Spandidos Publications Logo
  • About
    • About Spandidos
    • Aims and Scopes
    • Abstracting and Indexing
    • Editorial Policies
    • Reprints and Permissions
    • Job Opportunities
    • Terms and Conditions
    • Contact
  • Journals
    • All Journals
    • Oncology Letters
      • Oncology Letters
      • Information for Authors
      • Editorial Policies
      • Editorial Board
      • Aims and Scope
      • Abstracting and Indexing
      • Bibliographic Information
      • Archive
    • International Journal of Oncology
      • International Journal of Oncology
      • Information for Authors
      • Editorial Policies
      • Editorial Board
      • Aims and Scope
      • Abstracting and Indexing
      • Bibliographic Information
      • Archive
    • Molecular and Clinical Oncology
      • Molecular and Clinical Oncology
      • Information for Authors
      • Editorial Policies
      • Editorial Board
      • Aims and Scope
      • Abstracting and Indexing
      • Bibliographic Information
      • Archive
    • Experimental and Therapeutic Medicine
      • Experimental and Therapeutic Medicine
      • Information for Authors
      • Editorial Policies
      • Editorial Board
      • Aims and Scope
      • Abstracting and Indexing
      • Bibliographic Information
      • Archive
    • International Journal of Molecular Medicine
      • International Journal of Molecular Medicine
      • Information for Authors
      • Editorial Policies
      • Editorial Board
      • Aims and Scope
      • Abstracting and Indexing
      • Bibliographic Information
      • Archive
    • Biomedical Reports
      • Biomedical Reports
      • Information for Authors
      • Editorial Policies
      • Editorial Board
      • Aims and Scope
      • Abstracting and Indexing
      • Bibliographic Information
      • Archive
    • Oncology Reports
      • Oncology Reports
      • Information for Authors
      • Editorial Policies
      • Editorial Board
      • Aims and Scope
      • Abstracting and Indexing
      • Bibliographic Information
      • Archive
    • Molecular Medicine Reports
      • Molecular Medicine Reports
      • Information for Authors
      • Editorial Policies
      • Editorial Board
      • Aims and Scope
      • Abstracting and Indexing
      • Bibliographic Information
      • Archive
    • World Academy of Sciences Journal
      • World Academy of Sciences Journal
      • Information for Authors
      • Editorial Policies
      • Editorial Board
      • Aims and Scope
      • Abstracting and Indexing
      • Bibliographic Information
      • Archive
    • International Journal of Functional Nutrition
      • International Journal of Functional Nutrition
      • Information for Authors
      • Editorial Policies
      • Editorial Board
      • Aims and Scope
      • Abstracting and Indexing
      • Bibliographic Information
      • Archive
    • International Journal of Epigenetics
      • International Journal of Epigenetics
      • Information for Authors
      • Editorial Policies
      • Editorial Board
      • Aims and Scope
      • Abstracting and Indexing
      • Bibliographic Information
      • Archive
    • Medicine International
      • Medicine International
      • Information for Authors
      • Editorial Policies
      • Editorial Board
      • Aims and Scope
      • Abstracting and Indexing
      • Bibliographic Information
      • Archive
  • Articles
  • Information
    • Information for Authors
    • Information for Reviewers
    • Information for Librarians
    • Information for Advertisers
    • Conferences
  • Language Editing
Spandidos Publications Logo
  • About
    • About Spandidos
    • Aims and Scopes
    • Abstracting and Indexing
    • Editorial Policies
    • Reprints and Permissions
    • Job Opportunities
    • Terms and Conditions
    • Contact
  • Journals
    • All Journals
    • Biomedical Reports
      • Information for Authors
      • Editorial Policies
      • Editorial Board
      • Aims and Scope
      • Abstracting and Indexing
      • Bibliographic Information
      • Archive
    • Experimental and Therapeutic Medicine
      • Information for Authors
      • Editorial Policies
      • Editorial Board
      • Aims and Scope
      • Abstracting and Indexing
      • Bibliographic Information
      • Archive
    • International Journal of Epigenetics
      • Information for Authors
      • Editorial Policies
      • Editorial Board
      • Aims and Scope
      • Abstracting and Indexing
      • Bibliographic Information
      • Archive
    • International Journal of Functional Nutrition
      • Information for Authors
      • Editorial Policies
      • Editorial Board
      • Aims and Scope
      • Abstracting and Indexing
      • Bibliographic Information
      • Archive
    • International Journal of Molecular Medicine
      • Information for Authors
      • Editorial Policies
      • Editorial Board
      • Aims and Scope
      • Abstracting and Indexing
      • Bibliographic Information
      • Archive
    • International Journal of Oncology
      • Information for Authors
      • Editorial Policies
      • Editorial Board
      • Aims and Scope
      • Abstracting and Indexing
      • Bibliographic Information
      • Archive
    • Medicine International
      • Information for Authors
      • Editorial Policies
      • Editorial Board
      • Aims and Scope
      • Abstracting and Indexing
      • Bibliographic Information
      • Archive
    • Molecular and Clinical Oncology
      • Information for Authors
      • Editorial Policies
      • Editorial Board
      • Aims and Scope
      • Abstracting and Indexing
      • Bibliographic Information
      • Archive
    • Molecular Medicine Reports
      • Information for Authors
      • Editorial Policies
      • Editorial Board
      • Aims and Scope
      • Abstracting and Indexing
      • Bibliographic Information
      • Archive
    • Oncology Letters
      • Information for Authors
      • Editorial Policies
      • Editorial Board
      • Aims and Scope
      • Abstracting and Indexing
      • Bibliographic Information
      • Archive
    • Oncology Reports
      • Information for Authors
      • Editorial Policies
      • Editorial Board
      • Aims and Scope
      • Abstracting and Indexing
      • Bibliographic Information
      • Archive
    • World Academy of Sciences Journal
      • Information for Authors
      • Editorial Policies
      • Editorial Board
      • Aims and Scope
      • Abstracting and Indexing
      • Bibliographic Information
      • Archive
  • Articles
  • Information
    • For Authors
    • For Reviewers
    • For Librarians
    • For Advertisers
    • Conferences
  • Language Editing
Login Register Submit
  • This site uses cookies
  • You can change your cookie settings at any time by following the instructions in our Cookie Policy. To find out more, you may read our Privacy Policy.

    I agree
Search articles by DOI, keyword, author or affiliation
Search
Advanced Search
presentation
Molecular and Clinical Oncology
Join Editorial Board Propose a Special Issue
Print ISSN: 2049-9450 Online ISSN: 2049-9469
Journal Cover
April-2016 Volume 4 Issue 4

Full Size Image

Sign up for eToc alerts
Recommend to Library

Journals

International Journal of Molecular Medicine

International Journal of Molecular Medicine

International Journal of Molecular Medicine is an international journal devoted to molecular mechanisms of human disease.

International Journal of Oncology

International Journal of Oncology

International Journal of Oncology is an international journal devoted to oncology research and cancer treatment.

Molecular Medicine Reports

Molecular Medicine Reports

Covers molecular medicine topics such as pharmacology, pathology, genetics, neuroscience, infectious diseases, molecular cardiology, and molecular surgery.

Oncology Reports

Oncology Reports

Oncology Reports is an international journal devoted to fundamental and applied research in Oncology.

Experimental and Therapeutic Medicine

Experimental and Therapeutic Medicine

Experimental and Therapeutic Medicine is an international journal devoted to laboratory and clinical medicine.

Oncology Letters

Oncology Letters

Oncology Letters is an international journal devoted to Experimental and Clinical Oncology.

Biomedical Reports

Biomedical Reports

Explores a wide range of biological and medical fields, including pharmacology, genetics, microbiology, neuroscience, and molecular cardiology.

Molecular and Clinical Oncology

Molecular and Clinical Oncology

International journal addressing all aspects of oncology research, from tumorigenesis and oncogenes to chemotherapy and metastasis.

World Academy of Sciences Journal

World Academy of Sciences Journal

Multidisciplinary open-access journal spanning biochemistry, genetics, neuroscience, environmental health, and synthetic biology.

International Journal of Functional Nutrition

International Journal of Functional Nutrition

Open-access journal combining biochemistry, pharmacology, immunology, and genetics to advance health through functional nutrition.

International Journal of Epigenetics

International Journal of Epigenetics

Publishes open-access research on using epigenetics to advance understanding and treatment of human disease.

Medicine International

Medicine International

An International Open Access Journal Devoted to General Medicine.

Journal Cover
April-2016 Volume 4 Issue 4

Full Size Image

Sign up for eToc alerts
Recommend to Library

  • Article
  • Citations
    • Cite This Article
    • Download Citation
    • Create Citation Alert
    • Remove Citation Alert
    • Cited By
  • Similar Articles
    • Related Articles (in Spandidos Publications)
    • Similar Articles (Google Scholar)
    • Similar Articles (PubMed)
  • Download PDF
  • Download XML
  • View XML
Article

A case of refractory multiple myeloma with proliferation of large granular lymphocytes by lenalidomide treatment and its association with clinical efficacy

  • Authors:
    • Michitoshi Hashiguchi
    • Takashi Okamura
    • Kei Nomura
    • Takayuki Nakamura
    • Kuniki Kawaguchi
    • Satoko Koteda
    • Satoshi Morishige
    • Eijirou Oku
    • Yuka Takata
    • Ritsuko Seki
    • Fumihiko Mouri
    • Koichi Osaki
    • Kohji Yoshimoto
    • Yutaka Imamura
    • Koji Nagafuji
  • View Affiliations / Copyright

    Affiliations: Division of Hematology and Oncology, Department of Internal Medicine, Kurume University School of Medicine, Kurume, Fukuoka 830‑0011, Japan, Department of Hematology, St. Mary's Hospital, Kurume, Fukuoka 830‑8543, Japan
  • Pages: 574-578
    |
    Published online on: January 27, 2016
       https://doi.org/10.3892/mco.2016.747
  • Expand metrics +
Metrics: Total Views: 0 (Spandidos Publications: | PMC Statistics: )
Metrics: Total PDF Downloads: 0 (Spandidos Publications: | PMC Statistics: )
Cited By (CrossRef): 0 citations Loading Articles...

This article is mentioned in:



Abstract

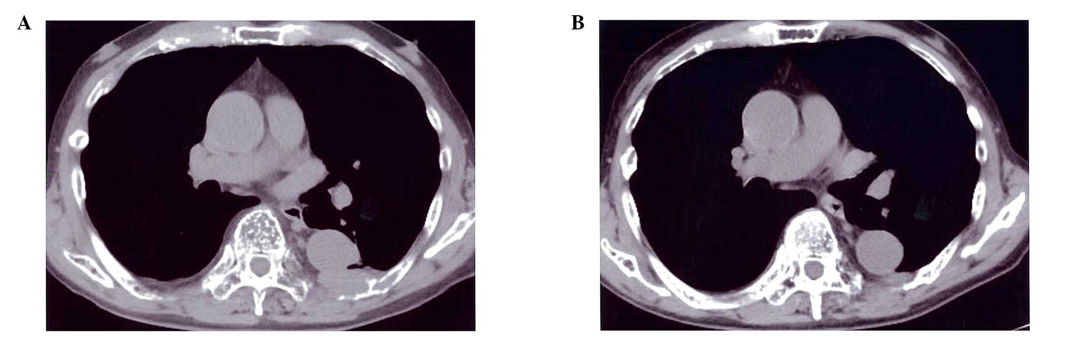
A 72-year-old Japanese male was diagnosed as having monoclonal gammopathy of undetermined significance and was followed up without therapy. Three years later, the patient progressed to symptomatic multiple myeloma. Melphalan + prednisolone was administered as first‑line chemotherapy for ~6 years. Since the patient was judged to exhibit refractory multiple myeloma, he subsequently received radiation therapy on the lumbar spine. The patient was enrolled in a clinical trial and received lenalidomide + lowdose dexamethasone (Rd) therapy. The patient achieved very good partial remission following four cycles of Rd. At this time, large granular lymphocytes (LGLs) increased to 25‑40% of peripheral blood leukocytes, however, the LGLs were present in the blood (~8%) prior to lenalidomide treatment. By flow cytometry of surface antigens, it was revealed that the LGLs were positive for cluster of differnetiation (CD)2, 7, 8, 16, 56, and 57, and human leukocyte antigen‑D related, however, were negative for CD3, 4 and 5, suggesting that these LGLs predominantly exhibited an natural killer (NK) cell phenotype. T‑cell receptor β gene rearrangement was not detected by polymerase chain reaction. A 51Cr release assay was performed to investigate whether the NK cells actually possessed activity. A low level of M protein was sustained for ~15 months. This implied the enhancement of immune activation during lenalidomide treatment. The present case study suggested that LGL cells induced by lenalidomide may contribute to long‑term restraint of myeloma cells. This immune system component may contribute to disease control.
View Figures

Figure 1

Figure 2

Figure 3

View References

1 

Quach H, Ritchie D, Stewart AK, Neeson P, Harrison S, Smyth MJ and Prince HM: Mechanism of action of immunomodulatory drugs (IMiDS) in multiple myeloma. Leukemia. 24:22–32. 2010. View Article : Google Scholar : PubMed/NCBI

2 

Chan AC, Neeson P, Leeansyah E, Tainton K, Quach H, Prince HM, Harrison SJ, Godfrey DI, Ritchie D and Berzins SP: Natural killer T cell defects in multiple myeloma and the impact of lenalidomide therapy. Clin Exp Immunol. 175:49–58. 2014. View Article : Google Scholar : PubMed/NCBI

3 

Dimopoulos MA, Chen C, Spencer A, Niesvizky R, Attal M, Stadtmauer EA, Petrucci MT, Yu Z, Olesnyckyj M, Zeldis JB, et al: Long-term follow-up on overall survival from the MM-009 and MM-010 phase III trials of lenalidomide plus dexamethasone in patients with relapsed or refractory multiple myeloma. Leukemia. 23:2147–2152. 2009. View Article : Google Scholar : PubMed/NCBI

4 

Palumbo A, Hajek R, Delforge M, Kropff M, Petrucci MT, Catalano J, Gisslinger H, Wiktor-Jędrzejczak W, Zodelava M, Weisel K, et al: Continuous lenalidomide treatment for newly diagnosed multiple myeloma. N Engl J Med. 366:1759–1769. 2012. View Article : Google Scholar : PubMed/NCBI

5 

Attal M, Lauwers-Cances V, Marit G, Caillot D, Moreau P, Facon T, Stoppa AM, Hulin C, Benboubker L, Garderet L, et al: Lenalidomide maintenance after stem-cell transplantation for multiple myeloma. N Engl J Med. 366:1782–1791. 2012. View Article : Google Scholar : PubMed/NCBI

6 

McCarthy PL, Owzar K, Hofmeister CC, Hurd DD, Hassoun H, Richardson PG, Giralt S, Stadtmauer EA, Weisdorf DJ, Vij R, et al: Lenalidomide after stem-cell transplantation for multiple myeloma. N Engl J Med. 366:1770–1781. 2012. View Article : Google Scholar : PubMed/NCBI

7 

Neuber B, Herth I, Tolliver C, Schoenland S, Hegenbart U, Hose D, Witzens-Harig M, Ho AD, Goldschmidt H, Klein B and Hundemer M: Lenalidomide enhances antigen-specific activity and decreases CD45RA expression of T cells from patients with multiple myeloma. J Immunol. 187:1047–1056. 2011. View Article : Google Scholar : PubMed/NCBI

8 

Mustjoki S, Ekblom M, Arstila TP, Dybedal I, Epling-Burnette PK, Guilhot F, Hjorth-Hansen H, Höglund M, Kovanen P, Laurinolli T, et al: Clonal expansion of T/NK-cells during tyrosine kinase inhibitor dasatinib therapy. Leukemia. 23:1398–1405. 2009. View Article : Google Scholar : PubMed/NCBI

9 

Gandhi AK, Kang J, Capone L, Parton A, Wu L, Zhang LH, Mendy D, Lopez-Girona A, Tran T, Sapinoso L, et al: Dexamethasone synergizes with lenalidomide to inhibit multiple myeloma tumor growth, but reduces lenalidomide-induced immunomodulation of T and NK cell function. Curr Cancer Drug Targets. 10:155–167. 2010. View Article : Google Scholar : PubMed/NCBI

10 

Lopez-Vergès S, Milush JM, Schwartz BS, Pando MJ, Jarjoura J, York VA, Houchins JP, Miller S, Kang SM, Norris PJ, et al: Expansion of a unique CD57+ NKG2Chi natural killer cell subset during acute human cytomegalovirus infection. Proc Natl Acad Sci USA. 108:14725–14732. 2011. View Article : Google Scholar : PubMed/NCBI

11 

Zhang L, Qian Z, Cai Z, Sun L, Wang H, Bartlett JB, Yi Q and Wang M: Synergistic antitumor effects of lenalidomide and rituximab on mantle cell lymphoma in vitro and in vivo. Am J Hematol. 84:553–559. 2009. View Article : Google Scholar : PubMed/NCBI

12 

Hsu AK, Gherardin N, Quach H, Harrison SJ, Prince HM, Ritchie D and Neeson P: CD57+ NK cells are increased in patients with multiple myeloma and are primed effectors for ADCC, but not natural cytotoxicity. Blood. 122:19042013.

13 

Katira P, Bonnecaze RT and Zaman MH: Modeling the mechanics of cancer: Effect of changes in cellular and extra-cellular mechanical properties. Front Oncol. 3:1452013. View Article : Google Scholar : PubMed/NCBI

14 

Magrangeas F, Avet-Loiseau H, Gouraud W, Lodé L, Decaux O, Godmer P, Garderet L, Voillat L, Facon T, Stoppa AM, et al: Minor clone provides a reservoir for relapse in multiple myeloma. Leukemia. 27:473–481. 2013. View Article : Google Scholar : PubMed/NCBI

15 

Keats JJ, Chesi M, Egan JB, Garbitt VM, Palmer SE, Braggio E, Van Wier S, Blackburn PR, Baker AS, Dispenzieri A, et al: Clonal competition with alternating dominance in multiple myeloma. Blood. 120:1067–1076. 2012. View Article : Google Scholar : PubMed/NCBI

16 

DuPage M, Mazumdar C, Schmidt LM, Cheung AF and Jacks T: Expression of tumour-specific antigens underlies cancer immunoediting. Nature. 482:405–409. 2012. View Article : Google Scholar : PubMed/NCBI

Related Articles

  • Abstract
  • View
  • Download
  • Twitter
Copy and paste a formatted citation
Spandidos Publications style
Hashiguchi M, Okamura T, Nomura K, Nakamura T, Kawaguchi K, Koteda S, Morishige S, Oku E, Takata Y, Seki R, Seki R, et al: A case of refractory multiple myeloma with proliferation of large granular lymphocytes by lenalidomide treatment and its association with clinical efficacy. Mol Clin Oncol 4: 574-578, 2016.
APA
Hashiguchi, M., Okamura, T., Nomura, K., Nakamura, T., Kawaguchi, K., Koteda, S. ... Nagafuji, K. (2016). A case of refractory multiple myeloma with proliferation of large granular lymphocytes by lenalidomide treatment and its association with clinical efficacy. Molecular and Clinical Oncology, 4, 574-578. https://doi.org/10.3892/mco.2016.747
MLA
Hashiguchi, M., Okamura, T., Nomura, K., Nakamura, T., Kawaguchi, K., Koteda, S., Morishige, S., Oku, E., Takata, Y., Seki, R., Mouri, F., Osaki, K., Yoshimoto, K., Imamura, Y., Nagafuji, K."A case of refractory multiple myeloma with proliferation of large granular lymphocytes by lenalidomide treatment and its association with clinical efficacy". Molecular and Clinical Oncology 4.4 (2016): 574-578.
Chicago
Hashiguchi, M., Okamura, T., Nomura, K., Nakamura, T., Kawaguchi, K., Koteda, S., Morishige, S., Oku, E., Takata, Y., Seki, R., Mouri, F., Osaki, K., Yoshimoto, K., Imamura, Y., Nagafuji, K."A case of refractory multiple myeloma with proliferation of large granular lymphocytes by lenalidomide treatment and its association with clinical efficacy". Molecular and Clinical Oncology 4, no. 4 (2016): 574-578. https://doi.org/10.3892/mco.2016.747
Copy and paste a formatted citation
x
Spandidos Publications style
Hashiguchi M, Okamura T, Nomura K, Nakamura T, Kawaguchi K, Koteda S, Morishige S, Oku E, Takata Y, Seki R, Seki R, et al: A case of refractory multiple myeloma with proliferation of large granular lymphocytes by lenalidomide treatment and its association with clinical efficacy. Mol Clin Oncol 4: 574-578, 2016.
APA
Hashiguchi, M., Okamura, T., Nomura, K., Nakamura, T., Kawaguchi, K., Koteda, S. ... Nagafuji, K. (2016). A case of refractory multiple myeloma with proliferation of large granular lymphocytes by lenalidomide treatment and its association with clinical efficacy. Molecular and Clinical Oncology, 4, 574-578. https://doi.org/10.3892/mco.2016.747
MLA
Hashiguchi, M., Okamura, T., Nomura, K., Nakamura, T., Kawaguchi, K., Koteda, S., Morishige, S., Oku, E., Takata, Y., Seki, R., Mouri, F., Osaki, K., Yoshimoto, K., Imamura, Y., Nagafuji, K."A case of refractory multiple myeloma with proliferation of large granular lymphocytes by lenalidomide treatment and its association with clinical efficacy". Molecular and Clinical Oncology 4.4 (2016): 574-578.
Chicago
Hashiguchi, M., Okamura, T., Nomura, K., Nakamura, T., Kawaguchi, K., Koteda, S., Morishige, S., Oku, E., Takata, Y., Seki, R., Mouri, F., Osaki, K., Yoshimoto, K., Imamura, Y., Nagafuji, K."A case of refractory multiple myeloma with proliferation of large granular lymphocytes by lenalidomide treatment and its association with clinical efficacy". Molecular and Clinical Oncology 4, no. 4 (2016): 574-578. https://doi.org/10.3892/mco.2016.747
Follow us
  • Twitter
  • LinkedIn
  • Facebook
About
  • Spandidos Publications
  • Careers
  • Cookie Policy
  • Privacy Policy
How can we help?
  • Help
  • Live Chat
  • Contact
  • Email to our Support Team