Spandidos Publications Logo
  • About
    • About Spandidos
    • Aims and Scopes
    • Abstracting and Indexing
    • Editorial Policies
    • Reprints and Permissions
    • Job Opportunities
    • Terms and Conditions
    • Contact
  • Journals
    • All Journals
    • Oncology Letters
      • Oncology Letters
      • Information for Authors
      • Editorial Policies
      • Editorial Board
      • Aims and Scope
      • Abstracting and Indexing
      • Bibliographic Information
      • Archive
    • International Journal of Oncology
      • International Journal of Oncology
      • Information for Authors
      • Editorial Policies
      • Editorial Board
      • Aims and Scope
      • Abstracting and Indexing
      • Bibliographic Information
      • Archive
    • Molecular and Clinical Oncology
      • Molecular and Clinical Oncology
      • Information for Authors
      • Editorial Policies
      • Editorial Board
      • Aims and Scope
      • Abstracting and Indexing
      • Bibliographic Information
      • Archive
    • Experimental and Therapeutic Medicine
      • Experimental and Therapeutic Medicine
      • Information for Authors
      • Editorial Policies
      • Editorial Board
      • Aims and Scope
      • Abstracting and Indexing
      • Bibliographic Information
      • Archive
    • International Journal of Molecular Medicine
      • International Journal of Molecular Medicine
      • Information for Authors
      • Editorial Policies
      • Editorial Board
      • Aims and Scope
      • Abstracting and Indexing
      • Bibliographic Information
      • Archive
    • Biomedical Reports
      • Biomedical Reports
      • Information for Authors
      • Editorial Policies
      • Editorial Board
      • Aims and Scope
      • Abstracting and Indexing
      • Bibliographic Information
      • Archive
    • Oncology Reports
      • Oncology Reports
      • Information for Authors
      • Editorial Policies
      • Editorial Board
      • Aims and Scope
      • Abstracting and Indexing
      • Bibliographic Information
      • Archive
    • Molecular Medicine Reports
      • Molecular Medicine Reports
      • Information for Authors
      • Editorial Policies
      • Editorial Board
      • Aims and Scope
      • Abstracting and Indexing
      • Bibliographic Information
      • Archive
    • World Academy of Sciences Journal
      • World Academy of Sciences Journal
      • Information for Authors
      • Editorial Policies
      • Editorial Board
      • Aims and Scope
      • Abstracting and Indexing
      • Bibliographic Information
      • Archive
    • International Journal of Functional Nutrition
      • International Journal of Functional Nutrition
      • Information for Authors
      • Editorial Policies
      • Editorial Board
      • Aims and Scope
      • Abstracting and Indexing
      • Bibliographic Information
      • Archive
    • International Journal of Epigenetics
      • International Journal of Epigenetics
      • Information for Authors
      • Editorial Policies
      • Editorial Board
      • Aims and Scope
      • Abstracting and Indexing
      • Bibliographic Information
      • Archive
    • Medicine International
      • Medicine International
      • Information for Authors
      • Editorial Policies
      • Editorial Board
      • Aims and Scope
      • Abstracting and Indexing
      • Bibliographic Information
      • Archive
  • Articles
  • Information
    • Information for Authors
    • Information for Reviewers
    • Information for Librarians
    • Information for Advertisers
    • Conferences
  • Language Editing
Spandidos Publications Logo
  • About
    • About Spandidos
    • Aims and Scopes
    • Abstracting and Indexing
    • Editorial Policies
    • Reprints and Permissions
    • Job Opportunities
    • Terms and Conditions
    • Contact
  • Journals
    • All Journals
    • Biomedical Reports
      • Information for Authors
      • Editorial Policies
      • Editorial Board
      • Aims and Scope
      • Abstracting and Indexing
      • Bibliographic Information
      • Archive
    • Experimental and Therapeutic Medicine
      • Information for Authors
      • Editorial Policies
      • Editorial Board
      • Aims and Scope
      • Abstracting and Indexing
      • Bibliographic Information
      • Archive
    • International Journal of Epigenetics
      • Information for Authors
      • Editorial Policies
      • Editorial Board
      • Aims and Scope
      • Abstracting and Indexing
      • Bibliographic Information
      • Archive
    • International Journal of Functional Nutrition
      • Information for Authors
      • Editorial Policies
      • Editorial Board
      • Aims and Scope
      • Abstracting and Indexing
      • Bibliographic Information
      • Archive
    • International Journal of Molecular Medicine
      • Information for Authors
      • Editorial Policies
      • Editorial Board
      • Aims and Scope
      • Abstracting and Indexing
      • Bibliographic Information
      • Archive
    • International Journal of Oncology
      • Information for Authors
      • Editorial Policies
      • Editorial Board
      • Aims and Scope
      • Abstracting and Indexing
      • Bibliographic Information
      • Archive
    • Medicine International
      • Information for Authors
      • Editorial Policies
      • Editorial Board
      • Aims and Scope
      • Abstracting and Indexing
      • Bibliographic Information
      • Archive
    • Molecular and Clinical Oncology
      • Information for Authors
      • Editorial Policies
      • Editorial Board
      • Aims and Scope
      • Abstracting and Indexing
      • Bibliographic Information
      • Archive
    • Molecular Medicine Reports
      • Information for Authors
      • Editorial Policies
      • Editorial Board
      • Aims and Scope
      • Abstracting and Indexing
      • Bibliographic Information
      • Archive
    • Oncology Letters
      • Information for Authors
      • Editorial Policies
      • Editorial Board
      • Aims and Scope
      • Abstracting and Indexing
      • Bibliographic Information
      • Archive
    • Oncology Reports
      • Information for Authors
      • Editorial Policies
      • Editorial Board
      • Aims and Scope
      • Abstracting and Indexing
      • Bibliographic Information
      • Archive
    • World Academy of Sciences Journal
      • Information for Authors
      • Editorial Policies
      • Editorial Board
      • Aims and Scope
      • Abstracting and Indexing
      • Bibliographic Information
      • Archive
  • Articles
  • Information
    • For Authors
    • For Reviewers
    • For Librarians
    • For Advertisers
    • Conferences
  • Language Editing
Login Register Submit
  • This site uses cookies
  • You can change your cookie settings at any time by following the instructions in our Cookie Policy. To find out more, you may read our Privacy Policy.

    I agree
Search articles by DOI, keyword, author or affiliation
Search
Advanced Search
presentation
Molecular and Clinical Oncology
Join Editorial Board Propose a Special Issue
Print ISSN: 2049-9450 Online ISSN: 2049-9469
Journal Cover
December-2018 Volume 9 Issue 6

Full Size Image

Sign up for eToc alerts
Recommend to Library

Journals

International Journal of Molecular Medicine

International Journal of Molecular Medicine

International Journal of Molecular Medicine is an international journal devoted to molecular mechanisms of human disease.

International Journal of Oncology

International Journal of Oncology

International Journal of Oncology is an international journal devoted to oncology research and cancer treatment.

Molecular Medicine Reports

Molecular Medicine Reports

Covers molecular medicine topics such as pharmacology, pathology, genetics, neuroscience, infectious diseases, molecular cardiology, and molecular surgery.

Oncology Reports

Oncology Reports

Oncology Reports is an international journal devoted to fundamental and applied research in Oncology.

Experimental and Therapeutic Medicine

Experimental and Therapeutic Medicine

Experimental and Therapeutic Medicine is an international journal devoted to laboratory and clinical medicine.

Oncology Letters

Oncology Letters

Oncology Letters is an international journal devoted to Experimental and Clinical Oncology.

Biomedical Reports

Biomedical Reports

Explores a wide range of biological and medical fields, including pharmacology, genetics, microbiology, neuroscience, and molecular cardiology.

Molecular and Clinical Oncology

Molecular and Clinical Oncology

International journal addressing all aspects of oncology research, from tumorigenesis and oncogenes to chemotherapy and metastasis.

World Academy of Sciences Journal

World Academy of Sciences Journal

Multidisciplinary open-access journal spanning biochemistry, genetics, neuroscience, environmental health, and synthetic biology.

International Journal of Functional Nutrition

International Journal of Functional Nutrition

Open-access journal combining biochemistry, pharmacology, immunology, and genetics to advance health through functional nutrition.

International Journal of Epigenetics

International Journal of Epigenetics

Publishes open-access research on using epigenetics to advance understanding and treatment of human disease.

Medicine International

Medicine International

An International Open Access Journal Devoted to General Medicine.

Journal Cover
December-2018 Volume 9 Issue 6

Full Size Image

Sign up for eToc alerts
Recommend to Library

  • Article
  • Citations
    • Cite This Article
    • Download Citation
    • Create Citation Alert
    • Remove Citation Alert
    • Cited By
  • Similar Articles
    • Related Articles (in Spandidos Publications)
    • Similar Articles (Google Scholar)
    • Similar Articles (PubMed)
  • Download PDF
  • Download XML
  • View XML
Case Report

Beneficial effect of additional treatment with widely available anticancer agents in advanced small lung cell carcinoma: A case report

  • Authors:
    • Piotr J. Kruk
  • View Affiliations / Copyright

    Affiliations: Department of Family Medicine, Rząśnia Community-Based Health Center, 98-332 Rząśnia, Poland
  • Pages: 647-650
    |
    Published online on: October 5, 2018
       https://doi.org/10.3892/mco.2018.1736
  • Expand metrics +
Metrics: Total Views: 0 (Spandidos Publications: | PMC Statistics: )
Metrics: Total PDF Downloads: 0 (Spandidos Publications: | PMC Statistics: )
Cited By (CrossRef): 0 citations Loading Articles...

This article is mentioned in:



Abstract

Small-cell lung carcinoma is a type of lung cancer characterized by very poor prognosis, as the majority of the patients have already developed metastases at initial diagnosis. Small-cell lung cancer accounts for ~15% of all lung cancer cases. The present study reports the case of a female patient with advanced-stage small-cell lung cancer. The patient received the standard treatments (6 cycles of platinum and etoposide chemotherapy followed by Gamma Knife treatment of suspicious mediastinal lymphnodes); in addition, naturally derived agents (curcumin, parthenolide, betuline, sulforaphane, withanolides, lactoferrin, pomegranate fruit extract, flaxseed and dioscorea) were alternately administered at increased doses, while previously prescribed medications for other comorbidities (metformin and atorvastatin) were continued. Complete regression of the tumour was observed, and the patient remains in full remission and cancer-free for >7 years. Moreover, no treatment-related side effects and no drug interactions were observed.

Introduction

Lung cancer is the most common cause of cancer-related mortality worldwide. It was estimated that, in 2016, there were 158,080 deaths from lung cancer in the United States (1). In the latest statistical analysis, it is predicted that in 2018 the number of deaths may reach ~154,050 and the number of new cases 234,030, and the mortality from lung cancer is expected to be higher compared with that from other cancers combined (2). Small-cell lung cancer (SCLC) accounts for ~13–15% of all lung cancer cases (3) and is strongly associated with tobacco smoking. SCLC is very chemoradiosensitive, but patients often present with symptoms of metastatic disease at the time of SCLC diagnosis, and the prognosis remains poor. Unfortunately, in advanced-stage SCLC, the median survival with the currently available standard treatments is only 9–10 months from the time of diagnosis.

The treatment of SCLC mainly consists of chemotherapy, with a combination of platinum and etoposide or irinotecan. The use of prophylactic cranial irradiation (PCI) and sequential thoracic irradiation has been reported to improve survival in selected patients with extensive SCLC (4,5).

Unfortunately, almost all patients relapse with chemoresistant disease (6) and there has been almost no improvement in 1-year SCLC mortality rate over 10 years (7).

Case report

In February 2011, a 62-year-old woman was diagnosed with SCLC (Figs. 1 and 2). The patient was a retired teacher and a smoker (20 cigarettes/day for 45 years).A chest X-ray followed by computed tomography were performed to explain the cause of a persistent cough following a respiratory infection~1 month earlier. The diagnosis of SCLC was based on microscopic examination of the material obtained during bronchoscopy. The patient's overall health was good, but she reported previously taking metformin due to impaired fasting glucose and atorvastatin due to hypercholesterolemia. At 5 weeks after the initial diagnosis, chemotherapy with platinum (49.69 mg/day for 3 days) and etoposide (165.62 mg/day for 3 days) was administered. The patient received 6 cycles of this treatment, but the intervals between cycles had to be prolonged due to leukopenia (WBC <2,500/µl). Cancer remission was achieved after 6 cycles of standard therapy. After the 4th cycle, PCI (2.5 Gy/g; 10 cycles) was performed. In addition, long-term enoxaparin (40 mg/day) therapy lasting 2 years was prescribed.

Figure 1.

Computed tomography imaging showing the lung tumour at the time of diagnosis.

Figure 2.

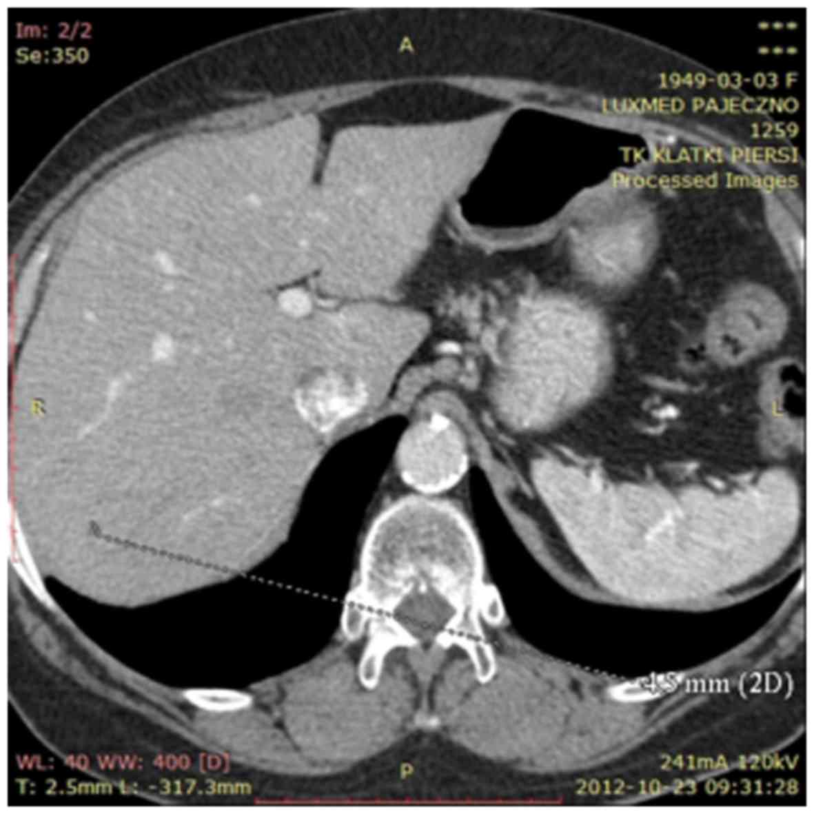
Computed tomography metastasis to the liver at the time of diagnosis.

In April 2012, a computed tomography-positron emission tomography scan was performed in order to exclude neoplastic changes in the lymphnodes and metastatic disease. Gamma Knife was then used to treat mediastinal lymphnodes suspected for neoplastic infiltration. Oncological treatment was completed in May 2012 (Figs. 3 and 4). The patient was advised to visit the oncological centre in case of tumour progression detected on annual follow-up examinations.

Figure 3.

Computed tomography imaging showing a suspicious lymphnode in the anterior mediastinum after chemotherapy treatment.

Figure 4.

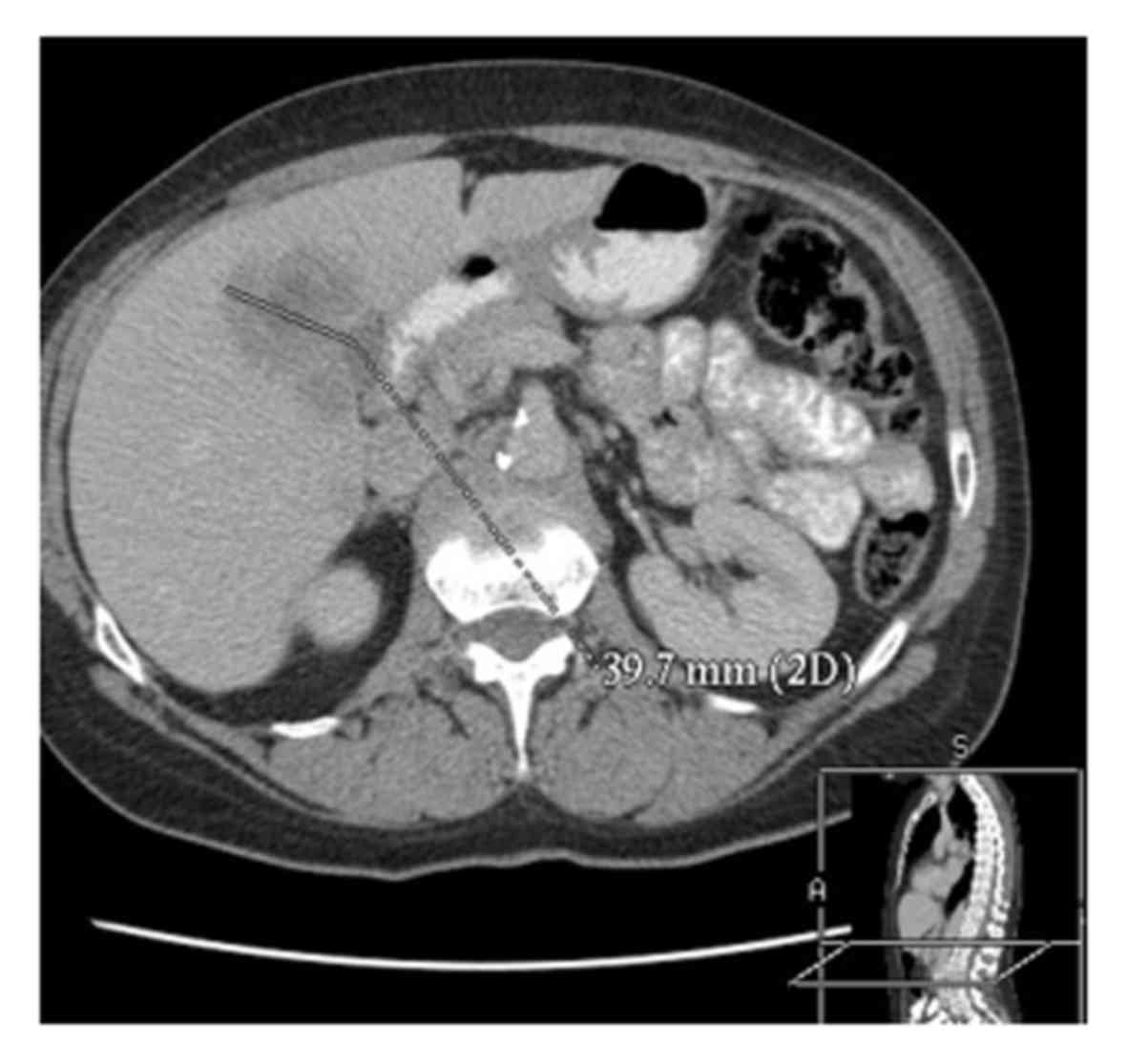
Computed tomography imaging showing regression of metastatic lesions in the liver after chemotherapy treatment.

Simultaneously, an off-label therapy was administered. The individualized scheme included curcumin, parthenolide, betuline, sulforaphane, withanolides, lactoferrin, pomegranate fruit extract, flaxseed orally and dioscorea in inhalational form.

The treatment strategy was based on changing the agents every 5 days in order to avoid developing resistance to treatment. Compounds extracted from medicinal plants usually have low bioavailability; therefore, the pivotal role of appropriately higher doses of certain agents should be emphasised. In the majority of cases, double dosages were used, rather than what was recommended by the manufacturer. However, metformin, atorvastatin and enoxaparin were administered at doses of 850, 10 and 40 mg/day, respectively. The patient has been continuously taking curcumin (1,330 mg/day), betuline (10 ml 2% extract/day), withanolides (1,100 mg/day), parthenolide (0.624 mg/day), lactoferrin (200 mg/day), sulforaphane (100 mg/day) and pomegranate fruit extract (2,200 mg/day) to this day. Some of the active substances are administered on a daily basis (curcumin, sulforaphane, atorvastatin and metformin), whereas the others are changed every 5 days. All agents mentioned above were well-tolerated. Follow-up chest X-ray and abdominal ultrasound are performed annually and have not shown any progression or metastasis of the lung cancer. The results of the annual laboratory blood tests are also normal.

The patient is a member of the author's family and remains under his medical care. She remains alive and in good condition. The last examination took place in September 2018.

Discussion

The medications previously used by the patient due to comorbidities (metformin and atorvastatin) were continued during chemo- and radiotherapy. Atorvastatin may overcome the resistance to carboplatin in patients with lung cancer and, when used together with carboplatin, it inhibits the growth of lung cancer more effectively compared with either of these agents used alone (8). In addition, it has been previously reported that patients using rosuvastatin, simvastatin, atorvastatin and pravastatin had a significantly decreased lung cancer risk, depending on statin doses (9). The beneficial role of metformin was observed by Chuang et al in patients with diabetes mellitus who had inoperable lung cancer. This patient group exhibited a significantly longer overall survival while using metformin (10). A number of previous studies indicated the anticancer activity of metformin, including cell cycle arrest, apoptosis of malignant cells and tumour growth suppression (11). In patients treated with cisplatin-based chemotherapy, an increased risk of arterial and venous thromboembolic events was confirmed (12). For example, in Asian patients with SCLC, the annual cumulative incidence of thromboembolic events is ~10% (13). Using primary thromboprophylaxis with low-molecular-weight heparin can significantly lower the risk of thromboembolic events in patients treated with chemotherapy (14). Enoxaparin may have a beneficial impact on overall survival in patients treated for lung cancer (15); however, in patients with SCLC, enoxaparin in supraprophylactic doses (1 mg/kg) increased the incidence of haemorrhagic events and had no beneficial effect on progression-free or overall survival (16).

Naturally occurring substances have known anticancer properties. Curcumin has been reported to regulate oncogenes (p53, egr-1, c-myc and Bcl-xL), transcription factors (NF-κB, STAT-3 and AP-1),protein kinases (MAPK)and enzymes (cyclooxygenase and lipoxygenase). The beneficial effects of curcumin have been observed in terms of sensitization to chemo- and radiotherapy, reduction of tumour invasion and metastasis (17).

Therefore, curcumin may be a potential candidate for augmenting response to adjunctive chemotherapies in lung cancer (17). However, due to its poor oral bioavailability and instability, new technologies are needed to achieve proper tissue concentration of this agent. For example, the level of serum curcumin following oral administration may be increased if combined with black pepper (18). Betulin [lup-20(29)-ene-3β, 28-diol]is a naturally occurring triterpene that has anticancer properties. Pentacyclic triterpene lupeol has also been reported to have anti-lung cancer activity. Both have a multifactorial mechanism of action in cancer tissues, including downregulation of isoenzyme cyclooxygenase 2 (COX-2), inhibition of malignant cell proliferation and inhibition of cell cycle (19,20), as well as induction of apoptosis, which is similar to cisplatin activity (21). Dioscorea japonica extract has been shown to suppress the expression of COX-2 and microsomal prostaglandin E synthase, which results in anti-inflammatory and anticancer activity (22). Suppression of COX-2 and reduction of prostaglandin E2 (PGE2) production are similar to the effects of sulforaphane. Sulforaphane inhibits the synthesis of PGE2 (23) and it has been reported that hypoxia in cancer tissues is related to increased production of PGE2, which is associated with cancer progression. Oral talactoferrin has been proven to be useful and was well-tolerated in patients with stage IIIB-IV non-small-cell lung cancer (NSCLC) in whom previous chemotherapies had failed (24). Withaferin A is a bioactive lactone, isolated from Withania somnifera. It has been shown that Withaferin A possesses anti-oxidative, anti-inflammatory, anti-proliferative and apoptosis-inducing properties (25). The combination of paclitaxel with Withaferin A effectively treated lung cancer in mice (26); additionally, it was demonstrated that Withaferin A induced inhibition of cancer growth and oxidative damage to NSCLC cells (27,28). Pomegranate fruit extract significantly inhibits the growth and progression of lung cancer in mice (29) due to the induction of apoptosis and modulation of cell signalling pathways. Moreover, the ingredients of pomegranates exert anti-inflammatory effects and inhibit angiogenic factors (30). Parthenolide, which is derived from the plant feverfew, induces apoptosis of NSCLC cells and selectively kills cancer stem cells (31). Flaxseed possesses antioxidant and hepatoprotective properties; in addition, in postmenopausal women, lignans from flaxseed may act as weak oestrogens. Its anti-inflammatory activity and influence on PGE2, leukotriene B4, TNF-α, interleukin and cytokines was confirmed (32). Furthermore, flaxseed may decrease the adverse effects of radiation in cancer patients (33).

The use of additional treatment in the form of medicinal substances with potential antitumor properties, provided that there are no side effects and no drug interactions, may be helpful in the treatment of certain types of cancer. Therefore, the long-term and alternate use of certain herbal and medicinal active substances may reduce the risk of recurrence or progression of certain types of cancer.

Acknowledgements

Not applicable.

Funding

No funding was received.

Availability of data and materials

The datasets used and/or analyzed during the present study are available from the corresponding author on reasonable request.

Ethics approval and consent to participate

Not applicable.

Authors' contributions

PK prepared and approved the final manuscript.

Patient consent for publication

The patient provided written informed consent regarding the publication of the case details and associated images.

Competing interests

The author declares that he has no competing interests.

References

1 

Siegel RL, Miller KD and Jemal A: Cancer statistics, 2016. CA Cancer J Clin. 66:7–30. 2016. View Article : Google Scholar : PubMed/NCBI

2 

Siegel RL, Miller KD and Jemal A: Cancer statistics, 2018. CA Cancer J Clin. 68:7–30. 2018. View Article : Google Scholar : PubMed/NCBI

3 

Siegel RL, Miller KD and Jemal A: Cancer Statistics, 2017. CA Cancer J Clin. 67:7–30. 2017. View Article : Google Scholar : PubMed/NCBI

4 

Demedts IK, Vermaelen KY and van Meerbeeck JP: Treatment of extensive-stage small cell lung carcinoma: Current status and future prospects. Eur Respir J. 35:202–215. 2010. View Article : Google Scholar : PubMed/NCBI

5 

Kalemkerian GP: Small Cell Lung Cancer. Semin Respir Crit Care Med. 37:783–796. 2016. View Article : Google Scholar : PubMed/NCBI

6 

Kalemkerian GP and Schneider BJ: Advances in small cell lung cancer. Hematol Oncol Clin North Am. 31:143–156. 2017. View Article : Google Scholar : PubMed/NCBI

7 

Dayen C, Debieuvre D, Molinier O, Raffy O, Paganin F, Virally J, Larive S, Desurmont-Salasc B, Perrichon M, Martin F, et al: New insights into stage and prognosis in small cell lung cancer: An analysis of 968 cases. J Thorac Dis. 9:5101–5111. 2017. View Article : Google Scholar : PubMed/NCBI

8 

Chen J, Lan T, Hou J, Zhang J, An Y, Tie L, Pan Y, Liu J and Li X: Atorvastatin sensitizes human non-small cell lung carcinomas to carboplatin via suppression of AKT activation and upregulation of TIMP-1. Int J Biochem Cell Biol. 44:759–769. 2012. View Article : Google Scholar : PubMed/NCBI

9 

Liu JC, Yang TY, Hsu YP, Hao WR, Kao PF, Sung LC, Chen CC and Wu SY: Statins dose-dependently exert a chemopreventive effect against lung cancer in COPD patients: A population-based cohort study. Oncotarget. 7:59618–59629. 2016.PubMed/NCBI

10 

Chuang MC, Yang YH, Tsai YH, Hsieh MJ, Lin YC, Lin CK, Chen PC and Yang TM: Survival benefit associated with metformin use in inoperable non-small cell lung cancer patients with diabetes: A population-based retrospective cohort study. PLoS One. 13:e01911292018. View Article : Google Scholar : PubMed/NCBI

11 

Gupta G, de Jesus Andreoli Pinto T, Chellappan DK, Mishra A, Malipeddi H and Dua K: A clinical update on metformin and lung cancer in diabetic patients. Panminerva Med. 60:70–75, Epub ahead of print. 2018.PubMed/NCBI

12 

Lee YG, Lee E, Kim I, Lee KW, Kim TM, Lee SH, Kim DW and Heo DS: Cisplatin-based chemotherapy is a strong risk factor for thromboembolic events in small-cell lung cancer. Cancer Res Treat. 47:670–675. 2015. View Article : Google Scholar : PubMed/NCBI

13 

Seng S, Liu Z, Chiu SK, Proverbs-Singh T, Sonpavde G, Choueiri TK, Tsao CK, Yu M, Hahn NM, Oh WK, et al: Risk of venous thromboembolism in patients with cancer treated with Cisplatin: A systematic review and meta-analysis. J Clin Oncol. 30:4416–4426. 2012. View Article : Google Scholar : PubMed/NCBI

14 

Di Nisio M, Porreca E, Candeloro M, De Tursi M, Russi I and Rutjes AW: Primary prophylaxis for venous thromboembolism in ambulatory cancer patients receiving chemotherapy. Cochrane Database Syst Rev. 12:CD0085002016.PubMed/NCBI

15 

Liu ZL, Wang Q, Wang M, Wang B and Huang LN: Low molecular weight heparin in treating patients with lung cancer received chemotherapy: A meta-analysis. J Cancer Res Ther. 14:S437–S443. 2018. View Article : Google Scholar : PubMed/NCBI

16 

Ek L, Gezelius E, Bergman B, Bendahl PO, Anderson H, Sundberg J, Wallberg M, Falkmer U, Verma S and Belting M; Swedish Lung Cancer Study Group (SLUSG), . Randomized phase III trial of low-molecular-weight heparin enoxaparin in addition to standard treatment in small-cell lung cancer: The RASTEN trial. Ann Oncol. 29:398–404. 2018. View Article : Google Scholar : PubMed/NCBI

17 

Mehta HJ, Patel V and Sadikot RT: Curcumin and lung cancer-a review. Target Oncol. 9:295–310. 2014. View Article : Google Scholar : PubMed/NCBI

18 

Mahran RI, Hagras MM, Sun D and Brenner DE: Bringing curcumin to the clinic in cancer prevention: A review of strategies to enhance bioavailability and efficacy. AAPS J. 19:54–81. 2017. View Article : Google Scholar : PubMed/NCBI

19 

Milhoub M, Pichette A, Sylla B, Gauthier C and Legault J: Bidesmosidic betulin saponin bearing L-rhamnopyranoside moieties induces apoptosis and inhibition of lung cancer cells growth in vitro and in vivo. PLoS One. 13(3): e01933862018. View Article : Google Scholar : PubMed/NCBI

20 

Cháirez-Ramírez MH, Moreno-Jiménez MR, González-Laredo RF, Gallegos-Infante JA and Rocha-Guzmán NE: Lupane-type triterpenes and their anti-cancer activities against most common malignant tumors: A review. EXCLI J. 15:758–771. 2016.PubMed/NCBI

21 

Pyo JS, Roh SH, Kim DK, Lee JG, Lee YY, Hong SS, Kwon SW and Park JH: Anti-cancer effect of Betulin on a human lung cancer cell line: A pharmacoproteomic approach using 2 D SDS PAGE coupled with nano-HPLC tandem Mass Spectrometry. Planta Med. 75:127–131. 2009. View Article : Google Scholar : PubMed/NCBI

22 

Suzuki-Yamamoto T, Tanaka S, Tsukayama I, Takafuji M, Hanada T, Arakawa T, Kawakami Y, Kimoto M and Takahashi Y: Dioscorea japonica extract down-regulates prostaglandin E2 synthetic pathway and induces apoptosis in lung cancer cells. J Clin Biochem Nutr. 55:162–167. 2014. View Article : Google Scholar : PubMed/NCBI

23 

Zhou J, Joplin DG, Cross JV and Templeton DJ: Sulforaphane inhibits prostaglandin E2 synthesis by suppressing microsomal prostaglandin E synthase 1. PLoS One. 7:e497442012. View Article : Google Scholar : PubMed/NCBI

24 

Parikh PM, Vaid A, Advani SH, Digumarti R, Madhavan J, Nag S, Bapna A, Sekhon JS, Patil S, Ismail PM, et al: Randomized, double-blind, placebo-controlled phase II study of single-agent oral talactoferrin in patients with locally advanced or metastatic non-small-cell lung cancer that progressed after chemotherapy. J Clin Oncol. 29:4129–4136. 2011. View Article : Google Scholar : PubMed/NCBI

25 

Lee IC and Choi BY: Withaferin-A-a natural anticancer agent with pleitropic mechanisms of action. Int J Mol Sci. 17:2902016. View Article : Google Scholar : PubMed/NCBI

26 

Senthilnathan P, Padmavathi R, Magesh V and Sakthisekaran D: Chemotherapeutic efficacy of paclitaxel in combination with Withania somnifera on benzo(a)pyrene-induced experimental lung cancer. Cancer Sci. 97:658–664. 2006. View Article : Google Scholar : PubMed/NCBI

27 

Choudhary MI, Hussain S, Yousuf S, Dar A, Mudassar and Atta-ur-Rahman: Chlorinated and diepoxy withanolides from Withania somnifera and their cytotoxic effects against human lung cancer cell line. Phytochemistry. 71:2205–2209. 2010. View Article : Google Scholar : PubMed/NCBI

28 

Liu X, Chen L, Liang T, Tian XD, Liu Y and Zhang T: Withaferin A induces mitochondrial-dependent apoptosis in non-small cell lung cancer cells via generation of reactive oxygen species. J BUON. 22:244–250. 2017.PubMed/NCBI

29 

Khan N, Afaq F, Kweon MH, Kim K and Mukhtar H: Oral consumption of pomegranate fruit extract inhibits growth and progression of primary lung tumors in mice. Cancer Res. 67:3475–3482. 2007. View Article : Google Scholar : PubMed/NCBI

30 

Rahmani AH, Alsahli MA and Almatroodi SA: Potential antitumor effects of pomegranates and its ingredients. Pharmacogn Rev. 11:136–140. 2017. View Article : Google Scholar : PubMed/NCBI

31 

Zhao X, Liu X and Su L: Parthenolide induces apoptosis via TNFRSF10B and PMAIP1 pathways in human lung cancer cells. J Exp Clin Cancer Res. 33:32014. View Article : Google Scholar : PubMed/NCBI

32 

Kajla P, Sharma A and Sood DR: Flaxseed-a potential functional food source. J Food Sci Technol. 52:1857–1871. 2015. View Article : Google Scholar : PubMed/NCBI

33 

Pietrofesa R, Turowski J, Tyagi S, Dukes F, Arguiri E, Busch TM, Gallagher-Colombo SM, Solomides CC, Cengel KA and Christofidou-Solomidou M: Radiation mitigating properties of the lignan component in flaxseed. BMC Cancer. 13:1792013. View Article : Google Scholar : PubMed/NCBI

Related Articles

  • Abstract
  • View
  • Download
  • Twitter
Copy and paste a formatted citation
Spandidos Publications style
Kruk PJ: Beneficial effect of additional treatment with widely available anticancer agents in advanced small lung cell carcinoma: A case report. Mol Clin Oncol 9: 647-650, 2018.
APA
Kruk, P.J. (2018). Beneficial effect of additional treatment with widely available anticancer agents in advanced small lung cell carcinoma: A case report. Molecular and Clinical Oncology, 9, 647-650. https://doi.org/10.3892/mco.2018.1736
MLA
Kruk, P. J."Beneficial effect of additional treatment with widely available anticancer agents in advanced small lung cell carcinoma: A case report". Molecular and Clinical Oncology 9.6 (2018): 647-650.
Chicago
Kruk, P. J."Beneficial effect of additional treatment with widely available anticancer agents in advanced small lung cell carcinoma: A case report". Molecular and Clinical Oncology 9, no. 6 (2018): 647-650. https://doi.org/10.3892/mco.2018.1736
Copy and paste a formatted citation
x
Spandidos Publications style
Kruk PJ: Beneficial effect of additional treatment with widely available anticancer agents in advanced small lung cell carcinoma: A case report. Mol Clin Oncol 9: 647-650, 2018.
APA
Kruk, P.J. (2018). Beneficial effect of additional treatment with widely available anticancer agents in advanced small lung cell carcinoma: A case report. Molecular and Clinical Oncology, 9, 647-650. https://doi.org/10.3892/mco.2018.1736
MLA
Kruk, P. J."Beneficial effect of additional treatment with widely available anticancer agents in advanced small lung cell carcinoma: A case report". Molecular and Clinical Oncology 9.6 (2018): 647-650.
Chicago
Kruk, P. J."Beneficial effect of additional treatment with widely available anticancer agents in advanced small lung cell carcinoma: A case report". Molecular and Clinical Oncology 9, no. 6 (2018): 647-650. https://doi.org/10.3892/mco.2018.1736
Follow us
  • Twitter
  • LinkedIn
  • Facebook
About
  • Spandidos Publications
  • Careers
  • Cookie Policy
  • Privacy Policy
How can we help?
  • Help
  • Live Chat
  • Contact
  • Email to our Support Team