International Journal of Molecular Medicine is an international journal devoted to molecular mechanisms of human disease.
International Journal of Oncology is an international journal devoted to oncology research and cancer treatment.
Covers molecular medicine topics such as pharmacology, pathology, genetics, neuroscience, infectious diseases, molecular cardiology, and molecular surgery.
Oncology Reports is an international journal devoted to fundamental and applied research in Oncology.
Experimental and Therapeutic Medicine is an international journal devoted to laboratory and clinical medicine.
Oncology Letters is an international journal devoted to Experimental and Clinical Oncology.
Explores a wide range of biological and medical fields, including pharmacology, genetics, microbiology, neuroscience, and molecular cardiology.
International journal addressing all aspects of oncology research, from tumorigenesis and oncogenes to chemotherapy and metastasis.
Multidisciplinary open-access journal spanning biochemistry, genetics, neuroscience, environmental health, and synthetic biology.
Open-access journal combining biochemistry, pharmacology, immunology, and genetics to advance health through functional nutrition.
Publishes open-access research on using epigenetics to advance understanding and treatment of human disease.
An International Open Access Journal Devoted to General Medicine.
Hepatocellular carcinoma (HCC) is one of the most aggressive types of cancer, which is the fourth most common cancer worldwide, with 840,000 cases in 2018, but there is currently no effective treatment for HCC (1). Lenvatinib is a small molecule inhibitor drug that can act on multiple receptor tyrosine kinases and can suppress vascular endothelial growth factor (VEGF) receptor, fibroblast growth factor receptor and platelet-derived growth factor receptor (2,3). The REFLECT trial reported that the overall survival rate of patients with advanced HCC (aHCC) who were treated with lenvatinib was no lower than that of patients treated with sorafenib, with the patient group treated with lenvatinib demonstrating better indicators in all secondary efficacy endpoints (4). Although lenvatinib is promising as a treatment for patients with HCC, lenvatinib resistance has gradually emerged as a challenge. Lenalidomide, an immunomodulatory thalidomide derivative, has been approved for the treatment of multiple myeloma and myelodysplastic syndromes (5). Furthermore, lenalidomide can inhibit angiogenesis by decreasing VEGF expression (6).
A previous study reported that lenalidomide-stimulated T cells are partially activated by T-cell receptors, increased production of interleukin-2 and interferon-γ and increased the cytotoxic effects of natural killer and other T cells (7). Research has also reported that lenalidomide can inhibit tumor angiogenesis and is considered to inhibit the immunosuppression (8). A number of studies have reported that lenalidomide combined with sorafenib can improve HCC response rates, both in vitro and in vivo (9,10). Our previous studies have also preliminarily demonstrated that lenalidomide can inhibit the proliferation of HCC cell lines in vitro; however, the specific mechanism requires further study. As lenvatinib resistance becomes increasingly common (11), numerous patients with aHCC have begun to require second-line drug treatments. Therefore, the choice of second-line treatment is critical. For patients with aHCC, poor treatment efficacy can result in patients missing the optimal treatment window and can lead to an irreversible situation. Lenalidomide has begun to be used to treat HCC; however, to the best of our knowledge, its efficacy in patients with lenvatinib-resistant HCC has not yet been reported on in the literature.
In the present study, a case of a patient with lenvatinib-resistant aHCC who responded well to lenalidomide treatment is reported. This case suggests that lenalidomide is effective for patients with aHCC who develop resistance to lenvatinib. However, large-scale clinical studies are warranted to support the hypothesis that lenalidomide can reverse lenvatinib resistance in patients with aHCC. Moreover, the mechanism of lenalidomide in the treatment of lenvatinib-resistant HCC requires further study.
A 47-year-old man presented to a local hospital with new-onset right upper abdominal pain. Abdominal computed tomography (CT) and Doppler color ultrasonography revealed a tumor located near the main hepatic portal vein and segment VIII of the right liver.
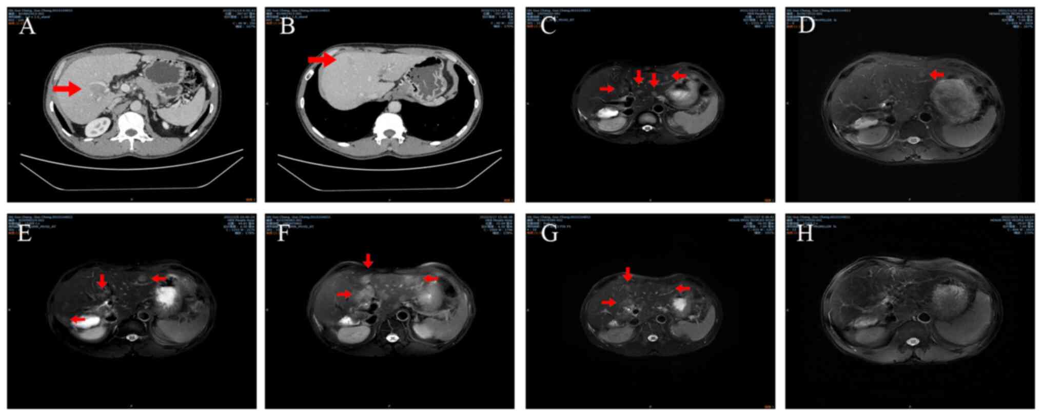
The patient was transferred to Henan Provincial People's Hospital (Zhengzhou, China) in November 2020 for further examination and treatment. The patient had been infected with hepatitis B virus a number of years prior and was not receiving any antiviral treatment at the time. The patient was diagnosed with HCC accompanied by intrahepatic metastasis and liver cirrhosis. Hepatitis B virus DNA level was 4.14x101 IU/ml, initial α-fetoprotein (AFP, reference value: 0-7 ng/ml) level was 9.86 ng/ml and their carbohydrate antigen 19-9 (CA199, reference value: 0-35 U/ml) level was 36.53 U/ml. CT performed at our hospital revealed neoplasms located in the right hepatic lobe and segment VIII (Fig. 1A and B). The performance status score of the patient was 0 and their Child-Pugh score was 5 (12,13). The tumor sizes were 2.1x2.2 and 1.8x1.9 cm. The tumor was defined as stage B according to the Barcelona Clinic Liver Cancer criteria and as stage IIA according to the China Liver Cancer Staging criteria (14,15).
The patient underwent an extended right hemihepatectomy and eighth-segment hepatectomy procedure in November 2020. Pathological report of the resected tissues indicated that the liver neoplasms were tumors of right lobe origin. The microvascular invasion status was classified as M1. The section VIII tumor was also classified as HCC with necrosis at Edmondson-Steiner grade II (16), with a thick beam shape and a diameter of 1.5 cm, with no definite vascular tumor thrombi or nerve invasion. Lenvatinib treatment (8 mg once a day for 11 months.) was started 1 month after the surgery. The patient was regularly followed-up with, according to the standard protocol for HCC treatment (17).
A total of 11 months after the surgery in October 2021, magnetic resonance imaging (MRI) demonstrated multiple intrahepatic masses that were considered to represent recurrences (Fig. 1C). There was no notable increase in the AFP level (5.51 ng/ml) of the patient. Transarterial chemoembolization (TACE) was performed 3 days after MRI and treatment with anti-PD-1 antibody sintilimab (200 mg every 21 days.) injection was initiated 13 days after MRI. Dynamic contrast-enhanced perfusion MRI (2021-11) demonstrated that the disease had not progressed and the length of tumor (8.21 mm) had shrunk slightly based on Response Evaluation Criteria in Solid Tumors (RECIST). Therapy with lenvatinib plus anti-PD-1 was continued. A subsequent MRI scan in February 2022, demonstrated that the disease had progressed in terms of both size (6.74 mm) and quantity (3 distinct tumors) based on RECIST, as the tumor was larger compared with on the previous MRI scan (Fig. 1E). Because of this, lenvatinib was discontinued and regorafenib (Take 160 mg once a day.) combined with anti-PD-1 (200 mg every 21 days.) was administered instead, with TACE performed 2 days later in February 2022. Another MRI scan in May 2022 demonstrated that disease progression had occurred once again, in terms of both size and quantity, as the tumor was larger (15.56 mm) and there were more lesions (More than 6 distinct tumors) compared with the previous scan based on RECIST (Fig. 1F). The AFP level (reference value: 0-7 ng/ml) of the patient had also increased to 84.59 ng/ml and their VEGF level (reference value: 0-160 pg/ml) had increased to 201.46 pg/ml. A second TACE procedure was performed in May 2022. Imaging and laboratory results demonstrated that the disease was resistant to regorafenib and anti PD-1; however, the regimen remained unchanged. Another MRI scan in July 2022 demonstrated that the mass had not notably changed since the previous scan (Fig. 1G). Although the AFP (39.97 ng/ml) and VEGF (154.82 pg/ml) levels of the patient had slightly decreased and the tumors appeared smaller than before, their numbers had increased (More than 8 distinct tumors) notably. It was therefore considered that the disease was resistant to regorafenib combined with anti-PD-1. The patient was then administered lenalidomide (Take 25 mg once a day.) and lenvatinib (Take 8 mg once a day.). An MRI scan performed after this in October 2022, demonstrated that the size of the mass had notably decreased (Fig. 1H), indicating that the patient had achieved a partial response. By January 2023, the AFP levels of the patient fell to 53.43 ng/ml and their VEGF level increased to 236.14 pg/ml compared with result in July 2022, and the patient reported no particular discomfort. The patient refused a follow-up MRI; however, according to their AFP levels and clinical manifestations the patient had been in a stable disease state for nearly 6 months (Last follow up: January 2023). The treatment timeline of the patient is summarized in Fig. 2.
HCC is a major cause of cancer-related mortality (18). With recent developments in medical research, breakthroughs have been made in the treatment of HCC and its treatment is no longer limited to traditional approaches, such as surgical resection (19). Treatment efficacy in patients with early-stage HCC is gradually increasing; however, the treatment of aHCC still faces major challenges. In recent years, although targeted therapy and immunotherapy have improved the outcomes for patients with aHCC, the 5-year survival rate of these patients remains at ~20% (20). Sorafenib was the first targeted drug approved by the United States Food and Drug Administration for the treatment of aHCC. Compared with sorafenib, lenvatinib has been reported to be no worse in terms of overall survival and achieve statistically significant improvements in progression-free survival, time to progress, and objective response rate (21). Thus, the discovery and application of lenvatinib for the treatment of aHCC represents a notable milestone. However, with the increasing clinical application of lenvatinib for this purpose, the problem of lenvatinib resistance in aHCC has become increasingly prominent. Therefore, alternative treatments for patients with lenvatinib-resistant aHCC merit further exploration.
The present case report describes the case of a patient with aHCC who underwent hepatectomy and was treated with lenvatinib postoperatively, based on histopathological findings; 11 months after the surgery, the patient was confirmed to have tumor recurrence and was subsequently treated with lenvatinib plus anti-PD-1 therapy. After 3 months of standard treatment, the tumor progressed further and regorafenib plus anti-PD-1 was administered. The patient underwent three TACE sessions and their AFP and VEGF levels both decreased, although imaging findings indicated continued disease progression. The patient was then switched to lenalidomide plus lenvatinib and achieved partial remission after 3 months of this treatment.
In a phase II clinical trial of patients with aHCC who had previously received sorafenib, 15% demonstrated a partial effective response (22). Therefore, it has been reported that a combination of lenalidomide and sorafenib can produce enhanced antitumor effects. Perhaps due to the simultaneous application of two drugs with different mechanisms of action, effective therapeutic effects have been achieved. In the present case, the high VEGF levels of the patient following surgery indicated that their tumor may have been sensitive to anti-angiogenic drugs, which suggested the possibility of using lenalidomide. Whether lenalidomide can reverse the resistance of aHCC to lenvatinib remains unclear.
The present case report suggested that lenalidomide may help to overcome lenvatinib resistance in aHCC treatment. To the best of our knowledge, this is the first reported case in the literature of a lenalidomide-induced response to lenvatinib resistance following HCC disease progression. Further clinical investigations into the efficacy of lenalidomide for the treatment of lenvatinib-resistant HCC are therefore warranted.
The authors would like to thank Dr Shuai Zhou (Translational Medicine Center, University of Zhengzhou, Zhengzhou, China) and Dr Jiali Zhang (Translational Medicine Center, University of Zhengzhou, Zhengzhou, China) for providing an office space to discuss this article.
Funding: The present research was funded by the Henan Provincial Science and Technology Project (grant no. 202102310151) and the Henan Provincial Medical Science and Technology Research Program Project (grant no. SBGJ202102027).
The data generated in the present study are included in the figures and/or tables of this article.
XZ conceived and designed the study. PL, QKL and QF collected the data and performed the literature search. TQ analyzed and interpreted the data. PFY, JYC and YZW were responsible for acquisition of data. XZ and TQ confirm the authenticity of all the raw data. All authors have read and approved the final manuscript.
This case report has been informed and agreed to be published by the patient and the attending doctor, and an informed consent form has been signed.
The patient agreed to publication and signed an informed consent form.
The authors declare that they have no competing interests.
|
Chen Q and Yang XF: Research progress in targeted therapy of hepatocellular carcinoma. Chin Med Sci J. 36:57–65. 2021.PubMed/NCBI View Article : Google Scholar | |
|
Wang T, Zhang Q, Wang N, Liu Z, Zhang B and Zhao Y: Research progresses of targeted therapy and immunotherapy for hepatocellular carcinoma. Curr Med Chem. 28:3107–3146. 2021.PubMed/NCBI View Article : Google Scholar | |
|
Hatanaka T, Naganuma A and Kakizaki S: Lenvatinib for hepatocellular carcinoma: A literature review. Pharmaceuticals (Basel). 14(36)2021.PubMed/NCBI View Article : Google Scholar | |
|
Kudo M, Finn RS, Qin S, Han KH, Ikeda K, Piscaglia F, Baron A, Park JW, Han G, Jassem J, et al: Lenvatinib versus sorafenib in first-line treatment of patients with unresectable hepatocellular carcinoma: A randomised phase 3 non-inferiority trial. Lancet. 391:1163–1173. 2018.PubMed/NCBI View Article : Google Scholar | |
|
Shen YC, Lin ZZ, Hsu CH, Hsu C, Shao YY and Cheng AL: Clinical trials in hepatocellular carcinoma: An update. Liver Cancer. 2:345–364. 2013.PubMed/NCBI View Article : Google Scholar | |
|
Davies F and Baz R: Lenalidomide mode of action: Linking bench and clinical findings. Blood Rev. 24 (Suppl 1):S13–S19. 2010.PubMed/NCBI View Article : Google Scholar | |
|
Yokouchi H, Nagasato D, Mitamura Y, Egawa M, Tabuchi H, Misawa S, Kuwabara S and Baba T: Alterations in choroidal vascular structures due to serum levels of vascular endothelial growth factor in patients with POEMS syndrome. Sci Rep. 13(10650)2023.PubMed/NCBI View Article : Google Scholar | |
|
Motz GT and Coukos G: The parallel lives of angiogenesis and immunosuppression: Cancer and other tales. Nat Rev Immunol. 11:702–711. 2011.PubMed/NCBI View Article : Google Scholar | |
|
Jin H, Shi Y, Lv Y, Yuan S, Ramirez CFA, Lieftink C, Wang L, Wang S, Wang C, Dias MH, et al: EGFR activation limits the response of liver cancer to lenvatinib. Nature. 595:730–734. 2021.PubMed/NCBI View Article : Google Scholar | |
|
Ou DL, Chang CJ, Jeng YM, Lin YJ, Lin ZZ, Gandhi AK, Liao SC, Huang ZM, Hsu C and Cheng AL: Potential synergistic anti-tumor activity between lenalidomide and sorafenib in hepatocellular carcinoma. J Gastroenterol Hepatol. 29:2021–2031. 2014.PubMed/NCBI View Article : Google Scholar | |
|
Shahda S, Loehrer PJ, Clark RS, Spittler AJ, Althouse SK and Chiorean EG: Phase I study of lenalidomide and sorafenib in patients with advanced hepatocellular carcinoma. Oncologist. 21:664–665. 2016.PubMed/NCBI View Article : Google Scholar | |
|
Qin Y, Han S, Yu Y, Qi D, Ran M, Yang M, Liu Y and Li Y, Lu L, Liu Y and Li Y: Lenvatinib in hepatocellular carcinoma: Resistance mechanisms and strategies for improved efficacy. Liver Int: May 3, 2024 (Epub ahead of print). | |
|
Tsoris A and Marlar CA: Use of the child pugh score in liver disease. In: StatPearls [Internet]. Treasure Island (FL): StatPearls Publishing, 2024. | |
|
Gmür A, Kolly P, Knöpfli M and Dufour JF: FACT-Hep increases the accuracy of survival prediction in HCC patients when added to ECOG Performance Status. Liver Int. 38:1468–1474. 2018.PubMed/NCBI View Article : Google Scholar | |
|
Moazzam Z, Alaimo L, Endo Y, Lima HA, Shaikh CF, Ratti F, Marques HP, Cauchy F, Lam V, Poultsides GA, et al: Variations in textbook oncologic outcomes after curative-intent resection: Early versus intermediate hepatocellular carcinoma based on Barcelona clinic liver cancer criteria and child-pugh classification. Ann Surg Oncol. 30:750–759. 2023.PubMed/NCBI View Article : Google Scholar | |
|
Zhong BY, Jiang JQ, Sun JH, Huang JT, Wang WD, Wang Q, Ding WB, Zhu XL and Ni CF: Prognostic performance of the china liver cancer staging system in hepatocellular carcinoma following transarterial chemoembolization. J Clin Transl Hepatol. 11:1321–1328. 2023.PubMed/NCBI View Article : Google Scholar | |
|
Wang Y, Yuan D, Sun H, Pan X, Lu F, Li H, Huang Y and Tang S: Non-invasive preoperative prediction of Edmondson-Steiner grade of hepatocellular carcinoma based on contrast-enhanced ultrasound using ensemble learning. Front Oncol. 13(1116129)2023.PubMed/NCBI View Article : Google Scholar | |
|
Koulouris A, Tsagkaris C, Spyrou V, Pappa E, Troullinou A and Nikolaou M: Hepatocellular carcinoma: An overview of the changing landscape of treatment options. J Hepatocell Carcinoma. 8:387–401. 2021.PubMed/NCBI View Article : Google Scholar | |
|
National Health Commission of the People's Republic of China Medical Administration and Hospital Administration. Standardization for diagnosis and treatment of hepatocellular carcinoma (2022 edition). Chin J Dig Surg. 21:143–168. 2022.PubMed/NCBI View Article : Google Scholar | |
|
Safran H, Charpentier K, Dubel G, Soares G, Berz D, Shipley JL, Faricy-Anderson KE, Plette AM, Bishop K and Espat NJ: Lenalidomide for advanced hepatocellular cancer (HCC) in patients progressing on or intolerant to sorafenib. J Clin Oncol. 28 (15 Suppl)(S4159)2010. | |
|
Sung H, Ferlay J, Siegel RL, Laversanne M, Soerjomataram I, Jemal A and Bray F: Global cancer statistics 2020: GLOBOCAN estimates of incidence and mortality worldwide for 36 cancers in 185 countries. CA Cancer J Clin. 71:209–249. 2021.PubMed/NCBI View Article : Google Scholar | |
|
Cheng AL, Finn RS, Qin S, Han KH, Ikeda K, Piscaglia F, Baron AD, Park JW, Han G, Jassem J, et al: Phase III trial of lenvatinib (LEN) vs sorafenib (SOR) in first-line treatment of patients (pts) with unresectable hepatocellular carcinoma (uHCC). J Clin Oncol. 35 (15 Suppl)(S4001)2017. |