International Journal of Molecular Medicine is an international journal devoted to molecular mechanisms of human disease.
International Journal of Oncology is an international journal devoted to oncology research and cancer treatment.
Covers molecular medicine topics such as pharmacology, pathology, genetics, neuroscience, infectious diseases, molecular cardiology, and molecular surgery.
Oncology Reports is an international journal devoted to fundamental and applied research in Oncology.
Experimental and Therapeutic Medicine is an international journal devoted to laboratory and clinical medicine.
Oncology Letters is an international journal devoted to Experimental and Clinical Oncology.
Explores a wide range of biological and medical fields, including pharmacology, genetics, microbiology, neuroscience, and molecular cardiology.
International journal addressing all aspects of oncology research, from tumorigenesis and oncogenes to chemotherapy and metastasis.
Multidisciplinary open-access journal spanning biochemistry, genetics, neuroscience, environmental health, and synthetic biology.
Open-access journal combining biochemistry, pharmacology, immunology, and genetics to advance health through functional nutrition.
Publishes open-access research on using epigenetics to advance understanding and treatment of human disease.
An International Open Access Journal Devoted to General Medicine.
Lymphoepithelial carcinoma (LEC), according to the current World Health Organization Classification, is one of 21 subtypes of salivary malignant epithelial tumors and is histologically an undifferentiated carcinoma with a syncytial growth pattern accompanied by prominent non-neoplastic lymphoplasmacytic infiltrates, mostly associated with Epstein-Barr virus (EBV) infection (1,2). These histological features are indistinguishable from those of undifferentiated nasopharyngeal carcinoma (NPC), which is also associated with EBV infection. LEC arising in the salivary glands is extremely rare, comprising only 0.4% of salivary carcinomas (3). Thus, the information on this tumor is limited to case reports and small case series, most of which described patients from Arctic Inuit (Eskimo), Southern Chinese, and Japanese populations with strong EBV involvement (1). Given its rarity, neither the etiology nor clinical features of LEC of the salivary gland have been fully elucidated. Here, we report a rare case of EBV-associated LEC arising in the parotid gland, which was treated with surgery followed by radiotherapy. Somatic mutation test using next generation sequencing (NGS) was also performed and showed no evidence of any mutations.
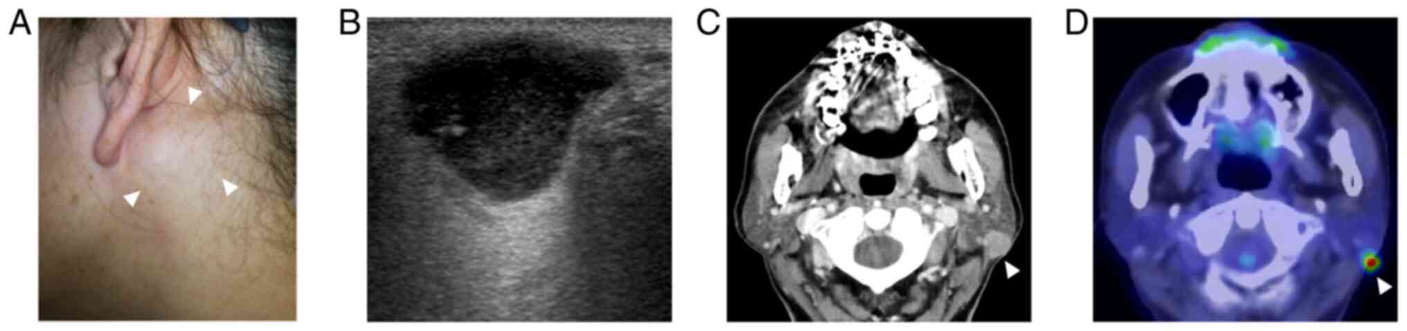
A 60-year-old Japanese woman with a 3-years history of a slow-growing, painless mass in her left parotid gland was admitted to our department. She had no medical or familial history of note. A thumb-sized, hard mass was palpated on the left parotid gland (Fig. 1A). No facial palsy was observed. Endoscopic examination did not reveal any tumorous lesions in the nasopharynx. Ultrasonography revealed a well-circumscribed, lobulated, hypoechoic mass with posterior enhancement measuring 19x12x10 mm in the left parotid gland (Fig. 1B). Computed tomography (CT) revealed a well-circumscribed, solid mass exhibiting homogeneous enhancement in the posterior part of the left parotid gland (Fig. 1C). No abnormal enlargement of lymph nodes was identified. Fluorodeoxyglucose-positron emission tomography (FDG-PET)/CT revealed uptake by the tumor, but not in other areas including the nasopharynx (Fig. 1D). Fine-needle aspiration cytology (FNAC) demonstrated numerous irregularly shaped trabecular clusters of relatively large cancer cells with vesicular chromatin and prominent ‘cherry-red’ nucleoli (Fig. 2A). Lymphocytic infiltrate was not conspicuous. Cytologically, poorly differentiated carcinoma was suggested. The patient underwent left superficial parotidectomy with adequate safety margins. After making an S-shaped incision, the facial nerve was identified and preserved. The adjacent portion of the sternocleidomastoid muscle was resected, and selective neck dissection of Level II was added. Her clinical course proved uneventful. Postoperatively, the patient received radiotherapy to the parotid gland area at 50 Gy and then has been screened with ultrasonography and CT scan at fixed intervals. No evidence of recurrence has been observed as of 20 months postoperatively.
Histologically, a well-circumscribed, encapsuled nodule was composed of sheets and cords of relatively large cancer cells with vesicular nuclei, prominent nucleoli, and indistinct cell borders (Fig. 2B). Scattered mitotic figures were observed. The sheets and cords of tumor were intermingled with abundant lymphoplasmacytic infiltrate with secondary lymphoid follicles (Fig. 2C). No neck lymph node metastasis was identified. Surgical margins were negative for malignancy. Immunoperoxidase staining of formalin-fixed, paraffin-embedded (FFPE) tissue sections with anti-keratin/cytokeratin monoclonal antibody (clone AE1/AE3; Nichirei Biosciences) was performed using a Ventana OptiView DAB IHC detection kit (Roche Diagnostics). Tumor cells were positive for AE1/AE3 (Fig. 2D) and negative for human epidermal growth factor receptor-2, androgen receptor, S-100 protein, α-smooth muscle actin, synaptophysin, and chromogranin (data not shown). In situ hybridization for EBV-encoded RNA (EBER) on FFPE tissue sections was assessed by using a fluorescein isothiocyanate-conjugated EBER peptide nucleic acid (PNA)-probe (DaKoCytomation, Glostrup, Denmark) and PNA in situ hybridization detection kit (DaKoCytomation) according to the manufacturer's instructions. Diffuse nuclear staining was observed in the tumor cells (Fig. 2E). These histologic features, immunohistochemical profile, and in situ hybridization for EBER were those of an EBV-associated LEC, pT1N0M0, pStage I on the 8th edition of the AJCC/TNM staging system (4).
Blood examination showed high levels of serum anti-viral capsid antigen (VCA) immunoglobulin (Ig)G (1:10.6) and anti-EBV-nuclear antigen (EBNA) IgG (1:4) antibodies, and negative results for anti-VCA IgA, anti-VCA IgM, and anti-early antigen (EA) IgG antibodies. Targeted-NGS was performed as previously described (5). Briefly, total DNA was extracted from FFPE tissue sections using a Maxwell 16 FFPE Plus LEV DNA purification kit (Promega). Amplicon sequencing of targeted regions of 160 cancer-related genes (Table SI) was carried out using the GeneRead DNAseq Targeted Panels V2 Human Clinically Relevant Tumor Panel (NGHS-101X; Qiagen). Libraries were sequenced using an Illumina MiSeq platform (Illumina). Raw read data obtained from the amplicon sequencing were processed using online analytical resources from the GeneRead DNAseq Variant Calling Service for analysis of mutations. No mutations, including known significant mutations reported in NPC (6), were identified.
Clinical characteristics of 27 patients with EBV-associated LEC arising in the parotid gland that have been described in the literature with detailed information since 2005, including the present case, are shown in Table I (7-18). These tumors occurred across a wide age range (21-67 years; median, 46 years), and a female predominance was evident (17 females, 10 males). Swelling in the parotid area as clinical presentation was seen in all 27 patients. In addition, three patients (11%) showed facial nerve palsy and only one (4%) showed a painful mass. The time intervals from first symptom to treatment ranged from 3 to 72 months (median, 11 months). Maximum lesion diameters ranged from 15 to 93 mm.
Table IClinical characteristics of patients with EB virus-positive lymphoepithelial carcinoma arising in the parotid gland since 2005. |
Ultrasonographically, LEC lesions have been described as a hypoechoic solid mass with posterior enhancement and increased vascularity on color Doppler images (12). On CT scan, the lesions have been depicted as exophytic, solid masses with good contrast enhancement in the parotid gland (12). Fifteen of 27 patients (56%) with EBV-associated LEC revealed neck lymph node metastasis (Table I). Identification of enlarged lymph nodes by imaging studies should merit consideration of neck lymph node dissection.
FNAC diagnosis of parotid LEC is challenging given its rarity. In the previous reports, FNAC could not make the definitive diagnosis of LEC in any cases and the interpretation included carcinomas in 7 patients, lymphoma in 1 patient, and benign lesions in 3 patients (Table I). Cytologic features of LEC described are large, single and clustered, polygonal and spindle-shaped tumor cells with a high nucleus-to-cytoplasm ratio in syncytial sheets (3,19). The nuclei are vesicular with prominent nucleoli. Most display a prominent mixed lymphoid population that may mask the epithelial elements, resulting in misdiagnosis of lymphoid entities such as lymphoma. In the present case, FNAC revealed findings of a poorly differentiated carcinoma but could not suggest LEC due to its scarcity of lymphocytes. With cell block material from the tumor available, differential diagnosis could have been narrowed down based on positivity for EBER in situ hybridization (19). Stage of the disease was Stage I in 5 (21%), Stage II in 4 (17%), Stage III in 2 (8%), Stage IVa in 7 (30%), and Stage IVb in 6 (25%) of the 24 patients.
Histologically, LEC consists of infiltrative sheets, islands and cords of cancer cells that are separated by dense lymphoid stroma. The tumor cells are characterized by indistinct cell borders (i.e., syncytial), lightly eosinophilic cytoplasm, oval moderately pleomorphic vesicular nuclei with conspicuous nucleoli (1). Immunohistochemical examination is of great help in the diagnosis of LEC. Epithelial markers such as AE1/AE3 highlight cancer cells that might be markedly obscured by densely infiltrating lymphocytes and plasma cells. The main differential includes metastasis from either NPC or lymphoepithelial-like carcinoma arising in other organs (e.g., stomach) to not only parotid parenchyma but also to intraglandular lymph node. In the present case, endoscopic examination of the nasopharynx and FDG-PET/CT excluded metastasis.
Identification of EBV infection is not essential for the diagnosis of LEC in the parotid glands; however, if found to be associated with EBV infection, such parotid carcinoma is highly suggestive of LEC especially when there is no known carcinoma elsewhere in the body. Parotid LEC in the endemic areas was nearly 100% associated with EBV (3), suggesting a strong relationship between EBV infection and its tumorigenesis. Progression of LEC may involve malignant transformation of glandular or ductal inclusions in intraparotid gland lymph nodes or transformation of benign lymphoepithelial lesions (3). EBV-associated NPC is characterized by the lymphoepithelial features, suggesting that lymphoid infiltrate may represent a host immune reaction to the EBV-associated antigens expressed on the tumor cells (20). Our case also demonstrated dense lymphoplasmacytic infiltrate not only in the stroma but within the sheets/nests of tumor cells. In the present case, blood examination showed high levels of serum anti-VCA IgG and anti-EBNA IgG antibodies, and negative results for anti-VCA IgA and anti-EA IgG antibodies, suggesting a latent viral infection of EBV. This is different from the pattern of NPC, which shows positive results for serum anti-VCA-IgA and anti-EA-IgG antibodies.
Somatic mutations have been reported at a low frequency but have been widely distributed among cancer-related genes such as TP53 in 9.5%, SYNE1 in 7.9%, MLL2 in 5.5%, PIK3CA in 4.7%, ARID1A in 3.9%, FGFR2 in 3.9%, NOTCH3 in 3.9% in NPC (6). Little is known about somatic mutation for LEC arising in the parotid gland. Negative results were obtained in the present case, with no mutations identified using a targeted amplicon-based NGS panel of the major cancer-related genes. Somatic mutations in genes other than we analyzed by the DNA-based platform or gene arrangements could possibly be related to the tumorigenesis in LEC.
The mainstay of treatment of parotid LEC is surgical resection with adequate safety margins for patients with resectable tumor (3). Twenty-three of 27 patients (85%) reported were treated with excision as described by a variety of terminologies for the parotid surgery (Table I). Neck dissection was added in 9 of 23 patients (39%). Owing to its high radiosensitivity, postoperative radiotherapy may offer significantly improved survival compared to surgery alone (12,21,22), although no standard of therapy has not yet been proposed. Postoperative radiotherapy was performed in 17 of 23 patients (74%). Three of 27 patients (11%) had unresectable LEC and were treated with chemoradiotherapy. Platinum-based chemotherapy was administered for the patients with advanced-stage disease (14,17). In terms of prognosis, a 5-year survival rate of 75-86% has been reported in patients treated by combined surgery (including neck dissection) followed by radiotherapy (1,21). Six of 23 patients (26%) were died of LEC, mainly due to metastasis to the lungs, bone, and liver. EBV-associated NPC showed abundant lymphocytic infiltration to the tumor and high expression of programmed death-ligand 1 (PD-L1) (23), suggesting the utility of programmed death-1 (PD-1)/PD-L1 inhibitors in patients with advanced stage of NPC. There may be a possible role of immune checkpoint inhibitors in advanced LEC as well.
In conclusion, we report a rare case of LEC arising in the parotid gland. No recurrence was observed as of 20 months after superficial parotidectomy and postoperative radiotherapy. No mutations of major cancer-related genes were identified using NGS. One limitation of this report was that type of latency of EBV could not be analyzed for the LEC. EBV-associated NPC is categorized into type II latency infection in which EBV-encoded nuclear antigen (EBNA)-1 and latent membrane protein (LMP)-1 are expressed, and EBNA-2 is absent (24). Further analysis would be needed to confirm the type of latency by testing the expression of EBV-related antigens for EBV-associated tumors.
Not applicable.
Funding: No funding was received.
The datasets generated and/or analyzed during the current study are not publicly available due to privacy reasons but are available from the corresponding author on reasonable request.
AK, NB and TG conducted the surgery and provided bedside care. AK, NB and HT drafted the manuscript. KIM performed radiation therapy. TY and HT performed cytologic diagnosis. YK performed mutational analyses. HN performed pathologic investigations. AK and NB confirm the authenticity of all the raw data. All authors read and approved the final manuscript.
All procedures performed on patient tumor samples in this study were conducted in accordance with the ethical standards of the 1964 Declaration of Helsinki and its later amendments or comparable ethical standards. The present study was approved by the Ethics Committee of Hokuto Hospital (approval no. 1078; Obihiro, Japan).
Written informed consent for publication of clinical details and images was obtained from the patient and her family.
The authors declare that they have no competing interests.
|
Seethala R, Thompson LDR, Wenig M, Nagao T and Whaley RD: Lymphoepithelial Carcinoma. In: WHO Classification of Head and Neck Tumours. Skalova A, Hyrcza MD and Mehrotra R (eds). 5th edition. IARC Press, Lyon, 2022. | |
|
Zhang C, Gu T, Tian Z, Wang L, Han J, Hu Y, Xia R and Li J: Lymphoepithelial carcinoma of the parotid gland: Clinicopathological analysis of 146 cases from a single institute. Head Neck. 44:2055–2062. 2022.PubMed/NCBI View Article : Google Scholar | |
|
Thompson LDR and Whaley RD: Lymphoepithelial carcinoma of salivary glands. Surg Pathol Clin. 14:75–96. 2021.PubMed/NCBI View Article : Google Scholar | |
|
Salivary Gland Cancer Stages: American Joint Committee on Cancer (AJCC) Staging Manual. 8th edition. Springer, New York, NY, pp95, 2017. Available from: https://www.cancer.org/cancer/salivary-gland-cancer/detection-diagnosis-staging/staging.html. | |
|
Kono M, Bandoh N, Matsuoka R, Goto T, Akahane T, Kato Y, Nakano H, Yamaguchi T, Harabuchi Y and Nishihara H: Glomangiopericytoma of the nasal cavity with CTNNB1 p.S37C mutation: A case report and literature review. Head Neck Pathol. 13:298–303. 2019.PubMed/NCBI View Article : Google Scholar | |
|
Lin DC, Meng X, Hazawa M, Nagata Y, Varela AM, Xu L, Sato Y, Liu LZ, Ding LW, Sharma A, et al: The genomic landscape of nasopharyngeal carcinoma. Nat Genet. 46:866–871. 2014.PubMed/NCBI View Article : Google Scholar | |
|
Saqui-Salces M, Martinez-Benitez B and Gamboa-Dominguez A: EBV+ lymphoepithelial carcinoma of the parotid gland in Mexican Mestizo patients with chronic autoimmune diseases. Pathol Oncol Res. 12:41–45. 2006.PubMed/NCBI View Article : Google Scholar | |
|
Manganaris A, Patakiouta F, Xirou P and Manganaris T: Lymphoepithelial carcinoma of the parotid gland: Is an association with Epstein-Barr virus possible in non-endemic areas? Int J Oral Maxillofac Surg. 36:556–559. 2007.PubMed/NCBI View Article : Google Scholar | |
|
Gupta S, Loh KS and Petersson F: Lymphoepithelial carcinoma of the parotid gland arising in an intraglandular lymph node: Report of a rare case mimicking metastasis. Ann Diagn Pathol. 16:416–421. 2012.PubMed/NCBI View Article : Google Scholar | |
|
Spencer CR, Skilbeck CJ, Thway K and Nutting CM: Lymphoepithelial carcinoma of the parotid gland: A rare neck lump. JRSM Short Rep. 3(28)2012.PubMed/NCBI View Article : Google Scholar | |
|
Tang CG, Schmidtknecht TM, Tang GY, Schloegel LJ and Rasgon B: Lymphoepithelial carcinoma: A case of a rare parotid gland tumor. Perm J. 16:60–62. 2012.PubMed/NCBI View Article : Google Scholar | |
|
Kim YJ, Hong HS, Jeong SH, Lee EH and Jung MJ: Lymphoepithelial carcinoma of the salivary glands. Medicine (Baltimore). 96(e6115)2017.PubMed/NCBI View Article : Google Scholar | |
|
Topal O and Erinanc H: Coexistence of lymphoepithelial carcinoma of the parotid gland and submandibular gland pleomorphic adenoma. J Craniofac Surg. 28:e453–e454. 2017.PubMed/NCBI View Article : Google Scholar | |
|
Maeda H, Yamashiro T, Yamashita Y, Hirakawa H, Agena S, Uehara T, Matayoshi S and Suzuki M: Lymphoepithelial carcinoma in parotid gland related to EBV infection: A case report. Auris Nasus Larynx. 45:170–174. 2018.PubMed/NCBI View Article : Google Scholar | |
|
Halder A, Sommerville J and Gandhi M: Primary lymphoepthelial carcinoma of the parotid gland, pictorial review of a rare entity. J Med Imaging Radiat Oncol. 62:355–360. 2018.PubMed/NCBI View Article : Google Scholar | |
|
Whaley RD, Carlos R, Bishop JA, Rooper L and Thompson LDR: Lymphoepithelial carcinoma of salivary gland EBV-association in endemic versus non-endemic patients: A report of 16 cases. Head Neck Pathol. 14:1001–1012. 2020.PubMed/NCBI View Article : Google Scholar | |
|
Lv S, Xie D, Wu Z, Wang L and Su Y: Is surgery an inevitable treatment for advanced salivary lymphoepithelial carcinoma? Three case reports. Ear Nose Throat J. 100:NP402–NP406. 2021.PubMed/NCBI View Article : Google Scholar | |
|
Chou CT, Ou CY, Lee WT and Hsu HJ: Clinical features in salivary gland lymphoepithelial carcinoma in 10 patients: Case series and literature review. Laryngoscope Investig Otolaryngol. 7:779–784. 2022.PubMed/NCBI View Article : Google Scholar | |
|
Hipp JA, Jing X, Zarka MA, Schmitt AC, Siddiqui MT, Wakely P Jr, Bishop J and Ali SZ: Cytomorphologic characteristics and differential diagnoses of lymphoepithelial carcinoma of the parotid. J Am Soc Cytopathol. 5:93–99. 2016.PubMed/NCBI View Article : Google Scholar | |
|
Bauer M, Jasinski-Bergner S, Mandelboim O, Wickenhauser C and Seliger B: Epstein-Barr virus-associated malignancies and immune escape: The role of the tumor microenvironment and tumor cell evasion strategies. Cancers (Basel). 13(5189)2021.PubMed/NCBI View Article : Google Scholar | |
|
Zhan KY, Nicolli EA, Khaja SF and Day TA: Lymphoepithelial carcinoma of the major salivary glands: Predictors of survival in a non-endemic region. Oral Oncol. 52:24–29. 2016.PubMed/NCBI View Article : Google Scholar | |
|
Deng DF, Zhou Q, Ye ZM, Xu Z and Shen L: Clinical analysis of 12 patients with primary lymphoepithelial carcinoma of the parotid gland. Eur Arch Otorhinolaryngol. 279:2003–2008. 2022.PubMed/NCBI View Article : Google Scholar | |
|
Hsu MC, Hsiao JR, Chang KC, Wu YH, Su IJ, Jin YT and Chang Y: Increase of programmed death-1-expressing intratumoral CD8 T cells predicts a poor prognosis for nasopharyngeal carcinoma. Mod Pathol. 23:1393–1403. 2010.PubMed/NCBI View Article : Google Scholar | |
|
Fåhraeus R, Fu HL, Ernberg I, Finke J, Rowe M, Klein G, Falk K, Nilsson E, Yadav M, Busson P, et al: Expression of Epstein-Barr virus-encoded proteins in nasopharyngeal carcinoma. Int J Cancer. 42:329–338. 1988.PubMed/NCBI View Article : Google Scholar |