Spandidos Publications Logo
  • About
    • About Spandidos
    • Aims and Scopes
    • Abstracting and Indexing
    • Editorial Policies
    • Reprints and Permissions
    • Job Opportunities
    • Terms and Conditions
    • Contact
  • Journals
    • All Journals
    • Oncology Letters
      • Oncology Letters
      • Information for Authors
      • Editorial Policies
      • Editorial Board
      • Aims and Scope
      • Abstracting and Indexing
      • Bibliographic Information
      • Archive
    • International Journal of Oncology
      • International Journal of Oncology
      • Information for Authors
      • Editorial Policies
      • Editorial Board
      • Aims and Scope
      • Abstracting and Indexing
      • Bibliographic Information
      • Archive
    • Molecular and Clinical Oncology
      • Molecular and Clinical Oncology
      • Information for Authors
      • Editorial Policies
      • Editorial Board
      • Aims and Scope
      • Abstracting and Indexing
      • Bibliographic Information
      • Archive
    • Experimental and Therapeutic Medicine
      • Experimental and Therapeutic Medicine
      • Information for Authors
      • Editorial Policies
      • Editorial Board
      • Aims and Scope
      • Abstracting and Indexing
      • Bibliographic Information
      • Archive
    • International Journal of Molecular Medicine
      • International Journal of Molecular Medicine
      • Information for Authors
      • Editorial Policies
      • Editorial Board
      • Aims and Scope
      • Abstracting and Indexing
      • Bibliographic Information
      • Archive
    • Biomedical Reports
      • Biomedical Reports
      • Information for Authors
      • Editorial Policies
      • Editorial Board
      • Aims and Scope
      • Abstracting and Indexing
      • Bibliographic Information
      • Archive
    • Oncology Reports
      • Oncology Reports
      • Information for Authors
      • Editorial Policies
      • Editorial Board
      • Aims and Scope
      • Abstracting and Indexing
      • Bibliographic Information
      • Archive
    • Molecular Medicine Reports
      • Molecular Medicine Reports
      • Information for Authors
      • Editorial Policies
      • Editorial Board
      • Aims and Scope
      • Abstracting and Indexing
      • Bibliographic Information
      • Archive
    • World Academy of Sciences Journal
      • World Academy of Sciences Journal
      • Information for Authors
      • Editorial Policies
      • Editorial Board
      • Aims and Scope
      • Abstracting and Indexing
      • Bibliographic Information
      • Archive
    • International Journal of Functional Nutrition
      • International Journal of Functional Nutrition
      • Information for Authors
      • Editorial Policies
      • Editorial Board
      • Aims and Scope
      • Abstracting and Indexing
      • Bibliographic Information
      • Archive
    • International Journal of Epigenetics
      • International Journal of Epigenetics
      • Information for Authors
      • Editorial Policies
      • Editorial Board
      • Aims and Scope
      • Abstracting and Indexing
      • Bibliographic Information
      • Archive
    • Medicine International
      • Medicine International
      • Information for Authors
      • Editorial Policies
      • Editorial Board
      • Aims and Scope
      • Abstracting and Indexing
      • Bibliographic Information
      • Archive
  • Articles
  • Information
    • Information for Authors
    • Information for Reviewers
    • Information for Librarians
    • Information for Advertisers
    • Conferences
  • Language Editing
Spandidos Publications Logo
  • About
    • About Spandidos
    • Aims and Scopes
    • Abstracting and Indexing
    • Editorial Policies
    • Reprints and Permissions
    • Job Opportunities
    • Terms and Conditions
    • Contact
  • Journals
    • All Journals
    • Biomedical Reports
      • Information for Authors
      • Editorial Policies
      • Editorial Board
      • Aims and Scope
      • Abstracting and Indexing
      • Bibliographic Information
      • Archive
    • Experimental and Therapeutic Medicine
      • Information for Authors
      • Editorial Policies
      • Editorial Board
      • Aims and Scope
      • Abstracting and Indexing
      • Bibliographic Information
      • Archive
    • International Journal of Epigenetics
      • Information for Authors
      • Editorial Policies
      • Editorial Board
      • Aims and Scope
      • Abstracting and Indexing
      • Bibliographic Information
      • Archive
    • International Journal of Functional Nutrition
      • Information for Authors
      • Editorial Policies
      • Editorial Board
      • Aims and Scope
      • Abstracting and Indexing
      • Bibliographic Information
      • Archive
    • International Journal of Molecular Medicine
      • Information for Authors
      • Editorial Policies
      • Editorial Board
      • Aims and Scope
      • Abstracting and Indexing
      • Bibliographic Information
      • Archive
    • International Journal of Oncology
      • Information for Authors
      • Editorial Policies
      • Editorial Board
      • Aims and Scope
      • Abstracting and Indexing
      • Bibliographic Information
      • Archive
    • Medicine International
      • Information for Authors
      • Editorial Policies
      • Editorial Board
      • Aims and Scope
      • Abstracting and Indexing
      • Bibliographic Information
      • Archive
    • Molecular and Clinical Oncology
      • Information for Authors
      • Editorial Policies
      • Editorial Board
      • Aims and Scope
      • Abstracting and Indexing
      • Bibliographic Information
      • Archive
    • Molecular Medicine Reports
      • Information for Authors
      • Editorial Policies
      • Editorial Board
      • Aims and Scope
      • Abstracting and Indexing
      • Bibliographic Information
      • Archive
    • Oncology Letters
      • Information for Authors
      • Editorial Policies
      • Editorial Board
      • Aims and Scope
      • Abstracting and Indexing
      • Bibliographic Information
      • Archive
    • Oncology Reports
      • Information for Authors
      • Editorial Policies
      • Editorial Board
      • Aims and Scope
      • Abstracting and Indexing
      • Bibliographic Information
      • Archive
    • World Academy of Sciences Journal
      • Information for Authors
      • Editorial Policies
      • Editorial Board
      • Aims and Scope
      • Abstracting and Indexing
      • Bibliographic Information
      • Archive
  • Articles
  • Information
    • For Authors
    • For Reviewers
    • For Librarians
    • For Advertisers
    • Conferences
  • Language Editing
Login Register Submit
  • This site uses cookies
  • You can change your cookie settings at any time by following the instructions in our Cookie Policy. To find out more, you may read our Privacy Policy.

    I agree
Search articles by DOI, keyword, author or affiliation
Search
Advanced Search
presentation
Molecular and Clinical Oncology
Join Editorial Board Propose a Special Issue
Print ISSN: 2049-9450 Online ISSN: 2049-9469
Journal Cover
July-2022 Volume 17 Issue 1

Full Size Image

Sign up for eToc alerts
Recommend to Library

Journals

International Journal of Molecular Medicine

International Journal of Molecular Medicine

International Journal of Molecular Medicine is an international journal devoted to molecular mechanisms of human disease.

International Journal of Oncology

International Journal of Oncology

International Journal of Oncology is an international journal devoted to oncology research and cancer treatment.

Molecular Medicine Reports

Molecular Medicine Reports

Covers molecular medicine topics such as pharmacology, pathology, genetics, neuroscience, infectious diseases, molecular cardiology, and molecular surgery.

Oncology Reports

Oncology Reports

Oncology Reports is an international journal devoted to fundamental and applied research in Oncology.

Experimental and Therapeutic Medicine

Experimental and Therapeutic Medicine

Experimental and Therapeutic Medicine is an international journal devoted to laboratory and clinical medicine.

Oncology Letters

Oncology Letters

Oncology Letters is an international journal devoted to Experimental and Clinical Oncology.

Biomedical Reports

Biomedical Reports

Explores a wide range of biological and medical fields, including pharmacology, genetics, microbiology, neuroscience, and molecular cardiology.

Molecular and Clinical Oncology

Molecular and Clinical Oncology

International journal addressing all aspects of oncology research, from tumorigenesis and oncogenes to chemotherapy and metastasis.

World Academy of Sciences Journal

World Academy of Sciences Journal

Multidisciplinary open-access journal spanning biochemistry, genetics, neuroscience, environmental health, and synthetic biology.

International Journal of Functional Nutrition

International Journal of Functional Nutrition

Open-access journal combining biochemistry, pharmacology, immunology, and genetics to advance health through functional nutrition.

International Journal of Epigenetics

International Journal of Epigenetics

Publishes open-access research on using epigenetics to advance understanding and treatment of human disease.

Medicine International

Medicine International

An International Open Access Journal Devoted to General Medicine.

Journal Cover
July-2022 Volume 17 Issue 1

Full Size Image

Sign up for eToc alerts
Recommend to Library

  • Article
  • Citations
    • Cite This Article
    • Download Citation
    • Create Citation Alert
    • Remove Citation Alert
    • Cited By
  • Similar Articles
    • Related Articles (in Spandidos Publications)
    • Similar Articles (Google Scholar)
    • Similar Articles (PubMed)
  • Download PDF
  • Download XML
  • View XML
Case Report Open Access

Pembrolizumab‑induced aseptic meningitis in a patient with non‑small cell lung cancer: A case report and literature review of aseptic meningitis as an immune‑related adverse event

  • Authors:
    • Genki Inui
    • Yoshihiro Funaki
    • Haruhiko Makino
    • Hirokazu Touge
    • Katsunori Arai
    • Keisuke Kuroda
    • Yuuki Hirayama
    • Ryohei Kato
    • Takafumi Nonaka
    • Kohei Yamane
    • Yasuhiko Teruya
    • Yuriko Sueda
    • Tomohiro Sakamoto
    • Kosuke Yamaguchi
    • Masahiro Kodani
    • Shinya Kawase
    • Yoshihisa Umekita
    • Yasushi Horie
    • Kanae Nosaka
    • Akira Yamasaki
  • View Affiliations / Copyright

    Affiliations: Department of Multidisciplinary Internal Medicine, Division of Respiratory Medicine and Rheumatology, Faculty of Medicine, Tottori University, Yonago, Tottori 683‑8503, Japan, Department of Respiratory Medicine, Yonago Medical Center, Yonago, Tottori 683‑0006, Japan, Department of Brain and Neurosciences, Division of Neurology, Faculty of Medicine, Tottori University, Yonago, Tottori 683‑8503, Japan, Department of Pathology, Division of Pathology, Faculty of Medicine, Tottori University, Yonago, Tottori 683‑8503, Japan
    Copyright: © Inui et al. This is an open access article distributed under the terms of Creative Commons Attribution License.
  • Article Number: 120
    |
    Published online on: June 1, 2022
       https://doi.org/10.3892/mco.2022.2553
  • Expand metrics +
Metrics: Total Views: 0 (Spandidos Publications: | PMC Statistics: )
Metrics: Total PDF Downloads: 0 (Spandidos Publications: | PMC Statistics: )
Cited By (CrossRef): 0 citations Loading Articles...

This article is mentioned in:


Abstract

Aseptic meningitis is a rare immune‑related adverse event (irAE), which occurs during treatment with immune checkpoint inhibitors (ICIs). This condition has non‑specific symptoms and exhibits no clear signs on magnetic resonance imaging (MRI). There are only a few reports of aseptic meningitis caused by pembrolizumab treatment for non‑small cell lung cancer (NSCLC). The present study includes a report of such a case and a review of the related literature. A 67‑year‑old Japanese man received first‑line pembrolizumab treatment for NSCLC and subsequently developed severe nausea and vomiting. No significant findings were observed following a computed tomography (CT) scan, MRI of the brain and upper gastrointestinal tract, or upper gastrointestinal endoscopy. Cerebrospinal fluid analysis revealed lymphocyte infiltration and elevation of the IgG index, without indications of metastasis or infection, which suggested the presence of aseptic meningitis. The symptoms immediately improved following prednisolone treatment, and aseptic meningitis was diagnosed as an irAE related to pembrolizumab treatment. Given that aseptic meningitis can cause non‑specific symptoms, including headache and nausea, the possibility of an irAE should be considered in patients with non‑specific symptoms who are receiving ICIs, and a cerebrospinal fluid examination should be performed.

Introduction

Immune checkpoint inhibitors (ICIs) are used to treat various malignant tumors, including lung cancer (1). However, the widespread use of ICIs has also led to reports regarding various immune-related adverse events (irAEs). Aseptic meningitis is a rare type of irAE (2) that typically responds well to steroid treatment. Thus, early diagnosis and treatment are important. Given the rarity of aseptic meningitis, our experience with a patient who developed this irAE during ICI treatment for non-small cell lung cancer (NSCLC) is reported herein and the related literature was reviewed.

Case report

In August 2018, a 67-year-old Japanese man with a history of asthma and chronic obstructive pulmonary disease was referred to our hospital due to chest pain. Chest radiography revealed linear opacity in the right middle lung field (Fig. 1A). A chest CT scan revealed a 27-mm tumor in the subcarinal space, pleural invasion in the right upper and middle lung segments (Fig. 1B) and a hilar mass shadow with contrast enhancement along the right main bronchus from below the tracheal bifurcation (Fig. 1C). A brain contrast-enhanced MRI revealed two small nodules in the cerebellum and cerebrum (Fig. 2A and B). Fluorodeoxyglucose (FDG) positron emission tomography with CT revealed intense FDG accumulation in the subcarinal space and pleural nodule. Histological examination of the tumor in the transbronchial lung biopsy specimens from the subcarinal space revealed adenocarcinoma, with a tumor proportion score of 100% for programmed death-ligand (PD-L1) using a PD-L1 antibody (clone 22C3; Agilent Technologies, Inc.) and no expression of epidermal growth factor receptor (EGFR) mutation, anaplastic lymphoma kinase (ALK) fusion, ROS proto-oncogene 1, receptor tyrosine kinase (ROS1) fusion and B-Raf proto-oncogene, serine/threonine kinase (BRAF) mutation. Based on these findings, the patient was diagnosed with stage IVB lung adenocarcinoma (TxN2M1c, brain pleura).

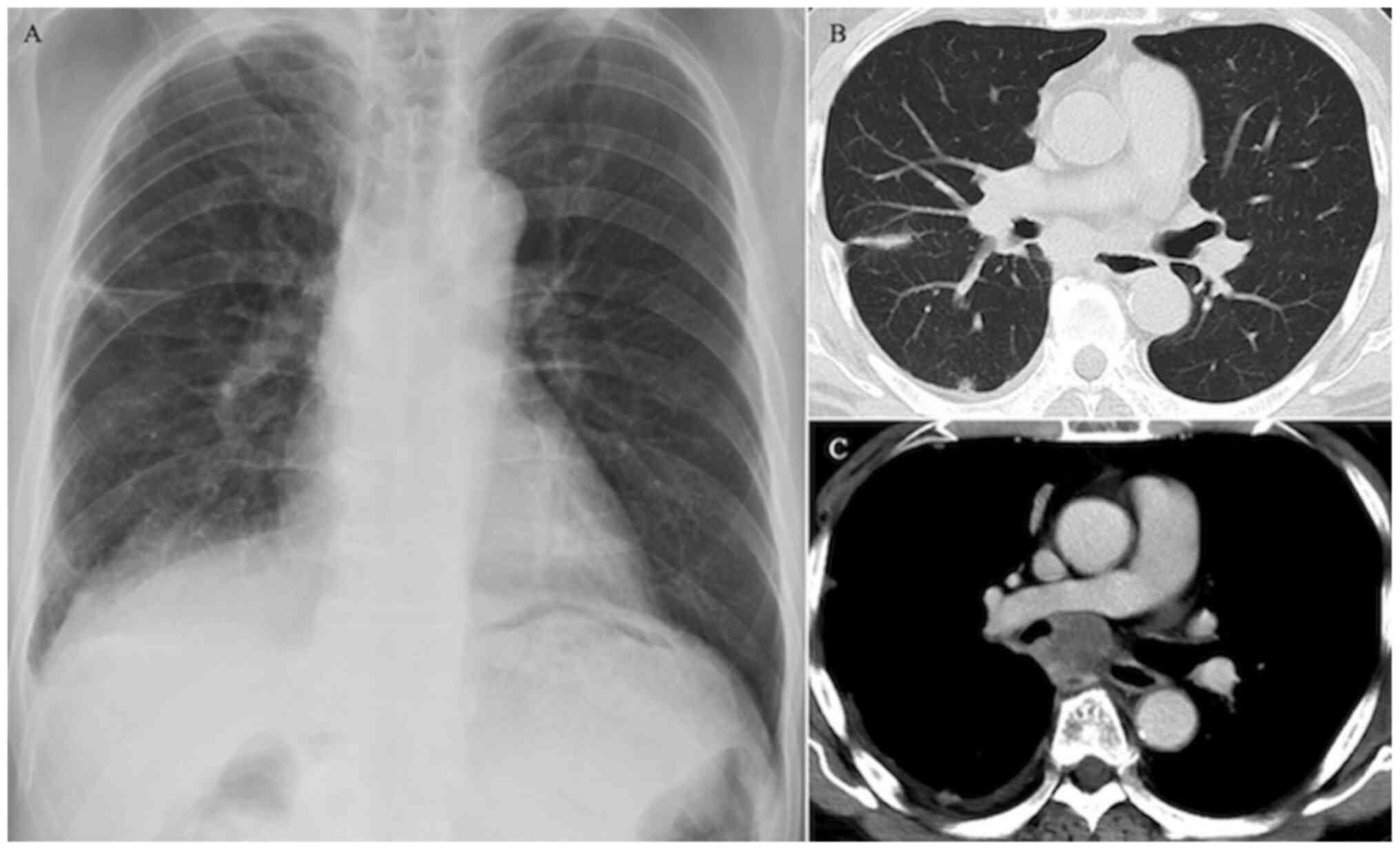
Figure 1

Radiography and CT findings. (A) Chest radiography revealed linear opacity in the right middle lung field. (B) Trunk CT revealed multiple thickenings in the right pleura and right pleural effusion. (C) Trunk contrast-enhanced CT revealed a hilar mass shadow with contrast enhancement along the right main bronchus from below the tracheal bifurcation. There were no findings to explain the nausea, despite the slight thickening and contrast enhancement on the stomach wall. CT, computed tomography.

Figure 2

MRI findings. (A and B) Brain contrast-enhanced MRI at diagnosis revealed a metastatic brain tumor in the right frontal lobe and cerebellar hemisphere lesions (white arrows). (C and D) Brain-contrast MRI conducted after admission revealed no signs of encephalitis or meningitis, such as contrast enhancement at the brain and meninges. The existing lesions regressed after γ-knife irradiation, with no subsequent progression (white arrows). MRI, magnetic resonance imaging.

Oxycodone hydrochloride hydrate tablet (10 mg/day) was administered for the chest pain that was caused by the pleural lesions, and γ-knife irradiation was performed for the two metastatic brain lesions. Six days later, the patient started treatment using pembrolizumab (200 mg, once every 3 weeks). However, on day 2 after starting pembrolizumab treatment, the patient developed persistent nausea and was admitted to our department on day 5 to identify the cause of the nausea. A physical examination showed no fever, Kernig's sign, Brudzinski's sign and a stiff neck, other than tachycardia, and no altered mental status. Blood tests revealed a slight increase in C-reactive protein (CRP) concentration (0.74 mg/dl), but no other abnormalities in electrolyte concentrations or endocrine function were observed. Contrast-enhanced abdominal CT showed only a slight thickening of the stomach wall and contrast effects, without other new findings, and upper gastrointestinal endoscopy showed no obstructive or bleeding lesions, only atrophic gastritis, which was insufficient to identify the cause of the nausea. The nausea was therefore attributed to the opioid treatment, and opioid rotation (from oxycodone hydrochloride hydrate tablet 30 mg/day to fentanyl continuous infusion 0.6 mg/day) was performed. The nausea appeared to improve by day 9 after starting pembrolizumab treatment, but subsequently worsened on day 15. Brain contrast-enhanced MRI revealed no tumor progression, no occurrence of new tumors and no subcranial enhancement, suggesting meningitis (Fig. 2C and D). Lumbar puncture was thus performed (Table I). Laboratory test results, including PCR findings, revealed a normal glucose concentration and negative results for the cerebrospinal fluid (CSF) smear, bacteria, fungi, mycobacteria and tuberculosis. However, the total cell count was slightly elevated, with an increased subset of lymphocytes. Pathological findings revealed lymphocytic inflammation and an elevated level of adenosine deaminase (ADA), which suggested the presence of lymphocyte proliferation and differentiation. Furthermore, at the same time as the nausea recurrence, the patient had an elevated IgG index and various symptoms that supported suspicion of an irAE, including a rash, liver enzyme elevation and destructive thyroiditis. Aseptic meningitis was therefore considered as an irAE for differential diagnosis. However, despite the negative brain MRI findings, meningeal carcinomatosis was also considered for differential diagnosis, due to the patient's history of metastatic brain tumors. Therefore, treatment was started using betamethasone (4 mg) to potentially manage meningitis as an irAE, and as a palliative treatment for meningeal carcinomatosis. The patient experienced immediate improvement of the nausea after starting steroid treatment (Fig. 3). The cytology findings were also negative for malignant cells, so the case was diagnosed as pembrolizumab-induced aseptic meningitis (grade 3). The betamethasone treatment was changed to prednisolone (80 mg at 1 mg/kg) for long-term treatment, with the dose tapering from 80 to 60 mg, then from 60 to 20 mg in 10-mg increments every 5 days, and finally from 20 to 10 mg in 5-mg increments every 2 weeks. The patient was discharged on day 75 of hospitalization, and steroid treatment was terminated on day 83 after steroid treatment initiation. The tumor response was judged to be a partial response (Fig. 4) at the patient's discharge, although ICI re-challenge was not attempted based on the potential risk of other irAEs. The patient experienced disease progression 4 months later, which presented as an enlargement of the tumor in the subcarinal space and was treated using second-line carboplatin plus pemetrexed.

Figure 3

Clinical course. Following pembrolizumab treatment, red papules (CTCAE grade 1) appeared around the extremities. Abnormal laboratory findings included liver enzyme elevation (CTCAE grade 3), as well as decreased TSH and increased T4, which indicated the presence of destructive thyroiditis (CTCAE grade 2). These symptoms were improved after steroid treatment. Dysgeusia (CTCAE grade 1) and gynecomastia (CTCAE grade 1) were also observed during pembrolizumab treatment and persisted following steroid treatment. Bet, betamethasone; PSL, prednisolone; TSH, thyroid stimulating hormone; ALT, alanine aminotransferase; CTCAE, Common Terminology Criteria for Adverse Events.

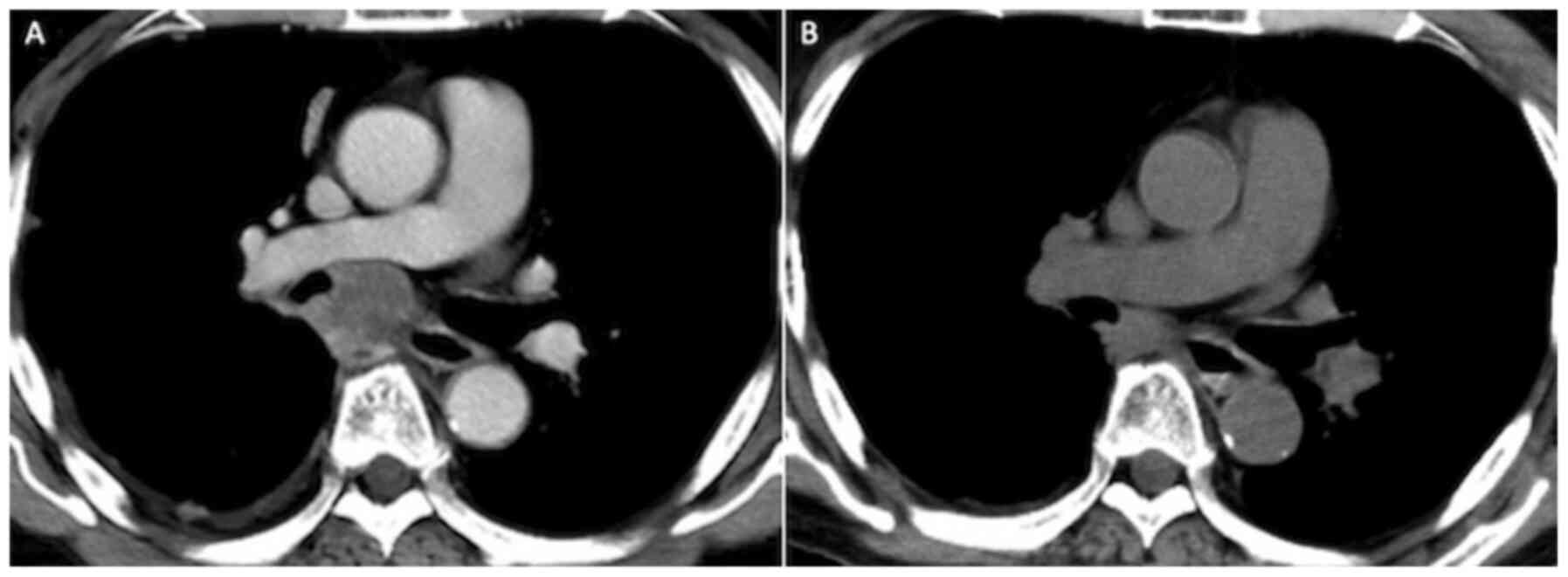
Figure 4

CT findings. (A) CT prior to pembrolizumab treatment. (B) CT 56 days after treatment showed tumor shrinking and partial response, based on the response evaluation criteria in solid tumors. CT, computed tomography.

Table I

Cerebrospinal fluid analysis.

Table I

Cerebrospinal fluid analysis.

TestResultTestResultTestResult
ColorColorlessTotal protein (mg/dl)80BacteriaNegative
TurbidityClearAlbumin (mg/dl)41FungiNegative
Total cell count (/µl)12LDH (U/l)22MycobacteriaNegative
Polynuclear (%)8Glucose (mg/dl)61Tb-PCRNegative
Mononuclear (%)92CRP (µg/dl)<1MAC-PCRNegative
Open pressure (cmH2O)10CEA (ng/dl)<0.8PathologyNo malignant cells
  ADA3.1 Lymphocyte infiltration
  IgG (mg/dl)11.5  
  IgG index0.64  

[i] LDH, lactate dehydrogenase; CRP, C-reactive protein; CEA, carcinoembryonic antigen; ADA, adenosine deaminase; Tb-PCR, PCR assay for tuberculosis; MAC-PCR, PCR assay for the Mycobacterium avium complex.

Discussion

Treatment with immune checkpoint inhibitors (ICIs) can be used for various types of cancer, including renal cell carcinoma, melanoma, head and neck cancers, urothelial carcinoma and Hodgkin lymphoma (3). Furthermore, ICIs are an effective option for non-small cell lung cancer (NSCLC) treatment, along with chemotherapy and targeted therapy (1). Certain patients can experience long-term response to ICI treatment, which has less toxicity than chemotherapy (4). Recent studies have also combined ICIs with chemotherapy (5,6), utilized ICIs in maintenance therapy following chemoradiotherapy (7) or have used ICIs for small cell lung cancer treatment (8,9). However, while ICIs are effective, safe and increasingly used, they are also associated with a risk of immune-related adverse events (irAEs), which can cause treatment interruption and reduce the quality of life of these patients. The reported frequencies of irAEs grade ≥3 are 8% for nivolumab, 5-10% for pembrolizumab, 5-7% for atezolizumab, 2% for durvalumab and 15-42% for ipilimumab (3). Grade 3-4 neurological irAEs are uncommon (<1%), but include inflammatory myopathies, myasthenia gravis, neuropathies, multiple sclerosis, autoimmune encephalitis and aseptic meningitis.

Head jolt sign, Kernig's sign, Brudzinski's sign and stiff neck are well-known signs of meningitis, although only 29% of cases of aseptic meningitis involve these symptoms (10). Numerous other cases are associated with non-specific symptoms, such as headache, nausea, and vomiting (10). The frequency of aseptic meningitis as an irAE is thought to be 0.1-0.2% (2), although the underdiagnosis of this rare irAE may be associated with the manifestation of flu-like symptoms, headaches (11) or other mild symptoms. Head contrast-enhanced MRI rarely produces significant findings, and cerebrospinal fluid (CSF) examination is therefore necessary. Moreover, the diagnosis of irAE must exclude other diseases, such as bacterial, fungal, mycobacterial and viral infections, as well as cancerous meningitis. The pathophysiological development of irAEs is associated with the ICI-induced activation of CD8 T-cells (12), and an increased proportion of lymphocytes in the CSF is useful for diagnosing irAEs (2). Table II shows that an elevation in CSF lymphocytes was observed in 12 cases. In addition, adenosine deaminase (ADA) is a well-known marker for tuberculous meningitis (CSF ADA levels of >8 U/l provide a sensitivity of <59% and specificity of >96%) (13), as well as a marker of cellular immunity, based on its relationship with lymphocyte proliferation and differentiation (12). Therefore, elevated ADA levels may reflect a CD8 T-cell-related irAE, based on the elevated levels being detected in patients who received ICIs and developed meningoencephalitis (14) and autoimmune encephalitis (12). Therefore, lymphocyte-related inflammatory findings (for example, elevated lymphocytes or ADA in the CSF) may be useful for diagnosing aseptic meningitis as an irAE. In the setting of elevated ADA, tuberculous cultures, PCR findings or CSF/serum glucose ratio (<0.5 in 95% of tuberculous meningitis cases) are useful for distinguishing aseptic meningitis from tuberculous meningitis (15). The present patient exhibited an elevated lymphocyte percentage and pathological findings suggestive of lymphocytic inflammation, but no marked increase in ADA level. This may be associated with the relatively mild clinical symptoms and the unremarkable increase in the CSF total cell count. In this setting, the IgG index [(CSF-IgG/CSF-albumin)/(serum-IgG/serum-albumin)] may reflect increased IgG synthesis in the central nervous system, which could indicate the presence of multiple sclerosis or central nervous system infections, such as encephalitis or meningitis (16). A previous report described an increased IgG index in nivolumab-induced encephalopathy, which might have been caused by nivolumab promoting IgG release as B cells were converted to plasma cells (17). Thus, ICI treatment may lead to an increased IgG index in cases involving central nervous system disorders.

Table II

Reported cases of meningitis as an immune-related adverse event after immune checkpoint inhibitor treatment.

Table II

Reported cases of meningitis as an immune-related adverse event after immune checkpoint inhibitor treatment.

Patient no./ Investigators (Refs.)Age (years)SexCancerICIsCycleInitial symptomsCSF lymph ocytesMRI abnormalOther irAEsTreatmentTime to resolutionTumor ResponseRe-challenge ICIs
#1/Spain et al (19)N/AN/AMelaI+N1Headache, nausea+-Hepatitis-7 weeksPRAfter 4 weeks
#2/Spain et al (19)N/AN/AMelaI2Headache, drowsiness, nausea, vomiting+---10 daysSD-
#3/Spain et al (19)N/AN/AMelaI2Delirium---PSL p.o8 weeksPD-
#4/Bot et al (20)51FMelaI1Headache, fever+-N/ADex 8 mg p.o2 daysN/AN/A
#5/Voskens et al (21)52FMelaI1Nausea, vomiting, chills, rash+-N/ADEXN/APD-
#6/Bompaire et al (22)56MMelaI4Vertigo, dizziness, cervicalgia, headache+Brain-/ spinal+Radiculo neuritismPSL 1g IV + IVIg2 yearsCR-
#7/Yang et al (23)N/AN/ARenalI4Headache, photophobia, cranial nerve disorder+-N/ADEX<1 monthN/AN/A
#8/Takamatsu et al (24)70FRenalI+N2Headache, nausea, dizziness+-Isolated ACTH deficiencyPSL 1 mg/kg IVA few daysCR50th day with PSL 10 mg/day
#9/Takamatsu et al (24)70FRenalI+N3Headache, anorexia+N/ALiver dysfunctionPSL 1 mg/kg IVN/ACR-
#10/Cordes et al (25)58MUCN12Fever, chills, malaise, dry cough, headache, bilateral eye pain, right ear pain++N/AmPSL 1 mg/kg IV<3 daysPR-
#11/Toyozawa et al (26)71FNSCLCA1Fever, consciousness disorder--N/AmPSL 1 mg/kg IV1 dayN/A-
#12/Toyozawa et al (26)55MNSCLC AdeA1Fever, consciousness disorder--N/AmPSL 1 mg/kg IV4 daysN/A-
#13/Toyozawa et al (26)50MNSCLC AdeA1Fever, neck and legs pain, consciousnesss disorder++N/AmPSL 1 mg/kg IV2 daysN/A-
#14/Lima et al (27)55MNSCLC AdeP11Bilateral throbbing, frontal headache+-HepatitisDex 10 mg IV1 dayCR-
#15/Present case67MNSCLC AdeP1Nausea, vomiting+-Hepatitis, dysgeusia, gynecomastia thyroid dysfunctionPSL 1 mg/kg IV3 daysPR-

[i] ICIs, immune checkpoint inhibitors; CSF, cerebrospinal fluid; MRI abnormal means contrast effect of meninges or brain parenchyma; N/A, not available; M, male; F, female; Mela, melanoma; Renal, renal cell carcinoma; UC, urothelial carcinoma; NSCLC, non-small cell lung cancer; Ade, adenocarcinoma; I, ipilimumab; N, nivolumab; P, pembrolizumab; IV, intravenous; p.o, per os; PSL, prednisolone; DEX, dexamethasone; IVIg, intravenous immunoglobulin; CR, complete response; PR, partial response; SD, stable disease; PD, progressive disease.

To distinguish between cancerous and aseptic meningitis as an irAE is challenging. The sensitivity of CSF puncture for cancerous meningitis is 50-60% for a single dose and 80% for multiple doses (18); thus we cannot completely deny cancerous meningitis. Actually, the patient's general condition was not good, thus we judged that repeat lumbar puncture was risky. We should have examined after the recovery condition. In the present case, aseptic meningitis was diagnosed as an irAE based on the following findings: no atypical cells detected in the pathology and increased number of cells, high IgG index, low carcinoembryonic antigen (CEA) and other concurrent irAEs. Subsequent follow-up revealed no findings suggestive of meningeal carcinomatosis or brain metastasis recurrence. In addition, the symptoms may have appeared due to the effect after the γ-knife irradiation; we judged that the effect was small, because the head lesions were micronodules and no edema was observed on MRI following irradiation.

Table II summarizes the 15 reported cases of aseptic meningitis as an irAE following treatment with nivolumab, pembrolizumab, atezolizumab or ipilimumab (19-27). Nine cases were associated with ipilimumab treatment, which was administered for melanoma in 6 cases (19-22) and renal cell carcinoma in 3 cases (23,24). Three cases were treated with a combination of ipilimumab and nivolumab (19,24), and cases 8 and 9 involved the same patient, who experienced meningitis relapse following re-administration of an ICI (24). The majority of patients, except cases 7, 10 and 11, developed aseptic meningitis after 1-4 cycles of ICI treatment. Seven cases involved neurological symptoms (19,22,23,26,27). By contrast, most patients initially exhibited non-specific symptoms, such as headache or nausea. All patients underwent brain MRI and lumbar puncture, which revealed lymphocyte-dominated leukocyte elevation in 13 patients. However, the brain contrast-enhanced MRI failed to reveal abnormal findings in most cases; the only two findings were arachnoiditis during spinal MRI (22) and abnormal enhancements along the lines of the corpus callosum (26). A total of 13 patients received steroid treatment, while a follow-up observation was only performed in 2 patients (19). The steroid treatment was ineffective for case 6, and intravenous immunoglobulin (IVIg) was therefore administered in this case (22). All patients ultimately experienced an improvement in their symptoms. The tumor responses were progressive disease in 2 cases (19,21), stable disease in 1 case (19), partial response in 3 cases (19,23,25), and complete response in 3 cases (melanoma, renal cell carcinoma and NSCLC) (22,24,27). Two patients were treated again with ICIs (19,24) and 1 patient experienced relapse of meningitis (24).

Several reports have described ipilimumab-induced meningitis, which may be associated with the drug's affinity for the cranial nervous system. Indeed, ipilimumab frequently induces hypophysitis, which is thought to be caused by the expression of CTLA-4 in the anterior pituitary cells and a resulting type II hypersensitivity (28). There are only a few reports of pembrolizumab-induced meningitis (27) and meningoencephalitis (14), although the increasing use of this drug will presumably result in more cases being reported.

The main treatment for neurological irAEs involves immunosuppression, with prednisone or methylprednisolone being recommended for CTCAE grade 3 or higher meningitis (3). Aseptic meningitis as an irAE has a good neurological prognosis, as it typically responds well to steroid treatment (11). Furthermore, steroid use is not associated with reduced overall survival or time to ICI treatment failure (29). Steroid monotherapy is often effective in this setting, although select patients may require IVIg or plasma exchange (19). Natalizumab is a monoclonal antibody that targets α4 integrin (30) and might be effective in treating central nervous system symptoms of neurological irAEs, as it inhibits the transfer of lymphocytes to the central nervous system by inhibiting the binding of lymphocyte integrins and VCAM-1 in the blood-brain barrier (30). A previous report has indicated that, while steroid treatment was ineffective, natalizumab was effective in treating autoimmune encephalitis as an irAE, which was caused by the combination of ipilimumab and nivolumab (31).

A prospective cohort study of 43 patients with advanced NSCLC revealed that patients with irAEs after nivolumab treatment had a higher objective response rate (37 vs. 17%) and longer median progression-free survival (6.4 vs. 1.5 months) (32). Of note, autoimmune encephalitis as an irAE was also reportedly associated with an increased response to pembrolizumab in NSCLC cases (33). It was therefore suspected that a similar positive response may be observed in cases with central nervous system irAEs (for example, meningitis). In addition to the present case, 2 NSCLC cases had a good response rate to pembrolizumab.

While repeat treatment using ICIs may be an effective strategy for cases of aseptic meningitis as an irAE, it is associated with a risk of meningitis relapse (24). A previous study suggested that the risk-reward ratio for anti-PD or anti-PD-L1 re-challenge appeared to be acceptable, although there was no evidence of prolonged progression-free survival or overall survival outcomes (34). In the present case, platinum-based treatment was selected for the recurrence, based on the presence of other irAEs and the patient's opinion.

In conclusion, the present study reported a case of nausea and vomiting that was ultimately diagnosed as aseptic meningitis, as an irAE related to pembrolizumab treatment. Although there are a few reports of meningitis as an irAE, this condition may be underdiagnosed due to its non-specific symptoms. The majority of patients will experience a good response to steroid treatment, and a good response rate for ICIs has been observed in patients with irAEs. A CSF examination is required to diagnose aseptic meningitis as an irAE, which may be supported based on lymphocytic inflammation findings, such as elevated lymphocyte or ADA values. Since there are few reports of aseptic meningitis after ICIs for lung cancer, an accumulation of further case reports is desired to discern whether re-administration of ICIs is acceptable.

Acknowledgements

Not applicable.

Funding

Funding: No funding was received.

Availability of data and materials

All data generated or analyzed during this study are included in this published article.

Authors' contributions

GI collected the data and wrote the paper. YF treated the patient and revised the article for important intellectual content as the corresponding author. HM and HT treated the patient and provided advice on the paper. KA, KK, YuukiH, RK, TN, KoheiY, YT, YS, TS and KosukeY collected, analyzed and interpreted the clinical data. SK collected, analysed and interpreted the neurological findings and provided advice on the paper. YU, YasushiH and KN analyzed and interpreted the pathological data and provided advice on the paper. MK and AY critically revised the manuscript for important intellectual content. All authors read and approved the manuscript and agree to be accountable for all aspects of the research in ensuring that the accuracy or integrity (including the collected data) of any part of the work are appropriately investigated and resolved.

Ethics approval and consent to participate

This is to certify that the above case report was approved for publication by Tottori University Ethics Review Board (serial no. 22J002).

Patient consent for publication

As the patient was deceased, according to hospital policy, request to publish the case report was published online, and as no contest was made by any family member or other person, the hospital provided approval to proceed with publication of the case study.

Competing interests

The authors declare that they have no competing interests.

References

1 

Ettinger DS, Wood DE, Aggarwal C, Aisner DL, Akerley W, Bauman JR, Bharat A, Bruno DS, Chang JY, Chirieac LR, et al: NCCN guidelines insights: Non-small cell lung cancer, version 1.2020. J Natl Compr Canc Netw. 17:1464–1472. 2019.PubMed/NCBI View Article : Google Scholar

2 

Dalakas MC: Neurological complications of immune checkpoint inhibitors: What happens when you ‘take the brakes off’ the immune system. Ther Adv Neurol Disord. 11(1756286418799864)2018.PubMed/NCBI View Article : Google Scholar

3 

Brahmer JR, Lacchetti C, Schneider BJ, Atkins MB, Brassil KJ, Caterino JM, Chau I, Ernstoff MS, Gardner JM, Ginex P, et al: Management of immune-related adverse events in patients treated with immune checkpoint inhibitor therapy: American society of clinical oncology clinical practice guideline. J Clin Oncol. 36:1714–1768. 2018.PubMed/NCBI View Article : Google Scholar

4 

Reck M, Rodriguez-Abreu D, Robinson AG, Hui R, Csőszi T, Fülöp A, Gottfried M, Peled N, Tafreshi A, Cuffe S, et al: Pembrolizumab versus chemotherapy for PD-L1-positive non-small-cell lung cancer. N Engl J Med. 375:1823–1833. 2016.PubMed/NCBI View Article : Google Scholar

5 

Socinski MA, Jotte RM, Cappuzzo F, Orlandi F, Stroyakovskiy D, Nogami N, Rodriguez-Abreu D, Moro-Sibilot D, Thomas CA, Barlesi F, et al: Atezolizumab for first-line treatment of metastatic nonsquamous NSCLC. N Engl J Med. 378:2288–2301. 2018.PubMed/NCBI View Article : Google Scholar

6 

Gandhi L, Rodriguez-Abreu D, Gadgeel S, Esteban E, Felip E, De Angelis F, Domine M, Clingan P, Hochmair MJ, Powell SF, et al: Pembrolizumab plus chemotherapy in metastatic non-small-cell lung cancer. N Engl J Med. 378:2078–2092. 2018.PubMed/NCBI View Article : Google Scholar

7 

Antonia SJ, Villegas A, Daniel D, Vicente D, Murakami S, Hui R, Yokoi T, Chiappori A, Lee KH, de Wit M, et al: Durvalumab after chemoradiotherapy in stage III non-small-cell lung cancer. N Engl J Med. 377:1919–1929. 2017.PubMed/NCBI View Article : Google Scholar

8 

Ready N, Farago AF, de Braud F, Atmaca A, Hellmann MD, Schneider JG, Spigel DR, Moreno V, Chau I, Hann CL, et al: Third-line nivolumab monotherapy in recurrent SCLC: CheckMate 032. J Thorac Oncol. 14:237–244. 2019.PubMed/NCBI View Article : Google Scholar

9 

Horn L, Mansfield AS, Szczesna A, Havel L, Krzakowski M, Hochmair MJ, Huemer F, Losonczy G, Johnson ML, Nishio M, et al: First-line atezolizumab plus chemotherapy in extensive-stage small-cell lung cancer. N Engl J Med. 379:2220–2229. 2018.PubMed/NCBI View Article : Google Scholar

10 

Waghdhare S, Kalantri A, Joshi R and Kalantri S: Accuracy of physical signs for detecting meningitis: A hospital-based diagnostic accuracy study. Clin Neurol Neurosurg. 112:752–757. 2010.PubMed/NCBI View Article : Google Scholar

11 

Blackmon JT, Viator TM and Conry RM: Central nervous system toxicities of anti-cancer immune checkpoint blockade. J Neurol Neuromedicine. 1:39–45. 2016.

12 

Fujiwara S, Mimura N, Yoshimura H, Fujimoto D, Ito M, Mori R, Ito J, Tomii K, Kawamoto M and Kohara N: Elevated adenosine deaminase levels in the cerebrospinal fluid in immune checkpoint inhibitor-induced autoimmune encephalitis. Intern Med. 58:2871–2874. 2019.PubMed/NCBI View Article : Google Scholar

13 

Tuon FF, Higashino HR, Lopes MI, Litvoc MN, Atomiya AN, Antonangelo L and Leite OM: Adenosine deaminase and tuberculous meningitis-a systematic review with meta-analysis. Scand J Infect Dis. 42:198–207. 2010.PubMed/NCBI View Article : Google Scholar

14 

Yonenobu Y, Ishijima M, Toyooka K and Fujimura H: A case of meningoencephalitis associated with pembrolizumab treated for squamous cell lung cancer. Rinsho Shinkeigaku. 59:105–108. 2019.PubMed/NCBI View Article : Google Scholar : (In Japanese).

15 

Thwaites GE and Hien TT: Tuberculous meningitis: Many questions, too few answers. Lancet Neurol. 4:160–170. 2005.PubMed/NCBI View Article : Google Scholar

16 

Akaishi T, Narikawa K, Suzuki Y, Mitsuzawa S, Tsukita K, Kuroda H, Nakashima I, Fujihara K and Aoki M: Importance of the quotient of albumin, quotient of immunoglobulin G and Reibergram in inflammatory neurological disorders with disease-specific patterns of blood-brain barrier permeability. Neurol Clin Neurosci. 3:94–100. 2015.

17 

Leitinger M, Varosanec MV, Pikija S, Wass RE, Bandke D, Weis S, Studnicka M, Grinzinger S, McCoy MR, Hauer L and Sellner J: Fatal necrotizing encephalopathy after treatment with nivolumab for squamous non-small cell lung cancer: Case report and review of the literature. Front Immunol. 9(108)2018.PubMed/NCBI View Article : Google Scholar

18 

Glantz MJ, Cole BF, Glantz LK, Cobb J, Mills P, Lekos A, Walters BC and Recht LD: Cerebrospinal fluid cytology in patients with cancer: Minimizing false-negative results. Cancer. 82:733–739. 1998.PubMed/NCBI View Article : Google Scholar

19 

Spain L, Walls G, Julve M, O'Meara K, Schmid T, Kalaitzaki E, Turajlic S, Gore M, Rees J and Larkin J: Neurotoxicity from immune-checkpoint inhibition in the treatment of melanoma: A single centre experience and review of the literature. Ann Oncol. 28:377–385. 2017.PubMed/NCBI View Article : Google Scholar

20 

Bot I, Blank CU, Boogerd W and Brandsma D: Neurological immune-related adverse events of ipilimumab. Pract Neurol. 13:278–280. 2013.PubMed/NCBI View Article : Google Scholar

21 

Voskens CJ, Goldinger SM, Loquai C, Robert C, Kaehler KC, Berking C, Bergmann T, Bockmeyer CL, Eigentler T, Fluck M, et al: The price of tumor control: An analysis of rare side effects of anti-CTLA-4 therapy in metastatic melanoma from the ipilimumab network. PLoS One. 8(e53745)2013.PubMed/NCBI View Article : Google Scholar

22 

Bompaire F, Mateus C, Taillia H, De Greslan T, Lahutte M, Sallansonnet-Froment M, Ouologuem M, Renard JL, Gorochov G, Robert C and Ricard D: Severe meningo-radiculo-neuritis associated with ipilimumab. Invest New Drugs. 30:2407–2410. 2012.PubMed/NCBI View Article : Google Scholar

23 

Yang JC, Hughes M, Kammula U, Royal R, Sherry RM, Topalian SL, Suri KB, Levy C, Allen T, Mavroukakis S, et al: Ipilimumab (anti-CTLA4 antibody) causes regression of metastatic renal cell cancer associated with enteritis and hypophysitis. J Immunother. 30:825–830. 2007.PubMed/NCBI View Article : Google Scholar

24 

Takamatsu D, Furubayashi N, Negishi T, Ieiri K, Inoue T, Tsukino K and Nakamura M: Relapse of aseptic meningitis induced by ipilimumab and nivolumab therapy for metastatic renal cell carcinoma: A case report. Mol Clin Oncol. 11:590–594. 2019.PubMed/NCBI View Article : Google Scholar

25 

Cordes LM, Davarpanah NN, Reoma LB, Gasmi B, Quezado M, Khan OI, Nath A and Apolo AB: Neurotoxicities associated with checkpoint inhibitors: Two case reports and a review of the literature. Clin Case Rep. 8:24–32. 2019.PubMed/NCBI View Article : Google Scholar

26 

Toyozawa R, Haratake N, Toyokawa G, Matsubara T, Takamori S, Miura N, Yamaguchi M, Takenoyama M and Seto T: Atezolizumab-induced aseptic meningitis in patients with NSCLC. JTO Clin Res Rep. 1(100012)2020.PubMed/NCBI View Article : Google Scholar

27 

Lima G, Kahn A, Sama S and Savage J: Aseptic meningitis as an immune-related adverse event after pembrolizumab. Case Rep Oncol Med. 2019(7183747)2019.PubMed/NCBI View Article : Google Scholar

28 

Tadano H and Torigoe T: Immune-related adverse events of immune checkpoint inhibitors. Nihon Rinsho Meneki Gakkai Kaishi. 40:102–108. 2017.PubMed/NCBI View Article : Google Scholar : (In Japanese).

29 

Horvat TZ, Adel NG, Dang TO, Momtaz P, Postow MA, Callahan MK, Carvajal RD, Dickson MA, D'Angelo SP, Woo KM, et al: Immune-related adverse events, need for systemic immunosuppression, and effects on survival and time to treatment failure in patients with melanoma treated with ipilimumab at memorial sloan kettering cancer center. J Clin Oncol. 33:3193–3198. 2015.PubMed/NCBI View Article : Google Scholar

30 

Polman CH, O'Connor PW, Havrdova E, Hutchinson M, Kappos L, Miller DH, Phillips JT, Lublin FD, Giovannoni G, Wajgt A, et al: A randomized, placebo-controlled trial of natalizumab for relapsing multiple sclerosis. N Engl J Med. 354:899–910. 2006.PubMed/NCBI View Article : Google Scholar

31 

Hottinger AF, de Micheli R, Guido V, Karampera A, Hagmann P and Du Pasquier R: Natalizumab may control immune checkpoint inhibitor-induced limbic encephalitis. Neurol Neuroimmunol Neuroinflamm. 5(e439)2018.PubMed/NCBI View Article : Google Scholar

32 

Teraoka S, Fujimoto D, Morimoto T, Kawachi H, Ito M, Sato Y, Nagata K, Nakagawa A, Otsuka K, Uehara K, et al: Early immune-related adverse events and association with outcome in advanced non-small cell lung cancer patients treated with nivolumab: A prospective cohort study. J Thorac Oncol. 12:1798–1805. 2017.PubMed/NCBI View Article : Google Scholar

33 

Niki M, Nakaya A, Kurata T, Nakahama K, Yoshioka H, Kaneda T, Kibata K, Ogata M and Nomura S: Pembrolizumab-induced autoimmune encephalitis in a patient with advanced non-small cell lung cancer: A case report. Mol Clin Oncol. 10:267–269. 2019.PubMed/NCBI View Article : Google Scholar

34 

Simonaggio A, Michot JM, Voisin AL, Le Pavec J, Collins M, Lallart A, Cengizalp G, Vozy A, Laparra A, Varga A, et al: Evaluation of readministration of immune checkpoint inhibitors after immune-related adverse events in patients with cancer. JAMA Oncol. 5:1310–1317. 2019.PubMed/NCBI View Article : Google Scholar

Related Articles

  • Abstract
  • View
  • Download
  • Twitter
Copy and paste a formatted citation
Spandidos Publications style
Inui G, Funaki Y, Makino H, Touge H, Arai K, Kuroda K, Hirayama Y, Kato R, Nonaka T, Yamane K, Yamane K, et al: Pembrolizumab‑induced aseptic meningitis in a patient with non‑small cell lung cancer: A case report and literature review of aseptic meningitis as an immune‑related adverse event. Mol Clin Oncol 17: 120, 2022.
APA
Inui, G., Funaki, Y., Makino, H., Touge, H., Arai, K., Kuroda, K. ... Yamasaki, A. (2022). Pembrolizumab‑induced aseptic meningitis in a patient with non‑small cell lung cancer: A case report and literature review of aseptic meningitis as an immune‑related adverse event. Molecular and Clinical Oncology, 17, 120. https://doi.org/10.3892/mco.2022.2553
MLA
Inui, G., Funaki, Y., Makino, H., Touge, H., Arai, K., Kuroda, K., Hirayama, Y., Kato, R., Nonaka, T., Yamane, K., Teruya, Y., Sueda, Y., Sakamoto, T., Yamaguchi, K., Kodani, M., Kawase, S., Umekita, Y., Horie, Y., Nosaka, K., Yamasaki, A."Pembrolizumab‑induced aseptic meningitis in a patient with non‑small cell lung cancer: A case report and literature review of aseptic meningitis as an immune‑related adverse event". Molecular and Clinical Oncology 17.1 (2022): 120.
Chicago
Inui, G., Funaki, Y., Makino, H., Touge, H., Arai, K., Kuroda, K., Hirayama, Y., Kato, R., Nonaka, T., Yamane, K., Teruya, Y., Sueda, Y., Sakamoto, T., Yamaguchi, K., Kodani, M., Kawase, S., Umekita, Y., Horie, Y., Nosaka, K., Yamasaki, A."Pembrolizumab‑induced aseptic meningitis in a patient with non‑small cell lung cancer: A case report and literature review of aseptic meningitis as an immune‑related adverse event". Molecular and Clinical Oncology 17, no. 1 (2022): 120. https://doi.org/10.3892/mco.2022.2553
Copy and paste a formatted citation
x
Spandidos Publications style
Inui G, Funaki Y, Makino H, Touge H, Arai K, Kuroda K, Hirayama Y, Kato R, Nonaka T, Yamane K, Yamane K, et al: Pembrolizumab‑induced aseptic meningitis in a patient with non‑small cell lung cancer: A case report and literature review of aseptic meningitis as an immune‑related adverse event. Mol Clin Oncol 17: 120, 2022.
APA
Inui, G., Funaki, Y., Makino, H., Touge, H., Arai, K., Kuroda, K. ... Yamasaki, A. (2022). Pembrolizumab‑induced aseptic meningitis in a patient with non‑small cell lung cancer: A case report and literature review of aseptic meningitis as an immune‑related adverse event. Molecular and Clinical Oncology, 17, 120. https://doi.org/10.3892/mco.2022.2553
MLA
Inui, G., Funaki, Y., Makino, H., Touge, H., Arai, K., Kuroda, K., Hirayama, Y., Kato, R., Nonaka, T., Yamane, K., Teruya, Y., Sueda, Y., Sakamoto, T., Yamaguchi, K., Kodani, M., Kawase, S., Umekita, Y., Horie, Y., Nosaka, K., Yamasaki, A."Pembrolizumab‑induced aseptic meningitis in a patient with non‑small cell lung cancer: A case report and literature review of aseptic meningitis as an immune‑related adverse event". Molecular and Clinical Oncology 17.1 (2022): 120.
Chicago
Inui, G., Funaki, Y., Makino, H., Touge, H., Arai, K., Kuroda, K., Hirayama, Y., Kato, R., Nonaka, T., Yamane, K., Teruya, Y., Sueda, Y., Sakamoto, T., Yamaguchi, K., Kodani, M., Kawase, S., Umekita, Y., Horie, Y., Nosaka, K., Yamasaki, A."Pembrolizumab‑induced aseptic meningitis in a patient with non‑small cell lung cancer: A case report and literature review of aseptic meningitis as an immune‑related adverse event". Molecular and Clinical Oncology 17, no. 1 (2022): 120. https://doi.org/10.3892/mco.2022.2553
Follow us
  • Twitter
  • LinkedIn
  • Facebook
About
  • Spandidos Publications
  • Careers
  • Cookie Policy
  • Privacy Policy
How can we help?
  • Help
  • Live Chat
  • Contact
  • Email to our Support Team