Spandidos Publications Logo
  • About
    • About Spandidos
    • Aims and Scopes
    • Abstracting and Indexing
    • Editorial Policies
    • Reprints and Permissions
    • Job Opportunities
    • Terms and Conditions
    • Contact
  • Journals
    • All Journals
    • Oncology Letters
      • Oncology Letters
      • Information for Authors
      • Editorial Policies
      • Editorial Board
      • Aims and Scope
      • Abstracting and Indexing
      • Bibliographic Information
      • Archive
    • International Journal of Oncology
      • International Journal of Oncology
      • Information for Authors
      • Editorial Policies
      • Editorial Board
      • Aims and Scope
      • Abstracting and Indexing
      • Bibliographic Information
      • Archive
    • Molecular and Clinical Oncology
      • Molecular and Clinical Oncology
      • Information for Authors
      • Editorial Policies
      • Editorial Board
      • Aims and Scope
      • Abstracting and Indexing
      • Bibliographic Information
      • Archive
    • Experimental and Therapeutic Medicine
      • Experimental and Therapeutic Medicine
      • Information for Authors
      • Editorial Policies
      • Editorial Board
      • Aims and Scope
      • Abstracting and Indexing
      • Bibliographic Information
      • Archive
    • International Journal of Molecular Medicine
      • International Journal of Molecular Medicine
      • Information for Authors
      • Editorial Policies
      • Editorial Board
      • Aims and Scope
      • Abstracting and Indexing
      • Bibliographic Information
      • Archive
    • Biomedical Reports
      • Biomedical Reports
      • Information for Authors
      • Editorial Policies
      • Editorial Board
      • Aims and Scope
      • Abstracting and Indexing
      • Bibliographic Information
      • Archive
    • Oncology Reports
      • Oncology Reports
      • Information for Authors
      • Editorial Policies
      • Editorial Board
      • Aims and Scope
      • Abstracting and Indexing
      • Bibliographic Information
      • Archive
    • Molecular Medicine Reports
      • Molecular Medicine Reports
      • Information for Authors
      • Editorial Policies
      • Editorial Board
      • Aims and Scope
      • Abstracting and Indexing
      • Bibliographic Information
      • Archive
    • World Academy of Sciences Journal
      • World Academy of Sciences Journal
      • Information for Authors
      • Editorial Policies
      • Editorial Board
      • Aims and Scope
      • Abstracting and Indexing
      • Bibliographic Information
      • Archive
    • International Journal of Functional Nutrition
      • International Journal of Functional Nutrition
      • Information for Authors
      • Editorial Policies
      • Editorial Board
      • Aims and Scope
      • Abstracting and Indexing
      • Bibliographic Information
      • Archive
    • International Journal of Epigenetics
      • International Journal of Epigenetics
      • Information for Authors
      • Editorial Policies
      • Editorial Board
      • Aims and Scope
      • Abstracting and Indexing
      • Bibliographic Information
      • Archive
    • Medicine International
      • Medicine International
      • Information for Authors
      • Editorial Policies
      • Editorial Board
      • Aims and Scope
      • Abstracting and Indexing
      • Bibliographic Information
      • Archive
  • Articles
  • Information
    • Information for Authors
    • Information for Reviewers
    • Information for Librarians
    • Information for Advertisers
    • Conferences
  • Language Editing
Spandidos Publications Logo
  • About
    • About Spandidos
    • Aims and Scopes
    • Abstracting and Indexing
    • Editorial Policies
    • Reprints and Permissions
    • Job Opportunities
    • Terms and Conditions
    • Contact
  • Journals
    • All Journals
    • Biomedical Reports
      • Information for Authors
      • Editorial Policies
      • Editorial Board
      • Aims and Scope
      • Abstracting and Indexing
      • Bibliographic Information
      • Archive
    • Experimental and Therapeutic Medicine
      • Information for Authors
      • Editorial Policies
      • Editorial Board
      • Aims and Scope
      • Abstracting and Indexing
      • Bibliographic Information
      • Archive
    • International Journal of Epigenetics
      • Information for Authors
      • Editorial Policies
      • Editorial Board
      • Aims and Scope
      • Abstracting and Indexing
      • Bibliographic Information
      • Archive
    • International Journal of Functional Nutrition
      • Information for Authors
      • Editorial Policies
      • Editorial Board
      • Aims and Scope
      • Abstracting and Indexing
      • Bibliographic Information
      • Archive
    • International Journal of Molecular Medicine
      • Information for Authors
      • Editorial Policies
      • Editorial Board
      • Aims and Scope
      • Abstracting and Indexing
      • Bibliographic Information
      • Archive
    • International Journal of Oncology
      • Information for Authors
      • Editorial Policies
      • Editorial Board
      • Aims and Scope
      • Abstracting and Indexing
      • Bibliographic Information
      • Archive
    • Medicine International
      • Information for Authors
      • Editorial Policies
      • Editorial Board
      • Aims and Scope
      • Abstracting and Indexing
      • Bibliographic Information
      • Archive
    • Molecular and Clinical Oncology
      • Information for Authors
      • Editorial Policies
      • Editorial Board
      • Aims and Scope
      • Abstracting and Indexing
      • Bibliographic Information
      • Archive
    • Molecular Medicine Reports
      • Information for Authors
      • Editorial Policies
      • Editorial Board
      • Aims and Scope
      • Abstracting and Indexing
      • Bibliographic Information
      • Archive
    • Oncology Letters
      • Information for Authors
      • Editorial Policies
      • Editorial Board
      • Aims and Scope
      • Abstracting and Indexing
      • Bibliographic Information
      • Archive
    • Oncology Reports
      • Information for Authors
      • Editorial Policies
      • Editorial Board
      • Aims and Scope
      • Abstracting and Indexing
      • Bibliographic Information
      • Archive
    • World Academy of Sciences Journal
      • Information for Authors
      • Editorial Policies
      • Editorial Board
      • Aims and Scope
      • Abstracting and Indexing
      • Bibliographic Information
      • Archive
  • Articles
  • Information
    • For Authors
    • For Reviewers
    • For Librarians
    • For Advertisers
    • Conferences
  • Language Editing
Login Register Submit
  • This site uses cookies
  • You can change your cookie settings at any time by following the instructions in our Cookie Policy. To find out more, you may read our Privacy Policy.

    I agree
Search articles by DOI, keyword, author or affiliation
Search
Advanced Search
presentation
Molecular and Clinical Oncology
Join Editorial Board Propose a Special Issue
Print ISSN: 2049-9450 Online ISSN: 2049-9469
Journal Cover
March-2021 Volume 14 Issue 3

Full Size Image

Sign up for eToc alerts
Recommend to Library

Journals

International Journal of Molecular Medicine

International Journal of Molecular Medicine

International Journal of Molecular Medicine is an international journal devoted to molecular mechanisms of human disease.

International Journal of Oncology

International Journal of Oncology

International Journal of Oncology is an international journal devoted to oncology research and cancer treatment.

Molecular Medicine Reports

Molecular Medicine Reports

Covers molecular medicine topics such as pharmacology, pathology, genetics, neuroscience, infectious diseases, molecular cardiology, and molecular surgery.

Oncology Reports

Oncology Reports

Oncology Reports is an international journal devoted to fundamental and applied research in Oncology.

Experimental and Therapeutic Medicine

Experimental and Therapeutic Medicine

Experimental and Therapeutic Medicine is an international journal devoted to laboratory and clinical medicine.

Oncology Letters

Oncology Letters

Oncology Letters is an international journal devoted to Experimental and Clinical Oncology.

Biomedical Reports

Biomedical Reports

Explores a wide range of biological and medical fields, including pharmacology, genetics, microbiology, neuroscience, and molecular cardiology.

Molecular and Clinical Oncology

Molecular and Clinical Oncology

International journal addressing all aspects of oncology research, from tumorigenesis and oncogenes to chemotherapy and metastasis.

World Academy of Sciences Journal

World Academy of Sciences Journal

Multidisciplinary open-access journal spanning biochemistry, genetics, neuroscience, environmental health, and synthetic biology.

International Journal of Functional Nutrition

International Journal of Functional Nutrition

Open-access journal combining biochemistry, pharmacology, immunology, and genetics to advance health through functional nutrition.

International Journal of Epigenetics

International Journal of Epigenetics

Publishes open-access research on using epigenetics to advance understanding and treatment of human disease.

Medicine International

Medicine International

An International Open Access Journal Devoted to General Medicine.

Journal Cover
March-2021 Volume 14 Issue 3

Full Size Image

Sign up for eToc alerts
Recommend to Library

  • Article
  • Citations
    • Cite This Article
    • Download Citation
    • Create Citation Alert
    • Remove Citation Alert
    • Cited By
  • Similar Articles
    • Related Articles (in Spandidos Publications)
    • Similar Articles (Google Scholar)
    • Similar Articles (PubMed)
  • Download PDF
  • Download XML
  • View XML
Case Report Open Access

The tuberous sclerosis complex‑associated giant renal angiomyolipoma: A case report

  • Authors:
    • Pengfei Sun
    • Shuangxing Chen
    • Zhengming Su
    • Yongzhong He
  • View Affiliations / Copyright

    Affiliations: Department of Urology, The Fifth Affiliated Hospital of Guangzhou Medical University, Guangzhou, Guangdong 510700, P.R. China
    Copyright: © Sun et al. This is an open access article distributed under the terms of Creative Commons Attribution License.
  • Article Number: 52
    |
    Published online on: January 21, 2021
       https://doi.org/10.3892/mco.2021.2214
  • Expand metrics +
Metrics: Total Views: 0 (Spandidos Publications: | PMC Statistics: )
Metrics: Total PDF Downloads: 0 (Spandidos Publications: | PMC Statistics: )
Cited By (CrossRef): 0 citations Loading Articles...

This article is mentioned in:



Abstract

Renal angiomyolipoma (RAML), also referred to as renal hamartoma, is a rare benign tumor. There are two types of RAML, which include the tuberous sclerosis complex (TSC)‑associated type and the sporadic type. TSC is an autosomal dominant genetic disease characterized by the growth of benign tumors in the skin, brain, kidneys, lung and heart. TSC leads to organ dysfunction, as the normal parenchyma is replaced by a variety of cell types. The current study presents a case of giant RAML in a 20‑year‑old female, who was hospitalized for epileptic seizures. Large abdominal lesions were detected during hospitalization. Subsequently, she underwent open mass resection and right kidney partial resection. Postoperative pathological examination confirmed that the mass was angiomyolipoma.

Introduction

Renal angiomyolipoma (RAML) is among the most common kidney benign tumors. It consists of different proportions of vascular, smooth muscle, and fat and has two types, namely, tuberous sclerosis complex (TSC)-associated and sporadic types (1-3). TSC is an autosomal dominant disease that affects multiple organs of the body. It is usually accompanied by the growth of hamartomas in the skin, brain, kidneys, lung, and heart. The various manifestations of TSC usually appear at different stages of life. In infancy, the most common manifestations are hamartomas, seizures, skin lesions, and rhabdomyosarcoma in the brain. TSC-associated RAML often develops at a younger age and grows much faster over time than sporadic RAML. Large RAML (>3-4 cm in diameter) may develop into an aneurysm, which may rupture, bleed, and become life-threatening, or it may compress the normal kidney tissue, leading to renal failure. Therefore, early detection, correct diagnosis, and reasonable treatment are very important for patients with RAML. We present a case of giant RAML and discussed the diagnosis and treatment of TSC-associated RAML.

Case report

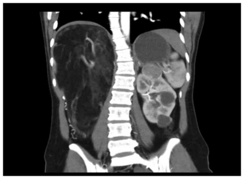
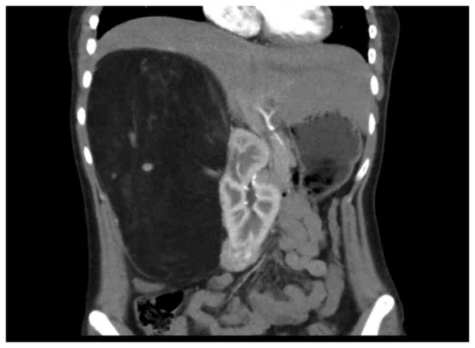
The 20-year-old young female patient has been diagnosed with epilepsy since childhood and has been treated with valproate sustained release tablets. She was admitted to the department of neurology of our hospital due to repeated daze, occasionally accompanied by nausea, vomiting, and hallucinations. Physical examination showed that the patient was slightly slow in response and expression, and her calculation was poor. Multiple small papules and nodules can be seen on her cheeks. Palpation of the right upper abdomen revealed a tough mass with smooth surface, fixed position, and no tenderness. Valproic acid test in the laboratory showed that the patient's CYP2C9 genotype was CYP2C811, and the enzyme activity was fast metabolism (EM) type. POLG (A467TG>A) was of wild homozygous type, POLG (W748SC>G) wild homozygous type SLCO1B1 genotype was 1b1b, and ApoE genotype was E2E4. The electrolyte, liver enzymes, renal functions, cardiac functions, routine examination of blood and urine, and coagulation functions were normal. Abdominal enhanced CT scan showed that the liver was obviously pushed, and the spine was scoliotic. A huge mass occupied the right upper quadrant, with a size of ~236x125x149 mm. The CT value was about-78HU. Blood vessels could be seen inside, and the boundary between the blood vessel and the kidney was unclear. The surrounding tissue was pushed, and the right kidney was displaced to the middle abdomen (Fig. 1). Moreover, two inhomogeneous enhancement nodules were present in the middle and lower pole of the right kidney. The larger nodule (26x33 mm in size) was in the right kidney. Multiple low-density shadows with no enhancement were also evident in the right kidney. In the left kidney, an inhomogeneous enhancement nodule was present on the upper pole, and its size was 28x29 mm. Multiple no enhancement low-density shadows (Fig. 2) were distributed in the left kidney. The right adrenal gland was unclear. The shape, size, and density of the left adrenal gland were normal. No obvious dilation and hydrops were observed in the bilateral renal pelvis and calyces, and the intestinal curve was pushed. No obvious enlarged lymph nodes and no ascites signs were seen behind the peritoneum. The result of the Chest CT scan showed multiple nodular shadows with sizes of ~2-3 mm in the right upper lobe and dorsal right lower lobe. A nodular shadow, ~3 mm in size, was seen under the pleura of the tongue of the left upper lobe. Cranial MRI showed the following results. Abnormal signals were detected from the bilateral cerebral hemisphere cortex, right putamen, and right caudate nucleus. A slightly low signal was observed in T1WI. A slightly high signal was observed in T2WI and FRAIR. The DWI showed no diffusion with limited high signal. Under the bilateral maxillary sinus mucosa, round-like long T1 long T2 signal shadows were seen, and the larger one was ~15x17 mm in size. Considering the patient's medical history and the results of laboratory examination, the diagnosis included epilepsy, giant hamartoma of the right kidney, hamartoma of the left kidney, multiple pulmonary nodules, and abnormal head signals, which were highly consistent with the manifestations of TSC. Although the patient had no obvious symptoms of abdominal visceral compression, and laboratory examination showed no obvious abnormalities in the kidney function. The compression of a huge abdominal mass caused the liver and kidney to deviate significantly and led to spine scoliosis. The continued growth of the mass may affect the function of the kidney and the digestive system. Moreover, the overgrown mass puts the patient at risk of spontaneous rupture and bleeding, which are life-threatening. So, the mass was indicated for surgical resection. After comprehensive preparation before the operation, the patient underwent open mass resection and right kidney partial resection. The appearance of the tumor is shown below (Fig. 3). Postoperative pathological results (Fig. 4) confirmed RAML, and the immunohistochemical results were as follows: HMB45 +, SMA +, Des +, S100 +, and Ki67 (1% +) (Fig. 5). The patient recovered smoothly after the operation. No recurrence of kidney tumors was found. Nodules in the lungs and abnormal head signals remained the same after the half-year follow-up period.

Figure 1

A huge mass in the right kidney. The surrounding tissue is squeezed.

Figure 2

Multiple no enhancement low-density shadows are distributed in the left kidney.

Figure 3

A giant tumor (28x15x14 cm) with a complete envelope, containing increased fat, blood vessels and smooth muscle tissue.

Figure 4

H&E staining of tumor tissue (magnification, x100). A high quantity of vascular tissue, with scattered fat cells and smooth muscle is present. H&E, hematoxylin and eosin.

Figure 5

Immunohistochemical results (magnification, x100). (A) smooth muscle active positive, (B) Human melanoma black 45 positive, (C) Ki67 1% positive, (D) S100 positive and (E) Desmin positive staining is presented.

Discussion

The diagnosis of RAML

RAML is the most common benign renal tumor. RAML can be divided into sporadic and tuberous sclerosis (TSC) related types. At present, RAML is mostly sporadic and occurs more commonly in women are than in men. It is usually first found by B-ultrasound and then diagnosed by CT or MRI. TSC is an autosomal dominant inherited disease caused by mutations in the TSC 1 gene on chromosome 9 or the TSC 2 gene on chromosome 16(4). Mutation of TSC1 or TSC2 gene causes the abnormal function of the TSC1/TSC2 complex, releases inhibitory effect on mechanistic target of rapamycin complex 1 (mTORC1), promotes cell growth, and inhibits autophagy, leading to TSC. TSC affects multiple organs of the body and is usually accompanied by the growth of hamartomas in the skin, brain, kidney, lung, and heart. Fat-containing angiomyolipomas have been observed in 80% of TSC patients. Fat-poor lesions are also common in patients with TSC, but occur in <0.1% of the general population. Renal manifestations in TSC include RAML and multiple renal cysts (5). Compared with sporadic RAML, the tumor is multiple and tends to grow to a larger volume; it is more likely to rupture, which results in hemorrhagic shock secondary to hematuria or retroperitoneal bleeding. Angiomyolipomas in the kidney can cause serious bleeding issues because of its vascular nature and can necessitate dialysis and even renal transplantation. In sporadic RAML cases, the tumor is generally single and asymptomatic. The typical symptoms of TSC-related RAML include abdominal pain (53%), palpable masses (47%), and gross hematuria (23%). These symptoms are typical in patients with multiple sclerosis whose tumor is larger than 4 cm; this is called Lenk's triad. Other possible symptoms and signs include bleeding, nausea, vomiting, high blood pressure, anemia, fever, shock, and urinary tract infection. Children with TSC mutant genes have normal kidneys at birth, but renal cysts and RAML appear with age. TSC in the nervous system manifests as clinical symptoms related to the growth of hamartomas, such as cortical dysplasia, subependymal nodules, and subependymal giant cell astrocytoma (SEGA). Huge SEGA may block the flow of cerebrospinal fluid through the orifice, resulting in increased intracranial pressure, obstructive hydrocephalus, focal neurological deficit, and death. The growth of hamartomas and other disturbances to normal cell growth can cause epilepsy and neurological cognition, as well as behavioral and mental defects. Epilepsy occurs in 60-90% of TSC patients, usually starting within the first year of birth. Early-onset seizures or intractable seizures are associated with cognitive and learning disabilities. The remaining TSC neurological symptoms also include empirical cognitive impairment, autism, and other behavioral disorders (50%) (6). Other manifestations of TSC include the following: Rhabdomyosarcoma of the heart; lymphangioleiomyomatosis, which is a common pulmonary manifestation of TSC with a particularly high incidence in women; retinopathy (multiple retinal hamartomas and retinal pigment spots); and skin lesions (e.g., angiofibroma, which eventually appears in ~90% of patients; depigmentation spots; nail fibroids; shark plaques; oral fibroids; and others) (7). In 2012, the International TSC Consensus Committee formulated two independent TSC diagnostic criteria, namely, clinical and genetic diagnoses. Clinical diagnosis depends on the 11 main features and six secondary features of the patient (Table I) (8), among which 2 major features or 1 major feature + 2 or more minor features can be diagnosed as TSC. If only 1 major feature or only 2 minor features, then diagnosis is possible. The detection of TSC1 or TSC2 gene pathogenic mutations in non-lesioned tissues can be diagnosed as TSC. The use of peripheral blood samples for genetic testing is recommended, but negative genetic testing cannot exclude the diagnosis of TSC. In the present case, the patient presented with RAML, multiple renal cysts, epilepsy, mental retardation, facial hemangioma, multiple pulmonary nodules, and abnormal head signals. The abovementioned findings support clinical diagnosis.

Table I

Major and minor features of the tuberous sclerosis complex (7).

Table I

Major and minor features of the tuberous sclerosis complex (7).

Major featuresMinor features
Hypomelanotic macules (≥3, at least 5-mm diameter)‘Confetti’ skin lesions
Angiofibromas (≥3) or fibrous cephalic plaqueDental enamel pits (>3)
Ungual fibromas (≥2)Intraoral fibromas (≥2)
Shagreen patchRetinal achromic patch
Multiple retinal hamartomasMultiple renal cysts
Cortical dysplasiasaNon-renal hamartomas
Subependymal nodules-
Subependymal giant cell astrocytoma-
Cardiac rhabdomyoma-
LAMb-
Angiomyolipomas (≥2)b-

[i] aIncludes tubers and cerebral white matter radial migration lines;

[ii] ba combination of the two major clinical features (LAM and angiomyolipomas) without other features. LAM, lymphangioleiomyomatosis.

The treatment of TSC-associated RAML

Early detection and diagnosis of RAML can reduce the occurrence of serious complications (9). mTOR inhibitors is a new type of treatment. Prior to the approval of everolimus in 2012, surgical resection or transarterial embolization was the standard treatment for most hamartomas requiring medical intervention. Excessive surgery resection may result in the loss of healthy kidney tissue and may damage the kidney, leading to the loss of its function. However, if the tumor tissue is not completely removed, the remaining tumor tissue may continue to grow, leading to recurrence (10,11). Embolizing tumor blood vessels does not eliminate the root cause of TSC. The 2012 consensus guidelines recommend mTOR inhibitors as the first-line treatment for asymptomatic RAML under 4 cm in diameter, whereas embolization and partial resection are used as second-line treatments. Everolimus is among the most commonly used mTOR inhibitors. Administration at 10 mg/qd oral treatment is recommended. This dosage can effectively reduce the volume of systemic AML and allow the non-invasive treatment of TSC patients, especially those with multiple disease manifestations. However, long-term treatment is usually required. The side effects associated with mTOR inhibitors and their management need to be known. These side effects include stomatitis/mucositis, respiratory infections, diarrhea, hypertriglyceridemia, hypercholesterolemia, bone marrow suppression, proteinuria, and arthralgia (12,13). These adverse reactions are often related to drug concentration level, and dose adjustment may reduce the occurrence of adverse drug reactions. Interruption of the use of the drug and subsequent adjustment of the use of mTOR inhibitors may also help reduce systemic side effects (14). In the present case, the patient had no typical symptoms, such as typical hematuria and abdominal pain. Although the patient has not yet developed symptoms, such as hematuria, bleeding, nausea, vomiting, high blood pressure, anemia, fever, shock, and urinary tract infection, the large size of the tumor has caused scoliosis and pushing of the surrounding organs. With the passage of time and the continued growth of the tumor, the patient will likely show the abovementioned manifestations. Therefore, tumor resection is a reasonable treatment. Unfortunately, for some reason, this patient did not receive everolimus treatment. However, it is gratifying that after half a year of follow-up, the patient showed no obvious recurrence of RAML. No progress in the lesions in pulmonary and intracranial areas was observed.

In a conclusion, clinical monitoring is essential for the treatment of TSC patients. The current guidelines recommend that for low-risk patients, especially asymptomatic minor patients with tumor diameters of less than 4 cm, observation and waiting can be a suitable treatment method. Abdominal MRI or enhanced CT need to be performed every 1-3 years to evaluate the progress of RAML. Renal function and blood pressure need to be monitored at least once a year. Patients who do not take everolimus after selective arterial embolization or surgical intervention need to to undergo MRI or enhanced CT every 3-6 months, and their renal function and blood pressure need to be monitored. For patients with kidney disease, close follow-up and regular renal function monitoring are particularly important, because unlike other TSC manifestations, RAML and other kidney lesions may appear later in life and accumulate over time, thereby necessitating lifelong follow-up.

Acknowledgements

Not applicable.

Funding

This work was supported by funding from the Medical Research Foundation of Guangdong Province of China (grant no. A2018093) and the Guangzhou Education Bureau Innovation Team Project (grant no. 201400902).

Availability of data and materials

The datasets used and/or analyzed during the present study are available from the corresponding author on reasonable request.

Authors' contributions

PS, YH and ZS acquired the data, performed the literature review and performed surgery and pre-operative administration. These authors also drafted, reviewed and edited the manuscript for intellectual content. ZS conceived the current study, analyzed the data and revised the manuscript for important intellectual content. PS performed surgery, analyzed data and images and edited the manuscript. SC performed pathological staining and pathological diagnosis. SC obtained radiological images and performed radiological diagnosis. All authors have read and approved the manuscript.

Ethics approval and consent to participate

The present case study was approved by the Ethics Committee of the Fifth Affiliated Hospital of Guangzhou Medical University of China. The patient provided consent for inclusion in this study.

Patient consent for publication

Written informed consent was obtained from the patient for the publication the case details and any associated images.

Competing interests

The authors declare that they have no competing interests.

References

1 

Franz DN, Bissler JJ and McCormack FX: Tuberous sclerosis complex: Neurological, renal and pulmonary manifestations. Neuropediatrics. 41:199–208. 2010.PubMed/NCBI View Article : Google Scholar

2 

Curatolo P, Bombardieri R and Jozwiak S: Tuberous sclerosis. Lancet. 372:657–668. 2008.PubMed/NCBI View Article : Google Scholar

3 

Crino PB, Nathanson KL and Henske EP: The tuberous sclerosis complex. N Engl J Med. 355:1345–1356. 2006.PubMed/NCBI View Article : Google Scholar

4 

van Slegtenhorst M, de Hoogt R, Hermans C, Nellist M, Janssen B, Verhoef S, Lindhout D, van den Ouweland A, Halley D, Young J, et al: Identification of the tuberous sclerosis gene TSC1 on chromosome 9q34. Science. 277:805–808. 1997.PubMed/NCBI View Article : Google Scholar

5 

Kozłowska J and Okoń K: Renal tumors in postmortem material. Pol J Pathol. 59:21–25. 2008.PubMed/NCBI

6 

Krueger DA: Management of CNS-related disease manifestations in patients with tuberous sclerosis complex. Curr Treat Options Neurol. 15:618–633. 2013.PubMed/NCBI View Article : Google Scholar

7 

Samuels JA: Treatment of renal angiomyolipoma and other hamartomas in patients with tuberous sclerosis complex. Clin J Am Soc Nephrol. 12:1196–1202. 2017.PubMed/NCBI View Article : Google Scholar

8 

Northrup H and Krueger DA: International Tuberous Sclerosis Complex Consensus Group. Tuberous sclerosis complex diagnostic criteria update: Recommendations of the 2012 international tuberous sclerosis complex consensus conference. Pediatr Neurol. 49:243–254. 2013.PubMed/NCBI View Article : Google Scholar

9 

Wheless JW and Klimo P Jr: Subependymal giant cell astrocytomas in patients with tuberous sclerosis complex: Considerations for surgical or pharmacotherapeutic intervention. J Child Neurol. 29:1562–1571. 2014.PubMed/NCBI View Article : Google Scholar

10 

Krueger DA and Northrup H: International Tuberous Sclerosis Complex Consensus Group. Tuberous sclerosis complex surveillance and management: Recommendations of the 2012 international tuberous sclerosis complex consensus conference. Pediatr Neurol. 49:255–265. 2013.PubMed/NCBI View Article : Google Scholar

11 

Boorjian SA, Frank I, Inman B, Lohse CM, Cheville JC, Leibovich BC and Blute ML: The role of partial nephrectomy for the management of sporadic renal angiomyolipoma. Urology. 70:1064–1068. 2007.PubMed/NCBI View Article : Google Scholar

12 

Bissler JJ, McCormack FX, Young LR, Elwing JM, Chuck G, Leonard JM, Schmithorst VJ, Laor T, Brody AS, Bean J, et al: Sirolimus for angiomyolipoma in tuberous sclerosis complex or lymphangioleiomyomatosis. N Engl J Med. 358:140–151. 2008.PubMed/NCBI View Article : Google Scholar

13 

Lebwohl D, Thomas G, Lane HA, O'Reilly T, Escudier B, Yao JC, Pavel M, Franz D, Berg W, Baladi JF, et al: Research and innovation in the development of everolimus for oncology. Expert Opin Drug Discov. 6:323–338. 2011.PubMed/NCBI View Article : Google Scholar

14 

Sheth RA, Feldman AS, Paul E, Thiele EA and Walker TG: Angiographic and volumetric effects of mammalian target of rapamycin inhibitors on angiomyolipomas in tuberous sclerosis. World J Radiol. 8:308–315. 2016.PubMed/NCBI View Article : Google Scholar

Related Articles

  • Abstract
  • View
  • Download
  • Twitter
Copy and paste a formatted citation
Spandidos Publications style
Sun P, Chen S, Su Z and He Y: The tuberous sclerosis complex‑associated giant renal angiomyolipoma: A case report. Mol Clin Oncol 14: 52, 2021.
APA
Sun, P., Chen, S., Su, Z., & He, Y. (2021). The tuberous sclerosis complex‑associated giant renal angiomyolipoma: A case report. Molecular and Clinical Oncology, 14, 52. https://doi.org/10.3892/mco.2021.2214
MLA
Sun, P., Chen, S., Su, Z., He, Y."The tuberous sclerosis complex‑associated giant renal angiomyolipoma: A case report". Molecular and Clinical Oncology 14.3 (2021): 52.
Chicago
Sun, P., Chen, S., Su, Z., He, Y."The tuberous sclerosis complex‑associated giant renal angiomyolipoma: A case report". Molecular and Clinical Oncology 14, no. 3 (2021): 52. https://doi.org/10.3892/mco.2021.2214
Copy and paste a formatted citation
x
Spandidos Publications style
Sun P, Chen S, Su Z and He Y: The tuberous sclerosis complex‑associated giant renal angiomyolipoma: A case report. Mol Clin Oncol 14: 52, 2021.
APA
Sun, P., Chen, S., Su, Z., & He, Y. (2021). The tuberous sclerosis complex‑associated giant renal angiomyolipoma: A case report. Molecular and Clinical Oncology, 14, 52. https://doi.org/10.3892/mco.2021.2214
MLA
Sun, P., Chen, S., Su, Z., He, Y."The tuberous sclerosis complex‑associated giant renal angiomyolipoma: A case report". Molecular and Clinical Oncology 14.3 (2021): 52.
Chicago
Sun, P., Chen, S., Su, Z., He, Y."The tuberous sclerosis complex‑associated giant renal angiomyolipoma: A case report". Molecular and Clinical Oncology 14, no. 3 (2021): 52. https://doi.org/10.3892/mco.2021.2214
Follow us
  • Twitter
  • LinkedIn
  • Facebook
About
  • Spandidos Publications
  • Careers
  • Cookie Policy
  • Privacy Policy
How can we help?
  • Help
  • Live Chat
  • Contact
  • Email to our Support Team