Spandidos Publications Logo
  • About
    • About Spandidos
    • Aims and Scopes
    • Abstracting and Indexing
    • Editorial Policies
    • Reprints and Permissions
    • Job Opportunities
    • Terms and Conditions
    • Contact
  • Journals
    • All Journals
    • Oncology Letters
      • Oncology Letters
      • Information for Authors
      • Editorial Policies
      • Editorial Board
      • Aims and Scope
      • Abstracting and Indexing
      • Bibliographic Information
      • Archive
    • International Journal of Oncology
      • International Journal of Oncology
      • Information for Authors
      • Editorial Policies
      • Editorial Board
      • Aims and Scope
      • Abstracting and Indexing
      • Bibliographic Information
      • Archive
    • Molecular and Clinical Oncology
      • Molecular and Clinical Oncology
      • Information for Authors
      • Editorial Policies
      • Editorial Board
      • Aims and Scope
      • Abstracting and Indexing
      • Bibliographic Information
      • Archive
    • Experimental and Therapeutic Medicine
      • Experimental and Therapeutic Medicine
      • Information for Authors
      • Editorial Policies
      • Editorial Board
      • Aims and Scope
      • Abstracting and Indexing
      • Bibliographic Information
      • Archive
    • International Journal of Molecular Medicine
      • International Journal of Molecular Medicine
      • Information for Authors
      • Editorial Policies
      • Editorial Board
      • Aims and Scope
      • Abstracting and Indexing
      • Bibliographic Information
      • Archive
    • Biomedical Reports
      • Biomedical Reports
      • Information for Authors
      • Editorial Policies
      • Editorial Board
      • Aims and Scope
      • Abstracting and Indexing
      • Bibliographic Information
      • Archive
    • Oncology Reports
      • Oncology Reports
      • Information for Authors
      • Editorial Policies
      • Editorial Board
      • Aims and Scope
      • Abstracting and Indexing
      • Bibliographic Information
      • Archive
    • Molecular Medicine Reports
      • Molecular Medicine Reports
      • Information for Authors
      • Editorial Policies
      • Editorial Board
      • Aims and Scope
      • Abstracting and Indexing
      • Bibliographic Information
      • Archive
    • World Academy of Sciences Journal
      • World Academy of Sciences Journal
      • Information for Authors
      • Editorial Policies
      • Editorial Board
      • Aims and Scope
      • Abstracting and Indexing
      • Bibliographic Information
      • Archive
    • International Journal of Functional Nutrition
      • International Journal of Functional Nutrition
      • Information for Authors
      • Editorial Policies
      • Editorial Board
      • Aims and Scope
      • Abstracting and Indexing
      • Bibliographic Information
      • Archive
    • International Journal of Epigenetics
      • International Journal of Epigenetics
      • Information for Authors
      • Editorial Policies
      • Editorial Board
      • Aims and Scope
      • Abstracting and Indexing
      • Bibliographic Information
      • Archive
    • Medicine International
      • Medicine International
      • Information for Authors
      • Editorial Policies
      • Editorial Board
      • Aims and Scope
      • Abstracting and Indexing
      • Bibliographic Information
      • Archive
  • Articles
  • Information
    • Information for Authors
    • Information for Reviewers
    • Information for Librarians
    • Information for Advertisers
    • Conferences
  • Language Editing
Spandidos Publications Logo
  • About
    • About Spandidos
    • Aims and Scopes
    • Abstracting and Indexing
    • Editorial Policies
    • Reprints and Permissions
    • Job Opportunities
    • Terms and Conditions
    • Contact
  • Journals
    • All Journals
    • Biomedical Reports
      • Information for Authors
      • Editorial Policies
      • Editorial Board
      • Aims and Scope
      • Abstracting and Indexing
      • Bibliographic Information
      • Archive
    • Experimental and Therapeutic Medicine
      • Information for Authors
      • Editorial Policies
      • Editorial Board
      • Aims and Scope
      • Abstracting and Indexing
      • Bibliographic Information
      • Archive
    • International Journal of Epigenetics
      • Information for Authors
      • Editorial Policies
      • Editorial Board
      • Aims and Scope
      • Abstracting and Indexing
      • Bibliographic Information
      • Archive
    • International Journal of Functional Nutrition
      • Information for Authors
      • Editorial Policies
      • Editorial Board
      • Aims and Scope
      • Abstracting and Indexing
      • Bibliographic Information
      • Archive
    • International Journal of Molecular Medicine
      • Information for Authors
      • Editorial Policies
      • Editorial Board
      • Aims and Scope
      • Abstracting and Indexing
      • Bibliographic Information
      • Archive
    • International Journal of Oncology
      • Information for Authors
      • Editorial Policies
      • Editorial Board
      • Aims and Scope
      • Abstracting and Indexing
      • Bibliographic Information
      • Archive
    • Medicine International
      • Information for Authors
      • Editorial Policies
      • Editorial Board
      • Aims and Scope
      • Abstracting and Indexing
      • Bibliographic Information
      • Archive
    • Molecular and Clinical Oncology
      • Information for Authors
      • Editorial Policies
      • Editorial Board
      • Aims and Scope
      • Abstracting and Indexing
      • Bibliographic Information
      • Archive
    • Molecular Medicine Reports
      • Information for Authors
      • Editorial Policies
      • Editorial Board
      • Aims and Scope
      • Abstracting and Indexing
      • Bibliographic Information
      • Archive
    • Oncology Letters
      • Information for Authors
      • Editorial Policies
      • Editorial Board
      • Aims and Scope
      • Abstracting and Indexing
      • Bibliographic Information
      • Archive
    • Oncology Reports
      • Information for Authors
      • Editorial Policies
      • Editorial Board
      • Aims and Scope
      • Abstracting and Indexing
      • Bibliographic Information
      • Archive
    • World Academy of Sciences Journal
      • Information for Authors
      • Editorial Policies
      • Editorial Board
      • Aims and Scope
      • Abstracting and Indexing
      • Bibliographic Information
      • Archive
  • Articles
  • Information
    • For Authors
    • For Reviewers
    • For Librarians
    • For Advertisers
    • Conferences
  • Language Editing
Login Register Submit
  • This site uses cookies
  • You can change your cookie settings at any time by following the instructions in our Cookie Policy. To find out more, you may read our Privacy Policy.

    I agree
Search articles by DOI, keyword, author or affiliation
Search
Advanced Search
presentation
Experimental and Therapeutic Medicine
Join Editorial Board Propose a Special Issue
Print ISSN: 1792-0981 Online ISSN: 1792-1015
Journal Cover
December-2019 Volume 18 Issue 6

Full Size Image

Sign up for eToc alerts
Recommend to Library

Journals

International Journal of Molecular Medicine

International Journal of Molecular Medicine

International Journal of Molecular Medicine is an international journal devoted to molecular mechanisms of human disease.

International Journal of Oncology

International Journal of Oncology

International Journal of Oncology is an international journal devoted to oncology research and cancer treatment.

Molecular Medicine Reports

Molecular Medicine Reports

Covers molecular medicine topics such as pharmacology, pathology, genetics, neuroscience, infectious diseases, molecular cardiology, and molecular surgery.

Oncology Reports

Oncology Reports

Oncology Reports is an international journal devoted to fundamental and applied research in Oncology.

Experimental and Therapeutic Medicine

Experimental and Therapeutic Medicine

Experimental and Therapeutic Medicine is an international journal devoted to laboratory and clinical medicine.

Oncology Letters

Oncology Letters

Oncology Letters is an international journal devoted to Experimental and Clinical Oncology.

Biomedical Reports

Biomedical Reports

Explores a wide range of biological and medical fields, including pharmacology, genetics, microbiology, neuroscience, and molecular cardiology.

Molecular and Clinical Oncology

Molecular and Clinical Oncology

International journal addressing all aspects of oncology research, from tumorigenesis and oncogenes to chemotherapy and metastasis.

World Academy of Sciences Journal

World Academy of Sciences Journal

Multidisciplinary open-access journal spanning biochemistry, genetics, neuroscience, environmental health, and synthetic biology.

International Journal of Functional Nutrition

International Journal of Functional Nutrition

Open-access journal combining biochemistry, pharmacology, immunology, and genetics to advance health through functional nutrition.

International Journal of Epigenetics

International Journal of Epigenetics

Publishes open-access research on using epigenetics to advance understanding and treatment of human disease.

Medicine International

Medicine International

An International Open Access Journal Devoted to General Medicine.

Journal Cover
December-2019 Volume 18 Issue 6

Full Size Image

Sign up for eToc alerts
Recommend to Library

  • Article
  • Citations
    • Cite This Article
    • Download Citation
    • Create Citation Alert
    • Remove Citation Alert
    • Cited By
  • Similar Articles
    • Related Articles (in Spandidos Publications)
    • Similar Articles (Google Scholar)
    • Similar Articles (PubMed)
  • Download PDF
  • Download XML
  • View XML
Case Report Open Access

Paraneoplastic pityriasis rubra pilaris in association with prostate carcinoma: A case report and literature review

  • Authors:
    • Gyula László Fekete
    • Daniel Boda
    • Constantin Căruntu
    • László Fekete
  • View Affiliations / Copyright

    Affiliations: University of Medicine and Pharmacy, Dermatology Clinic, 530136 Târgu Mureş, Romania, Department of Dermatology, ‘Carol Davila’ University of Medicine and Pharmacy, 050474 Bucharest, Romania, Department of Physiology, ‘Carol Davila’ University of Medicine and Pharmacy, 050474 Bucharest, Romania, CMI Dermamed, 530540 Târgu Mureş, Romania
    Copyright: © Fekete et al. This is an open access article distributed under the terms of Creative Commons Attribution License.
  • Pages: 5052-5055
    |
    Published online on: November 7, 2019
       https://doi.org/10.3892/etm.2019.8169
  • Expand metrics +
Metrics: Total Views: 0 (Spandidos Publications: | PMC Statistics: )
Metrics: Total PDF Downloads: 0 (Spandidos Publications: | PMC Statistics: )
Cited By (CrossRef): 0 citations Loading Articles...

This article is mentioned in:



Abstract

Pityriasis rubra pilaris (PRP) is a chronic papulosquamous disorder of unknown etiology, characterized by reddish orange scaly plaques, islands of sparing, palmoplantar keratoderma, and keratotic follicular papules. The disease can be acquired or inherited, being divided into 5 categories: classic adult type, atypical adult type, classic juvenile type, circumscribed juvenile type, and atypical juvenile type. More recently, an HIV‑associated type has been added to this classification. The cases of PRP associated with malignancy are unusual. We present a case of a 58‑year‑old man, with the typical clinical aspect of PRP with a four‑month onset of the disease. The histopathological and dermatoscopical findings confirmed the PRP diagnosis. The routine laboratory results were in normal limits, except the number of eosinophils, which was elevated and the number of lymphocytes, which was lower. After a thorough examination within a hematological consultation, the cause of hypereosinophilia remained unknown. An imagistic examination was performed and a prostate hypertrophy was noted. The prostate‑specific antigen (PSA) level was found to be increased. The urologic consultation based on clinical, imagistic and microscopic features diagnosed an early stage prostate carcinoma. The conclusion was a paraneoplastic PRP in association with prostate carcinoma. The search in international databases revealed twelve published cases regarding the association of PRP with malignancies. The presented case represents a rare coexistence of PRP with malignancy, particularly with prostate carcinoma, and indicates that PRP can occur as paraneoplastic dermatosis, heralding a malignancy. This case is the first one to present PRP associated with prostate carcinoma. Nonetheless, in the authors' opinion, PRP can be considered a paraneoplastic syndrome; therefore, tumor screening is mandatory in cases presenting this disease.

Introduction

Pityriasis rubra pilaris (PRP) was first described in 1828 by Tarral and was named by Besnier in 1889. It is a chronic papulosquamous disorder of unknown etiology, characterized by reddish orange scaly plaques, islands of sparing, palmoplantar keratoderma, and keratotic follicular papules (1). The disease can be acquired or inherited (2). Griffiths divided PRP into 5 categories: classic adult type, atypical adult type, classic juvenile type, circumscribed juvenile type, and atypical juvenile type (3). More recently, an HIV-associated type has been added to this classification (4–7). Other reported associations include various infections, autoimmunity, drugs, and malignancies, although their true significance remains unclear (1). Cases of PRP associated with malignancy are unusual. Only a few cases of PRP associated with an underlying malignancy have been documented (8).

Case report

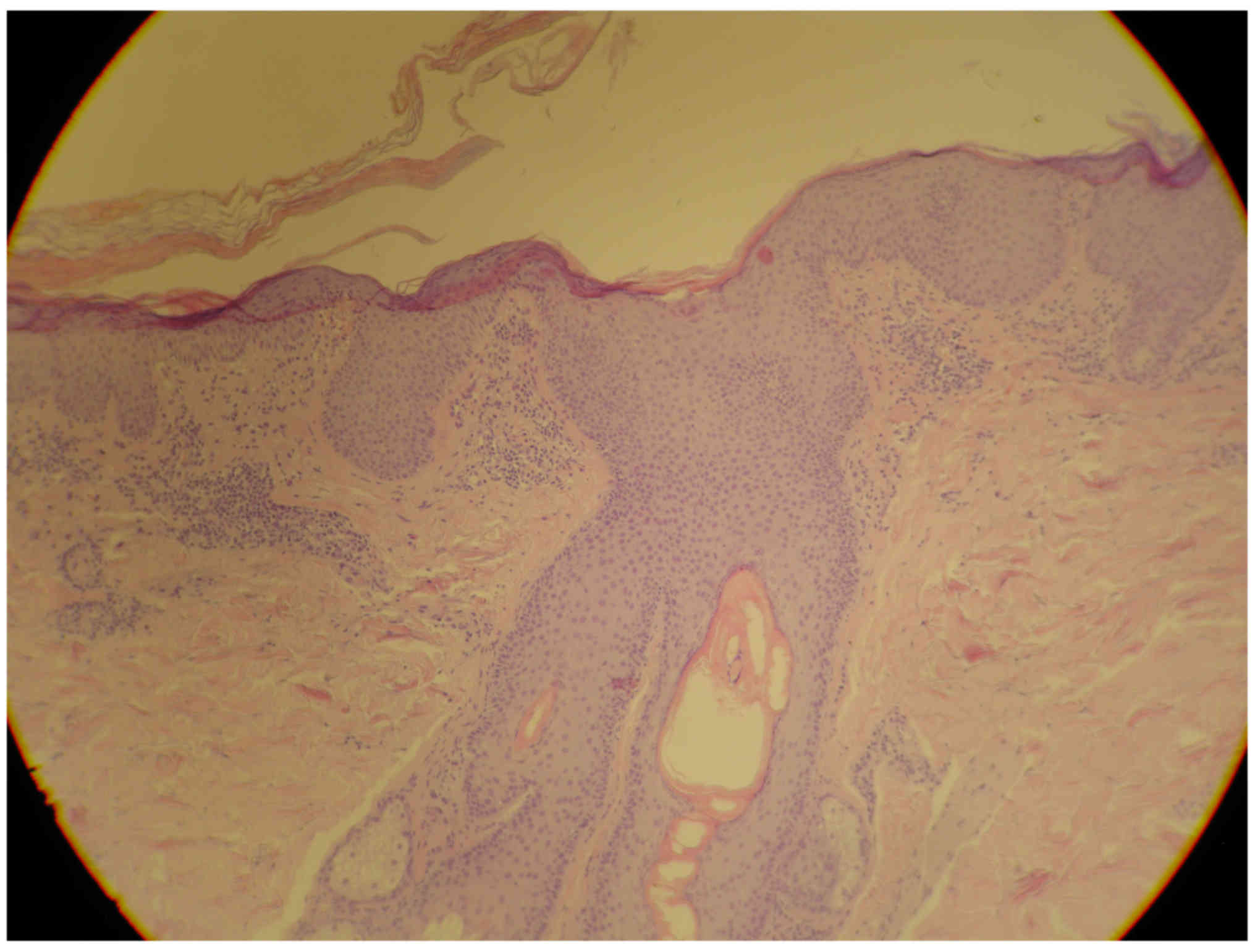
A 58-year-old man presented an onset of the current disease for four months, with a prior diagnosis of exfoliative dermatitis affecting the extremities, neck, face, scalp, palms and soles. He reported pain, itching, and swelling of the affected areas. The rash appeared to be worst on the hands and feet, and the associated itch made daily activities difficult. His treatment regimen upon admission included systemic and local corticotherapy without significant improvement. The dermatological examination revealed erythematous papillary follicular hyperkeratosis, orange-red and salmon-colored scaly patches and plaques with sharp borders, clearly delimited, sometimes covered by fine, white scales localized on the trunk and neck, confluent in an erythematosquamous plaque on the face and ears. Similar lesions were present on the arms, forearms, knees and thighs. Areas of uninvolved skin, referred to as islands of sparing, were also present (Fig. 1 and 2). The palms and soles had severe confluent orange colored keratoderma. Several painful fissures were present on the soles (Fig. 3). No nail, eye or mucous membrane changes were found. There was moderate pruritus as well. According to the patient, there was no fever, abdominal pain, arthralgia or other relevant subjective symptoms. His medical history was unremarkable. The clinical general examination of systems and organs revealed no relevant findings. The dermoscopic evaluation revealed follicular keratotic plugs and point size vessels with glomerular appearance (Fig. 4). Based on the typical clinical findings, our presumptive clinical diagnosis was PRP. Other diseases, such as psoriasis, keratodermias, acquired ichthyosis or lymphomas were considered as differential diagnosis. A biopsy was performed. The histopathology revealed lamellar hyperkeratosis with alternating orthokeratosis and parakeratosis forming a checkerboard pattern in the stratum corneum, focal hypergranulosis, typical follicular plugging with perifollicular parakeratosis; the presence of a superficial dermal lymphocytic perivascular infiltration confirmed the PRP diagnosis (Fig. 5). Routine laboratory results, including biochemistry and hematology panel, were within normal range, except the number of eosinophils, which was elevated and the number of lymphocytes, which was lower, at a normal range of white blood cell count. The authors found 21.23% (normal: 0–4%) eosinophilia and 19.65% (normal: 25–45%) lymphopenia, with an absolute eosinophil count of 1.69 ×103/µl (normal: 0.05–0.35×103/µl). After a thorough hematologic examination, the cause of hypereosinophilia remained unclear. The renal function was unimpaired, and the results of urinalysis were within normal range. No other clinical signs or symptoms and laboratory findings possibly related to an infection or to inflammatory diseases were noted. An imagistic examination was performed in order to exclude underlying diseases. The chest x-ray was negative. An abdominal ultrasound examination revealed only a prostate hypertrophy. The prostate-specific antigen (PSA) level was examined; the result was 4.0 ng/ml. According to the urologic examiner, the PSA level and the ultrasound examination were to be repeated within one month. A treatment with Acitretin 0.5 mg/kg body weight/day combined with emollients, photoprotection and keratolytics on the palms and soles was started. One month after initiating the treatment, the patient's state presented improvements (Fig. 6). The repeated complete blood cell count with differential showed a decrease of eosinophils to a level of 7.2%. In addition, the PSA level was measured, finding an increased level of 19.2 ng/ml. The urologic consultation based on clinical, imagistic and microscopic features diagnosed an early stage prostate carcinoma. The final diagnosis was a paraneoplastic PRP in association with prostate carcinoma. Written informed consent of the patient was obtained. The Ethics approval was obtained from the Ethics Committee for Research of the University of Medicine and Pharmacy (Târgu Mureş, Romania) (approval nos. 24/2016).

Figure 1.

Clinical aspect of trunk anterior area and forearms. Papillary follicular hyperkeratosis, orange-red and salmon-colored scaly patches and plaques covered by fine, white scales.

Figure 2.

Clinical aspect - dorsal part of trunk. Papillary follicular hyperkeratosis, orange-red and salmon-colored scaly patches and plaques covered by fine, white scales. Islands of sparing.

Figure 3.

Clinical aspect of the palms and soles. Confluent orange colored keratoderma.

Figure 4.

Dermoscopic examination: follicular keratotic plugs and point size vessels with glomerular appearance.

Figure 5.

Lamellar hyperkeratosis, focal hypergranulosis, typical follicular plugging with perifollicular parakeratosis, lymphocytic perivascular infiltration, hematoxylin and eosin staining; original magnification, ×10.

Figure 6.

Clinical aspect after one month of treatment.

Discussion

A paraneoplastic syndrome is a syndrome that represents the consequence of a malignancy in the human body. Paraneoplastic syndromes are typical among middle-aged to older patients, when different types of cancers usually occur. Sometimes, the symptoms of paraneoplastic syndromes occur before the diagnosis of a malignancy, but they can be present at the same time as the malignancy or they appear late in the evolution of the cancer. A thorough review of literature was performed using international database search. Available case reports and current review articles were investigated to provide up-to-date information on PRP as paraneoplastic syndrome. According to a search in the PubMed/MEDLINE, Google Scholar and Web of Science databases, twelve published cases on the association of PRP with malignancies were found (2,8–18).

Regarding the documented malignancies associated with PRP the following locations were found: cutaneous in three cases, respiratory tract in three cases, abdominal involved in three cases, two cases with hematological starting and one case with renal involvement. The association of prostate carcinoma with PRP, as in the presented case, has not previously been reported (2,8–18). In cutaneous tumors, there are reported cases of spinocellular, basocellular and Merkel cell carcinomas. Regarding the respiratory tract, in two of the cases it was lung carcinoma and in one case - a laryngeal tumor. In abdominal locations, there were one case of cholangiocarcinoma, one hepatic tumor and one case of liver metastasis with unknown location of the primary tumor. The other remaining cases presented an association of leukemia, Sézary syndrome, and renal carcinoma with PRP. In only two cases (basal cell and spinocellular carcinoma) PRP appeared during the evolution of the cancers. For the rest, PRP was the first clinical sign of a malignancy. The diagnosis of the primary tumors was possible due to the routine clinical, laboratory and imagistic examinations in all of the cases.

The diagnosis of PRP was made based on the clinical and histological findings, as in the present case. The performed dermoscopic examination in this case revealed follicular keratotic plugs and point size vessels with glomerular appearance usually present in PRP (19). No dermoscopic examination was performed by the authors. The increased number of eosinophils found in this case, which decreased under treatment, was not found in the other cases. It is mentioned in literature that eosinophilia can be present in PRP (20). The most likely explanation for the eosinophilia was a reactive process secondary to the extreme inflammatory state. In two cases, PRP had a recalcitrant evolution to retinoid systemic treatment (8,9). In the rest of the cases, the disease reacted to treatment, including in our case. The treatment in all cases was retinoid therapy, except for one case in which locally used steroids were efficient (12). In all cases, the different curative treatments of the malignancies led to healing or marked improvement of the PRP, concluding that PRP can be considered a paraneoplastic syndrome (21–24).

PRP is a rare disease; the incidence may vary from 1 in 5,000 in Britain to 1 in 50,000 in India, affecting both sexes equally (3). Most of the cases are acquired, like the present case. The association with malignancies is unusual. This case represented a rare coexistence of PRP with malignancy, particularly with prostate carcinoma, and indicates that PRP can occur as paraneoplastic dermatosis, heralding a malignancy. This is the first case to present PRP associated with prostate carcinoma. The limited number of cases found in literature precludes any meaningful interpretation of data about PRP as paraneoplastic syndrome. Nevertheless, the authors suggest that PRP can be considered a paraneoplastic syndrome; therefore, tumor screening is mandatory in cases presenting this disease.

Acknowledgements

Professional editing, linguistic and technical assistance performed by Individual Service Provider Irina Radu, certified translator in Medicine and Pharmacy.

Funding

No funding was received.

Availability of data and materials

All data generated or analyzed during this study are included in this published article.

Authors' contributions

GLF was responsible for the clinical management of the patient, the data evaluation and analysis, and the writing of the manuscript. DB contributed to the microscopic examination, the analysis of the data, the corrections and the preparation of the manuscript. CC contributed to the database research and the writing of the manuscript. LF performed the biopsy and contributed to the data analysis, the corrections, the preparation of the manuscript and the database research. All authors read and approved the final manuscript.

Ethics approval and consent to participate

The Ethics approval was obtained from the Ethics Committee for Research of the University of Medicine and Pharmacy (Târgu Mureş, Romania) (approval nos. 24/2016). Written informed consent of the patient was obtained.

Consent for publication

Written informed consent of the patient has been obtained.

Competing interests

The authors declare that they have no competing interests.

Authors' information

GLF: Associate Professor of Dermatology, Dermatology Department, University of Medicine and Pharmacy, Dermatology Clinic, Târgu Mureş, Romania.

References

1 

Wang D, Chong VC, Chong WS and Oon HH: A review on pityriasis rubra pilaris. Am J Clin Dermatol. 19:377–390. 2018. View Article : Google Scholar : PubMed/NCBI

2 

Batinac T, Kujundzić M, Peternel S, Cabrijan L, Troselj-Vukić B and Petranović D: Pityriasis rubra pilaris in association with laryngeal carcinoma. Clin Exp Dermatol. 34:e917–e919. 2009. View Article : Google Scholar : PubMed/NCBI

3 

Griffiths WA: Pityriasis rubra pilaris. Clin Exp Dermatol. 5:105–112. 1980. View Article : Google Scholar : PubMed/NCBI

4 

Auffret N, Quint L, Domart P, Dubertret L, Lecam JY and Binet O: Pityriasis rubra pilaris in a patient with human immunodeficiency virus infection. J Am Acad Dermatol. 27:260–261. 1992. View Article : Google Scholar : PubMed/NCBI

5 

Blauvelt A, Nahass GT, Pardo RJ and Kerdel FA: Pityriasis rubra pilaris and HIV infection. J Am Acad Dermatol. 24:703–705. 1991. View Article : Google Scholar : PubMed/NCBI

6 

Martin AG, Weaver CC, Cockerell CJ and Berger TG: Pityriasis rubra pilaris in the setting of HIV infection: Clinical behaviour and association with explosive cystic acne. Br J Dermatol. 126:617–620. 1992. View Article : Google Scholar : PubMed/NCBI

7 

Miralles ES, Núñez M, De Las Heras ME, Pérez B, Moreno R and Ledo A: Pityriasis rubra pilaris and human immunodeficiency virus infection. Br J Dermatol. 133:990–993. 1995. View Article : Google Scholar : PubMed/NCBI

8 

Bar-Ilan E, Gat A, Sprecher E and Zeeli T: Paraneoplastic pityriasis rubra pilaris: Case report and literature review. Clin Exp Dermatol. 42:54–57. 2017. View Article : Google Scholar : PubMed/NCBI

9 

Remedios IM, Jensen JD, Beckum K, McKay K and Kissel R: Paraneoplastic pityriasis rubra pilaris as the presenting manifestation of metastatic squamous cell carcinoma. J Drugs Dermatol. 13:610–612. 2014.PubMed/NCBI

10 

Kurzydlo AM and Gillespie R: Paraneoplastic pityriasis rubra pilaris in association with bronchogenic carcinoma. Australas J Dermatol. 45:130–132. 2004. View Article : Google Scholar : PubMed/NCBI

11 

Garretson CB, Machan ML, Krejci-Manwaring J, Aires D and Tonkovic-Capin V: Letter: Adenocarcinoma of the lung associated with pityriasis rubra pilaris. Dermatol Online J. 17:14–17. 2011.PubMed/NCBI

12 

Sánchez-Regaña M, López-Gil F, Salleras M and Umbert P: Pityriasis rubra pilaris as the initial manifestation of internal neoplasia. Clin Exp Dermatol. 20:436–438. 1995. View Article : Google Scholar : PubMed/NCBI

13 

Batchelor RJ, Yung A, Merchant W and Goodfield MJ: Pityriasis rubra pilaris as the initial presentation of renal cell carcinoma? Clin Exp Dermatol. 30:442–443. 2005. View Article : Google Scholar : PubMed/NCBI

14 

Sharma S, Weiss GR and Paulger B: Pityriasis rubra pilaris as an initial presentation of hepatocellular carcinoma. Dermatology. 194:166–167. 1997. View Article : Google Scholar : PubMed/NCBI

15 

Reinhardt LA and Rosen T: Pityriasis rubra pilaris as the initial manifestation of leukemia. Cutis. 31:100–102. 1983.PubMed/NCBI

16 

Roger J, Burg G, Miller K and Lanz U: Pityriasis rubra pilaris-artiges Vorstadium eines Sezary-Syndroms. Syndroms (Pityriasis rubra pilaris the precursor of a Sezaryís syndrome). Z Hautkr. 66:1046–1050. 1991.(In German).

17 

Tannenbaum CB, Billick RC and Srolovitz H: Multiple cutaneous malignancies in a patient with pityriasis rubra pilaris and focal acantholytic dyskeratosis. J Am Acad Dermatol. 35:781–782. 1996. View Article : Google Scholar : PubMed/NCBI

18 

Huynh NT, Hunt MJ, Cachia AR and Veness MJ: Merkel cell carcinoma and multiple cutaneous squamous cell carcinomas in a patient with pityriasis rubra pilaris. Australas J Dermatol. 43:48–51. 2002. View Article : Google Scholar : PubMed/NCBI

19 

Abdel-Azim NE, Ismail SA and Fathy E: Differentiation of pityriasis rubra pilaris from plaque psoriasis by dermoscopy. Arch Dermatol Res. 309:311–314. 2017. View Article : Google Scholar : PubMed/NCBI

20 

Price L and Lesesky E: Pityriasis rubra pilaris and severe hypereosinophilia. Cutis. 100:E6–E7. 2017.PubMed/NCBI

21 

Fekete GL, Cotoi OS and Fekete JE: Multiple nodular cutaneous metastases as the first clinical sign of signet ring cell gastric carcinoma: Case report. Acta Dermatovenerol Croat. 20:34–37. 2012.PubMed/NCBI

22 

Neagu M, Caruntu C, Constantin C, Boda D, Zurac S, Spandidos DA and Tsatsakis AM: Chemically induced skin carcinogenesis: Updates in experimental models (Review). Oncol Rep. 35:2516–2528. 2016. View Article : Google Scholar : PubMed/NCBI

23 

Boda D: Cellomics as integrative omics for cancer. Curr Proteomics. 10:237–245. 2013. View Article : Google Scholar

24 

Neagu M, Constantin C, Tanase C and Boda D: Patented biomarker panels in early detection of cancer. Recent Pat Biomark. 1:10–24. 2011. View Article : Google Scholar

Related Articles

  • Abstract
  • View
  • Download
  • Twitter
Copy and paste a formatted citation
Spandidos Publications style
Fekete GL, Boda D, Căruntu C and Fekete L: Paraneoplastic pityriasis rubra pilaris in association with prostate carcinoma: A case report and literature review. Exp Ther Med 18: 5052-5055, 2019.
APA
Fekete, G.L., Boda, D., Căruntu, C., & Fekete, L. (2019). Paraneoplastic pityriasis rubra pilaris in association with prostate carcinoma: A case report and literature review. Experimental and Therapeutic Medicine, 18, 5052-5055. https://doi.org/10.3892/etm.2019.8169
MLA
Fekete, G. L., Boda, D., Căruntu, C., Fekete, L."Paraneoplastic pityriasis rubra pilaris in association with prostate carcinoma: A case report and literature review". Experimental and Therapeutic Medicine 18.6 (2019): 5052-5055.
Chicago
Fekete, G. L., Boda, D., Căruntu, C., Fekete, L."Paraneoplastic pityriasis rubra pilaris in association with prostate carcinoma: A case report and literature review". Experimental and Therapeutic Medicine 18, no. 6 (2019): 5052-5055. https://doi.org/10.3892/etm.2019.8169
Copy and paste a formatted citation
x
Spandidos Publications style
Fekete GL, Boda D, Căruntu C and Fekete L: Paraneoplastic pityriasis rubra pilaris in association with prostate carcinoma: A case report and literature review. Exp Ther Med 18: 5052-5055, 2019.
APA
Fekete, G.L., Boda, D., Căruntu, C., & Fekete, L. (2019). Paraneoplastic pityriasis rubra pilaris in association with prostate carcinoma: A case report and literature review. Experimental and Therapeutic Medicine, 18, 5052-5055. https://doi.org/10.3892/etm.2019.8169
MLA
Fekete, G. L., Boda, D., Căruntu, C., Fekete, L."Paraneoplastic pityriasis rubra pilaris in association with prostate carcinoma: A case report and literature review". Experimental and Therapeutic Medicine 18.6 (2019): 5052-5055.
Chicago
Fekete, G. L., Boda, D., Căruntu, C., Fekete, L."Paraneoplastic pityriasis rubra pilaris in association with prostate carcinoma: A case report and literature review". Experimental and Therapeutic Medicine 18, no. 6 (2019): 5052-5055. https://doi.org/10.3892/etm.2019.8169
Follow us
  • Twitter
  • LinkedIn
  • Facebook
About
  • Spandidos Publications
  • Careers
  • Cookie Policy
  • Privacy Policy
How can we help?
  • Help
  • Live Chat
  • Contact
  • Email to our Support Team