Spandidos Publications Logo
  • About
    • About Spandidos
    • Aims and Scopes
    • Abstracting and Indexing
    • Editorial Policies
    • Reprints and Permissions
    • Job Opportunities
    • Terms and Conditions
    • Contact
  • Journals
    • All Journals
    • Oncology Letters
      • Oncology Letters
      • Information for Authors
      • Editorial Policies
      • Editorial Board
      • Aims and Scope
      • Abstracting and Indexing
      • Bibliographic Information
      • Archive
    • International Journal of Oncology
      • International Journal of Oncology
      • Information for Authors
      • Editorial Policies
      • Editorial Board
      • Aims and Scope
      • Abstracting and Indexing
      • Bibliographic Information
      • Archive
    • Molecular and Clinical Oncology
      • Molecular and Clinical Oncology
      • Information for Authors
      • Editorial Policies
      • Editorial Board
      • Aims and Scope
      • Abstracting and Indexing
      • Bibliographic Information
      • Archive
    • Experimental and Therapeutic Medicine
      • Experimental and Therapeutic Medicine
      • Information for Authors
      • Editorial Policies
      • Editorial Board
      • Aims and Scope
      • Abstracting and Indexing
      • Bibliographic Information
      • Archive
    • International Journal of Molecular Medicine
      • International Journal of Molecular Medicine
      • Information for Authors
      • Editorial Policies
      • Editorial Board
      • Aims and Scope
      • Abstracting and Indexing
      • Bibliographic Information
      • Archive
    • Biomedical Reports
      • Biomedical Reports
      • Information for Authors
      • Editorial Policies
      • Editorial Board
      • Aims and Scope
      • Abstracting and Indexing
      • Bibliographic Information
      • Archive
    • Oncology Reports
      • Oncology Reports
      • Information for Authors
      • Editorial Policies
      • Editorial Board
      • Aims and Scope
      • Abstracting and Indexing
      • Bibliographic Information
      • Archive
    • Molecular Medicine Reports
      • Molecular Medicine Reports
      • Information for Authors
      • Editorial Policies
      • Editorial Board
      • Aims and Scope
      • Abstracting and Indexing
      • Bibliographic Information
      • Archive
    • World Academy of Sciences Journal
      • World Academy of Sciences Journal
      • Information for Authors
      • Editorial Policies
      • Editorial Board
      • Aims and Scope
      • Abstracting and Indexing
      • Bibliographic Information
      • Archive
    • International Journal of Functional Nutrition
      • International Journal of Functional Nutrition
      • Information for Authors
      • Editorial Policies
      • Editorial Board
      • Aims and Scope
      • Abstracting and Indexing
      • Bibliographic Information
      • Archive
    • International Journal of Epigenetics
      • International Journal of Epigenetics
      • Information for Authors
      • Editorial Policies
      • Editorial Board
      • Aims and Scope
      • Abstracting and Indexing
      • Bibliographic Information
      • Archive
    • Medicine International
      • Medicine International
      • Information for Authors
      • Editorial Policies
      • Editorial Board
      • Aims and Scope
      • Abstracting and Indexing
      • Bibliographic Information
      • Archive
  • Articles
  • Information
    • Information for Authors
    • Information for Reviewers
    • Information for Librarians
    • Information for Advertisers
    • Conferences
  • Language Editing
Spandidos Publications Logo
  • About
    • About Spandidos
    • Aims and Scopes
    • Abstracting and Indexing
    • Editorial Policies
    • Reprints and Permissions
    • Job Opportunities
    • Terms and Conditions
    • Contact
  • Journals
    • All Journals
    • Biomedical Reports
      • Information for Authors
      • Editorial Policies
      • Editorial Board
      • Aims and Scope
      • Abstracting and Indexing
      • Bibliographic Information
      • Archive
    • Experimental and Therapeutic Medicine
      • Information for Authors
      • Editorial Policies
      • Editorial Board
      • Aims and Scope
      • Abstracting and Indexing
      • Bibliographic Information
      • Archive
    • International Journal of Epigenetics
      • Information for Authors
      • Editorial Policies
      • Editorial Board
      • Aims and Scope
      • Abstracting and Indexing
      • Bibliographic Information
      • Archive
    • International Journal of Functional Nutrition
      • Information for Authors
      • Editorial Policies
      • Editorial Board
      • Aims and Scope
      • Abstracting and Indexing
      • Bibliographic Information
      • Archive
    • International Journal of Molecular Medicine
      • Information for Authors
      • Editorial Policies
      • Editorial Board
      • Aims and Scope
      • Abstracting and Indexing
      • Bibliographic Information
      • Archive
    • International Journal of Oncology
      • Information for Authors
      • Editorial Policies
      • Editorial Board
      • Aims and Scope
      • Abstracting and Indexing
      • Bibliographic Information
      • Archive
    • Medicine International
      • Information for Authors
      • Editorial Policies
      • Editorial Board
      • Aims and Scope
      • Abstracting and Indexing
      • Bibliographic Information
      • Archive
    • Molecular and Clinical Oncology
      • Information for Authors
      • Editorial Policies
      • Editorial Board
      • Aims and Scope
      • Abstracting and Indexing
      • Bibliographic Information
      • Archive
    • Molecular Medicine Reports
      • Information for Authors
      • Editorial Policies
      • Editorial Board
      • Aims and Scope
      • Abstracting and Indexing
      • Bibliographic Information
      • Archive
    • Oncology Letters
      • Information for Authors
      • Editorial Policies
      • Editorial Board
      • Aims and Scope
      • Abstracting and Indexing
      • Bibliographic Information
      • Archive
    • Oncology Reports
      • Information for Authors
      • Editorial Policies
      • Editorial Board
      • Aims and Scope
      • Abstracting and Indexing
      • Bibliographic Information
      • Archive
    • World Academy of Sciences Journal
      • Information for Authors
      • Editorial Policies
      • Editorial Board
      • Aims and Scope
      • Abstracting and Indexing
      • Bibliographic Information
      • Archive
  • Articles
  • Information
    • For Authors
    • For Reviewers
    • For Librarians
    • For Advertisers
    • Conferences
  • Language Editing
Login Register Submit
  • This site uses cookies
  • You can change your cookie settings at any time by following the instructions in our Cookie Policy. To find out more, you may read our Privacy Policy.

    I agree
Search articles by DOI, keyword, author or affiliation
Search
Advanced Search
presentation
Experimental and Therapeutic Medicine
Join Editorial Board Propose a Special Issue
Print ISSN: 1792-0981 Online ISSN: 1792-1015
Journal Cover
April-2025 Volume 29 Issue 4

Full Size Image

Sign up for eToc alerts
Recommend to Library

Journals

International Journal of Molecular Medicine

International Journal of Molecular Medicine

International Journal of Molecular Medicine is an international journal devoted to molecular mechanisms of human disease.

International Journal of Oncology

International Journal of Oncology

International Journal of Oncology is an international journal devoted to oncology research and cancer treatment.

Molecular Medicine Reports

Molecular Medicine Reports

Covers molecular medicine topics such as pharmacology, pathology, genetics, neuroscience, infectious diseases, molecular cardiology, and molecular surgery.

Oncology Reports

Oncology Reports

Oncology Reports is an international journal devoted to fundamental and applied research in Oncology.

Experimental and Therapeutic Medicine

Experimental and Therapeutic Medicine

Experimental and Therapeutic Medicine is an international journal devoted to laboratory and clinical medicine.

Oncology Letters

Oncology Letters

Oncology Letters is an international journal devoted to Experimental and Clinical Oncology.

Biomedical Reports

Biomedical Reports

Explores a wide range of biological and medical fields, including pharmacology, genetics, microbiology, neuroscience, and molecular cardiology.

Molecular and Clinical Oncology

Molecular and Clinical Oncology

International journal addressing all aspects of oncology research, from tumorigenesis and oncogenes to chemotherapy and metastasis.

World Academy of Sciences Journal

World Academy of Sciences Journal

Multidisciplinary open-access journal spanning biochemistry, genetics, neuroscience, environmental health, and synthetic biology.

International Journal of Functional Nutrition

International Journal of Functional Nutrition

Open-access journal combining biochemistry, pharmacology, immunology, and genetics to advance health through functional nutrition.

International Journal of Epigenetics

International Journal of Epigenetics

Publishes open-access research on using epigenetics to advance understanding and treatment of human disease.

Medicine International

Medicine International

An International Open Access Journal Devoted to General Medicine.

Journal Cover
April-2025 Volume 29 Issue 4

Full Size Image

Sign up for eToc alerts
Recommend to Library

  • Article
  • Citations
    • Cite This Article
    • Download Citation
    • Create Citation Alert
    • Remove Citation Alert
    • Cited By
  • Similar Articles
    • Related Articles (in Spandidos Publications)
    • Similar Articles (Google Scholar)
    • Similar Articles (PubMed)
  • Download PDF
  • Download XML
  • View XML
Article Open Access

Value of ultrasound‑guided puncture combined with GeneXpert MTB/RIF technology in the diagnosis of pleural tuberculosis

  • Authors:
    • Yi Qin
    • Shouqin Jia
    • Jia Cui
    • Qingmei Yan
    • Feng Xue
    • Qinghu Yan
  • View Affiliations / Copyright

    Affiliations: Department of Medicine, Shandong Public Health Clinical Center, Shandong University, Jinan, Shandong 250013, P.R. China, Department of Radiology, Shandong Public Health Clinical Center, Shandong University, Jinan, Shandong 250013, P.R. China, Department of Ultrasound, Shandong Public Health Clinical Center, Shandong University, Jinan, Shandong 250013, P.R. China, Department of Emergency, Shizhong District People's Hospital, Jinan, Shandong 250000, P.R. China, Department of Radiology, Qilu Hospital of Shandong University, Jinan, Shandong 250012, P.R. China
    Copyright: © Qin et al. This is an open access article distributed under the terms of Creative Commons Attribution License.
  • Article Number: 87
    |
    Published online on: March 4, 2025
       https://doi.org/10.3892/etm.2025.12837
  • Expand metrics +
Metrics: Total Views: 0 (Spandidos Publications: | PMC Statistics: )
Metrics: Total PDF Downloads: 0 (Spandidos Publications: | PMC Statistics: )
Cited By (CrossRef): 0 citations Loading Articles...

This article is mentioned in:



Abstract

The aim of the present study was to analyze the pathological and laboratory findings of pleural lesions post ultrasound‑guided biopsy and to assess the diagnostic utility of percutaneous ultrasound‑guided puncture combined with GeneXpert Mycobacterium tuberculosis (MTB)/resistance to rifampin (RIF) in pleural tuberculosis (TB) diagnosis. A retrospective analysis was conducted on 46 patients who underwent ultrasound‑guided biopsy at the Shandong Public Health Clinical Center (Shandong Chest Hospital) between April 2018 and April 2021. Of these, 27 patients were diagnosed with pleural TB, while 19 were confirmed to have non‑pleural TB. Preoperative examinations were negative for all patients. Under ultrasound guidance, tissue samples were obtained through puncture for subsequent pathological and laboratory examination. All collected samples were subjected to acid fast staining, M. tuberculosis culture and GeneXpert MTB/RIF (Cepheid). The sensitivity, specificity and area under curve (AUC) value were compared across methods. Rifampicin drug susceptibility was detected using the proportional method and compared with results obtained from GeneXpert MTB/RIF. The sensitivity and specificity of acid‑fast staining, M. tuberculosis culture and GeneXpert MTB/RIF in diagnosing pleural TB were 18.52 and 100.00%, 14.81 and 100.00, 96.30 and 94.74%, respectively. Consistency analysis demonstrated that the GeneXpert MTB/RIF technique exhibited good agreement (κ=0.91), whereas the agreement for acid fast staining (κ=0.16) and M. tuberculosis culture (κ=0.13) was poor. Data analysis was performed by combining the results of the three detection methods with pathological findings. The diagnostic value for pleural TB was highest for GeneXpert MTB/RIF technology combined with pathology (AUC value=0.97), followed by M. tuberculosis culture combined with pathology (AUC value=0.94) and acid‑fast staining combined with pathology (AUC value=0.94). No surgical complications were observed. Of the 27 samples, 4 tested positive using the M. tuberculosis culture method. Rifampicin resistance was detected from the bacterial colonies through the proportional method, with results consistent with those obtained from the GeneXpert MTB/RIF method. Ultrasound‑guided percutaneous biopsy is considered a safe and effective approach for diagnosing pleural TB, Its sensitivity is much higher than that of pleural effusion, Moreover, there is currently limited research on ultrasound‑guided pleural biopsy combined with laboratory testing worldwide. Ultrasound‑guided puncture combined with GeneXpert MTB/RIF technology is of significant value in the diagnosis of pleural TB and in determining rifampicin resistance.

Introduction

Tuberculosis (TB) is an infectious disease caused by Mycobacterium tuberculosis. According to World Health Organization (WHO), TB ranks among the 10 leading causes of death globally and is the leading cause of mortality from a single infectious agent (1). While pulmonary tuberculosis is the most common manifestation, global statistics from 2019 indicate that ~16% of global tuberculosis cases were extrapulmonary (1). Extrapulmonary tuberculosis can affect nearly any organ, most frequently involving the lymph nodes, followed by pleural TB (2). Studies have demonstrated that the proportion of extrapulmonary tuberculosis cases among total tuberculosis cases has been gradually increasing (3,4). Pleural TB is prone to misdiagnosis due to its atypical clinical symptoms, lack of characteristic imaging manifestations, challenges in specimen acquisition, low etiology positivity rate, and difficulties in diagnosis. In a number of cases, confirmation is required through biopsy. Ultrasound offers portability and high resolution and ultrasound-guided puncture biopsy provides real-time imaging, safety and ease of operation. It is an effective method for diagnosing pleural TB and is crucial for differentiating pleural TB from other infectious and non-infectious diseases (5). Conventional methods for detecting tuberculosis include smear microscopy, culture and cytology; however, these methods possess certain limitations. Mycobacterial culture can serve as a reference standard but is time-consuming and requires skilled personnel for operation. Cytological methods for detecting lymphadenopathy necessitate expert interpretation and smaller laboratories often lack the necessary equipment, such as fluorescence or LED microscopes. These factors hinder the accurate and prompt diagnosis of patients with lymphatic tuberculosis in low-resource settings (6). Real-time fluorescence quantitative nucleic acid amplification using GeneXpert M. tuberculosis (MTB)/resistance to rifampin (RIF), a novel diagnostic technology for tuberculosis (6), can detect M. tuberculosis complex DNA. This method allows for the detection of rifampicin resistance-related mutations in the rpoB gene during the identification of M. tuberculosis complex, facilitating early and rapid diagnosis while effectively minimizing the risk of cross-contamination. Additionally, GeneXpert MTB/RIF (Cepheid) is less influenced by the presence of anti-tuberculosis drugs (6). Additionally, enhanced sensitivity, specificity and accuracy in detecting rifampicin resistance are notable advantages of this method. The present study aimed to investigate the value of ultrasound-guided pleural TB puncture combined with GeneXpert MTB/RIF in diagnosing pleural TB. However, among all the searches, there is only one study that confirms the diagnosis of pleural TB by ultrasound-guided pleural biopsy combined with GeneXpert MTB/RIF, indicating that this is still not widely promoted or used and has not been recognized by clinical doctors. The present study also aimed to further confirm the diagnostic value and significance of this study for pleural TB (7).

Materials and methods

Patients

The pathology, acid fast staining, Mycobacterium culture and GeneXpert results of patients with pleural lesions who underwent ultrasound-guided biopsy between April 2018 and April 2021 at the Shandong Public Health Clinical Center (Shandong Chest Hospital) were retrospectively analyzed. Diagnosis of tuberculosis was conducted following the guidelines set forth by the WHO (1) and the clinical diagnostic standards established by the Chinese Medical Association for tuberculosis (8). Clinically diagnosed TB patients met the following criteria: i) Presence of clinical symptoms consistent with tuberculosis; ii) imaging highly suggestive of tuberculosis; and iii) satisfactory response to anti-tuberculosis treatment (9). All lesions were routinely examined by ultrasound prior to biopsy. Clinical case data were collected, including patient age, sex, comorbidities, laboratory examination results and treatment response. None of the patients received treatment before biopsy. A flow diagram illustrating the study process is provided (Fig. 1). The patients with TB included 19 males and 8 females, with ages ranging from 16-56 years and a mean age of 23.7±14.1 years. Pulmonary tuberculosis was present as a complication in 17 cases.

Figure 1

Flow diagram. CEUS, contrast-enhanced ultrasound.

All methods were carried out in accordance with relevant guidelines and regulations. The present study protocols were approved by the Ethics Committee of Shandong Public Health Clinical Center (Shandong Chest Hospital; approval no. 2021XKYYEC-33).

Ultrasound puncture

Based on the location of pleural lesions, patients were positioned differently, including sitting, supine, lateral or prone. The optimal puncture pathway for accessing pleural lesions was determined. This pathway was designed to avoid the ribs and to run obliquely at a shallow angle to the pleural plane, thereby facilitating the visualization of the puncture needle, enabling the acquisition of a greater volume of pleural tissue, and minimizing the risk of lung tissue puncture. Color Doppler flow imaging was employed to assess the blood supply to the lesion, ensuring that large blood vessels along the puncture pathway were avoided and that the pleural tissue with blood supply was targeted. The needle entry point was identified and marked accordingly. Routine disinfection was performed and a sterile towel was placed over the area. Local infiltration anesthesia was administered. An ultrasonic diagnostic instrument (Philips Q5; Philips Healthcare) equipped with a convex array probe (C5-1) operating at a frequency of 1 to 5 MHz was used. Puncture was carried out according to the predetermined pathway using a No. 18 semi-automatic cutting biopsy needle (18G; 10 cm; Becton, Dickinson and Company). The needle was inserted under real-time ultrasound guidance (Fig. 2A and B). Once the needle tip was observed to reach the target area, the biopsy gun was activated to obtain a tissue sample. Depending on the specimen condition, tissue acquisition was performed 2-3 times. The changes in chest pain, dizziness and chest tightness were monitored during the procedure. Postoperatively, ultrasonography was conducted to assess for complications such as hemoptysis, pneumothorax and bleeding. Pathological examination, acid fast staining, M. tuberculosis culture and GeneXpert testing were performed in all cases. Specimens were fixed in 10% formalin solution for 18-24 h at 20-35˚C and subsequently submitted for pathological analysis.

Figure 2

Ultrasound images. (A) Ultrasound imaging can clearly display pleural hypoechoic lesions, outlined by orange lines in the figure. (B) When performing biopsy on pleural lesions under ultrasound display, ultrasound can clearly show the biopsy needle (orange arrow).

Histopathological examination

The specimens were dehydrated using a gradient of ethanol from low to high concentration and embedded in high concentration paraffin. Subsequently, they were sectioned at 15-30 µm. A 4 µm color band was prepared for staining (Fig. 3A and B), followed by pathological diagnosis.

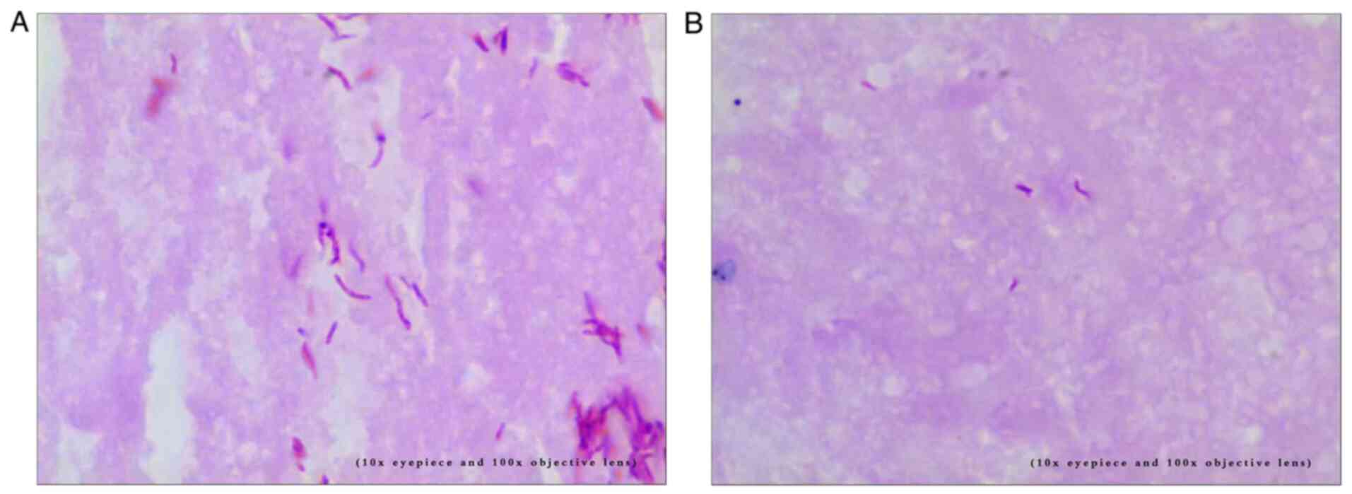
Figure 3

Acid resistant staining image. (A) The figure clearly shows the acid fast staining results of a patient with pleural tuberculosis. M. tuberculosis was stained blue. Magnification, x1,000. There are a large number of M. tuberculosis; (B) The figure clearly shows the acid fast staining results of another patient with pleural tuberculosis. M. tuberculosis was stained blue. Magnification, x1,000. The number of M. tuberculosis is relatively small.

Acid fast staining was performed using an acid fast staining solution (Zhuhai Beso Biotechnology Co., Ltd.), experienced laboratory doctors applied the modified alkaline reddening method to conduct the procedure. The staining temperature was 60˚C for 5 min. The results were determined according to the reagent instructions.

M. tuberculosis culture was carried out using the Mycobacterium culture monitoring system and reagents provided by BACTEC MGIT 960 (Becton, Dickinson and Company) for strain identification, following the manufacturer's instructions and specifications. GeneXpert MTB/RIF detection was performed using the GeneXpert MTB/RIF and an automated detection platform [GeneXpert (Cepheid)]. Samples were pretreated according to the operating procedures, and automatic detection and result interpretation were conducted as per the guidelines.

Statistical analysis

The database was established and statistically analyzed using SPSS 24.0 (IBM Corp.). Indicators for statistical description include mean, standard deviation, frequency and composition ratio. Data following a normal distribution were expressed as mean and standard deviation, while non-normally distributed data were reported as median and interquartile range (m±IQR). Statistical inference was conducted using ROC curve analysis, κ-value, sensitivity, specificity, positive predictive value and negative predictive value. P<0.05 was considered to indicate a statistically significant difference. The optimal diagnostic threshold was determined using the Jordan index (Fig. 4).

Figure 4

ROC curve of pathology and three test techniques in the diagnosis of pleural tuberculosis. ROC, receiver operating characteristic curve; MTB/RIF, Mycobacterium tuberculosis/resistance to rifampin.

Results

Using Common Reporting Standard (CRS) as a reference, 27 patients were diagnosed with tuberculous nodal pleurisy (Fig. 1), including 19 males and eight females, with ages ranging from 16-56 years and a mean age of 23.7±14.1 years. Pulmonary tuberculosis was present as a complication in 17 cases.

Pathological results

Ultrasound-guided pleural biopsy was conducted based on the microscopic observation of fibrous tissue or mesothelial cells. Pleural tissue was successfully obtained from all 46 patients, with a success rate of 100% (46/46). The length of the puncture tissue strips ranged from 0.5-1.8 cm. Pathological diagnosis revealed malignancy in seven cases, tuberculosis in 24 cases and chronic inflammation in 15 cases. Among the 15 cases of chronic pleural inflammation, three were ultimately diagnosed as tuberculous pleurisy. The pathological diagnosis of malignancy was consistent with the final clinical diagnosis, accounting for 15.21% (7/46) of all biopsies. Using CRS as a reference, 27 patients were ultimately diagnosed with tuberculous pleurisy, based on clinical manifestations, imaging examination and diagnostic treatment results.

Laboratory results

Among the 27 patients with pleural TB, M. tuberculosis culture was positive in four cases, acid-fast staining (Fig. 3A and B) was positive in 5 cases, and GeneXpert MTB/RIF was positive in 26 cases (Table I). The positive diagnostic rates for M. tuberculosis culture, acid-fast staining and GeneXpert MTB/RIF were 14.81, 18.52 and 96.30%, respectively. Among the 27 confirmed cases of pleural TB, GeneXpert MTB/RIF exhibited the highest positive rate, with the combination of GeneXpert MTB/RIF and pathology yielding a positive rate of 100%. GeneXpert MTB/RIF was positive in all four culture-positive cases. In 15 cases where M. tuberculosis culture and acid-fast staining were negative and GeneXpert MTB/RIF was positive. Finally, chest wall tuberculosis was ultimately diagnosed. GeneXpert MTB/RIF increased the pathogenic-positive detection rate of tissue biopsy specimens by 55.56% (15/27). The κ-value for GeneXpert MTB/RIF technology as shown in Table II was 0.91; the κ-values for acid-fast staining and M. tuberculosis culture were 0.16 and 0.13, respectively. The AUC value for GeneXpert MTB/RIF technology was 0.96, while the AUC values for acid-fast staining and M. tuberculosis culture were 0.59 and 0.57, respectively. The positive diagnostic rate, AUC and κ-values for the combination of pathology and GeneXpert MTB/RIF were 100.00%, 0.94 and 0.92, respectively, all of which were higher than those for the combination of pathology with acid-fast staining or Mycobacterium tuberculosis culture.

Table I

Diagnosis results of pathology and three detection techniques for pleural tuberculosis.

Table I

Diagnosis results of pathology and three detection techniques for pleural tuberculosis.

 Clinical comprehensive diagnosis
Detection techniquesDetection resultChest wall tuberculosis (n)Non chest wall tuberculosis (n)Total (n)
PathologyPositive24024
 Negative31922
 Total271946
Acid-fast stainingPositive505
 Negative221941
 Total271946
Mycobacterium tuberculosis culturePositive404
 Negative231942
 Total271946
GeneXpert MTB/RIFPositive26127
 Negative11819
 Total271946
Pathology and Acid-fast stainingPositive24024
 Negative31922
 Total271946
Pathology and Mycobacterium tuberculosis culturePositive24024
 Negative31922
 Total271946
Pathology and GeneXpert MTB/RIFPositive27128
 Negative01818
 Total271946

[i] MTB/RIF, Mycobacterium tuberculosis/resistance to rifampin.

Table II

Diagnostic value of pathology and three detection techniques for pleural tuberculosis.

Table II

Diagnostic value of pathology and three detection techniques for pleural tuberculosis.

Detection techniquesAUCSensitivity (%)Specificity (%)Positive predictive value (%)Negative predictive value (%)κ-valueP-valueTotal coincidence rate (%)Jordan index (%)
Pathology0.94488.89100.00100.0086.360.8690.00093.4888.89
Acid-fast staining0.59318.52100.00100.0046.340.1580.04752.1718.52
Mycobac- terium tuberculosis culture0.57414.81100.00100.0045.240.1260.07950.0014.81
GeneXpert MTB/RIF0.95596.3094.7496.3094.740.9100.00095.6591.03
Pathology and Acid-fast staining0.94488.89100.00100.0086.360.8690.00093.4888.89
Pathology and Mycobac- terium tuberculosis culture0.94488.89100.00100.0086.360.8690.00093.4888.89
Pathology and Gene Xpert MTB/RIF0.974100.0094.7496.43100.000.9550.00097.8394.74

[i] Results showed that the AUC of pathology combined with GeneXpert MTB/RIF was the largest. AUC, area under curve; MTB/RIF, Mycobacterium tuberculosis/resistance to rifampin.

Complications of ultrasound-guided puncture

None of the 46 patients experienced complications such as hemoptysis, pneumothorax and hemothorax; Only one patient presented with a pleural reaction characterized by dizziness and nausea, with an incidence rate of 1% (1/46). After bed rest, the symptoms resolved and the puncture was successfully repeated, allowing the procedure to be completed without further issues.

Discussion

Pleurisy is a common clinical condition, and tuberculous pleurisy is a form caused by M. tuberculosis infection. The underlying mechanism involves the entry of M. tuberculosis and tuberculous proteins into the pleural space, triggering a significant pleural reaction, primarily characterized by pleural effusion and pleural thickening (9). The clinical symptoms of tuberculous pleurisy are nonspecific, making diagnosis challenging. Routine diagnostic methods often fail to achieve definitive results. Imaging examinations play a crucial role in detecting pleural lesions, however, diagnosis requires pathological and laboratory confirmation. According to the 2010 guidelines of the British Thoracic Society for the diagnosis and management of unilateral pleural effusion in adults, when the nature of pleural effusion cannot be determined through ultrasound-guided aspiration, it is recommended that pleural biopsy be performed under imaging guidance to further clarify the nature of the lesion (10). Historically, Cope biopsy needles and Abrams biopsy needles were used for percutaneous pleural biopsy; however, these methods provided limited tissue samples and were associated with significant trauma, making complications such as pneumothorax and bleeding more likely (11,12). Defrancis et al (13) first introduced closed pleural biopsy into clinical practice, and through continuous refinement, it has become a primary diagnostic method for pleural lesions. Nevertheless, variations in guiding techniques have led to differences in the sensitivity and specificity for diagnosing pleural diseases (13). Thoracoscopic biopsy has been shown to enhance the diagnostic accuracy of GeneXpert MTB/RIF for tuberculosis (14), but the procedure is associated with greater trauma and carries a risk of postoperative infection and tuberculosis transmission. Ultrasound-guided biopsy, characterized by high precision, minimal invasiveness and safety, allows for accurate specimen collection, facilitating both pathological and laboratory examinations.

Pleural TB has been recognized for a long time. When the duration of tuberculous pleurisy exceeds 4 weeks, the positive rate of pleural biopsy is markedly reduced (15). Most cases of pleural TB involve paucibacillary disease (caused by a small number of bacteria), which reduces the sensitivity of traditional smear microscopy for diagnosis. In resource-limited settings, Mycobacterium culture and histological examination are not widely available due to the long culture time and the need for fully equipped laboratories. GeneXpert MTB/RIF is an automated PCR test capable of accurately detecting tuberculosis and rifampicin resistance in sputum samples (16). Based on a systematic review (17), the World Health Organization issued recommendations regarding extrapulmonary tuberculosis, stating that GeneXpert MTB/RIF can be used as an alternative to conventional methods (such as routine microscopy, culture or histopathology) to detect specific non-respiratory specimens from patients with suspected extrapulmonary tuberculosis.

GeneXpert MTB/RIF is a diagnostic test used for detecting the DNA of the M. tuberculosis complex. Upon identification of the M. tuberculosis complex, mutations related to rifampicin resistance in the rpoB gene are detected. Test results can be obtained within 2 h after the initiation of the test, requiring only minimal technical time. Unlike traditional nucleic acid amplification tests, GeneXpert MTB/RIF integrates sample processing, PCR amplification and detection into a single self-contained test unit (18). Following sample loading, all analytical steps are all fully automated and self-sufficient. GeneXpert MTB/RIF employs molecular beacon technology to detect rifampicin resistance. Molecular beacons are nucleic acid probes that can identify and report the presence or absence of normal, favorable and wild type sequences of the rpoB gene.

In the present study, the positive rate of GeneXpert MTB/RIF combined with pathology was found to be 100%, while the positive rate of GeneXpert MTB/RIF alone was 96.30% (26/27), both of which were higher than the rates observed for acid-fast staining and tuberculous culture. The three detection methods were analyzed in conjunction with pathology for data evaluation. The diagnostic value for pleural TB was determined to be as follows: GeneXpert MTB/RIF technology combined with pathology (AUC value=0.97) > tuberculosis culture combined with pathology (AUC value=0.94)=acid-fast staining combined with pathology (AUC value=0.94). The positive rate of GeneXpert MTB/RIF in the present study was higher than that reported in previous studies involving ultrasound-guided or closed pleural biopsy (19).

Some researchers consider the clinical diagnosis of tuberculous pleurisy and tuberculous pericarditis to be the gold standard. GeneXpert MTB/RIF demonstrates high sensitivity (90.0 and 72.0%) and specificity (100.0% for both) (20), which is consistent with the findings of the present study. Additionally, research has been conducted regarding the value of GeneXpert MTB/RIF in detecting drug-resistant tuberculous pleurisy. Among 60 patients with tuberculous pleurisy, GeneXpert MTB/RIF confirmed the presence of rifampicin resistance genes in 10 cases, while only five cases were identified using the proportional method (21).

In the present study, four cases tested positive using the M. tuberculosis culture method. The colonies were evaluated using the proportional method, and the results were consistent with those obtained from the GeneXpert MTB/RIF method. A limitation of this study may be attributed to the small volume of positive tuberculosis culture data included. Numerous studies have demonstrated that GeneXpert MTB/RIF is highly valuable for diagnosing extrapulmonary tuberculosis, including lymphatic tuberculosis, spinal tuberculosis, urinary tuberculosis and nervous system tuberculosis (22-25). Additionally, there are studies confirming its diagnostic value in pleural TB (26). The findings of the present study align with these previous results. The positive rate of GeneXpert MTB/RIF, along with its AUC and κ-values were higher than those of acid-fast staining and tuberculosis culture. Furthermore, in the analysis of all combined experiments, the positive rate, AUC and κ-values for GeneXpert MTB/RIF combined with pathology were also the highest.

The consistency analysis indicated that GeneXpert MTB/RIF technology demonstrated good consistency (κ=0.91), whereas acid-fast staining (κ=0.16) and tuberculosis culture (κ=0.13) exhibit poor consistency. This may be attributed to the limited number of cases included. Although GeneXpert MTB/RIF facilitates the detection of M. tuberculosis and rifampicin resistance, it cannot fully replace traditional methods for assessing rifampicin resistance. The total number of cases included in the present study was not particularly large. The diagnosis of tuberculosis relies not only on pathological findings but also on etiological assessments. Most patients included in the present study were clinically suspected of having tuberculosis, resulting in a specificity of 100%, which is consistent with numerous research findings and does not impact the generalizability of the results.

In conclusion ultrasound-guided percutaneous biopsy, in conjunction with laboratory examination, is recognized as a safe and effective method for diagnosing pleural TB. The combination of ultrasound-guided puncture and GeneXpert MTB/RIF exhibits high sensitivity and specificity, demonstrating significant value in the diagnosis of pleural TB and the detection of rifampicin resistance.

Acknowledgements

Not applicable.

Funding

Funding: The present study was funded by the Shandong medical and health science and technology development plan project (grant no. 202309020993).

Availability of data and materials

The data generated in the present study may be requested from the corresponding author.

Authors' contributions

QY and YQ made substantial contributions to conception and design. QY and JC made substantial contributions to acquisition of data. FX, JC and SJ made substantial contributions to analysis and interpretation of data. YQ and QY wrote the manuscript. QY and FX constructed figures. JC and QY constructed the tables. YQ and SJ confirm the authenticity of all the raw data. All authors have read and approved the final manuscript.

Ethics approval and consent to participate

The present study met the conditions of the Helsinki declaration. All methods were carried out in accordance with relevant guidelines and regulations and all experimental protocols were approved by the Ethics Committee of Shandong Public Health Clinical Center (Shandong Chest Hospital; approval no. 2021XKYYEC-33). Informed consent was waived by the Ethics Committee of Shandong Public Health Clinical Center (Shandong Chest Hospital)/2021XKYYEC-33 for this study due to retrospective nature.

Patient consent for publication

Not applicable.

Competing interests

The authors declare that they have no competing interests.

References

1 

World Health Organization. Global tuberculosis report 2020. Geneva, World Health Organization, 2020.

2 

Peto HM, Pratt RH, Harrington TA, LoBue PA and Armstrong LR: Epidemiology of extrapulmonary tuberculosis in the United States, 1993-2006. Clin Infect Dis. 49:1350–1357. 2009.PubMed/NCBI View Article : Google Scholar

3 

Sandgren A, Hollo V and van der Werf MJ: Extrapulmonary tuberculosis in the European Union and European Economic Area, 2002 to 2011. Euro Surveill. 18(20431)2013.PubMed/NCBI

4 

Wang X, Yang Z, Fu Y, Zhang G and Wang X, Zhang Y and Wang X: Insight to the epidemiology and risk factors of extrapulmonary tuberculosis in Tianjin, China during 2006-2011. PLoS One. 9(e112213)2014.PubMed/NCBI View Article : Google Scholar

5 

Nachiappan AC, Rahbar K, Shi X, Guy ES, Mortani Barbosa EJ Jr, Shroff GS, Ocazionez D, Schlesinger AE, Katz SI and Hammer MM: Pulmonary tuberculosis: Role of radiology in diagnosis and management. Radiographics. 37:52–72. 2017.PubMed/NCBI View Article : Google Scholar

6 

Bholla M, Kapalata N, Masika E, Chande H, Jugheli L, Sasamalo M, Glass TR, Beck HP and Reither K: Evaluation of Xpert® MTB/RIF and Ustar EasyNAT™ TB IAD for diagnosis of tuberculous lymphadenitis of children in Tanzania: A prospective descriptive study. BMC Infect Dis. 16(246)2016.PubMed/NCBI View Article : Google Scholar

7 

Sun W, Zhou Y, Li W, Wang Y, Xiong K, Zhang Z and Fan L: Diagnostic yield of Xpert MTB/RIF on contrast-enhanced ultrasound-guided pleural biopsy specimens for pleural tuberculosis. Intl J Infect Dis. 108:89–95. 2021.PubMed/NCBI View Article : Google Scholar

8 

Rice JP, Seifert M, Moser KS and Rodwell TC: Performance of the Xpert MTB/RIF assay for the diagnosis of pulmonary tuberculosis and rifampin resistance in a low-incidence, high-resource setting. PLoS One. 12(e0186139)2017.PubMed/NCBI View Article : Google Scholar

9 

Chinese Medical Association. Clinical diagnosis standardof TB for clinicaltechnologyoperation(TBvol-umes). People's Medical Publishing House, 2005.

10 

Jian S, Rong ZL and Baohua S: Diagnostic value of pleural histopathology and pleural effusion in tuberculous pleurisy. Western Med. 27:27–28. 2015.

11 

Hooper C, Lee YC and Maskell N: BTS Pleural Guideline Group. Investigation of a unilateral pleural effusion in adults: British Thoracic Society pleural disease guideline 2010. Thorax. 65:4–17. 2010.PubMed/NCBI View Article : Google Scholar

12 

Barnes TW, Morgenthaler TI, Olson EJ, Hesley GK, Decker PA and Ryu JH: Sonographically guided thoracentesis and rate of pneumothorax. J Clin Ultrasound. 33:442–446. 2005.PubMed/NCBI View Article : Google Scholar

13 

Defrancis N, Klosk E and Albano E: Needlebiopsy of theparietalpleura. N Engl J Med. 252:948–949. 1995.PubMed/NCBI View Article : Google Scholar

14 

Benamore RE, Scott K, Richards CJ and Entwisle JJ: Image guided pleura biopsy: Diagnostic yield and complications. Clin Radiol. 61:700–705. 2006.PubMed/NCBI View Article : Google Scholar

15 

Christopher DJ, Schumacher SG, Michael JS, Luo R, Balamugesh T, Duraikannan P, Pollock NR, Pai M and Denkinger CM: Performance of Xpert MTB/RIF on pleural tissue for the diagnosis of pleural tuberculosis. Eur Respir J. 42:1427–1429. 2013.PubMed/NCBI View Article : Google Scholar

16 

Diacon AH, Van de Wal BW, Wyser C, Smedema JP, Bezuidenhout J, Bolliger CT and Walzl G: Diagnostic tools in tuberculous pleurisy: A direct comparative study. Eur Respir J. 22:589–591. 2003.PubMed/NCBI View Article : Google Scholar

17 

Steingart KR, Schiller I, Horne DJ, Pai M, Boehme CC and Dendukuri N: Xpert® MTB/RIF assay for pulmonary tuberculosis and rifampicin resistance in adults. Cochrane Database Syst Rev. 2014(CD009593)2014.PubMed/NCBI View Article : Google Scholar

18 

Blakemore R, Story E, Helb D, Kop J, Banada P, Owens MR, Chakravorty S, Jones M and Alland D: Evaluation of the analytical performance of the Xpert MTB/RIF assay. J Clin Microbiol. 48:2495–2501. 2010.PubMed/NCBI View Article : Google Scholar

19 

Denkinger CM, Schumacher SG, Boehme CC, Dendukuri N, Pai M and Steingart KR: Xpert MTB/RIF assay for the diagnosis of extrapulmonary tuberculosis: A systematic review and meta-analysis. Eur Respir J. 44:435–446. 2014.PubMed/NCBI View Article : Google Scholar

20 

Koegelenberg CF, Irusen EM, von Groote-Bidlingmaier F, Bruwer JW, Batubara EM and Diacon AH: The utility of ultrasound-guided thoracentesis and pleural biopsy in undiagnosed pleural exudates. Thorax. 70:995–997. 2015.PubMed/NCBI View Article : Google Scholar

21 

Saeed M, Ahmad M, Iram S, Riaz S, Akhtar M and Aslam M: A breakthrough for the diagnosis of tuberculous pericarditis and pleuritisin less than 2 hours. Saudi Med J. 38:699–705. 2017.PubMed/NCBI View Article : Google Scholar

22 

Haijing Z, Chengyong L and Dongqing Z: Application value of GeneXpert MTB/RIF system in rapid diagnosis of tuberculous pleurisy). Beijing Med J. 38:739–741. 2016.

23 

Sun W, Gu J, Bi K, Zhang Y, Shen MJ, Wang Y and Fan L: Clinical performance of Xpert MTB/RIF on contrast-enhanced ultrasound-guided core biopsy specimens for rapid diagnosis of superficial tuberculous lymphadenitis in high TB burden settings. Infection. 49:653–660. 2021.PubMed/NCBI View Article : Google Scholar

24 

Gu Y, Wang G, Dong W, Li Y, Ma Y, Shang Y, Qin S and Huang H: Xpert MTB/RIF and GenoType MTBDRplus assays for the rapid diagnosis of bone and joint tuberculosis. Infect Dis. 36:27–30. 2015.PubMed/NCBI View Article : Google Scholar

25 

Yu C, Xuhui L and Liang F: Diagnostic value of genexp ERT m TB/RIF in HIV negative urinary tuberculosis. Chin J Tuberculosis. 39:1100–1106. 2017.

26 

Bahr NC, Marais S, Caws M, van Crevel R, Wilkinson RJ, Tyagi JS, Thwaites GE and Boulware DR: Tuberculous Meningitis International Research Consortium. GeneXpert MTB/Rif to diagnose tuberculous meningitis: Perhaps the first test but not the last. Clin Infect Dis. 62:1133–1135. 2016.PubMed/NCBI View Article : Google Scholar

Related Articles

  • Abstract
  • View
  • Download
  • Twitter
Copy and paste a formatted citation
Spandidos Publications style
Qin Y, Jia S, Cui J, Yan Q, Xue F and Yan Q: Value of ultrasound‑guided puncture combined with GeneXpert MTB/RIF technology in the diagnosis of pleural tuberculosis. Exp Ther Med 29: 87, 2025.
APA
Qin, Y., Jia, S., Cui, J., Yan, Q., Xue, F., & Yan, Q. (2025). Value of ultrasound‑guided puncture combined with GeneXpert MTB/RIF technology in the diagnosis of pleural tuberculosis. Experimental and Therapeutic Medicine, 29, 87. https://doi.org/10.3892/etm.2025.12837
MLA
Qin, Y., Jia, S., Cui, J., Yan, Q., Xue, F., Yan, Q."Value of ultrasound‑guided puncture combined with GeneXpert MTB/RIF technology in the diagnosis of pleural tuberculosis". Experimental and Therapeutic Medicine 29.4 (2025): 87.
Chicago
Qin, Y., Jia, S., Cui, J., Yan, Q., Xue, F., Yan, Q."Value of ultrasound‑guided puncture combined with GeneXpert MTB/RIF technology in the diagnosis of pleural tuberculosis". Experimental and Therapeutic Medicine 29, no. 4 (2025): 87. https://doi.org/10.3892/etm.2025.12837
Copy and paste a formatted citation
x
Spandidos Publications style
Qin Y, Jia S, Cui J, Yan Q, Xue F and Yan Q: Value of ultrasound‑guided puncture combined with GeneXpert MTB/RIF technology in the diagnosis of pleural tuberculosis. Exp Ther Med 29: 87, 2025.
APA
Qin, Y., Jia, S., Cui, J., Yan, Q., Xue, F., & Yan, Q. (2025). Value of ultrasound‑guided puncture combined with GeneXpert MTB/RIF technology in the diagnosis of pleural tuberculosis. Experimental and Therapeutic Medicine, 29, 87. https://doi.org/10.3892/etm.2025.12837
MLA
Qin, Y., Jia, S., Cui, J., Yan, Q., Xue, F., Yan, Q."Value of ultrasound‑guided puncture combined with GeneXpert MTB/RIF technology in the diagnosis of pleural tuberculosis". Experimental and Therapeutic Medicine 29.4 (2025): 87.
Chicago
Qin, Y., Jia, S., Cui, J., Yan, Q., Xue, F., Yan, Q."Value of ultrasound‑guided puncture combined with GeneXpert MTB/RIF technology in the diagnosis of pleural tuberculosis". Experimental and Therapeutic Medicine 29, no. 4 (2025): 87. https://doi.org/10.3892/etm.2025.12837
Follow us
  • Twitter
  • LinkedIn
  • Facebook
About
  • Spandidos Publications
  • Careers
  • Cookie Policy
  • Privacy Policy
How can we help?
  • Help
  • Live Chat
  • Contact
  • Email to our Support Team