Spandidos Publications Logo
  • About
    • About Spandidos
    • Aims and Scopes
    • Abstracting and Indexing
    • Editorial Policies
    • Reprints and Permissions
    • Job Opportunities
    • Terms and Conditions
    • Contact
  • Journals
    • All Journals
    • Oncology Letters
      • Oncology Letters
      • Information for Authors
      • Editorial Policies
      • Editorial Board
      • Aims and Scope
      • Abstracting and Indexing
      • Bibliographic Information
      • Archive
    • International Journal of Oncology
      • International Journal of Oncology
      • Information for Authors
      • Editorial Policies
      • Editorial Board
      • Aims and Scope
      • Abstracting and Indexing
      • Bibliographic Information
      • Archive
    • Molecular and Clinical Oncology
      • Molecular and Clinical Oncology
      • Information for Authors
      • Editorial Policies
      • Editorial Board
      • Aims and Scope
      • Abstracting and Indexing
      • Bibliographic Information
      • Archive
    • Experimental and Therapeutic Medicine
      • Experimental and Therapeutic Medicine
      • Information for Authors
      • Editorial Policies
      • Editorial Board
      • Aims and Scope
      • Abstracting and Indexing
      • Bibliographic Information
      • Archive
    • International Journal of Molecular Medicine
      • International Journal of Molecular Medicine
      • Information for Authors
      • Editorial Policies
      • Editorial Board
      • Aims and Scope
      • Abstracting and Indexing
      • Bibliographic Information
      • Archive
    • Biomedical Reports
      • Biomedical Reports
      • Information for Authors
      • Editorial Policies
      • Editorial Board
      • Aims and Scope
      • Abstracting and Indexing
      • Bibliographic Information
      • Archive
    • Oncology Reports
      • Oncology Reports
      • Information for Authors
      • Editorial Policies
      • Editorial Board
      • Aims and Scope
      • Abstracting and Indexing
      • Bibliographic Information
      • Archive
    • Molecular Medicine Reports
      • Molecular Medicine Reports
      • Information for Authors
      • Editorial Policies
      • Editorial Board
      • Aims and Scope
      • Abstracting and Indexing
      • Bibliographic Information
      • Archive
    • World Academy of Sciences Journal
      • World Academy of Sciences Journal
      • Information for Authors
      • Editorial Policies
      • Editorial Board
      • Aims and Scope
      • Abstracting and Indexing
      • Bibliographic Information
      • Archive
    • International Journal of Functional Nutrition
      • International Journal of Functional Nutrition
      • Information for Authors
      • Editorial Policies
      • Editorial Board
      • Aims and Scope
      • Abstracting and Indexing
      • Bibliographic Information
      • Archive
    • International Journal of Epigenetics
      • International Journal of Epigenetics
      • Information for Authors
      • Editorial Policies
      • Editorial Board
      • Aims and Scope
      • Abstracting and Indexing
      • Bibliographic Information
      • Archive
    • Medicine International
      • Medicine International
      • Information for Authors
      • Editorial Policies
      • Editorial Board
      • Aims and Scope
      • Abstracting and Indexing
      • Bibliographic Information
      • Archive
  • Articles
  • Information
    • Information for Authors
    • Information for Reviewers
    • Information for Librarians
    • Information for Advertisers
    • Conferences
  • Language Editing
Spandidos Publications Logo
  • About
    • About Spandidos
    • Aims and Scopes
    • Abstracting and Indexing
    • Editorial Policies
    • Reprints and Permissions
    • Job Opportunities
    • Terms and Conditions
    • Contact
  • Journals
    • All Journals
    • Biomedical Reports
      • Information for Authors
      • Editorial Policies
      • Editorial Board
      • Aims and Scope
      • Abstracting and Indexing
      • Bibliographic Information
      • Archive
    • Experimental and Therapeutic Medicine
      • Information for Authors
      • Editorial Policies
      • Editorial Board
      • Aims and Scope
      • Abstracting and Indexing
      • Bibliographic Information
      • Archive
    • International Journal of Epigenetics
      • Information for Authors
      • Editorial Policies
      • Editorial Board
      • Aims and Scope
      • Abstracting and Indexing
      • Bibliographic Information
      • Archive
    • International Journal of Functional Nutrition
      • Information for Authors
      • Editorial Policies
      • Editorial Board
      • Aims and Scope
      • Abstracting and Indexing
      • Bibliographic Information
      • Archive
    • International Journal of Molecular Medicine
      • Information for Authors
      • Editorial Policies
      • Editorial Board
      • Aims and Scope
      • Abstracting and Indexing
      • Bibliographic Information
      • Archive
    • International Journal of Oncology
      • Information for Authors
      • Editorial Policies
      • Editorial Board
      • Aims and Scope
      • Abstracting and Indexing
      • Bibliographic Information
      • Archive
    • Medicine International
      • Information for Authors
      • Editorial Policies
      • Editorial Board
      • Aims and Scope
      • Abstracting and Indexing
      • Bibliographic Information
      • Archive
    • Molecular and Clinical Oncology
      • Information for Authors
      • Editorial Policies
      • Editorial Board
      • Aims and Scope
      • Abstracting and Indexing
      • Bibliographic Information
      • Archive
    • Molecular Medicine Reports
      • Information for Authors
      • Editorial Policies
      • Editorial Board
      • Aims and Scope
      • Abstracting and Indexing
      • Bibliographic Information
      • Archive
    • Oncology Letters
      • Information for Authors
      • Editorial Policies
      • Editorial Board
      • Aims and Scope
      • Abstracting and Indexing
      • Bibliographic Information
      • Archive
    • Oncology Reports
      • Information for Authors
      • Editorial Policies
      • Editorial Board
      • Aims and Scope
      • Abstracting and Indexing
      • Bibliographic Information
      • Archive
    • World Academy of Sciences Journal
      • Information for Authors
      • Editorial Policies
      • Editorial Board
      • Aims and Scope
      • Abstracting and Indexing
      • Bibliographic Information
      • Archive
  • Articles
  • Information
    • For Authors
    • For Reviewers
    • For Librarians
    • For Advertisers
    • Conferences
  • Language Editing
Login Register Submit
  • This site uses cookies
  • You can change your cookie settings at any time by following the instructions in our Cookie Policy. To find out more, you may read our Privacy Policy.

    I agree
Search articles by DOI, keyword, author or affiliation
Search
Advanced Search
presentation
Molecular and Clinical Oncology
Join Editorial Board Propose a Special Issue
Print ISSN: 2049-9450 Online ISSN: 2049-9469
Journal Cover
January-2025 Volume 22 Issue 1

Full Size Image

Sign up for eToc alerts
Recommend to Library

Journals

International Journal of Molecular Medicine

International Journal of Molecular Medicine

International Journal of Molecular Medicine is an international journal devoted to molecular mechanisms of human disease.

International Journal of Oncology

International Journal of Oncology

International Journal of Oncology is an international journal devoted to oncology research and cancer treatment.

Molecular Medicine Reports

Molecular Medicine Reports

Covers molecular medicine topics such as pharmacology, pathology, genetics, neuroscience, infectious diseases, molecular cardiology, and molecular surgery.

Oncology Reports

Oncology Reports

Oncology Reports is an international journal devoted to fundamental and applied research in Oncology.

Experimental and Therapeutic Medicine

Experimental and Therapeutic Medicine

Experimental and Therapeutic Medicine is an international journal devoted to laboratory and clinical medicine.

Oncology Letters

Oncology Letters

Oncology Letters is an international journal devoted to Experimental and Clinical Oncology.

Biomedical Reports

Biomedical Reports

Explores a wide range of biological and medical fields, including pharmacology, genetics, microbiology, neuroscience, and molecular cardiology.

Molecular and Clinical Oncology

Molecular and Clinical Oncology

International journal addressing all aspects of oncology research, from tumorigenesis and oncogenes to chemotherapy and metastasis.

World Academy of Sciences Journal

World Academy of Sciences Journal

Multidisciplinary open-access journal spanning biochemistry, genetics, neuroscience, environmental health, and synthetic biology.

International Journal of Functional Nutrition

International Journal of Functional Nutrition

Open-access journal combining biochemistry, pharmacology, immunology, and genetics to advance health through functional nutrition.

International Journal of Epigenetics

International Journal of Epigenetics

Publishes open-access research on using epigenetics to advance understanding and treatment of human disease.

Medicine International

Medicine International

An International Open Access Journal Devoted to General Medicine.

Journal Cover
January-2025 Volume 22 Issue 1

Full Size Image

Sign up for eToc alerts
Recommend to Library

  • Article
  • Citations
    • Cite This Article
    • Download Citation
    • Create Citation Alert
    • Remove Citation Alert
    • Cited By
  • Similar Articles
    • Related Articles (in Spandidos Publications)
    • Similar Articles (Google Scholar)
    • Similar Articles (PubMed)
  • Download PDF
  • Download XML
  • View XML
Case Report Open Access

Endometrial cancer detected unusually after an ankle fracture secondary to severe anemia in an obese woman with heavy menstrual bleeding: A case report

  • Authors:
    • Hyung Joon Yoon
    • Tae Sik Go
    • Kyung Bin Kim
    • Yong Jung Song
    • Dong Soo Suh
    • Ki Hyung Kim
  • View Affiliations / Copyright

    Affiliations: Department of Obstetrics and Gynecology, Pusan National University School of Medicine, Busan 49241, Republic of Korea, Department of Orthopaedic Surgery, Pusan National University School of Medicine, Busan 49241, Republic of Korea, Department of Pathology, Pusan National University School of Medicine, Busan 49241, Republic of Korea
    Copyright: © Yoon et al. This is an open access article distributed under the terms of Creative Commons Attribution License.
  • Article Number: 7
    |
    Published online on: November 6, 2024
       https://doi.org/10.3892/mco.2024.2802
  • Expand metrics +
Metrics: Total Views: 0 (Spandidos Publications: | PMC Statistics: )
Metrics: Total PDF Downloads: 0 (Spandidos Publications: | PMC Statistics: )
Cited By (CrossRef): 0 citations Loading Articles...

This article is mentioned in:



Abstract

Endometrial cancer (EC) is a growing public health concern in developed countries. The incidence of EC is increasing, particularly in younger women (aged <50 years). Ankle fractures are relatively common orthopedic injuries, with the most common mechanisms being falls or trauma. A 36‑year‑old woman presented to the emergency department with right ankle pain secondary to a fall caused by dizziness and headache after menstruation. Initial radiography reveled a right ankle fracture without dislocation. Initial laboratory results revealed a hemoglobin level of 4.9 g/dl. She had a recent history of menorrhagia that lasted for two years. The body mass index was 36.2 kg/m2. During the evaluation, she was referred to the authors' gynecology unit after a computed tomography scan revealed a significant endometrial mass that was suspected to be EC. Magnetic resonance imaging revealed a 6.7‑cm‑sized endometrial mass with restricted diffusion, myometrial invasion of <1/2, and bilateral polycystic ovaries. The patient underwent open reduction and internal fixation involving screw fixation of a right ankle fracture. The postoperative follow‑up showed successful healing and functional recovery. A total of 4 weeks later, robot‑assisted total hysterectomy, bilateral salpingectomy and sentinel lymph node sampling were performed. Final histopathology revealed stage 1B, grade 2 endometrioid adenocarcinoma with lymphovascular space invasion. The patient received 50.4 Gy radiation to the whole pelvis. At 26 months of postoperative follow‑up, the patient remained disease‑free. The present case report describes a rare presentation of EC in an obese woman with heavy menstrual bleeding after ankle fracture secondary to severe anemia. The present case highlights the importance of assessing gynecological conditions through a detailed review of gynecological history with caution when an obese female patient presents with abnormal uterine bleeding, even during a non‑gynecologic assessment.

Introduction

Endometrial cancer (EC) is the most common and frequently diagnosed gynecological malignancy in high- and middle-income countries. Most patients with EC are diagnosed after menopause; only 5% of EC cases occur before 40 years of age (1). In Korea, the incidence of EC has rapidly increased in recent years. In 2021, the age-standardized incidence rate was 8.8 cases per 100,000 women, and the number of newly diagnosed EC cases and deaths attributed to EC were 3,749 and 429, respectively (2). This may be partly explained by the rising prevalence of obesity, a well-established risk factor for EC. The 2023 Obesity Fact Sheet of Korea reported that the overall prevalence of obesity in 2021 was 38.4% (49.2% in men and 27.8% in women). This increase is particularly pronounced in young adults (3). Although early-onset EC (EOEC; age at diagnosis <50 years) is relatively uncommon, its incidence has been increasing in recent decades, possibly linked to the rising obesity epidemic in younger women (4). In Korea, the incidence of EC between 1999 and 2017 increased most rapidly in young women aged ≤30 years and 30-39 years (annual percentage change, 8.7 and 7.4%, respectively) (5).

Iron deficiency anemia associated with heavy menstrual bleeding (HMB) is prevalent among women of reproductive age. Obese women are at risk of abnormal uterine bleeding (AUB), and ~75-90% of patients with EC present with AUB. Patients often present with atypical symptoms (6). The present case is an example of an atypical presentation of EC in a woman who presented with ankle fracture secondary to severe anemia. Although AUB can have serious medical consequences, most women do not seek treatment for these symptoms. Ankle fractures are relatively common orthopedic injuries, with falls or trauma being the most common mechanism (7). A total of 50% of the EC cases occur in individuals with risk factors, such as obesity and unopposed estrogen stimulation (8). In addition, a meta-analysis has suggested an increased risk of EC among patients with hypertension (9). Knowledge of the risk factors for EC helps gynecologists to evaluate possible gynecological malignancies. This case underscores the significance of recognizing rare clinical presentations, such as ankle fracture secondary to severe anemia in an obese woman with HMB, necessitating further gynecologic evaluations. This report presents a case of EC detected incidentally after an ankle fracture secondary to severe anemia in a woman with HMB.

Case report

A 36-year-old, virgin woman, presented to the emergency department of another institution with right ankle pain due to a fall caused by dizziness and headache after menstruation. The initial evaluation revealed swelling of the right ankle. Initial radiography revealed a right ankle fracture without dislocation. The patient was hypertensive, with a heart rate of 102 beats/min. Initial laboratory results showed a severely low hemoglobin level (4.9 g/dl, reference range, 12.0-16.0 g/dl) and hematocrit (16.6%, reference range 36.0-46.0%). She was treated with packed red blood cells and iron infusion. Her weight and height were 95.0 kg and 162 cm, respectively, and her body mass index (BMI) was 36.2 kg/m2. She had a recent history of menorrhagia and irregular cycles that lasted for two years. She had never presented to a doctor because of her symptoms. The patient was transferred to the Pusan National University Hospital (Busan, Korea) and evaluated by an orthopedic surgery team (Fig. 1). The decision was made to proceed with the surgical intervention. During the evaluation, she was referred to the gynecology oncology unit for further workup after a computed tomography (CT) scan revealed a significant endometrial mass suspected to be EC. Magnetic resonance imaging (MRI) of the pelvis revealed a 6.7-cm-sized endometrial mass with restricted diffusion, myometrial invasion of <1/2, and bilateral polycystic ovaries. She had been receiving antihypertensive drugs for two years but had recently stopped taking them because she experienced hypotension caused by the drug. Her family history included hypertension in her father and elder brother. Endometrial pipelle sampling revealed FIGO grade 2 endometrioid adenocarcinoma. Positron emission tomography-CT showed no evidence of metastases.

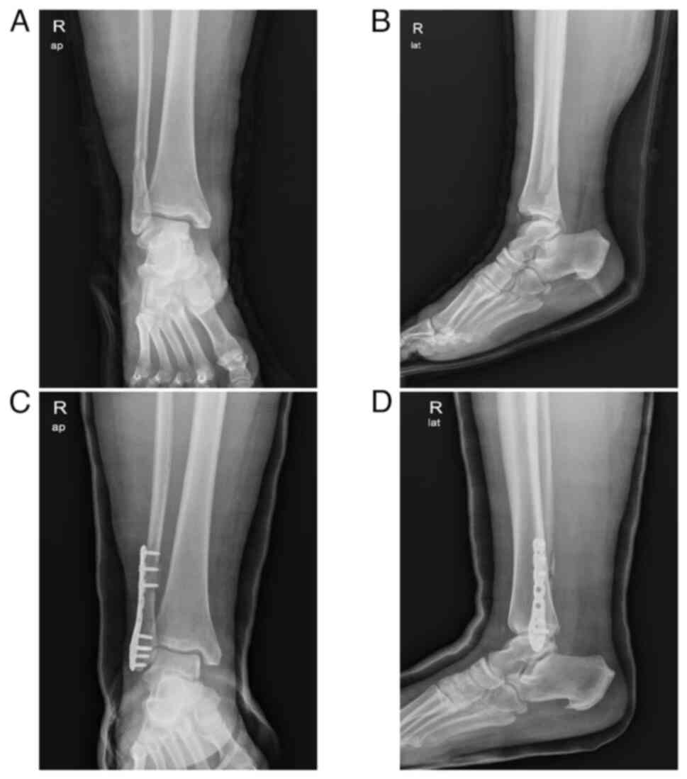
Figure 1

Radiological findings. (A and B) Preoperative AP and lateral X-ray view of the patient's right ankle showing a distal fibular fracture and a posterior malleolar fracture. (C and D) Postoperative AP and lateral X-ray view of the right ankle fracture treated with a plate and screws showing good bony healing. AP, anteroposterior.

Laboratory findings including fasting blood sugar, HbA1c, C-reactive protein and CA125 levels, were unremarkable. First, the patient underwent open reduction and internal fixation involving screw fixation for a right ankle syndesmosis injury, distal fibular fracture, and ankle posterior malleolar fracture. The postoperative follow-up showed successful healing and functional recovery (Fig. 1). A total of 4 weeks later, robot-assisted total hysterectomy, bilateral salpingectomy and sentinel lymph node sampling were performed. Final pathology revealed stage 1B, grade 2 endometroid adenocarcinoma with substantial lymphovascular space invasion (LVSI) (Fig. 2). Regional lymph node involvement was not identified. The peritoneal fluid cytology was negative for malignant cells. Immunohistochemistry staining revealed p53 (-), MLH1 (+), PMS2 (+), MSH-2 (+) and MSH-6 (+). The patient received 50.4 Gy external beam radiotherapy (EBRT) to the whole pelvis. Chest and abdominopelvic imaging (CT or MRI) were checked every 6 months. The 26-month postoperative follow-up showed that the patient was disease-free. The present study was reviewed and approved by the Institutional Review Board of Pusan National University Hospital (approval no. 2404-017-138; Busan, Korea). Written informed consent was obtained from the patient for publication of data of her medical case and associated images.

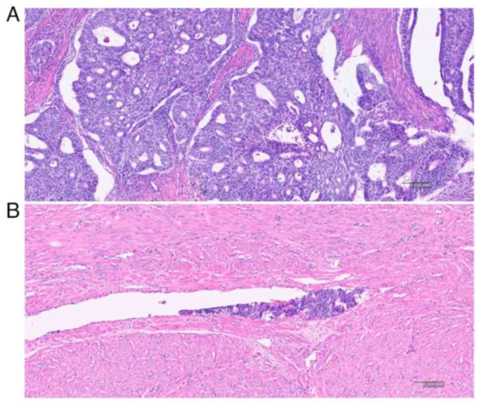
Figure 2

Microscopic findings. (A) The tumor exhibited endometrioid differentiation with focally solid non-squamous growth pattern (H&E stain, x100 magnification). (B) Lymphovascular invasion was present (H&E stain, x100 magnification).

Discussion

Obesity and obesity-related diseases present a major global health challenge associated with several major chronic illnesses, including diabetes mellitus, cardiovascular disease and several common cancers (10). A total of ~4-8% of all cancers are attributed to obesity (11). The rising incidence of EC is largely attributable to rising rates of obesity in developed countries. The underlying mechanisms of obesity-associated cancer are complex and incompletely understood. Endoplasmic reticulum stress, macrophage infiltration and polarization, hypoxia-induced inflammatory signaling, direct immune system activation, and free fatty acid-Toll-like receptor signaling have been suggested as the causative factors (12).

Up to 1/3 of women of reproductive age experience HMB. Iron deficiency anemia associated with HMB is a common problem that remains underdiagnosed and undertreated, and the consequences of anemia are beyond the scope of gynecology. Common symptoms include fatigue, weakness, irritability, poor concentration, shortness of breath, headache, hair loss, brittle nails, cold intolerance and restless legs syndrome. EC is mainly diagnosed at an early stage confined to the uterus, and women must seek medical attention for early symptoms, such as AUB. HMB is frequently underreported, and a relevant number of women are unaware of the condition because 46% have never consulted a doctor for HMB symptoms (13). HMB is a clinical entity with different underlying structural and non-structural causes. Some causes of HMB are endometrial precursors to cancer (14). EC presents primarily with gynecological symptoms, but the patient of the present case report visited the hospital due to orthopedic problems despite having troublesome gynecologic complaints such as HMB, dizziness and headache after menstruation, necessitating treatment. Numerous women of reproductive age may not perceive AUB as a significant health concern and frequently normalize its symptoms. The presence of menorrhagia and anemia in high-risk populations requires further investigation to ensure that pathology is not missed. A comprehensive history should be received and additional investigations ordered. Increasing BMI levels are directly correlated with a proportional increase in EC risk, underscoring the potential significance of weight management interventions in EC prevention strategies. Preventative approaches such as intrauterine device with progestogen (for example Mirena) may help reduce disease burden in those identified at higher risk. In addition, interventions directed at weight reduction are an important component of the survivorship care of overweight patients with cancer. Lifestyle interventions that include diet, exercise and behavior therapy are the primary elements of weight reducing strategies (11). She was found to be severely anemic, with a hemoglobin level of 4.9 g/dl. She may have been reluctant to visit the gynecological clinic because she had no coital history and did not know what gynecological conditions could cause her risk factors.

Several risk factors for EC have been established, including excess body weight (BMI >30 kg/m²), polycystic ovarian syndrome (PCOS), nulliparity, early menarche, late menopause, low physical activity, diabetes mellitus and the use of unopposed hormone replacement therapy (9). These conditions are considered to contribute to unopposed estrogen exposure. As in this case, EC should be suspected in a patient with severe anemia and HMB, particularly if she has risk factors for EC such as obesity, hypertension and irregular cycles due to PCOS.

The global burden of obesity is well represented in World Health Organization data. In 2016, ~13% of the global adult population was obese, with a higher prevalence among women (15%) than among men (11%) (15). Regarding the Korean population in 2021, data suggest a 38.45% obesity prevalence in adults (49.2% in men and 27.8% in women) (3). An excess BMI is a risk factor for several major types of cancer, including breast (postmenopausal), endometrial, colorectal and kidney (11). Korean data show that women with metabolic syndrome, especially premenopausal women with abdominal obesity, are at high risk of developing EC (5).

The role of obesity in the etiology and carcinogenesis of EC has been reviewed (12). Increasing BMI is directly correlated with a proportional increase in the risk of EC. Obesity causes chronic inflammation through a multifactorial process, and this chronic inflammatory state contributes to the development of various obesity-associated comorbidities such as EC.

PCOS is the most common endocrine disorder in women of reproductive-age. This disorder is associated with chronic anovulation and unopposed estrogen exposure, which can lead to EC. Additionally, higher insulin levels in women with PCOS can increase the risk of developing EC. The risk of EC is 2-6-fold higher in women with PCOS (16). The association between PCOS and EC is complex and multi-faceted. However, the association between PCOS and EC remains inconclusive. It has been previously reported that women with obesity are at risk of AUB and PCOS caused by insulin resistance and elevated unopposed estrogens, increasing the risk of EC (17). Others have reported that the risk may be due to age or endometrial thickness rather than a direct effect of PCOS on the development of the disease (16). Routine screening for EC in PCOS is not indicated, despite the recommendation that women with PCOS are at risk of EC and should be monitored closely. The risk factors for EC include obesity, long-term use of unopposed estrogen, family history of EC, prolonged amenorrhea and AUB. In this case, bilateral polycystic ovaries were observed on MRI, but the patient was unaware of this because she had never visited the hospital before.

The prevalence of hypertension, another component of metabolic syndrome, is also increasing, and emerging evidence suggests that it may be associated with the development of certain cancers, mainly through inflammatory, hormonal and metabolic pathways (18). However, the role of hypertension as an independent risk factor for EC remains unclear. Obesity and diabetes are important risk factors of hypertension and EC. Therefore, it is unclear whether these factors confounded the association between hypertension and EC because certain studies did not adjust for BMI or diabetes (9). A recent study reported that hypertension was associated with a 14% increased risk of EC, independent of known risk factors, such as BMI, diabetes and reproductive factors (19). A previous systematic review and meta-analysis suggested that women with hypertension might have a 61% increase in the relative risk of developing EC (9). The inconsistencies in the risk among studies may be explained by the fact that the meta-analysis included effect estimates from studies that did not adjust for all known risk factors for EC, particularly BMI. In the present case, the patient was known to have hypertension under treatment, with no other comorbidities. Her family history included hypertension in her father and elder brother. In this case, obesity (BMI, 36.2 kg/m2) contributed most significantly to the EC, with some contribution from PCOS and hypertension.

EC has disproportionately increased in adults aged ≤50 years and has become a major public health problem (20). The faster increase in EOEC was possibly linked to the rising obesity epidemic in younger women and also coincides with the observations of broader increases in cancer among younger adults (21,22). Fertility-sparing treatment for carefully selected patients with low-stage EC is a possible therapeutic option for premenopausal women desiring to preserve fertility. There is insufficient experience to support the recommendation of fertility-sparing therapy for higher-grade tumors (grade 2-3) (23). In the present case, the disease was stage 1B, grade 2 endometroid adenocarcinoma with lymphovascular space invasion. No fertility-sparing management was performed. Instead, total hysterectomy, bilateral salpingectomy and sentinel lymph node sampling were performed, and postoperative radiation was administered.

EC can present in an atypical fashion with non-gynecologic symptoms, such as angina and pancytopenia (6), singular bone metastasis (24), or solitary adrenal metastases (25). Therefore, receiving careful history is needed not only for gynecological symptoms but also for non-gynecologic symptoms. EC is an important differential condition in obese patients with AUB. In addition, endometrial sampling should be considered in individuals <45 years of age with AUB if there are other risk factors for EC, as well as in any patient with a BMI >30 or persistent AUB (6).

Lifetime incidence of EC among the risk factors as in the present case, class 2 obesity (BMI ≥35 and <40 kg/m2), premenopausal PCOS and premenopausal AUB is 9, 4 and 0.3%, respectively. In this premenopausal period, the low incidence of EC entails frequent diagnostic delays. EC should be considered in premenopausal women with AUB, particularly those with obesity, PCOS, a strong family history or other risk factors (26). EC is overwhelmingly a disease of postmenopausal women, with >90% occurring in women >50 years old; however, increasing rates of obesity may lead to a rise in the proportion of premenopausal cases. Early screening for EC in obese women with AUB or other risk factors could detect the disease in the pre-invasive or early stage (before developing myometrial invasion), which would improve cure rates, reduce the morbidity associated with aggressive treatment and offer fertility-sparing management options for younger women (27).

There has been marked discussion over the adjuvant treatment of this high-intermediate risk group of patients which includes those with stage IA and IB disease with substantial LVSI (such as the present case), stage IB G3 and stage II G1 disease with substantial LVSI and stage II G2-G3 (dMMR or NSMP) disease: i) Adjuvant EBRT is recommended in NCCN and ESMO guidelines; ii) Adding (concomitant and/or sequential) chemotherapy to EBRT could be considered, especially for G3 and/or substantial LVSI. The high incidence of short- and long-term side-effects associated with the addition of chemotherapy to EBRT, whilst conferring minimal benefit, needed to be discussed with these patients; iii) Despite evidence of a benefit from adjuvant treatment, its omission is an option, when close follow-up can be ensured, following shared decision making with the patient (28).

Surveillance can be adjusted according to the risk factors of the patient. No consensus on what surveillance tests should be carried out. In the high-risk groups, physical and gynecological examinations are recommended every 3 months for the first 3 years, and then every 6 months until 5 years. Imaging should be guided by patient symptoms, risk assessment and clinical concern for recurrent disease. As CT scans detect only 15% of recurrences, routine use is not advocated. Nevertheless, it could be considered in the high-risk group (for example, every 6 months the first 3 years and then on an individual basis) (28).

Obesity is associated with low quality of life and physical function. In terms of long-term management, lifestyle interventions may improve fatigue, physical functioning and result in weight loss and psycho-educational program could improve mood disorders and sexuality complaints. Long-term management requires careful attention to metabolic variables, including weight control. Regular exercise, healthy diet and weight management should be promoted with all EC survivors (28).

In summary, the patient was in the high-risk group for EC. She had several risk factors for EC, such as obesity, high blood pressure and PCOS, indicating that these risk factors caused EC. However, she had never visited a gynecological clinic prior to the diagnosis of EC. She was relatively young, therefore, she did not consider this possibility. This case highlights the importance of assessing gynecological conditions through a detailed review of the patient's gynecological history, with caution when an obese female patient presents with AUB, even during a non-gynecologic assessment.

Acknowledgements

Not applicable.

Funding

Funding: The present study was supported by the Pusan National University Hospital in 2024.

Availability of data and materials

The data generated in the present study may be requested from the corresponding author.

Authors' contributions

HJY, YJS, DSS and KHK made substantial contributions to the conception and design of the study, acquisition of data, and analysis and interpretation of data. TSG and KBK contributed to data interpretation and confirm the authenticity of all the raw data. HJY, YJS, DSS and KHK contributed to data acquisition, conception, and reviewed and edited the manuscript. All authors read and approved the final version of the manuscript.

Ethics approval and consent to participate

The present study was reviewed and approved by the Institutional Review Board of Pusan National University Hospital (approval no. 2404-017-138; Busan, Korea).

Patient consent for publication

Written informed consent was obtained from the patient for publication of data of her medical case and all associated images.

Competing interests

The authors declare that they have no competing interests.

References

1 

Gallup DG and Stock RJ: Adenocarcinoma of the endometrium in women 40 years of age or younger. Obstet Gynecol. 64:417–420. 1984.PubMed/NCBI

2 

Park EH, Jung KW, Park NJ, Kang MJ, Yun EH, Kim HJ, Kim JE, Kong HJ, Im JS and Seo HG: Community of Population-Based Regional Cancer Registries. Cancer statistics in Korea: Incidence, mortality, survival, and prevalence in 2021. Cancer Res Treat. 56:357–371. 2024.PubMed/NCBI View Article : Google Scholar

3 

Jeong SM, Jung JH, Yang YS, Kim W, Cho IY, Lee YB, Park KY, Nam GE and Han K: Taskforce Team of the Obesity Fact Sheet of the Korean Society for the Study of Obesity. 2023 obesity fact sheet: Prevalence of obesity and abdominal obesity in adults, adolescents, and children in Korea from 2012 to 2021. J Obes Metab Syndr. 33:27–35. 2024.PubMed/NCBI View Article : Google Scholar

4 

Liu L, Habeshian TS, Zhang J, Peeri NC, Du M, De Vivo I and Setiawan VW: Differential trends in rising endometrial cancer incidence by age, race, and ethnicity. JNCI Cancer Spectr. 7(pkad001)2023.PubMed/NCBI View Article : Google Scholar

5 

Jo H, Kim SI, Wang W, Seol A, Han Y, Kim J, Park IS, Lee J, Yoo J, Han KD and Song YS: Metabolic syndrome as a risk factor of endometrial cancer: A nationwide population-based cohort study of 2.8 million women in South Korea. Front Oncol. 12(872995)2022.PubMed/NCBI View Article : Google Scholar

6 

Crawford G, Bahabri A and P'ng S: An atypical presentation of endometrial cancer as angina secondary to critically low hemoglobin and iron deficiency associated pancytopenia: A case report. Case Rep Womens Health. 38(e00509)2023.PubMed/NCBI View Article : Google Scholar

7 

Jordan RW, Chapman AW, Buchanan D and Makrides P: The role of intramedullary fixation in ankle fractures-A systematic review. Foot Ankle Surg. 24:1–10. 2018.PubMed/NCBI View Article : Google Scholar

8 

Valle RF and Baggish MS: Endometrial carcinoma after endometrial ablation: High-risk factors predicting its occurrence. Am J Obstet Gynecol. 179:569–572. 1998.PubMed/NCBI View Article : Google Scholar

9 

Aune D, Sen A and Vatten LH: Hypertension and the risk of endometrial cancer: A systematic review and meta-analysis of case-control and cohort studies. Sci Rep. 7(44808)2017.PubMed/NCBI View Article : Google Scholar

10 

Wild CP, Weiderpass E and Stewart BW (eds): World cancer report. Cancer research for cancer prevention. Lyon (FR): International Agency for Research on Cancer, 2020. Available online: https://www.iarc.who.int/cards_page/world-cancer-report.

11 

Pati S, Irfan W, Jameel A, Ahmed S, Ahmed S and Shahid RK: Obesity and cancer: A current overview of epidemiology, pathogenesis, outcomes, and management. Cancers (Basel). 15(485)2023.PubMed/NCBI View Article : Google Scholar

12 

Marin AG, Filipescu A and Petca A: The role of obesity in the etiology and carcinogenesis of endometrial cancer. Cureus. 16(e59219)2024.PubMed/NCBI View Article : Google Scholar

13 

Donnez J, Carmona F, Maitrot-Mantelet L, Dolmans MM and Chapron C: Uterine disorders and iron deficiency anemia. Fertil Steril. 118:615–624. 2022.PubMed/NCBI View Article : Google Scholar

14 

Soliman PT, Oh JC, Schmeler KM, Sun CC, Slomovitz BM, Gershenson DM, Burke TW and Lu KH: Risk factors for young premenopausal women with endometrial cancer. Obstet Gynecol. 105:575–580. 2005.PubMed/NCBI View Article : Google Scholar

15 

NCD Risk Factor Collaboration (NCD-RisC). Worldwide trends in body-mass index, underweight, overweight, and obesity from 1975 to 2016: A pooled analysis of 2416 population-based measurement studies in 128·9 million children, adolescents, and adults. Lancet. 390:2627–2642. 2017.PubMed/NCBI View Article : Google Scholar

16 

Khalenko VV, Guiglia RA and Alioto M: Are women with PCOS more at risk for endometrial cancer? What approach for such patients? Acta Biomed. 94(e2023081)2023.PubMed/NCBI View Article : Google Scholar

17 

Reeves GK, Pirie K, Beral V, Green J, Spencer E and Bull D: Million Women Study Collaboration. Cancer incidence and mortality in relation to body mass index in the Million Women Study: Cohort study. BMJ. 335(1134)2007.PubMed/NCBI View Article : Google Scholar

18 

Connaughton M and Dabagh M: Association of hypertension and organ-specific cancer: A meta-analysis. Healthcare (Basel). 10(1074)2022.PubMed/NCBI View Article : Google Scholar

19 

Habeshian TS, Peeri NC, De Vivo I, Schouten LJ, Shu XO, Cote ML, Bertrand KA, Chen Y, Clarke MA, Clendenen TV, et al: Hypertension and risk of endometrial cancer: A pooled analysis in the epidemiology of endometrial cancer consortium (E2C2). Cancer Epidemiol Biomarkers Prev. 33:788–795. 2024.PubMed/NCBI View Article : Google Scholar

20 

Rodriguez VE, Tanjasiri SP, Ro A, Hoyt MA, Bristow RE and LeBrón AMW: Trends in endometrial cancer incidence in the United States by race/ethnicity and age of onset from 2000 to 2019. Am J Epidemiol: kwae178, 2024 (Epub ahead of print).

21 

Sung H, Siegel RL, Rosenberg PS and Jemal A: Emerging cancer trends among young adults in the USA: Analysis of a population-based cancer registry. Lancet Public Health. 4:e137–e147. 2019.PubMed/NCBI View Article : Google Scholar

22 

Huang BZ, Liu L and Zhang J: USC Pancreas Research Team. Pandol SJ, Grossman SR and Setiawan VW: Rising incidence and racial disparities of early-onset pancreatic cancer in the United States, 1995-2018. Gastroenterology. 163:310–312.e1. 2022.PubMed/NCBI View Article : Google Scholar

23 

Yu M, Wang Y, Yuan Z, Zong X, Huo X, Cao DY, Yang JX and Shen K: Fertility-sparing treatment in young patients with grade 2 presumed stage IA endometrioid endometrial adenocarcinoma. Front. Oncol. 10(1437)2020.PubMed/NCBI View Article : Google Scholar

24 

Artioli G, Cassaro M, Pedrini L, Borgato L, Corti L, Cappetta A, Lombardi G and Nicoletto MO: Rare presentation of endometrial carcinoma with singular bone metastasis. Eur J Cancer Care (Engl). 19:694–698. 2010.PubMed/NCBI View Article : Google Scholar

25 

Ryan M, Laios A, Pathak D, Weston M and Hutson R: An unusual presentation of endometrial cancer with bilateral adrenal metastases at the time of presentation and an updated descriptive literature review. Case Rep Obstet Gynecol. 2019(3515869)2019.PubMed/NCBI View Article : Google Scholar

26 

Jones ER, O'Flynn H, Njoku K and Crosbie EJ: Detecting endometrial cancer. Obstet Gynaecol. 23:103–112. 2021.

27 

Cabrera S, de la Calle I, Baulies S, Gil-Moreno A and Colas E: Screening strategies to improve early diagnosis in endometrial cancer. J Clin Med. 13(5445)2024.PubMed/NCBI View Article : Google Scholar

28 

Oaknin A, Bosse TJ, Creutzberg CL, Giornelli G, Harter P, Joly F, Lorusso D, Marth C, Makker V, Mirza MR, et al: Endometrial cancer: ESMO clinical practice guideline for diagnosis, treatment and follow-up. Ann Oncol. 33:860–877. 2022.PubMed/NCBI View Article : Google Scholar

Related Articles

  • Abstract
  • View
  • Download
  • Twitter
Copy and paste a formatted citation
Spandidos Publications style
Yoon HJ, Go TS, Kim KB, Song YJ, Suh DS and Kim KH: Endometrial cancer detected unusually after an ankle fracture secondary to severe anemia in an obese woman with heavy menstrual bleeding: A case report. Mol Clin Oncol 22: 7, 2025.
APA
Yoon, H.J., Go, T.S., Kim, K.B., Song, Y.J., Suh, D.S., & Kim, K.H. (2025). Endometrial cancer detected unusually after an ankle fracture secondary to severe anemia in an obese woman with heavy menstrual bleeding: A case report. Molecular and Clinical Oncology, 22, 7. https://doi.org/10.3892/mco.2024.2802
MLA
Yoon, H. J., Go, T. S., Kim, K. B., Song, Y. J., Suh, D. S., Kim, K. H."Endometrial cancer detected unusually after an ankle fracture secondary to severe anemia in an obese woman with heavy menstrual bleeding: A case report". Molecular and Clinical Oncology 22.1 (2025): 7.
Chicago
Yoon, H. J., Go, T. S., Kim, K. B., Song, Y. J., Suh, D. S., Kim, K. H."Endometrial cancer detected unusually after an ankle fracture secondary to severe anemia in an obese woman with heavy menstrual bleeding: A case report". Molecular and Clinical Oncology 22, no. 1 (2025): 7. https://doi.org/10.3892/mco.2024.2802
Copy and paste a formatted citation
x
Spandidos Publications style
Yoon HJ, Go TS, Kim KB, Song YJ, Suh DS and Kim KH: Endometrial cancer detected unusually after an ankle fracture secondary to severe anemia in an obese woman with heavy menstrual bleeding: A case report. Mol Clin Oncol 22: 7, 2025.
APA
Yoon, H.J., Go, T.S., Kim, K.B., Song, Y.J., Suh, D.S., & Kim, K.H. (2025). Endometrial cancer detected unusually after an ankle fracture secondary to severe anemia in an obese woman with heavy menstrual bleeding: A case report. Molecular and Clinical Oncology, 22, 7. https://doi.org/10.3892/mco.2024.2802
MLA
Yoon, H. J., Go, T. S., Kim, K. B., Song, Y. J., Suh, D. S., Kim, K. H."Endometrial cancer detected unusually after an ankle fracture secondary to severe anemia in an obese woman with heavy menstrual bleeding: A case report". Molecular and Clinical Oncology 22.1 (2025): 7.
Chicago
Yoon, H. J., Go, T. S., Kim, K. B., Song, Y. J., Suh, D. S., Kim, K. H."Endometrial cancer detected unusually after an ankle fracture secondary to severe anemia in an obese woman with heavy menstrual bleeding: A case report". Molecular and Clinical Oncology 22, no. 1 (2025): 7. https://doi.org/10.3892/mco.2024.2802
Follow us
  • Twitter
  • LinkedIn
  • Facebook
About
  • Spandidos Publications
  • Careers
  • Cookie Policy
  • Privacy Policy
How can we help?
  • Help
  • Live Chat
  • Contact
  • Email to our Support Team