Spandidos Publications Logo
  • About
    • About Spandidos
    • Aims and Scopes
    • Abstracting and Indexing
    • Editorial Policies
    • Reprints and Permissions
    • Job Opportunities
    • Terms and Conditions
    • Contact
  • Journals
    • All Journals
    • Oncology Letters
      • Oncology Letters
      • Information for Authors
      • Editorial Policies
      • Editorial Board
      • Aims and Scope
      • Abstracting and Indexing
      • Bibliographic Information
      • Archive
    • International Journal of Oncology
      • International Journal of Oncology
      • Information for Authors
      • Editorial Policies
      • Editorial Board
      • Aims and Scope
      • Abstracting and Indexing
      • Bibliographic Information
      • Archive
    • Molecular and Clinical Oncology
      • Molecular and Clinical Oncology
      • Information for Authors
      • Editorial Policies
      • Editorial Board
      • Aims and Scope
      • Abstracting and Indexing
      • Bibliographic Information
      • Archive
    • Experimental and Therapeutic Medicine
      • Experimental and Therapeutic Medicine
      • Information for Authors
      • Editorial Policies
      • Editorial Board
      • Aims and Scope
      • Abstracting and Indexing
      • Bibliographic Information
      • Archive
    • International Journal of Molecular Medicine
      • International Journal of Molecular Medicine
      • Information for Authors
      • Editorial Policies
      • Editorial Board
      • Aims and Scope
      • Abstracting and Indexing
      • Bibliographic Information
      • Archive
    • Biomedical Reports
      • Biomedical Reports
      • Information for Authors
      • Editorial Policies
      • Editorial Board
      • Aims and Scope
      • Abstracting and Indexing
      • Bibliographic Information
      • Archive
    • Oncology Reports
      • Oncology Reports
      • Information for Authors
      • Editorial Policies
      • Editorial Board
      • Aims and Scope
      • Abstracting and Indexing
      • Bibliographic Information
      • Archive
    • Molecular Medicine Reports
      • Molecular Medicine Reports
      • Information for Authors
      • Editorial Policies
      • Editorial Board
      • Aims and Scope
      • Abstracting and Indexing
      • Bibliographic Information
      • Archive
    • World Academy of Sciences Journal
      • World Academy of Sciences Journal
      • Information for Authors
      • Editorial Policies
      • Editorial Board
      • Aims and Scope
      • Abstracting and Indexing
      • Bibliographic Information
      • Archive
    • International Journal of Functional Nutrition
      • International Journal of Functional Nutrition
      • Information for Authors
      • Editorial Policies
      • Editorial Board
      • Aims and Scope
      • Abstracting and Indexing
      • Bibliographic Information
      • Archive
    • International Journal of Epigenetics
      • International Journal of Epigenetics
      • Information for Authors
      • Editorial Policies
      • Editorial Board
      • Aims and Scope
      • Abstracting and Indexing
      • Bibliographic Information
      • Archive
    • Medicine International
      • Medicine International
      • Information for Authors
      • Editorial Policies
      • Editorial Board
      • Aims and Scope
      • Abstracting and Indexing
      • Bibliographic Information
      • Archive
  • Articles
  • Information
    • Information for Authors
    • Information for Reviewers
    • Information for Librarians
    • Information for Advertisers
    • Conferences
  • Language Editing
Spandidos Publications Logo
  • About
    • About Spandidos
    • Aims and Scopes
    • Abstracting and Indexing
    • Editorial Policies
    • Reprints and Permissions
    • Job Opportunities
    • Terms and Conditions
    • Contact
  • Journals
    • All Journals
    • Biomedical Reports
      • Information for Authors
      • Editorial Policies
      • Editorial Board
      • Aims and Scope
      • Abstracting and Indexing
      • Bibliographic Information
      • Archive
    • Experimental and Therapeutic Medicine
      • Information for Authors
      • Editorial Policies
      • Editorial Board
      • Aims and Scope
      • Abstracting and Indexing
      • Bibliographic Information
      • Archive
    • International Journal of Epigenetics
      • Information for Authors
      • Editorial Policies
      • Editorial Board
      • Aims and Scope
      • Abstracting and Indexing
      • Bibliographic Information
      • Archive
    • International Journal of Functional Nutrition
      • Information for Authors
      • Editorial Policies
      • Editorial Board
      • Aims and Scope
      • Abstracting and Indexing
      • Bibliographic Information
      • Archive
    • International Journal of Molecular Medicine
      • Information for Authors
      • Editorial Policies
      • Editorial Board
      • Aims and Scope
      • Abstracting and Indexing
      • Bibliographic Information
      • Archive
    • International Journal of Oncology
      • Information for Authors
      • Editorial Policies
      • Editorial Board
      • Aims and Scope
      • Abstracting and Indexing
      • Bibliographic Information
      • Archive
    • Medicine International
      • Information for Authors
      • Editorial Policies
      • Editorial Board
      • Aims and Scope
      • Abstracting and Indexing
      • Bibliographic Information
      • Archive
    • Molecular and Clinical Oncology
      • Information for Authors
      • Editorial Policies
      • Editorial Board
      • Aims and Scope
      • Abstracting and Indexing
      • Bibliographic Information
      • Archive
    • Molecular Medicine Reports
      • Information for Authors
      • Editorial Policies
      • Editorial Board
      • Aims and Scope
      • Abstracting and Indexing
      • Bibliographic Information
      • Archive
    • Oncology Letters
      • Information for Authors
      • Editorial Policies
      • Editorial Board
      • Aims and Scope
      • Abstracting and Indexing
      • Bibliographic Information
      • Archive
    • Oncology Reports
      • Information for Authors
      • Editorial Policies
      • Editorial Board
      • Aims and Scope
      • Abstracting and Indexing
      • Bibliographic Information
      • Archive
    • World Academy of Sciences Journal
      • Information for Authors
      • Editorial Policies
      • Editorial Board
      • Aims and Scope
      • Abstracting and Indexing
      • Bibliographic Information
      • Archive
  • Articles
  • Information
    • For Authors
    • For Reviewers
    • For Librarians
    • For Advertisers
    • Conferences
  • Language Editing
Login Register Submit
  • This site uses cookies
  • You can change your cookie settings at any time by following the instructions in our Cookie Policy. To find out more, you may read our Privacy Policy.

    I agree
Search articles by DOI, keyword, author or affiliation
Search
Advanced Search
presentation
Molecular and Clinical Oncology
Join Editorial Board Propose a Special Issue
Print ISSN: 2049-9450 Online ISSN: 2049-9469
Journal Cover
January-2017 Volume 6 Issue 1

Full Size Image

Sign up for eToc alerts
Recommend to Library

Journals

International Journal of Molecular Medicine

International Journal of Molecular Medicine

International Journal of Molecular Medicine is an international journal devoted to molecular mechanisms of human disease.

International Journal of Oncology

International Journal of Oncology

International Journal of Oncology is an international journal devoted to oncology research and cancer treatment.

Molecular Medicine Reports

Molecular Medicine Reports

Covers molecular medicine topics such as pharmacology, pathology, genetics, neuroscience, infectious diseases, molecular cardiology, and molecular surgery.

Oncology Reports

Oncology Reports

Oncology Reports is an international journal devoted to fundamental and applied research in Oncology.

Experimental and Therapeutic Medicine

Experimental and Therapeutic Medicine

Experimental and Therapeutic Medicine is an international journal devoted to laboratory and clinical medicine.

Oncology Letters

Oncology Letters

Oncology Letters is an international journal devoted to Experimental and Clinical Oncology.

Biomedical Reports

Biomedical Reports

Explores a wide range of biological and medical fields, including pharmacology, genetics, microbiology, neuroscience, and molecular cardiology.

Molecular and Clinical Oncology

Molecular and Clinical Oncology

International journal addressing all aspects of oncology research, from tumorigenesis and oncogenes to chemotherapy and metastasis.

World Academy of Sciences Journal

World Academy of Sciences Journal

Multidisciplinary open-access journal spanning biochemistry, genetics, neuroscience, environmental health, and synthetic biology.

International Journal of Functional Nutrition

International Journal of Functional Nutrition

Open-access journal combining biochemistry, pharmacology, immunology, and genetics to advance health through functional nutrition.

International Journal of Epigenetics

International Journal of Epigenetics

Publishes open-access research on using epigenetics to advance understanding and treatment of human disease.

Medicine International

Medicine International

An International Open Access Journal Devoted to General Medicine.

Journal Cover
January-2017 Volume 6 Issue 1

Full Size Image

Sign up for eToc alerts
Recommend to Library

  • Article
  • Citations
    • Cite This Article
    • Download Citation
    • Create Citation Alert
    • Remove Citation Alert
    • Cited By
  • Similar Articles
    • Related Articles (in Spandidos Publications)
    • Similar Articles (Google Scholar)
    • Similar Articles (PubMed)
  • Download PDF
  • Download XML
  • View XML
Case Report

Bone Langerhans cell histiocytosis with pulmonary involvement in an adult non-smoker: A case report and brief review of the literature

  • Authors:
    • Jie Shen
    • Shicheng Feng
  • View Affiliations / Copyright

    Affiliations: Department of Imaging, Nanjing Chest Hospital, Medical School of Southeast University, Nanjing, Jiangsu 210009, P.R. China, Department of Oncology, Zhongda Hospital Affiliated to Southeast University, Nanjing, Jiangsu 210009, P.R. China
  • Pages: 67-70
    |
    Published online on: November 10, 2016
       https://doi.org/10.3892/mco.2016.1077
  • Expand metrics +
Metrics: Total Views: 0 (Spandidos Publications: | PMC Statistics: )
Metrics: Total PDF Downloads: 0 (Spandidos Publications: | PMC Statistics: )
Cited By (CrossRef): 0 citations Loading Articles...

This article is mentioned in:



Abstract

Langerhans cell histiocytosis (LCH) is a rare disease of unknown cause, which encompasses a set of disorders of multiple organs with various clinical presentations that share the common characteristic of sizeable Langerhans cell infiltration. The clinical spectrum of LCH ranges from solitary bone lesions to involvement of other organs. lung involvement in LCH may be part of a multisystem disease, which almost exclusively occurs in adult smokers, while it is overlooked or misdiagnosed in the majority of non‑smokers. High‑resolution computed tomography (HRCT) of the chest is crucial for diagnosis; however, the treatment and prognosis of this disease have not been clearly determined. We herein present the case of a non‑smoking adult patient who presented with lower limb pain and was diagnosed via biopsy with lch with multisystem involvement, including the bone and lungs. Lytic lesions in the corpus of the sacroiliac joint, sacrum, acetabulum and femoral head by a soft tissue mass were observed on diagnostic CT. In addition, chest HRCT revealed multiple cysts in the bilateral lungs, predominantly in the upper lobes. The final diagnosis of LCH was confirmed by histopathological examination and immunohistochemical staining for CD1a and S‑100. Corticosteroid treatment alleviated lower limb pain and improved the patient's quality of life; thus, corticosteroids may be considered as a potential treatment option for patients with LCH.

Introduction

Langerhans cell histiocytosis (LCH) is a rare disease of unknown etiology characterized by mixed cellular infiltration. Although the etiology of LCH has not been fully elucidated, the gold standard for the diagnosis of LCH is the presence of Birbeck granules, and positivity for CD1a, S-100 and/or CD45 on pathological examination (1,2). LCH may occur at any age, although it is more common in children, and has various clinical manifestations, depending on the type and number of systems or organs involved throughout the body (3).

Specific acute symptoms may include local pain, weight loss, fatigue, fever, skin rash and neurological changes, while the bone and lung are the most commonly involved organs (4). It has been reported that the proportion of LCH with lung involvement in adults is higher compared with that in children (4). Furthermore, the disease is self-limited in the majority of pediatric patients, which is not the case in adults. A variety of factors have been implicated in the prognosis of LCH, such as patient age and extent of the disease. Several therapeutic approaches may be considered, including surgery, radiotherapy and chemotherapy; however, there is currently no standard treatment for LCH patients with multisystem involvement (MS-LCH).

Case report

A 38-year-old male patient with a 2-year history of left leg pain, involving numbness extending from the left thigh to the knee, was referred to Nanjing Chest Hospital, Medical School of Southeast University. The pain and numbness in the left thigh were aggravated by exertion, such as walking or running, and they improved by rest, although they did not completely resolve. The patient had no history of tobacco or alcohol consumption, trauma or any other significant medical conditions. On physical examination, the patient appeared to be in a good overall condition. Neurological examination revealed normal motor and sensory function, symmetric reflexes, with no evidence of clonus, fasciculations or ataxia. Other findings on physical examination were unremarkable. On admission, the immunoglobulin (Ig) laboratory tests were as follows: IgG, 15.1 g/l (normal range, 7–16 g/l); IgA, 3.87 g/l (normal range, 0.7–4.0 g/l); and IgM, 1.16 g/l (normal range, 0.4–2.3 g/l). The erythrocyte sedimentation rate (normal range, 0–20 mm/h) and high-sensitivity C-reactive protein levels (0–1.0 mg/l) were mildly elevated (31 mm/h and 44.5 mg/l, respectively). Blood cell count, urinalysis, serum chemistry, electrolytes and tumor markers were within normal ranges. pulmonary function is frequently normal at presentation.

The images obtained by a multidetector computed tomography (CT) device were reconstructed in a variety of planes and interpreted in soft tissue, bone or lung windows. Pulmonary and pelvic diagnostic CT examination revealed the distribution of the disease: The corpus of the sacroiliac joint, sacrum, acetabulum and femoral head were occupied by a destructive soft tissue mass (Fig. 1).

Figure 1.

(A) Computed tomography multiplanar reconstruction images showing an osteolytic lesion around the left sacroiliac joint with surrounding edematous soft tissues. (B) Coronal and (C) sagittal plane multiplanar reconstruction of the pelvis showing a bone lesion on the left, with reactive sclerosis.

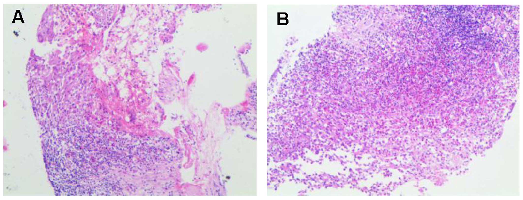
In addition, high-resolution ct (HRCT) of the chest revealed bilateral, diffuse infiltration of the lungs by numerous cysts, mainly distributed in the upper and middle lung fields, while the surrounding pulmonary parenchyma was normal (Fig. 2). A CT-guided percutaneous needle biopsy was performed and the results confirmed the diagnosis of LCH. Histopathologically, a heterogeneous admixture of inflammatory cells, including numerous eosinophils, rare multinucleated giant cells, mononuclear cells and foam cells, was observed (Fig. 3). The histopathological examination revealed proliferation of histiocytes with an infiltration by eosinophils. Immunohistochemically, the histiocytes were S-100+, CD163+, CD1a+, CD68+ (partially), vimentin+, Ki-67+ (~15%) and langerin+. Although the patient was diagnosed with LCH, the aggressive appearance of a destructive lesion on CT images made it necessary to conduct a biopsy in order to establish a definitive diagnosis. there was no evidence of involvement of any other organ on magnetic resonance imaging (MRI) of the head and abdomen. Corticosteroid treatment was administered to the patient. No further treatment was recommended, such as combination chemotherapy, surgery or radiotherapy. Corticosteroid therapy was continued for a few months. There has been no evidence of disease progression during follow-up.

Figure 2.

(A-C) High-resolution computed tomography images showing numerous bilateral pulmonary cystic foci of varying sizes, occasionally with a partially thin or thick cystic wall. Multiple cysts associated with extensive consolidation (with a predominant upper-lobe distribution) were a characteristic feature. The lung involvement in our patient was asymptomatic and diagnosis was confirmed by bone lesion biopsy.

Figure 3.

(A and B) Histopathological examination of the lesion in the sacroiliac joint revealed that the lesion mainly comprised a mixture of polygonal cells with slightly granular cytoplasm; the cell nuclei displayed frequent grooves and were occasionally folded. An admixture of other inflammatory cells, including numerous eosinophils, rare multinucleated giant cells, mononuclear cells and foam cells, was also present (hematoxylin and eosin staining; magnification, ×100).

Written informed consent was obtained from the patient regarding the publication of this case report and any accompanying images.

Discussion

LCH, formely referred to as histiocytosis X, is diagnosed according to clearly established criteria. LCH is a rare, complex and poorly understood disorder that is associated with a variety of clinical manifestations. LCH is characterized by the abnormal proliferation of bone marrow-derived Langerhans cells and may be divided into three types: Eosinophilic granuloma, Hand-Schuller-Christian disease and Lettere-Siwe disease (5,6). Histopathological examination is crucial for the diagnosis of LCH, and immunoreactivity for S-100 and CD1a, as well as the presence of Birbeck granules on electron microscopy examination, provide helpful information (7–9), as does the presence of CD45, CD56-positive cells (10,11).

LCH is generally considered to be a pediatric disease and more frequently occurs in males (5,6,12). Adults are rarely diagnosed with LCH, with an estimated annual incidence of 1–2 cases per million individuals (6). However, the patient in the present case was aged 38 years. The clinical presentation of LCH is highly variable. In addition, a stratification system depending on the extent and localization of the disease at the time of evaluation was adopted by the LCH study group, which classified the disease into single-system LCH (SL-LCH) and MS-LCH (13); the latter may be further subdivided into low- and high-risk MS-LCH (14,15). We herein report a rare adult case of LCH presenting with lung and bone involvement, which was classified as high-risk MS-LCH. LCH accounts for <1% of tumor-like bone lesions (16). Adult LCH patients are often afflicted by chronic pain, such as back pain, and fatigue of undetermined etiology. The pain may localize to specific sites, despite the lack of an identifiable pathology. The most frequent sites are the skull (26%) and jaw (9%), followed in decreasing order of frequency by the long tubular bones, pelvis, ribs and the spine (17–19); rarely, the lesion may be located in the pelvis (20).

When a bone lesion is encountered, LCH may not be considered in the differential diagnosis, as this disease is rare and may manifest as a heterogeneous spectrum of lesions, ranging from a single bone lesion to MS-LCH. CT and MRI are effective approaches to delineating the extent of osseous destruction and soft tissue involvement. In adults with LCH confirmed by biopsy, a chest CT is necessary to assess the extent of the disease at presentation, along with laboratory evaluation. However, a bone biopsy is required for the diagnosis of LCH in certain cases, in order to rule out other types of lesions, such as hypoadrenalism, metastatic carcinoma, lymphoma/myeloma, osteomyelitis, osteoblastoma, aneurysmal bone cyst and Ewing's sarcoma (21).

In the majority of the cases, LCH in adults manifests as a widespread, multisystem disease, with the lung being the most common site of extraosseous involvement. The high proportion of cases with pulmonary involvement is the most conspicuous difference between adult and pediatric LCH (4). Although ≤20–30% of adult LCH patients have isolated pulmonary lesions, the occurrence of LCH in the pelvis, either as a primary isolated manifestation of the disease or as part of systemic disease, is rare. In adults, lung involvement in LHC often coexists with involvement of other tissues/organs, is poorly recognized and frequently overlooked. Common symptoms of pulmonary LCH (PLCH) include cough, dyspnea and chest pain, and they are crucial for diagnosis. However, ~25% of patients with PLCH are asymptomatic and the disease is diagnosed due to incidentally discovered radiographic abnormalities (22), as was the case in our patient.

Although the clinical manifestations and imaging findings of PLCH are different in each stage of the disease, HRCT was reported to be important in the diagnosis of PLCH (23), and familiarity with characteristic imaging findings is required for accurate and timely diagnosis. In addition, imaging methods (particularly HRCT) play a fundamental role in diagnosing and assessing the stage of LCH, ensuring administration of appropriate treatment and patient monitoring. In the early stages of the disease, the typical manifestation of PLCH on radiological examination is diffuse bilateral and symmetric ill-defined small or cavitated nodules (both of which may resolve), ranging from 2 to 10 mm in diameter and predominantly located in the middle or upper pulmonary fields, with sparing the costophrenic angles. However, other diseases may present with similar findings in the lungs, and the differential diagnosis must include sarcoidosis, silicosis, metastases, miliary tuberculosis, bronchiectasis and emphysema. Furthermore, the imaging presentation of PLCH may vary at clinical onset. If the lesions persist or progress, classic imaging findings typically include small centrilobular nodules or thick- and thin-walled cysts of varying sizes, with mid- to upper-lung distribution. Although LCH occurs in patients below 24 years of age (24), however, the cavitation and the development of cysts is diagnosed at a later stage of the disease progression.

The treatment and prognosis, as well as the clinical course of LCH, remain to be fully determined, particularly in adult patients (25). Unlike LCH in children, due to the current lack of standard therapeutic regimens for adult LCH, age, extent of the disease and dysfunction of vital organs are considered as the major factors affecting the selection of the optimal treatment. Lung involvement is almost always associated with smoking (21,26); however, the present case indicated that cigarette smoking may not always be associated with the pathogenesis of PLCH. It was reported that LCH may be successfully treated by controlling the patient's smoking habits (27); however, smoking cessation is not always effective (28). There are several suggested potential mechanisms through which smoking may promote PLCH in certain individuals, although the association between cigarette smoking and progression or regression of adult LCH has not been fully elucidated. Particularly in non-smokers, the underlying mechanisms of LCH remain to be determined. novel therapies for LCH are urgently required, as smoking cessation only showed limited efficacy. Other treatments, such as corticosteroids, have been reported in adult LCH. The corticosteroid regimen used in the present case was selected based on case series reports of successful treatment (28,29); however, the efficacy of such treatment in non-smoking adults has not been determined. In the present case, corticosteroids were used due to their efficacy in adults with MS-LCH, as LCH lesions do not progress following corticosteroid therapy, although cystic disease may be irreversible. In the classic presentation of isolated pulmonary LCH in non-smoking adults, the condition may resolve with corticosteroids alone. If the treatment effect is not significant, chemotherapy with cladribine may be required (30,31). However, although different regimens have exhibited some efficacy in the treatment of adult MS-LCH (32), no specific intervention has shown any benefit with regard to patient survival (33), with rather low complete or partial remission rates (34). The mortality rate of patients with LCH receiving no treatment is high, and the survival probability at 5 years post-diagnosis of patients with MS-LCH is mildly inferior to that of patients with SL-LCH (4).

As the mechanisms underlying LCH remain unclear, further studies with a large sample size are required to avoid misdiagnosis in clinical practice.

LCH is a rare disease with a variable clinical presentation. Systematic analysis of clinical presentation, imaging findings and immunohistochemistry is necessary to accurately diagnose LCH. Bone involvement is common in adults with LCH and may be indicative of SL-LCH or MS-LCH. chronic pain may be the first or sole manifestation of the disease. As the lungs are the most common site of extraosseous involvement, LCH should be considered in smokers as well as in non-smokers. Imaging, particularly HRCT, is key to the diagnosis and is useful for detecting lung injury at each stage of pulmonary involvement in LCH, from small centrilobular nodules to diffuse cysts and fibrosis. accurate diagnosis is crucial for improving prognosis. In the present case, corticosteroids were used for the treatment of LCH, achieving a positive outcome.

References

1 

Herwig MC, Wojno T, Zhang Q and Grossniklaus HE: Langerhans cell histiocytosis of the orbit: Five clinicopathologic cases and review of the literature. Surv Ophthalmol. 58:330–340. 2013. View Article : Google Scholar : PubMed/NCBI

2 

Kasper EM, Aguirre-Padilla DH, Alter RY and Anderson M: Histiocytosis X: Characteristics, behavior and treatments as illustrated in a case series. Surg Neurol Int. 2:572011. View Article : Google Scholar : PubMed/NCBI

3 

Blesa JM Gasent, Candel V Alberola, Vercet C Solano, Canales J Laforga, Semler C, Pérez Antolí MR and Rodríguez-Galindo C: Langerhans cell histiocytosis. Clin Transl Oncol. 10:688–696. 2008. View Article : Google Scholar : PubMed/NCBI

4 

Aricò M, Girschikofsky M, Généreau T, Klersy C, McClain K, Grois N, Emile JF, Lukina E, De Juli E and Danesino C: Langerhans cell histiocytosis in adults. Report from the International Registry of the Histiocyte Society. Eur J Cancer. 39:2341–2348. 2003. View Article : Google Scholar : PubMed/NCBI

5 

Grana N: Langerhans cell histiocytosis. Cancer Control. 21:328–334. 2014.PubMed/NCBI

6 

El Demellawy D, Young JL, De Nanassy J, Chernetsova E and Nasr A: Langerhans cell histiocytosis: A comprehensive review. Pathology. 47:294–301. 2015. View Article : Google Scholar : PubMed/NCBI

7 

Pileri SA, Grogan TM, Harris NL, Banks P, Campo E, Chan JK, Favera RD, Delsol G, De Wolf-Peeters C, Falini B, et al: Tumours of histiocytes and accessory dendritic cells: An immunohistochemical approach to classification from the International lymphoma study group based on 61 cases. Histopathology. 41:1–29. 2002. View Article : Google Scholar : PubMed/NCBI

8 

Herwig MC, Wojno T, Zhang Q and Grossniklaus HE: Langerhans cell histiocytosis of the orbit: Five clinicopathologic cases and review of the literature. Surv Ophthalmol. 58:330–340. 2013. View Article : Google Scholar : PubMed/NCBI

9 

Histiocytosis syndromes in children, . Writing Group of the histiocyte society. Lancet. 1:208–209. 1987.PubMed/NCBI

10 

Kawase T, Hamazaki M, Ogura M, Kawase Y, Murayama T, Mori Y, Nagai H, Tateno M, Oyama T, Kamiya Y, et al: CD56/NCAM-positive langerhans cell sarcoma: A clinicopathologic study of 4 cases. Int J Hematol. 81:323–329. 2005. View Article : Google Scholar : PubMed/NCBI

11 

Kasper EM, Aguirre-Padilla DH, Alter RY and Anderson M: Histiocytosis X: Characteristics, behavior and treatments as illustrated in a case series. Surg Neurol Int. 2:572011. View Article : Google Scholar : PubMed/NCBI

12 

Allen CE, Ladisch S and McClain KL: How i treat Langerhans cell histiocytosis. Blood. 126:26–35. 2015. View Article : Google Scholar : PubMed/NCBI

13 

Abla O, Egeler RM and Weitzman S: Langerhans cell histiocytosis: Current concepts and treatments. Cancer Treat Rev. 36:354–359. 2010. View Article : Google Scholar : PubMed/NCBI

14 

Allen CE and McClain KL: Langerhans cell histiocytosis: A review of past, current and future therapies. Drugs Today (Barc). 43:627–643. 2007. View Article : Google Scholar : PubMed/NCBI

15 

Lau EG, Stepenaskie S, Moran R, Quinn R, Matthew P and Smidt AC: ‘Blueberry muffin’ rash and large right thigh mass: A unique presentation of Langerhans cell histiocytosis. Dermatol Online J. 19:185682013.PubMed/NCBI

16 

Wells PO: The button sequestrum of eosinophilic granuloma of the skull. Radiology. 67:746–747. 1956. View Article : Google Scholar : PubMed/NCBI

17 

Stockschlaeder M and Sucker C: Adult Langerhans cell histiocytosis. Eur J Haematol. 76:363–368. 2006. View Article : Google Scholar : PubMed/NCBI

18 

Kilpatrick SE, Wenger DE, Gilchrist GS, Shives TC, Wollan PC and Unni KK: Langerhans' cell histiocytosis (histiocytosis X) of bone. A clinicopathologic analysis of 263 pediatric and adult cases. Cancer. 76:2471–2484. 1995. View Article : Google Scholar : PubMed/NCBI

19 

Bertram C, Madert J and Eggers C: Eosinophilic granuloma of the cervical spine. Spine (Phila Pa 1976). 27:1408–1413. 2002. View Article : Google Scholar : PubMed/NCBI

20 

Shi S, Liu Y, Fu T, Li X and Zhao S: Multifocal Langerhans cell histiocytosis in an adult with a pathological fracture of the mandible and spontaneous malunion: A case report. Oncol Lett. 8:1075–1079. 2014.PubMed/NCBI

21 

Haupt R, Minkov M, Astigarraga I, Schäfer E, Nanduri V, Jubran R, Egeler RM, Janka G, Micic D, Rodriguez-Galindo C, et al: Langerhans cell histiocytosis (LCH): guidelines for diagnosis, clinical work-up and treatment for patients till the age of 18 years. Pediatr Blood Cancer. 60:175–184. 2013. View Article : Google Scholar : PubMed/NCBI

22 

Satter EK and High WA: Langerhans cell histiocytosis: A review of the current recommendations of the Histiocyte Society. Pediatr Dermatol. 25:291–295. 2008. View Article : Google Scholar : PubMed/NCBI

23 

Tazi A, Soler P and Hance AJ: Adult pulmonary Langerhans' cell histiocytosis. Thorax. 55:405–416. 2000. View Article : Google Scholar : PubMed/NCBI

24 

Martin I, Ballester M, Ruiz Y, Llatjós R, Alarza F and Molina M: Presentation of pulmonary Langerhans cell histiocytosis before the development of lung cysts. Respirol Case Rep. 1:34–35. 2013.PubMed/NCBI

25 

Arico M: Langerhans cell histiocytosis in adults: More questions than answers? Eur J Cancer. 40:1467–1473. 2004. View Article : Google Scholar : PubMed/NCBI

26 

Tazi A, Soler P and Hance AJ: Adult pulmonary Langerhans' cell histiocytosis. Thorax. 55:405–416. 2000. View Article : Google Scholar : PubMed/NCBI

27 

Suri HS, Yi ES, Nowakowski GS and Vassallo R: Pulmonary langerhans cell histiocytosis. Orphanet J Rare Dis. 7:162012. View Article : Google Scholar : PubMed/NCBI

28 

Nquyen K and Tazi A: Langerhans cell histiocytosis in adults. Rev Prat. 56:1863–1871. 2006.(In French). PubMed/NCBI

29 

Tazi A: Adult pulmonary Langerhans' cell histiocytosis. Eur Respir J. 27:1272–1285. 2006. View Article : Google Scholar : PubMed/NCBI

30 

Lorillon G, Bergeron A, Detourmignies L, Jouneau S, Wallaert B, Frija J and Tazi A: Cladribine is effective against cystic pulmonary Langerhans cell histiocytosis. Am J Respir Crit Care Med. 186:930–932. 2012. View Article : Google Scholar : PubMed/NCBI

31 

Grobost V, Khouatra C, Lazor R, Cordier JF and Cottin V: Effectiveness of cladribine therapy in patients with pulmonary Langerhans cell histiocytosis. Orphanet J Rare Dis. 9:1912014. View Article : Google Scholar : PubMed/NCBI

32 

Minkov M, Grois N, Heitger A, Pötschger U, Westermeier T and Gadner H: Treatment of multisystem Langerhans cell histiocytosis. Results of the DAL-HX 83 and DAL-HX 90 studies. DAL-HX Study Group. Klin Padiatr. 212:139–144. 2000. View Article : Google Scholar : PubMed/NCBI

33 

Vassallo R, Ryu JH, Schroeder DR, Decker PA and Limper AH: Clinical outcomes of pulmonary Langerhans'-cell histiocytosis in adults. N Engl J Med. 346:484–490. 2002. View Article : Google Scholar : PubMed/NCBI

34 

Baumgartner I, Von Hochstetter A, Baumert B, Luetolf U and Follath F: Langerhans'-cell histiocytosis in adults. Med Pediatr Oncol. 28:9–14. 1997. View Article : Google Scholar : PubMed/NCBI

Related Articles

  • Abstract
  • View
  • Download
  • Twitter
Copy and paste a formatted citation
Spandidos Publications style
Shen J and Feng S: Bone Langerhans cell histiocytosis with pulmonary involvement in an adult non-smoker: A case report and brief review of the literature. Mol Clin Oncol 6: 67-70, 2017.
APA
Shen, J., & Feng, S. (2017). Bone Langerhans cell histiocytosis with pulmonary involvement in an adult non-smoker: A case report and brief review of the literature. Molecular and Clinical Oncology, 6, 67-70. https://doi.org/10.3892/mco.2016.1077
MLA
Shen, J., Feng, S."Bone Langerhans cell histiocytosis with pulmonary involvement in an adult non-smoker: A case report and brief review of the literature". Molecular and Clinical Oncology 6.1 (2017): 67-70.
Chicago
Shen, J., Feng, S."Bone Langerhans cell histiocytosis with pulmonary involvement in an adult non-smoker: A case report and brief review of the literature". Molecular and Clinical Oncology 6, no. 1 (2017): 67-70. https://doi.org/10.3892/mco.2016.1077
Copy and paste a formatted citation
x
Spandidos Publications style
Shen J and Feng S: Bone Langerhans cell histiocytosis with pulmonary involvement in an adult non-smoker: A case report and brief review of the literature. Mol Clin Oncol 6: 67-70, 2017.
APA
Shen, J., & Feng, S. (2017). Bone Langerhans cell histiocytosis with pulmonary involvement in an adult non-smoker: A case report and brief review of the literature. Molecular and Clinical Oncology, 6, 67-70. https://doi.org/10.3892/mco.2016.1077
MLA
Shen, J., Feng, S."Bone Langerhans cell histiocytosis with pulmonary involvement in an adult non-smoker: A case report and brief review of the literature". Molecular and Clinical Oncology 6.1 (2017): 67-70.
Chicago
Shen, J., Feng, S."Bone Langerhans cell histiocytosis with pulmonary involvement in an adult non-smoker: A case report and brief review of the literature". Molecular and Clinical Oncology 6, no. 1 (2017): 67-70. https://doi.org/10.3892/mco.2016.1077
Follow us
  • Twitter
  • LinkedIn
  • Facebook
About
  • Spandidos Publications
  • Careers
  • Cookie Policy
  • Privacy Policy
How can we help?
  • Help
  • Live Chat
  • Contact
  • Email to our Support Team