Spandidos Publications Logo
  • About
    • About Spandidos
    • Aims and Scopes
    • Abstracting and Indexing
    • Editorial Policies
    • Reprints and Permissions
    • Job Opportunities
    • Terms and Conditions
    • Contact
  • Journals
    • All Journals
    • Oncology Letters
      • Oncology Letters
      • Information for Authors
      • Editorial Policies
      • Editorial Board
      • Aims and Scope
      • Abstracting and Indexing
      • Bibliographic Information
      • Archive
    • International Journal of Oncology
      • International Journal of Oncology
      • Information for Authors
      • Editorial Policies
      • Editorial Board
      • Aims and Scope
      • Abstracting and Indexing
      • Bibliographic Information
      • Archive
    • Molecular and Clinical Oncology
      • Molecular and Clinical Oncology
      • Information for Authors
      • Editorial Policies
      • Editorial Board
      • Aims and Scope
      • Abstracting and Indexing
      • Bibliographic Information
      • Archive
    • Experimental and Therapeutic Medicine
      • Experimental and Therapeutic Medicine
      • Information for Authors
      • Editorial Policies
      • Editorial Board
      • Aims and Scope
      • Abstracting and Indexing
      • Bibliographic Information
      • Archive
    • International Journal of Molecular Medicine
      • International Journal of Molecular Medicine
      • Information for Authors
      • Editorial Policies
      • Editorial Board
      • Aims and Scope
      • Abstracting and Indexing
      • Bibliographic Information
      • Archive
    • Biomedical Reports
      • Biomedical Reports
      • Information for Authors
      • Editorial Policies
      • Editorial Board
      • Aims and Scope
      • Abstracting and Indexing
      • Bibliographic Information
      • Archive
    • Oncology Reports
      • Oncology Reports
      • Information for Authors
      • Editorial Policies
      • Editorial Board
      • Aims and Scope
      • Abstracting and Indexing
      • Bibliographic Information
      • Archive
    • Molecular Medicine Reports
      • Molecular Medicine Reports
      • Information for Authors
      • Editorial Policies
      • Editorial Board
      • Aims and Scope
      • Abstracting and Indexing
      • Bibliographic Information
      • Archive
    • World Academy of Sciences Journal
      • World Academy of Sciences Journal
      • Information for Authors
      • Editorial Policies
      • Editorial Board
      • Aims and Scope
      • Abstracting and Indexing
      • Bibliographic Information
      • Archive
    • International Journal of Functional Nutrition
      • International Journal of Functional Nutrition
      • Information for Authors
      • Editorial Policies
      • Editorial Board
      • Aims and Scope
      • Abstracting and Indexing
      • Bibliographic Information
      • Archive
    • International Journal of Epigenetics
      • International Journal of Epigenetics
      • Information for Authors
      • Editorial Policies
      • Editorial Board
      • Aims and Scope
      • Abstracting and Indexing
      • Bibliographic Information
      • Archive
    • Medicine International
      • Medicine International
      • Information for Authors
      • Editorial Policies
      • Editorial Board
      • Aims and Scope
      • Abstracting and Indexing
      • Bibliographic Information
      • Archive
  • Articles
  • Information
    • Information for Authors
    • Information for Reviewers
    • Information for Librarians
    • Information for Advertisers
    • Conferences
  • Language Editing
Spandidos Publications Logo
  • About
    • About Spandidos
    • Aims and Scopes
    • Abstracting and Indexing
    • Editorial Policies
    • Reprints and Permissions
    • Job Opportunities
    • Terms and Conditions
    • Contact
  • Journals
    • All Journals
    • Biomedical Reports
      • Information for Authors
      • Editorial Policies
      • Editorial Board
      • Aims and Scope
      • Abstracting and Indexing
      • Bibliographic Information
      • Archive
    • Experimental and Therapeutic Medicine
      • Information for Authors
      • Editorial Policies
      • Editorial Board
      • Aims and Scope
      • Abstracting and Indexing
      • Bibliographic Information
      • Archive
    • International Journal of Epigenetics
      • Information for Authors
      • Editorial Policies
      • Editorial Board
      • Aims and Scope
      • Abstracting and Indexing
      • Bibliographic Information
      • Archive
    • International Journal of Functional Nutrition
      • Information for Authors
      • Editorial Policies
      • Editorial Board
      • Aims and Scope
      • Abstracting and Indexing
      • Bibliographic Information
      • Archive
    • International Journal of Molecular Medicine
      • Information for Authors
      • Editorial Policies
      • Editorial Board
      • Aims and Scope
      • Abstracting and Indexing
      • Bibliographic Information
      • Archive
    • International Journal of Oncology
      • Information for Authors
      • Editorial Policies
      • Editorial Board
      • Aims and Scope
      • Abstracting and Indexing
      • Bibliographic Information
      • Archive
    • Medicine International
      • Information for Authors
      • Editorial Policies
      • Editorial Board
      • Aims and Scope
      • Abstracting and Indexing
      • Bibliographic Information
      • Archive
    • Molecular and Clinical Oncology
      • Information for Authors
      • Editorial Policies
      • Editorial Board
      • Aims and Scope
      • Abstracting and Indexing
      • Bibliographic Information
      • Archive
    • Molecular Medicine Reports
      • Information for Authors
      • Editorial Policies
      • Editorial Board
      • Aims and Scope
      • Abstracting and Indexing
      • Bibliographic Information
      • Archive
    • Oncology Letters
      • Information for Authors
      • Editorial Policies
      • Editorial Board
      • Aims and Scope
      • Abstracting and Indexing
      • Bibliographic Information
      • Archive
    • Oncology Reports
      • Information for Authors
      • Editorial Policies
      • Editorial Board
      • Aims and Scope
      • Abstracting and Indexing
      • Bibliographic Information
      • Archive
    • World Academy of Sciences Journal
      • Information for Authors
      • Editorial Policies
      • Editorial Board
      • Aims and Scope
      • Abstracting and Indexing
      • Bibliographic Information
      • Archive
  • Articles
  • Information
    • For Authors
    • For Reviewers
    • For Librarians
    • For Advertisers
    • Conferences
  • Language Editing
Login Register Submit
  • This site uses cookies
  • You can change your cookie settings at any time by following the instructions in our Cookie Policy. To find out more, you may read our Privacy Policy.

    I agree
Search articles by DOI, keyword, author or affiliation
Search
Advanced Search
presentation
Molecular and Clinical Oncology
Join Editorial Board Propose a Special Issue
Print ISSN: 2049-9450 Online ISSN: 2049-9469
Journal Cover
October-2016 Volume 5 Issue 4

Full Size Image

Sign up for eToc alerts
Recommend to Library

Journals

International Journal of Molecular Medicine

International Journal of Molecular Medicine

International Journal of Molecular Medicine is an international journal devoted to molecular mechanisms of human disease.

International Journal of Oncology

International Journal of Oncology

International Journal of Oncology is an international journal devoted to oncology research and cancer treatment.

Molecular Medicine Reports

Molecular Medicine Reports

Covers molecular medicine topics such as pharmacology, pathology, genetics, neuroscience, infectious diseases, molecular cardiology, and molecular surgery.

Oncology Reports

Oncology Reports

Oncology Reports is an international journal devoted to fundamental and applied research in Oncology.

Experimental and Therapeutic Medicine

Experimental and Therapeutic Medicine

Experimental and Therapeutic Medicine is an international journal devoted to laboratory and clinical medicine.

Oncology Letters

Oncology Letters

Oncology Letters is an international journal devoted to Experimental and Clinical Oncology.

Biomedical Reports

Biomedical Reports

Explores a wide range of biological and medical fields, including pharmacology, genetics, microbiology, neuroscience, and molecular cardiology.

Molecular and Clinical Oncology

Molecular and Clinical Oncology

International journal addressing all aspects of oncology research, from tumorigenesis and oncogenes to chemotherapy and metastasis.

World Academy of Sciences Journal

World Academy of Sciences Journal

Multidisciplinary open-access journal spanning biochemistry, genetics, neuroscience, environmental health, and synthetic biology.

International Journal of Functional Nutrition

International Journal of Functional Nutrition

Open-access journal combining biochemistry, pharmacology, immunology, and genetics to advance health through functional nutrition.

International Journal of Epigenetics

International Journal of Epigenetics

Publishes open-access research on using epigenetics to advance understanding and treatment of human disease.

Medicine International

Medicine International

An International Open Access Journal Devoted to General Medicine.

Journal Cover
October-2016 Volume 5 Issue 4

Full Size Image

Sign up for eToc alerts
Recommend to Library

  • Article
  • Citations
    • Cite This Article
    • Download Citation
    • Create Citation Alert
    • Remove Citation Alert
    • Cited By
  • Similar Articles
    • Related Articles (in Spandidos Publications)
    • Similar Articles (Google Scholar)
    • Similar Articles (PubMed)
  • Download PDF
  • Download XML
  • View XML
Article Open Access

Expression of the glucocorticoid receptor in breast cancer‑associated fibroblasts

  • Authors:
    • Xavier Catteau
    • Philippe Simon
    • Frédéric Buxant
    • Jean‑Christophe Noël
  • View Affiliations / Copyright

    Affiliations: Department of Pathology, Tivoli University Hospital‑Free University of Brussels, La Louvière, Belgium, Department of Pathology, Erasme University Hospital‑Free University of Brussels, Brussels, Belgium, Gynaecology Unit, Iris South Hospital‑Free University of Brussels, Brussels, Belgium
    Copyright: © Catteau et al. This is an open access article distributed under the terms of Creative Commons Attribution License.
  • Pages: 372-376
    |
    Published online on: August 4, 2016
       https://doi.org/10.3892/mco.2016.975
  • Expand metrics +
Metrics: Total Views: 0 (Spandidos Publications: | PMC Statistics: )
Metrics: Total PDF Downloads: 0 (Spandidos Publications: | PMC Statistics: )
Cited By (CrossRef): 0 citations Loading Articles...

This article is mentioned in:



Abstract

Cancer‑ associated fibroblasts (CAFs) are actively involved in breast carcinoma. Our previous study demonstrated that the majority of these CAFs were smooth muscle actin (SMA) positive and were therefore termed peritumoral myofibroblast (PMY). Glucocorticoid, linked or not with its receptor (GR), has been postulated to serve a major role in normal breast and breast carcinoma; however, their role in CAFs remains poorly understood. The aim of the present study was to assess the presence of GR in breast CAFs and particularly in PMY in 56 cases of invasive breast carcinoma in correlation with clinicopathological parameters, by immunohistochemistry. GR was observed in CAFs in 51 cases (91%) and were more frequent in luminal A subtype (19/19 cases; 100%). The stromal expression was statistically correlated with the tumor grade (P=0.03), the Ki‑67 index (P=0.003) and the presence of GR in the epithelial component (P=0.01). The demonstration of a frequent expression of GR in breast CAFs may serve as an interesting target for future therapeutics for the regulation of the tumoral breast microenvironment.

Introduction

Glucocorticoids (GCs) are essential for survival and serve a major role in embryonic development, tissue homeostasis and in the regulation of the inflammatory response (1,2). In breast, the functions of GCs are complex and depend, in part, if they are linked to their receptor (GR) and consist of the control of milk secretion, differentiation and apoptosis (3). Morphologically, previous studies have demonstrated that GR nuclear expression is observed both in normal breast, in situ carcinoma and less frequently in invasive carcinoma (4–7). In invasive tumors, their expression is limited in tumors with a small size, low grade, good prognosis and expressing estrogen receptor (ER) (4,7). In addition, our previous study clearly demonstrated that dexamethasone has an antiproliferative effect in the MCF-7 breast cells that express GR (8).

Over previous years, the tumor-associated stroma and, in particular, the cancer associated fibroblasts (CAFs) have been demonstrated to serve a crucial role in cancer pathogenesis (9,10).

Our previous study clearly demonstrated that the majority of these CAFs were smooth muscle actin (SMA)-positive with a myofibroblastic-like phenotype and that the presence of these peritumoral myofibroblasts (PMY) is important both in situ and in invasive breast carcinoma of no special type (11). This is also important in metastatic disease by promoting tumor invasion, growth and angiogenesis through paracrine factors and/or direct cell-cell crosstalk (11–13).

Our previous study demonstrated the presence of ER or progesterone receptors (PR); however, the presence and potential role of GR is poorly understood in breast carcinoma PMYs (4).

Therefore, the present study aimed to assess, by immunohistochemistry, the presence or absence of GR in breast CAFs and in CAFs smooth muscle positive/PMY in correlation with clinicopathological variables. Investigating this may assist with elucidating the role of GR in breast carcinoma.

Materials and methods

Patient selection

Breast tissue samples were retrieved from the Departments of Pathology at the Erasme Hospital and IRIS South Hospital (Brussels, Belgium), and consisted of 56 cases of invasive carcinoma. The present study was approved by the Ethics Committee from Erasme University Hospital (no. P2014/418).

Immunohistochemistry

The immunohistochemical assessment of ER, PR, Ki-67 and human epidermal growth factor receptor (HER)2 was routinely performed using an antigen retrieval method using the Leica BOND-III fully automated system (Leica Microsystems, Ltd., Newcastle, UK), as previously described (4). According to these parameters, carcinoma were divided into five groups, as previously described (14): Luminal A (n=19), Luminal B (n=12), HER2+/ER+ (n=7), HER2+/ER- (n=9) and triple negative (n=9). In addition, the following parameters were also included for each patient: Age, stage, tumoral size and lymph node status. All parameters are shown in the Table I.

Table I.

Association of clinicopathological characteristics with immunohistochemical levels of GR in the peritumoral stroma.

Table I.

Association of clinicopathological characteristics with immunohistochemical levels of GR in the peritumoral stroma.

GT expression in the stroma

CharacteristicNo. cases (%)StrongWeakNegativeP-value
Age, years 0.56
  ≤5024 (43)1851
  >5032 (57)2354
Tumor size, mm 1
  <2028 (50)2152
  ≥2028 (50)2053
Stage 0.81
  T128 (50)2152
  T221 (37.5)1533
  T37 (12.5)520
Tumor grade 0.03
  Grade 110 (17.9)1000
  Grade 222 (39.2)1282
  Grade 324 (42.9)1923
Lymph node status 0.19
  Negative29 (51.8)2441
  Positive27 (48.2)1764
ER status 0.64
  Negative18 (32.1)1422
  Positive38 (67.9)2783
PR status 0.39
  Negative23 (41.1)1562
  Positive33 (58.9)2643
Ki-67 index, % 0.003
  ≤1419 (33.9)1900
  >1437 (66.1)22105
HER 2 status 0.2
  Negative40 (71.4)3172
  Positive16 (28.6)1033
Intrinsic subtype 0.189
  Luminal A19 (33.9)1900
  Luminal B/HER2−12 (21.4)552
  Luminal B/HER2+7 (12.5)421
  HER2+9 (16.1)612
  Triple negative9 (16.1)720
GR status in glands 0.01
  Negative26 (46.4)1565
  Positive30 (53.6)2640

[i] P-values in bold are statistically significant (P<0.05). ER, estrogen receptor; PR, progesterone receptor; HER2, human epidermal growth factor receptor; GR, glucocorticoid receptor.

For the demonstration of GR, a manual technique was applied. Tissue sections (4 µm) were cut sequentially and mounted onto superfrost-treated slides (Menzel-Gläser, Braunschweig, Germany). The slides were dried overnight at 37°C prior to deparaffinization in xylene and rehydration through graded ethanols. For epitope retrieval, the slides were immersed in a waterbath at 95–99°C for 90 min with an ethylenediamine tetraacetic acid buffer (pH 9.0; S236; Dako Corp., Glostrup, Denmark). The slides were subsequently cooled in the buffer for 20 min at room temperature. H2O2 (0.3%) was subsequently added to the slides and incubated for 30 min. The tissues were then incubated for 1 h with a monoclonal antibody against the N-terminus of the GR (clone 4H2; cat. no. NCL-GCR; 1:25; Novocastra Laboratories, Newcastle, UK) (4).

Double immunostaining

In addition, for the specific visualization of the expression of ER/PR and GR in SMA-positive CAFs, a double stain was also performed by using the EnVision G/2 double stain system (Dako Corp.), as previously described (15). The same monoclonal antibodies (ER, PR and GR) described above were applied to rehydrated paraffin tissue sections and allowed to incubate for 1 h at room temperature. Endogenous peroxidase was inhibited and 3,3′-diaminobenzidine was used to visualize the binding of these primary antibodies. The sections were subsequently incubated for 1 h with a secondary antibody against SMA (clone αSM-1; 1:50; Novocastra Laboratories, Newcastle, UK). Alkaline phosphatase-conjugated secondary antibody and fuchsin as substrate chromogen system were used to complete the secondary immunostain. Negative controls used the replacement of the different primary antibodies with the corresponding isotypes. In addition, to ensure the absence of PMY in the normal breast, 10 cases of normal breast tissue from patients who underwent plastic surgery were also included.

Immunohistochemical evaluation

All the slides were examined by two independent observers (Xavier Catteau and Jean-Christophe Noël) and the evaluation of ER, PR and GR was made independently by the two pathologists using the Allred score (16), and estimated the proportion of positive CAFs (0, no positive cells; 1, ≤1; 2, 1–10; 3, 11–33; 4, 34–66; 5, 67–100% positive cells) and the average staining intensity (0, negative; 1, weak; 2, Intermediate; 3, strong). The proportion score and the intensity score were added to obtain a total score ranging from 0–8. Subsequently, three grades of immunoreactivity were established: Score 0–2, negative; score 3–4, weak positivity; score 5–8, strong positivity.

Statistical analysis

The correlation analysis was performed. χ2-test and Fisher's exact test were used. All statistical analyses were performed using XLSTAT software (Addinsoft, Paris, France). P<0.05 was considered to indicate a statistically significant difference.

Results

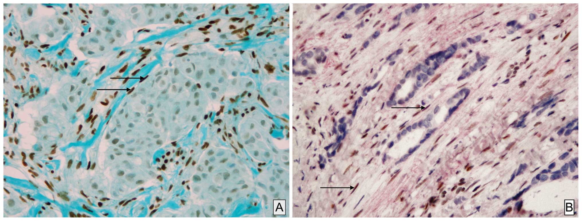
Weak or strong expression of GR in CAFs was observed in 10 cases (18%) and 41 cases (73%), respectively. A total of 5 cases were negative (5%; Table I). The stromal expression was frequent in luminal A tumor (100% of cases; Fig. 1A) and is statistically correlated with the tumor grade (P=0.03), the Ki-67 index (P=0.003) and GR status in glandular/carcinomatous component (P=0.01); however, was not correlated with age, tumor size, lymph node status and the expression of ER or PR, at least with a positive status for the latest as ≥1% in accordance with the World Health Organization recommendations (Table I). The double stain immunohistochemistry confirming unequivocally that among these CAFs, SMA-positive PMY clearly showed a nuclear staining of GR (Fig. 1B).

Figure 1.

Immunohistochemical staining of CAFs. (A) A typical example of glucocorticoid receptor in CAFs (arrows). Note the strong immunoreactivity score of these cells by comparison with the epithelial carcinomatous component, which is negative (magnification, ×10). (B) The double staining immunohistochemistry confirmed the positivity of these nuclear receptors (brown) in α-smooth muscle actin positive CAFs/peritumoral myofibroblats stained in red (arrow) (magnification, ×40). The immunoreactivity for glucocorticoid receptor is moderate. CAF, cancer associated fibroblast.

Discussion

For numerous years, the majority of studies in breast carcinoma have been focused predominantly on the epithelial component; however, recently CAFs and in particular CAFs SMA-positive PMY have been demonstrated to serve an important role in cancer pathogenesis as a result of paracrine cross-interaction between these and epithelial cancer cells. Indeed CAFs/PMY are able to secrete various factors implicated in invasion, matrix remodeling, cell proliferation, differentiation and apoptosis. In breast carcinoma, the hormonal regulation of epithelial cells is well documented and is the result of interaction between estrogen and progesterone, and their respective receptors, at least in hormone-dependent tumor types (16,17). The role of GCs in normal breast is more controversial and likely depends on the balance between targets of linked and non-linked GR with opposing functions: linked GR being involved in maintaining functional differentiation and non-linked GR appearing to be proapoptotic (3,6). In breast carcinoma, the GCs acting through their nuclear receptors are considered as a potential tumor suppressor promoting accurate chromosome segregation during mitosis occurring tumoral cell division (6,18,19). Indeed, according to these data, our previous study demonstrated an antiproliferative effect of dexamethosone in the MCF-7 breast cancer cells line that contains nuclear GR (8). The underlying mechanisms of hormonal regulation of CAFs/PMY remain to be determined; however, our previous study and other previous studies have clearly demonstrated that ER and PR were not present in these cells.

By contrast, the present study clearly demonstrated the presence of a marked GC nuclear immunoreactivity of CAFs in 73% of cases. In addition, this strong immunoreactivity was demonstrated by double labeling in CAFs SMA-positive PMY (Fig. 1) for the first time, to the best of our knowledge. This strong CAFs immunoreactivity was typically more frequent in luminal A (100%) compared with in other subtypes. In addition, it appeared to be correlated with different conventional clinicopathological parameters, including the grade (P=0.03) and Ki-67 index (P=0.003). The CR expression in CAFs was also more frequent when these receptors were present in the carcinomatous counterpart (P=0.01). These data suggested that, as previously shown for matrix metalloproteinase-2, the characteristics and properties of CAFs present in breast carcinoma microenvironment are probably complex and different from one subtype to another (10,20–22).

GCs are considered as agents capable of regulating the proliferation of myofibroblasts in different pathologies where they serve a major role as wound healing or asthma (23,24). Previously, in a myofibroblast cell line associated with colonic carcinoma, dexamethasone inhibited the expression of different classical procarcinogenic factors, including tenascin C, hepatocyte growth factor and transforming growth factor-β, in a receptor-dependent manner (25).

The present data are interesting since over the last few years it appears that in addition to the development concerning the classical therapies (hormone therapies, chemotherapies and immunotherapies), the peritumoral stroma served as potential target therapy in various carcinomas (9,24,25). Finally, even if it remains hypothetical, it has been postulated that the stress through GCs can be a promoting agent in breast cancer (26,27). From this point of view, demonstrating the presence of GR in the CAFs may be important.

The demonstration of a frequent expression of GR in breast CAFs may serve as an interesting target for future therapy in the regulation of the tumoral breast microenvironment. Naturally, future research is required, firstly to establish with larger cohorts the assocaition between the presence of GR in CAFs and the overall survival, and to understand how a therapy may influence the CAF associated with breast carcinoma. Such investigations are in progress.

Acknowledgements

The authors would like to thank Mrs. Isabelle Fayt and Mrs. Nadège De Kindt for their excellent technical work. The present study was supported by the Institut de Recherche Scientifique de Pathologie et de Génétique.

References

1 

Hollenberg SM, Weinberger C, Ong ES, Cerelli G, Oro A, Lebo R, Thompson EB, Rosenfeld MG and Evans RM: Primary structure and expression of a functional human glucocorticoid receptor cDNA. Nature. 318:635–641. 1985. View Article : Google Scholar : PubMed/NCBI

2 

ArangoLievano M, Lambert WM and Jeanneteau F: Molecular biology of glucocorticoid signaling. Adv Exp Med Biol. 872:33–57. 2015. View Article : Google Scholar : PubMed/NCBI

3 

Ritter HD and Mueller CR: Expression microarray identifies the unliganded glucocorticoid receptor as a regulator of gene expression in mammary epithelial cells. BMC Cancer. 14:2752014. View Article : Google Scholar : PubMed/NCBI

4 

Buxant F, EngohanAloghe C and Noël JC: Estrogen receptor, progesterone receptor, and glucocorticoid receptor expression in normal breast tissue, breast in situ carcinoma, and invasive breast cancer. Appl Immunohistochem Mol Morphol. 18:254–257. 2010. View Article : Google Scholar : PubMed/NCBI

5 

Lien HC, Lu YS, Cheng AL, Chang WC, Jeng YM, Kuo YH, Huang CS, Chang KJ and Yao YT: Differential expression of glucocorticoid receptor in human breast tissues and related neoplasms. J Pathol. 209:317–327. 2006. View Article : Google Scholar : PubMed/NCBI

6 

Vilasco M, Communal L, Mourra N, Courtin A, Forgez P and Gompel A: Glucocorticoid receptor and breast cancer. Breast Cancer Res Treat. 130:1–10. 2011. View Article : Google Scholar : PubMed/NCBI

7 

Abduljabbar R, Negm OH, Lai CF, Jerjees DA, AlKaabi M, Hamed MR, Tighe PJ, Buluwela L, Mukherjee A, Green AR, Ali S, et al: Clinical and biological significance of glucocorticoid receptor (GR) expression in breast cancer. Breast Cancer Res Treat. 150:335–346. 2015. View Article : Google Scholar : PubMed/NCBI

8 

Buxant F, Kindt N, Laurent G, Noël JC and Saussez S: Antiproliferative effect of dexamethasone in the MCF-7 breast cancer cell line. Mol Med Rep. 12:4051–4054. 2015.PubMed/NCBI

9 

Otranto M, Sarrazy V, Bonté F, Hinz B, Gabbiani G and Desmoulière A: The role of the myofibroblast in tumor stroma remodeling. Cell Adh Migr. 6:203–219. 2012. View Article : Google Scholar : PubMed/NCBI

10 

Gandellini P, Andriani F, Merlino G, D'Aiuto F, Roz L and Callari M: Complexity in the tumour microenvironment: Cancer associated fibroblast gene expression patterns identify both common and unique features of tumour-stroma crosstalk across cancer types. Semin Cancer Biol. 35:96–106. 2015. View Article : Google Scholar : PubMed/NCBI

11 

Catteau X, Simon P, Vanhaeverbeek M and Noël JC: Variable stromal periductular expression of CD34 and smooth muscle actin (SMA) in intraductal carcinoma of the breast. PLoS One. 8:e577732013. View Article : Google Scholar : PubMed/NCBI

12 

Catteau X, Simon P and Noël JC: Myofibroblastic stromal reaction and lymph node status in invasive breast carcinoma: Possible role of the TGF-β1/TGF-βR1 pathway. BMC Cancer. 14:4992014. View Article : Google Scholar : PubMed/NCBI

13 

Catteau X, Simon P and Noël JC: Myofibroblastic reaction is a common event in metastatic disease of breast carcinoma: A descriptive study. Diagn Pathol. 9:1962014. View Article : Google Scholar : PubMed/NCBI

14 

Preat F, Simon P and Noel JC: Differences in breast carcinoma immunohistochemical subtypes between immigrant Arab and European women. Diagn Pathol. 9:262014. View Article : Google Scholar : PubMed/NCBI

15 

Noel JC, Fayt I and Buxant F: Proliferating activity in paget disease of the nipple. Pathol Oncol Res. 16:7–10. 2010. View Article : Google Scholar : PubMed/NCBI

16 

Allred DC, Harvey JM, Berardo M and Clark GM: Prognostic and predictive factors in breast cancer by immunohistochemical analysis. Mod Pathol. 11:155–168. 1998.PubMed/NCBI

17 

Senkus E, Kyriakides S, Ohno S, PenaultLlorca F, Poortmans P, Rutgers E, Zackrisson S and Cardoso F: ESMO Guidelines Committee: Primary breast cancer: ESMO clinical practice guidelines for diagnosis, treatment and follow-up. Ann Oncol. 26(Suppl 5): v8–v30. 2015. View Article : Google Scholar : PubMed/NCBI

18 

MitreAguilar IB, CabreraQuintero AJ and Zentella-Dehesa A: Genomic and non-genomic effects of glucocorticoids: Implications for breast cancer. Int J Clin Exp Pathol. 8:1–10. 2015.PubMed/NCBI

19 

Matthews LC, Berry AA, Morgan DJ, Poolman TM, Bauer K, Kramer F, Spiller DG, Richardson RV, Chapman KE, Farrow SN, et al: Glucocorticoid receptor regulates accurate chromosome segregation and is associated with malignancy. Proc Natl Acad Sci USA. 112:5479–5484. 2015. View Article : Google Scholar : PubMed/NCBI

20 

Rønnov-Jessen L and Bissell MJ: Breast cancer by proxy: Can the microenvironment be both the cause and consequence? Trends Mol Med. 15:5–13. 2009. View Article : Google Scholar : PubMed/NCBI

21 

Karagiannis GS, Poutahidis T, Erdman SE, Kirsch R, Riddell RH and Diamandis EP: Cancer-associated fibroblasts drive the progression of metastasis through both paracrine and mechanical pressure on cancer tissue. Mol Cancer Res. 10:1403–1418. 2012. View Article : Google Scholar : PubMed/NCBI

22 

Powell DW: Myofibroblasts: Paracrine cells important in health and disease. Trans Am Clin Climatol Assoc. 111:271–292; discussion 292-293. 2000.PubMed/NCBI

23 

Hinz B, Phan SH, Thannickal VJ, Prunotto M, Desmoulière A, Varga J, De Wever O, Mareel M and Gabbiani G: Recent developments in myofibroblast biology: Paradigms for connective tissue remodeling. Am J Pathol. 180:1340–1355. 2012. View Article : Google Scholar : PubMed/NCBI

24 

Grose R and Werner S, Kessler D, Tuckermann J, Huggel K, Durka S, Reichardt HM and Werner S: A role for endogenous glucocorticoids in wound repair. EMBO Rep. 3:575–582. 2002. View Article : Google Scholar : PubMed/NCBI

25 

Drebert Z, Bracke M and Beck IM: Glucocorticoids and the non-steroidal selective glucocorticoid receptor modulator, compound A, differentially affect colon cancer-derived myofibroblasts. J Steroid Biochem Mol Biol. 149:92–105. 2015. View Article : Google Scholar : PubMed/NCBI

26 

Michael YL, Carlson NE, Chlebowski RT, Aickin M, Weihs KL, Ockene JK, Bowen DJ and Ritenbaugh C: Influence of stressors on breast cancer incidence in the Women's Health Initiative. Health Psychol. 28:137–146. 2009. View Article : Google Scholar : PubMed/NCBI

27 

Antonova L, Aronson K and Mueller CR: Stress and breast cancer: From epidemiology to molecular biology. Breast Cancer Res. 13:2082011. View Article : Google Scholar : PubMed/NCBI

Related Articles

  • Abstract
  • View
  • Download
  • Twitter
Copy and paste a formatted citation
Spandidos Publications style
Catteau X, Simon P, Buxant F and Noël JC: Expression of the glucocorticoid receptor in breast cancer‑associated fibroblasts. Mol Clin Oncol 5: 372-376, 2016.
APA
Catteau, X., Simon, P., Buxant, F., & Noël, J. (2016). Expression of the glucocorticoid receptor in breast cancer‑associated fibroblasts. Molecular and Clinical Oncology, 5, 372-376. https://doi.org/10.3892/mco.2016.975
MLA
Catteau, X., Simon, P., Buxant, F., Noël, J."Expression of the glucocorticoid receptor in breast cancer‑associated fibroblasts". Molecular and Clinical Oncology 5.4 (2016): 372-376.
Chicago
Catteau, X., Simon, P., Buxant, F., Noël, J."Expression of the glucocorticoid receptor in breast cancer‑associated fibroblasts". Molecular and Clinical Oncology 5, no. 4 (2016): 372-376. https://doi.org/10.3892/mco.2016.975
Copy and paste a formatted citation
x
Spandidos Publications style
Catteau X, Simon P, Buxant F and Noël JC: Expression of the glucocorticoid receptor in breast cancer‑associated fibroblasts. Mol Clin Oncol 5: 372-376, 2016.
APA
Catteau, X., Simon, P., Buxant, F., & Noël, J. (2016). Expression of the glucocorticoid receptor in breast cancer‑associated fibroblasts. Molecular and Clinical Oncology, 5, 372-376. https://doi.org/10.3892/mco.2016.975
MLA
Catteau, X., Simon, P., Buxant, F., Noël, J."Expression of the glucocorticoid receptor in breast cancer‑associated fibroblasts". Molecular and Clinical Oncology 5.4 (2016): 372-376.
Chicago
Catteau, X., Simon, P., Buxant, F., Noël, J."Expression of the glucocorticoid receptor in breast cancer‑associated fibroblasts". Molecular and Clinical Oncology 5, no. 4 (2016): 372-376. https://doi.org/10.3892/mco.2016.975
Follow us
  • Twitter
  • LinkedIn
  • Facebook
About
  • Spandidos Publications
  • Careers
  • Cookie Policy
  • Privacy Policy
How can we help?
  • Help
  • Live Chat
  • Contact
  • Email to our Support Team