Spandidos Publications Logo
  • About
    • About Spandidos
    • Aims and Scopes
    • Abstracting and Indexing
    • Editorial Policies
    • Reprints and Permissions
    • Job Opportunities
    • Terms and Conditions
    • Contact
  • Journals
    • All Journals
    • Oncology Letters
      • Oncology Letters
      • Information for Authors
      • Editorial Policies
      • Editorial Board
      • Aims and Scope
      • Abstracting and Indexing
      • Bibliographic Information
      • Archive
    • International Journal of Oncology
      • International Journal of Oncology
      • Information for Authors
      • Editorial Policies
      • Editorial Board
      • Aims and Scope
      • Abstracting and Indexing
      • Bibliographic Information
      • Archive
    • Molecular and Clinical Oncology
      • Molecular and Clinical Oncology
      • Information for Authors
      • Editorial Policies
      • Editorial Board
      • Aims and Scope
      • Abstracting and Indexing
      • Bibliographic Information
      • Archive
    • Experimental and Therapeutic Medicine
      • Experimental and Therapeutic Medicine
      • Information for Authors
      • Editorial Policies
      • Editorial Board
      • Aims and Scope
      • Abstracting and Indexing
      • Bibliographic Information
      • Archive
    • International Journal of Molecular Medicine
      • International Journal of Molecular Medicine
      • Information for Authors
      • Editorial Policies
      • Editorial Board
      • Aims and Scope
      • Abstracting and Indexing
      • Bibliographic Information
      • Archive
    • Biomedical Reports
      • Biomedical Reports
      • Information for Authors
      • Editorial Policies
      • Editorial Board
      • Aims and Scope
      • Abstracting and Indexing
      • Bibliographic Information
      • Archive
    • Oncology Reports
      • Oncology Reports
      • Information for Authors
      • Editorial Policies
      • Editorial Board
      • Aims and Scope
      • Abstracting and Indexing
      • Bibliographic Information
      • Archive
    • Molecular Medicine Reports
      • Molecular Medicine Reports
      • Information for Authors
      • Editorial Policies
      • Editorial Board
      • Aims and Scope
      • Abstracting and Indexing
      • Bibliographic Information
      • Archive
    • World Academy of Sciences Journal
      • World Academy of Sciences Journal
      • Information for Authors
      • Editorial Policies
      • Editorial Board
      • Aims and Scope
      • Abstracting and Indexing
      • Bibliographic Information
      • Archive
    • International Journal of Functional Nutrition
      • International Journal of Functional Nutrition
      • Information for Authors
      • Editorial Policies
      • Editorial Board
      • Aims and Scope
      • Abstracting and Indexing
      • Bibliographic Information
      • Archive
    • International Journal of Epigenetics
      • International Journal of Epigenetics
      • Information for Authors
      • Editorial Policies
      • Editorial Board
      • Aims and Scope
      • Abstracting and Indexing
      • Bibliographic Information
      • Archive
    • Medicine International
      • Medicine International
      • Information for Authors
      • Editorial Policies
      • Editorial Board
      • Aims and Scope
      • Abstracting and Indexing
      • Bibliographic Information
      • Archive
  • Articles
  • Information
    • Information for Authors
    • Information for Reviewers
    • Information for Librarians
    • Information for Advertisers
    • Conferences
  • Language Editing
Spandidos Publications Logo
  • About
    • About Spandidos
    • Aims and Scopes
    • Abstracting and Indexing
    • Editorial Policies
    • Reprints and Permissions
    • Job Opportunities
    • Terms and Conditions
    • Contact
  • Journals
    • All Journals
    • Biomedical Reports
      • Information for Authors
      • Editorial Policies
      • Editorial Board
      • Aims and Scope
      • Abstracting and Indexing
      • Bibliographic Information
      • Archive
    • Experimental and Therapeutic Medicine
      • Information for Authors
      • Editorial Policies
      • Editorial Board
      • Aims and Scope
      • Abstracting and Indexing
      • Bibliographic Information
      • Archive
    • International Journal of Epigenetics
      • Information for Authors
      • Editorial Policies
      • Editorial Board
      • Aims and Scope
      • Abstracting and Indexing
      • Bibliographic Information
      • Archive
    • International Journal of Functional Nutrition
      • Information for Authors
      • Editorial Policies
      • Editorial Board
      • Aims and Scope
      • Abstracting and Indexing
      • Bibliographic Information
      • Archive
    • International Journal of Molecular Medicine
      • Information for Authors
      • Editorial Policies
      • Editorial Board
      • Aims and Scope
      • Abstracting and Indexing
      • Bibliographic Information
      • Archive
    • International Journal of Oncology
      • Information for Authors
      • Editorial Policies
      • Editorial Board
      • Aims and Scope
      • Abstracting and Indexing
      • Bibliographic Information
      • Archive
    • Medicine International
      • Information for Authors
      • Editorial Policies
      • Editorial Board
      • Aims and Scope
      • Abstracting and Indexing
      • Bibliographic Information
      • Archive
    • Molecular and Clinical Oncology
      • Information for Authors
      • Editorial Policies
      • Editorial Board
      • Aims and Scope
      • Abstracting and Indexing
      • Bibliographic Information
      • Archive
    • Molecular Medicine Reports
      • Information for Authors
      • Editorial Policies
      • Editorial Board
      • Aims and Scope
      • Abstracting and Indexing
      • Bibliographic Information
      • Archive
    • Oncology Letters
      • Information for Authors
      • Editorial Policies
      • Editorial Board
      • Aims and Scope
      • Abstracting and Indexing
      • Bibliographic Information
      • Archive
    • Oncology Reports
      • Information for Authors
      • Editorial Policies
      • Editorial Board
      • Aims and Scope
      • Abstracting and Indexing
      • Bibliographic Information
      • Archive
    • World Academy of Sciences Journal
      • Information for Authors
      • Editorial Policies
      • Editorial Board
      • Aims and Scope
      • Abstracting and Indexing
      • Bibliographic Information
      • Archive
  • Articles
  • Information
    • For Authors
    • For Reviewers
    • For Librarians
    • For Advertisers
    • Conferences
  • Language Editing
Login Register Submit
  • This site uses cookies
  • You can change your cookie settings at any time by following the instructions in our Cookie Policy. To find out more, you may read our Privacy Policy.

    I agree
Search articles by DOI, keyword, author or affiliation
Search
Advanced Search
presentation
Medicine International
Join Editorial Board Propose a Special Issue
Print ISSN: 2754-3242 Online ISSN: 2754-1304
Journal Cover
September-October 2023 Volume 3 Issue 5

Full Size Image

Sign up for eToc alerts
Recommend to Library

Journals

International Journal of Molecular Medicine

International Journal of Molecular Medicine

International Journal of Molecular Medicine is an international journal devoted to molecular mechanisms of human disease.

International Journal of Oncology

International Journal of Oncology

International Journal of Oncology is an international journal devoted to oncology research and cancer treatment.

Molecular Medicine Reports

Molecular Medicine Reports

Covers molecular medicine topics such as pharmacology, pathology, genetics, neuroscience, infectious diseases, molecular cardiology, and molecular surgery.

Oncology Reports

Oncology Reports

Oncology Reports is an international journal devoted to fundamental and applied research in Oncology.

Experimental and Therapeutic Medicine

Experimental and Therapeutic Medicine

Experimental and Therapeutic Medicine is an international journal devoted to laboratory and clinical medicine.

Oncology Letters

Oncology Letters

Oncology Letters is an international journal devoted to Experimental and Clinical Oncology.

Biomedical Reports

Biomedical Reports

Explores a wide range of biological and medical fields, including pharmacology, genetics, microbiology, neuroscience, and molecular cardiology.

Molecular and Clinical Oncology

Molecular and Clinical Oncology

International journal addressing all aspects of oncology research, from tumorigenesis and oncogenes to chemotherapy and metastasis.

World Academy of Sciences Journal

World Academy of Sciences Journal

Multidisciplinary open-access journal spanning biochemistry, genetics, neuroscience, environmental health, and synthetic biology.

International Journal of Functional Nutrition

International Journal of Functional Nutrition

Open-access journal combining biochemistry, pharmacology, immunology, and genetics to advance health through functional nutrition.

International Journal of Epigenetics

International Journal of Epigenetics

Publishes open-access research on using epigenetics to advance understanding and treatment of human disease.

Medicine International

Medicine International

An International Open Access Journal Devoted to General Medicine.

Journal Cover
September-October 2023 Volume 3 Issue 5

Full Size Image

Sign up for eToc alerts
Recommend to Library

  • Article
  • Citations
    • Cite This Article
    • Download Citation
    • Create Citation Alert
    • Remove Citation Alert
    • Cited By
  • Similar Articles
    • Related Articles (in Spandidos Publications)
    • Similar Articles (Google Scholar)
    • Similar Articles (PubMed)
  • Download PDF
  • Download XML
  • View XML
Case Report Open Access

Challenges and successful management of subglottic tracheal stenosis in a 2‑year‑old child: A case report and a mini‑review of the literature

  • Authors:
    • Fahmi H. Kakamad
    • Mariwan L. Fatah
    • Rezheen J. Rashid
    • Karzan M. Hasan
    • Bilal A. Mohammed
    • Honar Othman Kareem
    • Sarwat T. San Ahmed
    • Khdir Hussein Hamad Khoshnaw
    • Sanaa O. Karim
    • Berun A. Abdalla
    • Sarhang Sedeeq Abdullah
  • View Affiliations / Copyright

    Affiliations: Department of Scientific Affairs, Smart Health Tower, Sulaymani, Kurdistan 46001, Iraq, Pediatric Department, Ranya Maternity and Pediatric Teaching Hospital, Sulaimani, Kurdistan 46001, Iraq
    Copyright: © Kakamad et al. This is an open access article distributed under the terms of Creative Commons Attribution License [CC BY 4.0].
  • Article Number: 53
    |
    Published online on: September 20, 2023
       https://doi.org/10.3892/mi.2023.113
  • Expand metrics +
Metrics: Total Views: 0 (Spandidos Publications: | PMC Statistics: )
Metrics: Total PDF Downloads: 0 (Spandidos Publications: | PMC Statistics: )
Cited By (CrossRef): 0 citations Loading Articles...

This article is mentioned in:



Abstract

Tracheal stenosis is a narrowing of the windpipe that can lead to shortness of breath, stridor and even suffocation. The present study reports the clinical course of a patient with this condition in an aim to help clinicians obtain more information about this rare condition and identify potential treatment options. A 2‑year‑old female child presented with progressive shortness of breath and stridor. She was initially managed with tracheostomy; however, this was unsuccessful in relieving the stenosis. Subsequent interventions, including rigid bronchoscopy and dilatation were successful in relieving the condition. A benign hypertrophy of the bronchial wall was identified through biopsy. The patient was treated with steroids and antibiotics, and she experienced a marked improvement in symptoms and remained asymptomatic after a 1‑year follow‑up. Tracheal stenosis is a rare, yet serious condition that may be life‑threatening. Thus, the early diagnosis and treatment of this condition are essential in order to improve outcomes.

Introduction

Tracheal stenosis is a rare condition that involves the narrowing of the tracheal lumen, causing significant respiratory distress and potentially life-threatening complications (1). It can occur due to a variety of factors, such as congenital abnormalities, acquired conditions, or traumatic injuries with a reported incidence of 1 in 6,400 live births for congenital type, with a mortality rate as high as 79% before the advent of current surgical techniques (2). While tracheal stenosis is more commonly observed in adults, its occurrence in pediatric populations is less frequent. The diagnosis and treatment of tracheal stenosis in children pose unique challenges that require a comprehensive understanding of the condition and its management strategies (3). The present study describes the clinical course of a 2-year-old female child diagnosed with tracheal stenosis. The present study aimed to provide valuable insight into the diagnostic and therapeutic complexities encountered during the treatment of this condition.

Case report

Patient information

A 2-year-old female child, who had previously undergone a tracheostomy and polypectomy at another medical center, was referred to the Smart Health Tower, Sulaimani, Iraq due to progressively worsening stridor and shortness of breath. The symptoms gradually increased in intensity, eventually reaching a severe level, where the child experienced episodes of suffocation.

Clinical findings

Due to the urgency of the case, no physical examination had been conducted at the previous center. An emergency tracheostomy was thus immediately performed, which provided temporary relief. Later, due to the persistent nature of the condition, the case was referred to the Cardiothoracic Department at Smart Health Tower (Sulaimani, Iraq).

Diagnostic assessment

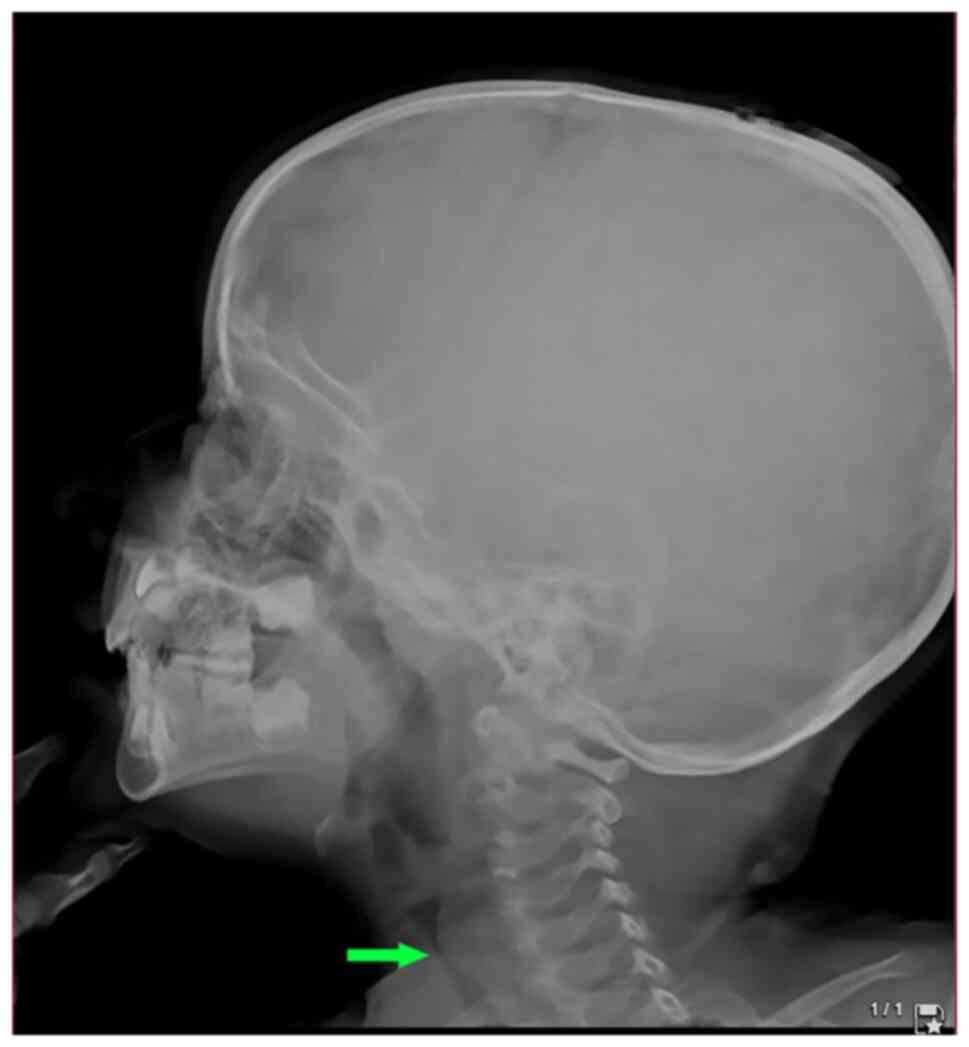
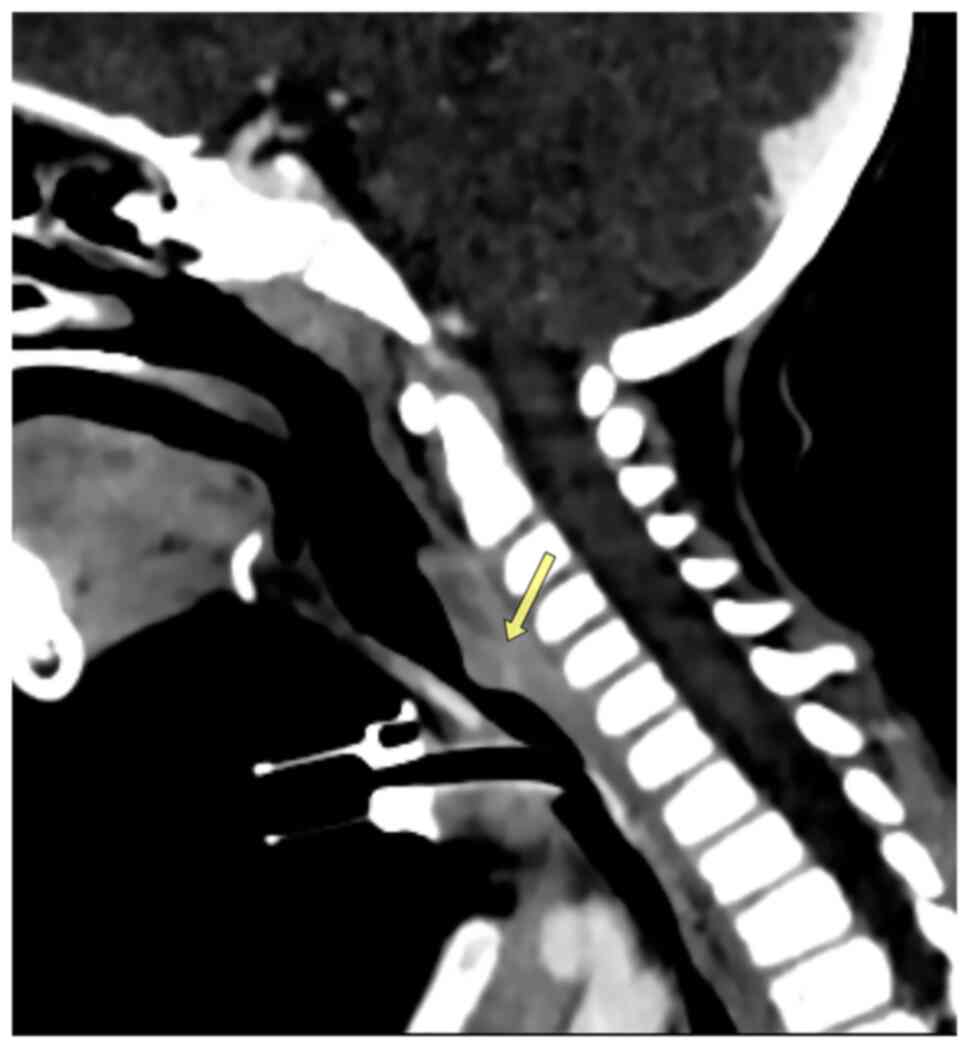
A lateral post-nasal space X-ray was performed, which illustrated tracheal stenosis (Fig. 1). A computed tomography (CT) scan was conducted and confirmed severe subglottic stenosis and a narrowing of the tracheal region just below the vocal cords (Fig. 2).

Figure 1

A pre-tracheostomy lateral post-nasal space radiograph illustrating a bulging from a posterior cervical tracheal wall (arrow) at the level of C5, resulting in severe narrowing of the tracheal air column.

Figure 2

A sagittal contrast-enhanced post-tracheostomy neck computed tomography scan illustrating severe luminal stenosis of the cervical trachea (~70%) by enhancing a mass that protrudes from the posterior tracheal wall (arrow).

Therapeutic intervention

The patient had previously undergone a rigid laryngoscopy to remove a vocal cord polyp at another medical center. However, the intervention did not yield the desired clinical benefit, and the child's symptoms persisted. Under general anesthesia, a rigid bronchoscopy procedure was performed. The bronchoscope was inserted through the mouth and into the trachea. The narrowed section of the trachea, proximal to the stenosis, was identified and forcefully dilated using a combination of scopes and dilators of various sizes. A biopsy sample was collected from the hypertrophied bronchial wall, and the pathological analysis confirmed benign hypertrophic tissue. Following 1 week of tracheostomy weaning, during which the child gradually transitioned to breathing independently without the aid of the tracheostomy tube, a new symptom emerged. The child developed stridor, particularly noticeable during sleep. Concerned about the recurrence of respiratory distress, a subsequent rigid bronchoscopy was performed, and the trachea appeared normal. However, some features suggestive of tracheomalacia were identified. The condition was confirmed to be congenital due to the presence of tracheomalacia. Following decannulation, the patient was hospitalized for 3 days to monitor for any emerging dyspnea. An echocardiography was performed to rule out any associated cardiovascular abnormalities, and this revealed no significant findings (data not shown). The child was prescribed a treatment regimen consisting of steroids and antibiotics. Notably, the patient responded favorably to the medical intervention, with a significant improvement in symptoms.

Follow-up

During a 1-year follow-up period, the child remained asymptomatic, indicating successful management of tracheal stenosis caused by tracheomalacia.

Discussion

Tracheal stenosis, medical condition whose incidence among infants is rare, is characterized by the narrowing of the trachea, leading to respiratory distress and potential complications (4). It is crucial for medical professionals to have a thorough understanding of this condition and its associated complications in order to ensure appropriate treatment and care for affected infants.

Common symptoms of tracheal stenosis include shortness of breath and stridor, a high-pitched sound during breathing. In severe cases, respiratory failure and asphyxiation can occur, underscoring the need for early diagnosis and appropriate management (4).

The incidence of tracheal stenosis is estimated to be 1 in 6,400 live births, emphasizing its rarity and the need for heightened awareness (2). To diagnose tracheal stenosis, a comprehensive evaluation is required, incorporating imaging techniques such as CT scans and bronchoscopies, alongside a meticulous medical history and physical examination (5). The key differential diagnosis is foreign body aspiration (6).

The treatment of tracheal stenosis is dependent on the severity and underlying cause of the condition. Several treatment options are available to alleviate symptoms and improve airway function:

Airway dilation involves the insertion of a balloon through a bronchoscope into the narrowed area of the trachea. The balloon is then inflated to expand the airway and enhance airflow (7). Balloon dilation has been proven to be a secure and efficient palliative technique for addressing both congenital and acquired tracheal and bronchial stenosis. Notable enhancements in symptoms and the widening of the airway can be observed, although these improvements may only be temporary. In order to achieve a lasting remedy, a series of sequential dilation procedures may be required (7).

In certain cases, a stent may be positioned within the trachea to maintain its patency. This can be achieved using a bronchoscope or through an open surgical procedure (8). According to previous research, >90% of patients achieve the rapid alleviation of dyspnea rather than the complete resolution of tracheal stenosis. To assess the efficacy of silicone stent placement, various factors are considered, including the Borg scale, lung function, CT measurements of stenosis, curative rates (successful stent removal) and stability rates (8).

Laser therapy is utilized to remove excess or scar tissue causing tracheal narrowing. It is typically performed with the assistance of a bronchoscope (9). Neodymium:Yttrium-Aluminium-Garnet (Nd:YAG) laser photocoagulation has demonstrated effectiveness in managing tracheal stenosis caused by benign lesions, with the exception of subglottic region involvement. The procedure is associated with minimal morbidity and no mortality risks (10). Severe cases of tracheal stenosis may necessitate surgical intervention to remove the narrowed portion of the trachea and reconstruct the airway. Various techniques, such as tracheal resection and anastomosis or tracheal reconstruction with grafts, may be employed (11). The most effective treatment for benign tracheal stenosis is surgery, specifically tracheal resection, and end-to-end anastomosis. A previous study demonstrated a success rate of 88% for surgery in addressing airway stenosis, with an almost zero complication rate (12). However, only a small percentage of patients (<10%) with tracheal stenosis are suitable candidates for surgery and resection due to the significant risks associated with anesthesia and surgery, as well as the length of the tracheal resection and the extent of the lesion (13). In the case in the present study, the condition was initially suspected to be caused by a polyp on the vocal cord; thus, the patient, at another center, underwent an emergency tracheostomy and polypectomy. The condition was temporarily relieved but later emerged again; thus, the case was then referred to the authors. After conducting a bronchoscopy, the case was diagnosed as tracheomalacia. Proper workups such as echocardiography were subsequently performed to exclude any associated cardiovascular abnormalities.

In certain instances, medications such as corticosteroids may be prescribed to mitigate inflammation and alleviate symptoms. However, medical management alone is generally not a long-term solution and is often used in conjunction with other treatments (14). By implementing these treatment options, medical professionals aim to relieve symptoms, restore proper airway function and enhance the quality of life of individuals with tracheal stenosis. The case described herein was prescribed a treatment regimen consisting of steroids and antibiotics, as mitomycin was not available at that time, and the patient responded favorably to the medical intervention. The limitation of the present study was that the authors were not able to retrieve any data or information regarding how the tracheostomy procedure was conducted or which protective method was applied, as it was performed at another center. In the present study, all the references have been filtered to avoid citing non-peer-reviewed data (15).

In conclusion, tracheal stenosis is a rare condition that poses significant challenges to affected infants. The diagnosis involves a comprehensive evaluation, considering imaging techniques and careful assessment of medical history. Various treatment modalities, including airway dilation, stent placement, laser therapy, surgery and medical management may be employed to alleviate symptoms and improve outcomes. Continued research and collaboration among healthcare professionals are essential to further enhance our understanding of this condition and optimize treatment strategies.

Acknowledgements

Not applicable.

Funding

Funding: No funding was received.

Availability of data and material

The datasets used and/or analyzed during the current study are available from the corresponding author on reasonable request.

Authors' contributions

FHK was a main contributor to the conception of the study, as well as in the literature search for related studies. SOK, BAA and MLF were involved in the literature review, in the writing of the manuscript, and in the analysis and interpretation of the patient's data. RJR, KMH, SSA, HOK, STSA, KHHK and BAM were involved in the literature review, in the design of the study, as well as in the revision of the manuscript and in the processing of the figures. FHK and SSA confirm the authenticity of all the raw data. All authors have read and approved the final manuscript.

Ethics approval and consent to participate

Written informed consent was obtained from the parents of the patient.

Patient consent for publication

Written informed consent was obtained from the parents of the patient to publish any related data and any related images.

Competing interests

The authors declare that they have no competing interests.

References

1 

Laing MR, Albert DM, Quinney RE and Bailey CM: Tracheal stenosis in infants and young children. J Laryngol Otol. 104:229–235. 1990.PubMed/NCBI View Article : Google Scholar

2 

Herrera P, Caldarone C, Forte V, Campisi P, Holtby H, Chait P, Chiu P, Cox P, Yoo SJ, Manson D and Kim PCW: The current state of congenital tracheal stenosis. Pediatr Surg Int. 23:1033–1044. 2007.PubMed/NCBI View Article : Google Scholar

3 

Klopper GJ, Adeniyi OV and Stephenson K: Adolescent and adult laryngotracheal stenosis: A review. Egypt J Otolaryngol. 37(36)2021.

4 

Catano J, Uzunhan Y, Paule R, Dion J, Régent A, Legendre P, Gonin F, Martinod E, Cohen P, Puéchal X, et al: Presentation, diagnosis, and management of subglottic and tracheal stenosis during systemic inflammatory diseases. Chest. 161:257–265. 2022.PubMed/NCBI View Article : Google Scholar

5 

Muthialu N, Ramaswamy M, Beeman A and Yeh YT: Management of tracheal diseases in children. Front Pediatr. 8(297)2020.PubMed/NCBI View Article : Google Scholar

6 

Baram A, Sherzad H, Saeed S, Kakamad FH and Hamawandi AMH: Tracheobronchial foreign bodies in children: The role of emergency rigid bronchoscopy. Glob Pediatr Health. 4:1–6. 2017.PubMed/NCBI View Article : Google Scholar

7 

Freitag L, Ernst A, Unger M, Kovitz K and Marquette CH: A proposed classification system of central airway stenosis. Eur Respir J. 30:7–12. 2007.PubMed/NCBI View Article : Google Scholar

8 

Walser EM: Stent placement for tracheobronchial disease. Eur J Radiol. 55:321–330. 2005.PubMed/NCBI View Article : Google Scholar

9 

Deshmukh A, Jadhav S, Wadgoankar V, Takalkar U, Deshmukh H, Apsingkar P, Sonwatikar P and Antony P: Airway management and bronchoscopic treatment of subglottic and tracheal stenosis using holmium laser with balloon dilatation. Indian J Otolaryngol Head Neck Surg. 71:453–458. 2019.PubMed/NCBI View Article : Google Scholar

10 

Rau BK, Harikrishnan KM and Krishna S: Neodymium: YAG laser in the management of tracheal stenosis. Ann Acad Med Singap. 23:333–334. 1994.PubMed/NCBI

11 

Wen W, Du X, Zhu L, Wang S, Xu Z and Lu Z: Surgical management of long-segment congenital tracheal stenosis with tracheobronchial malacia. Eur J Cardiothorac Surg. 61:1001–1010. 2022.PubMed/NCBI View Article : Google Scholar

12 

Lorenz RR: The evolution and outcomes of the ‘Maddern Procedure’ for the treatment of subglottic stenosis. Laryngoscope: May 17, 2023 (Epub ahead of print).

13 

Nouraei SM, Middleton SE, Nouraei SA, Virk JS, George PJ, Hayward M and Sandhu GS: Management and prognosis of primary tracheal cancer: A national analysis. Laryngoscope. 124:145–150. 2014.PubMed/NCBI View Article : Google Scholar

14 

Shadmehr MB, Abbasidezfouli A, Farzanegan R, Pejhan S, Kakhaki AD, Sheikhy K, Saghebi SR, Sadeghbeigee F, Gharedaghi A, Jahanshahi N and Zangi M: The role of systemic steroids in postintubation tracheal stenosis: A randomized clinical trial. Ann Thorac Surg. 103:246–253. 2017.PubMed/NCBI View Article : Google Scholar

15 

Muhialdeen AS, Ahmed JO, Baba HO, Abdullah IY, Hassan HA, Najar KA, Mikael TM, Mustafa MQ, Mohammed DA, Omer DA, et al: Kscien's List; A new strategy to discourage predatory journals and publishers (Second Version). Barw Medical J. 1:1–3. 2023.

Related Articles

  • Abstract
  • View
  • Download
Copy and paste a formatted citation
Spandidos Publications style
Kakamad FH, Fatah ML, Rashid RJ, Hasan KM, Mohammed BA, Kareem HO, San Ahmed ST, Khoshnaw KH, Karim SO, Abdalla BA, Abdalla BA, et al: Challenges and successful management of subglottic tracheal stenosis in a 2‑year‑old child: A case report and a mini‑review of the literature. Med Int 3: 53, 2023.
APA
Kakamad, F.H., Fatah, M.L., Rashid, R.J., Hasan, K.M., Mohammed, B.A., Kareem, H.O. ... Abdullah, S.S. (2023). Challenges and successful management of subglottic tracheal stenosis in a 2‑year‑old child: A case report and a mini‑review of the literature. Medicine International, 3, 53. https://doi.org/10.3892/mi.2023.113
MLA
Kakamad, F. H., Fatah, M. L., Rashid, R. J., Hasan, K. M., Mohammed, B. A., Kareem, H. O., San Ahmed, S. T., Khoshnaw, K. H., Karim, S. O., Abdalla, B. A., Abdullah, S. S."Challenges and successful management of subglottic tracheal stenosis in a 2‑year‑old child: A case report and a mini‑review of the literature". Medicine International 3.5 (2023): 53.
Chicago
Kakamad, F. H., Fatah, M. L., Rashid, R. J., Hasan, K. M., Mohammed, B. A., Kareem, H. O., San Ahmed, S. T., Khoshnaw, K. H., Karim, S. O., Abdalla, B. A., Abdullah, S. S."Challenges and successful management of subglottic tracheal stenosis in a 2‑year‑old child: A case report and a mini‑review of the literature". Medicine International 3, no. 5 (2023): 53. https://doi.org/10.3892/mi.2023.113
Copy and paste a formatted citation
x
Spandidos Publications style
Kakamad FH, Fatah ML, Rashid RJ, Hasan KM, Mohammed BA, Kareem HO, San Ahmed ST, Khoshnaw KH, Karim SO, Abdalla BA, Abdalla BA, et al: Challenges and successful management of subglottic tracheal stenosis in a 2‑year‑old child: A case report and a mini‑review of the literature. Med Int 3: 53, 2023.
APA
Kakamad, F.H., Fatah, M.L., Rashid, R.J., Hasan, K.M., Mohammed, B.A., Kareem, H.O. ... Abdullah, S.S. (2023). Challenges and successful management of subglottic tracheal stenosis in a 2‑year‑old child: A case report and a mini‑review of the literature. Medicine International, 3, 53. https://doi.org/10.3892/mi.2023.113
MLA
Kakamad, F. H., Fatah, M. L., Rashid, R. J., Hasan, K. M., Mohammed, B. A., Kareem, H. O., San Ahmed, S. T., Khoshnaw, K. H., Karim, S. O., Abdalla, B. A., Abdullah, S. S."Challenges and successful management of subglottic tracheal stenosis in a 2‑year‑old child: A case report and a mini‑review of the literature". Medicine International 3.5 (2023): 53.
Chicago
Kakamad, F. H., Fatah, M. L., Rashid, R. J., Hasan, K. M., Mohammed, B. A., Kareem, H. O., San Ahmed, S. T., Khoshnaw, K. H., Karim, S. O., Abdalla, B. A., Abdullah, S. S."Challenges and successful management of subglottic tracheal stenosis in a 2‑year‑old child: A case report and a mini‑review of the literature". Medicine International 3, no. 5 (2023): 53. https://doi.org/10.3892/mi.2023.113
Follow us
  • Twitter
  • LinkedIn
  • Facebook
About
  • Spandidos Publications
  • Careers
  • Cookie Policy
  • Privacy Policy
How can we help?
  • Help
  • Live Chat
  • Contact
  • Email to our Support Team