Spandidos Publications Logo
  • About
    • About Spandidos
    • Aims and Scopes
    • Abstracting and Indexing
    • Editorial Policies
    • Reprints and Permissions
    • Job Opportunities
    • Terms and Conditions
    • Contact
  • Journals
    • All Journals
    • Oncology Letters
      • Oncology Letters
      • Information for Authors
      • Editorial Policies
      • Editorial Board
      • Aims and Scope
      • Abstracting and Indexing
      • Bibliographic Information
      • Archive
    • International Journal of Oncology
      • International Journal of Oncology
      • Information for Authors
      • Editorial Policies
      • Editorial Board
      • Aims and Scope
      • Abstracting and Indexing
      • Bibliographic Information
      • Archive
    • Molecular and Clinical Oncology
      • Molecular and Clinical Oncology
      • Information for Authors
      • Editorial Policies
      • Editorial Board
      • Aims and Scope
      • Abstracting and Indexing
      • Bibliographic Information
      • Archive
    • Experimental and Therapeutic Medicine
      • Experimental and Therapeutic Medicine
      • Information for Authors
      • Editorial Policies
      • Editorial Board
      • Aims and Scope
      • Abstracting and Indexing
      • Bibliographic Information
      • Archive
    • International Journal of Molecular Medicine
      • International Journal of Molecular Medicine
      • Information for Authors
      • Editorial Policies
      • Editorial Board
      • Aims and Scope
      • Abstracting and Indexing
      • Bibliographic Information
      • Archive
    • Biomedical Reports
      • Biomedical Reports
      • Information for Authors
      • Editorial Policies
      • Editorial Board
      • Aims and Scope
      • Abstracting and Indexing
      • Bibliographic Information
      • Archive
    • Oncology Reports
      • Oncology Reports
      • Information for Authors
      • Editorial Policies
      • Editorial Board
      • Aims and Scope
      • Abstracting and Indexing
      • Bibliographic Information
      • Archive
    • Molecular Medicine Reports
      • Molecular Medicine Reports
      • Information for Authors
      • Editorial Policies
      • Editorial Board
      • Aims and Scope
      • Abstracting and Indexing
      • Bibliographic Information
      • Archive
    • World Academy of Sciences Journal
      • World Academy of Sciences Journal
      • Information for Authors
      • Editorial Policies
      • Editorial Board
      • Aims and Scope
      • Abstracting and Indexing
      • Bibliographic Information
      • Archive
    • International Journal of Functional Nutrition
      • International Journal of Functional Nutrition
      • Information for Authors
      • Editorial Policies
      • Editorial Board
      • Aims and Scope
      • Abstracting and Indexing
      • Bibliographic Information
      • Archive
    • International Journal of Epigenetics
      • International Journal of Epigenetics
      • Information for Authors
      • Editorial Policies
      • Editorial Board
      • Aims and Scope
      • Abstracting and Indexing
      • Bibliographic Information
      • Archive
    • Medicine International
      • Medicine International
      • Information for Authors
      • Editorial Policies
      • Editorial Board
      • Aims and Scope
      • Abstracting and Indexing
      • Bibliographic Information
      • Archive
  • Articles
  • Information
    • Information for Authors
    • Information for Reviewers
    • Information for Librarians
    • Information for Advertisers
    • Conferences
  • Language Editing
Spandidos Publications Logo
  • About
    • About Spandidos
    • Aims and Scopes
    • Abstracting and Indexing
    • Editorial Policies
    • Reprints and Permissions
    • Job Opportunities
    • Terms and Conditions
    • Contact
  • Journals
    • All Journals
    • Biomedical Reports
      • Information for Authors
      • Editorial Policies
      • Editorial Board
      • Aims and Scope
      • Abstracting and Indexing
      • Bibliographic Information
      • Archive
    • Experimental and Therapeutic Medicine
      • Information for Authors
      • Editorial Policies
      • Editorial Board
      • Aims and Scope
      • Abstracting and Indexing
      • Bibliographic Information
      • Archive
    • International Journal of Epigenetics
      • Information for Authors
      • Editorial Policies
      • Editorial Board
      • Aims and Scope
      • Abstracting and Indexing
      • Bibliographic Information
      • Archive
    • International Journal of Functional Nutrition
      • Information for Authors
      • Editorial Policies
      • Editorial Board
      • Aims and Scope
      • Abstracting and Indexing
      • Bibliographic Information
      • Archive
    • International Journal of Molecular Medicine
      • Information for Authors
      • Editorial Policies
      • Editorial Board
      • Aims and Scope
      • Abstracting and Indexing
      • Bibliographic Information
      • Archive
    • International Journal of Oncology
      • Information for Authors
      • Editorial Policies
      • Editorial Board
      • Aims and Scope
      • Abstracting and Indexing
      • Bibliographic Information
      • Archive
    • Medicine International
      • Information for Authors
      • Editorial Policies
      • Editorial Board
      • Aims and Scope
      • Abstracting and Indexing
      • Bibliographic Information
      • Archive
    • Molecular and Clinical Oncology
      • Information for Authors
      • Editorial Policies
      • Editorial Board
      • Aims and Scope
      • Abstracting and Indexing
      • Bibliographic Information
      • Archive
    • Molecular Medicine Reports
      • Information for Authors
      • Editorial Policies
      • Editorial Board
      • Aims and Scope
      • Abstracting and Indexing
      • Bibliographic Information
      • Archive
    • Oncology Letters
      • Information for Authors
      • Editorial Policies
      • Editorial Board
      • Aims and Scope
      • Abstracting and Indexing
      • Bibliographic Information
      • Archive
    • Oncology Reports
      • Information for Authors
      • Editorial Policies
      • Editorial Board
      • Aims and Scope
      • Abstracting and Indexing
      • Bibliographic Information
      • Archive
    • World Academy of Sciences Journal
      • Information for Authors
      • Editorial Policies
      • Editorial Board
      • Aims and Scope
      • Abstracting and Indexing
      • Bibliographic Information
      • Archive
  • Articles
  • Information
    • For Authors
    • For Reviewers
    • For Librarians
    • For Advertisers
    • Conferences
  • Language Editing
Login Register Submit
  • This site uses cookies
  • You can change your cookie settings at any time by following the instructions in our Cookie Policy. To find out more, you may read our Privacy Policy.

    I agree
Search articles by DOI, keyword, author or affiliation
Search
Advanced Search
presentation
Experimental and Therapeutic Medicine
Join Editorial Board Propose a Special Issue
Print ISSN: 1792-0981 Online ISSN: 1792-1015
Journal Cover
September-2019 Volume 18 Issue 3

Full Size Image

Sign up for eToc alerts
Recommend to Library

Journals

International Journal of Molecular Medicine

International Journal of Molecular Medicine

International Journal of Molecular Medicine is an international journal devoted to molecular mechanisms of human disease.

International Journal of Oncology

International Journal of Oncology

International Journal of Oncology is an international journal devoted to oncology research and cancer treatment.

Molecular Medicine Reports

Molecular Medicine Reports

Covers molecular medicine topics such as pharmacology, pathology, genetics, neuroscience, infectious diseases, molecular cardiology, and molecular surgery.

Oncology Reports

Oncology Reports

Oncology Reports is an international journal devoted to fundamental and applied research in Oncology.

Experimental and Therapeutic Medicine

Experimental and Therapeutic Medicine

Experimental and Therapeutic Medicine is an international journal devoted to laboratory and clinical medicine.

Oncology Letters

Oncology Letters

Oncology Letters is an international journal devoted to Experimental and Clinical Oncology.

Biomedical Reports

Biomedical Reports

Explores a wide range of biological and medical fields, including pharmacology, genetics, microbiology, neuroscience, and molecular cardiology.

Molecular and Clinical Oncology

Molecular and Clinical Oncology

International journal addressing all aspects of oncology research, from tumorigenesis and oncogenes to chemotherapy and metastasis.

World Academy of Sciences Journal

World Academy of Sciences Journal

Multidisciplinary open-access journal spanning biochemistry, genetics, neuroscience, environmental health, and synthetic biology.

International Journal of Functional Nutrition

International Journal of Functional Nutrition

Open-access journal combining biochemistry, pharmacology, immunology, and genetics to advance health through functional nutrition.

International Journal of Epigenetics

International Journal of Epigenetics

Publishes open-access research on using epigenetics to advance understanding and treatment of human disease.

Medicine International

Medicine International

An International Open Access Journal Devoted to General Medicine.

Journal Cover
September-2019 Volume 18 Issue 3

Full Size Image

Sign up for eToc alerts
Recommend to Library

  • Article
  • Citations
    • Cite This Article
    • Download Citation
    • Create Citation Alert
    • Remove Citation Alert
    • Cited By
  • Similar Articles
    • Related Articles (in Spandidos Publications)
    • Similar Articles (Google Scholar)
    • Similar Articles (PubMed)
  • Download PDF
  • Download XML
  • View XML
Article Open Access

Analysis of Treg/Th17 cells in patients with tongue squamous cell carcinoma

  • Authors:
    • Changfu Liu
    • Zhou Tong
    • Jingyu Tan
    • Zengxi Xin
  • View Affiliations / Copyright

    Affiliations: Department of Oral and Maxillofacial Surgery, The Second Affiliated Hospital of Jinzhou Medical University, Jinzhou, Liaoning 121000, P.R. China, Department of Stomatology, The First Affiliated Hospital of Jinzhou Medical University, Jinzhou, Liaoning 121000, P.R. China, Department of Prosthodontics, The Second Affiliated Hospital of Jinzhou Medical University, Jinzhou, Liaoning 121000, P.R. China
    Copyright: © Liu et al. This is an open access article distributed under the terms of Creative Commons Attribution License.
  • Pages: 2187-2193
    |
    Published online on: July 26, 2019
       https://doi.org/10.3892/etm.2019.7814
  • Expand metrics +
Metrics: Total Views: 0 (Spandidos Publications: | PMC Statistics: )
Metrics: Total PDF Downloads: 0 (Spandidos Publications: | PMC Statistics: )
Cited By (CrossRef): 0 citations Loading Articles...

This article is mentioned in:



Abstract

The aim of the present study was to analyze the percentage of regulatory T cells (Treg) and T helper cell 17 (Th17) cells in the peripheral blood of patients with tongue squamous cell carcinoma (TSCC) to provide novel insight into the development of immune‑targeting therapies for TSCC. Peripheral blood samples were collected from 40 patients with TSCC then the peripheral blood mononuclear cells (PBMCs) and plasma were isolated for flow cytometry, cytometric bead array and reverse transcription‑quantitative PCR. Results demonstrated that the percentage of cluster of differentiation (CD)4+ T cells in the peripheral blood of patients with TSCC decreased significantly compared with the control. However, the percentage of Treg and Th17 cells increased significantly compared with the control. The levels of interleukin (IL)‑10 and IL‑17a increased significantly in patients with TSCC. Expression of IL‑10 and IL‑17 in the advanced stages of cancer (stage III or IV) were significantly higher compared with the early stages (I and II). The mRNA expression levels of the transcription factors forkhead box protein 3 and RAR‑related orphan receptor‑γ increased significantly with stage of cancer. The percentage of Treg cells and Th17 cells increased significantly in patients with TSCC suggesting that there was an imbalance between Treg and Th17 cells. In conclusion, altered Treg/Th17 balance in TSCC may promote the disease progression and these results provide a theoretical basis for the development of immunomodulators targeting Treg/Th17.

Introduction

Carcinoma of the tongue is the most common malignant tumor in the oral and maxillofacial region, of which tongue squamous cell carcinoma (TSCC) is the most prevalent, seriously affecting the patients' quality of life (1). The underlying mechanism of occurrence and development of TSCC has been a focus of oral and maxillofacial surgery; however, additional studies are required to understand the etiology to improve treatment and prognosis of TSCC (2).

The tumor microenvironment (TME) includes tumor cells and their surrounding cellular and non-cellular components. T cells, granulocytes and myeloid-derived suppressor cells (MDSC) all serve a role in the formation of the TME (2). In addition, non-immune cells, protein molecules, inflammatory cytokines and chemokines are also present in the TME (2–4). The TME makeup is dynamic with the nature of the matrix and cells present constantly changing. This results in a large number of immunosuppressive cells such as Treg, MDSC, tumor infiltrating lymphocyte and inflammatory molecules and mediators such as interleukin (IL)-6, IL-10 and transforming growth factor (TGF)-β aggregating in the TME (5). The body mobilizes a wide array of immunosuppressive strategies to control and limit tumor development. In addition, cancer cells can activate various signaling factors through a series of pathways to avoid destruction resulting in immune escape (6–8).

Regulatory T cells (Treg) are a subset of immune cells with immunoregulatory effects. These cells primarily secrete IL-10 and TGF-β, which exhibit a strong immunosuppressive function and serve an important role in tumor immune escape (9). T helper cell 17 (Th17) is another recently discovered subgroup of CD4+ T cells named due to their characteristic secretion of IL-17. Th17 cells exhibit a strong pro-inflammatory effect and participate in the development of many immune-associated diseases and tumors (10). Zhou et al (11), found that, B cells convert CD4+ CD25- T cells into Tregs in co-culture with TCSS cells and influence the prognosis of patients with TSCC, which may be associated with the activation of immune cells and immune escape of tumor cells. Therefore, in the present study, the presence of Treg and Th17 cells in the peripheral blood of patients with TSCC and their related cytokines was measured. The distribution characteristics of Treg and Th17 cells in the TME were also examined to provide novel insight into the development of treatments for clinical immune-targeting TSCC therapies.

Materials and methods

Patients

A total of 40 patients with TSCC who were admitted to The Department of Oral and Maxillofacial Surgery, Second Affiliated Hospital of Jinzhou Medical University (Liaoning, China) between January 2017 and June 2018 were used in the present study. The cohort consisted of 24 males and 16 females, aged 40–76 years old, with a median age of 54 years. The inclusion criteria were that all patients were diagnosed with TSCC by pathology and no radiation therapy or chemotherapy was performed prior to biopsy. Patients with one or more of the following conditions were excluded: i) Infectious disease; ii) acute cardiovascular and cerebrovascular diseases; iii) rheumatic disease; iv) diabetes; and v) other tumors. The present study was approved by The Ethical Committee of Jinzhou Medical University (Liaoning, China). Informed consent was obtained from all patients included in the study. In addition, 16 healthy individuals with no statistical difference in age and sex were used as the control group. All the participants were informed and blood samples of patients were collected prior to clinical treatment.

Sample collection

A total of 3 ml venous blood of each participant was collected and heparin sodium (10 mg/ml, Sigma-Aldrich; Merck KGaA) was used as an anticoagulant. Half of each blood sample was centrifuged (200 × g; 10 min; room temperature) to prepare serum samples with the remainder used to prepare peripheral blood mononuclear cells (PBMCs). All blood samples were processed within 6 h of collection.

Hematoxylin and eosin (H&E) staining

TSCC tissues were fixed (>24 h at room temperature) in 4% paraformaldehyde and embedded in paraffin. Paraffin-embedded samples were cut into 4 µm sections and resected specimens were dewaxed in xylene, rehydrated, washed in distilled water and then stained with hematoxylin and eosin at room temperature for 5 min. Pathological alterations of myocardial tissue were observed under a light microscope (magnification, ×200).

Preparation of PBMCs

PBMCs were isolated from the blood samples of patients with TSCC and healthy controls using lysing buffer (BD Biosciences) according to the manufacturer's protocol. Briefly, 3 ml 1× lysing solution was added to 3 ml venous blood, samples were incubated on ice for 5 min, centrifuged at 200 × g for 5 min at room temperature and then, the supernatant was carefully aspirated. The PBMCs were resuspended in RPMI-1640 medium (HyClone; GE Healthcare Life Sciences) and counted with the density of cells adjusted to 1×106 cells/ml for cell culture or flow cytometry analysis.

Flow cytometric analysis of cluster of differentiation (CD)4+/CD25+/forkhead box protein 3 (Foxp3)+ Treg cells

The PBMCs were resuspended in PBS. For surface staining, fluorescein isothiocyanate-conjugated anti CD4 antibody (cat. no. 555346; BD Biosciences) and allophycocyanin-conjugated anti CD25 antibodies (cat. no. 555434; BD Biosciences) were used. The cells were incubated at room temperature for 20 min protected from light, washed with 1X PBS twice then fixed and permeabilized for 40 min at room temperature using a fixation/permeabilization kit (cat. no. 555028, BD Biosciences) according to the manufacturer's protocol. After fixation and permeabilization, a phycoerythrin (PE)-conjugated anti-Foxp3 antibody (cat. no. 72-5774-40; eBioscience; Thermo Fisher Scientific, Inc.) was added. The cells were incubated at room temperature for 45 min protected from light then washed twice. After discarding the supernatant, cells were resuspended in 300 µl PBS for analysis using a flow cytometer. The results were analyzed using FlowJo version 10.1 (Tree Star, Inc.).

Cell culture

PBMCs were resuspended to a density of 2×106 cells/ml, supplemented with 10% heat-inactivated fetal bovine serum (HyClone; GE Healthcare Life Sciences) and treated with phorbol-12-myristate-13-acetate (PMA; 10 ng/ml; Sigma-Aldrich; Merck KGaA), ionomycin (0.5 µg/ml; Sigma-Aldrich; Merck KGaA), and Brefedin A (1 µl/ml; BD Biosciences) in a 37°C, 5% CO2 incubator for 5 h. The cultured cells were harvested and stained for surface markers and intracellular IL-17a.

Flow cytometric analysis of CD4+IL-17a+ Th17 cells

Surface staining was described as above. The cells were washed once with PBS then fixed and permeabilized for 40 min at room temperature using a fixation/permeabilization kit (cat. no. 555028; BD Biosciences) following the manufacturer's protocols. Following fixation and permeabilization, anti-IL-17a PE (cat. no. 560436; BD Biosciences) was added. The cells were incubated at room temperature for 45 min protected from light then washed twice. After discarding the supernatant, cells were resuspended in 300 µl PBS for flow cytometry. Data analysis was performed using FlowJo software (version 10.6.0; FlowJo LLC).

Reverse transcription-quantitative PCR (RT-qPCR)

PBMCs were collected and total RNA was extracted with TRIzol® reagent (Invitrogen; Thermo Fisher Scientific, Inc.). cDNA was reverse transcribed from total RNA using a RT kit (cat. no. K1622; Thermo Fisher Scientific, Inc.), according to the manufacturers' protocol. qPCR was performed using SYBR Select Master mix (Thermo Fisher Scientific, Inc.), according to the manufacturer's protocol. The primer sequences were as follows: Foxp3 forward, 5′-GCAGCTCTCAACGGTGGAT-3′ and reverse, 5′-GGGATTTGGGAAGGTGCAGA-3′; RAR-related orphan receptor-γ (RORγt) forward, 5′-GCCAAGGCTCAGTCATGAGA-3′ and reverse, 5′-CCTCACAGGTGATAACCCCG-3′; and GAPDH forward, 5′-TGTTGCCATCAATGACCCCTT-3′ and reverse, 5′-CTCCACGACGTACTCAGCG-3′. The PCR thermocycling conditions were 50°C for 2 min, 95°C for 2 min, 95°C for 15 sec, and 60°C for 1 min, for a total of 40 cycles. The 2−ΔΔCq method was used to calculate the relative gene expression (12).

Cytometric bead array (CBA)

Serum samples were isolated from the blood of patients with TSCC and healthy controls via centrifugation at 450 × g for 10 min at room temperature. IL-10 and IL-17a levels were detected using the BD™ CBA Human Th1/Th2/Th17 Cytokine kit (cat. no. 560484; BD Biosciences) according to the manufacturer's protocol. IL-10 and IL-17a levels were analyzed using FCAP Array v3.0 software (BD Biosciences).

Statistical analysis

All data are presented as the mean ± standard deviation. Statistical analysis was performed using GraphPad Prism 6.0 (GraphPad Software, Inc.). The data was compared using unpaired 2-tailed Student's t-test. One-way analysis of variance followed by Kruskal-Wallis test was used to compare differences amongst multiple groups. P<0.05 was considered to indicate statistical significance. Experiments were performed in triplicate.

Results

Clinical characteristics of patients with TSCC

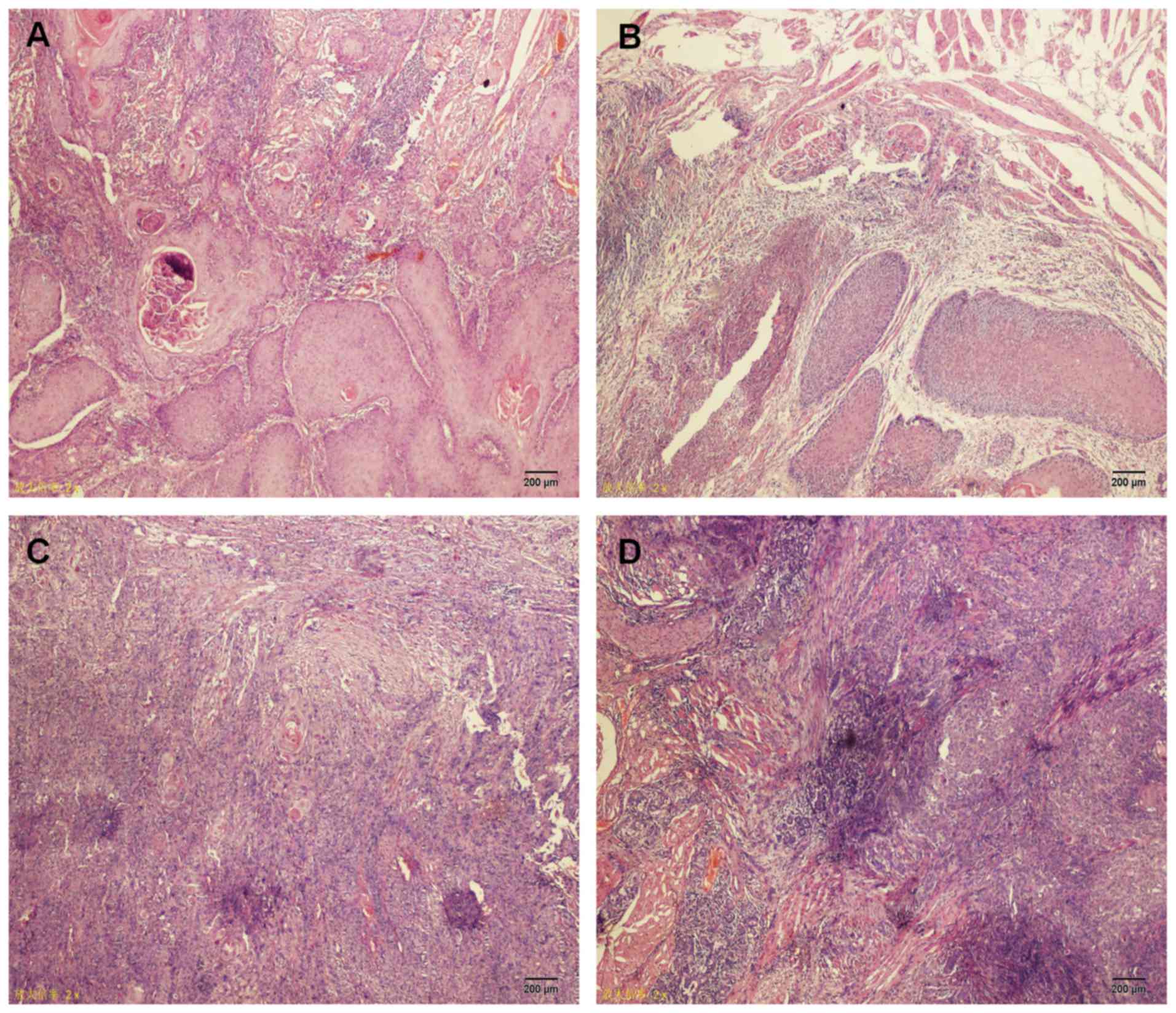
Clinical characteristics of patients with TSCC are presented in Table I. According to the Tumor-Node-Metastasis (TNM) classification for TSCC [Union for International Cancer Control, UICC 2010, 7th Edition (13)], the patients were divided into four stages: Stage I (n=4); stage II (n=12); stage III (n=17); and stage IV (n=7). H&E staining demonstrated that all patients had squamous cell carcinoma (Fig. 1).

Figure 1.

Hematoxylin and eosin staining in patients with TSCC. (A and B) Well differentiated TSCC. (C) Moderately differentiated TSCC. (D) Poorly differentiated TSCC. Magnification, ×200. TSCC, tongue squamous cell carcinoma.

Table I.

Characteristic features of patients included in the present study.

Table I.

Characteristic features of patients included in the present study.

CharacteristicsPatients with tongue squamous cell carcinomaControls
Age, year
  Range38–7635–71
  Mean ± SD57±9.2559±11.38
Smoking2120
Non-smoking1920
Drinking1520
Non-drinking2520
Local stimulation5–
  Residual roots and crowns of teeth3
  Bad prosthesis2
Tumor location –
  Lingual margin26
  Lingual root8
  Ventral of tongue6
Tumor size –
  T14
  T221
  T310
  T45
Lymph node involvement –
  N023
  N+17
Pathological classification –
Squamous cell carcinoma40
Histological classification –
  Well differentiated11
  Moderately differentiated24
  Poorly differentiated5
Clinical stage –
  І4
  II12
  III17
  IV7
CD4+/CD25+/Foxp3+ Treg cells and CD4+/IL-17a+ Th17 cells in patients with TSCC

To investigate the function of the immune system in patients with TSCC, CD4+ T cells were detected using flow cytometry. The results showed that the expression of CD4+T cells decreased in all TSCC patients. The capacity of patients to express CD4+T cells was relatively low (Fig. 2A). The percentage of Treg cells in the peripheral blood of patients with TSCC was significantly increased compared with the control group (control, 1.70±0.44%; stage I+II, 2.37±0.58%; stage III, 3.64±0.61%; and stage IV, 3.92±0.77%; Fig. 2B). The patients with advanced staged cancer (III or IV) exhibited significantly increased expression compared with patients with early stage cancer (I + II). The percentage of Th17 cells in the peripheral blood of patients with TSCC was significantly increased compared with the control. The percentage of Th17 cells increased significantly in with stage of cancer (Fig. 2C). These results indicated that T cells and Th17 cells affected the development of TSCC.

Figure 2.

Treg and Th17 cell counts in patients with TSCC. Gating criteria was used to define the CD4+ T cell population and the CD4+/CD25+/Foxp3+ Treg cells were identified. Different cell subsets were distinguished according to different cell labels: Treg cells, CD4+/CD25+/Foxp3+; and Th17 cells, CD4+/L-17a+ cells. (A) Flow cytometry plots and quantification of CD4+T cells, (B) CD4+/CD25+/Foxp3+ Treg cells and (C) CD4+/IL-17a+ cells. Each point represents a patient with TSCC or a healthy person. *P<0.05 vs. control group; #P<0.05 vs. TSCC stage I + II. TSCC, tongue squamous cell carcinoma; Treg, regulatory T helper cell; Th17, T helper cell 17; CD, cluster of differentiation; Foxp3, forkhead box protein 3; SSC, side scatter.

IL-10 and IL-17a expression levels increase in patients with TSCC

Tregs primarily exert immunoregulatory effects by producing IL-10 and Th17 cells primarily serve a role by secreting IL-17. IL-10 and IL-17a were detected in the peripheral blood of patients with TSCC using CBA. The results demonstrated that IL-10 (control 1.90±0.52%; stage I + II, 2.87±0.82%; stage III, 5.04±1.53%; and stage IV, 5.57±1.78%) and IL-17a (control 1.04±0.25%; stage I + II, 1.93±0.52%; stage III, 2.48±0.56%; and stage IV, 2.77±0.29%) in peripheral blood of patients with TSCC was significantly higher compared with the control (Fig. 3), Patients with advanced stage cancer (III or IV) exhibited significantly increased expression compared with patients with early stage cancer (I + II). These results suggested that, in line with the alterations in Treg and Th17 cells, the serum levels of IL-10 and IL-17 were increased gradually in patients with TSCC.

Figure 3.

IL-10 and IL-17a levels in the plasma of patients with TSCC. IL-10 and IL-17a were detected using cytometric bead array. Each point represents a patient with TSCC or a healthy person. *P<0.05 vs. control group; #P<0.05 vs. TSCC stage I + II. TSCC, tongue squamous cell carcinoma; IL, interleukin.

Foxp3 and RORγt levels increase in patients with TSCC

Foxp3 and RORγt are transcription factors in Treg and Th17 cells, respectively. The levels of Foxp3 and RORγt in PBMCs from patients with TSCC were detected using RT-qPCR. The results demonstrated that the levels of Foxp3 (control 1.07±0.13%; stage I + II, 2.17±0.57%; stage III, 3.14±0.31%; and stage IV, 3.42±0.33%) and RORγt (control 0.99±0.12%; stage I + II, 1.87±0.27%; stage III, 2.34±0.34%; and stage IV, 2.25±0.23%) in peripheral blood of patients with TSCC were significantly higher compared with the control (Fig. 4). Expression in patients with advanced stages of TSCC (III or IV) was significantly higher compared with patients with early stage TSCC (I + II). These results were consistent with the changes in Treg cells and Th17 cells. These results further demonstrated that Treg cells and Th17 cells affected the development of TSCC.

Figure 4.

Foxp3 and RORγt levels in peripheral blood mononuclear cells of TSCC patients. Each point represents a patient with TSCC or a healthy person. *P<0.05 vs. control group; #P<0.05 vs. TSCC stage I + II. TSCC, tongue squamous cell carcinoma; Foxp3, forkhead box protein 3; RORγt, RAR-related orphan receptor-γ.

Discussion

The immune status of cancer patients is closely associated with the occurrence of cancer (14). Traditionally, it is considered that the immune response and immune surveillance can inhibit the occurrence of tumors but increasing evidence has demonstrated that chronic inflammation caused by the immune response may promote the occurrence and development of tumors (14). As an important immune cell in the tumor microenvironment, Th17 cells have strong pro-inflammatory functions (9). Conversely, Tregs exhibit strong immunosuppressive functions (10). Tumor cells can directly induce Treg cells to produce chemokines, creating a favorable environment for tumor growth and inhibiting the immune response. Therefore, Treg cells can be used as an indicator of disease progression and prognosis and also as a therapeutic index for TSCC (15). The Treg/Th17 cell imbalance is associated with the development of many diseases and tumors (16). Increasing Treg cell count and IL-10 levels may inhibit other effector T cells, interfering with the Treg/Th17 balance and leading to disease progression (15). In the present study, the Treg and Th17 cell counts were measured in the peripheral blood of patients with TSCC, with the findings potentially providing insight into understanding the immune response in patients with TSCC.

Tregs are a subset of cells that control the body's autoimmune response. Numerous studies have determined that Treg serve an important role in tumor immunity. Tregs can inhibit the anti-tumor immune response and promote the development of an immunosuppressive TME, thus promoting immune escape and cancer progression (17–19). Rasku et al (20) identified that transient Treg depletion induces regression of metastatic lesions in advanced stage melanoma patients. Ladoire et al (21) found that Treg depletion prior to treatment is associated with an anti-tumor immune response and improved clinical outcomes in breast cancer patients undergoing tumor resection and radiotherapy. The most prominent transcription factor in Tregs is Foxp3. Recent studies have identified that Foxp3 is expressed in TSCC cell lines (22,23). In the present study, the results demonstrated that the percentage of Treg cells in the peripheral blood of patients with TSCC increased significantly. Taken together, these findings may explain immune escape and proliferation of cancer cells. However, further experiments are required to verify this proposed mechanism.

Th17 cells are a group of cells different from Th1 and Th2 cell subsets. Th17 cells produce IL-17 to promote and stabilize the transcription of other inflammatory factors such as tumor necrosis factor-α to promote tissue inflammation (24,25). Wang et al (26) determined that the growth rate of melanoma and bladder cancer decreases in IL-17 deficient mice. The results suggest that Th17 cells can promote the growth of tumors. De Simone et al (27) found that Th17-type cytokines activate signal transducer and activator of transcription 3 and NF-κB to promote colorectal cancer cell growth. In the present study compared with the control, the percentage of Th17 cells in the peripheral blood of patients with TSCC was significantly increased with the level of IL-17 produced by Th17 and the expression of RORγt, a specific transcription factor of Th17 cells also significantly increased. These results indicated that Th17 cells contributed to the proliferation of tumor cells. Treg cell transcription factor Foxp3 can bind to RORγt, thus inhibiting the activity of RORγt. RORγt is a specific transcription factor of Th17 cells and the two transcription factors are mutually inhibited (28,29). Under normal circumstances, Treg/Th17 can maintain balance (30). However, when the balance of Treg/Th17 cells is lost, it may result in the promotion and development of tumors. The results of the present study demonstrated that Treg/Th17 cell counts and IL-10/IL-17 levels increased, providing an additional mode of analysis to improve prediction of the prognosis of patients with TSCC.

In conclusion, the present study determined that the percentage of Treg/Th17 cells and IL-10/IL-17 levels increased significantly in patients with TSCC. The immune balance of Treg and Th17 cells was lost, possibly resulting in rapid proliferation of tumor cells. The detection of Treg and Th17 cells may be useful in diagnosing TSCC and predicting its pathogenesis. The results of the present study suggested that adoptive immunotherapy may be developed through modulation of Treg and Th17 populations in the future.

Acknowledgements

Not applicable.

Funding

The present study was funded by The Nature Science Foundation of Liaoning Province (grant no. 2015020326).

Availability of data and materials

The datasets generated and/or analyzed during the present study are available from the corresponding author on reasonable request.

Authors' contributions

CFL and ZXX conceived and designed the study. CFL drafted the manuscript. Flow cytometry was completed by ZT. Cell culture was completed by JYT and ZT. Reverese transcription-quantitative PCR was performed by JYT. Data analysis was performed by ZXX. All authors read and approved the final version.

Ethics approval and consent to participate

The present study was approved by the Ethical Committee of Jinzhou Medical University (Liaoning, China; approval no. JZH2016052). Informed consent was obtained from all patients included in the study.

Patient consent for publication

Not applicable.

Competing interests

The authors declare that they have no competing interests.

Glossary

Abbreviations

Abbreviations:

TSCC

tongue squamous cell carcinoma

Treg

regulatory T cells

Th17

T helper cell 17

TME

tumor microenvironment

TAM

tumor infiltrating lymphocyte

MDSC

myeloid-derived suppressor cells

PBMCs

peripheral blood mononuclear cells

References

1 

Yu X and Li Z: MicroRNA expression and its implications for diagnosis and therapy of tongue squamous cell carcinoma. J Cell Mol Med. 20:10–16. 2016. View Article : Google Scholar : PubMed/NCBI

2 

Finotello F and Eduati F: Multi-omics profiling of the tumor microenvironment: paving the way to precision immuno-oncology. Front Oncol. 8:4302018. View Article : Google Scholar : PubMed/NCBI

3 

Kim J and Bae JS: Tumor-associated macrophages and neutrophils in tumor microenvironment. Mediators Inflamm. 2016:60581472016. View Article : Google Scholar : PubMed/NCBI

4 

Jiang W, Chan CK, Weissman IL, Kim BYS and Hahn SM: Immune priming of the tumor microenvironment by radiation. Trends Cancer. 2:638–645. 2016. View Article : Google Scholar : PubMed/NCBI

5 

Sahoo SS, Zhang XD, Hondermarck H and Tanwar PS: The emerging role of the microenvironment in endometrial cancer. Cancers (Basel). 10(pii): E4082018. View Article : Google Scholar : PubMed/NCBI

6 

Steven A and Seliger B: The role of immune escape and immune cell infiltration in breast cancer. Breast Care (Basel). 13:16–21. 2018. View Article : Google Scholar : PubMed/NCBI

7 

Terry S, Savagner P, Ortiz-Cuaran S, Mahjoubi L, Saintigny P, Thiery JP and Chouaib S: New insights into the role of EMT in tumor immune escape. Mol Oncol. 11:824–846. 2017. View Article : Google Scholar : PubMed/NCBI

8 

Spranger S: Mechanisms of tumor escape in the context of the T-cell-inflamed and the non-T-cell-inflamed tumor microenvironment. Int Immunol. 28:383–391. 2016. View Article : Google Scholar : PubMed/NCBI

9 

Barbi J, Pardoll D and Pan F: Treg functional stability and its responsiveness to the microenvironment. Immunol Rev. 259:115–139. 2014. View Article : Google Scholar : PubMed/NCBI

10 

Guéry L and Hugues S: Th17 Cell plasticity and functions in cancer immunity. Biomed Res Int. 2015:3146202015. View Article : Google Scholar : PubMed/NCBI

11 

Zhou X, Su YX, Lao XM, Liang YJ and Liao GQ: CD19(+)IL-10(+) regulatory B cells affect survival of tongue squamous cell carcinoma patients and induce resting CD4(+) T cells to CD4(+)Foxp3(+) regulatory T cells. Oral Oncol. 53:27–35. 2016. View Article : Google Scholar : PubMed/NCBI

12 

Livak KJ and Schmittgen TD: Analysis of relative gene expression data using real-time quantitative PCR and the 2(-Delta Delta C(T)) method. Methods. 25:402–408. 2001. View Article : Google Scholar : PubMed/NCBI

13 

Sobin LH, Gospodarowicz MK and Wittekind CH: UICC International Union Against Cancer TNM Classification of Malignant Tumors. 7th. West Sussex, United Kingdom: Wiley-Blackwell; 2009

14 

Zamarron BF and Chen W: Dual roles of immune cells and their factors in cancer development and progression. Int J Biol Sci. 7:651–658. 2011. View Article : Google Scholar : PubMed/NCBI

15 

Jadidi-Niaragh F, Ghalamfarsa G, Memarian A, Asgarian-Omran H, Razavi SM, Sarrafnejad A and Shokri F: Downregulation of IL-17-producing T cells is associated with regulatory T cell expansion and disease progression in chronic lymphocytic leukemia. Tumour Biol. 34:929–940. 2013. View Article : Google Scholar : PubMed/NCBI

16 

Duan MC, Han W, Jin PW, Wei YP, Wei Q, Zhang LM and Li JC: Disturbed Th17/treg balance in patients with non-small cell lung cancer. Inflammation. 38:2156–2165. 2015. View Article : Google Scholar : PubMed/NCBI

17 

Chaudhary B and Elkord E: Regulatory T cells in the tumor microenvironment and cancer progression: Role and therapeutic targeting. Vaccines (Basel). 4(pii): E282016. View Article : Google Scholar : PubMed/NCBI

18 

Tanaka A and Sakaguchi S: Regulatory T cells in cancer immunotherapy. Cell Res. 27:109–118. 2017. View Article : Google Scholar : PubMed/NCBI

19 

Elkord E, Alcantar-Orozco EM, Dovedi SJ, Tran DQ, Hawkins RE and Gilham DE: T regulatory cells in cancer: Recent advances and therapeutic potential. Expert Opin Biol Ther. 10:1573–1586. 2010. View Article : Google Scholar : PubMed/NCBI

20 

Rasku MA, Clem AL, Telang S, Taft B, Gettings K, Gragg H, Cramer D, Lear SC, McMasters KM, Miller DM and Chesney J: Transient T cell depletion causes regression of melanoma metastases. J Transl Med. 6:122008. View Article : Google Scholar : PubMed/NCBI

21 

Ladoire S, Arnould L, Apetoh L, Coudert B, Martin F, Chauffert B, Fumoleau P and Ghiringhelli F: Pathologic complete response to neoadjuvant chemotherapy of breast carcinoma is associated with the disappearance of tumor-infiltrating foxp3+ regulatory T cells. Clin Cancer Res. 14:2413–2420. 2008. View Article : Google Scholar : PubMed/NCBI

22 

Liang YJ, Lao XM, Liang LZ and Liao GQ: Genome-wide analysis of cancer cell-derived Foxp3 target genes in human tongue squamous cell carcinoma cells. Int J Oncol. 46:1935–1943. 2015. View Article : Google Scholar : PubMed/NCBI

23 

Li K, Huang SH, Lao XM, Yang L, Liao GQ and Liang YJ: Interaction of cancer cell-derived Foxp3 and tumor microenvironment in human tongue squamous cell carcinoma. Exp Cell Res. 370:643–652. 2018. View Article : Google Scholar : PubMed/NCBI

24 

Zhu S and Qian Y: IL-17/IL-17 receptor system in autoimmune disease: Mechanisms and therapeutic potential. Clin Sci (Lond). 122:487–511. 2012. View Article : Google Scholar : PubMed/NCBI

25 

Chen X and Oppenheim JJ: Th17 cells and Tregs: Unlikely allies. J Leukoc Biol. 95:723–731. 2014. View Article : Google Scholar : PubMed/NCBI

26 

Wang L, Yi T, Kortylewski M, Pardoll DM, Zeng D and Yu H: IL-17 can promote tumor growth through an IL-6-Stat3 signaling pathway. J Exp Med. 206:1457–1464. 2009. View Article : Google Scholar : PubMed/NCBI

27 

De Simone V, Franzè E, Ronchetti G, Colantoni A, Fantini MC, Di Fusco D, Sica GS, Sileri P, MacDonald TT, Pallone F, et al: Th17-type cytokines, IL-6 and TNF-α synergistically activate STAT3 and NF-kB to promote colorectal cancer cell growth. Oncogene. 34:3493–3503. 2015. View Article : Google Scholar : PubMed/NCBI

28 

Yang F, Wang D, Li Y, Sang L, Zhu J, Wang J, Wei B, Lu C and Sun X: Th1/Th2 balance and Th17/treg-mediated immunity in relation to murine resistance to dextran sulfate-induced colitis. J Immunol Res. 2017:70472012017. View Article : Google Scholar : PubMed/NCBI

29 

Sun J, Li L, Li L, Ding L, Liu X, Chen X, Zhang J, Qi X, Du J and Huang Z: Metallothionein-1 suppresses rheumatoid arthritis pathogenesis by shifting the Th17/Treg balance. Eur J Immunol. 48:1550–1562. 2018. View Article : Google Scholar : PubMed/NCBI

30 

Zhao L, Yang J, Wang HP and Liu RY: Imbalance in the Th17/Treg and cytokine environment in peripheral blood of patients with adenocarcinoma and squamous cell carcinoma. Med Oncol. 30:4612013. View Article : Google Scholar : PubMed/NCBI

Related Articles

  • Abstract
  • View
  • Download
  • Twitter
Copy and paste a formatted citation
Spandidos Publications style
Liu C, Tong Z, Tan J and Xin Z: Analysis of Treg/Th17 cells in patients with tongue squamous cell carcinoma. Exp Ther Med 18: 2187-2193, 2019.
APA
Liu, C., Tong, Z., Tan, J., & Xin, Z. (2019). Analysis of Treg/Th17 cells in patients with tongue squamous cell carcinoma. Experimental and Therapeutic Medicine, 18, 2187-2193. https://doi.org/10.3892/etm.2019.7814
MLA
Liu, C., Tong, Z., Tan, J., Xin, Z."Analysis of Treg/Th17 cells in patients with tongue squamous cell carcinoma". Experimental and Therapeutic Medicine 18.3 (2019): 2187-2193.
Chicago
Liu, C., Tong, Z., Tan, J., Xin, Z."Analysis of Treg/Th17 cells in patients with tongue squamous cell carcinoma". Experimental and Therapeutic Medicine 18, no. 3 (2019): 2187-2193. https://doi.org/10.3892/etm.2019.7814
Copy and paste a formatted citation
x
Spandidos Publications style
Liu C, Tong Z, Tan J and Xin Z: Analysis of Treg/Th17 cells in patients with tongue squamous cell carcinoma. Exp Ther Med 18: 2187-2193, 2019.
APA
Liu, C., Tong, Z., Tan, J., & Xin, Z. (2019). Analysis of Treg/Th17 cells in patients with tongue squamous cell carcinoma. Experimental and Therapeutic Medicine, 18, 2187-2193. https://doi.org/10.3892/etm.2019.7814
MLA
Liu, C., Tong, Z., Tan, J., Xin, Z."Analysis of Treg/Th17 cells in patients with tongue squamous cell carcinoma". Experimental and Therapeutic Medicine 18.3 (2019): 2187-2193.
Chicago
Liu, C., Tong, Z., Tan, J., Xin, Z."Analysis of Treg/Th17 cells in patients with tongue squamous cell carcinoma". Experimental and Therapeutic Medicine 18, no. 3 (2019): 2187-2193. https://doi.org/10.3892/etm.2019.7814
Follow us
  • Twitter
  • LinkedIn
  • Facebook
About
  • Spandidos Publications
  • Careers
  • Cookie Policy
  • Privacy Policy
How can we help?
  • Help
  • Live Chat
  • Contact
  • Email to our Support Team