Spandidos Publications Logo
  • About
    • About Spandidos
    • Aims and Scopes
    • Abstracting and Indexing
    • Editorial Policies
    • Reprints and Permissions
    • Job Opportunities
    • Terms and Conditions
    • Contact
  • Journals
    • All Journals
    • Oncology Letters
      • Oncology Letters
      • Information for Authors
      • Editorial Policies
      • Editorial Board
      • Aims and Scope
      • Abstracting and Indexing
      • Bibliographic Information
      • Archive
    • International Journal of Oncology
      • International Journal of Oncology
      • Information for Authors
      • Editorial Policies
      • Editorial Board
      • Aims and Scope
      • Abstracting and Indexing
      • Bibliographic Information
      • Archive
    • Molecular and Clinical Oncology
      • Molecular and Clinical Oncology
      • Information for Authors
      • Editorial Policies
      • Editorial Board
      • Aims and Scope
      • Abstracting and Indexing
      • Bibliographic Information
      • Archive
    • Experimental and Therapeutic Medicine
      • Experimental and Therapeutic Medicine
      • Information for Authors
      • Editorial Policies
      • Editorial Board
      • Aims and Scope
      • Abstracting and Indexing
      • Bibliographic Information
      • Archive
    • International Journal of Molecular Medicine
      • International Journal of Molecular Medicine
      • Information for Authors
      • Editorial Policies
      • Editorial Board
      • Aims and Scope
      • Abstracting and Indexing
      • Bibliographic Information
      • Archive
    • Biomedical Reports
      • Biomedical Reports
      • Information for Authors
      • Editorial Policies
      • Editorial Board
      • Aims and Scope
      • Abstracting and Indexing
      • Bibliographic Information
      • Archive
    • Oncology Reports
      • Oncology Reports
      • Information for Authors
      • Editorial Policies
      • Editorial Board
      • Aims and Scope
      • Abstracting and Indexing
      • Bibliographic Information
      • Archive
    • Molecular Medicine Reports
      • Molecular Medicine Reports
      • Information for Authors
      • Editorial Policies
      • Editorial Board
      • Aims and Scope
      • Abstracting and Indexing
      • Bibliographic Information
      • Archive
    • World Academy of Sciences Journal
      • World Academy of Sciences Journal
      • Information for Authors
      • Editorial Policies
      • Editorial Board
      • Aims and Scope
      • Abstracting and Indexing
      • Bibliographic Information
      • Archive
    • International Journal of Functional Nutrition
      • International Journal of Functional Nutrition
      • Information for Authors
      • Editorial Policies
      • Editorial Board
      • Aims and Scope
      • Abstracting and Indexing
      • Bibliographic Information
      • Archive
    • International Journal of Epigenetics
      • International Journal of Epigenetics
      • Information for Authors
      • Editorial Policies
      • Editorial Board
      • Aims and Scope
      • Abstracting and Indexing
      • Bibliographic Information
      • Archive
    • Medicine International
      • Medicine International
      • Information for Authors
      • Editorial Policies
      • Editorial Board
      • Aims and Scope
      • Abstracting and Indexing
      • Bibliographic Information
      • Archive
  • Articles
  • Information
    • Information for Authors
    • Information for Reviewers
    • Information for Librarians
    • Information for Advertisers
    • Conferences
  • Language Editing
Spandidos Publications Logo
  • About
    • About Spandidos
    • Aims and Scopes
    • Abstracting and Indexing
    • Editorial Policies
    • Reprints and Permissions
    • Job Opportunities
    • Terms and Conditions
    • Contact
  • Journals
    • All Journals
    • Biomedical Reports
      • Information for Authors
      • Editorial Policies
      • Editorial Board
      • Aims and Scope
      • Abstracting and Indexing
      • Bibliographic Information
      • Archive
    • Experimental and Therapeutic Medicine
      • Information for Authors
      • Editorial Policies
      • Editorial Board
      • Aims and Scope
      • Abstracting and Indexing
      • Bibliographic Information
      • Archive
    • International Journal of Epigenetics
      • Information for Authors
      • Editorial Policies
      • Editorial Board
      • Aims and Scope
      • Abstracting and Indexing
      • Bibliographic Information
      • Archive
    • International Journal of Functional Nutrition
      • Information for Authors
      • Editorial Policies
      • Editorial Board
      • Aims and Scope
      • Abstracting and Indexing
      • Bibliographic Information
      • Archive
    • International Journal of Molecular Medicine
      • Information for Authors
      • Editorial Policies
      • Editorial Board
      • Aims and Scope
      • Abstracting and Indexing
      • Bibliographic Information
      • Archive
    • International Journal of Oncology
      • Information for Authors
      • Editorial Policies
      • Editorial Board
      • Aims and Scope
      • Abstracting and Indexing
      • Bibliographic Information
      • Archive
    • Medicine International
      • Information for Authors
      • Editorial Policies
      • Editorial Board
      • Aims and Scope
      • Abstracting and Indexing
      • Bibliographic Information
      • Archive
    • Molecular and Clinical Oncology
      • Information for Authors
      • Editorial Policies
      • Editorial Board
      • Aims and Scope
      • Abstracting and Indexing
      • Bibliographic Information
      • Archive
    • Molecular Medicine Reports
      • Information for Authors
      • Editorial Policies
      • Editorial Board
      • Aims and Scope
      • Abstracting and Indexing
      • Bibliographic Information
      • Archive
    • Oncology Letters
      • Information for Authors
      • Editorial Policies
      • Editorial Board
      • Aims and Scope
      • Abstracting and Indexing
      • Bibliographic Information
      • Archive
    • Oncology Reports
      • Information for Authors
      • Editorial Policies
      • Editorial Board
      • Aims and Scope
      • Abstracting and Indexing
      • Bibliographic Information
      • Archive
    • World Academy of Sciences Journal
      • Information for Authors
      • Editorial Policies
      • Editorial Board
      • Aims and Scope
      • Abstracting and Indexing
      • Bibliographic Information
      • Archive
  • Articles
  • Information
    • For Authors
    • For Reviewers
    • For Librarians
    • For Advertisers
    • Conferences
  • Language Editing
Login Register Submit
  • This site uses cookies
  • You can change your cookie settings at any time by following the instructions in our Cookie Policy. To find out more, you may read our Privacy Policy.

    I agree
Search articles by DOI, keyword, author or affiliation
Search
Advanced Search
presentation
Experimental and Therapeutic Medicine
Join Editorial Board Propose a Special Issue
Print ISSN: 1792-0981 Online ISSN: 1792-1015
Journal Cover
April-2025 Volume 29 Issue 4

Full Size Image

Sign up for eToc alerts
Recommend to Library

Journals

International Journal of Molecular Medicine

International Journal of Molecular Medicine

International Journal of Molecular Medicine is an international journal devoted to molecular mechanisms of human disease.

International Journal of Oncology

International Journal of Oncology

International Journal of Oncology is an international journal devoted to oncology research and cancer treatment.

Molecular Medicine Reports

Molecular Medicine Reports

Covers molecular medicine topics such as pharmacology, pathology, genetics, neuroscience, infectious diseases, molecular cardiology, and molecular surgery.

Oncology Reports

Oncology Reports

Oncology Reports is an international journal devoted to fundamental and applied research in Oncology.

Experimental and Therapeutic Medicine

Experimental and Therapeutic Medicine

Experimental and Therapeutic Medicine is an international journal devoted to laboratory and clinical medicine.

Oncology Letters

Oncology Letters

Oncology Letters is an international journal devoted to Experimental and Clinical Oncology.

Biomedical Reports

Biomedical Reports

Explores a wide range of biological and medical fields, including pharmacology, genetics, microbiology, neuroscience, and molecular cardiology.

Molecular and Clinical Oncology

Molecular and Clinical Oncology

International journal addressing all aspects of oncology research, from tumorigenesis and oncogenes to chemotherapy and metastasis.

World Academy of Sciences Journal

World Academy of Sciences Journal

Multidisciplinary open-access journal spanning biochemistry, genetics, neuroscience, environmental health, and synthetic biology.

International Journal of Functional Nutrition

International Journal of Functional Nutrition

Open-access journal combining biochemistry, pharmacology, immunology, and genetics to advance health through functional nutrition.

International Journal of Epigenetics

International Journal of Epigenetics

Publishes open-access research on using epigenetics to advance understanding and treatment of human disease.

Medicine International

Medicine International

An International Open Access Journal Devoted to General Medicine.

Journal Cover
April-2025 Volume 29 Issue 4

Full Size Image

Sign up for eToc alerts
Recommend to Library

  • Article
  • Citations
    • Cite This Article
    • Download Citation
    • Create Citation Alert
    • Remove Citation Alert
    • Cited By
  • Similar Articles
    • Related Articles (in Spandidos Publications)
    • Similar Articles (Google Scholar)
    • Similar Articles (PubMed)
  • Download PDF
  • Download XML
  • View XML
Case Report Open Access

Management of a female patient with thyroid storm accompanied by acute airway obstruction: A case report

  • Authors:
    • Lintao Wang
    • Kunxiu Ming
    • Zhiyuan Yan
    • Jinning Huang
    • Yonghui Wang
  • View Affiliations / Copyright

    Affiliations: Department of Clinical Medicine, Weifang People's Hospital, Shandong Second Medical University, Weifang, Shandong 261041, P.R. China, Department of Central Sterile Supply, Weifang People's Hospital, Weifang, Shandong 261041, P.R. China, Department of Neurology, Anqiu People's Hospital, Weifang, Shandong 261041, P.R. China, Department of Thyroid Surgery, Weifang People's Hospital, Weifang, Shandong 261041, P.R. China
    Copyright: © Wang et al. This is an open access article distributed under the terms of Creative Commons Attribution License.
  • Article Number: 89
    |
    Published online on: March 4, 2025
       https://doi.org/10.3892/etm.2025.12839
  • Expand metrics +
Metrics: Total Views: 0 (Spandidos Publications: | PMC Statistics: )
Metrics: Total PDF Downloads: 0 (Spandidos Publications: | PMC Statistics: )
Cited By (CrossRef): 0 citations Loading Articles...

This article is mentioned in:


Abstract

Thyroid storm (TS) is a life‑threatening exacerbation of the hyperthyroid state. Acute airway obstruction is a life‑threatening disease that requires emergency intervention. The present report describes a case of concomitant TS (Burch‑Wartofsky Point Scale score, 70 points; thyroid‑stimulating hormone, <0.01 µIU/ml; free triiodothyronine, 30.8 pmol/l; and free thyroxine, 106.7 pmol/l) and acute airway obstruction in a 63‑year‑old female patient. Although treating the TS was viewed as the primary medical concern, the airway obstruction induced by the large thyroid also needed to be solved urgently. In the present case, thyroidectomy was immediately performed, following which the TS was controlled by medical treatment (propylthiouracil, sodium iodide, hydrocortisone and esmolol). After the surgery, the airway obstruction and TS were alleviated, before the patient was eventually discharged from the hospital 14 days after surgery. At 1 month after discharge from the hospital, the patient had normal thyroid function with oral intake of levothyroxine tablet and did not complain of dyspnoea. The present case report aims to emphasize the need for the heightened awareness of patients with TS and trachea stenosis, and underscore the importance of solving the airway obstruction accompanying the TS.

Introduction

Thyroid diseases encompass a spectrum of conditions, ranging from aberrant growth disorders, such as benign nodules and cancer, to hormonal disorders, including hypothyroidism, hyperthyroidism and thyroid storm (TS). TS is a life-threatening exacerbation of the hyperthyroid state (1). The primary characteristic of TS is multi-organ dysfunction that can involve the cardiovascular, thermoregulatory, gastrointestinal-hepatic and central nervous systems (2,3). The incidence of TS is difficult to approximate because of its rarity and absence of universally approved criteria for its diagnosis (4-6). At present, the diagnosis of TS is based on laboratory tests [low to undetectable thyroid-stimulating hormone (TSH) <0.01 µIU/ml with elevated free thyroxine and free triiodothyronine], coupled with the presence of severe signs and symptoms, including hyperpyrexia, cardiovascular dysfunction, gastrointestinal symptoms and altered mental status (2,3). At present, there are two scoring systems that may assist, including the Burch-Wartofsky Point Scale (BWPS) and the Japan Thyroid Association criteria (2,3). The main treatment method for TS is medical management, including antithyroid drugs (propylthiouracil and methimazole), iodine, glucocorticoids and β-adrenergic blockers (7).

Acute airway obstruction is a life-threatening disease that requires emergency intervention (8,9). Acute airway obstructions induced by thyroid lesions are mostly attributed to poorly differentiated and anaplastic thyroid malignancies (8,9). In addition, a large benign thyroid goitre can compress the trachea and induce airway obstruction (8,9). The main treatment strategy for this condition is the removal of this pressure immediately through surgery, as is the case for large benign thyroid goitres (10). In the present report, a rare case of TS accompanied by acute airway obstruction was documented. It is hard to perform a thyroidectomy immediately as the thyroid surgery may increase the severity of the TS. Therefore, in the present study, TS was firstly controlled by medical treatment and then a thyroidectomy was performed to solve the airway obstruction. The patient recovered and was eventually discharged from the hospital with prompt and effective treatment.

Case report

A 63-year-old female patient presented to the Emergency Department of Weifang People's Hospital (Weifang, China) with complaints of abdominal pain, dyspnoea and fever in April 2023. The patient had suffered from thyroid goitre, which has been growing steadily but slowly for >30 years. Intermittent dyspnoea episodes began 5 years prior, but they became more severe during the 3 weeks prior to presentation. In addition, the patient had a history of hyperthyroidism for 3 years, was irregularly receiving methimazole for treatment and their biochemical tests yielded relatively normal laboratory examination results. The liver [glutamic-pyruvic transaminase, 23 U/l (normal range, 0-40 U/l); glutamic oxalacetic transaminase, 331 U/l (normal range, 0-40 U/l)] and kidney [creatinine, 44 µmol/l (normal range, 41-81 µmol/l)] functions were normal. Vital signs on arrival were as follows: Rectally measured temperature of 39.5˚C; heart rate of 125 beats per min; respiratory rate of 30 breaths per min; and blood pressure of 131/69 mmHg. Physical examination revealed a large mass on the anterior neck without ulceration or discharge. The mass was not tender but was warm to the touch, with a firm-to-hard consistency. Laboratory tests (Table I) showed TSH at <0.01 µIU/ml (normal range, 0.38-4.34 µIU/ml), free triiodothyronine at 30.84 pmol/l (normal range, 2.77-6.31 pmol/l) and free thyroxine at 106.72 pmol/l (normal range, 10.44-24.38 pmol/l). These laboratory test results showed that the patient had hyperthyroidism.

Table I

Summary of the laboratory test results of the patient.

Table I

Summary of the laboratory test results of the patient.

ParameterDay 1Day 7Day 22Day 53Normal range
Free triiodothyronine, pmol/l30.847.665.744.952.77-6.31
Free thyroxine, pmol/l106.7229.0418.6314.3210.44-24.38
Thyroid-stimulating hormone, µIU/ml<0.01<0.01<0.012.680.38-4.34

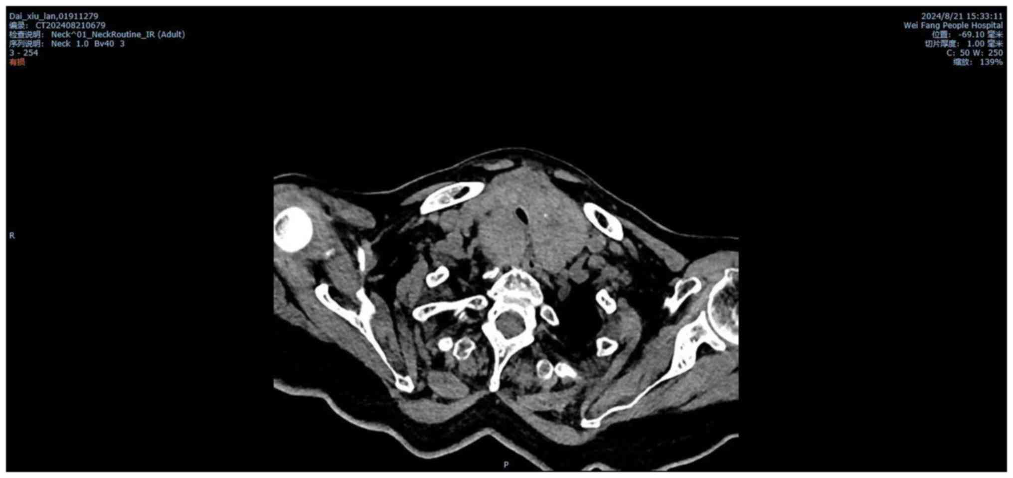
The electrocardiogram displayed marked sinus tachycardia. Neck CT images revealed an enlarged bilateral thyroid compressing most of the tracheal lumen, with the narrowest diameter of the stenosis being 4.6 mm (Fig. 1). CT scan of the brain and abdomen yielded normal results (data not shown).

Figure 1

CT scan demonstrating tracheal compression due to the large thyroid. Tracheal lumen diameter was compressed (4.6 mm) prior to surgery.

Given the rapidly aggravating respiratory distress, the patient immediately underwent an endotracheal intubation without anaesthesia and was transferred to the intensive care unit.

BWPS was calculated to be 70 points (with ≥45 points indicating TS) (2,3) and the patient was diagnosed with TS and acute airway obstruction. Treatment was promptly initiated with nasogastric propylthiouracil (250 mg every 4 h), sodium iodide (0.25 ml every 6 h), hydrocortisone (100 mg every 8 h) and esmolol (10 mg every 4 h). Temperature was controlled with a cooling blanket. In total, 7 days later, the vital signs were as follows: Rectally measured temperature of 37.5˚C; heart rate of 92 beats per min; and blood pressure of 125/90 mmHg. Thyroid function tests showed TSH to be <0.01 µIU/ml, free triiodothyronine at 7.66 pmol/l and free thyroxine at 29.04 pmol/l. However, the intubation could not be removed because of the stenosis of the trachea. Therefore, the multidisciplinary team decided to perform a thyroidectomy to reduce the bleeding and relapse immediately after the TS had been controlled with medical treatment. Following suggestions from the multidisciplinary team, a total thyroidectomy was performed. During the gross examination, the thyroid was composed of multiple nodules and the total volume of thyroid was 10x7x7 cm. (Fig. 2). Recurrent laryngeal nerve and parathyroid glands were identified and protected during the procedure. Specimens were fixed with 4% formalin at room temperature for 12 h, embedded in paraffin, cut into 4-µm sections, stained for 5 min at room temperature with hematoxylin and eosin, and observed under a light microscope (x200 magnification). The thyroid demonstrated a benign multinodular structure (Fig. 3). After surgery, the patient was transferred to the thyroid surgery ward and their vital signs were comparable to those at day 7. The intubation was removed immediately after surgery. Sodium iodide (0.25 ml every 12 h) and hydrocortisone (100 mg every 12 h) were administered for 7 days after surgery. A total of 14 days after the surgery, thyroid function tests revealed a TSH level at <0.01 µIU/ml, free triiodothyronine at 5.74 pmol/l and free thyroxine at 18.63 pmol/l. These results showed that the hyperthyroidism had been completely controlled. Based on these laboratory findings and clinical examinations, the patient's TS and trachea stenosis were deemed to have been effectively resolved. The patient was subsequently discharged from the hospital 15 days after the surgery.

Figure 2

Appearance of the goitre following surgical removal. The thyroid was composed of multiple nodules and its total volume was 10x7x7 cm.

Figure 3

H&E staining showed that the thyroid epithelial cells were hypertrophic and hyperplastic, which is the characteristic of a benign nodular goitre (magnification, x200).

Replacement therapy with L-thyroxine (75 µg/per day; lifetime) began on the day that the patient was discharged from hospital. Upon follow-up in the Thyroid Clinic of Weifang People's Hospital, 1 month after discharge from the hospital, the patient had normal thyroid function (TSH, 2.32 µIU/ml; free thyroxine, 14.32 pmol/l; and free triiodothyronine, 4.95 pmol/l) and did not complain of dyspnoea. The patient has since been lost to follow-up.

Discussion

TS is a life-threatening condition induced by hyperthyroidism and causes multi-organ dysfunction (2,3). The diagnosis of TS is based on laboratory tests and the presence of severe signs and symptoms with evidence of thyrotoxicosis (2,3). TS should be considered as one of the diagnostic possibilities in patients with known hyperthyroidism (11,12). Laboratory tests will typically show the TSH serum level to be low to undetectable, whereas that of free thyroxine and free triiodothyronine is typically elevated (11,12). A number of precipitating factors can translate simple thyrotoxicosis into the metabolic crisis of TS (2,3). For example, patients with inadequately treated hyperthyroidism are at a particularly increased risk of TS (2,3). However, thyroid surgery without adequate drug control of hyperthyroidism remains the most common cause of TS, although the increased use of radioactive iodine has drastically reduced the risk of TS due to this cause (11,12). In addition, parturition, major trauma, non-thyroid surgery, infection or iodine exposure from radiocontrast dyes may induce TS in patients with thyrotoxicosis (2,3). In the present case, the patient had a history of hyperthyroidism and lacked a standardized treatment regimen. The compression of the trachea induced by the goitre caused dyspnoea, which can induce a stress response in the body. During the stress response, additional thyroid hormones can be released into the bloodstream (11,12). Therefore, the compression of trachea may have been one of the causes of TS.

Hyperpyrexia (>39˚C) is universal in almost every patient with TS (2,3). Overall, 84% of TS patients have cardiovascular dysfunction, including tachycardia, systolic heart failure with pulmonary and peripheral oedema, and high output heart failure (2,3). In the present study, the patient had tachycardia with a heart rate of 125 beats per min. A total of 51% of patients with TS also suffer from gastrointestinal symptoms, such as nausea, vomiting, diarrhoea, jaundice, hepatic injury and abdominal pain (2,3). In addition, altered mental status, including confusion, stupor and coma, are some of the other common symptoms of hyperthyroidism (2,3). TS remains a diagnostic challenge, because of non-specific and varied characteristics on presentation. Various diagnostic systems, such as the BWPS or Japan Thyroid Association criteria (2,3), have been previously established to facilitate the diagnosis and evaluation of the severity of TS (13,14). In the present case, the patient had symptoms of thermoregulatory dysfunction, tachycardia and abdominal pain, whereas the BWPS was calculated to be 70 points (≥45 points indicating TS). Therefore, the patient was diagnosed with TS.

The treatment of TS should be initiated once its diagnosis is suspected due to the 10% mortality rate associated with this condition (2,3). A multidisciplinary team should be organized immediately to successfully offer the patient all possible therapeutic options. Management aims should include attaining a euthyroid state through medical management (antithyroid drugs and iodine) and definitive treatment through surgery. In general, the patients with TS should be admitted to the intensive care unit for aggressive medical management and undergo definitive treatment. The medical treatment should not only target the synthesis and release of thyroid hormone but also attempt to minimize the effects of circulating thyroid hormones and prevent end-stage organ damage (2,3). The initial management for the present case involved the use of antithyroid hormones synthesis drugs (propylthiouracil), antithyroid hormones synthesis drug (sodium iodide) and an antithyroid peripheral conversion drug (hydrocortisone), which stabilized the hemodynamic status.

Acute airway obstruction was another issue that had to be resolved for the patient in the present report. This is a life-threatening condition that can be caused by upper respiratory tract infections, resulting in oedema and retention of secretions, sudden intrathyroidal haemorrhage and tracheal stenosis or collapse (8,9). In the present case, the cause of acute airway obstruction was compression by the enlarged thyroid. In addition, airway compression may be an aetiological factor and aggravated symptom of TS. The most effective treatment method for this condition appears to be the physical removal of airway obstruction induced by the enlarged goitre. However, the cardiovascular dysfunction induced by TS impedes treatment execution because of the high mortality rates of the former (8,9). In addition, thyroid surgery may increase the severity of TS (2,3). These issues cause difficulty in the design of an optimal treatment strategy. Ultimately, in the present case, the multidisciplinary team decided to perform thyroidectomy to reduce the bleeding and relapse immediately after TS was controlled with medical treatment.

A previous case report showed a case of a 42-year-old male patient with acute airway obstruction induced by a giant thyroid accompanied by TS (15). The patient had undergone emergency total thyroidectomy due to the failure of tracheostomy. Although the symptoms of TS had not worsened in the perioperative period, the TS and airway obstruction was completely resolved similar to the present case. However, surgery in cases of uncontrolled hyperthyroidism may enhance the crisis of TS (2,3). In the present case, a female patient with acute airway obstruction and TS was presented. Specifically, the symptoms of TS were firstly controlled, followed by thyroidectomy. Due to the difficulty of tracheostomy, endotracheal intubation was performed to establish the breathing passage, which provided vital additional time for controlling the TS.

In conclusion, TS and acute airway obstruction are both rare but potentially life-threatening disorders associated with a high mortality rate. However, optimal medical treatment, including antithyroid hormones synthesis drugs (propylthiouracil), antithyroid hormones synthesis drug (sodium iodide) and an antithyroid peripheral conversion drug (hydrocortisone), to control the symptom of TS and then emergency thyroid surgery appear to be safe options for patients with TS.

Acknowledgements

Not applicable.

Funding

Funding: No funding was received.

Availability of data and materials

The data generated in the present study may be requested from the corresponding author.

Authors' contributions

YW and JH conceived the case report. YW, LW and JH performed the surgery. ZY, KM, LW and JH collected and analysed the data. ZY and LW wrote and revised the manuscript. YW and JH confirmed the authenticity of all the raw data. All authors read and approved the final manuscript.

Ethics approval and consent to participate

The present study was approved by the Ethics Committee of Weifang People's Hospital (Weifang, China; approval no. WF202404001).

Patient consent for publication

Written informed consent was provided by the patient for the case report to be published.

Competing interests

The authors declare that they have no competing interests.

References

1 

Lahey FH: Apathetic thyroidism. Ann Surg. 93:1026–1030. 1931.PubMed/NCBI View Article : Google Scholar

2 

Tsakiridis I, Giouleka S, Kourtis A, Mamopoulos A, Athanasiadis A and Dagklis T: Thyroid disease in pregnancy: A descriptive review of guidelines. Obstet Gynecol Surv. 77:45–62. 2022.PubMed/NCBI View Article : Google Scholar

3 

Wiersinga WM, Poppe KG and Effraimidis G: Hyperthyroidism: Aetiology, pathogenesis, diagnosis, management, complications, and prognosis. Lancet Diabetes Endocrinol. 11:282–298. 2023.PubMed/NCBI View Article : Google Scholar

4 

Galindo RJ, Hurtado CR, Pasquel FJ, García Tome R, Peng L and Umpierrez GE: National trends in incidence, mortality, and clinical outcomes of patients hospitalized for thyrotoxicosis with and without thyroid storm in the United States, 2004-2013. Thyroid. 29:36–43. 2019.PubMed/NCBI View Article : Google Scholar

5 

Akamizu T, Satoh T, Isozaki O, Suzuki A, Wakino S, Iburi T, Tsuboi K, Monden T, Kouki T, Otani H, et al: Diagnostic criteria, clinical features, and incidence of thyroid storm based on nationwide surveys. Thyroid. 22:661–679. 2012.PubMed/NCBI View Article : Google Scholar

6 

Ono Y, Ono S, Yasunaga H, Matsui H, Fushimi K and Tanaka Y: Factors associated with mortality of thyroid storm: Analysis using a National inpatient database in Japan. Medicine (Baltimore). 95(e2848)2016.PubMed/NCBI View Article : Google Scholar

7 

Farooqi S, Raj S, Koyfman A and Long B: High risk and low prevalence diseases: Thyroid storm. Am J Emerg Med. 69:127–135. 2023.PubMed/NCBI View Article : Google Scholar

8 

Eskander A, de Almeida JR and Irish JC: Acute upper airway obstruction. N Engl J Med. 381:1940–1949. 2019.PubMed/NCBI View Article : Google Scholar

9 

Yoyo M: Medicine and society in martinique. Interaction between society and medical practice. Union Med Can. 109 (Suppl):S23–S27. 1980.PubMed/NCBI(In French).

10 

Yildirim E: Principles of urgent management of acute airway obstruction. Thorac Surg Clin. 28:415–428. 2018.PubMed/NCBI View Article : Google Scholar

11 

Chiha M, Samarasinghe S and Kabaker AS: Thyroid storm: An updated review. J Intensive Care Med. 30:131–140. 2015.PubMed/NCBI View Article : Google Scholar

12 

De Almeida R, McCalmon S and Cabandugama PK: Clinical review and update on the management of thyroid storm. Mo Med. 119:366–371. 2022.PubMed/NCBI

13 

Burch HB and Wartofsky L: Life-threatening thyrotoxicosis. Thyroid storm. Endocrinol Metab Clin North Am. 22:263–277. 1993.PubMed/NCBI

14 

Satoh T, Isozaki O, Suzuki A, Wakino S, Iburi T, Tsuboi K, Kanamoto N, Otani H, Furukawa Y, Teramukai S and Akamizu T: 2016 Guidelines for the management of thyroid storm from The Japan Thyroid Association and Japan Endocrine Society (First edition). Endocr J. 63:1025–1064. 2016.PubMed/NCBI View Article : Google Scholar

15 

Matsushita A, Hosokawa S, Mochizuki D, Okamura J, Funai K and Mineta H: Emergent thyroidectomy with sternotomy due to acute respiratory failure with severe thyroid storm. Ann R Coll Surg Engl. 100:e1–e3. 2018.PubMed/NCBI View Article : Google Scholar

Related Articles

  • Abstract
  • View
  • Download
  • Twitter
Copy and paste a formatted citation
Spandidos Publications style
Wang L, Ming K, Yan Z, Huang J and Wang Y: Management of a female patient with thyroid storm accompanied by acute airway obstruction: A case report. Exp Ther Med 29: 89, 2025.
APA
Wang, L., Ming, K., Yan, Z., Huang, J., & Wang, Y. (2025). Management of a female patient with thyroid storm accompanied by acute airway obstruction: A case report. Experimental and Therapeutic Medicine, 29, 89. https://doi.org/10.3892/etm.2025.12839
MLA
Wang, L., Ming, K., Yan, Z., Huang, J., Wang, Y."Management of a female patient with thyroid storm accompanied by acute airway obstruction: A case report". Experimental and Therapeutic Medicine 29.4 (2025): 89.
Chicago
Wang, L., Ming, K., Yan, Z., Huang, J., Wang, Y."Management of a female patient with thyroid storm accompanied by acute airway obstruction: A case report". Experimental and Therapeutic Medicine 29, no. 4 (2025): 89. https://doi.org/10.3892/etm.2025.12839
Copy and paste a formatted citation
x
Spandidos Publications style
Wang L, Ming K, Yan Z, Huang J and Wang Y: Management of a female patient with thyroid storm accompanied by acute airway obstruction: A case report. Exp Ther Med 29: 89, 2025.
APA
Wang, L., Ming, K., Yan, Z., Huang, J., & Wang, Y. (2025). Management of a female patient with thyroid storm accompanied by acute airway obstruction: A case report. Experimental and Therapeutic Medicine, 29, 89. https://doi.org/10.3892/etm.2025.12839
MLA
Wang, L., Ming, K., Yan, Z., Huang, J., Wang, Y."Management of a female patient with thyroid storm accompanied by acute airway obstruction: A case report". Experimental and Therapeutic Medicine 29.4 (2025): 89.
Chicago
Wang, L., Ming, K., Yan, Z., Huang, J., Wang, Y."Management of a female patient with thyroid storm accompanied by acute airway obstruction: A case report". Experimental and Therapeutic Medicine 29, no. 4 (2025): 89. https://doi.org/10.3892/etm.2025.12839
Follow us
  • Twitter
  • LinkedIn
  • Facebook
About
  • Spandidos Publications
  • Careers
  • Cookie Policy
  • Privacy Policy
How can we help?
  • Help
  • Live Chat
  • Contact
  • Email to our Support Team