Spandidos Publications Logo
  • About
    • About Spandidos
    • Aims and Scopes
    • Abstracting and Indexing
    • Editorial Policies
    • Reprints and Permissions
    • Job Opportunities
    • Terms and Conditions
    • Contact
  • Journals
    • All Journals
    • Oncology Letters
      • Oncology Letters
      • Information for Authors
      • Editorial Policies
      • Editorial Board
      • Aims and Scope
      • Abstracting and Indexing
      • Bibliographic Information
      • Archive
    • International Journal of Oncology
      • International Journal of Oncology
      • Information for Authors
      • Editorial Policies
      • Editorial Board
      • Aims and Scope
      • Abstracting and Indexing
      • Bibliographic Information
      • Archive
    • Molecular and Clinical Oncology
      • Molecular and Clinical Oncology
      • Information for Authors
      • Editorial Policies
      • Editorial Board
      • Aims and Scope
      • Abstracting and Indexing
      • Bibliographic Information
      • Archive
    • Experimental and Therapeutic Medicine
      • Experimental and Therapeutic Medicine
      • Information for Authors
      • Editorial Policies
      • Editorial Board
      • Aims and Scope
      • Abstracting and Indexing
      • Bibliographic Information
      • Archive
    • International Journal of Molecular Medicine
      • International Journal of Molecular Medicine
      • Information for Authors
      • Editorial Policies
      • Editorial Board
      • Aims and Scope
      • Abstracting and Indexing
      • Bibliographic Information
      • Archive
    • Biomedical Reports
      • Biomedical Reports
      • Information for Authors
      • Editorial Policies
      • Editorial Board
      • Aims and Scope
      • Abstracting and Indexing
      • Bibliographic Information
      • Archive
    • Oncology Reports
      • Oncology Reports
      • Information for Authors
      • Editorial Policies
      • Editorial Board
      • Aims and Scope
      • Abstracting and Indexing
      • Bibliographic Information
      • Archive
    • Molecular Medicine Reports
      • Molecular Medicine Reports
      • Information for Authors
      • Editorial Policies
      • Editorial Board
      • Aims and Scope
      • Abstracting and Indexing
      • Bibliographic Information
      • Archive
    • World Academy of Sciences Journal
      • World Academy of Sciences Journal
      • Information for Authors
      • Editorial Policies
      • Editorial Board
      • Aims and Scope
      • Abstracting and Indexing
      • Bibliographic Information
      • Archive
    • International Journal of Functional Nutrition
      • International Journal of Functional Nutrition
      • Information for Authors
      • Editorial Policies
      • Editorial Board
      • Aims and Scope
      • Abstracting and Indexing
      • Bibliographic Information
      • Archive
    • International Journal of Epigenetics
      • International Journal of Epigenetics
      • Information for Authors
      • Editorial Policies
      • Editorial Board
      • Aims and Scope
      • Abstracting and Indexing
      • Bibliographic Information
      • Archive
    • Medicine International
      • Medicine International
      • Information for Authors
      • Editorial Policies
      • Editorial Board
      • Aims and Scope
      • Abstracting and Indexing
      • Bibliographic Information
      • Archive
  • Articles
  • Information
    • Information for Authors
    • Information for Reviewers
    • Information for Librarians
    • Information for Advertisers
    • Conferences
  • Language Editing
Spandidos Publications Logo
  • About
    • About Spandidos
    • Aims and Scopes
    • Abstracting and Indexing
    • Editorial Policies
    • Reprints and Permissions
    • Job Opportunities
    • Terms and Conditions
    • Contact
  • Journals
    • All Journals
    • Biomedical Reports
      • Information for Authors
      • Editorial Policies
      • Editorial Board
      • Aims and Scope
      • Abstracting and Indexing
      • Bibliographic Information
      • Archive
    • Experimental and Therapeutic Medicine
      • Information for Authors
      • Editorial Policies
      • Editorial Board
      • Aims and Scope
      • Abstracting and Indexing
      • Bibliographic Information
      • Archive
    • International Journal of Epigenetics
      • Information for Authors
      • Editorial Policies
      • Editorial Board
      • Aims and Scope
      • Abstracting and Indexing
      • Bibliographic Information
      • Archive
    • International Journal of Functional Nutrition
      • Information for Authors
      • Editorial Policies
      • Editorial Board
      • Aims and Scope
      • Abstracting and Indexing
      • Bibliographic Information
      • Archive
    • International Journal of Molecular Medicine
      • Information for Authors
      • Editorial Policies
      • Editorial Board
      • Aims and Scope
      • Abstracting and Indexing
      • Bibliographic Information
      • Archive
    • International Journal of Oncology
      • Information for Authors
      • Editorial Policies
      • Editorial Board
      • Aims and Scope
      • Abstracting and Indexing
      • Bibliographic Information
      • Archive
    • Medicine International
      • Information for Authors
      • Editorial Policies
      • Editorial Board
      • Aims and Scope
      • Abstracting and Indexing
      • Bibliographic Information
      • Archive
    • Molecular and Clinical Oncology
      • Information for Authors
      • Editorial Policies
      • Editorial Board
      • Aims and Scope
      • Abstracting and Indexing
      • Bibliographic Information
      • Archive
    • Molecular Medicine Reports
      • Information for Authors
      • Editorial Policies
      • Editorial Board
      • Aims and Scope
      • Abstracting and Indexing
      • Bibliographic Information
      • Archive
    • Oncology Letters
      • Information for Authors
      • Editorial Policies
      • Editorial Board
      • Aims and Scope
      • Abstracting and Indexing
      • Bibliographic Information
      • Archive
    • Oncology Reports
      • Information for Authors
      • Editorial Policies
      • Editorial Board
      • Aims and Scope
      • Abstracting and Indexing
      • Bibliographic Information
      • Archive
    • World Academy of Sciences Journal
      • Information for Authors
      • Editorial Policies
      • Editorial Board
      • Aims and Scope
      • Abstracting and Indexing
      • Bibliographic Information
      • Archive
  • Articles
  • Information
    • For Authors
    • For Reviewers
    • For Librarians
    • For Advertisers
    • Conferences
  • Language Editing
Login Register Submit
  • This site uses cookies
  • You can change your cookie settings at any time by following the instructions in our Cookie Policy. To find out more, you may read our Privacy Policy.

    I agree
Search articles by DOI, keyword, author or affiliation
Search
Advanced Search
presentation
Experimental and Therapeutic Medicine
Join Editorial Board Propose a Special Issue
Print ISSN: 1792-0981 Online ISSN: 1792-1015
Journal Cover
January-2024 Volume 27 Issue 1

Full Size Image

Sign up for eToc alerts
Recommend to Library

Journals

International Journal of Molecular Medicine

International Journal of Molecular Medicine

International Journal of Molecular Medicine is an international journal devoted to molecular mechanisms of human disease.

International Journal of Oncology

International Journal of Oncology

International Journal of Oncology is an international journal devoted to oncology research and cancer treatment.

Molecular Medicine Reports

Molecular Medicine Reports

Covers molecular medicine topics such as pharmacology, pathology, genetics, neuroscience, infectious diseases, molecular cardiology, and molecular surgery.

Oncology Reports

Oncology Reports

Oncology Reports is an international journal devoted to fundamental and applied research in Oncology.

Experimental and Therapeutic Medicine

Experimental and Therapeutic Medicine

Experimental and Therapeutic Medicine is an international journal devoted to laboratory and clinical medicine.

Oncology Letters

Oncology Letters

Oncology Letters is an international journal devoted to Experimental and Clinical Oncology.

Biomedical Reports

Biomedical Reports

Explores a wide range of biological and medical fields, including pharmacology, genetics, microbiology, neuroscience, and molecular cardiology.

Molecular and Clinical Oncology

Molecular and Clinical Oncology

International journal addressing all aspects of oncology research, from tumorigenesis and oncogenes to chemotherapy and metastasis.

World Academy of Sciences Journal

World Academy of Sciences Journal

Multidisciplinary open-access journal spanning biochemistry, genetics, neuroscience, environmental health, and synthetic biology.

International Journal of Functional Nutrition

International Journal of Functional Nutrition

Open-access journal combining biochemistry, pharmacology, immunology, and genetics to advance health through functional nutrition.

International Journal of Epigenetics

International Journal of Epigenetics

Publishes open-access research on using epigenetics to advance understanding and treatment of human disease.

Medicine International

Medicine International

An International Open Access Journal Devoted to General Medicine.

Journal Cover
January-2024 Volume 27 Issue 1

Full Size Image

Sign up for eToc alerts
Recommend to Library

  • Article
  • Citations
    • Cite This Article
    • Download Citation
    • Create Citation Alert
    • Remove Citation Alert
    • Cited By
  • Similar Articles
    • Related Articles (in Spandidos Publications)
    • Similar Articles (Google Scholar)
    • Similar Articles (PubMed)
  • Download PDF
  • Download XML
  • View XML
Case Report Open Access

Non‑functional paraganglioma: A case report

  • Authors:
    • Zheng Liu
    • Yang Zhang
    • Xingyuan Zhang
    • Lingqun Kong
  • View Affiliations / Copyright

    Affiliations: Department of Hepatobiliary Surgery, Binzhou Medical University Hospital, Binzhou, Shandong 256603, P.R. China, Department of Hepatobiliary Surgery, Binzhou People's Hospital, Binzhou, Shandong 256603, P.R. China
    Copyright: © Liu et al. This is an open access article distributed under the terms of Creative Commons Attribution License.
  • Article Number: 16
    |
    Published online on: November 16, 2023
       https://doi.org/10.3892/etm.2023.12304
  • Expand metrics +
Metrics: Total Views: 0 (Spandidos Publications: | PMC Statistics: )
Metrics: Total PDF Downloads: 0 (Spandidos Publications: | PMC Statistics: )
Cited By (CrossRef): 0 citations Loading Articles...

This article is mentioned in:



Abstract

Paraganglioma (PGL) usually presents as the elevation of blood pressure and metabolic changes in patients, and its common symptoms are persistent or paroxysmal hypertension. However, some patients have no typical clinical symptoms, such as patients with non‑functional PGL. Therefore, the present study reviewed the literature and summarized the present rare case to provide more accurate and in‑depth help for clinical diagnosis and comprehensive treatment. The case was a 64‑year‑old female with epigastrium malaise for 1 year and aggravation for 7 days. Contrast‑enhanced CT revealed that the soft tissue of the irregular mass was in the front of the kidney on the right abdomen with a clear boundary and the size was ~6.5x5.4x6.6 cm. Large vessels were observed in the interior and edge of the lesion. The present study prepared for retroperitoneal tumour resection according to the diagnosis of PGL. After the operation, the patient recovered smoothly and was discharged from the hospital. As of March 2023, the general condition of the patient is good.

Introduction

Pheochromocytomas/paragangliomas (PPGL) are rare neuroendocrine tumours (1). A previous study of patients with PPGL from various countries, including the United States, Canada, Denmark, the Netherlands, Australia, Spain and Sweden, reported that between 1949 and 2019 the incidence of PPGL ranged from 0.04-0.95 cases per 100,000 per year (2). Approximately 85-90% of PPGL are localized in the adrenal glands and 10-15% are extra-adrenal and are called paraganglioma (PGL) (1). PGL, originating from the autonomic nervous system ganglia and its accompanying neural regions, was first described by Fränkel in 1886 (3,4). Most of PGLs are functional and can secrete catecholamines. Its common clinical symptoms are headaches, heart palpitations and sweating (1,3). Only 10% of PGL cases are clinically silent (non-functional PGL) and are observed incidentally via imaging (5). Non-functional PGL is mostly located in the neck and rarely in the abdomen (6). PGL is most common in adults between the ages of 20 and 40 years, and there is no significant difference in sex in its occurrence (7). The incidence of PGL has been increasing gradually, as confirmed by Berends et al in 2018(8). This previous study reported that the age-standardized rate for PGL among patients from the Netherlands increased from 0.08 (95% CI: 0.06-0.10) to 0.11 (95% CI: 0.09-0.13) per 100,000 person-years in the periods 1995-1999 and 2011-2015, respectively (8).

Once PGL is diagnosed, surgical resection is the only curative treatment and the mortality rate of patients for PGL resection from the United States has decreased from ~40% in the 1950s to 0-3% over the last four decades (9,10). However, recurrence after resection has been reported to occur in 3-16% of patients (11,12). Due to the risk of local recurrence, metastasis and a new PGL, surgical resection cannot guarantee a complete cure (9,12). Recurrence of PGL can be difficult to treat. Cui et al (11) reported that 47% of patients with recurrence had multiple tumours at the site of recurrence and 58% had metastases (11). However, as treatment significantly decreases the risk of metastases and mortality, patients should be treated promptly after detection of recurrence (12). Thus, long-term follow-up is essential (13).

Case report

Patient information

The patient, a 64-year-old female, was admitted to Binzhou Medical University Hospital (Binzhou, China) in August 2022 for ‘Epigastrium malaise for 1 year with aggravation for 7 days’. The patient presented with upper abdominal distension accompanied by nausea and chest tightness. Physical examination showed abdominal tenderness that was mainly on the right side. There was a palpable mass in the right upper quadrant of the abdomen with a hard texture and clear boundary and other significant abnormalities were not observed. In August 2021 the patient had abdominal discomfort without obvious cause, mainly in the upper abdomen, with a feeling of stuffiness and distension, accompanied by a poor appetite. There were no abnormalities, such as nausea and vomiting, and the patient's feeling of abdominal distension persisted, so she went to the local hospital. After treatment with oral Chinese medicine and infusion, the symptoms still occurred intermittently. Approximately 7 days before admission to Binzhou Medical University Hospital, the patient experienced aggravated abdominal distension accompanied by nausea and chest tightness, and thus immediately went to Huimin People's Hospital (July 2022; Binzhou, China). After abdominal ultrasound examination, routine biochemical examinations and gastrointestinal barium meal examinations, the patient was diagnosed with an abdominal tumour. After 7 days, the patient was admitted to Binzhou Medical University Hospital with an ‘abdominal tumour’. The patient had been constipated since the onset of the disease in August 2021 and urinated normally. In the past, the patient had a history of tracheitis for >30 years without regular treatments. She had a history of surgery for haemorrhoids 3 years ago.

Imaging findings

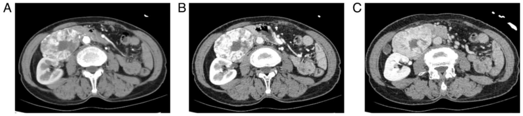
After admission, the patient underwent relevant examinations. Abnormalities were not found in routine blood and biochemical examinations. Other laboratory examinations showed that the level of carcinoembryonic antigen was 7.33 ng/ml (reference value 0-3.4 ng/ml), aldosterone was 52.81 pg/ml (reference value 70-300), methoxyepinephrine was 265.7 pg/ml (reference value 0-145 pg/ml) and norepinephrine was 212.8 pg/ml (reference value 217-1109 pg/ml). On a CT scan of the whole abdomen, a mass-like soft tissue shadow was seen in the lower part of the gallbladder fossa with a clear boundary, measuring ~6.5x5.4x6.6 cm. A low-density area and punctate high-density shadow were seen in the mass against the adjacent tissue, and the partial lesions were close to the intestinal tract. (Fig. 1) On whole abdominal CT enhancement, irregular masses of soft tissue with a clear boundary were seen in the front of the kidney on the right abdomen, and the size was ~6.5x5.4x6.6 cm. On the contrast-enhanced CT scan, the lesions were obviously enhanced inhomogeneously, and there were low-density areas and punctate high-density shadows in the lesions without enhancement. Large vessels were observed in the inside and edge of the lesion, which pushed against the descending and horizontal parts of the duodenum. The anterior margin of the right kidney, the head of the pancreas and the uncinate process were compressed, and the systems of the pancreatic duct and bile duct were slightly dilated.

Figure 1

Preoperative contrast-enhanced CT. (A) Arterial phase, (B) venous phase and (C) delayed phase.

Therapeutic interventions and histopathological findings

After oral administration of phenoxybenzamine and intravenous infusion for 1 week, the present study performed the elective operation of laparoscopic exploration. After inserting the laparoscope, there were no obvious abnormalities observed in the stomach, small intestine, colon, peritoneum or pelvic cavity. Then, the lateral membrane of the duodenum was opened and a tumour with a hard texture and clear boundary was visible in the back of the pancreas, the abdominal aorta and the anterior part of the inferior vena cava. During the operation, removal of the tumour was attempted. Because the base of the tumour was closely involved with the abdominal aortic sheath and it was difficult to turn completely freely under the laparoscope, we decided to perform open surgery. A longitudinal incision around the umbilicus ~20 cm long was made in the upper abdomen and continued to expose the retroperitoneal tumour. Since the right margin of the tumour was free and the peritoneum of the duodenum was fully opened, we disconnected the tumour from the inferior vena cava after breaking off two branches of the venous reflux. We further severed the connection between the tumour, the abdominal aortic sheath and the tumour basilar artery. The retroperitoneal tumour was resected. Postoperative pathology showed that the surface of the grey-white and grey-red nodular tumour with a volume of 8.5x7x4.5 cm was completely encapsulated. The tangential section of the tumour was greyish red with a soft texture, and another section was greyish white with a hard texture. Then immunohistochemistry was performed on the tumour tissue. The immunohistochemistry protocol included the following indicators: Synaptophysin (Syn), Chromogranin A (CgA), CD56, S-100, epithelial membrane antigen (EMA), cytokeratin (CK), Vimentin, Melan-A, paired box 8 (PAX-8) and Ki-67. Immunohistochemical staining used the following primary antibodies (ZSGB-Bio): Anti-Syn (cat. no. ZM0246), anti-CgA (cat. no. ZM0076), anti-CD-56 (cat. no. ZM0057), anti-S-100 (cat. no. ZM0224), anti-EMA (cat. no. ZM0095), anti-CK (cat. no. ZM0067), anti-Vimentin (cat. no. ZM0260), anti-Melan-A (cat. no. ZM0398), anti-PAX-8 (cat. no. ZM0468) and anti-Ki-67 (cat. no. ZM0167). The following are details of the immunohistochemistry: Tissues were embedded after fixing with 4% paraformaldehyde at room temperature for 48 h and the thickness of sections was ~5-µm. Peroxidase was inactivated by incubating sections with 3% H2O2 for 10 min at room temperature. Normal goat serum working fluid (cat. no. ZLI9022; OriGene Technologies, Inc.) was used to incubate the sections for 15 min at room temperature. Subsequently, the aforementioned primary antibodies were used at a dilution of 1:100 and incubated at 4˚C for 12 h. Next, the sections were incubated with biotin-labelled goat anti-mouse/rabbit IgG secondary antibodies (ZSGB-Bio; cat. no. SAP-9100) at a dilution of 1:500 for 30 min at room temperature. After, images were captured using a fluorescent microscope. The results of H&E staining are shown in Fig. 2A and B. The immunohistochemistry results were as follows: Syn(+), CgA(+), CD56(+), Vimentin(+), S-100(+), the proliferation index of Ki-67 was ~1% and the others were negative (Fig. 2C-H).

Figure 2

Pathological examination. H&E staining at magnification (A) x100 and (B) x200. Immunohistochemical staining for (C) CD56(+), (D) CgA(+), (E) S-100(+), (F) Syn(+), (G) Vimentin(+), (H) Ki-67 (the proliferation index was ~1%) (all magnification, x100).

Follow-up and outcomes

After the operation, anti-infection, antithrombus and rehydration treatment were actively performed, and the blood pressure of the patient was monitored closely. There was no obvious abnormality on contrast-enhanced CT after the operation. The patient recovered successfully and was discharged. As of March 2023, the general condition of the patient during follow-up is good.

Discussion

Predominantly located in the abdomen, PGLs are found mostly in the confluence of the inferior vena cava and the renal vein or in the organ of Zuckerkandl, directly above the aortic bifurcation and near the origin of the inferior mesenteric artery (7,14). Other rare areas are the renal hilum, suprarenal pole, hepatic hilum, between the liver and inferior vena cava, near the head of the pancreas, the iliac fossa or tissues near the iliac fossa blood vessels, such as the ovary, bladder and rectum (15,16).

Originating from the sympathetic trunk, PGL mainly synthesizes, secretes and releases large amounts of catecholamines (CA), such as epinephrine (E), norepinephrine (NE) and dopamine (DA). Therefore, the clinical manifestations of PGL is mostly similar to those of pheochromocytoma, such as the elevation of blood pressure and metabolic changes in patients (14). Its common symptoms are persistent or paroxysmal hypertension, and it is characterized by a triad of headache, palpitations and hyperhidrosis or a triad of tremor, facial pallor and dyspnoea (3,14,17). Nausea and vomiting, abdominal pain, constipation, intestinal obstruction and other symptoms of the digestive system are also observed (16). However, some patients have no typical clinical symptoms, such as patients with non-functional PGL.

Non-functional PGLs, which are mostly located in the neck and rarely in the abdomen, represent ~10% of all PGLs (5,6). Non-functional tumours in abdomen are usually large when they are found, and therefore patients usually present with abdominal or back pain and a palpable mass (18,19). Due to their similar symptoms, PGL is often misdiagnosed as a gastrointestinal stromal tumour (GIST). They can be differentiated by enhanced CT and MRI. PGL exhibits an enhanced vessel shadow on CT and a vascular flow empty signal on T2WI of MRI, and DWI mostly shows a high signal (20). GISTs usually present as an exophytic growth mass with a clear boundary on CT or MRI, uneven internal density of the tumour, and a visible liquefied necrotic area (20). T1WI shows a mostly heterogeneous low or equal signal, and T2WI shows an uneven high signal (21).

The diagnosis of PGL can be missed for a lifetime, so the most important step in diagnosing PGL is to be aware of the possibility of the tumour (17). When PGL is suspected, the levels of CA and its metabolite are determined first. Preferred laboratory tests include the concentration determination of free plasma or urine methoxyepinephrine or methoxyadrenalin (3,8,16), and the concentration of NE, E, DA and other metabolites such as 3-methoxytyramine, vanillylmandelic acid and homovanillic acid in blood or urine can also be detected simultaneously to aid in diagnosis (11). When a qualitative diagnosis of PGL is established, CT is the preferred imaging examination for the localization of the tumour (8,15,16); in addition, the tumour body, which can be enhanced by contrast medium, is shown on CT as a circular or quasicircular soft-tissue shadow with uneven density (16,22-27).

PGL is a complicated and difficult endocrine disease that involves numerous subjects (3,16). It should be resected as soon as possible after localization and qualitative diagnosis. Before surgery, the patients should first be administered an α-receptor blocker (15,16). At the same time, they should be treated with venous dilatation therapy, and open surgery is recommended (28). Postoperative blood pressure and heart rate are closely monitored (8).

After admission, the present patient underwent an enhanced CT scan, which indicated a retroperitoneal occupying lesion. The contrast-enhanced CT scan revealed a marked heterogeneous enhancement of the lesion. The relevant examinations showed that the level of methoxynorepinephrine was significantly elevated. The diagnosis of PGL was made on the basis of the patient's imaging findings and elevated methoxyepinephrine in laboratory examinations. At the same time, the present study excluded the diagnosis of GIST based on laboratory and imaging findings. The patient, having no typical symptoms such as blood pressure changes and only manifesting with upper abdominal distension and accompanied by nausea and chest tightness, was diagnosed with nonfunctional PGL. Therefore, the present study prepared for surgery according to the diagnosis of paraganglioma. Phenoxybenzamine was provided orally in addition to an intravenous infusion. At 1 week later, the present study performed the retroperitoneal tumour resection. According to the history and relevant examination results of the patient, the final diagnosis was non-functional PGL.

After the operation, the present patient recovered smoothly. No significant blood pressure abnormality was observed after the operation. The patient recovered well and was discharged from the hospital. Based on the present case, accurate and timely diagnosis of the disease is essential. At present, the patient's general condition is good after 6 months of follow-up. Because of its highly local recurrence, the short follow-up time for the present study is a limitation and we will follow up the patient for a longer period of time in the future.

Acknowledgements

Not applicable.

Funding

Funding: This study was supported by the Natural Science Fund Project of Shandong Province (grant no. ZR2014HP028), and the Scientific Research Foundation of Binzhou Medical University (grant no. BY2015KYQD21).

Availability of data and materials

All data generated or analysed during this study are included in this published article.

Authors' contributions

ZL and LK drafted the manuscript and conceived the study. YZ provided the relevant images. XZ, ZL and YZ contributed to collecting clinical data and confirmed the authenticity of all the raw data. LK and ZL corrected the manuscript and prepared histopathological results. All authors read and approved the final manuscript.

Ethics approval and consent to participate

Not applicable.

Patient consent for publication

Written informed consent was obtained from the patient for publication of this case report and accompanying images.

Competing interests

The authors declare that they have no competing interests.

References

1 

Lima JV Júnior and Kater CE: The pheochromocytoma/paraganglioma syndrome: An overview on mechanisms, diagnosis and management. Int Braz J Urol. 49:307–319. 2023.PubMed/NCBI View Article : Google Scholar

2 

Al Subhi AR, Boyle V and Elston MS: Systematic review: Incidence of pheochromocytoma and paraganglioma over 70 years. J Endocr Soc. 6(bvac105)2022.PubMed/NCBI View Article : Google Scholar

3 

Lam AK: Update on adrenal tumours in 2017 world health organization (WHO) of endocrine tumours. Endocr Pathol. 28:213–227. 2017.PubMed/NCBI View Article : Google Scholar

4 

Pourian M, Mostafazadeh DB and Soltani A: Does this patient have pheochromocytoma? A systematic review of clinical signs and symptoms. J Diabetes Metab Disord. 15(11)2016.PubMed/NCBI View Article : Google Scholar

5 

Sherwani P, Anand R, Narula MK, Siddiqui AA and Aggarwal S: Concurrent nonfunctional paraganglioma of the retroperitoneum and urinary bladder: A case report with literature review. Indian J Radiol Imaging. 25:198–201. 2015.PubMed/NCBI View Article : Google Scholar

6 

Renard J, Clerici T, Licker M and Triponez F: Pheochromocytoma and abdominal paraganglioma. J Visc Surg. 148:e409–e416. 2011.PubMed/NCBI View Article : Google Scholar

7 

McNicol AM: Update on tumours of the adrenal cortex, phaeochromocytoma and extra-adrenal paraganglioma. Histopathology. 58:155–168. 2011.PubMed/NCBI View Article : Google Scholar

8 

Berends AMA, Buitenwerf E, de Krijger RR, Veeger NJGM, van der Horst-Schrivers ANA, Links TP and Kerstens MN: Incidence of pheochromocytoma and sympathetic paraganglioma in the Netherlands: A nationwide study and systematic review. Eur J Intern Med. 51:68–73. 2018.PubMed/NCBI View Article : Google Scholar

9 

Lenders JWM, Kerstens MN, Amar L, Prejbisz A, Robledo M, Taieb D, Pacak K, Crona J, Zelinka T, Mannelli M, et al: Genetics, diagnosis, management and future directions of research of phaeochromocytoma and paraganglioma: A position statement and consensus of the working group on endocrine hypertension of the european society of hypertension. J Hypertens. 38:1443–1456. 2020.PubMed/NCBI View Article : Google Scholar

10 

Kinney MA, Warner ME, vanHeerden JA, Horlocker TT, Young WF Jr, Schroeder DR, Maxson PM and Warner MA: Perianesthetic risks and outcomes of pheochromocytoma and paraganglioma resection. Anesth Analg. 91:1118–1123. 2000.PubMed/NCBI View Article : Google Scholar

11 

Cui Y, Ma X, Gao Y, Chang X, Chen S, Lu L and Tong A: Local-regional recurrence of pheochromocytoma/paraganglioma: Characteristics, risk factors and outcomes. Front Endocrinol (Lausanne). 12(762548)2021.PubMed/NCBI View Article : Google Scholar

12 

Holscher I, van den Berg TJ, Dreijerink KMA, Engelsman AF and Nieveen van Dijkum EJM: Recurrence rate of sporadic pheochromocytomas after curative adrenalectomy: A systematic review and meta-analysis. J Clin Endocrinol Metab. 106:588–597. 2021.PubMed/NCBI View Article : Google Scholar

13 

Plouin PF, Amar L, Dekkers OM, Fassnacht M, Gimenez-Roqueplo AP, Lenders JW, Lussey-Lepoutre C and Steichen O: Guideline Working Group. European society of endocrinology clinical practice guideline for long-term follow-up of patients operated on for a phaeochromocytoma or a paraganglioma. Eur J Endocrinol. 174:G1–G10. 2016.PubMed/NCBI View Article : Google Scholar

14 

Ayala-Ramirez M, Feng L, Johnson MM, Ejaz S, Habra MA, Rich T, Busaidy N, Cote GJ, Perrier N, Phan A, et al: Clinical risk factors for malignancy and overall survival in patients with pheochromocytomas and sympathetic paragangliomas: primary tumor size and primary tumor location as prognostic indicators. J Clin Endocrinol Metab. 96:717–725. 2011.PubMed/NCBI View Article : Google Scholar

15 

Whalen RK, Althausen AF and Daniels GH: Extra-adrenal pheochromocytoma. J Urol. 147:1–10. 1992.PubMed/NCBI View Article : Google Scholar

16 

Chinese Society of Endocrinology: Expert consensus on the diagnosis and treatment of pheochromocytoma and paraganglioma. Chin J Endocrinol Metab. 36:737–750. 2020.

17 

Fagundes GFC and Almeida MQ: Perioperative management of pheochromocytomas and sympathetic paragangliomas. J Endocr Soc. 6(bvac004)2022.PubMed/NCBI View Article : Google Scholar

18 

Olson JR and Abell MR: Nonfunctional, nonchromaffin paragangliomas of the retroperitoneum. Cancer. 23:1358–1367. 1969.PubMed/NCBI View Article : Google Scholar

19 

Lack EE, Cubilla AL, Woodruff JM and Lieberman PH: Extra-adrenal paragangliomas of the retroperitoneum: A clinicopathologic study of 12 tumors. Am J Surg Pathol. 4:109–120. 1980.PubMed/NCBI View Article : Google Scholar

20 

Nishino M, Hayakawa K, Minami M, Yamamoto A, Ueda H and Takasu K: Primary retroperitoneal neoplasms: CT and MR imaging findings with anatomic and pathologic diagnostic clues. Radiographics. 23:45–57. 2003.PubMed/NCBI View Article : Google Scholar

21 

Vernuccio F, Taibbi A, Picone D, LA Grutta L, Midiri M, Lagalla R, Lo Re G and Bartolotta TV: Imaging of gastrointestinal stromal tumors: From diagnosis to evaluation of therapeutic response. Anticancer Res. 36:2639–2648. 2016.PubMed/NCBI

22 

Leung K, Stamm M, Raja A and Low G: Pheochromocytoma: the range of appearances on ultrasound, CT, MRI, and functional imaging. AJR Am J Roentgenol. 200:370–378. 2013.PubMed/NCBI View Article : Google Scholar

23 

Taïeb D, Timmers HJ, Hindié E, Guillet BA, Neumann HP, Walz MK, Opocher G, de Herder WW, Boedeker CC, de Krijger RR, et al: EANM 2012 guidelines for radionuclide imaging of phaeochromocytoma and paraganglioma. Eur J Nucl Med Mol Imaging. 39:1977–1995. 2012.PubMed/NCBI View Article : Google Scholar

24 

Fiebrich HB, Brouwers AH, Kerstens MN, Pijl ME, Kema IP, de Jong JR, Jager PL, Elsinga PH, Dierckx RA, van der Wal JE, et al: 6-[F-18]Fluoro-L-dihydroxyphenylalanine positron emission tomography is superior to conventional imaging with (123)I-metaiodobenzylguanidine scintigraphy, computer tomography, and magnetic resonance imaging in localizing tumors causing catecholamine excess. J Clin Endocrinol Metab. 94:3922–3930. 2009.PubMed/NCBI View Article : Google Scholar

25 

Wiseman GA, Pacak K, O'Dorisio MS, Neumann DR, Waxman AD, Mankoff DA, Heiba SI, Serafini AN, Tumeh SS, Khutoryansky N and Jacobson AF: Usefulness of 123I-MIBG scintigraphy in the evaluation of patients with known or suspected primary or metastatic pheochromocytoma or paraganglioma: results from a prospective multicenter trial. J Nucl Med. 50:1448–1454. 2009.PubMed/NCBI View Article : Google Scholar

26 

Timmers HJ, Chen CC, Carrasquillo JA, Whatley M, Ling A, Eisenhofer G, King KS, Rao JU, Wesley RA, Adams KT and Pacak K: Staging and functional characterization of pheochromocytoma and paraganglioma by 18F-fluorodeoxyglucose (18F-FDG) positron emission tomography. J Natl Cancer Inst. 104:700–708. 2012.PubMed/NCBI View Article : Google Scholar

27 

Janssen I, Blanchet EM, Adams K, Chen CC, Millo CM, Herscovitch P, Taieb D, Kebebew E, Lehnert H, Fojo AT and Pacak K: Superiority of [68Ga]-DOTATATE PET/CT to other functional imaging modalities in the localization of SDHB-associated metastatic pheochromocytoma and paraganglioma. Clin Cancer Res. 21:3888–3895. 2015.PubMed/NCBI View Article : Google Scholar

28 

Garcia-Carbonero R, Matute Teresa F, Mercader-Cidoncha E, Mitjavila-Casanovas M, Robledo M, Tena I, Alvarez-Escola C, Arístegui M, Bella-Cueto MR, Ferrer-Albiach C and Hanzu FA: Multidisciplinary practice guidelines for the diagnosis, genetic counseling and treatment of pheochromocytomas and paragangliomas. Clin Transl Oncol. 23:1995–2019. 2021.PubMed/NCBI View Article : Google Scholar

Related Articles

  • Abstract
  • View
  • Download
  • Twitter
Copy and paste a formatted citation
Spandidos Publications style
Liu Z, Zhang Y, Zhang X and Kong L: Non‑functional paraganglioma: A case report. Exp Ther Med 27: 16, 2024.
APA
Liu, Z., Zhang, Y., Zhang, X., & Kong, L. (2024). Non‑functional paraganglioma: A case report. Experimental and Therapeutic Medicine, 27, 16. https://doi.org/10.3892/etm.2023.12304
MLA
Liu, Z., Zhang, Y., Zhang, X., Kong, L."Non‑functional paraganglioma: A case report". Experimental and Therapeutic Medicine 27.1 (2024): 16.
Chicago
Liu, Z., Zhang, Y., Zhang, X., Kong, L."Non‑functional paraganglioma: A case report". Experimental and Therapeutic Medicine 27, no. 1 (2024): 16. https://doi.org/10.3892/etm.2023.12304
Copy and paste a formatted citation
x
Spandidos Publications style
Liu Z, Zhang Y, Zhang X and Kong L: Non‑functional paraganglioma: A case report. Exp Ther Med 27: 16, 2024.
APA
Liu, Z., Zhang, Y., Zhang, X., & Kong, L. (2024). Non‑functional paraganglioma: A case report. Experimental and Therapeutic Medicine, 27, 16. https://doi.org/10.3892/etm.2023.12304
MLA
Liu, Z., Zhang, Y., Zhang, X., Kong, L."Non‑functional paraganglioma: A case report". Experimental and Therapeutic Medicine 27.1 (2024): 16.
Chicago
Liu, Z., Zhang, Y., Zhang, X., Kong, L."Non‑functional paraganglioma: A case report". Experimental and Therapeutic Medicine 27, no. 1 (2024): 16. https://doi.org/10.3892/etm.2023.12304
Follow us
  • Twitter
  • LinkedIn
  • Facebook
About
  • Spandidos Publications
  • Careers
  • Cookie Policy
  • Privacy Policy
How can we help?
  • Help
  • Live Chat
  • Contact
  • Email to our Support Team