Spandidos Publications Logo
  • About
    • About Spandidos
    • Aims and Scopes
    • Abstracting and Indexing
    • Editorial Policies
    • Reprints and Permissions
    • Job Opportunities
    • Terms and Conditions
    • Contact
  • Journals
    • All Journals
    • Oncology Letters
      • Oncology Letters
      • Information for Authors
      • Editorial Policies
      • Editorial Board
      • Aims and Scope
      • Abstracting and Indexing
      • Bibliographic Information
      • Archive
    • International Journal of Oncology
      • International Journal of Oncology
      • Information for Authors
      • Editorial Policies
      • Editorial Board
      • Aims and Scope
      • Abstracting and Indexing
      • Bibliographic Information
      • Archive
    • Molecular and Clinical Oncology
      • Molecular and Clinical Oncology
      • Information for Authors
      • Editorial Policies
      • Editorial Board
      • Aims and Scope
      • Abstracting and Indexing
      • Bibliographic Information
      • Archive
    • Experimental and Therapeutic Medicine
      • Experimental and Therapeutic Medicine
      • Information for Authors
      • Editorial Policies
      • Editorial Board
      • Aims and Scope
      • Abstracting and Indexing
      • Bibliographic Information
      • Archive
    • International Journal of Molecular Medicine
      • International Journal of Molecular Medicine
      • Information for Authors
      • Editorial Policies
      • Editorial Board
      • Aims and Scope
      • Abstracting and Indexing
      • Bibliographic Information
      • Archive
    • Biomedical Reports
      • Biomedical Reports
      • Information for Authors
      • Editorial Policies
      • Editorial Board
      • Aims and Scope
      • Abstracting and Indexing
      • Bibliographic Information
      • Archive
    • Oncology Reports
      • Oncology Reports
      • Information for Authors
      • Editorial Policies
      • Editorial Board
      • Aims and Scope
      • Abstracting and Indexing
      • Bibliographic Information
      • Archive
    • Molecular Medicine Reports
      • Molecular Medicine Reports
      • Information for Authors
      • Editorial Policies
      • Editorial Board
      • Aims and Scope
      • Abstracting and Indexing
      • Bibliographic Information
      • Archive
    • World Academy of Sciences Journal
      • World Academy of Sciences Journal
      • Information for Authors
      • Editorial Policies
      • Editorial Board
      • Aims and Scope
      • Abstracting and Indexing
      • Bibliographic Information
      • Archive
    • International Journal of Functional Nutrition
      • International Journal of Functional Nutrition
      • Information for Authors
      • Editorial Policies
      • Editorial Board
      • Aims and Scope
      • Abstracting and Indexing
      • Bibliographic Information
      • Archive
    • International Journal of Epigenetics
      • International Journal of Epigenetics
      • Information for Authors
      • Editorial Policies
      • Editorial Board
      • Aims and Scope
      • Abstracting and Indexing
      • Bibliographic Information
      • Archive
    • Medicine International
      • Medicine International
      • Information for Authors
      • Editorial Policies
      • Editorial Board
      • Aims and Scope
      • Abstracting and Indexing
      • Bibliographic Information
      • Archive
  • Articles
  • Information
    • Information for Authors
    • Information for Reviewers
    • Information for Librarians
    • Information for Advertisers
    • Conferences
  • Language Editing
Spandidos Publications Logo
  • About
    • About Spandidos
    • Aims and Scopes
    • Abstracting and Indexing
    • Editorial Policies
    • Reprints and Permissions
    • Job Opportunities
    • Terms and Conditions
    • Contact
  • Journals
    • All Journals
    • Biomedical Reports
      • Information for Authors
      • Editorial Policies
      • Editorial Board
      • Aims and Scope
      • Abstracting and Indexing
      • Bibliographic Information
      • Archive
    • Experimental and Therapeutic Medicine
      • Information for Authors
      • Editorial Policies
      • Editorial Board
      • Aims and Scope
      • Abstracting and Indexing
      • Bibliographic Information
      • Archive
    • International Journal of Epigenetics
      • Information for Authors
      • Editorial Policies
      • Editorial Board
      • Aims and Scope
      • Abstracting and Indexing
      • Bibliographic Information
      • Archive
    • International Journal of Functional Nutrition
      • Information for Authors
      • Editorial Policies
      • Editorial Board
      • Aims and Scope
      • Abstracting and Indexing
      • Bibliographic Information
      • Archive
    • International Journal of Molecular Medicine
      • Information for Authors
      • Editorial Policies
      • Editorial Board
      • Aims and Scope
      • Abstracting and Indexing
      • Bibliographic Information
      • Archive
    • International Journal of Oncology
      • Information for Authors
      • Editorial Policies
      • Editorial Board
      • Aims and Scope
      • Abstracting and Indexing
      • Bibliographic Information
      • Archive
    • Medicine International
      • Information for Authors
      • Editorial Policies
      • Editorial Board
      • Aims and Scope
      • Abstracting and Indexing
      • Bibliographic Information
      • Archive
    • Molecular and Clinical Oncology
      • Information for Authors
      • Editorial Policies
      • Editorial Board
      • Aims and Scope
      • Abstracting and Indexing
      • Bibliographic Information
      • Archive
    • Molecular Medicine Reports
      • Information for Authors
      • Editorial Policies
      • Editorial Board
      • Aims and Scope
      • Abstracting and Indexing
      • Bibliographic Information
      • Archive
    • Oncology Letters
      • Information for Authors
      • Editorial Policies
      • Editorial Board
      • Aims and Scope
      • Abstracting and Indexing
      • Bibliographic Information
      • Archive
    • Oncology Reports
      • Information for Authors
      • Editorial Policies
      • Editorial Board
      • Aims and Scope
      • Abstracting and Indexing
      • Bibliographic Information
      • Archive
    • World Academy of Sciences Journal
      • Information for Authors
      • Editorial Policies
      • Editorial Board
      • Aims and Scope
      • Abstracting and Indexing
      • Bibliographic Information
      • Archive
  • Articles
  • Information
    • For Authors
    • For Reviewers
    • For Librarians
    • For Advertisers
    • Conferences
  • Language Editing
Login Register Submit
  • This site uses cookies
  • You can change your cookie settings at any time by following the instructions in our Cookie Policy. To find out more, you may read our Privacy Policy.

    I agree
Search articles by DOI, keyword, author or affiliation
Search
Advanced Search
presentation
Molecular and Clinical Oncology
Join Editorial Board Propose a Special Issue
Print ISSN: 2049-9450 Online ISSN: 2049-9469
Journal Cover
September-2018 Volume 9 Issue 3

Full Size Image

Sign up for eToc alerts
Recommend to Library

Journals

International Journal of Molecular Medicine

International Journal of Molecular Medicine

International Journal of Molecular Medicine is an international journal devoted to molecular mechanisms of human disease.

International Journal of Oncology

International Journal of Oncology

International Journal of Oncology is an international journal devoted to oncology research and cancer treatment.

Molecular Medicine Reports

Molecular Medicine Reports

Covers molecular medicine topics such as pharmacology, pathology, genetics, neuroscience, infectious diseases, molecular cardiology, and molecular surgery.

Oncology Reports

Oncology Reports

Oncology Reports is an international journal devoted to fundamental and applied research in Oncology.

Experimental and Therapeutic Medicine

Experimental and Therapeutic Medicine

Experimental and Therapeutic Medicine is an international journal devoted to laboratory and clinical medicine.

Oncology Letters

Oncology Letters

Oncology Letters is an international journal devoted to Experimental and Clinical Oncology.

Biomedical Reports

Biomedical Reports

Explores a wide range of biological and medical fields, including pharmacology, genetics, microbiology, neuroscience, and molecular cardiology.

Molecular and Clinical Oncology

Molecular and Clinical Oncology

International journal addressing all aspects of oncology research, from tumorigenesis and oncogenes to chemotherapy and metastasis.

World Academy of Sciences Journal

World Academy of Sciences Journal

Multidisciplinary open-access journal spanning biochemistry, genetics, neuroscience, environmental health, and synthetic biology.

International Journal of Functional Nutrition

International Journal of Functional Nutrition

Open-access journal combining biochemistry, pharmacology, immunology, and genetics to advance health through functional nutrition.

International Journal of Epigenetics

International Journal of Epigenetics

Publishes open-access research on using epigenetics to advance understanding and treatment of human disease.

Medicine International

Medicine International

An International Open Access Journal Devoted to General Medicine.

Journal Cover
September-2018 Volume 9 Issue 3

Full Size Image

Sign up for eToc alerts
Recommend to Library

  • Article
  • Citations
    • Cite This Article
    • Download Citation
    • Create Citation Alert
    • Remove Citation Alert
    • Cited By
  • Similar Articles
    • Related Articles (in Spandidos Publications)
    • Similar Articles (Google Scholar)
    • Similar Articles (PubMed)
  • Download PDF
  • Download XML
  • View XML
Case Report

Higher efficacy and complete response with administration of eribulin for recurrent squamous cell breast carcinoma: A case report

  • Authors:
    • Yoshinari Goto
    • Takashi Yoshida
    • Morihiko Kimura
  • View Affiliations / Copyright

    Affiliations: Department of Breast Surgery, Ota Memorial Hospital, Otashi, Gunma 373-8585, Japan
  • Pages: 318-320
    |
    Published online on: July 19, 2018
       https://doi.org/10.3892/mco.2018.1676
  • Expand metrics +
Metrics: Total Views: 0 (Spandidos Publications: | PMC Statistics: )
Metrics: Total PDF Downloads: 0 (Spandidos Publications: | PMC Statistics: )
Cited By (CrossRef): 0 citations Loading Articles...

This article is mentioned in:



Abstract

Squamous cell carcinoma is a rare histological type of breast cancer classified as metaplastic carcinoma. Metaplastic carcinoma involves differentiation of the breast glandular duct cells into mesenchymal tissues. While the chemotherapy regimen for metaplastic carcinoma is often similar to that for invasive ductal carcinoma, recurrence is associated with a poor prognosis due to the inadequate therapeutic efficacy of the regimen. We herein present the case of a 42-year-old female patient who underwent mastectomy of the right breast and right axillary node lymphadenectomy for T4N3aM0 breast cancer stage. The cancer was histopathologically diagnosed as squamous cell carcinoma of the breast. Adjuvant cyclophosphamide-epirubicin-fluorouracil (CEF) postoperative chemotherapy was administered, and lymphadenectomy of right-sided parasternal lymphatic metastases with pleural drainage was subsequently performed. Radiotherapy was administered to the thoracic wall and supraclavicular lymph nodes at 60 Gy. Positron emission tomography (PET)‑computed tomography (CT) examination 3 months after the radiotherapy identified accumulation of fluorodeoxyglucose (FDG) in a supraclavicular lymph node and the thoracic wall; hence, a chemotherapeutic regimen with eribulin was initiated. At 11 months after initiation of eribulin, complete response was achieved, indicated by the absence of FDG accumulation in both the supraclavicular lymph node and the thoracic wall on PET-CT. The treatment efficacy of eribulin is considered to be a result of the mixed morphology of squamous cell carcinoma, including the presence of an epithelial component, such as adenocarcinoma cells, and a mesenchymal component, in the form of sarcomatoid cells. Eribulin displayed an effect similar to that of adriamycin against malignant soft tissue tumors and was shown to effectively target mesenchymal components. In cases of reduced expression of the DNA repair pathway components, such as in metaplastic carcinomas, eribulin may be more effective compared with adriamycin, the mechanism of action of which involves inhibition of DNA synthesis. A superior therapeutic effect was obtained with eribulin in squamous cell carcinoma. Therefore, eribulin appears to be a promising, effective therapeutic choice for the management of metaplastic carcinomas, including squamous cell carcinomas.

Introduction

Squamous cell carcinoma is a type of metaplastic carcinoma; metaplastic carcinoma is characterized as carcinoma of the breast ductal tissue and stratified squamous epithelial tissue followed by their consequent differentiation into bone, cartilage and osteocartilaginous tissue. It has been reported that metaplastic breast carcinoma accounts for <1% of all breast carcinomas, and it is characterized by large size, low incidence of lymphatic metastasis and high incidence of triple-negative phenotype (1–3). While chemotherapy for metaplastic carcinoma is commonly similar to that of invasive ductal carcinoma, a number of studies in the literature report a poor response to conventional chemotherapy (1,4,5). We herein report our experience with eribulin administration in a case of recurrent squamous cell carcinoma of the breast and discuss the relevant literature.

Case report

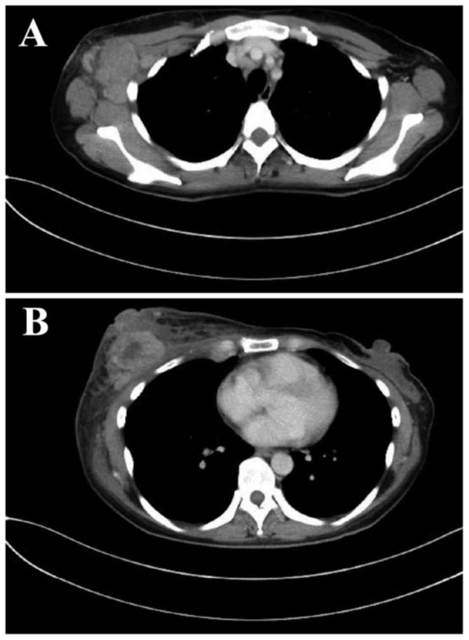
A 42-year-old woman with carcinoma of the right breast (T4N3aM0, stage IIIC) underwent mastectomy and level III axillary lymph node dissection (Fig. 1).

Figure 1.

Contrast-enhanced computed tomography examination prior to therapy revealed (A) metastasis to the axillary lymph nodes and (B) skin invasion by the tumor cells.

Pathological examination revealed squamous cell carcinoma negative for estrogen receptor, progesterone receptor and human epidermal growth factor receptor 2 (Fig. 2). Six cycles of postoperative adjuvant chemotherapy with cyclophosphamide 500 mg/m2, epirubicin 75 mg/m2 and fluorouracil 500 mg/m2 (CEF regimen) were administered, following which an increase in the size of the ipsilateral sternal lymph nodes was observed. No other metastatic lesions were found on computed tomography (CT) scans, and the patient was subjected to lymphadenectomy with pleural drainage. Pathological examination of the resected nodes demonstrated metastatic squamous cell carcinoma. Docetaxel (75 mg/m2) was administered as adjuvant therapy; however, allergic symptoms developed, including respiratory distress and palpitations, and docetaxel was discontinued. Radiotherapy to the right thoracic wall and the right supraclavicular lymph node (60 Gy) was next administered. However, enlargement of the ipsilateral supraclavicular lymph node was observed 3 months after radiotherapy. Lymphadenopathy (lymph node enlarged to 2 cm in diameter) was identified on ultrasound examination, and fine-needle aspiration cytology confirmed the presence of metastatic squamous cell carcinoma. Fluorodeoxyglucose positron emission tomography (FDG-PET)-CT revealed accumulation in the anterior thoracic wall close to the previous surgical site (Fig. 3). Consequently, eribulin (1.4 mg/m2) was administered as initial therapy. The lymph node was not palpable at 1 month after therapy initiation, and at 3 months after chemotherapy the enlargement had completely disappeared, as demonstrated on a CT examination. No metastatic lymph node or thoracic wall FDG accumulation was observed on PET-CT 11 months after treatment initiation (Fig. 4). After 17 months of treatment, the patient remained metastasis-free. During those 17 months, no major side effects were observed although peripheral neuropathy not affecting daily life grade 1 peripheral neurotoxicity occurred.

Figure 2.

Pathological examination revealed that the tumor was composed of acidophilic cells with intercellular bridges. Hematoxylin and eosin staining; magnification, ×200.

Figure 3.

Accumulation of fluorodeoxyglucose in (A) a supraclavicular lymph node and (B) the anterior thorax near the previous surgical site were confirmed by positron emission tomography-computed tomography prior to the initiation of chemotherapy.

Figure 4.

Positron emission tomography-computed tomography scan at 11 months after the initiation of chemotherapy confirmed the disappearance of FDG accumulation at (A) supraclavicular lymph node and (B) anterior thorax of previous surgical site.

Discussion

It is generally recommended that the protocols for the treatment of invasive ductal carcinoma of breast cancer are applied for the treatment of squamous cell carcinoma. However, poor efficacy of chemotherapy in recurrent carcinomas, including squamous cell carcinoma, has been reported to date. While previous studies have reported the use of anthracyclines and taxanes, to the best of our knowledge, there are yet no published reports on the efficacy of eribulin. We herein discuss the possible reasons for the observed effectiveness of eribulin in the treatment of metaplastic breast carcinoma.

In addition to its effectiveness against the epithelial component, it is possible that eribulin is also effective against the mesenchymal component of the carcinoma. Drug regimens including adriamycin, which is also indicated for soft tissue tumors with a mesenchymal component, have been reported to significantly prolong progression-free survival in metaplastic carcinomas compared with other regimens. Reduced incidence of hepatic metastasis has also been reported with the use of ifosfamide and etoposide, which are used for treating soft tissue tumors (6). In Study 309, eribulin was found to be effective against liposarcoma or leiomyosarcoma (7). Eribulin promotes DNA repair, the inhibition of which is characteristic of metaplastic carcinomas, and is thus considered a more effective therapeutic agent compared with adriamycin, of which the primary mechanism of action involves the inhibition of DNA synthesis.

Furthermore, in metaplastic carcinomas, tumors including squamous epithelial and sarcomatous components exhibit increased expression of TWIST and SNAIL 2 transcription factors, suggesting an association with epithelial-to-mesenchymal transition (EMT) (8,9). Reports indicate that the occurrence of EMT in cancer cells coincides with the development of resistance to various anticancer agents. Several anticancer agents have been reported to induce EMT and are considered to be involved in drug resistance. Albeit in an in vitro study, eribulin has been shown to inhibit Smad 2 and Smad 3 phosphorylation via transforming growth factor-β induction or MET inhibition. These characteristic mechanisms of action of eribulin are considered to contribute to the effectiveness of the therapy in the present case.

Acknowledgements

The authors would like to thank Shiro Sugihara for the pathological examinations and interpretations.

Funding

No funding was received.

Availability of data and materials

All data generated or analyzed during this study are included in this published article.

Authors' contributions

YG designed the study and wrote the initial draft of the manuscript. TY contributed to the analysis and interpretation of data and assisted in the preparation of the manuscript. MK critically reviewed the manuscript. All authors have read and approved the final version of the manuscript.

Ethics approval and consent to participate

The study was conducted in accordance with the principles of the Declaration of Helsinki.

Patient consent for publication

This patient and her family were informed that the data from her case would be submitted for publication and provided written informed consent.

Competing interests

The authors declare that they have no competing interests.

Glossary

Abbreviations

Abbreviations:

CEF

cyclophosphamide-epirubicin-fluorouracil

FDG-PET/CT

fluorodeoxyglucose positron emission tomography-computed tomography

EMT

epithelial-to-mesenchymal transition

TGF-β

transforming growth factor-β

References

1 

Rayson D, Adjei AA, Suman VJ, Wold LE and Ingle JN: Metaplastic breast cancer: prognosis and response to systemic therapy. Ann Oncol. 10:413–419. 1999. View Article : Google Scholar : PubMed/NCBI

2 

Pezzi CM, Patel-Parekh L, Cole K, Franko J, Klimberg VS and Bland K: Characteristics and treatment of metaplastic breast cancer: analysis of 892 cases from the National Cancer Data Base. Ann Surg Oncol. 14:166–173. 2007. View Article : Google Scholar : PubMed/NCBI

3 

Lee H, Jung SY, Ro JY, Kwon Y, Sohn JH, Park IH, Lee KS, Lee S, Kim SW, et al: Metaplastic breast cancer: clinicopathological features and its prognosis. J Clin Pathol. 65:441–446. 2012. View Article : Google Scholar : PubMed/NCBI

4 

Chen IC, Lin CH, Huang CS, Lien HC, Hsu C, Kuo WH, Lu YS, Cheng AL, et al: Lack of efficacy to systemic chemotherapy for treatment of metaplastic carcinoma of the breast in the modern era. Breast Cancer Res Treat. 130:345–351. 2011. View Article : Google Scholar : PubMed/NCBI

5 

Abouharb S and Moulder S: Metaplastic breast cancer: clinical overview and molecular aberrations for potential targeted therapy. Curr Oncol Rep. 17:4312015. View Article : Google Scholar : PubMed/NCBI

6 

Brown-Glaberman U, Graham A and Stopeck A: A case of metaplastic carcinoma of the breast responsive to chemotherapy with Ifosfamide and Etoposide: improved antitumor response by targeting sarcomatous features. Breast J J. 16:663–665. 2010. View Article : Google Scholar

7 

Schoffski P, Chawla S, Maki RG, Italiano A, Gelderblom H, Choy E, Grignani G, Camargo V, Bauer S, et al: Eribulin versus dacarbazine in previously treated patients with advanced liposarcoma or leiomyosarcoma: a randomised, open-label, multicentre, phase 3 trial. Lancet. 387:1629–1637. 2016. View Article : Google Scholar : PubMed/NCBI

8 

Karreth F and Tuveson DA: Twist induces an epithelial-mesenchymal transition to facilitate tumor metastasis. Cancer Biol Ther. 3:1058–1059. 2004. View Article : Google Scholar : PubMed/NCBI

9 

Valsesia-Wittmann S, Magdeleine M, Dupasquier S, Garin E, Jallas AC, Combaret V, Krause A, Leissner P and Puisieux A: Oncogenic cooperation between H-Twist and N-Myc overrides failsafe programs in cancer cells. Cancer Cell. 6:625–630. 2004. View Article : Google Scholar : PubMed/NCBI

Related Articles

  • Abstract
  • View
  • Download
  • Twitter
Copy and paste a formatted citation
Spandidos Publications style
Goto Y, Yoshida T and Kimura M: Higher efficacy and complete response with administration of eribulin for recurrent squamous cell breast carcinoma: A case report. Mol Clin Oncol 9: 318-320, 2018.
APA
Goto, Y., Yoshida, T., & Kimura, M. (2018). Higher efficacy and complete response with administration of eribulin for recurrent squamous cell breast carcinoma: A case report. Molecular and Clinical Oncology, 9, 318-320. https://doi.org/10.3892/mco.2018.1676
MLA
Goto, Y., Yoshida, T., Kimura, M."Higher efficacy and complete response with administration of eribulin for recurrent squamous cell breast carcinoma: A case report". Molecular and Clinical Oncology 9.3 (2018): 318-320.
Chicago
Goto, Y., Yoshida, T., Kimura, M."Higher efficacy and complete response with administration of eribulin for recurrent squamous cell breast carcinoma: A case report". Molecular and Clinical Oncology 9, no. 3 (2018): 318-320. https://doi.org/10.3892/mco.2018.1676
Copy and paste a formatted citation
x
Spandidos Publications style
Goto Y, Yoshida T and Kimura M: Higher efficacy and complete response with administration of eribulin for recurrent squamous cell breast carcinoma: A case report. Mol Clin Oncol 9: 318-320, 2018.
APA
Goto, Y., Yoshida, T., & Kimura, M. (2018). Higher efficacy and complete response with administration of eribulin for recurrent squamous cell breast carcinoma: A case report. Molecular and Clinical Oncology, 9, 318-320. https://doi.org/10.3892/mco.2018.1676
MLA
Goto, Y., Yoshida, T., Kimura, M."Higher efficacy and complete response with administration of eribulin for recurrent squamous cell breast carcinoma: A case report". Molecular and Clinical Oncology 9.3 (2018): 318-320.
Chicago
Goto, Y., Yoshida, T., Kimura, M."Higher efficacy and complete response with administration of eribulin for recurrent squamous cell breast carcinoma: A case report". Molecular and Clinical Oncology 9, no. 3 (2018): 318-320. https://doi.org/10.3892/mco.2018.1676
Follow us
  • Twitter
  • LinkedIn
  • Facebook
About
  • Spandidos Publications
  • Careers
  • Cookie Policy
  • Privacy Policy
How can we help?
  • Help
  • Live Chat
  • Contact
  • Email to our Support Team