Spandidos Publications Logo
  • About
    • About Spandidos
    • Aims and Scopes
    • Abstracting and Indexing
    • Editorial Policies
    • Reprints and Permissions
    • Job Opportunities
    • Terms and Conditions
    • Contact
  • Journals
    • All Journals
    • Oncology Letters
      • Oncology Letters
      • Information for Authors
      • Editorial Policies
      • Editorial Board
      • Aims and Scope
      • Abstracting and Indexing
      • Bibliographic Information
      • Archive
    • International Journal of Oncology
      • International Journal of Oncology
      • Information for Authors
      • Editorial Policies
      • Editorial Board
      • Aims and Scope
      • Abstracting and Indexing
      • Bibliographic Information
      • Archive
    • Molecular and Clinical Oncology
      • Molecular and Clinical Oncology
      • Information for Authors
      • Editorial Policies
      • Editorial Board
      • Aims and Scope
      • Abstracting and Indexing
      • Bibliographic Information
      • Archive
    • Experimental and Therapeutic Medicine
      • Experimental and Therapeutic Medicine
      • Information for Authors
      • Editorial Policies
      • Editorial Board
      • Aims and Scope
      • Abstracting and Indexing
      • Bibliographic Information
      • Archive
    • International Journal of Molecular Medicine
      • International Journal of Molecular Medicine
      • Information for Authors
      • Editorial Policies
      • Editorial Board
      • Aims and Scope
      • Abstracting and Indexing
      • Bibliographic Information
      • Archive
    • Biomedical Reports
      • Biomedical Reports
      • Information for Authors
      • Editorial Policies
      • Editorial Board
      • Aims and Scope
      • Abstracting and Indexing
      • Bibliographic Information
      • Archive
    • Oncology Reports
      • Oncology Reports
      • Information for Authors
      • Editorial Policies
      • Editorial Board
      • Aims and Scope
      • Abstracting and Indexing
      • Bibliographic Information
      • Archive
    • Molecular Medicine Reports
      • Molecular Medicine Reports
      • Information for Authors
      • Editorial Policies
      • Editorial Board
      • Aims and Scope
      • Abstracting and Indexing
      • Bibliographic Information
      • Archive
    • World Academy of Sciences Journal
      • World Academy of Sciences Journal
      • Information for Authors
      • Editorial Policies
      • Editorial Board
      • Aims and Scope
      • Abstracting and Indexing
      • Bibliographic Information
      • Archive
    • International Journal of Functional Nutrition
      • International Journal of Functional Nutrition
      • Information for Authors
      • Editorial Policies
      • Editorial Board
      • Aims and Scope
      • Abstracting and Indexing
      • Bibliographic Information
      • Archive
    • International Journal of Epigenetics
      • International Journal of Epigenetics
      • Information for Authors
      • Editorial Policies
      • Editorial Board
      • Aims and Scope
      • Abstracting and Indexing
      • Bibliographic Information
      • Archive
    • Medicine International
      • Medicine International
      • Information for Authors
      • Editorial Policies
      • Editorial Board
      • Aims and Scope
      • Abstracting and Indexing
      • Bibliographic Information
      • Archive
  • Articles
  • Information
    • Information for Authors
    • Information for Reviewers
    • Information for Librarians
    • Information for Advertisers
    • Conferences
  • Language Editing
Spandidos Publications Logo
  • About
    • About Spandidos
    • Aims and Scopes
    • Abstracting and Indexing
    • Editorial Policies
    • Reprints and Permissions
    • Job Opportunities
    • Terms and Conditions
    • Contact
  • Journals
    • All Journals
    • Biomedical Reports
      • Information for Authors
      • Editorial Policies
      • Editorial Board
      • Aims and Scope
      • Abstracting and Indexing
      • Bibliographic Information
      • Archive
    • Experimental and Therapeutic Medicine
      • Information for Authors
      • Editorial Policies
      • Editorial Board
      • Aims and Scope
      • Abstracting and Indexing
      • Bibliographic Information
      • Archive
    • International Journal of Epigenetics
      • Information for Authors
      • Editorial Policies
      • Editorial Board
      • Aims and Scope
      • Abstracting and Indexing
      • Bibliographic Information
      • Archive
    • International Journal of Functional Nutrition
      • Information for Authors
      • Editorial Policies
      • Editorial Board
      • Aims and Scope
      • Abstracting and Indexing
      • Bibliographic Information
      • Archive
    • International Journal of Molecular Medicine
      • Information for Authors
      • Editorial Policies
      • Editorial Board
      • Aims and Scope
      • Abstracting and Indexing
      • Bibliographic Information
      • Archive
    • International Journal of Oncology
      • Information for Authors
      • Editorial Policies
      • Editorial Board
      • Aims and Scope
      • Abstracting and Indexing
      • Bibliographic Information
      • Archive
    • Medicine International
      • Information for Authors
      • Editorial Policies
      • Editorial Board
      • Aims and Scope
      • Abstracting and Indexing
      • Bibliographic Information
      • Archive
    • Molecular and Clinical Oncology
      • Information for Authors
      • Editorial Policies
      • Editorial Board
      • Aims and Scope
      • Abstracting and Indexing
      • Bibliographic Information
      • Archive
    • Molecular Medicine Reports
      • Information for Authors
      • Editorial Policies
      • Editorial Board
      • Aims and Scope
      • Abstracting and Indexing
      • Bibliographic Information
      • Archive
    • Oncology Letters
      • Information for Authors
      • Editorial Policies
      • Editorial Board
      • Aims and Scope
      • Abstracting and Indexing
      • Bibliographic Information
      • Archive
    • Oncology Reports
      • Information for Authors
      • Editorial Policies
      • Editorial Board
      • Aims and Scope
      • Abstracting and Indexing
      • Bibliographic Information
      • Archive
    • World Academy of Sciences Journal
      • Information for Authors
      • Editorial Policies
      • Editorial Board
      • Aims and Scope
      • Abstracting and Indexing
      • Bibliographic Information
      • Archive
  • Articles
  • Information
    • For Authors
    • For Reviewers
    • For Librarians
    • For Advertisers
    • Conferences
  • Language Editing
Login Register Submit
  • This site uses cookies
  • You can change your cookie settings at any time by following the instructions in our Cookie Policy. To find out more, you may read our Privacy Policy.

    I agree
Search articles by DOI, keyword, author or affiliation
Search
Advanced Search
presentation
Medicine International
Join Editorial Board Propose a Special Issue
Print ISSN: 2754-3242 Online ISSN: 2754-1304
Journal Cover
March-April 2023 Volume 3 Issue 2

Full Size Image

Sign up for eToc alerts
Recommend to Library

Journals

International Journal of Molecular Medicine

International Journal of Molecular Medicine

International Journal of Molecular Medicine is an international journal devoted to molecular mechanisms of human disease.

International Journal of Oncology

International Journal of Oncology

International Journal of Oncology is an international journal devoted to oncology research and cancer treatment.

Molecular Medicine Reports

Molecular Medicine Reports

Covers molecular medicine topics such as pharmacology, pathology, genetics, neuroscience, infectious diseases, molecular cardiology, and molecular surgery.

Oncology Reports

Oncology Reports

Oncology Reports is an international journal devoted to fundamental and applied research in Oncology.

Experimental and Therapeutic Medicine

Experimental and Therapeutic Medicine

Experimental and Therapeutic Medicine is an international journal devoted to laboratory and clinical medicine.

Oncology Letters

Oncology Letters

Oncology Letters is an international journal devoted to Experimental and Clinical Oncology.

Biomedical Reports

Biomedical Reports

Explores a wide range of biological and medical fields, including pharmacology, genetics, microbiology, neuroscience, and molecular cardiology.

Molecular and Clinical Oncology

Molecular and Clinical Oncology

International journal addressing all aspects of oncology research, from tumorigenesis and oncogenes to chemotherapy and metastasis.

World Academy of Sciences Journal

World Academy of Sciences Journal

Multidisciplinary open-access journal spanning biochemistry, genetics, neuroscience, environmental health, and synthetic biology.

International Journal of Functional Nutrition

International Journal of Functional Nutrition

Open-access journal combining biochemistry, pharmacology, immunology, and genetics to advance health through functional nutrition.

International Journal of Epigenetics

International Journal of Epigenetics

Publishes open-access research on using epigenetics to advance understanding and treatment of human disease.

Medicine International

Medicine International

An International Open Access Journal Devoted to General Medicine.

Journal Cover
March-April 2023 Volume 3 Issue 2

Full Size Image

Sign up for eToc alerts
Recommend to Library

  • Article
  • Citations
    • Cite This Article
    • Download Citation
    • Create Citation Alert
    • Remove Citation Alert
    • Cited By
  • Similar Articles
    • Related Articles (in Spandidos Publications)
    • Similar Articles (Google Scholar)
    • Similar Articles (PubMed)
  • Download PDF
  • Download XML
  • View XML
Case Report Open Access

Synchronous Kaposi sarcoma and renal cell carcinoma in an elderly male patient (a very uncommon reported entity): A case report

  • Authors:
    • Rawa Bapir
    • Bana Shabur
    • Ismaeel Aghaways
    • Soran H. Tahir
    • Hiwa O. Abdullah
    • Ronak S. Ahmed
    • Rezheen J. Rashid
    • Razhan K. Ali
    • Berun A. Abdalla
    • Fahmi H. Kakamad
  • View Affiliations / Copyright

    Affiliations: Department of Scientific Affairs, Smart Health Tower, Sulaimani, Kurdistan 46000, Iraq, Department of Oncology, Hiwa Oncology Hospital, Sulaimani Directorate of Health, Sulaimani, Kurdistan 46000, Iraq, College of Medicine, University of Sulaimani, Sulaimani, Kurdistan 46000, Iraq, Department of Cardiothoracic Surgery, Shar Hospital, Sulaimani, Kurdistan 46000, Iraq
    Copyright: © Bapir et al. This is an open access article distributed under the terms of Creative Commons Attribution License.
  • Article Number: 16
    |
    Published online on: March 6, 2023
       https://doi.org/10.3892/mi.2023.76
  • Expand metrics +
Metrics: Total Views: 0 (Spandidos Publications: | PMC Statistics: )
Metrics: Total PDF Downloads: 0 (Spandidos Publications: | PMC Statistics: )
Cited By (CrossRef): 0 citations Loading Articles...

This article is mentioned in:



Abstract

Based on the literature, there are only three reports available to date on synchronous Kaposi sarcoma (KS) and renal cell carcinoma (RCC), at least to the best of our knowledge. The present study reports a rare case of synchronous classic KS and clear cell RCC. A 69‑year‑old male presented with painful, purplish nodular lesions on the dorsal aspect of his hands and feet. He had no chronic medical illnesses or prior surgical interventions. An excisional biopsy of one of the lesions revealed a nodular dermal lesion with numerous vascular channels and interlacing spindle cells. A 2.5 cm‑enhancing mass was found in a contrast‑enhanced computed tomography scan of the abdomen, suggesting RCC or metastasis. A partial nephrectomy was performed, and the histopathological findings were consistent with clear cell RCC. The patient responded well to paclitaxel and topical imiquimod (5%), and the skin lesions disappeared. Both KS and RCC are vascular tumors, and their pathogenesis is commonly affected by an angiogenic factor known as vascular endothelial growth factor (VEGF). A complete response of KS was observed after sorafenib, an inhibitor of VEGF receptors, was administered for the treatment of metastatic renal cancer. This reinforces the fact that there is a common therapeutic and pathogenetic pathway between these two neoplasms. Synchronous KS and clear cell RCC are rare findings. Their simultaneous appearance may be triggered by the common enhancing angiogenic factor, VEGF.

Introduction

Kaposi sarcoma (KS) is an atypical multicentric tumor that mainly originates in the skin of the lower extremities. It can occur in four clinical forms, including classic KS, endemic KS, human-acquired immunodeficiency syndrome-related epidemic KS (AIDS-related KS) and transplantation-associated KS (1). This tumor commonly consists of proliferating spindle cells and capillary vessels, presenting as multiple vascular tumors, and may develop as cutaneous lesions, invasive lymph nodes, or visceral tumors (2). The human immunodeficiency virus (HIV), human herpesvirus-8 (HHV-8) and immunosuppressive treatment all play a role in the development of KS (1,3,4). The more susceptible sex is usually males in their 70 and 80s (5). The simultaneous occurrence of several different tumors, such as a primary tumor with a metastatic tumor or a metastatic tumor with an inflammatory lesion has been previously reported as the association of KS with several malignant diseases like lymphomas, leukemias and multiple myeloma. However, its co-existence with a solid tumor, such as renal cell carcinoma (RCC), is extremely rare (6,7). Based on the literature and to the best of our knowledge, there are only three reports available to date that mention this finding (7-9). RCC represents a heterogenous group of cancers originating from renal tubular epithelial cells. Its incidence increases according to age and the male sex (10). The present study reports a rare case of synchronous classic KS and clear cell RCC in a 69-year-old male patient with no chronic disease or history of surgical intervention.

Case report

Patient information

A 69-year-old man was referred by a dermatologist to the Hiwa Oncology Hospital (Sulaimani, Iraq) after presenting with painful, purplish nodular lesions on the dorsal aspect of his hands and feet for a duration of 2 months (Fig. 1).

Figure 1

Multiple purplish-bluish lesions over the dorsal aspect of the (A) right foot and (B) right hand.

Clinical findings

He had no chronic medical illnesses or prior surgical interventions. He had used various prescribed topical agents, such as trichloroacetic acid (TCA) solution and topical steroids without any response.

Diagnostic assessment

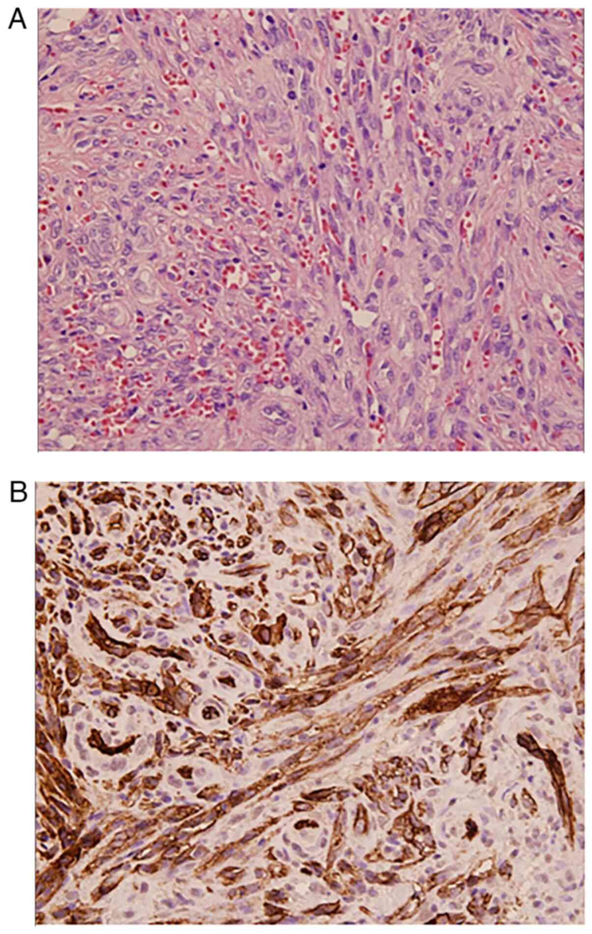
An excisional biopsy of one of the lesions revealed a nodular dermal lesion with numerous vascular channels and interlacing spindle cells. Immunohistochemical examinations (previously conducted by another center) revealed a positive reaction to CD31 (Fig. 2). He was referred to an oncology center. After a metastatic workup, a 2.5 cm enhancing mass was found in a contrast-enhanced CT of the abdomen, suggesting RCC or metastasis (Fig. 3).

Figure 2

(A) The image shows fascicles of spindled cells with red blood cells within the narrow slit-like spaces. (B) A strong diffuse cytoplasmic reaction to CD31 staining is evident.

Figure 3

(A) Axial and (B) coronal sections of contrast-enhanced computed tomography of the abdomen and pelvis show a left lower pole-enhancing cystic mass.

Therapeutic intervention

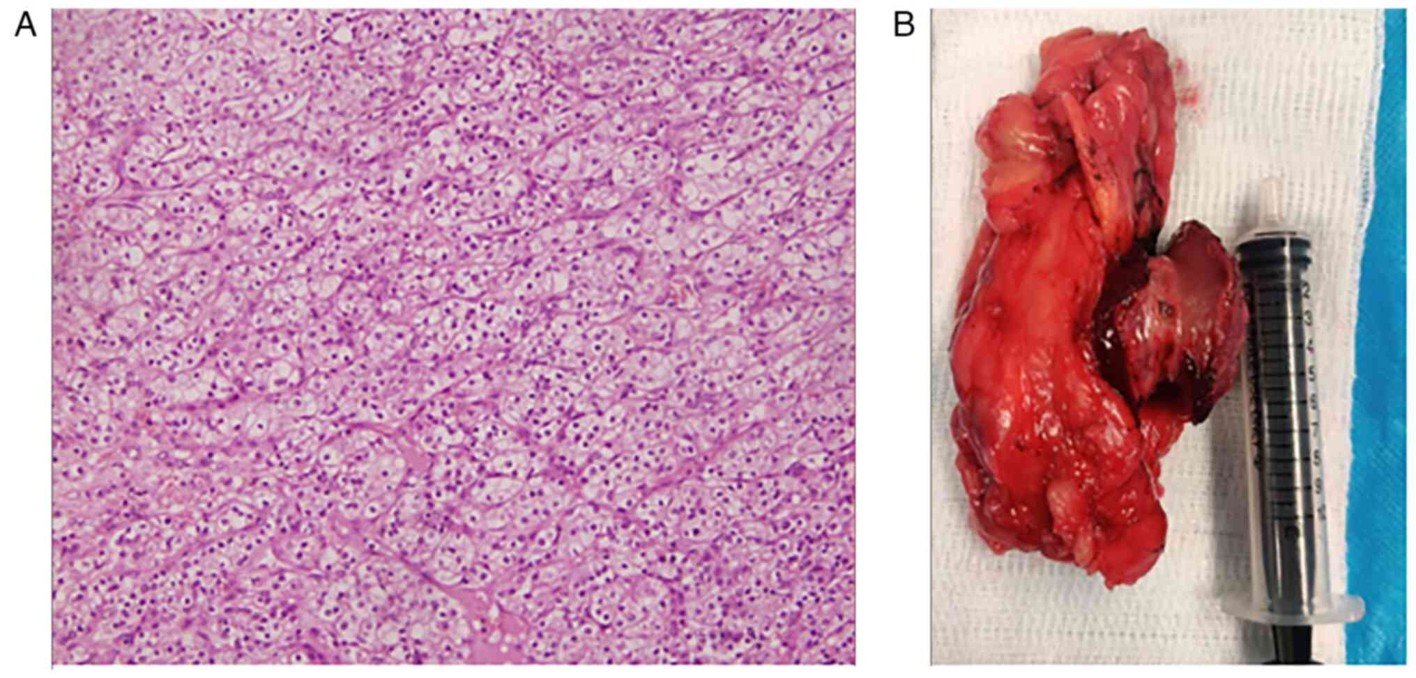
A partial nephrectomy was performed, and the histopathological examinations (previously conducted by another center) were in line with clear cell RCC with a pathological stage of pT1a (Fig. 4). The patient then received six cycles of paclitaxel (100 mg/m2) intravenously every 14 days, along with topical imiquimod (5%) three times weekly. He responded to the treatment, and the skin lesions disappeared (Fig. 5).

Figure 4

(A) Tubulocystic pattern with clear cytoplasmic staining in the microscopic examination, (B) Image of the gross appearance of the mass with surrounding fat and a nested pattern.

Figure 5

Follow-up image of the patient after 1 year, illustrating the disappearance of the lesions on both the dorsal aspects of the (A) hands and (B) feet.

Follow-up

The post-operative period was uneventful. After 1 year, his follow-up imaging revealed no recurrent renal mass.

Discussion

The dermatologist, Moritz Kaposi, was the first to report several cases of KS in elderly males and described it as a multifocal pigmented sarcoma of the skin (11). KS is a rare neoplasm that develops from endothelial cells and is classified into four epidemiological forms: Classic KS, endemic KS, AIDS-related KS and transplantation-associated KS (1). Classic KS most commonly occurs in elderly male patients of Arabic, Southern European, and Jewish ancestry. Individuals who were born in countries where classic KS is prevalent are therefore at a higher risk of developing KS (4). In some African countries, KS has been known for decades prior to the emergence of HIV (12). This form is known as endemic, and it is much more aggressive than the classic form. AIDS-related KS commonly occurs in HIV-affected homosexual males (12).

It has been revealed that a significant association exists between immunosuppression and KS (1). Another study reported that the incidence of KS was 200-fold higher in recipients of organ transplants in comparison to the general population (11). The exact etiology of KS has yet to be understood; however, infection with HHV-8 is strongly related to the neoplasm, and it has been reported in >95% of KS cases of all epidemiological forms (13). It can affect the coding of the factors and cytokines that regulate cellular proliferation, immune responses and apoptosis, inducing the transformation of endothelial cells (1). It is worth mentioning that in the present case report, the patient was free from any chronic or acquired disease, and his past surgical and medical treatment was also negative. For this reason, the three forms of endemic KS, AIDS-related KS and transplantation-associated KS were excluded. The patient described herein was an elderly male and compatible with the criteria of classic KS, in which the majority of the classic KS cases are elderly males.

Classic KS usually appears as painless, bluish-red demarcated lesions on the distal parts of the lower extremities, and histologically the lesions are often similar to granulated tissue. In the majority of cases, the lesions grow gradually and merge to form large plaques. On some occasions, solitary lesions can form nodular and brownish-red tumors (14). The KS in the present study manifested as painful, purplish nodular lesions on the dorsal aspects of the hands and feet.

In the literature, the association of KS with various diseases and cancers has been discussed (4,7,15). Multicentric Castleman disease (MCD) refers to a lymphoproliferative disorder that is associated with secondary B-cell lymphoma development. It has recently been revealed that a subclass of this disorder is linked to KS-associated herpesvirus (KSHV), in which KSHV infection can be found in almost all HIV-associated cases of MCD and 50% of HIV-negative patients (4). Several scholars have mentioned the concurrence of KS and psoriasis, which presents a diagnostic challenge due to the resemblance between the lesions of both conditions (15,16). Furthermore, another epidemiological study revealed a high risk of KS in patients with psoriasis (17). Magri et al (13) also reported a rare case of KS following severe acute respiratory syndrome coronavirus 2 (SARS-CoV-2) infection in an 83-year-old female patient. They considered that various cofactors may have been involved in the development of KS, including steroid administration, older age, and infection with SARS-CoV-2(13). Synchronous tumors in the same individual are regarded as a subject of interest with the hope of shedding light on the factors that are involved in promoting the neoplastic process or identifying criteria that place an individual at risk of developing various malignancies. The biological mechanisms behind the association of KS with different malignancies have not yet been well-established, although some individuals may be susceptible to some common initiators of malignant alterations (18). An association of KS with multiple types of cancer, such as leukemia, multiple myeloma, thymoma, non-Hodgkin's lymphoma, Hodgkin's lymphoma and malignant melanoma has been reported (14). Iscovic et al (19) conducted a study on 1,000 Jewish patients with classic KS and found that 61 cases were affected by a second neoplasm, and increasing risks of non-Hodgkin's lymphoma and cutaneous malignant melanoma were detected. The simultaneous appearance of KS and RCC is a very infrequent condition (7). To the best of our knowledge, only three such cases have been published to date. The first one was reported by Giatrakou et al (7), in which the case was affected by classic KS and two coexistent kidney tumors: Clear cell RCC and chromophobe RCC. The case was recovered from the KS after the removal of the kidney tumors (7). The second case was synchronous KS and RCC in a non-infected HIV homosexual male who was managed by tumor resection (8). In addition, another case of synchronous AIDS-related KS with renal cell adenocarcinoma in a 42-year-old homosexual male was reported (9). The present case is the first report of synchronous classic KS and clear cell RCC, followed by the case of Giatrakou et al (7).

Both KS and RCC are vascular tumors, and their pathogenesis is commonly affected by an angiogenic factor known as vascular endothelial growth factor (VEGF). A complete response of KS was observed after sorafenib, an inhibitor of VEGF receptors, was administered for the treatment of metastatic renal cancer (7,20). This reinforces that there is a common therapeutic and pathogenetic pathway between these two neoplasms, and VEGF plays a significant role in their oncogenesis (7). KS can be easily suspected depending on the clinical manifestations; however, a clinical diagnosis alone is not sufficient. A histopathological diagnosis remains the standard method for the confirmation of KS, although this needs to be performed by an experienced pathologist (21). The treatment strategy for KS commonly depends on several factors, including skin lesion number, disease extension, symptoms, comorbidities, and the rate of tumor growth. Thus, the management of KS can be ranged from local therapy for cutaneous disease to systemic therapy in cases with visceral and symptomatic lesions. For the treatment of localized skin lesions, a number of options like ionizing radiation, cryotherapy, photodynamic therapy and surgical excision have been frequently used. However, in aggressive cases involving the skin, lymph nodes, and visceral organs, chemotherapy is a necessary option (22). Cytotoxic chemotherapy has been reported as the treatment of choice for KS. DNA-damaging agents, such as doxorubicin and paclitaxel are in the first line of treatment (21). In the case described herein, after conducting a partial nephrectomy, the case was administered six cycles of paclitaxel every 2 weeks with topical imiquimod (5%) three times weekly, and the patient completely responded to the treatment.

In conclusion, synchronous KS with clear-cell RCC is a rare finding. Clear-cell RCC can be found incidentally during the workup of the KS. Their simultaneous appearance may be triggered by the common enhancing angiogenic factor, VEGF.

Acknowledgements

Not applicable.

Funding

Funding: No funding was received.

Availability of data and materials

The datasets used and/or analyzed during the current study are available from the corresponding author on reasonable request.

Authors' contributions

RB was a major contributor to the conception of the study, and the surgeon who managed the case. HOA and FHK were involved in the design of the study, literature search and review of studies for the inclusion of related studies, and in the drafting of the manuscript. BS was the oncologist who performed the oncological analysis. BAA, IA, RSA and RKA were involved in the literature review, in the design of the study, the critical revision of the manuscript, and the processing of the figures. RB and BS confirm the authenticity of all the raw data. RJR and SHT were the radiologists who performed the assessment of the subjects' Kaposi sarcoma and renal cell carcinoma. All authors have read and approved the final manuscript.

Ethics approval and consent to participate

Written informed consent was obtained from the patient.

Patient consent for publication

Written informed consent was taken from the patient for the publication of any related information and images or illustrations.

Competing interests

The authors declare that they have no competing interests.

References

1 

Agbaht K, Pepedil F, Kirkpantur A, Yilmaz R, Arici M and Turgan C: A case of Kaposi's sarcoma following treatment of membranoproliferative glomerulonephritis and a review of the literature. Ren Fail. 29:107–110. 2007.PubMed/NCBI View Article : Google Scholar

2 

Mitsuyasu RT, Colman MF and Sun NC: Simultaneous occurrence of Hodgkin's disease and Kaposi's sarcoma in a patient with the acquired immune deficiency syndrome. Am J Med. 80:954–958. 1986.PubMed/NCBI View Article : Google Scholar

3 

Cheung MC, Pantanowitz L and Dezube BJ: AIDS-related malignancies: Emerging challenges in the era of highly active antiretroviral therapy. Oncologist. 10:412–426. 2005.PubMed/NCBI View Article : Google Scholar

4 

Boshoff C and Weiss RA: Epidemiology and pathogenesis of Kaposi's sarcoma-associated herpesvirus. Philos Trans R Soc Lond B Biol Sci. 356:517–534. 2001.PubMed/NCBI View Article : Google Scholar

5 

Moore A, Peretz I, Yosef L, Goldstein DA, Goldvaser H, Horn S, Edel Y and Zer A: Potential association between Kaposi sarcoma and gout: An exploratory observational study. Sarcoma. 2020(8844970)2020.PubMed/NCBI View Article : Google Scholar

6 

Paksoy N: Simultaneous occurrence of Kaposi sarcoma and tuberculosis; Kaposi sarcoma and lymphoma in the same lymph node: A report on two HIV-positive patients from Zimbabwe. Rev Soc Bras Med Trop. 52(e20180188)2019.PubMed/NCBI View Article : Google Scholar

7 

Giatrakou S, Leodara V, Siatelis A, Papadavid E, Theodoropoulos K, Safioleas K, Stamatakos M and Stavrianeas NG: P91 clearance of non AIDS-Kaposi sarcoma after removal of coexistent clear cell renal cell and chromophobe renal cell carcinomas. Melanoma Res. 20:e81–e82. 2010.

8 

Meuthen I, Vossbeck H, Marx FJ, Hummerich W and Saborowski F: Kaposi's sarcoma and renal cell carcinoma in a male homosexual without detectable HIV infection-case report and review of the literature. Onkologie. 18:151–154. 1995.

9 

Azón-Masoliver A, Moreno A, Gatell JM and Mascaró JM: Renal cell adenocarcinoma associated with AIDS-related Kaposi's sarcoma. AIDS. 4:818–819. 1990.PubMed/NCBI View Article : Google Scholar

10 

Hsieh JJ, Purdue MP, Signoretti S, Swanton C, Albiges L, Schmidinger M, Heng DY, Larkin J and Ficarra V: Renal cell carcinoma. Nat Rev Dis Primers. 3(17009)2017.PubMed/NCBI View Article : Google Scholar

11 

Cesarman E, Damania B, Krown SE, Martin J, Bower M and Whitby D: Kaposi sarcoma. Nat Rev Dis Primers. 5(9)2019.PubMed/NCBI View Article : Google Scholar

12 

Beral V, Peterman TA, Berkelman RL and Jaffe HW: Kaposi's sarcoma among persons with AIDS: A sexually transmitted infection? Lancet. 335:123–128. 1990.PubMed/NCBI View Article : Google Scholar

13 

Magri F, Giordano S, Latini A and Muscianese M: New-onset cutaneous Kaposi's sarcoma following SARS-CoV-2 infection. J Cosmet Dermatol. 20:3747–3750. 2021.PubMed/NCBI View Article : Google Scholar

14 

Iscovich J, Boffetta P, Franceschi S, Azizi E and Sarid R: Classic Kaposi sarcoma: Epidemiology and risk factors. Cancer. 88:500–517. 2000.PubMed/NCBI

15 

Brambilla L, Genovese G, Tourlaki A and Della Bella S: Coexistence of Kaposi's sarcoma and psoriasis: Is there a hidden relationship? Eur J Dermatol. 28:320–325. 2018.PubMed/NCBI View Article : Google Scholar

16 

Yoo J, Jo M, Kim MS, Choi KH, Park HJ and Jue MS: Hidden pictures of Kaposi's sarcoma in psoriatic lesions: A diagnostic challenge. Ann Dermatol. 28:749–752. 2016.PubMed/NCBI View Article : Google Scholar

17 

Hemminki K, Liu X, Ji J, Sundquist J and Sundquist K: Kaposi sarcoma and Merkel cell carcinoma after autoimmune disease. Int J Cancer. 131:E326–E328. 2012.PubMed/NCBI View Article : Google Scholar

18 

Safai B, Miké V, Giraldo G, Beth E and Good RA: Association of Kaposi's sarcoma with second primary malignancies: Possible etiopathogenic implications. Cancer. 45:1472–1479. 1980.PubMed/NCBI View Article : Google Scholar

19 

Iscovich J, Boffetta P and Brennan P: Classic Kaposi's sarcoma as a first primary neoplasm. Int J Cancer. 80:173–177. 1999.PubMed/NCBI View Article : Google Scholar

20 

Ardavanis A, Doufexis D, Kountourakis P and Rigatos G: A Kaposi's sarcoma complete clinical response after sorafenib administration. Ann Oncol. 19:1658–1659. 2008.PubMed/NCBI View Article : Google Scholar

21 

Schneider JW and Dittmer DP: Diagnosis and treatment of Kaposi sarcoma. Am J Clin Dermatol. 18:529–539. 2017.PubMed/NCBI View Article : Google Scholar

22 

Passarelli A, Galdo G, Pellegrino T, Roviello G, Aieta M, Aviello G and Conca R: Therapeutic management of a symptomatic Kaposi's sarcoma patient with renal failure undergoing haemodialysis: A case report. Dermatol Reports. 14(9113)2021.PubMed/NCBI View Article : Google Scholar

Related Articles

  • Abstract
  • View
  • Download
Copy and paste a formatted citation
Spandidos Publications style
Bapir R, Shabur B, Aghaways I, Tahir SH, Abdullah HO, Ahmed RS, Rashid RJ, Ali RK, Abdalla BA, Kakamad FH, Kakamad FH, et al: Synchronous Kaposi sarcoma and renal cell carcinoma in an elderly male patient (a very uncommon reported entity): A case report. Med Int 3: 16, 2023.
APA
Bapir, R., Shabur, B., Aghaways, I., Tahir, S.H., Abdullah, H.O., Ahmed, R.S. ... Kakamad, F.H. (2023). Synchronous Kaposi sarcoma and renal cell carcinoma in an elderly male patient (a very uncommon reported entity): A case report. Medicine International, 3, 16. https://doi.org/10.3892/mi.2023.76
MLA
Bapir, R., Shabur, B., Aghaways, I., Tahir, S. H., Abdullah, H. O., Ahmed, R. S., Rashid, R. J., Ali, R. K., Abdalla, B. A., Kakamad, F. H."Synchronous Kaposi sarcoma and renal cell carcinoma in an elderly male patient (a very uncommon reported entity): A case report". Medicine International 3.2 (2023): 16.
Chicago
Bapir, R., Shabur, B., Aghaways, I., Tahir, S. H., Abdullah, H. O., Ahmed, R. S., Rashid, R. J., Ali, R. K., Abdalla, B. A., Kakamad, F. H."Synchronous Kaposi sarcoma and renal cell carcinoma in an elderly male patient (a very uncommon reported entity): A case report". Medicine International 3, no. 2 (2023): 16. https://doi.org/10.3892/mi.2023.76
Copy and paste a formatted citation
x
Spandidos Publications style
Bapir R, Shabur B, Aghaways I, Tahir SH, Abdullah HO, Ahmed RS, Rashid RJ, Ali RK, Abdalla BA, Kakamad FH, Kakamad FH, et al: Synchronous Kaposi sarcoma and renal cell carcinoma in an elderly male patient (a very uncommon reported entity): A case report. Med Int 3: 16, 2023.
APA
Bapir, R., Shabur, B., Aghaways, I., Tahir, S.H., Abdullah, H.O., Ahmed, R.S. ... Kakamad, F.H. (2023). Synchronous Kaposi sarcoma and renal cell carcinoma in an elderly male patient (a very uncommon reported entity): A case report. Medicine International, 3, 16. https://doi.org/10.3892/mi.2023.76
MLA
Bapir, R., Shabur, B., Aghaways, I., Tahir, S. H., Abdullah, H. O., Ahmed, R. S., Rashid, R. J., Ali, R. K., Abdalla, B. A., Kakamad, F. H."Synchronous Kaposi sarcoma and renal cell carcinoma in an elderly male patient (a very uncommon reported entity): A case report". Medicine International 3.2 (2023): 16.
Chicago
Bapir, R., Shabur, B., Aghaways, I., Tahir, S. H., Abdullah, H. O., Ahmed, R. S., Rashid, R. J., Ali, R. K., Abdalla, B. A., Kakamad, F. H."Synchronous Kaposi sarcoma and renal cell carcinoma in an elderly male patient (a very uncommon reported entity): A case report". Medicine International 3, no. 2 (2023): 16. https://doi.org/10.3892/mi.2023.76
Follow us
  • Twitter
  • LinkedIn
  • Facebook
About
  • Spandidos Publications
  • Careers
  • Cookie Policy
  • Privacy Policy
How can we help?
  • Help
  • Live Chat
  • Contact
  • Email to our Support Team