2021.PubMed/NCBI View Article : Google Scholar

Related Articles

  • Abstract
  • View
  • Download
  • Twitter
Copy and paste a formatted citation
Spandidos Publications style
Chen C, Feng W, Sun Z, Lv L, Lin C and Lin D: Relationships between intervertebral disc degeneration and lysyl oxidase expression in human nucleus pulposus. Biomed Rep 22: 84, 2025.
APA
Chen, C., Feng, W., Sun, Z., Lv, L., Lin, C., & Lin, D. (2025). Relationships between intervertebral disc degeneration and lysyl oxidase expression in human nucleus pulposus. Biomedical Reports, 22, 84. https://doi.org/10.3892/br.2025.1962
MLA
Chen, C., Feng, W., Sun, Z., Lv, L., Lin, C., Lin, D."Relationships between intervertebral disc degeneration and lysyl oxidase expression in human nucleus pulposus". Biomedical Reports 22.5 (2025): 84.
Chicago
Chen, C., Feng, W., Sun, Z., Lv, L., Lin, C., Lin, D."Relationships between intervertebral disc degeneration and lysyl oxidase expression in human nucleus pulposus". Biomedical Reports 22, no. 5 (2025): 84. https://doi.org/10.3892/br.2025.1962
Copy and paste a formatted citation
x
Spandidos Publications style
Chen C, Feng W, Sun Z, Lv L, Lin C and Lin D: Relationships between intervertebral disc degeneration and lysyl oxidase expression in human nucleus pulposus. Biomed Rep 22: 84, 2025.
APA
Chen, C., Feng, W., Sun, Z., Lv, L., Lin, C., & Lin, D. (2025). Relationships between intervertebral disc degeneration and lysyl oxidase expression in human nucleus pulposus. Biomedical Reports, 22, 84. https://doi.org/10.3892/br.2025.1962
MLA
Chen, C., Feng, W., Sun, Z., Lv, L., Lin, C., Lin, D."Relationships between intervertebral disc degeneration and lysyl oxidase expression in human nucleus pulposus". Biomedical Reports 22.5 (2025): 84.
Chicago
Chen, C., Feng, W., Sun, Z., Lv, L., Lin, C., Lin, D."Relationships between intervertebral disc degeneration and lysyl oxidase expression in human nucleus pulposus". Biomedical Reports 22, no. 5 (2025): 84. https://doi.org/10.3892/br.2025.1962
Follow us
  • Twitter
  • LinkedIn
  • Facebook
About
  • Spandidos Publications
  • Careers
  • Cookie Policy
  • Privacy Policy
How can we help?
  • Help
  • Live Chat
  • Contact
  • Email to our Support Team