International Journal of Molecular Medicine is an international journal devoted to molecular mechanisms of human disease.
International Journal of Oncology is an international journal devoted to oncology research and cancer treatment.
Covers molecular medicine topics such as pharmacology, pathology, genetics, neuroscience, infectious diseases, molecular cardiology, and molecular surgery.
Oncology Reports is an international journal devoted to fundamental and applied research in Oncology.
Experimental and Therapeutic Medicine is an international journal devoted to laboratory and clinical medicine.
Oncology Letters is an international journal devoted to Experimental and Clinical Oncology.
Explores a wide range of biological and medical fields, including pharmacology, genetics, microbiology, neuroscience, and molecular cardiology.
International journal addressing all aspects of oncology research, from tumorigenesis and oncogenes to chemotherapy and metastasis.
Multidisciplinary open-access journal spanning biochemistry, genetics, neuroscience, environmental health, and synthetic biology.
Open-access journal combining biochemistry, pharmacology, immunology, and genetics to advance health through functional nutrition.
Publishes open-access research on using epigenetics to advance understanding and treatment of human disease.
An International Open Access Journal Devoted to General Medicine.
Acute cholecystitis is characterized by inflammation of the gallbladder and typically occurs due to obstruction of the gallbladder neck or cystic duct by a gallstone (1). Gallbladder infection may also spread to the liver or pericholecystic cavity and lead to the development of liver abscesses or peritonitis, respectively (2–4). Therefore, prompt treatment with cholecystectomy, percutaneous transhepatic gallbladder drainage or aspiration is typically recommended following diagnosis of acute cholecystitis (5–7). Accurate diagnosis is also critical for the appropriate management of acute cholecystitis (8).
Diffusion-weighted whole-body magnetic resonance imaging with background body signal suppression (DWIBS) is based on a diffusion-weighted imaging (DWI) technique, which enables visualization of the random movement of water molecules (Brownian motion) for diagnostic imaging (9). Images are acquired with DWIBS during free breathing of the patient through the use of multiple-signal averaging, fat suppression and heavy diffusion weighting (10). In particular, a high signal intensity of DWIBS is a positive indicator of cancer and inflammation. An advantage of DWIBS over DWI is that it exhibits positive signals with strong contrast against surrounding normal tissues. However, the evaluation of positive signals to obtain anatomical information becomes difficult when signals in the surrounding tissues are suppressed (11,12). Images obtained from DWIBS are fused with their corresponding T2-weighted images using a workstation (13–15). DWIBS and T2-weighted image fusion (DWIBS/T2) enables anatomical evaluation of the positive signals obtained from DWIBS (16). Therefore, the present study retrospectively analyzed images obtained by DWIBS/T2 from patients with acute cholecystitis to determine how useful this technique is in the management of the disease.
The current study was approved by the Ethics Committee of the National Hospital Organization of Shimoshizu Hospital (Yotsukaido, Japan). Consent was obtained from patients prior to abdominal ultrasonography (US), though written informed consent was waived as abdominal US is considered to be safe and non-invasive. Written informed consent was obtained from patients before all patients underwent magnetic resonance (MR) cholangiopancreatography, DWIBS/T2 and computed tomography (CT) with or without contrast enhancement. The current study was not considered a clinical trial as procedures were performed as part of routine clinical practice. Therefore, written informed consent for inclusion in the study was waived. All patient records and information were anonymized prior to analysis.
The medical records of patients who were diagnosed with acute cholecystitis and underwent DWIBS/T2 between January 2013 and March 2014 were analyzed retrospectively. A total of 8 men (mean age ± standard deviation: 69.8±4.0 years) and 3 women (72.7±3.1 years) were enrolled in the current study. All patients were recruited from the National Hospital Organization Shimoshizu Hospital.
Patients were diagnosed with acute cholecystitis according to the Updated Tokyo Guidelines for the Management of Acute Cholecystitis (17). Acute cholecystitis was suspected in patients with upper abdominal and/or right upper quadrant pain, and elevated white blood cell count and/or C-reactive protein levels, all of which suggested inflammation of the abdominal organs. Upper abdominal and right upper quadrant pain were identified by a Murphy's sign test, a right upper quadrant mass, general pain and/or tenderness. The diagnosis of acute cholecystitis was confirmed in these patients according to characteristic features of abdominal CT and US scans with or without contrast enhancement. These features were an enlarged gallbladder, thickened gallbladder wall and pericholecystic fluid (18). Abdominal US was a reliable method of detecting Murphy's sign test, as described previously (19). Following diagnosis, DWIBS/T2 was performed. Patients were excluded from the present study if they were unable to undergo at least one of either US, CT or DWIBS/T2.
All MRI examinations were performed with a 1.5-Tesla scanner using Achieva 3.2.2 software (both from Philips Medical Systems B.V., Eindhoven, The Netherlands). Patients were placed in a supine headfirst position on an extended table platform to allow for full-body scanning from the head to the lower legs. The imaging protocol of DWIBS/T2 consisted of unenhanced T1-weighted, T2-weighted, DWI and DWIBS scans. MRI pulse sequences are presented in Table I. Images obtained from DWIBS were acquired in an axial plane with a Q-body coil under free breathing conditions using an echo-planar imaging single-shot pulse sequence. DWI gradients were applied along the X, Y, and Z axes prior to and following a pre-pulse 180° inversion, which was performed to obtain fat-saturated isotropic images with DWI sensitivity using the following parameters for a single stack: b-value, 0 and 800 mm2/sec; repetition, echo and inversion times, 6,960/79/150 msec; acquisition matrix, 176×115; reconstruction matrix, 256; right/left field of view, 530 mm; anterior/posterior field of view, 349 mm; feet/head field of view, 226 mm; slice thickness, 6 mm; size of the reconstructed voxel, 2.07×2.08×6 mm3; and 4 averages. Fused images obtained from DWIBS/T2 were constructed with the Extended MR WorkSpace workstation (Philips Medical Systems B.V.). In all patients, 5 stacks (46 slices/stack) were acquired consecutively to obtain images from the head to the middle of the tibia. The total imaging time was 13.31 min. An apparent diffusion coefficient (ADC) map was produced from the recorded ADC values in order to eliminate the possibility of T2 shine-through and to differentiate malignant lesions from non-malignant causes of restricted diffusion (20).
In one patient with acute cholecystitis, a thickened gallbladder wall and high signal intensity were observed in images obtained by DWIBS/T2 (Fig. 1A). The high signal intensity in the pericholecystic space suggested localized peritonitis (Fig. 1B). These results indicate that wall thickening and high signal intensity, as detected by DWIBS/T2, are typical features of acute cholecystitis.
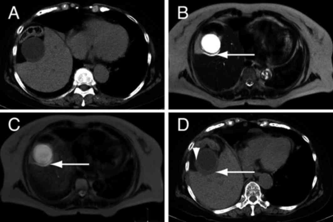
The sensitivity of DWIBS/T2 in the diagnosis of acute cholecystitis was determined. Images obtained by DWIBS/T2 from patients with acute cholecystitis (n=11) were evaluated to determine the extent of wall thickening and signal intensity, both positive indicators of cholecystitis. Out of the 11 patients, 10 exhibited a thickened wall and high signal intensity in the DWIBS/T2 images (Table II). Thus, positive DWIBS/T2 results were obtained in 10/11 patients (90.9%). In the remaining patient, fluid was present between the liver and gallbladder, indicating acute cholecystitis (Fig. 2A and B). The patient's DWIBS/T2 result was positive for cholecystitis (Fig. 2C), and a CT scan performed three days later identified thickening of the gallbladder wall (Fig. 2D). Disparity between results of the DWIBS/T2 and CT scans may be due to a lack of high signal intensity in DWIBS/T2 in the absence of wall thickening. Alternatively, DWIBS/T2 may infrequently yield a negative result for acute cholecystitis. Nevertheless, these results suggest that high signal intensity detected by DWIBS/T2 is associated with the severity of gallbladder inflammation in acute cholecystitis.
The efficacy of DWIBS/T2 in evaluating improvements in acute cholecystitis following clinical treatment was assessed. Prior to treatment, acute cholecystitis detected by abdominal US and CT examinations (Fig. 3A and B) was also evident in DWIBS/T2 images as gallbladder wall thickening coupled with high signal intensity (Fig. 3C). Following treatment with cefazolin sodium (3 g/day for 7 days; Nipro Corp., Osaka, Japan), improvements in acute cholecystitis were detected by DWIBS/T2 as reductions in gallbladder wall thickening and signal intensity (Fig. 3D).
In acute cholecystitis, wall thickening is caused by edema of the gallbladder wall, and correlates with the severity of acute cholecystitis (21). Therefore, measurements of wall thickness may be useful in aiding the diagnosis of acute cholecystitis and in evaluating its severity (22). In particular, the detection of wall thickening and pericholecystic fluid by MRI may be a useful diagnostic tool (23). In the present study, the gallbladder wall of patients with acute cholecystitis was thickened. DWIBS/T2 identified that the thickened wall exhibited high signal intensity, which may correlate with the extent of inflammation (24). These data indicate that the detection of wall thickening by DWIBS/T2 make it an effective method in the evaluation and diagnosis of acute cholecystitis.
The sensitivity of abdominal US in the diagnosis of acute cholecystitis is 37.5–91% (25,26), while the sensitivity of CT is 83% (25). In the current study, the sensitivity of DWIBS/T2 in the diagnosis of acute cholecystitis was 90.9%. Similarly, previous results have indicated that DWIBS/T2 is superior to US and CT as a diagnostic tool (27,28), possibly due to the distinct contrast between high signal intensity regions and surrounding tissues detected by DWIBS/T2, which makes diagnosis more accurate. Indeed, contrast agents are considered to be useful in the diagnosis of biliary diseases (29). These results suggest that alterations in the gallbladder wall and pericholecystic fluid are useful diagnostic markers (29). DWIBS/T2 did not require the use of contrast agents, thus making it an efficient method in the diagnosis of acute cholecystitis. In the present study, DWIBS/T2 was able to detect reductions in wall thickness and signal intensity following treatment of acute cholecystitis (Fig. 3). These results suggest that DWIBS/T2 may be useful for the evaluation of acute cholecystitis severity.
The current study included limitations. Firstly, only a small number of patients with acute cholecystitis were enrolled. Secondly, the detection of gallbladder wall thickness and high signal intensity by DWIBS/T2 were not compared with other gallbladder conditions, including chronic cholecystitis and gallbladder cancer, both of which exhibit gallbladder wall thickening (30–32). As the treatments for acute cholecystitis, chronic cholecystitis and gallbladder cancer differ, distinguishing between these diseases is critical for successful treatment (1).
In conclusion, DWIBS/T2 is able to indicate the presence of acute cholecystitis through the detection of gallbladder wall thickening and high signal intensity. Furthermore, the present results indicate that DWIBS/T2 may be useful in determining the severity of acute cholecystitis.
|
Knab LM, Boller AM and Mahvi DM: Cholecystitis. Surg Clin North Am. 94:455–470. 2014. View Article : Google Scholar : PubMed/NCBI | |
|
Pinto A, Reginelli A, Cagini L, Coppolino F, Ianora AA Stabile, Bracale R, Giganti M and Romano L: Accuracy of ultrasonography in the diagnosis of acute calculous cholecystitis: Review of the literature. Crit Ultrasound J. 5 Suppl 1:S112013. View Article : Google Scholar : PubMed/NCBI | |
|
Singal R, Mittal A, Gupta S, Singh B and Jain P: Management of gall bladder perforation evaluation on ultrasonography: Report of six rare cases with review of literature. J Med Life. 4:364–371. 2011.PubMed/NCBI | |
|
Tang S and Wang Y and Wang Y: Contrast-enhanced ultrasonography to diagnose gallbladder perforation. Am J Emerg Med. 31:1240–1243. 2013. View Article : Google Scholar : PubMed/NCBI | |
|
Chang YR, Ahn YJ, Jang JY, Kang MJ, Kwon W, Jung WH and Kim SW: Percutaneous cholecystostomy for acute cholecystitis in patients with high comorbidity and re-evaluation of treatment efficacy. Surgery. 155:615–622. 2014. View Article : Google Scholar : PubMed/NCBI | |
|
Komatsu S, Tsukamoto T, Iwasaki T, Toyokawa A, Hasegawa Y, Tsuchida S, Takahashi T, Takebe A, Wakahara T, Watanabe A, et al: Role of percutaneous transhepatic gallbladder aspiration in the early management of acute cholecystitis. J Dig Dis. 15:669–675. 2014. View Article : Google Scholar : PubMed/NCBI | |
|
Na BG, Yoo YS, Mun SP, Kim SH, Lee HY and Choi NK: The safety and efficacy of percutaneous transhepatic gallbladder drainage in elderly patients with acute cholecystitis before laparoscopic cholecystectomy. Ann Surg Treat Res. 89:68–73. 2015. View Article : Google Scholar : PubMed/NCBI | |
|
Trowbridge RL, Rutkowski NK and Shojania KG: Does this patient have acute cholecystitis? JAMA. 289:80–86. 2003. View Article : Google Scholar : PubMed/NCBI | |
|
Sehy JV, Ackerman JJ and Neil JJ: Apparent diffusion of water, ions, and small molecules in the Xenopus oocyte is consistent with Brownian displacement. Magn Reson Med. 48:42–51. 2002. View Article : Google Scholar : PubMed/NCBI | |
|
Takahara T, Imai Y, Yamashita T, Yasuda S, Nasu S and Van Cauteren M: Diffusion weighted whole body imaging with background body signal suppression (DWIBS): Technical improvement using free breathing, STIR and high resolution 3D display. Radiat Med. 22:275–282. 2004.PubMed/NCBI | |
|
Ohno Y, Koyama H, Onishi Y, Takenaka D, Nogami M, Yoshikawa T, Matsumoto S, Kotani Y and Sugimura K: Non-small cell lung cancer: Whole-body MR examination for M-stage assessment-utility for whole-body diffusion-weighted imaging compared with integrated FDG PET/CT. Radiology. 248:643–654. 2008. View Article : Google Scholar : PubMed/NCBI | |
|
Fischer MA, Nanz D, Hany T, Reiner CS, Stolzmann P, Donati OF, Breitenstein S, Schneider P, Weishaupt D, von Schulthess GK and Scheffel H: Diagnostic accuracy of whole-body MRI/DWI image fusion for detection of malignant tumours: A comparison with PET/CT. Eur Radiol. 21:246–255. 2011. View Article : Google Scholar : PubMed/NCBI | |
|
Kwee TC, Takahara T, Ochiai R, Nievelstein RA and Luijten PR: Diffusion-weighted whole-body imaging with background body signal suppression (DWIBS): Features and potential applications in oncology. Eur Radiol. 18:1937–1952. 2008. View Article : Google Scholar : PubMed/NCBI | |
|
Sommer G, Wiese M, Winter L, Lenz C, Klarhöfer M, Forrer F, Lardinois D and Bremerich J: Preoperative staging of non-small-cell lung cancer: Comparison of whole-body diffusion-weighted magnetic resonance imaging and 18F-fluorodeoxyglucose-positron emission tomography/computed tomography. Eur Radiol. 22:2859–2867. 2012. View Article : Google Scholar : PubMed/NCBI | |
|
Nechifor-Boilă IA, Bancu S, Buruian M, Charlot M, Decaussin-Petrucci M, Krauth JS, Nechifor-Boilă AC and Borda A: Diffusion weighted imaging with background body signal suppression/T2 image fusion in magnetic resonance mammography for breast cancer diagnosis. Chirurgia (Bucur). 108:199–205. 2013.PubMed/NCBI | |
|
Tomizawa M, Shinozaki F, Motoyoshi Y, Sugiyama T, Yamamoto S and Ishige N: Diffusion-weighted whole body imaging with background body signal suppression/T2 image fusion is negative for patients with intraductal papillary mucinous neoplasm. Hepatogastroenterology. 62:463–465. 2015.PubMed/NCBI | |
|
Yokoe M, Takada T, Strasberg SM, Solomkin JS, Mayumi T, Gomi H, Pitt HA, Gouma DJ, Garden OJ, Büchler MW, et al: New diagnostic criteria and severity assessment of acute cholecystitis in revised Tokyo guidelines. J Hepatobiliary Pancreat Sci. 19:578–585. 2012. View Article : Google Scholar : PubMed/NCBI | |
|
Hirota M, Takada T, Kawarada Y, Nimura Y, Miura F, Hirata K, Mayumi T, Yoshida M, Strasberg S, Pitt H, et al: Diagnostic criteria and severity assessment of acute cholecystitis: Tokyo guidelines. J Hepatobiliary Pancreat Surg. 14:78–82. 2007. View Article : Google Scholar : PubMed/NCBI | |
|
Ralls PW, Halls J, Lapin SA, Quinn MF, Morris UL and Boswell W: Prospective evaluation of the sonographic Murphy sign in suspected acute cholecystitis. J Clin Ultrasound. 10:113–115. 1982. View Article : Google Scholar : PubMed/NCBI | |
|
Wang Y, Miller FH, Chen ZE, Merrick L, Mortele KJ, Hoff FL, Hammond NA, Yaghmai V and Nikolaidis P: Diffusion-weighted MR imaging of solid and cystic lesions of the pancreas. Radiographics. 31:E47–E64. 2011. View Article : Google Scholar : PubMed/NCBI | |
|
Borzellino G, Steccanella F, Mantovani W and Genna M: Predictive factors for the diagnosis of severe acute cholecystitis in an emergency setting. Surg Endosc. 27:3388–3395. 2013. View Article : Google Scholar : PubMed/NCBI | |
|
Ogawa T, Horaguchi J, Fujita N, Noda Y, Kobayashi G, Ito K, Koshita S, Kanno Y, Masu K and Sugita R: High b-value diffusion-weighted magnetic resonance imaging for gallbladder lesions: Differentiation between benignity and malignancy. J Gastroenterol. 47:1352–1360. 2012. View Article : Google Scholar : PubMed/NCBI | |
|
Tonolini M, Ravelli A, Villa C and Bianco R: Urgent MRI with MR cholangiopancreatography (MRCP) of acute cholecystitis and related complications: Diagnostic role and spectrum of imaging findings. Emerg Radiol. 19:341–348. 2012. View Article : Google Scholar : PubMed/NCBI | |
|
Padhani AR, Koh DM and Collins DJ: Whole-body diffusion-weighted MR imaging in cancer: Current status and research directions. Radiology. 261:700–718. 2011. View Article : Google Scholar : PubMed/NCBI | |
|
De Vargas Macciucca M, Lanciotti S, De Cicco ML, Coniglio M and Gualdi GF: Ultrasonographic and spiral CT evaluation of simple and complicated acute cholecystitis: Diagnostic protocol assessment based on personal experience and review of the literature. Radiol Med. 111:167–180. 2006.(In English, Italian). View Article : Google Scholar : PubMed/NCBI | |
|
Smith EA, Dillman JR, Elsayes KM, Menias CO and Bude RO: Cross-sectional imaging of acute and chronic gallbladder inflammatory disease. AJR Am J Roentgenol. 192:188–196. 2009. View Article : Google Scholar : PubMed/NCBI | |
|
Hakansson K, Leander P, Ekberg O and Håkansson HO: MR imaging in clinically suspected acute cholecystitis. A comparison with ultrasonography. Acta Radiol. 41:322–328. 2000. View Article : Google Scholar : PubMed/NCBI | |
|
Kiewiet JJ, Leeuwenburgh MM, Bipat S, Bossuyt PM, Stoker J and Boermeester MA: A systematic review and meta-analysis of diagnostic performance of imaging in acute cholecystitis. Radiology. 264:708–720. 2012. View Article : Google Scholar : PubMed/NCBI | |
|
Gupta RT: Evaluation of the biliary tree and gallbladder with hepatocellular MR contrast agents. Curr Probl Diagn Radiol. 42:67–76. 2013. View Article : Google Scholar : PubMed/NCBI | |
|
Jung SE, Lee JM, Lee K, Rha SE, Choi BG, Kim EK and Hahn ST: Gallbladder wall thickening: MR imaging and pathologic correlation with emphasis on layered pattern. Eur Radiol. 15:694–701. 2005. View Article : Google Scholar : PubMed/NCBI | |
|
Yoshioka M, Watanabe G, Uchinami H, Miyazawa H, Abe Y, Ishiyama K, Hashimoto M, Nakamura A and Yamamoto Y: Diffusion-weighted MRI for differential diagnosis in gallbladder lesions with special reference to ADC cut-off values. Hepatogastroenterology. 60:692–698. 2013.PubMed/NCBI | |
|
Lee NK, Kim S, Kim TU, Kim DU, Seo HI and Jeon TY: Diffusion-weighted MRI for differentiation of benign from malignant lesions in the gallbladder. Clin Radiol. 69:e78–e85. 2014. View Article : Google Scholar : PubMed/NCBI |