Spandidos Publications Logo
  • About
    • About Spandidos
    • Aims and Scopes
    • Abstracting and Indexing
    • Editorial Policies
    • Reprints and Permissions
    • Job Opportunities
    • Terms and Conditions
    • Contact
  • Journals
    • All Journals
    • Oncology Letters
      • Oncology Letters
      • Information for Authors
      • Editorial Policies
      • Editorial Board
      • Aims and Scope
      • Abstracting and Indexing
      • Bibliographic Information
      • Archive
    • International Journal of Oncology
      • International Journal of Oncology
      • Information for Authors
      • Editorial Policies
      • Editorial Board
      • Aims and Scope
      • Abstracting and Indexing
      • Bibliographic Information
      • Archive
    • Molecular and Clinical Oncology
      • Molecular and Clinical Oncology
      • Information for Authors
      • Editorial Policies
      • Editorial Board
      • Aims and Scope
      • Abstracting and Indexing
      • Bibliographic Information
      • Archive
    • Experimental and Therapeutic Medicine
      • Experimental and Therapeutic Medicine
      • Information for Authors
      • Editorial Policies
      • Editorial Board
      • Aims and Scope
      • Abstracting and Indexing
      • Bibliographic Information
      • Archive
    • International Journal of Molecular Medicine
      • International Journal of Molecular Medicine
      • Information for Authors
      • Editorial Policies
      • Editorial Board
      • Aims and Scope
      • Abstracting and Indexing
      • Bibliographic Information
      • Archive
    • Biomedical Reports
      • Biomedical Reports
      • Information for Authors
      • Editorial Policies
      • Editorial Board
      • Aims and Scope
      • Abstracting and Indexing
      • Bibliographic Information
      • Archive
    • Oncology Reports
      • Oncology Reports
      • Information for Authors
      • Editorial Policies
      • Editorial Board
      • Aims and Scope
      • Abstracting and Indexing
      • Bibliographic Information
      • Archive
    • Molecular Medicine Reports
      • Molecular Medicine Reports
      • Information for Authors
      • Editorial Policies
      • Editorial Board
      • Aims and Scope
      • Abstracting and Indexing
      • Bibliographic Information
      • Archive
    • World Academy of Sciences Journal
      • World Academy of Sciences Journal
      • Information for Authors
      • Editorial Policies
      • Editorial Board
      • Aims and Scope
      • Abstracting and Indexing
      • Bibliographic Information
      • Archive
    • International Journal of Functional Nutrition
      • International Journal of Functional Nutrition
      • Information for Authors
      • Editorial Policies
      • Editorial Board
      • Aims and Scope
      • Abstracting and Indexing
      • Bibliographic Information
      • Archive
    • International Journal of Epigenetics
      • International Journal of Epigenetics
      • Information for Authors
      • Editorial Policies
      • Editorial Board
      • Aims and Scope
      • Abstracting and Indexing
      • Bibliographic Information
      • Archive
    • Medicine International
      • Medicine International
      • Information for Authors
      • Editorial Policies
      • Editorial Board
      • Aims and Scope
      • Abstracting and Indexing
      • Bibliographic Information
      • Archive
  • Articles
  • Information
    • Information for Authors
    • Information for Reviewers
    • Information for Librarians
    • Information for Advertisers
    • Conferences
  • Language Editing
Spandidos Publications Logo
  • About
    • About Spandidos
    • Aims and Scopes
    • Abstracting and Indexing
    • Editorial Policies
    • Reprints and Permissions
    • Job Opportunities
    • Terms and Conditions
    • Contact
  • Journals
    • All Journals
    • Biomedical Reports
      • Information for Authors
      • Editorial Policies
      • Editorial Board
      • Aims and Scope
      • Abstracting and Indexing
      • Bibliographic Information
      • Archive
    • Experimental and Therapeutic Medicine
      • Information for Authors
      • Editorial Policies
      • Editorial Board
      • Aims and Scope
      • Abstracting and Indexing
      • Bibliographic Information
      • Archive
    • International Journal of Epigenetics
      • Information for Authors
      • Editorial Policies
      • Editorial Board
      • Aims and Scope
      • Abstracting and Indexing
      • Bibliographic Information
      • Archive
    • International Journal of Functional Nutrition
      • Information for Authors
      • Editorial Policies
      • Editorial Board
      • Aims and Scope
      • Abstracting and Indexing
      • Bibliographic Information
      • Archive
    • International Journal of Molecular Medicine
      • Information for Authors
      • Editorial Policies
      • Editorial Board
      • Aims and Scope
      • Abstracting and Indexing
      • Bibliographic Information
      • Archive
    • International Journal of Oncology
      • Information for Authors
      • Editorial Policies
      • Editorial Board
      • Aims and Scope
      • Abstracting and Indexing
      • Bibliographic Information
      • Archive
    • Medicine International
      • Information for Authors
      • Editorial Policies
      • Editorial Board
      • Aims and Scope
      • Abstracting and Indexing
      • Bibliographic Information
      • Archive
    • Molecular and Clinical Oncology
      • Information for Authors
      • Editorial Policies
      • Editorial Board
      • Aims and Scope
      • Abstracting and Indexing
      • Bibliographic Information
      • Archive
    • Molecular Medicine Reports
      • Information for Authors
      • Editorial Policies
      • Editorial Board
      • Aims and Scope
      • Abstracting and Indexing
      • Bibliographic Information
      • Archive
    • Oncology Letters
      • Information for Authors
      • Editorial Policies
      • Editorial Board
      • Aims and Scope
      • Abstracting and Indexing
      • Bibliographic Information
      • Archive
    • Oncology Reports
      • Information for Authors
      • Editorial Policies
      • Editorial Board
      • Aims and Scope
      • Abstracting and Indexing
      • Bibliographic Information
      • Archive
    • World Academy of Sciences Journal
      • Information for Authors
      • Editorial Policies
      • Editorial Board
      • Aims and Scope
      • Abstracting and Indexing
      • Bibliographic Information
      • Archive
  • Articles
  • Information
    • For Authors
    • For Reviewers
    • For Librarians
    • For Advertisers
    • Conferences
  • Language Editing
Login Register Submit
  • This site uses cookies
  • You can change your cookie settings at any time by following the instructions in our Cookie Policy. To find out more, you may read our Privacy Policy.

    I agree
Search articles by DOI, keyword, author or affiliation
Search
Advanced Search
presentation
Molecular and Clinical Oncology
Join Editorial Board Propose a Special Issue
Print ISSN: 2049-9450 Online ISSN: 2049-9469
Journal Cover
November-2016 Volume 5 Issue 5

Full Size Image

Sign up for eToc alerts
Recommend to Library

Journals

International Journal of Molecular Medicine

International Journal of Molecular Medicine

International Journal of Molecular Medicine is an international journal devoted to molecular mechanisms of human disease.

International Journal of Oncology

International Journal of Oncology

International Journal of Oncology is an international journal devoted to oncology research and cancer treatment.

Molecular Medicine Reports

Molecular Medicine Reports

Covers molecular medicine topics such as pharmacology, pathology, genetics, neuroscience, infectious diseases, molecular cardiology, and molecular surgery.

Oncology Reports

Oncology Reports

Oncology Reports is an international journal devoted to fundamental and applied research in Oncology.

Experimental and Therapeutic Medicine

Experimental and Therapeutic Medicine

Experimental and Therapeutic Medicine is an international journal devoted to laboratory and clinical medicine.

Oncology Letters

Oncology Letters

Oncology Letters is an international journal devoted to Experimental and Clinical Oncology.

Biomedical Reports

Biomedical Reports

Explores a wide range of biological and medical fields, including pharmacology, genetics, microbiology, neuroscience, and molecular cardiology.

Molecular and Clinical Oncology

Molecular and Clinical Oncology

International journal addressing all aspects of oncology research, from tumorigenesis and oncogenes to chemotherapy and metastasis.

World Academy of Sciences Journal

World Academy of Sciences Journal

Multidisciplinary open-access journal spanning biochemistry, genetics, neuroscience, environmental health, and synthetic biology.

International Journal of Functional Nutrition

International Journal of Functional Nutrition

Open-access journal combining biochemistry, pharmacology, immunology, and genetics to advance health through functional nutrition.

International Journal of Epigenetics

International Journal of Epigenetics

Publishes open-access research on using epigenetics to advance understanding and treatment of human disease.

Medicine International

Medicine International

An International Open Access Journal Devoted to General Medicine.

Journal Cover
November-2016 Volume 5 Issue 5

Full Size Image

Sign up for eToc alerts
Recommend to Library

  • Article
  • Citations
    • Cite This Article
    • Download Citation
    • Create Citation Alert
    • Remove Citation Alert
    • Cited By
  • Similar Articles
    • Related Articles (in Spandidos Publications)
    • Similar Articles (Google Scholar)
    • Similar Articles (PubMed)
  • Download PDF
  • Download XML
  • View XML
Case Report Open Access

Solitary pleural myeloma diagnosed by semi-rigid thoracoscopy: A case report and literature review

  • Authors:
    • Jin‑Sheng Ouyang
    • Yu‑Ping Li
    • Peng Li
    • Min Ye
    • Jun‑Ru Ye
    • Bei‑Bei Wang
    • Ying Zhou
    • Cheng‑Shui Chen
  • View Affiliations / Copyright

    Affiliations: Department of Respiratory Medicine, The First Affiliated Hospital of Wenzhou Medical University, Wenzhou, Zhejiang 325000, P.R. China, Department of Pathology, The First Affiliated Hospital of Wenzhou Medical University, Wenzhou, Zhejiang 325000, P.R. China
    Copyright: © Ouyang et al. This is an open access article distributed under the terms of Creative Commons Attribution License.
  • Pages: 532-536
    |
    Published online on: August 23, 2016
       https://doi.org/10.3892/mco.2016.1000
  • Expand metrics +
Metrics: Total Views: 0 (Spandidos Publications: | PMC Statistics: )
Metrics: Total PDF Downloads: 0 (Spandidos Publications: | PMC Statistics: )
Cited By (CrossRef): 0 citations Loading Articles...

This article is mentioned in:


Abstract

Multiple myeloma (MM) is characterized by abnormal proliferation of neoplastic plasma cells. Pleural effusion as an initial presentation of this disease is rare, as is true pleural myeloma. We herein present a case of solitary pleural myelomatous lesion in a 70‑year‑old male patient diagnosed by pleural biopsy via semi‑rigid thoracoscopy followed by histopathological examination. Furthermore, a review of the related English literature identified 22 cases of pleural myeloma, only 3 of which were diagnosed by video-assisted thoracoscopy. To the best of our knowledge, this is the first reported case of a solitary pleural myelomatous lesion diagnosed by pleural biopsy via semi-rigid thoracoscopy. Patients with MM with pleural involvement, including the present case, appear to have a short survival despite aggressive treatment. Our patient received chemotherapy with bortezomib, epiadriamycin and dexamethasone; however, he deteriorated rapidly after one cycle of chemotherapy and succumbed to the disease 8 weeks after the initial presentation. According to our experience, semi‑rigid thoracoscopy is an effective and safe method for obtaining a pleural specimen for histopathological evaluation.

Introduction

Multiple myeloma (MM) is a hematological malignancy that primarily affects elderly individuals. The clinical manifestations of MM, collectively referred to as ‘CRAB’, include hypercalcemia, renal insufficiency, anaemia and bony lesions, caused by either direct infiltration by neoplastic plasma cells or deposition of monoclonal immunoglobulins (Ig), particularly light chains. Myelomatous pleural effusion (MPE) is an uncommon manifestation, with only a few cases reported to date (1). Patients with MPE often have advanced-stage disease and poor prognosis, despite aggressive treatment. We herein present a case of of MPE diagnosed via semi-rigid thoracoscopy in a patient with IgA-λ MM, and a review of the current literature on clinical manifestations, laboratory examinations and diagnosis of MPE.

Case report

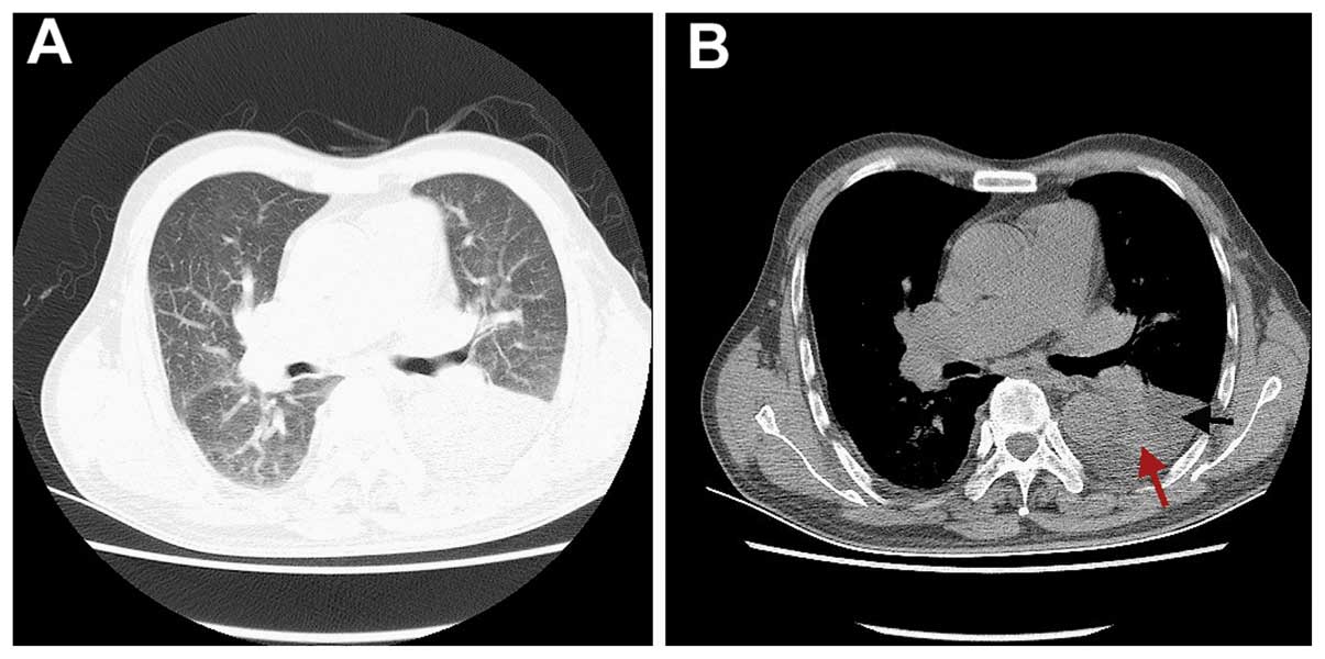
A 70-year-old male patient presented at The First Affiliated Hospital of Wenzhou Medical University (Wenzhou, China) with a 1-week history of cough and exertional dyspnea with no fever, chest pain, purulent sputum and hemoptysis. The patient was a smoker with >20 pack-years, but his medical, social and family history were otherwise unremarkable. On physical examination, the patient appeared pale, with decreased breath sounds and dullness on percussion over the left posterior thorax. The laboratory findings were as follows: White blood cell count, 3.9×109/l (50.9% neutrophils, 32.7% lymphocytes, and 13.5% monocytes, normal basophils and eosinophils); erythrocyte count, 2.7×1012/l; hemoglobin, 81 g/l; platelet count, 180×109/l; total protein, 85.5 g/l; albumin, 31.8 g/l; globulin, 53.7 g/l; serum calcium, 3.6 mmol/l [normal limit (NL): 2.1–2.6 mmol/l]; serum creatinine, 180 µmol/l (NL: 44–97 µmol/l); urea nitrogen, 8.7 mol/l; C-reactive protein, 30.5 mg/l; lactate dehydrogenase (LDH), 364.0 µ/l; β2-microglobulin, 21.1 µg/ml (NL: 0.9–2.7 µg/ml); serum κ light chain, 3.4 g/l (NL: 6.3–13.5 g/l); serum λ light chain, 28.3 g/l (NL: 3.1–7.2 g/l); serum IgA, 24.3 g/l; IgM, 153.00 mg/l; IgG, 4.4 g/l; and IgM, 0.43 g/l; the IgE and IgD levels were normal. Carcinoembryonic antigen (CEA), carbohydrate antigen 19-9 and brain natriuretic peptide levels were within normal limits, and the T-SPOT® tuberculosis test was negative. Computed tomography (CT) revealed left pleural effusion and atelectasis of the lower lobe of the left lung (Fig. 1). Fiberoptic bronchoscopy revealed no endobronchial lesions. The patient underwent thoracentesis and the pleural fluid was highly cellular, with a nucleated cell count of 1.7×109/l (42% mononuclear cells), and contained total protein at 46.1 g/l, LDH at 193.0 U/l, adenosine deaminase at 20.0 U/l and CEA at 1.5 µg/l; thus, the effusion was considered as exudative according to the Light criteria (2). Malignant cells were not found in the pleural fluid. Immune fixation electrophoresis of the blood revealed IgA-λ-type monoclonal immunoglobulin. The patient underwent bone marrow aspiration biopsy twice. The first bone marrow biopsy showed no significant abnormalities (Fig. 3A), while the second revealed a mildly hypercellular marrow with 13% plasma cells (Fig. 3B). Semi-rigid thoracoscopy was performed, which revealed a solitary pleural nodule sized ~1×0.8 cm on the parietal pleura (Fig. 4). Histopathological evaluation of the biopsied nodule revealed sheets of neoplastic plasma cells, which were positive for CD38 and multiple myeloma oncogene 1 (MUM1), with λ light chain restriction and a Ki-67 index of 50% (Fig. 5). The patient was diagnosed with IgA-λ-type MM with pleural involvement, based on the clinical manifestations, laboratory examinations, radiographic findings and the results of bone marrow and pleural biopsies. The patient received chemotherapy with bortezomib, epiadriamycin and dexamethasone; however, he deteriorated rapidly after one cycle of chemotherapy and succumbed to the disease 8 weeks after the initial presentation.

Figure 1.

Computed tomography scans of the chest. (A) Lung window and (B) mediastinal window showing left pleural effusion (black arrow) and compressive atelectasis of the lung (red arrow).

Figure 3.

Cytology of the bone marrow. (A) Normal plasma cell (arrow). (B) Malignant plasma cells were detected in the bone marrow, characterized by large, eccentrically placed, pleomorphic nuclei with prominent nucleoli (arrows). Wright-Giemsa stain; magnification, ×400.

Figure 4.

View of the left pleura on semi-rigid thoracoscopy, showing a solitary nodule on the parietal pleural surface (black arrow) and pleural congestion (red arrow).

Figure 5.

Histopathology and immunohistochemistry images of the pleural biopsy specimen (magnification, ×200). (A) Hematoxylin and eosin staining revealed abnormal proliferation of plasma cells. The immunohistochemical staining results were as follows: (B) CD38+, (C) κ−, (D) λ+, (E) Ki-67+ (>50%) and (F) multiple myeloma oncogene 1 (MUM1)+. Positive staining for CD38 is characteristic for malignant plasma cell disease. The myeloma-specific oncogene MUM1 is a key regulator of several steps in lymphoid, myeloid and dendritic cell differentiation and maturation. κ and λ, light chains in multiple myeloma.

Written informed consent was obtained from the patient regarding the publication of this case report and any accompanying images.

Discussion

As a hematopoietic malignancy, MM primarily affects the bone marrow, but may also involve extramedullary tissue. The characteristic clinical manifestations of MM, collectively referred to as ‘CRAB’, include hypercalcemia, renal failure, anemia and bone lesions. MPE is an uncommon manifestation, occurring in ~6% of patients with MM (1). Our patient presented with the typical ‘CRAB’ signs and symptoms in addition to a pleural myelomatous lesion. The possible etiological factors for pleural effusion include congestive heart failure secondary to amyloidosis, chronic renal failure, nephritic syndrome secondary to renal tubular infiltration with paraprotein and development of glomerular damage, direct infiltration of pleural fluid from adjacent tissues, hypoalbuminemia, pulmonary embolism, secondary neoplasm, lymphatic drainage obstruction by tumor infiltration, infection and pleural myelomatous involvement (3). It has been reported that 80% of MPE cases are related to IgA MM (4); our patient was also IgA type. In the present case, the unilateral exudative effusion was mainly attributed to a localized pleural myelomatous lesion. Chemotherapy is the mainstay of therapy for pleural myeloma, despite the low response rate and short survival time.

An English literature search for related studies between 1990 and 2015 was conducted through PubMed, using the search criteria (‘pleural effusion’ and ‘multiple myeloma’) or ‘myelomatous pleural effusions’, which yielded 152 candidate articles. Based on the inclusion criteria (pleural myelomatous involvement confirmed by cytological analysis of pleural effusion or histopathological evaluation of pleural biopsy specimens), a total of 22 cases were included in the final review and analysis. The patient characteristics, including general information, laboratory test results, diagnostic methods and clinical outcomes, were retrospectively reviewed and are summarized in Table I. The patient age ranged from 40 to 83 years, with a mean of 60 years and a slight male predominance. The diagnosis was made by cytological analysis of the pleural effusion in 15 cases; pleural biopsy specimens were examined in 7 patients, including 3 undergoing video-assisted thoracoscopy sampling (VATS) and 1 undergoing semi-rigid thoracoscopy (present case). The diagnostic method for pleural myeloma was not specified in the remaining case. All patients with pleural involvement had a short survival (ranging from 4 weeks to 12 months) after presentation with pleural effusion. The literature review revealed that MM with pleural involvement most commonly affects older (≥50 years) and elderly patients (≥65 years) and is associated with a poor prognosis.

Table I.

Reported cases of pleural myeloma.

Table I.

Reported cases of pleural myeloma.

First author (Refs.)YearAge/genderIg typeEMIOsteolysisPathologyThoracoscopySurvivala (months)
Jiang (5)201578/NDIgDNoYesCPENoND
Suwatanapongched (6)201476/MIgG-λNoYesCPENo1
Zhang (7)201453/MIgG-κNoNoPleural biopsyVATSND
Xu (8)201345/MNegativeNoYesPleural biopsyNo12
Chim (9)201356/MIgG-λNoNoNDNo5
Oudart (3)201262/FIgG-κNDNDCPENoND
Klanova (10)201243/FIgG-κYesbYesCPENo12
Keklik (11)201252/MIgG-κNoYesCPENoND
Al-Farsi (12)201056/MIgG-κNoYesCPENo6
Huang (13)201067/FIgA-λNGNDCPENoND
Malhotra (14)201050/MNDNGNDCPENo2
Ghoshal (15)201061/FNDNGYesPleural biopsyNoND
Nakazato (16)200974/MIgG-κYesbYesCPENo8
Neuman (17)200947/MNDNDYesCPENoND
Chang (18)200983/FIgD-λNDNoCPENo2
Yokoyama (19)200858/MIgDYesbNGPleural biopsyNo3
Kim (20)200876/FIgA-λNDYesCPENo1
Dhingra (21)200740/MIgGNDYesCPENoND
Inoue (22)200551/FIgG-λYesbNDPleural biopsyVATS10
Kim (23)200061/FIgG-λNDNDPleural biopsyNoND
Rodríguez (4)199451/MIgA-κNDYesCPENo11
Makino (24)199273/FIgGNDNoCPENoND
Present case201570/MIgA-λNDYesPleural biopsySRTS8

a After presentation with pleural effusion.

b Lymphadenopathy. EMI, extramedullary involvement; ND, not defined; CPE, cytology of pleural effusion; M, male; F, female; PM, pleural myeloma; PE, pleural effusion; VATS, video-assisted thoracoscopy sampling; Ig, immunoglobulin; SRTS, semi-rigid thoracoscopy.

In the previously reported cases reviewed herein, pleural myeloma was identified by pleural effusion cytology or/and histological examination of pleural biopsy specimens, despite the advantages of thoracoscopy, or open and multiple-site biopsy. However, a localized pleural myelomatous lesion is difficult to detect on CT or ultrasonography, which hampers image-guided direct biopsy of the lesion. With the advances in thoracoscopic techniques, open and multiple-site pleural biopsy may be performed by VATS or semi-rigid thoracoscopy. These procedures may improve the diagnostic rate in patients with pleural lesions of unknown etiology. However, thoracoscopy is rarely considered as a feasible option for identifying the etiology of pleural effusion in patients with MM. In selected patients, semi-rigid thoracoscopy may be superior to VATS in terms of safety and cost-effectiveness. As semi-rigid thoracoscopy may be successfully performed under local anesthesia and intravenous sedation, the majority of patients with mild or moderate cardiopulmonary dysfunction may safely undergo this procedure, while they would not be eligible for VATS due to the risks associated with general anesthesia. Our patient underwent semi-rigid thoracoscopy with biopsy of a small solitary nodule on the left parietal pleura, which was diagnosed as a myelomatous lesion. To the best of our knowledge, this was the first report of a solitary pleural myelomatous lesion diagnosed by pleural biopsy via semi-rigid thoracoscopy. Semi-rigid thoracoscopy may be successfully performed by pulmonologists under local anesthesia. The procedure appears to be safer, more cost-effective and comfortable for patients compared with VATS.

In summary, we reported a case of solitary pleural myelomatous nodule diagnosed by semi-rigid thoracoscopy and pleural histopathology. Although MPE is uncommon, MM should be considered in patients with pleural effusion of unknown etiology. Semi-rigid thoracoscopy appears to be a feasible option for diagnosing pleural myeloma in the era of precision medicine.

Glossary

Abbreviations

Abbreviations:

MM

multiple myeloma

MPE

myelomatous pleural effusion

NL

normal limit

CT

computed tomography

VATS

video-assisted thoracoscopy

References

1 

Kintzer JS Jr, Rosenow EC III and Kyle RA: Thoracic and pulmonary abnormalities in multiple myeloma. A review of 958 cases. Arch Intern Med. 138:727–730. 1978. View Article : Google Scholar : PubMed/NCBI

2 

Light RW: The Light criteria: The beginning and why they are useful 40 years later. Clin Chest Med. 34:21–26. 2013. View Article : Google Scholar : PubMed/NCBI

3 

Oudart JB, Maquart FX, Semouma O, Lauer M, Arthuis-Demoulin P and Ramont L: Pleural effusion in a patient with multiple myeloma. Clin Chem. 58:672–674. 2012. View Article : Google Scholar : PubMed/NCBI

4 

Rodríguez JN, Pereira A, Martinez JC, Conde J and Pujol E: Pleural effusion in multiple myeloma. Chest. 105:622–624. 1994. View Article : Google Scholar : PubMed/NCBI

5 

Jiang AG, Yang YT, Gao XY and Lu HY: Bilateral pleural effusion as an initial manifestation of multiple myeloma: A case report and literature review. Exp Ther Med. 9:1040–1042. 2015.PubMed/NCBI

6 

Suwatanapongched T, Pornsuriyasak P, Kanoksil W, Morasert T and Virayavanich W: A 76-year-old man with anemia, bone pain, and progressive dyspnea. Diagnosis: Bilateral myelomatous pleural effusions with extramedullary plasmacytomas. Chest. 145:913–918. 2014. View Article : Google Scholar : PubMed/NCBI

7 

Zhang LL, Li YY, Hu CP and Yang HP: Myelomatous pleural effusion as an initial sign of multiple myeloma-a case report and review of literature. J Thorac Dis. 6:E152–E159. 2014.PubMed/NCBI

8 

Xu XL, Shen YH, Shen Q and Zhou JY: A case of bilateral pleural effusion as the first sign of multiple myeloma. Eur J Med Res. 18:72013. View Article : Google Scholar : PubMed/NCBI

9 

Chim CS and Ma ES: Survival of >20 years in a myeloma patient with an unusual combination of t(14;16) and hyperdiploidy: A case report. Oncol Lett. 6:1663–1664. 2013.PubMed/NCBI

10 

Klanova M, Klener P, Trneny M, Straub J and Spicka I: Intrapleural bortezomib for the therapy of myelomatous pleural effusion: A case report. Case Reports Immunol. 2012:9784792012. View Article : Google Scholar : PubMed/NCBI

11 

Keklik M, Sivgin S, Pala C, Eroglu C, Akyol G, Kaynar L, Koker MY, Camlica D, Unal A, Cetin M and Eser B: Flow cytometry method as a diagnostic tool for pleural fluid involvement in a patient with multiple myeloma. Mediterr J Hematol Infect Dis. 4:e20120632012. View Article : Google Scholar : PubMed/NCBI

12 

Al-Farsi K, Al-Haddabi I, Al-Riyami N, Al-Sukaiti R and Al-Kindi S: Myelomatous Pleural Effusion: Case report and review of the literature. Sultan Qaboos Univ Med J. 11:259–264. 2011.PubMed/NCBI

13 

Huang TC and Chao TY: Myelomatous pleural effusion. QJM. 103:705–706. 2010. View Article : Google Scholar : PubMed/NCBI

14 

Malhotra KP, Agrawal V and Prasad N: Myelomatous pleural effusion: A diagnostic challenge. Indian J Cancer. 47:351–352. 2010. View Article : Google Scholar : PubMed/NCBI

15 

Ghoshal AG, Sarkar S, Majumder A and Chakrabarti S: Unilateral massive pleural effusion: A presentation of unsuspected multiple myeloma. Indian J Hematol Blood Transfus. 26:62–64. 2010. View Article : Google Scholar : PubMed/NCBI

16 

Nakazato T, Suzuki K, Mihara A, Sanada Y and Kakimoto T: Refractory plasmablastic type myeloma with multiple extramedullary plasmacytomas and massive myelomatous effusion: Remarkable response with a combination of thalidomide and dexamethasone. Intern Med. 48:1827–1832. 2009. View Article : Google Scholar : PubMed/NCBI

17 

Neuman G and Denekamp Y: Dyspnea and pleural effusion as presenting clinical manifestations of multiple myeloma. Isr Med Assoc J. 11:118–119. 2009.PubMed/NCBI

18 

Chang H, Chou WC, Lee SY, Huang JY and Hung YH: Myelomatous pleural effusion in a patient with plasmablastic myeloma: A case report. Diagn Cytopathol. 37:205–207. 2009. View Article : Google Scholar : PubMed/NCBI

19 

Yokoyama T, Tanaka A, Kato S and Aizawa H: Multiple myeloma presenting initially with pleural effusion and a unique paraspinal tumor in the thorax. Intern Med. 47:1917–1920. 2008. View Article : Google Scholar : PubMed/NCBI

20 

Kim YJ, Kim SJ, Min K, Kim HY, Kim HJ, Lee YK and Zang DY: Multiple myeloma with myelomatous pleural effusion: A case report and review of the literature. Acta Haematol. 120:108–111. 2008. View Article : Google Scholar : PubMed/NCBI

21 

Dhingra KK, Singhal N, Nigam S and Jain S: Unsuspected multiples myeloma presenting as bilateral pleural effusion-a cytological diagnosis. Cytojournal. 4:172007. View Article : Google Scholar : PubMed/NCBI

22 

Inoue Y, Chua K, McClure RF, Jimenez MC, Gocke CD, Badros AZ and Takebe N: Multiple myeloma presenting initially as a solitary pleural effusion later complicated by malignant plasmacytic ascites. Leuk Res. 29:715–718. 2005. View Article : Google Scholar : PubMed/NCBI

23 

Kim YM, Lee KK, Oh HS, Park SK, Won JH, Hong DS, Park HS, Park JS and Lee DW: Myelomatous effusion with poor response to chemotherapy. J Korean Med Sci. 15:243–246. 2000. View Article : Google Scholar : PubMed/NCBI

24 

Makino S, Yamahara S, Nagake Y and Kamura J: Bence-Jones myeloma with pleural effusion: Response to alpha-interferon and combined chemotherapy. Intern Med. 31:617–621. 1992. View Article : Google Scholar : PubMed/NCBI

Related Articles

  • Abstract
  • View
  • Download
  • Twitter
Copy and paste a formatted citation
Spandidos Publications style
Ouyang JS, Li YP, Li P, Ye M, Ye JR, Wang BB, Zhou Y and Chen CS: Solitary pleural myeloma diagnosed by semi-rigid thoracoscopy: A case report and literature review. Mol Clin Oncol 5: 532-536, 2016.
APA
Ouyang, J., Li, Y., Li, P., Ye, M., Ye, J., Wang, B. ... Chen, C. (2016). Solitary pleural myeloma diagnosed by semi-rigid thoracoscopy: A case report and literature review. Molecular and Clinical Oncology, 5, 532-536. https://doi.org/10.3892/mco.2016.1000
MLA
Ouyang, J., Li, Y., Li, P., Ye, M., Ye, J., Wang, B., Zhou, Y., Chen, C."Solitary pleural myeloma diagnosed by semi-rigid thoracoscopy: A case report and literature review". Molecular and Clinical Oncology 5.5 (2016): 532-536.
Chicago
Ouyang, J., Li, Y., Li, P., Ye, M., Ye, J., Wang, B., Zhou, Y., Chen, C."Solitary pleural myeloma diagnosed by semi-rigid thoracoscopy: A case report and literature review". Molecular and Clinical Oncology 5, no. 5 (2016): 532-536. https://doi.org/10.3892/mco.2016.1000
Copy and paste a formatted citation
x
Spandidos Publications style
Ouyang JS, Li YP, Li P, Ye M, Ye JR, Wang BB, Zhou Y and Chen CS: Solitary pleural myeloma diagnosed by semi-rigid thoracoscopy: A case report and literature review. Mol Clin Oncol 5: 532-536, 2016.
APA
Ouyang, J., Li, Y., Li, P., Ye, M., Ye, J., Wang, B. ... Chen, C. (2016). Solitary pleural myeloma diagnosed by semi-rigid thoracoscopy: A case report and literature review. Molecular and Clinical Oncology, 5, 532-536. https://doi.org/10.3892/mco.2016.1000
MLA
Ouyang, J., Li, Y., Li, P., Ye, M., Ye, J., Wang, B., Zhou, Y., Chen, C."Solitary pleural myeloma diagnosed by semi-rigid thoracoscopy: A case report and literature review". Molecular and Clinical Oncology 5.5 (2016): 532-536.
Chicago
Ouyang, J., Li, Y., Li, P., Ye, M., Ye, J., Wang, B., Zhou, Y., Chen, C."Solitary pleural myeloma diagnosed by semi-rigid thoracoscopy: A case report and literature review". Molecular and Clinical Oncology 5, no. 5 (2016): 532-536. https://doi.org/10.3892/mco.2016.1000
Follow us
  • Twitter
  • LinkedIn
  • Facebook
About
  • Spandidos Publications
  • Careers
  • Cookie Policy
  • Privacy Policy
How can we help?
  • Help
  • Live Chat
  • Contact
  • Email to our Support Team