Spandidos Publications Logo
  • About
    • About Spandidos
    • Aims and Scopes
    • Abstracting and Indexing
    • Editorial Policies
    • Reprints and Permissions
    • Job Opportunities
    • Terms and Conditions
    • Contact
  • Journals
    • All Journals
    • Oncology Letters
      • Oncology Letters
      • Information for Authors
      • Editorial Policies
      • Editorial Board
      • Aims and Scope
      • Abstracting and Indexing
      • Bibliographic Information
      • Archive
    • International Journal of Oncology
      • International Journal of Oncology
      • Information for Authors
      • Editorial Policies
      • Editorial Board
      • Aims and Scope
      • Abstracting and Indexing
      • Bibliographic Information
      • Archive
    • Molecular and Clinical Oncology
      • Molecular and Clinical Oncology
      • Information for Authors
      • Editorial Policies
      • Editorial Board
      • Aims and Scope
      • Abstracting and Indexing
      • Bibliographic Information
      • Archive
    • Experimental and Therapeutic Medicine
      • Experimental and Therapeutic Medicine
      • Information for Authors
      • Editorial Policies
      • Editorial Board
      • Aims and Scope
      • Abstracting and Indexing
      • Bibliographic Information
      • Archive
    • International Journal of Molecular Medicine
      • International Journal of Molecular Medicine
      • Information for Authors
      • Editorial Policies
      • Editorial Board
      • Aims and Scope
      • Abstracting and Indexing
      • Bibliographic Information
      • Archive
    • Biomedical Reports
      • Biomedical Reports
      • Information for Authors
      • Editorial Policies
      • Editorial Board
      • Aims and Scope
      • Abstracting and Indexing
      • Bibliographic Information
      • Archive
    • Oncology Reports
      • Oncology Reports
      • Information for Authors
      • Editorial Policies
      • Editorial Board
      • Aims and Scope
      • Abstracting and Indexing
      • Bibliographic Information
      • Archive
    • Molecular Medicine Reports
      • Molecular Medicine Reports
      • Information for Authors
      • Editorial Policies
      • Editorial Board
      • Aims and Scope
      • Abstracting and Indexing
      • Bibliographic Information
      • Archive
    • World Academy of Sciences Journal
      • World Academy of Sciences Journal
      • Information for Authors
      • Editorial Policies
      • Editorial Board
      • Aims and Scope
      • Abstracting and Indexing
      • Bibliographic Information
      • Archive
    • International Journal of Functional Nutrition
      • International Journal of Functional Nutrition
      • Information for Authors
      • Editorial Policies
      • Editorial Board
      • Aims and Scope
      • Abstracting and Indexing
      • Bibliographic Information
      • Archive
    • International Journal of Epigenetics
      • International Journal of Epigenetics
      • Information for Authors
      • Editorial Policies
      • Editorial Board
      • Aims and Scope
      • Abstracting and Indexing
      • Bibliographic Information
      • Archive
    • Medicine International
      • Medicine International
      • Information for Authors
      • Editorial Policies
      • Editorial Board
      • Aims and Scope
      • Abstracting and Indexing
      • Bibliographic Information
      • Archive
  • Articles
  • Information
    • Information for Authors
    • Information for Reviewers
    • Information for Librarians
    • Information for Advertisers
    • Conferences
  • Language Editing
Spandidos Publications Logo
  • About
    • About Spandidos
    • Aims and Scopes
    • Abstracting and Indexing
    • Editorial Policies
    • Reprints and Permissions
    • Job Opportunities
    • Terms and Conditions
    • Contact
  • Journals
    • All Journals
    • Biomedical Reports
      • Information for Authors
      • Editorial Policies
      • Editorial Board
      • Aims and Scope
      • Abstracting and Indexing
      • Bibliographic Information
      • Archive
    • Experimental and Therapeutic Medicine
      • Information for Authors
      • Editorial Policies
      • Editorial Board
      • Aims and Scope
      • Abstracting and Indexing
      • Bibliographic Information
      • Archive
    • International Journal of Epigenetics
      • Information for Authors
      • Editorial Policies
      • Editorial Board
      • Aims and Scope
      • Abstracting and Indexing
      • Bibliographic Information
      • Archive
    • International Journal of Functional Nutrition
      • Information for Authors
      • Editorial Policies
      • Editorial Board
      • Aims and Scope
      • Abstracting and Indexing
      • Bibliographic Information
      • Archive
    • International Journal of Molecular Medicine
      • Information for Authors
      • Editorial Policies
      • Editorial Board
      • Aims and Scope
      • Abstracting and Indexing
      • Bibliographic Information
      • Archive
    • International Journal of Oncology
      • Information for Authors
      • Editorial Policies
      • Editorial Board
      • Aims and Scope
      • Abstracting and Indexing
      • Bibliographic Information
      • Archive
    • Medicine International
      • Information for Authors
      • Editorial Policies
      • Editorial Board
      • Aims and Scope
      • Abstracting and Indexing
      • Bibliographic Information
      • Archive
    • Molecular and Clinical Oncology
      • Information for Authors
      • Editorial Policies
      • Editorial Board
      • Aims and Scope
      • Abstracting and Indexing
      • Bibliographic Information
      • Archive
    • Molecular Medicine Reports
      • Information for Authors
      • Editorial Policies
      • Editorial Board
      • Aims and Scope
      • Abstracting and Indexing
      • Bibliographic Information
      • Archive
    • Oncology Letters
      • Information for Authors
      • Editorial Policies
      • Editorial Board
      • Aims and Scope
      • Abstracting and Indexing
      • Bibliographic Information
      • Archive
    • Oncology Reports
      • Information for Authors
      • Editorial Policies
      • Editorial Board
      • Aims and Scope
      • Abstracting and Indexing
      • Bibliographic Information
      • Archive
    • World Academy of Sciences Journal
      • Information for Authors
      • Editorial Policies
      • Editorial Board
      • Aims and Scope
      • Abstracting and Indexing
      • Bibliographic Information
      • Archive
  • Articles
  • Information
    • For Authors
    • For Reviewers
    • For Librarians
    • For Advertisers
    • Conferences
  • Language Editing
Login Register Submit
  • This site uses cookies
  • You can change your cookie settings at any time by following the instructions in our Cookie Policy. To find out more, you may read our Privacy Policy.

    I agree
Search articles by DOI, keyword, author or affiliation
Search
Advanced Search
presentation
Molecular and Clinical Oncology
Join Editorial Board Propose a Special Issue
Print ISSN: 2049-9450 Online ISSN: 2049-9469
Journal Cover
April-2016 Volume 4 Issue 4

Full Size Image

Sign up for eToc alerts
Recommend to Library

Journals

International Journal of Molecular Medicine

International Journal of Molecular Medicine

International Journal of Molecular Medicine is an international journal devoted to molecular mechanisms of human disease.

International Journal of Oncology

International Journal of Oncology

International Journal of Oncology is an international journal devoted to oncology research and cancer treatment.

Molecular Medicine Reports

Molecular Medicine Reports

Covers molecular medicine topics such as pharmacology, pathology, genetics, neuroscience, infectious diseases, molecular cardiology, and molecular surgery.

Oncology Reports

Oncology Reports

Oncology Reports is an international journal devoted to fundamental and applied research in Oncology.

Experimental and Therapeutic Medicine

Experimental and Therapeutic Medicine

Experimental and Therapeutic Medicine is an international journal devoted to laboratory and clinical medicine.

Oncology Letters

Oncology Letters

Oncology Letters is an international journal devoted to Experimental and Clinical Oncology.

Biomedical Reports

Biomedical Reports

Explores a wide range of biological and medical fields, including pharmacology, genetics, microbiology, neuroscience, and molecular cardiology.

Molecular and Clinical Oncology

Molecular and Clinical Oncology

International journal addressing all aspects of oncology research, from tumorigenesis and oncogenes to chemotherapy and metastasis.

World Academy of Sciences Journal

World Academy of Sciences Journal

Multidisciplinary open-access journal spanning biochemistry, genetics, neuroscience, environmental health, and synthetic biology.

International Journal of Functional Nutrition

International Journal of Functional Nutrition

Open-access journal combining biochemistry, pharmacology, immunology, and genetics to advance health through functional nutrition.

International Journal of Epigenetics

International Journal of Epigenetics

Publishes open-access research on using epigenetics to advance understanding and treatment of human disease.

Medicine International

Medicine International

An International Open Access Journal Devoted to General Medicine.

Journal Cover
April-2016 Volume 4 Issue 4

Full Size Image

Sign up for eToc alerts
Recommend to Library

  • Article
  • Citations
    • Cite This Article
    • Download Citation
    • Create Citation Alert
    • Remove Citation Alert
    • Cited By
  • Similar Articles
    • Related Articles (in Spandidos Publications)
    • Similar Articles (Google Scholar)
    • Similar Articles (PubMed)
  • Download PDF
  • Download XML
  • View XML
Case Report

Three histologically distinct cancers of the uterine corpus: A case report and review of the literature

  • Authors:
    • Hisashi Masuyama
    • Junko Haraga
    • Takashi Nishida
    • Chikako Ogawa
    • Tomoyuki Kusumoto
    • Keiichiro Nakamura
    • Noriko Seki
    • Hiroyuki Yanai
    • Yuji Hiramatsu
  • View Affiliations / Copyright

    Affiliations: Department of Obstetrics and Gynecology, Okayama University Graduate School of Medicine, Dentistry and Pharmaceutical Sciences, Okayama 700‑8558, Japan, Department of Pathology, Okayama University Hospital, Okayama 700‑8558, Japan
  • Pages: 563-566
    |
    Published online on: February 5, 2016
       https://doi.org/10.3892/mco.2016.770
  • Expand metrics +
Metrics: Total Views: 0 (Spandidos Publications: | PMC Statistics: )
Metrics: Total PDF Downloads: 0 (Spandidos Publications: | PMC Statistics: )
Cited By (CrossRef): 0 citations Loading Articles...

This article is mentioned in:



Abstract

Collision tumors, which are characterized by the coexistence of two or more completely distinct and independent tumors in the uterine corpus, are very rare. A collision tumor is mainly composed of two distinct tumor types, epithelial and mesenchymal. To the best of our knowledge, there has only been a single case in which a choriocarcinoma with an endometrial carcinoma were coexistent but histologically distinct. We herein report the first case of a collision tumor in a 52‑year‑old woman, with a history of two pregnancies and two deliveries. The collision tumor was composed of three histologically distinct neoplasms in the uterine corpus, namely an endometrioid carcinoma, an undifferentiated carcinoma and a choriocarcinoma. The patient underwent hysterectomy, bilateral adnexectomy and pelvic lymph node dissection, followed by six cycles of adjuvant chemotherapy with paclitaxel̸carboplatin due to the high risk of endometrial cancer, and an additional five cycles of chemotherapy with methotrexate, as the β‑human chorionic gonadotropin level was beyond the normal range. Following adjuvant chemotherapy, the tumor markers were within normal limits and no relapses of the cancer have been observed during 1 year of follow‑up. Diagnosing a collision tumor prior to surgery is difficult if the neoplasms are in close proximity, or if one of the tumors predominates. Careful pathological examination is crucial for accurately diagnosing the neoplasms in a collision tumor and ensuring appropriate management and a favorable prognosis.

Introduction

Tumors that occur in the uterine corpus include epithelial, mesenchymal, mixed epithelial and mesenchymal, miscellaneous, lymphoid and myeloid and secondary tumors, as well as trophoblastic disease (1). Endometrial cancer is the third most common cause of death among gynecological cancers, following ovarian and cervical cancer, with increasing incidence rates in several countries (2). This may be attributed to the increasing number of elderly individuals and increasing rates of obesity (2). Endometrial cancer includes several carcinomas, which are divided into type I and II cancers and include endometrioid adenocarcinomas, mucinous adenocarcinomas, serous carcinomas, clear-cell carcinomas and several other rare forms, such as neuroendocrine tumors, including small-cell, mixed, undifferentiated and dedifferentiated carcinomas (3).

In addition, choriocarcinoma is a malignant trophoblastic tumor, usually of the placenta, that may also occur in the uterine corpus. choriocarcinoma belongs to the malignant end of the spectrum of gestational trophoblastic disease, with 20% of this disease occurring after normal pregnancy (4). However, it is rare for trophoblastic disease to present in the uterus of postmenopausal women (5). Furthermore, non-gestational choriocarcinomas occur in the absence of a preceding gestation, and often tend to occur as a component of an ovarian germ cell tumor (6). Almost all primary non-gestational choriocarcinomas of the female genital tract have been described in the ovaries (7,8).

The number of reports in the literature regarding endometrial cancer in which choriocarcinoma differentiation occurs in the uterine corpus is limited (9), with only a single report of coexistence of a mixed adenocarcinoma and a choriocarcinoma (10). we herein report the first case of a collision tumor in the uterine corpus composed of three histologically distinct cancers, namely an endometrioid carcinoma, an undifferentiated carcinoma and a choriocarcinoma.

Case report

Our patient was a 52-year-old woman with a history of two pregnancies and two deliveries; the last delivery was when she was 28 years old. The patient was 156 cm in height, weighed 51 kg, and had a body mass index of 20.95 kg/m2. The history of menstrual cycles was regular and she had gone through menopause at the age of 51 years. The surgical history included an appendectomy at the age of 19 years, but there was no family history of cancer. The patient consulted a gynecologist with a main complaint of moderate genital bleeding. A 35×30-mm mass lesion, which bled easily, was detected in the cervix.

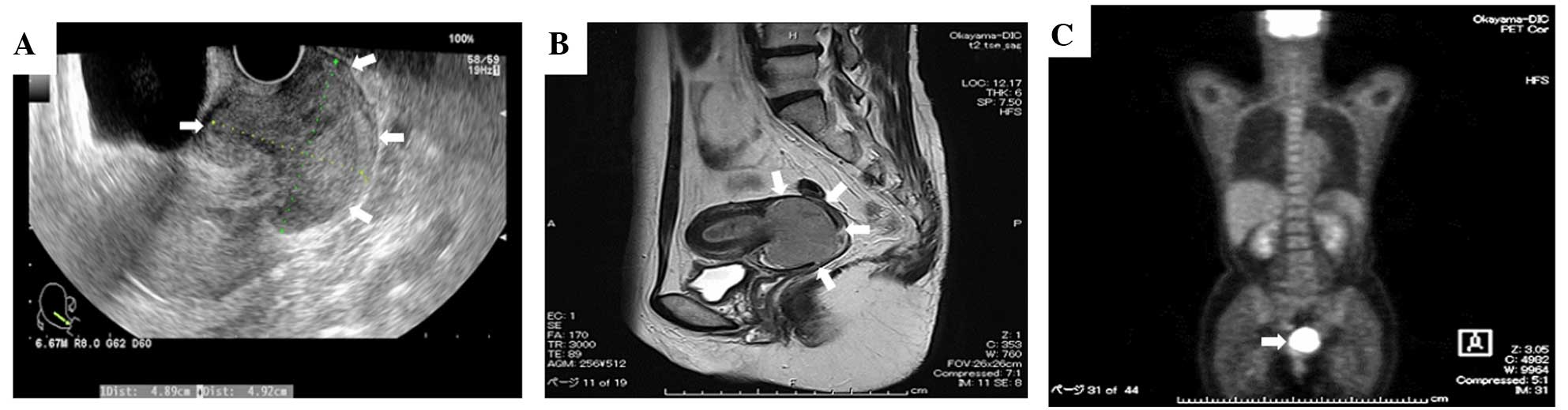
The patient was referred to our hospital and, after undergoing a detailed examination, received further treatment due to the suspicion of cervical cancer. During the first visit to our hospital, a pelvic examination revealed an enlarged cervix, while the digital examination revealed extension to the parametrium on either side of the uterus. The colposcopic examination revealed that the invasive carcinoma was a large polypoid mass in the cervical canal. The cytological diagnosis of the cervical lesion was a high-grade squamous intraepithelial lesion and the pathological diagnosis, using a punch biopsy, indicated a squamous cell carcinoma (SCC). Transvaginal ultrasonography revealed a mixed echogenic mass in the cervix, sized 49×49×57 mm (Fig. 1A). Magnetic resonance imaging (MRI) revealed a hyperintense cervical mass sized 55×51×52 mm, invading the lower uterine segment (Fig. 1B). Positron emission tomography-computed tomography (CT) revealed intense fludeoxyglucose activity correlating with a cervical and endometrial mass, without signs of metastasis to other organs or to the pelvic and paraaortic lymph nodes (Fig. 1C). The tumor marker carbohydrate antigen (CA)-125 was elevated (91.8 U/ml), but other markers, including carcinoembryonic antigen, CA19-9 and SCC antigen, were within the normal range.

Figure 1.

(A) Transvaginal ultrasonography revealed a mixed echogenic mass in the cervix. (B) Magnetic resonance imaging showed a hyperintense cervical mass invading the lower uterine segment. (C) Positron emission tomography-computed tomography revealed intense fluorodeoxyglucose activity correlating with the cervical and endometrial masses, without signs of metastasis to other organs or to the pelvic and para-aortic lymph nodes.

With an initial diagnosis of stage Ib2 cervical cancer, the patient underwent radical hysterectomy, bilateral adnexectomy and pelvic lymph node dissection. the abdominal cavity was free of ascites, disseminated lesions and adhesions to adjacent organs. Three distinct tumors were identified in the resected specimen, one in the lower segment, one in the middle segment and one in the fundus of the uterine corpus (Fig. 2A). The histopathological examination of the masses revealed that they were three histologically distinct cancers: an undifferentiated carcinoma of the lower segment, invading half the thickness of the myometrium (Fig. 2B); an endometrioid adenocarcinoma with squamous differentiation, grade 2, confined to the endometrium in the middle segment (Fig. 2C); and a choriocarcinoma with lymphovascular space invasion, but without an endometrioid adenocarcinoma component, in the fundus of the uterine corpus (Fig. 2D), metastasizing to the lymph nodes of the left external iliac artery. There was no communication between the three lesions in the uterine corpus.

Figure 2.

(A) Surgical specimen displaying three distinct lesions in the uterine corpus. Histopathological examination of the hysterectomy specimen revealed: (B) An undifferentiated carcinoma invading half the thickness of the myometrium in the lower segment; (C) an endometrioid adenocarcinoma with squamous differentiation, grade 2, confined to the endometrium in the middle segment; and (D) a choriocarcinoma with lymphovascular space invasion in the fundus. hematoxylin and eosin staining; magnification, ×200.

The clinical diagnosis was stage IIIC1 endometrial cancer [International Federation of Gynecology and Obstetrics 2008 (1)]and choriocarcinoma. the patient was diagnosed with three histologically distinct neoplasms in the uterine corpus. After the operation, chemotherapy with paclitaxel 175 mg/m2 plus carboplatin area under the curve = 6 (TC regimen) was administered, due to the high risk of endometrial cancer. Six treatment cycles were completed without dose reduction or suspension of treatment. The β-human chorionic gonadotropin (hCG) level was 19.5 mIU/ml when the pathological results of the coexistence with a choriocarcinoma were obtained, and the β-hCG level (1.0 mIU/ml) after six cycles of TC was above the normal range (0–0.5 mIU/ml), although other tumor markers were within normal limits, and CT revealed no cancer recurrence or metastasis. Five additional cycles using methotrexate (20 mg/m2 body surface ×5 days) were administered and completed without dose reduction or suspension of treatment. After the five cycles, the tumor markers, including the β-hCG level, were within normal limits, without cancer relapse during 1 year of follow-up.

Discussion

We reported a case with three histologically distinct cancers in the uterine corpus: an endometrioid carcinoma, an undifferentiated carcinoma and a choriocarcinoma. There are several reports in the literature on endometrial cancer with choriocarcinoma differentiation, with two distinct components in the primary tumor, and the prognosis of this tumor type is reported to be poor (9). However, only a single case of a histologically distinct coexistence of a mixed adenocarcinoma and a choriocarcinoma in the uterine corpus has been reported to date (10).

Collision tumors are an uncommon phenomenon characterized by the coexistence of two completely distinct and independent tumors at the same site. The two morphologically separate tumors are sharply demarcated from each other. This entity is distinct from neoplasms demonstrating heterologous or mixed elements (11). collision tumors have been reported in various organs, such as the ovary and uterus, as well as in the esophagus, stomach, colon, lung, skin, thyroid gland and breast (12,13).

In patients with collision tumors of the uterine corpus, the median age is 64.9 years (range, 47–85 years); the histological diagnoses in previously reported collision tumors of the uterine corpus are summarized in Table I (10,13–20). Several reports determined that collision tumors of the uterine corpus were mainly composed of two distinct tumors, an endometrial carcinoma (endometrioid or serous adenocarcinoma) and a mesenchymal tumor (leiomyosarcoma or endometrial stromal sarcoma). However, in a recent report, three distinct endometrial cancers were found in the uterine corpus, a malignant mixed Müllerian tumor, a serous adenocarcinoma and an endometrioid adenocarcinoma (20). In the present case report, we identified three histologically distinct lesions in the uterine corpus, including an endometrioid carcinoma, an undifferentiated carcinoma and a choriocarcinoma.

Table I.

Summary of histological diagnosis of collision tumors of the uterine corpus reported in the literature.

Table I.

Summary of histological diagnosis of collision tumors of the uterine corpus reported in the literature.

Histological diagnosisNo.(Refs.)
Two distinct tumors
  Endometrioid carcinoma/serous carcinoma/leiomyosarcoma or endometrial stromal sarcoma  7(13–17)
  Endometrioid carcinoma/carcinosarcoma  1(18)
  Serous carcinoma/small cell carcinoma  1(19)
  Mixed cell carcinoma/choriocarcinoma  1(10)
Three distinct tumors
  Serous carcinoma/endometrioid carcinoma/carcinosarcoma  1(20)
  Undifferentiated carcinoma/endometrioid carcinoma/choriocarcinoma  1Present case
Total12

Choriocarcinomas of the uterine corpus are rare, particularly after menopause (21). Choriocarcinomas of gestational and non-gestational origin have a distinct prognosis, but cannot be distinguished by routine histological examination (22). Molecular genetic analysis may reliably identify the genetic origin of a pure ovarian choriocarcinoma (23–25); however, as this is an unestablished and costly technique with limited availability, it was not used it in this case. However, our patient was in the high-risk group of endometrial cancer due to the lymph node metastasis and the histological type, i.e., undifferentiated carcinoma (26). Thus, the patient received six cycles of TC as adjuvant chemotherapy for high-risk endometrial cancer and an additional five cycles of chemotherapy with MTX, as the β-hCG level after six cycles of TC remained above the normal range.

Collision tumors of the uterine corpus are rare, with only 10 cases of two distinct tumors and 1 case of three distinct tumors reported thus far. Moreover, there was only 1 case of a collision tumor composed of a choriocarcinoma with a histologically distinct endometrial carcinoma. To the best of our knowledge, this is the first report of a collision tumor composed of three histologically distinct neoplasms, including a choriocarcinoma, an endometrioid adenocarcinoma and an undifferentiated carcinoma. The diagnosis of a collision tumor prior to surgery is difficult if the neoplasms are located in close proximity, or one tumor predominates compared with the others, as in the present case. Careful pathological examination is crucial for accurately diagnosing the neoplasms constituting the collision tumor in order to prescribe the necessary treatment for a favorable prognosis.

References

1 

Kurman RJ, Carcangiu ML, Herrington CS and Young RH: WHO classification of tumours OF female reprOduCTive organs. WHO CLASSIFICATION OF TUMOURS. 6:(4TH). (Lyon). IARC Press. 122–167. 2014.

2 

Stewart BW and Wild CP: World Cancer Report 2014. Chapter 5.12. LYON: IARC PRESS. 2014.

3 

Hoffman BL, Schorge JO, Schaffer JI, Halvorson LM, Bradshaw KD and Cunningham FG: Endometrial cancer. Williams Gynecology. Hoffman BL, Schorge JO, Schaffer JI, Halvorson LM, Bradshaw KD and Cunningham FG: (2ND). (New York). McGraw-Hill. 817–838. 2012.

4 

Lurain JR: Gestational trophoblastic disease II: Classification and management of gestational trophoblastic neoplasia. Am J Obstet Gynecol. 204:11–18. 2011. View Article : Google Scholar : PubMed/NCBI

5 

Chittenden B, Ahamed E and Maheshwari A: Choriocarcinoma in a postmenopausal woman. Obstet Gynecol. 114:462–465. 2009. View Article : Google Scholar : PubMed/NCBI

6 

Russell P and Farnsworth A: Non-gestational choriocarcinomas. Surgical Pathology of the Ovaries. Russell P and Farnsworth A: (2ND). (Edinburgh). Churchill Livingstone. 263–264. 1997.

7 

Jiao LZ, Xiang Y, Feng FZ, Wan XR, Zhao J, Cui QC and Yang XY: Clinical analysis of 21 cases of nongestational ovarian choriocarcinoma. Int J Gynecol Cancer. 20:299–302. 2010. View Article : Google Scholar : PubMed/NCBI

8 

Haruma T, Ogawa C, Nishida T, Kusumoto T, Nakamura K, Seki N, Katayama T and Hiramatsu Y: Pure choriocarcinoma of the ovary in Silver-Russell syndrome. Acta Med Okayama. 69:183–188. 2015.PubMed/NCBI

9 

Ishida M and Okabe H: Endometrioid adenocarcinoma with choriocarcinomatous differentiation: A case report and review of the literature. Oncol Lett. 6:655–658. 2013.PubMed/NCBI

10 

Gao HJ, Zhou W, Zhang XF, Zhou CY and Qian JH: Coexistent gestational choriocarcinoma and mixed adenocarcinoma of the uterus. Eur J Gynaecol Oncol. 34:362–367. 2013.PubMed/NCBI

11 

Van Eeden S, Nederlof PM, Taal BG, Offerhaus GJ and Van Velthuysen ML: A tumour with a neuroendocrine and papillary serous component: Two or a pair? J Clin Pathol. 55:710–714. 2002. View Article : Google Scholar : PubMed/NCBI

12 

Singh AK and Singh M: Collision tumours of ovary: A very rare case series. J Clin Diagn Res. 8:FD14–FD16. 2014.PubMed/NCBI

13 

Patwardhan JR and Gadgil RK: Collision tumour of the uterus. Indian J Cancer. 6:194–197. 1969.PubMed/NCBI

14 

Lifschitz-Mercer B, Czernobilsky B, Dgani R, Dallenbach-Hellweg G, Moll R and Franke WW: Immunocytochemical study of an endometrial diffuse clear cell stromal sarcoma and other endometrial stromal sarcomas. Cancer. 59:1494–1499. 1987. View Article : Google Scholar : PubMed/NCBI

15 

Sreenan JJ and Hart WR: Carcinosarcomas of the female genital tract. A pathologic study of 29 metastatic tumors: Further evidence for the dominant role of the epithelial component and the conversion theory of histogenesis. Am J Surg Pathol. 19:666–674. 1995. View Article : Google Scholar : PubMed/NCBI

16 

Lam KY, Khoo US and Cheung A: Collision of endometrioid carcinoma and stromal sarcoma of the uterus: A report of two cases. Int J Gynecol Pathol. 18:77–81. 1999. View Article : Google Scholar : PubMed/NCBI

17 

Gaertner EM, Farley JH, Taylor RR and Silver SA: Collision of uterine rhabdoid tumor and endometrioid adenocarcinoma: A case report and review of the literature. Int J Gynecol Pathol. 18:396–401. 1999. View Article : Google Scholar : PubMed/NCBI

18 

Takahashi Y and Inoue T: Hepatoid carcinoma of the uterus that collided with carcinosarcoma. Pathol Int. 53:323–326. 2003. View Article : Google Scholar : PubMed/NCBI

19 

Shaco-Levy R, Manor E, Piura B and Ariel I: An unusual composite endometrial tumor combining papillary serous carcinoma and small cell carcinoma. Am J Surg Pathol. 28:1103–1106. 2004. View Article : Google Scholar : PubMed/NCBI

20 

Jang KS, Lee WM, Kim YJ and Cho SH: Collision of three histologically distinct endometrial cancers of the uterus. J Korean Med Sci. 27:89–92. 2012. View Article : Google Scholar : PubMed/NCBI

21 

Zhao J, Xiang Y, Wan XR, Feng FZ, Cui QC and Yang XY: Molecular genetic analyses of choriocarcinoma. Placenta. 30:816–820. 2009. View Article : Google Scholar : PubMed/NCBI

22 

Wang Y, Yang Y, Teng F, Zhang H and Xue F: Pure nongestational uterine choriocarcinoma in a postmenopausal Chinese woman confirmed with short tandem repeat analysis. Am J Obstet Gynecol. 211:e1–e3. 2014. View Article : Google Scholar

23 

Hirata Y, Yanaihara N, Yanagida S, Fukui K, Iwadate K, Kiyokawa T and Tanaka T: Molecular genetic analysis of nongestational choriocarcinoma in a postmenopausal woman: A case report and literature review. Int J Gynecol Pathol. 31:364–368. 2012. View Article : Google Scholar : PubMed/NCBI

24 

Fisher RA, Newlands ES, Jeffreys AJ, Boxer GM, Begent RH, Rustin GJ and Bagshawe KD: Gestational and nongestational trophoblastic tumors distinguished by DNA analysis. Cancer. 69:839–845. 1992. View Article : Google Scholar : PubMed/NCBI

25 

Fisher RA, Savage PM, MacDermott C, Hook J, Sebire NJ, Lindsay I and Seckl MJ: The impact of molecular genetic diagnosis on the management of women with hCG-producing malignancies. Gynecol Oncol. 107:413–419. 2007. View Article : Google Scholar : PubMed/NCBI

26 

Johnson N, Bryant A, Miles T, Hogberg T and Cornes P: Adjuvant chemotherapy for endometrial cancer after hysterectomy. Cochrane Database Syst Rev: CD003175. 2011. View Article : Google Scholar

Related Articles

  • Abstract
  • View
  • Download
  • Twitter
Copy and paste a formatted citation
Spandidos Publications style
Masuyama H, Haraga J, Nishida T, Ogawa C, Kusumoto T, Nakamura K, Seki N, Yanai H and Hiramatsu Y: Three histologically distinct cancers of the uterine corpus: A case report and review of the literature. Mol Clin Oncol 4: 563-566, 2016.
APA
Masuyama, H., Haraga, J., Nishida, T., Ogawa, C., Kusumoto, T., Nakamura, K. ... Hiramatsu, Y. (2016). Three histologically distinct cancers of the uterine corpus: A case report and review of the literature. Molecular and Clinical Oncology, 4, 563-566. https://doi.org/10.3892/mco.2016.770
MLA
Masuyama, H., Haraga, J., Nishida, T., Ogawa, C., Kusumoto, T., Nakamura, K., Seki, N., Yanai, H., Hiramatsu, Y."Three histologically distinct cancers of the uterine corpus: A case report and review of the literature". Molecular and Clinical Oncology 4.4 (2016): 563-566.
Chicago
Masuyama, H., Haraga, J., Nishida, T., Ogawa, C., Kusumoto, T., Nakamura, K., Seki, N., Yanai, H., Hiramatsu, Y."Three histologically distinct cancers of the uterine corpus: A case report and review of the literature". Molecular and Clinical Oncology 4, no. 4 (2016): 563-566. https://doi.org/10.3892/mco.2016.770
Copy and paste a formatted citation
x
Spandidos Publications style
Masuyama H, Haraga J, Nishida T, Ogawa C, Kusumoto T, Nakamura K, Seki N, Yanai H and Hiramatsu Y: Three histologically distinct cancers of the uterine corpus: A case report and review of the literature. Mol Clin Oncol 4: 563-566, 2016.
APA
Masuyama, H., Haraga, J., Nishida, T., Ogawa, C., Kusumoto, T., Nakamura, K. ... Hiramatsu, Y. (2016). Three histologically distinct cancers of the uterine corpus: A case report and review of the literature. Molecular and Clinical Oncology, 4, 563-566. https://doi.org/10.3892/mco.2016.770
MLA
Masuyama, H., Haraga, J., Nishida, T., Ogawa, C., Kusumoto, T., Nakamura, K., Seki, N., Yanai, H., Hiramatsu, Y."Three histologically distinct cancers of the uterine corpus: A case report and review of the literature". Molecular and Clinical Oncology 4.4 (2016): 563-566.
Chicago
Masuyama, H., Haraga, J., Nishida, T., Ogawa, C., Kusumoto, T., Nakamura, K., Seki, N., Yanai, H., Hiramatsu, Y."Three histologically distinct cancers of the uterine corpus: A case report and review of the literature". Molecular and Clinical Oncology 4, no. 4 (2016): 563-566. https://doi.org/10.3892/mco.2016.770
Follow us
  • Twitter
  • LinkedIn
  • Facebook
About
  • Spandidos Publications
  • Careers
  • Cookie Policy
  • Privacy Policy
How can we help?
  • Help
  • Live Chat
  • Contact
  • Email to our Support Team