Spandidos Publications Logo
  • About
    • About Spandidos
    • Aims and Scopes
    • Abstracting and Indexing
    • Editorial Policies
    • Reprints and Permissions
    • Job Opportunities
    • Terms and Conditions
    • Contact
  • Journals
    • All Journals
    • Oncology Letters
      • Oncology Letters
      • Information for Authors
      • Editorial Policies
      • Editorial Board
      • Aims and Scope
      • Abstracting and Indexing
      • Bibliographic Information
      • Archive
    • International Journal of Oncology
      • International Journal of Oncology
      • Information for Authors
      • Editorial Policies
      • Editorial Board
      • Aims and Scope
      • Abstracting and Indexing
      • Bibliographic Information
      • Archive
    • Molecular and Clinical Oncology
      • Molecular and Clinical Oncology
      • Information for Authors
      • Editorial Policies
      • Editorial Board
      • Aims and Scope
      • Abstracting and Indexing
      • Bibliographic Information
      • Archive
    • Experimental and Therapeutic Medicine
      • Experimental and Therapeutic Medicine
      • Information for Authors
      • Editorial Policies
      • Editorial Board
      • Aims and Scope
      • Abstracting and Indexing
      • Bibliographic Information
      • Archive
    • International Journal of Molecular Medicine
      • International Journal of Molecular Medicine
      • Information for Authors
      • Editorial Policies
      • Editorial Board
      • Aims and Scope
      • Abstracting and Indexing
      • Bibliographic Information
      • Archive
    • Biomedical Reports
      • Biomedical Reports
      • Information for Authors
      • Editorial Policies
      • Editorial Board
      • Aims and Scope
      • Abstracting and Indexing
      • Bibliographic Information
      • Archive
    • Oncology Reports
      • Oncology Reports
      • Information for Authors
      • Editorial Policies
      • Editorial Board
      • Aims and Scope
      • Abstracting and Indexing
      • Bibliographic Information
      • Archive
    • Molecular Medicine Reports
      • Molecular Medicine Reports
      • Information for Authors
      • Editorial Policies
      • Editorial Board
      • Aims and Scope
      • Abstracting and Indexing
      • Bibliographic Information
      • Archive
    • World Academy of Sciences Journal
      • World Academy of Sciences Journal
      • Information for Authors
      • Editorial Policies
      • Editorial Board
      • Aims and Scope
      • Abstracting and Indexing
      • Bibliographic Information
      • Archive
    • International Journal of Functional Nutrition
      • International Journal of Functional Nutrition
      • Information for Authors
      • Editorial Policies
      • Editorial Board
      • Aims and Scope
      • Abstracting and Indexing
      • Bibliographic Information
      • Archive
    • International Journal of Epigenetics
      • International Journal of Epigenetics
      • Information for Authors
      • Editorial Policies
      • Editorial Board
      • Aims and Scope
      • Abstracting and Indexing
      • Bibliographic Information
      • Archive
    • Medicine International
      • Medicine International
      • Information for Authors
      • Editorial Policies
      • Editorial Board
      • Aims and Scope
      • Abstracting and Indexing
      • Bibliographic Information
      • Archive
  • Articles
  • Information
    • Information for Authors
    • Information for Reviewers
    • Information for Librarians
    • Information for Advertisers
    • Conferences
  • Language Editing
Spandidos Publications Logo
  • About
    • About Spandidos
    • Aims and Scopes
    • Abstracting and Indexing
    • Editorial Policies
    • Reprints and Permissions
    • Job Opportunities
    • Terms and Conditions
    • Contact
  • Journals
    • All Journals
    • Biomedical Reports
      • Information for Authors
      • Editorial Policies
      • Editorial Board
      • Aims and Scope
      • Abstracting and Indexing
      • Bibliographic Information
      • Archive
    • Experimental and Therapeutic Medicine
      • Information for Authors
      • Editorial Policies
      • Editorial Board
      • Aims and Scope
      • Abstracting and Indexing
      • Bibliographic Information
      • Archive
    • International Journal of Epigenetics
      • Information for Authors
      • Editorial Policies
      • Editorial Board
      • Aims and Scope
      • Abstracting and Indexing
      • Bibliographic Information
      • Archive
    • International Journal of Functional Nutrition
      • Information for Authors
      • Editorial Policies
      • Editorial Board
      • Aims and Scope
      • Abstracting and Indexing
      • Bibliographic Information
      • Archive
    • International Journal of Molecular Medicine
      • Information for Authors
      • Editorial Policies
      • Editorial Board
      • Aims and Scope
      • Abstracting and Indexing
      • Bibliographic Information
      • Archive
    • International Journal of Oncology
      • Information for Authors
      • Editorial Policies
      • Editorial Board
      • Aims and Scope
      • Abstracting and Indexing
      • Bibliographic Information
      • Archive
    • Medicine International
      • Information for Authors
      • Editorial Policies
      • Editorial Board
      • Aims and Scope
      • Abstracting and Indexing
      • Bibliographic Information
      • Archive
    • Molecular and Clinical Oncology
      • Information for Authors
      • Editorial Policies
      • Editorial Board
      • Aims and Scope
      • Abstracting and Indexing
      • Bibliographic Information
      • Archive
    • Molecular Medicine Reports
      • Information for Authors
      • Editorial Policies
      • Editorial Board
      • Aims and Scope
      • Abstracting and Indexing
      • Bibliographic Information
      • Archive
    • Oncology Letters
      • Information for Authors
      • Editorial Policies
      • Editorial Board
      • Aims and Scope
      • Abstracting and Indexing
      • Bibliographic Information
      • Archive
    • Oncology Reports
      • Information for Authors
      • Editorial Policies
      • Editorial Board
      • Aims and Scope
      • Abstracting and Indexing
      • Bibliographic Information
      • Archive
    • World Academy of Sciences Journal
      • Information for Authors
      • Editorial Policies
      • Editorial Board
      • Aims and Scope
      • Abstracting and Indexing
      • Bibliographic Information
      • Archive
  • Articles
  • Information
    • For Authors
    • For Reviewers
    • For Librarians
    • For Advertisers
    • Conferences
  • Language Editing
Login Register Submit
  • This site uses cookies
  • You can change your cookie settings at any time by following the instructions in our Cookie Policy. To find out more, you may read our Privacy Policy.

    I agree
Search articles by DOI, keyword, author or affiliation
Search
Advanced Search
presentation
Molecular and Clinical Oncology
Join Editorial Board Propose a Special Issue
Print ISSN: 2049-9450 Online ISSN: 2049-9469
Journal Cover
July-2016 Volume 5 Issue 1

Full Size Image

Sign up for eToc alerts
Recommend to Library

Journals

International Journal of Molecular Medicine

International Journal of Molecular Medicine

International Journal of Molecular Medicine is an international journal devoted to molecular mechanisms of human disease.

International Journal of Oncology

International Journal of Oncology

International Journal of Oncology is an international journal devoted to oncology research and cancer treatment.

Molecular Medicine Reports

Molecular Medicine Reports

Covers molecular medicine topics such as pharmacology, pathology, genetics, neuroscience, infectious diseases, molecular cardiology, and molecular surgery.

Oncology Reports

Oncology Reports

Oncology Reports is an international journal devoted to fundamental and applied research in Oncology.

Experimental and Therapeutic Medicine

Experimental and Therapeutic Medicine

Experimental and Therapeutic Medicine is an international journal devoted to laboratory and clinical medicine.

Oncology Letters

Oncology Letters

Oncology Letters is an international journal devoted to Experimental and Clinical Oncology.

Biomedical Reports

Biomedical Reports

Explores a wide range of biological and medical fields, including pharmacology, genetics, microbiology, neuroscience, and molecular cardiology.

Molecular and Clinical Oncology

Molecular and Clinical Oncology

International journal addressing all aspects of oncology research, from tumorigenesis and oncogenes to chemotherapy and metastasis.

World Academy of Sciences Journal

World Academy of Sciences Journal

Multidisciplinary open-access journal spanning biochemistry, genetics, neuroscience, environmental health, and synthetic biology.

International Journal of Functional Nutrition

International Journal of Functional Nutrition

Open-access journal combining biochemistry, pharmacology, immunology, and genetics to advance health through functional nutrition.

International Journal of Epigenetics

International Journal of Epigenetics

Publishes open-access research on using epigenetics to advance understanding and treatment of human disease.

Medicine International

Medicine International

An International Open Access Journal Devoted to General Medicine.

Journal Cover
July-2016 Volume 5 Issue 1

Full Size Image

Sign up for eToc alerts
Recommend to Library

  • Article
  • Citations
    • Cite This Article
    • Download Citation
    • Create Citation Alert
    • Remove Citation Alert
    • Cited By
  • Similar Articles
    • Related Articles (in Spandidos Publications)
    • Similar Articles (Google Scholar)
    • Similar Articles (PubMed)
  • Download PDF
  • Download XML
  • View XML
Article

Complete diagnostics and clinical approach for a female patient with unusual glioblastoma: A case study

  • Authors:
    • Filip Samal
    • Libor Stanek
    • Michal Filip
    • Pavel Haninec
    • Ales Vícha
    • Zdenek Musil
    • Petra Tesarova
    • Lubos Petruzelka
    • Drahomira Springer
    • Milena Kralickova
    • Milada Kohoutova
    • Tomas Zima
  • View Affiliations / Copyright

    Affiliations: Department of Neurosurgery, Third Faculty of Medicine, Charles University and University Hospital Kralovske Vinohrady, 100 34 Prague 10, Czech Republic, Department of Oncology, First Faculty of Medicine, Charles University and General University Hospital, 128 08 Prague 2, Czech Republic, Department of Paediatric Haematology and Oncology, Second Faculty of Medicine, Charles University, 150 00 Prague 5, Czech Republic, Institute of Medical Biochemistry and Laboratory Diagnostics, First Faculty of Medicine, Charles University and General University Hospital, 128 08 Prague 2, Czech Republic, Department of Histology and Embryology, Faculty of Medicine in Pilsen, Charles University, 301 66 Pilsen, Czech Republic, Institute of Biology and Medical Genetics, First Faculty of Medicine, Charles University and General University Hospital, 128 00 Prague 2, Czech Republic
  • Pages: 161-164
    |
    Published online on: May 10, 2016
       https://doi.org/10.3892/mco.2016.891
  • Expand metrics +
Metrics: Total Views: 0 (Spandidos Publications: | PMC Statistics: )
Metrics: Total PDF Downloads: 0 (Spandidos Publications: | PMC Statistics: )
Cited By (CrossRef): 0 citations Loading Articles...

This article is mentioned in:



Abstract

The present study reports a case of a 44-year-old female patient with a large frontal lobe tumor who underwent surgery using a modern navigation system SonoWand that combines the advantages of a non‑frame navigation system with intraoperative real-time ultrasound imaging. The right frontal lobe tumor consisted of two morphologically different sections. A diffuse astrocytoma grade II and a glioblastoma grade IV were identified. These tumors were relatively substantially separated. A 17 p deletion, including TP53, was detected in a diffuse astrocytoma but not in a glioblastoma. EGFR and MDM2 amplifications were detected only in a glioblastoma. Detection of these amplifications is typical for primary glioblastomas. These findings support our assumption of two independent tumors. The KRAS, BRAF and EGFR gene mutations were also detected in a glioblastoma. Such an accumulation of molecular mutations is rare in one tumor. Following oncological treatment the patient was cared for in the oncological center and survived for 15 months after the surgery without any signs of a disease. This is an unusual case, and to the best of our knowledge, is not frequently published in literature.

Introduction

High-grade astrocytomas are the most difficult tumors to treat. In 2009, 412 new cases of astrocytomas were diagnosed in the Czech Republic, which accounts for 3.92 new tumors per 100,000 people. In total, 57.9% of newly diagnosed cases are glioblastomas, the most aggressive variant of astrocytomas. Two types of glioblastoma multiforme (GBM) can be recognised. Secondary GBMs develop from anaplastic or diffuse astrocytomas. Primary GBMs do not have any previous developmental phases (1).

Standard treatment includes maximal cytoreductive surgery followed by concomitant chemotherapy and adjuvant chemotherapy. Chemoradiotherapy with temozolomide following the surgery significantly extended overall survival. Median survival of patients with concomitant chemoradiotherapy was 14.6 vs. 12.1 months without chemotherapy, and 2-year survival was 26 vs. 10% without chemotherapy (1). Radicality of resection is an important prognostic factor. According to a 2001 study, the optimal resection denotes >98% of a preoperative tumor volume. In the case of radical resection the median survival is 13 vs. 8.8 months in the case of lower radicality (2). Regardless of this comprehensive treatment, a prognosis of glioblastoma patients remains extremely poor. The addition of molecular biological examinations to the complete patient care could improve this unfavorable situation. These examinations help us to divide patients into individual prognostic groups and to choose the appropriate therapy, or they could possibly help us detect formerly unknown factors influencing the glioblastoma prognosis. From the molecular biological point of view, the types and numbers of cumulative genetic alterations are of importance. The important alterations occur in the p53, PTEN and EGFR genes (3,4). Molecular biological changes in primary glioblastomas are different from the molecular biological changes in secondary glioblastomas (3,4).

In the case of secondary glioblastomas developing from diffuse and anaplastic astrocytomas, detected mutations, such as the mutation or amplification of the EGFR gene, and the deletion of the PTEN gene, are found less frequently compared to the case of primary glioblastomas (3). However, the TP53 deletion is often detected (3).

Pathophysiological protein kinase and molecular cascades, particularly p53/MDM2/p14, p16/cyclin-dependent kinase 4/retinoblastoma protein 1 and epidermal growth factor receptor (EGFR)/phosphatase and tensin homolog (PTEN)/mammalian target of rapamycin (mTOR)/phosphoinositide 3-kinase/protein kinase B, have an important role in the pathogenesis and prognosis of GBM (5,6). Glioblastomas belong to the group of highly vascular tumors, and tumor elements produce large quantities of vascular endothelial growth factor (VEGF) protein. Significantly higher concentrations of VEGF protein were detected in glioblastoma tissues in comparison with anaplastic astrocytomas (grade III) and low-grade astrocytomas (grade II) (7–9). Specific molecular biological changes in primary glioblastomas are the PTEN gene deletion, loss of heterozygosity on chromosome 10, the EGFR gene mutation and amplification, and MDM2 amplification (10). The tumor suppressor PTEN gene is located on the long arm of chromosome 10 (10q23.3). Its role is to block the cell cycle in the G1 phase. Malfunction of the PTEN gene is connected with the progression of low-grade astrocytomas to more malignant tumors. This mutation detection is associated with a worse tumor prognosis.

The EGFR gene can be found on the short arm of chromosome 7 and it is the most frequently amplified oncogene in primary glioblastomas. EGFR is a membrane receptor for members of the EGF-family of extracellular ligands. EGFR activation stimulates intracellular protein-tyrosine kinase activity and autophosphorylation of several tyrosine (Y) residues in the C-terminal domain occurs. The activation of signalling cascades of protein kinases mitogen-activated protein kinase [RAS and B-Raf proto-oncogene, serine/threonine kinase (BRAF)] (11) leads to DNA synthesis and cell proliferation. EGFR amplification possibly has a role in diffuse glioblastoma infiltration into surrounding tissues.

The present case report demonstrates an unusual case of two independent gliomas in a 44-year-old female patient. A diffuse astrocytoma and a primary glioblastoma were detected morphologically and by molecular biological analysis.

Case report

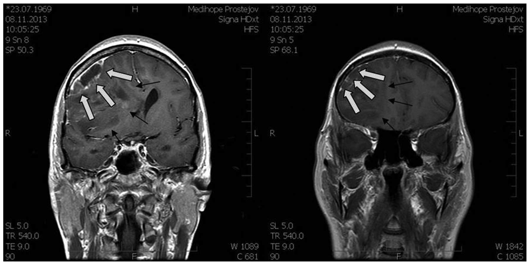
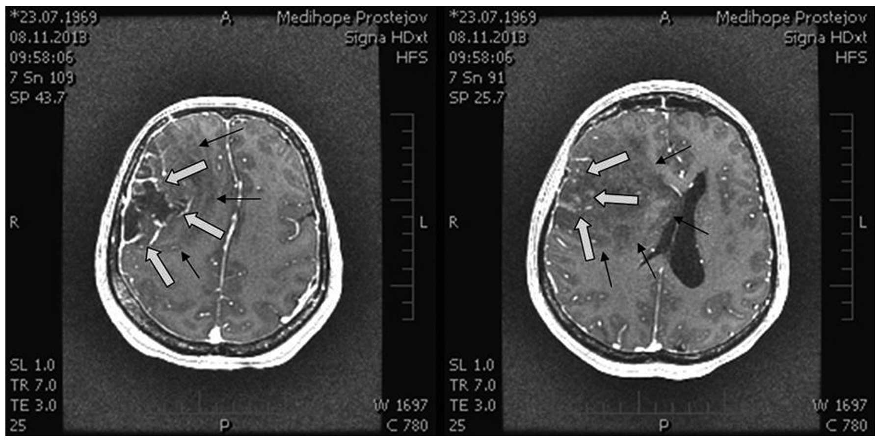
A 44-year-old female patient was examined in the Department of Neurosurgery (Third Faculty of Medicine, Charles University in Prague and University Hospital Kralovske Vinohrady in Prague, Prague, Czech Republic) for headaches that were prominent for 2 months. Headaches were of an increasing intensity and a magnetic resonance imaging (MRI) scan (Figs. 1 and 2) showed a large expansive process in the right frontal lobe (81×70×76 mm), with the pressure on midline brain structures and compression of the ventricular system. The MRI scan indicated a glioma. Neurological examination revealed light left-sided hemiparesis.

Figure 1.

Preoperative magnetic resonance imaging axial scan (high- and area low-grade areas).

Figure 2.

Preoperative magnetic resonance imaging coronal scan (high- and area low-grade areas).

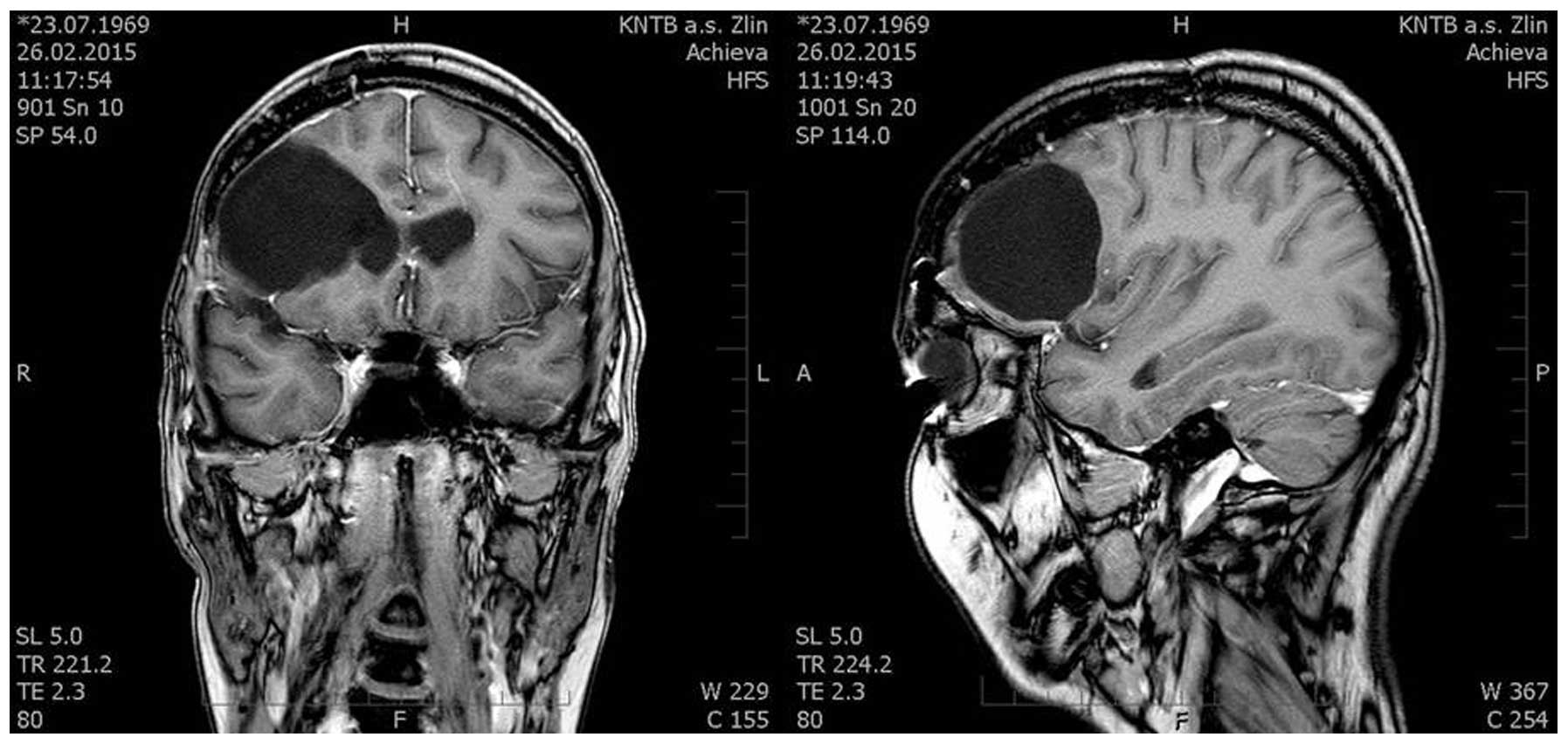
Extirpation of a multicomponent tumor was performed. On the surface there was a component corresponding with high-grade gliomas changing quite sharply into a low-grade glioma in the central section. Tumor extirpation was performed using an operating microscope, navigation system SonoWand and cavitron ultrasonic surgical aspirator. The border of a low-grade component was not visible against surrounding tissues. By contrast, it was well visible in the sono image and the real-time imaging during the extirpation of this section of tumor aided with the assessment. Thus, it was possible to achieve radical resection without post-contrast enhancement in the follow-up MRI scans. Surgery was executed without any complications. Left-sided hemiparesis regressed. The tumor was removed radically, there was no evidence of disease on the follow-up MRI scans and the patient did not experience any significant complications (Fig. 3).

Figure 3.

Postoperative magnetic resonance imaging coronar and sagital scan (high- and area low-grade areas).

Samples were removed from different tumor areas for histological and molecular biological testing. The tumor component preoperatively corresponding to a low-grade glioma was pathologically identified as a diffuse astrocytoma with the structure of protoplasmic astrocytoma without any signs of necrosis and microvascular proliferation. In the second tumor component, preoperatively corresponding to a glioblastoma, high proliferative activity, necrosis and vascular proliferation were detected and this section of the tumor was identified as a glioblastoma.

The KRAS, BRAF and EGFR gene mutations were not detected in the areas of a low-grade tumor. TP53 deletion was detected cytogenetically, whereas other markers did not demonstrate any change (Table I). By contrast, the KRAS, BRAF and EGFR gene mutations were detected in a glioblastoma. PTEN deletion and EGFR and MDM2 amplifications were detected cytogenetically. These findings correspond to a primary glioblastoma. Increased mRNA expression for VEGF was also detected. Immunohistochemical examination showed increased p53 and mTOR expression. These finding are also typical for glioblastomas. The examination results are shown in Table I.

Table I.

Molecular profile of sample areas demonstrating the difference between low- and high-grade glioma.

Table I.

Molecular profile of sample areas demonstrating the difference between low- and high-grade glioma.

AnalysisHigh-grade markerLow-grade marker
Molecular
  EGFRMut exon 18WT
  KRASMut exon 2WT
  BRAFMut exon 15WT
FISH
  Her2/neuNo amplificationNo amplification
  TP53NormalDeletion
  PTENDeletionNormal
  EGFRAmplificationNo amplification
  MDM2AmplificationNo amplification
IHC
  p53ExpressionNo expression
  mTORExpressionNo expression

[i] FISH, fluorescence in situ hybridisation; IHC, immunohistochemistry; WT, wild-type.

The patient received adjuvant chemoradiotherapy with 75 mg/m2 temozolomide and radiation therapy 5 times weekly with 1.8–2.0 Gy/fraction (total dose of 60 Gy). Following the termination of the treatment, the tiredness reported by the patient persisted without any other health difficulties. An MRI scan performed 14 months after the surgery did not show any evidence of disease.

Discussion

Occurrence of different tumor components in high-grade brain gliomas is quite common. Areas with high vascularity and necrosis, and areas showing histological changes appear. Individual tumor components are usually mixed. In the previously described tumor, the individual tumor sections representing different developmental stages were considered as macroscopically homogeneous and relatively substantially separated. These findings were confirmed histologically. The question is whether the section of the tumor corresponding to glioblastoma was developed from the already present diffuse astrocytoma or if it developed independently. On the basis of documented analyses and the accumulation of aberrations, we support the theory of tumor duplicity. In the high-grade areas, EGFR mutation was detected (12) together with the KRAS and BRAF hot-spot gene changes (13). These mutations are not usually detected when the EGFR gene mutation and amplification is found. p53 mutation was also detected. p53 and EGFR mutations are negative prognostic factors for survival. The detection of PTEN and mTOR gene deletion that was in the high-grade areas also means a worse prognosis for patients (14,15).

For the discovery of previously unknown factors that influence the prognosis of this malignant disease, it is necessary to study patients with a longer survival and unusual types of tumors from different angles, including detailed molecular genetic testing. The case reported in the present study describes an unusual case of a 44-year old patient with a glioma consisting of several morphologically different sections from low- to high-grade and showing the accumulation of genetic alterations. The prognosis of the patient is determined by the most malignant section of a tumor. At present, the patient has survived for 15 months after the surgery without any signs of radiological and clinical disease progression.

Acknowledgements

The present study was supported by the Ministry of Education of the Czech Republic (programs PRVOUK-P27/LF1/1 and PRVOUK-P25/LF1/2).

References

1 

Stupp R, Mason WP, van den Bent MJ, Weller M, Fisher B, Taphoorn MJ, Belanger K, Brandes AA, Marosi C, Bogdahn U, et al: Radiotherapy plus concomitant and adjuvant temozolomide for glioblastoma. N Engl J Med. 352:987–996. 2005. View Article : Google Scholar : PubMed/NCBI

2 

Lacroix M, Abi-Said D, Fourney DR, Gokaslan ZL, Shi W, DeMonte F, Lang FF, McCutcheon IE, Hassenbusch SJ, Holland E, et al: A multivariate analysis of 416 patients with glioblastoma multiforme: Prognosis, extent of resection, and survival. J Neurosurg. 95:190–198. 2001. View Article : Google Scholar : PubMed/NCBI

3 

Kim B, Myung JK, Seo JH, Park CK, Paek SH, Kim DG, Jung HW and Park SH: The clinicopathologic values of the molecules associated with the main pathogenesis of the glioblastoma. J Neurol Sci. 294:112–118. 2010. View Article : Google Scholar : PubMed/NCBI

4 

Ohgaki H and Kleihues P: Genetic alterations and signaling pathways in the evolution of gliomas. Cancer Sci. 100:2235–2241. 2009. View Article : Google Scholar : PubMed/NCBI

5 

Deng C, Zhang P, Harper JW, Elledge SJ and Leder P: Mice lacking p21CIP1/WAF1 undergo normal development, but are defective in G1 checkpoint control. Cell. 82:675–684. 1995. View Article : Google Scholar : PubMed/NCBI

6 

Slampa P: Gliomy-soucasná diagnostika a lecba. Maxdorf. 97–102. 2013.(In Czech).

7 

Takano S, Yoshii Y, Kondo S, Suzuki H, Maruno T, Shirai S and Nose T: Concentration of vascular endothelial growth factor in the serum and tumor tissue of brain tumor patients. Cancer Res. 56:2185–2190. 1996.PubMed/NCBI

8 

Shim JW, Koh YC, Ahn HK, Park YE, Hwang DY and Chi JG: Expression of bFGF and VEGF in brain astrocytoma. J Korean Med Sci. 11:149–157. 1996. View Article : Google Scholar : PubMed/NCBI

9 

Oehring RD, Miletic M, Valter MM, Pietsch T, Neumann J, Fimmers R and Schlegel U: Vascular endothelial growth factor (VEGF) in astrocytic gliomas-a prognostic factor? J Neurooncol. 45:117–125. 1999. View Article : Google Scholar : PubMed/NCBI

10 

Toledo F and Wahl GM: MDM2 and MDM4: p53 regulators as target in anticancer therapy. Int J Biochem Cell Biol. 39:1476–1482. 2007. View Article : Google Scholar : PubMed/NCBI

11 

Oda K, Matsuoka Y, Funahashi A and Kitano H: A comprehensive pathway map of epidermal growth factor receptor signaling. Mol Syst Biol. 1:2005.00102005. View Article : Google Scholar : PubMed/NCBI

12 

Verhaak RG, Hoadley KA, Purdom E, Wang V, Qi Y, Wilkerson MD, Miller CR, Ding L, Golub T, Mesirov JP, et al: Integrated genomic analysis identifies clinically relevant subtypes of glioblastoma characterized by abnormalities in PDGFRA, IDH1, EGFR, and NF1. Cancer Cell. 17:98–1101. 2010. View Article : Google Scholar : PubMed/NCBI

13 

Knobbe CB, Reifenberger J and Reifenberger G: Mutation analysis of the Ras pathway genes NRAS, HRAS, KRAS and BRAF in glioblastomas. Acta Neuropathol. 108:467–470. 2004. View Article : Google Scholar : PubMed/NCBI

14 

Ruano Y, Ribalta T, de Lope AR, Campos-Martín Y, Fiaño C, Pérez-Magán E, Hernández-Moneo JL, Mollejo M and Meléndez B: Worse outcome in primary glioblastoma multiforme with concurrent epidermal growth factor receptor and p53 alteration. Am J Clin Pathol. 131:257–263. 2009. View Article : Google Scholar : PubMed/NCBI

15 

Sesen J, Dahan P, Scotland SJ, Saland E, Dang VT, Lemarié A, Tyler BM, Brem H, Toulas C, Moyal Cohen-Jonathan E, et al: Metformin inhibits growth of human glioblastoma cells and enhances therapeutic response. PLoS One. 10:e01237212015. View Article : Google Scholar : PubMed/NCBI

Related Articles

  • Abstract
  • View
  • Download
  • Twitter
Copy and paste a formatted citation
Spandidos Publications style
Samal F, Stanek L, Filip M, Haninec P, Vícha A, Musil Z, Tesarova P, Petruzelka L, Springer D, Kralickova M, Kralickova M, et al: Complete diagnostics and clinical approach for a female patient with unusual glioblastoma: A case study. Mol Clin Oncol 5: 161-164, 2016.
APA
Samal, F., Stanek, L., Filip, M., Haninec, P., Vícha, A., Musil, Z. ... Zima, T. (2016). Complete diagnostics and clinical approach for a female patient with unusual glioblastoma: A case study. Molecular and Clinical Oncology, 5, 161-164. https://doi.org/10.3892/mco.2016.891
MLA
Samal, F., Stanek, L., Filip, M., Haninec, P., Vícha, A., Musil, Z., Tesarova, P., Petruzelka, L., Springer, D., Kralickova, M., Kohoutova, M., Zima, T."Complete diagnostics and clinical approach for a female patient with unusual glioblastoma: A case study". Molecular and Clinical Oncology 5.1 (2016): 161-164.
Chicago
Samal, F., Stanek, L., Filip, M., Haninec, P., Vícha, A., Musil, Z., Tesarova, P., Petruzelka, L., Springer, D., Kralickova, M., Kohoutova, M., Zima, T."Complete diagnostics and clinical approach for a female patient with unusual glioblastoma: A case study". Molecular and Clinical Oncology 5, no. 1 (2016): 161-164. https://doi.org/10.3892/mco.2016.891
Copy and paste a formatted citation
x
Spandidos Publications style
Samal F, Stanek L, Filip M, Haninec P, Vícha A, Musil Z, Tesarova P, Petruzelka L, Springer D, Kralickova M, Kralickova M, et al: Complete diagnostics and clinical approach for a female patient with unusual glioblastoma: A case study. Mol Clin Oncol 5: 161-164, 2016.
APA
Samal, F., Stanek, L., Filip, M., Haninec, P., Vícha, A., Musil, Z. ... Zima, T. (2016). Complete diagnostics and clinical approach for a female patient with unusual glioblastoma: A case study. Molecular and Clinical Oncology, 5, 161-164. https://doi.org/10.3892/mco.2016.891
MLA
Samal, F., Stanek, L., Filip, M., Haninec, P., Vícha, A., Musil, Z., Tesarova, P., Petruzelka, L., Springer, D., Kralickova, M., Kohoutova, M., Zima, T."Complete diagnostics and clinical approach for a female patient with unusual glioblastoma: A case study". Molecular and Clinical Oncology 5.1 (2016): 161-164.
Chicago
Samal, F., Stanek, L., Filip, M., Haninec, P., Vícha, A., Musil, Z., Tesarova, P., Petruzelka, L., Springer, D., Kralickova, M., Kohoutova, M., Zima, T."Complete diagnostics and clinical approach for a female patient with unusual glioblastoma: A case study". Molecular and Clinical Oncology 5, no. 1 (2016): 161-164. https://doi.org/10.3892/mco.2016.891
Follow us
  • Twitter
  • LinkedIn
  • Facebook
About
  • Spandidos Publications
  • Careers
  • Cookie Policy
  • Privacy Policy
How can we help?
  • Help
  • Live Chat
  • Contact
  • Email to our Support Team