Spandidos Publications Logo
  • About
    • About Spandidos
    • Aims and Scopes
    • Abstracting and Indexing
    • Editorial Policies
    • Reprints and Permissions
    • Job Opportunities
    • Terms and Conditions
    • Contact
  • Journals
    • All Journals
    • Oncology Letters
      • Oncology Letters
      • Information for Authors
      • Editorial Policies
      • Editorial Board
      • Aims and Scope
      • Abstracting and Indexing
      • Bibliographic Information
      • Archive
    • International Journal of Oncology
      • International Journal of Oncology
      • Information for Authors
      • Editorial Policies
      • Editorial Board
      • Aims and Scope
      • Abstracting and Indexing
      • Bibliographic Information
      • Archive
    • Molecular and Clinical Oncology
      • Molecular and Clinical Oncology
      • Information for Authors
      • Editorial Policies
      • Editorial Board
      • Aims and Scope
      • Abstracting and Indexing
      • Bibliographic Information
      • Archive
    • Experimental and Therapeutic Medicine
      • Experimental and Therapeutic Medicine
      • Information for Authors
      • Editorial Policies
      • Editorial Board
      • Aims and Scope
      • Abstracting and Indexing
      • Bibliographic Information
      • Archive
    • International Journal of Molecular Medicine
      • International Journal of Molecular Medicine
      • Information for Authors
      • Editorial Policies
      • Editorial Board
      • Aims and Scope
      • Abstracting and Indexing
      • Bibliographic Information
      • Archive
    • Biomedical Reports
      • Biomedical Reports
      • Information for Authors
      • Editorial Policies
      • Editorial Board
      • Aims and Scope
      • Abstracting and Indexing
      • Bibliographic Information
      • Archive
    • Oncology Reports
      • Oncology Reports
      • Information for Authors
      • Editorial Policies
      • Editorial Board
      • Aims and Scope
      • Abstracting and Indexing
      • Bibliographic Information
      • Archive
    • Molecular Medicine Reports
      • Molecular Medicine Reports
      • Information for Authors
      • Editorial Policies
      • Editorial Board
      • Aims and Scope
      • Abstracting and Indexing
      • Bibliographic Information
      • Archive
    • World Academy of Sciences Journal
      • World Academy of Sciences Journal
      • Information for Authors
      • Editorial Policies
      • Editorial Board
      • Aims and Scope
      • Abstracting and Indexing
      • Bibliographic Information
      • Archive
    • International Journal of Functional Nutrition
      • International Journal of Functional Nutrition
      • Information for Authors
      • Editorial Policies
      • Editorial Board
      • Aims and Scope
      • Abstracting and Indexing
      • Bibliographic Information
      • Archive
    • International Journal of Epigenetics
      • International Journal of Epigenetics
      • Information for Authors
      • Editorial Policies
      • Editorial Board
      • Aims and Scope
      • Abstracting and Indexing
      • Bibliographic Information
      • Archive
    • Medicine International
      • Medicine International
      • Information for Authors
      • Editorial Policies
      • Editorial Board
      • Aims and Scope
      • Abstracting and Indexing
      • Bibliographic Information
      • Archive
  • Articles
  • Information
    • Information for Authors
    • Information for Reviewers
    • Information for Librarians
    • Information for Advertisers
    • Conferences
  • Language Editing
Spandidos Publications Logo
  • About
    • About Spandidos
    • Aims and Scopes
    • Abstracting and Indexing
    • Editorial Policies
    • Reprints and Permissions
    • Job Opportunities
    • Terms and Conditions
    • Contact
  • Journals
    • All Journals
    • Biomedical Reports
      • Information for Authors
      • Editorial Policies
      • Editorial Board
      • Aims and Scope
      • Abstracting and Indexing
      • Bibliographic Information
      • Archive
    • Experimental and Therapeutic Medicine
      • Information for Authors
      • Editorial Policies
      • Editorial Board
      • Aims and Scope
      • Abstracting and Indexing
      • Bibliographic Information
      • Archive
    • International Journal of Epigenetics
      • Information for Authors
      • Editorial Policies
      • Editorial Board
      • Aims and Scope
      • Abstracting and Indexing
      • Bibliographic Information
      • Archive
    • International Journal of Functional Nutrition
      • Information for Authors
      • Editorial Policies
      • Editorial Board
      • Aims and Scope
      • Abstracting and Indexing
      • Bibliographic Information
      • Archive
    • International Journal of Molecular Medicine
      • Information for Authors
      • Editorial Policies
      • Editorial Board
      • Aims and Scope
      • Abstracting and Indexing
      • Bibliographic Information
      • Archive
    • International Journal of Oncology
      • Information for Authors
      • Editorial Policies
      • Editorial Board
      • Aims and Scope
      • Abstracting and Indexing
      • Bibliographic Information
      • Archive
    • Medicine International
      • Information for Authors
      • Editorial Policies
      • Editorial Board
      • Aims and Scope
      • Abstracting and Indexing
      • Bibliographic Information
      • Archive
    • Molecular and Clinical Oncology
      • Information for Authors
      • Editorial Policies
      • Editorial Board
      • Aims and Scope
      • Abstracting and Indexing
      • Bibliographic Information
      • Archive
    • Molecular Medicine Reports
      • Information for Authors
      • Editorial Policies
      • Editorial Board
      • Aims and Scope
      • Abstracting and Indexing
      • Bibliographic Information
      • Archive
    • Oncology Letters
      • Information for Authors
      • Editorial Policies
      • Editorial Board
      • Aims and Scope
      • Abstracting and Indexing
      • Bibliographic Information
      • Archive
    • Oncology Reports
      • Information for Authors
      • Editorial Policies
      • Editorial Board
      • Aims and Scope
      • Abstracting and Indexing
      • Bibliographic Information
      • Archive
    • World Academy of Sciences Journal
      • Information for Authors
      • Editorial Policies
      • Editorial Board
      • Aims and Scope
      • Abstracting and Indexing
      • Bibliographic Information
      • Archive
  • Articles
  • Information
    • For Authors
    • For Reviewers
    • For Librarians
    • For Advertisers
    • Conferences
  • Language Editing
Login Register Submit
  • This site uses cookies
  • You can change your cookie settings at any time by following the instructions in our Cookie Policy. To find out more, you may read our Privacy Policy.

    I agree
Search articles by DOI, keyword, author or affiliation
Search
Advanced Search
presentation
Molecular and Clinical Oncology
Join Editorial Board Propose a Special Issue
Print ISSN: 2049-9450 Online ISSN: 2049-9469
Journal Cover
May-2016 Volume 4 Issue 5

Full Size Image

Sign up for eToc alerts
Recommend to Library

Journals

International Journal of Molecular Medicine

International Journal of Molecular Medicine

International Journal of Molecular Medicine is an international journal devoted to molecular mechanisms of human disease.

International Journal of Oncology

International Journal of Oncology

International Journal of Oncology is an international journal devoted to oncology research and cancer treatment.

Molecular Medicine Reports

Molecular Medicine Reports

Covers molecular medicine topics such as pharmacology, pathology, genetics, neuroscience, infectious diseases, molecular cardiology, and molecular surgery.

Oncology Reports

Oncology Reports

Oncology Reports is an international journal devoted to fundamental and applied research in Oncology.

Experimental and Therapeutic Medicine

Experimental and Therapeutic Medicine

Experimental and Therapeutic Medicine is an international journal devoted to laboratory and clinical medicine.

Oncology Letters

Oncology Letters

Oncology Letters is an international journal devoted to Experimental and Clinical Oncology.

Biomedical Reports

Biomedical Reports

Explores a wide range of biological and medical fields, including pharmacology, genetics, microbiology, neuroscience, and molecular cardiology.

Molecular and Clinical Oncology

Molecular and Clinical Oncology

International journal addressing all aspects of oncology research, from tumorigenesis and oncogenes to chemotherapy and metastasis.

World Academy of Sciences Journal

World Academy of Sciences Journal

Multidisciplinary open-access journal spanning biochemistry, genetics, neuroscience, environmental health, and synthetic biology.

International Journal of Functional Nutrition

International Journal of Functional Nutrition

Open-access journal combining biochemistry, pharmacology, immunology, and genetics to advance health through functional nutrition.

International Journal of Epigenetics

International Journal of Epigenetics

Publishes open-access research on using epigenetics to advance understanding and treatment of human disease.

Medicine International

Medicine International

An International Open Access Journal Devoted to General Medicine.

Journal Cover
May-2016 Volume 4 Issue 5

Full Size Image

Sign up for eToc alerts
Recommend to Library

  • Article
  • Citations
    • Cite This Article
    • Download Citation
    • Create Citation Alert
    • Remove Citation Alert
    • Cited By
  • Similar Articles
    • Related Articles (in Spandidos Publications)
    • Similar Articles (Google Scholar)
    • Similar Articles (PubMed)
  • Download PDF
  • Download XML
  • View XML
Article

A case of juvenile polyposis of the stomach with multiple early gastric cancers

  • Authors:
    • Ryusuke Saito
    • Toshikatsu Fukuda
    • Nobuaki Fujikuni
    • Tomoyuki Abe
    • Hironobu Amano
    • Masahiro Nakahara
    • Shuji Yonehara
    • Toshio Noriyuki
  • View Affiliations / Copyright

    Affiliations: Department of Surgery, Onomichi General Hospital, Onomichi‑shi, Hiroshima 722‑8508, Japan, Department of Pathology, Onomichi General Hospital, Onomichi‑shi, Hiroshima 722‑8508, Japan
  • Pages: 851-854
    |
    Published online on: February 22, 2016
       https://doi.org/10.3892/mco.2016.785
  • Expand metrics +
Metrics: Total Views: 0 (Spandidos Publications: | PMC Statistics: )
Metrics: Total PDF Downloads: 0 (Spandidos Publications: | PMC Statistics: )
Cited By (CrossRef): 0 citations Loading Articles...

This article is mentioned in:



Abstract

The present study described the case of a 24-year-old man who was diagnosed with multiple gastric hyperplastic polyps in 2004. Repeated Helicobacter pylori tests were negative, and colonoscopy revealed no specific findings. The patient started taking a proton‑pump inhibitor and iron supplements as a result of anemia caused from the occasional bleeding from the polyps. The number and size of the polyps had increased over time. Endoscopic mucosal resection was occasionally performed when bleeding occurred from large polyps. Finally, histological examination revealed that the surface of the polyp had been replaced with well‑differentiated adenocarcinoma in 2014. Laparoscopy-assisted total gastrectomy with Roux‑en‑Y esophagojejunostomy was performed in 2014. The final diagnosis was juvenile polyposis of the stomach with multiple early gastric cancers. Juvenile polyposis of the stomach is a rare disease, and its malignant potential has been reported previously. The present case highlighted the importance of not delaying surgical intervention in cases of juvenile polyposis of the stomach, since it is associated with a high occurrence of gastric cancer.

Introduction

Juvenile polyposis syndrome (JPS) is a rare disease characterized by multiple hamartomatous polyps in the gastrointestinal tract (1). The most frequently affected site is the colorectum (98%), followed by the stomach (14%) and the small intestine (8.8%) (2). JPS is subdivided into three groups: Juvenile polyposis of infancy, juvenile polyposis coli and generalized juvenile polyposis (3,4). A fourth category, juvenile polyposis of the stomach, has been reported, which is used to describe polyps limited to the stomach at the time of the initial diagnosis (5,6). JPS is generally recognized as consisting of benign hyperplastic polyps; however, it has recently been reported that these hyperplastic polyps have malignant potential. The present study reported a case of juvenile polyposis of the stomach with multiple early gastric cancers treated by laparoscopy-assisted total gastrectomy.

Case report

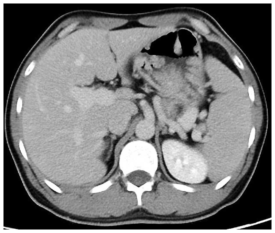
A 24-year-old man with an unremarkable medical history was referred to Onomichi General Hospital (Hiroshima, Japan) as a result of melena and anemia in 2004. An upper gastrointestinal endoscopy in 2004 revealed multiple edematous polyps around the fundus of the stomach (Fig. 1). Histological examination revealed a hyperplastic and disorganized foveolar epithelium, and an edematous lamina propria with infiltration of inflammatory cells, and the histological diagnosis was hyperplastic polyps. The patient began taking a proton-pump inhibitor and iron supplements, and he underwent an upper gastrointestinal endoscopy annually. The polyps appeared around the fundus in 2004 and had gradually progressed to the entire stomach in 2014 (Fig. 2). The number and size of the polyps had also increased. Endoscopic mucosal resection was performed frequently due to bleeding from the polyps. It was difficult to control the progressing anemia by non-surgical treatment, and, in 2014, histological examination revealed for the first time that the benign polyps were adenocarcinoma. Surgical treatment was therefore performed. At the time of surgery, the patient was 171 cm tall and weighed 62.5 kg. No skin lesions or loss of hair, which is characteristic of Cronkhite-Canada syndrome, was exhibited. Laboratory data demonstrated mild anemia (hemoglobin, 9.6 g/dl), but neither hypoproteinemia nor elevation of tumor markers, including carcinoembryonic antigen and carbohydrate antigen 19–9 was observed. With respect to the patient's family history, the patient's mother had succumbed to colon cancer in her 50s and his cousin had succumbed to an unknown primary cancer in his 30s. Colonoscopy revealed no specific findings. Enhanced computed tomography revealed that the stomach wall was edematous with enhanced thickening from multiple polyps (Fig. 3). An upper gastrointestinal series revealed that multiple polypoid lesions were limited to the entire stomach and were not present in the small intestine (Fig. 4). The patient underwent laparoscopy-assisted total gastrectomy with Roux-en-Y esophagojejunostomy. The resected specimen revealed numerous diffuse polyps throughout the entire stomach (Fig. 5). Microscopic findings revealed a hyperplastic and disorganized foveolar epithelium with an atypical nuclear shape. Enlargement of the nucleolus was also observed, and the patient was diagnosed with well-differentiated adenocarcinoma. A total of three lesions of early gastric cancer, and no lymph node metastasis were detected. Immunohistochemical staining revealed that the specimen was positive for p53 and carcinoembryonic antigen and exhibited a high index of mindbomb E3 ubiquitin protein ligase 1 (Fig. 6). The postoperative course was uneventful, hemoglobin level returned to the normal range, and the patient experienced no recurrence over a 1 year follow-up.

Figure 1.

Upper gastrointestinal endoscopy in 2004. An upper gastrointestinal endoscopy from 2004 revealed small polyps only around the fundus.

Figure 2.

Upper gastrointestinal endoscopy in 2014. An upper gastrointestinal endoscopy from 2014 revealed that the number and size of the polyps had increased.

Figure 3.

Enhanced computed tomography of the abdomen. Enhanced computed tomography of the stomach wall revealed that the stomach wall was edematous and enhanced, with thickening from multiple polyps.

Figure 4.

Upper gastrointestinal series. An upper gastrointestinal series demonstrated that multiple polypoid lesions were widespread throughout the entire stomach.

Figure 5.

Macroscopic findings of the resected specimen. The resected specimen exhibited numerous diffuse polyps throughout the entire stomach.

Figure 6.

Histological examination of the resected specimen. The histological examination revealed a scattered area of well-differentiated adenocarcinoma, which was limited to the mucosa for juvenile polyps. Hematoxylin and eosin staining at (A) magnification, ×50 and (B) ×100. Immunohistochemical staining demonstrated that the specimen was positive for (C) carcinoembryonic antigen, (D) p53 and a high index of (E) mindbomb E3 ubiquitin protein ligase 1.

Discussion

To the best of our knowledge, the present case is a rare case of juvenile polyposis of the stomach, associated with multiple early gastric cancers. In Japan, the incidence of juvenile polyposis of the stomach is higher compared with that observed in previous reports (1,7). The association of gastric cancer with juvenile polyposis of the stomach is well-known in Japan, with a frequency of ~50% (8). The present strategy for symptomatic juvenile polyposis of the stomach is surgical intervention. Notably, recurrence of gastric cancer and polyps in the remnant stomach has been previously reported; therefore, total gastrectomy is recommended as standard treatment in cases of juvenile polyposis of the stomach (2). JPS is an autosomal dominant hereditary syndrome with characteristic multiple hamartomatous polyps throughout the entire intestine, and was first reported by McColl et al (9) in 1964. Watanabe et al (5) first reported JPS limited to the stomach as juvenile polyposis of the stomach in 1979. Few reports exist in the English literature of polyps predominantly occurring in the stomach. Certain hamartomatous diseases of the stomach occur, for which differential diagnosis is necessary, including Cronkhite-Canada syndrome and Peutz-Jeghers syndrome (10). Skin lesions and family history are helpful for distinguishing JPS from these syndromes. It is known that 20–50% of patients have a family history of JPS, and its mechanism of inheritance is autosomal dominant with variable penetrance. Previously, mutations in SMAD4 and BMPR1A, which are implicated in the transforming growth factor-β pathway, have been identified as the disease genes for this syndrome, and the probability of a mutation in each in JPS is 20% (11,12). The incidence of gastrointestinal cancer in JPS is ~20% (11). The most frequently observed clinical feature is anemia (89%), followed by hypoproteinemia (67%). It is difficult to control this condition with non-surgical treatment. The histological findings of the present study revealed a hyperplastic and disorganized foveolar epithelium with atypia, and the patient was diagnosed with well-differentiated adenocarcinoma. In the present case, three lesions of mucosal adenocarcinoma were observed in the resected specimen. It has been previously reported that colorectal lesions have developed into adenocarcinoma during follow-up (2). Howe et al (13) reported that the risk of gastrointestinal cancer in family members of patients with JPS exceeded 50%.

In conclusion, the present study described a rare case of juvenile polyposis of the stomach with early gastric cancers following curative resection. The patient has remained disease-free for 1 year following surgery. Special attention should be paid to the intestine and colorectum in patients with JPS. Additionally, family members of the present patient should also take gastrointestinal fiber and undergo genetic examination as a result of the patient's strong family history.

Glossary

Abbreviation

Abbreviations:

JPS

juvenile polyposis syndrome

References

1 

Larsen Haidle J and Howe JR: Juvenile Polyposis Syndrome. GeneReviews®. Pagon RA, Adam MP, Ardinger HH, Wallace SE, Amemiya A, Bean LJH, Bird TD, Fong C, Mefford HC, Smith RJH and Stephens K: University of Washington. (Seattle). 2013.

2 

Hizawa K, Iida M, Yao T, Aoyagi K and Fujishima M: Juvenile polyposis of the stomach: Clinicopathological features and its malignant potential. J Clin Pathol. 50:771–774. 1997. View Article : Google Scholar : PubMed/NCBI

3 

Sachatello CR, Hahn IS and Carrington CB: Juvenile gastrointestinal polyposis in a female infant: Report of a case and review of the literature of a recently recognized syndrome. Surgery. 75:107–114. 1974.PubMed/NCBI

4 

Agnifili A, Verzaro R, Gola P, Marino M, Mancini E, Carducci G, Ibi I and Valenti M: Juvenile polyposis: Case report and assessment of the neoplastic risk in 271 patients reported in the literature. Dig Surg. 16:161–166. 1999. View Article : Google Scholar : PubMed/NCBI

5 

Watanabe A, Nagashima H, Motoi M and Ogawa K: Familial juvenile polyposis of the stomach. Gastroenterology. 77:148–151. 1979.PubMed/NCBI

6 

Coburn MC, Pricolo VE, DeLuca FG and Bland KI: Malignant potential in intestinal juvenile polyposis syndromes. Ann Surg Oncol. 2:386–391. 1995. View Article : Google Scholar : PubMed/NCBI

7 

Ma C, Giardiello FM and Montgomery EA: Upper tract juvenile polyps in juvenile polyposis patients: dysplasia and malignancy are associated with foveolar, intestinal, and pyloric differentiation. Am J Surg Pathol. 38:1618–1626. 2014. View Article : Google Scholar : PubMed/NCBI

8 

Ozawa T, Wachi E and Yamashita N: A case of juvenile polyposis limited to the stomach accompanied by double gastric cancers and Ménétrier's disease. Nihon Shokakibyo Gakkai Zasshi. 107:1641–1650. 2010.(In Japanese). PubMed/NCBI

9 

McColl I, Busxey HJ, Veale AM and Morson BC: Juvenile polyposis coli. Proc R Soc Med. 57:896–897. 1964.PubMed/NCBI

10 

Zbuk KM and Eng C: Hamartomatous polyposis syndromes. Nat Clin Pract Gastroenterol Hepatol. 4:492–502. 2007. View Article : Google Scholar : PubMed/NCBI

11 

Chow E and Macrae F: A review of juvenile polyposis syndrome. J Gastroenterol Hepatol. 20:1634–1640. 2005. View Article : Google Scholar : PubMed/NCBI

12 

Howe JR, Sayed MG, Ahmed AF, Ringold J, Larsen-Haidle J, Merg A, Mitros FA, Vaccaro CA, Petersen GM, Giardiello FM, et al: The prevalence of MADH4 and BMPR1A mutations in juvenile polyposis and absence of BMPR2, BMPR1B, and ACVR1 mutations. J Med Genet. 41:484–491. 2004. View Article : Google Scholar : PubMed/NCBI

13 

Howe JR, Mitros FA and Summers RW: The risk of gastrointestinal carcinoma in familial juvenile polyposis. Ann Surg Oncol. 5:751–756. 1998. View Article : Google Scholar : PubMed/NCBI

Related Articles

  • Abstract
  • View
  • Download
  • Twitter
Copy and paste a formatted citation
Spandidos Publications style
Saito R, Fukuda T, Fujikuni N, Abe T, Amano H, Nakahara M, Yonehara S and Noriyuki T: A case of juvenile polyposis of the stomach with multiple early gastric cancers. Mol Clin Oncol 4: 851-854, 2016.
APA
Saito, R., Fukuda, T., Fujikuni, N., Abe, T., Amano, H., Nakahara, M. ... Noriyuki, T. (2016). A case of juvenile polyposis of the stomach with multiple early gastric cancers. Molecular and Clinical Oncology, 4, 851-854. https://doi.org/10.3892/mco.2016.785
MLA
Saito, R., Fukuda, T., Fujikuni, N., Abe, T., Amano, H., Nakahara, M., Yonehara, S., Noriyuki, T."A case of juvenile polyposis of the stomach with multiple early gastric cancers". Molecular and Clinical Oncology 4.5 (2016): 851-854.
Chicago
Saito, R., Fukuda, T., Fujikuni, N., Abe, T., Amano, H., Nakahara, M., Yonehara, S., Noriyuki, T."A case of juvenile polyposis of the stomach with multiple early gastric cancers". Molecular and Clinical Oncology 4, no. 5 (2016): 851-854. https://doi.org/10.3892/mco.2016.785
Copy and paste a formatted citation
x
Spandidos Publications style
Saito R, Fukuda T, Fujikuni N, Abe T, Amano H, Nakahara M, Yonehara S and Noriyuki T: A case of juvenile polyposis of the stomach with multiple early gastric cancers. Mol Clin Oncol 4: 851-854, 2016.
APA
Saito, R., Fukuda, T., Fujikuni, N., Abe, T., Amano, H., Nakahara, M. ... Noriyuki, T. (2016). A case of juvenile polyposis of the stomach with multiple early gastric cancers. Molecular and Clinical Oncology, 4, 851-854. https://doi.org/10.3892/mco.2016.785
MLA
Saito, R., Fukuda, T., Fujikuni, N., Abe, T., Amano, H., Nakahara, M., Yonehara, S., Noriyuki, T."A case of juvenile polyposis of the stomach with multiple early gastric cancers". Molecular and Clinical Oncology 4.5 (2016): 851-854.
Chicago
Saito, R., Fukuda, T., Fujikuni, N., Abe, T., Amano, H., Nakahara, M., Yonehara, S., Noriyuki, T."A case of juvenile polyposis of the stomach with multiple early gastric cancers". Molecular and Clinical Oncology 4, no. 5 (2016): 851-854. https://doi.org/10.3892/mco.2016.785
Follow us
  • Twitter
  • LinkedIn
  • Facebook
About
  • Spandidos Publications
  • Careers
  • Cookie Policy
  • Privacy Policy
How can we help?
  • Help
  • Live Chat
  • Contact
  • Email to our Support Team