Spandidos Publications Logo
  • About
    • About Spandidos
    • Aims and Scopes
    • Abstracting and Indexing
    • Editorial Policies
    • Reprints and Permissions
    • Job Opportunities
    • Terms and Conditions
    • Contact
  • Journals
    • All Journals
    • Oncology Letters
      • Oncology Letters
      • Information for Authors
      • Editorial Policies
      • Editorial Board
      • Aims and Scope
      • Abstracting and Indexing
      • Bibliographic Information
      • Archive
    • International Journal of Oncology
      • International Journal of Oncology
      • Information for Authors
      • Editorial Policies
      • Editorial Board
      • Aims and Scope
      • Abstracting and Indexing
      • Bibliographic Information
      • Archive
    • Molecular and Clinical Oncology
      • Molecular and Clinical Oncology
      • Information for Authors
      • Editorial Policies
      • Editorial Board
      • Aims and Scope
      • Abstracting and Indexing
      • Bibliographic Information
      • Archive
    • Experimental and Therapeutic Medicine
      • Experimental and Therapeutic Medicine
      • Information for Authors
      • Editorial Policies
      • Editorial Board
      • Aims and Scope
      • Abstracting and Indexing
      • Bibliographic Information
      • Archive
    • International Journal of Molecular Medicine
      • International Journal of Molecular Medicine
      • Information for Authors
      • Editorial Policies
      • Editorial Board
      • Aims and Scope
      • Abstracting and Indexing
      • Bibliographic Information
      • Archive
    • Biomedical Reports
      • Biomedical Reports
      • Information for Authors
      • Editorial Policies
      • Editorial Board
      • Aims and Scope
      • Abstracting and Indexing
      • Bibliographic Information
      • Archive
    • Oncology Reports
      • Oncology Reports
      • Information for Authors
      • Editorial Policies
      • Editorial Board
      • Aims and Scope
      • Abstracting and Indexing
      • Bibliographic Information
      • Archive
    • Molecular Medicine Reports
      • Molecular Medicine Reports
      • Information for Authors
      • Editorial Policies
      • Editorial Board
      • Aims and Scope
      • Abstracting and Indexing
      • Bibliographic Information
      • Archive
    • World Academy of Sciences Journal
      • World Academy of Sciences Journal
      • Information for Authors
      • Editorial Policies
      • Editorial Board
      • Aims and Scope
      • Abstracting and Indexing
      • Bibliographic Information
      • Archive
    • International Journal of Functional Nutrition
      • International Journal of Functional Nutrition
      • Information for Authors
      • Editorial Policies
      • Editorial Board
      • Aims and Scope
      • Abstracting and Indexing
      • Bibliographic Information
      • Archive
    • International Journal of Epigenetics
      • International Journal of Epigenetics
      • Information for Authors
      • Editorial Policies
      • Editorial Board
      • Aims and Scope
      • Abstracting and Indexing
      • Bibliographic Information
      • Archive
    • Medicine International
      • Medicine International
      • Information for Authors
      • Editorial Policies
      • Editorial Board
      • Aims and Scope
      • Abstracting and Indexing
      • Bibliographic Information
      • Archive
  • Articles
  • Information
    • Information for Authors
    • Information for Reviewers
    • Information for Librarians
    • Information for Advertisers
    • Conferences
  • Language Editing
Spandidos Publications Logo
  • About
    • About Spandidos
    • Aims and Scopes
    • Abstracting and Indexing
    • Editorial Policies
    • Reprints and Permissions
    • Job Opportunities
    • Terms and Conditions
    • Contact
  • Journals
    • All Journals
    • Biomedical Reports
      • Information for Authors
      • Editorial Policies
      • Editorial Board
      • Aims and Scope
      • Abstracting and Indexing
      • Bibliographic Information
      • Archive
    • Experimental and Therapeutic Medicine
      • Information for Authors
      • Editorial Policies
      • Editorial Board
      • Aims and Scope
      • Abstracting and Indexing
      • Bibliographic Information
      • Archive
    • International Journal of Epigenetics
      • Information for Authors
      • Editorial Policies
      • Editorial Board
      • Aims and Scope
      • Abstracting and Indexing
      • Bibliographic Information
      • Archive
    • International Journal of Functional Nutrition
      • Information for Authors
      • Editorial Policies
      • Editorial Board
      • Aims and Scope
      • Abstracting and Indexing
      • Bibliographic Information
      • Archive
    • International Journal of Molecular Medicine
      • Information for Authors
      • Editorial Policies
      • Editorial Board
      • Aims and Scope
      • Abstracting and Indexing
      • Bibliographic Information
      • Archive
    • International Journal of Oncology
      • Information for Authors
      • Editorial Policies
      • Editorial Board
      • Aims and Scope
      • Abstracting and Indexing
      • Bibliographic Information
      • Archive
    • Medicine International
      • Information for Authors
      • Editorial Policies
      • Editorial Board
      • Aims and Scope
      • Abstracting and Indexing
      • Bibliographic Information
      • Archive
    • Molecular and Clinical Oncology
      • Information for Authors
      • Editorial Policies
      • Editorial Board
      • Aims and Scope
      • Abstracting and Indexing
      • Bibliographic Information
      • Archive
    • Molecular Medicine Reports
      • Information for Authors
      • Editorial Policies
      • Editorial Board
      • Aims and Scope
      • Abstracting and Indexing
      • Bibliographic Information
      • Archive
    • Oncology Letters
      • Information for Authors
      • Editorial Policies
      • Editorial Board
      • Aims and Scope
      • Abstracting and Indexing
      • Bibliographic Information
      • Archive
    • Oncology Reports
      • Information for Authors
      • Editorial Policies
      • Editorial Board
      • Aims and Scope
      • Abstracting and Indexing
      • Bibliographic Information
      • Archive
    • World Academy of Sciences Journal
      • Information for Authors
      • Editorial Policies
      • Editorial Board
      • Aims and Scope
      • Abstracting and Indexing
      • Bibliographic Information
      • Archive
  • Articles
  • Information
    • For Authors
    • For Reviewers
    • For Librarians
    • For Advertisers
    • Conferences
  • Language Editing
Login Register Submit
  • This site uses cookies
  • You can change your cookie settings at any time by following the instructions in our Cookie Policy. To find out more, you may read our Privacy Policy.

    I agree
Search articles by DOI, keyword, author or affiliation
Search
Advanced Search
presentation
Experimental and Therapeutic Medicine
Join Editorial Board Propose a Special Issue
Print ISSN: 1792-0981 Online ISSN: 1792-1015
Journal Cover
April-2025 Volume 29 Issue 4

Full Size Image

Sign up for eToc alerts
Recommend to Library

Journals

International Journal of Molecular Medicine

International Journal of Molecular Medicine

International Journal of Molecular Medicine is an international journal devoted to molecular mechanisms of human disease.

International Journal of Oncology

International Journal of Oncology

International Journal of Oncology is an international journal devoted to oncology research and cancer treatment.

Molecular Medicine Reports

Molecular Medicine Reports

Covers molecular medicine topics such as pharmacology, pathology, genetics, neuroscience, infectious diseases, molecular cardiology, and molecular surgery.

Oncology Reports

Oncology Reports

Oncology Reports is an international journal devoted to fundamental and applied research in Oncology.

Experimental and Therapeutic Medicine

Experimental and Therapeutic Medicine

Experimental and Therapeutic Medicine is an international journal devoted to laboratory and clinical medicine.

Oncology Letters

Oncology Letters

Oncology Letters is an international journal devoted to Experimental and Clinical Oncology.

Biomedical Reports

Biomedical Reports

Explores a wide range of biological and medical fields, including pharmacology, genetics, microbiology, neuroscience, and molecular cardiology.

Molecular and Clinical Oncology

Molecular and Clinical Oncology

International journal addressing all aspects of oncology research, from tumorigenesis and oncogenes to chemotherapy and metastasis.

World Academy of Sciences Journal

World Academy of Sciences Journal

Multidisciplinary open-access journal spanning biochemistry, genetics, neuroscience, environmental health, and synthetic biology.

International Journal of Functional Nutrition

International Journal of Functional Nutrition

Open-access journal combining biochemistry, pharmacology, immunology, and genetics to advance health through functional nutrition.

International Journal of Epigenetics

International Journal of Epigenetics

Publishes open-access research on using epigenetics to advance understanding and treatment of human disease.

Medicine International

Medicine International

An International Open Access Journal Devoted to General Medicine.

Journal Cover
April-2025 Volume 29 Issue 4

Full Size Image

Sign up for eToc alerts
Recommend to Library

  • Article
  • Citations
    • Cite This Article
    • Download Citation
    • Create Citation Alert
    • Remove Citation Alert
    • Cited By
  • Similar Articles
    • Related Articles (in Spandidos Publications)
    • Similar Articles (Google Scholar)
    • Similar Articles (PubMed)
  • Download PDF
  • Download XML
  • View XML
Case Report Open Access

Synchronous thyroid medullary cancer and thyroid hemiagenesis: A case report

  • Authors:
    • Chunyang Li
    • Chengbin Zhang
    • Chao Ma
    • Yonghui Wang
    • Quanhong Duan
  • View Affiliations / Copyright

    Affiliations: Department of Clinical Medicine, Shandong Second Medical University, Weifang, Shandong 261041, P.R. China, Department of Surgery, Hongshagou Town Hospital, Anqiu, Weifang, Shandong 261041, P.R. China, Department of Thyroid and Breast Surgery, Anqiu People's Hospital, Weifang, Shandong 261041, P.R. China, Department of Thyroid and Breast Surgery, Weifang People's Hospital, Weifang, Shandong 261041, P.R. China
    Copyright: © Li et al. This is an open access article distributed under the terms of Creative Commons Attribution License.
  • Article Number: 77
    |
    Published online on: February 18, 2025
       https://doi.org/10.3892/etm.2025.12827
  • Expand metrics +
Metrics: Total Views: 0 (Spandidos Publications: | PMC Statistics: )
Metrics: Total PDF Downloads: 0 (Spandidos Publications: | PMC Statistics: )
Cited By (CrossRef): 0 citations Loading Articles...

This article is mentioned in:



Abstract

Thyroid hemiagenesis (TH) is a rare, congenital malformation defined as the absence of one thyroid lobe with or without an isthmus. By contrast, medullary thyroid cancer (MTC) is a rare thyroid malignancy, arises from parafollicular C cells. In the current study, a 33‑year‑old man presented with a small mass on the left side of the neck. Ultrasonography indicated a hyperechoic nodule in the left lobe of the thyroid gland and the right thyroid lobe could not be visualized. The patient underwent fine‑needle aspiration cytology and MTC was suspected. The patient underwent total thyroidectomy, bilateral central lymph node dissection and left cervical compartment dissection. L‑thyroxine (100 µg/per day) commenced immediately following thyroidectomy. During follow‑up (monitored every 3 months), the patient remained healthy with no evidence of recurrence.

Introduction

Thyroid hemiagenesis (TH), which was first reported in 1852, is a rare, congenital anatomical abnormality that is defined as the absence of one thyroid lobe with or without an isthmus (1). In the majority of cases, TH is discovered incidentally when performing imaging of the neck (1). However, to the best of our knowledge, the clinical significance of this malformation has not been fully elucidated. Therefore, to date, there are no clinical recommendations for patients with euthyroidism and TH.

Thyroid cancer is the most common endocrine malignancy (2) and the cancer with the fastest increasing incidence rate worldwide (2); it can be classified into papillary thyroid cancer and follicular thyroid cancer, which are derived from follicular cells. By contrast, medullary thyroid cancer (MTC), another type of thyroid cancer, arise from parafollicular C cells (3). In particular, MTC is a rare type of thyroid cancer and only accounts for 3% of all thyroid malignancies (4,5). The 10-year survival rate of MTC is ~50%, while the 10-year survival rate of differentiated thyroid cancer, including papillary and follicular thyroid cancer, is 94% (5,6). However, the co-occurrence of TH and thyroid cancer is rare, where in the majority of cases co-occurrence presents as synchronous TH and papillary thyroid cancer (7). To date, to the best of our knowledge, only one case of TH and MTC co-occurrence of has been reported (8). In addition, the treatment strategy of concurrent TH and MTC has not been well-illustrated. The present report chronicles a rare case of synchronous TH and MTC and summarizes the epidemiology of the condition, thyroid gland embryology and the treatment strategy for synchronous TH and MTC.

Case report

A 33-year-old man was referred to the thyroid clinic of Weifang People's Hospital (Weifang, China) in May 2022, as a lesion on the left thyroid lobe had been incidentally discovered during a routine health examination 1 month previously. The patient had no personal or family history of endocrine disorders. The patient's physical examination was unremarkable. Laboratory tests (Table I) showed a thyroid-stimulating hormone (TSH) level of 3.4 µU/ml (normal range: 0.5-5.5 µU/ml), serum calcitonin level of 115.2 pg/l (normal range: 0-6.4 pg/l) and serum carcinoembryonic antigen (CEA) level of 30.7 ng/l (normal range: 0-5 ng/l). Laboratory tests results showed that the patient might suffer from MTC.

Table I

Summary of patient's laboratory test results.

Table I

Summary of patient's laboratory test results.

TestPre-surgery1-Week post-surgery1-Month post-surgery
Thyroid-stimulating hormone, µU/ml3.45.62.7
Carcinoembryonic antigen, ng/l30.74.22.1
Calcitonin, pg/l115.22.63.4

Ultrasound of the neck revealed that the left thyroid lobe contained an irregular, hypoechoic, hypervascular tumor with a long diameter of 1.5 cm (Fig. 1A). Cervical CT imaging showed a thyroid tumor located in the left thyroid (Fig. 1B). The right thyroid lobe could not be visualized in the ultrasound and CT images. The patient underwent fine-needle aspiration cytology. The result showed that the morphology of the cells was spindle shaped (Fig. 2) and MTC was suspected. However, ultrasound and CT showed that no suspicious lymph nodes were apparent.

Figure 1

Ultrasonography and CT images of the thyroid. (A) Ultrasonography revealing a hyperechoic nodule (indicated by an asterisk) in the left lobe without the right thyroid lobe. (B) CT imaging showing a solid nodule (indicated by an asterisk) in the left lobe without the right thyroid lobe. CT, computed tomography.

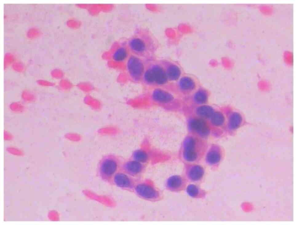
Figure 2

Fine-needle aspiration of the right lobe showing a medullary thyroid tumor.

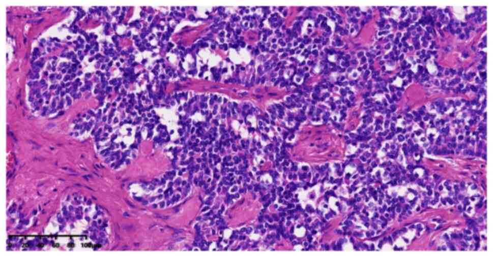
The patient underwent total thyroidectomy, bilateral central lymph node dissection and left cervical compartment dissection in May 2022. The intraoperative findings indicated right-sided TH and a suspicious lesion (13x12 mm.) in the left thyroid lobe with an isthmus. Tissue specimens were fixed with 4% formalin at room temperature for 12 h, embedded in paraffin at 60˚C for 15 min, cut into 4-µm sections, stained for 5 min at room temperature with hematoxylin and eosin, and observed under a light microscope (Nikon Corporation). On their histopathology under the microscope, the lesion cells were observed to have round nuclei and clumped chromatin with scant amphophilic cytoplasm (Fig. 3). Immunohistochemical analysis of the tissue was performed. Tumor tissue was fixed with 4% neutral formalin at room temperature for 12 h, embedded in paraffin at 60˚C for 15 min, cut into 4-µm sections and sealed with 3% hydrogen peroxide at room temperature for 10 min. Antigen retrieval was performed with EDTA at 100˚C for 2.5 min followed by washing with PBS. Primary antibody incubation was performed at 37˚C for 60 min and secondary antibody incubation at 37˚C for 20 min. The Anti-CEA antibody was purchased from Santa Cruz Biotechnology. The other primary antibodies were purchased from Beyotime Institute of Biotechnology. The following primary antibodies were used: Calcitonin (cat. no. AG8159; 1:100), CEA (sc-48364; cat. no. AF6480; 1:100), thyroid transcription factor 1 (TTF-1; cat. no. AG8751; 1:100) and thyroglobulin (TG; cat. no. AG3385; 1:100). Biotinylated Goat anti-Mouse and Rabbit secondary antibodies were obtained from OriGene Technologies, Inc. (cat. no. PV-6000; 1:500). Immunohistochemical staining results revealed positivity for calcitonin (Fig. 4A), CEA (Fig. 4B) and TTF-1 (Fig. 4C) and negativity forTG) (Fig. 4D). The positivity of calcitonin, CEA and TTF-1 enhanced the diagnosis of MTC, while negative results for TG excluded the diagnosis of differentiated thyroid carcinoma. The lymphatic adipose tissue of the central compartment and the left cervical compartment was dissected. A total of 32 lymph nodes were discovered. Lymph node metastasis was detected in 4 of the 32 lymph node samples harvested.

Figure 3

Histopathology of the lesion indicating a medullary thyroid tumor (hematoxylin and eosin staining; magnification, x200; scale bar, 100 µm).

Figure 4

Immunohistochemical staining of the medullary thyroid cancer indicating that the tumor was (A) positive for calcitonin, (B) positive for carcinoembryonic antigen, (C) positive for TTF-1 and (D) negative for TG (magnification, x200; scale bar, 100 µm). TTF-1, thyroid transcription factor 1.TG, thyroglobulin.

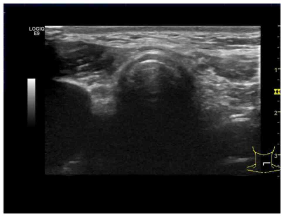
Serum calcitonin and CEA levels dropped to normal 1 week after the surgery (Table I). Replacement therapy with L-thyroxine (100 µg/per day; lifetime) was performed at a TSH level of 0.5-5.5 µU/ml. TSH, calcitonin and CEA were detected every 3 months and follow-up ultrasound was performed every 3 months. The latest follow-up was performed in May 2024. Ultrasound showed no suspicious lymph nodes or recurrent lesions (Fig. 5). Laboratory tests illustrated a TSH level of 3.1 µU/ml, a serum calcitonin level of 2.9 pg/l and a CEA level of 2.5 ng/l.

Figure 5

Ultrasonography showing no recurrent lesion or suspicious lymph node.

Discussion

TH is a rare, congenital abnormality that is defined as the absence of one thyroid lobe with or without an isthmus (1). MTC is a rare malignancy that is derived from neuroendocrine parafollicular C-cells of the thyroid gland (3). To the best of our knowledge, only one case of the co-occurrence of TH and MTC has so far been reported (8).

In the majority of cases, TH is accidentally discovered in patients with other thyroid conditions (9). Previous studies conducted in Northern Poland and Sicily have demonstrated that the prevalence of TH in adolescents is 0.05% (10,11), whereas its prevalence in Belgium in the population with similar demographics is ~0.2% (12). However, children with congenital hypothyroidism in Isfahan (Iran), where goiter and thyroid nodules are prevalent, tend to have a higher TH prevalence at ≤3.7% (13,14). In addition, TH is more common in females, with a female-to-male ratio of 4.3-7:1 (15,16).

MTC is a rare type of thyroid cancer that accounts for 3% of all thyroid malignancies (4,5). Despite its relative rarity, MTC is associated with a significantly higher death rate compared with other types of thyroid cancer, such as papillary and follicular thyroid cancer (5,6).

A previous study has revealed that TH can co-occur with certain benign thyroid conditions, such as Hashimoto's thyroiditis, simple goiters and subacute thyroiditis (8). In addition, TH can co-occurs with other types of thyroid cancer, including papillary and follicular thyroid cancer (8). However, to the best of our knowledge, there is only one reported case of TH and MTC co-occurrence (8). In that report, a 49-year-old woman with MTC and TH underwent a thyroidectomy plus ipsilateral central and lateral neck dissection, and achieved long-term disease-free survival (8). The present study reported another rare case of TH and MTC co-occurrence.

Thyroid embryogenesis is a complex process that remains largely unknown. In addition, to the best of our knowledge, the mechanism underlying the lobulation of the thyroid primordium and controlling the descent of the thyroid gland has not been fully elucidated.

The thyroid gland is the first endocrine organ to develop during gestation. Derived from a medial anlage, it develops between the 3rd and 11th week of gestation (17). Thyroid anlage cells develop because of the proliferation of the endodermal epithelium that lines the floor of the primitive pharynx between the first and second pharyngeal arch (17). Subsequently, this midline structure undergoes numerous transformations, such as enlargement, bifurcation, lobulations and detachment from the pharynx (17). Accompanying the enlargement, the median thyroid anlage is initially hollow and spherical, where then it solidifies, forming follicular elements of the thyroid gland, after which it becomes a bilobed structure (18). During the 5th week of gestation, the lateral thyroid primordia are derived from the ventral part of pharyngeal pouches in the ultimobranchial bodies, where they are attached to the posterior part of the thyroid gland (19). The lateral primordia originate from neural crest cells and provide parafollicular C cells, which produce calcitonin (19). At the end of the 7th week of gestation, the thyroid gland descends in front of the hyoid bone and laryngeal cartilage and then settles in its final position anterior to the trachea (17). Between the 8th and 12th weeks of gestation, the thyroid follicular cells arise from the median thyroid anlage and incorporate iodine (17).

At present, TH is considered to be idiopathic, where theories of its etiology include genetic aberrations, defects in lobulation and failure of descent. A number of transcription factors, such as Forkhead Box Protein E1 (FOXE1), have been shown to be crucial in the proliferation and descent of the thyroid primordial (20-22). In addition, the mutation of these transcription factors (FOXE1, NKX2-1 and PAX8) may induce TH occurrence (20-22).

Regarding the diagnosis, in the majority of cases, TH is typically discovered incidentally during neck imaging. The diagnosis of TH can be confirmed if the contralateral thyroid tissue is revealed by ultrasonography, CT or thyroid scintigraphy (7,23). The combination of ultrasound and scintigraphy or CT is sufficient to confirm the diagnosis of TH (7,23). However, thyroid scintigraphy alone cannot confirm the diagnosis of TH because of the presence of a non-functional hypoplastic lobe, such as in unilateral thyroiditis (7,23). Ultrasound is considered the gold standard imaging modality for diagnosing TH due to its non-invasiveness, low cost and wide availability (7,23). In the present study, ultrasonography and CT showed that the right lobe of thyroid was absence. Therefore, the diagnosis of TH was confirmed.

In general, a cytological smear of a thyroid lesion is the first step in MTC diagnosis (4,5). MTC cells are usually discohesive or weakly cohesive (4,5). The morphology of MTC cells may be spindle-shaped or epithelioid (4,5). However, the diagnosis of MTC via cytological smear is difficult due to a variety of cellular morphologies, non-typical cell shapes and low cellularity (4,5). Serum calcitonin levels of >100 pg/m may further confirm the diagnosis of MTC in ambiguous cases (4,5). In addition, CEA is another reliable tumor marker of MTC (4,5). Pathology is considered to be the gold standard for MTC diagnosis (4,5). On immunohistochemistry, calcitonin, CEA will typically yield positive results, whereas TG should be negative (4,5). In the present case, the serum level of calcitonin and CEA was markedly higher compared with the normal level. MTC markers, including calcitonin and CEA, were positive, confirming the diagnosis of TH and MTC.

Regarding the treatment strategy and follow-up, certain considerations should be made. In general, TH is associated with normal thyroid function, where clinically euthyroid patients should not be treated (7,23). However, TH can be found in association with other thyroid diseases, such as Hashimoto's thyroiditis, Graves' disease and hyperthyroidism (7,23). TH treatment should be performed in accordance with the co-existing thyroid disease. In addition, TH with anatomic abnormalities, including the presence of a thyroglossal cyst or cervical thymic cysts, should be treated in accordance with other congenital diseases (7,23).

For patients with TH and MTC co-occurrence, treatment should be performed in accordance with the MTC treatment guideline (24). Surgery is the first step in MTC treatment and the scope of surgery should include the thyroid gland, bilateral central compartment lymph nodes and lateral neck lymph nodes in accordance with the serum calcitonin level. During follow-up, measuring calcitonin and CEA levels every 3 months is important to determine the chemical relapse of the disease. In addition, neck ultrasonography should be performed every 3 months to check for MTC relapse. In the present case, the patient remains healthy with no evidence of disease recurrence.

Notably, the present case has certain limitations. The pathology and clinical significance of TH were not completely illustrated. Therefore, gene mutation and epigenetic changes of TH require further investigation. Furthermore, the association between TH and other thyroid diseases has not been well-studied. In future studies, high-throughput technologies may discover the cause of TH in thyroid embryogenesis and the relationship between TH and other thyroid diseases.

In conclusion, TH is a rare congenital anomaly that is typically asymptomatic. MTC occurrence in the remnant lobe is uncommon. Knowledge of this rare type of thyroid disorder and immunohistochemical markers are key to making a correct diagnosis. The treatment strategy for TH and MTC co-occurrence should follow the MTC guideline.

Acknowledgements

Not applicable.

Funding

Funding: No funding was received.

Availability of data and materials

The data generated in the present study may be requested from the corresponding author.

Authors' contributions

CL, YW and QD contributed to the drafting of the manuscript and design of the study. CL, CZ, CM and YW contributed to the conceptualization and design of the study, as well as performing the surgery. CL, CZ and CM collected clinical information and assisted with drafting the manuscript. YW and QD critically revised the intellectual content, confirm the authenticity of all the raw data and gave final approval of the version to be published. All authors read and approved the final version of the manuscript.

Ethics approval and consent to participate

Not applicable.

Patient consent for publication

Written informed consent was obtained from the patient for publication of this paper and any accompanying images.

Competing interests

The authors declare that they have no competing interests.

References

1 

Yang YS and Hong KH: Case of thyroid hemiagenesis and ectopic lingual thyroid presenting as goitre. J Laryngol Otol. 122(e17)2008.PubMed/NCBI View Article : Google Scholar

2 

Sung H, Ferlay J, Siegel RL, Laversanne M, Soerjomataram I, Jemal A and Bray F: Global cancer statistics 2020: GLOBOCAN estimates of incidence and mortality worldwide for 36 cancers in 185 countries. CA Cancer J Clin. 71:209–249. 2021.PubMed/NCBI View Article : Google Scholar

3 

Wang Y, Yin D, Ren G, Wang Z and Kong F: Mixed medullary-follicular thyroid carcinoma: A case report and literature review. Oncol Lett. 26(429)2023.PubMed/NCBI View Article : Google Scholar

4 

Kim M and Kim BH: Current guidelines for management of medullary thyroid carcinoma. Endocrinol Metab (Seoul). 36:514–524. 2021.PubMed/NCBI View Article : Google Scholar

5 

Jaber T, Dadu R and Hu MI: Medullary thyroid carcinoma. Curr Opin Endocrinol Diabetes Obes. 28:540–546. 2021.PubMed/NCBI View Article : Google Scholar

6 

Pelizzo MR, Mazza EI, Mian C and Merante Boschin I: Medullary thyroid carcinoma. Expert Rev Anticancer Ther. 23:943–957. 2023.PubMed/NCBI View Article : Google Scholar

7 

Lesi OK, Thapar A, Appaiah NNB, Iqbal MR, Kumar S, Maharaj D, Saad Abdalla Al-Zawi A and Dindyal S: Thyroid hemiagenesis: Narrative review and clinical implications. Cureus. 14(e22401)2022.PubMed/NCBI View Article : Google Scholar

8 

Alqahtani SM, Alanesi S and Alalawi Y: Thyroid hemiagenesis with primary hyperparathyroidism or papillary thyroid carcinoma: A report of two cases and literature review. Clin Case Rep. 9:1615–1620. 2021.PubMed/NCBI View Article : Google Scholar

9 

Sato H, Tsukahara K, Motohashi R, Wakiya M, Serizawa H and Kurata A: Thyroid carcinoma on the side of the absent lobe in a patient with thyroid hemiagenesis. Case Rep Otolaryngol. 2017(4592783)2017.PubMed/NCBI View Article : Google Scholar

10 

Korpal-Szczyrska M, Kosiak W and Swieton D: Prevalence of thyroid hemiagenesis in an asymptomatic schoolchildren population. Thyroid. 18:637–639. 2008.PubMed/NCBI View Article : Google Scholar

11 

Maiorana R, Carta A, Floriddia G, Leonardi D, Buscema M, Sava L, Calaciura F and Vigneri R: Thyroid hemiagenesis: Prevalence in normal children and effect on thyroid function. J Clin Endocrinol Metab. 88:1534–1536. 2003.PubMed/NCBI View Article : Google Scholar

12 

Shabana W, Delange F, Freson M, Osteaux M and De Schepper J: Prevalence of thyroid hemiagenesis: Ultrasound screening in normal children. Eur J Pediatr. 159:456–458. 2000.PubMed/NCBI View Article : Google Scholar

13 

Ayaz ÜY, Ayaz S, Döğen ME and Api A: Ultrasonographic and scintigraphic findings of thyroid hemiagenesis in a child: Report of a rare male case. Case Rep Radiol. 2015(917504)2015.PubMed/NCBI View Article : Google Scholar

14 

Hashemipour M, Ghasemi M, Hovsepian S, Heiydari K, Sajadi A, Hadian R, Mansourian M, Mirshahzadeh N, Kelishadi R and Dalvi M: Etiology of congenital hypothyroidism in Isfahan: Does it different? Adv Biomed Res. 3(21)2014.PubMed/NCBI View Article : Google Scholar

15 

Mikosch P, Gallowitsch HJ, Kresnik E, Molnar M, Gomez I and Lind P: Thyroid hemiagenesis in an endemic goiter area diagnosed by ultrasonography: Report of sixteen patients. Thyroid. 9:1075–1084. 1999.PubMed/NCBI View Article : Google Scholar

16 

Ruchala M, Szczepanek E, Szaflarski W, Moczko J, Czarnywojtek A, Pietz L, Nowicki M, Niedziela M, Zabel M, Köhrle J and Sowinski J: Increased risk of thyroid pathology in patients with thyroid hemiagenesis: Results of a large cohort case-control study. Eur J Endocrinol. 162:153–160. 2010.PubMed/NCBI View Article : Google Scholar

17 

Mohebati A and Shaha AR: Anatomy of thyroid and parathyroid glands and neurovascular relations. Clin Anat. 25:19–31. 2012.PubMed/NCBI View Article : Google Scholar

18 

Policeni BA, Smoker WR and Reede DL: Anatomy and embryology of the thyroid and parathyroid glands. Semin Ultrasound CT MR. 33:104–114. 2012.PubMed/NCBI View Article : Google Scholar

19 

Organ GM and Organ CH Jr: Thyroid gland and surgery of the thyroglossal duct: Exercise in applied embryology. World J Surg. 24:886–890. 2000.PubMed/NCBI View Article : Google Scholar

20 

Campennì A, Giovinazzo S, Curtò L, Giordano E, Trovato M, Ruggeri RM and Baldari S: Thyroid hemiagenesis, Graves' disease and differentiated thyroid cancer: A very rare association: Case report and review of literature. Hormones (Athens). 14:451–458. 2015.PubMed/NCBI View Article : Google Scholar

21 

Macchia PE, Lapi P, Krude H, Pirro MT, Missero C, Chiovato L, Souabni A, Baserga M, Tassi V, Pinchera A, et al: PAX8 mutations associated with congenital hypothyroidism caused by thyroid dysgenesis. Nat Genet. 19:83–86. 1998.PubMed/NCBI View Article : Google Scholar

22 

Szczepanek E, Ruchala M, Szaflarski W, Budny B, Kilinska L, Jaroniec M, Niedziela M, Zabel M and Sowinski J: FOXE1 polyalanine tract length polymorphism in patients with thyroid hemiagenesis and subjects with normal thyroid. Horm Res Paediatr. 75:329–334. 2011.PubMed/NCBI View Article : Google Scholar

23 

Szczepanek-Parulska E, Zybek-Kocik A, Wartofsky L and Ruchala M: Thyroid hemiagenesis: Incidence, clinical significance, and genetic background. J Clin Endocrinol Metab. 102:3124–3137. 2017.PubMed/NCBI View Article : Google Scholar

24 

Boucai L, Zafereo M and Cabanillas ME: Thyroid cancer: A review. JAMA. 331:425–435. 2024.PubMed/NCBI View Article : Google Scholar

Related Articles

  • Abstract
  • View
  • Download
  • Twitter
Copy and paste a formatted citation
Spandidos Publications style
Li C, Zhang C, Ma C, Wang Y and Duan Q: Synchronous thyroid medullary cancer and thyroid hemiagenesis: A case report. Exp Ther Med 29: 77, 2025.
APA
Li, C., Zhang, C., Ma, C., Wang, Y., & Duan, Q. (2025). Synchronous thyroid medullary cancer and thyroid hemiagenesis: A case report. Experimental and Therapeutic Medicine, 29, 77. https://doi.org/10.3892/etm.2025.12827
MLA
Li, C., Zhang, C., Ma, C., Wang, Y., Duan, Q."Synchronous thyroid medullary cancer and thyroid hemiagenesis: A case report". Experimental and Therapeutic Medicine 29.4 (2025): 77.
Chicago
Li, C., Zhang, C., Ma, C., Wang, Y., Duan, Q."Synchronous thyroid medullary cancer and thyroid hemiagenesis: A case report". Experimental and Therapeutic Medicine 29, no. 4 (2025): 77. https://doi.org/10.3892/etm.2025.12827
Copy and paste a formatted citation
x
Spandidos Publications style
Li C, Zhang C, Ma C, Wang Y and Duan Q: Synchronous thyroid medullary cancer and thyroid hemiagenesis: A case report. Exp Ther Med 29: 77, 2025.
APA
Li, C., Zhang, C., Ma, C., Wang, Y., & Duan, Q. (2025). Synchronous thyroid medullary cancer and thyroid hemiagenesis: A case report. Experimental and Therapeutic Medicine, 29, 77. https://doi.org/10.3892/etm.2025.12827
MLA
Li, C., Zhang, C., Ma, C., Wang, Y., Duan, Q."Synchronous thyroid medullary cancer and thyroid hemiagenesis: A case report". Experimental and Therapeutic Medicine 29.4 (2025): 77.
Chicago
Li, C., Zhang, C., Ma, C., Wang, Y., Duan, Q."Synchronous thyroid medullary cancer and thyroid hemiagenesis: A case report". Experimental and Therapeutic Medicine 29, no. 4 (2025): 77. https://doi.org/10.3892/etm.2025.12827
Follow us
  • Twitter
  • LinkedIn
  • Facebook
About
  • Spandidos Publications
  • Careers
  • Cookie Policy
  • Privacy Policy
How can we help?
  • Help
  • Live Chat
  • Contact
  • Email to our Support Team