Spandidos Publications Logo
  • About
    • About Spandidos
    • Aims and Scopes
    • Abstracting and Indexing
    • Editorial Policies
    • Reprints and Permissions
    • Job Opportunities
    • Terms and Conditions
    • Contact
  • Journals
    • All Journals
    • Oncology Letters
      • Oncology Letters
      • Information for Authors
      • Editorial Policies
      • Editorial Board
      • Aims and Scope
      • Abstracting and Indexing
      • Bibliographic Information
      • Archive
    • International Journal of Oncology
      • International Journal of Oncology
      • Information for Authors
      • Editorial Policies
      • Editorial Board
      • Aims and Scope
      • Abstracting and Indexing
      • Bibliographic Information
      • Archive
    • Molecular and Clinical Oncology
      • Molecular and Clinical Oncology
      • Information for Authors
      • Editorial Policies
      • Editorial Board
      • Aims and Scope
      • Abstracting and Indexing
      • Bibliographic Information
      • Archive
    • Experimental and Therapeutic Medicine
      • Experimental and Therapeutic Medicine
      • Information for Authors
      • Editorial Policies
      • Editorial Board
      • Aims and Scope
      • Abstracting and Indexing
      • Bibliographic Information
      • Archive
    • International Journal of Molecular Medicine
      • International Journal of Molecular Medicine
      • Information for Authors
      • Editorial Policies
      • Editorial Board
      • Aims and Scope
      • Abstracting and Indexing
      • Bibliographic Information
      • Archive
    • Biomedical Reports
      • Biomedical Reports
      • Information for Authors
      • Editorial Policies
      • Editorial Board
      • Aims and Scope
      • Abstracting and Indexing
      • Bibliographic Information
      • Archive
    • Oncology Reports
      • Oncology Reports
      • Information for Authors
      • Editorial Policies
      • Editorial Board
      • Aims and Scope
      • Abstracting and Indexing
      • Bibliographic Information
      • Archive
    • Molecular Medicine Reports
      • Molecular Medicine Reports
      • Information for Authors
      • Editorial Policies
      • Editorial Board
      • Aims and Scope
      • Abstracting and Indexing
      • Bibliographic Information
      • Archive
    • World Academy of Sciences Journal
      • World Academy of Sciences Journal
      • Information for Authors
      • Editorial Policies
      • Editorial Board
      • Aims and Scope
      • Abstracting and Indexing
      • Bibliographic Information
      • Archive
    • International Journal of Functional Nutrition
      • International Journal of Functional Nutrition
      • Information for Authors
      • Editorial Policies
      • Editorial Board
      • Aims and Scope
      • Abstracting and Indexing
      • Bibliographic Information
      • Archive
    • International Journal of Epigenetics
      • International Journal of Epigenetics
      • Information for Authors
      • Editorial Policies
      • Editorial Board
      • Aims and Scope
      • Abstracting and Indexing
      • Bibliographic Information
      • Archive
    • Medicine International
      • Medicine International
      • Information for Authors
      • Editorial Policies
      • Editorial Board
      • Aims and Scope
      • Abstracting and Indexing
      • Bibliographic Information
      • Archive
  • Articles
  • Information
    • Information for Authors
    • Information for Reviewers
    • Information for Librarians
    • Information for Advertisers
    • Conferences
  • Language Editing
Spandidos Publications Logo
  • About
    • About Spandidos
    • Aims and Scopes
    • Abstracting and Indexing
    • Editorial Policies
    • Reprints and Permissions
    • Job Opportunities
    • Terms and Conditions
    • Contact
  • Journals
    • All Journals
    • Biomedical Reports
      • Information for Authors
      • Editorial Policies
      • Editorial Board
      • Aims and Scope
      • Abstracting and Indexing
      • Bibliographic Information
      • Archive
    • Experimental and Therapeutic Medicine
      • Information for Authors
      • Editorial Policies
      • Editorial Board
      • Aims and Scope
      • Abstracting and Indexing
      • Bibliographic Information
      • Archive
    • International Journal of Epigenetics
      • Information for Authors
      • Editorial Policies
      • Editorial Board
      • Aims and Scope
      • Abstracting and Indexing
      • Bibliographic Information
      • Archive
    • International Journal of Functional Nutrition
      • Information for Authors
      • Editorial Policies
      • Editorial Board
      • Aims and Scope
      • Abstracting and Indexing
      • Bibliographic Information
      • Archive
    • International Journal of Molecular Medicine
      • Information for Authors
      • Editorial Policies
      • Editorial Board
      • Aims and Scope
      • Abstracting and Indexing
      • Bibliographic Information
      • Archive
    • International Journal of Oncology
      • Information for Authors
      • Editorial Policies
      • Editorial Board
      • Aims and Scope
      • Abstracting and Indexing
      • Bibliographic Information
      • Archive
    • Medicine International
      • Information for Authors
      • Editorial Policies
      • Editorial Board
      • Aims and Scope
      • Abstracting and Indexing
      • Bibliographic Information
      • Archive
    • Molecular and Clinical Oncology
      • Information for Authors
      • Editorial Policies
      • Editorial Board
      • Aims and Scope
      • Abstracting and Indexing
      • Bibliographic Information
      • Archive
    • Molecular Medicine Reports
      • Information for Authors
      • Editorial Policies
      • Editorial Board
      • Aims and Scope
      • Abstracting and Indexing
      • Bibliographic Information
      • Archive
    • Oncology Letters
      • Information for Authors
      • Editorial Policies
      • Editorial Board
      • Aims and Scope
      • Abstracting and Indexing
      • Bibliographic Information
      • Archive
    • Oncology Reports
      • Information for Authors
      • Editorial Policies
      • Editorial Board
      • Aims and Scope
      • Abstracting and Indexing
      • Bibliographic Information
      • Archive
    • World Academy of Sciences Journal
      • Information for Authors
      • Editorial Policies
      • Editorial Board
      • Aims and Scope
      • Abstracting and Indexing
      • Bibliographic Information
      • Archive
  • Articles
  • Information
    • For Authors
    • For Reviewers
    • For Librarians
    • For Advertisers
    • Conferences
  • Language Editing
Login Register Submit
  • This site uses cookies
  • You can change your cookie settings at any time by following the instructions in our Cookie Policy. To find out more, you may read our Privacy Policy.

    I agree
Search articles by DOI, keyword, author or affiliation
Search
Advanced Search
presentation
Experimental and Therapeutic Medicine
Join Editorial Board Propose a Special Issue
Print ISSN: 1792-0981 Online ISSN: 1792-1015
Journal Cover
February-2023 Volume 25 Issue 2

Full Size Image

Sign up for eToc alerts
Recommend to Library

Journals

International Journal of Molecular Medicine

International Journal of Molecular Medicine

International Journal of Molecular Medicine is an international journal devoted to molecular mechanisms of human disease.

International Journal of Oncology

International Journal of Oncology

International Journal of Oncology is an international journal devoted to oncology research and cancer treatment.

Molecular Medicine Reports

Molecular Medicine Reports

Covers molecular medicine topics such as pharmacology, pathology, genetics, neuroscience, infectious diseases, molecular cardiology, and molecular surgery.

Oncology Reports

Oncology Reports

Oncology Reports is an international journal devoted to fundamental and applied research in Oncology.

Experimental and Therapeutic Medicine

Experimental and Therapeutic Medicine

Experimental and Therapeutic Medicine is an international journal devoted to laboratory and clinical medicine.

Oncology Letters

Oncology Letters

Oncology Letters is an international journal devoted to Experimental and Clinical Oncology.

Biomedical Reports

Biomedical Reports

Explores a wide range of biological and medical fields, including pharmacology, genetics, microbiology, neuroscience, and molecular cardiology.

Molecular and Clinical Oncology

Molecular and Clinical Oncology

International journal addressing all aspects of oncology research, from tumorigenesis and oncogenes to chemotherapy and metastasis.

World Academy of Sciences Journal

World Academy of Sciences Journal

Multidisciplinary open-access journal spanning biochemistry, genetics, neuroscience, environmental health, and synthetic biology.

International Journal of Functional Nutrition

International Journal of Functional Nutrition

Open-access journal combining biochemistry, pharmacology, immunology, and genetics to advance health through functional nutrition.

International Journal of Epigenetics

International Journal of Epigenetics

Publishes open-access research on using epigenetics to advance understanding and treatment of human disease.

Medicine International

Medicine International

An International Open Access Journal Devoted to General Medicine.

Journal Cover
February-2023 Volume 25 Issue 2

Full Size Image

Sign up for eToc alerts
Recommend to Library

  • Article
  • Citations
    • Cite This Article
    • Download Citation
    • Create Citation Alert
    • Remove Citation Alert
    • Cited By
  • Similar Articles
    • Related Articles (in Spandidos Publications)
    • Similar Articles (Google Scholar)
    • Similar Articles (PubMed)
  • Download PDF
  • Download XML
  • View XML
Case Report

Spontaneous brainstem haemorrhage in a patient with uraemia undergoing initial hemodialysis: A case report

  • Authors:
    • Xiaodong Li
    • Ruili Jia
    • Yancong Guo
  • View Affiliations / Copyright

    Affiliations: Department of Nephrology, Baoding First Central Hospital of Hebei Medical University, Baoding, Hebei 071000, P.R. China
  • Article Number: 90
    |
    Published online on: January 5, 2023
       https://doi.org/10.3892/etm.2023.11789
  • Expand metrics +
Metrics: Total Views: 0 (Spandidos Publications: | PMC Statistics: )
Metrics: Total PDF Downloads: 0 (Spandidos Publications: | PMC Statistics: )
Cited By (CrossRef): 0 citations Loading Articles...

This article is mentioned in:



Abstract

The present study reports the case of an elderly male inpatient with uraemia who had a sudden onset of numbness and weakness in the right limbs during sleep at night, accompanied by blurred and double vision, during the induction of haemodialysis (HD). Cranial computed tomography and magnetic resonance imaging revealed signs of brainstem haemorrhage. Consequently, a proactive treatment approach was adopted for decreasing the blood and intracranial pressures of the patient, and regular HD was continued. The condition of the patient improved, and the limbs showed no impairment of sensation, with normal movement. To the best of our knowledge, this is the first reported case of an inpatient with uraemia undergoing HD who developed a sudden brainstem haemorrhage during the induction phase of HD and completely recovered after conservative treatment. This unusual case deserves the attention of all clinicians, who should pay more attention to the patients with spontaneous brainstem hemorrhage.

Introduction

Chronic kidney disease (CKD) is a rapidly increasing global health burden and an important risk factor for cerebrovascular diseases (1). Idiopathic cerebral haemorrhage (ICH) is the second most common subtype of stroke, and usually results in severe disability or mortality, particularly in elderly Asian males (2). CKD is an independent risk factor for ICH, with ICH being one of the factors leading to a higher mortality rate of stroke among patients with CKD (3). Spontaneous brainstem haemorrhage (SBH) is the most lethal type of ICH, with a poor prognosis. SBH is one of the common neurosurgery diseases, which may usually manifest with acute and critical onset, poor prognosis and high mortality rate. Its incidence rate is ~10% of cerebral hemorrhage, but the fatality rate is ~65%, depending on the site and amount of the cerebral haemorrhage (4). Though there are differences in its morbidity, the neurological prognosis of the majority of patients is poor. Since surgery is not the recommended treatment strategy for SBH at present, conservative treatment is usually adopted. With the continuous understanding of the disease, as well as the development of imaging technology and the improvement of the diagnosis and treatment, the survival rate of patients with SBH has been continuously improved, and a few patients can be cured after treatment (4). However, the specific treatment method remains controversial worldwide (4).

The present study reports the case of an elderly male patient with uraemia who suffered from ICH at night in hospital, during the induction of haemodialysis (HD). On the basis of neurosurgery guidance, an active treatment approach was adopted for controlling the blood and intracranial pressures of the patient, and to continue regular HD. The condition of the patient improved, and the limbs showed no impairment of sensation, with normal movement lastly.

Case report

A 67-year-old Han Chinese male patient was admitted to Nephrology Department of Baoding First Central Hospital (Baoding, China) on 25th May 2022. The patient had been diagnosed with intermittent bilateral lower limb oedema 9 years before, and was experiencing chest tightness for the past 1 month. He was diagnosed with coronary atherosclerotic heart disease 4 years before, and with hypertension 2 years ago, with a maximum blood pressure (BP) of 190/100 mmHg; however, his BP was not monitored regularly. When he was diagnosed with bilateral lower extremity oedema 9 years before in our hospital, he had a urine protein level of 3+ (normal range, negative), 24-h urine protein level of 9.1 g (normal range, <150 mg), serum creatinine level of 89 µmol/l (normal range, 46.2-78.3), cholesterol level of 13.3 mmol/l (normal range, 3.2-5.2), triglyceride level of 2.40 mmol/l (normal range, 0.25-1.71), albumin level of 23.37 g/l (normal range, 40-55) and total protein level of 49.9 g/l (normal range, 60-85). The patient was diagnosed with nephrotic syndrome but refused to undergo renal biopsy. Methylprednisolone (40 mg once daily) and compounded cyclophosphamide (50 mg twice daily) were recommended. His condition improved following the above treatment and he was subsequently discharged. However, he was not followed up regularly as an outpatient. He was diagnosed with elevated creatinine levels 2 years ago and received oral herbal medications for around 1 year, but the specific name, dosage and frequency were unknown. Without regular re-evaluation of renal function. The patient developed chest tightness with weakness and shortness of breath 10 days prior to presentation to the hospital, which worsened after activity, and was admitted to our hospital for further treatment.

Physical examination at admission revealed the following findings: BP of 165/108 mmHg, anaemic appearance, heart rate of 105 beats/min, and facial and bilateral lower limb oedema. Ultrasonography showed that both kidneys were shrunken with diffuse lesions. The results of major laboratory tests conducted at the hospital are shown in Table I. In view of the condition that the patient had successively suffered from multiple chronic diseases, his clinical diagnoses at admission included the following: i) Chronic renal failure, uraemia and renal anaemia; ii) coronary heart disease; iii) heart failure; and iv) hypertensive disease (grade 3, high risk of coronary heart disease). On 11th May 2022, the patient underwent HD via right internal jugular vein catheterisation, and received treatment as follows: Induced hemodialysis, lowering BP, improving heart function and correcting anaemia and electrolyte disorders. His condition gradually improved.

Table I

Results of laboratory examination change in hospital.

Table I

Results of laboratory examination change in hospital.

InvestigationNormal rangeDay 1Day 3Day 7Day 14
Hb (g/l)110.0-150.063.568.378.485.9
Plt (x109/l)125.0-350.0342.9295.4312.4288.2
Alb (g/l)40.0-55.035.132.735.438.1
Urea (mmol/l)2.6-7.538.118.324.915.7
CREA (µmol/l)41.0-73.01,076.7665.7485.2514.3
Serum sodium (mmol/l)137.0-145.0134.7139.6142.3139.6
Serum potassium (mmol/l)3.5-5.35.94.85.14.7
Serum calcium (mmol/l)2.1-2.51.81.92.02.1
Serum phosphorus (mmol/l)0.8-1.52.11.71.41.3
BNP (pg/ml)0.0-100.04,185.22,645.91,856.71,223.6
dimer (mg/l)0.0-0.52.11.61.20.9
CRP (mg/l)0.0-10.010.39.38.57.2
Fbg (g/l)1.8-3.54.64.23.93.4
LVEF (%)45.0-55.038.042.045.051.0

[i] Hb, hemoglobin; Plt, platelet; Alb, albumin; CREA, creatinine; BNP, brain natriuretic peptide; Fbg, fibrinogen; CRP, C-reactive protein; LVEF, left ventricular ejection fraction.

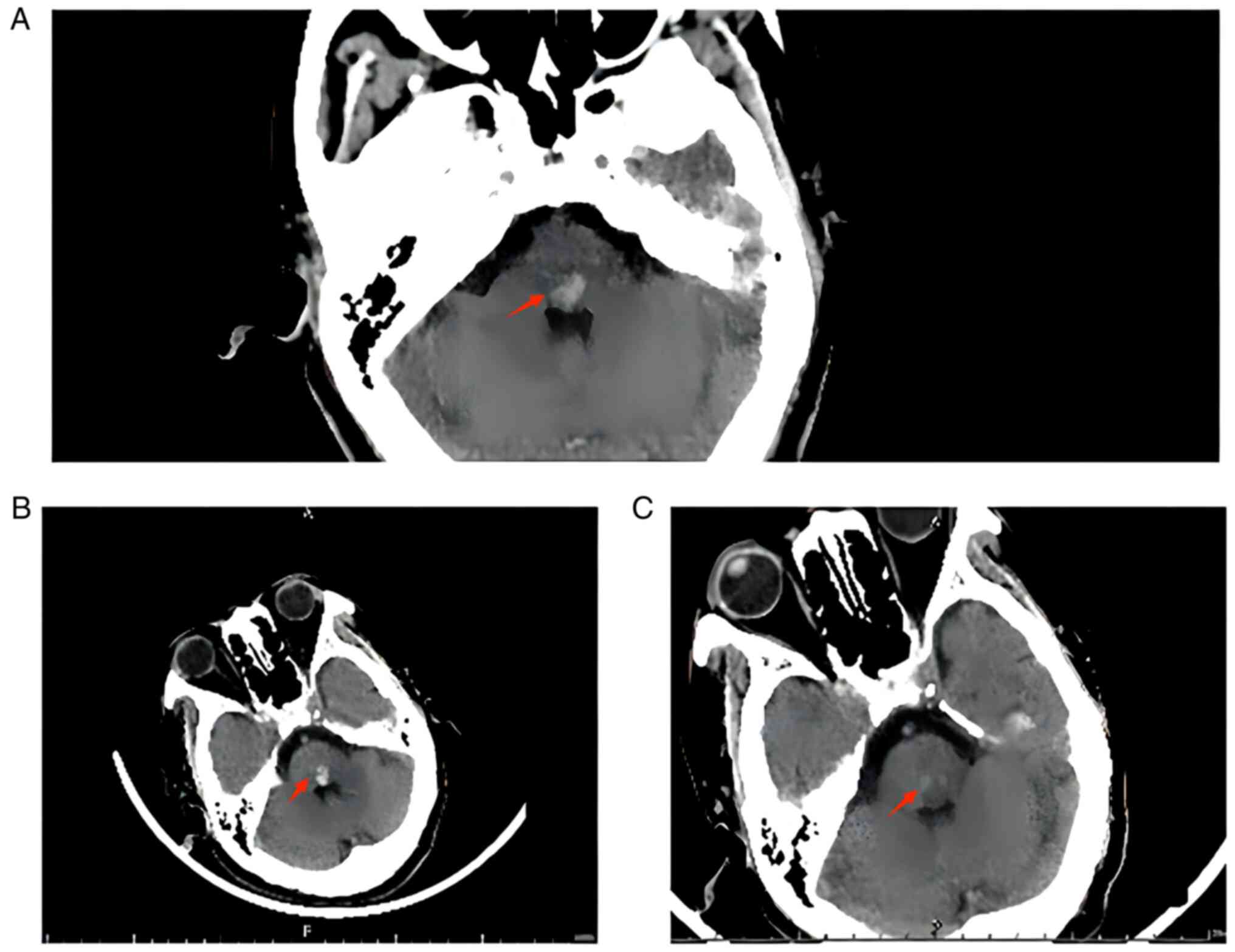
On 14th May 2022, the patient had a sudden onset of weakness and numbness in the right limb during sleep at night, which was accompanied by blurred and double vision, without consciousness or limb movement disorder, and his BP was 186/105 mmHg. Physical examination showed normal muscle strength of the upper right limb and grade IV muscle strength of the lower right limb. Bilateral pathological signs were absent. Urgent cranial computed tomography (CT) (Fig. 1A) showed high-density brainstem shadow, and brainstem haemorrhage was considered. The neurosurgery department was therefore consulted, and the patient was suspected to have a brainstem haemorrhage of <5 ml. Since the patient was conscious and did not have any limb movement disorder, surgery was contraindicated; instead, bed rest and symptomatic antihypertensive treatment were recommended. The patient was treated with absolute bed rest, active BP monitoring to decrease BP, intravenous infusion of glycerol fructose and tranexamic acid, regular HD three times a week, and anticoagulation with citrate during HD.

Figure 1

(A) Brain CT on 14th May 2022 showed patchy high density in the brainstem with clear borders, which was considered to be a haemorrhage. (B) Brain CT on 17th May showed patchy high density in the brainstem with clear borders, which was considered to be a haemorrhage slightly increased compared with that of 14th May. (C) Brain CT on 27th May showed patchy high density in the brainstem with clear borders, which indicated that the haemorrhage appeared to be decreasing in extent and had a reduced density compared with that of 17th May. The red arrow shows the haemorrhage site. CT, computed tomography.

On 17th May, re-evaluation via cranial CT (Fig. 1B) showed that the area of brainstem high density was slightly larger than that observed in the previous scan. In addition, the patient experienced more discomfort, which was accompanied by intermittent drowsiness. However, he did not have any limb movement disorder, and he received intravenous infusion of human serum albumin and diuretic therapy. On 21st May, his condition improved, since the weakness and numbness on the right side were significantly reduced, and he did not have double vision. However, the patient refused to undergo cranial CT owing to personal reasons. Glycerol fructose infusion was discontinued, but the rest of the treatment continued to be the same. On 27th May, cranial CT (Fig. 1C) showed high density in the brainstem, which was significantly lower than that previously observed. Although the patient had numbness in the right limb, he did not have other symptoms of discomfort, and could walk normally.

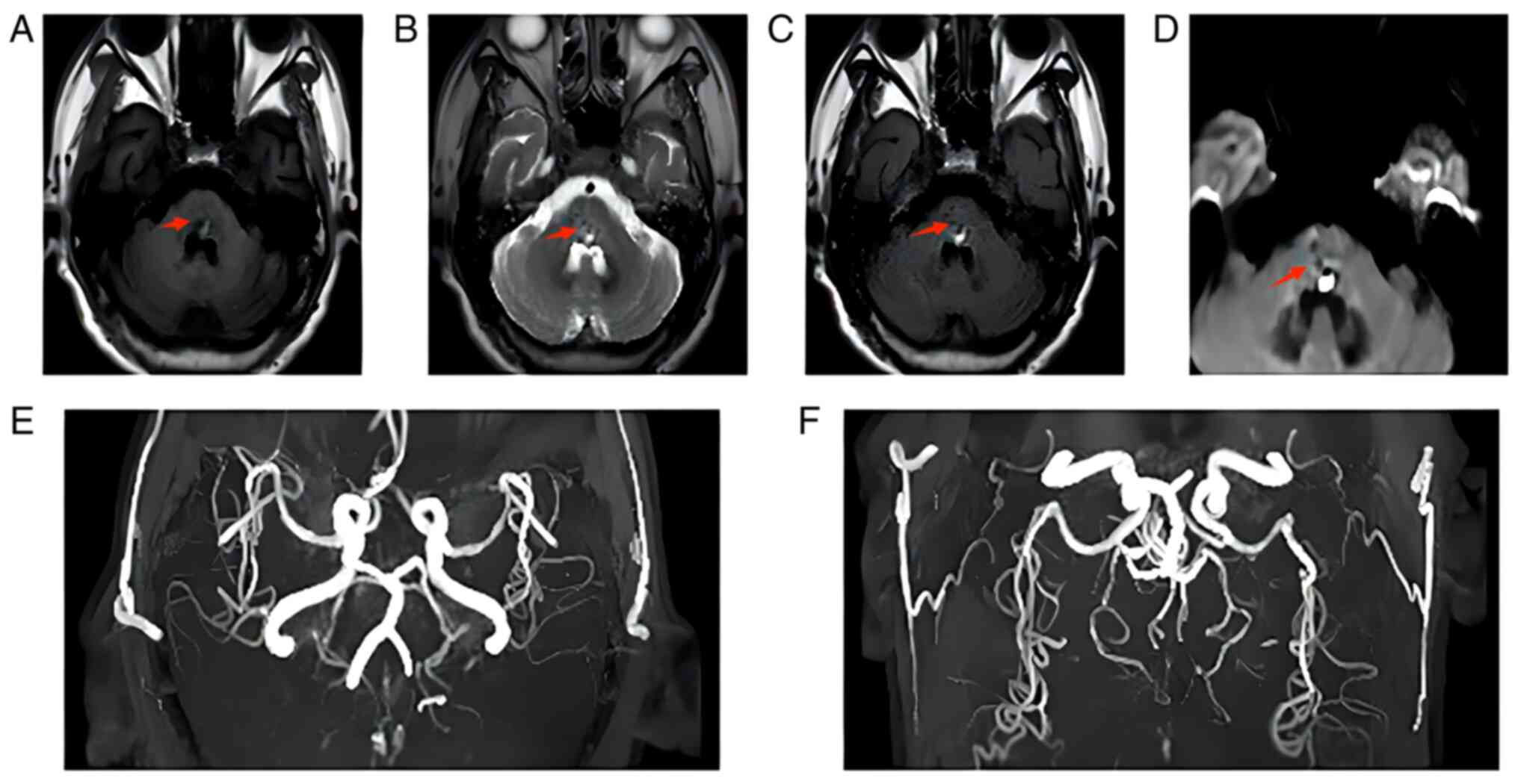
On 31st May, cranial magnetic resonance imaging and magnetic resonance angiography (Fig. 2A-F) showed dominant mixed-signal shadow in the cerebral bridge with a low signal. The left middle cerebral artery was slightly narrowed, and the posterior cerebral artery was stiffened bilaterally, which was considered cerebral arteriosclerosis. The patient still had numbness in the right limb and was then treated with rehabilitation acupuncture, which was the stimulation of specific acupuncture points along the skin of the body using thin needles. It gradually improved his numbness in the right limb, and subsequently he received regular HD.

Figure 2

Cranial magnetic resonance imaging + magnetic resonance angiography on 31st May showed a piece of (A) short T1 and (B) long T2 dominant mixed signal shadow in the cerebral bridge, surrounded by low signal. (C) fluid attenuated inversion recovery and (D) diffusion-weighted imaging showed high signal locally, and cerebral bridge haematoma was considered. (E and F) The lumen of the M1 segment of the left middle cerebral artery was slightly narrowed, and the posterior cerebral artery was stiffened bilaterally, with uneven lumen thickness and slightly reduced branches, which indicated cerebral arteriosclerosis. The red arrow shows the haemorrhage site.

Discussion

CKD and stroke are closely related, and the prevalence and mortality of stroke are higher among patients with CKD, particularly in those with uraemia (5). The specific pathogenic mechanism of stroke can be attributed to both traditional and non-traditional factors. The former include hypertension, diabetes mellitus, carotid artery disease, heart failure and dyslipidaemia, while the latter include proteinuria, uraemic toxins, anaemia and mineral bone disease (1). In patients with uraemia, the levels of toxins such as urea, creatinine and guanidine normally increase, which may affect the adhesion and production of platelets. In addition, the number of anticoagulant substances decreases, and the anticoagulant effect is weakened, which may result to bleeding. Furthermore, HD causes pathological alterations in haemodynamics in patients with stroke undergoing HD, resulting in cerebral underperfusion, enhanced atherosclerosis and greater BP fluctuations, which further enhance the risk of stroke, particularly during the early stages of HD (6).

SBH has the worst prognosis of all cerebral haemorrhages and lacks uniform diagnostic criteria (7). The clinical diagnosis is mainly based on a history of hypertension, clinical manifestations and imaging, and the exclusion of structural cerebrovascular lesions and haemorrhagic brain tumor, which may be diagnosed as hypertensive brainstem haemorrhage. Since hypertensive brainstem haemorrhage mainly occurs in the cerebral bridge, it is also called primary cerebral bridge haemorrhage (7).

The present elderly male patient, who had a 9-year history of nephrotic syndrome, a 4-year history of coronary artery disease and a 2-year history of hypertension, was admitted to the hospital with uraemia combined with heart failure, and was treated with conventional HD. During the initial phase of HD, the patient suddenly experienced SBH at night during sleep, with a significant increase in BP. SBH may have occurred due to traditional factors such as hypertension, heart failure and hyperlipidaemia, or to non-traditional factors such as proteinuria, uraemic toxins or anaemia. In addition, it may be associated with the pathological alterations in haemodynamics caused by HD. Sudden onset of SBH during night-time sleep is considered to be associated with a significant increase in nocturnal BP. Clinical guidelines recommend 24-h ambulatory BP monitoring in patients with CKD to detect nocturnal hypertension and to help clinicians to treat it with antihypertensive therapy (8,9).

The incidence of SBH is low, accounting for 5-10% of all ICH cases. SBH is characterised by acute onset, rapid deterioration and a high mortality rate (56-61.2%); hence, it is the worst type of haemorrhagic stroke. The mortality rate of SBH varies greatly due to differences in the bleeding site and quantity; however, the prognosis of the majority of patients remains markedly poor (4,10). The treatment of SBH is usually conservative or surgical (craniotomy, puncture or drainage), which remains controversial (11,12). The majority of patients with SBH who are hospitalised choose conservative medical treatment due to unstable vital signs, high surgical and complications, high costs, and lack of large-sample, high-level, evidence-based assessment of surgical efficacy (13). However, irrespectively of the treatment approach, the neurological recovery of patients is usually poor.

In the present case study, the patient was conscious during the onset of SBH, and CT revealed <5 ml cranial bleeding. Since the patient had uraemia, hypertension and coronary disease, surgery was relatively contraindicated, and conservative treatment was considered more suitable instead. Tranexamic acid may be safely and effectively administrated for acute spontaneous intracerebral hemorrhage (14). On the other hand, hyponatremia (Na <135 mmol/l) may be easily overlooked in certain occasions, and it has been shown to correlate with worse outcome in various studies on patients with SBH (15). Thus, it is necessary to rectify hyponatremia, but not too rapidly, as otherwise it may cause demyelination of the pons and aggravate nervous system damage. Therefore, serum sodium levels should be monitored, and the treatment should be adjusted accordingly.

Moreover, intravenous dehydrating agents are often used to correct plasma osmotic level and reduce intracranial pressure during the acute period in patients with intracerebral hemorrhage. Those dehydrating agents generally include albumin, dexamethasone, mannitol and glycerin fructose. Mannitol and glycerol fructose are the most commonly used in clinical practice. Intravenous infusion of mannitol has a rapid effect and a relatively short drug action time, but it is not suitable for patients with renal insufficiency. By contrast, glycerin fructose has a slower effect, but its drug action time is longer, which is particularly suitable for patients with renal insufficiency. Intravenous albumin or dexamethasone can also be applied to increase clinical efficacy apart from the ones mentioned above. In brief, the specific type and dosage of drugs should be selected according to the patient's condition, including the quantity and location of intracranial hemorrhage, and the patient's state of consciousness (13).

The present patient clinically manifested with hypoalbuminemia, hyperkalemia, hypocalcemia and hyperphosphatemia (Table I) before dialysis, which is the common presentation in patients with uraemia. The aforementioned laboratory abnormalities were significantly improved after inducing hemodialysis. However, the patient suffered from SBH at sleep. Although the patient showed early-stage exacerbation, his condition gradually improved after symptomatic treatment, and numbness in the limbs at a later stage was relieved via acupuncture. Finally, the patient recovered completely without sequelae of limb movement or sensory impairment. Therefore, conservative medical treatment appears to be more appropriate for patients with SBH without impaired consciousness at the onset and with less bleeding (4,16).

In conclusion, to the best of our knowledge, this is the first case that reported sudden onset of SBH in a patient with uraemia during the induction of HD. Although this patient still need to be improved on his treatment in acute stage of SBH, the present study may have clinical guidance for other patients similar to him. Conservative treatment is suitable for mild cases of SBH, but not severe ones. Since the onset of the SBH is sudden, and the therapeutic effects and prognosis are usually poor, prevention is especially important. It is of great clinical importance to actively screen the risk factors of SBH in patients with CKD, and to promptly control hypertension, hyperglycaemia and hyperlipidaemia. Hence, systematic evaluation of the aforementioned factors can help clinicians to select an appropriate treatment strategy and predict prognosis (17). SBH may cause serious and extensive damage of neurological function, so it is unlikely to be fundamentally improved through one prescription, which requires persistent exploration and the integration of multidisciplinary technologies (16). In the future, more delicate internal- medicine and surgical techniques will be applied to reduce the damage of those patients and enhance recovery.

Acknowledgements

Not applicable.

Funding

Funding: No funding was received.

Availability of data and materials

The datasets used and/or analyzed during the current study are available from the corresponding author on reasonable request.

Authors' contributions

XL conceived and designed the study. YG acquired the data. RJ, XL and YG analyzed and interpreted the data and drafted the manuscript. XL and RJ confirm the authenticity of all the raw data. All authors critically revised the manuscript for important intellectual content. All authors read and approved the final manuscript.

Ethics approval and consent to participate

The treatment of this patient was conducted in accordance with established clinical practice standards (1,7) following his fully informed written consent. The patient's privacy was respected in this case report by eliminating any personal identifiers, in compliance with the Declaration of Helsinki.

Patient consent for publication

Written consent was obtained for the publication of the patient's data and images in the present case report.

Competing interests

The authors declare that they have no competing interests.

References

1 

Kelly DM, Ademi Z, Doehner W, Lip GYH, Mark P, Toyoda K, Wong CX, Sarnak M, Cheung M, Herzog CA, et al: Chronic kidney disease and cerebrovascular disease: Consensus and guidance from a KDIGO controversies conference. Stroke. 52:e328–e346. 2021.PubMed/NCBI View Article : Google Scholar

2 

An SJ, Kim TJ and Yoon BW: Epidemiology, risk factors, and clinical features of intracerebral hemorrhage: An update. J Stroke. 19:3–10. 2017.PubMed/NCBI View Article : Google Scholar

3 

Wyld M and Webster AC: Chronic kidney disease is a risk factor for stroke. J Stroke Cerebrovasc Dis. 30(105730)2021.PubMed/NCBI View Article : Google Scholar

4 

Chen D, Tang Y, Nie H, Zhang P, Wang W, Dong Q, Wu G, Xue M, Tang Y, Liu W, et al: Primary brainstem hemorrhage: A review of prognostic factors and surgical management. Front Neurol. 12(727962)2021.PubMed/NCBI View Article : Google Scholar

5 

Hanna RM, Ferrey A, Rhee CM and Kalantar-Zadeh K: Renal-cerebral pathophysiology: The interplay between chronic kidney disease and cerebrovascular disease. J Stroke Cerebrovasc Dis. 30(105461)2021.PubMed/NCBI View Article : Google Scholar

6 

Aono T, Shinya Y, Miyawaki S, Sugiyama T, Kumagai I, Takenobu A, Shin M, Saito N and Teraoka A: Changes in the risk of stroke in dialysis patients: A retrospective analysis over the last 40 years. Toxins (Basel). 13(350)2021.PubMed/NCBI View Article : Google Scholar

7 

Cerebrovascular disease group of Neurosurgery branch in Chinese Medical Association, cerebrovascular surgery group of neurosurgeon branch in Chinese Medical Doctor Association. Consensus of diagnosis and treatment of primary brainstem hemorrhage in Chinese neurosurgery. National Med J China. 102:1068–1075. 2022.PubMed/NCBI View Article : Google Scholar

8 

Cheung AK, Chang TI, Cushman WC, Furth SL, Hou FF, Ix JH, Knoll GA, Muntner P, Pecoits-Filho R, Sarnak MJ, et al: Executive summary of the KDIGO 2021 clinical practice guideline for the management of blood pressure in chronic kidney disease. Kidney Int. 99:559–569. 2021.PubMed/NCBI View Article : Google Scholar

9 

Mayeda L and Rivara MB: Nighttime hypertension in chronic kidney disease-are we in the dark without ambulatory blood pressure monitoring? JAMA Netw Open. 5(e2214469)2022.PubMed/NCBI View Article : Google Scholar

10 

Guo X, Ma L, Li H, Qi X, Wei Y, Duan Z, Xu J, Wang C, You C and Tian M: Brainstem iron overload and injury in a rat model of brainstem hemorrhage. J Stroke Cerebrovasc Dis. 29(104956)2020.PubMed/NCBI View Article : Google Scholar

11 

Zhang S, Chen T, Han B and Zhu W: A retrospective study of puncture and drainage for primary brainstem hemorrhage with the assistance of a surgical robot. Neurologist. 16:2022.PubMed/NCBI View Article : Google Scholar : (Epub ahead of print).

12 

Li Y, Wu DX, Liu JF, Li H, Wang JW, Li YX, Guo H, Liu W, Ji L, Chen LY, et al: Analysis of the curative effect and influencing factors of stereotactic aspiration in the treatment of primary brainstem haemorrhage. J Clin Neurosci. 89:122–127. 2021.PubMed/NCBI View Article : Google Scholar

13 

Chao Y and Tao CY: History, present and future of diagnosis and treatment of primary brainstem hemorrhage. Chin J Contemp Neurol Neurosurg. 21:71–75. 2021.

14 

Pszczolkowski S, Sprigg N, Woodhouse LJ, Gallagher R, Swienton D, Law ZK, Casado AM, Roberts I, Werring DJ, Al-Shahi Salman R, et al: Effect of tranexamic acid administration on remote cerebral ischemic lesions in acute spontaneous intracerebral hemorrhage: A substudy of a randomized clinical trial. JAMA Neurol. 79:468–477. 2022.PubMed/NCBI View Article : Google Scholar

15 

Hannon MJ and Thompson CJ: Neurosurgical hyponatremia. J Clin Med. 3:1084–104. 2014.PubMed/NCBI View Article : Google Scholar

16 

Ge HF, Zhang CY, Y Z, Li J, Chen YH, Yu J, et al: Analysis of independent risk factors in deaths of patients with primary brainstem hemorrhage. Chin Neurosurg J. 35:588–891. 2019.

17 

Zhang SL, Huang JS, Luo WW, Wang XL, Wu D, Wei LF, et al: Clinical characteristics and prognostic analysis of hypertensive brain stem hemorrhage. Chin J Neuroimmunol Neurol. 27:317–321. 2020.

Related Articles

  • Abstract
  • View
  • Download
  • Twitter
Copy and paste a formatted citation
Spandidos Publications style
Li X, Jia R and Guo Y: Spontaneous brainstem haemorrhage in a patient with uraemia undergoing initial hemodialysis: A case report. Exp Ther Med 25: 90, 2023.
APA
Li, X., Jia, R., & Guo, Y. (2023). Spontaneous brainstem haemorrhage in a patient with uraemia undergoing initial hemodialysis: A case report. Experimental and Therapeutic Medicine, 25, 90. https://doi.org/10.3892/etm.2023.11789
MLA
Li, X., Jia, R., Guo, Y."Spontaneous brainstem haemorrhage in a patient with uraemia undergoing initial hemodialysis: A case report". Experimental and Therapeutic Medicine 25.2 (2023): 90.
Chicago
Li, X., Jia, R., Guo, Y."Spontaneous brainstem haemorrhage in a patient with uraemia undergoing initial hemodialysis: A case report". Experimental and Therapeutic Medicine 25, no. 2 (2023): 90. https://doi.org/10.3892/etm.2023.11789
Copy and paste a formatted citation
x
Spandidos Publications style
Li X, Jia R and Guo Y: Spontaneous brainstem haemorrhage in a patient with uraemia undergoing initial hemodialysis: A case report. Exp Ther Med 25: 90, 2023.
APA
Li, X., Jia, R., & Guo, Y. (2023). Spontaneous brainstem haemorrhage in a patient with uraemia undergoing initial hemodialysis: A case report. Experimental and Therapeutic Medicine, 25, 90. https://doi.org/10.3892/etm.2023.11789
MLA
Li, X., Jia, R., Guo, Y."Spontaneous brainstem haemorrhage in a patient with uraemia undergoing initial hemodialysis: A case report". Experimental and Therapeutic Medicine 25.2 (2023): 90.
Chicago
Li, X., Jia, R., Guo, Y."Spontaneous brainstem haemorrhage in a patient with uraemia undergoing initial hemodialysis: A case report". Experimental and Therapeutic Medicine 25, no. 2 (2023): 90. https://doi.org/10.3892/etm.2023.11789
Follow us
  • Twitter
  • LinkedIn
  • Facebook
About
  • Spandidos Publications
  • Careers
  • Cookie Policy
  • Privacy Policy
How can we help?
  • Help
  • Live Chat
  • Contact
  • Email to our Support Team