International Journal of Molecular Medicine is an international journal devoted to molecular mechanisms of human disease.
International Journal of Oncology is an international journal devoted to oncology research and cancer treatment.
Covers molecular medicine topics such as pharmacology, pathology, genetics, neuroscience, infectious diseases, molecular cardiology, and molecular surgery.
Oncology Reports is an international journal devoted to fundamental and applied research in Oncology.
Experimental and Therapeutic Medicine is an international journal devoted to laboratory and clinical medicine.
Oncology Letters is an international journal devoted to Experimental and Clinical Oncology.
Explores a wide range of biological and medical fields, including pharmacology, genetics, microbiology, neuroscience, and molecular cardiology.
International journal addressing all aspects of oncology research, from tumorigenesis and oncogenes to chemotherapy and metastasis.
Multidisciplinary open-access journal spanning biochemistry, genetics, neuroscience, environmental health, and synthetic biology.
Open-access journal combining biochemistry, pharmacology, immunology, and genetics to advance health through functional nutrition.
Publishes open-access research on using epigenetics to advance understanding and treatment of human disease.
An International Open Access Journal Devoted to General Medicine.
Extramammary Paget's disease (EMPD) is a rare malignant skin tumor, which is considered to originate from cutaneous appendages and occurs in cutaneous areas bearing apocrine glands, such as the scrotum, vulva and axilla (1,2). Generally, the prognosis of EMPD is favorable if the primary lesion is completely resected and no metastases are present (1,2). However, the prognosis of the progressive and metastatic disease is poor (1,2), and data on the efficacy of cytotoxic chemotherapeutic agents in cases of advanced and/or metastatic EMPD are limited (3).
Several studies indicated that the tumor cells occasionally overexpress human epidermal growth factor receptor 2 (HER2) in patients with EMPD, at rates ranging from 15 to 65% (4–9). The humanized monoclonal antibody against HER2, trastuzumab, is expected to be effective in such cases. Indeed, several cases of advanced EMPD that exhibited a good response to trastuzumab, alone or combined with chemotherapy, were reported (10–14). However, there is currently insufficient evidence on the efficacy of treatment due to the rarity of the disease itself. We herein describe a case of HER2-positive and advanced vulvar EMPD, in which the primary tumor mass and lymph node metastasis regressed with combined trastuzumab and paclitaxel therapy for >2 years after initiation of treatment. The clinical course of this case is reported, along with a review of the relevant literature.
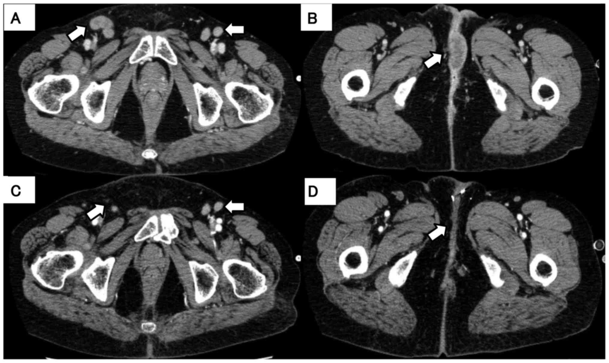
A 58-year-old woman was referred to the Shinshu University Hospital (Matsumoto, Japan) in August 2014 to receive further treatment for previously diagnosed EMPD. The findings of the physical examinations of the chest and abdomen were unremarkable, but a giant, slightly raised, erythematous and hemorrhagic granular lesion in the perineum and a mass on the inner thigh were identified (Fig. 1). Lower abdominal computed tomography (CT) revealed enlargement of the inguinal lesions, the mass in the perineum, and within the vagina (Fig. 2, arrows). The disease was initially diagnosed 12 years prior and the patient had undergone simple vulvectomy. The histological and immunohistochemical findings are presented in Fig. 3. However, the disease relapsed locally within the subsequent 4 years and the patient underwent vulvectomy twice and cystostomy. In addition, episioplasty was performed for incontinence as a postoperative complication. Two years after the last operation, the disease relapsed with a tumor measuring 4 cm. The patient refused further surgical treatment and was followed up. Four years later, the tumors had increased in size and the patient experienced pain and difficulty walking; she was then referred to our hospital to receive chemotherapy or alternative therapy. The patient had a history of breast cancer prior to the development of EMPD, which was completely resected, and has been followed up without any signs of relapse. Biopsy of the vulval lesion was performed and the pathological findings confirmed EMPD (Fig. 4A). Immunohistochemical analysis revealed that tumor cells were positive for HER2 and cytokeratin (CK) 7, and were negative for estrogen and progesterone receptors (Fig. 4B-E).
The patient was treated with trastuzumab plus paclitaxel. Trastuzumab was administered at a loading dose of 4 mg/kg followed by 2 mg/kg weekly in combination with weekly paclitaxel at 80 mg/m2. No adverse effects, such as cardiotoxicity, neurotoxicity, or hematotoxicity, have been observed to date. The tumors decreased in size and the inguinal lymph nodes disappeared 6 months after the initiation of chemotherapy (Fig. 2C and D). This treatment has been continued for 2 years and 6 months, with partial response and good control of the clinical condition.
We herein reported a case of HER2-positive advanced EMPD that responded successfully to trastuzumab and paclitaxel chemotherapy, achieving a prolonged disease-free period of >2 years after initiation of therapy. Kang et al (6) analyzed 246 Chinese male EMPD patients and reported that HER2-positive EMPD was observed at a rate of 65.1% based on immunohistological staining. Richter et al (7) also studied 39 patients with a histologically confirmed diagnosis of vulvar EMPD and reported that immunohistologically HER2-positive disease was observed in 58% of the cases. Two Japanese studies reported HER2 overexpression in 16 of 104 cases (15%) and 7 of 34 cases (19.4%) (4,5). Thus, the frequency of HER2 overexpression in Japanese patients appeared to be lower compared with that in reports from other countries. However, HER2 overexpression in these studies was correlated with biologically aggressive EMPD, i.e., local invasion and lymph node metastasis (4–9).
The patient presented herein had a history of resected breast cancer. The immunohistological findings were examined and the resected breast cancer was found to be negative for HER2 and CK7, suggesting that the EMPD was not a distant metastasis from the breast cancer and the biological profile was different between breast cancer and EMPD in the present case.
EMPD is a rare cutaneous malignant tumor, and analyses of HER2 overexpression or gene amplification in EMPD were performed in previously reported patients with surgically resected EMPD (4–9). Thus, there has been little clinical experience with advanced or metastatic EMPD. Indeed, there have been few reports regarding trastuzumab treatment in HER2-positive advanced or metastatic EMPD, with only five case reports identified in PubMed using the search terms ‘EMPD’ and ‘trastuzumab’ or ‘HER2’ (10–14). These previously reported cases are summarized in Table I. All the patients achieved a good response, but the observation time of treatment varied widely. Three cases involved trastuzumab monotherapy. It remains unclear whether the combination of cytotoxic drugs is beneficial for overall survival, progression-free survival, or response rate. Thus, further case studies of trastuzumab treatment for HER2-positive advanced EMPD are warranted, particularly focusing on the toxicities and/or time to progression.
Table I.Previous cases of extramammary Paget's disease treated with trastuzumab reported in the English literature. |
In summary, we herein described a case of advanced EMPD with a long disease-free survival period of 2 years and 6 months after the initiation of combination therapy with trastuzumab and paclitaxel. Our observations suggest that HER2 expression should be determined in patients with advanced and/or metastatic EMPD, and therapy with HER2 inhibitors should be considered as an option for the treatment of HER2-positive EMPD.
The patient provided written informed consent regarding the publication of the case details and associated images.
|
Kyriazanos ID, Stamos NP, Miliadis L, Noussis G and Stoidis CN: Extra-mammary Paget's disease of the perianal region: A review of the literature emphasizing the operative management technique. Surg Oncol. 20:e61–e71. 2011. View Article : Google Scholar : PubMed/NCBI | |
|
Parker LP, Parker JR, Bodurka-Bevers D, Deavers M, Bevers MW, Shen-Gunther J and Gershenson DM: Paget's disease of the vulva: Pathology, pattern of involvement, and prognosis. Gynecol Oncol. 77:183–189. 2000. View Article : Google Scholar : PubMed/NCBI | |
|
Tokuda Y, Arakura F and Uhara H: Combination chemotherapy of low-dose 5-fluorouracil and cisplatin for advanced extramammary Paget's disease. Int J Clin Oncol. 20:194–197. 2015. View Article : Google Scholar : PubMed/NCBI | |
|
Tanaka R, Sasajima Y, Tsuda H, Namikawa K, Tsutsumida A, Otsuka F and Yamazaki N: Human epidermal growth factor receptor 2 protein overexpression and gene amplification in extramammary Paget disease. Br J Dermatol. 168:1259–1266. 2013. View Article : Google Scholar : PubMed/NCBI | |
|
Ogawa T, Nagashima Y, Wada H, Akimoto K, Chiba Y, Nagatani T, Inayama Y, Yao M, Aoki I and Ikezawa Z: Extramammary Paget's disease: Analysis of growth signal pathway from the human epidermal growth factor receptor 2 protein. Hum Pathol. 36:1273–1280. 2005.PubMed/NCBI | |
|
Kang Z, Zhang Q, Zhang Q, Li X, Hu T, Xu X, Wu Z, Zhang X, Wang H, Xu J, et al: Clinical and pathological characteristics of extramammary Paget's disease: Report of 246 Chinese male patients. Int J Clin Exp Pathol. 8:13233–13240. 2015.PubMed/NCBI | |
|
Richter CE, Hui P, Buza N, Silasi DA, Azodi M, Santin AD, Schwartz PE and Rutherford TJ: HER-2/NEU overexpression in vulvar Paget disease: The Yale experience. J Clin Pathol. 63:544–547. 2010. View Article : Google Scholar : PubMed/NCBI | |
|
Keatings L, Sinclair J, Wright C, Corbett IP, Watchorn C, Hennessy C, Angus B, Lennard T and Horne CH: c-erbB-2 oncoprotein expression in mammary and extramammary Paget's disease: An immunohistochemical study. Histopathology. 17:243–247. 1990. View Article : Google Scholar : PubMed/NCBI | |
|
Plaza JA, Torres-Cabala C, Ivan D and Prieto VG: HER-2/neu expression in extramammary Paget disease: A clinicopathologic and immunohistochemistry study of 47 cases with and without underlying malignancy. J Cutan Pathol. 36:729–733. 2009. View Article : Google Scholar : PubMed/NCBI | |
|
Wakabayashi S, Togawa Y, Yoneyama K, Suehiro K, Kambe N and Matsue H: Dramatic cinical response of relapsed metastatic extramammary Paget's disease to trastuzumab monotherapy. Case Rep Dermatol Med. 2012:4013622012.PubMed/NCBI | |
|
Barth P, Dulaimi Al-Saleem E, Edwards KW, Millis SZ, Wong YN and Geynisman DM: Metastatic extramammary Paget's disease of scrotum responds completely to single agent trastuzumab in a hemodialysis patient: Case report, molecular profiling and brief review of the literature. Case Rep Oncol Med. 2015:8951512015.PubMed/NCBI | |
|
Karam A, Berek JS, Stenson A, Rao J and Dorigo O: HER-2/neu targeting for recurrent vulvar Paget's disease A case report and literature review. Gynecol Oncol. 111:568–571. 2008. View Article : Google Scholar : PubMed/NCBI | |
|
Hanawa F, Inozume T, Harada K, Kawamura T, Shibagaki N and Shimada S: A case of metastatic extramammary Paget's disease responding to trastuzumab plus paclitaxel combination therapy. Case Rep Dermatol. 3:223–227. 2011. View Article : Google Scholar : PubMed/NCBI | |
|
Takahagi S, Noda H, Kamegashira A, Madokoro N, Hori I, Shindo H, Mihara S and Hide M: Metastatic extramammary Paget's disease treated with paclitaxel and trastuzumab combination chemotherapy. J Dermatol. 36:457–461. 2009. View Article : Google Scholar : PubMed/NCBI |