Spandidos Publications Logo
  • About
    • About Spandidos
    • Aims and Scopes
    • Abstracting and Indexing
    • Editorial Policies
    • Reprints and Permissions
    • Job Opportunities
    • Terms and Conditions
    • Contact
  • Journals
    • All Journals
    • Oncology Letters
      • Oncology Letters
      • Information for Authors
      • Editorial Policies
      • Editorial Board
      • Aims and Scope
      • Abstracting and Indexing
      • Bibliographic Information
      • Archive
    • International Journal of Oncology
      • International Journal of Oncology
      • Information for Authors
      • Editorial Policies
      • Editorial Board
      • Aims and Scope
      • Abstracting and Indexing
      • Bibliographic Information
      • Archive
    • Molecular and Clinical Oncology
      • Molecular and Clinical Oncology
      • Information for Authors
      • Editorial Policies
      • Editorial Board
      • Aims and Scope
      • Abstracting and Indexing
      • Bibliographic Information
      • Archive
    • Experimental and Therapeutic Medicine
      • Experimental and Therapeutic Medicine
      • Information for Authors
      • Editorial Policies
      • Editorial Board
      • Aims and Scope
      • Abstracting and Indexing
      • Bibliographic Information
      • Archive
    • International Journal of Molecular Medicine
      • International Journal of Molecular Medicine
      • Information for Authors
      • Editorial Policies
      • Editorial Board
      • Aims and Scope
      • Abstracting and Indexing
      • Bibliographic Information
      • Archive
    • Biomedical Reports
      • Biomedical Reports
      • Information for Authors
      • Editorial Policies
      • Editorial Board
      • Aims and Scope
      • Abstracting and Indexing
      • Bibliographic Information
      • Archive
    • Oncology Reports
      • Oncology Reports
      • Information for Authors
      • Editorial Policies
      • Editorial Board
      • Aims and Scope
      • Abstracting and Indexing
      • Bibliographic Information
      • Archive
    • Molecular Medicine Reports
      • Molecular Medicine Reports
      • Information for Authors
      • Editorial Policies
      • Editorial Board
      • Aims and Scope
      • Abstracting and Indexing
      • Bibliographic Information
      • Archive
    • World Academy of Sciences Journal
      • World Academy of Sciences Journal
      • Information for Authors
      • Editorial Policies
      • Editorial Board
      • Aims and Scope
      • Abstracting and Indexing
      • Bibliographic Information
      • Archive
    • International Journal of Functional Nutrition
      • International Journal of Functional Nutrition
      • Information for Authors
      • Editorial Policies
      • Editorial Board
      • Aims and Scope
      • Abstracting and Indexing
      • Bibliographic Information
      • Archive
    • International Journal of Epigenetics
      • International Journal of Epigenetics
      • Information for Authors
      • Editorial Policies
      • Editorial Board
      • Aims and Scope
      • Abstracting and Indexing
      • Bibliographic Information
      • Archive
    • Medicine International
      • Medicine International
      • Information for Authors
      • Editorial Policies
      • Editorial Board
      • Aims and Scope
      • Abstracting and Indexing
      • Bibliographic Information
      • Archive
  • Articles
  • Information
    • Information for Authors
    • Information for Reviewers
    • Information for Librarians
    • Information for Advertisers
    • Conferences
  • Language Editing
Spandidos Publications Logo
  • About
    • About Spandidos
    • Aims and Scopes
    • Abstracting and Indexing
    • Editorial Policies
    • Reprints and Permissions
    • Job Opportunities
    • Terms and Conditions
    • Contact
  • Journals
    • All Journals
    • Biomedical Reports
      • Information for Authors
      • Editorial Policies
      • Editorial Board
      • Aims and Scope
      • Abstracting and Indexing
      • Bibliographic Information
      • Archive
    • Experimental and Therapeutic Medicine
      • Information for Authors
      • Editorial Policies
      • Editorial Board
      • Aims and Scope
      • Abstracting and Indexing
      • Bibliographic Information
      • Archive
    • International Journal of Epigenetics
      • Information for Authors
      • Editorial Policies
      • Editorial Board
      • Aims and Scope
      • Abstracting and Indexing
      • Bibliographic Information
      • Archive
    • International Journal of Functional Nutrition
      • Information for Authors
      • Editorial Policies
      • Editorial Board
      • Aims and Scope
      • Abstracting and Indexing
      • Bibliographic Information
      • Archive
    • International Journal of Molecular Medicine
      • Information for Authors
      • Editorial Policies
      • Editorial Board
      • Aims and Scope
      • Abstracting and Indexing
      • Bibliographic Information
      • Archive
    • International Journal of Oncology
      • Information for Authors
      • Editorial Policies
      • Editorial Board
      • Aims and Scope
      • Abstracting and Indexing
      • Bibliographic Information
      • Archive
    • Medicine International
      • Information for Authors
      • Editorial Policies
      • Editorial Board
      • Aims and Scope
      • Abstracting and Indexing
      • Bibliographic Information
      • Archive
    • Molecular and Clinical Oncology
      • Information for Authors
      • Editorial Policies
      • Editorial Board
      • Aims and Scope
      • Abstracting and Indexing
      • Bibliographic Information
      • Archive
    • Molecular Medicine Reports
      • Information for Authors
      • Editorial Policies
      • Editorial Board
      • Aims and Scope
      • Abstracting and Indexing
      • Bibliographic Information
      • Archive
    • Oncology Letters
      • Information for Authors
      • Editorial Policies
      • Editorial Board
      • Aims and Scope
      • Abstracting and Indexing
      • Bibliographic Information
      • Archive
    • Oncology Reports
      • Information for Authors
      • Editorial Policies
      • Editorial Board
      • Aims and Scope
      • Abstracting and Indexing
      • Bibliographic Information
      • Archive
    • World Academy of Sciences Journal
      • Information for Authors
      • Editorial Policies
      • Editorial Board
      • Aims and Scope
      • Abstracting and Indexing
      • Bibliographic Information
      • Archive
  • Articles
  • Information
    • For Authors
    • For Reviewers
    • For Librarians
    • For Advertisers
    • Conferences
  • Language Editing
Login Register Submit
  • This site uses cookies
  • You can change your cookie settings at any time by following the instructions in our Cookie Policy. To find out more, you may read our Privacy Policy.

    I agree
Search articles by DOI, keyword, author or affiliation
Search
Advanced Search
presentation
Experimental and Therapeutic Medicine
Join Editorial Board Propose a Special Issue
Print ISSN: 1792-0981 Online ISSN: 1792-1015
Journal Cover
October-2024 Volume 28 Issue 4

Full Size Image

Sign up for eToc alerts
Recommend to Library

Journals

International Journal of Molecular Medicine

International Journal of Molecular Medicine

International Journal of Molecular Medicine is an international journal devoted to molecular mechanisms of human disease.

International Journal of Oncology

International Journal of Oncology

International Journal of Oncology is an international journal devoted to oncology research and cancer treatment.

Molecular Medicine Reports

Molecular Medicine Reports

Covers molecular medicine topics such as pharmacology, pathology, genetics, neuroscience, infectious diseases, molecular cardiology, and molecular surgery.

Oncology Reports

Oncology Reports

Oncology Reports is an international journal devoted to fundamental and applied research in Oncology.

Experimental and Therapeutic Medicine

Experimental and Therapeutic Medicine

Experimental and Therapeutic Medicine is an international journal devoted to laboratory and clinical medicine.

Oncology Letters

Oncology Letters

Oncology Letters is an international journal devoted to Experimental and Clinical Oncology.

Biomedical Reports

Biomedical Reports

Explores a wide range of biological and medical fields, including pharmacology, genetics, microbiology, neuroscience, and molecular cardiology.

Molecular and Clinical Oncology

Molecular and Clinical Oncology

International journal addressing all aspects of oncology research, from tumorigenesis and oncogenes to chemotherapy and metastasis.

World Academy of Sciences Journal

World Academy of Sciences Journal

Multidisciplinary open-access journal spanning biochemistry, genetics, neuroscience, environmental health, and synthetic biology.

International Journal of Functional Nutrition

International Journal of Functional Nutrition

Open-access journal combining biochemistry, pharmacology, immunology, and genetics to advance health through functional nutrition.

International Journal of Epigenetics

International Journal of Epigenetics

Publishes open-access research on using epigenetics to advance understanding and treatment of human disease.

Medicine International

Medicine International

An International Open Access Journal Devoted to General Medicine.

Journal Cover
October-2024 Volume 28 Issue 4

Full Size Image

Sign up for eToc alerts
Recommend to Library

  • Article
  • Citations
    • Cite This Article
    • Download Citation
    • Create Citation Alert
    • Remove Citation Alert
    • Cited By
  • Similar Articles
    • Related Articles (in Spandidos Publications)
    • Similar Articles (Google Scholar)
    • Similar Articles (PubMed)
  • Download PDF
  • Download XML
  • View XML
Case Report Open Access

Complex intestinal fistula treated with colon‑indwelling drainage stent under prostate resection endoscopy instrumentation guidance: A case report

  • Authors:
    • Caihong Wang
    • Song Tu
    • Faying Yang
    • Yujie Qin
    • Jun Qian
    • Jiaxi Yao
  • View Affiliations / Copyright

    Affiliations: Department of Nursing, Hexi University Affiliated Zhangye People's Hospital, Zhangye, Gansu 734000, P.R. China, Department of General Surgery II, Hexi University Affiliated Zhangye People's Hospital, Zhangye, Gansu 734000, P.R. China, Department of Urology, Hexi University Affiliated Zhangye People's Hospital, Zhangye, Gansu 734000, P.R. China, Department of Endoscopy Center, Hexi University Affiliated Zhangye People's Hospital, Zhangye, Gansu 734000, P.R. China, Institute of Urology, Hexi University, Zhangye, Gansu 734000, P.R. China
    Copyright: © Wang et al. This is an open access article distributed under the terms of Creative Commons Attribution License.
  • Article Number: 384
    |
    Published online on: August 1, 2024
       https://doi.org/10.3892/etm.2024.12673
  • Expand metrics +
Metrics: Total Views: 0 (Spandidos Publications: | PMC Statistics: )
Metrics: Total PDF Downloads: 0 (Spandidos Publications: | PMC Statistics: )
Cited By (CrossRef): 0 citations Loading Articles...

This article is mentioned in:



Abstract

The treatment of complex intestinal fistulas has been a challenge in general surgery. A complex fistula is defined as a fistula with more than one abnormal connection between the gastrointestinal tract and skin, or a fistula with multiple bowel loops. The present case report describes the minimally invasive treatment of a complex intestinal fistula. Briefly, a 51‑year‑old man presented with an intestinal fistula. Following adequate anti‑infective drainage of the abdominal abscess, transurethral prostate resection instrumentation was used to flush and drain the intestinal drainage tubes. On reduction of leakage, a drainage tube was inserted into the intestinal tract to serve as an internal stent. Imaging confirmed the successful cessation of intestinal leakage and a satisfactory recovery. The drainage tube was removed under colonoscopy, restoring normal small intestine function. To summarize, after sufficient drainage, the leakage gradually decreased, promoting healing; the patient achieved full recovery upon removal of the internal stent via colonoscopy and the establishment of a small intestinal stoma. In conclusion, transurethral prostate resection instrumentation enables safe and minimally invasive placement of intestinal stents, ensuring effective drainage for managing intestinal fistulas.

Introduction

An intestinal fistula is a common and serious complication of intestinal surgery (1), which can occur in patients of any age. In a meta-analysis, Gefen et al (2) reported that 89.4% of patients postoperatively developed an enterocutaneous fistula. The most common fistula site was the small bowel, followed by the colon. The underlying etiologies for enterocutaneous fistula development were inflammatory bowel disease (IBD), malignancy and radiation, and the incidence rate of postoperative intestinal fistula in patients without major basic diseases was markedly reduced (2). Regardless of the surgical context, intestinal fistulas pose a considerable challenge as a postoperative complication. The etiology of intestinal fistula encompasses a range of factors, including abdominal trauma, cancer, radiation, IBD and infectious diseases, and is often accompanied by complications such as sepsis, malnutrition and electrolyte disorders. Complex intestinal fistulas, accounting for ~28% of cases, pose a significant challenge for surgeons (2,3).

Notably, successful management and early treatment of intestinal fistulas are crucial to achieve good treatment outcomes (2). When an intestinal fistula occurs, patients may experience pain and severe skin discomfort. If not handled appropriately, intestinal failure caused by intestinal fistula and the series of complications it causes can be fatal. The treatment of intestinal fistulas includes conservative and surgical strategies, which usually have a significant negative impact on the quality of life of patients. Various treatment modalities have been employed to treat patients with intestinal fistulas, including total parenteral nutrition. Additionally, surgical intervention, such as the placement of vacuum-assisted closure devices, fibrin glue application, endoscopic procedures and repeated ostomy, may be utilized. However, it is important to note that the cure rate and effectiveness of these interventions can vary. Reoperation, mainly open and laparoscopic, is occasionally necessary for severe and complex intestinal fistulas; however, laparoscopic surgery is technically difficult, and adhesions around the secondary surgery are extensive, complicating the surgery. Open surgery causes significant trauma, and patients may experience recurrent fistulas or require colostomy, which reduces their quality of life. Currently, there are limited effective and minimally invasive treatment plans for patients with intestinal fistulas (4,5).

Intestinal fistula treatment can take several months or even years, and is cumbersome and complex (6). The prolonged duration of treatment, coupled with the nature of the treatment, can result in psychological and physical trauma. Conservative approaches typically prove ineffective and time-consuming. Additionally, secondary surgical interventions for stoma reconstruction can impose further physiological stress on patients. Moreover, there exists considerable psychological pressure on patients with stomas, with a number of patients expressing reluctance to accept such a solution (7). Hence, opting for minimally invasive treatment methods becomes crucial, aiming to spare patients from undergoing additional stoma procedures, and alleviating both physical and psychological burdens. Herein, the present study describes the case of a patient with a postoperative gastrointestinal fistula. Through the use of transurethral prostate resection instrumentation, intestinal stent placement and drainage was enabled. After multiple minimally invasive treatments spanning 6 months, the patient recovered and was discharged.

Case report

General information

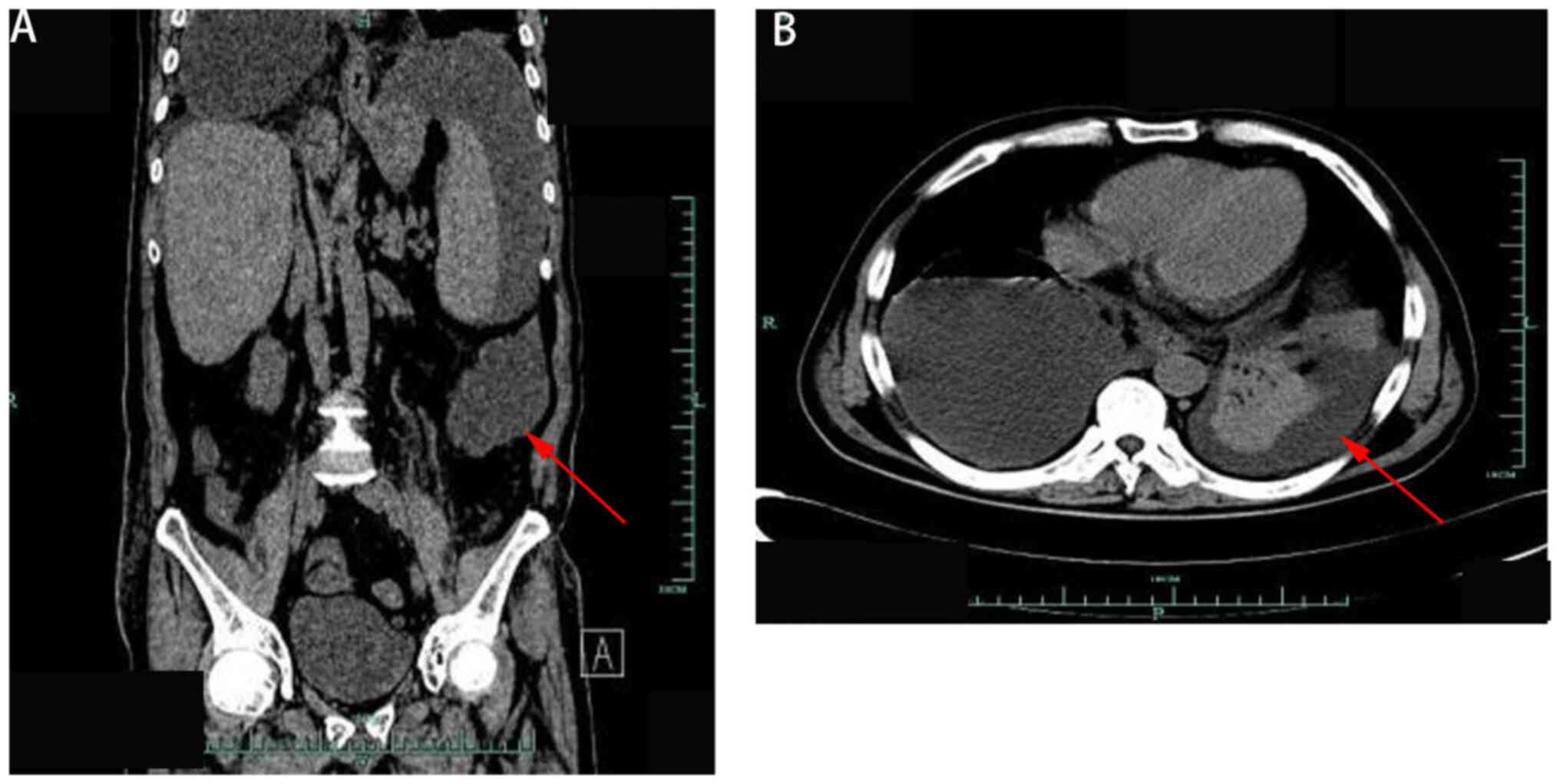
A 51-year-old man with gastric torsion and transverse colon redundancy underwent gastric reduction and fixation, along with partial resection of the transverse and descending colon, at a local hospital in June 2015 (Minle County Traditional Chinese Medicine Hospital, Zhangye, China). On postoperative day 5, discharge of fecal and foul purulent fluid from the upper abdominal incision, abdominal distension and colonic anastomotic leakage were observed. On the 7th post-operative day an ileostomy was performed (Minle County Traditional Chinese Medicine Hospital). After 2 weeks of hospitalization, the patient's condition did not improve, and they were transferred to Hexi University Affiliated Zhangye People's Hospital (Zhangye, China). On admission, a physical examination was conducted and showed a temperature of 38.8˚C (normal range, 36.1-37.0˚C), pulse rate of 118 beats/min (normal range, 60-100 beats/min), respiratory rate of 25 breaths/min (normal range, 16-20 breaths/min) and blood pressure of 110/70 mmHg. The abdomen was slightly distended, with a 16-cm longitudinal incision visible in the middle and upper abdomen, and a 6-cm wound opening in the upper segment. Purulent exudation with a foul odor was observed deep in the abdominal cavity. During exploration using the fingers, the colon anastomosis opening was reached, and contact was made with the titanium nail and an overflow of a significant amount of purulent fluid. In the lower abdomen, a longitudinal wound measuring 7 cm was observed, requiring intermittent suture removal due to local infection, with a visible drainage tube in the lower abdomen. Additionally, a small intestinal stoma, measuring 4 cm in diameter, was noted in the right lower abdomen. The skin around the stoma showed erosive erythema and inflammation, with a diameter of ~8 cm. An abdominal drainage tube was visible in the lower left abdomen, with a slight discharge of purulent fluid. Auscultation revealed diminished bowel sounds, while palpation indicated concave edema in both lower limbs. Computed tomography confirmed the presence of an abdominal abscess (Fig. 1).

Figure 1

Computed tomography examination of abdominal abscess formation. (A) Sagittal plane and (B) coronal plane.

Final diagnosis

The patient was diagnosed with colonic anastomotic fistula, abdominal abscess, localized peritonitis, incomplete intestinal obstruction, bilateral pleural effusion and hypoalbuminemia following small intestinal fistula surgery, and gastric torsion reduction and fixation surgery.

Treatment

The first stage of treatment involved abdominal abscess drainage surgery (1-4 weeks after admission): Thorough opening, cleaning and flushing of the abdominal abscess was performed under general anesthesia using sufentanil, propofol, midazolam and rocuronium bromide. F24 rubber drainage tubes, containing multiple side holes, were retained, and a tube was placed in the right chest for drainage. Active nutritional support, dressing changes for infected incisions and anti-infection treatment with imipenem (intravenous infusion, 500 mg/6 h) were simultaneously provided. The drainage tube was rinsed with diluted iodine to maintain unobstructed drainage. After 3 weeks of treatment, the condition of the patient stabilized and the abdominal abscess gradually recovered. The pus drainage tubes were removed individually and observation was continued for 1 week.

The second stage of treatment involved colon catheterization for external drainage (5 weeks after admission). The patient was placed in the supine position without anesthesia and underwent an endoscopy through an upper abdominal incision opening under direct vision. Use of the same transurethral prostate resection instruments for visualization revealed residual titanium nails and necrotic tissue at the colonic fistula site. The anterior wall of the colon anastomosis had ruptured by ~1/3 of its circumference. Proximal and distal ends of the colon were identified, and external drainage was established using an F24 porous rubber tube inserted with guidewire guidance (Fig. 2). The tubes were rinsed daily with physiological saline solution. After 1 week, the intestinal flushing solution was clear, and the granulation tissue at the abdominal opening was red and moist, without purulent secretions.

Figure 2

Insertion of the intestinal drainage tube. (A) Drainage tube was inserted from the intestinal skin fistula. (B) Radiographic examination of the drainage tube.

The third stage of treatment involved the insertion of drainage stents into the colon (6-10 weeks after admission). Two colon drainage tubes, each measuring 12 cm in length, were utilized. Multiple side holes were cut along the tubes, which were then bound together and fully inserted into the colonic cavity. To prevent stent displacement due to intestinal peristalsis, they were suspended and secured in place using 10# silk thread at the midpoint. A total of 8 weeks after admission, a small amount of leakage was observed at the incision site on the upper abdomen, and the fixed thread was removed. A total of 10 weeks after admission, skin leakage in the upper abdominal colon completely healed (Fig. 3).

Figure 3

Insertion of drainage stents into the colon. (A) Illustrative image. (B) Radiographic examination. (C) Computed tomography examination. (D) Skin fistula healing.

The fourth stage of treatment involved colonoscopy and removal of the colonic drainage stent. A total of 1 month after the healing of the colonic fistula, a retrograde colonoscopy of the anus showed no leakage of the contrast agent at the site of the colonic anastomosis fistula (Fig. 4). During colonoscopy, a drainage tube was identified ~40 cm from the anus. Using a ligation device, the colonic drainage stent tube inserted in the third stage was successfully removed.

Figure 4

Radiography contrast examination. No overflow of contrast agent was observed in the intestinal tract during radiography contrast examination. (A) Transverse colon. (B) Rectum.

Finally, the fifth stage of treatment involved small intestinal fistula recovery. A total of 1 month after the removal of the colon drainage stent, a small intestinal fistula reversion operation was performed. Following the procedure, the patient experienced a successful recovery. Physical examination and abdominal computed tomography revealed favorable progress, and the patient was discharged (Fig. 5). The patient received satisfactory treatment outcomes through diligent care provided by the medical team and nursing staff, effectively averting further complications, such as fistula formation and larger trauma (Fig. 6). The latest follow-up of the patient was in June 2023, and the patient is currently undergoing an annual follow-up. The follow-up entails blood tests to assess routine blood work, liver function, kidney function and electrolyte levels, as well as a full abdominal computed tomography or magnetic resonance imaging scan and physical examination. The patient is currently in good condition and is satisfied with the recovery.

Figure 5

Images taken after the small intestinal stomal return into the abdominal cavity. (A) Computed tomography examination. (B) Skin healing.

Figure 6

Timeline of patient treatment.

Discussion

The patient underwent a full course of treatment for 6 months and ultimately recovered after five surgical procedures. The latter four of these were minimally invasive procedures that did not introduce more complications or cause pain to the patient. Various techniques and surgical procedures for treating intestinal fistulas have been reviewed (2,5,8). Conservative treatment is usually the preferred treatment option initially; however, patients with severe intestinal fistulas cannot be cured through conservative treatment, and their condition can worsen and thus put their lives at risk. Furthermore, surgical enterostomies can increase trauma and pain.

Notably, ≥28% of patients with intestinal fistulas have a complex fistula, which is identified as more than one abnormal connection between the gastrointestinal tract and the skin, or a fistula involving multiple bowel loops. Studies have described a 44-100% success rate of fistula treatment methods, including fibrin glue, vacuum-assisted closure devices, over-the-scope clip endoscopic treatment and extracellular matrix plug; however, the number of patients in the studies were too small to draw a meaningful conclusion about the efficacy of these techniques (9-12). A total of 31 studies involving 1,381 patients have reported fistula healing in 44.8% of the patients who received conservative treatment (2). The fistula recurrence rate after any type of treatment was revealed to be 15.1% in 41 studies (2,557 patients) and the mortality rate was 9.6% (2). After surgery for fistulas, the fistula recurrence rate was 7.6%, the hernia recurrence rate was 19.7% and the infection rate at the surgical site was 36.5%. Mortality was primarily associated with the general condition of the patients, including the presence of sepsis and advanced cancer, malnutrition, American Society of Anesthesiologist score, fistula recurrence and tobacco smoking (2,13-16).

In the present case, before being admitted to Hexi University Affiliated Zhangye People's Hospital, the patient underwent partial resection of the transverse and descending colons, and ileostomy. Consequently, colonic leakage poses a risk of abdominal abscess formation. Urgent surgical intervention and prompt treatment of the infection are imperative in such scenarios. The intestinal continuity can be restored after complete infection control; therefore, acting hastily may not be advisable, as it could exacerbate pain and increase the risk of complications, particularly in cases of direct colostomy.

Treatment of intestinal fistulas requires a multidisciplinary approach (17,18). In the second stage of treatment in the present study, we collaborated with the urology team to perform an endoscopy using transurethral prostate resection instrumentation under direct vision through the upper abdominal incision opening without anesthesia. Placing a drainage tube in the intestinal tract and rinsing it with physiological saline is beneficial for wound healing. Transurethral prostate resection instrumentation, in which a hard endoscope is used to guide resection, is commonly used in urology. The compact design of the endoscope facilitates easy handling during procedures. This instrument provides high-pressure flushing of the operative field, thereby ensuring optimal visibility. Moreover, the insertion of a guidewire catheter in transurethral prostate resection instrumentation is comparatively less invasive than laparoscopy, and offers greater convenience and simplicity compared with colonoscopy (19,20). Patients may experience postoperative complications, such as recurrent fistula, infection or intestinal failure after laparoscopic and open surgical procedures. Therefore, systemic nutrition, which is the most important and first step in treatment, is crucial in these patients. During instrument exploration, the patient receives minimally invasive treatment without the need for anesthesia; thus, there was no risk of surgical and anesthetic complications for the patient. If minimally invasive treatment is ineffective, open surgery can be performed, as it is the only hope for patient survival or cure. It has previously been reported that instrument-based exploration can effectively treat intestinal diseases (21). Therefore, the same prostate resection endoscopy instrumentation was reused for the exploration, treatment and insertion of drainage stents. After sufficient intestinal recovery, satisfactory treatment results were achieved. Although the patient in this case had good treatment outcomes and did not experience postoperative complications or recurrence, this was an isolated case because there were no other patients who underwent such treatment. Therefore, it is not possible to determine the success rate of the treatment options, which is a limitation of the present study.

In the present case, the treatment in each stage was slow and orderly. First, the infection was controlled and intestinal drainage was performed. Once intestinal continuity was fully restored, the patient underwent small intestinal recovery surgery. While the surgical procedures served a crucial role, it is important to note that they were just one aspect of the thorough treatment approach. The treatment of intestinal fistulas requires comprehensive treatment, and the initial focus should be on dealing with water-electrolyte-balance disorders, and actively preventing and treating infection and sepsis. Adjusting the patient's physiological and psychological state is optimal, and effective parenteral nutrition support is essential. Patients with complex intestinal fistulas can be cured through sufficient minimally invasive drainage.

In conclusion, endoscopic guidance for intestinal stent placement to promote intestinal recovery is a simple, effective and minimally invasive treatment plan for complex intestinal fistulas. At present, there are several treatment options for intestinal fistulas, including conservative and surgical treatment, but each has its advantages and disadvantages. The treatment cycle is long, and the therapeutic effect is uncertain, which is a major challenge faced by surgeons. This case report offers valuable insights into employing a comprehensive approach for treating complex intestinal fistulas using a colon indwelling drainage stent under the guidance of transurethral prostate resection instrumentation. By integrating multiple techniques along with interdisciplinary collaboration, this method demonstrates efficacy in managing such challenging cases. Leveraging commonly utilized urological equipment proves to be particularly advantageous, streamlining procedures and yielding significant outcomes with minimal effort in patients undergoing general surgery. The limitations of specialization of surgeons and departments can be effectively addressed through interdisciplinary collaboration, benefiting more patients.

Acknowledgements

Not applicable.

Funding

Funding: This study was funded by grants from the President Fund Innovation Team Project of Hexi University (grant no. CXTD2022012).

Availability of data and materials

The data generated in the present study are included in the figures and/or tables of this article.

Authors' contributions

CW, YQ and ST contributed to the drafting of the manuscript and design of the study. JQ, FY and JY contributed to the conceptualization and design of the study, as well as the completion of the surgery. ST, FY and JY collected clinical information and assisted with drafting the manuscript. JQ and JY critically revised the intellectual content and confirm the authenticity of all the raw data, and have given final approval of the version to be published. All authors read and approved the final version of the manuscript.

Ethics approval and consent to participate

Ethics approval for this study was granted by the Ethics Committee of Hexi University Affiliated Zhangye People's Hospital (approval no. B2014-012).

Patient consent for publication

Written consent was obtained from the patient for the publication of the data and images included in this case report.

Competing interests

The authors declare that they have no competing interests.

References

1 

Bhama AR: Evaluation and management of enterocutaneous fistula. Dis Colon Rectum. 62:906–910. 2019.PubMed/NCBI View Article : Google Scholar

2 

Gefen R, Garoufalia Z, Zhou P, Watson K, Emile SH and Wexner SD: Treatment of enterocutaneous fistula: A systematic review and meta-analysis. Tech Coloproctol. 26:863–874. 2022.PubMed/NCBI View Article : Google Scholar

3 

Islam MS, Gafur MA, Mahmud AA, Mahiuddin M, Khan SA, Reza E, Rahman MS, Mahmud M, Karim MR, Hoque MM, et al: Clinicopathological study of enterocutaneous fistula in Mymensingh Medical College Hospital. Mymensingh Med J. 27:513–519. 2018.PubMed/NCBI

4 

Cattoni DI, Ravazzola C, Tüngler V, Wainstein DE and Chara O: Effect of intestinal pressure on fistula closure during vacuum assisted treatment: A computational approach. Int J Surg. 9:662–668. 2011.PubMed/NCBI View Article : Google Scholar

5 

Assenza M, Rossi D, De Gruttola I and Ballanti C: Enterocutaneous fistula treatment: Case report and review of the literature. G Chir. 39:143–151. 2018.PubMed/NCBI

6 

Ghimire P: Management of enterocutaneous fistula: A review. JNMA J Nepal Med Assoc. 60:93–100. 2022.PubMed/NCBI View Article : Google Scholar

7 

Xiong YC, Deng YH, Li Z, Huang Y and Qin YL: Evaluation of comfort in patients with intestinal fistula and analysis of influencing factors. Altern Ther Health Med. 29:170–179. 2023.PubMed/NCBI

8 

Kluciński A, Wroński M, Cebulski W, Guzel T, Witkowski B, Makiewicz M, Krajewski A and Słodkowski M: Surgical repair of small bowel fistulas: Risk factors of complications or fistula recurrence. Med Sci Monit. 25:5445–5452. 2019.PubMed/NCBI View Article : Google Scholar

9 

Smith TA, Hardman RL, Jenkins L, Marashi K, O'Hara R and Cizman Z: Extracellular matrix enterocutaneous fistula plugs show promise for low-flow colocutaneous and enterocutaneous fistulae. J Vasc Interv Radiol. 32:128–134. 2021.PubMed/NCBI View Article : Google Scholar

10 

Hwang TL and Chen MF: Randomized trial of fibrin tissue glue for low output enterocutaneous fistula. Br J Surg. 83(112)1996.PubMed/NCBI View Article : Google Scholar

11 

Young S, D'Souza D, Hunter D, Golzarian J and Rosenberg M: The use of latex catheters to close enterocutaneous fistulas: An institutional protocol and retrospective review. AJR Am J Roentgenol. 208:1373–1377. 2017.PubMed/NCBI View Article : Google Scholar

12 

Amiot A, Setakhr V, Seksik P, Allez M, Treton X, De Vos M, Laharie D, Colombel JF, Abitbol V, Reimund JM, et al: Long-term outcome of enterocutaneous fistula in patients with Crohn's disease treated with anti-TNF therapy: A cohort study from the GETAID. Am J Gastroenterol. 109:1443–1449. 2014.PubMed/NCBI View Article : Google Scholar

13 

Owen RM, Love TP, Perez SD, Srinivasan JK, Sharma J, Pollock JD, Haack CI, Sweeney JF and Galloway JR: Definitive surgical treatment of enterocutaneous fistula: Outcomes of a 23-year experience. JAMA Surg. 148:118–126. 2013.PubMed/NCBI View Article : Google Scholar

14 

Brenner M, Clayton JL, Tillou A, Hiatt JR and Cryer HG: Risk factors for recurrence after repair of enterocutaneous fistula. Arch Surg. 144:500–505. 2009.PubMed/NCBI View Article : Google Scholar

15 

Draus JM Jr, Huss SA, Harty NJ, Cheadle WG and Larson GM: Enterocutaneous fistula: Are treatments improving? Surgery. 140:570–576. 2006.PubMed/NCBI View Article : Google Scholar

16 

Redden MH, Ramsay P, Humphries T and Fuhrman GM: The etiology of enterocutaneous fistula predicts outcome. Ochsner J. 13:507–511. 2013.PubMed/NCBI

17 

Papa A, Lopetuso LR, Minordi LM, Di Veronica A, Neri M, Rapaccini G, Gasbarrini A and Papa V: A modern multidisciplinary approach to the treatment of enterocutaneous fistulas in Crohn's disease patients. Expert Rev Gastroenterol Hepatol. 14:857–865. 2020.PubMed/NCBI View Article : Google Scholar

18 

Grainger JT, Maeda Y, Donnelly SC and Vaizey CJ: Assessment and management of patients with intestinal failure: A multidisciplinary approach. Clin Exp Gastroenterol. 11:233–241. 2018.PubMed/NCBI View Article : Google Scholar

19 

Xu W, Qin Y, Yang F, Qian J, Dong Y, Tu S and Yao J: Application of transurethral prostate resection instrumentation for treating rectal anastomotic stenosis: Case series. Medicine (Baltimore). 102(e33799)2023.PubMed/NCBI View Article : Google Scholar

20 

Zhang Z, Hu Z, Qin Y, Qian J, Tu S and Yao J: Application of transurethral prostate resection instrumentation for treating low rectal anastomotic leakage: A pilot study. Cancer Manag Res. 14:1987–1994. 2022.PubMed/NCBI View Article : Google Scholar

21 

Yan P, Qin Y, Zhang Z, Xu W, Qian J, Tu S and Yao J: Application of prostate resection endoscopy for treating acute obstruction associated with rectal cancer. J Cancer. 13:1679–1684. 2022.PubMed/NCBI View Article : Google Scholar

Related Articles

  • Abstract
  • View
  • Download
  • Twitter
Copy and paste a formatted citation
Spandidos Publications style
Wang C, Tu S, Yang F, Qin Y, Qian J and Yao J: Complex intestinal fistula treated with colon‑indwelling drainage stent under prostate resection endoscopy instrumentation guidance: A case report. Exp Ther Med 28: 384, 2024.
APA
Wang, C., Tu, S., Yang, F., Qin, Y., Qian, J., & Yao, J. (2024). Complex intestinal fistula treated with colon‑indwelling drainage stent under prostate resection endoscopy instrumentation guidance: A case report. Experimental and Therapeutic Medicine, 28, 384. https://doi.org/10.3892/etm.2024.12673
MLA
Wang, C., Tu, S., Yang, F., Qin, Y., Qian, J., Yao, J."Complex intestinal fistula treated with colon‑indwelling drainage stent under prostate resection endoscopy instrumentation guidance: A case report". Experimental and Therapeutic Medicine 28.4 (2024): 384.
Chicago
Wang, C., Tu, S., Yang, F., Qin, Y., Qian, J., Yao, J."Complex intestinal fistula treated with colon‑indwelling drainage stent under prostate resection endoscopy instrumentation guidance: A case report". Experimental and Therapeutic Medicine 28, no. 4 (2024): 384. https://doi.org/10.3892/etm.2024.12673
Copy and paste a formatted citation
x
Spandidos Publications style
Wang C, Tu S, Yang F, Qin Y, Qian J and Yao J: Complex intestinal fistula treated with colon‑indwelling drainage stent under prostate resection endoscopy instrumentation guidance: A case report. Exp Ther Med 28: 384, 2024.
APA
Wang, C., Tu, S., Yang, F., Qin, Y., Qian, J., & Yao, J. (2024). Complex intestinal fistula treated with colon‑indwelling drainage stent under prostate resection endoscopy instrumentation guidance: A case report. Experimental and Therapeutic Medicine, 28, 384. https://doi.org/10.3892/etm.2024.12673
MLA
Wang, C., Tu, S., Yang, F., Qin, Y., Qian, J., Yao, J."Complex intestinal fistula treated with colon‑indwelling drainage stent under prostate resection endoscopy instrumentation guidance: A case report". Experimental and Therapeutic Medicine 28.4 (2024): 384.
Chicago
Wang, C., Tu, S., Yang, F., Qin, Y., Qian, J., Yao, J."Complex intestinal fistula treated with colon‑indwelling drainage stent under prostate resection endoscopy instrumentation guidance: A case report". Experimental and Therapeutic Medicine 28, no. 4 (2024): 384. https://doi.org/10.3892/etm.2024.12673
Follow us
  • Twitter
  • LinkedIn
  • Facebook
About
  • Spandidos Publications
  • Careers
  • Cookie Policy
  • Privacy Policy
How can we help?
  • Help
  • Live Chat
  • Contact
  • Email to our Support Team