Spandidos Publications Logo
  • About
    • About Spandidos
    • Aims and Scopes
    • Abstracting and Indexing
    • Editorial Policies
    • Reprints and Permissions
    • Job Opportunities
    • Terms and Conditions
    • Contact
  • Journals
    • All Journals
    • Oncology Letters
      • Oncology Letters
      • Information for Authors
      • Editorial Policies
      • Editorial Board
      • Aims and Scope
      • Abstracting and Indexing
      • Bibliographic Information
      • Archive
    • International Journal of Oncology
      • International Journal of Oncology
      • Information for Authors
      • Editorial Policies
      • Editorial Board
      • Aims and Scope
      • Abstracting and Indexing
      • Bibliographic Information
      • Archive
    • Molecular and Clinical Oncology
      • Molecular and Clinical Oncology
      • Information for Authors
      • Editorial Policies
      • Editorial Board
      • Aims and Scope
      • Abstracting and Indexing
      • Bibliographic Information
      • Archive
    • Experimental and Therapeutic Medicine
      • Experimental and Therapeutic Medicine
      • Information for Authors
      • Editorial Policies
      • Editorial Board
      • Aims and Scope
      • Abstracting and Indexing
      • Bibliographic Information
      • Archive
    • International Journal of Molecular Medicine
      • International Journal of Molecular Medicine
      • Information for Authors
      • Editorial Policies
      • Editorial Board
      • Aims and Scope
      • Abstracting and Indexing
      • Bibliographic Information
      • Archive
    • Biomedical Reports
      • Biomedical Reports
      • Information for Authors
      • Editorial Policies
      • Editorial Board
      • Aims and Scope
      • Abstracting and Indexing
      • Bibliographic Information
      • Archive
    • Oncology Reports
      • Oncology Reports
      • Information for Authors
      • Editorial Policies
      • Editorial Board
      • Aims and Scope
      • Abstracting and Indexing
      • Bibliographic Information
      • Archive
    • Molecular Medicine Reports
      • Molecular Medicine Reports
      • Information for Authors
      • Editorial Policies
      • Editorial Board
      • Aims and Scope
      • Abstracting and Indexing
      • Bibliographic Information
      • Archive
    • World Academy of Sciences Journal
      • World Academy of Sciences Journal
      • Information for Authors
      • Editorial Policies
      • Editorial Board
      • Aims and Scope
      • Abstracting and Indexing
      • Bibliographic Information
      • Archive
    • International Journal of Functional Nutrition
      • International Journal of Functional Nutrition
      • Information for Authors
      • Editorial Policies
      • Editorial Board
      • Aims and Scope
      • Abstracting and Indexing
      • Bibliographic Information
      • Archive
    • International Journal of Epigenetics
      • International Journal of Epigenetics
      • Information for Authors
      • Editorial Policies
      • Editorial Board
      • Aims and Scope
      • Abstracting and Indexing
      • Bibliographic Information
      • Archive
    • Medicine International
      • Medicine International
      • Information for Authors
      • Editorial Policies
      • Editorial Board
      • Aims and Scope
      • Abstracting and Indexing
      • Bibliographic Information
      • Archive
  • Articles
  • Information
    • Information for Authors
    • Information for Reviewers
    • Information for Librarians
    • Information for Advertisers
    • Conferences
  • Language Editing
Spandidos Publications Logo
  • About
    • About Spandidos
    • Aims and Scopes
    • Abstracting and Indexing
    • Editorial Policies
    • Reprints and Permissions
    • Job Opportunities
    • Terms and Conditions
    • Contact
  • Journals
    • All Journals
    • Biomedical Reports
      • Information for Authors
      • Editorial Policies
      • Editorial Board
      • Aims and Scope
      • Abstracting and Indexing
      • Bibliographic Information
      • Archive
    • Experimental and Therapeutic Medicine
      • Information for Authors
      • Editorial Policies
      • Editorial Board
      • Aims and Scope
      • Abstracting and Indexing
      • Bibliographic Information
      • Archive
    • International Journal of Epigenetics
      • Information for Authors
      • Editorial Policies
      • Editorial Board
      • Aims and Scope
      • Abstracting and Indexing
      • Bibliographic Information
      • Archive
    • International Journal of Functional Nutrition
      • Information for Authors
      • Editorial Policies
      • Editorial Board
      • Aims and Scope
      • Abstracting and Indexing
      • Bibliographic Information
      • Archive
    • International Journal of Molecular Medicine
      • Information for Authors
      • Editorial Policies
      • Editorial Board
      • Aims and Scope
      • Abstracting and Indexing
      • Bibliographic Information
      • Archive
    • International Journal of Oncology
      • Information for Authors
      • Editorial Policies
      • Editorial Board
      • Aims and Scope
      • Abstracting and Indexing
      • Bibliographic Information
      • Archive
    • Medicine International
      • Information for Authors
      • Editorial Policies
      • Editorial Board
      • Aims and Scope
      • Abstracting and Indexing
      • Bibliographic Information
      • Archive
    • Molecular and Clinical Oncology
      • Information for Authors
      • Editorial Policies
      • Editorial Board
      • Aims and Scope
      • Abstracting and Indexing
      • Bibliographic Information
      • Archive
    • Molecular Medicine Reports
      • Information for Authors
      • Editorial Policies
      • Editorial Board
      • Aims and Scope
      • Abstracting and Indexing
      • Bibliographic Information
      • Archive
    • Oncology Letters
      • Information for Authors
      • Editorial Policies
      • Editorial Board
      • Aims and Scope
      • Abstracting and Indexing
      • Bibliographic Information
      • Archive
    • Oncology Reports
      • Information for Authors
      • Editorial Policies
      • Editorial Board
      • Aims and Scope
      • Abstracting and Indexing
      • Bibliographic Information
      • Archive
    • World Academy of Sciences Journal
      • Information for Authors
      • Editorial Policies
      • Editorial Board
      • Aims and Scope
      • Abstracting and Indexing
      • Bibliographic Information
      • Archive
  • Articles
  • Information
    • For Authors
    • For Reviewers
    • For Librarians
    • For Advertisers
    • Conferences
  • Language Editing
Login Register Submit
  • This site uses cookies
  • You can change your cookie settings at any time by following the instructions in our Cookie Policy. To find out more, you may read our Privacy Policy.

    I agree
Search articles by DOI, keyword, author or affiliation
Search
Advanced Search
presentation
Molecular and Clinical Oncology
Join Editorial Board Propose a Special Issue
Print ISSN: 2049-9450 Online ISSN: 2049-9469
Journal Cover
October-2022 Volume 17 Issue 4

Full Size Image

Sign up for eToc alerts
Recommend to Library

Journals

International Journal of Molecular Medicine

International Journal of Molecular Medicine

International Journal of Molecular Medicine is an international journal devoted to molecular mechanisms of human disease.

International Journal of Oncology

International Journal of Oncology

International Journal of Oncology is an international journal devoted to oncology research and cancer treatment.

Molecular Medicine Reports

Molecular Medicine Reports

Covers molecular medicine topics such as pharmacology, pathology, genetics, neuroscience, infectious diseases, molecular cardiology, and molecular surgery.

Oncology Reports

Oncology Reports

Oncology Reports is an international journal devoted to fundamental and applied research in Oncology.

Experimental and Therapeutic Medicine

Experimental and Therapeutic Medicine

Experimental and Therapeutic Medicine is an international journal devoted to laboratory and clinical medicine.

Oncology Letters

Oncology Letters

Oncology Letters is an international journal devoted to Experimental and Clinical Oncology.

Biomedical Reports

Biomedical Reports

Explores a wide range of biological and medical fields, including pharmacology, genetics, microbiology, neuroscience, and molecular cardiology.

Molecular and Clinical Oncology

Molecular and Clinical Oncology

International journal addressing all aspects of oncology research, from tumorigenesis and oncogenes to chemotherapy and metastasis.

World Academy of Sciences Journal

World Academy of Sciences Journal

Multidisciplinary open-access journal spanning biochemistry, genetics, neuroscience, environmental health, and synthetic biology.

International Journal of Functional Nutrition

International Journal of Functional Nutrition

Open-access journal combining biochemistry, pharmacology, immunology, and genetics to advance health through functional nutrition.

International Journal of Epigenetics

International Journal of Epigenetics

Publishes open-access research on using epigenetics to advance understanding and treatment of human disease.

Medicine International

Medicine International

An International Open Access Journal Devoted to General Medicine.

Journal Cover
October-2022 Volume 17 Issue 4

Full Size Image

Sign up for eToc alerts
Recommend to Library

  • Article
  • Citations
    • Cite This Article
    • Download Citation
    • Create Citation Alert
    • Remove Citation Alert
    • Cited By
  • Similar Articles
    • Related Articles (in Spandidos Publications)
    • Similar Articles (Google Scholar)
    • Similar Articles (PubMed)
  • Download PDF
  • Download XML
  • View XML
Case Report Open Access

Association between CA 15‑3 and progression of interstitial lung disease in a case of coexisting systemic sclerosis and recurrent breast cancer: A case report

  • Authors:
    • Masahiro Ohara
    • Yumiko Koi
    • Tatsunari Sasada
    • Keiko Kajitani
    • Seishi Mizuno
    • Ai Takata
    • Atsuko Okamoto
    • Ikuko Nagata
    • Mie Sumita
    • Kaita Imachi
    • Mayumi Watanabe
    • Yutaka Daimaru
    • Yusuke Yoshida
  • View Affiliations / Copyright

    Affiliations: Department of Breast Surgery, JA Hiroshima General Hospital, Hatsukaichi, Hiroshima 738‑8503, Japan, Section of Pathological Research and Laboratory, JA Hiroshima General Hospital, Hatsukaichi, Hiroshima 738‑8503, Japan, Department of Clinical Immunology and Rheumatology, Hiroshima University Hospital, Hiroshima 734‑8553, Japan
    Copyright: © Ohara et al. This is an open access article distributed under the terms of Creative Commons Attribution License.
  • Article Number: 145
    |
    Published online on: August 8, 2022
       https://doi.org/10.3892/mco.2022.2578
  • Expand metrics +
Metrics: Total Views: 0 (Spandidos Publications: | PMC Statistics: )
Metrics: Total PDF Downloads: 0 (Spandidos Publications: | PMC Statistics: )
Cited By (CrossRef): 0 citations Loading Articles...

This article is mentioned in:



Abstract

Carbohydrate antigen 15‑3 (CA 15‑3) is known as a specific tumor marker for breast cancer, the main use of which is monitoring therapy in patients with advanced breast cancer. Either systemic sclerosis (SSc)‑interstitial lung disease (ILD) or pulmonary arterial hypertension is currently the leading cause of disease‑related morbidity and mortality in patients with scleroderma. Although CA 15‑3 has been investigated as a biomarker in SSc‑ILD, its role remains unclear. The current report presented a case of recurrent breast cancer diagnosed with SSc‑ILD during treatment. The patient, at 63 years old, experienced shortness of breath with minimal exertion after four cycles of perutuzumab, trastuzumab and weekly paclitaxel. Computed tomography (CT) revealed ground‑glass opacities and linear shadows in the peripheral lower lobes of both lungs. Although the development of lung involvement associated with breast cancer, such as carcinomatous lymphangitis, was initially suspected, because of the increase in CA 15‑3, skin biopsies were taken from the left index finger base and extension side of the left elbow, which demonstrated increased thickness of the dermis, leading to a diagnosis of SSc‑ILD. The findings in this case suggested the importance of considering a differential diagnosis, including ILD, concurrently while screening for the progression of recurrent breast cancer when encountering patients with breast cancer and elevated levels of CA 15‑3.

Introduction

Several tumor markers and biomarkers, both tissue- and serum-based, are currently used in the management of patients with breast cancer (1-4), among which, carbohydrate antigen 15-3 (CA 15-3) is considered a specific tumor marker for breast cancer. At present, the main utility of CA 15-3 is monitoring therapy in patients with advanced breast cancer, especially in women with non-evaluable disease. Most expert panels advise against the routine use of CA 15-3 in the surveillance of asymptomatic patients who have undergone surgery for breast cancer (5).

Systemic sclerosis (SSc) is a multi-system autoimmune disorder characterized by autoantibody production, endothelial damage with obliterative microvascular disease, inflammation, and fibrosis affecting the skin and internal organs (6,7). Cardiopulmonary involvement is a common manifestation in SSc, which presents as either interstitial lung disease (ILD) or pulmonary arterial hypertension (8), and is currently the leading cause of disease-related morbidity and mortality in patients with scleroderma (9). The most studied and characterized biomarker for ILD is Krebs von den Lungen 6 (KL-6) (10,11). CA 15-3 is the shed or soluble form of MUC-1 protein. MUC1 is strongly expressed by atypical and/or regenerating type II pneumocytes in tissue sections obtained from patients with ILDs (12-14). Although CA 15-3 has been investigated as a biomarker in SSc-ILD, its role remains unclear (15-17). Herein, we report a case of coexisting SSc and recurrent breast cancer who showed improvement in high CA 15-3 levels with amelioration of ILD without any systemic cancer treatment.

Case report

A 60-year-old woman underwent mastectomy with axillary lymph node dissection at JA Hiroshima General Hospital (Hatsukaichi, Japan) in October 2014 after preoperative chemotherapy (four cycles of docetaxel and trastuzumab, followed by four cycles of cyclophosphamide, epirubicin, and fluorouracil) for estrogen receptor-negative, HER2-positive right breast invasive ductal cancer, T2N1M0 stage IIB (18). Postoperative radiation therapy with 50 Gy in 25 fractions to the supraclavicular lymph nodes and chest wall was performed, followed by 14 cycles of 3-weekly trastuzumab.

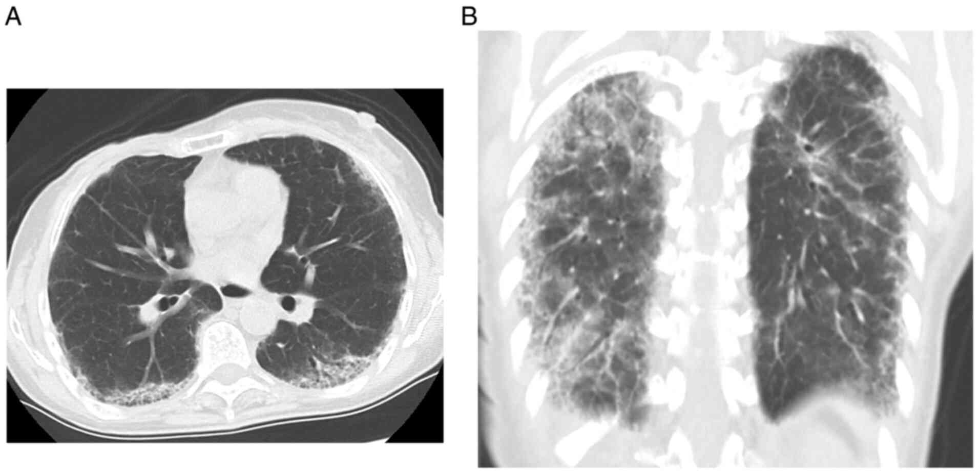
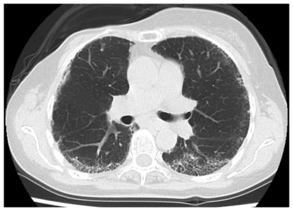
At 63 years old, contrast-enhanced computed tomography (CT) performed as postoperative follow-up indicated brain metastasis in the right occipital lobe without liver, lung, or bone metastasis. She underwent γ-knife radiosurgery (20 Gy) followed by the administration of perutuzumab, trastuzumab, and weekly paclitaxel. After four cycles of perutuzumab, trastuzumab, and weekly paclitaxel, she experienced shortness of breath with minimal exertion, so the fifth course was canceled. CT revealed ground-glass opacities and linear shadows in the peripheral lower lobes of both lungs (Fig. 1). Although the development of lung involvement associated with breast cancer such as carcinomatous lymphangitis was initially suspected, because of the increase in CA 15-3, we investigated other possible causes of ILD (Fig. 2). From only CT image, the possibility of interstitial lung disease due to trastuzumab or pertuzumab cannot be ruled out (19). Bilateral sclerodactyly and facial skin thickness were found on clinical examination without a history of Raynaud's phenomenon and the finding of nail fold bleeding. A test for anti-nuclear antibodies with a nucleolar pattern was positive, at a titer of 1:320. Anti-double stranded DNA antibody, specific antibodies against centromere, SSA/SSB, Scl-70, RNP, and RNA polymerase III were negative. Pulmonary function tests showed a severely reduced %VC of 50.8%, indicating restrictive ventilatory impairment. Skin biopsies taken from the left index finger base and extension side of the left elbow demonstrated increased thickness of the dermis composed of broad and sclerotic collagen bundles extending to the underlying subcutis without inflammatory cell infiltration in hematoxylin and eosin stained-samples. These findings were consistent with the late stage of scleroderma (Fig. 3). From these findings, the diagnosis of SSc-ILD was made according to the diagnostic criteria for SSc proposed by the Ministry of Health, Labour and Welfare of Japan. The treatment for recurrent breast cancer was discontinued, and combination prednisone (PSL) (15 mg/day) and intravenous cyclophosphamide (IVCY) (500 mg/4 weeks) therapy was administered for induction treatment of SSc-ILD. PSL was tapered and discontinued at 1 year and IVCY was given five times in total. At 6 months after the start of treatment, her symptoms, including cough and dyspnea, had improved. CA 15-3 and KL-6 levels decreased simultaneously, reflecting the therapeutic effect (Fig. 2), and CT showed improvement in the ground-glass opacities in the peripheral lower lobes of both lungs as compared with those before treatment (Fig. 4). This patient is receiving treatment for SSc-ILD. The patient's SSc-ILD has not worsening and her breast cancer has not recurred despite not receiving treatment for four years.

Figure 1

Chest computed tomography reveals ground-glass opacities and linear shadows in the peripheral lower lobes of both lungs. (A) Axial section view, (B) coronal section view.

Figure 2

Changes in CA 15-3 and KL-6 from occurring brain metastasis. CA 15-3 and KL-6 decreased after treatment for systemic sclerosis-interstitial lung disease. CA 15-3, carbohydrate antigen 15-3; KL-6, Krebs von den Lungen 6; CT, computed tomography; P+H+PTX, perutuzumab, trastuzumab and weekly paclitaxel; PSL, prednisone; IVCY, intravenous cyclophosphamide.

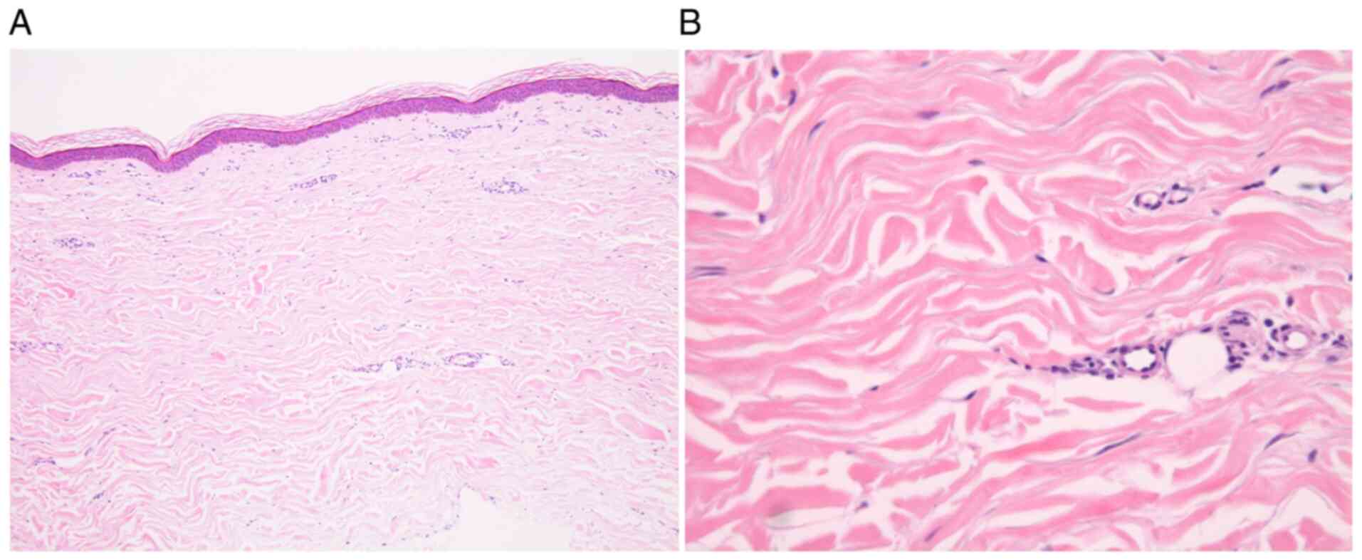
Figure 3

Histopathology of skin-punch biopsies from the left index finger base and extension side of the left elbow. The thickness of the dermis was composed of broad and sclerotic collagen bundles extending to the underlying subcutis without inflammatory cell infiltration. These findings were consistent with the late stage of scleroderma. (A) HE; magnification, x40. (B) HE; magnification, x400. HE, hematoxylin and eosin.

Figure 4

No progression of ground-glass shadows in the peripheral lower lobes of both lungs were seen on chest computed tomography compared with before treatment for sclerosis-interstitial lung disease.

Discussion

SSc is a devastating disease of unknown etiology that is characterized by systemic, immunological, vascular, and fibrotic abnormalities and a heterogeneous clinical course. Fibrosis, the hallmark of the disease, can affect the skin and internal organs, including lung (20). As is well known, pulmonary involvement is one of the most important features of SSc and often the leading cause of exitus. SSc-ILD is one of the most severe complications and is the main cause of SSc-related deaths (9,21); however, review of contemporary literature suggests improved survival among patients with SSc-ILD due to more aggressive monitoring and treatment (22,23). In clinical trials of SSc-ILD, change in forced vital capacity (FVC) is commonly used as a primary outcome measure, as low FVC predicts morbidity and mortality (24). Two landmark clinical trials, SLS-I (25) and SLS-II (26), established cyclophosphamide and mycophenolate mofetil as disease modifying therapies for SSc patients with active ILD.

The relationship between BC and SSc have been described previously (27-30). The standardized incidence ratio of BC in female SSc patients was found to be 1.62 (95% confidence intervals: 0.7-3.19) (31). many factors should be considered in the common pathogenesis of these two disorders (32). First of all, the female susceptibility observed for SSc suggests an influence of the same hormonal factors found to be involved in BC, such as elevated prolactin levels and decreased levels of dehydroepiandrosterone sulfate (33,34). Secondly, calcium channel blockers, a cornerstone treatment for SSc vasculopathy, have been suspected to be a risk factor for breast cancer in the general population (35-38). Lastly, several immunosuppressive drugs can be used in SSc but may contribute to cancer (39,40), whereas several chemotherapeutic agents (such as taxanes) and ionizing radiations have been associated with tissue fibrosis and/or scleroderma and may exacerbate pre-existing systemic scleroderma (41-45).

Taxanes, as well as other antineoplastic agents, have many toxic effects. Therefore, whether the etiology of the present case is drug-induced remains unclear. Taxane-induced scleroderma-like skin changes were first reported in 1995, and clinical characteristics include preceding edema, absence of Raynaud's phenomenon, and negative scleroderma-specific autoantibodies (46-49). The clinical course is refractory to treatment and commonly progressive even after discontinuation of the trigger drugs (50). However, unlike the present study, previous reports showed mainly skin disorders without ILD. In addition, the positivity of anti-nuclear antibodies with a nucleolar pattern in this case, which suggested the existence of SSc-specific antibodies against RNA polymerase III, Th/To, U3-RNP, and PM-Scl, helped us determine the diagnosis of SSc regardless of taxane exposure (51).

CA 15-3 is the shed or soluble form of MUC-1 protein. MUC1 is a transmembrane mucin with marked overexpression in human breast cancers as compared with that in normal ductal breast epithelial cells (52). On the other hand, MUC1 is strongly expressed by atypical and/or regenerating type II pneumocytes in tissue sections obtained from patients with ILDs (12-14). Serum levels of KL-6, an N-terminal subunit of MUC-1 protein, increases in the acute exacerbation of idiopathic pulmonary fibrosis (IPF). Serum levels of KL-6 correlate with IPF severity and prognosis (53). As both KL-6 and CA 15-3 exist in different positions of MUC1(54), CA 15-3 may retain significant potential as an alternative biomarker for KL-6 in fibrotic lung diseases (16-18,55). In primary breast cancer, various studies have demonstrated that elevated serum CA15-3 values at diagnosis are associated with higher breast cancer stage, tumor size, positive axillary lymph nodes, and worse overall survival and disease-free survival (56-60). In metastatic breast cancer, CA15-3 was measured serially in a number of studies assessing their applications in early detection of disease progression and monitoring therapy response (61-65). On the other hand, CA15-3 was previously shown to be elevated in serum of SSc-ILD patients and was associated with severe ILD measured by fibrosis on HRCT, decreased FVC and DLCO and the presence of dyspnoea (16,66). In a study performed by Celeste et al on 221 SSc patients, among which 168 with ILD, CA15-3 serum levels were found to correlate with the extent of fibrosis detected on HRCT as well as to be predictive for progression-free survival, with progression being defined by a decline in either FVC or DLCO (17). The present study suggested that oncologists treating the patients with breast cancer should know CA15-3 is also associated with the condition of ILD. The concentration of some tumor-associated antigens (TAA) such as CA19-9 and CA125 were reported to be elevated in the sera of patients with SSc or systemic lupus erythematosus in comparison to healthy subjects (67). Because of public insurance coverage, the number of TAA for patients with breast cancer that could be measured at one time is limited. CEA could be measured for patients with breast cancer at the same time. In this patient, CEA did not show outlier or abnormal changes.

Meanwhile, KL-6 has been reported as a tumor marker in not only lung cancer, but also gastrointestinal, hepatic, pancreatic, and breast cancers (68,69). Kohno, the developer of KL-6 monoclonal antibody, noted that the serum levels of KL-6 mucin were elevated in patients with pulmonary, breast, and pancreatic adenocarcinomas (12). Elevation of KL-6 mucin in serum is significantly associated with the behavior of breast cancer (70) or lung cancer (68). Immunohistochemical analyses have clarified KL-6 mucin's clinicopathological significance in digestive organ cancer tissues. As the expression profile and clinicopathological significance of KL-6 mucin differ among each organ or disease, the biological role of KL-6 mucin might have a different importance in each location and state (68). Thus, the nature of KL-6 mucin remains unclear, and further investigations of KL-6 mucin in cancer are expected in the future.

In conclusion, serum levels of CA 15-3 correlated with the condition of SSc-ILD in a patient with recurrent breast cancer. This case suggests the importance of considering a differential diagnosis including ILD concurrently while screening for the progression of recurrent breast cancer when encountering patients with breast cancer and elevated levels of CA 15-3.

Acknowledgements

The authors would like to thank Mrs. Takamoto and Mrs. Nishimoto (Nursing Department, Hiroshima General Hospital) for their special help with breast cancer nursing care.

Funding

Funding: No funding was received.

Availability of data and materials

All data generated or analyzed during this study are included in this published article.

Author's contributions

MO wrote the draft and critically revised the manuscript for important intellectual content. MO performed surgical and post-operative treatment. MO, YK, TS and KK contributed to the conception of the work, and interpreted and revised the results of the CT included in this report. YY treated the patient for SSc-ILD. YD diagnosed the disease pathologically. YY, SM, AT, AO, IN, MS, KI, MW, and YD collected and analyzed both the clinical laboratory and histopathological data. MO and YY confirm the authenticity of all the raw data. All authors read and approved the final manuscript.

Ethics approval and consent to participate

Not applicable.

Patient consent for publication

Written informed consent was obtained from the patient for publication of this case report and any accompanying images.

Competing interests

The authors declare that they have no competing interests.

References

1 

Sturgeon CM, Duffy MJ, Stenman UH, Lilja H, Brünner N, Chan DW, Babaian R, Bast RC Jr, Dowell B, Esteva FJ, et al: National academy of clinical biochemistry laboratory medicine practice guidelines for use of tumor markers in testicular, prostate, colorectal, breast, and ovarian cancers. Clin Chem. 54:e11–e79. 2008.PubMed/NCBI View Article : Google Scholar

2 

Duffy MJ: Biochemical markers in breast cancer: Which ones are clinically useful? Clin Biochem. 34:347–352. 2001.PubMed/NCBI View Article : Google Scholar

3 

Duffy MJ: Predictive markers in breast and other cancers: A review. Clin Chem. 51:494–503. 2005.PubMed/NCBI View Article : Google Scholar

4 

Duffy MJ, Walsh S, McDermott EW and Crown J: Biomarkers in breast cancer: Where Are we and where are we going? Adv Clin Chem. 71:1–23. 2015.PubMed/NCBI View Article : Google Scholar

5 

Duffy MJ, Evoy D and McDermott EW: CA 15-3: Uses and limitation as a biomarker for breast cancer. Clin Chim Acta. 411:1869–1874. 2010.PubMed/NCBI View Article : Google Scholar

6 

Silver RM: Clinical aspects of systemic sclerosis (scleroderma). Ann Rheum Dis. 50 (Suppl 4):S854–S861. 1991.PubMed/NCBI View Article : Google Scholar

7 

Varga J and Abraham D: Systemic sclerosis: A prototypic multisystem fibrotic disorder. J Clin Invest. 117:557–567. 2007.PubMed/NCBI View Article : Google Scholar

8 

Wells AU, Steen V and Valentini G: Pulmonary complications: One of the most challenging complications of systemic sclerosis. Rheumatology (Oxford). 48 (Suppl 3):iii40–iii44. 2009.PubMed/NCBI View Article : Google Scholar

9 

Steen VD and Medsger TA: Changes in causes of death in systemic sclerosis, 1972-2002. Ann Rheum Dis. 66:940–944. 2007.PubMed/NCBI View Article : Google Scholar

10 

Prasse A and Müller-Quernheim J: Non-invasive biomarkers in pulmonary fibrosis. Respirology. 14:788–795. 2009.PubMed/NCBI View Article : Google Scholar

11 

Ishikawa N, Hattori N, Yokoyama A and Kohno N: Utility of KL-6/MUC1 in the clinical management of interstitial lung diseases. Respir Investig. 50:3–13. 2012.PubMed/NCBI View Article : Google Scholar

12 

Kohno N, Akiyama M, Kyoizumi S, Hakoda M, Kobuke K and Yamakido M: Detection of soluble tumor-associated antigens in sera and effusions using novel monoclonal antibodies, KL-3 and KL-6, against lung adenocarcinoma. Jpn J Clin Oncol. 18:203–216. 1988.PubMed/NCBI

13 

Tanaka S, Hattori N, Ishikawa N, Shoda H, Takano A, Nishino R, Okada M, Arihiro K, Inai K, Hamada H, et al: Krebs von den Lungen-6 (KL-6) is a prognostic biomarker in patients with surgically resected nonsmall cell lung cancer. Int J Cancer. 130:377–387. 2012.PubMed/NCBI View Article : Google Scholar

14 

Yamasaki H, Ikeda S, Okajima M, Miura Y, Asahara T, Kohno N and Shimamoto F: Expression and localization of MUC1, MUC2, MUC5AC and small intestinal mucin antigen in pancreatic tumors. Int J Oncol. 24:107–113. 2004.PubMed/NCBI

15 

Ricci A, Mariotta S, Bronzetti E, Bruno P, Vismara L, De Dominicis C, Laganà B, Paone G, Mura M, Rogliani P, et al: Serum CA 15-3 is increased in pulmonary fibrosis. Sarcoidosis Vasc Diffuse Lung Dis. 26:54–63. 2009.PubMed/NCBI

16 

Valerio Marzano A, Morabito A, Berti E and Caputo R: Elevated circulating CA 15.3 levels in a subset of systemic sclerosis with severe lung involvement. Arch Dermatol. 134(645)1998.PubMed/NCBI View Article : Google Scholar

17 

Celeste S, Santaniello A, Caronni M, Franchi J, Severino A, Scorza R and Beretta L: Carbohydrate antigen 15.3 as a serum biomarker of interstitial lung disease in systemic sclerosis patients. Eur J Intern Med. 24:671–676. 2013.PubMed/NCBI View Article : Google Scholar

18 

Greene FL: Breast tumours. In: TNM classification of malignant tumours. Sobin LH, Gospodarowicz MK and Wittekind C (eds). 7th edition. Wiley-Blackwell, Oxford, pp181-193, 2009.

19 

Hackshaw MD, Danysh HE, Singh J, Ritchey ME, Ladner A, Taitt C, Camidge DR, Iwata H and Powell CA: Incidence of pneumonitis/interstitial lung disease induced by HER2-targeting therapy for HER2-positive metastatic breast cancer. Breast Cancer Res Treat. 183:23–39. 2020.PubMed/NCBI View Article : Google Scholar

20 

Varga J: Systemic sclerosis: An update. Bull NYU Hosp Jt Dis. 66:198–202. 2008.PubMed/NCBI

21 

Tyndall AJ, Bannert B, Vonk M, Airò P, Cozzi F, Carreira PE, Bancel DF, Allanore Y, Müller-Ladner U, Distler O, et al: Causes and risk factors for death in systemic sclerosis: A study from the EULAR scleroderma trials and research (EUSTAR) database. Ann Rheum Dis. 69:1809–1815. 2010.PubMed/NCBI View Article : Google Scholar

22 

Volkmann ER and Fischer A: Update on morbidity and mortality in systemic sclerosis-related interstitial lung disease. J Scleroderma Relat Disord. 6:11–20. 2021.PubMed/NCBI View Article : Google Scholar

23 

Rubio-Rivas M, Royo C, Simeón CP, Corbella X and Fonollosa V: Mortality and survival in systemic sclerosis: Systematic review and meta-analysis. Semin Arthritis Rheum. 44:208–219. 2014.PubMed/NCBI View Article : Google Scholar

24 

Steen VD, Conte C, Owens GR and Medsger TA Jr: Severe restrictive lung disease in systemic sclerosis. Arthritis Rheum. 37:1283–1289. 1994.PubMed/NCBI View Article : Google Scholar

25 

Tashkin DP, Elashoff R, Clements PJ, Goldin J, Roth MD, Furst DE, Arriola E, Silver R, Strange C, Bolster M, et al: Cyclophosphamide versus placebo in scleroderma lung disease. N Engl J Med. 354:2655–2666. 2006.PubMed/NCBI View Article : Google Scholar

26 

Tashkin DP, Roth MD, Clements PJ, Furst DE, Khanna D, Kleerup EC, Goldin J, Arriola E, Volkmann ER, Kafaja S, et al: Mycophenolate mofetil versus oral cyclophosphamide in scleroderma-related interstitial lung disease (SLS II): A randomised controlled, double-blind, parallel group trial. Lancet Respir Med. 4:708–719. 2016.PubMed/NCBI View Article : Google Scholar

27 

Colaci M, Giuggioli D, Vacchi C, Lumetti F, Iachetta F, Marcheselli L, Federico M and Ferri C: Breast cancer in systemic sclerosis: Results of a cross-linkage of an Italian rheumatologic center and a population-based cancer registry and review of the literature. Autoimmun Rev. 13:132–137. 2014.PubMed/NCBI View Article : Google Scholar

28 

Abu-Shakra M, Guillemin F and Lee P: Cancer in systemic sclerosis. Arthritis Rheum. 36:460–464. 1993.PubMed/NCBI View Article : Google Scholar

29 

Szekanecz É, Szamosi S, Horváth Á, Németh Á, Juhász B, Szántó J, Szücs G and Szekanecz Z: Malignancies associated with systemic sclerosis. Autoimmun Rev. 11:852–855. 2012.PubMed/NCBI View Article : Google Scholar

30 

Scope A, Sadetzki S, Sidi Y, Barzilai A, Trau H, Kaufman B, Catane R and Ehrenfeld M: Breast cancer and scleroderma. Skinmed. 5:18–24. 2006.PubMed/NCBI View Article : Google Scholar

31 

Hill CL, Nguyen AM, Roder D and Roberts-Thomson P: Risk of cancer in patients with scleroderma: A population based cohort study. Ann Rheum Dis. 62:728–731. 2003.PubMed/NCBI View Article : Google Scholar

32 

Maria ATJ, Partouche L, Goulabchand R, Rivière S, Rozier P, Bourgier C, Le Quellec A, Morel J, Noël D and Guilpain P: Intriguing relationships between cancer and systemic sclerosis: Role of the immune system and other contributors. Front Immunol. 9(3112)2019.PubMed/NCBI View Article : Google Scholar

33 

Straub RH, Zeuner M, Lock G, Schölmerich J and Lang B: High prolactin and low dehydroepiandrosterone sulphate serum levels in patients with severe systemic sclerosis. Br J Rheumatol. 36:426–432. 1997.PubMed/NCBI View Article : Google Scholar

34 

Wang M, Wu X, Chai F, Zhang Y and Jiang J: Plasma prolactin and breast cancer risk: A meta-analysis. Sci Rep. 6(25998)2016.PubMed/NCBI View Article : Google Scholar

35 

Li CI, Daling JR, Tang MT, Haugen KL, Porter PL and Malone KE: Use of antihypertensive medications and breast cancer risk among women aged 55 to 74 years. JAMA Intern Med. 173:1629–1637. 2013.PubMed/NCBI View Article : Google Scholar

36 

Gómez-Acebo I, Dierssen-Sotos T, Palazuelos C, Pérez-Gómez B, Lope V, Tusquets I, Alonso MH, Moreno V, Amiano P, Molina de la Torre AJ, et al: The use of antihypertensive medication and the risk of breast cancer in a case-control study in a spanish population: The MCC-spain study. PLoS One. 11(e0159672)2016.PubMed/NCBI View Article : Google Scholar

37 

Bernal-Bello D, García de Tena J, Simeón-Aznar C and Fonollosa-Pla V: Systemic sclerosis, breast cancer and calcium channel blockers: A new player on the scene? Autoimmun Rev. 13:880–881. 2014.PubMed/NCBI View Article : Google Scholar

38 

Brasky TM, Krok-Schoen JL, Liu J, Chlebowski RT, Freudenheim JL, Lavasani S, Margolis KL, Qi L, Reding KW, Shields PG, et al: Use of calcium channel blockers and breast cancer risk in the women's health initiative. Cancer Epidemiol Biomarkers Prev. 26:1345–1348. 2017.PubMed/NCBI View Article : Google Scholar

39 

Baltus JA, Boersma JW, Hartman AP and Vandenbroucke JP: The occurrence of malignancies in patients with rheumatoid arthritis treated with cyclophosphamide: A controlled retrospective follow-up. Ann Rheum Dis. 42:368–373. 1983.PubMed/NCBI View Article : Google Scholar

40 

Gulamhusein A and Pope JE: Squamous cell carcinomas in 2 patients with diffuse scleroderma treated with mycophenolate mofetil. J Rheumatol. 36:460–462. 2009.PubMed/NCBI View Article : Google Scholar

41 

Okada K, Endo Y, Miyachi Y, Koike Y, Kuwatsuka Y and Utani A: Glycosaminoglycan and versican deposits in taxane-induced sclerosis. Br J Dermatol. 173:1054–1058. 2015.PubMed/NCBI View Article : Google Scholar

42 

Hung CH, Chan SH, Chu PM and Tsai KL: Docetaxel facilitates endothelial dysfunction through oxidative stress via modulation of protein kinase C beta: The protective effects of sotrastaurin. Toxicol Sci. 145:59–67. 2015.PubMed/NCBI View Article : Google Scholar

43 

Abu-Shakra M and Lee P: Exaggerated fibrosis in patients with systemic sclerosis (scleroderma) following radiation therapy. J Rheumatol. 20:1601–1603. 1993.PubMed/NCBI

44 

Darras-Joly C, Wechsler B, Blétry O and Piette JC: De novo systemic sclerosis after radiotherapy: A report of 3 cases. J Rheumatol. 26:2265–2267. 1999.PubMed/NCBI

45 

Shah DJ, Hirpara R, Poelman CL, Woods A, Hummers LK, Wigley FM, Wright JL, Parekh A, Steen VD, Domsic RT and Shah AA: Impact of radiation therapy on scleroderma and cancer outcomes in scleroderma patients with breast cancer. Arthritis Care Res (Hoboken). 70:1517–1524. 2018.PubMed/NCBI View Article : Google Scholar

46 

Verhulst L, Noë E, Morren MA, Verslype C, Van Cutsem E, Van den Oord JJ and De Haes P: Scleroderma-like cutaneous lesions during treatment with paclitaxel and gemcitabine in a patient with pancreatic adenocarcinoma. Review of literature. Int J Dermatol. 57:1075–1079. 2018.PubMed/NCBI View Article : Google Scholar

47 

Itoh M, Yanaba K, Kobayashi T and Nakagawa H: Taxane-induced scleroderma. Br J Dermatol. 156:363–367. 2007.PubMed/NCBI View Article : Google Scholar

48 

Sokołowska-Wojdyło M, Kłudkowska J, Olszewska B, Seredyńska J, Biernat W, Błażewicz I, Rustowska-Rogowska A and Nowicki RJ: The first case of drug-induced pseudoscleroderma and eczema craquelé related to nab-paclitaxel pancreatic adenocarcinoma treatment. Postepy Dermatol Alergol. 35:106–108. 2018.PubMed/NCBI View Article : Google Scholar

49 

Shibao K, Okiyama N, Maruyama H, Jun-Ichi F and Fujimoto M: Scleroderma-like skin changes occurring after the use of paclitaxel without any chemical solvents: A first case report. Eur J Dermatol. 26:317–318. 2016.PubMed/NCBI View Article : Google Scholar

50 

Battafarano DF, Zimmerman GC, Older SA, Keeling JH and Burris HA: Docetaxel (Taxotere) associated scleroderma-like changes of the lower extremities. A report of three cases. Cancer. 76:110–115. 1995.PubMed/NCBI View Article : Google Scholar

51 

Hamaguchi Y: Autoantibody profiles in systemic sclerosis: Predictive value for clinical evaluation and prognosis. J Dermatol. 37:42–53. 2010.PubMed/NCBI View Article : Google Scholar

52 

Kufe D, Inghirami G, Abe M, Hayes D, Justi-Wheeler H and Schlom J: Differential reactivity of a novel monoclonal antibody (DF3) with human malignant versus benign breast tumors. Hybridoma. 3:223–232. 1984.PubMed/NCBI View Article : Google Scholar

53 

Wakamatsu K, Nagata N, Kumazoe H, Oda K, Ishimoto H, Yoshimi M, Takata S, Hamada M, Koreeda Y, Takakura K, et al: Prognostic value of serial serum KL-6 measurements in patients with idiopathic pulmonary fibrosis. Respir Investig. 55:16–23. 2017.PubMed/NCBI View Article : Google Scholar

54 

Baldus SE, Engelmann K and Hanisch FG: MUC1 and the MUCs: A family of human mucins with impact in cancer biology. Crit Rev Clin Lab Sci. 41:189–231. 2004.PubMed/NCBI View Article : Google Scholar

55 

Kruit A, Gerritsen WB, Pot N, Grutters JC, van den Bosch JM and Ruven HJ: CA 15-3 as an alternative marker for KL-6 in fibrotic lung diseases. Sarcoidosis Vasc Diffuse Lung Dis. 27:138–146. 2010.PubMed/NCBI

56 

Uehara M, Kinoshita T, Hojo T, Akashi-Tanaka S, Iwamoto E and Fukutomi T: Long-term prognostic study of carcinoembryonic antigen (CEA) and carbohydrate antigen 15-3 (CA 15-3) in breast cancer. Int J Clin Oncol. 13:447–451. 2008.PubMed/NCBI View Article : Google Scholar

57 

Shering SG, Sherry F, McDermott EW, O'Higgins NJ and Duffy MJ: Preoperative CA 15-3 concentrations predict outcome of patients with breast carcinoma. Cancer. 83:2521–2527. 1998.PubMed/NCBI

58 

Shao Y, Sun X, He Y, Liu C and Liu H: Elevated levels of serum tumor markers CEA and CA15-3 are prognostic parameters for different molecular subtypes of breast cancer. PLoS One. 10(e0133830)2015.PubMed/NCBI View Article : Google Scholar

59 

Fu Y and Li H: Assessing clinical significance of serum CA15-3 and carcinoembryonic antigen (CEA) levels in breast cancer patients: A meta-analysis. Med Sci Monit. 22:3154–3162. 2016.PubMed/NCBI View Article : Google Scholar

60 

Di Gioia D, Dresse M, Mayr D, Nagel D, Heinemann V and Stieber P: Serum HER2 in combination with CA 15-3 as a parameter for prognosis in patients with early breast cancer. Clin Chim Acta. 440:16–22. 2015.PubMed/NCBI View Article : Google Scholar

61 

Wojtacki J, Kruszewski WJ, Sliwińska M, Kruszewska E, Hajdukiewicz W, Sliwiński W, Rolka-Stempniewicz G, Góralczyk M and Leśniewski-Kmak K: Elevation of serum Ca 15-3 antigen: An early indicator of distant metastasis from breast cancer. Retrospective analysis of 733 cases. Przegl Lek. 58:498–503. 2001.PubMed/NCBI(In Polish).

62 

Tampellini M, Berruti A, Bitossi R, Gorzegno G, Alabiso I, Bottini A, Farris A, Donadio M, Sarobba MG, Manzin E, et al: Prognostic significance of changes in CA 15-3 serum levels during chemotherapy in metastatic breast cancer patients. Breast Cancer Res Treat. 98:241–248. 2006.PubMed/NCBI View Article : Google Scholar

63 

Chourin S, Veyret C, Chevrier A, Loeb A, Gray C and Basuyau J: Routine use of serial plasmatic CA 15-3 determinations during the follow-up of patients treated for breast cancer. Evaluation as factor of early diagnosis of recurrence. Ann Biol Clin (Paris). 66:385–392. 2008.PubMed/NCBI View Article : Google Scholar : (In French).

64 

Yang Y, Zhang H, Zhang M, Meng Q, Cai L and Zhang Q: Elevation of serum CEA and CA15-3 levels during antitumor therapy predicts poor therapeutic response in advanced breast cancer patients. Oncol Lett. 14:7549–7556. 2017.PubMed/NCBI View Article : Google Scholar

65 

Kim HS, Park YH, Park MJ, Chang MH, Jun HJ, Kim KH, Ahn JS, Kang WK, Park K and Im YH: Clinical significance of a serum CA15-3 surge and the usefulness of CA15-3 kinetics in monitoring chemotherapy response in patients with metastatic breast cancer. Breast Cancer Res Treat. 118:89–97. 2009.PubMed/NCBI View Article : Google Scholar

66 

Wong RC, Brown S, Clarke BE, Klingberg S and Zimmerman PV: Transient elevation of the tumor markers CA 15-3 and CASA as markers of interstitial lung disease rather than underlying malignancy in dermatomyositis sine myositis. J Clin Rheumatol. 8:204–207. 2002.PubMed/NCBI View Article : Google Scholar

67 

Inagaki Y, Xu H, Nakata M, Seyama Y, Hasegawa K, Sugawara Y, Tang W and Kokudo N: Clinicopathology of sialomucin: MUC1, particularly KL-6 mucin, in gastrointestinal, hepatic and pancreatic cancers. Biosci Trends. 3:220–232. 2009.PubMed/NCBI

68 

Szekanecz E, Szucs G, Szekanecz Z, Tarr T, Antal-Szalmás P, Szamosi S, Szántó J and Kiss E: Tumor-associated antigens in systemic sclerosis and systemic lupus erythematosus: Associations with organ manifestations, immunolaboratory markers and disease activity indices. J Autoimmun. 31:372–376. 2008.PubMed/NCBI View Article : Google Scholar

69 

Ogawa Y, Ishikawa T, Ikeda K, Nakata B, Sawada T, Ogisawa K, Kato Y and Hirakawa K: Evaluation of serum KL-6, a mucin-like glycoprotein, as a tumor marker for breast cancer. Clin Cancer Res. 6:4069–4072. 2000.PubMed/NCBI

70 

Kohno N: Serum marker KL-6/MUC1 for the diagnosis and management of interstitial pneumonitis. J Med Invest. 46:151–158. 1999.PubMed/NCBI

Related Articles

  • Abstract
  • View
  • Download
  • Twitter
Copy and paste a formatted citation
Spandidos Publications style
Ohara M, Koi Y, Sasada T, Kajitani K, Mizuno S, Takata A, Okamoto A, Nagata I, Sumita M, Imachi K, Imachi K, et al: Association between CA 15‑3 and progression of interstitial lung disease in a case of coexisting systemic sclerosis and recurrent breast cancer: A case report. Mol Clin Oncol 17: 145, 2022.
APA
Ohara, M., Koi, Y., Sasada, T., Kajitani, K., Mizuno, S., Takata, A. ... Yoshida, Y. (2022). Association between CA 15‑3 and progression of interstitial lung disease in a case of coexisting systemic sclerosis and recurrent breast cancer: A case report. Molecular and Clinical Oncology, 17, 145. https://doi.org/10.3892/mco.2022.2578
MLA
Ohara, M., Koi, Y., Sasada, T., Kajitani, K., Mizuno, S., Takata, A., Okamoto, A., Nagata, I., Sumita, M., Imachi, K., Watanabe, M., Daimaru, Y., Yoshida, Y."Association between CA 15‑3 and progression of interstitial lung disease in a case of coexisting systemic sclerosis and recurrent breast cancer: A case report". Molecular and Clinical Oncology 17.4 (2022): 145.
Chicago
Ohara, M., Koi, Y., Sasada, T., Kajitani, K., Mizuno, S., Takata, A., Okamoto, A., Nagata, I., Sumita, M., Imachi, K., Watanabe, M., Daimaru, Y., Yoshida, Y."Association between CA 15‑3 and progression of interstitial lung disease in a case of coexisting systemic sclerosis and recurrent breast cancer: A case report". Molecular and Clinical Oncology 17, no. 4 (2022): 145. https://doi.org/10.3892/mco.2022.2578
Copy and paste a formatted citation
x
Spandidos Publications style
Ohara M, Koi Y, Sasada T, Kajitani K, Mizuno S, Takata A, Okamoto A, Nagata I, Sumita M, Imachi K, Imachi K, et al: Association between CA 15‑3 and progression of interstitial lung disease in a case of coexisting systemic sclerosis and recurrent breast cancer: A case report. Mol Clin Oncol 17: 145, 2022.
APA
Ohara, M., Koi, Y., Sasada, T., Kajitani, K., Mizuno, S., Takata, A. ... Yoshida, Y. (2022). Association between CA 15‑3 and progression of interstitial lung disease in a case of coexisting systemic sclerosis and recurrent breast cancer: A case report. Molecular and Clinical Oncology, 17, 145. https://doi.org/10.3892/mco.2022.2578
MLA
Ohara, M., Koi, Y., Sasada, T., Kajitani, K., Mizuno, S., Takata, A., Okamoto, A., Nagata, I., Sumita, M., Imachi, K., Watanabe, M., Daimaru, Y., Yoshida, Y."Association between CA 15‑3 and progression of interstitial lung disease in a case of coexisting systemic sclerosis and recurrent breast cancer: A case report". Molecular and Clinical Oncology 17.4 (2022): 145.
Chicago
Ohara, M., Koi, Y., Sasada, T., Kajitani, K., Mizuno, S., Takata, A., Okamoto, A., Nagata, I., Sumita, M., Imachi, K., Watanabe, M., Daimaru, Y., Yoshida, Y."Association between CA 15‑3 and progression of interstitial lung disease in a case of coexisting systemic sclerosis and recurrent breast cancer: A case report". Molecular and Clinical Oncology 17, no. 4 (2022): 145. https://doi.org/10.3892/mco.2022.2578
Follow us
  • Twitter
  • LinkedIn
  • Facebook
About
  • Spandidos Publications
  • Careers
  • Cookie Policy
  • Privacy Policy
How can we help?
  • Help
  • Live Chat
  • Contact
  • Email to our Support Team