Spandidos Publications Logo
  • About
    • About Spandidos
    • Aims and Scopes
    • Abstracting and Indexing
    • Editorial Policies
    • Reprints and Permissions
    • Job Opportunities
    • Terms and Conditions
    • Contact
  • Journals
    • All Journals
    • Oncology Letters
      • Oncology Letters
      • Information for Authors
      • Editorial Policies
      • Editorial Board
      • Aims and Scope
      • Abstracting and Indexing
      • Bibliographic Information
      • Archive
    • International Journal of Oncology
      • International Journal of Oncology
      • Information for Authors
      • Editorial Policies
      • Editorial Board
      • Aims and Scope
      • Abstracting and Indexing
      • Bibliographic Information
      • Archive
    • Molecular and Clinical Oncology
      • Molecular and Clinical Oncology
      • Information for Authors
      • Editorial Policies
      • Editorial Board
      • Aims and Scope
      • Abstracting and Indexing
      • Bibliographic Information
      • Archive
    • Experimental and Therapeutic Medicine
      • Experimental and Therapeutic Medicine
      • Information for Authors
      • Editorial Policies
      • Editorial Board
      • Aims and Scope
      • Abstracting and Indexing
      • Bibliographic Information
      • Archive
    • International Journal of Molecular Medicine
      • International Journal of Molecular Medicine
      • Information for Authors
      • Editorial Policies
      • Editorial Board
      • Aims and Scope
      • Abstracting and Indexing
      • Bibliographic Information
      • Archive
    • Biomedical Reports
      • Biomedical Reports
      • Information for Authors
      • Editorial Policies
      • Editorial Board
      • Aims and Scope
      • Abstracting and Indexing
      • Bibliographic Information
      • Archive
    • Oncology Reports
      • Oncology Reports
      • Information for Authors
      • Editorial Policies
      • Editorial Board
      • Aims and Scope
      • Abstracting and Indexing
      • Bibliographic Information
      • Archive
    • Molecular Medicine Reports
      • Molecular Medicine Reports
      • Information for Authors
      • Editorial Policies
      • Editorial Board
      • Aims and Scope
      • Abstracting and Indexing
      • Bibliographic Information
      • Archive
    • World Academy of Sciences Journal
      • World Academy of Sciences Journal
      • Information for Authors
      • Editorial Policies
      • Editorial Board
      • Aims and Scope
      • Abstracting and Indexing
      • Bibliographic Information
      • Archive
    • International Journal of Functional Nutrition
      • International Journal of Functional Nutrition
      • Information for Authors
      • Editorial Policies
      • Editorial Board
      • Aims and Scope
      • Abstracting and Indexing
      • Bibliographic Information
      • Archive
    • International Journal of Epigenetics
      • International Journal of Epigenetics
      • Information for Authors
      • Editorial Policies
      • Editorial Board
      • Aims and Scope
      • Abstracting and Indexing
      • Bibliographic Information
      • Archive
    • Medicine International
      • Medicine International
      • Information for Authors
      • Editorial Policies
      • Editorial Board
      • Aims and Scope
      • Abstracting and Indexing
      • Bibliographic Information
      • Archive
  • Articles
  • Information
    • Information for Authors
    • Information for Reviewers
    • Information for Librarians
    • Information for Advertisers
    • Conferences
  • Language Editing
Spandidos Publications Logo
  • About
    • About Spandidos
    • Aims and Scopes
    • Abstracting and Indexing
    • Editorial Policies
    • Reprints and Permissions
    • Job Opportunities
    • Terms and Conditions
    • Contact
  • Journals
    • All Journals
    • Biomedical Reports
      • Information for Authors
      • Editorial Policies
      • Editorial Board
      • Aims and Scope
      • Abstracting and Indexing
      • Bibliographic Information
      • Archive
    • Experimental and Therapeutic Medicine
      • Information for Authors
      • Editorial Policies
      • Editorial Board
      • Aims and Scope
      • Abstracting and Indexing
      • Bibliographic Information
      • Archive
    • International Journal of Epigenetics
      • Information for Authors
      • Editorial Policies
      • Editorial Board
      • Aims and Scope
      • Abstracting and Indexing
      • Bibliographic Information
      • Archive
    • International Journal of Functional Nutrition
      • Information for Authors
      • Editorial Policies
      • Editorial Board
      • Aims and Scope
      • Abstracting and Indexing
      • Bibliographic Information
      • Archive
    • International Journal of Molecular Medicine
      • Information for Authors
      • Editorial Policies
      • Editorial Board
      • Aims and Scope
      • Abstracting and Indexing
      • Bibliographic Information
      • Archive
    • International Journal of Oncology
      • Information for Authors
      • Editorial Policies
      • Editorial Board
      • Aims and Scope
      • Abstracting and Indexing
      • Bibliographic Information
      • Archive
    • Medicine International
      • Information for Authors
      • Editorial Policies
      • Editorial Board
      • Aims and Scope
      • Abstracting and Indexing
      • Bibliographic Information
      • Archive
    • Molecular and Clinical Oncology
      • Information for Authors
      • Editorial Policies
      • Editorial Board
      • Aims and Scope
      • Abstracting and Indexing
      • Bibliographic Information
      • Archive
    • Molecular Medicine Reports
      • Information for Authors
      • Editorial Policies
      • Editorial Board
      • Aims and Scope
      • Abstracting and Indexing
      • Bibliographic Information
      • Archive
    • Oncology Letters
      • Information for Authors
      • Editorial Policies
      • Editorial Board
      • Aims and Scope
      • Abstracting and Indexing
      • Bibliographic Information
      • Archive
    • Oncology Reports
      • Information for Authors
      • Editorial Policies
      • Editorial Board
      • Aims and Scope
      • Abstracting and Indexing
      • Bibliographic Information
      • Archive
    • World Academy of Sciences Journal
      • Information for Authors
      • Editorial Policies
      • Editorial Board
      • Aims and Scope
      • Abstracting and Indexing
      • Bibliographic Information
      • Archive
  • Articles
  • Information
    • For Authors
    • For Reviewers
    • For Librarians
    • For Advertisers
    • Conferences
  • Language Editing
Login Register Submit
  • This site uses cookies
  • You can change your cookie settings at any time by following the instructions in our Cookie Policy. To find out more, you may read our Privacy Policy.

    I agree
Search articles by DOI, keyword, author or affiliation
Search
Advanced Search
presentation
Molecular and Clinical Oncology
Join Editorial Board Propose a Special Issue
Print ISSN: 2049-9450 Online ISSN: 2049-9469
Journal Cover
January-2022 Volume 16 Issue 1

Full Size Image

Sign up for eToc alerts
Recommend to Library

Journals

International Journal of Molecular Medicine

International Journal of Molecular Medicine

International Journal of Molecular Medicine is an international journal devoted to molecular mechanisms of human disease.

International Journal of Oncology

International Journal of Oncology

International Journal of Oncology is an international journal devoted to oncology research and cancer treatment.

Molecular Medicine Reports

Molecular Medicine Reports

Covers molecular medicine topics such as pharmacology, pathology, genetics, neuroscience, infectious diseases, molecular cardiology, and molecular surgery.

Oncology Reports

Oncology Reports

Oncology Reports is an international journal devoted to fundamental and applied research in Oncology.

Experimental and Therapeutic Medicine

Experimental and Therapeutic Medicine

Experimental and Therapeutic Medicine is an international journal devoted to laboratory and clinical medicine.

Oncology Letters

Oncology Letters

Oncology Letters is an international journal devoted to Experimental and Clinical Oncology.

Biomedical Reports

Biomedical Reports

Explores a wide range of biological and medical fields, including pharmacology, genetics, microbiology, neuroscience, and molecular cardiology.

Molecular and Clinical Oncology

Molecular and Clinical Oncology

International journal addressing all aspects of oncology research, from tumorigenesis and oncogenes to chemotherapy and metastasis.

World Academy of Sciences Journal

World Academy of Sciences Journal

Multidisciplinary open-access journal spanning biochemistry, genetics, neuroscience, environmental health, and synthetic biology.

International Journal of Functional Nutrition

International Journal of Functional Nutrition

Open-access journal combining biochemistry, pharmacology, immunology, and genetics to advance health through functional nutrition.

International Journal of Epigenetics

International Journal of Epigenetics

Publishes open-access research on using epigenetics to advance understanding and treatment of human disease.

Medicine International

Medicine International

An International Open Access Journal Devoted to General Medicine.

Journal Cover
January-2022 Volume 16 Issue 1

Full Size Image

Sign up for eToc alerts
Recommend to Library

  • Article
  • Citations
    • Cite This Article
    • Download Citation
    • Create Citation Alert
    • Remove Citation Alert
    • Cited By
  • Similar Articles
    • Related Articles (in Spandidos Publications)
    • Similar Articles (Google Scholar)
    • Similar Articles (PubMed)
  • Download PDF
  • Download XML
  • View XML
Article

Four cases of medullary thyroid carcinomas associated with multiple endocrine neoplasia 2B with rearranged during transfection codon M918T mutation in the same family

  • Authors:
    • Akihisa Tanaka
    • Hirokazu Uemura
    • Chihiro Morimoto
    • Ari Nishimura
    • Yumi Yoshii
    • Takashi Masui
    • Ichiro Ota
    • Tadashi Kitahara
  • View Affiliations / Copyright

    Affiliations: Department of Otolaryngology‑Head and Neck Surgery, Nara Medical University, Kashihara, Nara 634‑8522, Japan, Division of Gastrointestinal Oncology, Shizuoka Cancer Center, Sunto‑Gun, Shizuoka 411‑8777, Japan, Departments of Cancer Genomics and Medical Oncology, Nara Medical University, Kashihara, Nara 634‑8522, Japan
  • Article Number: 13
    |
    Published online on: November 21, 2021
       https://doi.org/10.3892/mco.2021.2450
  • Expand metrics +
Metrics: Total Views: 0 (Spandidos Publications: | PMC Statistics: )
Metrics: Total PDF Downloads: 0 (Spandidos Publications: | PMC Statistics: )
Cited By (CrossRef): 0 citations Loading Articles...

This article is mentioned in:



Abstract

Multiple endocrine neoplasia (MEN) with medullary thyroid carcinoma (MTC) is associated with rearranged during transfection (RET) mutations. The authors encountered four cases of MTC‑related MEN type 2B (MEN2B) with RET codon M918T mutation in one family. Case 1 included a 19 year‑old male diagnosed with MTC with lung metastases. Genetic testing revealed an RET codon M918T mutation, which indicated MEN2B. The patient responded partially to vandetanib and the disease has shown no progression in 25 months. Case 2 involved the mother of the patient in Case 1. She underwent total thyroidectomy (TT) when diagnosed with MTC‑related MEN2B at 12 years of age, but was not counseled adequately. Cases 3 and 4 involved the sisters of the Case 1 patient and were assessed after Case 1 was diagnosed. Genetic testing revealed the same mutation. Case 3 was diagnosed with MTC and underwent TT. Case 4 was asymptomatic but underwent prophylactic TT; histopathologic examination revealed MTC tissue. Prophylactic TT prevented MTC from being detected at an advanced state. Genetic counseling is essential in treating MEN2B. The mother was uninformed about the genetic characteristics of MEN2B, delaying the detection of MTC in her children. The present study reaffirms the importance of family history and screening.

Introduction

Medullary thyroid carcinoma (MTC), which accounts for 1-2% of thyroid carcinomas, occurs sporadically or in a hereditary form associated with two types of multiple endocrine neoplasia (MEN), MEN2A and MEN2B, as well as familial MTC (FMTC) (1-7). MEN is inherited in an autosomal dominant manner (4,5). The rearranged during transfection (RET) germline mutation is associated with MEN2A, MEN2B and FTMC and most patients with MEN2B have RET codon M918T mutation (2-7). The RET codon M918T mutation is the highest risk factor for MTC, according to American Thyroid Association (ATA) guidelines (8). Although the diagnosis of MEN2B at an early age is optimal, the majority of patients are diagnosed after reaching an advanced state (9). MTC and MEN2B patients as well as their relatives must be examined carefully due to the hereditary characteristics of this disease. Genetic counseling is necessary in numerous cases. The authors of the present study encountered four cases of MTC with MEN2B in the same family. Sequencing by synthesis was adopted for genetic testing of all four cases (10).

Case reports

Case 1

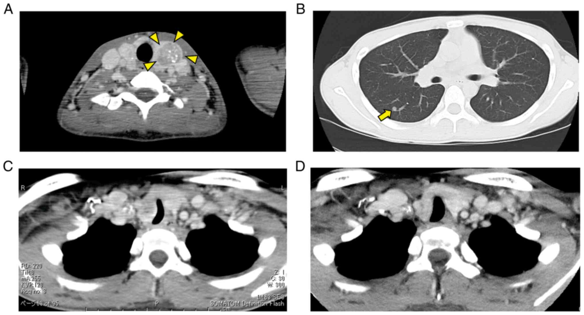
The first case was that of a 19-year-old male presenting with cervical swelling, dyspnea and chronic diarrhea. Peculiar physical features included neuromas of the tongue (Fig. 1A) and eyelid (Fig. 1B), as well as marfanoid habitus (Fig. 1C). A blood test revealed high levels of carcinoembryonic antigen (CEA) and calcitonin (Ctn). Computed tomography (CT) showed unresectable tumors of the thyroid, bilateral neck lymphadenopathy (Fig. 2A) and multiple nodules in both lungs (Fig. 2B). The trachea was narrowed and deviated due to a thyroid mass (Fig. 2C). Histologic examination confirmed a diagnosis of MTC (cT4bN1bM1, stage IV). Due to lung metastases, vandetanib, a tyrosine kinase inhibitor, was administered. The daily dose of vandetanib was 300 mg. Cardiovascular monitoring was also performed to control electrolyte disturbance-related adverse events due to persistent diarrhea and arrhythmia, such as QT prolongation. Although QT prolongation developed in the patient, the treatment continued without complication. After starting treatment with vandetanib, diarrhea persisted with varying severity. On the contrary, the tumor size was mildly reduced (Fig. 2D). All the nodules in the lungs disappeared. At 25 months after the initial treatment, the patient remains in good condition and the disease has shown no progression. Genetic testing identified the RET mutation in the M918T codon. As the patient confirmed MEN2B, the authors suggested genetic counseling for the family.

Figure 1

Clinical features of multiple endocrine neoplasia 2B in Case 1. (A) Neuromas of the tongue. (B) A neuroma of an eyelid (surrounded by a circle). (C) Spider fingers (marfanoid habitus).

Figure 2

Computed tomography (CT) scan results of Case 1. (A) A thyroid tumor is shown (surrounded by arrowheads). (B) The CT scan demonstrates lung metastasis (pointed with an arrow). (C) The trachea was narrowed and deviated by the thyroid mass. (D) The CT scan shows an improvement in tracheal deviation in Case 1 after initiation of treatment.

Case 2

The second case was that of the 43-year-old mother of the patient in Case 1. She presented with eyelid neuromas. She was treated for MTC surgically at another hospital when she was 12 years old. Regrettably, the hereditary nature of her disease was not explained to her. It was not until her son was diagnosed as MEB2B that she understood the disease. Genetic testing at Nara Medical University identified her children's RET codon M918T mutation. As her parents had no history of thyroid disease, she may have been the first in her family to acquire an RET codon M918T mutation and developed MTC. Records from her previous hospital showed that she had undergone total thyroidectomy (TT) with bilateral neck dissection and was negative for pheochromocytoma (PHEO). In addition, she had been diagnosed with mucosal neuroma of the tongue based on histopathologic examination. She has been followed up at Nara Medical University and no recurrence or distant metastasis has been observed.

Case 3

The third case was that of the 16-year-old elder sister of the patient in Case 1. Although she had no symptoms of MTC, she had tongue neuromas similar to those of her brother. She underwent MTC assessment after her mother and brother were diagnosed. Her blood tests showed abnormally high levels of CEA and Ctn and thyroid masses were detected by ultrasonography. Although an adrenal gland mass was detected by ultrasonography, she was negative for PHEO based on blood test analysis and magnetic resonance imaging. Eventually, MTC was confirmed histocytologically by fine-needle aspiration cytology. Positron emission tomography did not show any signs of lymph node or distant metastases. The patient underwent TT with neck dissection in the central compartment. She exhibits no signs of recurrence 24 months after surgery. Genetic testing also revealed an RET codon M918T mutation.

Case 4

The final case was that of the younger sister of the patient in Case 1. She was 10 years old at the time of treatment. She also had neuromas of the tongue and additional ophthalmologic abnormalities. She had slightly high Ctn levels but no thyroid masses. In addition, no adrenal gland tumors were detected and she was also biochemically negative for PHEO. However, considering the family history of MEN2B, it was decided that prophylactic TT was necessary. Genetic testing identified an RET codon M918T mutation. Postoperative histopathologic examination of the thyroid gland revealed a small amount of MTC tissue. She exhibits no signs of recurrence 21 months after surgery.

Discussion

MTC is a relatively rare type of thyroid malignancy that arises from parafollicular C cells (1,11). MTC may occur sporadically or may be inherited as a component of MEN 2 syndrome (6,7). RET oncogenes were discovered by Takahashi et al (12) in 1985. All patients with MEN 2 syndrome possess RET mutations. The ATA classifies the risk according to the codon of the gene mutation. Additionally, treatment recommendations are based on the risk category (8). The RET codon M918T mutation, which accounts for 95% of patients with MEN2B, is classified in the highest risk category (4,5,8). TT is recommended for all patients with resectable MTC without evidence of distant metastases. In addition, prophylactic TT for patients with MEN2B associated with RET codon M918T mutation is recommended by the ATA guidelines, even in the first year of life, as they are at high risk for MTC in the future (8).

Although the patients in the present study responded well to treatment, most patients with MTC associated with MEN2B are diagnosed at an advanced state of the disease, as in Cases 1 and 3. In Cases 1 and 3, the levels of Ctn and CEA decreased markedly after their respective treatments (Figs. 3 and 4). The level of Ctn in Case 4 also decreased after surgery although patients with MTC are likely to maintain high Ctn levels after surgery (13).

Figure 3

Changes in calcitonin (Ctn) and carcinoembryonic antigen (CEA) levels in Case 1. The levels of Ctn and CEA decreased markedly following the initiation of treatment.

Figure 4

Changes in calcitonin (Ctn) and carcinoembryonic antigen (CEA) levels in Case 3. The levels of Ctn and CEA decreased markedly following surgery.

In Japan, the treatment strategy for asymptomatic MTC with MEN2B is still not standardized. This influenced our treatment of Case 4, as the patient was asymptomatic but had the gene mutation. We had to obtain approval from the ethics committee and the director of our institution to perform prophylactic TT for Case 4. Due to the lack of available local data, there is still no consensus on the age group on which to perform prophylactic surgery in Japan. In Case 4, postoperative histopathologic examination of the thyroid gland revealed a small amount of MTC tissue and prophylactic TT turned out to be significant.

The patient in Case 2 was not given adequate information about her disease despite undergoing TT for MTC. Therefore, genetic counseling and the lack thereof played an especially important role in our cases. The mother faced difficulty understanding the hereditary nature of their familial disease or the necessity of genetic testing for her children. At first, she was reluctant about genetic testing. However, she gradually understood the significance of testing for RET germline mutations through genetic counseling, which was performed by a multidisciplinary team consisting of head and neck doctors, a medical geneticist, oncologists, nurses and a genetic counselor. Her consent to genetic testing was essential in detecting Cases 3 and 4. Follow-up genetic counseling is required whenever genetic testing is conducted. In 2016, RET genetic testing for patients with MTC received insurance coverage in Japan. However, RET screening before clinical onset is not covered by insurance, even if first-degree relatives have been diagnosed with hereditary MTC. This may result in hesitation to genetic testing and a delay in diagnosis.

In our cases, when the mother was diagnosed with MTC-related MEN2B, there was still insufficient awareness of the genetic characteristics of this disease. Considering this background, the importance of family history and the need for family screening are reaffirmed.

In conclusion, there is no consensus on the age to perform prophylactic TT in Japan. In our case, prophylactic TT prevented MTC from being detected in an advanced state. MEN2B patients should be treated at the optimal time and appropriate genetic counseling is essential in order to prevent delayed diagnosis. We should be aware of the genetic characteristics of MTC-related MEN2B and reaffirm the importance of family history and the need for family screening.

Acknowledgements

Not applicable.

Funding

Funding: No funding was received.

Availability of data and materials

The datasets used and/or analyzed during the current study are available from the corresponding author on reasonable request.

Authors' contributions

AT made substantial contributions to conception and acquisition of data and drafted the manuscript. AT, HU, CM, AN, YY and IO were involved in obtaining the informed consent, literature review, manuscript writing and patient management. TM and TK provided cancer-related scientific inputs and critically revised the manuscript. All authors have accepted responsibility for the entire content of this manuscript and have approved its submission. All authors read and approved the final manuscript.

Ethics approval and consent to participate

The present study was approved by the Ethics Committee of Nara Medical University Hospital and written informed consent was obtained from the patients.

Patient consent for publication

Written informed consent was obtained from the patients for the publication of this case report and any accompanying images.

Competing interests

The authors declare that they have no competing interests.

References

1 

Lim H, Devesa SS, Sosa JA, Check D and Kitahara CM: Trends in thyroid cancer incidence and mortality in the United States, 1974-2013. JAMA. 317:1338–1348. 2017.PubMed/NCBI View Article : Google Scholar

2 

Donis-Keller H, Dou S, Chi D, Carlson KM, Toshima K, Lairmore TC, Howe JR, Moley JF, Goodfellow P and Wells SA Jr: Mutations in the RET proto-oncogene are associated with MEN 2A and FMTC. Hum Mol Genet. 2:851–856. 1993.PubMed/NCBI View Article : Google Scholar

3 

Mulligan LM, Kwok JB, Healey CS, Elsdon MJ, Eng C, Gardner E, Love DR, Mole SE, Moore JK, Papi L, et al: Germ-line mutations of the RET proto-oncogene in multiple endocrine neoplasia type 2A. Nature. 363:458–460. 1993.PubMed/NCBI View Article : Google Scholar

4 

Carlson KM, Dou S, Chi D, Scavarda N, Toshima K, Jackson CE, Wells SA Jr, Goodfellow PJ and Donis-Keller H: Single missense mutation in the tyrosine kinase catalytic domain of the RET protooncogene is associated with multiple endocrine neoplasia type 2B. Proc Natl Acad Sci USA. 91:1579–1583. 1994.PubMed/NCBI View Article : Google Scholar

5 

Hofstra RM, Landsvater RM, Ceccherini I, Stulp RP, Stelwagen T, Luo Y, Pasini B, Höppener JW, van Amstel HK, Romeo G, et al: A mutation in the RET proto-oncogene associated with multiple endocrine neoplasia type 2B and sporadic medullary thyroid carcinoma. Nature. 367:375–376. 1994.PubMed/NCBI View Article : Google Scholar

6 

Mulligan LM: 65 years of the double helix: Exploiting insights on the RET receptor for personalized cancer medicine. Endocr Relat Cancer. 25:T189–T200. 2018.PubMed/NCBI View Article : Google Scholar

7 

Eng C, Mulligan LM, Smith DP, Healey CS, Frilling A, Raue F, Neumann HP, Pfragner R, Behmel A, Lorenzo MJ, et al: Mutation of the RET protooncogene in sporadic medullary thyroid carcinoma. Genes Chromosom Cancer. 12:209–212. 1995.PubMed/NCBI View Article : Google Scholar

8 

Wells SA Jr, Asa SL, Dralle H, Elisei R, Evans DB, Gagel RF, Lee N, Machens A, Moley JF, Pacini F, et al: Revised American thyroid association guidelines for the management of medullary thyroid carcinoma. Thyroid. 25:567–610. 2015.PubMed/NCBI View Article : Google Scholar

9 

Waguespack SG, Rich TA, Perrier ND, Jimenez C and Cote GJ: Management of medullary thyroid carcinoma and MEN2 syndromes in childhood. Nat Rev Endocrinol. 7:596–607. 2011.PubMed/NCBI View Article : Google Scholar

10 

Bentley DR, Balasubramanian S, Swerdlow HP, Smith GP, Milton J, Brown CG, Hall KP, Evers DJ, Barnes CL, Bignell HR, et al: Accurate whole human genome sequencing using reversible terminator chemistry. Nature. 456:53–59. 2008.PubMed/NCBI View Article : Google Scholar

11 

Williams ED: Histogenesis of medullary carcinoma of the thyroid. J Clin Pathol. 19:114–118. 1966.PubMed/NCBI View Article : Google Scholar

12 

Takahashi M, Ritz J and Cooper GM: Activation of a novel human transforming gene, ret, by DNA rearrangement. Cell. 42:581–588. 1985.PubMed/NCBI View Article : Google Scholar

13 

Uchino S: Prognostic factors for medullary thyroid cancer. J JAES JSTS. 36:158–164. 2019.

Related Articles

  • Abstract
  • View
  • Download
  • Twitter
Copy and paste a formatted citation
Spandidos Publications style
Tanaka A, Uemura H, Morimoto C, Nishimura A, Yoshii Y, Masui T, Ota I and Kitahara T: Four cases of medullary thyroid carcinomas associated with multiple endocrine neoplasia 2B with rearranged during transfection codon M918T mutation in the same family. Mol Clin Oncol 16: 13, 2022.
APA
Tanaka, A., Uemura, H., Morimoto, C., Nishimura, A., Yoshii, Y., Masui, T. ... Kitahara, T. (2022). Four cases of medullary thyroid carcinomas associated with multiple endocrine neoplasia 2B with rearranged during transfection codon M918T mutation in the same family. Molecular and Clinical Oncology, 16, 13. https://doi.org/10.3892/mco.2021.2450
MLA
Tanaka, A., Uemura, H., Morimoto, C., Nishimura, A., Yoshii, Y., Masui, T., Ota, I., Kitahara, T."Four cases of medullary thyroid carcinomas associated with multiple endocrine neoplasia 2B with rearranged during transfection codon M918T mutation in the same family". Molecular and Clinical Oncology 16.1 (2022): 13.
Chicago
Tanaka, A., Uemura, H., Morimoto, C., Nishimura, A., Yoshii, Y., Masui, T., Ota, I., Kitahara, T."Four cases of medullary thyroid carcinomas associated with multiple endocrine neoplasia 2B with rearranged during transfection codon M918T mutation in the same family". Molecular and Clinical Oncology 16, no. 1 (2022): 13. https://doi.org/10.3892/mco.2021.2450
Copy and paste a formatted citation
x
Spandidos Publications style
Tanaka A, Uemura H, Morimoto C, Nishimura A, Yoshii Y, Masui T, Ota I and Kitahara T: Four cases of medullary thyroid carcinomas associated with multiple endocrine neoplasia 2B with rearranged during transfection codon M918T mutation in the same family. Mol Clin Oncol 16: 13, 2022.
APA
Tanaka, A., Uemura, H., Morimoto, C., Nishimura, A., Yoshii, Y., Masui, T. ... Kitahara, T. (2022). Four cases of medullary thyroid carcinomas associated with multiple endocrine neoplasia 2B with rearranged during transfection codon M918T mutation in the same family. Molecular and Clinical Oncology, 16, 13. https://doi.org/10.3892/mco.2021.2450
MLA
Tanaka, A., Uemura, H., Morimoto, C., Nishimura, A., Yoshii, Y., Masui, T., Ota, I., Kitahara, T."Four cases of medullary thyroid carcinomas associated with multiple endocrine neoplasia 2B with rearranged during transfection codon M918T mutation in the same family". Molecular and Clinical Oncology 16.1 (2022): 13.
Chicago
Tanaka, A., Uemura, H., Morimoto, C., Nishimura, A., Yoshii, Y., Masui, T., Ota, I., Kitahara, T."Four cases of medullary thyroid carcinomas associated with multiple endocrine neoplasia 2B with rearranged during transfection codon M918T mutation in the same family". Molecular and Clinical Oncology 16, no. 1 (2022): 13. https://doi.org/10.3892/mco.2021.2450
Follow us
  • Twitter
  • LinkedIn
  • Facebook
About
  • Spandidos Publications
  • Careers
  • Cookie Policy
  • Privacy Policy
How can we help?
  • Help
  • Live Chat
  • Contact
  • Email to our Support Team